Metastatic renal cell carcinoma of unknown primary site. Clinical follow-up
- Authors: Ognerubov N.A.1,2, Antipova T.S.3, Gumareva G.E.4
-
Affiliations:
- Derzhavin Tambov State University
- Tambov Regional Oncological Clinical Dispensary
- PET-Technology
- Pathological Bureau
- Issue: Vol 22, No 3 (2020)
- Pages: 149-153
- Section: Clinical Case
- Submitted: 29.11.2020
- Accepted: 29.11.2020
- Published: 30.11.2020
- URL: https://modernonco.orscience.ru/1815-1434/article/view/52652
- DOI: https://doi.org/10.26442/18151434.2020.3.200301
- ID: 52652
Cite item
Full Text
Abstract
Renal cell cancer metastases without evidence of a primary tumor are extremely rare. These variants are usually showed as a spontaneous description of single clinical cases.
Aim. This contribution is a clinical follow-up of synchronous renal cell cancer metastases of unknown primary site.
Results. A 52-year-old patient U. with a history of increased blood pressure, up to 170/100 mmHg for the last 5 years, who had undergone many instrumental examinations, including ultrasound examination, because of this disease. The computed tomography of the abdomen showed a 49×75 mm heterogeneous tumor in the right adrenal gland in October 2017. The combined positron emission and X-ray computed tomography showed a 79×54×41 mm mass in the right adrenal gland, associated with elevated fluorodeoxyglucose metabolic activity SUVmax 7.25. Focal accumulation of the radiopharmaceutical SUVmax 4.31 in a 17×11×24 mm mass was detected in the space of bifurcation in the mediastinum. The lytic lesion (10×15 mm) was found in right superior L3 articular process. The patient underwent retroperitoneoscopic adrenalectomy and thoracoscopic removal of mediastinal tumor in November 2017 because of the oligometastatic nature of the process. The histological study identified clear-cell carcinoma with areas of papillary structure in the right adrenal gland. The immunohistochemical study showed carcinoma cells intensively expressing CD10, and some other cells – RCC. The immune phenotype of the tumor was identified as clear-cell renal cell carcinoma. The immunohistological and immunohistochemical analysis reviled the metastases of the same variant of renal cell carcinoma in one of 9 lymph nodes. The patient was treated with pazopanib. The primary renal tumor was not detected during the dynamic observation, including the application of annual combined positron emission and X-ray computed tomography. The patient is alive without disease progression with a follow-up of 32 months.
Conclusion. Metastases of clear-cell renal cell carcinoma, including adrenal gland, without evidence of a primary site are extremely rare. The main method of treatment is a combination of surgery and targeted therapy, providing long-term local control of the course of the disease.
Full Text
Введение
Почечно-клеточный рак (ПКР) является наиболее распространенным новообразованием почек, составляя 75–90% разных злокачественных опухолей. Одним из его свойств является способность метастазировать в любой орган и ткани, наиболее распространенными являются: легкие (76%), лимфатические узлы (66%), кости (42%), печень (41%), мозг [1–3]. На момент постановки диагноза до 30% пациентов имеют отдаленные метастазы [4–7].
Метастазирование рака почки (РП) при отсутствии первичного очага является актуальной проблемой клинической онкологии.
В литературе этому вопросу посвящены ограниченные сообщения в виде описания единичных случаев [8–13]. Локализация метастазов при этом весьма разнообразна. Метастатическое поражение надпочечников является крайне редким [10, 14].
С учетом клинических особенностей течения процесса метастазы в надпочечник представляют для практических врачей определенную сложность и трудности как на этапах диагностики, так и в выборе рациональной тактики лечения.
Представляем клинический случай синхронного метастазирования ПКР почки без выявленного первичного очага в надпочечник, кости и лимфатические узлы средостения.
Клиническое наблюдение
Пациент У., мужчина 52 лет, обратился за медицинской помощью в октябре 2017 г. с жалобами на быструю утомляемость, слабость, боль в поясничной области справа и похудение.
