Preliminary assessment of the possibility of using urokinase uPA and urokinase receptor uPAR as universal diagnostic criteria in patients with colorectal and gastric adenocarcinoma
- Authors: Klimovich P.S.1, Rubina K.A.1, Mironov N.A.1, Kakotkin V.V.1, Oleynikova N.A.1, Mal`kov P.G.1, Kubyshkin V.A.1, Galliamov E.A.2, Agapov M.A.1, Semina E.V.1
-
Affiliations:
- Lomonosov Moscow State University
- Sechenov First Moscow State Medical University (Sechenov University)
- Issue: Vol 23, No 4 (2021)
- Pages: 674-679
- Section: CLINICAL ONCOLOGY
- Submitted: 20.02.2021
- Published: 15.12.2021
- URL: https://modernonco.orscience.ru/1815-1434/article/view/61261
- DOI: https://doi.org/10.26442/18151434.2021.4.201246
- ID: 61261
Cite item
Full Text
Abstract
Background. Lack of universal diagnostic parameters that can accurately and reliably diagnose presence of a malignant neoplasm, anticancer drug effectiveness or metastasis development including dormant ones and also to detect the progression or relapse of the disease at an early stage put on the first place studies related to the identification of such markers. Increased secretion and activity of the urokinase type plasminogen activator (uPA), its receptor (uPAR) accompany many types of malignant neoplasms, contributing their progression and metastasis, as well as the emergence of chemoresistance. So today these proteins are promising diagnostic targets in oncology.
Aim. To evaluate the diagnostic significance of the expression levels of uPA and uPAR in blood serum of patients with colorectal and gastric adenocarcinoma and uPA/uPAR distribution in samples obtained from the primary tumor node, to assess the possibility of their use as universal diagnostic indicators in cancer patients at the stage of primary treatment.
Materials and methods. The study included patients with colorectal and gastric adenocarcinoma in the amount of 50 people and 25 healthy volunteers. The content of uPA and uPAR in blood serum was assessed by enzyme-linked immunosorbent assay, the level of expression of the studied proteins in tumor tissue was assessed using immunohistochemical staining with antibodies to uPA and uPAR.
Results. It was found that in comparison with healthy donors uPA serum concentration was significantly higher in all patients with adenocarcinoma, regardless of gender, and the uPAR content in the blood serum was significantly higher in women. Immunohistochemical staining data showed that the expression of these two proteins in tumor tissue significantly exceeds their expression in normal tissue.
Conclusion. Based on the obtained data the possibility of using uPA in blood serum as a universal diagnostic criterion in patients with colorectal and gastric adenocarcinoma regardless of gender was shown and uPAR in female patients.
Full Text
Введение
На сегодняшний день аденокарциномы толстой кишки и желудка занимают 3 и 4-е места соответственно в структуре смертности от злокачественных новообразований, что отражает актуальность своевременной и точной их диагностики и выбора оптимальной стратегии лечения этих типов рака [1, 2].
Одной из перспективных мишеней в онкологии является урокиназная система, состоящая из двух белков – урокиназы uPA и рецептора урокиназы uPAR и являющаяся ключевым участником ремоделирования внеклеточного матрикса (ВКМ) [3]. uPA представляет собой сериновую протеазу, которая активируется за счет связывания с uPAR и превращает плазминоген в протеазу широкой субстратной специфичности – плазмин. В норме этот процесс направлен на поддержание гомеостаза и задействован в заживлении ран, воспалении и регенерации тканей [4]. Помимо этого, компоненты урокиназной системы участвуют в протеолитической активации ряда факторов роста и цитокинов, задепонированных в ВКМ, в числе которых, помимо самого плазмина, матриксные металлопротеиназы (ММП-2 и ММП-9) [5], фактор роста фибробластов (трансформирующий фактор роста β – TGF-β), интерлейкин-1, фактор роста эндотелия сосудов (VEGF) и др. [6]. Постоянная активность урокиназы и плазмина в ткани создает условия, поддерживающие промитогенное и промиграторное окружение клеток.
