Characteristics of the receptor phenotype of tumor-associated immune cells of the epithelial-mesenchymal microenvironment of ovarian cancer
- Authors: Zhurman V.N.1,2
-
Affiliations:
- Primorsky Regional Oncological Dispensary
- Pacific State Medical Univercity
- Issue: Vol 25, No 1 (2023)
- Pages: 99-103
- Section: CLINICAL ONCOLOGY
- Submitted: 02.11.2022
- Published: 17.05.2023
- URL: https://modernonco.orscience.ru/1815-1434/article/view/112288
- DOI: https://doi.org/10.26442/18151434.2023.1.202076
- ID: 112288
Cite item
Full Text
Abstract
Among all histological types, serous carcinomas account for up to 85%. Due to pronounced heterogeneity (at the molecular and genetic level) and chemoresistance, difficulties arise in finding active targets for tumor elimination.
Aim. To establish a link between the population composition of tumor-associated immune cells of the microenvironment and the stage of serous ovarian cancer.
Materials and methods. The analysis of the pathologic and anatomical material in 74 patients with serous ovarian cancer was carried out. Monoclonal antibodies were used to determine antigens in the samples: CD3, CD4, CD8, CD11b, CD14 and CD16.
Results. The obtained results of the immunohistochemical study showed that in the composition of the immune cells of the microenvironment, the largest number of cells, at all stages (I–IV) of the oncological process, are represented by macrophages (CD11b+, CD14+), CD3+ lymphocytes are in second place in terms of the number of cells, followed by CD8+ and CD4+ and the smallest number of CD16+ cells.
Conclusion. As a result of the immunohistochemical study, a multidirectional trend was found between the population composition of tumor-associated immune cells of the microenvironment and the stage of serous ovarian cancer. With an increase in the stage of the disease, the number of macrophages (CD11b+, CD14+) and lymphocytes (CD3+, CD16+) decreased regardless of the degree of differentiation of the tumor. With an increase in the tumor stage, the number of CD4+ and CD8+ populations decreased, but in this case, the degree of differentiation played a significant role, i.e. the higher the tumor stage and the lower the degree of differentiation, the fewer cells were detected.
Full Text
Введение
Рак яичников (РЯ) занимает 4-е место среди причин женской смертности от злокачественных новообразований и 1-е место среди смертности от гинекологических опухолей [1]. Среди всех гистологических типов на долю серозных карцином приходится до 85% [2–4]. В силу выраженной гетерогенности (на молекулярном и генетическом уровнях) и химиорезистентности возникают трудности в поиске активных мишеней для элиминации опухоли.
Под влиянием опухоли значительному «редактированию» подвергается иммунный профиль в микроокружении опухоли (МО). Образуется иммуносупрессивная сеть, подавляющая активность основного эффектора клеточного иммунитета Т-лимфоцитов. Т-клетки в МО находятся в состоянии анергии, характеризующимся повышенной экспрессией рецепторов, ингибирующих активность опухолевых клеток, снижением секреции цитокинов и цитолитической активности, что затрудняет удаление опухолевых клеток [5]. Распространенным типом Т-лимфоцитов в МО являются цитотоксические Т-клетки памяти CD8+, которые способны ликвидировать опухолевые клетки, стимулируя иммунный ответ. T-клетки CD8+ в МО поддерживаются T-хелперами 1 CD4+, которые выделяют интерферон γ и интерлейкин (ИЛ)-2 [6]. Другая популяция клеток CD4+, T-хелперы 2, поддерживают ответ В-клеток за счет продукции ИЛ-4, 5 и 13 [7].
