The first case of penile metastases of adrenocortical cancer: A clinical case
- Authors: Ognerubov N.A.1, Antipova T.S.2
 - 
							Affiliations: 
							
- Russian Medical Academy of Continuous Professional Education
 - Federal Network of Nuclear Medicine Centers "PET-Technology"
 
 - Issue: Vol 26, No 4 (2024)
 - Pages: 509-514
 - Section: Articles
 - Submitted: 14.02.2025
 - Accepted: 14.02.2025
 - Published: 18.02.2025
 - URL: https://modernonco.orscience.ru/1815-1434/article/view/655968
 - DOI: https://doi.org/10.26442/18151434.2024.4.203072
 - ID: 655968
 
Cite item
Full Text
Abstract
Metastases of malignant neoplasms into the penis from various primary locations are extremely rare. These lesions are due to the disseminated tumor. In most cases, the primary tumors are located in the genitourinary system (75%), gastrointestinal tract (21%), and lungs (7%). The prognosis is poor, with most patients dying within a year of diagnosis. The purpose of the article is to present a rare case of metastatic lesion of the penis in adrenocortical cancer. A 59-year-old patient with a stage III right adrenal tumor pT3N0M0 had undergone an adrenalectomy. Histological and immunohistochemical studies showed the classic version of adrenocortical cancer with Ki-67 40%. Mitotane with polychemotherapy according to the EP-M scheme was administered for the adjuvant purpose. In 3 months, the patient developed induration and local soreness in the root of the penis. Magnetic resonance imaging of the pelvic organs showed a hypodense zone in the cavernous bodies. Combined positron-emission and X-ray computed tomography with 18-fluorodeoxyglucose showed a mass in the left cavernous body with increased radiopharmaceutical uptake. Specific lesions were found in the mediastinal and retroperitoneal lymph nodes, liver, bed of the removed tumor, and soft tissues of the lumbar region. Tumor generalization with multiple synchronous metastases, including the penis, was established. Cytological examination of the punctate showed malignant cells. Palliative polychemotherapy was administered according to the EDP-M regimen with glucocorticoids. The treatment had no effect. The patient died 7 months after the establishment of penile metastasis. This case of a penile metastatic lesion in a patient with primary adrenocortical cancer is presented for the first time in the available literature. The main symptoms of the disease are the presence of a tumor in the area of the root of the penis and local pain. Magnetic resonance imaging and combined positron emission and X-ray computed tomography with 18-fluorodeoxyglucose are methods of choice for medical imaging that reliably determine the tumor extension. The location of the primary tumor outside the pelvis in a patient with penile metastases is usually accompanied by multiple synchronous metastases involving other organs.
Full Text
Введение
Рак полового члена является весьма редким заболеванием, внесенным в список орфанных. По данным Global Cancer Observatory, заболеваемость и смертность в мире в 2022 г. составила 37 700 и 13 738 случаев, занимая 30 и 31 место соответственно. В Российской Федерации в этот период выявлено 785 новых случаев злокачественных опухолей полового члена и зарегистрировано 289 смертей [1].
Метастатическое поражение полового члена является редким явлением, поскольку половой член имеет сложное, обильное кровоснабжение и связь с органами малого таза [2]. Первое описание метастазов в половой член описано в 1870 г. C.J. Eberth при раке прямой кишки [3]. В настоящее время в литературе опубликовано свыше 500 случаев [4, 5].
Причиной большинства вторичных опухолей полового члена являются злокачественные образования из рядом расположенных соседних тазовых органов, таких как мочевой пузырь, предстательная железа и ректосигмоидный отдел толстой кишки, составляя 75% [4]. Только в 25% наблюдений они возникают из опухолей, находящихся за пределами таза [6].
I. Youssef и соавт. (2023 г.) анонсировали результаты анализа 34 пациентов с метастазами в половой член из 5 центров, начиная с 1998 г. При этом первичная опухоль диагностирована в предстательной железе и мочевом пузыре в 41 и 26% случаев соответственно. Эти метастазы в подавляющем большинстве (82%) случаев носили метахронный характер, а у 32% они являлись единственными симптомами. Авторы считают, что причиной метастазов в половой член являются первичные опухоли таза (табл. 1) [7].
Адренокортикальная карцинома – это редкая злокачественная опухоль с заболеваемостью 0,5–2 случая на 1 млн населения в год. Литература, посвященная этому заболеванию, включая особенности отдаленного метастазирования, весьма скудная, а прогноз при этом неблагоприятный [8]. Рак коры надпочечников в РФ внесен в перечень орфанных заболеваний.
