Isatuximab-containing regimens for the treatment of patients with newly diagnosed multiple myeloma: A literature review and a clinical case
- Authors: Soloveva M.V.1, Solovev M.V.1, Kovrigina A.M.1, Mendeleeva L.P.1
-
Affiliations:
- National Medical Research Center for Hematology
- Issue: Vol 26, No 4 (2024)
- Pages: 505-508
- Section: Articles
- Submitted: 14.02.2025
- Accepted: 14.02.2025
- Published: 18.02.2025
- URL: https://modernonco.orscience.ru/1815-1434/article/view/655964
- DOI: https://doi.org/10.26442/18151434.2024.4.203086
- ID: 655964
Cite item
Full Text
Abstract
Multiple myeloma (MM) is a malignant clonal lymphoproliferative disease. Over the past few decades, there has been a breakthrough in the treatment of MM due to the introduction of high-dose therapies and innovative biological agents. Currently, approaches to therapy of both candidates and non-candidates for autologous hematopoietic stem cell transplantation (auto-HSCT) are still evolving. Isatuximab is an immunoglobulin (Ig)Gk monoclonal antibody to CD38 that has anti-tumor activity through several mechanisms of action. The effectiveness of adding isatuximab to three-component regimens in patients with MM was studied in several randomized studies. Publications on the use of isatuximab-containing MM induction therapy regimens were reviewed. The authors’ experience of using the Isa-VRd regimen in a patient with MM who is not a candidate for auto-HSCT is presented. The patient, 72 years old, was admitted to the National Medical Research Center for Hematology in September 2024 with suspected paraproteinemic hemoblastosis. The disease onset was acute; azotemia signs appeared in August 2024. A full range of laboratory and instrumental examinations diagnosed symptomatic MM with acute renal injury. Due to the advanced age and comorbidities, the patient was not considered a candidate for high-dose chemotherapy with auto-HSCT. The patient was initiated with four-component therapy according to the Isa-VRd regimen. After the first course, a very good partial remission and a partial renal response were achieved. Treatment continued; currently, the patient is receiving the third course.
Full Text
Введение
Множественная миелома (ММ) – злокачественное клональное лимфопролиферативное заболевание, субстратом которого является опухолевая плазматическая клетка. Многообразие симптомов ММ обусловлено инфильтрацией костного мозга (КМ) плазматическими клетками, приводящей к поражению органов-мишеней и развитию симптомокомплекса CRAB, секрецией опухолевыми клетками патологического белка – парапротеина, резким снижением выработки поликлональных иммуноглобулинов (Ig). ММ – вторая по распространенности опухоль системы крови, которая встречается в 13% случаев всех гемобластозов [1]. Заболевают ММ преимущественно люди старшей возрастной группы (медиана возраста на момент диагностики – 69 лет), менее 5% пациентов составляют лица моложе 40 лет [2]. При диагностике симптоматической ММ необходимо немедленно начать специфическую системную противоопухолевую терапию. Выбор схемы лечения зависит от того, является ли пациент кандидатом на высокодозную химиотерапию с последующей трансплантацией аутологичных гемопоэтических стволовых клеток (ауто-ТГСК). Соматически сохранного пациента до 65–70 лет без тяжелой сопутствующей патологии целесообразно рассматривать в качестве кандидата на ауто-ТГСК. Цель лечения таких больных – достижение максимально глубокого противоопухолевого эффекта в короткие сроки. Если же пациент относится к старшей возрастной группе и у него присутствует коморбидность, то высокодозное лечение не показано. Целью терапии не кандидатов на ауто-ТГСК являются редукция опухолевой массы для уменьшения клинических проявлений болезни, минимизация токсических осложнений терапии, сохранение качества жизни.
За последние несколько десятилетий произошел прорыв в лечении ММ в связи с внедрением высокодозных методик и новейших препаратов с биологическим механизмом действия [3]. В настоящее время продолжают трансформироваться подходы к терапии больных – как кандидатов, так и не кандидатов на ауто-ТГСК. Хорошо зарекомендовали себя моноклональные антитела, которые в составе триплетов и квадриплетов внедрены уже в терапию 1-й линии ММ. Так, согласно Европейским рекомендациям (EHA-ESMO 2021) предпочтительными режимами индукционной терапии не кандидатов на ауто-ТГСК являются схемы Dara-Rd, Dara-VMP, VRd [4]. В американских экспертных рекомендациях (NCCN) 2025 г. для не кандидатов на высокодозное лечение помимо VRd и Dara-Rd появился квадриплет Isa-VRd. В Российских клинических рекомендациях 2024 г. в качестве предпочтительных режимов терапии пожилых больных рассматриваются схемы VCd, VRd, Dara-Rd, Dara-VMP.
