Radiation-induced soft tissue sarcoma of the neck after radiation therapy for Hodgkin's lymphoma: a clinical case
- Authors: Ognerubov N.A.1,2, Antipova T.S.3
-
Affiliations:
- Derzhavin Tambov State University
- Tambov Regional Oncological Clinical Dispensary
- PET-Technology
- Issue: Vol 24, No 3 (2022)
- Pages: 325-330
- Section: CLINICAL ONCOLOGY
- Submitted: 06.10.2022
- Published: 25.11.2022
- URL: https://modernonco.orscience.ru/1815-1434/article/view/111744
- DOI: https://doi.org/10.26442/18151434.2022.3.201904
- ID: 111744
Cite item
Full Text
Abstract
Background. Radiation-induced malignancies are one of the long-term complications of radiation therapy, which is widely used to treat some tumors. The latency period before a second tumor develops varies from 3 to 60 years. Epithelial tumors and hemoblastoses occur after low-dose radiation therapy and sarcomas after high-dose radiation therapy.
Aim. To present a case of radiation-induced soft tissue angiosarcoma of the neck after the cure of Hodgkin's disease.
Materials and methods. A 41-year-old patient with Hodgkin's nodular lymphoma with the lymphoid predominance of stage IIIA with involvement of the right cervical and clavicular lymph nodes, mediastinum, and abdominal lymph nodes was followed-up. In 2004 the patient underwent four cycles of polychemotherapy per ABVD regimen followed by radiotherapy of the right cervical and clavicular lymph nodes and mediastinum, with a total focal dose of 40 Gy.
Results. Seventeen years after the treatment for Hodgkin's disease, including radiation therapy, the patient presented with painful swelling of the neck soft tissues in the radiation area with the transition to the anterior thoracic wall and an enlarged cervical lymph node. A lymph node dissection was performed. According to the combined positron emission tomography and X-ray computed tomography (PET/CT), histological and immunohistochemical studies, epithelioid angiosarcoma of soft tissues of the neck and thoracic wall stage IV cT2N1M1G3 with metastases to the skeleton bones, neck lymph nodes, left adrenal gland was established. Surgical treatment was not performed due to advanced disease. The patient received six cycles of polychemotherapy with doxorubicin + ifosfamide. PET/CT confirmed partial tumor regression.
Conclusion. Radiation-induced soft tissue sarcoma is a late iatrogenic complication of radiation therapy for Hodgkin's lymphoma. The tumor occurred in the radiation area. PET/CT is the method of choice in diagnosing and evaluating the extent of cancer and response to treatment. Chemotherapy, as an option for complex treatment, can achieve adequate disease control when surgery is not feasible.
Full Text
Введение
Лучевая терапия среди всех специальных опций при лечении злокачественных новообразований занимает более 50% [1, 2]. Она применяется в различных дозах и режимах как в самостоятельном варианте при лечении первичной опухоли и зон регионарного лимфооттока, так и в адъювантном режиме. Наряду с этим современные достижения в мультимодальной терапии злокачественных новообразований позволили существенно увеличить продолжительность и качество жизни пациентов.
Такая ситуация способствует увеличению риска развития ряда долгосрочных осложнений, включая вторичные опухоли. Известно, что среди всех специальных методов лечения лучевая терапия вносит основной вклад в развитие различных по гистогенезу вторичных радиационно-индуцированных злокачественных новообразований, включая саркому мягких тканей. Они встречаются у менее чем 1% пролеченных больных и до 5% среди всех сарком [3, 4].
В 1948 г. W. Cahan и соавт. описали вторичные саркомы, возникшие у пациентов после лучевой терапии и предложили критерии для постановки диагноза радиационно-индуцированных опухолей. Позднее эти критерии уточнялись. Клинический диагноз ставится на основании следующих показателей:
- наличие предшествующей лучевой терапии;
- опухоли должны возникать в поле облучения или рядом с ним;
- длительность латентного периода более 4 лет;
- вторичная и первичная опухоли должны иметь различное гистологическое строение [5, 6].
Среди нозологических вариантов вторичных опухолей чаще всего встречаются рак молочной железы, рак легких, щитовидной железы, опухоли желудочно-кишечного и урогенитального тракта [7].
Частота злокачественных новообразований, индуцированных лучевой терапией, различна. Так, A. Berrington de Gonzalez и соавт. (2013 г.) по данным ракового регистра программы США по наблюдению и эпидемиологии показали, что вторичные опухоли, ассоциированные с применением лучевой терапии, выявлены приблизительно у 8% пациентов [8]. В других исследованиях имеются указания на развитие вторичных новообразований у 5–6% пациенток с раком молочной железы и у 11% больных раком эндометрия после лучевой терапии [9].
