Disseminated Kaposi sarcoma with osseous metastases in patients with HIV infection. Case report
- Authors: Ognerubov N.A.1,2, Antipova T.S.3
- 
							Affiliations: 
							- Derzhavin Tambov State University
- Tambov Regional Oncological Clinical Dispensary
- "PET-Technoligy" Ltd
 
- Issue: Vol 23, No 4 (2021)
- Pages: 598-602
- Section: CLINICAL ONCOLOGY
- Submitted: 01.02.2022
- Accepted: 01.02.2022
- Published: 15.12.2021
- URL: https://modernonco.orscience.ru/1815-1434/article/view/100024
- DOI: https://doi.org/10.26442/18151434.2021.4.201267
- ID: 100024
Cite item
Full Text
Abstract
Background. Kaposi sarcoma is a low-grade vascular tumor affecting blood and lymphatic vessels associated with the human herpes virus type 8 (HHV-8). As a rule, the skin of the lower extremities is involved in the process first of all, and then other organs and lymph nodes are involved. There are 4 various types of the disease with different clinical picture: the classic, the endemic, the epidemic and immunosuppression subtype. The epidemic subtype is the most common and has the most aggressive course, with specific lesions of a multiple kind, including the skin, mucous membrane layers, the lymph nodes, the gastrointestinal tract, the lungs and the spleen. Osseous metastases are extremely rare.
Aim. Show the case of Kaposi sarcoma with osseous metastases in patient with the human immunodeficiency virus (HIV) infection.
Results. We observed a 43-year-old patient with HIV infection and stage 4b Kaposi sarcoma against the background of the irregular antiretroviral therapy in the progression stages. The duration of the anamnesis was 32 months. The clinical debut of the cancer process was noted with skin lesions on the shoulder. Histological and immunohistochemical analysis of skin biopsies showed the morphological picture of Kaposi sarcoma. HHV-8 was expressed in tumor cells. During the endoscopic examination the lesions of oral mucosa, stomach and proximal colon were confirmed morphologically, and spiral computed tomography of the chest revealed the lesions in the lungs. On this point, the patients received oxaliplatin-based chemotherapy and aetoposidum for 6 months and against the background of this treatment we observed the disease progression associated with the involvement of the retroperitoneal lymph nodes, the left adrenal gland and the penis. Circumcision was performed in the case associated with the involvement of the penis. The treatment was continued. The lytic left iliac bone lesion, the retroperitoneal lymph nodes, the iliac lymph node groups, as well as the left inguinal lymph nodes, the left adrenal gland and the lungs were characterized by a high F-18 FDG uptake after 3 months of the treatment, according to the results of Fluorine-18 fluorodeoxyglucose (F-18 FDG) positron emission tomography combined with computed tomography (PET/CT).
Conclusion. Kaposi sarcoma in patients with HIV infection had an aggressively course with disseminated skin lesions and internal organ involvement, including bones as showed in this clinical case. In this case, the axial skeleton was more commonly involved. PET/CT is a diagnostic imaging method in the differential diagnosis and determination of the prevalence of the cancer process.
Full Text
Введение
Саркома Капоши – это мультицентрическая опухоль сосудистого происхождения низкой степени злокачественности с преимущественным поражением кожи, а также внутренних органов и лимфатических узлов. На сегодняшний день принято считать, что причиной развития опухоли является γ-вирус герпеса 8-го типа (HHV8) [1, 2].
В развитых странах среди пациентов, инфицированных вирусом иммунодефицита человека (ВИЧ), частота выявления HHV8 наиболее высока у гомо- и бисексуальных мужчин. Саркома Капоши у них является самой распространенной опухолью, ассоциированной с синдромом приобретенного иммунодефицита (СПИД), частота ее составляет 20% [2].
По данным Globacan, в 2020 г. в мире зарегистрировано 34 270 новых случаев саркомы Капоши. Среди них на долю мужчин приходилось 25 413 наблюдений, женщин – 10 857. Заболеваемость среди мужчин в 2,3 раза чаще. Максимальное число больных наблюдается в Африке, составляя 25 010 (73%), в Европе – 3019 (8,8%), в Латинской Америке и на Карибах – 2856 (8,3%), в Азии – 2181 (6,4%), а в Северной Америке – наименьшее число – 1136 (3,3%). Мировые стандартизованные показатели для обоих полов равны 0,39 на 100 тыс. населения, а для мужчин и женщин – 0,54 и 0,25 соответственно.
