Молекулярно-генетический ландшафт десмоидного фиброматоза абдоминальной и забрюшинной локализации. Ретроспективное исследование
- Авторы: Турупаев К.А.1,2, Будурова М.Д.2,3, Филиппова М.Г.1, Исаев А.А.4, Гриднева Я.В.5, Хмелькова Д.Н.4, Гайрян М.А.4, Миронова И.В.4, Никулин М.П.1,2, Пучкова А.И.1, Делекторская В.В.1
-
Учреждения:
- ФГБУ «Национальный медицинский исследовательский центр онкологии им. Н.Н. Блохина» Минздрава России
- ФГБОУ ВО «Московский государственный медико-стоматологический университет им. А.И. Евдокимова» Минздрава России
- Московский научно-исследовательский онкологический институт им. П.А. Герцена – филиал ФГБУ «Национальный медицинский исследовательский центр радиологии» Минздрава России
- АО «Центр генетики и репродуктивной медицины "ГЕНЕТИКО"»
- ГБУЗ «Городская клиническая онкологическая больница №1» Департамента здравоохранения г. Москвы
- Выпуск: Том 25, № 1 (2023)
- Страницы: 104-110
- Раздел: КЛИНИЧЕСКАЯ ОНКОЛОГИЯ
- Статья получена: 08.11.2022
- Статья опубликована: 17.05.2023
- URL: https://modernonco.orscience.ru/1815-1434/article/view/112384
- DOI: https://doi.org/10.26442/18151434.2023.1.202016
- ID: 112384
Цитировать
Полный текст
Аннотация
Обоснование. Десмоидный фиброматоз (ДФ) представляет собой редкую опухоль мезенхимального происхождения, характеризующуюся инвазивным ростом, высокой частотой рецидивирования и низкой встречаемостью (2–4 случая на 1 млн человек в год). Учитывая малое число пациентов с ДФ и, как следствие, недостаточную изученность этой патологии, поиск молекулярных предикторов течения заболевания, индивидуализации лечения и профилактики является актуальной задачей.
Цель. Изучить молекулярно-генетический и иммуногистохимический профиль опухолевых клеток, определить их клиническую значимость у пациентов с ДФ абдоминальной и забрюшинной локализации.
Материалы и методы. Проведен комплексный анализ клинических и лабораторных данных 31 пациента с ДФ абдоминальной и забрюшинной локализации, выполнено молекулярно-генетическое и морфологическое исследование опухолевых образцов, включая секвенирование нового поколения (NGS) с использованием онкопанели Onconetix и иммуногистохимическое исследование с использованием антител к β-катенину, рецепторам эстрогена и прогестерона.
Результаты. По данным NGS тестирования в 28 (90%) из 31 опухолевого образца обнаружены соматические мутации. В 26 (84%) опухолевых образцах обнаружены соматические мутации в гене CTNNB1, при этом у 21 (68%) пациента: c.121A>G (p.Thr41Ala, rs121913412), у 3 (10%) пациентов определялась мутация c.134C>T (p.Ser45Phe, rs121913409), у 1 (3%) пациента: c.133T>C (p.Ser45Pro, rs121913407), у 1 (3%) пациента: c.122C>T (p.Thr41Ile, rs121913413). У 2 (6%) пациентов обнаружены мутации в гене APC: c.4381G>T (p.Glu1461Ter, COSM30779) и c.4634C>A (p.Ser1545Ter (rs863225356). У 3 (9%) пациентов в исследуемых генах мутаций не обнаружено. По данным иммуногистохимического исследования в 16 (51,6%) случаях выявлена экспрессия β-катенина в цитоплазме и ядрах опухолевых клеток. Ядерная экспрессия эстрогеновых и прогестероновых рецепторов выявлена в 6 (19%) и 1 (3,2%) случаях соответственно. Среди 10 пациентов с установленными рецидивами у 7 по данным секвенирования (NGS) выявлена мутация c.121A>G (p.Thr41Ala, rs121913412), у 1 пациента: c.134C>T (p.Ser45Phe, rs121913409), у 2 пациентов в опухолевых образцах мутаций не обнаружено.
Заключение. Сочетание таких факторов, как забрюшинная форма ДФ, наличие мутации c.121A>G (p.Thr41Ala, rs121913412) в гене CTNNB1, женский пол, молодой возраст, могут служить основанием для отнесения пациента к группе с неблагоприятным прогнозом течения ДФ.
Ключевые слова
Полный текст
Актуальность
Десмоидный фиброматоз (ДФ; десмоидная опухоль, агрессивный фиброматоз) представляет собой редкую опухоль мезенхимального происхождения, характеризующуюся инвазивным местно-деструирующим характером роста, высокой частотой рецидивирования по данным литературы и при этом отсутствием метастазирования. Согласно классификации Всемирной организации здравоохранения (2020 г.) ДФ относится к категории пограничных мезенхимальных опухолей с неопределенным или низким потенциалом злокачественности [1–3].
Низкая частота встречаемости (2–4 случая на 1 млн человек в год) этой патологии обусловливает редкость научных публикаций и отсутствие общепринятых подходов к лечению и ведению пациентов с ДФ [4–6]. До недавнего времени хирургический метод лечения пациентов с ДФ являлся основным. Однако высокая частота рецидивов и, как следствие, необходимость множества последующих хирургичес- ких вмешательств, приводящих к инвалидизации больных с выраженными функциональными и косметическими дефектами, широко обсуждаемая в последнее время тактика Look and stay, основанная на сообщениях о стабилизации процесса или спонтанной регрессии опухоли в условиях отсутствия специального лечения [7–9], появление новых данных молекулярно-генетических исследований позволили изменить представления о подходах к лечению и последующему контролю пациентов с ДФ.
Большинство современных научных публикаций подчеркивает возможность выбора выжидательной тактики лечения Look and stay в качестве 1-й линии почти ко всем пациентам с впервые выявленным ДФ, а также в некоторых случаях рецидивирования после перенесенного хирургического лечения [10] – с целью резервирования специ- фического лечения (различные схемы приема лекарств, лучевая терапия или хирургическое вмешательство) при отрицательной динамике заболевания [11]. К сожалению, изменения в клинической тактике не учитывали накопленных данных о патогенезе этого редкого заболевания. Точные молекулярные и генетические предикторы, которые можно использовать для подбора специфического лечения и прогнозирования течения заболевания, на сегодняшний день еще недостаточно изучены.
