Combination of encorafenib and binimetinib in the treatment of patients with BRAF-mutated advanced melanoma. Case report
- Authors: Orlova K.V.1, Petenko N.N.1, Garanina N.V.1, Demidov L.V.1
-
Affiliations:
- Blokhin National Medical Research Center of Oncology
- Issue: Vol 25, No 1 (2023)
- Pages: 21-27
- Section: CLINICAL ONCOLOGY
- Submitted: 16.05.2023
- Accepted: 16.05.2023
- Published: 17.05.2023
- URL: https://modernonco.orscience.ru/1815-1434/article/view/430180
- DOI: https://doi.org/10.26442/18151434.2023.1.202192
- ID: 430180
Cite item
Full Text
Abstract
Background. The need to use BRAF and MEK inhibitors in the treatment of patients with metastatic and/or unresectable BRAF + melanoma in certain clinical situations is beyond doubt nowadays. The medical community need more information about the new combination of targeted therapy approved in Russia, further details on the expected efficacy and tolerability, potential differences from the existing combinations.
Aim. To present of the study results and demonstration of our experience with the new generation of targeted therapy – encorafenib and binimetinib combination – in the treatment of patients with metastatic and/or inoperable BRAF+ melanoma.
Materials and methods. We present the clinical case of BRAF+ advanced melanoma patient with multiple metastases in the liver, spleen, mediastinal and abdominal lymph nodes, stomach and bones who is being treated with encorafenib and binimetinib since 2015 with the treatment efficacy and tolerability described in details, as well as the published data on the efficacy and tolerability of this combination from the pivotal phase III study COLUMBUS.
Results. High immediate and long-term efficacy, satisfactory tolerability of encorafenib and binimetinib combination are presented. Updated data on progression-free and overall survival in the COLUMBUS study confirmed the long-term efficacy of COMBO450 therapy in patients with advanced melanoma with BRAF V600 mutation.
Conclusion. New generation of BRAFi and MEKi combination expands options of systemic therapy for patients with metastatic and/or inoperable BRAF+ melanoma.
Keywords
Full Text
Введение
Возможности лекарственной терапии метастатической и/или неоперабельной меланомы расширились за последнее десятилетие [1–6]. Предпосылкой к использованию таргетной терапии при метастатической меланоме кожи стало открытие роли мутации в гене BRAF. Исследователи из Института Сенгера по изучению генома (Wellcome Trust Sanger Institute, Великобритания) в 2002 г. обнаружили, что приблизительно в 40–60% образцов меланомы кожи присутствуют мутации гена, кодирующего протеинкиназу BRAF. Наиболее частой мутацией в гене BRAF при меланоме кожи (около 90%) является мутация V600E – замена аминокислоты валин на глутамин в 600-м кодоне, что приводит к увеличению киназной активности фермента BRAF по отношению к нижестоящей киназе MEK во внутриклеточном пути передачи сигнала MAPK. Помимо V600E в гене BRAF встречаются и другие виды мутаций (V600K, V600R, V600D), которые также активируют киназную активность фермента. Активация MAPK-пути внутриклеточной передачи сигнала через последовательную активацию киназ MEK и ERK вызывает неконтролируемую пролиферацию клеток и блокаду апоптоза [7].
Российские врачи-онкологи уже более 7–8 лет используют ингибиторы BRAF (BRAFi) в комбинации с ингибиторами МЕК (MEKi) – дабрафениб с траметинибом и вемурафениб с кобиметинибом – для лечения пациентов с метастатической и/или неоперабельной меланомой с мутацией в гене BRAF V6001,2 [8].
Новое поколение таргетной анти-BRAF терапии – комбинация энкорафениба и биниметиниба – одобрена в октябре 2022 г. на территории Российской Федерации для лечения пациентов с неоперабельной и/или метастатической меланомой с мутацией в гене BRAF3. Какие возможности дает практикующим врачам-онкологам новая комбинация и есть ли отличия от других существующих в практике препаратов?
