Benign metastasizing uterine leiomyoma. A case series. Systematic review
- Authors: Toneev E.A.1,2, Shagdaleev R.F.2, Toneeva S.N.3, Karabanova Y.A.1, Martynov A.A.1, Khabas G.N.4, Sheshko P.L.4, Shebzukhova Z.R.4, Kometova V.V.4
-
Affiliations:
- Regional Clinical Oncology Dispensary
- Ulyanovsk State University
- Ulyanovsk Regional Clinical Hospital
- Kulakov National Medical Research Center for Obstetrics, Gynecology and Perinatology
- Issue: Vol 26, No 2 (2024)
- Pages: 230-237
- Section: Articles
- Submitted: 17.04.2024
- Published: 03.07.2024
- URL: https://modernonco.orscience.ru/1815-1434/article/view/630120
- DOI: https://doi.org/10.26442/18151434.2024.2.202772
- ID: 630120
Cite item
Full Text
Abstract
Uterine leiomyoma (ULM) is one of the most common gynecological pathologies in women of reproductive age. The prevalence of this pathology varies across different age groups, with approximately 10% in the 20–35 age range, increasing to 40–45% after the age of 35. ULM metastasis is an extremely rare phenomenon, with only 411 cases reported in the literature, including our 3 observations. Several definitions exist, with the most common being benign metastasizing ULM, found in both domestic and foreign literature. Each observation is crucial, as there are currently no clear treatment algorithms for this patient category. The study presents 3 cases of successful treatment of patients with metastatic ULM in two institutions. A systematic review of domestic and foreign literature on this pathology is conducted. Twenty-two clinical observations in the Russian Federation and neighboring countries are analyzed. Analysis of foreign literature revealed records of 386 clinical observations of benign metastasizing ULM. Benign metastasizing ULM of the uterus represents a rare nosological form. Systematization is advisable for determining the optimal treatment and observation tactics.
Full Text
Введение
Лейомиома матки (ЛМ и ЛММ) в настоящее время является одной из самых распространенных гинекологических опухолей у женщин репродуктивного возраста, которая развивается из гладкомышечных клеток шейки или тела матки (ТМ) [1–3]. Данная опухоль выявляется примерно у 30% женщин репродуктивного возраста и у 70% женщин в начале менопаузы [2]. В свою очередь, доброкачественная метастазирующая ЛММ (ДМЛММ, код по Международной классификации болезней – онкологии – МКБ-О ICD.0-8898/1) – это редкое заболевание, которое характеризуется формированием множественных метастазов в органах и тканях у пациентов, имеющих в анамнезе ЛММ при подтвержденном отсутствии данных о другом опухолевом процессе [4]. Первое наблюдение ДМЛММ, опубликованное в литературе, описал P. Steiner в 1939 г., где данное заболевание обозначено как «метастазирующая фибролейомиома матки» [цит. по: 5].
Чаще всего очаги ДМЛММ обнаруживаются в легких [6], но также могут выявляться в полости малого таза (МТ и ПМТ), забрюшинном пространстве (ЗБП) [7] и других органах и тканях [8–13]. Учитывая малую распространенность данного заболевания, что подтверждают 411 случаев наблюдений ДМЛММ, описанных в литературных источниках, включая наши 3 наблюдения, а также отсутствие единого патогенеза, сложности в дифференциальной диагностике, исследование данной патологии представляет существенную проблему. С учетом описанного представляем 3 клинических наблюдения успешного лечения пациенток с ДМЛММ.
Клинические наблюдения
Клинический случай 1. Пациентка С. 47 лет обратилась в ГУЗ ОКОД г. Ульяновска в марте 2016 г. с жалобами на дискомфорт в животе, а также наличие новообразования в ТМ по данным инструментальных методов диагностики (ультразвукового исследования органов брюшной полости – БП, магнитно-резонансной томографии МТ). Появление жалоб отмечала в течение 3 мес. В гинекологическом анамнезе у пациентки 1 роды и 1 аборт. После дообследования пациентке выполнена операция лапаротомии, экстирпации матки с левыми придатками. Послеоперационный период гладкий, осложнений не отмечалось.
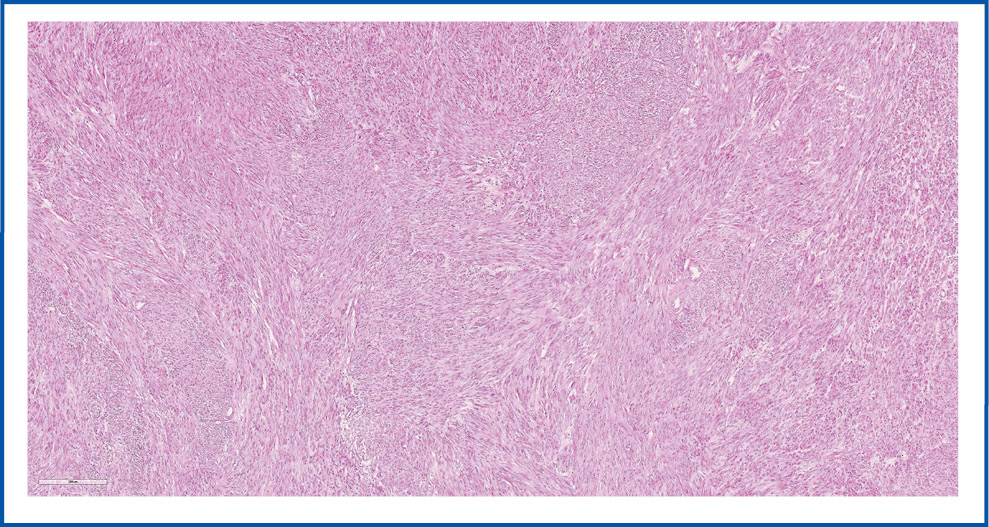
Гистологическое исследование: в ТМ определяются множественные четкие беловатые узлы, плотноэластической консистенции, на разрезе слоистые. Микроскопически хорошо очерченные множественные узлы с четкими границами, представленные переплетающимися пучками мономорфных удлиненных веретенообразных клеток с обильной эозинофильной цитоплазмой, ядрами овальной формы, незаметными ядрышками. Некроз, фигуры митозов и сосудистая инвазия в опухоли не определяются. Установлен диагноз многоузловой ЛММ (рис. 1).
