Peritoneal lymphomatosis as the only manifestation of diffuse B-cell large cell lymphoma: A clinical case
- Authors: Ognerubov N.A.1, Antipova T.S.2, Poddubnaya I.V.1
-
Affiliations:
- Russian Medical Academy of Continuous Professional Education
- Federal Network of Nuclear Medicine Centers "PET-Technology"
- Issue: Vol 26, No 4 (2024)
- Pages: 484-488
- Section: Articles
- Submitted: 07.02.2025
- Accepted: 07.02.2025
- Published: 18.02.2025
- URL: https://modernonco.orscience.ru/1815-1434/article/view/654054
- DOI: https://doi.org/10.26442/18151434.2024.4.203082
- ID: 654054
Cite item
Full Text
Abstract
Non-Hodgkin's lymphoma can occur anywhere in the human body. A diffuse extensive peritoneal lesion is uncommon and rare. Diffuse large B-cell lymphoma is the most common histological type of extranodal lymphoma in peritoneal lymphomatosis.
A case of isolated peritoneal lymphomatosis is presented. A 23-year-old female patient N. presented with decreased appetite, bloating, pain, and abdominal enlargement. The symptoms persisted for 4 months. Recently, she reported a fever (38.4°C), sweating at night, and decreased body weight. On physical examination, the abdomen was enlarged, tense on palpation, tender in the epigastrium, and dull to percussion in all parts. No signs of specific changes in peripheral lymph nodes were observed. Tachycardia was noted, and blood pressure was within normal range. Five weeks ago, a laparoscopy was performed, which revealed an extensive infiltrative lesion of the parietal and visceral peritoneum of the abdomen and pelvis and the greater omentum with the presence of mesenteric lymph nodes. A biopsy of the peritoneum and greater omentum was performed. Cytological examination of ascitic fluid showed a pattern of non-Hodgkin's lymphoma. Histological examination revealed diffuse large B-cell lymphoma with CD20+ expression. Positron-emission and X-ray computed tomography with 18-fluorodeoxyglucose (FDG) showed diffuse thickening of the parietal and visceral peritoneum, mesentery and omentum with subtotal filling of the abdominal and pelvic cavities with masses with increased radiopharmaceutical uptake. No FDG-active lesions were detected in the liver and spleen parenchyma. Diagnosis: diffuse large B-cell lymphoma, stage IVB; peritoneal lymphomatosis, IPI 3. Polychemotherapy was recommended according to the R-CHOP regimen. The patient refused the proposed treatment due to the change of domicile.
Isolated peritoneal lymphomatosis is a rare manifestation of extranodal non-Hodgkin's lymphoma. There are no specific clinical symptoms. Positron emission and X-ray computed tomography with 18-FDG are an alternative method for diagnosing peritoneal lymphomatosis.
Full Text
Введение
По данным Global Cancer Observatory, в 2022 г. в мире выявлено 553 389 новых случаев неходжкинских лимфом (НХЛ) и 250 679 смертей, они занимают 10 и 11 место соответственно. В Российской Федерации заболеваемость составила 12 070, а смертность – 6338 событий [1]. Диффузная В-клеточная крупноклеточная лимфома является наиболее распространенным вариантом лимфопролиферативных заболеваний, составляя 30–40% всех НХЛ. Она проявляется нодальными (узловыми) или экстранодальными поражениями [2].
Экстранодальные лимфомы встречаются у 30–40% пациентов с лимфомой. Причем наиболее часто поражается желудочно-кишечный тракт (ЖКТ) в диапазоне 10–30%, вовлечение в процесс селезенки отмечается у 20–40% больных и значительно реже, до 4%, – надпочечников [3]. Однако поражение брюшины при этом происходит крайне редко [4–8].
Перитонеальный лимфоматоз – заболевание, которому в настоящее время уделяется значительно меньше внимания, чем другим нозологиям при поражении брюшины, что сопровождается диагностическими ошибками и неблагоприятным прогнозом [4].