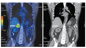
Из анамнеза известно, что на протяжении последних 5 лет он стал отмечать повышение артериального давления до 170/100 мм рт. ст., по поводу чего получал консервативное лечение, а также проходил ежегодные обследования, включая ультразвуковое исследование органов брюшной полости и малого таза. При компьютерной томографии (КТ) органов брюшной полости с контрастированием в правом надпочечнике определяется патологическое объемное образование размером 48×49×75 мм неоднородной структуры и плотности. Для определения степени распространенности опухолевого процесса выполнена комбинированная позитронно-эмиссионная и рентгеновская КТ (ПЭТ/КТ).
На совмещенных ПЭТ/КТ- и КТ-проекциях с использованием 18-фтордезоксиглюкозы в правом надпочечнике определяется объемное образование размером 79×54×41 мм с ровным нечетким контуром, неоднородной структуры за счет наличия гиподенсных аметаболических участков некроза с повышенной метаболической активностью фтордезоксиглюкозы SUVmax 7.25. Верхнелатеральным контуром образование прилежит к нижней поверхности печени (граница четко не дифференцируется), нижним контуром – к верхнему полюсу почки (жировая прослойка прослеживается), а медиально – к ножке диафрагмы (рис. 1, 2).
Дополнительно в бифуркационном пространстве под нижней стенкой правого главного бронха определяется узловое образование размером 17×11×24 мм с очаговой фиксацией радиофармпрепарата SUVmax 4.31 (рис. 3).
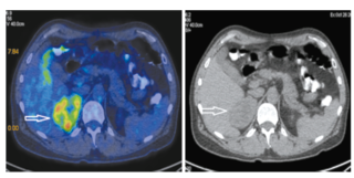
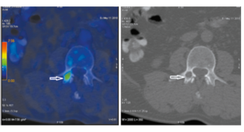
В верхнесуставном отростке третьего поясничного позвонка справа (L3) имеется округлый очаг разрежения костной ткани размером 10×15 мм с разрушением кортикального слоя по внутренней поверхности со стороны
Рис. 1. Пациент У., 52 года. Корональная ПЭТ/КТ- (а) и КТ-проекция (б). В правом надпочечнике опухоль размером 79х54х41 мм (стрелка), с гиперфиксацией радиофармпрепарата SUVmax 7.25.
Fig. 1. A 52-year-old patient U. positron emission and computed tomography (PET/CT) (a) and CT images in coronal projection (b). A 79×54×41 mm mass (arrow) in the right adrenal gland, associated with elevated fluorodeoxyglucose metabolic activity SUVmax 7.25.
Рис. 2. Пациент У., 52 года. Аксиальная ПЭТ/КТ- (а) и КТ-проекция (б). В правом надпочечнике опухоль размером 79х54х41 мм (стрелка), SUVmax 7.25.
Fig. 2. A 52-year-old patient U. PET/CT (a) and CT images in axial projection (b). A 79×54×41 mm mass (arrow) in the right adrenal gland, SUVmax 7.25.
позвоночного канала с повышенной фиксацией радиофармпрепарата с метаболической активностью SUVmax 3.83 (рис. 4).
Установлен диагноз опухоли правого надпочечника с метастазами в лимфатические узлы средостения и кости.
Учитывая олигометастатический характер опухолевого процесса, в ноябре 2017 г., пациенту выполнили оперативное вмешательство в объеме ретроперитонеоскопической адреналэктомии и видеоторакоскопического удаления опухоли средостения.