Рис. 1. ЛММ. Окраска гематоксилин-эозином, ×20.
Fig. 1. Uterine leiomyoma (ULM). Hematoxylin and eosin staining, ×20.
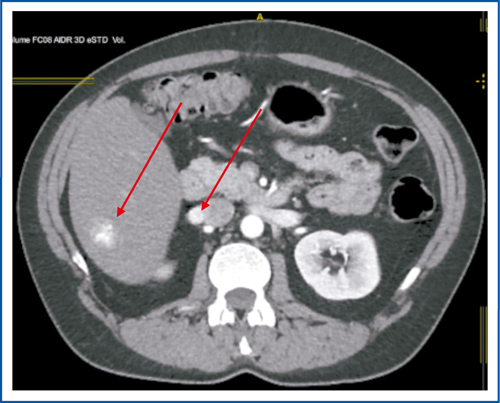
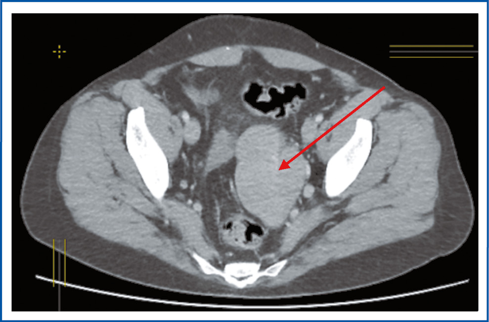
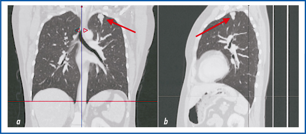
Через 6 лет, в мае 2022 г., пациентка снова обратилась в ГУЗ ОКОД г. Ульяновска, при осмотре – жалобы на боли в животе умеренного характера, слабость. При обследовании по данным мультиспиральной компьютерной томографии (МСКТ и КТ) с контрастным усилением выявлено наличие однородного многоузлового новообразования слева в ЗБП 7×5×8 см с интенсивным накоплением контрастного вещества (рис. 2), множественные образования печени, лимфатические узлы (ЛУ) ворот печени – до 14 мм (рис. 3), 2 образования в легких: 1 – в верхней доле левого легкого, 1 – в нижней доле правого легкого (рис. 4, 5).
Рис. 2. МСКТ. Стрелкой указано новообразование в ЗБП.
Fig. 2. Multispiral computed tomography (MSCT). The arrow indicates the neoplasm in the abdominal space.
Рис. 3. МСКТ. Стрелками указаны новообразования печени, измененные ЛУ ворот печени.
Fig. 3. MSCT scan. Arrows indicate formations in the liver and altered lymph nodes at the hepatic hilum.
Рис. 4. МСКТ. Стрелкой указано новообразование в нижней доле правого легкого.
Fig. 4. MSCT scan. The arrow indicates the neoplasm in the lower lobe of the right lung.
Рис. 5. МСКТ. Стрелкой указано новообразование в верхней доле левого легкого.
Fig. 5. MSCT scan. The arrow indicates the neoplasm in the upper lobe of the left lung.
Анализ на онкологические маркеры: HE4 (human epididymis protein 4) – 41 Ед/мл, CA125 (cancer antigen 125) – 7,5 Ед/мл. После комплексного дообследования выполнено оперативное лечение: удаление забрюшинной опухоли МТ, овариоэктомия справа и взята биопсия образования печени.
После гистологического исследования опухоли ЗБП МТ получено заключение: многоузловая ЛМ ЗБП, при гистологическом исследовании новообразования печени атипичных клеток не выявлено.
После реабилитации в послеоперационный период через 1 мес в условиях хирургического торакального отделения ГУЗ ОКОД г. Ульяновска оперативное лечение: видеоторакоскопия слева, атипичная резекция верхней доли, видеоторакоскопия справа, атипичная резекция нижней доли. Послеоперационный период протекал без осложнений.
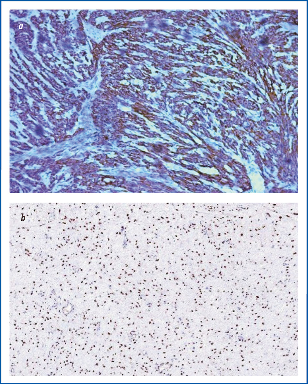
Плановое гистологическое исследование образования верхней доли левого легкого: макроскопически в ткани легкого определялся плотный беловатый дольчатый узел с четкими границами 5×2×1,5 см в 1,5 см от линии резекции; микроскопически: в легочной ткани рост гистологически доброкачественной веретеноклеточной опухоли (1 митоз на 10 полей зрения микроскопа при большом увеличении, отсутствие некрозов и цитологической атипии), вероятнее всего, гладкомышечного происхождения (рис. 6). Иммуногистохимически: в опухоли диффузно экспрессируется SMA (smooth muscle actin), Desmin, Caldesmon, Calponin, ER (estrogen receptor), Ki-67 – 2–4%, не экспрессируется S100, CD34 (cluster of differentiation 34), CK-pan (pan cytokeratin), TTF-1 (thyroid transcription factor; рис. 7). С учетом данных анамнеза и иммуноморфологии опухоли выставлен диагноз: доброкачественная метастазирующая ЛМ (код по МКБ-О – ICD.0-8898/1).
Рис. 6. ДМЛМ. Окраска гематоксилин-эозином, ×20.
Fig. 6. Benign metastasizing LM. Hematoxylin and eosin staining, ×20.
Рис. 7. ДМЛМ. Иммуногистохимическое исследование с антителами SMA (a) и с антителами к рецепторам эстрогенов (b), ×20.
Fig. 7. Benign metastasizing LM. Immunohistochemical staining with SMA antibodies (a) and estrogen receptor antibodies (b), ×20.
Гистологическое исследование образования нижней доли правого легкого: морфологически опухоль имеет идентичное строение вышеописанной опухоли.
Мультидисциплинарный консилиум врачей ГУЗ ОКОД г. Ульяновска: с учетом клинической картины показано динамическое наблюдение, МСКТ 1 раз в 3 мес. При контрольном осмотре через 6 мес без признаков прогрессирования по очагам в печени.
