Metastatic gastrointestinal stromal tumor of the greater omentum. Case report
- Authors: Yugay V.V.1, Nikulin M.P.1,2, Mazurenko N.N.1, Mochal'nikova V.V.1, Filonenko D.A.3, Meshherjakov A.A.1, Bugaev V.E.1, Arhiri P.P.1,4, Stroganova A.M.1, Stilidi I.S.1,4,5
-
Affiliations:
- Blokhin National Medical Research Center of Oncology
- Yevdokimov Moscow State University of Medicine and Dentistry
- Loginov Moscow Clinical Scientific Center
- Russian Medical Academy of Continuous Professional Education
- Pirogov Russian National Research Medical University
- Issue: Vol 23, No 4 (2021)
- Pages: 680-684
- Section: CLINICAL ONCOLOGY
- Submitted: 23.07.2021
- Published: 15.12.2021
- URL: https://modernonco.orscience.ru/1815-1434/article/view/76385
- DOI: https://doi.org/10.26442/18151434.2021.4.201222
- ID: 76385
Cite item
Full Text
Abstract
Gastrointestinal stromal tumors (GIST) are the most common type of mesenchymal malignancies of the gastrointestinal (GI) tract. Almost 10% of them are originated outside of the GI tract (extra-GIST), while GIST of the greater omentum constitutes about 1% among stromal tumors. More than 80% of GIST have mutations in c-KIT and PDGFRA genes. Herein we demonstrate the case of successful treatment of patient with giant omental GIST with c-KIT exon 11 mutation. 64-years-old woman, was admitted to the Department of abdominal oncology with complaints of shortness of breath and abdominal enlargement in volume. CT-scan revealed a large tumor in the abdominal cavity with tumor size of 54×34×22 cm. The patient underwent left thoraco-abdominal approach. It was found that the tumor was originated from the greater omentum with several metastases located on the peritoneum of the left lateral channel. Resection of the large omentum, splenectomy, liver resection and was done. Postoperative immunohistochemical study showed the expression of CD117, CD34 in tumor cells. Ki-67 index was 12–15%. Genetic study revealed c-KIT exon 11 mutation. Treatment with imatinib 400 mg per day was started. Patient has been treated with imatinib for 12 years. On control examination we have found a metastasis in the anterior abdominal wall 3,5×3×2,5 cm in diameter. Afterwards we performed resection of anterior abdominal wall with metastasis on 9 November 2017. Immunohistochemical study confirmed metastasis of GIST. The index of tumor proliferation activity (Ki-67) was 45%. Patient prolonged imatinib treatment at the dose of 400 mg per day after operation. No signs of progression have been revealed on control examination 72 months after the operation. 12-year progression-free survival during imatinib treatment is unique in our practice. Moreover, in the case of further progression, we have second and third-line targeted therapy (sunitinib and regorafenib) and surgery treatment in local progression.
Full Text
Введение
Гастроинтестинальные стромальные опухоли (ГИСО) представляют собой особую группу мезенхимальных опухолей, развивающихся из интерстициальных клеток, вероятнее всего, клеток Кахала, которые отвечают за моторику желудочно-кишечного тракта (ЖКТ) [1].
Клетки опухоли экспрессируют ген c-KIT, суррогатным маркером для определения которого является иммуногистохимический маркер CD-117. Более 80% случаев ГИСО содержат мутации в генах KIT и PDGFRA. Остальные случаи, в том числе и у детей, часто не имеют этих мутаций и ранее обозначались как ГИСО дикого типа [2–5].
В настоящее время выяснено, что наиболее часто при ГИСО дикого типа выявляются мутации в гене сукцинатдегидрогеназы (SDH), поэтому вместо термина «дикий тип» в англоязычной литературе применяется определение «гастроинтестинальные опухоли, дефицитные по гену SDH» (SDH-deficient GIST) [6].