В большинстве случаев причиной поражения брюшины являются высокозлокачественные лимфомы, такие как диффузная В-клеточная крупноклеточная лимфома (ДВККЛ) и лимфома Беркитта, тем не менее в литературе описаны эпизоды развития и при индолентной фолликулярной лимфоме [9]. Экстранодальная лимфома является заболеванием с плохим прогнозом [3]. Неблагоприятный прогноз первичного париетального лимфоматоза обусловлен его агрессивным клиническим течением, а также трудностью диагностики, связанной с отсутствием лимфаденопатии, гепатоспленомегалии, поражений ЖКТ и солидных органов [6].
Первое описание перитонеального лимфоматоза сделано в 1986 г. у 3 пациентов при аутопсии. В настоящее время сообщения, посвященные этой проблеме, носят единичный характер [7, 10–12].
Морфологическое подтверждение диагноза является одним из основных критериев, составляющих ядро для выработки рациональной тактики лечения. Цитологические данные являются малоинформативным методом в диагностической цепочке. Наиболее точный метод – лапароскопическая эксцизионная биопсия брюшины и сальника либо биопсия толстой иглой под ультразвуковой навигацией [12–14].
Ранняя диагностика – это самый важный шаг в лечении перитонеального лимфоматоза.
Среди методов медицинской визуализации важную роль играют два – это компьютерная томография (КТ) и позитронно-эмиссионная и рентгеновская КТ (ПЭТ/КТ) с 18-фтордезоксиглюкозой (ФДГ). Для перитонеального лимфоматоза характерно диффузное поражение брюшинного покрова, сальника и брыжейки с вовлечением или без лимфатических узлов и селезенки [10, 15–17].
А. O´Neill и соавт. (2014 г.) провели ретроспективный анализ 122 случаев, посвященный роли КТ в дифференциальной диагностике поражений брюшины различной этиологии. Они показали, что перитонеальный лимфоматоз чаще сопровождается поражением сальника и брыжейки с сопутствующей спленомегалией и лимфаденопатией [16].
ПЭТ/КТ с 18-ФДГ является ценным методом визуализации при определении стадии заболевания, оценки метаболического ответа на лечение, для раннего выявления рецидива и выбора места для биопсии [10, 17].
Несмотря на достигнутые успехи при применении указанных способов медицинской визуализации, специфических радиологических признаков, подтверждающих диагноз перитонеального лимфоматоза, нет. В связи с этим гистологическое и иммуноморфологическое исследование остается «золотым стандартом» [6].
Мы наблюдали редкий случай изолированного перитонеального лимфоматоза у пациентки с ДВККЛ.
Клинический случай
Пациентка Н. 23 лет поступила с жалобами на снижение аппетита, вздутие, боли и увеличение живота в объеме на протяжении 4 мес. В последнее время отмечала повышение температуры тела до 38,4°С, потливость по ночам, снижение массы тела – за 3 нед потеряла в массе тела 6 кг. ECOG 1. При объективном обследовании наблюдалась бледность кожных покровов, кожа на ощупь влажная. Пульс – 122 уд/мин, ритмичный, удовлетворительного качества. Живот увеличен в объеме, при пальпации напряжен, болезненный в эпигастрии. При перкуссии во всех отделах определяется притупление. Доступные группы периферических лимфатических узлов не изменены. Отмечается тахикардия, артериальное давление – 115/70 мм рт. ст.