Молекулярным субстратом развития ДФ является избыточное накопление продукта гена CTNNB1 в ядре фибробластов, что в свою очередь нарушает путь дифференцировки клетки и межклеточные взаимосвязи. По данным A. Crago и соавт., аккумуляция β-катенина может быть обусловлена герминальными мутациями гена APC (FAP-ассоциированный ДФ) в 15% случаев, соматическими мутациями гена CTNNB1 (спорадический ДФ) – у 85% пациентов с ДФ. Анализ современных молекулярно-генетических исследований позволил выявить горячие точки мутагенеза в гене CTNNB1: p.T41A, p.S45F, p.S45P [4, 12]. По опубликованным данным 3 перечисленные мутации гена CTNNB1 связаны с предотвращением фосфорилирования белка и последующей стабилизацией белка с транслокацией в ядро, где β-катенин регулирует транскрипцию посредством его взаимодействия с TCF/LEF [13].
Сравнивая группы пациентов с ДФ после перенесенного хирургического вмешательства с наличием мутаций гена CTNNB1 и дикого типа (wt), ряд авторов наблюдали статис- тически значимую связь между мутациями в гене CTNNB1 и более высоким риском местного рецидива [14–16]. В частности, специфическая мутация p.S45F, по данным ряда авторов, связана с худшей безрецидивной выживаемостью [14, 15, 17]. Однако это не подтверждено в других исследованиях, авторы которых сообщили о статистически незначительной тенденции к худшему исходу у пациентов с мутацией p.S45F [16] или об отсутствии корреляции между конкретной мутацией CTNNB1 и безрецидивной выживаемостью [18, 19]. Что касается влияния наличия мутаций на результаты медикаментозного лечения, Y. Nishida и соавт. не обнаружили корреляции между эффективностью метотрексата или винбластина и специфическими мутациями в гене CTNNB1 [20]. С другой стороны, S. Hamada и соавт. cообщают, что мутация p.S45F достоверно связана с плохим ответом на мелоксикам [21], а B. Kasper и соавт. обнаружили связь между наличием данной мутации и высокой частотой остановки прогрессирования после лечения иматинибом [22].
Таким образом, актуальность изучения ДФ обусловлена сочетанием следующих факторов: тяжестью и непредсказуемостью клинического течения; отсутствием общепринятых протоколов лечения, основанных на данных иммуно- гистохимии (ИГХ), молекулярно-генетических исследований; отсутствием значимых факторов прогноза и течения заболевания. Основными препятствиями, тормозящими решение проблемы излечения больных с ДФ, являются сравнительная редкость опухоли в популяции, ограничивающая возможности для проведения больших исследований, соответствующих требованиям доказательной медицины, а также необходимость применения широкого спектра методов диагностики, включая ИГХ и молекулярно- генетическое исследования, и лечения, что требует мультидисциплинарного подхода и осуществимо только в условиях многопрофильных онкологических учреждений.
Материалы и методы
Проведен комплексный анализ структуры заболеваемости пациентов с ДФ различной локализации за 20-летний период, проходивших лечение в ФГБУ «НМИЦ онкологии им. Н.Н. Блохина». Отобраны пациенты с абдоминальной (передняя брюшная стенка) и забрюшинной формой ДФ (включая мезентериальную и тазовую локализацию).
Молекулярно-генетическое исследование – секвенирование нового поколения (NGS) и иммуногистохимическое исследование проведены на срезах парафиновых блоков (FFPE) 31 пациента с ДФ абдоминальной и забрюшинной локализации, наблюдающегося после перенесенного хирургического лечения в ФГБУ «НМИЦ онкологии им. Н.Н. Блохина». Все препараты ткани опухоли отобраны под контролем патоморфолога.
Секвенирование опухолевого генома проводилось с использованием онкопанели Onconetix (АО «ГЕНЕТИКО»), которая включала в себя поиск соматических мутаций в 48 генах: AKT1, ALK, APC, BRAF, CDH1, CDKN2A, CTNNB1, DDR2, EGFR, EIF1AX, ERBB2, ERBB4, FGFR1, FGFR2, FGFR3, FOXL2, GNA11, GNAQ, GNAS, H3F3A, HIST1H3B, HIST1H3C, HNF1A, HRAS, IDH1, IDH2, KDR, KIT, KRAS, MAP2K1, MET, MLH1, NRAS, PDGFRA, PIK3CA, PTEN, RET, ROS1, SF3B1, SMAD4, SMARCB1, SMO, SRC, STK11, TERT, TP53, TSC1, VHL. Полученные результаты проанализированы совместно с имеющимися клиническими, инструментальными и морфологическими данными.
Иммуногистохимическое исследование проведено на серийных парафиновых срезах ткани опухоли толщиной 2 мкм с использованием антител к β-catenin (B-Catenin-1, Dako), рецепторам эстрогена – ER (Clone 1D5, Dako), рецепторам прогестерона – PR (Clone PgR 636) на платформе Dako Link 48 (системе детекции Dako EnVision Flex).
Оценка экспрессии β-катенина, ER и PR проводилась полуколичественным методом путем анализа числа окрашенных опухолевых клеток и локализации специфической реакции. Результаты иммуногистохимического исследования оценивали исходя из наличия >10% положительно окрашенных клеток опухоли. При исследовании препаратов с антителами к β-катенину принимался во внимание тип окрашивания – цитоплазматический или ядерно-цитоплазматический. Интенсивность экспрессии маркеров не учитывалась.
Результаты
В исследование включен 31 пациент (21 женщина – 67,7%, 10 мужчин – 32,3%) с ДФ абдоминальной и забрюшинной локализации. ДФ передней брюшной стенки наблюдался у 17 (54,8%) пациентов, забрюшинная/мезентериальная локализация – у 12 (38,7%) пациентов, тазовая локализация – у 2 (6,5%) пациентов. Все пациенты разделены на 2 группы сравнения в зависимости от локализации опухоли: 1-я группа – пациенты с ДФ передней брюшной стенки (абдоминальная форма ДФ), 2-я группа – пациенты с забрюшинной, мезентериальной, тазовой локализацией (забрюшинная форма ДФ). Медиана возраста пациентов составила 34 года (19–62). Десять пациентов обратились с рецидивом/продолженным ростом опухоли после перенесенных нерадикальных хирургических вмешательствах в других медицинских организациях, 21 пациент обратился в ФГБУ «НМИЦ онкологии им. Н.Н. Блохина» с первичной десмоидной опухолью.