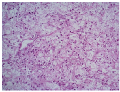
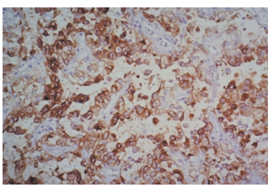
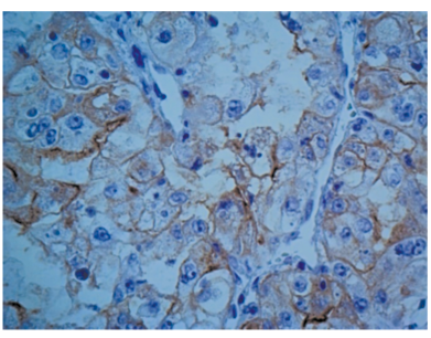
При гистологическом исследовании в правом надпочечнике светлоклеточная карцинома с участками папиллярного строения (рис. 5). При иммуногистохимическом исследовании опухолевые клетки интенсивно экспрессируют CD10 (рис. 6). Часть клеток экспрессирует RCC и не экспрессирует СК7, ТТF1, MelanA (рис. 7). Иммунофенотип опухоли соответствует светлоклеточной почечно-клеточной карциноме. Морфологически в одном из 9 лимфоузлов
Рис. 3. Пациент У., 52 года. Аксиальная ПЭТ/КТ- (а) и КТ-проекция (б). У нижней стенки правого главного бронха образование размером 17х11х24 мм (стрелка), SUVmax 7.25.
Fig. 3. A 52-year-old patient U. PET/CT (a) and CT images in axial projection (b). A 17×11×24 mm mass (arrow) at the inferior wall of the right main bronchus, SUVmax 7.25.
Рис. 4. Пациент У., 52 года. Аксиальная ПЭТ/КТ- (а) и КТ-проекция (б). В верхнесуставном отростке L3 очаг деструкции размером 10х15 мм (стрелка), SUVmax 3.83.
Fig. 4. A 52-year-old patient U. PET/CT (a) and CT images in axial projection (b). The lytic lesion (10×15 mm) (arrow) in right superior L3 articular process, SUVmax 3.83.
средостения определяется метастаз светлоклеточной карциномы, гистологически и иммуногистохимически фенотип опухоли соответствует метастазу аналогичного строения. При целенаправленном пересмотре результатов обследования первичный очаг в почках не обнаружен.
Установлен окончательный диагноз: метастазы ПКР в правый надпочечник, лимфоузлы средостения и кости без выявленного первичного очага. Пациенту назначена длительная таргетная терапия пазопанибом 800 мг/сут и бисфосфонаты.
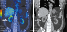
Через 32 мес пациент жив без признаков прогрессирования заболевания. По данным ПЭТ/КТ от 27.05.2020 первичной опухоли почек не выявлено (рис. 8).
Представленный случай интересен синхронным метастатическим поражением надпочечника, лимфоузлов средостения и костей. Диагноз установлен с помощью ПЭТ/КТ и подтвержден гистологически и иммуногистохимически.
Приведенное наблюдение демонстрирует длительный контроль течения заболевания без признаков прогрессирования при отсутствии первичной опухоли почки на протяжении 32 мес. Такой успех обеспечен активной хирургической тактикой в сочетании с таргетной терапией.
Обсуждение
РП является одним из распространенных заболеваний. В 2018 г. в мире выявлены 403 262 больных РП и 175 096 случаев смерти от него [15]. На момент постановки диагноза РП является метастатическим уже в 16–30%. ПКР хорошо известен своей склонностью к метастазированию практически в любой орган, чаще всего его излюбленной локализацией являются легкие, лимфатические узлы, кости, печень [2].
Рис. 5. Микрофото. Метастаз светлоклеточного РП. Опухолевые клетки с явлением выраженного ядерного полиморфизма, хорошо различимыми ядрышками, цитоплазма оптически пустая. Окраска гематоксилин-эозином, х200.
Fig. 5. Photomicrograph. Metastasis of clear-cell renal cell carcinoma. Tumor cells associated with significant nuclear polymorphism, prominent nucleoli, optically empty cytoplasm. Hematoxylin and eosin staining, ×200.
Рис. 6. Иммуногистохимия. В клетках опухоли отмечается положительная цитоплазматическая экспрессия с антителами к CD10, х200.
Fig. 6. Immunohistochemistry. CD10-positive cytoplasmic expression in tumor cells, ×200.
Случаи отдаленного метастазирования РП без выявленного первичного очага носят казуистический характер, в виде описания отдельных наблюдений. R. Kumar и соавт. (2014 г.) ссылаются на наличие 5 случаев, описанных в мире [16]. Несколько позже M. Fayaz и соавт. (2017 г.) опубликовали всего 12 наблюдений [11].