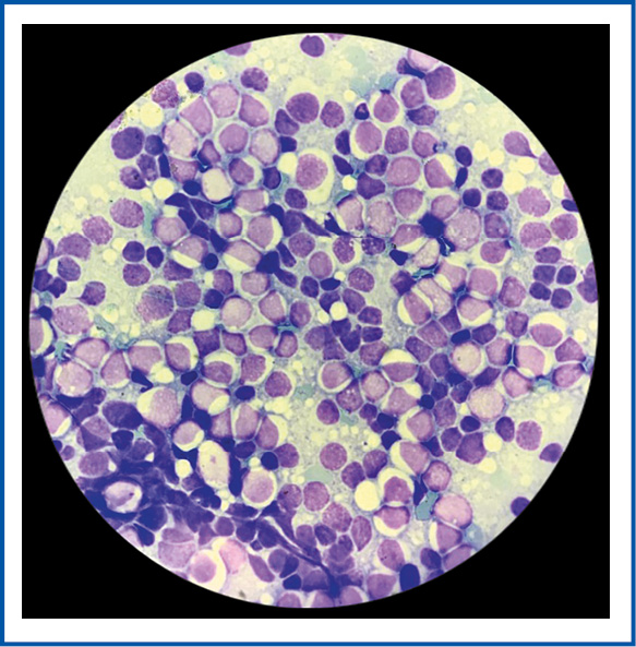
Рис. 1. Пациентка Н., 23 лет. Выпотная жидкость. В препарате все поля зрения густо покрывают полиморфные опухолевые клетки с крупными ядрами лимфоидной природы. Цитологическая картина НХЛ. Окраска по Романовскому. ×1000.
Fig. 1. Patient N., 23 years old. Effusion liquid. Abundant polymorphic tumor cells with large lymphoid nuclei were observed in all visual fields of the slide, consistent with the cytological pattern of non-Hodgkin lymphoma. Romanovsky stain. ×1000.
Пятью неделями ранее пациентке выполнена лапароскопия, при которой выявлены асцит и массивное поражение париетальной брюшины во всех отделах брюшной полости и малом тазу, а также висцеральной по поверхности тонкого и толстого кишечника. Большой сальник диффузно инфильтрирован в виде пласта, без образования узлов. Корень брыжейки поперечно-ободочной кишки и тонкой кишки инфильтрирован. Висцеральная брюшина петель тонкой кишки на всем протяжении неравномерно уплотнена. В боковых каналах, кишечных синусах и малом тазу определяется гомогенная опухолевая масса. Очаговой патологии в печени и селезенке не выявлено. Визуализируются увеличенные мезентериальные лимфатические узлы. Произведена биопсия большого сальника и брюшины.
Рис. 2. Пациентка Н., 23 г. На серии MIP ПЭТ (а) и совмещенных ПЭТ/КТ аксиальных проекциях (b–e), сагиттальных проекциях (f, g) отмечается диффузное уплотнение брюшины, сальниковой и межорганной абдоминальной клетчатки с активным субтотальным заполнением брюшной полости и малого таза опухолевой массой с повышенной фиксацией РФП, SUVmax 14,5 (голубые стрелки). Патологическая ткань непрерывно распространяется по ходу брюшины и капсуле печени и селезенки. Петли кишечника в толще опухолевой массы дифференцируются фрагментарно (желтая стрелка). В паренхиме печени и селезенке ФДГ-активных очагов поражения не обнаружено. На КТ аксиальной проекции (b, d) перигепатически, перилиенально по правому и левому фланку определяется скопление жидкости (белые стрелки).
Fig. 2. Patient N., 23 years old. On the MIP PET series (a) and combined PET/CT axial views (b–e), sagittal views (f, g), diffuse compaction of the peritoneum, omentum, and interorgan abdominal tissue with subtotal filling of the abdominal and pelvic cavity with a tumor mass with increased radiopharmaceutical uptake, SUVmax 14.5 (blue arrows). Abnormal tissue continuously spreads along the peritoneum and capsule of the liver and spleen. The intestinal loops differentiate fragmentarily within the tumor mass (yellow arrow). No FDG-active lesions were detected in the liver and spleen parenchyma. CT scan of the axial view (b, d) showed the accumulation of fluid (white arrows) around the liver and spleen along the right and left flanks.
При цитологическом исследовании наблюдалась картина специфического выпота с обилием полиморфных клеток НХЛ (рис. 1). Гистологическое и иммуногистохимическое исследования выявили ДВККЛ с экспрессией CD20+, Ki-67 62%.
С целью исключения поражения органов ЖКТ проведено эндоскопическое исследование – фиброгастроскопия и сигмоскопия. Патологических изменений со стороны желудка и левой половины толстой кишки не выявлено.