Рецептор урокиназы uPAR является мембранным белком, не имеющим цитоплазматического домена и заякоренным на мембране через гликозилфосфатидилинозитольный якорь. Одной из уникальных особенностей uPAR является то, что он может иметь растворимую форму, образующуюся путем ограниченного протеолиза мембранного uPAR такими протеазами, как плазмин, ММП и в том числе сама урокиназа uPA [7]. После расщепления uPAR приобретает свойства лиганда, что позволяет ему регулировать миграцию клеток, в том числе опухолевых, за счет связывания с хемокиновыми рецепторами [4, 7].
Было показано, что uPA и uPAR секретируются в больших концентрациях различными опухолевыми клетками в сравнении со здоровыми [8]. Показано, что клетки опухоли экспрессируют урокиназу, которая, связываясь со своим рецептором, запускает сигнализацию, направленную на стимуляцию пролиферации опухолевых клеток [9, 10]. При этом компоненты урокиназной системы могут усиливать пролиферацию опухолевых клеток за счет протеолитической активации факторов роста, таких как эпидермальный фактор роста (EGF), VEGF, TGF-β, фактор роста фибробластов-2 (FGF-2) и др. [8, 11]. Помимо усиления пролиферации опухолевых клеток, секретируемые факторы роста стимулируют миграцию и инвазию эндотелиальных клеток. Как известно, в микроокружении опухоли вновь образованные кровеносные сосуды обеспечивают доставку кислорода и других веществ, способствующих росту опухолевых клеток, инвазии и метастазированию.
Большой объем клинических данных указывает на то, что высокие уровни uPA и uPAR коррелируют с неблагоприятным прогнозом у пациентов с солидными типами опухолей [12–14], в том числе при колоректальном раке [15]. Эти исследования, основанные на анализе паттерна экспрессии и прогностического значения uPAR, показывают, что высокие уровни белка uPAR и/или его матричной РНК связаны с активной инвазией клеток аденокарциномы [15]. Кроме того, было показано, что предоперационные уровни растворимого в плазме uPAR предсказывают выживаемость пациентов со злокачественными опухолями желудочно-кишечного тракта (ЖКТ) [16]. У пациентов с колоректальным раком повышенный предоперационный уровень циркулирующего uPAR в плазме продемонстрировал ассоциацию с меньшей 5-летней выживаемостью. Кроме того, уровни uPA и uPAR повышаются в крови и тканях пациентов с колоректальным раком, и было продемонстрировано, что циркулирующая uPA может иметь преимущество при использовании в качестве прогностического маркера в сравнении с обычно применяемыми маркерами колоректального рака – раковым эмбриональным антигеном (РЭА) и гликопротеиновым антигеном CA-19-9 [14]. Секреция uPA и uPAR также повышается при аденокарциноме желудка, а низкие уровни uPAR связаны с лучшей выживаемостью [17]. Высокие уровни uPA способствуют прогрессии аденокарциномы желудка за счет стимуляции инвазии и васкуляризации опухоли и ассоциированы с неблагоприятным прогнозом [18]. Более того, существуют данные в пользу значимого влияния рецептора урокиназы uPAR и uPAR-зависимой сигнализации на пролиферацию клеток опухоли, однако подавление экспрессии uPAR в опухолевых клетках может приводить к изменению их фенотипа и усиливать миграцию [19]. В этой связи актуальными являются не только классический подход к оценке экспрессии белков урокиназной системы, но и анализ взаимосвязи уровня экспрессии этих белков в ткани опухоли или их содержания в сыворотке онкобольных в качестве диагностических маркеров.
