Isolated metastatic lesion of hyoid bone in gastric cancer: A rare case
- Authors: Ognerubov N.A.1, Antipova T.S.2
-
Affiliations:
- Russian Medical Academy of Continuous Professional Education
- PET-Technology
- Issue: Vol 27, No 1 (2025)
- Pages: 32-35
- Section: Articles
- Submitted: 03.05.2025
- Accepted: 03.05.2025
- Published: 04.05.2025
- URL: https://modernonco.orscience.ru/1815-1434/article/view/679131
- DOI: https://doi.org/10.26442/18151434.2025.1.203198
- ID: 679131
Cite item
Full Text
Abstract
Background. Secondary hyoid tumors are extremely rare. There are few documented reports of metastases into hyoid in patients with distant localizations of malignancies, such as breast, lung, kidney, liver, and sigmoid colon cancers. The article describes a rare case of metastases of advanced gastric cancer to the hyoid bone.
Aim. To present a clinical case of isolated metastatic lesion of the hyoid bone in a patient with primary advanced gastric cancer, demonstrating the possibility of increasing the duration and quality of life using polychemotherapy.
Results. A 54-year-old male with synchronous pain in the throat and epigastrium when swallowing solid food and weight loss underwent esophagogastroduodenoscopy, which showed a defect in the mucosa along a small curvature in the middle third of the stomach. Histological examination showed colloid cancer. Combined positron-emission and X-ray computed tomography (PET/CT) with 18F-fluorodeoxyglucose (18F-FDG) revealed a gastric tumor with radiopharmaceutical hyper uptake, serous membrane invasion and involvement of paragastric, celiac, retroperitoneal, and mediastinal lymph nodes. The entire hyoid bone was swollen with fragmentary cortex destruction. Stage IV gastric cancer cT4bN3аM1 was diagnosed with metastases to the hyoid bone, mediastinal, and retroperitoneal lymph nodes. The patient received eight cycles of polychemotherapy with the XELOX regimen and reported the resolution of sore throat and epigastric pain. The results of PET/CT with 18F-FDG showed sclerosis of the cortical layer of the hyoid bone and no abnormal radiopharmaceutical uptake. The patient has been alive for 13 months.
Conclusion. Hypoglossal bone metastases are extremely rare in patients with advanced colloid cancer. Such case was described for the first time. The method of choice for diagnosing and assessing the extent of the tumor is PET/CT with 18F-FDG. Palliative polychemotherapy can increase the duration and improve the quality of life.
Full Text
Введение
Подъязычная кость является местом прикрепления глоточных мышц, языка и мышц шеи, а также гортани. Она выполняет ключевую роль в координации глотания и речи.
Первичные опухоли подъязычной кости встречаются редко. Они представлены доброкачественной остеомой, остео- и хондросаркомой, плазмоцитомой и гигантоклеточной опухолью [1, 2].
Вторичные опухоли подъязычной кости в клинической практике наблюдаются редко. В литературе описаны эпизодические случаи метастазирования в подъязычную кость, источником которого являются дистантные первичные злокачественные новообразования, а именно рак молочной железы, сигмовидной кишки, печени, почечно-клеточный рак [3–7] и крайне редко – рак легкого, прямой кишки и меланома [8–12]. В то же время первичные злокачественные опухоли, возникающие в органах, расположенных рядом, такие как гортань, грушевидный синус, часто метастазируют в подъязычную кость [13].
Проблемы поражения скелета при раке желудка периодически обсуждаются на страницах печати [14, 15]. Однако в доступной литературе описание метастатического поражения подъязычной кости при раке желудка отсутствует.
Основной жалобой больных при метастазах в подъязычную кость является боль при глотании в начале твердой пищи, а затем и жидкой по мере прогрессирования, с последующим появлением опухоли на передней поверхности шеи [1, 10].
Диагностический алгоритм включает применение различных методов медицинской визуализации, включая молекулярные. Их основная функция состоит в проведении дифференциальной диагностики между доброкачественным и злокачественным опухолевым процессом. Среди них рентгеновская компьютерная томография (КТ) шеи, грудной клетки и брюшной полости с контрастированием является базовым методом. Для выявления скрытых метастазов в костях скелета при наличии в анамнезе рака и одновременно опухоли в области передней поверхности шеи необходимо выполнение сцинтиграфии костей скелета [7, 10, 11].