Наряду с «классическими» ГИСО выделена отдельная группа новообразований – экстраорганные гастроинтестинальные стромальные опухоли (ЭГИСО), развивающиеся вне пищеварительного тракта и составляющие менее 10% всех стромальных опухолей. Большая часть из них развивается из малого или большого сальника, брыжейки либо располагаются забрюшинно [7–9].
Частота встречаемости первичных ЭГИСО большого сальника не превышает 1% [5, 10, 11].
Сравнительная характеристика первичных ЭГИСО большого сальника и ГИСО имеет особый диагностический, гистогенетический и клинический интерес с учетом сходства этих опухолей с классическими ГИСО [9].
На сегодняшний день гистогенез ЭГИСО не ясен. Если сравнить гистологические и иммуногистохимические признаки ГИСО и ЭГИСО, данные опухоли идентичны. Обе опухоли экспрессируют ген c-KIT и также определяются при помощи моноклональных антител CD-117, CD-34, которые присущи ГИСО [12].
Мы представляем редкий случай первичной гигантской метастатической ЭГИСО большого сальника с длительным сроком наблюдения на фоне таргетной терапии 1-й линии.
Клиническое наблюдение
Больная К. 1954 года рождения в ноябре 2005 г. поступила в отделение абдоминальной онкологии НМИЦ онкологии им. Н.Н. Блохина в состоянии средней тяжести с жалобами на одышку и увеличение живота в объеме.
Из анамнеза было известно, что в мае 2005 г. по месту жительства больной была выполнена биопсия «неоперабельной» «забрюшинной» опухоли, рекомендована симптоматическая терапия. Пациентка самостоятельно обратилась в НМИЦ онкологии им. Н.Н. Блохина.
При осмотре обращали на себя внимание одышка, вызванная сдавлением левого легкого смещенным кверху левым куполом диафрагмы, и пальпируемая плотная опухоль, занимающая практически всю брюшную полость.
При пересмотре предоставленного биопсийного материала визуализированы мелкие веретеновидные мезенхимальные клетки. При иммуногистохимическом исследовании образование расценено как злокачественная опухоль из клеток оболочек периферических нервов.
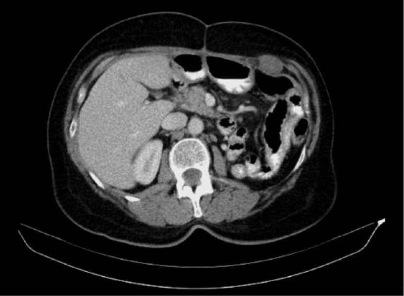
По данным компьютерной томографии (КТ) брюшной полости определялось массивное образование размерами 54×34×22 см, относительно однородной структуры. Опухоль смещала левый купол диафрагмы с левым легким вверх с уменьшением его объема наполовину. Петли кишечника, печень, аорта были смещены вправо. При ангиографии кровоснабжение опухоли осуществлялось за счет желудочно-сальниковых сосудов (рис. 1, 2).
Рис. 1. Гастроинтестинальная стромальная опухоль большого сальника. Петли кишечника, печень смещены вправо.
Рис. 2. Гастроинтестинальная стромальная опухоль большого сальника. Опухоль смещает купол диафрагмы вверх с компрессией левого легкого.
21.12.2005 больная оперирована левосторонним торакоабдоминальным доступом. При ревизии практически всю брюшную полость занимала гигантская многоузловая опухоль, представляющая собой опухолево измененный большой сальник. От опухоли был свободен только правый латеральный канал, куда были смещены все петли тонкой и ободочной кишки. Нижний полюс опухоли располагался в малом тазу, верхний полюс опухоли прорастал диафрагму и смещал ее до уровня III ребра слева. Опухоль прорастала париетальную брюшину передней брюшной стенки, при этом медиальный край опухоли подрастал к левой доле печени. На серозной оболочке подвздошной кишки и брюшине правого латерального канала определялись множественные метастазы до 0,5 см. Больной выполнено удаление опухоли большого сальника с атипичной резекцией левой доли печени и спленэктомией. Вес удаленной опухоли составил 13 кг (рис. 3). Послеоперационный период протекал без осложнений.