Клинический случай 2. Пациентка Ж. 48 лет наблюдалась у гинеколога с 2007 г., когда выявлена миома матки 1 см; в связи с эпидемиологической обстановкой в 2019 и 2020 г. контрольное обследование не проходила. В августе 2021 г. возникла клиника острой задержки мочи, в порядке оказания скорой медицинской помощи госпитализирована в ГБУЗ «ГКБ им. С.С. Юдина» г. Москвы, где острая задержка мочи разрешена, при обследовании выявлено: в БП и ПМТ определяется объемное, хорошо васкуляризованное образование 333×237×237 мм с компрессионным воздействием на окружающие органы. Пиелоэктазии с обеих сторон. Образование четырехглавой мышцы бедра слева. Онкомаркеры от 25.09.2021: CA125 – 42 Ед/мл, ROMA (Risk of Ovarian Malignancy Algorithm) – 41,2%. Пациентка обратилась в ФГБУ «НМИЦ АГП им. акад. В.И. Кулакова». После дообследования выполнено оперативное лечение: срединная лапаротомия; экстирпация матки с придатками, тазовая, поясничная лимфаденэктомия, резекция большого сальника (БС); удаление опухоли мягких тканей верхней трети левого бедра. Послеоперационный период гладкий.
При патологоанатомическом исследовании макропрепарата: матка представлена многоузловым конгломератом общим размером 30×28×20 см, при разрезе матки выявлялось множество плотных узловых образований желтовато-серого цвета, волокнистого вида, размером от 0,5 до 2 см. Образование располагалось преимущественно по передней стенке ТМ с прорастанием всех слоев. В яичниках и тубоовариальных связках слева и справа определялись множественные опухолевые узлы (ОУ) аналогичного строения ОУ в матке, размерами от 1 до 13 см. В тазовых ЛУ справа и слева обнаружены аналогичные плотные узлы от 0,5 до 1 см в диаметре. Образование мягких тканей левого бедра представлено ОУ аналогичного строения размером 3×2,5×1,5 см. При микроскопическом исследовании все образования представлены доброкачественной опухолевой тканью в виде переплетающихся гладкомышечных волокон с низкой митотической активностью опухолевых клеток (ОК) без полиморфизма, очагов некроза и кровоизлияний (рис. 8). Морфологическая картина соответствовала ЛММ, мягких тканей левого бедра, тазовых ЛУ (рис. 9), обоих яичников и тубоовариальных связок ТМ.
Рис. 8. Микрофотография метастатической ЛММ (доброкачественная мезенхимальная опухоль, представленная пучками переплетающихся веретеновидных клеток гладкомышечного типа без атипии). Окраска гематоксилин-эозином, ×100.
Fig. 8. Microphotograph of metastatic ULM (benign mesenchymal tumor) represented by bundles of interwoven spindle-shaped smooth muscle cells without atypia. Hematoxylin and eosin staining, ×100.
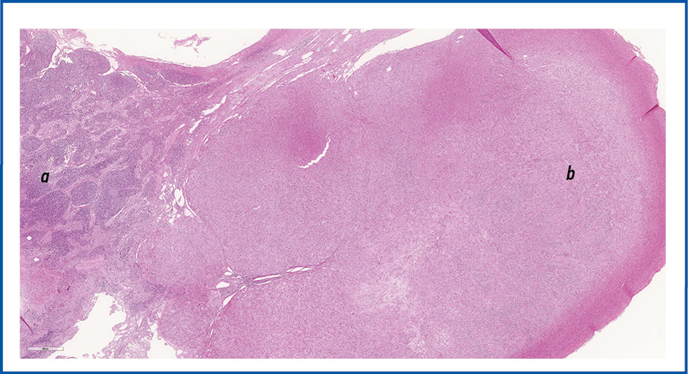
Рис. 9. Метастаз ЛМ в парааортальный ЛУ: a – остаточная ткань ЛУ; b – метастатическая ткань ЛМ. Окраска гематоксилин-эозином, ×100.
Fig. 9. Metastasis of LM to the para-aortic lymph node: a – residual tissue of the lymph node; b – metastatic tissue of LM. Hematoxylin and eosin staining, ×100.
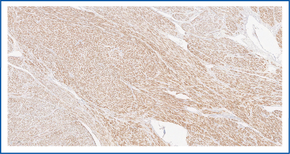
При иммуногистохимическом исследовании выявлена положительная экспрессия с маркерами к эстрогеновым рецепторам, рецепторам прогестерона, к кальдесмону, десмину (рис. 10, 11). Негативная экспрессия была к маркерам CD10, CD99, Cyclin D1. Индекс пролиферативной активности ОК был низким и составил 5% (рис. 12).
Рис. 10. Позитивная ядерная экспрессия рецепторов прогестерона в 100% клетках ЛМ. Иммуногистохимическая реакция с рецепторами прогестерона (клон 1E2).
Fig. 10. Positive nuclear expression of progesterone receptors in 100% of LM cells. Immunohistochemical reaction with progesterone receptor (clone 1E2).
Рис. 11. Позитивная экспрессия маркера кальдесмона в клетках опухоли, что соответствует гладкомышечному генезу ОК (ЛМ). Иммуногистохимическая реакция с кальдесмоном (клон E-89).
Fig. 11. Positive expression of caldesmon marker in tumor cells, corresponding to the smooth muscle origin of tumor cells (LM). Immunohistochemical reaction with caldesmon (clone E-89).
Рис. 12. Низкая пролиферативная активность ОК. Ki-67 – 5%. Иммуногистохимическая реакция с Ki-67 (клон 30-9).
Fig. 12. Low proliferative activity of tumor cells. Ki-67 – 5%. Immunohistochemical reaction with Ki-67 (clone 30-9).
Проведено молекулярно-генетическое исследование: микросателлитный анализ локусов D3S1295, D9S942, D10S1213, D10S1146, D10S218. Потерь гетерозиготности и микросателлитной нестабильности, характерных для лейомиосаркомы матки, не выявлено. С учетом морфологии и иммуногистохимического и молекулярно-генетического исследований пациентке выставлен патологоанатомический диагноз – метастазирующая ЛММ. Код по МКБ-О – ICD.0-8898/1. Метастазы опухоли в тазовых ЛУ (в 4 из 17), в 1 из 3 парааортальных. Метастаз в мягких тканях левого бедра. В сальнике – без опухолевого роста. Патологоанатомическая стадия – рТ2bN2.
После выписки из стационара пациентке рекомендовано с учетом гистологической картины динамическое наблюдение. При контрольном осмотре через 1 год по данным МСКТ органов БП с контрастированием, объемных образований в БП не выявлено.