Локализация метастазов светлоклеточного РП без первичного очага весьма разнообразна. Чаще всего поражаются лимфатические узлы. Так, Y. Choi и соавт. (2012 г.) описали метастазы в надключичные лимфатические узлы у мужчины 69 лет. Диагноз подтвержден гистологически и иммуногистохимически. Пациенту проведена лучевая терапия на область метастатического поражения в суммарной очаговой дозе 40 Гр с последующей таргетной терапией [17].
J. Walton и соавт. (2019 г.) опубликовали случай метастатического поражения мягких тканей правого предплечья у мужчины 52 лет при отсутствии первичного РП, по поводу чего ему выполнялось хирургическое лечение в объеме иссечения. Наблюдался 27 мес без прогрессирования [18].
В доступной литературе, включая PubMed, нами найдено описание 13 случаев метастазирования оккультного РП, которые представлены в сводной таблице [8–12, 14, 16–21].
Как следует из таблицы, метастазирование в надпочечники при оккультной форме РП описано только у 3 больных.
Рис. 7. Иммуногистохимия. Положительная мембранная экспрессия кальцитонина в опухолевых клетках, х200.
Fig. 7. Immunohistochemistry. Tumor cells with positive membrane expression for calcitonin, ×200.
Механизм метастазирования РП при отсутствии первичного очага точно не известен. Существует несколько теорий. Одна из них заключается в том, что первичная опухоль имеет небольшие размеры, которые невозможно идентифицировать с помощью современных методов медицинской визуализации, так называемая оккультная форма [11, 13].
Согласно второй теории, существовавшая ранее первичная опухоль может подвергаться спонтанной регрессии. Этот факт подтверждают описанные ранее случаи регрессии как первичной опухоли, так и метастазов без лечения [5, 10, 11]. Весьма интересна третья точка зрения, согласно которой опухоль может развиться в эктопированной почечной ткани с последующим отдаленным метастазированием [11, 23, 24].
Усилия практических врачей при наличии отдаленных метастазов без выявленного первичного очага должны быть направлены на поиски первичной опухоли. При этом морфологическое подтверждение органопринадлежности метастатической опухоли осуществляется гистологически и обязательно иммуногистохимически, а в последние годы и профилирование экспрессии генов, особенно в сомнительных случаях, позволяющих уточнить тканевую принадлежность опухоли [9, 10, 25–27]. Это позволит проводить целенаправленное, персонализированное
Рис. 8а-8б. На корональных ПЭТ/КТ- (а) и КТ-проекциях (б) очагов повышенного метаболизма и патологических образований не выявлено. На аксиальных ПЭТ/КТ- (в) и КТ-проекциях (г) литический очаг в ножке L3 прежних размеров без фиксации радиофармпрепарата.
Fig. 8a-8b. PET/CT (a) and CT images in coronal projection did not show increased metabolism or pathological formations (b). PET/CT (c) and CT images in axial projection (d) showed lytic lesion in L3 articular process of the same size without accumulation of the radiopharmaceutical.
Рис. 8в-8г. На корональных ПЭТ/КТ- (а) и КТ-проекциях (б) очагов повышенного метаболизма и патологических образований не выявлено. На аксиальных ПЭТ/КТ- (в) и КТ-проекциях (г) литический очаг в ножке L3 прежних размеров без фиксации радиофармпрепарата.
Fig. 8c-8d. PET/CT (a) and CT images in coronal projection did not show increased metabolism or pathological formations (b). PET/CT (c) and CT images in axial projection (d) showed lytic lesion in L3 articular process of the same size without accumulation of the radiopharmaceutical.
лечение вместо эмпирических схем химиотерапии, что, безусловно, улучшает прогноз течения заболевания [4, 26, 27].
