Antitumor response and quality of life: is there a need to sacrifice? Clinical observation: long-term and safe control of the disease using a combination of ribociclib with letrozole. Case report
- 作者: Grechukhina K.S.1, Vorontsova K.A.1, Filonenko D.A.1, Tyutyunnik P.S.1, Shchadrova V.V.1, Zhukova L.G.1
-
隶属关系:
- Loginov Moscow Clinical Scientific Center
- 期: 卷 24, 编号 3 (2022)
- 页面: 373-379
- 栏目: CLINICAL ONCOLOGY
- ##submission.dateSubmitted##: 20.09.2022
- ##submission.datePublished##: 25.11.2022
- URL: https://modernonco.orscience.ru/1815-1434/article/view/110982
- DOI: https://doi.org/10.26442/18151434.2022.3.201895
- ID: 110982
如何引用文章
全文:
详细
Metastatic luminal B HER2-negative breast cancer (HR+/HER2- mBC) occupies a leading place in the global structure of morbidity and mortality among women. The current gold standard of first-line treatment is the combination of CDK4/6 inhibitors with aromatase inhibitors, among which ribociclib with letrozole is distinguished. According to the MONALEESA-2 study, the addition of ribociclib to letrozole significantly increased the median overall survival to 63.9 months, reducing the risk of death by 24%. The safety profile of the combination is manageable, and the development of adverse events led to the interruption of therapy only in 7.5% of cases. A study of the actual clinical practice of CompLEEment-1 also confirmed the safety and effectiveness of the combination. Maintaining and improving the quality of life is one of the main tasks in the treatment of patients with HR+/HER2- mBC. According to the MONALEESA-2 study, the addition of ribociclib significantly affects the maintenance of quality of life and leads to a decrease in the intensity of pain syndrome. The published data allowed us to assign a combination of ribociclib and letrozole 4 points on the ESMO-MCBS scale. The safety of long-term use of the combination in the first line of treatment illustrated by clinical observation. The patient's progression-free survival during therapy was 40 months, which significantly exceeds the data of the MONALEESA-2 and CompLEEment-1 studies. The maximum effect (partial response according to RECIST 1.1 -40%) achieved after 24 weeks and persisted for 24 months. Clinically, the patient noted a decrease in the severity of the pain syndrome after 8 weeks of therapy. Against the background of therapy, it was possible to maintain the quality of life without sacrificing antitumor efficacy.
全文:
Введение
Несмотря на успехи в лечении, рак молочной железы (РМЖ) был и остается лидирующим в структуре заболеваемости и смертности женщин от злокачественных опухолей во всем мире [1].
Люминальный (HR+/HER2-) РМЖ составляет порядка 75% всех случаев [2, 3]. На сегодняшний день «золотым стандартом» лечения распространенных форм HR+/HER2- метастатического РМЖ (мРМЖ) является эндокринотерапия [4, 5]. До наступления новой эры комбинированной эндокринотерапии применялись монотерапия ингибиторами ароматазы (ИА) или препараты, воздействующие на рецепторы эстрогена (селективные модуляторы – SERM, деструкторы – SERD). При проведении большей части клинических исследований новых комбинированных вариантов терапии в качестве «золотого стандарта» для контрольной группы использовалась именно моноэндокринотерапия ИА, медиана выживаемости без прогрессирования (ВБП) в 1-й линии лечения для которой составляла порядка 14–16 мес [6–8].
К сожалению, около 1/2 пациенток с HR+/HER2- мРМЖ обладают признаками первичной или вторичной эндокринорезистентности и потому не отвечают на стандартную эндокринотерапию [9–11]. Комбинированные подходы эндокринотерапии позволили значительно расширить горизонты возможностей для пациенток.
Развитие злокачественной опухоли неизменно сопряжено с атипичной пролиферацией злокачественных клеток. В норме регуляция клеточного цикла осуществляется различными комплексами циклин-зависимых киназ (CDK). В ответ на получение промитогенных сигналов происходит повышение уровня циклина D, который связывается с комплексом CDK4/6 и фосфорилирует белок Rb, позволяя транскрипционным факторам E2F прекратить сдерживание фазы репликации. Эта контрольная точка и запускает переход клетки из фазы деления клетки G1 в синтетическую S, только после этого могут произойти удвоение ДНК и последующая пролиферация [12, 13].
В опухолевых клетках происходят чрезмерная стимуляция клеточного цикла и гиперстимуляция комплекса циклин D – CDK4/6 [14]. Показано, что в клетках HR+/HER2- РМЖ активация CDK4/6 сопряжена с эндокринорезистентностью [15, 16]. Именно благодаря этим данным молекулярной биологии ингибиторы CDK4/6 привлекли внимание ученых в качестве противоопухолевых препаратов.