У 1 пациентки клиническое проявление ДФ обнаружено после перенесенного хирургического вмешательства лапаротомным доступом: надвлагалищная ампутация матки с левыми придатками (обнаружение уплотнения в области послеоперационного лапаротомного рубца через месяц после операции). У 2 пациенток манифестация ДФ произошла после разрешения беременности путем кесарева сечения в течение 1–2 лет после хирургического вмешательства в виде появления опухолевого узла в области послеоперационного рубца.
Всем пациентам выполнено хирургическое вмешательство различного объема: радикальное, условно радикальное, циторедуктивное, эксплоративное. В группе пациентов, ранее прооперированных в других медицинских учреждениях (n=10), у 4 пациентов выполнено радикальное хирургическое вмешательство, у 2 – условно радикальное (R1), у 3 пациентов – циторедуктивное (R2), у 1 пациента – эксплоративное хирургическое вмешательство. Двум пациентам после циторедуктивных операций назначена адъювантная терапия с использованием препаратов группы винкаалкалоидов, алкилирующих соединений, гормонотерапия (тамоксифен).
Рецидив заболевания развился у 9 (90%) больных: у 2 (22,2%) пациентов мужского пола и 7 (77,8%) – женского пола с различной локализацией опухоли (передняя брюшная стенка – 4, брыжейка/забрюшинный – 4, малый таз – 1). В последующем эти пациенты обратились в ФГБУ «НМИЦ онкологии им. Н.Н. Блохина», где прооперированы в радикальном объеме. Среди этих пациентов за период наблюдения (131 мес) зафиксировано 2 повторных рецидива.
В группе пациентов, первично обратившихся в ФГБУ «НМИЦ онкологии им. Н.Н. Блохина» (n=21), у 18 пациентов выполнены радикальные операции, у 1 пациента – условно радикальное (R1), у 2 пациентов – циторедуктивные хирургические вмешательства (R2). Рецидив зафиксирован у 1 пациента с мезентериальной формой ДФ после R0 операции. Двум пациентам после циторедуктивных хирурги- ческих вмешательств предложена тактика Look and stay. В настоящее время эти пациенты находятся под динамическим наблюдением, признаков прогрессирования заболевания не выявлено.
В группе ДФ абдоминальной локализации медиана времени от первого хирургического вмешательства до развития рецидива составила 11 мес. В группе ДФ забрюшинной локализации медиана времени от первого хирургического вмешательства до развития рецидива – 28 мес. В группе абдоминального ДФ рецидив заболевания зафиксирован у 4 (23,5%) из 17 пациентов, в группе забрюшинного ДФ – у 6 (42,9%) из 14.
В настоящем исследовании частота соматических мутаций в клетках ДФ по данным NGS составила 90%. У 26 пациентов обнаружены мутации в гене CTNNB1.
В 2 образцах обнаружены мутации в гене APC. В одном случае – мутация c.4381G>T (p.Glu1461Ter, COSM30779). Во втором случае выявлена нонсенс-мутация c.4634C>A (p.Ser1545Ter, rs863225356) в гетерозиготном состоянии, с дальнейшим подтверждением ее герминального характера. Фенотипически у данного пациента заболевание проявилось забрюшинным ДФ с мультифокальным характером роста, с вовлечением брыжейки тонкой кишки и поражением восходящей ободочной кишки. Также у пациента имелись фибромы в области спины и левой верхней конечности (рис. 1). Заболевание манифестировало в 29 лет. Пациенту произведено хирургическое вмешательство в объеме удаления забрюшин- ной десмоидной опухоли, резекции тонкой кишки, гемиколэктомии справа. В настоящее время пациент и его родственники находятся под динамическим наблюдением.
Рис. 1. Фенотипические проявления ДФ у пациента с герминальной мутацией гена APC.
У 3 пациентов в исследуемых генах мутаций не обнаружено. При подгрупповом анализе мутационного статуса установлено, что в группе абдоминального ДФ отмечается большая вариабельность молекулярно-генетических паттернов (табл. 1).
Таблица 1. Распределение соматических мутаций среди пациентов с ДФ абдоминальной и забрюшинной локализации Table 1. Distribution of somatic mutations in patients with abdominal and retroperitoneal desmoid fibromatosis | |||||||
Ген | Мутация | Всего | Абдоминальный ДФ | Забрюшинный ДФ | Коэффициент Стьюдента | ||
абс. | относ. | абс. | относ. | ||||
CTNNB1 | 26 | ||||||
CTNNB1 | c.121A>G p.Thr41Ala | 21 | 11 | 64,7 | 10 | 71,4 | 0,71 |
CTNNB1 | c.134C>T p.Ser45Phe | 3 | 2 | 11,8 | 1 | 7,1 | 0,36 |
CTNNB1 | c.133T>C p.Ser45Pro | 1 | 1 | 5,9 | 0 | 0,0 | 1 |
CTNNB1 | c.122C>T p.Thr41Ile | 1 | 1 | 5,9 | 0 | 0,0 | 1 |
APC | 2 | ||||||
APC | c.4381G>T p.Glu1461Ter | 1 | 1 | 5,9 | 0 | 0,0 | 1 |
APC | c.4634C>A p.Ser1545Ter | 1 | 0 | 0 | 1 | 7,1 | |
Отсутствие мутаций | 3 | 1 | 5,9 | 2 | 14,3 | 0,79 | |
По результатам секвенирования также выявлены соматические мутации со спорной интерпретацией клинической значимости (3-й класс патогенности) в генах CTNNB1, RET, варианты 2-го класса патогенности в генах KIT, FGFR3, вероятно, связанные с ответом на лекарство – в гене ТР53 и SNP (1-й класс патогенности) в генах CDH1, EGFR, PTEN, ROS1.