Макрофаги, накапливающиеся в МО, связаны с ростом, ангиогенезом и метастазированием при различных видах рака через поляризацию TRM (Resident Memory T cells – тканево-резидентные Т-клетки памяти), М1- на альтернативный М2-фенотип. Макрофаги с фенотипом М1 продуцируют значительное количество провоспалительных цитокинов, в то время как фенотипы М2 продуцируют несколько факторов роста, участвующих в ремоделировании тканей. Увеличение числа М2-клеток в МО коррелирует с неблагоприятным прогнозом. Опухоль-ассоциированные макрофаги (ОМф) секретируют ингибиторные цитокины ИЛ-10 и трансформирующие факторы роста (ТФР-β), подавляют дифференцировку лимфоцитов в МО и способствуют переходу Т-клеток в регуляторные Treg-клетки [8, 9]. Клетки опухоли, продуцирующие VEGF, CCL2, M-CSF и ангиопоэтин-2, способствуют переходу моноцитов из кровотока в МО, где они дифференцируются в ОМф [9]. Сверхэкспрессия CCL2 клетками фиброкарциномы приводит к рекрутированию ОМф и способствует канцерогенезу. ОМф в МО пациентов с РЯ характеризуются повышенной экспрессией маркеров CD68 и CD163, которые принимают участие в ремоделировании опухолевого внеклеточного матрикса и поддерживают сосудистую проходимость, способствуя течению опухолевого процесса и инвазии опухоли. Наличие опухоли с высокой инфильтрацией ОМф коррелирует с неблагоприятным прогнозом и неэффективностью терапии. Истощение ОМф в опухолях можно считать перспективным методом иммунотерапии. В настоящее время обсуждаются факторы, ответственные за хоминг макрофагов в опухолях, механизмы преобразования ОМф M1 в M2, способы воздействия на функции M2 ОМф. Мезенхимальные стволовые клетки (МСК) являются важным компонентом МО благодаря своей способности подавлять функции некоторых иммунных эффекторных клеток и оказывать потенцирующее действие на активность регуляторных иммунных клеток. МСК выполняют решающую роль в прогрессировании заболевания, обеспечивают основу для хоминга опухолевых клеток в форме опухолевой стромы и секретируют факторы, благоприятно влияющие на рост опухоли. МСК, входящие в состав МО, способны дифференцироваться в макрофаги 2-го типа (М2) и в миелоид-зависимые супрессорные клетки (MDSC – myeloid-derived suppressor cells) под влиянием цитокинов и хемокинов [10, 11]. Рекрутирование МСК опухолью и их перепрограммирование приводят к патологическим изменениям фенотипа и функций МСК. Потенцируя опухолевый процесс и взаимодействуя с разными типами клеток, входящих в состав МО, МСК обеспечивают поддержку роста опухоли путем выделения множества факторов, способствующих прогрессии опухоли.
В процессе созревания миеломоноциты, превращающиеся в моноциты/макрофаги и гранулоциты, приобретают различные кластеры дифференцировки (CD). Наиболее значимыми с точки зрения дальнейшего изучения являются CD11b и CD14, на данный момент их роль в МО эпителиального РЯ (ЭРЯ) мало изучена.
CD11b – трансмембранный гликопротеин 1-го типа, являющийся рецептором для С3bi-компонента комплемента. Для экспрессии рецептора CD11b на поверхности клетки необходимо наличие антигена CD18. Вместе эти две субъединицы образуют интегрин CD11b/CD18, один из четырех гетеродимеров интегрина, образованных путем соединения β-цепи CD18 с четырьмя характерными α-цепями CD11. Интегрин CD11b/CD18 экспрессируется на поверхности NK-клеток, нейтрофилов, моноцитов и макрофагов. CD14 – это одноцепочечный мембранный гликозилфосфатидилинозитол-связанный белок, экспрессированный на поверхности клеток миелоидного ряда, связанный с фосфоинозитолом и являющийся рецептором для липополисахарида. CD14 является маркером, ассоциированным с клеточными элементами моноцитарной линии на поздних этапах дифференцировки (промоноциты, моноциты, гистиоциты/макрофаги).
Естественные киллеры (NK) и естественные киллеры T (NKT) экспрессируют ингибирующие, адгезивные, активирующие и цитокиновые рецепторы для идентификации клеточных мишеней и сохранения здоровых клеток. Сигналы, поступающие от данных рецепторов при контакте с клетками МО, запускают активацию NK. Другие исследования показали, что NK- и NKT-клетки обнаруживают патологические внутренние изменения в МО и активируют механизмы противоопухолевого иммунитета в МО [12, 13]. NK-клетки МО изменяют свой фенотип, снижая экспрессию рецепторов, запускающих противоопухолевую защиту. При изменении фенотипа NK-клетки, находящиеся в МО, утрачивают способность активировать дегрануляцию и продукцию интерферона γ. Опухолевые клетки экспрессируют лиганды для активирующих и ингибирующих рецепторов NK-клеток [13]. МО локально повреждает NK-клетки, «порабощая» их и тем самым способствуя прогрессированию опухоли.