Изатуксимаб является моноклональным антителом IgGκ к CD38, которое обладает противоопухолевой активностью посредством нескольких механизмов действия [5]. Эффективность добавления изатуксимаба к схеме VRd у не кандидатов на ауто-ТГСК изучали в международном открытом фазы III исследовании IMROZ, в которое включили 446 больных 18–80 лет с впервые диагностированной ММ [6]. Рандомизацию проводили по схеме 3:2, соответственно, квадриплет получили 265 больных, а триплет – 181 пациент. Дизайн исследования предполагал проведение 4 шестинедельных циклов по схеме Isa-VRd или VRd с последующим длительным лечением по схеме Isa-Rd или Rd соответственно. Группы больных сбалансировали по основным клинико-лабораторным параметрам. Частота достижения полной ремиссии была достоверно выше у больных из группы Isa-VRd и составила 74,7% против 64,1% у больных из группы VRd (p=0,01). При медиане наблюдения 59,7 мес выживаемость без прогрессирования (ВБП) составила 63,2% для группы больных, получивших квадриплет, и 45,2% для пациентов, получивших триплет (различия достоверны; p<0,001). При медиане продолжительности наблюдения 5 лет (59,7 мес) лечение по схеме Isa-VRd с последующей терапией Isa-Rd привело к статистически значимому снижению риска прогрессирования заболевания или смерти на 40,4%. При медиане последующего наблюдения 5 лет данные по общей выживаемости все еще остаются предварительными, однако наблюдалась благоприятная тенденция в группе Isa-VRd со снижением риска на 22,4 % по сравнению с группой VRd.
При анализе нежелательных явлений (НЯ) у больных, получавших схему Isa-VRd, наблюдали хорошую переносимость терапии, профиль безопасности которой остается сопоставимым с известными профилями безопасности каждого из препаратов. Частота НЯ, приведших к прекращению лечения, составила 22,8% для группы Isa-VRd и 26% для группы VRd. Серьезные НЯ возникли у 70,7% больных, получавших квадриплет, и у 67,4% пациентов, получавших триплет. Общая частота случаев смерти при оценке тенденции свидетельствовала в пользу Isa-VRd (26,2% против 32,6%), что обусловлено главным образом меньшей частотой случаев смерти вследствие прогрессирования ММ, подтвержденной результатами анализа времени до наступления смерти в зависимости от причины.
Соответственно, терапия квадриплетом Isa-VRd показала высокую эффективность и благоприятный профиль безопасности у больных с впервые диагностированной ММ, не являющихся кандидатами на высокодозное лечение.
Клинический случай
Пациентка 72 лет считает себя больной с августа 2024 г., когда появились выраженная слабость, гипотония, головные боли, тошнота.
Сопутствующие заболевания: гипертоническая болезнь, пароксизмальная форма фибрилляции предсердий, атеросклеротическая болезнь сердца, сахарный диабет 2-го типа, аутоиммунный тиреоидит, аденома левого надпочечника, дивертикулез толстой кишки, грыжа пищеводного отверстия диафрагмы.
В биохимическом анализе крови отмечено повышение концентрации креатинина до 358 мкмоль/л, мочевины – до 12,1 ммоль/л, в общем анализе крови – лейкоцитоз (16 тыс/мкл), тромбоцитоз (750 тыс/мкл), снижение гемоглобина до 114 г/л.