Известно, что злокачественные и доброкачественные новообразования возникают с повышенной частотой после облучения шеи.
C. Sklar и соавт. (2000 г.) оценили состояние щитовидных желез у 1791 больного лимфомой Ходжкина после проведенного лечения. При этом 79% пациентов получали лучевую терапию на область щитовидной железы, причем средняя доза облучения составила 35 Гр. В процессе динамического наблюдения рак щитовидной железы диагностирован у 20 пациентов. Это в 18 раз выше показателя для населения в целом [10].
K. Sale и соавт. (2004 г.) сообщили о развитии 13 случаев злокачественных опухолей в области головы и шеи после лучевой терапии. При этом наиболее частым гистологическим вариантом стала саркома, а затем плоскоклеточный рак [11].
Аналогичные данные приводят S. Patel и соавт. (1999 г.). Они описали 10 случаев радиационно-индуцированных сарком в области головы и шеи, причем в 4 наблюдениях диагностирована фиброзная гистиоцитома [12].
Лимфома Ходжкина по частоте развития представляет собой опухоль с бимодальным возрастным распределением, возникающую у молодых людей в возрасте от 20 до 30 лет и в позднем периоде от 60 до 70 лет. Это заболевание лечится химио- и лучевой терапией. На сегодняшний день показатели излечения лимфомы Ходжкина превышают 80%. В связи с этим растет риск развития долгосрочных осложнений, таких как вторичные радиационно-индуцированные злокачественные опухоли. Среди них 1-е место занимают рак легкого и рак молочной железы, а рак щитовидной железы наблюдается у пациентов старше 30 лет [13].
Многие исследования показали, что частота вторичных злокачественных новообразований у излеченных после лимфомы Ходжкина пациентов более значительна, чем в общей популяции [13].
Кроме того, в литературе имеется мнение, что пациенты с лимфомой Ходжкина, выжившие после второй злокачественной опухоли, также могут подвергаться повышенному риску развития последующих новообразований, частота которых увеличивается в 5,4 раза. При этом кумулятивная заболеваемость повторными опухолями составляет 13,3% [14].
Длительность латентного периода с момента окончания лечения по поводу лимфомы Ходжкина до клинического дебюта второй опухоли колеблется от 3 лет до 31 года [15, 16]. Так, L. Šalaševičius и соавт. (2020 г.) описали раннюю радиационно-индуцированную опухоль у 13-летней девочки с лимфомой Ходжкина, которая развилась в течение 3 лет от первоначального диагноза на фоне лечения, включая ниволумаб. Пациентке изначально проведено 6 циклов полихимиотерапии с полным метаболическим ответом и остаточной опухолью в средостении размером 6,2×8,6 см, в связи с чем проведена лучевая терапия на средостение в суммарной очаговой дозе (СОД) 30 Гр. Через 19 мес после начала лечения диагностирован рецидив, по поводу чего проводились химиотерапия и иммунотерапия ниволумабом, без эффекта. При гистологическом исследовании выявлена недифференцированная саркома шеи, трахеи, пищевода, носо- и ротоглотки. Иммуногистохимическое исследование исключило классическую лимфому Ходжкина [16].
Вклад различных методов лучевой терапии в развитие вторых опухолей является спорным. Так, интенсивно модулированная лучевая терапия связана с увеличением риска второго рака относительно 3D-конформной лучевой терапии [17].
По мнению некоторых авторов, применение меньших полей облучения и снижение СОД при проведении лучевой терапии, безусловно, может снизить частоту возникновения вторичных опухолей у больных лимфомой Ходжкина [18, 19].
Так, D. Hodgson и соавт. (2007 г.) определили относительный риск развития вторичных опухолей у 37 пациентов с лимфомой Ходжкина, которым проводилась лучевая терапия мантийной зоны методом вовлеченных полей. Авторы показали, что уменьшение полей облучения позволяет снизить риск развития вторых опухолей – рака молочной железы и рака легкого на 63 и 21% соответственно [20].
D. Weber и соавт. (2011 г.) показали возможность снижения радиационно-индуцированных вторичных опухолей с помощью стратегии планирования [21].
Результаты различных методов медицинской визуализации противоречивы, поскольку трудно отличить признаки рецидива от вторичных опухолей. Однако наличие большого размера, быстро растущего и обширного распространения свидетельствует о наличии вторичной опухоли [22].