В 2020 г. в мире саркома Капоши стала причиной смерти 15 086 больных, из них мужчин – 9929, женщин – 5157. Соотношение числа мужчин с числом женщин составило 1,9:1, т.е. отмечается преобладание лиц мужского пола. Мировой стандартизованный показатель равен 0,18 на 100 тыс. населения. При этом максимальная величина его отмечена в Западной Африке – 2,6, Центральной Африке – 1,2 и Южной Африке – 0,6 на 100 тыс. населения, составляя 54 088 человек [3].
В России в 2020 г. выявлено 268 случаев саркомы Капоши и зарегистрировано 75 летальных исходов. Заболеваемость и смертность при этом занимают 35-е ранговое место, составляя 0,05 и 0,02% соответственно [4].
В настоящее время выделяют четыре варианта заболевания: классический (идиопатический, спорадический, европейский), эндемический (африканский), эпидемический (ассоциированный со СПИДом), иммуносупрессивный (ятрогенный, возникающий при проведении иммуносупрессивной терапии) [2]. Каждый вариант имеет некие клинические и эпидемиологические особенности, причем первые два из них отличаются длительным, хроническим течением. Эпидемический вариант, связанный со СПИДом, является наиболее распространенным, имеет агрессивное течение с множественными висцеральными поражениями.
G. Niedt и соавт. при вскрытии 56 больных с саркомой Капоши, связанных со СПИДом, в 72% случаев выявили поражение лимфатических узлов, легких – в 51%, желудочно-кишечного тракта – в 48%, печени и селезенки – в 34 и 27% случаев соответственно [5].
G. Lemlich и соавт. показали, что на момент смерти только у 25% больных имелось поражение кожи, у 29% – висцеральных органов без вовлечения в процесс кожи [6]. Эпидемический вариант поражает желудочно-кишечный тракт практически на всем протяжении, начиная от ротоглотки до прямой кишки, наиболее частая локализация – двенадцатиперстная кишка [7].
Генерализованная лимфаденопатия брюшной полости и забрюшинного пространства наблюдается приблизительно в 80% случаев [8].
L. Pantanowitz и соавт. (2008 г.) выделяют обычные и необычные локализации саркомы Капоши. К необычным локализациям они относят кости и скелетные мышцы, головной и спинной мозг, гортань, надпочечники, щитовидную железу, сердце, паращитовидные железы [9].
G. Meyer-Rochow и соавт. (2007 г.) и J. Elizalde и соавт. (1993 г.) дополнили этот список поражением червеобразного отростка и прямой кишки [10, 11].
Поражение костей при саркоме Капоши является редким событием. При классическом и эпидемическом вариантах вовлечение костей наблюдается редко, чаще такой процесс наблюдается у ВИЧ-инфицированных больных и принимающих иммуносупрессивную терапию [12–17].
Ниже мы приводим случай диссеминированного течения саркомы Капоши у ВИЧ-инфицированного больного с множественным поражением, включая подвздошную кость.
Клинический случай
Пациент С., 43 года, с 2018 г. страдает ВИЧ-инфекцией, стадия 4Б, фаза прогрессирования. По поводу этого нерегулярно получает антиретровирусную терапию. В июне 2018 г. на коже правого плеча обнаружил опухолевидное образование синюшного цвета. При гистологическом и иммуногистохимическом исследовании биоптата кожи морфологическая картина соответствует саркоме Капоши. Опухолевые клетки экспрессируют HHV8. Выполнены фиброгастродуоденоскопия и фиброколоноскопия с биопсией. Эндоскопически и морфологически подтверждено поражение слизистой полости рта, желудка и проксимального отдела толстой кишки. При рентгеновской компьютерной томографии (РКТ) органов грудной клетки также обнаружено поражение легких. В связи с этим проводилась длительная химиотерапия с применением оксалиплатина и этопозида на протяжении 6 мес. На фоне лечения по данным УЗИ и РКТ органов брюшной полости наблюдалось прогрессирование процесса с вовлечением забрюшинных лимфоузлов и левого надпочечника. Химиотерапия продолжена. В процессе лечения в области крайней плоти полового члена обнаружена опухоль диаметром 25 мм бордового цвета, контактно кровоточит. Выполнено оперативное вмешательство в объеме циркумцизии. При гистологическом исследовании морфологическая картина соответствует саркоме Капоши с экспрессией HHV8.