Для уточнения распространенности опухолевого процесса и выработки тактики лечения больной выполнена ПЭТ/КТ с 18-ФДГ. Согласно полученным данным на ПЭТ-изображениях проекции максимальной интенсивности и объединенных ПЭТ/КТ-проекциях определяется диффузное утолщение брюшины, сальника без образования узлов, межорганной клетчатки и брыжейки с повышенной метаболической активностью 18-ФДГ. Брюшная полость и малый таз субтотально заполнены опухолевой массой с гиперметаболизмом 18-ФДГ, стандартизированный коэффициент максимального накопления (SUVmax) равен 14,5. Активность непрерывно распространяется по ходу брюшины с переходом на капсулу печени и селезенки. В паренхиме указанных органов очагов поражения не выявлено. Объединенные ПЭТ/КТ-изображения также не показывают поглощение радиофармпрепарата (РФП) в тонком и толстом кишечнике (рис. 2).
Мезентериальные лимфатические узлы не дифференцируются за счет сливного включения в опухолевые массы. Повышенной фиксации РФП в костном мозге не выявлено. Метаболической активности в периферических и медиастинальных лимфоузлах нет. Имеется умеренный асцит.
Результаты общего анализа крови – в пределах референсных значений. Имеет место повышение концентрации лактатдегидрогеназы в 2,2 раза, а уровня аланинаминотрансферазы и аспартатаминотрансферазы – в 1,7 и 1,8 раза соответственно. Остальные биохимические показатели соответствуют референсным значениям.
Полученные результаты свидетельствуют об изолированном лимфоматозном поражении брюшины без вовлечения органов при экстранодальной ДВККЛ.
Поставлен диагноз «ДВККЛ, стадия IVB; перитонеальный лимфоматоз, IPI 3». Назначена полихимиотерапия по схеме R-CHOP. От предложенного лечения пациентка отказалась в связи со сменой места жительства.
Такой вариант заболевания встречается весьма редко и, как правило, имеет плохой прогноз. Этот необычный случай демонстрирует выгоду применения ПЭТ/КТ с 18-ФДГ для диагностики поражения брюшинного покрова, сальника и брыжейки при перитонеальном лимфоматозе.
На основании полученных результатов нами предложены качественные критерии оценки ПЭТ/КТ с 18-ФДГ для диагностики перитонеального лимфоматоза. Они включают диффузную инфильтрацию брюшины, большого сальника и наличие в брюшной полости гомогенной опухолевой ткани. Указанные критерии позволят поставить диагноз на ранних стадиях.
Обсуждение
Перитонеальный лимфоматоз определяется как внутрибрюшное распространение лимфомы. При первоначальной диагностике он встречается очень редко, составляя 0,75% от всех случаев лимфомы [18].
По данным A. Fujimi и соавт. (2024 г.), в англоязычной литературе описано всего 46 случаев перитонеального лимфоматоза. Выявлены гендерные различия с преобладанием лиц мужского пола. Основные гистологические варианты включали ДВККЛ в 20 (43,5%) наблюдений, а в 11 (23,9%) – лимфому Беркитта. Поражение внутрибрюшных лимфоузлов встречалось у каждого 3-го пациента – 30,4%, а пищеварительного тракта – в 12,1% случаев [6].
Пути распространения по брюшине до конца не ясны. Весьма интересна точка зрения некоторых исследователей относительно роли брюшины при перитонеальном лимфоматозе, которые при этом отрицают ее специфическое поражение [11]. Считают, что распространение опухолевых клеток происходит посредством лимфатических путей через висцеральные брюшинные поверхности желудочно-ободочной связки и мезоколон [17, 19, 20].
Поверхность брюшины может быть вторично поражена тремя видами клеток: эпителиальными с развитием карциноматоза, мезенхимальными – саркоматоза и лимфоидными – лимфоматоза [20]. В связи с этим необходимо проводить дифференциальную диагностику как можно раньше, чтобы установить истинный характер процесса с последующей адекватной терапией.
Клиническая картина при перитонеальном лимфоматозе неспецифична. Среди наиболее частых жалоб – боль в животе, лихорадка, потеря массы тела, ночная потливость [7, 10, 11, 21].
