Clinical case of complications of immunotherapy – encephalitis
- Authors: Lyadova M.A.1, Kuchevskaya O.A.1, Kulikova E.A.1
-
Affiliations:
- City Clinical Oncology Hospital №1
- Issue: Vol 25, No 1 (2023)
- Pages: 140-144
- Section: CLINICAL ONCOLOGY
- Submitted: 28.11.2022
- Published: 17.05.2023
- URL: https://modernonco.orscience.ru/1815-1434/article/view/114949
- DOI: https://doi.org/10.26442/18151434.2023.1.202168
- ID: 114949
Cite item
Full Text
Abstract
Nowadays, checkpoint inhibitors are widely used in the treatment of various types of cancer. However, its’ use is often accompanied by the development of immune-mediated adverse events (IAEs) of various systems and organs. Aim – description of the features of the development of encephalitis during the treatment of small cell lung cancer (SCLC) using checkpoint inhibitors. There is a clinical case of a patient, who is receiving immunotherapy, with small cell carcinoma of the upper lobe of the left lung, stage IVA, cT2bN2M1a. The patient sought medical help in connection with complaints of an episode of memory loss, difficulty in remembering new information. Based on the clinical picture and examination data, a limbic encephalitis was diagnosed. Immune-related adverse events might affect any organ during all the period of therapy with checkpoint inhibitors. Physicians shall be aware of the risk of encephalitis development related to this type of anti-cancer therapy.
Full Text
Введение
Ингибиторы контрольных точек иммунитета (ИКТИ) представляют собой препараты, которые произвели революцию в лечении онкологических заболеваний; они используются при терапии разных злокачественных новообразований, включая меланому, уротелиальный рак, рак легкого, опухоли желудочно-кишечного тракта и др. [1–3]. Эти препараты действуют за счет усиления противоопухолевого иммунного ответа [4]. Существуют различные ИКТИ, которые действуют как негативные регуляторы активации Т-клеток, чтобы координировать воспалительные реакции во время инфекционных процессов, поддерживать толерантность организма к собственным антителам и предотвращать аутоиммунитет [5]. Молекулами, которые наиболее широко используются в качестве мишеней для иммунотерапии, являются цитотоксический Т-лимфоцит-ассоциированный антиген 4 (CTLA-4) и белок запрограммированной гибели клеток 1-го типа (PD-1) и его лиганд (PDL-1). Контрольная точка CTLA-4 преимущественно регулирует активацию Т-клеток в начальной фазе иммунного ответа в лимфатическом узле, в то время как путь PD-1/PDL-1 регулирует Т-клеточный ответ в эффекторной фазе иммунного ответа на тканевом уровне [4].
Усиливающее иммунный ответ лечение с помощью ИКТИ может привести к аутоиммунному ответу, поражающему любой орган, включая нервную систему. Эти осложнения терапии ИКТИ известны как иммуноопосредованные нежелательные явления (иоНЯ), и чаще всего они поражают кожу, желудочно- кишечный тракт, печень, эндокринную систему и легкие.
Механизм действия ИКТИ-терапии и развитие иоНЯ
Активация наивных Т-клеток зависит не только от распознавания родственного антигена, но и от наличия ко-стимулирующего сигнала, без которого Т-клетка войдет в анергическое состояние [6]. CD28, первая обнаруженная ко-стимулирующая молекула, является членом суперсемейства иммуноглобулинов и экспрессируется на поверхности наивных Т-клеток. Ингибирующие рецепторы (такие как CTLA-4 и PD-1, действующие как иммунные контрольные точки) индуцируются иммунной системой для ограничения ее чрезмерной стимуляции. Эти ИКТИ играют ключевую роль в регуляции иммунного ответа и экспрессируются на лимфоцитах (В- и Т-клетках), натуральных киллерах и миелоидных клетках [7]. CTLA-4, продукция которого регулируется ядерным фактором активированных Т-клеток [8] и forkhead box P3 [9], превосходит CD28 по силе связывания с CD80 и CD86, что приводит к ингибированию активации Т-клеток. Связывание PD-1 и PD-L1 предотвращает разрушение опухоли Т-клетками. При связывании PD-1 рекрутирует протеинтирозинфосфатазу, содержащую фосфатазный домен SH2, который продолжает дефосфорилировать близлежащие рецепторы Т-клеток и ингибировать активацию Т-клеток [10].