Пути метастазирования в половой член до сих пор остаются недостаточно изученными. Большинство исследователей объясняют это анатомическими особенностями его кровоснабжения. Среди них ретроградное венозное распространение является одним из основных из-за наличия связи глубокой вены пещеристых тел и головки полового члена с мочевым пузырем, предстательной железой, прямой и сигмовидной кишкой, а также при отсутствии клапанного аппарата в венах. Поэтому любое повышение внутрибрюшного давления сопровождается ретроградным забросом опухолевых клеток из пораженных органов в половой член [9]. При раке легких метастазы в половой член распространяются гематогенным путем [4].
Кроме того, нельзя исключить вторичную имплантацию опухолевых клеток при проведении инструментального обследования или оперативных вмешательств по поводу урогенитальных злокачественных опухолей [4]. Несмотря на обширные сосудистые взаимоотношения между половым членом и органами малого таза, частота метастатического поражения последнего остается весьма низкой [10].
Клиническая картина дебютирует с появления опухоли в члене различной величины, от 2 до 8 см и локализации (51%), порой с изменениями кожи над ней, включая изъязвление (39–80%), симптомы нарушения функции нижних мочевыводящих путей (27%), вторичный приапизм (21%), локализованную боль в члене (17%), а также нарушение пассажа мочи с развитием острой задержки (13%) [7, 11–15].
Злокачественный приапизм при метастатическом поражении полового члена является приапизмом с низким кровотоком из-за специфической инвазии пещеристых синусов и венозной системы [16]. Наличие его в анамнезе является фактором неблагоприятного прогноза, медиана выживаемости этой когорты пациентов составляет 6,2 мес [7]. При этом на продолжительность жизни оказывает влияние локализация первичной опухоли: она хуже, если процесс локализуется за пределами предстательной железы или мочевого пузыря [17].
Поскольку метастазы в половой член связаны с диссеминированным опухолевым процессом, то в клинической картине также наблюдаются проявления, обусловленные поражением различных органов [18].
Среди методов медицинской визуализации метастатического поражения полового члена применяют ультразвуковое исследование, магнитно-резонансную томографию (МРТ), рентгеновскую компьютерную томографию и комбинированную позитронно-эмиссионную и рентгеновскую компьютерную томографию (ПЭТ/КТ) с 18-фтордезоксиглюкозой (18-ФДГ). Причем ПЭТ/КТ является ценным исследовательским инструментом на различных этапах диагностики вторичного поражения полового члена, включая бессимптомную стадию, а в ряде случаев она позволяет синхронно идентифицировать первичную опухоль и уточнить распространенность специфического процесса [18, 19].
Так, по данным L. Guo и соавт. (2017 г.) почти в 1/2 (45%) наблюдений диагнозы метастатического поражения полового члена и первичной опухоли легкого ставились одновременно и только у 22,5% больных метастатическое поражение выявлено в среднем через 12 мес после первичного диагноза рака легкого [19].
Некоторые авторы приводят более сдержанные результаты. По их мнению, почти 1/3 метастазов в половой член при раке легких фиксировались одновременно с первичной опухолью, а у 2/3 больных – по прошествии нескольких месяцев в процессе прогрессирования [19]. В то же время в клинической практике описан случай, когда метастаз в половой член предшествовал диагностике первичной опухоли легких [3].
МРТ является выгодным методом визуализации при диагностике метастазов в половой член благодаря высокому разрешению и точной оценке распространенности процесса. Метастазы имеют гипоинтенсивный характер на Т1-взвешенном изображении, а на Т2 – от гипоинтенсивности до легкой гиперинтенсивности с сильным усилением после введения контраста [20].
Морфологическое подтверждение метастатического поражения полового члена имеет решающее значение для выработки рациональной тактики лечения [21].
Метастазы могут локализоваться в различных отделах полового члена: корень – 38,8%, ствол – 38,8% или головка – 22,2% [17].
Чаще всего они имеют инфильтративный характер роста. Опухолевые массы обычно поражают пещеристые тела в диапазоне от 39 до 53%, а вовлечение в процесс губчатого тела встречается крайне редко [7, 12, 22]. Тем не менее E. Blanc и соавт. (2014 г.) наблюдали случай метастатического рака легкого с поражением пещеристого и губчатого тела, сопровождающийся злокачественным приапизмом [23].
L. Gorospe и соавт. (2018 г.) описали случай метастаза в половой член с изолированным поражением губчатого тела при величине опухоли 2,5 см у 73-летнего больного с аденокарциномой легких, что вызвало острую задержку мочеиспускания [24].