Рибоциклиб – селективный ингибитор CDK4/6, который получил одобрение FDA для лечения HR+/HER2- мРМЖ. Регистрационным циклом исследований, который открыл рибоциклибу дорогу в клиническую практику лечения HR+/HER2- мРМЖ, стала программа MONALEESA. Препарат продемонстрировал свою эффективность в лечении HR+/HER2- мРМЖ в 1 и во 2-й линии, значительно увеличив общую выживаемость (ОВ) как у пременопаузальных пациенток (MONALEESA-7), так и постменопаузальных (MONALEESA-2, -3) [17–19]. На сегодняшний день роль рибоциклиба активно изучается в лечении злокачественных опухолей других локализаций: NCT03056833, NCT02645149, NCT03114527, NCT02571829, NCT02292550 [20, 21].
MONALEESA-2
Одним из исследований, посвященных изучению роли рибоциклиба в лечении HR+/HER2- мРМЖ, стало MONALEESA-2. В него включались постменопаузальные пациентки с люминальным мРМЖ, которые ранее не получали лечения по поводу распространенного заболевания. Пациентки (n=668) рандомизировались в два рукава в соотношении 1:1 и распределялись либо в контрольную группу – моноэндокринотерапии ИА (летрозол 2,5 мг ежедневно), либо в экспериментальную – летрозол + рибоциклиб (600 мг внутрь ежедневно с 1-го по 21-й день цикла, 1 цикл каждые 4 нед; здесь и далее – 1q4w). Первичной конечной точкой исследования являлась медиана ВБП, вторичными конечными точками – медиана ОВ, частота объективного ответа (ЧОО) и безопасность применения.
Медиана ВБП в исследовании составила 25,3 мес (95% доверительный интервал – ДИ 23,0−30,3) в группе рибоциклиба против 16,0 мес (95% ДИ 13,4−18,2) контрольной группы (рис. 1) [22]. Таким образом, медиана увеличивалась на 9,3 мес, а относительный риск прогрессирования снижался на 43% (отношение рисков – ОР 0,568, 95% ДИ 0,46−0,70) [8].
Рис. 1. Медианы ВБП в исследовании MONALEESA-2 [22]. / Fig. 1. Median progression-free survival (PFS) in the MONALEESA-2 study [22].
ЧОО у пациентов с измеряемыми очагами составила 54,5% (из них полный ответ – ПО – 4,3%, частичный ответ – ЧО – 50,2%) в группе рибоциклиба против 38,8% (ПО – 2,9%, ЧО – 35,9%) в группе терапии ИА. Эффект регистрировался уже при первом контроле – через 8 нед уменьшение суммы наибольших измерений таргетных очагов зарегистрировано у 76% пациенток.
Преимущества по ВБП и ЧОО реализовались и в отношении увеличения ОВ (рис. 2). Представленные в 2021 г. результаты демонстрируют увеличение медианы ОВ в группе рибоциклиба на 12,5 мес: 63,9 мес против 51,4 мес при медиане наблюдения в 80 мес. Относительный риск смерти снижается на 24%: ОР 0,76, 95% ДИ 0,63−0,93; p=0,004 [19]. Примечательно, что с течением времени преимущество в выживаемости при терапии рибоциклибом нарастало: 4-летний анализ показал разницу ОВ в 5,0%, 5-летний – в 8,4%, а 6-летний – 12,2% (живы 44,2% пациенток из экспериментальной группы и 32% в контрольной).
Рис. 2. Медианы ОВ в исследовании MONALEESA-2 [19]. / Fig. 2. Median overall survival (OS) in the MONALEESA-2 study [19].
Подгрупповой анализ как ВБП (рис. 3, а), так и ОВ (рис. 3, b) [19, 23] продемонстрировал уверенное преимущество в группе комбинированной эндокринотерапии у всех пациенток, в том числе при наличии висцеральных метастазов (что является крайне неблагоприятным прогностическим фактором). Также отмечено и преимущество у пациенток с таким неблагоприятным прогностическим фактором, как наличие мутации в гене PIK3CA [8].
Рис. 3. Фрагменты forest-plot подгруппового анализа ВБП (a) и ОВ (b) в исследовании MONALEESA-2 [19, 23]. / Fig. 3. Fragments of forest-plot subgroup analysis of PFS (a) and OS (b) in the MONALEESA-2 study [19, 23].
С точки зрения качества жизни и суррогатного маркера высокой опухолевой нагрузки (т.е. висцерального криза) оценивали также медиану времени до назначения первой химиотерапии. Она составила 50,6 мес в группе рибоциклиба и 38,9 мес в группе летрозола (ОР 0,74, 95% ДИ 0,61−0,91).