Энкорафениб – это высокоселективный конкурирующий с аденозинтрифосфатом ингибитор BRAF с уникальными фармакологическими свойствами, созданный для улучшения эффективности и переносимости по сравнению с другими зарегистрированными ингибиторами BRAF. В доклинических исследованиях показана высокая активность препарата в отношении мутации V600 в гене BRAF, с увеличением времени целевого ингибирования и уменьшением времени полувыведения из сыворотки крови, что способствует более медленному развитию резистентности и обеспечивает лучшую переносимость. Энкорафениб (LGX818) исходно разработан с учетом гипотезы более мощного ингибирования по сравнению с существующими ингибиторами BRAF для улучшения результатов лечения и увеличения продолжительности ответов3 [9, 10].
Биниметиниб – это мощный селективный аллостерический не конкурирующий с АТФ ингибитор MEK1/2 с укороченным по сравнению с другими ингибиторами MEK1/2 временем полувыведения, что при перерыве в приеме препарата обусловливает более быстрое разрешение токсических эффектов4 [1, 10].
На конгрессе Европейского общества клинических онкологов (European Society for Medical Oncology – ESMO) в 2021 г. были представлены 5-летние результаты регистрационного рандомизированного клинического исследования III фазы. В ходе данного исследования сравнивали комбинацию энкорафениба и биниметиниба с монотерапией энкорафенибом или вемурафенибом у пациентов с метастатической и/или неоперабельной меланомой с мутацией в гене BRAF.
В исследование COLUMBUS было включено 577 пациентов с метастатической меланомой с мутацией в гене BRAF V600, не получавших предшествующего лечения, или с прогрессированием заболевания после первой линии иммунотерапии. Пациентов рандомизировали в соотношении 1:1:1 в группы комбинированной терапии энкорафенибом в дозе 450 мг 1 раз в сутки и биниметинибом в дозе 45 мг 2 раза в сутки (КОМБО450) или монотерапии вемурафенибом по 960 мг 2 раза в сутки (ВЕМ) или энкорафенибом по 300 мг 1 раз в сутки (ЭНКО300). Все препараты применяли перорально. Включение участников в исследование проходило с 30 декабря 2013 г. по 10 апреля 2015 г. Всего на I этапе рандомизировано 577 пациентов: КОМБО450 – 192; ЭНКО300 – 194 и ВЕМ – 191. Характеристики участников не различались между группами терапии. Во всех группах медиана продолжительности наблюдения для оценки общей выживаемости (ОВ) составила 48,8 мес.
Частота объективных ответов (ЧОО) в группе КОМБО450 составила 64,1% (95% Доверительный интервал – ДИ 56,8–70,8) по сравнению с 40,8% (95% ДИ 33,8–48,2) в группе ВЕМ и 51,5% (95% ДИ 44,3–58,8) в группе ЭНКО300. Медиана выживаемости без прогрессирования (ВБП) – 14,9 мес (95% ДИ 11,0–20,2) при терапии КОМБО450, 9,6 мес (95% ДИ 7,4 –14,8) при ЭНКО300 и 7,3 мес (95% ДИ 5,6–7,9) при ВЕМ. Применение КОМБО450 сопровождалось увеличением ВБП по сравнению с ВЕМ (отношение рисков – ОР 0,51, 95% ДИ 0,40–0,67). Медиана ОВ в группе КОМБО450 составила 33,6 мес (95% ДИ 24,4–39,2), в группе ЭНКО300 – 23,5 мес (95% ДИ 19,6–33,6) и в группе ВЕМ – 16,9 мес (95% ДИ 14,0–24,5). Пятилетняя ОВ в группе КОМБО450 – 35% по сравнению с 21,4% в группе ВЕМ и 34,9% в группе ЭНКО300.
По сравнению с ВЕМ терапия КОМБО450 уменьшала риск смерти на 39% (ОР 0,61, 95% ДИ 0,48–0,79). Подгрупповой анализ в рамках исследования продемонстрировал преимущество группы КОМБО450 в различных популяциях пациентов. В подгруппе с нормальным уровнем лактатдегид- рогеназы (ЛДГ) медиана ОВ при терапии КОМБО450 не достигнута, а при ВЕМ составила 24,5 мес. Аналогично у больных с нормальным уровнем ЛДГ и поражением менее 3 органов медиана ОВ при терапии КОМБО450 не достигнута, а при терапии ВЕМ составила 28,1 мес. Медиана ОВ в подгруппе с высоким уровнем ЛДГ – 11,4 мес при терапии КОМБО450 и 9,6 мес при ВЕМ (ОР 0,93, 95% ДИ 0,62–1,39). По данным подгруппового и многофакторного регрессионного анализа с учетом предварительно определенных исходных независимых переменных, показано неизменное превосходство терапии КОМБО450 над ВЕМ. Как и ожидалось, эффект у пациентов с нормальным уровнем ЛДГ более выражен, чем у пациентов с повышенным уровнем, во всех группах – это отмечалось и в предшествующих исследованиях других ингибиторов BRAF/MEK.