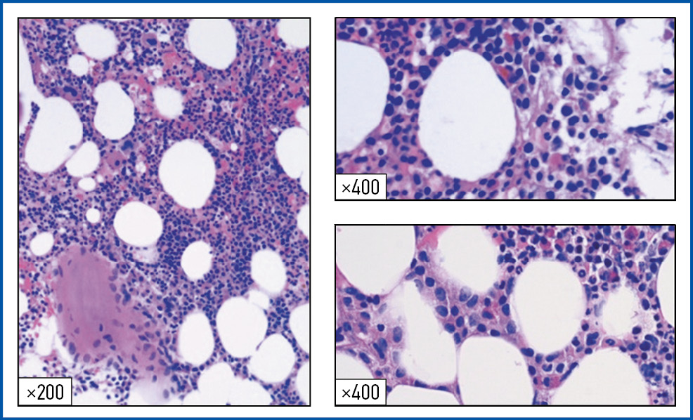
Пациентка госпитализирована в нефрологическое отделение городской клинической больницы в сентябре 2024 г. ввиду развития острого почечного повреждения. Проводили пульс-терапию метилпреднизолоном 250 мг (3 сут), на фоне чего развился пароксизм фибрилляции предсердий, выполнена медикаментозная кардиоверсия, с эффектом. Проведено иммунохимическое исследование крови и мочи, в сыворотке выявлен белок Бенс-Джонса (BJ) λ в следовом количестве, содержание свободных легких цепей (СЛЦ) λ в сыворотке составило 2680 мг/л, k – 63 мг/л, соотношение λ/k – СЛЦ – 42, экскреция белка BJλ – 0,18 г/сут. Концентрация b2-микроглобулина – 8,92 мг/л. Пациентка госпитализирована в ФГБУ «НМИЦ гематологии» с подозрением на ММ. При обследовании в гемограмме обращали на себя внимание анемия (гемоглобин – 98 г/л), в биохимическом анализе крови – содержание креатинина 410 мкмоль/л, скорость клубочковой фильтрации составила 11 мл/мин. В миелограмме выявлено 4% плазматических клеток, в трепанобиоптате КМ определены зрелые плазматические клетки, расположенные интерстициально разрозненно и в виде скоплений (рис. 1). При иммуногистохимическом исследовании трепанобиоптата КМ плазматические клетки монотипичны по λ-цепи, составляют ~13% кроветворной ткани, расположены периваскулярно и интерстициально разрозненно и в кластерах (7–10 клеток); рис. 2. При цитогенетическом исследовании КМ в 37% ядер выявлена t(11;14). При низкодозной компьютерной томографии тела деструкции костной ткани не обнаружены. Таким образом, проведенное обследование позволило диагностировать ММ, протекающую с секрецией BJλ, СЛЦλ, экскрецией белка BJλ, миеломной нефропатией, IB стадию по D-S, III стадию по ISS, II стадию по R-ISS, III стадию по R2-ISS.
Рис. 1. Гистологическое исследование трепанобиоптата КМ больной ММ. Окраска гематоксин-эозином. Среди элементов миелопоэза в увеличенном количестве отмечаются зрелые плазматические клетки.
Fig. 1. Histological examination of bone marrow trepan-biopsy material in the patient with MM. Hematoxylin and eosin staining. Among the myelopoiesis cells, an increased number of mature plasma cells are observed.
Рис. 2. Иммуногистохимическое исследование трепанобиоптата КМ больной ММ. Плазматические клетки монотипичны по λ-цепи (единичные kappa + клетки расположены интерстициально разрозненно), составляют ~ 13% кроветворной ткани при подсчете в «горячих точках» на увеличении 400.
Fig. 2. Immunohistochemical examination of bone marrow trepan-biopsy material in the patient with MM. Plasma cells, monotypic for the λ chain (single kappa + cells are dispersed in the interstitium), make up to ~13% of hematopoietic tissue when counted in “hot spots” at a magnification of 400.
Учитывая возраст, наличие сопутствующей патологии (сахарного диабета 2-го типа, гипертонической болезни, пароксизмальной формы фибрилляции предсердий, атеросклеротической болезни сердца), пациентку не рассматривали в качестве кандидата на проведение высокодозной химиотерапии с последующей трансплантацией ауто-ТГСК. С целью получения глубокого противоопухолевого ответа, учитывая результаты исследования IMROZ, консилиум постановил применить для индукционной терапии четырехкомпонентную схему: изатуксимаб, бортезомиб, леналидомид, дексаметазон (Isa-VRd). В сентябре – октябре 2024 г. проведен 1-й цикл терапии. Лечение пациентка переносила удовлетворительно, без осложнений. Последующее введение препаратов осуществляли в условиях дневного стационара. По данным иммунохимического исследования после 1-го курса терапии в сыворотке обнаружен следовой клон Gk (по электрофоретической подвижности соответствует изатуксимабу), повышено содержание λ-СЛЦ до 42,1 мг/л с нарушением соотношения СЛЦ (λ/k – 3,3), экскреции BJλ не выявлено. В динамике снижение концентрации креатинина до 114 мкмоль/л, скорость клубочковой фильтрации возросла до 41 мл/мин. Таким образом, уже после 1-го курса достигнуты очень хорошая частичная ремиссия, частичный почечный ответ. Лечение продолжено, в настоящее время проводится 3-й курс по схеме Isa-VRD. Из НЯ у пациентки отмечается анемия (78 г/л), потребовавшая однократной заместительной трансфузионной терапии.