ИКТИ, используемые в настоящее время в клинической практике, включают ингибиторы PD-1 (пембролизумаб, ниволумаб, цемиплимаб), PD-L1 (дурвалумаб, атезолизумаб, авелумаб) и CTLA-4 (ипилимумаб) [11]. Подавление ингибирующих сигналов приводит к положительной ко-стимуляции и мощной активации Т-клеток, проявляющейся повышением уровня интерлейкина-6 и интерлейкина-17, изменением функции Т-регуляторных клеток и стимуляцией продукции антител [12]. Это иногда вызывает нарушение иммунной толерантности и может приводить к различным иоНЯ, которые могут поражать любой орган или систему органов. Однако точные механизмы, лежащие в основе развития специфических иоНЯ, сложны и в настоящее время недостаточно изучены. Одним из возможных механизмов развития является наличие низкого уровня ранее существовавших аутоантител, и, хотя в сообщениях об иоНЯ часто описывается аутоиммунное заболевание в анамнезе, его наличие не обязательно является предиктором иоНЯ [13].
Поскольку ИКТИ могут вызывать иоНЯ и иммунный ответ опухоли, изучена их связь. В нескольких сообщениях частота иоНЯ коррелирует с противоопухолевой эффективностью [14]. Более высокий риск развития иоНЯ также наблюдался при раке с более высокой мутационной нагрузкой опухоли (МНО), например при меланоме и немелкоклеточном раке легкого [15]. МНО, по-видимому, играет значительную роль в эффективности иммунотерапии, но важны и другие факторы. Профиль иммуногенности любой опухоли связан с иммуногенностью составляющих ее неоантигенов (их идентичность и характеристики, возможно, сами определяются такими факторами, как конкретный тип опухоли и воздействие избирательного лечения), а не только с подсчетом общей мутационной нагрузки. Прогнозирование иммуногенности отдельных неоантигенов остается открытой областью исследований [16]. Ясно, что одна только МНО не описывает полной картины. Наличие общих антигенов между опухолью и организмом человека, таких как ганглиозиды, обнаруженных как на меланоцитах, так и на шванновских клетках [12, 17], предполагает молекулярную мимикрию как одну из моделей развития иоНЯ. Остается открытым вопрос, являются ли неоантигены, определяющие противоопухолевую эффективность, такими же, как и те, которые вызывают иоНЯ. Однако, по-видимому, также задействованы другие факторы и существуют данные, что набор Т-клеток, ответственный за иоНЯ, направлен на отдельные антигены, отличные от тех, которые участвуют в противоопухолевом эффекте [18].
Неврологические иоНЯ любой степени тяжести встречаются редко и зарегистрированы у 14% пациентов с двойной терапией ИКТИ [19, 20]; тяжелые неврологические иоНЯ (3-й степени и выше) наблюдаются у 1,5% пациентов, получавших ИКТИ [21].
Иммуноопосредованный энцефалит возникает у 0,16% пациентов, получающих ИКТИ, что составляет 0,44% всех иоНЯ. Большинство случаев энцефалита возникает изолированно, без предшествующего неврологического анамнеза [22]. Об энцефалите сообщалось чаще после лечения анти-PD-1/PD-L1, чем при лечении анти-CTLA-4, и чаще после комбинированной терапии по сравнению с монотерапией [23].
Цель работы – описание особенностей развития энцефалита на фоне лечения мелкоклеточного рака легкого с использованием ингибиторов контрольных точек.
У пациента получено информированное согласие на публикацию данных из истории болезни.
Описание клинического случая
Пациентка М., 60 лет, обратилась в клинику 8 июля 2022 г. с жалобами на эпизод потери памяти, сложности при запоминании новой информации. Из анамнеза известно, что пациентке установлен диагноз – «мелкоклеточный рак верхней доли левого легкого IVA стадии cT2bN2M1а» (метастазы в легких, плевре). После полихимиотерапии, в процессе иммунотерапии.
Анамнез заболевания
По данным компьютерной томографии (КТ) органов грудной клетки (ОГК) от 09.11.2021 выявлена КТ-картина центрального образования левого легкого (44×43 мм) с признаками прорастания в легочные вены и артерии. Очаговое образование нижней доли правого легкого (12×10 мм). Медиастинальная лимфаденопатия.
КТ органов брюшной полости (ОБП), органов малого таза (ОМТ) с внутривенным контрастированием от 04.12.2021: объемных образований в ОБП не выявлено. Объемных образований в ОМТ не выявлено.
Фибробронхоскопия от 01.12.2021 – патологии не выявлено.
Гистологическое и иммуногистохимическое исследования (02.12.2021) выявили наличие мелкоклеточной карциномы верхнедолевого бронха слева.