Профиль нежелательных явлений (НЯ) в MONALEESA-2 на сегодняшний день выглядит ожидаемо. НЯ любой степени развивались у 98,5% пациентов, а частота 3–4-й степени составила 81%. Наиболее часто встречались нейтропения 74,3% (3–4-я степень – 59,6%), лейкопения 32,9% (3–4-я степень – 21%), повышение аланинаминотрансферазы 15,6% (3–4-я степень – 9,3%), повышение аспартатаминотрансферазы 15% (3–4-я степень – 5,7%), удлинение интервала QTcF суммарно у 3,3%. Фебрильная нейтропения отмечена у 1,5% пациентов [24].
Важно отметить, что удлинение интервала QTcF у всех пациенток протекало бессимптомно и ни у одной пациентки не развилось жизнеугрожающих нарушений ритма torsade de pointes.
Обновленный анализ безопасности не выявил отсроченных НЯ или увеличения количества ранее заявленных. Большинство НЯ возникало в первый год наблюдения за пациентками [19].
Редукция дозы в связи с НЯ потребовалась 57,5% пациенток, в основном из-за нейтропении (24,9%). Медиана времени до первой редукции дозы рибоциклиба составила 2,9 мес. Отмечено, что обоснованное снижение дозы никак не влияет на эффективность терапии: медиана ОВ в подгруппе «редуцированных доз» составила 25,3 мес и 27,7 мес в «полнодозовой группе» [25]. Также, несмотря на высокую частоту НЯ, только 7,5% пациенток оказались вынуждены завершить терапию из-за НЯ (на момент обновленного анализа всего завершили терапию 91% пациенток).
COMPLEEMENT-1
Наиболее масштабным исследованием в классе ингибиторов CDK4/6 стало исследование CompLEEment-1. Это исследование можно трактовать как наиболее приближенное к реальной клинической практике, поскольку в него включалась расширенная популяция пациенток с HR+/HER2- мРМЖ. Рандомизированные клинические исследования, как правило, включают в себя достаточно ограниченную выборку пациентов: с сохранным соматическим статусом и отсутствием метастатического поражения головного мозга [26, 27].
В исследование включались пациентки с любым менструальным статусом, которые ранее не получали эндокринотерапию по поводу HR+/HER2- мРМЖ (при этом допускалась одна линия химиотерапии) [28]. Всего в рамках исследования лечение получили 3246 пациентов (39 из них – мужчины) в стандартном одобренном режиме комбинации рибоциклиба с летрозолом (при необходимости добавлялась овариальная супрессия агонистами гонадотропин-релизинг-гормона). Дизайн исследования подразумевал 2 фазы: основную (от первого визита/пациента до 18 мес после последнего визита/пациента) и расширенную (follow-on до последнего пациента/визита).
Первичной конечной точкой исследования стало изучение безопасности и переносимости лечения. Оценивалась также частота НЯ специального интереса (НЯСИ): нейтропения, удлинение интервала QTcF, гепатобилиарная токсичность. Вторичными конечными точками стали изучение ЧОО, ВБП. Также оценивалось качество жизни согласно опроснику FACT-B.
При медиане наблюдения 25,4 мес медиана ВБП составила 27,1 мес (95% ДИ 25,7−НД), а вероятность отсутствия признаков прогрессирования болезни на момент 24 мес составила 54,7% (95% ДИ 52,5−56,8); рис. 4. Полученные результаты оказались сопоставимы с результатами MONALEESA-2 (25,3 мес) и MONALEESA-7 (23,8 мес) [8, 29].
Рис. 4. Кривая Каплана–Мейера в отношении ВБП по локальной оценке исследователей [28]. / Fig. 4. Kaplan–Meier curve for PFS locally estimated by researchers [28].
ЧОО составила 43,6% (из них 40,9% – ЧО, 2,7% – ПО) для пациенток с измеряемой болезнью, что несколько меньше, чем в исследованиях MONALEESA-2 (52,7%) и MONALEESA-7 (51%). Это объясняется расширенной популяцией пациенток, включающей и предлеченных химиотерапией, и имеющих большее количество метастатически пораженных органов [8, 29, 30].
Профиль НЯ не отличался от цикла исследований MONALEESA. Всего НЯ, связанные с лечением, зарегистрированы у 95,2% пациентов, из них 3–4-й степени – у 67,5%. Как уже отмечено, в CompLEEment-1 особое внимание уделялось НЯСИ: нейтропения зарегистрирована в 74,5% (3–4-я степень – 57,2%) случаев, повышение аланинаминотрансферазы – в 16,2% (3–4-я степень – 7,7%), повышение аспартатаминотрансферазы – в 14,1% (3–4-я степень – 5,7%), удлинение QTcF – в 6,7% (3–4-я степень – 1,0%) случаев.