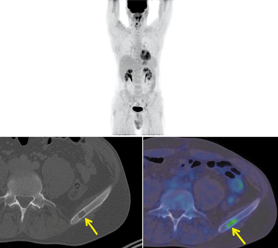
Учитывая характер течения заболевания, с целью уточнения распространенности опухолевого процесса больному выполнена позитронно-эмиссионная томография, совмещенная с компьютерной томографией (ПЭТ/КТ) с 18-фтордезоксиглюкозой (18-ФДГ). При этом в крыле подвздошной кости слева выявлен очаг литической деструкции размером 12×8 мм, кортикальная пластинка истончена, прослеживается без нарушения целостности. Коэффициент максимального накопления радиофармпрепарата SUVmax равен 2,0 (рис. 1).
Рис. 1. Больной С., 43 года. На аксиальной КТ- и совмещенной ПЭТ/КТ-проекциях в крыле подвздошной кости слева определяется очаг литической деструкции размером 12×8 мм с диффузно повышенной фиксацией РФП, SUVmax 2,00 (стрелка).
Кроме того, выявлены увеличенные общие, внутренние и наружные подвздошные, а также паховые лимфатические узлы слева, размером до 12 мм, SUVmax 3,91 (рис. 2).
Рис. 2. Больной С., 43 года. На аксиальной КТ- и совмещенной ПЭТ/КТ-проекциях определяются увеличенные лимфатические узлы: общие, наружные и внутренние подвздошные, паховые слева, размером до 12 мм, с повышенной фиксацией радиофармпрепарата, SUVmax 3,91.
В левом надпочечнике также обнаружено объемное образование кистозно-солидной структуры с гетерогенным контрастным усилением размером 25×35 мм с патологическим накоплением 18-ФДГ, SUVmax 3,44 (рис. 3).
Рис. 3. Больной С., 43 года. На аксиальной КТ- и совмещенной ПЭТ/КТ-проекциях в левом надпочечнике определяется образование размером 25×35 мм, с повышенной фиксацией радиофармпрепарата, SUVmax 3,44.
В черпало-надгортанной складке справа, широко прилегая к гортанной поверхности надгортанника, определяется полиповидное образование размером 11×14 мм, неоднородной структуры с гетерогенным контрастным усилением, коэффициент максимального накопления 18-ФДГ, SUVmax 1,15 (рис. 4).
Рис. 4. Больной С., 43 года. На аксиальной КТ- и совмещенной ПЭТ/КТ-проекциях в черпало-надгортанной складке справа определяется полиповидное образование размером 11×14 мм, SUVmax 11,15.
В легких с обеих сторон полисегментарно выявлены многочисленные очаговые образования и участки снижения пневматизации по типу матового стекла различных форм и размеров, часть из которых с повышенной метаболической активностью ФДГ специфического характера. Контрольный очаг в доле S3 правого легкого, размером до 6 мм, SUVmax 2,73 (рис. 5).
Рис. 5. Больной С., 43 года. На аксиальной КТ- и совмещенной ПЭТ/КТ-проекциях в легких с двух сторон определяются многочисленные очаговые уплотнения и участки сниженной пневматизации по типу матового стекла с метаболической активностью ФДГ, SUVmax 2,73.
Описанный случай представляет определенный клинический интерес. Больной страдает саркомой Капоши, эпидемический вариант, связанный с ВИЧ-инфекцией, стадия 4Б, на фоне нерегулярного приема антиретровирусной терапии. При таком варианте саркомы Капоши наблюдается диссеминированное поражение органов, однако кости поражаются весьма редко. У данного пациента наблюдалось литическое поражение подвздошной кости наряду с гортанью, легкими, желудочно-кишечным трактом, левым надпочечником, половым членом и генерализованной лимфаденопатией. Ранее в литературе нами были описаны два случая поражения саркомой Капоши полового члена [18].
Обсуждение
Саркома Капоши является самой распространенной опухолью у больных со СПИДом, при этом риск ее развития у них в 20 тыс. раз выше, чем в общей популяции [19].
Поражение костей при саркоме Капоши – редкое явление. В литературе представлено не более 100 таких случаев, как правило, это единичные наблюдения [9].