Обновленные данные по ВБП и ОВ в исследовании COLUMBUS подтвердили долгосрочную эффективность терапии КОМБО450 у пациентов с распространенной меланомой с мутацией в гене BRAF V600 (рис. 1, 2) [1, 11, 12].
Рис. 1. COLUMBUS: 5-летняя выживаемость без прогрессирования.
Рис. 2. COLUMBUS: 5-летняя общая выживаемость.
Во 2-й части исследования COLUMBUS дополнительно оценивали вклад биниметиниба путем сохранения той же дозы энкорафениба в комбинации (ЭНКО по 300 мг ежедневно + БИНИ по 45 мг 2 раза в сутки; КОМБО300) и в группе сравнения (только ЭНКО300). Пациентов рандомизировали в соотношении 3:1 в группу КОМБО300 или ЭНКО300. Данные из групп ЭНКО300 в частях 1+2 объединены для сравнения первичной точки эффективности – ВБП с помощью независимой заслепленной централизованной оценки. Другой анализ включал оценку ВБП для группы КОМБО300 по сравнению с группой ЭНКО300 (только часть 2), ЧОО (полных и частичных ответов – ПО и ЧО), безопасности, по данным независимой централизованной и локальной оценок.
Медиана ВБП (95% ДИ) для КОМБО300 составила 12,9 мес (10,1–14,0) по сравнению с 9,2 мес (7,4–11,0) для группы ЭНКО300 (части 1+2) и 7,4 мес (5,6–9,2) для ЭНКО300 (2-я часть). ОР для КОМБО300 – 0,77 (0,61–0,97; p=0,029, 2-сторонняя) по сравнению с ЭНКО300 (части 1+2) и 0,57 (0,41–0,78; p<0,001, 2-сторонняя) по сравнению с ЭНКО300 (2-я часть). ЧОО (ПО и ЧО), по данным централизованной/локальной оценки (%), составили 66/72, 8/11 и 58/62 для КОМБО300 и 50/56, 5/8 и 45/49 для ЭНКО300 (части 1+2) и 50/53, 3/3 и 47/50 для ЭНКО300 (2-я часть). Профили безопасности во 2-й части соответствовали таковым в 1-й. Таким образом, в группе КОМБО300 2-й части исследования продемонстрировано улучшение показателей ВБП, ЧОО и переносимости терапии по сравнению с группой ЭНКО300, что подтверждает вклад биниметиниба как в эффективность, так и в безопасность [12, 13].
Наиболее частыми побочными эффектами в группе комбинированной таргетной терапии энкорафенибом и биниметинибом в исследовании COLUMBUS были утомляемость, тошнота, диарея и рвота. Профиль безопасности через 5 лет соответствовал данным более ранних исследований данной комбинации. К нежелательным явлениям – НЯ (все степени тяжести), зарегистрированным у 30% пациентов и больше, относились тошнота (44,3%), диарея (38,5%), артралгия (33,3%), рвота (33,3%) и слабость (30,2%). НЯ и отклонения лабораторных показателей 3–4-й степени тяжести, зарегистрированные у 5% пациентов и больше, включали повышение уровня гамма-глутамилтрансферазы (9,4%), креатинфосфокиназы крови (7,8%), аланинаминотрансферазы (5,2%), артериальную гипертензию (7,3%) и анемию (5,7%).