Таким образом, на сегодняшний день накоплен большой научный задел для создания методов диагностики аденокарцином ЖКТ, позволяющих количественно оценить сывороточные уровни uPA и uPAR. Создаются низкомолекулярные и пептидные ингибиторы, моноклональные антитела, направленные на подавление протеолитической активности урокиназы или блокирование на поверхности клеток опухоли рецептора урокиназы; анализируется возможность таргетного подавления экспрессии матричной РНК урокиназы и uPAR с помощью РНК-интерференции и технологии редактирования генома CRISPR в клетках опухоли. Однако, несмотря на привлекательность урокиназной системы как мишени в онкологии, на сегодняшний день недостаточно данных, чтобы прийти к однозначному выводу в отношении диагностики и прогнозирования.
Цель исследования – изучение диагностической значимости уровня экспрессии урокиназы uPA и ее рецептора uPAR в сыворотке больных аденокарциномой желудка и толстой кишки, а также анализ паттерна их экспрессии в образцах, полученных из первичного опухолевого узла, для оценки возможности применения uPA и uPAR как универсальных критериев, позволяющих выбрать оптимальный подход к ведению пациентов еще на этапе первичного обращения.
Материалы и методы
Проведено проспективное исследование образцов сыворотки крови 50 пациентов [мужчины и женщины в возрасте 30–85 лет с подтвержденным диагнозом аденокарциномы желудка (16) или толстой кишки (34) без отдаленных метастазов] и 25 здоровых доноров. Критериями исключения из исследования являлись следующие показатели: невозможность отслеживания состояния пациента в отсроченном периоде, тяжелые инфекционные заболевания (ВИЧ-инфекция, туберкулез, сифилис, прогрессирующее течение вирусных гепатитов В и С), добровольный отказ пациента от участия в исследовании, наличие в анамнезе ранее установленного злокачественного новообразования иных локализаций, наличие декомпенсированных хронических заболеваний (хроническая сердечная недостаточность IIA и выше, тяжелый сахарный диабет, тяжелая легочная гипертензия, рецидивирующая тромбоэмболия легочной артерии) или хронических заболеваний в стадии обострения (хроническая обструктивная болезнь легких), терминальное состояние, при котором предполагается исключительно паллиативное лечение.
По данным литературы, заболеваемость и смертность от колоректального рака выше среди женщин, чем среди мужчин [20]. При этом большая часть клинических исследований проводится с участием мужчин, что ограничивает данные о развитии заболевания и подходах к ранней диагностике колоректального рака у женщин и делает необходимыми исследования о влиянии пола в прогнозировании и диагностике колоректального рака. Все доноры подписали форму информированного согласия, утвержденную местным этическим комитетом МНОЦ ФГБОУ ВО «Московский государственный университет им. М.В. Ломоносова». Сыворотку крови собирали утром натощак непосредственно перед хирургической операцией по резекции опухоли. Готовые образцы сыворотки аликвотили, маркировали и хранили при температуре -20ºС. Клинико-патологические характеристики пациентов основной группы указаны в табл. 1. Сывороточные концентрации белков uPA и uPAR определяли, используя коммерческие наборы Human uPA/PLAU/URK PicoKine™ ELISA Kit (США) и Human uPAR/URKR/uPAReceptor PicoKine™ ELISA Kit (США). После определения показателей оптической плотности в лунках с рекомбинантной урокиназой в известной концентрации был выстроен график зависимости концентрации от оптической плотности и определена формула для расчета показателей.
Таблица 1. Краткая характеристика онкопациентов, включенных в исследование Table 1. Short characteristic of cancer patients included in the study | |
Параметр | Число пациентов (n=50) |
Пол Муж. Жен. | 27 23 |
Возраст, лет ≤60 >60 | 22 28 |
Локализация опухоли Желудок Слепая кишка Ободочная кишка Сигмовидная кишка Прямая кишка | 16 2 4 14 24 |
Для иммуногистохимического исследования использован операционный материал 10 аденокарцином желудка и толстой кишки. Иммуногистохимическое окрашивание проводили в автоматическом режиме с помощью автоматического стейнера Thermo Scientific Lab Vision Autostainer 480S (Thermo, Великобритания) с использованием первичных антител к uPA человека (Abcam, ab133563, Великобритания) и uPAR человека (Abcam, ab 103791, Великобритания). Реакции детектировали при помощи светового микроскопа Leica DM4000B/DFC495 (Германия) с 40-кратным увеличением.