Радиационно-индуцированные саркомы отличаются высокой агрессивностью клинического течения. На сегодняшний день лечение их остается спорным. При этом применяются все специальные методы лечения – хирургический, химиотерапия и повторное облучение, а также их различные комбинации [23]. Хирургическое лечение со свободными краями остается методом выбора. Однако, учитывая локализацию опухоли, в ряде случаев этого сложно достичь [24]. Опухоли высокой степени злокачественности и размером более 5 см подлежат первичной химиотерапии с последующим решением о возможности хирургического вмешательства по удалению остаточной опухоли [12]. Химиотерапия в качестве основного метода лечения применяется у 43% пациентов, а лучевая терапия – у 41% больных [25].
Ниже нами приведен случай развития радиационно- индуцированной метастатической ангиосаркомы с поражением мягких тканей шеи и грудной стенки с метастазами в кости, надпочечник через 17 лет после окончания лучевой терапии у больной лимфомой Ходжкина.
Клинический случай
Пациентка М., 41 год, с января 2021 г. стала отмечать боли в крупных суставах, деформацию рукоятки грудины, быструю утомляемость. Одновременно появились увеличенный шейный лимфоузел справа и болезненная отечность мягких тканей в области шеи справа с переходом на переднюю поверхность шеи и грудной стенки.
Из анамнеза известно, что в 2004 г. больной проведено лечение по поводу лимфомы Ходжкина с лимфоидным преобладанием, IIIA стадия с поражением шейных и надключичных лимфатических узлов справа, забрюшинных лимфоузлов и средостения. Проведено 4 цикла полихимио- терапии по схеме ABVD с последующей лучевой терапией расширенными полями на шейные и надключичные лимфоузлы справа и средостение, СОД – 40 Гр. После достижения клинико-гематологической ремиссии длительно находилась под динамическим наблюдением.
При объективном исследовании области шеи справа с переходом на переднюю поверхность шеи и грудную стенку, с деформацией рукоятки грудины имеется отечность мягких тканей с участками гиперемии. При пальпации в толще мягких тканей определяется овальное болезненное образование размером 3×4 см без четких границ. Справа выявлены увеличенные передние шейные лимфатические узлы метастатического характера.
С целью уточнения распространенности опухолевого процесса выполнена комбинированная позитронно- эмиссионная и рентгеновская компьютерная томография (ПЭТ/КТ) с 18F-фтордезоксиглюкозой (ФДГ). При этом выявлены единичные шейные с фиксацией радиофармпрепарата (РФП), SUVmax – 2,90 и множественные надключичные лимфоузлы размером 16×29 мм, SUVmax – 7,90. Кроме того, в проекции щитовидной железы справа определяется патологическая ткань неоднородной плотности размером 28×38 мм, распространяющаяся в передневерхнее средостение с литической деструкцией рукоятки грудины и инвазией в мягкие ткани передней грудной стенки общим размером 91×63 мм, с повышенной фиксацией РФП, SUVmax – 9,00 (рис. 1).
Рис. 1. Пациентка Б., 41 год. ПЭТ/КТ с 18F-ФДГ до начала лечения. На MIP ПЭТ, сагиттальных и корональных КТ- и ПЭТ/КТ- проекциях определяются единичные шейные лимфоузлы IIА/В группы справа, с фиксацией РФП SUVmax – 2,90, а также многочисленные надключичные лимфоузлы справа метаболическим размером 16×29 мм SUVmax – 7,90. / Fig. 1. Female patient B., 41 years old. PET/CT with 18F-FDG before the treatment. MIP PET, sagittal and coronal CT, and PET/CT projections show solitary cervical lymph nodes of group IIA/B on the right, with a radiopharmaceutical uptake with SUVmax of 2.90, and multiple supraclavicular lymph nodes on the right with metabolic size of 16×29 mm, SUVmax – 7.90.
В медиальной ножке левого надпочечника имеется образование размером 16×13 мм с фиксацией 18F-ФДГ, SUVmax – 8,78 (рис. 2). Кроме того, выявлены множественные очаги патологической фиксации РФП на фоне литической перестройки костной ткани в грудинных концах ключиц, грудине, крыле левой и правой подвздошных костей, грудных позвонках, головке правой плечевой кости и большом вертеле левой бедренной кости.
Рис. 2. Пациентка Б., 41 год. ПЭТ/КТ с 18F-ФДГ до начала лечения. На аксиальных КТ- и ПЭТ/КТ-проекциях определяется образование медиальной ножки левого надпочечника размером 16×13 мм с фиксацией РФП, SUVmax – 8,78. / Fig. 2. Female patient B., 41 years old. PET/CT with 18F-FDG before the treatment. Axial CT and PET/CT views reveal a mass of the left adrenal gland medial limb of 16×13 mm with a radiopharmaceutical uptake with SUVmax of 8.78.