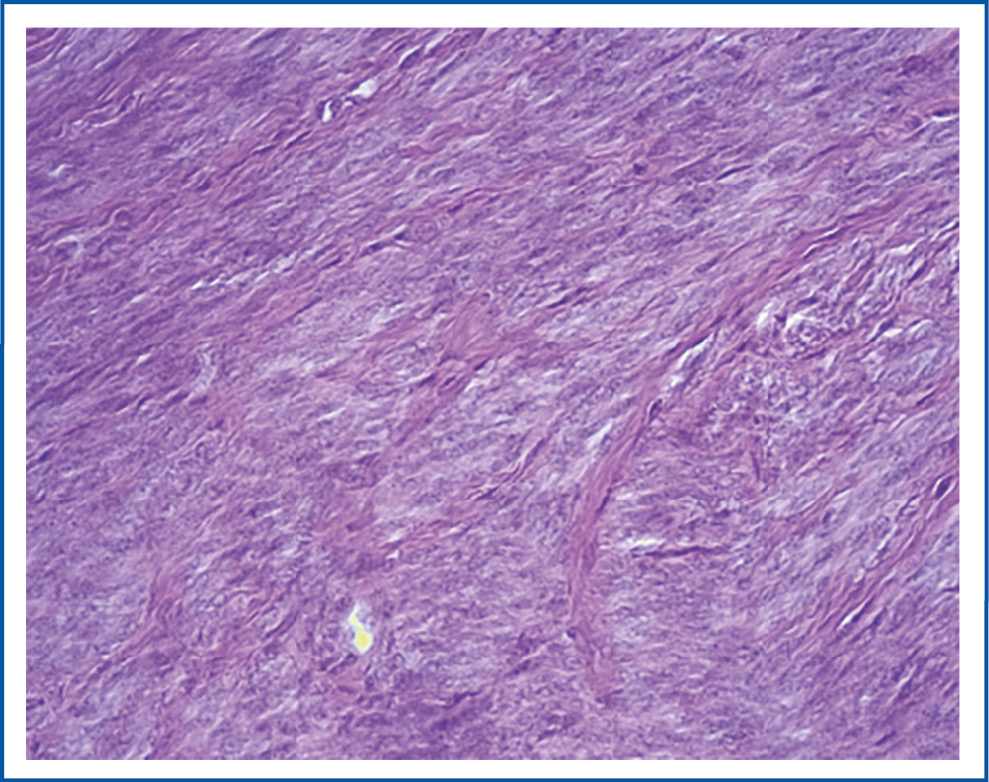
Клинический случай 3. Пациентка К. 49 лет обратилась в марте 2021 г. в ФГБУ «НМИЦ АГП им. акад. В.И. Кулакова» с жалобами на увеличение живота в размерах, тянущие боли в животе. Из анамнеза: в 2010 г. выполнена лапароскопическая миомэктомия, МСКТ органов БП с внутривенным контрастированием: матка увеличена в размере 16×18,7 см в поперечнике, 19 см вертикально; с четкими бугристыми контурами, после введения контрастного препарата – неоднородной структуры. Придаток справа размерами 3,5×7 см в поперечнике, неоднородной структуры. Яичниковая вена справа 1,4 см в диаметре, дефекты наполнения не выявлены. Придаток слева четко не дифференцируется. Яичниковая вена слева 1,2 см в диаметре, дефекты наполнения не выявлены. Свободная жидкость в ПМТ не выявлена. Патологические ЛУ в ПМТ не выявлены. По брюшине сигмовидной кишки, в проекции БС расположены немногочисленные мягкотканые структуры, размерами до 1,0 см в диаметре, накапливающие контрастный препарат в венозную фазу. Другой дополнительной органической патологии не выявлено. Онкомаркеры CA125 – 39,19 Ед/мл, HE4 – 85,16 Ед/мл, α-фетопротеин, раковый эмбриональный антиген С19-9 в норме. С учетом клинической картины выставлены показания для оперативного лечения. Выполнено оперативное вмешательство в объеме лапаротомии, экстирпации матки с маточными трубами, тазовой и частично абдоминальной перитонэктомии, резекции БС, удаления образований БП. Овариоэктомия не выполнена ввиду категорического отказа пациентки. Послеоперационный период гладкий, без осложнений.
При патологоанатомическом исследовании макропрепарата: матка увеличена в размерах 18×18×15 см за счет множественных узловых образований серого цвета, плотной консистенции, размером до 15 см в диаметре. Аналогичные узловые образования выявлены в биоптате брюшины таза размером от 0,3 до 1 см, в биоптате брюшины диафрагмы справа – размером от 0,2 до 0,8 см, в БС – размером от 0,5 до 3 см. При микроскопическом исследовании все образования представлены доброкачественной опухолевой тканью в виде переплетающихся гладкомышечных волокон с низкой митотической активностью ОК (3–5 митозов на 10 полей зрения). Морфологическая картина соответствовала множественной ЛММ с наличием метастатических узлов ЛМ в брюшине таза, брюшине диафрагмы, БС (рис. 13). При иммуногистохимическом исследовании выявлена положительная экспрессия с маркерами к эстрогеновым рецепторам, рецепторам прогестерона. Индекс пролиферативной активности ОК был низким и составил 2%.
Рис. 13. Микрофотография множественных метастатических узлов в БС. Окраска гематоксилин-эозином, ×20.
Fig. 13. Microphotograph of multiple metastatic nodes in the greater omentum. Hematoxylin and eosin staining, ×20.
С учетом морфологической картины и иммуногистохимического исследования пациентке выставлен диагноз: метастазирующая ЛММ, диссеминированный перитонеальный лейомиоматоз с поражением серозной оболочки ТМ, брюшины МТ, брюшины диафрагмы, БС. Код по МКБ-О – ICD.0-8898/1. В шейке матки, эндометрии, маточных трубах опухолевого роста не обнаружено. Эндометриальный полип без атипии.
С учетом клинической картины пациентке рекомендовано динамическое наблюдение. При контрольном осмотре через 6 мес по данным КТ органов грудной клетки, БП с контрастным усилением – без признаков прогрессирования.
