Remote multimodal prehabilitation in the presence of cachexia and resectable gastric cancer: a clinical case
- Authors: Lyadov V.K.1,2,3, Boldyreva T.S.1, Achkasov E.E.4, Gorshkov A.Y.5, Chashchin M.G.5, Protsenko E.V.3, Starodubova V.V.6, Galkin V.N.3
-
Affiliations:
- Russian Medical Academy of Continuous Professional Education
- Novokuznetsk State Institute for Postgraduate Medical Education – branch of the Russian Medical Academy of Continuous Professional Education
- City Clinical Oncology Hospital №1
- Sechenov First Moscow State Medical University (Sechenov University)
- National Medical Research Center for Therapy and Preventive Medicine
- Federal Research Center of Nutrition, Biotechnology and Food Safety
- Issue: Vol 24, No 4 (2022)
- Pages: 464-467
- Section: CLINICAL ONCOLOGY
- Submitted: 18.11.2022
- Published: 15.12.2022
- URL: https://modernonco.orscience.ru/1815-1434/article/view/113897
- DOI: https://doi.org/10.26442/18151434.2022.4.201986
- ID: 113897
Cite item
Full Text
Abstract
Background. The high frequency of cachexia and sarcopenia (skeletal muscle depletion) in patients with cancer led to the development of “prehabilitation” concept. Multimodal prehabilitation includes physical training, nutritional and psychological support before anticancer treatment.
Aim. To present the results of treatment of a patient with cachexia who underwent a multimodal prehabilitation program before surgery for gastric cancer.
Materials and methods. A 74-year-old woman with early stage cancer of the gastric antrum had lost 28% of total body weight in the previous 6 months because of a dysphoric disorder. The patient underwent a multimodal prehabilitation for 2 weeks prior to surgery, which included nutritional (600 ml siping per day) and psychological support as well as a supervised remote physical exercise program based on nordic walking.
Results. The patient increased functional walking capacity from low to medium, grip strength and gait speed. The postoperative period went uneventfully and the patient was discharged home 8 days after surgery.
Conclusion. Multimodal remote prehabilitation is a potentially beneficial option in cachectic patients with gastric cancer who need surgery.
Keywords
Full Text
Введение
Синдром раковой кахексии служит важной причиной развития осложнений противоопухолевого лечения, ухудшения качества жизни пациентов и наконец летальности. Считается, что более 1/2 онкологических пациентов на момент смерти страдают от проявлений данного феномена [1].
В 2011 г. под эгидой Европейской группы по изучению паллиативной помощи международная группа экспертов сформулировала определение раковой кахексии как «многофакторного синдрома, характеризующегося прогрессирующей потерей массы скелетной мускулатуры (вне зависимости от наличия или отсутствия потери массы жировой ткани) и невозможностью полноценной коррекции с помощью нутритивной поддержки, а также ведущего к нарастающим функциональным нарушениям» [2]. В консенсусе представлены четкие диагностические критерии раковой кахексии: потеря более 5% массы тела за последние 6 мес (при отсутствии голодания) либо снижение индекса массы тела ниже 20 кг/м2 и потеря более 2% массы тела либо наличие саркопении с потерей массы тела более 2% от исходной. В определении кахексии подчеркивается, что истощение скелетной мускулатуры, или саркопения, является одним из ведущих компонентов данного синдрома. Показано, что более чем у 1/2 пациентов с распространенными опухолями органов пищеварения на момент начала лечения выявляется саркопения или истощение скелетной мускулатуры, что объясняется сочетанием алиментарного дефицита и перестройки метаболизма на фоне выделения опухолевыми клетками провоспалительных цитокинов [3, 4].
Особое значение диагностика и коррекция кахексии приобретают у пациентов с опухолями органов пищеварения, в том числе желудка, для которых уже на этапе местно-распространенного процесса характерно частое развитие саркопении и других нарушений пищевого статуса. Кахексия является одной из очевидных причин высокой распространенности хирургических осложнений после комплексных операций на органах желудочно-кишечного тракта. Одним из путей решения этой проблемы является внедрение в практику концепции «преабилитации», т.е. подготовки пациентов к проведению противоопухолевого лечения с помощью сочетания лечебной физкультуры (ЛФК), нутритивной и психологической поддержки [5]. Актуальные российские клинические рекомендации по лечению рака желудка включают преабилитацию как обязательный компонент ведения всех хирургических пациентов [6], однако ни в мировой, ни в российской литературе не представлены детализированные и валидированные в клинической практике программы подобной подготовки больных.