В настоящее время принято считать, что комбинированная позитронно-эмиссионная и КТ (ПЭТ/КТ) с 18F-фтордезоксиглюкозой (18F-ФДГ) позволяет диагностировать как первичную опухоль, так и отдаленные метастазы, в том числе в костях [14, 16].
Мы представляем необычный случай метастатического поражения подъязычной кости у 54-летнего мужчины с распространенным раком желудка.
Клинический случай
Пациент 54 лет, мужчина, обратился в медицинский центр с жалобами на периодические боли в горле, усиливающиеся при глотании твердой пищи, боли в эпигастрии, не связанные с приемом пищи, похудение на 8 кг за 2 мес. Указанные симптомы отмечались на протяжении 1 мес. При объективном обследовании в области передней поверхности шеи выявлена отечность тканей над щитовидным хрящом, кожа внешне не изменена. При пальпации отмечает болезненность. Шейной лимфаденопатии не выявлено. Живот при пальпации мягкий, чувствительный в эпигастральной области, печень расположена по краю реберной дуги. По данным фиброларингоскопии объемных образований не выявлено. Просвет дыхательных путей свободен. При эзофагогастродуоденоскопии слизистая малой кривизны инфильтрирована на значительном протяжении, в средней трети тела желудка обнаружен ее дефект размером 5,2×1,3 см. Произведена биопсия. При гистологическом исследовании выявлен перстневидноклеточный рак желудка. Диагностирована гипохромная анемия 1-й степени.
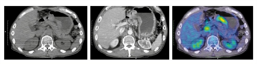
Для уточнения распространенности опухолевого процесса выполнена ПЭТ/КТ с 18F-ФДГ. На большом участке малой кривизны обнаружена опухолевая ткань с выходом за пределы серозной оболочки в парагастральную клетчатку с гиперфиксацией радиофармпрепарата (РФП), стандартизированный коэффициент максимального накопления SUVmax равен 14,4. Определяются увеличенные парагастральные, чревные, а также забрюшинные лимфоузлы (л/у) протяженностью до бифуркации аорты (SUVmax 5,9); рис. 1.
Рис. 1. Пациент Т., 54 года. На аксиальных КТ без и с контрастным усилением, а также ПЭТ/КТ-проекциях по малой кривизне желудка определяется протяженная гиперметаболическая опухолевая ткань – SUVmax 14,4 с переходом за границы стенки желудка в парагастральную клетчатку, образуя конгломерат с увеличенными парагастральными и чревными л/у до 15 мм с гиперфиксацией РФП, SUVmax 7,5, прекавальный и забрюшинные л/у до бифуркации аорты – до 15 мм, SUVmax 5,9.
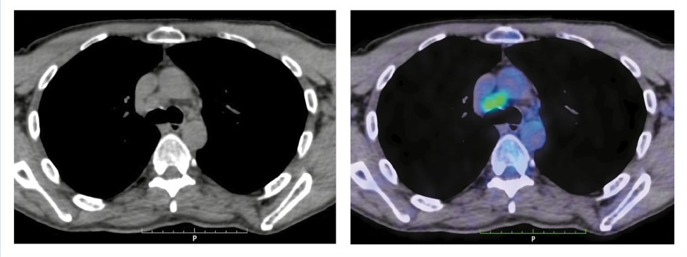
Кроме того, обнаружено увеличение всех групп внутригрудных л/у с гиперфиксацией РФП, SUVmax 8,7 (рис. 2).
Рис. 2. Пациент Т., 54 года. На аксиальных КТ- и ПЭТ/КТ-проекциях определяются увеличенные внутригрудные л/у всех групп, за исключением бронхопульмональных слева. Максимального размера – 19×27 мм – достигают бифуркационные л/у, SUVmax 8,7.
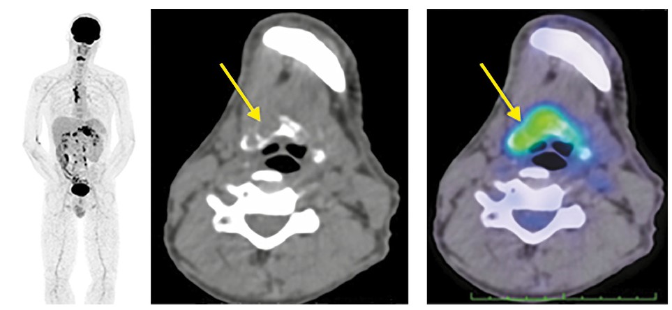
Отмечается вздутие подъязычной кости на всем протяжении с фрагментарной литической деструкцией кортикального слоя (SUVmax 11,9); рис. 3.