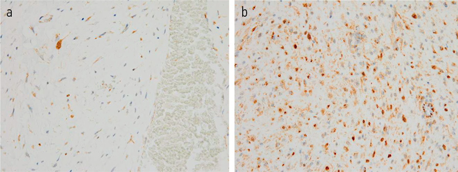
По данным иммуногистохимического исследования в 16 (51,6%) случаях выявлена экспрессия β-катенина в опухолевых клетках. Экспрессия β-катенина характеризовалась ядерно-цитоплазматическим и цитоплазматическим окрашиванием в 10 и 6 случаях соответственно. У 5 из 10 пациентов с установленными рецидивами обнаружена экспрессия β-катенина. Уровень экспрессии варьировал от 10 до 90% β-катенин-позитивных клеток опухоли. Ядерная экспрессия ER и PR выявлена в 6 (19%) и 1 (3,2%) случаях соответственно (рис. 2).
Рис. 2. ИГХ – выявление экспрессии β-катенина в клетках опухоли, увеличение ×400, ядра клеток докрашивали гематоксилином Майера: a – низкий уровень ядерно-цитоплазматической реакции в единичных клетках опухоли; b – высокий уровень ядерно-цитоплазматической реакции в большинстве клеток опухоли.
При статистическом анализе не выявлено значимых корреляций между мутационным статусом и иммуногистохимическим характером окрашивания (табл. 2). Значимые корреляции между мутационным статусом и возрастом, полом, размером опухоли не выявлены.
Таблица 2. Соотношение выявленных соматических мутаций и экспрессии β-катенина Table 2. Relationship of identified somatic mutations and β-catenin expression | |||
Ген | Мутация | Число пациентов с выявленной мутацией | Число пациентов с экспрессией β-катенина по данным ИГХ |
CTNNB1 | 26 | 15 | |
CTNNB1 | c.121A>G p.Thr41Ala | 21 | 12 |
CTNNB1 | c.134C>T p.Ser45Phe | 3 | 1 |
CTNNB1 | c.133T>C p.Ser45Pro | 1 | 1 |
CTNNB1 | c.122C>T p.Thr41Ile | 1 | 1 |
APC | 2 | 1 | |
APC | c.4381G>T p.Glu1461Ter | 1 | 1 |
APC | c.4634C>A p.Ser1545Ter | 1 | 0 |
Отсутствие мутаций | 3 | 0 | |
Среди 10 пациентов с установленными рецидивами у 7 по данным NGS выявлена мутация c.121A>G (p.Thr41Ala, rs121913412), у 1 пациента: c.134C>T (p.Ser45Phe, rs121913409), у 2 пациентов в опухолевых образцах мутаций не обнаружено.
Медиана наблюдения после перенесенного хирургического вмешательства составила 104 мес. За время наблюдения рецидивы зарегистрированы у 10 (32,3%) пациентов, среди них 7 (70%) пациентов женского пола, 3 (30%) – мужского. Медиана возраста пациентов на момент развития рецидива составила 33,8 года.
В настоящее время 30 пациентов из 31 живы (1 пациент умер от причин, не связанных с проявлениями ДФ).
Обсуждение
Центральным звеном каскада патофизиологических реакций при возникновении ДФ является избыточное накопление β-катенина. Как известно, β-катенин выполняет многочисленные функции в клетке, в том числе участвует в механизмах межклеточной адгезии, клеточной подвижности и сигнальной трансдукции [23]. При попадании в цитоплазму β-катенин в норме должен утилизироваться убиквитин-протеасомами при участии молекулы GSK-3β, и его экспрессия не должна наблюдаться при иммуногистохимическом исследовании. Цитоплазматическая экспрессия β-катенина означает, что его утилизации не проиcходит. Это объясняется активацией сигнального пути Wnt, который блокирует активность GSK-3β и тем самым препятствует утилизации β-катенина, который транслоцируется в ядро и активирует ряд таргетных генов группы LEF/TCF, приводящих к синтезу виментина, а также Slug и Snail, блокирующих синтез Е-кадгерина [24]. Таким образом, нарушение стабильности кадгерин-катенинового комплекса вследствие высокого уровня патологической экспрессии β-катенина может свидетельствовать об ослаблении межклеточной адгезии и наличии потенциала таких клеток к инвазивному росту. В некоторых работах также отмечается роль стабильности кадгерин-катенинового комплекса в осуществлении функции супрессии опухолевого роста молекулой Е-кадгерина [25].
Ряд исследований продемонстрировал, что гиперэкспрессия β-катенина имеет как диагностическое, так и прогностическое значение [17, 26–30]. По данным C. Gebert и соавт., ядерная экспрессия β-катенина связана с повышенной частотой местного рецидива опухоли (60,0% 1-летняя и 0% 5-летняя бессобытийная выживаемость; p<0,05) [26]. По данным A. Lazar и соавт., ядерная экспрессия β-катенина наблюдалась в 98% образцов, а интенсивность обратно коррелировала с частотой рецидива десмоида (p<0,01) [17].
Результаты нашего исследования показывают, что в большинстве случаев (n=26; 86,7%) у пациентов со споради- ческим ДФ встречаются соматические мутации гена CTNNB1, что сопоставимо с зарубежными данными (85%) [12]. Чаще всего в нашей группе пациентов встречалась мутация T41A. Таким образом, наличие мутации в 3 экзоне β-катенина может быть одним из критериев подтверждения диагноза агрессивного фиброматоза.
C. Colombo и соавт. наблюдали специфическую связь между типом мутации CTNNB1 и локализацией десмоидных опухолей. Частота встречаемости мутации p.S45F выше у десмоидов экстраабдоминальной локализации. При этом частота рецидивирования ДФ экстраабдоминальной формы (35–65%) в общей популяции выше ДФ абдоминальной локализации (15–30%) [15]. В нашем исследовании не подтвердилась прогнос- тическая роль мутации p.S45F у пациентов с ДФ абдоминальной и забрюшинной локализации, однако среди 10 пациентов с установленными рецидивами в 70% случаев по данным NGS выявлена мутация c.121A>G (p.Thr41Ala, rs121913412). Данные различия могут свидетельствовать о неоднородности молекулярно-генетических паттернов ДФ различных локализаций. Также некоторые исследователи заявляют о возможных различиях в частоте мутаций гена CTNNB1 в различных этни- ческих группах [31]. Для дальнейшего изучения этих вариаций необходимы независимые многоцентровые исследования с большими когортами пациентов.