Систематический обзор
С учетом редкости клинического наблюдения авторами проведен систематический обзор доступной литературы в базах PubMed, Google Scholar, Cochrane, Embase, eLibrary, поиск и проведение обзора проводились согласно протоколу PRISMA (Preferred Reporting Items for Systematic reviews and Meta-Analysis). Поиск среди опубликованных источников проводили по 01.02.2024.
Критериями включения в систематический обзор были статьи на английском и русском языках в указанных базах, ключевые слова: «метастатическая доброкачественная лейомиома», «метастатическая лейомиома», «метастазы лейомиомы матки». Опубликованные русскоязычные результаты представлены в табл. 1.
Таблица 1. Случаи доброкачественной метастазирующей ЛММ (публикации на русском языке) Table 1. Cases of benign metastasizing ULM (publications in Russian language). | ||
Автор | Год публикации (число случаев ДМЛММ) | Локализация метастазов |
Суханова Е.М. и соавт. [14] | 1999 (1) | Легкие |
2010 (2) | Легкие | |
Давыдова А.А. и соавт. [17], Андреева Ю.Ю. и соавт. [18], Леншин А.В. и соавт. [19] | 2012 (3) | Легкие, тазовый ЛУ |
Должиков А.А. и соавт. [20] | 2013 (2) | Легкие |
2017 (2) | Позвоночник, мышечная ткань, легкие | |
Решетов А.В. и соавт. [23] | 2018 (1) | Легкие |
Андреева Ю.Ю. и соавт. [24] | 2019 (2) | Не определены |
2020 (2) | Легкие, вульва | |
Ермолова Н.В. и соавт. [27], Двораковская И.В. и соавт. [28] | 2021 (4) | Легкие |
Воропаев Д.Д. и соавт. [29] | 2022 (1) | Передняя брюшная стенка |
2023 (2) | Легкие | |
В настоящий момент в русскоязычной литературе вместе с нашими наблюдениями опубликовано 25 случаев. При анализе зарубежной литературы в представленных базах нами найдены результаты лечения 386 пациентов. Таким образом, общее количество опубликованных случаев по состоянию на 01.02.2024 – 411.
Средний возраст на момент постановки диагноза составил 47,1 года, наибольшее количество наблюдений, а именно 45,5% (187/411), зарегистрировано у пациенток среднего возраста в диапазоне 45–59 лет. Наиболее частым местом метастазирования были легкие, поражающие 83,2% (342/411). Далее по частоте встречаемости следовала БП и ЗБП – 18% (74/411), кости – 5,3% (22/411), ЛУ – 4,6% (19/411). Остальные локализации представлены единичными наблюдениями, также у части пациентов не удалось собрать полноценные данные ввиду отсутствия уточнения в публикации.
У 16,7% (69/411) пациентов наблюдалось множественное метастазирование в различные органы. Клинические проявления, как правило, представлены степенью распространенности процесса и значительно отличаются в публикациях. При локализации метастатического процесса в легких данные очаги выявлены случайно при динамическом/диспансерном осмотре. Единичные публикации отражают влияние образования в легких на клиническую картину (одышка, кашель, в 13 случаях образование выявлено при спонтанном пневмотораксе).
Обсуждение
Метастазирование доброкачественных опухолей является редким феноменом. Впервые данное явление описано в литературе в 1889 г. G. Krische, который опубликовал случай метастазирования фибромиомы матки; 2-е клиническое наблюдение продемонстрировал P. Langerhans в 1893 г., который описал случай множественного узлового поражения матки и легких у 60-летней пациентки. В 1901 г. P. Minkowski описал 3-й случай метастатического поражения печени и легких у 43-летней пациентки через 2 года после гистерэктомии. В последующем обобщил материалы и ввел термин «доброкачественная метастазирующая фибролейомиома» P. Steiner в 1939 г. в Чикагском университете [цит. по: 5]. Несмотря на давность исследования этой патологии, патогенез развития доброкачественных метастазов ЛММ остается не до конца изученным. Однако имеются данные о том, что большинство пациенток с ЛММ имели в анамнезе диагностическое выскабливание, миомэктомии, гистерэктомии, которые можно рассматривать как факторы риска развития ДМЛММ. В наших клинических наблюдениях у 2 пациенток в анамнезе выполнено хирургическое вмешательство на матке (миом-, гистерэктомия по поводу миомы), у 1 больной хирургического вмешательства не было, но был длительный период наблюдения за миомой. В настоящее время выделяют несколько гистологических типов опухоли ТМ, ассоциированных с последующими ДМЛММ: миксоидный, сосудистый, атипичный, эпителиоидный, липолейомиоматозный. Установлен эстрогензависимый рост первичных миоматозных очагов в матке и метастатических очагов в других органах [32, 33]. Имеются данные, подтверждающие метастазирование ЛММ в легкие и другие органы, согласно которым ЛМ легких встречается очень редко, а при ДМЛММ опухоли в легких имеют рецепторы эстрогенов и регрессируют под воздействием лечения [4].
В литературных источниках имеются несколько наиболее вероятных концепций развития ДМЛММ: гормональная стимуляция, перитонеальное распространение, лимфои гематогенное распространение, целомическая метаплазия [34]. Наиболее распространенной является концепция гематогенного распространения, в соответствии с которой клетки опухоли ТМ попадают в системный кровоток при выполнении оперативного вмешательства на матке с последующей имплантацией ОК в различных тканях и органах. Поражения легких обычно обнаруживаются через несколько лет после гистерили миомэктомии, данные метастатические опухоли имеют медленный рост [32]. K. Kayser и соавт. в исследовании демонстрируют, что средний интервал времени между гистерэктомией и развитием ДМЛМ составляет 14,9 года [34]. У наших пациенток интервал между началом лечения и клиническим проявлениям метастатического процесса составил 6, 5, 14 и 11 лет соответственно.
Сложность дифференциальной диагностики ДМЛММ заключается в том, что при проведении КТ картину ОУ приходится дифференцировать с паразитарными кистами, очагами саркоидоза, милиарного туберкулеза, метастазами из первичного невыявленного очага [19]. Необходимо также сказать, что ДМЛММ обладают низкой метаболической активностью в сравнении с другими опухолями по результатам позитронно-эмиссионной КТ [32].