В нашем наблюдении у пациентки основной жалобой являлась перемежающаяся боль в животе и увеличение его в объеме с последующей лихорадкой, ночной потливостью и потерей массы тела.
В настоящее время роль ПЭТ/КТ с 18-ФДГ на этапах лечебно-диагностического маршрута при НХЛ и лимфоме Ходжкина неоспорима [6, 11, 17].
Прежде всего, это касается установления распространенности опухолевого процесса и оценки эффекта проводимой терапии. Гибридные технологии всегда полезны при выборе метаболически активных участков для биопсии под навигацией, что увеличивает вероятность диагностического результата [22].
При перитонеальном лимфоматозе ПЭТ/КТ с 18-ФДГ имеет большую чувствительность и точность в определении экстранодальных участков по сравнению с КТ. Кроме того, результаты ПЭТ/КТ с 18-ФДГ меняют выбор тактики лечения у 25% пациентов, что позволяет реализовать персонализированный подход [23].
ПЭТ/КТ с 18-ФДГ продемонстрировала 100% чувствительность и 97% специфичность при диагностике перитонеального поражения относительно 88% чувствительности и 97% специфичности при КТ [24].
При перитонеальном лимфоматозе различают два типа метаболизма глюкозы: узелковый и диффузный. Причем высокоагрессивные и агрессивные лимфомы и лимфома Ходжкина проявляют высокий метаболизм к ФДГ, в то время как индолентные лимфомы имеют низкое или даже нулевое поглощение ФДГ [22].
В настоящее время при диагностике перитонеального лимфоматоза проводится, как правило, качественная оценка результатов ПЭТ/КТ [6, 10, 17].
В то же время количественный анализ показателя SUVmax не нашел должного отражения. Вероятно, это обусловлено небольшим количеством наблюдений в доступной литературе. Тем не менее его величина из имеющихся колеблется от 8,8 до 14,5, медиана – 11 [6, 14].
Согласно результатам ПЭТ/КТ с 18-ФДГ у пациентки Н. имелась высокая авидность к 18-ФДГ, которую следует трактовать как диффузный метаболический тип с патологическим распространением по париетальному и висцеральному листкам брюшины, брыжейки и сальника.
Дифференциальная диагностика перитонеального лимфоматоза и других поражений брюшинного покрова, имеющих схожую клиническую картину, представляет определенную трудность, особенно в методах медицинской визуализации, поскольку они порой имеют схожую клиническую картину и большие различия с точки зрения лечения и прогноза.
F. Cabral и соавт. (2013 г.) опубликовали данные, оценивающие роль КТ и ПЭТ/КТ в дифференциальной диагностике перитонеального лимфоматоза, канцероматоза и саркоматоза. Согласно приведенным данным для перитонеального лимфоматоза характерны наличие объемных масс, диффузная лимфаденопатия и незначительный асцит. Кроме того, диффузное объемное поражение сальника без узловых образований, выявленное при КТ, свидетельствует также в пользу перитонеального лимфоматоза [17].
С нашей точки зрения, критерии, разработанные авторами, позволяют избежать ошибок при проведении дифференциальной диагностики различных вариантов поражения брюшины.
Аналогичного мнения придерживаются и другие исследователи.
Так, E. Yoo и соавт. (2007 г.) считают, что однородная инфильтрация сальника без узлов и при наличии лимфаденопатии является признаком перитонеального лимфоматоза [25].
В представленном нами случае у пациентки имелись незначительный асцит, диффузное поражение париетального и висцерального листков брюшины, сальника и брыжейки с поражением мезентериальных лимфоузлов, а также массивное заполнение брюшной полости и малого таза опухолевой массой с повышенной фиксацией РФП, SUVmax составлял 14,5.
E. Curakova и соавт. (2014 г.) считают, что биопсия брюшины может помочь установить окончательный диагноз перитонеального лимфоматоза [4]. Однако в классификации Всемирной организации здравоохранения опухолей гемопоэтической и лимфоидной тканей (2022 г.) подчеркивается, что пункционная биопсия не считается оптимальной для первичной диагностики. Биопсия допустима лишь при тяжелом состоянии пациента и малодоступной локализации очага поражения для ее забора [26].