Медиана времени до развития нейтропении 3–4-й степени составила 17,1 нед. Как правило, после 8 нед терапии вероятность развития этого НЯ резко снижается. Только у 1,1% пациентов развилась фебрильная нейтропения. В структуре пациенток, которым потребовалась приостановка лечения или редукция дозы, нейтропения как причина этого занимала лидирующие позиции: 52,9 и 18,4% соответственно.
Большинство пациенток, у которых развилось удлинение интервала QTcF, требовали только активного мониторирования и не приостанавливали терапию, а потому продолжили прием рибоциклиба в дозе 600 мг [31]. Среди всех пациенток, которые прервали терапию из-за любого НЯ, удлинение интервала потребовало прерывания терапии и редукции дозы только в 1,2 и 0,6% случаев. Стоит отметить, что на фоне терапии рибоциклибом необходимо избегать назначения препаратов, которые также могут удлинять интервал QTcF (например, амиодарон, кларитромицин, лоратадин и т.д.), а также принимать препарат в утренние часы ввиду особенностей его физиологического удлинения в вечернее время [32, 33]. Также важно отметить, что возраст пациентки не влияет на частоту развития этого НЯ: в подгрупповом анализе MONALEESA-2 не отмечено разницы между возрастными (старше 65 лет) и молодыми пациентками [34].
Примечательно, что с течением времени вероятность развития НЯСИ у пациенток снижалась: у наибольшего числа НЯСИ развивались в течение первого года терапии, значительно снижаясь в течение последующего года и далее.
В качестве отражения результатов рандомизированных исследований мы приводим реальный клинический случай из нашей повседневной практики.
Клинический случай: долгий контроль над болезнью у пациентки с висцеральными метастазами
Пациентка Р. 62 лет – женщина, которая ведет активный образ жизни, занимает административный пост и растит внуков. С жалобами на непрекращающийся в течение 3 мес непродуктивный кашель и боль в пояснице обратилась к терапевту по месту жительства. При дообследовании на компьютерной томографии (КТ) выявлены множественные вторичные образования легких, в связи с чем пациентка направлена к онкологу в Центр. Детальный осмотр пациентки выявил опухоль правой молочной железы, биопсия которой подтвердила злокачественных характер (инвазивный неспецифический РМЖ 2-й степени злокачественности). Иммуногистохимический анализ выявил позитивную экспрессию рецепторов эстрогена и прогестерона (РЭ 8 баллов и РП 8 баллов по Allred), отсутствие экспрессии HER2/neu (0), высокий пролиферативный индекс Ki-67 (60%). Таким образом, суррогатный фенотип опухоли определен как люминальный В, HER2-негативный.
В рамках дообследования для определения распространенности болезни пациентке выполнены КТ и остеосцинтиграфия, которые выявили первичную опухоль молочной железы до 48×32 мм с аксиллярной лимфаденопатией, множественное милиарное поражение легких (не менее 30 очагов, максимальный – до 15 мм), два солитарных метастаза в печени до 35×28 см и компрессионный перелом литически пораженного позвонка ThXII. Сумма наибольших измерений таргетных очагов составила 101 мм. Таким образом, в марте 2018 г. пациентке морфологически верифицирован диагноз: рак правой молочной железы T2N2M1, IV стадия, метастатическое поражение легких, печени, костей. Люминальный В, HER2-негативный подтип. Лабораторные анализы не выявили отклонений, SpO2 при пульсоксиметрии составила 95%. Учитывая возраст и естественную менопаузу более 10 лет, статус пациентки определен как постменопауза.
Для пациентки принципиально важным являлось сохранить привычный ей будничный ритм и внешний вид, поддержать качество жизни и, конечно, добиться противоопухолевого эффекта. Всем этим критериям отвечала терапия, назначенная пациентке по решению онкоконсилиума в апреле 2018 г.: рибоциклиб 600 мг/сут с 1-го по 21-й день цикла + летрозол 2,5 мг/сут ежедневно – 1q4w. Также назначена терапия золедроновой кислотой 4 мг (на фоне приема препаратов кальция и витамина D3) 1q4w на протяжении 12 мес с последующим переходом на режим 1q3m.