Проведен консилиум 20.12.2021, на котором, учитывая морфологический подтип опухоли, распространенность опухолевого процесса, сохранный соматический статус пациентки, рекомендовано проведение полихимиотерапии по схеме карбоплатин AUC-5 внутривенно в 1-й день + этопозид по 100 мг/м2 внутривенно в 1, 2, 3-й дни + атезолизумаб по 1200 мг в 1-й день каждые 3 нед в течение 4 циклов, с последующим введением атезолизумаба по 1200 мг в 1-й день каждые 3 нед в поддерживающем режиме при отсутствии прогрессирования. Результаты терапии атезолизумабом суммированы в табл. 1.
Таблица 1. Результаты терапии атезолизумабом Table 1. Outcomes of atezolizumab therapy | |||
№ курса | Дата | Схема лечения | Данные клинико-инструментальных методов обследования |
1 | 21.12.2021 | Атезолизумаб по 1200 мг + карбоплатин AUC-5 + этопозид по 100 мг/м2 | Состояние удовлетворительное |
2 | 12.01.2022 | КТ ОГК+ОБП+ОМТ с внутривенным контрастированием от 21.01.2022: объемное центральное образование в левом легком не визуализируется (ранее – 46×35 мм), в SX правого легкого определяется солитарный очаг 10×11,5 мм. В периферических отделах обоих легких, полисегментарно – зоны консолидации по типу «матового стекла». Внутригрудные лимфатические узлы – с тенденцией к уменьшению до 6 мм по короткой оси (ранее – 20 мм). МРТ головного мозга от 29.01.2022: данных в пользу вторичной патологии нет | |
3 | 02.02.2022 | Состояние удовлетворительное | |
4 | 25.02.2022 | КТ ОГК+ОБП+ОМТ с внутривенным контрастированием от 13.03.2022: в SX правого легкого сохраняется солитарный очаг с четкими ровными контурами, кальцинатами размерами 7×5 мм, очаги «матового стекла» не визуализируются, внутригрудные лимфоузлы не увеличены. КТ головного мозга от 18.03.2022: данных о вторичном поражении головного мозга нет | |
5 | 21.03.2022 | Атезолизумаб по 1200 мг | Ухудшение общего состояния, появление болевого синдрома в грудной клетке, чувство жжения, мигрирующие боли |
6 | 11.04.2022 | ||
7 | 05.05.2022 | Ухудшение состояния, озноб, к вечеру – повышение температуры тела до 38,5°С, повышение АД до 198/100 мм рт. ст. | |
8 | 26.05.2022 | Состояние удовлетворительное, жалобы на сложность в запоминании новой информации | |
9 | 16.06.2022 | КТ ОГК+ОБП+ОМТ 24.06.2022: в SX правого легкого – очаг 10×8 мм, в остальном без динамики. Сохраняется нестабильность цифр АД, пациентка отмечает периодические нарушения памяти в виде эпизодов кратковременной амнезии | |
10 | 07.07.2022 | Состояние удовлетворительное | |
Данные инструментальных методов исследования
КТ головного мозга от 08.07.2022: КТ-признаков острого нарушения мозгового кровообращения на момент исследования не выявлено. Оценка по шкале ASPECTS на момент исследования – 10 баллов. Мелкая лакунарная киста слева, по-видимому сосудистого генеза, как проявление церебральной микроангиопатии.
КТ-ангиография брахиоцефальных артерий от 08.07.2022: доброкачественные анатомические варианты строения артерий: асимметрия позвоночных артерий (D<S), извитости позвоночных артерий. Умеренные стенозы левой внутренней сонной артерии и общей сонной артерии (30%). Септальный стеноз ~50% правой подключичной артерии (достоверно не оценить стеноз ввиду двухконтурности, обусловленной артефактом, далее контрастирование равномерное).
Электроэнцефалография (ЭЭГ) от 08.07.2022: зарегистрирован фокальный вегетативный эпилептический приступ, без нарушения осознанности, с зоной начала из передних отделов левой височной доли. В интериктальном периоде патологических изменений не выявлено.
Ультразвуковая допплерография транскраниальная артерий от 08.07.2022: Эхо-признаков спазма по средней мозговой артерии не выявлено с обеих сторон.
Ультразвуковое исследование брахиоцефальных артерий от 08.07.2022: Эхо-признаки атеросклероза брахиоцефальных артерий слева: гемодинамически незначимого стеноза внутренней сонной артерии (40%).
Ультразвуковое исследование лимфатических узлов от 13.07.2022: Эхо-признаков увеличения и нарушения структуры шейных, подмышечных, паховых лимфоузлов не выявлено.