Опухолевые клетки экспрессируют молекулы и высвобождают медиаторы, которые позволяют им уклоняться от иммунного надзора NK-клеток. На опухолевых клетках присутствуют высокие уровни неклассических молекул MHC I класса, HLA-E и HLA-G, которые являются ингибирующими лигандами для CD94/NKG2A и ILT2. Опухолевые клетки негативно регулируют функцию NK-клеток за счет высвобождения иммуносупрессивных факторов ИЛ-10 или ТФР-β [14].
Материалы и методы
Исследование выполнено в ФГБОУ ВО ТГМУ на базе Центральной научно-исследовательской лаборатории. Материал взят в ГБУЗ «Приморский краевой онкологический диспансер» в период с 2016 по 2021 г. Проведен анализ патологоанатомического материала 74 пациенток с серозным РЯ (СРЯ). Для определения антигенов в образцах использовали моноклональные антитела: CD3, CD4, CD8, CD11b, CD14 и CD16. Средний возраст составлял 57±11 лет. В сравнительную группу вошли 70 пациенток с доброкачественными опухолями яичников. Их средний возраст – 54±13 лет. Для проведения исследования использовался иммуногисто- химический (ИГХ) метод и морфометрический анализ. Полученные значения подвергнуты математической и статистической обработке в программе Microsoft Exсel 2016 и Statistica 13.0 (StatSoft Inc., США). Изучение препаратов проводили под микроскопом «Olympus CX41», оснащенным цифровой камерой UTV0.35XC-2 (Olympus, Япония). Морфометрическую обработку полученных изображений осуществляли с помощью программы NIS-Elements BR (Nikon, Япония), для чего с одного препарата была произведена выборка из 10 фотографий при 10-кратном увеличении объектива, сделанных с разных полей зрения. Производился расчет позитивной реакции площади бинара во всех полях зрения препарата и высчитывалось среднее значение позитивного окрашивания.
Результаты
Распределение пациентов соответственно стадии опухолевого процесса, верифицированной лабораторно- инструментальным методом: с I – 11,2%, II – 8,0%, III – 43,5% и IV – 37,1% – стадиями заболевания, приведено на рис. 1, а. Также пациенты были разделены по степеням дифференцировки опухолевого процесса: low-grade серозный рак составил 32,3%, high-grade серозный рак составил 67,7% (рис. 1, b). Средний возраст пациенток – 57±12 лет.
Рис. 1. Распределение пациентов с СРЯ по стадиям опухолевого процесса (а), степеням дифференцировки опухолевых клеток (b).
Иммунные клетки присутствуют в образцах нормальной ткани яичников, но на более низком уровне. При сравнении экспрессии маркеров (СD3, СD16) при доброкачественной опухоли (группа контроля) и при каждой стадии СРЯ достоверность различий по критерию Манна–Уитни значима при p≤0,01 (рис. 2 и 3).
Рис. 2. Экспрессия СD3-антигенов клеточной поверхности Т-лимфоцитов в микроокружении СРЯ, ×200.
Рис. 3. Экспрессия СD3-антигенов клеточной поверхности Т-лимфоцитов в ткани доброкачественной опухоли яичников, ×200.
Исследуя лимфоциты СD3+, определили, что на I стадии опухолевого процесса количество клеток было максимальным – 965,0 (942,5; 981,0); табл. 1.