Для уточнения морфологического строения опухоли выполнена шейная лимфодиссекция справа. При гистологическом исследовании по месту жительства выявлено злокачественное новообразование без уточнения гистогенеза. Препараты пересмотрены в федеральном центре. По результатам гистологического и иммуногистохимического исследования установлено, что опухоль имеет строение эпителиоидной ангиосаркомы G3, ассоциированной с лучевой терапией. С учетом пересмотра и результатов методов медицинской визуализации установлен диагноз: первично- множественное метахронное заболевание. Эпителиоидная ангиосаркома мягких тканей шеи и грудной стенки стадии IV сT2N1M1G3. Метастазы в кости скелета, шейные лимфоузлы и левый надпочечник. Лимфома Ходжкина с лимфоидным преобладанием стадии IIIА с поражением шейно-надключичных лимфоузлов справа, средостения и лимфоузлов брюшной полости. Состояние после химиолучевой терапии в 2004 г. Учитывая локализацию и распространенность опухолевого процесса, проведение хирургического лечения не показано. Назначены полихимио- терапия по схеме доксорубицин + ифосфамид, а также остеомодифицирующие препараты.
Пациентке проведено 6 циклов полихимиотерапии по указанной схеме с последующей оценкой эффекта лечения с помощью ПЭТ/КТ с 18F-ФДГ.
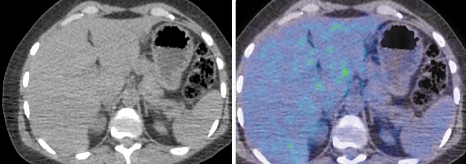
Согласно результатам ПЭТ/КТ, лимфоузлы шеи не увеличены, без повышенной метаболической активности. На уровне щитовидной железы патологически измененной ткани не определяется. Тем не менее в передневерхнем средостении имеется мягкотканый компонент с литической деструкцией рукоятки грудины и инвазией в мягкие ткани передней грудной стенки размером 40×32 мм по сравнению с 23×48 мм в предыдущем исследовании, с повышенной фиксацией РФП, SUVmax – 3,3 (рис. 3, 4). Кроме того, отмечается снижение фиксации РФП во вторичных очагах на фоне литической перестройки костной ткани в грудинных концах ключиц, грудине, крыле левой и правой подвздошной кости, грудных позвонках, головке правой плечевой и левой бедренной кости.
Рис. 3. Пациентка Б., 41 год. ПЭТ/КТ с 18F-ФДГ по окончании 6 циклов полихимиотерапии. На MIP ПЭТ, сагиттальных и корональных КТ- и ПЭТ/КТ-проекциях лимфатические узлы шеи не увеличены, без повышенной метаболической активности. Патологической ткани на уровне щитовидной железы не определяется. / Fig. 3. Female patient B., 41 years old. PET/CT with 18F-FDG at the end of 6 cycles of polychemotherapy. The neck lymph nodes were not enlarged on MIP PET, sagittal and coronal CT, and PET/CT views; no increased metabolic activity was observed. Abnormal tissue at the thyroid gland level was not found.
Рис. 4. Пациентка Б., 41 год. ПЭТ/КТ с 18F-ФДГ по окончании 6 циклов полихимиотерапии. На аксиальных КТ- и ПЭТ/КТ-проекциях образование в области медиальной ножки левого надпочечника не определяется, регрессировало. / Fig. 4. Female patient B., 41 years old. PET/CT with 18F-FDG at the end of 6 cycles of polychemotherapy. Axial CT and PET/CT views showed no mass in the area of the left adrenal gland medial limb; the mass regressed.
В соответствии с критериями RECIST 1.1 указанные изменения расценены как частичная регрессия опухоли.
Приведенный случай свидетельствует о том, что лучевая терапия является основным фактором риска развития радиационно-индуцированных опухолей у излеченных больных с лимфомой Ходжкина. Ангиосаркома, ассоциированная с лучевой терапией в области мягких тканей шеи и передней грудной стенки, относится к весьма редким опухолям. Латентный период возникновения опухоли составил 17 лет. При этом она возникла в зоне облучения расширенными полями, СОД – 40 Гр. При диссеминированном опухолевом процессе полихимиотерапия является основным методом для контроля течения заболевания, в данном случае – на протяжении 8 мес. ПЭТ/КТ с 18F-ФДГ служит методом выбора для диагностики, стадирования и оценки эффекта при радиационно-индуцированных опухолях.