Рис. 3. Макропрепарат удаленной гастроинтестинальной стромальной опухоли большого сальника с резецированным участком левой доли печени и селезенкой.
При гистологическом исследовании опухолевый узел построен из веретенообразных клеток с гиперхромными ядрами с высокой митотической активностью (36 mf/10 HPF). Клетки опухоли формировали регулярные структуры типа «переплетающихся пучков». Дополнительно резецированные опухолевые узлы с париетальной брюшины были аналогичного строения (рис. 4).
Рис. 4. Первичная ЭГИСО. Веретеновидные клетки с гиперхромными ядрами с высокой митотической активностью. Клетки формируют регулярные структуры типа «переплетающихся» пучков. Окраска гематоксилин-эозином, ×100.
При иммуногистохимическом исследовании в клетках опухоли выявлена экспрессия виментина (+++), c-KIT (+++), CD34 (++), гладкомышечного актина (++), S100 (++); отсутствовала экспрессия десмина, CD57, GFAP. Индекс пролиферации опухолевых клеток по экспрессии Ki-67 составил 12–15% (рис. 5).
Рис. 5. Первичная ЭГИСО. Иммуногистохимическое исследование. Экспрессия CD117, ×100.
Таким образом, было установлено, что опухоль представляет собой экстраорганную гастроинтестинальную стромальную опухоль большого сальника, веретеноклеточного варианта строения, 3-й степени злокачественности (по системе FNCLCC).
При молекулярно-генетическом исследовании методом полимеразной цепной реакции с последующим секвенированием обнаружена мутация в 11-м экзоне гена c-KIT, приводящая к делеции аминокислот p.W557_E561del15.
В послеоперационном периоде с февраля 2006 г. больная начала принимать ингибитор Bcr-Abl-тирозинкиназ – иматиниб по 400 мг/сут. При регулярных обследованиях в течение 12 лет признаков прогрессирования не выявлено. В 2017 г. при контрольном обследовании выявлен метастаз в передней брюшной стенке размером около 3,5 см (рис. 6).
Рис. 6. Метастаз гастроинтестинальной стромальной опухоли большого сальника в передней брюшной стенке через 12 лет после операции.
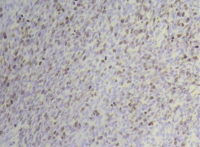
09.11.2017 больной выполнено удаление метастаза передней брюшной стенки, который представлял собой узел размерами 3,5×3,0×2,5 см, окруженный капсулой до 1 мм без признаков врастания в окружающие ткани. Иммуногистохимическое исследование подтвердило метастаз первичной опухоли (рис. 7). Индекс пролиферации опухолевой активности Ki67 составил 45% (рис. 8).
Рис. 7. Метастатическая ЭГИСО. Высокий митотический индекс. Окраска гематоксилин-эозином, ×200.
Рис. 8. Метастатическая ГИСО. Иммуногистохимическое исследование. Индекс пролиферативной активности Ki67 45%, ×100.
Выполнено молекулярно-генетическое исследование метастатического узла с последующим секвенированием по Сэнгеру с целью выявления вторичных мутаций. Обнаружена соматическая мутация в 11-м экзоне гена c-KIT p.W557_E561del15 и вторичная мутация в 17-м экзоне p.N822K.
В послеоперационном периоде больная продолжила принимать иматиниб в дозировке 400 мг/сут.
При контрольном обследовании через 72 мес после повторной операции признаков прогрессирования не выявлено.
Обсуждение
Экстраорганные стромальные опухоли большого сальника являются очень редкими опухолями. Несмотря на то что по гистологическим и иммуногистохимическим свойствам они схожи с обычными ГИСО, патогенез и прогноз их еще не определены полностью [9, 13].
