Clinical and morphological case of lung cancer with generalized metastases to the internal organs
- Authors: Vorobeva O.V.1
-
Affiliations:
- Ulianov Chuvash State University
- Issue: Vol 23, No 3 (2021)
- Pages: 525-528
- Section: CLINICAL ONCOLOGY
- Submitted: 14.01.2021
- Published: 19.11.2021
- URL: https://modernonco.orscience.ru/1815-1434/article/view/58195
- DOI: https://doi.org/10.26442/18151434.2021.3.200856
- ID: 58195
Cite item
Full Text
Abstract
Lung cancer has occupied a leading position in the structure of cancer morbidity and mortality throughout the world for many years. Lifetime diagnosis is often difficult due to the absence of any defining signs of cancer, and it is quite difficult to track the first signs of lung cancer. This is justified by the fact that the lungs are completely devoid of nerve endings and the presence of 26% of healthy lung tissue is sufficient to provide the body with the required amount of oxygen. Prolonged absence of clinical manifestations leads to late seeking medical help, which is often fatal. Description of the case. A 65-year-old patient who died at home was referred for a postmortem examination. The sectional study revealed signs of peripheral cancer of the right lung with multiple metastases in all fields of the lungs, in the liver, spleen, pancreas, with no metastases in the lymph nodes. Histological examination revealed extensive areas of tumor tissue, consisting of solid structures with glandular differentiation of tumor tissue of various sizes and shapes, with round and oval atypical nuclei. There was a pronounced polymorphism of cells, with a large number of pathological mitoses. Thrombi were detected in the lumen of the segmental and small branches of the pulmonary artery. Thus, the presented case is of particular interest for practicing physicians due to the fact that with adenocarcinoma of the lung, there were no characteristic metastases to the lymph nodes. Hematogenous metastasis occurred with the development of generalized metastases to the internal organs.
Keywords
Full Text
В мире одним из самых распространенных злокачественных новообразований является рак легкого (РЛ), который в течение многих лет занимает лидирующие позиции, на его долю приходится 41,9% вновь выявленных опухолей у мужчин и 26,9% – у женщин [1, 2]. В России распространенность РЛ за последние 5 лет выросла более чем в 2 раза. Ежегодно РЛ диагностируют у более 57 тыс. пациентов. Общеизвестно, что рак представляет собой гетерогенную группу злокачественных опухолей эпителиального происхождения, для которых характерна склонность к инфильтративному росту и метастазированию, аномальному росту сосудов, репликативной бессмертности клеток, их устойчивости к цитотоксическим агентам, нарушению супрессоров роста и иммунного надзора, а также устойчивому пролиферативному потенциалу [1]. Согласно International Agency for Research on Cancer, развитию РЛ предшествуют изменения в бронхах и легочной паренхиме. Наиболее значимыми предопухолевыми процессами являются очаги пневмосклероза, где выявляется более широкий спектр предопухолевых изменений, чем в крупных бронхах: базально-клеточная гиперплазия, плоскоклеточная метаплазия, дисплазия эпителия мелких бронхов, бронхиол и альвеол. Роль рубца в злокачественной трансформации клеток может быть связана с депонированием в нем канцерогенных веществ, гипоксией, местной иммунодепрессией, нарушением эпителиостромальных взаимодействий [3–6]. Среди морфологических форм наиболее часто встречаются немелкоклеточный РЛ эпителиального происхождения, который представлен преимущественно аденокарциномой и плоскоклеточным раком [1, 2, 7]. В связи с актуальностью и социальной значимостью проблемы цель исследования – описание случая РЛ с метастатической прогрессией во внутренние органы без лимфогенных метастазов.
Материалы и методы
Проведен анализ полученной сопроводительной медицинской документации (амбулаторная карта пациента, история болезни). Применена стандартная методика патологоанатомического вскрытия. Иссекали опухолевую ткань с периферических отделов к центру, фиксировали в 10% нейтральном формалине, проводили стандартную проводку и заливали в парафин. Готовились срезы толщиной 6 мкм, и проводили окрашивание гематоксилином и эозином, далее проводилось иммуногистохимическое исследование.
Результаты
Больная К., 65 лет, умершая в домашних условиях, по направлению врача общей практики доставлена на патологоанатомическое вскрытие в межрайонное патологоанатомическое отделение. Согласно медицинской документации известно, что больная страдала артериальной гипертензией, хроническим бронхитом, несколько раз лечилась в стационарных условиях по поводу полисегментарной пневмонии.
На патологоанатомическое вскрытие доставлен труп женщины 65 лет пониженного питания со слабо развитой подкожно-жировой клетчаткой.