W. Yan и соавт. (2024 г.) в обзоре литературы, посвященном метастазам в половой член при раке легких, описали поражение губчатого тела у 18 (40,9%) из 44 пациентов [13].
Метастазы в половой член являются клиническим проявлением синхронного или метахронного диссеминированного опухолевого процесса при наличии первичной опухоли в тазу или за его пределами. Однако в ряде случаев (32%) вторичное поражение полового члена является олигометастатическим [7].
Диагностике метастазов в половой член обычно предшествует констатация диссеминированного опухолевого процесса с плохим прогнозом. Поэтому большинству пациентов предлагается только паллиативная или поддерживающая терапия для улучшения качества жизни [25].
Лечебная тактика при метастатическом поражении полового члена носит мультимодальный характер. Она зависит от локализации первичной опухоли, варианта гистологического строения, распространенности процесса, величины и количества метастазов, клинической картины [7, 18, 19].
Клинических рекомендаций по лечебным опциям нет. Наряду с системной цитотоксической и таргетной терапией, иммунотерапией локально применяют лучевое лечение и хирургические методы. Наилучший результат обеспечивает хирургическое вмешательство в объеме резекции опухоли или пенэктомии. Они создают оптимальный локальный контроль, особенно при отсутствии синхронных метастазов и симптомном течении болезни [7, 18, 21].
В настоящее время в доступном информационном поле представлен ряд публикаций в виде сообщений, посвященных одиночным клиническим случаям метастатического поражения полового члена при различных первичных опухолях. Только лишь незначительное число из них содержит обзор литературы, в котором присутствуют различные аспекты этой болезни.
Однако ни один литературный источник не содержит сведений, посвященных метастазу в половой член при орфанном заболевании, коим является адренокортикальный рак.
Мы наблюдали пациента с метастазами в половой член при первичном адренокортикальном раке.
Клинический случай
Пациенту Ф. 59 лет по поводу рака правого надпочечника стадии III pT3NoM0 выполнено оперативное вмешательство в объеме торакофренолапаротомии и адреналэктомии. При гистологическом и иммуногистохимическом исследовании установлен адренокортикальный рак с участками распада, инвазией кровеносных сосудов и окружающей клетчатки, Кi-67 40%, R0. Учитывая высокий риск развития рецидива заболевания, больному показаны проведение адъювантной цитотоксической терапии по схеме ЕР-М (этопозид + цисплатин + митотан) и глюкокортикоиды.
Через 3 мес в области корня полового члена слева у больного появились опухоль, отечность, а также локальная болезненность. Пациент отмечал увеличение интенсивности боли, по поводу чего периодически принимал анальгетики.
При объективном обследовании половой член в области корня увеличен в размере, кожа – без признаков гиперемии и нарушения целостности. При пальпации в толще пещеристого тела слева с переходом на правое пальпируется уплотнение размером 5,5×2,5 см без четких границ, плотной консистенции, без вовлечения уретры, болезненное. Мочеиспускание свободное, безболезненное. Паховые лимфатические узлы с обеих сторон эластической консистенции, размером до 0,8×1,0 см.
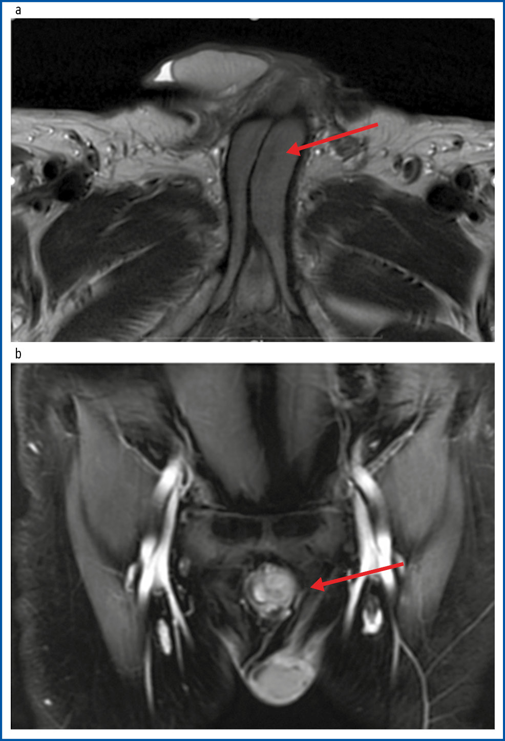
По данным МРТ малого таза с контрастированием кавернозные тела асимметричные, S>D. На Т2-взвешенных изображениях в области корня определяется неоднородность структуры с наличием гиподенсивных участков больше слева и частично справа, с нечеткими контурами, признаками ограничения диффузии, размерами 50×25 мм. При контрастном усилении отмечается неоднородное накопление контрастного препарата. Заключение: метастатическое поражение полового члена (рис. 1).