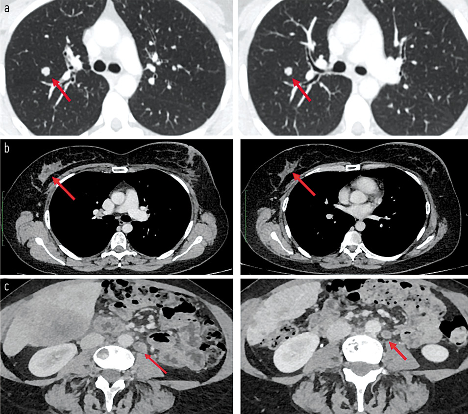
С апреля 2018 г. пациентка начала лечение в запланированном режиме. Первыми эффектами, которые пациентка ощутила субъективно уже через 8 нед, стали уменьшение интенсивности боли в поясничном отделе и снижение частоты приступов кашля. Объективные данные (оценка по КТ согласно критериям RECIST1.1) подтвердили уменьшение суммы наибольшего размера таргетных очагов на 10%, что укладывалось в стабилизацию заболевания. Максимальный эффект лечения достигнут через 24 нед – отмечено выраженное уменьшение размеров первичной опухоли и метастатических очагов, что соответствовало ЧО (-40%; рис. 5). Наиболее крупные очаги в легких уменьшились в рамках стабилизации, а более мелкие исчезли вовсе. Клинически пациентку перестали беспокоить боль в пояснице и приступы кашля (SpO2 – 98%).
Рис. 5. КТ-снимки, выполненные до начала лечения и после 30 циклов. Красными стрелками отмечены опухолевые очаги: a – метастаз в легком, b – первичная опухоль в молочной железе, с – метастатический лимфатический узел. / Fig. 5. CT scans before treatment and after 30 cycles. Red arrows indicate tumor foci: a – metastasis in the lung, b – primary tumor in the breast, c – metastatic lymph node.
При контроле клинического анализа крови перед C3D1 (цикл 3, день 1) у пациентки выявлена нейтропения 3-й степени, в связи с чем начало цикла отложено. Нейтропения разрешилась до 2-й степени через 9 дней, C3 начат в дозе 600 мг. Перед С4D1 у пациентки повторно выявлена нейтропения 3-й степени, которая разрешилась через 7 дней, однако, учитывая повторное возникновение НЯ, с начала C4D1 доза рибоциклиба редуцирована на 1 уровень до 400 мг/сут. Других НЯ у пациентки не выявлено, интервал QTcF на протяжении всего времени лечения оставался в пределах нормы. Болевой синдром в области грудины, грудного отдела позвоночника и правого плеча возобновился только через 37 циклов.
Пациентка продолжала терапию до октября 2021 г. (время приема рибоциклиба составило 40 мес, 39 циклов). При контрольном обследовании выявлено прогрессирование в виде появления новых метастатических очагов в костях и пара- аортальных лимфатических узлах. Во время терапии пациентке выполнили генетический анализ PIK3CA, выявлена мутация H1047R. Учитывая полученные данные, пациентке назначена терапия ингибитором PI3K алпелисибом в комбинации с фулвестрантом, которую она продолжает принимать и на момент написания статьи (7 мес).
Качество жизни
Одним из наиболее значимых результатов терапии HR+/HER2- мРМЖ остается не только увеличение продолжительности жизни, но и сохранение ее качества [35]. Важно отметить, что оптимальный терапевтический эффект может рассматриваться только как клинический ответ в отсутствие ухудшения качества жизни, о чем регулярно напоминают нам рекомендации зарубежных онкологических сообществ (ESMO, NCCN) [5, 11]. Качество жизни пациента тесно связано с эффективностью и переносимостью препарата, а также с приверженностью лечению [36]. Например, НЯ химиотерапии могут быть достаточно серьезными и субъективно неприятными и приводить к значительному снижению качества жизни [37].
Взаимосвязь между качеством жизни и ВБП в рандомизированных клинических исследованиях не всегда хорошо изучена [38]. Однако в 2021 г. P. Fasching и соавт. опубликовали данные о том, что улучшение качества жизни по опроснику EORTC QLQ-C30 прямо коррелировало с долей пациентов, у которых отмечена более длительная ОВ [39]. Принимая во внимание положительные результаты исследования эффективности рибоциклиба, важно рассмотреть и качество жизни на фоне терапии [40].
В исследовании MONALEESA-2 изучалось несколько показателей качества жизни: общее качество, время до ухудшения состояния пациенток, а также интенсивность болевого синдрома. Для объективизации данных использовали опросники EORTC QLQ-C30 и EORTC QLQ-BR23, а также BPI-SF [41, 42]. Пациенты заполняли опросники каждые 8 нед в течение первых 18 мес, далее каждые 12 нед до окончания лечения по любой из причин.
Добавление рибоциклиба не ухудшило качество жизни пациенток: среднее изменение качества жизни по оценке EORTC QLQ-C30 от первоначального значения не имело статистически значимых различий между группами (ОР 0,89, 95% ДИ 0,67−1,18); рис. 6, а [43, 44].