Рис. 3. Пациент Т., 54 года. На MIP и аксиальных КТ- и ПЭТ/КТ-проекциях отмечается вздутие подъязычной кости на всем ее протяжении с фрагментарной деструкцией кортикального слоя и диффузно повышенной метаболической активностью 18F-ФДГ, SUVmax 11,9 (стрелки).
Установлен диагноз: рак желудка стадии IV cT4bN3аM1, метастазы в подъязычную кость, л/у средостения, забрюшинные л/у.
Учитывая распространенность опухолевого процесса, пациенту назначена паллиативная полихимиотерапия (ПХТ) по схеме XELOX – оксалиплатин в комбинации с капецитабином. В процессе лечения больной отмечает улучшение общего состояния в виде прекращения болей в горле, исчезновение отечности в области шеи, а также снижение интенсивности болей в эпигастрии. Пациент прибавил в массе тела. После 4 циклов появилась клиническая картина сенсорной нейропатии 1-й степени. Оксалиплатин отменен из-за нейротоксичности после 8-го курса. Далее проведено 3 цикла монохимиотерапии капецитабином. Для оценки эффекта проводимой терапии по окончании 11 курсов выполнена ПЭТ/КТ с 18F-ФДГ.
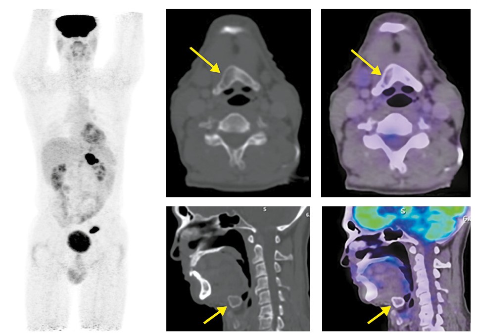
По результатам ПЭТ/КТ выявлена положительная динамика в виде склеротического уплотнения кортикального слоя подъязычной кости на всем протяжении с отсутствием гиперфиксации РФП (рис. 4).
Рис. 4. Пациент Т., 54 года. На аксиальных и сагиттальных КТ- и ПЭТ/КТ-проекциях отмечается склеротическое уплотнение кортикального слоя подъязычной кости с полным регрессом фиксации РФП (стрелки).
Однако в области малой кривизны желудка диагностировано утолщение стенки до 13 мм с повышенной фиксацией РФП SUVmax до 6,86, а также появлением многочисленных л/у в малом сальнике с повышенной фиксацией РФП SUVmax 11,22. Кроме того, появилась инфильтрация передней поверхности тела поджелудочной железы и канцероматоз брюшной полости.
Констатирована прогрессия опухолевого процесса. Назначена ПХТ 2-й линии по схеме DCF. Общая продолжительность жизни с момента начала лечения составила 13 мес. Следует отметить положительный эффект в виде частичной регрессии при вторичном поражении подъязычной кости благодаря ПХТ.
Описанный случай в доступной литературе является первым. Особенность представленного наблюдения – изолированный характер костного метастазирования в виде поражения подъязычной кости у больного распространенным раком желудка, причем клиническая картина, обусловленная метастазом в подъязычную кость и заболеванием желудка, появилась практически синхронно.
Обсуждение
Рак желудка в структуре заболеваемости и смертности во всем мире занимает 5-е место. В абсолютных цифрах данные показатели составляют 968 784 и 660 175 случаев соответственно. В России в 2022 г. впервые выявлено 38 883 больных раком желудка (5-е место) и констатировано 27 306 случаев смертей (3-е место) [17].
«Излюбленными» локализациями отдаленных метастазов при раке желудка являются печень, брюшина, лимфатические узлы, яичники, легкие, головной мозг [15].
Осевой и вспомогательный скелет служит наиболее распространенным сайтом метастазирования при запущенном раке предстательной и молочных желез, легких, почек, щитовидной железы и мочевого пузыря, но не у пациентов с раком желудка. На их долю приходится только 0,7–1,4% [18].
J. Park и соавт. (2013 г.) сообщили, что метастазы в костях после радикальной резекции желудка наблюдались в 1,8% случаев, а при запущенном раке – значительно чаще, в 3,5%. Среди факторов риска развития метастазов в костях наряду со стадией опухолевого процесса ряд авторов называют глубину инвазии опухоли и наличие метастазов в л/у [19].