Обсуждение
В 2024 г. опубликован метаанализ, посвященный изучению четырехкомпонентных режимов (анти-CD38 моноклональное антитело + иммуномодулятор + ингибитор протеасом + глюкокортикостероид) у больных с впервые диагностированной ММ [7]. В обзоре проанализированы данные 7 рандомизированных клинических исследований (одно – фазы II, шесть – фазы III), включивших 3716 пациентов. Показано, что терапия квадриплетом по сравнению с трехкомпонентным режимом в целом приводит к лучшим результатам лечения, включая частоту достижения противоопухолевого ответа, МОБ-негативности (МОБ – минимальная остаточная болезнь). В некоторых исследованиях продемонстрированы преимущества выживаемости, однако имеет место некоторая дополнительная токсичность, связанная с инфекциями. Приведенные результаты имеют прямую клиническую значимость, поскольку позиционируют терапию четырехкомпонентными режимами как потенциальный стандарт лечения пациентов с впервые диагностированной MM как кандидатов, так и не кандидатов на ауто-ТГСК. Важным выводом метаанализа является тот факт, что четырехкомпонентные режимы показывают лучшие результаты, чем триплеты, независимо от базового препарата – ингибитора протеосом (карфилзомиб или бортезомиб), а также независимо от того, какое анти-CD38-антитело (изатуксимаб и даратумумаб) применяли.
Согласно исследованию IMROZ, явления гематологической токсичности широко распространены в обеих группах больных – как у получающих Isa-VRd, так и у пациентов из группы VRd [6]. Развитие тромбоцитопении и нейтропении по данным IMROZ несколько чаще встречали в группе квадриплета (95,4 и 87,5%) по сравнению с группой триплета (84,5 и 80,1% соответственно). Анемия является самым частым явлением как в группе Isa-VRd (98,9%), так и в группе VRd (97,8%). У пациентки, которая получает под нашим наблюдением терапию Isa-VRD, на фоне лечения отмечается усугубление анемии – в дебюте болезни концентрация гемоглобина составила 98 г/л, на фоне 2-го курса – 78 г/л, потребовалась заместительная трансфузия эритроцитной массы.
В исследовании фазы II GMMG-CONCEPT изучали другой квадриплет – изатуксимаб, карфилзомиб, леналидомид и дексаметазон (Isa-KRd) – у пациентов с высоким риском впервые диагностированной ММ как кандидатов, так и не кандидатов на высокодозное лечение [8]. В качестве цитогенетических аберраций высокого риска рассматривали del17p, t(4;14), t(14;16), амплификацию 1q21 (более 3 копий). Согласно дизайну исследования пациенты получали индукцию/консолидацию Isa-KRd с последующей поддерживающей терапией Isa-KR. Кандидатам на высокодозное лечение проводили ауто-ТГСК, не кандидаты получили 2 дополнительных цикла Isa-KRd после индукции. В исследование включены 125 пациентов. МОБ-негативность после консолидации достигнута у 67,7% кандидатов и у 54,2% не кандидатов на ауто-ТГСК. Важно, что МОБ-негативность сохранялась в течение ≥1 года у 62,6% пациентов. При медиане наблюдения 44 мес для кандидатов и 33 мес для не кандидатов на ауто-ТГСК медиана ВБП не достигнута ни в одной из групп. Авторы делают вывод о высокой эффективности квадриплета Isa-KRd в достижении устойчивой МОБ-негативности у сложной категории больных с цитогенетическими нарушениями высокого риска.