Статистический анализ проводили с использованием программы SigmaPlot. Для сравнения изучаемых показателей проводили оценку нормальности распределений полученных данных с помощью тестов Колмогорова–Смирнова и Шапиро–Уилка. Для межгрупповых сравнений данные с нормальным распределением анализировали с использованием ANOVA с критерием Тьюки. В других случаях применялся тест ANOVA on Ranks. T-тест применялся для сравнения двух групп, если данные были нормально распределены. В других случаях использовали тест Манна–Уитни. Различия считались значимыми, если значение р было меньше 0,05 (p<0,05).
Результаты
Для определения сывороточных концентраций uPA/uPAR методом ELISA использовали образцы крови 75 доноров, включенных в исследование (25 – здоровых и 50 пациентов с подтвержденной аденокарциномой ЖКТ). Для сравнения уровней uPA и uPAR в сыворотках крови здоровых людей и пациентов c аденокарциномой проводили оценку статистически значимого различия в группах:
- здоровых добровольцев и онкобольных всей исследуемой популяции;
- здоровых мужчин-добровольцев и онкобольных мужчин по совокупным нозологиям;
- здоровых женщин-добровольцев и онкобольных женщин по совокупным нозологиям.
Содержание урокиназы uPA в сыворотке пациентов с аденокарциномами ЖКТ достоверно выше по сравнению с нормой
При оценке сывороточных концентраций uPA было обнаружено, что у здоровых доноров концентрация составляет 1,67 (0,58; 1,88) нг/мл у женщин и 1,28 (0,68; 1,65) нг/мл у мужчин соответственно. При этом концентрация uPA в сыворотке онкобольных женщин составила 4,36 (1,24; 7,35) нг/мл, онкобольных мужчин – 4,16 (2,12; 6,13) нг/мл. При анализе результатов всей исследуемой популяции было обнаружено, что концентрация uPA в сыворотке крови в среднем на 2,78 нг/мл выше в группе онкобольных по сравнению со здоровыми добровольцами (p<0,05). Разделение значений по полу в группе больных показало, что концентрация uPA в сыворотке достоверно выше как у мужчин, так и женщин, при этом влияния пола на показатели концентрации uPA обнаружено не было (рис. 1).
Рис. 1. Концентрация uPA в сыворотке здоровых добровольцев и больных аденокарциномой ЖКТ.
Концентрация uPAR достоверно повышена у женщин с аденокарциномой ЖКТ
Сывороточная концентрация uPAR у здоровых добровольцев составила 3,32 (0,83; 5,4) нг/мл у женщин и 2,69 (0,9; 4,8) нг/мл у мужчин. Анализ данных концентрации uPAR в сыворотке крови во всей исследуемой популяции не показал значимого повышения показателя у онкобольных по сравнению со здоровыми добровольцами. При сравнении групп после разделения по полу было выявлено достоверное повышение показателя у онкобольных женщин – 5,29 (1,96; 7,2) нг/мл по сравнению со здоровыми донорами (p<0,05); рис. 2. Стоит отметить, что влияния пола при сравнении здоровых добровольцев, мужчин и женщин, выявлено не было.
Рис. 2. Концентрация uPAR в сыворотке здоровых добровольцев и онкобольных мужчин и женщин.