Обсуждение
Вторичные злокачественные новообразования являются ятрогенными, наиболее значимыми долгосрочными последствиями применения лучевой терапии, доля которых среди поздних эффектов составляет 75–80% [26].
A. van Eggermond и соавт. в 2014 г. опубликовали результаты крупнейшего голландского исследования о риске развития множественных злокачественных опухолей по завершении лечения у 3122 больных с лимфомой Ходжкина. Большинство пациентов получали либо лучевую терапию – 30,1%, либо химиолучевое лечение – 59,6%, а 10,2% – только химиотерапию. Медиана наблюдения составила 22,6 года. Во время наблюдения у 26,6% больных развилась вторая, у 4% – третья, а в 0,5% случаев – четвертая опухоль. Медиана интервала между первым и вторым злокачественным новообразованием составила 19,4 года, а между вторым и третьим – 4,3 года. Причем у женщин рак молочной железы стал наиболее частым при второй и третьей локализации – 43,9 и 54,8% соответственно. У мужчин аналогичную ситуацию занимал рак легких – 25,4 и 26,8% соответственно. Авторы показали, что риск развития второго злокачественного новообразования увеличивается в 4,7 раза, а третьего – в 5,4 раза [14].
Предполагается, что риск развития вторичных опухолей увеличивается после применения лучевой терапии, особенно при высоких дозах и расширенными полями, а также выше диафрагмы [27, 28].
Известно, что лучевая терапия средостения в СОД более 30 Гр сопровождается развитием злокачественной опухоли [7].
В приведенном случае пациентке по поводу лимфомы Ходжкина проводилась лучевая терапия на зоны поражения, включая шейно-надключичные лимфатические узлы справа расширенными полями и на остаточную опухоль средостения, СОД – 40 Гр. При обследовании установлено, что опухоль возникала в зоне облучения.
K. Toda и соавт. (2009 г.) указывают, что интервал с момента окончания лучевой терапии до диагностики второй опухоли находится в диапазоне от 8,7 до 22,7 года, при медиане 13,9 года [29]. Другие авторы ссылаются на более короткий период длительности латентного периода – от 10 лет до 17,5 года [14, 29].
В представленном клиническом случае ангиосаркома мягких тканей шеи и передней грудной стенки развилась через 17 лет после окончания лечения с применением лучевой терапии по поводу лимфомы Ходжкина.
Клинические проявления заболевания могут быть затруднены из-за уплотнения и развития фиброза тканей в зоне облучения. Наиболее распространены симптомы, обусловленные локализацией самой опухоли. Это прежде всего асимметрия, отечность мягких тканей, боль, носовые кровотечения и дисфагия при локализации ее в области головы и шеи [30].
В приведенном случае клинический дебют второй опухоли у пациентки заключался в появлении отечности мягких тканей шеи справа с быстрым распространением на переднюю поверхность шеи и переднюю поверхность грудной стенки, болезненности, а также увеличении шейных лимфоузлов.
С диагностической целью применяются различные методы медицинской визуализации. Рентгенологические данные могут иметь неоднозначную трактовку из-за гетерогенного строения опухоли. Порой вторичные радиационно-индуцированные опухоли трудно отличить от первичных спорадических и вторичных поражений [22].
В представленном наблюдении для оценки распространенности опухолевого процесса и эффекта проводимой терапии нами применялась ПЭТ/КТ с 18F-ФДГ. Этот метод позволил уточнить стадию опухолевого процесса с учетом метаболической активности. Выявлены метастазы в кости скелета, левый надпочечник.
Радиационно-индуцированные саркомы считаются высоко агрессивными новообразованиями с неблагоприятным прогнозом. Такой характер опухоли, невозможность повторного облучения и ограничения по применению химиотерапии делают хирургический метод наиболее важным. Однако локализация и анатомические особенности роста сарком часто требуют выполнения обширных хирургических вмешательств, порой сопровождающихся косметическими дефектами и угрожающих жизненно важным структурам. Эти обстоятельства, безусловно, ухудшают качество жизни и сокращают общую ее продолжительность [31], в связи с чем применяют другие специальные опции в различных режимах – полихимиотерапию и повторное облучение [23].
В нашем случае в связи с распространенностью опухолевого процесса выполнение хирургического вмешательства оказалось невозможно. Поэтому проведена полихимиотерапия по схеме доксорубицин + ифосфамид в количестве 6 цик- лов. При этом получена частичная регрессия опухоли, которая подтверждена с помощью ПЭТ/КТ.