В рандомизированном исследовании фазы III BENEFIT сравнивали эффективность и безопасность четырехкомпонентной схемы Isa-VRd (бортезомиб вводили 1 раз в неделю) и триплета Isa-Rd у не кандидатов на ауто-ТГСК [9]. В исследование включены 270 пациентов c ММ 65–79 лет в рандомизации 1:1. Показано, что частота МОБ-негативности через 18 мес после рандомизации достоверно выше в группе квадриплета по сравнению с группой триплета (53% против 26%), а частота достижения ПР составила 58% в группе Isa-VRd против 31% в группе Isa-Rd (p<0,0001). При медиане наблюдения 23,5 мес данные по ВБП и общей выживаемости пока не могут быть представлены ввиду отсутствия различий, однако авторы предполагают их увидеть по прошествии времени. В исследовании показано, что наиболее частыми НЯ в обеих подгруппах являлись нейтропения, диарея, инфекции. Закономерно, что частота развития полинейропатии была выше в группе Isa-VRd (52%) по сравнению с группой Isa-Rd (28%).
В исследованиях IMROZ и BENEFIT имеются различия в схеме назначения ингибитора протеасом бортезомиба [6, 9]. Бортезомиб вводили по классической схеме 2 раза в неделю в IMROZ (всего 24 введения 2 раза в неделю в течение 6 мес) и 1 раз в неделю, но в течение более длительного времени, – в BENEFIT (всего 48 еженедельных инфузий в течение 18 мес). Последующий анализ данных двух исследований позволит разработать оптимальный режим дозирования бортезомиба, который приведет к минимизации частоты развития периферической полинейропатии при сохранении эффективности противоопухолевой терапии у пожилых коморбидных больных.
В рандомизированном исследовании фазы III MAIA оценивали добавление другого анти-CD38-антитела – даратумумаба – к комбинации Rd у больных с впервые диагностированной ММ – не кандидатов на ауто-ТГСК [10]. Сообщалось о достижении МОБ-негативности в группе DaraRd у 24% против 7% в группе Rd (p<0,001) [11]. Сравнивая результаты двух исследований (MAIA и BENEFIT), в которых представлена аналогичная популяция больных – не кандидатов на высокодозное лечение, обращают на себя внимание схожие показатели достижения МОБ-негативности: 24% в группе DaraRd и 26% в группе IsaRd. Результаты непрямого сравнения эффективности являются сопоставимыми.
Заключение
Таким образом, подходы к терапии ММ трансформируются, в клиническую практику внедряются многокомпонентные схемы лечения с различным механизмом противоопухолевого воздействия. В протоколы индукционной терапии больных ММ как кандидатов, так и не кандидатов на ауто-ТГСК интегрируются моноклональные антитела к CD38, что основано на результатах рандомизированных клинических исследований. В статье представлен собственный опыт применения квадриплета Isa-VRd в качестве индукционной терапии не кандидата на высокодозное лечение. При благоприятном профиле безопасности наблюдается высокая эффективность проводимой терапии: уже после 1-го курса лечения отмечается достижение очень хорошей частичной ремиссии и частичного почечного ответа.
Раскрытие интересов. Авторы декларируют отсутствие явных и потенциальных конфликтов интересов, связанных с публикацией настоящей статьи.
Disclosure of interest. The authors declare that they have no competing interests.
Вклад авторов. Авторы декларируют соответствие своего авторства международным критериям ICMJE. Все авторы в равной степени участвовали в подготовке публикации: М.В. Соловьева – концепция и дизайн, обзор публикаций, анализ данных, написание текста рукописи; М.В. Соловьев – обработка, анализ и интерпретация данных, курирование пациента, редактирование и окончательное одобрение рукописи; А.М. Ковригина – интерпретация данных, окончательное одобрение рукописи; Л.П. Менделеева – концепция, редактирование и окончательное одобрение рукописи.
Authors’ contribution. The authors declare the compliance of their authorship according to the international ICMJE criteria. All authors made a substantial contribution to the work: M.V. Soloveva – concept and design, review of publications, data analysis, writing of the manuscript; M.V. Solovev – processing, analysis and interpretation of data, patient supervision, editing and final approval of the manuscript; A.M. Kovrigina – data interpretation, final approval of the manuscript; L.P. Mendeleeva – concept, editing and final approval of the manuscript.