Рис. 6: a – изменение количества баллов по опроснику качества жизни EORTC QLQ-C30. Клинически значимое изменение оценено как >5 баллов (отмечено пунктиром); b – изменение интенсивности болевого синдрома при оценке опросника EORTC QLQ-C30. Клинически значимое изменение оценено как >-5 баллов (отмечено пунктиром) [45]. / Fig. 6: a – change in the EORTC QLQ-C30 quality of life questionnaire score. A clinically significant change was rated as >5 points (indicated by dashed lines); b – change in pain intensity assessed by the EORTC QLQ-C30 questionnaire. A clinically significant change was rated as >-5 points (indicated by a dashed line) [45].
При оценке симптомов, которые влияют на качество жизни пациентов, анализировали количество баллов по опроснику EORTC QLQ-C30: слабость (30,9±23,9 против 31,4±24,2), тошнота и рвота (7,3±15,3 против 8,6±17,8), диарея (8,1±16,8 против 7,1±16,4). Наибольшее количество баллов соответствовало наиболее выраженной интенсивности симптома. Полученные данные свидетельствуют о том, что симптомы менее выражены у групп пациентов, получавших рибоциклиб, пусть и не статистически достоверно [45].
Также добавление рибоциклиба не сказалось на ухудшении когнитивных и социальных функций: различия между средними баллами опросника на момент завершения исследования между двумя группами статистически незначимы.
Качество жизни поддерживалось до момента завершения исследования, что может говорить о том, что прогрессирование заболевания играет негативную роль в отношении этого показателя. При подгрупповом анализе отмечено, что время до ухудшения состояния увеличивалось у пациенток, у которых не наступало событие в анализе ВБП (т.е. прогрессирование или смерть) вне зависимости от факта добавления рибоциклиба [43]. Однако принимая во внимание, что медиана ВБП в группе рибоциклиба оказалась гораздо выше, чем в группе летрозола, возможно, что результаты могут быть несколько скомпрометированы.
Крайне важен контроль болевого синдрома. В кросс- секционном исследовании, которое включило в себя 1072 пациентки с мРМЖ, отмечено, что помимо контроля качества жизни контроль болевого синдрома входит в топ-десять самых важных проблем [46]. В исследовании MONALEESA-2 интенсивность болевого синдрома значимо снижалась при приеме рибоциклиба уже через 8 нед терапии (рис. 6, b) [47]. Клинически значимое различие сохранялось вплоть до 15-го цикла приема препарата [43]. Главные исследователи в США и Германии проанализировали американскую и немецкую популяцию пациенток: достигнуто снижение среднего балла интенсивности болевого синдрома на 50% (40% в немецком анализе) в группе рибоциклиба и на 12,5% (20% в немецком анализе) в группе плацебо [47, 48].
Для того чтобы достоверно оценить эффективность комбинации в снижении болевого синдрома, на протяжении всего исследования проведен эксплораторный анализ. Среднее изменение AUC составило -1952 в пользу рибоциклиба (95% ДИ -3826−-79; р=0,0412), что подтверждает данные опросника EORTC QLQ-C30 [43]. При подгрупповом анализе отмечено, что снижение болевого синдрома достигнуто в различных подгруппах пациенток, в том числе при наличии висцеральных метастазов или изолированно костных метастазов (рис. 7).
Рис. 7. Эксплораторный AUC-анализ среднего изменения интенсивности болевого синдрома между двумя группами при оценке EORTC QLQ-C30. Большее отрицательное значение означает большее снижение интенсивности боли [45]. / Fig. 7. Exploratory AUC analysis of the mean change in pain intensity between the two groups assessed by the EORTC QLQ-C30 questionnaire. A greater negative value means a more significant decrease in pain intensity [45].
В исследовании MONALEESA-3 качество жизни также не ухудшалось при добавлении рибоциклиба: среднее изменение от первоначального значения QLQ-C30 статистически не различалось между группами. Время до ухудшения общего самочувствия на 10% в группе рибоциклиба значительно увеличивалось (ОР 0,81, 95% ДИ 0,61−1,1). В различных сферах жизни медиана времени до ухудшения состояния на 10% также увеличивалась при использовании комбинированного подхода в сравнении с фулвестрантом: физического состояния (38,7 мес против 34,9 мес), эмоционального состояния (38,6 мес против 30,4 мес), социального состояния (39,6 против 38,8 мес). Ухудшение болевого синдрома на фоне терапии рибоциклибом также происходило в более поздние сроки, чем на фулвестранте (ОР 0,77, 95% ДИ 0,57−10,05) [49, 50].
В исследовании MONALEESA-7 показатели являлись сходными: время до ухудшения состояния на 10% значительно удлинялось при добавлении рибоциклиба: 35,8 мес против 23,3 мес соответственно (ОР 0,67, 95% ДИ 0,52−0,86). Также отмечено снижение интенсивности болевого синдрома уже через 8 нед терапии [29, 51].