Рис. 1. Пациент Ф., 59 лет: a – Т2 МРТ-проекция, в корне полового члена в пещеристом теле слева с переходом на правые отделы определяется гиподенсивная зона; b – корональная постконтрастная МРТ-проекция, в основании полового члена слева определяется образование размером 50×25 мм, неоднородно копящее контрастный препарат.
Fig. 1. Patient F., 59 years old: a – T2 MRI view, a hypodense zone at the root of the penis in the cavernous body on the left with the transition to the right; b – coronal post-contrast MRI view; a 50×25 mm mass at the base of the penis on the left with heterogeneous contrast agent uptake.
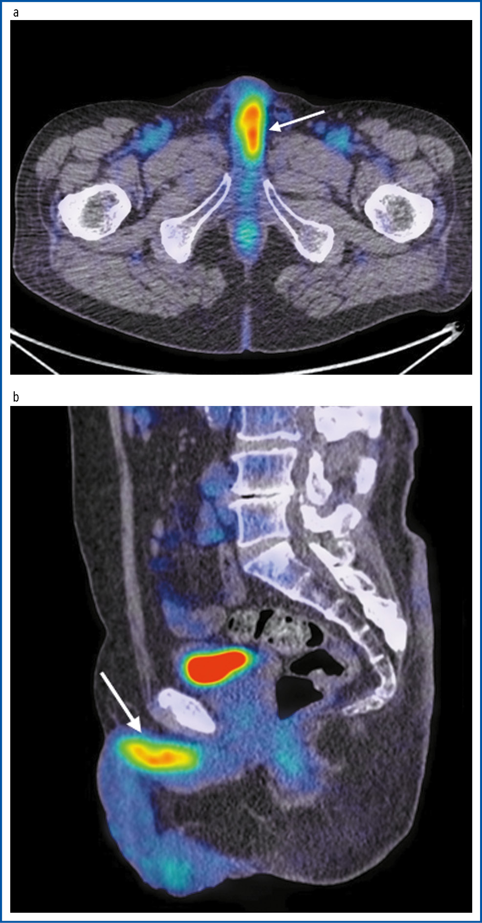
Для уточнения распространенности опухолевого процесса выполнена ПЭТ/КТ с 18-ФДГ. Выявлены специфические изменения в печени и ее воротах, внутригрудных, парааортальных, паракавальных лимфоузлах, ложе удаленного надпочечника и мягких тканях поясничной области. В пещеристых телах корня полового члена определяется образование без четких границ, размером 49×23×13 мм, коэффициент стандартизированного максимального накопления (SUVmax) радиофармпрепарата (РФП) равнялся 15,02. Заключение: прогрессирование опухолевого процесса; множественные метастазы в половой член, печень, лимфоузлы средостения, парааортальные и паракавальные лимфоузлы, рецидив в ложе удаленного надпочечника и мягких тканях поясничной области (рис. 2).
Рис. 2. Пациент Ф., 59 лет. На ПЭТ/КТ с 18-ФДГ в аксиальной (a) и сагиттальной (b) проекциях в корне полового члена определяется образование, размером до 49×23×13 мм с повышенной фиксацией РФП, SUVmax 15,02.
Fig. 2. Patient F., 59 years old. On PET/CT with 18-fluorodeoxyglucose in the axial (a) and sagittal (b) views in the root of the penis, a mass up to 49×23×13 mm with increased radiopharmaceutical uptake, SUVmax 15.02.
Выполнена тонкоигольная аспирационная биопсия метастатической опухоли полового члена. Цитологическое исследование выявило наличие клеток злокачественного новообразования.
Поставлен окончательный клинический диагноз «рак правого надпочечника стадии III pT3NoM0; состояние после адреналэктомии, трех курсов полихимиотерапии; прогрессирование; метастазы в половой член, печень, лимфоузлы средостения, парааортальные, паракавальные лимфоузлы, местный рецидив, и мягкие ткани поясничной области».
Длительность латентного периода составила 4 мес с момента диагностики первичной опухоли.
Учитывая распространенность опухолевого процесса, а также отсутствие локальной симптоматики, больному назначена паллиативная полихимиотерапия по схеме EDP-M (этопозид + доксорубицин + цисплатин + митотан) с гормонотерапией.
Пациент скончался через 7 мес от прогрессирования опухолевого процесса.
Случай метастатического поражения полового члена при адренокортикальном раке опубликован нами впервые.