Таким образом, мы видим несколько иной профиль НЯ комбинации энкорафениба и биниметиниба по сравнению с двумя другими зарегистрированными комбинированными режимами таргетной терапии (более низкая частота развития пирексии по сравнению с комбинацией дабрафениба и траметиниба, 21% против 53%), кроме того, лечение энкорафенибом и биниметинибом сопровождалось меньшим количеством НЯ в виде сыпи (20% по сравнению с 42% в группе терапии вемурафенибом и кобиметинибом) и фотосенсибилизации (4% по сравнению с 35% на фоне терапии вемурафенибом и кобиметинибом) [14]. Ниже приведен клинический случай пациентки, которая продолжает получать терапию в рамках клинического исследования в отделении онкодерматологии.
Клинический случай
Мы представляем клинический случай применения комбинированной таргетной терапии энкорафенибом и биниметинибом у пациентки с множественными отдаленными метастазами (мтс) BRAF+ меланомы без выявленного первичного очага.
Женщина, белая, возраст на момент обращения в НМИЦ онкологии им. Н.Н. Блохина – 51 год. В сентябре 2015 г. почувствовала недомогание в виде тошноты, отвращения к пище, общей слабости. Обратилась к врачу.
При эзофагогастродуоденоскопии выявлены множественные пигментные очаги на слизистой оболочке желудка. Выполнена биопсия. При гистологическом исследовании образования на слизистой оболочке расценены как метастазы пигментсодержащей меланомы. В анамнезе у пациентки – удаление пигментных образований («родинок») на коже спины без гистологического исследования несколько лет назад.
При дополнительном обследовании (позитронно-эмиссионная томография, совмещенная с компьютерной томографией – ПЭТ-КТ всего тела 09.2015; рис. 3) выявлены множественные метастазы в печени, селезенке, лимфоузлах средостения и брюшной полости, желудке, костях.
Рис. 3. ПЭТ-КТ всего тела от 09.2015.
По данным полимеразной цепной реакции и секвенирования (выполнено в больнице X) образца ДНК на материале биопсии мтс меланомы слизистой оболочки желудка активирующих мутаций в 15-м экзоне гена BRAF, предполагающих чувствительность к терапии таргетными препаратами, не выявлено. Пациентка обратилась в НМИЦ онкологии им. Н.Н. Блохина в сентябре 2015 г. На момент обращения возможности системной терапии диссеминированной меланомы в России ограничивались труднодоступной и дорогостоящей таргетной (дабрафениб + траметиниб, вемурафениб) и химиотерапией. В 2015 г. иммуноонкологическая терапия в России еще не была одобрена.
В НМИЦ онкологии им. Н.Н. Блохина предпринята попытка повторной биопсии мтс слизистой оболочки желудка с целью дополнительного молекулярно-генетического исследования на мутации в гене C-KIT, также для дополнительного уточнения и перепроверки назначено повторное исследование на мутацию в гене BRAF. По данным повторной полимеразной цепной реакции и секвенирования (выполнено в НМИЦ онкологии им. Н.Н. Блохина): в исследованном материале, в 9, 11, 13, 17, 18-м экзонах гена C-KIT, мутаций не обнаружено; в исследованном материале, в 15-м экзоне гена BRAF, обнаружена мутация p.V600E (c.1799T>A, COSM476, rs113488022).
Пациентке предложено участие во 2-й части клинического исследования COLUMBUS (CMEK162B2301; EuDRA #2013-001176-38; NCT01909453) по оценке эффективности и безопасности комбинированной терапии энкорафенибом (LGX818, BRAFi) и биниметинибом (MEK162, MEKi) по сравнению c энкорафенибом (LGX818, BRAFi) при меланоме с мутацией в гене BRAF, которое одобрено локальным этическим комитетом 26.06.2014 (одобрение «без номера» от 26.06.2014). Пациентка согласилась получать экспериментальную таргетную терапию в рамках исследования.