Роль мутаций в гене APC в течении ДФ изучена недостаточно. Известно, что мутации гена APC влияют на развитие синдрома семейного полипоза толстой кишки (синдрома Гарднера). Одним из проявлений синдрома Гарднера является развитие APC-ассоциированных десмоидных опухолей (встречается в 15% случаев). Риск развития десмоидов у пациентов с синдромом Гарднера составляет 2,56 случая на 1 тыс. пациентов в год, что в 852 раза выше, чем в общей популяции [32]. При этом выявлено, что наличие патогенной мутации в промежутке от 148 до 1800 кодонов в гене АРС увеличивает риск ДФ [33]. Обнаружение мутаций в гене APC должно являться основанием для установления тщательного динамического наблюдения за пациентом и назначения пациенту и его родственникам углубленного обследования, включающего тщательный сбор анамнеза, генетическое консультирование, гастро-, колоноскопию, компьютерную томографию брюшной полости и малого таза.
По данным литературы, около 50% спорадических случаев ДФ ассоциировано с предшествующей травмой или хирургическим вмешательством в данной зоне: «рубцовый» фиброматоз в зоне предшествующей нефрэктомии или длительно стоявшего диализного катетера [34, 35]. Молекулярные детерминанты развития десмоида у этой категории пациентов остаются неясными, так же как и у пациентов с отсутствием выявленных мутаций генов CTNNB1 и APC. Можно предположить, что в этих случаях изменения в каноническом сигнальном пути Wnt, повлекшие за собой онкогенез, связаны не с мутациями СTNNB1 и APC, а с влиянием факторов микроокружения (межклеточного матрикса, провоспалительных цитокинов, факторов роста) и эпигенетической модификации [36].
Эндокринная модификация также обсуждается в качестве одного из этиологических факторов онкогенеза ДФ. Основаниями для данного предположения являются минимальная частота развития опухоли у детей и лиц пожилого возраста, преобладание абдоминального ДФ у женщин репродуктивного возраста в период беременности или в течение года после родов. Ранние публикации о ДФ в большинстве случаев не сообщали об экспрессии ER в опухолевых образцах пациентов с ДФ. Однако открытие второй изоформы ER (ERβ) впоследствии привело к большому количеству публикаций, в которых описывалась экспрессия ER в опухолевых образцах пациентов с ДФ [37]. Частота экспрессии ERβ, по данным мировой литературы, у пациентов с ДФ варьирует от 7,4 до 90% [37–42]. Экспрессия ERα и PR определяется в единичных случаях [1, 43]. В нашем исследовании изучалась ядерная экспрессия ERα и PR, которая выявлена в 6 (19%) и в 1 (3,2%) случаях соответственно. Прогностическая роль ERβ, ERα, PR в настоящее время изучена недостаточно. Некоторые авторы заявляют, что экспрессия ERβ может использоваться в качестве прогностического маркера развития рецидива после хирургического лечения ДФ [37], другие авторы опровергают влияние экспрессии ERβ на клиническое течение заболевания [38]. Подтверждение экспрессии ERβ в опухолевых образцах пациентов с ДФ может служить обоснованием назначения гормональной (антиэстрогенной) терапии.
Выявление молекулярно-генетических особенностей ДФ может также иметь диагностическую значимость, поскольку при дифференциальной диагностике агрессивного фиброматоза в некоторых случаях могут возникнуть сложности в морфологической верификации диагноза. В связи с тем, что типичным для клеток ДФ является формирование коротких и длинных пучков, а также радиальных структур, ДФ необходимо дифференцировать с фибросаркомой. Несмотря на возможное перекрытие митотического индекса этих опухолей, для фибросаркомы характерны высокая клеточность, выраженная ядерная атипия, гиперхромия ядер и очаги некроза. Однако в части случаев при биопсии дифференциальный диагноз ДФ и фибросаркомы низкой степени злокачественности может быть невозможен [34]. Нодулярный фасциит, в отличие от ДФ, не обладает инфильтративным ростом, не формирует пучковых структур и лишен ядерной экспрессии β-катенина. В отличие от истинной рубцовой ткани фиброматоз, возникший в рубце, отличается инфильтративным ростом и ядерной экспрессией β-катенина [44]. Такие хронические фиброзирующе-воспалительные заболевания, как склерозирующий мезентерит и идиопатический забрюшинный фиброз (болезнь Ормонда), от фиброматоза отличают более старшая возрастная группа больных, диффузный лимфоплазмоцитарный инфильтрат, наличие иммуноглобулин G4-позитивных плазмоцитов (болезнь Ормонда), локализация исключительно в области бифуркации аорты (болезнь Ормонда), отсутствие ядерной экспрессии β-катенина, очаги жирового некроза (склерозирующий мезентерит) [34]. Для воспалительной миофибробластической опухоли характерны более высокая клеточность, диффузный лимфоплазмоцитарный инфильтрат и экспрессия ALK в 50% случаев. Участки чередования в ДФ плотных коллагеновых и миксоматозных прослоек требуют дифференцировать ее с фибромиксоидной саркомой низкой степени злокачественности, для которой типичны отсутствие пучкового строения, экспрессия MUC4 и транслокация гена FUS [44].
Заключение
Различная частота рецидивирования ДФ в зависимости от локализации, вариабельность молекулярно-генетических паттернов, полярность мнений различных исследователей в отношении прогностической значимости молекулярно- генетических маркеров подтверждают гетерогенность форм ДФ и отсутствие возможного применения универсального прогностического маркера у всех пациентов с ДФ. На основании данных нашего исследования целесообразны разработка и внедрение в клиническую практику профилей риска пациента с ДФ, учитывающих локализацию ДФ, молекулярно-генетический статус пациента (на основании NGS), пол, возраст, данные анамнеза (в том числе семейного), наличие хирургического вмешательства в анамнезе и его объем. Мы предполагаем, что сочетание таких факторов, как забрюшинная форма ДФ, наличие мутации c.121A>G (p.Thr41Ala, rs121913412), женский пол, молодой возраст, могут служить основанием для определения пациента в неблагоприятный прогностический профиль течения ДФ.
Подобная классификация позволит выбрать риск-адаптированную тактику ведения пациентов, вошедших в ту или иную группу: раннее определение скорости роста опухоли для определения необходимости активного хирургического лечения или тактики Look and stay, назначение адъювантного лечения и оптимальный режим наблюдения. С целью валидации и модификации предложенного инструмента необходимо проведение дальнейших исследований с большими когортами пациентов.