W. Zhu и соавт. (2016 г.) описали клинические особенности радиационно-индуцированной саркомы головы и шеи у 338 пациентов. Среди различных гистологических вариантов наиболее распространенной является остеосаркома (34%), затем фибросаркома (19,2%), недифференцированная плеоморфная саркома (15,8%), неуточненная саркома (10,7%), лейомиосаркома (5,6%) и рабдомиосаркома (3,8%). Другие менее распространенные варианты представлены шванномой, хондросаркомой, ангиосаркомой, карциносаркомой, саркомой Капоши и липосаркомой [32].
В нашем наблюдении у пациентки диагностирована радиационно-индуцированная эпителиоидная ангиосаркома высокой степени злокачественности (G3) стадии IV сT2N1M1 с поражением мягких тканей шеи, грудной стенки и лимфоузлов, с метастазами в кости, левый надпочечник.
Согласно данным литературы радиационно-индуцированные опухоли у 43–90% больных развиваются в зоне облучения и вблизи первичного поля лучевой терапии, в пределах 5 см [33].
В представленном случае радиационно-индуцированная опухоль развилась в зоне облучения – шейно-надключичная область справа.
По данным J. Mito и соавт. (2019 г.), из 167 больных с радиационно-индуцированными саркомами ангиосаркомы выявлены в 41% наблюдений, недифференцированная/ неклассифицированная – в 40% случаев, лейомиосаркома – у 8% пациентов, злокачественная шваннома констатирована у 6% больных, а остеосаркома – в 2% случаев. Лечение включало в себя хирургическое вмешательство – 91%, химиотерапию – 44% и лучевое лечение – в 27% наблюдений. При этом 3-летняя общая выживаемость составила 74%. Многомерный анализ показал, что положительные края и глубокая локализация опухоли связаны с худшей общей продолжительностью жизни. Авторы считают, что хирургическое лечение с отрицательным краем, поверхностным расположением опухоли, а также низкая степень ее злокачественности являются основными факторами улучшения общей выживаемости. При этом радикальное хирургическое вмешательство является оптимальной опцией комплексного лечения [25].
Заключение
Радиационно-индуцированные злокачественные опухоли возникают как долгосрочные ятрогенные осложнения по окончании применения лучевой терапии после различного по длительности латентного периода. Врачи общей практики должны помнить о повышенном риске развития повторных злокачественных опухолей у пациентов с лимфомой Ходжкина по окончании лечения, включая радиотерапию. Опухоли, ассоциированные с лучевой терапией, имеют различные гистогенез и клиническую картину, что затрудняет диагностику и оптимальный метод лечения. Методы медицинской визуализации являются основными в диагностике, установлении распространенности опухолевого процесса и оценке эффективности проводимой терапии, а также диспансерном наблюдении. Среди них наиболее значимая роль принадлежит гибридной технологии ПЭТ/КТ с 18F-ФДГ.
На сегодняшний день для лечения радиационно-индуцированных сарком применяют мультимодальный подход с комбинацией хирургического вмешательства, химиотерапии и лучевой терапии. Биологические особенности опухоли ограничивают возможности хирургического метода. Химиотерапия как основная опция используется при диссеминированном опухолевом процессе. Организация долгосрочного диспансерного наблюдения за этим контингентом больных позволит выявить последующие опухоли на ранних стадиях.
Раскрытие интересов. Авторы декларируют отсутствие явных и потенциальных конфликтов интересов, связанных с публикацией настоящей статьи.
Disclosure of interest. The authors declare that they have no competing interests.
Вклад авторов. Авторы декларируют соответствие своего авторства международным критериям ICMJE. Все авторы в равной степени участвовали в подготовке публикации: разработка концепции статьи, получение и анализ фактических данных, написание и редактирование текста статьи, проверка и утверждение текста статьи.
Authors’ contribution. The authors declare the compliance of their authorship according to the international ICMJE criteria. All authors made a substantial contribution to the conception of the work, acquisition, analysis, interpretation of data for the work, drafting and revising the work, final approval of the version to be published and agree to be accountable for all aspects of the work.
Источник финансирования. Авторы декларируют отсутствие внешнего финансирования для проведения исследования и публикации статьи.
Funding source. The authors declare that there is no external funding for the exploration and analysis work.
Информированное согласие на публикацию. Пациент подписал форму добровольного информированного согласия на публикацию медицинской информации.
Consent for publication. Written consent was obtained from the patient for publication of relevant medical information and all of accompanying images within the manuscript.