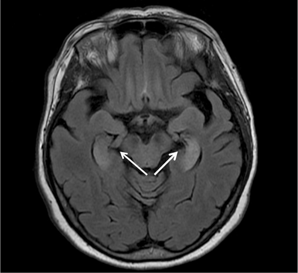
Магнитно-резонансная томография (МРТ) головного мозга с контрастированием от 13.07.2022: МР-картина не позволяет исключить тромбоз правого поперечного синуса. Единичные очаги сосудистого генеза в обоих полушариях головного мозга. Двустороннее изменение сигнала от медиальных височных структур с учетом МР-характеристик может соответствовать лимбическому энцефалиту. Венозная ангиома правой лобной доли. Данных, свидетельствующих о наличии ишемических изменений, не получено (рис. 1).
Рис. 1. МРТ головного мозга с внутривенным контрастированием (13.07.2022): а – диффузное повышение МР-сигнала на последовательностях T2 и FLAIR в области гиппокампа с обеих сторон; b – при внутривенном контрастном усилении определяется накопление контрастного препарата в области левого гиппокампа, МР-картина выявленных изменений характерна для лимбического энцефалита.
Объективный статус
Общее состояние средней тяжести. Цвет кожных покровов физиологичный. Тургор сохранен. Цианоз отсутствует. Периферические отеки отсутствуют. Частота дыхательных движений – 15 в мин; хрипов нет. Шум трения плевры отсутствует. Артериальное давление (АД) – 115/80 мм рт. ст.; ритм сердца не нарушен. Тоны сердца приглушенные. Цвет языка розовый. Налет на языке белый. Живот не увеличен, вздутия нет. Живот при пальпации мягкий, безболезненный. Диурез достаточный.
Неврологический статус
Сознание ясное. Ориентация в пространстве, собственной личности сохранена, дезориентирована во времени. Игнорирования не выявлено. Сон не нарушен. Дизартрии, дисфонии не выявлено. Речь не изменена. Глазные щели равные, величина и симметрия зрачков: D=S. Менингеальный синдром не выявлен. Нистагм отсутствует. Движение глазных яблок не изменено. Роговичные рефлексы D=S, фотореакция снижена, слабость конвергенции. Поля зрения не изменены. Диплопии нет. Чувствительность лица не изменена. Лицо симметрично. Слух не изменен. Глотание не изменено. Чувствительная сфера не изменена. Мышечная сила не изменена. Мышечный тонус в норме. Сухожильные рефлексы конечностей живые (D=S). Патологические знаки отсутствуют. Координаторные пробы: пальценосовую пробу выполняет неуверенно, в позе Ромберга неустойчива с открытыми глазами, с закрытыми глазами падает вперед. Передвигается только с поддержкой супруга.
Пациентке выполнена люмбальная пункция. В клиническом анализе цереброспинальной жидкости выявлены отклонения от референсных значений (белок – 1 г/л, глюкоза – 4,1 ммоль/л, цитоз – 10), а также цереброспинальная жидкость направлена на определение антител к NMDA-рецепторам (не обнаружено); на бактериальный посев (роста нет); на исследование методом полимеразной цепной реакции на вирус простого герпеса 1, 2-го типа, на вирус Эпштейна–Барр, на цитомегаловирус, на микобактерии туберкулеза (не обнаружено).
На основании клинической картины и данных дообследования у пациентки выставлен диагноз – «лимбический энцефалит».
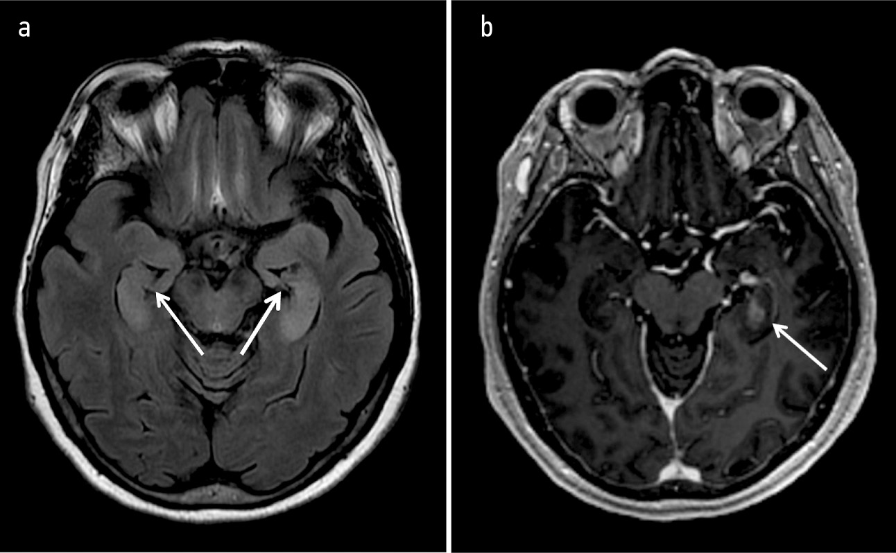
Проведена пульс-терапия метилпреднизолоном по 1000 мг внутривенно в течение 5 дней, без значимого клинического эффекта. Выполнена МРТ головного мозга в динамике после завершения пульс-терапии от 22.07.2022: МР-картина двустороннего изменения сигнала от медиальных височных структур. Выявленные изменения могут соответствовать лимбическому энцефалиту. В сравнении с предыдущим исследованием накопления контрастного препарата не наблюдается. Венозная ангиома правой лобной доли. Единичные очаги сосудистого генеза – в обоих полушариях головного мозга. Данных о наличии «свежих» ишемических изменений не получено (рис. 2).