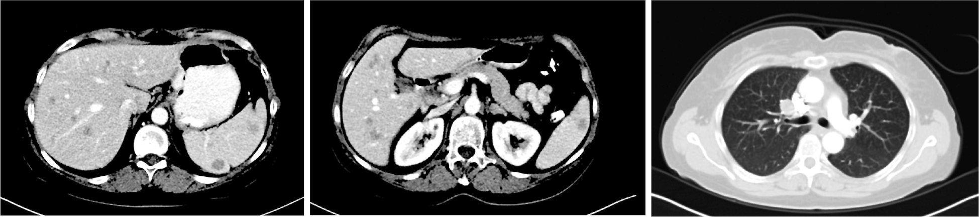
При обследовании (КТ органов грудной клетки, органов брюшной полости и таза с внутривенным контрастированием – в/в) подтверждено множественное метастатическое поражение печени, селезенки, лимфоузлов средостения, практически всех отделов костной системы (рис. 4, 5), при этом уровень ЛДГ оставался в норме, а общее состояние по шкале Восточной объединенной онкологической группы (Eastern Cooperative Oncology Group) соответствовало 1 за счет симптомов заболевания. Мтс в головном мозге по данным магнитно-резонансной томографии (МРТ) от 10.2015 не выявлены. При стадировании заболевания согласно Американскому объединенному онкологическому комитету (American Joint Committee on Cancer – AJCC) версии 7 – TxN0M1с, IV стадия; по AJCC версии 8 – TxN0M1с(0), IV стадия.
Рис. 4. КТ органов грудной клетки, органов брюшной полости и таза с в/в контрастированием от 10.2015.
Рис. 5. Радио-изотопное сканирование костей от 10.2015.
В октябре 2015 г. начата комбинированная таргетная терапия энкорафенибом (BRAFi) в дозе 300 мг внутрь ежедневно + биниметиниб (MEKi) по 45 мг 2 раза в сутки внутрь ежедневно, с выраженной положительной динамикой. После 5,5 мес терапии достигнут частичный объективный ответ (сумма максимальных диаметров таргетных очагов уменьшилась на 56%, при этом максимальное уменьшение опухолевой нагрузки достигнуто после 7,5 мес (сумма максимальных диаметров снизилась на 60%). При удовлетворительной переносимости терапии в течение первых нескольких лет среди НЯ отмечалось рецидивирующее повышение уровня креатинфосфокиназы 2-й степени, связанное с исследуемой терапией, и прибавка веса 3-й степени (на 30%), не связанная с исследуемой терапией, но обусловленная нормализацией состояния и аппетита пациентки вскоре после начала таргетной терапии.
После 2 лет лечения (10.2017) для оценки метаболической активности и жизнеспособности остаточной опухоли выполнено повторное ПЭТ-КТ всего тела (рис. 6), по данным которого очагов патологического накопления радиофармпрепарата не выявлено. Таким образом, зарегистрирован полный метаболический ответ.
Рис. 6. ПЭТ-КТ всего тела от 10.2017 г.
Пациентка продолжала исследуемую терапию, когда в марте 2018 г. на МРТ головного мозга с в/в контрастированием по поводу периодически беспокоящих головных болей выявлен единичный мтс в области головки хвостатого ядра левого полушария большого мозга до 5 мм без перифокального отека (рис. 7). По всей видимости, этот очаг обнаружен случайно, поскольку такой небольшой мтс не должен вызывать симптомы, что обусловливает необходимость регулярного обследования головного мозга у пациентов с распространенной меланомой при помощи МРТ с в/в контрастированием (в процессе терапии и несмотря на достижение глубокого радиологического ответа).
Рис. 7. МРТ головного мозга с в/в контрастированием от 03.2018 г.
В мае 2018 г. по поводу единичного мтс в головном мозге (в ФГБУ «НМИЦ радиологии») проведена стереотаксическая лучевая терапия (СТЛТ) до суммарной очаговой дозы 24 Гр на аппарате «Кибернож». За несколько дней до СТЛТ таргетную терапию приостановили для снижения риска интракраниальных осложнений, а также в связи с дополнительной токсичностью, которая развилась накануне и заключалась в повышении уровня креатинина 1-й степени, мышечных спазмах 1-й степени тяжести, с повышением уровня миоглобина крови 1-й степени на фоне рецидивирующего повышения уровня креатинфосфокиназы 1–2-й степени, что связано с исследуемой терапией. Указанные НЯ разрешились за 9 дней после приостановки таргетной терапии. СТЛТ пациентка перенесла без дополнительной токсичности.