Публикация представляет клинический интерес для практических врачей, поскольку им необходимо знать различные, включая редкие, локализации вторичных изменений при метастатических диссеминированных опухолевых процессах независимо от локализации первичной опухоли.
Обсуждение
Метастатическое поражение полового члена в подавляющем большинстве происходит из первичных опухолей таза – это мочеполовой тракт и ректосигмоидный отдел толстой кишки.
В 2012 г. опубликованы результаты самого большого обзора литературы по поводу вторичного поражения полового члена с обсуждением вопросов заболеваемости, клинических особенностей, диагностики, патофизиологии и лечения этого страдания [4].
Поиск проводился с использованием базы библиотек МedLine/Cochrane начиная с 1940 по март 2012 г. В исследование включены 504 больных с различными первичными опухолями. Авторы показали, что большинство метастатических поражений происходит из рядом расположенных так называемых соседних органов, представленных органами малого таза. К ним относятся органы урогенитального и желудочно-кишечного тракта (ЖКТ). При этом первичные опухоли мочеполовой системы составляют большинство – 63,9%. Среди них на долю рака мочевого пузыря и предстательной железы приходится больше 1/2 – 28,6 и 27,9% соответственно. Опухоли ректосигмоидного отдела толстой кишки и нижнего уровня ЖКТ в структуре причинно-следственных связей занимают 16,6%. Опухоли легкого как источник метастатического поражения полового члена составили 7% (см. табл. 1) [4].
В 2015 г. K. Zhang и соавт. разместили обзор литературы, включая 8 собственных наблюдений, насчитывающий 480 больных с метастазами в половой член при различной локализации первичной опухоли. Согласно результатам на долю первичных опухолей мочеполового отдела приходится 335 (70%) наблюдений. Среди них злокачественные опухоли мочевого пузыря и предстательной железы встречались с одинаковой частотой – по 143 (30%). Новообразования гастроинтестинального тракта, включая верхние отделы, выявлены у 101 (21,1%) пациента, а опухоли ректосигмоидного отдела – в 83 (17,3%) наблюдениях. Внетазовые первичные опухоли диагностированы в 73 (15,2%) наблюдениях. Из них злокачественные опухоли легких, послужившие источником метастазов в половой член, наблюдались у 20 (4,2%) больных (см. табл. 1) [5].
В последние годы в доступной литературе размещен ряд публикаций различного объема по вопросам распространенности, клиники, патоморфологии, диагностики и лечения вторичного поражения полового члена.
В 2023 г. L. Nova-Camacho и соавт. обнародовали итоги ретроспективного исследования по клиническим и патологическим особенностям метастатических опухолей полового члена у 109 больных. Оно проведено по базе данных 22 патологоанатомических отделений из 8 стран мира [12].
На основании полученных данных медиана возраста пациентов составила 71 год. Клиническая картина, как правило, включала наличие опухолевого узла в члене у 51% пациентов и локальную боль в 15% случаев. Причем чаще всего, в 46% наблюдений, опухолевая масса локализовалась в области головки и у 39% – в пещеристом теле. Первичная опухоль в большинстве случаев представлена органами урогенитального тракта и ЖКТ, составляя 70 и 18% соответственно. Метастазы имели синхронный или метахронный характер у 64% больных, медиана длительности клинического наблюдения составила 22 мес.
Мнение авторов: наиболее частой первичной опухолью при метастазах в половой член являются новообразования соседних органов мочеполового тракта и ЖКТ (см. табл. 1) [12].
Среди клинических проявлений метастатического поражения полового члена преобладающими являются наличие опухоли в различных отделах члена, причем чаще в пещеристых телах (39–80%), и приапизм (14,5–53%) [12, 14, 17, 26, 27].
Так, W. Yan и соавт. (2024 г.) в обзоре литературы, посвященном вторичному поражению полового члена при раке легкого, указали, что метастазы в головку члена встречались только у 4/44 (9,1%) пациентов. В остальных случаях опухоль располагалась в обоих пещеристых телах больше слева и в корне полового члена [13].
Пещеристые тела полового члена поражаются, как правило, с двух сторон. Такая особенность обусловлена анатомическим строением ввиду неполной фасциальной перегородки, разделяющей пещеристые тела. Одностороннее расположение метастаза, а также локализация его в корне, крайней плоти или головке встречается редко [4].