С. Costantino и соавт. (2016 г.) описали случай метастатического поражения обоих надпочечников и печени при отсутствии первичной опухоли. Молекулярно-генетическое исследование позволило провести дифференциальную диагностику ПКР в пользу последнего, благодаря чему назначили таргетную терапию. Аналогичного мнения по
Случаи отдаленного метастазирования РП без выявленного первичного очага, по данным литературы The cases of RC distant metastasis without evidence of a primary site, according to the literature | |||
Авторы, год | Пол, возраст | Локализация метастазов | Методы лечения, продолжительность жизни |
M. Kawakita и соавт. (1985 г.) [19] | Ж, 43 года | Кость проксимальной фаланги указательного пальца | Хирургический, 24 мес |
M. Wayne и соавт. (2010 г.) [20] | Ж, 61 год | Подкожная клетчатка верхней конечности, поджелудочная железа, околоушная железа | Хирургический, 6 мес + |
S. Bhatia и соавт. (2010 г.) [8] | М, 63 года | Кожа кончика носа | Хирургический, 12 мес + |
M. Johnson и соавт. (2012 г.) [14] | М, 71 год | Надпочечник | Хирургический, 36 мес + |
Y. Choi и соавт. (2012 г.) [17] | М, 69 лет | Надключичные лимфоузлы | Хирургический, лучевая и таргетная терапия, 20 мес |
R. Kumar и соавт. (2014 г.) [16] | М, 79 лет | Кости, легкие | Таргетная терапия, 18 мес + |
Ж, 69 лет | Коленный сустав, легкие | Таргетная и лучевая терапия, 8 мес | |
R. Heary и соавт. (2014 г.) [12] | М, 54 года | Оболочки спинного мозга | Хирургический, – |
A. Abdou и соавт. (2014 г.) [21] | М, 70 лет | Мягкие ткани бедра, забрюшинное пространство | Хирургический, лучевая и химиотерапия, 2 мес |
E. Wei и соавт. (2015 г.) [9] | М, 43 года | Легкие, кости | Хирургический, лучевая и таргетная терапия, 9 мес |
Ж, 55 лет | Легкие, шейные лимфоузлы, кости | Полихимиотерапия, таргетная терапия, 7 мес+ | |
C. Costantino и соавт. (2016 г.) [10] | М, 68 лет | Надпочечники, печень | Хирургический, лучевая и таргетная терапия, 12 мес+ |
M. Fayaz и соавт. (2017 г.) [11] | М, 77 лет | Надключичные, шейные, подмышечные, парааортальные, подвздошные, паховые лимфоузлы | Таргетная терапия, 20 мес |
L. Woodhouse и соавт. (2019 г.) [13] | М, 71 год | Кости, печень | Таргетная терапия, 9 мес + |
J. Waltоn и соавт. (2019 г.) [18] | М, 52 года | Мягкие ткани предплечья | Хирургический, 27 мес |
профилированию экспрессии генов для определения предполагаемой тканевой принадлежности придерживаются и другие авторы [10].
Для диагностики метастатического поражения используют разные методы медицинской визуализации – ультразвуковое исследование, КТ и магнитно-резонансную томографию. Особую роль в этом процессе играют гибридные технологии – ПЭТ, совмещенная с КТ, позволяющая оценить истинную распространенность опухолевого процесса и, что особенно важно, локализацию предполагаемой первичной опухоли [9, 13, 14, 17].
В представленном клиническом наблюдении диагноз метастатического поражения надпочечника, лимфатических узлов средостения и костей был подтвержден с помощью ПЭТ/КТ.
Наличие в литературе единичных спонтанных сообщений и неоднородность мест метастазирования ПКР без выявленного первичного очага препятствует разработке определенных стандартных методов лечения. Необходим персонализированный подход к лечению таких пациентов с учетом ряда клинических и функциональных возможностей.
Хирургическое лечение метастатического РП является одним из основных методов. Оно предусматривает такие опции, как хирургическое вмешательство с последующим назначением таргетной терапии либо только операция с полным удалением метастатического очага с последующим наблюдением [8].
Удаление единичных метастазов при ПКР обеспечивает хороший местный контроль [8, 22].
Учитывая высокую чувствительность ПКР к таргетной терапии, пациентам назначают ингибиторы тирозинкиназы и эндотелиального фактора роста с хорошим клиническим эффектом в виде длительного контроля течения заболевания [11, 26].