Поскольку патогенез ДМЛММ остается не до конца изученным, также не решен вопрос тактики лечения. А.А. Печетов и соавт. в клиническом наблюдении применяли курс антиэстрогенных препаратов спустя 6 мес после хирургического лечения ЛММ, и безрецидивный период наблюдения составил 7 мес после завершения курса терапии [25]. Тем не менее, согласно исследованию А.В. Леншина и соавт. (2017 г.), безрецидивное наблюдение может продолжаться несколько дольше без применения антиэстрогенных препаратов [22]. В наших наблюдениях при контрольном обследовании не получены данные, свидетельствующие о прогрессировании опухоли, что, возможно, связано с менопаузой пациенток и низким гормональным фоном. С учетом данных фактов вопрос тактики ЛММ остается открытым.
Ю.Ю. Андреева и соавт. в исследовании предлагают заменить широко распространенный термин ДМЛММ на «систематический лейомиоматоз», поскольку ни данные опухоли, ни их метастазы не имели морфологических или генетических признаков злокачественности [18]. Данное предложение спорно, так как, согласно нашему анализу, только в 16,7% случаев встречается поражение сразу нескольких органов, во всех остальных случаях ДМЛММ проявляется в виде солитарных образований.
Заключение
Таким образом, ДМЛММ остается достаточно редким заболеванием с малым количеством описанных в литературе случаев. Это обусловливает актуальность исследования данной патологии и определяет целый ряд нерешенных проблем по ведéнию пациенток с этим заболеванием от определения факторов риска развития заболевания и его профилактики до его комплексного лечения, а также, возможно, требует пересмотра сложившейся терминологии.
Раскрытие интересов. Авторы декларируют отсутствие явных и потенциальных конфликтов интересов, связанных с публикацией настоящей статьи.
Disclosure of interest. The authors declare that they have no competing interests.
Вклад авторов. Авторы декларируют соответствие своего авторства международным критериям ICMJE. Все авторы в равной степени участвовали в подготовке публикации: разработка концепции статьи, получение и анализ фактических данных, написание и редактирование текста статьи, проверка и утверждение текста статьи.
Authors’ contribution. The authors declare the compliance of their authorship according to the international ICMJE criteria. All authors made a substantial contribution to the conception of the work, acquisition, analysis, interpretation of data for the work, drafting and revising the work, final approval of the version to be published and agree to be accountable for all aspects of the work.
Источник финансирования. Работа выполнялась в соответствии с планом научных исследований медицинского факультета им Т.З. Биктимирова Института медицины, экологии и физической культуры ФГБОУ ВО УлГУ (г. Ульяновск, Россия). Авторы декларируют отсутствие внешнего финансирования для проведения исследования и публикации статьи.
Funding source. The work was conducted in accordance with the research plan of the Faculty of Medicine named after T.Z. Biktimirov, Institute of Medicine, Ecology, and Physical Education, Ulyanovsk State University (Ulyanovsk, Russia). The authors declare that there is no external funding for the exploration and analysis work.
Соответствие принципам этики. Протокол исследования был одобрен локальным этическим комитетом ГУЗ ОКОД, ФГБОУ ВО УлГУ и ФГБУ «НМИЦ АГП им. акад. В.И. Кулакова». Одобрение и процедуру проведения протокола получали по принципам Хельсинкской конвенции.
Ethics approval. The study was approved by the local ethics committee of Regional Clinical Oncology Dispensary, Ulyanovsk State University, Kulakov National Medical Research Center for Obstetrics, Gynecology and Perinatology. The approval and procedure for the protocol were obtained in accordance with the principles of the Helsinki Convention.
Информированное согласие на публикацию. Пациенты подписали форму добровольного информированного согласия на публикацию медицинской информации.
Consent for publication. Written consent was obtained from the patients for publication of relevant medical information and all of accompanying images within the manuscript.
About the authors
Evgeny A. Toneev
Regional Clinical Oncology Dispensary; Ulyanovsk State University
Author for correspondence.
Email: e.toneev@inbox.ru
ORCID iD: 0000-0001-8590-2350
Cand. Sci. (Med.)
Russian Federation, Ulyanovsk; UlyanovskRoman F. Shagdaleev
Ulyanovsk State University
Email: e.toneev@inbox.ru
ORCID iD: 0009-0004-0218-666X
Clinical Resident
Russian Federation, UlyanovskSvetlana N. Toneeva
Ulyanovsk Regional Clinical Hospital
Email: e.toneev@bk.ru
ORCID iD: 0009-0003-3101-881X
obstetrician-gynecologist
Russian Federation, UlyanovskYulia A. Karabanova
Regional Clinical Oncology Dispensary
Email: dergunova.yu@mail.ru
ORCID iD: 0000-0002-7499-2650
Cand. Sci. (Med.)
Russian Federation, UlyanovskAlexander A. Martynov
Regional Clinical Oncology Dispensary
Email: e.toneev@bk.ru
ORCID iD: 0000-0003-4662-9886
thoracic surgeon
Russian Federation, UlyanovskGrigorii N. Khabas
Kulakov National Medical Research Center for Obstetrics, Gynecology and Perinatology
Email: e.toneev@inbox.ru
ORCID iD: 0000-0002-5011-9152
Cand. Sci. (Med.)
Russian Federation, MoscowPolina L. Sheshko
Kulakov National Medical Research Center for Obstetrics, Gynecology and Perinatology
Email: e.toneev@inbox.ru
ORCID iD: 0000-0003-3905-8026
Cand. Sci. (Med.)
Russian Federation, MoscowZalina R. Shebzukhova
Kulakov National Medical Research Center for Obstetrics, Gynecology and Perinatology
Email: e.toneev@inbox.ru
ORCID iD: 0000-0002-6889-5803
obstetrician-gynecologist
Russian Federation, MoscowVlada V. Kometova
Kulakov National Medical Research Center for Obstetrics, Gynecology and Perinatology
Email: e.toneev@inbox.ru
ORCID iD: 0000-0001-9666-6875
Cand. Sci. (Med.)
Russian Federation, MoscowReferences
- Кондриков НИ. Патология матки. Иллюстрированное руководство. М.: Практическая медицина, 2008 [Kondrikov NI. Patologiia matki. Illiustrirovannoe rukovodstvo. Moscow: Prakticheskaia meditsina, 2008 (in Russian)].