Число случаев, по данным литературы, не превышает 1% всех ГИСО [5, 10, 11].
В основном ЭГИСО большого сальника экспрессируют CD117 и в меньшей степени CD34.
В исследованиях M.-G. Gimoft и соавт. выявили различные картины с интенсивной экспрессией CD34 и умеренной экспрессией CD117, что служит поводом для обсуждения происхождения этих опухолей [14].
Некоторые авторы считают, что ЭГИСО могут возникнуть как первичные опухоли из мультипотентной мезенхимальной стволовой клетки большого сальника, другие считают, что эти опухоли являются имплантационным метастазом опухолей ЖКТ [11, 15, 16].
A. Agaimy и соавт. утверждали, что истинные экстраорганные стромальные опухоли крайне редки и встречаются значительно реже, чем указывают ряд авторов. Данные опухоли в большей степени, по мнению исследователей, являются метастатическими. В публикации подчеркивается важность оценки хирургом и морфологом адгезии к стенке ЖКТ [17].
ГИСО большого сальника чаще всего обладают низкой митотической активностью и представляют собой удлиненные веретеновидные клетки [18].
В нашем случае выявлена выраженная экспрессия виментина и CD117, а также CD34, гладкомышечного актина и умеренная экспрессия S100. Учитывая размеры опухоли, индекс пролиферации опухолевых клеток Ki67 (12–15%), наличие перитонеальной диссеминации, больная была включена в группу высокого риска прогрессирования, в связи с чем была назначена таргетная терапия иматинибом 400 мг/сут. При молекулярно-генетическом исследовании выявлена мутация в 11-м экзоне гена c-KIT, что можно рассматривать как положительный фактор. Во-первых, это послужило дополнительной информацией в пользу того, что имеет место именно гастроинтестинальная стромальная опухоль; во-вторых, пациенты с мутацией в 11-м экзоне гена c-KIT лучше других отвечают на таргетную терапию. Медиана прогрессирования у больных с метастатическими ГИСО на фоне таргетной терапии 1-й линии (иматинибом) составляет в среднем 2 года. У нашей же больной прогрессирование зафиксировано через 12 лет на фоне приема иматиниба в дозе 400 мг/сут, что является уникальным в нашей практике. Соматическая мутация в 11-м экзоне гена c-KIT p.W557_E561del15 и вторичная мутация в 17-м экзоне p.N822K привели ко вторичной лекарственной резистентности.
Более того, прогрессирование в виде единственного узла дало нам повод для повторного хирургического лечения с оставлением в резерве 2 последующих линий таргетной терапии.
Заключение
Нами продемонстрирован случай успешного длительного лечения метастатической ГИСО большого сальника. ГИСО являются редкими опухолями, а локализация в большом сальнике может еще больше запутать клиническую картину. По месту жительства пациентки гигантские размеры образования послужили поводом расценить опухоль как забрюшинную и неоперабельную. Даже пересмотр биопсийного материала в нашем центре не прояснил истинную картину. Можно считать счастливым стечением обстоятельств тот факт, что больная решила обратиться в специализированное учреждение. Активная хирургическая тактика позволила правильно установить локализацию процесса, удалить опухоль и избавить больную от тяжелого синдрома дыхательной недостаточности. Иммуногистохимический анализ выявил гастроинтестинальную стромальную опухоль, а молекулярно-генетический анализ подтвердил диагноз и обнадежил в плане эффективности таргетной терапии. Двенадцатилетний период без прогрессирования у больной с метастатической формой ГИСО на фоне терапии иматинибом является уникальным в нашей практике. Локальное прогрессирование на фоне стабилизации процесса может служить обоснованием для методов локального воздействия (хирургия, абляция) с продолжением той же линии терапии. Пациенты с редкими видами злокачественных опухолей должны проходить лечение в специализированных онкологических учреждениях.
Раскрытие информации. Авторы заявляют об отсутствии конфликта интересов.