Мы представляем результаты лечения пациентки, проходившей программу дистанционной мультимодальной преабилитации в рамках подготовки к хирургическому лечению рака антрального отдела желудка.
Клиническое наблюдение
Пациентка М. 74 лет находилась на стационарном лечении в отделении онкологии №4 ГБУЗ «ГКОБ №1» с 18 по 29 июля 2022 г. С начала 2022 г. пациентка отмечала жалобы на общую слабость, постепенное снижение массы тела на 23 кг при отсутствии голодания. На момент госпитализации масса тела пациентки составила 57 кг при росте 167 см, индекс массы тела – 20,4 кг/м2. В июне 2022 г. заметила образование под кожей правой околоушной области, в связи с чем обратилась к онкологу. По данным ультразвукового исследования выявлена опухоль околоушной слюнной железы размерами до 32 мм, цитологически установлено наличие плеоморфной аденомы с неопределенным потенциалом злокачественности. Онкологом рекомендовано проведение дообследования. При эзофагогастродуоденоскопии диагностированы множественные язвы в антральном отделе желудка. Биопсия: тубулярная аденокарцинома слизистой оболочки желудка низкой степени злокачественности, G1. По данным компьютерной томографии грудной клетки и брюшной полости с внутривенным контрастированием отдаленных и регионарных метастазов не выявлено.
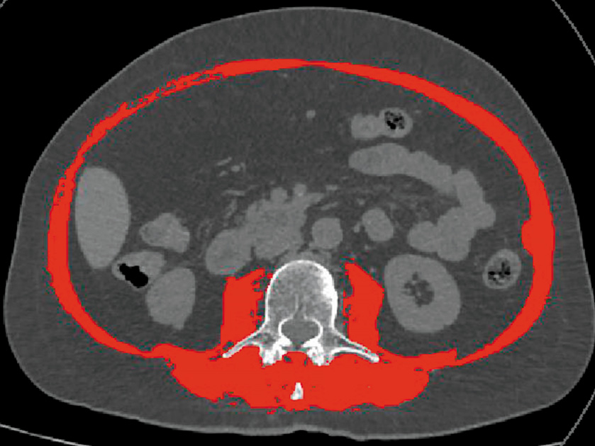
Из сопутствующих заболеваний обращало на себя внимание наличие бронхиальной астмы (неаллергическая форма, легкое персистирующее течение, дыхательная недостаточность 0), гипертонической болезни I стадии 1-й степени, а также астеноневротического синдрома. Пациентка наблюдалась у психиатра в связи с наличием недифференцированного соматоформного расстройства, по поводу которого ежедневно получала флуоксетин (20 мг), оланзапин (10 мг). Потеря массы тела за предшествовавшие 6 мес превысила 28% от исходной, что соответствует наличию у пациентки кахексии. Оценено функциональное состояние: по данным динамометрии сила захвата доминантной руки составила 31 кг, недоминантной – 28,5 кг (пороговое значение для саркопении <16 кг для женщин), тест ходьбы на 400 м – 05 мин 51 с (пороговое значение – 6 мин). Проведен анализ скелетно-мышечной мускулатуры с помощью компьютерной томографии на уровне III поясничного позвонка (рис. 1). Площадь скелетной мускулатуры составила 106,5 см2, скелетно-мышечный индекс LIII (отношение площади мышц на уровне LIII позвонка к квадрату роста пациента) – 38,3 см2/м2. В соответствии с диагностическими критериями Prado (<38,5 см2/м2 для женщин) и Martin (<41 см2/м2 для женщин) данные результаты можно трактовать как наличие у больной саркопении [7, 8].
Рис. 1. Оценка площади скелетно-мышечной мускулатуры на уровне LIII. / Fig. 1. Assessment of skeletal muscle area at the LIII level.
В связи с высоким риском развития послеоперационных осложнений на фоне выраженной потери массы тела и наличия саркопении пациентке предложена мультимодальная подготовка к операции. Пациентке в полном объеме разъяснены цели программы преабилитации, после чего она подписала информированное согласие на участие. Данная программа проводится нами в рамках клинического исследования «Преабилитация пациентов с резектабельными опухолями органов пищеварения при наличии саркопении», грант №2021-01 Фонда поддержки научных исследований в онкологии (РакФонд). Получено разрешение локального этического комитета ФГБОУ ДПО РМАНПО (протокол №6 от 30 мая 2022 г.)