В связи с исключительным экстракраниальным контролем диссеминированного опухолевого процесса, несмотря на интракраниальное прогрессирование, пациентке разрешено продолжить таргетную терапию в рамках клинического исследования, со снижением дозы препаратов на 1 уровень в связи с токсичностью. Лечение продолжено со снижением дозы энкорафениба до 200 мг 1 раз в сутки и биниметиниба до 30 мг 2 раза в сутки. Среди новых НЯ – хронический блефарит, мадароз 1-й степени тяжести (которые, по всей видимости, не связаны с исследуемой терапией и обусловлены косметическими процедурами на коже лица), а также снижение памяти 1-й степени тяжести, утомляемость 1-й степени (связь с исследуемыми препаратами неясна, вероятно, не связаны).
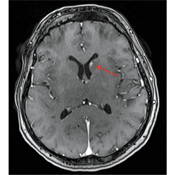
В марте 2022 г. при плановом обследовании выявлен новый мтс в головном мозге, локализованный в правой теменной доле, размерами до 9 мм (рис. 8).
Рис. 8. МРТ головного мозга с в/в контрастированием от 03.2022 г.
При ретроспективном пересмотре данных МРТ головного мозга отмечено, что очаг определялся и при прошлых исследованиях (рис. 9), крайне медленно увеличиваясь в динамике, характеристики МР-сигнала соответствовали ранее выявленному очагу в марте 2018 г. Этот очаг также определялся в 2015 г., до начала таргетной терапии, в виде точечного накопления контраста, которое можно было принять за сосудистую структуру (см. рис. 9).
Рис. 9. МРТ головного мозга с в/в контрастированием в ретроспективной динамике.
В марте 2022 г. по поводу выявленного нового мтс в головной мозг (в ФГБУ «НМИЦ радиологии») выполнена повторная СТЛТ до суммарной очаговой дозы 24 Гр на аппарате «Кибернож». За несколько дней до и после СТЛТ таргетную терапию приостановили для снижения риска интракраниальных осложнений.
С пациенткой обсуждались альтернативные варианты системной терапии, включая комбинированную иммунотерапию, однако, учитывая нестабильную доступность и потенциальную токсичность этого варианта, пациентка предпочла продолжать таргетную терапию. В связи с сохраняющимся экстракраниальным контролем заболевания пациентке разрешено продолжить таргетную терапию в рамках клинического исследования, которая проводится по настоящее время (март 2023 г.). Общая продолжительность комбинированной таргетной терапии энкорафенибом и биниметинибом превысила 89+ мес (7 лет и 5 мес).
Комбинированная таргетная терапия позволила добиться длительного экстракраниального и, как выяснилось, интракраниального контроля заболевания, несмотря на распространенность и объем опухолевого поражения; дополнительная СТЛТ обеспечила контроль заболевания при интракраниальном олигопрогрессировании. В настоящее время (на момент написания статьи – март 2023 г.) пациентка продолжает получать таргетную терапию энкорафенибом и биниметинибом, с регулярным контрольным обследованием. Комбинированная иммунотерапия в качестве терапии 2-й линии остается пока невостребованной.
Повторная биопсия и молекулярно-генетическое исследование на мутацию в гене BRAF представляется целесо- образными при малом объеме исследованного опухолевого материала и даже минимальных сомнениях в достоверности результатов. Регулярное обследование головного мозга при помощи МРТ головного мозга с в/в контрастированием позволяет выявить бессимптомное метастатическое поражение и своевременно и радикально контролировать его при помощи современных возможностей радиохирургии и лекарственной терапии.
Заключение
Данные клинического исследования и собственный клинический опыт демонстрируют благоприятные долгосрочные результаты терапии у пациентов с метастатической и/или неоперабельной меланомой, в то время как обновленные 5-летние показатели ВБП и ОВ при использовании энкорафениба в комбинации с биниметинибом достигли 23 и 35% в общей популяции пациентов и 31 и 45% у пациентов с нормальным уровнем ЛДГ соответственно при удовлетворительной переносимости [11–13]. Новое поколение BRAFi и MEKi, к которым относится комбинация энкорафениба и биниметиниба, расширяет возможности системной терапии пациентов с метастатической и/или неоперабельной меланомой с мутацией в гене BRAF, обладая высокой эффективностью и профилем НЯ, отличным от раннее одобренных комбинаций BRAFi и MEKi.