Анализ экспрессии урокиназы и рецептора урокиназы в образцах ткани первичного опухолевого узла
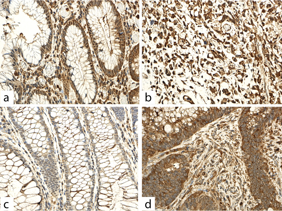
Образцы ткани первичного опухолевого узла сигмовидной кишки и желудка, а также здоровые ткани этих же пациентов были проанализированы на экспрессию в них урокиназы uPA и ее рецептора uPAR методом иммуногистохимического окрашивания. Полученные результаты показали, что экспрессия uPA и uPAR в ткани опухоли значительно повышена по сравнению с нормой (рис. 3, 4). В случае с uPA ее экспрессия оказалась значительно выше по сравнению с нормальной тканью. При этом изменилась и локализация uPA: если в норме uPA обнаруживается в цитоплазме клеток эпителия и стромы, то при наличии опухоли содержание uPA не только резко возрастает в цитоплазме клеток опухоли и стромы, но также обнаруживается в высокой концентрации в ядрах клеток опухоли (см. рис. 3).
Рис. 3. Иммуногистохимическое окрашивание антителами к урокиназе интактной слизистой оболочки желудка (a) и сигмовидной кишки (b) и аденокарциномы желудка (c) и сигмовидной кишки (d); ×400.
При анализе экспрессии uPAR показано, что в нормальной ткани uPAR преимущественно обнаруживается на мембране эпителиальных клеток, тогда как в ткани опухоли большая его часть детектируется в клетках стромы (см. рис. 4).
Рис. 4. Иммуногистохимическое окрашивание антителами к урокиназному рецептору интактной слизистой оболочки сигмовидной кишки (a) и желудка (b) и аденокарциномы сигмовидной кишки (c) и желудка (d); ×400.
Обсуждение
Урокиназная система относится к одной из наиболее активных протеолитических систем, действующих во внеклеточной среде. Входящие в состав этой системы uPA и uPAR активируют процессы внутриклеточной сигнализации, участвующие в дифференцировке клеток, влияют на клеточный цикл, опосредуют деградацию внеклеточного матрикса, облегчая миграцию клеток [21]. На сегодняшний день накоплен ряд данных об участии урокиназной системы в прогрессировании опухоли, эпителиально-мезенхимальном переходе (ЭМП) и метастазировании [14, 16], а также есть предположения о том, что компоненты урокиназной системы могут быть маркерами в диагностических, прогностических и терапевтических целях ряда патологий, включая фиброз, воспаление и онкопатологию [12, 13, 22].
Актуальным для данного исследования стало определение концентрации компонентов урокиназной системы для оценки их пригодности в качестве оптимальных дифференциально-диагностических алгоритмов у пациентов с аденокарциномой толстой кишки и желудка. В связи с этим в работе были проанализированы содержание uPA и uPAR в сыворотке крови онкобольных аденокарциномой желудка и толстой кишки, а также полученные результаты сывороточных концентраций соотнесены с уровнем экспрессии этих белков в ткани первичного опухолевого узла.
При исследовании сывороточных концентраций uPA и uPAR оказалось, что концентрация uPA в сыворотке онкобольных достоверно выше во всех исследуемых группах. При сравнении здоровых и онкобольных мужчин и женщин по совокупным нозологиям не было выявлено влияния пола на содержание uPA. На основании этих данных нами высказано предположение о возможности использования uPA как универсального маркера онкогенеза в диагностических и прогностических целях.
Анализ сывороточных концентраций uPAR показал, что его содержание возрастает только у онкобольных женщин, но не у мужчин. При этом у здоровых добровольцев не обнаружено влияния пола на данный показатель. Свой вклад в вариативность результатов могут вносить и особенности тест-системы. Мультидоменная структура uPAR и различная экспрессия доменов при разных патологических состояниях могут объяснять различие в сывороточных концентрациях uPAR у пациентов – участников исследования. Тест-система для определения uPAR специфична к домену D1 рецептора, но не показывает уровни других доменов (например, D2 и D3), которые также могут высвобождаться из мембранно-связанной формы uPAR в результате его протеолиза, поэтому нужны дальнейшие исследования по индивидуальному определению сывороточных концентраций доменов D2 и D3 uPAR с целью поиска оптимального домена, который может быть использован в диагностике и прогнозе онкологических заболеваний ЖКТ как у мужчин, так и у женщин.