Таблица 1. Значения медианы, верхнего и нижнего квартилей экспрессии рецепторов клеток CD3+ у пациентов с СРЯ на различных клинических стадиях заболевания Table 1. The median, upper, and lower quartiles of CD3+ cell receptor expression in SOC patients at various clinical stages of the disease | |
Стадия | CD3 |
I | 965,0 (942,5; 981,0) |
II | 742,0 (735,0; 754,0) |
III | 350,0 (528,0; 566,0) |
IV | 356,0 (335,0; 373,0) |
Примечание. Здесь и в табл. 2, 5 и 6: различия между результатами групп статистически значимы при р≤0,01. | |
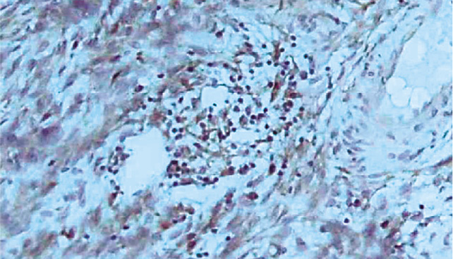
При СРЯ II–III стадии выявляли тенденцию к уменьшению экспрессии СD3+ в МО (табл. 1). При IV стадии выявлено наименьшее количество клеток СD3+ – 356,0 (335,0; 373,0), что подтверждает тенденцию к уменьшению их количества в зависимости от прогрессирования опухолевого процесса. Вероятно, такое уменьшение клеток СD3+ связано с воздействием опухолевых клеток, которые влияют на изменение фенотипа Т-лимфоцитов посредством их истощения и подавления функциональной активности. Лимфоциты СD16+ в случае с CD3+ показали тенденцию к уменьшению в МО в зависимости от распространенности опухолевого процесса (рис. 4 и 5).
Рис. 4. Экспрессия антигенов СD16+ клеточной поверхности Т-лимфоцитов в микроокружении СРЯ, ×200.
Рис. 5. Экспрессия антигенов СD16+ клеточной поверхности Т-лимфоцитов в ткани доброкачественной опухоли яичников, ×200.
Количество клеток СD16+ в сравнении с другими популяциями лимфоцитов было самое минимальное на всех стадиях опухолевого процесса (табл. 2).
Таблица 2. Значения медианы, верхнего и нижнего квартилей экспрессии рецептора клеток CD16+ у больных СРЯ на различных клинических стадиях заболевания Table 2. The median, upper, and lower quartiles of CD16+ cell receptor expression in SOC patients at various clinical stages of the disease | |
Стадия | CD16 |
I | 84,0 (79,5; 96,5) |
II | 59,0 (59,0; 61,0) |
III | 47,0 (43,5; 50,5) |
IV | 34,0 (26,0; 37,5) |
При анализе количества СD4+, СD8+ и стадии опухоли выявили, что статистически значимых различий между результатами групп нет. При анализе количества СD3+, CD16+ и степени дифференцировки опухоли выявили, что статис- тически значимых различий между результатами групп нет. При сравнении экспрессии маркеров СD4+, СD8+ на разной гистопатологической степени злокачественности достоверность различий по Н-критерию Краскела–Уоллиса значима при p≤0,01 (табл. 3).
Таблица 3. Значения медианы, верхнего и нижнего квартилей экспрессии рецепторов клеток CD3+ и CD16+ у больных РЯ на разной гистопатологической степени злокачественности Table 3. The median, upper, and lower quartiles of CD3+ and CD16+ cell receptor expression in OC patients at various histopathological degrees of malignancy | ||
Дифференцировка | CD3 | CD16 |
Low-grade | 535,5 (432,5; 569,25) | 51,5 (41,7; 54,5) |
High-grade | 532,0 (370,5; 571,5) | 41,0 (34,2; 44,7) |
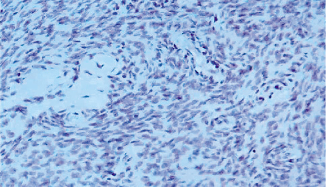
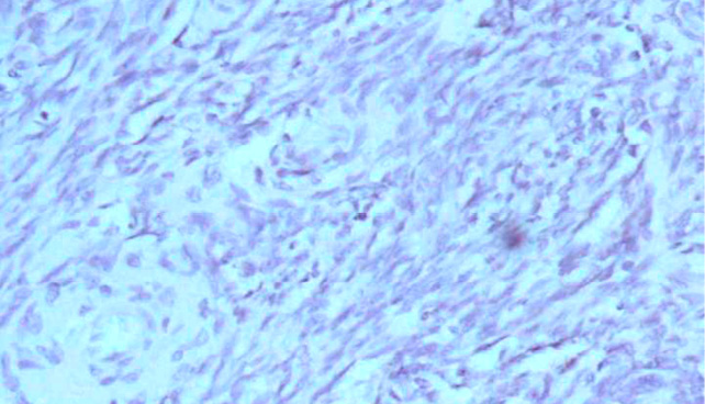
Иммунные клетки присутствуют в образцах нормальной ткани яичников, но на более низком уровне (рис. 6–8).