Обсуждение
Комбинация ингибитора CDK4/6 рибоциклиба с летрозолом назначена пациентке в соответствии с отечественными и международными рекомендациями как наиболее предпочтительная опция 1-й линии для HR+/HER2- мРМЖ на основании исследования MONALEESA-2 [4, 5, 11].
В исследование MONALEESA-2 включались пациентки со схожими проявлениями болезни, как и у пациентки Р.: постменопауза, висцеральные метастазы (в том числе в легких и печени), de novo метастатическая болезнь. Подгрупповой анализ как ВБП, так и ОВ выявил преимущество в группе рибоциклиба для всех этих факторов (факторы, относящиеся к пациентке, отмечены * на рис. 3).
ВБП для пациентки составила 40 мес, что значительно превышает медиану ВБП в исследованиях MONALEESA-2 (25,3 мес) и CompLEEment-1 (27,1 мес), даже несмотря на такой негативный прогностический фактор, как наличие мутации в гене PIK3CA. В исследовании MONALEESA-2 эффект в группе пациенток с этой мутацией в опухоли также в пользу рибоциклиба.
Максимальный эффект лечения – ЧО по критериям RECIST 1.1, который достигнут через 24 нед и продолжался на протяжении 24 мес. Примечательно, что первое уменьшение суммы наибольших размеров таргетных очагов зарегистрировано через 8 нед терапии, как и в исследованиях MONALEESA-2 и CompLEEment-1.
В соответствии с исследованиями у пациентки отмечено уменьшение интенсивности болевого синдрома через 8 нед. Контроль над ним сохранялся в течение практически всей длительности лечения. Вероятнее всего, повторное появление боли связано с развивающимся прогрессированием, что подтверждено на следующем контрольном обследовании через 2 мес.
Пожеланием пациентки стало сохранение качества жизни, что оправдалось при назначении терапии. Можно с уверенностью утверждать, что терапия рибоциклибом как минимум не ухудшила качество жизни, а привела к ее улучшению, позволяя контролировать болевой синдром.
Добавление рибоциклиба доказало свою эффективность при удовлетворительной переносимости и приемлемом профиле токсичности как в регистрационном исследовании, так и в исследовании на широкой популяции и в реальной клинической практике. На основании результатов исследований MONALEESA-2 и MONALEESA-3 рибоциклибу присвоены 4 балла (за оба исследования суммарно 8 баллов) по шкале ESMO-MCBS (Magnitude of Clinical Benefit Scale), которая комплексно оценивает препарат с точки зрения ОВ, ВБП, ЧОО, качества жизни и токсичности и позволяет ранжировать лечебную противоопухолевую терапию от 1 до 5 баллов (от меньшего к большему) [52, 53]. На сегодняшний день это наибольшая сумма баллов для препаратов класса ингибиторов CDK4/6: абемациклиб – 7 баллов (MONARCH-2,-3), палбоциклиб также 7 баллов (PALOMA-2,3) [54–57].
Раскрытие интересов. Авторы декларируют отсутствие явных и потенциальных конфликтов интересов, связанных с публикацией настоящей статьи.
Disclosure of interest. The authors declare that they have no competing interests.
Вклад авторов. Авторы декларируют соответствие своего авторства международным критериям ICMJE. Все авторы в равной степени участвовали в подготовке публикации: разработка концепции статьи, получение и анализ фактических данных, написание и редактирование текста статьи, проверка и утверждение текста статьи.
Authors’ contribution. The authors declare the compliance of their authorship according to the international ICMJE criteria. All authors made a substantial contribution to the conception of the work, acquisition, analysis, interpretation of data for the work, drafting and revising the work, final approval of the version to be published and agree to be accountable for all aspects of the work.
Источник финансирования. Авторы декларируют отсутствие внешнего финансирования для проведения исследования и публикации статьи.
Funding source. The authors declare that there is no external funding for the exploration and analysis work.
Информированное согласие на публикацию. Пациент подписал форму добровольного информированного согласия на публикацию медицинской информации.
Consent for publication. Written consent was obtained from the patient for publication of relevant medical information and all of accompanying images within the manuscript.
作者简介
Katerina Grechukhina
Loginov Moscow Clinical Scientific Center
编辑信件的主要联系方式.
Email: dr.grechukhina@gmail.com
ORCID iD: 0000-0002-0616-5477
Department Head
俄罗斯联邦, MoscowKarina Vorontsova
Loginov Moscow Clinical Scientific Center
Email: dr.grechukhina@gmail.com
ORCID iD: 0000-0003-2739-8875
Cand. Sci. (Med.)
俄罗斯联邦, MoscowDaria Filonenko
Loginov Moscow Clinical Scientific Center
Email: dr.grechukhina@gmail.com
ORCID iD: 0000-0002-7224-3111
Cand. Sci. (Med.)