Полученные результаты окрашивания первичного опухолевого узла показали, что экспрессия uPA и uPAR повышена в ткани опухоли по сравнению с нормой, что свидетельствует об активном метаболическом состоянии опухолевого узла, в ходе которого наблюдаются рост и инвазия клеток опухоли за счет стимуляции внеклеточного протеолиза активными uPA и uPAR [3, 16].
Показано, что высокие уровни экспрессии uPA в опухолевой ткани помимо протеолиза ВКМ могут активировать факторы транскрипции и стимулировать пролиферацию клеток. Ранее нами была показана способность uPA проникать в ядра клеток нейробластомы и активировать в них ЭМП, сопровождающий метастазирование и химиорезистентность [19]. Возможно, что изменение локализации uPA с обнаружением ее в ядрах эпителиальных клеток в исследуемых образцах может также отражать активный ЭМП ткани опухоли, а высокая экспрессия uPAR при этом, характерная для клеток с активной миграцией, в свою очередь, поддерживает инвазию опухоли и ее метастазирование.
Заключение
Показано, что определение концентрации uPA в сыворотке крови может быть использовано в качестве универсального диагностического критерия у пациентов с аденокарциномой желудка и толстой кишки вне зависимости от пола, а uPAR – у пациентов женского пола. В ходе дальнейшего исследования планируется продолжить оценку возможности использования сывороточных концентраций uPA и uPAR на этапе первичного обращения пациента не только как маркеров онкогенеза, но и возможных предикторов неблагоприятного прогноза, таких как риск возникновения рецидива или отдаленных метастазов. Кроме того, оценка экспрессии uPA и uPAR в ткани опухоли и поиск взаимосвязи с экспрессией маркеров ЭМП позволят дополнительно разрабатывать дифференцированные подходы к стратификации и лечению пациентов возможных групп риска, в том числе с признаками метастазирования.
Раскрытие информации. Авторы заявляют об отсутствии конфликта интересов.
Disclosure. The authors declare no conflict of interest.
Финансирование. Работа выполнена в рамках выполнения НИР ГЗ «Поиск оптимальных дифференциально-диагностических алгоритмов у пациентов с онкологическими заболеваниями ЖКТ с учетом молекулярных механизмов онкогенеза».
Financing. The work was carried out as part of the realization of the research and development "Search for optimal differential diagnostic algorithms in patients with oncological diseases of the gastrointestinal tract, taking into account the molecular mechanisms of oncogenesis".
Участие авторов. П.С. Климович – написание текста статьи, сбор и обработка материала; К.А. Рубина – концепция и дизайн исследования; Н.А. Миронов – обработка материала; В.В. Какоткин – сбор клинического материала, написание текста статьи; Н.А. Олейникова – проведение иммуногистохимического исследования, микрофото биопсийного и операционного материала; П.Г. Мальков ‒ сбор материала; В.А. Кубышкин – утверждение окончательного материала статьи; Э.А. Галлямов – сбор клинического материала, концепция и дизайн исследования; М.А. Агапов – сбор клинического материала, концепция и дизайн исследования, редактирование, утверждение окончательного материала статьи; Е.В. Семина – концепция и дизайн исследования, редактирование, утверждение окончательного материала статьи.
Contribution. Polina S. Klimovich – data collecting and processing, text writing; Ksenia A. Rubina – concept and experimental design; Nikita A. Mironov – data processing; Viktor V. Kakotkin – data collecting, text writing; Nina A. Oleynikova – IHC staining, microphoto of biopsy and surgical material; Pavel G. Mal’kov – data collecting; Valery A. Kubyshkin – manuscript editing, approval of the final material of the article; Eduard A. Galliamov – data collecting, concept and experimental design; Mikhail A. Agapov – concept and experimental design, approval of the final material of the article; Ekaterina V. Semina – concept and experimental design, manuscript editing, approval of the final material of the article.