Для гистологического и иммуногистохимического исследования необходимо выполнять эксцизионную биопсию во время диагностической лапароскопии или иных оперативных вмешательств [26].
E. Yoo и соавт. (2007 г.) считают, что большой сальник при лимфомах обычно не поражается, поскольку он состоит из фиброзно-жировой ткани, лишенной лимфоидной [25].
Другие исследователи придерживаются противоположной точки зрения. Так, при вскрытии 322 умерших с НХЛ обнаружили поражение большого сальника у 64 (20%) из них [20].
В нашем клиническом случае во время лапароскопии большой сальник оказался диффузно утолщен, пластом покрывал подлежащие петли тонкой кишки без образования в нем узлов. Из него выполнена эксцизионная биопсия. При гистологическом исследовании выявлена ДВККЛ. На основании изложенного мы считаем, что большой сальник может поражаться при НХЛ.
Признаки, которые составляют диагностическую основу для перитонеального лимфоматоза при НХЛ, включают наряду с изложенными также поражение брыжейки, которое может иметь звездчатый вид на КТ органов брюшной полости из-за ее инфильтрации [27].
Кроме того, у большинства пациентов с перитонеальным лимфоматозом наблюдается легкий или умеренный асцит [20]. Ключевую роль в диагностике играют увеличенные мезентериальные или забрюшинные лимфоузлы. Однако описаны и атипические случаи без их увеличения [6, 21, 28].
В представленном случае у пациентки имелся незначительный асцит, при цитологическом исследовании которого заподозрена НХЛ. Увеличенные мезентериальные лимфоузлы находились в толще опухолевой массы.
Заключение
Перитонеальный лимфоматоз является редким проявлением агрессивных гистологических подтипов НХЛ, в частности ДВККЛ. Применение ПЭТ/КТ с 18-ФДГ является основной опцией среди методов медицинской визуализации по ранней диагностике перитонеального лимфоматоза, что способствует началу своевременного лечения. К признакам поражения брюшины при перитонеальном лимфоматозе по данным ПЭТ/КТ с 18-ФДГ следует отнести: диффузную инфильтрацию брюшинного покрова, сальника без образования узлов, брыжейки; наличие опухолевых масс; наличие пораженных мезентериальных или забрюшинных лимфоузлов.
Специфических клинических проявлений нет, чаще имеют место длительная неопределенная боль в животе и увеличение его в объеме, лихорадка, ночная потливость и потеря массы тела.
Раскрытие интересов. Авторы декларируют отсутствие явных и потенциальных конфликтов интересов, связанных с публикацией настоящей статьи.
Disclosure of interest. The authors declare that they have no competing interests.
Вклад авторов. Авторы декларируют соответствие своего авторства международным критериям ICMJE. Все авторы в равной степени участвовали в подготовке публикации: разработка концепции статьи, получение и анализ фактических данных, написание и редактирование текста статьи, проверка и утверждение текста статьи.
Authors’ contribution. The authors declare the compliance of their authorship according to the international ICMJE criteria. All authors made a substantial contribution to the conception of the work, acquisition, analysis, interpretation of data for the work, drafting and revising the work, final approval of the version to be published and agree to be accountable for all aspects of the work.
Источник финансирования. Авторы декларируют отсутствие внешнего финансирования для проведения исследования и публикации статьи.
Funding source. The authors declare that there is no external funding for the exploration and analysis work.
Информированное согласие на публикацию. Пациентка подписала форму добровольного информированного согласия на публикацию медицинской информации.
Consent for publication. Written consent was obtained from the patient for publication of relevant medical information and all of accompanying images within the manuscript.
About the authors
Nikolai A. Ognerubov
Russian Medical Academy of Continuous Professional Education
Author for correspondence.