Так, S. Sharma и соавт. (2019 г.) описали случай поражения костей плюсны и большеберцовой кости у ВИЧ-инфицированного пациента с саркомой Капоши [13].
B. Bell и соавт. (2016 г.) представили 44-летнюю пациентку с диссеминированной саркомой Капоши, ВИЧ-инфицированную с поражением ThXI–LIV позвонков, а также костей свода черепа [12].
При классическом и эпидемическом вариантах саркомы Капоши, как правило, в процесс вовлекается периферический скелет. В то время как при эпидемическом варианте, связанном с ВИЧ-инфекцией, чаще всего вовлекаются кости осевого скелета – позвоночник, грудина, ребра, кости таза, а также челюстно-лицевые кости [12, 13, 20, 21].
Представленный случай саркомы Капоши наблюдался у ВИЧ-инфицированного пациента с диссеминированным поражением, включая подвздошную кость.
В 2007 г. G. Caponetti и соавт. опубликовали результаты ретроспективного исследования случаев костно-мышечного поражения при саркоме Капоши с использованием базы данных PubМed за период с 1925 по 1966 г. [20]. При этом авторы выделили 66 больных с вовлечением опорно-двигательного аппарата. Среди них были 25 пациентов с эндемической саркомой Капоши, 12 больных с классической саркомой Капоши, 28 – ассоциированных со СПИДом и 1 пациент после трансплантации. Авторы отмечали возрастные различия в зависимости от клинических вариантов – от 33–35 лет при эндемическом и эпидемическом до 63 лет – при классическом. В клинической картине у большинства больных наблюдались локальные боли в костях. При поражении челюсти отмечалась также повышенная подвижность зубов. В 2 случаях наблюдалась острая компрессия спинного мозга.
Авторы считают, что поражение костей может возникать при любых клинико-эпидемиологических вариантах саркомы Капоши. Причем при африканском и классическом вариантах чаще поражается периферический скелет – кости конечностей, в то время как у пациентов со СПИДом отмечается поражение осевого и/или челюстно-лицевого скелета [20].
A. Tourlaki и соавт. (2020 г.) опубликовали результаты ретроспективного исследования поражения костей при классической саркоме Капоши у 1196 пациентов, получавших лечение в период с 1996 по 2018 г. Патологическое вовлечение костей обнаружилось у 3 больных (0,25% у мужчин). Длительность заболевания составила 23, 32 и 14 лет. Медиана возраста – 81,3 года. При этом у всех пациентов были поражены кости голени [14]. Авторы также ссылаются на описание в литературе 10 случаев вовлечения костей [16, 22].
При наличии боли в костях необходимо исключать поражение костной системы, а также диссеминацию процесса. Этой цели отвечает проведение ПЭТ/КТ с 18-ФДГ. На сегодняшний день это самый крупный обзор литературы, посвященной данной проблеме.
Поражение костей, как правило, сопровождается появлением боли различной степени интенсивности, наиболее выраженной при поражении костей голени [14, 19]. Боли сопровождались нарушением функциональной активности. Возможно развитие патологического перелома со сдавлением спинного мозга [19, 23, 24]. Вовлечение в процесс челюсти может сопровождаться также головной болью, повышенной подвижностью зубов, парестезией. Другие авторы указывают на безболевое течение болезни [13].
У представленного пациента в анамнезе указаний на наличие болевого синдрома не было, т.е. наблюдался безболевой вариант течения. Поражение кости было выявлено с помощью ПЭТ/КТ, боли в костях отсутствовали.
Основными методами диагностики являются РКТ и МРТ [7, 14]. По характеру изменения в костях носят литический характер с периостальной реакцией, вплоть до полного разрушения [14]. Среди методов медицинской визуализации альтернативным является МРТ с контрастированием [14, 25].
В доступной литературе имеются единичные сообщения, посвященные применению ПЭТ/КТ для оценки распространенности процесса при саркоме Капоши [7].
В приведенном случае поражение кости и других органов, включая необычные локализации, определено с помощью ПЭТ/КТ с 18-ФДГ.
Согласно полученным данным, среди всех методов медицинской визуализации, позволяющих оценить степень распространенности процесса, методом выбора следует считать ПЭТ/КТ.