Рис. 6. Экспрессия антигенов СD4+ клеточной поверхности Т-лимфоцитов в ткани доброкачественной опухоли яичников, ×200.
Рис. 7. Экспрессия антигенов СD8+ клеточной поверхности Т-лимфоцитов в микроокружении ЭРЯ, ×200.
Рис. 8. Экспрессия антигенов СD8+ клеточной поверхности Т-лимфоцитов в доброкачественной ткани яичников, ×200.
Также анализ полученных данных позволил установить, что гиперэкспрессия СD4+ и СD8+ встречается у пациентов с СРЯ low-grade чаще, чем при СРЯ high-grade (табл. 4).
Таблица 4. Значения медианы, верхнего и нижнего квартилей экспрессии рецепторов клеток CD4+ и CD8+ у пациентов с СРЯ low-grade и high-grade Table 4. The median, upper, and lower quartiles of CD4+ and CD8+ cell receptor expression in patients with low-grade and high-grade SOC | ||
Дифференцировка | CD4 | CD8 |
Low-grade | 443,5 (426,5; 455,7) | 440,5 (422,0; 453,0) |
High-grade | 109,0 (91,2; 117,7) | 104,0 (84,5; 112,7) |
Прослеживается тенденция уменьшения количества данных иммунных клеток с распространенностью процесса, и это подтверждается научными исследованиями последних лет. Многие статьи подтверждают, что эффекторные Т-лимфоциты утрачивают способность распознавать опухолевые клетки из-за слабой экспрессии, презентации или мутации опухолевых антигенов. В частности, опухолевые клетки утрачивают экспрессию одного или нескольких типов молекул MHC I класса, необходимых для распознавания опухолевых антигенов CD8+ Т-лимфоцитами. Опухолевые клетки не экспрессируют молекулы CD80+ и CD86+, распознаваемые ко-рецептором CD28+ на поверхности Т-лимфоцитов CD8+. Без сигнала, поступающего с ко-рецептора, во время презентации опухолевого антигена CD8+ Т-лимфоцитам происходит не активация, а полная утрата ими способности как воспринимать, так и реагировать на любые сигналы извне (анергия). Опухолевые клетки продуцируют иммуносупрессорные факторы, которые действуют на подавление активации и дифференцировки эффекторных Т-лимфоцитов, угнетают их созревание и функции антигенпрезентирующих клеток.
Рецепторный фенотип макрофагов в МО СРЯ CD11b и CD14 также экспрессируется в образцах нормальной ткани яичников, но на более низком уровне (рис. 9–12). При сравнении экспрессии CD11b+ и CD14+ при доброкачественной опухоли и при каждой стадии СРЯ достоверность различий по критерию Манна–Уитни значима при p≤0,01.
Рис. 9. Экспрессия антигенов СD14+ клеточной поверхности макрофагов в микроокружении ЭРЯ, ×200.
Рис. 10. Экспрессия антигенов СD14+ клеточной поверхности макрофагов в ткани доброкачественной опухоли яичников, ×200.
Рис. 11. Экспрессия антигенов СD11b+ клеточной поверхности макрофагов в микроокружении ЭРЯ, ×200.
Рис. 12. Экспрессия антигенов СD11b+ клеточной поверхности макрофагов в ткани доброкачественной опухоли яичников, ×200.
Количество макрофагов в сравнении с другими популяциями иммунных клеток было самое максимальное на всех стадиях опухолевого процесса (табл. 5).
Таблица 5. Значения медианы, верхнего и нижнего квартилей экспрессии рецепторов клеток CD11b+ и CD14+ у пациентов с СРЯ на различных клинических стадиях заболевания Table 5. The median, upper, and lower quartiles of CD11b+ and CD14+ cell receptor expression in SOC patients at various clinical stages of the disease | ||
Стадия | CD11b | CD14 |
I | 1115,0 (971,5; 1152,5) | 569,0 (557,0; 575,5) |
II | 772,0 (769,0; 821,0) | 478,0 (475,0; 482,0) |
III | 450,0 (359,0; 505,0) | 349,0 (322,5; 365,5) |
IV | 245,0 (188,5; 279,0) | 254,0 (237,5; 270,5) |
Сравнивая количество CD11b+ и CD14+ клеток на разной гистопатологической степени злокачественности, статистически значимых различий между результатами групп не выявили.