В представленном случае клинически у пациента диагностирована IV стадия. Опухоль прорастала серозную оболочку и парагастральную клетчатку (Т4b). Отмечались многочисленные увеличенные чревные, парагастральные, прекавальные и забрюшинные л/у, а также все группы внутригрудных л/у, общее количество которых составило более 15 (N3a). При этом величина стандартизированного максимального коэффициента накопления РФП SUVmax находился в диапазоне от 5,9 до 8,7.
M. Kobayashi и соавт. (2005 г.) предположили, что факторы риска костных метастазов при раке желудка включали перстневидноклеточную и низкодифференцированную карциному [20]. Причем перстневидноклеточная карцинома обладает способностью метастазировать в кости даже при небольших размерах опухоли [21]. В связи с этим при обнаружении метастазов в костях при таком варианте опухоли и отсутствии первичного очага по данным ПЭТ/КТ с 18F-ФДГ необходим тщательный поиск раннего рака желудка.
В нашем случае опухоль представлена перстневидноклеточной карциномой с множественными метастазами в л/у.
Для диагностики первичной опухоли и уточнения распространенности опухолевого процесса при раке желудка применяется ПЭТ/КТ с 18F-ФДГ. Результаты ее основаны на физиологическом накоплении РФП в стенке желудка, глубине инвазии и гистологическом типе опухоли [22, 23].
A. Dassen и соавт. (2009 г.) сообщили, что чувствительность ПЭТ/КТ с 18F-ФДГ составила 26–63% для раннего рака желудка и 93–98% – при распространенном опухолевом процессе [16].
Более поздние исследования показали, что чувствительность и специфичность ПЭТ/КТ с 18F-ФДГ для обнаружения метастазов в костях при раке желудка составляет 30–100 и 25–99% соответственно [22, 23].
В представленном наблюдении выполнена ПЭТ/КТ с 18F-ФДГ, которая помогла выявить первичный очаг в желудке с поражением регионарных и отдаленных лимфатических узлов, а также изолированное метастатическое поражение подъязычной кости в виде распространенного остеолиза с кортикальной деструкцией. Это позволило уточнить истинную распространенность опухолевого процесса.
Для лечения рака желудка с костными метастазами, включая подъязычную кость, лучевая и химиотерапия являются наиболее распространенными опциями, поскольку они улучшают качество и продолжительность жизни по сравнению с симптоматическим лечением. Наиболее распространенными цитотоксическими препаратами являются платина и ее производные, в том числе оксалиплатин, таксаны. Так, при комбинированном применении цисплатина медиана выживаемости составляет 13 мес [24]. Имеются сообщения по использованию Nab-паклитаксела в качестве химиотерапии 2-й линии. При этом частота ответа достигает 27,8% [25].
При первичном гормоночувствительном раке молочной железы с поражением подъязычной кости применение гормонотерапии позволяет достичь частичного ответа на протяжении длительного времени [3]. При метастазах почечно-клеточного рака применяют иммуно- и таргетную (ингибиторы тирозинкиназы) терапию [9].
Хирургическое лечение в объеме резекции подъязычной кости с опухолью показано при солитарном характере метастатического процесса в подъязычную кость [7, 10].
Паллиативная лучевая терапия рекомендуется при наличии болевого синдрома [12, 15]. Ее применение может повысить качество жизни при симптоматическом лечении пациентов с метастазами рака в подъязычную кость.
В нашем случае с учетом распространенности опухолевого процесса ПХТ является методом выбора. Пациенту назначена лекарственная терапия по схеме XELOX в количестве 8 циклов и 3 циклов монохимиотерапии капецитабином. Клинически пациент отмечал прекращение болей при глотании и исчезновение отека в области шеи. Оценка эффекта паллиативной цитотоксической терапии выполнена с применением ПЭТ/КТ с 18F-ФДГ. При этом качественный и количественный анализ полученных изображений позволил констатировать положительную динамику в виде склеротического уплотнения кортикального слоя подъязычной кости с отсутствием фиксации РФП.
Продолжительность жизни с момента постановки диагноза составила 13 мес. Пациент жив, получает цитотоксическую терапию 2-й линии.