Дополнительное обследование до проведения преабилитации
Помимо стандартных предоперационных обследований: анализы крови (табл. 1), электрокардиография, эхокардиография, ультразвуковое исследование вен нижних конечностей – до начала преабилитации проведено нагрузочное тестирование с использованием велоэргометра (модифицированный протокол Брюса) и оценкой следующих параметров: исходная частота сердечных сокращений (ЧСС), исходное артериальное давление (АД), пиковая ЧСС во время теста, пиковое АД во время теста, длительность нагрузочной пробы (в мин), период восстановления АД (в мин), период восстановления ЧСС (в мин), толерантность к физической нагрузке (ТФН). Результаты представлены в табл. 2. По данным исходного теста, проведенного до преабилитации, установлена низкая ТФН – 2,2 метаболического эквивалента (МЕТ), проба прекращена по достижении субмаксимальной ЧСС (130 уд/мин – 89%).
Таблица 1. Динамика лабораторных показателей до и после преабилитации / Table 1. Change of laboratory parameters before and after prehabilitation | |||||
Показатели | Гемоглобин | Лимфоциты | Глюкоза | Общий белок | Альбумин |
До | 136 | 1,9 | 5,55 | 82,94 | 38,5 |
После | 134 | 1,91 | 6,45 | 78,11 | 39,40 |
Таблица 2. Динамика показателей теста Брюса до и после преабилитации / Table 2. Change of Bruce test results before and after prehabilitation | |||||||
Показатели | Исходная ЧСС | Исходное АД | Пиковая ЧСС, абс. (%) | Пиковое АД | Пороговая нагрузка, Вт | ТФН | МЕТ |
До | 98 | 140/80 | 130 (89) | 170/90 | 25 | Низкая | 2,2 |
После | 83 | 95/70 | 119 (75) | 160/80 | 50 | Средняя | 4,4 |
Также до начала преабилитации пациентка консультирована психологом. Исходное состояние пациентки по госпитальной шкале депрессии и тревоги HADS составило A – 17 баллов, D – 11 баллов, по шкале Спилбергера– Ханина – 16 баллов, шкале самооценке интенсивности переживаний (от 0 до 10) – 8 баллов. Данные результаты соответствовали скрытой (латентной) депрессии.
Преабилитация
С 29.06.2022 по 14.07.2022 проводилась дистанционная преабилитация. После консультации врача ЛФК определена кратность занятий, исходя из уровня начальной подготовки, – 3 раза в неделю по 45 мин. Программа ЛФК включала подготовительный блок – в течение 10 мин (комплекс упражнений стоя), аэробную нагрузку (с использованием скандинавской ходьбы) – 20 мин, заминку с растяжкой (5 мин). Тренировки проводились пациентом самостоятельно, под контролем врача ЛФК (дистанционно с помощью фитнес-трекера, передававшего врачу информацию о ЧСС пациентки во время тренировки).
Также пациентка ежедневно вела дневник питания и получала дополнительное лечебное питание (Суппортан напиток 200 мл) по программе: 1-й день преабилитации – 200 мл, 2 и 3-й дни – по 400 мл, с 4-го по 14-й день – по 600 мл.
Во время преабилитации пациентка повторно консультирована псхиологом, проводились беседы с целью коррекции психологического состояния. При повторном нагрузочном тестировании отмечено повышение ТФН до средней (4,4 МЕТ), проба прекращена в связи с усталостью пациентки и отказом от продолжения тестирования (достигнутая ЧСС 110 уд/мин – 75% от максимальных значений). При повторной оценке функционального статуса также отмечена положительная динамика: сила захвата рук по результатам динамометрии увеличилась на 0,5 кг для каждой руки, время ходьбы на 400 м снизилось на 17,7 с и составило 05 мин 34 с. Масса тела пациентки осталась прежней – 57 кг.
В плановом порядке 20.07.2022 выполнено оперативное вмешательство в объеме лапароскопической дистальной субтотальной резекции желудка с D2-лимфодиссекцией. Продолжительность операции составила 195 мин, объем кровопотери – 100 мл. Гистологическое заключение: опухоль (тубулярная аденокарцинома G2) размером 2×1 см, с изъязвлением, прорастанием в подслизистый слой, расположена в 4 и 7,5 см от краев резекции, в 22 лимфатических узлах опухолевого роста нет, pT1bN0 L0 V0 Pn0 R0.
Ранний послеоперационный период протекал без осложнений. На 1-е сутки после операции пациентка переведена из интенсивной терапии в хирургическое отделение, полностью активизирована, начала пить воду. На 2-е сутки получала сипинги, далее с 3-х суток – щадящую диету и выписана на 8-е сутки в удовлетворительном состоянии. При контрольном обследовании через 3 мес после операции признаков прогрессирования нет, состояние больной удовлетворительное, масса тела – 52 кг.