Таблица 1. Локализация первичных опухолей при метастатическом поражении полового члена (результаты систематических обзоров с изменениями), абс. (%) Table 1. Localization of primary tumors in metastatic penile disease (results of systematic reviews with modifications), n (%)  | ||||
Локализация опухоли  | Источник  | |||
L. Mearini и соавт., 2012 [4]  | К. Zhang и соавт., 2015 [5]  | L. Nova-Camacho и соавт., 2023 [12]  | I. Youssef и соавт., 2023 [7]  | |
Мочеполовой тракт  | 323 (64,1)  | 335 (69,8)  | 76 (69,7)  | 27 (79,4)  | 
Мочевой пузырь  | 144 (28,6)  | 143 (29,8)  | 27 (24,8)  | –  | 
Предстательная железа  | 141 (27,9)  | 143 (29,8)  | 38 (34,9)  | –  | 
Почка  | 35 (6,9)  | 31 (6,5)  | –  | –  | 
Другие органы  | 3 (0,6)  | 18 (3,8)  | –  | –  | 
ЖКТ  | 93 (18,5)  | 101 (21,0)  | 20 (18,3)  | –  | 
Ректосигмоидный отдел  | 61 (12,1)  | 84 (17,5)  | 18 (16,5)  | 2 (5,9)  | 
Нижний отдел  | 21 (4,2)  | –  | –  | –  | 
Верхний отдел  | 11 (2,2)  | 17 (3,5)  | –  | –  | 
Органы дыхания  | 35 (6,9)  | 26 (5,4)  | –  | –  | 
Легкое  | 31 (6,2)  | 20 (4,2)  | –  | 2 (5,9)  | 
Верхние дыхательные пути  | 4 (0,8)  | 6 (1,3)  | –  | –  | 
Лимфома  | 34 (6,7)  | –  | –  | –  | 
Другие органы  | 19 (3,8)  | 18 (3,6)  | –  | 8,8  | 
Итого  | 504  | 480  | 109  | 34  | 
В представленном случае у пациента имелось поражение пещеристого тела слева с переходом на правое в области корня.
Боль является неотъемлемым симптомом специфического процесса в половом члене: вначале она носит локальный характер, а по мере роста и инфильтрации опухоли приобретает характер болевого синдрома [4].
В изложенном случае пациент предъявлял жалобы на появление опухоли в области корня полового члена и локальный болевой синдром.
Диагноз метастаза в половой член поставлен на основании результатов МРТ органов брюшной полости и малого таза с контрастированием, ПЭТ/КТ с 18-ФДГ с последующей количественной оценкой SUVmax и подтвержден цитологическим исследованием пунктата из этой опухоли, при котором получены клетки злокачественного новообразования.
Величина SUVmax РФП в опухоли, по данным различных авторов, колеблется от 12,0 до 13,5 [19]. В литературе нет исследований, посвященных количественной оценке SUVmax как фактора дифференциальной диагностики первичного и вторичного рака полового члена.
По нашим данным, величина SUVmax в новообразовании составила 15,02.
В большинстве событий метастатическое поражение полового члена диагностируется поздно, на стадии прогрессирования. При этом длительность латентного периода с момента установки первичной опухоли до метастазирования в половой член составляет в среднем 18 мес [19].
В рассмотренном случае метастаз в корень полового члена выявлен по прошествии 3 мес после адреналэктомии по поводу адренокортикального рака правого надпочечника с множественными синхронными метастазами в печень, лимфоузлы средостения, парааортальные и паракавальные лимфоузлы, ложе опухоли и мягкие ткани поясничной области.
Подавляющее большинство пациентов с метастазами в половой член имеют диссеминированный процесс при медиане средней продолжительности жизни около 5,5 мес. В связи с этим назначают паллиативное лечение с акцентом на локальный контроль течения болезни в виде хирургического вмешательства – резекции и/или пенэктомии или лучевой терапии с целью улучшения качества жизни. Другие специальные опции включают цитотоксическую терапию, таргетную, иммуно- и гормонотерапию [19, 28].
Больному назначена паллиативная цитотоксическая терапия по схеме EDP-M (доксорубицин + этопозид + цисплатин + митотан). Через 7 мес пациент погиб от прогрессирования опухолевого процесса. Общая продолжительность жизни составила 11 мес.
Представленный случай метастатического поражения полового члена при первичном адренокортикальном раке надпочечника является первым наблюдением, опубликованным в отечественной и зарубежной литературе.
Заключение
Метастатическое поражение полового члена при адренокортикальном раке является исключительно редким и описано нами впервые. При этом наиболее распространенными первичными очагами являются злокачественные опухоли органов малого таза – урогенитального тракта и ректосигмоидного отдела толстой кишки, реже первичные очаги локализуются во внетазовых органах. Вторичная опухоль полового члена свидетельствует о диссеминированном процессе. Клинический дебют болезни заключается в появлении опухолевой массы в различных отделах члена, локальной боли и приапизма. Внетазовая локализация первичной опухоли при метастатическом поражении полового члена сопровождается множественным синхронным метастазированием.