Раскрытие интересов. Авторы декларируют отсутствие явных и потенциальных конфликтов интересов, связанных с публикацией настоящей статьи.
Disclosure of interest. The authors declare that they have no competing interests.
Вклад авторов. Авторы декларируют соответствие своего авторства международным критериям ICMJE. Все авторы в равной степени участвовали в подготовке публикации: разработка концепции статьи, получение и анализ фактических данных, написание и редактирование текста статьи, проверка и утверждение текста статьи.
Authors’ contribution. The authors declare the compliance of their authorship according to the international ICMJE criteria. All authors made a substantial contribution to the conception of the work, acquisition, analysis, interpretation of data for the work, drafting and revising the work, final approval of the version to be published and agree to be accountable for all aspects of the work.
Источник финансирования. Авторы декларируют отсутствие внешнего финансирования для проведения исследования и публикации статьи.
Funding source. The authors declare that there is no external funding for the exploration and analysis work.
Информированное согласие на публикацию. Пациент подписал форму добровольного информированного согласия на публикацию медицинской информации.
Consent for publication. Written consent was obtained from the patient for publication of relevant medical information and all of accompanying images within the manuscript.
1Государственный реестр лекарственных средств. Регистрационное удостоверение. Дабрафениб. Режим доступа: https://grls.rosminzdrav.ru/Grls_View_v2.aspx?routingGuid=b5f3dd9f-4844-4d08-867a-4c8ffa907d58. Ссылка активна на 13.12.2022.
2Государственный реестр лекарственных средств. Регистрационное удостоверение. Вемурафениб. Режим доступа: https://grls.rosminzdrav.ru/GRLS.aspx?RegNumber=&MnnR=вемурафениб&lf=&TradeNmR=&OwnerName=&MnfOrg=&MnfOrgCountry=&isfs=0®type=1%2c2%2c3%2c4%2c5%2c6%2c7%2c8&pageSize=10&order=RegDate&orderType=desc&pageNum=1. Ссылка активна на 13.12.2022.
3Общая характеристика лекарственного препарата Брафтови. Режим доступа: https://www.rlsnet.ru/drugs/braftovi-88951. Ссылка активна на 13.12.2022.
4Общая характеристика лекарственного препарата Мектови. Режим доступа: https://www.rlsnet.ru/drugs/mektovi-88953. Ссылка активна на 13.12.2022.
About the authors
Kristina V. Orlova
Blokhin National Medical Research Center of Oncology
Author for correspondence.
Email: krisman03@gmail.com
ORCID iD: 0000-0002-0442-5917
Cand. Sci. (Med.), Blokhin National Medical Research Center of Oncology
Russian Federation, MoscowNatalia N. Petenko
Blokhin National Medical Research Center of Oncology
Email: n.petenko@gmail.com
ORCID iD: 0000-0002-5692-0223
Cand. Sci. (Med.), Blokhin National Medical Research Center of Oncology
Russian Federation, MoscowNatalia V. Garanina
Blokhin National Medical Research Center of Oncology
Email: garanina.natalia.v@gmail.com
ORCID iD: 0000-0002-3036-2753
Radiologist, Blokhin National Medical Research Center of Oncology
Russian Federation, MoscowLev V. Demidov
Blokhin National Medical Research Center of Oncology
Email: demidov.lev@gmail.com
ORCID iD: 0000-0002-8562-6082
D. Sci. (Med.), Prof., Blokhin National Medical Research Center of Oncology
Russian Federation, MoscowReferences
- Ascierto PA, Dummer R, Gogas HJ, et al. Update on tolerability and overall survival in COLUMBUS: landmark analysis of a randomised phase 3 trial of encorafenib plus binimetinib vs vemurafenib or encorafenib in patients with BRAF V600-mutant melanoma. Eur J Cancer. 2020;126:33-44. doi: 10.1016/j.ejca.2019.11.016