Обсуждение и заключение
Влияние структурированной предоперационной подготовки на результаты хирургического лечения у онкологических пациентов изучается на протяжении длительного времени. Так, в 2020 г. L. Daniels и соавт. [9] представили результаты систематического обзора литературы и метаанализа, посвященного оценке результатов преабилитации перед плановыми онкологическими вмешательствами на органах желудочно- кишечного тракта у пожилых пациентов. В исследование включено 33 работы, обобщившие результаты лечения 3962 пациентов. К сожалению, авторы отметили чрезвычайную гетерогенность проведенных исследований, в большинстве из которых отдельно оценивался эффект программ ЛФК, нутритивной или психологической поддержки, отказа от курения. Лишь 10 исследований (5 рандомизированных, 5 когортных) посвящено изучению мультимодальных программ преабилитации, при этом в рамках метаанализа продемонстрировано статистически значимое снижение риска развития после- операционных осложнений в этой группе (снижение риска -0,1, 95% доверительный интервал -0,18–-0,02; p=0,01).
Особый интерес к мультимодальным программам преабилитации при раке желудка обусловлен сочетанием факторов. Прежде всего, в России сохраняется высокий уровень заболеваемости раком желудка (32 063 человека в 2020 г.) при высоких показателях запущенности (III–IV стадия – 60,7%), при этом средний возраст заболевших приближается к 70 годам. Для онкологических пациентов пожилого и старческого возраста характерны выраженная коморбидность, высокая частота развития тяжелой анемии, проявлений кахексии и старческой астении. Между тем все реже сочетание указанных факторов служит противопоказанием к плановому оперативному лечению, что зачастую может приводить к росту числа послеоперационных осложнений и летальных исходов. Так, в исследовании A. Pasquer и соавт. при анализе более 7900 операций при раке желудка показано, что у пожилых пациентов с большим числом сопутствующих заболеваний 30-дневная летальность превышает 10% [10]. Представленный нами клинический случай демонстрирует, что сочетание ЛФК, нутритивной и психологической поддержки способно улучшить функциональное состояние пациентов даже при наличии признаков кахексии, в частности саркопении. Нам представляется, что подобные комплексные программы предоперационной подготовки имеют большой потенциал в отношении улучшения результатов лечения рака желудка при наличии кахексии. Однако важными и нерешенными вопросами остаются оптимальная продолжительность подобных программ, их содержание, возможность и показания к дистанционной реализации преабилитации, наличие противопоказаний.
Раскрытие интересов. Авторы декларируют отсутствие явных и потенциальных конфликтов интересов, связанных с публикацией настоящей статьи.
Disclosure of interest. The authors declare that they have no competing interests.
Вклад авторов. Авторы декларируют соответствие своего авторства международным критериям ICMJE. Все авторы в равной степени участвовали в подготовке публикации: разработка концепции статьи, получение и анализ фактических данных, написание и редактирование текста статьи, проверка и утверждение текста статьи.
Authors’ contribution. The authors declare the compliance of their authorship according to the international ICMJE criteria. All authors made a substantial contribution to the conception of the work, acquisition, analysis, interpretation of data for the work, drafting and revising the work, final approval of the version to be published and agree to be accountable for all aspects of the work.
Информированное согласие на публикацию. Пациент подписал форму добровольного информированного согласия на публикацию медицинской информации.
Consent for publication. Written consent was obtained from the patient for publication of relevant medical information and all of accompanying images within the manuscript.
Соответствие принципам этики. Протокол исследования был одобрен локальным этическим комитетом ФГБОУ ДПО РМАНПО (протокол №6 от 30 мая 2022 г.). Одобрение и процедуру проведения протокола получали по принципам Хельсинкской конвенции.
Ethics approval. The study was approved by the local ethics committee of Russian Medical Academy of Continuous Professional Education (protocol №6 dated 30.05.2022). The approval and procedure for the protocol were obtained in accordance with the principles of the Helsinki Convention.
Источник финансирования. Работа выполнена в рамках гранта №2021-01 Фонда поддержки научных исследований в онкологии «Преабилитация пациентов с резектабельными опухолями органов пищеварения при наличии саркопении».
Funding source. The study was carried out within the framework of Grant №2021-01 of the Foundation for Support of Scientific Research in Oncology, "Prehabilitation of patients with resectable tumors of the digestive tract and sarcopenia".
About the authors
Vladimir K. Lyadov
Russian Medical Academy of Continuous Professional Education; Novokuznetsk State Institute for Postgraduate Medical Education – branch of the Russian Medical Academy of Continuous Professional Education; City Clinical Oncology Hospital №1
Author for correspondence.