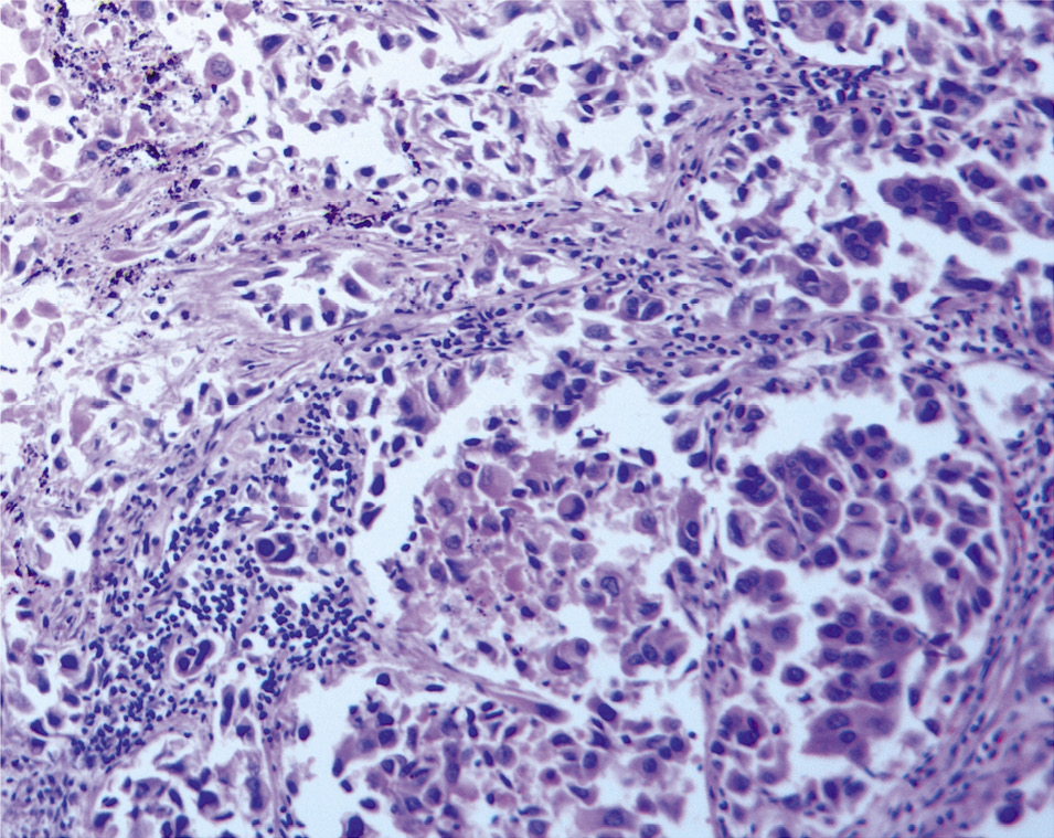
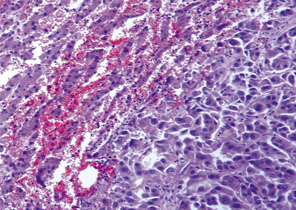
При секционном исследовании определяются признаки, характерные для периферического рака правого легкого с множественными метастазами по всем полям легких, в печень, селезенку, поджелудочную железу, с отсутствием метастазов в лимфатические узлы. При макроскопическом исследовании структура легких просматривается с трудом из-за выраженного диссеминированного наличия серых плотноватых узлов в диаметре от 0,2 до 0,9 см, местами сливающихся. В области средней доли правого легкого определяется опухолевая ткань с выраженным слиянием и тенденцией формирования конгломерата, распространяясь к долевому бронху, без сужения просвета. При гистологическом исследовании отмечаются обширные участки формирования опухолевой ткани, состоящей из солидных структур с железистой дифференцировкой опухолевой ткани разной величины и формы, выстланные крупными приз- матическими клетками с округлыми и овальными базально расположенными ядрами, цитоплазма которых хорошо выражена. Отмечается выраженный полиморфизм клеток с большим числом патологических митозов (рис. 1, 2). В просвете сегментарных и мелких ветвей легочной артерии – свертки крови, тромбы в диаметре от 0,2 до 0,7 см, длиной до 3,0 см, выдавливающиеся в виде «червячков» (рис. 3).
Рис. 1. Микроскопическая картина аденокарциномы в легких, состоящей из полиморфных клеток с атипичными гиперхромными ядрами, с инфильтрирующим ростом и распадом. Окраска гематоксилином и эозином, ×900.