Заключение
Полученные результаты ИГХ-исследования показали, что в составе иммунных клеток МО наибольшее количество клеток на всех стадиях (I–IV) онкологического процесса представлено макрофагами (СD11b+, CD14+), на втором месте по количеству клеток – лимфоциты СD3+, затем СD8+ и СD4+, и самое малое количество – клетки CD16+.
В результате проведения ИГХ-исследования обнаружена разнонаправленная тенденция между популяционным составом опухоль-ассоциированных иммунных клеток МО и стадией СРЯ. С увеличением стадии заболевания количество макрофагов (СD11b+, CD14+) и лимфоцитов (СD3+, CD16+) уменьшалось независимо от степени дифференцировки опухоли. С увеличением стадии опухоли уменьшалось количество популяций СD4+ и СD8+, но в данном случае немаловажную роль играла степень дифференцировки, т.е. чем выше стадия опухоли и ниже степень дифференцировки, тем меньше клеток обнаружено.
Полученные данные позволяют нам судить о том, что клетки опухоли влияют на количественный состав иммунных клеток в МО, блокируют клеточные рецепторы, тем самым уменьшают активность противоопухолевого иммунитета. В этом случае ИГХ-исследование подтверждает данный факт и позволяет нам в дальнейшем исследовать субпопуляции лимфоцитов и макрофагов в МО и находить те звенья иммунитета, которые больше всего «порабощаются» опухолью, с целью подбора более эффективной терапии в отношении СРЯ.
Раскрытие интересов. Автор декларирует отсутствие явных и потенциальных конфликтов интересов, связанных с публикацией настоящей статьи.
Disclosure of interest. The author declares that she has no competing interests.
Вклад авторов. Автор декларирует соответствие своего авторства международным критериям ICMJE.
Author’s contribution. The author declares the compliance of her authorship according to the international ICMJE criteria.
Источник финансирования. Автор заявляет о финансировании проведенного исследования из собственных средств.
Funding source. The author claims that the study was financed from her own resources.
Соответствие принципам этики. Протокол исследования был одобрен локальным этическим комитетом ФГБОУ ВО ТГМУ (выписка из протокола от 17.09.2020 №4 заседания Этического комитета). Одобрение и процедуру проведения протокола получали по принципам Хельсинкской конвенции.
Ethics approval. The study was approved by the local ethics committee of Pacific State Medical Univercity (protocol №4 dated 17.09.2020). The approval and procedure for the protocol were obtained in accordance with the principles of the Helsinki Convention.
Информированное согласие на публикацию. Пациенты подписали форму добровольного информированного согласия на публикацию медицинской информации и фотографий.
Consent for publication. Written consent was obtained from the patient for publication of relevant medical information and all of accompanying images within the manuscript.
About the authors
Varvara N. Zhurman
Primorsky Regional Oncological Dispensary; Pacific State Medical Univercity
Author for correspondence.
Email: varvara2007@yandex.ru
ORCID iD: 0000-0002-6927-3336
Cand. Sci. (Med.), Primorsky Regional Oncological Dispensary, Pacific State Medical Univercity
Russian Federation, VladivostokReferences
- Ефимова О.А., Сафонова М.А. Эпидемиология рака яичников на ранних стадиях. Клиническая и профилактическая медицина. 2018;4:9-18 [Efimova OA, Safonova MA. Epidemiologiia raka iaichnikov na rannikh stadiiakh. Klinicheskaia i profilakticheskaia meditsina. 2018;4:9-18 (in Russian)].