About the authors
Polina S. Klimovich
Lomonosov Moscow State University
Email: lex2050@mail.ru
ORCID iD: 0000-0002-8260-5542
Cand. Sci. (Biol.)
Russian Federation, MoscowKsenia A. Rubina
Lomonosov Moscow State University
Email: rkseniya@mail.ru
ORCID iD: 0000-0002-7166-7406
D. Sci. (Biol.)
Russian Federation, MoscowNikita A. Mironov
Lomonosov Moscow State University
Email: nikimir29@mail.ru
ORCID iD: 0000-0001-6729-4371
Clinical Resident
Russian Federation, MoscowViktor V. Kakotkin
Lomonosov Moscow State University
Email: axtroz4894@gmail.com
ORCID iD: 0000-0003-0352-2317
surgeon
Russian Federation, MoscowNina A. Oleynikova
Lomonosov Moscow State University
Email: ale_x_05@mail.ru
ORCID iD: 0000-0001-8564-8874
Cand. Sci. (Med.)
Russian Federation, MoscowPavel G. Mal`kov
Lomonosov Moscow State University
Email: malkovp@gmail.com
ORCID iD: 0000-0001-5074-3513
D. Sci. (Med.)
Russian Federation, MoscowValery A. Kubyshkin
Lomonosov Moscow State University
Email: Vkubyshkin@mc.msu.ru
ORCID iD: 0000-0003-2631-7631
D. Sci. (Med.), Acad. RAS
Russian Federation, MoscowEduard A. Galliamov
Sechenov First Moscow State Medical University (Sechenov University)
Email: svgalliamova@gmail.com
ORCID iD: 0000-0002-6359-0998
D. Sci. (Med.), Prof.
Russian Federation, MoscowMikhail A. Agapov
Lomonosov Moscow State University
Email: getinfo911@mail.ru
ORCID iD: 0000-0002-6569-7078
D. Sci. (Med.)
Russian Federation, MoscowEkaterina V. Semina
Lomonosov Moscow State University
Author for correspondence.
Email: e-semina@yandex.ru
ORCID iD: 0000-0002-3927-9286
Cand. Sci. (Biol.)
Russian Federation, MoscowReferences
- Rawla P, Sunkara T, Barsouk A. Epidemiology of colorectal cancer: incidence, mortality, survival, and risk factors. Prz Gastroenterol. 2019;14(2):89-103. doi: 10.5114/pg.2018.81072
- Machlowska J, Baj J, Sitarz M, et al. Gastric Cancer: Epidemiology, Risk Factors, Classification, Genomic Characteristics and Treatment Strategies. Int J Mol Sci. 2020;21(11). PMID: 32512697
- Duffy MJ. The urokinase plasminogen activator system: role in malignancy. Current Pharmaceutical Design. 2004;10(1):39-49. PMID: 147544044
- Mahmood N, Mihalcioiu C, Rabbani SA. Multifaceted Role of the Urokinase-Type Plasminogen Activator (uPA) and Its Receptor (uPAR): Diagnostic, Prognostic, and Therapeutic Applications. Front Оncol. 2018;8:24. doi: 10.3389/fonc.2018.00024
- Zubkova ES, Men'shikov MY, Plekhanova OS, et al. Urokinase stimulates production of matrix metalloproteinase-9 in fibroblasts with involvement of reactive oxygen species. Bull Exp Biol Med. 2014;157(1):18-21. PMID: 24906961
- Leduc D, Beaufort N, de Bentzmann S, et al. The Pseudomonas aeruginosa LasB metalloproteinase regulates the human urokinase-type plasminogen activator receptor through domain-specific endoproteolysis. Infect Immun. 2007;75(8):3848-58. PMID: 17517866
- Mustjoki S, Sidenius N, Sier CF, et al. Soluble urokinase receptor levels correlate with number of circulating tumor cells in acute myeloid leukemia and decrease rapidly during chemotherapy. Cancer Res. 2000;60(24):7126-32. PMID: 11156421
- Su SC, Lin CW, Yang WE, et al. The urokinase-type plasminogen activator (uPA) system as a biomarker and therapeutic target in human malignancies. Expert Opin Ther Targets. 2016;20(5):551-66. PMID: 6667094
- Rubina KA, Semina EV, Tkachuk VA. Guidance molecules and chemokines in angiogenesis and vascular remodeling. J Evol Biochem Physiol. 2017;53(5):349-67.