Email: ognerubov_n.a@mail.ru
ORCID iD: 0000-0003-4045-1247
D. Sci. (Med.), D. Sci. (Jur.)
Russian Federation, MoscowTatiana S. Antipova
Federal Network of Nuclear Medicine Centers "PET-Technology"
Email: ognerubov_n.a@mail.ru
ORCID iD: 0000-0003-4165-8397
radiologist
Russian Federation, MoscowIrina V. Poddubnaya
Russian Medical Academy of Continuous Professional Education
Email: ognerubov_n.a@mail.ru
ORCID iD: 0000-0002-0995-1801
D. Sci. (Med.), Prof., Acad. RAS
Russian Federation, MoscowReferences
- Ferlay J, Ervik M, Lam F, et al. Global Cancer Observatory: Cancer Today (version 1.1). Lyon, France: International Agency for Research on Cancer, 2024. Available at: https://gco.iarc.who.int/today. Accessed: 20.09.2024.
- Российские клинические рекомендации по диагностике и лечению лимфопролиферативных заболеваний. Под ред. И.В. Поддубной, В.Г. Савченко. M. 2018 [Rossiiskiie klinicheskiie rekomendatsii po diagnostike i lecheniiu zlokachestvennykh limfoproliferativnykh zabolevanii. Pod red. IV Poddubnoi, VG Savchenko. Moscow. 2018 (in Russian)].
- Lee WK, Lau EW, Duddalwar VA, et al. Abdominal manifestations of extranodal lymphoma: spectrum of imaging findings. AJR Am J Roentgenol. 2008;191:198-206. doi: 10.2214/AJR.07.3146
- Curakova E, Genadieva-Dimitrova M, Misevski J, et al. NonHodgkin's Lymphoma with Peritoneal Localization. Case Rep Gastrointest Med. 2014;2014:723473. doi: 10.1155/2014/723473
- Runyon BA, Hoefs JC. Peritoneal lymphomatosis with ascites. A characterization. Arch Intern Med. 1986;146(5):887-8.
- Fujimi A, Nagamachi Y, Yamauchi N, et al. High-grade B-cell lymphoma, not otherwise specified, presenting as primary peritoneal lymphomatosis and successfully treated with dose-adjusted EPOCH-R. J Clin Exp Hematop. 2024;64(1):37-44. doi: 10.3960/jslrt.23044
- Elged BA, Karam R, Khaled R, et al. Intestinal and peritoneal lymphoma complicating Chron’s disease. Egypt J Radiol Nucl Med. 2024;55:51. doi: 10.1186/s43055-024-01218-x
- Singh V, Kumar A, Singh P, et al. Extensive Extranodal Involvement in a case of Non-Hodgkin's Lymphoma with sparing of lymph nodes and lymphatic organs. Asia Ocean J Nucl Med Biol. 2021;9(1):39-44. doi: 10.22038/AOJNMB.2020.47774.1324
- Cunningham N, Ffrench-Constant S, Planche K, Gillmore R. Peritoneal lymphomatosis: a rare presentation of follicular lymphoma mimicking peritoneal carcinomatosis. BMJ Case Rep. 2015;2015:bcr2014207136. doi: 10.1136/bcr-2014-207136
- Shaikh DH, Gongati S, Salman SH, et al. Peritoneal Lymphomatosis: The Great Mimicker. Cureus. 2021;13(4):e14508. doi: 10.7759/cureus.14508
- Zhu M, Wu Z, Yang Z, et al. Non-Hodgkin's Lymphoma Presenting as Isolated Peritoneal Lymphomatosis: A Case Report and Literature Review. Front Oncol. 2021;11:719554. doi: 10.3389/fonc.2021.719554
- Flores E, Aydin N, Vu D, Misra S. A Case Series of diffuse large B-cell lymphoma and burkitt lymphoma presenting with peritoneal lymphomatosis. Int J Surg Case Rep. 2016;28:262-5. doi: 10.1016/j.ijscr.2016.10.007
- Kareff S, Yin C, Feigert J. High-grade B-cell lymphoma masquerading as peritoneal lymphomatosis. BMJ Case Rep. 2019;12(8):e231238. doi: 10.1136/bcr-2019-231238