Заключение
Метастазы ПКР без выявленного первичного очага, особенно с поражением надпочечников, встречаются крайне редко. Применение в диагностике наряду с другими методами современных гибридных технологий, таких как ПЭТ, совмещенная с КТ, позволяет оценить истинную распространенность опухолевого процесса, включая диагностику первичной опухоли. Лечение данного заболевания должно включать активную хирургическую тактику с последующим назначением таргетной терапии. Оперативное вмешательство обеспечивает длительный локальный контроль течения заболевания. Наличие высокой чувствительности ПКР к ингибиторам тирозинкиназы является основанием для проведения таргетной терапии. В последние годы для лечения ПКР предложены ингибиторы контрольных точек иммунного ответа, позволяющие значительно увеличить общую выживаемость и качество жизни.
Конфликт интересов. Авторы заявляют об отсутствии конфликта интересов.
Conflict of interests. The authors declare that there is not conflict of interests.
About the authors
N. A. Ognerubov
Derzhavin Tambov State University; Tambov Regional Oncological Clinical Dispensary
Author for correspondence.
Email: ognerubov_n.a@mail.ru
ORCID iD: 0000-0003-4045-1247
Russian Federation, Tambov
T. S. Antipova
PET-Technology
Email: antipovats@gmail.com
ORCID iD: 0000-0003-4165-8397
doctor, PET-Technology
Russian Federation, TambovG. E. Gumareva
Pathological Bureau
Email: ognerubov_n.a@mail.ru
doctor, Pathological Bureau
Russian Federation, TambovReferences
- Maldazys JD, deKernion JB. Prognostic factors in metastatic renal carcinoma. J Urol 1986; 136: 376–9. doi: 10.1016/s0022-5347(17)44873-7
- Bianchi M, Sun M, Jeldres C et al. Distribution of metastatic sites in renal cell carcinoma: a population based analysis. Ann Oncol 2012; 23 (4): 973–80. doi: 10.1093/annonc/mdr362
- Kane CJ, Mallin K, Ritchey J et al. Renal cell cancer stage migration: analysis of the National Cancer Data Base. Cancer 2008; 113 (1): 78–83. doi: 10.1002/cncr.23518
- Handorf CR, Kulkarni A, Grenert JP et al. A multicenter study directly comparing the diagnostic accuracy of gene expression profiling and immunohistochemistry for primary site identification in metastatic tumors. Am J Surg Pathol 2013; 37: 1067–75. doi: 10.1097/PAS.0b013e31828309c4
- Özturk H. Bilateral synchronous adrenal metastases of renal cell carcinoma: a case report and review of the literature. Oncol Lett 2015; 9: 1897–901. doi: 10.3892/ol.2015.2915
- Pantuck AJ, Zisman A, Belldegrun AS. The changing natural history of renal cell carcinoma. J Urol 2001; 166: 1611–23. doi: 10.1016/S0022-5347(05)65640-6
- Golimbu M, Joshi P, Sperber A et al. Renal cell carcinoma: survival and prognostic factors. Urology 1986; 27: 291–301. doi: 10.1016/0090-4295(86)90300-6
- Bhatia S, Ng S, Hodder SC Metastatic cutaneous head and neck renal cell carcinoma with no known primary: case report. Br J Oral Maxillofac Surg 2010; 48: 214–5. doi: 10.1016/j.bjoms.2009.11.012
- Wei EY, Chen YB, Hsieh JJ Genomic characterisation of two cancers of unknown primary cases supports a kidney cancer origin. BMJ Case Rep 2015. doi: 10.1136/bcr-2015-212685
- Costantino C, Thomas GV, Ryan C et al. Metastatic renal cell carcinoma without evidence of a renal primary. Int Urol Nephrol 2016; 48 (1): 73–7. doi: 10.1007/s11255-015-1145-3
- Fayaz MS, Al-Qaderi AE, El-Sherify MS Metastatic renal cell carcinoma with undetectable renal mass presenting as lymphadenopathy. CEN Case Rep 2017; 6 (1): 36–8. doi: 10.1007/s13730-016-0239-9
- Heary RF, Agarwal N, Barrese JC et al. Metastatic renal cell carcinoma, with a radiographically occult primary tumor, presenting in the operative site of a thoracic meningioma: long-term follow-up. Case report. J Neurosurg Spine 2014; 21 (4): 628–33. doi: 10.3171/2014.6.SPINE13448
- Woodhouse L, Watkins J, Navalkissoor S, Gillmore R Metastatic bone disease from an occult renal primary. BMJ Case Rep 2019; 12 (4): e227657. doi: 10.1136/bcr-2018-227657
- Johnson MT, Bahnson RR Zynger, DL Metastatic clear cell renal cell carcinoma to the adrenal gland without an identifiable primary tumor. Int J Urol 2012; 19: 92–3. doi: 10.1111/j.1442-2042.2011.02904.x
- Cancer today. In: GLOBOCAN 2018. https://gco.iarc.fr/today/data/factsheets/cancers/34-Non-hodgkin-lymphoma-fact-sheet.pdf.