- Huebschman ML, Lane NL, Liu H, et al. Molecular heterogeneity in adjacent cells in triple-negative breast cancer. Breast Cancer (Dove Med Press). 2015;7:231-7. PMID: 26316815
- Duffy MJ. Urokinase plasminogen activator and its inhibitor, PAI-1, as prognostic markers in breast cancer: from pilot to level 1 evidence studies. Clin Chem. 2002;48(8):1194-7. PMID: 12142372
- Dariusz S, Agnieszka M, Elzbieta R, et al. A potency of plasminogen activation system in long-term prognosis of endometrial cancer: a pilot study. Eur J Obstet Gynecol Reprod Biol. 2012;163(2):193-9. doi: 10.1016/j.ejogrb.2012.03.031
- Chandran VI, Eppenberger-Castori S, Venkatesh T, et al. HER2 and uPAR cooperativity contribute to metastatic phenotype of HER2-positive breast cancer. Oncoscience. 2015;2(3):207-24. doi: 10.18632/oncoscience.146
- Baker EA, Leaper DJ, Hayter JP, et al. Plasminogen activator system in oral squamous cell carcinoma. Br J Oral Maxillofac Surg. 2007;45(8):623-7. PMID: 17590247
- Yang JL, Seetoo DQ, Wang Y, et al. Urokinase-type plasminogen activator and its receptor in colorectal cancer: Independent prognostic factors of metastasis and cancer-specific survival and potential therapeutic targets. Int J Cancer. 2000;89(5):431-9. doi: 10.1002/1097-0215(20000920)89:5<431::AID-IJC6>3.0.CO;2-V
- Asuthkar S, Stepanova V, Lebedeva T, et al. Multifunctional roles of urokinase plasminogen activator (uPA) in cancer stemness and chemoresistance of pancreatic cancer. Mol Biol Cell. 2013;24(17):2620-32. doi: 10.1091/mbc.e12-04-0306
- Ding Y, Zhang H, Zhong M, et al. Clinical significance of the uPA system in gastric cancer with peritoneal metastasis. Eur J Med Res. 2013;18:28. PMID: 23985164
- Kaneko T, Konno H, Baba M, et al. Urokinase-type plasminogen activator expression correlates with tumor angiogenesis and poor outcome in gastric cancer. Cancer Sci. 2003;94(1):43-9. doi: 10.1111/j.1349-7006.2003.tb01350.x
- Semina EV, Rubina KA, Shmakova AA, et al. Downregulation of uPAR promotes urokinase translocation into the nucleus and epithelial to mesenchymal transition in neuroblastoma. J Cell Physiol. 2020;235(9):6268-86. PMID: 31990070
- Kim SE, Paik HY, Yoon H, et al. Sex- and gender-specific disparities in colorectal cancer risk. World J Gastroenterol. 2015;21(17):5167-75. doi: 10.3748/wjg.v21.i17.5167
- Smith HW, Marshall CJ. Regulation of cell signalling by uPAR. Nat Rev Mol Cell Biol. 2010;11(1):23-36. doi: 10.1038/nrm2821
- Al-Janabi O, Taubert H, Lohse-Fischer A, et al. Association of tissue mRNA and serum antigen levels of members of the urokinase-type plasminogen activator system with clinical and prognostic parameters in prostate cancer. Biomed Res Int. 2014;2014:972587. doi: 10.1155/2014/972587
Supplementary files