Рис. 2. Микроскопическая картина опухолевой ткани, образующей железистые структуры с полиморфными атипичными клетками и патологическими митозами, с опухолевыми эмболами в сосудах, встречаются клетки по типу перстневидных. Окраска гематоксилином и эозином, ×900.
Рис. 3. Микроскопическая картина обтурирующего тромба: просвет сосуда обтурирован массами, состоящими из переплетающихся балок фибрина и эритроцитов, большая часть которых гемолизирована. Окраска гематоксилином и эозином, ×400.
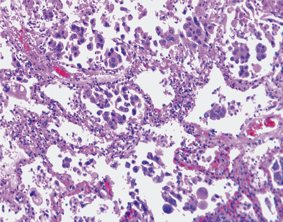
Определяются морфологические признаки метастазирования аденокарциномы во внутренние органы: в печени выявляются серой окраски узлы, расположенные друг от друга на расстоянии 7–8 см, в диаметре от 0,7 до 1,5 см; в селезенке определяется несколько узлов, имеющих серую окраску, в диаметре от 0,5 до 0,7 см; в хвосте поджелудочной железы имеется участок серого цвета с нарушением дольчатости, размерами 1,5×2,0 см, без четких границ с признаками прорастания в парапанкреатическую клетчатку. Лимфатические узлы без изменений. При гистологическом исследовании определяются опухолевые клетки округло-овальной формы средних или крупных размеров с гиперхромными округлыми или овальными ядрами, заполняющими всю клетку или смещенными к одному из ее полюсов, и преимущественно гомогенной цитоплазмой, образующие железистые структуры (рис. 4, 5).
Рис. 4. Среди атрофированных печеночных балок определяются комплексы опухолевых клеток с формированием железистых структур и участками кровоизлияний. Окраска гематоксилином и эозином, ×900.
Рис. 5. Микроскопическая картина опухолевой ткани, представленной полиморфными клетками, с патологическими митозами и участками фиброзирования в строме опухоли. Опухолевые клетки врастают в поджелудочную железу, с образованием железистых структур. Окраска гематоксилином и эозином, ×400.
Иммуногистохимический анализ в опухолевой ткани в легких, печени, селезенке, поджелудочной железе: цитокератин 7 (+), цитокератин 8 (+), тиреоид-транскрипционный фактор-1 (+).
Выявляются признаки двустороннего гидроторакса: в плевральных полостях справа 300,0 мл, слева 340,0 мл прозрачной бесцветной жидкости. В легких выявляются периваскулярные кровоизлияния, внутриальвеолярный и стромальный отек. При исследовании сердца определяются признаки гипертонической болезни: миокард на разрезах серо-коричневый, с серо-белесоватыми прожилками. Толщина миокарда правого желудочка сердца 0,4 см, левого – 1,8 см. При гистологическом исследовании определяются неравномерно гипертрофированные кардиомиоциты, стенки сосудов утолщены за счет среднего слоя, умеренно выраженный периваскулярный склероз, имеются участки разрастания соединительной ткани.
Таким образом, на основании результатов секционного исследования выставлен патологоанатомический диагноз. Основное заболевание: периферический рак правого легкого (аденокарцинома low grade) с лимфоваскулярной инвазией, с множественными метастазами по всем полям легких, метастазами в печень, селезенку, поджелудочную железу. T4N0M1. Осложнения основного заболевания: отек легких, паранеопластический гиперкоагуляционный синдром – тромбоз ветвей легочной артерии, двусторонний гидроторакс (справа 300,0 мл, слева 340,0 мл). Сопутствующие заболевания: гипертоническая болезнь – гипертрофия миокарда левого желудочка (толщина левого желудочка 1,8 см, масса сердца 400,0 г), диффузный сетчатый кардиосклероз.
Заключение
Патоморфологический и иммуногистохимический анализ позволил выявить периферический РЛ с генерализованными метастазами и обосновать его танатогенез. Патогенез периферического РЛ отличается от центрального в связи с особенностями гистогенеза, поскольку в периферических участках легкого чаще встречается дисплазия, где выявляется большое разнообразие клеток, являющихся источником роста опухоли. Это могут быть цилиндрические, базальные, пререснитчатые, бокаловидные клетки, клетки Клара, пневмоциты II и, очевидно, эндокринные клетки. Помимо этого на периферии преобладающими клетками являются клетки с железистой дифференцировкой. Поэтому в периферических участках легкого возникают практически те же гистологические виды неоплазии легкого, что и в крупных бронхах, но с преобладанием железистых типов опухолей. В бронхиолах и альвеолах, как правило, выявляются клетки Клара и пневмоциты II, которые не встречаются в крупных бронхах и имеют высокую митотическую активность на протяжении жизни человека. Такие клетки определяются в диспластических участках эпителия и могут являться источником для РЛ, они встречаются только в периферических участках легкого [8].