- Kumar RM, Aziz T, Jamshaid H et al. Metastatic renal cell carcinoma without evidence of a primary renal tumour. Curr Oncol 2014; 21 (3): e521–e54. doi: 10.3747/co.21.1914
- Choi YR, Han HS, Lee OJ et al. Metastatic Renal Cell Carcinoma in a Supraclavicular Lymph Node with No Known Primary: A Case Report. Cancer Res Treat 2012; 44 (3): 215–8. doi: 10.4143/crt.2012.44.3.215
- Walton J, Li J, Clifton MM et al. Metastatic clear cell renal cell carcinoma to the forearm without identifiable primary renal mass. Urol Case Rep 2019; 27: 100989. doi: 10.1016/j.eucr.2019.100989
- Kawakita M, Kawamura J, Hida S et al. Renal cell carcinoma, primary lesion which was not easily identified: report of two cases. Hinyokika Kiyo 1985; 31 (3): 463–73. PMID: 4025083
- Wayne M, Wang W, Bratcher J et al. Renal cell cancer without a renal primary. World J Surg Oncol 2010; 8: 18. doi: 10.1186/1477-7819-8-18
- Abdou AG, Kandil M, Elshakhs S et al. Renal Cell Carcinoma With Rhabdoid and Sarcomatoid Features Presented as a Metastatic Thigh Mass With an Unusual Immunohistochemical Profile. Rare Tumors 2014; 6 (1): 5037. doi: 10.4081/rt.2014.5037
- Higuchi T, Yamamoto N, Hayashi K Long-term patient survival after the surgical treatment of bone and soft-tissue metastases from renal cell carcinoma. Bone Joint Lett J 2018; 100-B: 1241–8. doi: 10.1302/0301-620X.100B9.BJJ-2017-1163.R3
- Marcus PB, Kemp CB Ectopic renal cell carcinoma: pathologist’s problem. Urology 1978; 1978 (12): 453–7. doi: 10.1016/0090-4295(78)90303-5
- Terada T Extra-renal clear cell renal cell carcinoma probably arising from mesodermal embryonic remnants. Pathol Int 2012; 62: 291–3. doi: 10.1111/j.1440-1827.2011.02780.x
- Sorscher SM, Greco FA Papillary Renal Carcinoma Presenting as a Cancer of Unknown Primary (CUP) and Diagnosed through Gene Expression Profiling. Case Rep Oncol 2012; 5 (2): 229–32. doi: 10.1159/000339130
- Overby A, Duval L, Ladekarl M et al. Carcinoma of Unknown Primary Site (CUP) With Metastatic Renal-Cell Carcinoma (mRCC) Histologic and Immunohistochemical Characteristics (CUP-mRCC): Results From Consecutive Patients Treated With Targeted Therapy and Review of Literature. Clin Genitourin Cancer 2019; 17 (1): e32–e37. doi: 10.1016/j.clgc.2018.08.005
- Lombardo R, Tosi F, Nocerino A et al. The Quest for Improving Treatment of Cancer of Unknown Primary (CUP) Through Molecularly-Driven Treatments: A Systematic Review. Front Oncol 2020; 10: 533. doi: 10.3389/fonc.2020.00533
Supplementary files





