Учитывая редкость поражения костной системы при саркоме Капоши, рациональная тактика лечения отсутствует. Основной лечебной опцией является системная полихимиотерапия различными лекарственными препаратами, такими так винбластин, паклитаксел, этопозид, оксалиплатин, доксорубицин [12–14].
Вторым специальным методом лечения является лучевая терапия до суммарной очаговой дозы 20 Гр [14, 26]. Оперативные вмешательства в объеме ампутации конечностей применяются как метод отчаяния [13].
Так, A. Tourlaki и соавт. (2020 г.) описывают двух больных саркомой Капоши, которым была выполнена ампутация голени и бедра [14].
Хирургическое лечение, лучевая и системная химиотерапия имеют, к сожалению, малоутешительный успех, сопровождаясь кратковременной ремиссией [14, 19].
Заключение
Поражение костной системы у больных саркомой Капоши встречается крайне редко. При эпидемическом варианте, ассоциированном с ВИЧ-инфекцией, чаще поражаются кости осевого скелета.
В приведенном описании ВИЧ-инфицированного пациента наблюдалось литическое поражение подвздошной кости в сочетании с диссеминированными проявлениями болезни в виде вовлечения в процесс кожи, полового члена и висцеральных органов – гортани, легких, желудочно-кишечного тракта, левого надпочечника и генерализованной лимфаденопатии. Такой агрессивный характер мультицентрического процесса типичен для эпидемического варианта саркомы Капоши, связанного со СПИДом.
Наличие локальных болей в костях при саркоме Капоши является основанием для исключения их специфического поражения. ПЭТ/КТ при этом является основной опцией для установления степени распространенности опухолевого процесса и проведения дифференциальной диагнос- тики.
Основной терапевтической опцией при диссеминированной саркоме Капоши является лекарственная терапия.
Раскрытие информации. Авторы заявляют об отсутствии конфликта интересов.
Disclosure. The authors declare no conflict of interest.
About the authors
Nikolai A. Ognerubov
Derzhavin Tambov State University; Tambov Regional Oncological Clinical Dispensary
							Author for correspondence.
							Email: ognerubov_n.a@mail.ru
				                	ORCID iD: 0000-0003-4045-1247
				                	SPIN-code: 3576-3592
																		                								
D. Sci. (Med.), Cand. Sci. (Law), Prof.
Russian Federation, TambovTatyana S. Antipova
"PET-Technoligy" Ltd
														Email: antipovats@gmail.com
				                	ORCID iD: 0000-0003-4165-8397
				                																			                								
doctor
Russian Federation, TambovReferences
- Yergiyev O, Mohanty A, Curran-Melendez S, et al. Fine-needle aspiration cytology of disseminated Kaposi sarcoma of the bone in an AIDS patient. Acta Cytol. 2015;59(1):113-7. doi: 10.1159/000369855
- Клинические рекомендации «Саркома Капоши». M.: Общероссийская общественная организация «Российское общество дерматовенерологов и косметологов», 2016 [Klinicheskie rekomendatsii "Sarkoma Kaposhi". Moscow: Obshcherossiiskaya obshchestvennaya organizatsiya "Rossiiskoe obshchestvo dermatovenerologov i kosmetologov", 2016 (in Russian)].
- Global Cancer Observatory, 2020. Available at: https://gco.iarc.fr/today/data/factsheets/cancers/19-Kaposi-sarcoma-fact-sheet.pdf. Accessed: 22.11.2021.
- Global Cancer Observatory, Russian Federation, 2020. Available at: https://gco.iarc.fr/today/data/factsheets/populations/643-russian-federation-fact-sheets.pdf. Accessed: 22.11.2021.
- Niedt GW, Schinella RA. Acquired immunodeficiency syndrome: clinicopathologic study of 56 autopsies. Arch Pathol Lab Med. 1985;109(8):727-34.
- Lemlich G, Schwam L, Lebwohl M. Kaposi’s sarcoma and acquired immunodeficiency syndrome: postmortem findings in twenty-four cases. J Am Acad Dermatol. 1987;16:319-25.
- Restrepo CS, Martínez S, Lemos JA, et al. Imaging Manifestations of Kaposi Sarcoma. Radiographics. 2006;26(4):1169-85. doi: 10.1148/rg.264055129
- Herts BR, Megibow AJ, Birnbaum BA, et al. High-attenuation lymphadenopathy in AIDS patients: significance of findings at CT. Radiology. 1992;185:777-81.