Раскрытие интересов. Авторы декларируют отсутствие явных и потенциальных конфликтов интересов, связанных с публикацией настоящей статьи.
Disclosure of interest. The authors declare that they have no competing interests.
Вклад авторов. Авторы декларируют соответствие своего авторства международным критериям ICMJE. Все авторы в равной степени участвовали в подготовке публикации: разработка концепции статьи, получение и анализ фактических данных, написание и редактирование текста статьи, проверка и утверждение текста статьи.
Authors’ contribution. The authors declare the compliance of their authorship according to the international ICMJE criteria. All authors made a substantial contribution to the conception of the work, acquisition, analysis, interpretation of data for the work, drafting and revising the work, final approval of the version to be published and agree to be accountable for all aspects of the work.
Источник финансирования. Авторы декларируют отсутствие внешнего финансирования для проведения исследования и публикации статьи.
Funding source. The authors declare that there is no external funding for the exploration and analysis work.
Информированное согласие на публикацию. Пациенты подписали форму добровольного информированного согласия на публикацию медицинской информации и фотографий.
Consent for publication. Written consent was obtained from the patients for publication of relevant medical information and all of accompanying images within the manuscript.
Об авторах
Кирилл Андреевич Турупаев
ФГБУ «Национальный медицинский исследовательский центр онкологии им. Н.Н. Блохина» Минздрава России; ФГБОУ ВО «Московский государственный медико-стоматологический университет им. А.И. Евдокимова» Минздрава России
Автор, ответственный за переписку.
Email: Kir-turupaev@yandex.ru
ORCID iD: 0000-0001-8887-5108
врач-онколог онкологического отд-ния хирургических методов лечения №4 (онкоурологии) Научно-исследовательского института клинической онкологии ФГБУ «НМИЦ онкологии им. Н.Н. Блохина», аспирант каф. онкологии ФГБОУ ВО «МГМСУ им. А.И. Евдокимова»
Россия, Москва; МоскваМарина Дмитриевна Будурова
ФГБОУ ВО «Московский государственный медико-стоматологический университет им. А.И. Евдокимова» Минздрава России; Московский научно-исследовательский онкологический институт им. П.А. Герцена – филиал ФГБУ «Национальный медицинский исследовательский центр радиологии» Минздрава России
Email: m.budurova@rambler.ru
ORCID iD: 0000-0003-1391-0516
SPIN-код: 1412-8811
д-р мед. наук, проф. каф. онкологии ФГБОУ ВО «МГМСУ им. А.И. Евдокимова», вед. науч. сотр. абдоминального отд-ния МНИОИ им. П.А. Герцена – филиала ФГБУ «НМИЦ радиологии»
Россия, Москва; МоскваМаргарита Геннадьевна Филиппова
ФГБУ «Национальный медицинский исследовательский центр онкологии им. Н.Н. Блохина» Минздрава России
Email: fimargarita@yandex.ru
ORCID iD: 0000-0002-1883-2214
канд. мед. наук, ст. науч. сотр. научно-консультативного отд-ния Научно-исследовательского института клинической онкологии ФГБУ «НМИЦ онкологии им. Н.Н. Блохина»
Россия, МоскваАртур Александрович Исаев
АО «Центр генетики и репродуктивной медицины "ГЕНЕТИКО"»
Email: gairyan@genetico.ru
ген. дир. АО ЦГРМ «ГЕНЕТИКО»
Россия, МоскваЯна Владимировна Гриднева
ГБУЗ «Городская клиническая онкологическая больница №1» Департамента здравоохранения г. Москвы
Email: gridnevyana@mail.ru
канд. мед. наук, зав. онкологическим отд-нием №8 ГБУЗ «ГКБ №1»
Россия, МоскваДарья Николаевна Хмелькова
АО «Центр генетики и репродуктивной медицины "ГЕНЕТИКО"»
Email: khmelkova@genetico.ru
ORCID iD: 0000-0002-4673-1031
рук. биоинформатической службы, зав. лаб. онкогенетики АО ЦГРМ «ГЕНЕТИКО»
Россия, МоскваМаргарита Абеловна Гайрян
АО «Центр генетики и репродуктивной медицины "ГЕНЕТИКО"»
Email: gairyan@genetico.ru
рук. отд. развития направления «Онкогенетика» АО ЦГРМ «ГЕНЕТИКО»
Россия, МоскваИрина Владимировна Миронова
АО «Центр генетики и репродуктивной медицины "ГЕНЕТИКО"»
Email: gairyan@genetico.ru
зав. лаб. NGS АО ЦГРМ «ГЕНЕТИКО»
Россия, МоскваМаксим Петрович Никулин
ФГБУ «Национальный медицинский исследовательский центр онкологии им. Н.Н. Блохина» Минздрава России; ФГБОУ ВО «Московский государственный медико-стоматологический университет им. А.И. Евдокимова» Минздрава России
Email: maximpetrovich@mail.ru
ORCID iD: 0000-0002-9608-4696
SPIN-код: 9455-5566
канд. мед. наук, ст. науч. сотр. хирургического отд-ния №6 (абдоминальной онкологии) Научно-исследовательского института клинической онкологии ФГБУ «НМИЦ онкологии им. Н.Н. Блохина», доц. каф. онкологии ФГБОУ ВО «МГМСУ им. А.И. Евдокимова»
Россия, Москва; МоскваАлена Игоревна Пучкова
ФГБУ «Национальный медицинский исследовательский центр онкологии им. Н.Н. Блохина» Минздрава России
Email: a.i.puchkova92@gmail.com
врач-патологоанатом патологоанатомического отд-ния Научно-исследовательского института клинической онкологии ФГБУ «НМИЦ онкологии им. Н.Н. Блохина»
Россия, МоскваВера Владимировна Делекторская
ФГБУ «Национальный медицинский исследовательский центр онкологии им. Н.Н. Блохина» Минздрава России
Email: Kir-turupaev@yandex.ru
ORCID iD: 0000-0002-4550-2069
доктор медицинских наук, заведующая отделом морфологической и молекулярно-генетической диагностики опухолей НИИ КО ФГБУ «НМИЦ онкологии им. Н. Н. Блохина» Минздрава России
Россия, МоскваСписок литературы
- Новикова О.В. Половые гомоны в этиологии, патогенезе и лечении дес- моидных фибром: дис. … д-ра мед. наук. М., 2008; с. 197-9 [Novikova OV. Polovie gomony v etiologii, patogeneze i lechenii desmoidnykh fibrom: dis. … d-ra med. nauk. Moscow, 2008; p. 197-9 (in Russian)].