About the authors
Nikolai A. Ognerubov
Derzhavin Tambov State University; Tambov Regional Oncological Clinical Dispensary
Author for correspondence.
Email: ognerubov_n.a@mail.ru
ORCID iD: 0000-0003-4045-1247
SPIN-code: 3576-3592
D. Sci. (Med.), Cand. Sci. (Law), Prof.
Russian Federation, Tambov; TambovTatiana S. Antipova
PET-Technology
Email: antipovats@gmail.com
ORCID iD: 0000-0003-4165-8397
doctor
Russian Federation, TambovReferences
- Kumar S. Second malignant neoplasms following radio-therapy. Int J Environ Res Public Health. 2012;9(12):4744-59.
- Singh GK, Yadav V, Singh P, Bhowmik KT. Radiation-Induced Malignancies Making Radiotherapy a “Two-Edged Sword”: A Review of Literature. World J Oncol. 2017;8(1):1-6.
- Dineen SP, Roland CL, Feig R, et al. Radiation-associated undifferentiated pleomorphic sarcoma is associated with worse clinical outcomes than sporadic lesions. Ann Surg Oncol. 2015;22:3913-20.
- Kim KS, Chang JH, Choi N, et al. Radiation-induced sarcoma: A 15-year experience in a single large tertiary referral center. Cancer Res Treat. 2016;48:650-7.
- Cahan WG, Woodard HQ, Higinbotham NL, et al. Sarcoma in irradiated bone. Report of eleven cases. Cancer. 1948:3-29. doi: 10.1002/1097-0142(194805)1:1<3::AID-CNCR2820010103>3.0.CO;2-7
- Hall EJ, Wuu CS. Radiation-induced second cancers: the impact of 3D-CRT and IMRT. Int J Radiat Oncol Biol Phys. 2003;56:83-8. doi: 10.1016/S0360-3016(03)00073-7
- Travis LB, Hill DA, Dores GM, et al. Breast cancer following radiotherapy and chemotherapy among young women with Hodgkin disease. JAMA. 2003;290:465-75. doi: 10.1001/jama.290.4.465
- Berrington de Gonzalez A, Gilbert E, Curtis R, et al. Second solid cancers after radiotherapy: a systematic review of the epidemiological studies of the radiation dose-response relationship. Int J Radiat Oncol Biol Phys. 2013;86:1-19. doi: 10.1016/j.ijrobp.2012.09.001
- Yang Q, Mo Y, Zhao Q, et al. Radiation-induced sarcomas of the head and neck in post-radiation nasopharyngeal carcinoma. Radiol Med. 2017;122:53-60. doi: 10.1007/s11547-016-0695-5
- Sklar C, Whitton J, Mertens A, et al. Abnormalities of the Thyroid in Survivors of Hodgkin’s Disease: Data from the Childhood Cancer Survivor Study. J Clin Endocrinol Metab. 2000;85(9):3227032. doi: 10.1210/jcem.85.9.6808
- Sale KA, Wallace DI, Girod DA, Tsue TT. Radiation-induced malignancy of the head and neck. Otolaryngol Head Neck Surg. 2004;131:643-5. doi: 10.1016/j.otohns.2004.05.012
- Patel SG, See AC, Williamson PA, et al. Radiation induced sarcoma of the head and neck. Head Neck. 1999;21:346-54. doi: 10.1002/(SICI)1097-0347(199907)21:4<346::AID-HED9>3.0.CO;2-B
- Dores GM, Metayer C, Curtis RE, et al. Second malignant neoplasms among long-term survivors of Hodgkin's disease: a population-based evaluation over 25 years. J Clin Oncol. 2002;20:3484-94. doi: 10.1200/JCO.2002.09.038
- van Eggermond AM, Schaapveld M, Lugtenburg PJ. Risk of multiple primary malignancies following treatment of Hodgkin lymphoma. Blood. 2014;124(3):319-27. doi: 10.1182/blood-2013-10-532184
- O’Brien MM, Donaldson SS, Balise RR, et al. Second malignant neoplasms in survivors of pediatric Hodgkin’s lymphoma treated with low-dose radiation and chemotherapy. J Clin Oncol. 2010;28:1232-9. doi: 10.1200/JCO.2009.24.8062
- Šalaševičius L, Vaitkevičienė GE, Pasaulienė R, et al. Early Radiation-Induced Sarcoma in an Adolescent Treated for Relapsed Hodgkin Lymphoma with Nivolumab. Medicina (Kaunas). 2020;56(4):155. doi: 10.3390/medicina56040155
- Kry SF, Followill D, White RA, et al. Uncertainty of calculated risk estimates for secondary malignancies after radiotherapy. Int J Radiat Oncol Biol Phys. 2007;68:1265-71. doi: 10.1016/j.ijrobp.2007.04.014
- Johansen S, Cozzi L, Olsen DR. A planning comparison of dose patterns in organs at risk and predicted risk for radiation induced malignancy in the contralateral breast following radiation therapy of primary breast using conventional, IMRT and volumetric modulated arc treatment techniques. Acta Oncol. 2009;48:495-503. doi: 10.1080/02841860802657227
- Weber DC, Peguret N, Dipasquale G, et al. Involved-node and involved field volumetric modulated arc vs. fixed beam intensity-modulated radiotherapy for female patients with early-stage supra-diaphragmatic Hodgkin lymphoma: A comparative planning study. Int J Rad Oncol Biol Phys. 2009;75:1578-86.