- Pantanowitz L, Dezube BJ. Kaposi sarcoma in unusual locations. BMC Cancer. 2008;8(1). doi: 10.1186/1471-2407-8-190
- Meyer-Rochow GY, Lee KM, Smeeton IW, Shaw JH: Primary Kaposi sarcoma of the appendix: a rare cause of appendicitis. ANZ J Surg. 2007;77:402-3. doi: 10.1111/j.1445-2197.2007.04078.x
- Elizalde JI, Escorsell A, García-Pugés A, et al. Isolated rectal Kaposi sarcoma (article in Spanish). Rev Esp Enferm Dig. 1993;84:399-401.
- Bell BM, Syed A, Carmack SW, et al. Disseminated Kaposi Sarcoma with Osseous Metastases in an Hiv-Positive Patient. Baylor Univ Med Cent Proc. 2016;29(1):52-4. doi: 10.1080/08998280.2016.11929358
- Sharma S, Kurra C, Hyska-Campbell M, et al. Kaposi Sarcoma mimicking pedal osteomyelitis in a patient with HIV. Radiol Case Reports. 2019;14(12):1495-99. doi: 10.1016/j.radcr.2019.09.025
- Tourlaki A, Germiniasi F, Mancuso R, et al. Bone involvement in classic Kaposi’s sarcoma. Eur J Dermatol. 2020;30(2):148-50. doi: 10.1684/ejd.2020.3754
- Celik ZE, Celik M, Sen E, et al. Incidentally Detected Kaposi Sarcoma of Adrenal Gland with Anaplastic Features in an HIV Negative Patient. Case Rep Pathol. 2016;2016(11):1-5. doi: 10.1155/2016/1280201
- Ben Tekaya A, Tekaya R, Mahmoud I, et al. Kaposi sarcoma in an HIV-negative Tunisian patient: A rare cause of metatarsalgia. Egypt Rheumatol. 2017;39(1):53-6. doi: 10.1016/j.ejr.2016.05.004
- Ritz-Quillac L, Machet L, Machet MC, et al. Bone Involvement in a Case of Kaposi Sarcoma. Dermatology. 1999;198(1):73-4. doi: 10.1159/000018069
- Огнерубов Н.А., Блохин А.В., Гумарева Г.Е. Саркома Капоши полового члена у ВИЧ-отрицательных пациентов: клинические случаи. Онкоурология. 2021;17(1):120-5. [Ognerubov NA, Blokhin AV, Gumareva GE. Kaposi’s sarcoma of the penis in HIV-negative patients: case series. Onkourologiya = Cancer Urology. 2021;17(1):120-5 (in Russian)]. doi: 10.17650/1726-9776-2021-17-1-120-125
- Katz MH, Hessol NA, Buchbinder SP, et al. Temporal trends of opportunistic infections and malignancies in homosexual men with AIDS. J Infect Dis. 1994;170(1):198-202.
- Caponetti G, Dezube BJ, Restrepo CS, Pantanowitz L. Kaposi sarcoma of the musculoskeletal system: A review of 66 patients. Cancer. 2007;109(6):1040-52. doi: 10.1002/cncr.22500
- Thanos L, Mylona S, Kalioras V, et al. Osseous Kaposi sarcoma in an HIV-positive patient. Skeletal Radiol. 2004;33:241-3. doi: 10.1007/s00256-003-0732-z
- Abid H, Shimi M, El Ibrahimi A, et al. Classic Kaposi sarcoma with massive bone destruction: rare form (a case report). Sch J Med Case Rep. 2015;3:540-2.
- Aprosio N, Batzenschlager A, Hamid M, et al. Kaposi disease with mesenteric localization (article in French). Presse Med. 1984;13:504.
- Pantanowitz L, Dezube BJ. Bone lesions in Kaposi sarcoma. AIDS Read. 2007;17:204.
- Restrepo CS, Martínez S, Lemos JA, et al. Imaging manifestations of Kaposi sarcoma. Radiographics. 2006;26:1169-85.
- Krishna G. Osseous Kaposi Sarcoma. JAMA J Am Med Assoc. 2003;289(9):1106-06. doi: 10.1001/jama.289.9.1106
Supplementary files
 
				
			 
					 
						 
						 
				
 
  
  
  Email this article
			Email this article 