Рис. 2. МРТ головного мозга с внутривенным контрастированием (22.07.2022). Сохраняется диффузное повышение МР-сигнала на T2 и FLAIR последовательностях в области гиппокампов с обеих сторон (МР-картина без динамики), МР-картина лимбического энцефалита – без динамики в сравнении с данными МРТ головного мозга от 13.07.2022.
Учитывая отсутствие клинического эффекта на фоне пульс-терапии метилпреднизолоном по 1000 мг внутривенно в сутки, принято решение о проведении плазмафереза, две процедуры перенесла удовлетворительно, клинически без значимого эффекта (сохраняется нарушение памяти на текущие события). Также пациентке назначена вальпроевая кислота по 500 мг 3 раза в день, длительно, с контролем ЭЭГ через 1 мес.
Пациентка выписана из стационара с рекомендациями наблюдения онколога и невролога по месту жительства.
Проведен онкологический консилиум 14.09.2022: учитывая неврологическую симптоматику, данные обследований, развившееся осложнение следует рассматривать как иоНЯ 3-й степени. Принимая во внимание положительную динамику, частичный регресс очагов в легких, принято решение, что риски осложнений превалируют над возможной положительной динамикой, в связи с чем иммунотерапия отменена и пациентке рекомендовано динамическое наблюдение.
Пациентка госпитализирована 29.10.2022 бригадой скорой медицинской помощи с диагнозом – «острый коронарный синдром без подъема сегмента ST».
В процессе дообследования диагноз «острый коронарный синдром» снят, выставлен диагноз параканкрозной пневмонии с явлениями хронической сердечной недостаточности и дыхательной недостаточности; 30.10.2022 – резкое ухудшение состояния в виде нарастания дыхательной недостаточности и остановки сердечной деятельности, констатирована смерть пациентки.
Обсуждение
Хотя ингибиторы иммунных контрольных точек эффективны при лечении многих видов рака, они связаны с различными иммунными побочными эффектами.
Энцефалит, вызванный атезолизумабом, встречается редко.
Иммуноопосредованный энцефалит у пациентов проявляется целым спектром неврологических симптомов и признаков, включая спутанность сознания, снижение возбудимости нервной системы, нарушение речи, судороги, неустойчивость походки, головные боли, лихорадку, нарушение памяти, галлюцинации или бред.
S. Fan и соавт. (2020 г.) провели поиск публикаций по запросу «энцефалит» (включая менингоэнцефалит, цефалит, энцефаломиелит и церебеллит) и выявили 60 пациентов с данным осложнением иммунотерапии, 35 (58,3%) из которых являлись мужчинами. Медиана возраста дебюта заболевания составила 60 лет (межквартильный интервал: 53–69; диапазон: 19–83). Сорок один (68,3%) пациент получали ИКТИ либо в связи с меланомой, либо аденокарциномой легкого. Ниволумаб получали 36,7% пациентов, ипилимумаб – 10%, пембролизумаб – 13,3% и комбинацию ипилимумаба и ниволумаба – 25% пациентов. Сообщалось о 16 пациентах с метастазами в центральной нервной системе; 35 пациентов получали терапию антиPD-1/PD-L1, 6 пациентов получали антиCTLA-4, а 18 – препараты антиPD-1/PD-L1 и антиCTLA-4 (в комбинации или последовательно). Среднее время от начала терапии ИКТИ до дебюта энцефалита составило 8 нед (межквартильный интервал: 2–16,8; диапазон: 1–84) [24]. При немелкоклеточном раке легкого начальные симптомы проявились у 74-летнего мужчины в течение 1 нед, в то время как у другого 78-летнего мужчины через 12 дней после 14-го применения ниволумаба возникли тонические судороги правой руки, перешедшие затем в апатию и афазию [25, 26]. У большинства пациентов наблюдались изменение психического статуса, амнезия или судороги. Люмбальная пункция выявила лимфоцитоз у большинства пациентов со средним числом лейкоцитов 19×106/л (межквартильный интервал: 15–71; диапазон: 0–705) [24].