- Хомяков В.М., Черемисов В.В., Чайка А.В., и др. Опыт хирургического лечения десмоидных фибром абдоминальной и интраабдоминальной локализации. Хирургия. Журнал им. Н.И. Пирогова. 2014;11:17-25 [Khomiakov VM, Cheremisov VV, Chaika AV, et al. Opyt khirurgicheskogo lecheniia desmoidnykh fibrom abdominal’noi i intraabdominal’noi lokalizatsii. Khirurgiia. Zhurnal im. NI Pirogova. 2014;11:17-25 (in Russian)].
- Fletcher CDM, Unni FM. World Health Organization Classification of Tumours Pathology and Genetics of Tumours of Soft Tissue and Bone. Cancer. 2002;177:1365-76. doi: 10.1016/j.suronc.2004.03.001
- Colombo C, Belfiore A, Paielli N, et al. β-catenin in desmoid-type fibromatosis: deep insights into the role of T41A and S45F mutations on protein structure and gene expression. Mol Oncol. 2017;11:1495-507 .
- Timbergen MJM, Colombo C, Renckens M, et al. The prognostic role of β-catenin mutations in desmoid-type fibromatosis undergoing resection only: a meta-analysis of individual patient data. Ann Surg. 2021;273(6):1094-101. doi: 10.1097/SLA.0000000000003698
- Abraham N, Nabawi AS. The challenging case of a primigravid Bedouin woman with a dormant neck nodule that grew explosively during her pregnancy. J Surg Case Rep. 2019;2019(3):rjz061. DOI:10.1093/ jscr/ rjz061
- Dalén BP, Geijer M, Kvist H, et al. Clinical and imaging observations of desmoid tumors left without treatment. Acta Orthop. 2006;77(6):932-7. doi: 10.1080/17453670610013259
- Barbier O, Anract P, Pluot E, et al. Primary or recurring extra-abdominal desmoid fibromatosis: assessment of treatment by observation only. Orthop Traumatol Surg Res. 2010;96(8):884-9. doi: 10.1016/j.otsr.2010.07.007
- Colombo C, Miceli R, Le Péchoux C, et al. Sporadic extra abdominal wall desmoid-type fibromatosis: surgical resection can be safely limited to a minority of patients. Eur J Cancer. 2015;51(2):186-92. doi: 10.1016/j.ejca.2014.11.019
- Будурова М.Д., Файнштейн И.А., Турупаев К.А., и др. Рецидивирующий дес- моидный забрюшинный фиброматоз: клиническое наблюдение. Современная Онкология. 2020;22(4):125-9 [Budurova MD, Fainshtein IA, Turupaev KA, et al. Recurrent desmoid-type retroperitoneal fibromatosis: clinical observation. Journal of Modern Oncology. 2020;22(4):125-9 (in Russian)]. doi: 10.26442/18151434.2020.4.200424
- Kasper B, Baumgarten C, Bonvalot S, et al. Management of sporadic desmoid-type fibromatosis: a European consensus approach based on patients' and professionals' expertise – a sarcoma patients EuroNet and European Organisation for Research and Treatment of Cancer/Soft Tissue and Bone Sarcoma Group initiative. Eur J Cancer. 2015;51(2):127-36. doi: 10.1016/j.ejca.2014.11.005
- Crago AM, Chmielecki J, Rosenberg M, et al. Near universal detection of alterations in CTNNB1 and Wnt pathway regulators in desmoid-type fibromatosis by whole-exome sequencing and genomic analysis. Genes Chromosomes Cancer. 2015;54(10):606-15. doi: 10.1002/gcc.22272
- Kundu JK, Choi KY, Surh YJ. beta-Catenin-mediated signaling: a novel molecular target for chemoprevention with anti-inflammatory substances. Biochim Biophys Acta. 2006;1765(1):14-24. doi: 10.1016/j.bbcan.2005.08.006
- van Broekhoven DL, Verhoef C, Grünhagen DJ, et al. Prognostic value of CTNNB1 gene mutation in primary sporadic aggressive fibromatosis. Ann Surg Oncol. 2015;22(5):1464-70. doi: 10.1245/s10434-014-4156-x
- Colombo C, Miceli R, Lazar AJ, et al. CTNNB1 45F mutation is a molecular prognosticator of increased postoperative primary desmoid tumor recurrence: an independent, multicenter validation study. Cancer. 2013;119(20):3696-702. doi: 10.1002/cncr.28271
- Dômont J, Salas S, Lacroix L, et al. High frequency of beta-catenin heterozygous mutations in extra-abdominal fibromatosis: a potential molecular tool for disease management. Br J Cancer. 2010;102(6):1032-6. doi: 10.1038/sj.bjc.6605557
- Lazar AJ, Tuvin D, Hajibashi S, et al. Specific mutations in the beta-catenin gene (CTNNB1) correlate with local recurrence in sporadic desmoid tumors. Am J Pathol. 2008;173(5):1518-27. doi: 10.2353/ajpath.2008.080475
- Mullen JT, DeLaney TF, Rosenberg AE, et al. β-Catenin mutation status and outcomes in sporadic desmoid tumors. Oncologist. 2013;18(9):1043-9. doi: 10.1634/theoncologist.2012-0449
- Romero S, Szafranska J, Cabrera E, et al. Role of tumor-associated macrophages and angiogenesis in desmoid-type fibromatosis. Virchows Arch. 2012;461(2):117-22. doi: 10.1007/s00428-012-1265-4
- Nishida Y, Tsukushi S, Urakawa H, et al. Low-dose chemotherapy with methotrexate and vinblastine for patients with desmoid tumors: relationship to CTNNB1 mutation status. Int J Clin Oncol. 2015;20(6):1211-7. doi: 10.1007/s10147-015-0829-0
- Hamada S, Urakawa H, Kozawa E, et al. Characteristics of cultured desmoid cells with different CTNNB1 mutation status. Cancer Med. 2016;5(2):352-60. doi: 10.1002/cam4.582
- Kasper B, Gruenwald V, Reichardt P, et al. Correlation of CTNNB1 Mutation Status with Progression Arrest Rate in RECIST Progressive Desmoid-Type Fibromatosis Treated with Imatinib: Translational Research Results from a Phase 2 Study of the German Interdisciplinary Sarcoma Group (GISG-01). Ann Surg Oncol. 2016;23(6):1924-7. doi: 10.1245/s10434-016-5132-4
- Исаева А.В., Зима А.П., Шабалова И.П., и др. β-Катенин: структура, функции и роль в опухолевой трансформации эпителиальных клеток. Вестник РАМН. 2015;70(4):475-83 [Isaeva AV, Zima AP, Shabalova IP, et al. β-Catenin: Structure, Function and Role in Malignant Transformation of Epithelial Cells. Annals of the Russian Academy of Medical Sciences. 2015;70(4):475-83 (in Russian)]. doi: 10.15690/vramn.v70.i4.1415
- Засадкевич Ю.М. Роль эпителиальных E- и P-кадгеринов в реализации внутриклеточных механизмов регуляции опухолевого роста: автореф. дис. ... канд. мед. наук. Екатеринбург, 2015 [Zasadkevich YuM. Rol' epitelial'nykh E- i P-kadgerinov v realizatsii vnutrikletochnykh mekhanizmov regulyatsii opukholevogo rosta: avtoref. dis. ... kand. med. nauk. Yekaterinburg, 2015 (in Russian)].