Чаще всего при росте опухоли появляется лимфогенное метастазирование во внутригрудные лимфатические узлы, что идет по путям лимфооттока через внутрилегочные узлы, верхние и нижние средостенные узлы. Существующие закономерность и последовательность лимфооттока определяют этапы лимфогенного метастазирования. Хотя в некоторых случаях (ранее перенесенные воспалительные заболевания) последовательность метастазирования нарушается: метастазы поражают лимфатические узлы следующего порядка, минуя первоначальные группы узлов («скачущий» вариант метастазирования), либо метастазы выявляются в нижних средостенных узлах при локализации опухоли в верхних долях (ретроградное метастазирование). Затем образуются и гематогенные метастазы, возникающие от врастания атипичных клеток в соседние ткани, проникая в них через просветы в кровеносных или лимфатических сосудах.
Представленный клинический случай имеет особый интерес для практикующих врачей вследствие того, что при аденокарциноме легкого отсутствовали характерные метастазы в лимфатические узлы. Произошло гематогенное метастазирование с развитием генерализованных метастазов во внутренние органы. Можно предположить, что данное нетипичное метастазирование возникло вследствие агрессивного течения процесса, поскольку аденокарциномы легкого отличаются высокой гетерогенностью как в отношении гистологического строения, так и на молекулярном уровне. Не исключается и морфологическая особенность аденокарциномы, отличающаяся от других злокачественных опухолей [9]. В связи с этим описанные изменения при аденокарциноме необходимы при определении прогноза и понимания течения опухолевого процесса.
Конфликт интересов. Автор заявляет об отсутствии конфликта интересов.
Conflict of interests. The author declares no conflict of interests.
About the authors
Olga V. Vorobeva
Ulianov Chuvash State University
Author for correspondence.
Email: olavorobeva@mail.ru
ORCID iD: 0000-0003-3259-3691
Сand. Sci. (Med.)
Russian Federation, CheboksaryReferences
- Усачев В.С., Смоленов Е.И., Рагулин Ю.А. Морфологическая и молекулярно-генетическая диагностика рака легкого: методики и проблемы. Исследования и практика в медицине. 2020;7(3):51-62 [Usachev VS, Smolenov EI, Ragulin YuA. Morphological and molecular genetic diagnosis of lung cancer: methods and problems. Research and Practical Medicine Journal. 2020;7(3):51-62 (in Russian)]. doi: 10.17709/2409-2231-2020-7-3-5
- Bombí JA, Martínez A, Ramírez J, et al. Ultrastructural and molecular heterogeneity in non-small cell lung carcinomas: study of 110 cases and review of the literature. Ultrastruct Pathol. 2002;26(4):211-8.
- Fisseler-Eckhoff A. Prognostic factors in histopathology of lung cancer. Front Radiat Ther Oncol. 2010;42:1-14. doi: 10.1159/000262457
- Gomes M, Teixeira AL, Coelho A, et al. The role of inflammation in lung cancer. Adv Exp Med Biol. 2014;816:1-23. doi: 10.1007/978-3-0348-0837-8_1
- Königshoff M. Lung cancer in pulmonary fibrosis: tales of epithelial cell plasticity. Respiration. 2011;81(5):353-8. doi: 10.1159/000326299
- Tufman AI, Huber RM. Biological markers in lung cancer: a clinician’s perspective. Cancer Biomark. 2010;6(3-4):123-35. doi: 10.3233/CBM-2009-0124
- Dabbs DJ. Diagnostic Immunohistochemistry. Philadelphia, Elsevier, 2006.
- Wood SL, Pernemalm M, Crosbie PA, Whetton AD. The role of the tumor-microenvironment in lung cancer-metastasis and its relationship to potential therapeutic targets. Cancer Treat Rev. 2014;40(4):558-66. doi: 10.1016/j.ctrv.2013.10.001
- Воробьева О.В., Ласточкин А.В. Клинико-морфологический случай аденокарциномы слюнной железы с развитием генерализованных метастазов. Вопросы онкологии. 2020;66(4):425-8 [Vorobeva OV, Lastochkin AV. Сlinical and morphological case of salivary gland adenocarcinoma with the development of generalized metastases. Voprosy onkologii. 2020;66(4):425-8 (in Russian)].
Supplementary files