Принципы диагностики и лечения иммуноопосредованного энцефалита
Крайне важно иметь высокий уровень настороженности и исключить другие дифференциальные диагнозы, такие как метастазы в головной мозг, инфекции, паранеопластические синдромы и сосудистые явления [27]. Обследование должно включать нейровизуализацию, в идеале МРТ головного мозга, которая может быть достаточной в 1/2 случаев.
МРТ головного мозга может указывать на признаки энцефалита, которые проявляются гиперинтенсивным фокусом в Т2-взвешенном режиме, а также зонами инверсионного восстановления, ограниченными односторонне или двусторонне медиальными височными долями или разбросанными по серому или белому веществу. Также характерно одностороннее или двустороннее повышение сигнала в мезотемпоральных отделах в режиме Т2 и FLAIR, иногда только во FLAIR, которое варьирует от значительного до слабого, может быть преходящим и не всегда коррелирует с клинической картиной. Изменения могут распространяться на ствол мозга, средний мозг, лобную долю и базальные ганглии. В части случаев в гиппокампе и гипоталамусе отмечают накопление контраста. Описан случай обратимого сплениального поражения [28]. Описаны также лимбический энцефалит и церебеллит [29].
Показания электрокардиограммы неспецифичны, так же как и данные ЭЭГ. Исследования утверждают, что только NMDA-рецепторный энцефалит имеет специфическую высокую дельта-активность, которая помогает поставить диагноз [30]. Дополнительные исследования должны исключить заболевания, имитирующие симптомы энцефалита, в том числе необходим сбор подробного анамнеза, лабораторные анализы крови и цереброспинальной жидкости, полное физикальное и неврологическое обследования и серологическое исследование на аутоантитела [31]. Часто наблюдаются лимфоцитарный плеоцитоз ликвора и повышенный уровень общего белка [29]. В литературе с описанием клинических случаев сообщается как о повышенных уровнях олигоклональных антител в спинномозговой жидкости, так и о повышенном уровне синтеза иммуноглобулина G [32], но также описаны и отрицательные олигоклональные «полосы», а также нормальная скорость синтеза иммуноглобулина G [28].
Самый распространенный дифференциальный диагноз с аутоиммунным энцефалитом – энцефалит, вызванный вирусом простого герпеса. По симптомам их трудно различить, кроме того, результат метода полимеразной цепной реакции, сделанной на ранних стадиях заболевания, может быть неточным и не всегда позволяет различить энцефалит, вызванный вирусом простого герпеса, и специфический фатальный энцефалит. Повторные тесты следует проводить до тех пор, пока не будет установлен диагноз [33]. Лечение стероидами показало свою эффективность при энцефалите, связанном с терапией ИКТИ. Кортикостероиды, например метилпреднизолон, можно вводить внутривенно или перорально в зависимости от тяжести симптомов. Противоинфекционное лечение должно проводиться профилактически.
Заключение
В литературе описаны единичные случаи и серии наблюдений развития энцефалита на фоне использования препаратов антиPD-1/PD-L1 и антиCTLA-4 (в комбинации или последовательно). Экстраполировать описанные феномены на общую популяцию похожих пациентов нельзя, но при появлении любых неврологических признаков необходимо остановить терапию и направить пациента на консультацию к профильному специалисту. Клиницисты должны быть осведомлены о возможности развития энцефалита после начала лечения ингибиторами контрольных точек иммунного ответа.
Учитывая крайнюю редкость подобных пациентов, тактика лечения должна обсуждаться на междисциплинарном консилиуме с участием врачей – неврологов, специалистов лучевой диагностики.
Раскрытие интересов. Авторы декларируют отсутствие явных и потенциальных конфликтов интересов, связанных с публикацией настоящей статьи.
Disclosure of interest. The authors declare that they have no competing interests.
Вклад авторов. Авторы декларируют соответствие своего авторства международным критериям ICMJE. Все авторы в равной степени участвовали в подготовке публикации: разработка концепции статьи, получение и анализ фактических данных, написание и редактирование текста статьи, проверка и утверждение текста статьи.
Authors’ contribution. The authors declare the compliance of their authorship according to the international ICMJE criteria. All authors made a substantial contribution to the conception of the work, acquisition, analysis, interpretation of data for the work, drafting and revising the work, final approval of the version to be published and agree to be accountable for all aspects of the work.
Источник финансирования. Авторы декларируют отсутствие внешнего финансирования для проведения исследования и публикации статьи.
Funding source. The authors declare that there is no external funding for the exploration and analysis work.