- Hodgson DC, Koh ES, Tran TH, et al. Individualized estimates of second cancer risks after contemporary radiation therapy for Hodgkin lymphoma. Cancer. 2007;110:2576-86.
- Weber DC, Johanson S, Peguret N, et al. Predicted Risk of Radiation-Induced Cancers After Involved Field and Involved Node Radiotherapy With or Without Intensity Modulation for Early-Stage Hodgkin Lymphoma in Female Patients. Int J Radiat Oncol Biol Phys. 2011;81(2):490-7. doi: 10.1016/j.ijrobp.2010.05.035
- Cai PQ, Wu YP, Li L, et al. CT and MRI of radiation-induced sarcomas of the head and neck following radiotherapy for nasopharyngeal carcinoma. Clin Radiol. 2013;68:683-9. doi: 10.1016/j.crad.2013.01.004
- Wei Z, Xie Y, Xu J, et al. Radiation-induced sarcoma of head and neck: 50 years of experience at a single institution in an endemic area of nasopharyngeal carcinoma in China. Med Oncol. 2012;29:670-6. doi: 10.1007/s12032-011-9828-9
- Coca-Pelaz A, Mäkitie AA, Strojan P, et al. Radiation-Induced Sarcomas of the Head and Neck: A Systematic Review. Adv Ther. 2021;38:90-108. doi: 10.1007/s12325-020-01556-y
- Mito JK, Mitra D, Barysauskas CM, et al. A Comparison of Outcomes and Prognostic Features for Radiation-Associated Angiosarcoma of the Breast and Other Radiation-Associated Sarcomas. Int J Radiat Oncol Biol Phys. 2019;104(2):425-35. doi: 10.1016/j.ijrobp.2019.01.082
- Ng AK, Mauch PM. Late effects of Hodgkin’s disease and its treatment. Cancer J. 2009;15:164-8. doi: 10.1097/PPO.0b013e31819e30d7
- Morton LM. Triple jeopardy for Hodgkin lymphoma survivors? Blood. 2014;124(3):309-10. doi: 10.1182/blood-2014-05-571646
- Schellong G, Riepenhausen M, Creutzig U, et al. Low risk of secondary leukemias after chemotherapy without mechlorethamine in childhood Hodgkin's disease: German-Austrian Pediatric Hodgkin's Disease Group. J Clin Oncol. 1997;15:2247-53.
- Toda K, Shibuya H, Hayashi K, Ayukawa F. Radiation-induced cancer after radiotherapy for non-Hodgkin’s lymphoma of the head and neck: a retrospective study. Radiat Oncol. 2009;4(1):21. doi: 10.1186/1748-717x-4-21
- Debnam JM, Guha-Thakurta N, Mahfouz YM, et al. Radiation-associated head and neck sarcomas: Spectrum of imaging findings. Oral Oncol. 2012;48:155-61. doi: 10.1016/j.oraloncology.2011.08.017
- Rosko AJ, Birkeland AC, Chinn SB, et al. Survival and margin status in head and neck radiation-induced sarcomas and de novo sarcomas. Otolaryngol Head Neck Surg. 2017;157:252-9. doi: 10.1177/0194599817700389
- Zhu W, Hu F, Zhao T, et al. Clinical characteristics of radiation-induced sarcoma of the head and neck: review of 15 cases and 323 cases in the literature. J Oral Maxillofac Surg. 2016;74:283-91. doi: 10.1016/j.joms.2015.07.013
- Xu XG, Bednarz B, Paganetti H. A review of dosimetry studies on external-beam radiation treatment with respect to second cancer induction. Phys Med Biol. 2014;53:1-58. doi: 10.1088/0031-9155/53/13/R01
Supplementary files