Заключение
Изолированные метастазы в подъязычную кость при распространенном раке желудка встречаются крайне редко. В доступной литературе это первый случай. Практическим врачам необходимо помнить о возможности метастазирования перстневидноклеточного рака желудка в кости на этапе постановки диагноза, включая раннюю стадию опухолевого процесса.
Как первичный рак желудка, так и присутствие его в анамнезе следует включать в дифференциально-диагностическую цепочку при наличии у пациента опухоли подъязычной кости. ПЭТ/КТ с 18F-ФДГ при раке желудке обладает высокой специфичностью для обнаружения отдаленных метастазов, особенно в костях, что делает его альтернативным методом. Основными клиническими симптомами являются боль при глотании, усиливающаяся при приеме твердой пищи, а также появление образования выше щитовидного хряща. Паллиативная ПХТ при метастатическом поражении подъязычной кости позволяет увеличить продолжительность жизни и повысить ее качество.
Раскрытие интересов. Авторы декларируют отсутствие явных и потенциальных конфликтов интересов, связанных с публикацией настоящей статьи.
Disclosure of interest. The authors declare that they have no competing interests.
Вклад авторов. Авторы декларируют соответствие своего авторства международным критериям ICMJE. Все авторы в равной степени участвовали в подготовке публикации: разработка концепции статьи, получение и анализ фактических данных, написание и редактирование текста статьи, проверка и утверждение текста статьи.
Authors’ contribution. The authors declare the compliance of their authorship according to the international ICMJE criteria. All authors made a substantial contribution to the conception of the work, acquisition, analysis, interpretation of data for the work, drafting and revising the work, final approval of the version to be published and agree to be accountable for all aspects of the work.
Источник финансирования. Авторы декларируют отсутствие внешнего финансирования для проведения исследования и публикации статьи.
Funding source. The authors declare that there is no external funding for the exploration and analysis work.
Информированное согласие на публикацию. Пациент подписал форму добровольного информированного согласия на публикацию медицинской информации.
Consent for publication. Written consent was obtained from the patient for publication of relevant medical information and all of accompanying images within the manuscript.
About the authors
Nikolai A. Ognerubov
Russian Medical Academy of Continuous Professional Education
Author for correspondence.
Email: ognerubov_n.a@mail.ru
ORCID iD: 0000-0003-4045-1247
D. Sci. (Med.), D. Sci. (Law), Prof.
Russian Federation, MoscowTatiana S. Antipova
PET-Technology
Email: ognerubov_n.a@mail.ru
ORCID iD: 0000-0003-4165-8397
Radiologist
Russian Federation, MoscowReferences
- Rivera-Serrano CM, Branstetter BF 4th, Johnson JT. Osteoblastoma of the hyoid bone. AJNR Am J Neuroradiol. 2010;31(6):1080-1. doi: 10.3174/ajnr.A1872
- Zhang YH, He YF, Yue H, et al. Solitary hyoid plasmacytoma with unicentric Castleman disease: A case report and review of literature. World J Clin Cases. 2022;10(36):13364-72. doi: 10.12998/wjcc.v10.i36.13364
- Kusama H, Okishiro M, Ishida T, et al. A case of hyoid bone metastasis from breast cancer. Gan Kagaku Ryoho. 2014;41:1915-7.
- Iguchi H, Okabe Y, Takayama M, et al. Solitary hyoid bone metastasis from hepatocellular carcinoma treated with surgery. Nihon Jibiinkoka Gakkai Kaiho. 2012;115(8):783-6. doi: 10.3950/jibiinkoka.115.783
- Passah A, Agarwal KK, ArunRaj ST, et al. A rare site of hyoid bone metastasis in patients with renal cell carcinoma on 18F-fluorodeoxyglucose-positron emission tomography/computed tomography scan. Indian J Nucl Med. 2016;31(4):319. doi: 10.4103/0972-3919.190806
- Aljariri AA, Nashwan AJ, Hammoud R, et al. Metastatic sigmoid adenocarcinoma to the larynx: A case report and updated literature review. Clin Case Rep. 2023;11:e6942.