About the authors
Marina A. Lyadova
City Clinical Oncology Hospital №1
Email: dr.lyadova@gmail.com
ORCID iD: 0000-0002-9558-5579
SPIN-code: 8220-2854
Cand. Sci. (Med.), City Clinical Oncology Hospital №1
Russian Federation, MoscowOlesya A. Kuchevskaya
City Clinical Oncology Hospital №1
Email: olesya.kuchevskaya@mail.ru
ORCID iD: 0000-0002-1568-8683
Oncologist, City Clinical Oncology Hospital №1
Russian Federation, MoscowEvgeniya A. Kulikova
City Clinical Oncology Hospital №1
Author for correspondence.
Email: kulikovaEA14@zdrav.mos.ru
ORCID iD: 0000-0002-0319-4934
SPIN-code: 2884-4803
Department Head, City Clinical Oncology Hospital №1
Russian Federation, MoscowReferences
- Zhang Y, Zhang Z. The history and advances in cancer immunotherapy: understanding the characteristics of tumor-infiltrating immune cells and their therapeutic implications. Cell Mol Immunol. 2020;17(8):807-21. doi: 10.1038/s41423-020-0488-6
- Bagchi S, Yuan R, Engleman EG. Immune Checkpoint Inhibitors for the Treatment of Cancer: Clinical Impact and Mechanisms of Response and Resistance. Annu Rev Pathol. 2021;16:223-49. doi: 10.1146/annurev-pathol-042020-042741
- Chhabra N, Kennedy J. A Review of Cancer Immunotherapy Toxicity: Immune Checkpoint Inhibitors. J Med Toxicol. 2021;17(4):411-24. doi: 10.1007/s13181-021-00833-8
- Topalian SL, Taube JM, Pardoll DM. Neoadjuvant checkpoint blockade for cancer immunotherapy. Science. 2020;367(6477):eaax0182. doi: 10.1126/science.aax0182
- Corrales L, Gajewski TF. Endogenous and pharmacologic targeting of the STING pathway in cancer immunotherapy. Cytokine. 2016;77:245-7. doi: 10.1016/j.cyto.2015.08.258
- Jenkins MK. Antigen presentation by chemically modified splenocytes induces antigen-specific T cell unresponsiveness in vitro and in vivo. J Exp Med. 1987;165(2):302-19. doi: 10.1084/jem.165.2.302
- Yshii LM, Hohlfeld R, Liblau RS. Inflammatory CNS disease caused by immune checkpoint inhibitors: status and perspectives. Nat Rev Neurol. 2017;13(12):755-63. doi: 10.1038/nrneurol.2017.144
- Gibson HM, Hedgcock CJ, Aufiero BM, et al. Induction of the CTLA-4 gene in human lymphocytes is dependent on NFAT binding the proximal promoter. J Immunol. 2007;179(6):3831-40. doi: 10.4049/jimmunol.179.6.3831
- Zheng Y, Josefowicz SZ, Kas A, et al. Genome-wide analysis of Foxp3 target genes in developing and mature regulatory T cells. Nature. 2007;445(7130):936-40. doi: 10.1038/nature05563
- Yokosuka T, Takamatsu M, Kobayashi-Imanishi W, et al. Programmed cell death 1 forms negative costimulatory microclusters that directly inhibit T cell receptor signaling by recruiting phosphatase SHP2. J Exp Med. 2012;209(6):1201-17. doi: 10.1084/jem.20112741
- Granier C, De Guillebon E, Blanc C, et al. Mechanisms of action and rationale for the use of checkpoint inhibitors in cancer. ESMO Open. 2017;2(2):e000213. doi: 10.1136/esmoopen-2017-000213
- Dalakas MC. Neurological complications of immune checkpoint inhibitors: what happens when you ‘take the brakes off’ the immune system. Ther Adv Neurol Disord. 2018;11:1756286418799864. doi: 10.1177/1756286418799864
- Kyi C, Carvajal RD, Wolchok JD, Postow MA. Ipilimumab in patients with melanoma and autoimmune disease. J Immunother Cancer. 2014;2(1):35. doi: 10.1186/s40425-014-0035-z
- Sato K, Akamatsu H, Murakami E, et al. Correlation between immune-related adverse events and efficacy in non-small cell lung cancer treated with nivolumab. Lung Cancer. 2018;115:71-4. doi: 10.1016/j.lungcan.2017.11.019
- Bomze D, Hasan Ali O, Bate A, Flatz L. Association between immune-related adverse events during anti-PD-1 therapy and tumor mutational burden. JAMA Oncol. 2019; 5(11):1633-5. doi: 10.1001/jamaoncol.2019.3221