Email: vlyadov@gmail.com
ORCID iD: 0000-0002-7281-3591
SPIN-code: 5385-7889
D. Sci. (Med.)
Russian Federation, Moscow; Novokuznetsk; MoscowTatyana S. Boldyreva
Russian Medical Academy of Continuous Professional Education
Email: dikovatatyanasergeevna@gmail.com
ORCID iD: 0000-0003-4174-6637
SPIN-code: 7597-3600
Russian Federation, Moscow
Evgeny E. Achkasov
Sechenov First Moscow State Medical University (Sechenov University)
Email: 2215.g23@rambler.ru
ORCID iD: 0000-0001-9964-5199
D. Sci. (Med.), Prof.
Russian Federation, MoscowAlexander Yu. Gorshkov
National Medical Research Center for Therapy and Preventive Medicine
Email: Aygorshkov@gmail.com
ORCID iD: 0000-0002-1423-214X
SPIN-code: 6786-8438
Cand. Sci. (Med.)
Russian Federation, MoscowMikhail G. Chashchin
National Medical Research Center for Therapy and Preventive Medicine
Email: dr.chaschin@gmail.com
ORCID iD: 0000-0001-6292-3837
SPIN-code: 4511-5960
Res. Officer
Russian Federation, MoscowElena V. Protsenko
City Clinical Oncology Hospital №1
Email: elena-procenco@mail.ru
Clinical Psychologist
Russian Federation, MoscowValentina V. Starodubova
Federal Research Center of Nutrition, Biotechnology and Food Safety
Email: vlyadov@gmail.com
SPIN-code: 3538-6196
D. Sci. (Med.), Assoc. Prof.
Russian Federation, MoscowVsevolod N. Galkin
City Clinical Oncology Hospital №1
Email: vlyadov@gmail.com
SPIN-code: 3148-4843
D. Sci. (Med.), Prof.
Russian Federation, MoscowReferences
- Sadeghi M, Keshavarz-Fathi M, Baracos V, et al. Cancer cachexia:diagnosis, assessment and treatment. Crit Rev Oncol Hematol. 2018;127:91-104. doi: 10.1016/j.critrevonc.2018.05.006
- Fearon K, Strasser F, Anker SD, et al. Definition and classification of cancer cachexia: an international consensus. Lancet Oncol. 2011;12(5):489-95. doi: 10.1016/S1470-2045(10)70218-7
- Cruz-Jentoft AJ, Bahat G, Bauer J, et al. Writing Group for the European Working Group on Sarcopenia in Older People 2 (EWGSOP2), and the Extended Group for EWGSOP2. Sarcopenia: revised European consensus on definition and diagnosis. Age Ageing. 2019;48(1):16-31. doi: 10.1093/ageing/afy169
- Bowen TS, Schuler G, Adams V. Skeletal muscle wasting in cachexia and sarcopenia: molecular pathophysiology and impact of exercise training. J Cachexia Sarcopenia Muscle. 2015;6:197-207. doi: 10.1002/jcsm.12043
- Minnella EM, Carli F. Prehabilitation and functional recovery for colorectal cancer patients. Eur J Surg Oncol. 2018;44(7):919-26.
- Рак желудка. Клинические рекомендации. Современная Онкология. 2021;23(4):541-71. [Gastric cancer: Russian clinical guidelines. Journal of Modern Oncology. 2021;23(4):541-71 (in Russian)]. doi: 10.26442/18151434.2021.4.201239
- Prado CM, Lieffers JR, McCargar LJ, et al. Prevalence and clinical implications of sarcopenic obesity in patients with solid tumours of the respiratory and gastrointestinal tracts: a population-based study. Lancet Oncol. 2008;9(7):629-35. doi: 10.1016/S1470-2045(08)70153-0
- Martin L, Birdsell L, Macdonald N, et al. Cancer cachexia in the age of obesity: skeletal muscle depletion is a powerful prognostic factor, independent of body mass index. J Clin Oncol. 2013;31(12):1539-47. doi: 10.1200/JCO.2012.45.2722
- Daniels SL, Lee MJ, George J, et al. Prehabilitation in elective abdominal cancer surgery in older patients: systematic review and meta-analysis. BJS Open. 2020;4(6):1022-41. doi: 10.1002/bjs5.50347
- Pasquer A, Renaud F, Hec F, et al. Is Centralization Needed for Esophageal and Gastric Cancer Patients With Low Operative Risk?: A Nationwide Study. Ann Surg. 2016;264(5):823-30. doi: 10.1097/SLA.0000000000001768
Supplementary files