Приведенный случай метастатического поражения полового члена свидетельствует о важности осведомленности врачей общей практики о возможности нетипичных локализаций метастатических проявлений при различных злокачественных новообразованиях, в частности адренокортикальном раке. При этом диспансерное наблюдение с установленным объемом обследования является важным фактором своевременной диагностики и персонализированного лечения. Учитывая орфанный характер первичной опухоли, важно публиковать любые аналогичные клинические случаи.
Раскрытие интересов. Авторы декларируют отсутствие явных и потенциальных конфликтов интересов, связанных с публикацией настоящей статьи.
Disclosure of interest. The authors declare that they have no competing interests.
Вклад авторов. Авторы декларируют соответствие своего авторства международным критериям ICMJE. Все авторы в равной степени участвовали в подготовке публикации: разработка концепции статьи, получение и анализ фактических данных, написание и редактирование текста статьи, проверка и утверждение текста статьи.
Authors’ contribution. The authors declare the compliance of their authorship according to the international ICMJE criteria. All authors made a substantial contribution to the conception of the work, acquisition, analysis, interpretation of data for the work, drafting and revising the work, final approval of the version to be published and agree to be accountable for all aspects of the work.
Источник финансирования. Авторы декларируют отсутствие внешнего финансирования для проведения исследования и публикации статьи.
Funding source. The authors declare that there is no external funding for the exploration and analysis work.
Информированное согласие на публикацию. Пациент подписал форму добровольного информированного согласия на публикацию медицинской информации.
Consent for publication. Written consent was obtained from the patient for publication of relevant medical information and all of accompanying images within the manuscript.
About the authors
Nikolai A. Ognerubov
Russian Medical Academy of Continuous Professional Education
							Author for correspondence.
							Email: ognerubov_n.a@mail.ru
				                	ORCID iD: 0000-0003-4045-1247
				                																			                								
D. Sci. (Med.), D. Sci. (Jur.), Prof.
Russian Federation, MoscowTatiana S. Antipova
Federal Network of Nuclear Medicine Centers "PET-Technology"
														Email: ognerubov_n.a@mail.ru
				                	ORCID iD: 0000-0003-4165-8397
				                																			                								
radiologist
Russian Federation, MoscowReferences
- Ferlay J, Ervik M, Lam F, et al. Global Cancer Observatory: Cancer Today (version 1.1). Lyon, France: International Agency for Research on Cancer. 2024. Available at: https://gco.iarc.who.int/today/accessed. Accessed: 08.11.2024.
 - Cherian J, Rajan S, Thwaini A, et al. Secondary penile tumours revisited. Int Semin Surg Oncol. 2006;3:33. doi: 10.1186/1477-7800-3-33
 - Hota P, Patel TN, Zhao X, et al. A rare case of penile metastases as a harbinger of primary pulmonary adenosquamous carcinoma. Case Rep Radiol. 2018;2018:6. doi: 10.1155/2018/8361368.8361368
 - Mearini L, Colella R, Zucchi A, et al. A review of penile metastasis. Oncol Rev. 2012;6(1):e10. doi: 10.4081/oncol.2012.e10
 - Zhang K, Da J, Yao HJ, et al. Metastatic tumors of the penis: a report of 8 cases and review of the literature. Medicine (Baltimore). 2015;94(1):e132. doi: 10.1097/MD.0000000000000132
 - Hizli F, Berkmen F. Penile metastasis from other Malignancies. A study of ten cases and review of the literature. Urol Int. 2006;76:118-21. doi: 10.1159/000090872
 - Youssef I, Elst L, Watkin N, et al. International case series of metastasis to penis. BJUI Compass. 2023;5(1):166-9. doi: 10.1002/bco2.282
 - Al Achras B, Zakhour J, Chauhan A, et al. Comprehensive evaluation of adrenal cortical cancer: Single-center 22-year experience. Endocr Metab Sci. 2023;11(100133):2666-3961. doi: 10.1016/j.endmts.2023.100133
 - Efared B, Ebang GA, Tahirou S, et al. Penile metastasis from rectal adenocarcinoma: a case report. BMC Res Notes. 2017;10:564. doi: 10.1186/s13104-017-2901-5
 - Zheng FF, Zhang ZY, Dai YP, et al. Metastasis to the penis in a patient with adenocarcinoma of lung, case report and literature review. Med Oncol. 2009;26(2):228-32. doi: 10.1007/s12032-008-9113-8
 - Sönmez NC, Coşkun B, Arisan S, et al. Early penile metastasis from primary bladder cancer as the first systemic manifestation: a case report. Cases J. 2009;2(8):2007-10.