- Hayashida Y, Honda K, Idogawa M, et al. E-cadherin regulates the association between beta-catenin and actinin-4. Cancer Res. 2005;65(19):8836-45. doi: 10.1158/0008-5472.CAN-05-0718
- Gebert C, Hardes J, Kersting C, et al. Expression of beta-catenin and p53 are prognostic factors in deep aggressive fibromatosis. Histopathology. 2007;50(4):491-7. doi: 10.1111/j.1365-2559.2007.02619.x
- Jilong Y, Jian W, Xiaoyan Z, et al. Analysis of APC/beta-catenin genes mutations and Wnt signalling pathway in desmoid-type fibromatosis. Pathology. 2007;39(3):319-25. doi: 10.1080/00313020701329823
- Lips DJ, Barker N, Clevers H, Hennipman A. The role of APC and beta-catenin in the aetiology of aggressive fibromatosis (desmoid tumors). Eur J Surg Oncol. 2009;35(1):3-10. doi: 10.1016/j.ejso.2008.07.003
- Denys H, Jadidizadeh A, Amini Nik S, et al. Identification of IGFBP-6 as a significantly downregulated gene by beta-catenin in desmoid tumors. Oncogene. 2004;23(3):654-64. doi: 10.1038/sj.onc.1207160
- Carlson JW, Fletcher CD. Immunohistochemistry for beta-catenin in the differential diagnosis of spindle cell lesions: analysis of a series and review of the literature. Histopathology. 2007;51(4):509-14. doi: 10.1111/j.1365-2559.2007.02794.x
- Kim HS, Kim J, Nam KH, Kim WH. Clinical significance of midkine expression in sporadic desmoid tumors. Oncol Lett. 2016;11(3):1677-84. doi: 10.3892/ol.2016.4129
- Eastley N, McCulloch T, Esler C, et al. Extra-abdominal desmoid fibromatosis: A review of management, current guidance and unanswered questions. Eur J Surg Oncol. 2016;42(7):1071-83. doi: 10.1016/j.ejso.2016.02.012
- Nieuwenhuis MH, Lefevre JH, Bülow S, et al. Family history, surgery, and APC mutation are risk factors for desmoid tumors in familial adenomatous polyposis: an international cohort study. Dis Colon Rectum. 2011;54(10):1229-34. doi: 10.1097/DCR.0b013e318227e4e8
- Burke AP, Sobin LH, Shekitka KM, et al. Intra-abdominal fibromatosis. A pathologic analysis of 130 tumors with comparison of clinical subgroups. Am J Surg Pathol. 1990;14(4):335-41.
- Seoud M, Abbas J, Kaspar H, et al. Long-term survival following aggressive surgery and radiotherapy for pelvic fibromatosis. Int J Gynecol Cancer. 2005;15(6):1112-4.
- Enzo MV, Rastrelli M, Rossi CR, et al. The Wnt/β-catenin pathway in human fibrotic-like diseases and its eligibility as a therapeutic target. Mol Cell Ther. 2015;3:1. doi: 10.1186/s40591-015-0038-2
- Santti K, Ihalainen H, Rönty M, et al. Estrogen receptor beta expression correlates with proliferation in desmoid tumors. J Surg Oncol. 2019;119(7):873-9. doi: 10.1002/jso.25407
- Santos GA, Cunha IW, Rocha RM, et al. Evaluation of estrogen receptor alpha, estrogen receptor beta, progesterone receptor, and cKIT expression in desmoids tumors and their role in determining treatment options. Biosci Trends. 2010;4(1):25-30.
- Leithner A, Gapp M, Radl R, et al. Immunohistochemical analysis of desmoid tumours. J Clin Pathol. 2005;58(11):1152-6.
- Ishizuka M, Hatori M, Dohi O, et al. Expression profles of sex steroid receptors in desmoid tumors. Tohoku J Exp Med. 2006;210(3):189-98. DOI:10.1620/ tjem.210.189
- Brautigam K, Lindner J, Budczies J, et al. PARP-1 expression as a prognostic factor in desmoid-type fbromatosis. Ann Diagn Pathol. 2020;44:151442. doi: 10.1016/j.anndiagpath.2019.151442
- Kessenbrock K, Plaks V, Werb Z. Matrix metalloproteinases: regulators of the tumor microenvironment. Cell. 2010;141(1):52-67. doi: 10.1016/j.cell.2010.03.015
- Colombo C, Foo WC, Whiting D, et al. FAP-related desmoid tumors: a series of 44 patients evaluated in a cancer referral center. Histol Histopathol. 2012;27:641-9.
- Doyle LA, Hornick JL. Immunohistology of neoplasms of soft tissue and bone. In: Eds. DJ Dabbs. Diagnostic Immunohistochemistry: theranostic and genomic applications (4th edition). Elsevier, 2014; p. 73-129.
Дополнительные файлы