- Stewart EA, Cookson CL, Gandolfo RA, Schulze-Rath R. Epidemiology of uterine fibroids: A systematic review. BSJOG. 2017;124(10):1501-12. doi: 10.1111/1471-0528.14640
- Ikhena DE, Bulun SE. Literature review on the role of uterine fibroids in endometrial function. Reprod Sci. 2018;25(5):635-43. doi: 10.1177/1933719117725827
- Robboy SJ, Bentley RC, Butnor K, Anderson MC. Pathology and pathophysiology of uterine smooth-muscle tumors. Environ Health Perspect. 2000;108(Suppl. 5):779-84. doi: 10.1289/ehp.00108s5779
- Steiner PE. Metastasizing fibro-leiomyoma of the uterus: report of a case and review of the literature. Am J Pathol. 1939;15(1):89-110.7. PMID: 19970436
- Rao AV, Wilson J, Sylvester K. Pulmonary benign metastasizing leiomyoma following hysterectomy: A clinicopathologic correlation. J Thorac Oncol. 2008;3(6):674-6. doi: 10.1097/JTO.0b013e3181757a46
- Taubert HD, Wissner SE, Haskins AL. Leiomyomatosis peritonealis disseminata; an unusual complication of genital leiomypmata. Obstet Gynecol. 1965;25:561-74. PMID: 14268048
- Takemura G, Takatsu Y, Kaitani K, et al. Metastasizing uterine leiomyoma. A case with cardiac and pulmonary metastasis. Pathol Res Pract. 1996;192(6):622-9; discussion 630-3. doi: 10.1016/S0344-0338(96)80116-6
- Koh DM, Burn PR, King DM. Benign metastasizing leiomyoma with intracaval leiomyomatosis. Br J Radiol. 2000;73(868):435-7. doi: 10.1259/bjr.73.868.10844871
- Abell MR, Littler ER. Benign metastasizing uterine leiomyoma. Multiple lymph nodal metastases. Cancer. 1975;36(6):2206-13. doi: 10.1002/cncr.2820360938
- Horiuchi K, Yabe H, Mukai M, et al. Multiple smooth muscle tumors arising in deep soft tissue of lower limbs with uterine leiomyomas. Am J Surg Pathol. 1998;22(7):897-901. DOI:10.104/00000478-199807000-00012
- Alessi G, Lemmerling M, Vereecken L, De Waele L. Benign metastasizing leiomyoma to skull base and spine: A report of two cases. Clin Neurol Neurosurg. 2003;105(3):170-4. doi: 10.1016/s0303-8467(03)00002-7
- Jo JH, Lee JH, Kim DC, et al. A case of benign metastasizing leiomyoma with multiple metastasis to the soft tissue, skeletal muscle, lung and breast. Korean J Intern Med. 2006;21(3):199-201. doi: 10.3904/kjim.2006.21.3.199
- Суханова Е.М., Черняев А.Л. Доброкачественная метастазирующая в легкие фибролейомиома матки. Пульмонология. 1999;(3):90-2 [Sukhanova EM, Cherniaev AL. Dobrokachestvennaia metastaziruiushchaia v legkie fibroleiomioma matki. Pulmonologiya. 1999;(3):90-2 (in Russian)].
- Захарова Т.И., Паяниди Ю.Г., Жорданиа К.И., и др. Лейомиомы матки и метастазы: описание клинического наблюдения. Опухоли женской репродуктивной системы. 2010;(2):68-70 [Zakharova TI, Payanidi YuG, Zhordania KI, et al. Uterine leiomyomas and metastases: Description of a case. Tumors of Female Reproductive System. 2010;(2):68-70 (in Russian)]. doi: 10.17650/1994-4098-2010-0-2-68-70
- Пикин О.В., Франк Г.А., Вурсол Д.А., и др. Доброкачественная метастазирующая лейомиома матки с поражением легких. Российский онкологический журнал. 2010;15(2):45-7 [Pikin OV, Frank GA, Vursol DA, et al. Dobrokachestvennaya metastaziruyushchaya leyomioma matki s porazheniem legkikh. Russian Journal of Oncology. 2010;15(2):45-7 (in Russian)]. doi: 10.17816/onco39739
- Давыдова А.А., Щербаков Г.В., Голубинская Е.П., и др. Доброкачественная метастазирующая лейомиома. Патологія. 2012;3:135-6 [Davydova AA, Shcherbakov GV, Golubinskaia EP, et al. Dobrokachestvennaia metastaziruiushchaia leiomioma. Patologіia. 2012;3:135-6 (in Russian)].
- Андреева Ю.Ю., Данилова Н.В., Шикеева А.А., и др. Доброкачественная метастазирующая лейомиома тела матки. Архив патологии. 2012;74(6):3842 [Andreeva YuYu, Danilova NV, Shikeeva AA, et al. Benign metastatic leiomyoma of the corpus uteri. Russian Journal of Archive of Pathology. 2012;74(6):38-42 (in Russian)].
- Леншин А.В., Ильин А.В., Мальцева Т.А. Метастазирующая в легкие доброкачественная лейомиома матки у больной бронхиальной астмой. Бюллетень физиологии и патологии дыхания. 2012;(43):124-8 [Lenshin AV, Il’in AV, Mal’tseva TA. Benign leiomyoma of uterus metastasizing into lungs in patient with bronchial asthma. Bulletin Physiology and Pathology of Respiration. 2012;(43):124-8 (in Russian)].
- Должиков А.А., Мухина Т.С., Нагорный А.В., Хижняков К.О. Клиническая морфология и молекулярная генетика доброкачественной метастазирующей лейомиомы матки: случаи из практики и обзор литературы. Человек и его здоровье. 2013;2:131-8 [Dolzhikov AA, Mukhina TS, Nagorniy AV, Khizhnyakov KO. Clinical morphology and molecular genetics of benign metastasizing leiomyoma: Practical cases and literature review. Humans and Their Health. 2013;2:131-8 (in Russian)].