Источник финансирования. Авторы декларируют отсутствие внешнего финансирования для проведения исследования и публикации статьи.
Funding source. The authors declare that there is no external funding for the exploration and analysis work.
Информированное согласие на публикацию. Пациентка подписала форму добровольного информированного согласия на публикацию медицинской информации.
Consent for publication. Written consent was obtained from the patient for publication of relevant medical information and all of accompanying images within the manuscript.
About the authors
Maiia V. Soloveva
National Medical Research Center for Hematology
Author for correspondence.
Email: solomaiia@yandex.ru
ORCID iD: 0000-0003-4142-171X
Cand. Sci. (Med.)
Russian Federation, MoscowMaxim V. Solovev
National Medical Research Center for Hematology
Email: solomaiia@yandex.ru
ORCID iD: 0000-0002-7944-6202
Cand. Sci. (Med.)
Russian Federation, MoscowAlla M. Kovrigina
National Medical Research Center for Hematology
Email: solomaiia@yandex.ru
ORCID iD: 0000-0002-1082-8659
D. Sci. (Biol.)
Russian Federation, MoscowLarisa P. Mendeleeva
National Medical Research Center for Hematology
Email: solomaiia@yandex.ru
ORCID iD: 0000-0002-4966-8146
D. Sci. (Med.)
Russian Federation, MoscowReferences
- Raab MS, Podar K, Breitkreutz I, et al. Multiple myeloma. Lancet. 2009;374(9686):324-9. doi: 10.1016/S0140-6736(09)60221-X
- Padala SA, Barsouk A, Barsouk A, et al. Epidemiology, Staging, and Management of Multiple Myeloma. Med Sci (Basel). 2021;9(1):3. doi: 10.3390/medsci9010003
- Kanas G, Clark O, Keeven K, et al. Estimate of multiple myeloma patients by line of therapy in the USA: population-level projections 2020-2025. Future Oncol. 2021;17(8):921-30. doi: 10.2217/fon-2020-0970
- Dimopoulos MA, Moreau P, Terpos E, et al. Multiple myeloma: EHA-ESMO Clinical Practice Guidelines for diagnosis, treatment and follow-up(†). Ann Oncol. 2021;32(3):309-22. doi: 10.1016/j.annonc.2020.11.014
- Martin TG, Corzo K, Chiron M, et al. Therapeutic Opportunities with Pharmacological Inhibition of CD38 with Isatuximab. Cells. 2019;8(12):1522. doi: 10.3390/cells8121522
- Facon T, Dimopoulos MA, Leleu XP, et al. Isatuximab, Bortezomib, Lenalidomide, and Dexamethasone for Multiple Myeloma. N Engl J Med. 2024;391(17):1597-609. doi: 10.1056/NEJMoa2400712
- Ebraheem MS, Chakraborty R, Rochwerg B, et al. Quadruplet regimens for patients with newly diagnosed multiple myeloma: a systematic review and meta-analysis. Blood Adv. 2024;8(23):5993-6002. doi: 10.1182/bloodadvances.2024014139
- Leypoldt LB, Tichy D, Besemer B, et al. Isatuximab, Carfilzomib, Lenalidomide, and Dexamethasone for the Treatment of High-Risk Newly Diagnosed Multiple Myeloma. J Clin Oncol. 2024;42(1):26-37. doi: 10.1200/JCO.23.01696
- Leleu X, Hulin C, Lambert J, et al. Isatuximab, lenalidomide, dexamethasone and bortezomib in transplant-ineligible multiple myeloma: the randomized phase 3 BENEFIT trial. Nat Med. 2024;30(8):2235-21. doi: 10.1038/s41591-024-03050-2
- Facon T, Kumar SK, Plesner T, et al. Daratumumab, lenalidomide, and dexamethasone versus lenalidomide and dexamethasone alone in newly diagnosed multiple myeloma (MAIA): overall survival results from a randomised, open-label, phase 3 trial. Lancet Oncol. 2021;22(11):1582-56. doi: 10.1016/S1470-2045(21)00466-6
- San-Miguel J, Avet-Loiseau H, Paiva B, et al. Sustained minimal residual disease negativity in newly diagnosed multiple myeloma and the impact of daratumumab in MAIA and ALCYONE. Blood. 2022;139(4):492-501. doi: 10.1182/blood.2020010439
Supplementary files