- Di Marco GP, Tucci C, Iacomino E, et al. Hyoid Bone Metastases: An Unusual Case. Reports. 2023;6:59. doi: 10.3390/reports6040059
- Ryan JF, Xie DX, Eytan DF, et al. Melanoma metastatic to the hyoid bone. Clin Case Rep. 2020;9(1):522-5. doi: 10.1002/ccr3.3571
- Lee HS, Lee JH, Kim SW, Lee KD. Metastatic renal cell carcinoma to the hyoid bone. Otolaryngol Head Neck Surg. 2010;142(6):913-4. doi: 10.1016/j.otohns.2010.01.002
- Zhang HY, Shan Li S, Guo X, et al. Hyoid Bone Metastasis in Patients With Lung Adenocarcinoma: A Case Report. Ear, Nose Throat J. 2020;014556132091698. doi: 10.1177/0145561320916985
- Bracanovic D, Vukovic V, Janovic A, et al. Hyoid Bone and Thyroid Cartilage Metastases from Sigmoid Colon Adenocarcinoma: A Case Report. Balkan Med J. 2017;34(3):278-80. doi: 10.4274/balkanmedj.2015.1817
- Hsu J, Hribar K, Poen J. Radiotherapy for hyoid bone metastasis from lung adenocarcinoma: A case report. World J Clin Oncol. 2024;15(1):159-64. doi: 10.5306/wjco.v15.i1.159
- Timon CI, Gullane PJ, Brown D, Van Nostrand AW. Hyoid bone involvement by squamous cell carcinoma: clinical and pathological features. Laryngoscope. 1992;102(5):515-20. doi: 10.1288/00005537-199205000-00008
- Fujita I, Toyokawa T, Makino T, et al. Small early gastric cancer with synchronous bone metastasis: A case report. Mol Clin Oncol. 2020;12:202-7. doi: 10.3892/mco.2020.1985
- Ameur WB, Belghali S, Akkari I, et al. Bone metastasis as the first sign of gastric cancer. Pan Afr Med J. 2017;28:95. doi: 10.11604/pamj.2017.28.95.13787
- Dassen AE, Lips DJ, Hoekstra CJ, et al. FDG-PET has no definite role in preoperative imaging in gastric cancer. Eur J Surg Oncol. 2009;35(5):449-55. doi: 10.1016/j.ejso.2008.11.010
- Ferlay J, Ervik M, Lam F, et al. Global Cancer Observatory: Cancer Today (version 1.1). Lyon, France: International Agency for Research on Cancer. Available at: https://gco.iarc.who.int/today/ Accessed: 02.02.2024.
- Yoshikawa K, Kitaoka H. Bone metastasis of gastric cancer. Jpn J Surg. 1983;13:173-6.
- Park JM, Song KY, O JH, et al. Bone recurrence after curative resection of gastric cancer. Gastric Cancer. 2013;16(3):362-9. doi: 10.1007/s10120-012-0193-y
- Kobayashi M, Okabayashi T, Sano T, Araki K. Metastatic bone cancer as a recurrence of early gastric cancer -- characteristics and possible mechanisms. World J Gastroenterol. 2005;11(36):5587-91. doi: 10.3748/wjg.v11.i36.5587
- Kang SH, Kim JI, Moon HS, et al. Overt bone marrow metastasis from early gastric cancer. Endoscopy. 2008;40 Suppl. 2:E34-5. doi: 10.1055/s-2007-966860
- Ma DW, Kim JH, Jeon TJ, et al. ¹⁸F-fluorodeoxyglucose positron emission tomography-computed tomography for the evaluation of bone metastasis in patients with gastric cancer. Dig Liver Dis. 2013;45(9):769-75. doi: 10.1016/j.dld.2013.02.009
- Kawanaka Y, Kitajima K, Fukushima K, et al. Added value of pretreatment (18)F-FDG PET/CT for staging of advanced gastric cancer: Comparison with contrast-enhanced MDCT. Eur J Radiol. 2016;85(5):989-95. doi: 10.1016/j.ejrad.2016.03.003
- Koizumi W, Narahara H, Hara T, et al. S-1 plus cisplatin versus S-1 alone for first-line treatment of advanced gastric cancer (SPIRITS trial): a phase III trial. Lancet Oncol. 2008;9(3):215-21. doi: 10.1016/S1470-2045(08)70035-4
- Shitara K, Takashima A, Fujitani K, et al. Nab-paclitaxel versus solvent-based paclitaxel in patients with previously treated advanced gastric cancer (ABSOLUTE): an open-label, randomised, non-inferiority, phase 3 trial. Lancet Gastroenterol Hepatol. 2017;2(4):277-87. doi: 10.1016/S2468-1253(16)30219-9
Supplementary files