- Robert C, Grob JJ, Stroyakovskiy D, et al. Five-Year Outcomes with Dabrafenib plus Trametinib in Metastatic Melanoma. N Engl J Med. 2019;381(7):626-36. doi: 10.1056/NEJMoa1904059
- Ascierto PA, McArthur GA, Dréno B, et al. Cobimetinib combined with vemurafenib in advanced BRAF(V600)-mutant melanoma (coBRIM): updated efficacy results from a randomised, double-blind, phase 3 trial. Lancet Oncol. 2016;17(9):1248-60. doi: 10.1016/S1470-2045(16)30122-X
- Gutzmer R, Stroyakovskiy D, Gogas H, et al. Atezolizumab, vemurafenib, and cobimetinib as first-line treatment for unresectable advanced BRAFV600 mutation-positive melanoma (IMspire150): primary analysis of the randomised, double-blind, placebo-controlled, phase 3 trial. Lancet. 2020;395(10240):1835-44. doi: 10.1016/S0140-6736(20)30934-X
- Wolchok JD, Chiarion-Sileni V, Gonzalez R, et al. Long-Term Outcomes With Nivolumab Plus Ipilimumab or Nivolumab Alone Versus Ipilimumab in Patients With Advanced Melanoma. J Clin Oncol. 2022;40(2):127-37. doi: 10.1200/JCO.21.02229
- Орлова К.В., Федянин М.Ю., Симаненков К.Э., и др. Эффективность 1-й линии терапии пролголимабом у больных метастатической меланомой в реальной клинической практике: промежуточные результаты наблюдательного исследования FORA «FOrteca Real practice Assessment». Современная онкология. 2022;24(4):413-25 [Orlova KV, Fedyanin M, Simanenkov KE, et al. Real-world efficacy of the first line therapy with prolgolimab in patients with metastatic melanoma: interim results of the FORA (FOrteca Real practice Assessment) observational study. Journal of Modern Oncology. 2022;24(4):413-25 (in Russian)]. doi: 10.26442/18151434.2022.4.202035
- Davies H, Bignell GR, Cox C, et al. Mutations of the BRAF gene in human cancer. Nature. 2002;417(6892):949-54. doi: 10.1038/nature00766
- Orlova KV, Ledin EV, Zhukova NV, et al. Real-World Experience with Targeted Therapy in BRAF Mutant Advanced Melanoma Patients: Results from a Multicenter Retrospective Observational Study Advanced Melanoma in Russia (Experience) (ADMIRE). Cancers (Basel). 2021;13(11):2529. doi: 10.3390/cancers13112529
- Stuart DD, Li N, Poon DJ, et al. Preclinical profile of LGX818: A potent and selective RAF kinase inhibitor. Cancer Res. 2012;72(Suppl. 8):3790. DOI:1538-7445.AM2012-3790
- Davis J, Wayman M. Encorafenib and Binimetinib Combination Therapy in Metastatic Melanoma. J Adv Pract Oncol. 2022;13(4):450-5. doi: 10.6004/jadpro.2022.13.4.7
- Dummer R, Flaherty K, Robert C, et al. Five-year overall survival (OS) in COLUMBUS: A randomized phase 3 trial of encorafenib plus binimetinib versus vemurafenib or encorafenib in patients (pts) with BRAF V600-mutant melanoma. J Clin Oncol. 2021;39(Suppl. 15):9507. doi: 10.1200/JCO.2021.39.15_suppl.9507
- Dummer R, Flaherty KT, Robert C, et al. 1041MO 5-year update on COLUMBUS: a randomized phase III trial of encorafenib (enco) + binimetinib (bini) versus enco or vemurafenib (vem) in patients (pts) with BRAF V600-mutant melanoma. Ann Oncol. 2021;32(5):S872-3. doi: 10.1016/j.annonc.2021.08.1426
- Dummer R, Ascierto PA, Gogas H, et al. Results of COLUMBUS Part 2: A phase 3 trial of encorafenib (ENCO) plus binimetinib (BINI) versus ENCO in BRAF-mutant melanoma. Ann Oncol. 2017;28(5):v429-30. doi: 10.1093/annonc/mdx377.002
- Dummer R, Flaherty KT, Robert C, et al. COLUMBUS 5-Year Update: A Randomized, Open-Label, Phase III Trial of Encorafenib Plus Binimetinib Versus Vemurafenib or Encorafenib in Patients With BRAF V600-Mutant Melanoma. J Clin Oncol. 2022;40(36):4178-88. doi: 10.1200/JCO.21.02659
Supplementary files