- Субботин А.С., Важенин А.В., Афанасьева Н.Г. ПЭТ-КТ картина диссеминации доброкачественной лейомиомы. Сибирский онкологический журнал. 2017;16(1):104-8 [Subbotin AS, Vazhenin AV, Afanasyeva NG. PET-CT finding of benign metastasizing leiomyoma. Siberian Journal of Oncology. 2017;16(1):104-8 (in Russian)]. doi: 10.21294/1814-4861-2017-16-1-104-108
- Леншин А.В., Ильин А.В., Демура О.В., и др. Доброкачественные метастазирующие в легкие заболевания матки: лейомиоматоз, лимфангиолейомиоматоз, торакальный эндометриоз (обзор литературы, собственные клинические наблюдения). Бюллетень физиологии и патологии дыхания. 2017;65:111-28 [Lenshin AV, Il’in AV, Demura OV, et al. Benign uterus cancer with lung metastases: Leiomyomatosis, lymphangioleimyomatosis, thoracic endometriosis (literature review, personal clincial observations). Bulletin Physiology and Pathology of Respiration. 2017;65:111-28 (in Russian)]. doi: 10.12737/article_59adf7d3101b25.41639037
- Решетов А.В., Клименко В.Н., Елькин А.В., и др. Клинико-морфологическая характеристика случая внутрилегочных метастазов доброкачественной лейомиомы. Ученые записки СПбГМУ им. акад. И.П. Павлова. 2018;25(4):81-6 [Reshetov AV, Klimenko VN, Elkin AV, et al. Clinical and morphological characteristics of the case of intra-pulmonary metastases of benign leiomyoma. The Scientific Notes of IPP-SPSMU. 2018;25(4):81-6 (in Russian)]. doi: 10.24884/1607-4181-2018-25-4-81-86
- Андреева Ю.Ю., Москвина Л.В., Франк Г.А., и др. Гладкомышечные опухоли с неопределенным злокачественным потенциалом. Архив патологии. 2019;81(3):511 [Andreeva YuYu, Moskvina LV, Frank GA, et al. Smooth muscle tumors of uncertain malignant potential (in Russian only). Russian Journal of Archive of Pathology. 2019;81(3):511 (in Russian)]. doi: 10.17116/patol2019810315
- Печетов А.А., Леднев А.Н., Ратникова Н.К., Волчанский Д.А. Доброкачественная метастазирующая лейомиома матки с поражением легких: проблемы диагностики и лечения. Хирургия. Журнал им. Н.И. Пирогова. 2020;(9):858 [Pechetov AA, Lednev AN, Ratnikova NK, Volchansky DA. Benign metastasizing uterine leiomyoma with lung metastasis: problems of diagnosis and treatment. Pirogov Russian Journal of Surgery. 2020;(9):858 (in Russian)]. doi: 10.17116/hirurgia202009185
- Баринова И.В., Буянова С.Н., Кондриков Н.И., и др. Метастазирующая лейомиома или синхронное поражение тела матки и вульвы? Архив патологии. 2020;82(1):627 [Barinova IV, Buianova SN, Kondrikov NI, et al. Metastatic leiomyoma or synchronous lesion of the uteri corpus and vulva? Russian Journal of Archive of Pathology. 2020;82(1):627 (in Russian)]. doi: 10.17116/patol20208201162
- Ермолова Н.В., Петров Ю.А., Линде В.А., и др. Доброкачественная метастазирующая лейомиома матки (клинический случай). Главный врач Юга России. 2021;4(79):55-9 [Ermolova NV, Petrov YuA, Linde VA, et al. Metastasizing uterine leiomyoma (clinical case). Medical Herald of the South of Russia. 2021;4(79):55-9 (in Russian)].
- Двораковская И.В., Ильин А.А., Дзадзуа Д.В., и др. Доброкачественная лейомиома матки с поражением легких. Вопросы онкологии. 2021;67(5):707-12 [Dvorakovskaya IV, Ilin AA, Dzadzua DV, et al. Benign uterine leiomioma with lung lesions. Voprosy Onkologii = Problems in Oncology. 2021;67(5):707-12 (in Russian)]. doi: 10.37469/0507-3758-2021-67-5-707-712
- Воропаев Д.Д., Воропаева А.И., Ильина Т.Е. Рецидивирующая метастазирующая миома матки после лапароскопической миомэктомии. Морфологические науки – фундаментальная основа медицины. Материалы VII Междунар. морф. науч.-практ. конкурс-конференции студентов и молодых ученых, посвященной 125-летию со дня рождения проф. В.М. Константинова. Новосибирск, 8 декабря 2022 г. Новосибирск: Новосибирский государственный медицинский университет, 2022 [Voropaev DD, Voropaeva AI, Il’ina TE. Retsidiviruiushchaia metastaziruiushchaia mioma matki posle laparoskopicheskoi miomektomii. Morfologicheskie nauki – fundamental’naia osnova meditsiny. Materialy VII Mezhdunar. morf. nauch.-prakt. konkurs-konferentsii studentov i molodykh uchenykh, posviashchennoi 125-letiiu so dnia rozhdeniia prof. V.M. Konstantinova. Novosibirsk, 8 dekabria 2022 g. Novosibirsk: Novosibirskii gosudarstvennyi meditsinskii universitet, 2022 (in Russian)].
- Саможенова П.С., Малявин А.Г., Адашева Т.В., и др. Доброкачественная метастазирующая лейомиома легкого. Профилактическая медицина. 2023;26(11):87-90 [Samozhenova PS, Malyavin AG, Adasheva TV, et al. Pulmonary benign metastasizing leiomyoma. Russian Journal of Preventive Medicine. 2023;26(11):8790 (in Russian)]. doi: 10.17116/profmed20232611187
- Матылевич О.П., Курченков Н.А., Тарасов И.А., и др. Метастазирующая в легкие доброкачественная лейомиома матки: клиническое наблюдение. Репродуктивное здоровье. Восточная Европа. 2023;13(4):376-81 [Matylevich OP, Kurchenkov NA, Tarasov IA, et al. Benign uterine leiomyoma metastasizing to the lungs: A clinical observation. Reproductive Health. Eastern Europe. 2023;13(4):376-81 (in Russian)]. doi: 10.34883/PI.2023.13.4.007
- Pacheco-Rodriguez G, Taveira DaSilva AM, Moss J. Benign metastasizing leiomyoma. Clin Chest Med. 2016;37(3):589-95. doi: 10.1016/j.ccm.2016.04.019
- Egberts JH, Schafmayer C, Bauerschlag DO, et al. Benign abdominal and pulmonary metastasizing leiomyoma of the uterus. Arch Gynecol Obstet. 2006;274(5):319-22. doi: 10.1007/s00404-006-0165-8
- Kayser K, Zink S, Schneider T, et al. Benign metastasizing leiomyoma of the uterus: Documentation of clinical, immunohistochemical and lectin-histochemical data of ten cases. Virchows Arch. 2000;437(3):284-92. doi: 10.1007/s004280000207
Supplementary files
