Disclosure. The authors declare no conflict of interest.
Финансирование. Исследование проведено без спонсорской поддержки.
Financing. The study was conducted without external funding.
Информированное согласие. Пациентка подписала информированное согласие на публикацию своих данных.
Informed consent. The patient signed written informed consent to the publication of her data.
About the authors
Vladimir V. Yugay
Blokhin National Medical Research Center of Oncology
Author for correspondence.
Email: yugay_vladimir@mail.ru
ORCID iD: 0000-0001-6169-2723
SPIN-code: 2271-3639
oncologist
Russian Federation, MoscowMaxim P. Nikulin
Blokhin National Medical Research Center of Oncology; Yevdokimov Moscow State University of Medicine and Dentistry
Email: yugay_vladimir@mail.ru
ORCID iD: 0000-0002-9608-4696
SPIN-code: 9455-5566
Cand. Sci. (Med.)
Russian Federation, MoscowNatalya N. Mazurenko
Blokhin National Medical Research Center of Oncology
Email: yugay_vladimir@mail.ru
ORCID iD: 0000-0003-4767-6983
SPIN-code: 9169-8910
D. Sci. (Biol.), Prof.
Russian Federation, MoscowValerija V. Mochal'nikova
Blokhin National Medical Research Center of Oncology
Email: yugay_vladimir@mail.ru
ORCID iD: 0000-0001-5275-7134
SPIN-code: 7131-1273
pathologist
Russian Federation, MoscowDar'ja A. Filonenko
Loginov Moscow Clinical Scientific Center
Email: yugay_vladimir@mail.ru
ORCID iD: 0000-0002-7224-3111
Cand. Sci. (Med.)
Russian Federation, MoscowAndrey A. Meshherjakov
Blokhin National Medical Research Center of Oncology
Email: yugay_vladimir@mail.ru
ORCID iD: 0000-0002-6009-653X
SPIN-code: 3987-0910
D. Sci. (Med.)
Russian Federation, MoscowVladislav E. Bugaev
Blokhin National Medical Research Center of Oncology
Email: yugay_vladimir@mail.ru
SPIN-code: 7913-4919
Cand. Sci. (Med.)
Russian Federation, MoscowPetr P. Arhiri
Blokhin National Medical Research Center of Oncology; Russian Medical Academy of Continuous Professional Education
Email: yugay_vladimir@mail.ru
ORCID iD: 0000-0002-6791-2923
SPIN-code: 6880-4902
Cand. Sci. (Med.)
Russian Federation, MoscowAnna M. Stroganova
Blokhin National Medical Research Center of Oncology
Email: yugay_vladimir@mail.ru
ORCID iD: 0000-0002-7297-5240
SPIN-code: 5295-3338
Cand. Sci. (Med.)
Russian Federation, MoscowIvan S. Stilidi
Blokhin National Medical Research Center of Oncology; Russian Medical Academy of Continuous Professional Education; Pirogov Russian National Research Medical University
Email: yugay_vladimir@mail.ru
ORCID iD: 0000-0002-0493-1166
SPIN-code: 9622-7106
D. Sci. (Med.), Prof., Acad. RAS
Russian Federation, MoscowReferences
- Fletcher C, Berman J, Corless C, et al. Diagnosis of gastrointestinal stromal tumors: A consensus approach. Hum Pathol. 2002;33(5):459-65. doi: 10.1177/106689690201000201
- Kindblom LG, Remotti HE, Aldenborg F, et al. Gastrointestinal pacemaker cell tumor (GIPACT): gastrointestinal stromal tumors show phenotypic characteristics of the interstitial cells of Cajal. Am J Pathol. 1998;152(5):1259-69.