- Давыдова И.Ю., Кузнецов В.В., Карселадзе А.И. Серозные пограничные опухоли яичников (клиническое течение, морфология, лечение). Опухоли женской репродуктивной системы. 2012;3-4:165-8 [Davydova IYu, Kuznetsov VV, Karseladze AI. Serous borderline ovarian tumors (clinical features, morphology, treatment). Tumors of female reproductive system. 2012;3-4:165-8 (in Russian)]. doi: 10.17650/1994-4098-2012-0-3-4-165-168
- Солопова А.Е., Чащин А.А., Солопова А.Г., Макацария А.Д. Современные взгляды на патогенез и возможности диагностики эпителиального рака яичников. Акушерство, Гинекология и Репродукция. 2016;10(1):75-83 [Solopova AE, Chashchin AA, Solopova AG, Makatsariya AD. Current opinions concerning the pathogenesis of epithelial ovarian cancer and new diagnostic approaches to the disease. Obstetrics, Gynecology and Reproduction. 2016;10(1):75-83 (in Russian)]. doi: 10.17749/2313-7347.2015.10.1.075-083
- Солопова А.Е., Чащин А.А., Солопова А.Г., Макацария А.Д. Эпителиальный рак яичников. Клиническая лекция. Акушерство, Гинекология и Репродукция. 2016;10(3):53-65 [Solopova AE, Chashchin AA, Solopova AG, Makatsariya AD. Epithelial ovarian cancer. clinical lecture. Obstetrics, Gynecology and Reproduction. 2016;10(3):53-65 (in Russian)].
- Халикова Л.В. Количественное гистологическое исследование реакции иммунной системы на рак яичников и его прогностическое значение Креативная хирургия и онкология. 2014;4:49-52 [Khalikova LV. Quantitative histological study of the immune response for ovarian cancer and its prognostic significance. Creative Surgery and Oncology. 2014;4:49-52 (in Russian)]. doi: 10.24060/2076-3093-2014-0-4-49-52
- Roma-Rodrigues C, Mendes R, Baptista PV, Fernandes AR. Targeting Tumor Microenvironment for Cancer Therapy. Int J Mol Sci. 2019;20(4):840. doi: 10.3390/ijms20040840
- Hinshaw DC, Shevde LA. The Tumor Microenvironment Innately Modulates Cancer Progression. Cancer Res. 2019;79(18):45574566. doi: 10.1158/0008-5472.CAN-18-3962
- Mhawech-Fauceglia P, Wang D, Ali L, et al. Intraepithelial T cells and tumor-associated macrophages in ovarian cancer patients. Cancer Immun. 2013;13:1.
- Vitale I, Manic G, Coussens LM, et al. Macrophages and Metabolism in the Tumor Microenvironment. Cell Metab. 2019;30(1):36-50. doi: 10.1016/j.cmet.2019.06.001
- Богданова И.М., Болтовская М.Н., Рахмилевич А.Л., Артемьева К.A. Ключевая роль опухоль-ассоциированных макрофагов в прогрессировании и метастазировании опухолей. Иммунология. 2019;40(4):41-7 [Bogdanova IM, Boltovskaya MN, Rakhmilevich AL, Artemyeva KA. Key role of tumor-associated macrophages in the progression and metastasis of tumors. Immunologiya. 2019;40(4):41-7 (in Russian)]. doi: 10.24411/0206-4952-2019-14005
- Zhou K, Cheng T, Zhan J, et al. Targeting tumor-associated macrophages in the tumor microenvironment. Oncol Lett. 2020;20(5):234. doi: 10.3892/ol.2020.12097
- Златник Е.Ю., Неродо Г.А., Арджа А.Ю., и др. Роль иммунологической памяти в формировании противоопухолевого иммунитета у больных раком яичников на этапе неоадъювантного лечения. Вестник РГМУ. 2017;5:63-73 [Zlatnik EY, Nerodo GA, Ardzha AY, et al. The role of immunological memory in establishing antitumor immunity in patients with ovarian cancer undergoing neoadjuvant therapy. Bulletin of RSMU. 2017;5:63-73 (in Russian)]. doi: 10.24075/brsmu.2017-05-06
- Terrén I, Orrantia A, Joana Vitallé J, et al. NK Cell Metabolism and Tumor Microenvironment. Front Immunol. 2019;10:2278. doi: 10.3389/fimmu.2019.02278
- Коцюрбий Е.А., Тихонов Я.Н., Назарова И.В., и др. Практическое использование метода клеточных блоков для диагностики новообразований поджелудочной железы и опухолевых процессов других локализаций. Тихоокеанский медицинский журнал. 2020;4:90-2 [Kotsyrbiy EA, Tychonov YN, Nazarova IV, et al. Practical application of the cell block technique for the diagnostics of the tumors of the pancreas and of other localizations. Pacific Medical Journal. 2020;4:90-2 (in Russian)]. doi: 10.34215/1609-1175-2020-4-90-92
Supplementary files