- Balachandran VP, Łuksza M, Zhao JN, et al. Identification of unique neoantigen qualities in long-term survivors of pancreatic cancer. Nature. 2017;551(7681):512-6. doi: 10.1038/nature24462
- Weiss MD, Luciano CA, Semino-Mora C, et al. Molecular mimicry in chronic inflammatory demyelinating polyneuropathy and melanoma. Neurology. 1998;51(6):1738-41. doi: 10.1212/wnl.51.6.1738
- Gerdes LA, Held K, Beltrán E, et al. CTLA4 as immunological checkpoint in the development of multiple sclerosis: CTLA4 and MS. Ann Neurol. 2016;80(2):294-300. doi: 10.1002/ana.24715
- Wang DY, Salem JE, Cohen JV, et al. Fatal Toxic Effects Associated With Immune Checkpoint Inhibitors: A Systematic Review and Meta-analysis. JAMA Oncol. 2018;4(12):1721-8. doi: 10.1001/jamaoncol.2018.3923
- Martins F, Sofiya L, Sykiotis GP, et al. Adverse effects of immune-checkpoint inhibitors: epidemiology, management and surveillance. Nat Rev Clin Oncol. 2019;16(9):563-80. doi: 10.1038/s41571-019-0218-0
- Dubey D, David WS, Reynolds KL, et al. Severe Neurological Toxicity of Immune Checkpoint Inhibitors: Growing Spectrum. Ann Neurol. 2020;87(5):659-69. doi: 10.1002/ana.25708
- Johnson DB, McDonnell WJ, Gonzalez-Ericsson PI, et al. A case report of clonal EBV-like memory CD4+ T cell activation in fatal checkpoint inhibitor-induced encephalitis. Nat Med. 2019;25(8):1243-50. doi: 10.1038/s41591-019-0523-2
- Johnson DB, Manouchehri A, Haugh AM, et al. Neurologic toxicity associated with immune checkpoint inhibitors: a pharmacovigilance study. J Immunother Cancer. 2019;7(1):134. doi: 10.1186/s40425-019-0617-x
- Fan S, Ren H, Zhao L, et al. Neurological immune-related adverse events associated with immune checkpoint inhibitors: A review of the literature. Asia Pac J Clin Oncol. 2020;16(6):291-8. doi: 10.1111/ajco.13375
- Schneider S, Potthast S, Komminoth P, et al. PD-1 checkpoint inhibitor associated autoimmune encephalitis. Case Rep Oncol. 2017;10(2):473-8. doi: 10.1159/000477162
- Richard K, Weslow J, Porcella SL, Nanjappa S. A case report of steroid responsive nivolumab-induced encephalitis. Cancer Control. 2017;24(5):1073274817729069. doi: 10.1177/1073274817729069
- Проценко С.А., Антимоник Н.Ю., Баллюзек М.Ф., и др. Практические рекомендации по управлению иммуноопосредованными нежелательными явлениями. Злокачественные опухоли: Практические рекомендации RUSSCO #3s2. 2022;12(3S2-2):203-41 [Procenko SA, Antimonik NJu, Balljuzek MF, et al. Practical Guidelines for the Management of immune-related adverse events. Zlokachestvennie opuholi: Prakticheskie rekomendacii RUSSCO #3s2. 2022;12(3S2-2):203-41 (in Russian)]. doi: 10.18027/2224-5057-2022-12-3s2-203-241
- Conry RM, Sullivan JC, Nabors LB. Ipilimumab-induced encephalopathy with a reversible splenial lesion. Cancer Immunol Res. 2015;3(6):598-601. doi: 10.1158/2326-6066.CIR-15-0035
- Salam S, Lavin T, Turan A. Limbic encephalitis following immunotherapy against metastatic malignant melanoma. BMJ Case Rep. 2016;bcr2016215012. doi: 10.1136/bcr-2016-215012
- Schmitt SE, Pargeon K, Frechette ES, et al. Extreme delta brush: a unique EEG pattern in adults with anti-NMDA receptor encephalitis. Neurology. 2012;79:1094-100. doi: 10.1212/WNL.0b013e3182698cd8
- Leitinger M, Varosanec MV, Pikija S, et al. Fatal necrotizing encephalopathy after treatment with nivolumab for squamous non-small cell lung cancer: case report and review of the literature. Front Immunol. 2018;9:108. doi: 10.3389/fimmu.2018.00108
- Vitt JR, Kreple C, Mahmood N, et al. Autoimmune pancerebellitis associated with pembrolizumab therapy. Neurology. 2018;91(2):91-3. doi: 10.1212/WNL.0000000000005781
- Weil AA, Glaser CA, Amad Z, Forghani B. Patients with suspected herpes simplex encephalitis: rethinking an initial negative polymerase chain reaction result. Clin Infect Dis. 2002;34(8):1154-7. doi: 10.1086/339550
Supplementary files