- Feng B, Ma Q, Wang H, et al. A case of peritoneal Burkitt's lymphoma mimic of peritoneal tuberculosis. Respir Med Case Rep. 2024;47:101979. doi: 10.1016/j.rmcr.2024.101979
- Choi WY, Kim JH, Choi SJ, et al. Peritoneal lymphomatosis confused with peritoneal carcinomatosis due to the previous history of gastric cancer: a case report. Clin Imaging. 2016;40:837-9. doi: 10.1016/j.clinimag.2016.03.006
- O’Neill AC, Shinagare AB, Rosenthal MH, et al. Differences in CT features of peritoneal carcinomatosis, sarcomatosis, and lymphomatosis: retrospective analysis of 122 cases at a tertiary cancer institution. Clin Radiol. 2014;69;1219-27. doi: 10.1016/j.crad.2014.06.019
- Cabral FC, Krajewski KM, Kim KW, et al. Peritoneal lymphomatosis: CT and PET/CT findings and how to differentiate between carcinomatosis and sarcomatosis. Cancer Imaging. 2013;13(2):162-70. doi: 10.1102/1470-7330.2013.0018
- Glazer HS, Lee JK, Balfe DM, et al. Non-Hodgkin lymphoma: computed tomographic demonstration of unusual extranodal involvement. Radiology. 1983;149(1):211-7. doi: 10.1148/radiology.149.1.6225145
- Sharifah M, Zamzami N, Rafeah TN. Diuse peritoneal lymphomatosis simulating peritoneal carcinomatosis. Med J Malaysia. 2011;66:270-2.
- Karaosmanoglu D, Karcaaltincaba M, Oguz B, et al. CT findings of lymphoma with peritoneal, omental and mesenteric involvement: peritoneal lymphomatosis. Eur J Radiol. 2009;71:313-7. doi: 10.1016/j.ejrad.2008.04.012
- Chic Acevedo C, Ruiz Molina I, Contreras De Miguel E, Solís García E. Peritoneal lymphomatosis. A case report. Hematol Transfus Cell Ther. 2022;44(3):433-6. doi: 10.1016/j.htct.2020.12.003
- Cronin CG, Swords R, Truong MT, et al. Clinical utility of PET/CT in lymphoma. Am J Roentgenol. 2010;194:W91-103. doi: 10.2214/AJR.09.2637
- Paes FM, Kalkanis DG, Sideras PA, Serafini AN. FDG PET/CT of extranodal involvement in non-Hodgkin lymphoma and Hodgkin disease. Radiographics. 2010;30:269-91. doi: 10.1148/rg.301095088
- Dirisamer A, Schima W, Heinisch M, et al. Detection of histologically proven peritoneal carcinomatosis with fused 18F-FDG-PET/MDCT. Eur J Radiol. 2009;69:5365-41. doi: 10.1016/j.ejrad.2007.11.032
- Yoo E, Kim JH, Kim MJ, et al. Greater and lesser omenta: normal anatomy and pathologic processes. Radiographics. 2007;27:707-20. doi: 10.1148/rg.273065085
- Барам Д.В., Асауленко З.П., Спиридонов И.Н., Криволапов Ю.А. Классификация ВОЗ опухолей гемопоэтической и лимфоидной тканей, 2022 г. (5-е издание): опухоли лимфоидной ткани. Архив патологии. 2023;85(4):24-31 [Baram DV, Asaulenko ZP, Spiridonov IN, Krivolapov YuA. WHO classification of tumors of hematopoietic and lymphoid tissues, 2022 (5th edition): lymphoid tumors. Russian Journal of Archive of Pathology. 2023;85(4):24-31 (in Russian)]. doi: 10.17116/patol20238504124
- Kim Y, Cho O, Song S, et al. Peritoneal lymphomatosis: CT findings. Abdom Imaging. 1998;23:87-90. doi: 10.1007/s002619900292
- Wong S, Sanchez TRS, Swischuk LE, Huang FS. Diffuse peritoneal lymphomatosis: atypical presentation of Burkitt lymphoma. Pediatr Radiol. 2009;39:274-6. doi: 10.1007/s00247-008-1063-y
Supplementary files