 - Nova-Camacho LM, Collins K, Trpkov K, et al. Metastatic solid tumours to the penis: a clinicopathologic evaluation of 109 cases from an international collaboration. Histopathology. 2023;83:31-9. doi: 10.1111/his.14927
 - Yan W, Fu H, Liu H, et al. Acute urinary retention due to corpus cavernosum penile metastasis from lung adenocarcinoma after targeted therapy: a case report and review of the literature. Front Oncol. 2024;14:1278245. doi: 10.3389/fonc.2024.1278245
 - Огнерубов Н.А., Огнерубова И.Н. Злокачественный приапизм. Вестник Тамбовского университета. Серия Естественные и технические науки. 2017;22(1):171-4 [Ognerubov NA, Ognerubova IN. Cancerous priapism. Tambov University Reports. Series: Natural and Technical Sciences. 2017;22(1):171-4 (in Russian)]. doi: 10.20310/1810-0198-2017-22-1-171-174
 - Огнерубов Н.А., Антипова Т.С. Злокачественный рефрактерный приапизм при уротелиальном раке. Клиническое наблюдение. Современная Онкология. 2022;24(2):200-3 [Ognerubov NA, Antipova TS. Malignant refractory priapism in case of urothelial cancer. Case report. Journal of Modern Oncology. 2022;24(2):200-3 (in Russian)]. doi: 10.26442/18151434.2022.2.201444
 - Abeshouse BS, Abeshouse GA. Metastatic tumors of the penis: a review of the literature and a report of two cases. J Urol. 1961;86:99-112.
 - Cocci A, Hakenberg OW, Cai T, et al. Prognosis of men with penile metastasis and malignant priapism: a systematic review. Oncotarget. 2018;9:2923-30.
 - Dolny M, Czajkowski M, Czajkowska K, et al. Penile metastasis secondary to urothelial bladder cancer. Urol Case Rep. 2023;49:102428. doi: 10.1016/j.eucr.2023.102428
 - Guo LC, Li G, Wang XM, et al. Penile metastases from primary lung cancer: Case report and literature review. Medicine (Baltimore). 2017;96(26):e7307. doi: 10.1097/MD.0000000000007307
 - Kendi T, Batislam E, Basar MM, et al. Magnetic resonance imaging (MRI) in penile metastases of extragenitourinary cancers. Int Urol Nephrol. 2006;38(1):105-9. doi: 10.1007/s11255-005-0256-7
 - Cho DY, Kim HJ, Kim JY. Renal Cell Carcinoma Metastasis to the Penis: A Case Report and Literature Review. Medicina. 2024;60(4):554. doi: 10.3390/medicina60040554
 - Hizli F, Berkmen F. Penile metastasis from other malignancies. A study of ten cases and review of the literature. Urol Int. 2006;76:118-21.
 - Blanc ECJ, Cardot V, Mabille L. F-FDG PET/CT scan in Malignant priapism with diffuse pulmonary adenocarcinoma metastatic invasion of both corpus spongiosum and cavernosum. Eur J Nucl Med Mol Imag. 2014;41:588-9. doi: 10.1007/s00259-013-2644-z
 - Gorospe L, Gonzalez-Garcia A, Gonzalez-Gordaliza MC, et al. Metastasis to the corpus spongiosum of the penis in a patient with lung cancer causing acute urine retention. Surgery. 2018;163:474-5. doi: 10.1016/j.surg.2017.07.020
 - Fujimoto N, Hiraki A, Ueoka H, Harada M. Metastasis to the penis in a patient with squamous cell carcinoma of the lung with a review of reported cases. Lung Cancer. 2001:34(1):149-52. doi: 10.1016/S0169-5002(01)00226-4
 - Lin YH, Kim JJ, Stein NB, Khera M. Malignant priapism secondary to metastatic prostate cancer: a case report and review of literature. Rev Urol. 2011;13(2):90-4. doi: 10.3909/riu0508
 - Chan PT, Bégin LR, Arnold D, et al. Priapism secondary to penile metastasis: a report of two cases and a review of the literature. J Surg Oncol. 1998;68(1):51-9. doi: 10.1002/(sici)1096-9098(199805)68:1<51::aid-jso11>3.0.co;2-u
 - Du Plessis DE, Van Der Merwe A, Heyns CF. Penile metastases from primary bronchus carcinoma – a case report and literature review. African J Urol. 2015;21(1):57-61. doi: 10.1016/j.afju.2014.10.005
 
Supplementary files
				
			
					
						
						
				