- Patil D, Rubin B. Genetics of Gastrointestinal Stromal Tumors: A Heterogeneous Family of Tumors? Surg Pathol Clin. 2015;8(3):515-24. doi: 10.1016/j.path.2015.05.006
- Sakurai S, Fukasawa T, Chong J, et al. C-KIT Gene Abnormalities in Gastrointestinal Stromal Tumors (Tumors of Interstitial Cells of Cajal). Japanese J Cancer Res. 1999;90(12):1321-28. doi: 10.1111/j.1349-7006.1999.tb00715.x
- Mouaqit O, Jahid A, Ifrine L, et al. Primary omental gastrointestinal stromal tumors. Clin Res Hepatol Gastroenterol. 2011;35(8-9):590-3. doi: 10.1016/j.clinre.2010.11.012
- Mei L, Smith S, Faber A, et al. Gastrointestinal Stromal Tumors: The GIST of Precision Medicine. Trends Cancer. 2018;4(1):74-91. doi: 10.1016/j.trecan.2017.11.006
- Yamamoto H, Oda Y, Kawaguchi K, et al. C-KIT and PDGFRA Mutations in Extragastrointestinal Stromal Tumor (Gastrointestinal Stromal Tumor of the Soft Tissue). Am J Surg Pathol. 2004;28(4):479-88. doi: 10.1097/00000478-200404000-00007
- Reith J, Goldblum J, Lyles R, et al. Extragastrointestinal (Soft Tissue) Stromal Tumors: An Analysis of 48 Cases with Emphasis on Histologic Predictors of Outcome. Mod Pathol. 2000;13(5):577-85. doi: 10.1038/modpathol.3880099
- Miettinen M, Monihan J, Sarlomo-Rikala M, et al. Gastrointestinal Stromal Tumors/Smooth Muscle Tumors (GISTs) Primary in the Omentum and Mesentery. Am J Surg Pathol. 1999;23(9):1109. doi: 10.1097/00000478-199909000-00015
- Yi JH. Retrospective analysis of extra-gastrointestinal stromal tumors. World J Gastroenterol. 2015;21(6):1845. doi: 10.3748/wjg.v21.i6.1845
- Li ZY, Huan XQ, Liang XJ, et al. Clinicopathological and immunohistochemical study of extra-gastrointestinal stromal tumors arising from the omentum and mesentery. Zhonghua Bing Li Xue Za Zhi. 2005;34(1):11-4.
- Wong N. Gastrointestinal stromal tumours – an update for histopathologists. Histopathology. 2011;59(5:807-21. doi: 10.1111/j.1365-2559.2011.03812.x
- Gun B, Gun M, Karamanoglu Z. Primary Stromal Tumor of the Omentum: Report of a Case. Surgery Today. 2006;36(11):994-6. doi: 10.1007/s00595-004-3280-9
- Dimofte MG, Porumb V, Ferariu D, et al. EGIST of the greater omentum – case study and review of literature. Rom J Morphol Embryol. 2016;57(1):253-8.
- Sakurai S, Hishima T, Takazawa Y, et al. Gastrointestinal stromal tumors and KIT-positive mesenchymal cells in the omentum. Pathol Intern. 2001;51(7):524-31. doi: 10.1046/j.1440-1827.2001.01224.x
- Miettinen M, Lasota J. Gastrointestinal stromal tumors – definition, clinical, histological, immunohistochemical, and molecular genetic features and differential diagnosis. Virchows Archiv. 2001;438(1):1-12. doi: 10.1007/s004280000338
- Agaimy A, Wünsch P. Gastrointestinal stromal tumours: a regular origin in the muscularis propria, but an extremely diverse gross presentation. Langenbeck’s Arch Surg. 2006;391(4):322-9. doi: 10.1007/s00423-005-0005-5
- Miettinen M, Sobin L, Sarlomo-Rikala M. Immunohistochemical Spectrum of GISTs at Different Sites and Their Differential Diagnosis with a Reference to CD117 (KIT). Mod Pathol. 2000;13(10):1134-42. doi: 10.1038/modpathol.3880210
Supplementary files