俄罗斯联邦, MoscowPavel Tyutyunnik
Loginov Moscow Clinical Scientific Center
Email: dr.grechukhina@gmail.com
ORCID iD: 0000-0002-6410-7355
Cand. Sci. (Med.)
俄罗斯联邦, MoscowVictoria Shchadrova
Loginov Moscow Clinical Scientific Center
Email: dr.grechukhina@gmail.com
ORCID iD: 0000-0003-3451-0896
radiologist
俄罗斯联邦, MoscowLiudmila Zhukova
Loginov Moscow Clinical Scientific Center
Email: dr.grechukhina@gmail.com
ORCID iD: 0000-0003-4848-6938
D. Sci. (Med.), Corr. Memb. RAS
俄罗斯联邦, Moscow参考
- Bray F, Ferlay J, Soerjomataram I, et al. Global cancer statistics 2018: GLOBOCAN estimates of incidence and mortality worldwide for 36 cancers in 185 countries. CA: Cancer J Clin. 2018;68:394-424. doi: 10.3322/caac.21492
- Gnant M. The role of mammalian target of Rapamycin (mTOR) inhibition in the treatment of advanced breast cancer. Curr Oncol Rep. 2013;15:14-23. doi: 10.1007/s11912-012-0277-1
- Gnant M. Overcoming endocrine resistance in breast cancer: Importance of mTOR inhibition. Expert Rev Anticancer Ther. 2012;12:1579-89. doi: 10.1586/era.12.138
- Тюляндин С.А., Жукова Л.Г., Королева И.А., и др. Практические рекомендации по лекарственному лечению рака молочной железы. Злокачественные Опухоли. 2021;11:119-57 [Tiuliandin SA, Zhukova LG, Koroleva IA, et al. Prakticheskie rekomendatsii po lekarstvennomu lecheniiu raka molochnoi zhelezy. Zlokachestvennye Opukholi. 2021;11:119-57 (in Russian)]. doi: 10.18027/2224-5057-2021-11-3s2-09
- Gennari A, André F, Barrios CH, et al. ESMO Clinical Practice Guideline for the diagnosis, staging and treatment of patients with metastatic breast cancer. Ann Oncol. 2021;32:1475-95. doi: 10.1016/j.annonc.2021.09.019
- Finn RS, Martin M, Rugo HS, et al. Palbociclib and Letrozole in Advanced Breast Cancer. N Engl J Med. 2016;375:1925-36. doi: 10.1056/NEJMOA1607303
- Goetz MP, Toi M, Campone M, et al. MONARCH 3: Abemaciclib as initial therapy for advanced breast cancer. J Clin Oncol. 2017;35:3638-46. doi: 10.1200/JCO.2017.75.6155
- Hortobagyi G, Stemmer S, Burris H, et al. Updated results from MONALEESA-2, a phase III trial of first-line ribociclib plus letrozole versus placebo plus letrozole in hormone receptor-positive, HER2-negative advanced breast cancer. Ann Oncol. 2019;30(11):1842. doi: 10.1093/annonc/mdz215
- Fox EM, Arteaga CL, Miller TW. Abrogating endocrine resistance by targeting ERα and PI3K in breast cancer. Front Oncol. 2012;2:145. doi: 10.3389/FONC.2012.00145
- Osborne CK, Schiff R. Mechanisms of Endocrine Resistance in Breast Cancer. Annu Rev Med. 2011;62:233-47. doi: 10.1146/ANNUREV-MED-070909-182917
- National Comprehensive Cancer Network. NCCN Clinical Practice Guidelines in Oncology (NCCN Guidelines) B-Cell Lymphomas. Version 12022. 2022. Available at: https://www.nccn.org/guidelines/guidelines-detail?category=1&id=1419. Accessed: 29.03.2022.
- Lange CA, Yee D. Killing the second messenger: Targeting loss of cell cycle control in endocrine-resistant breast cancer. Endocr Relat Cancer. 2011;18(4):C19-24. doi: 10.1530/ERC-11-0112
- Caldon CE, Daly RJ, Sutherland RL, Musgrove EA. Cell cycle control in breast cancer cells. J Cell Biochem. 2006;97:261-74. doi: 10.1002/jcb.20690
- Shapiro GI. Cyclin-dependent kinase pathways as targets for cancer treatment. J Clin Oncol. 2006;24:1770-83. doi: 10.1200/JCO.2005.03.7689
- Thangavel C, Dean JL, Ertel A, et al. Therapeutically activating RB: Reestablishing cell cycle control in endocrine therapy-resistant breast cancer. Endocr Relat Cancer. 2011;18:333-45. doi: 10.1530/ERC-10-0262
- Miller TW, Balko JM, Fox EM, et al. ERα-dependent E2F transcription can mediate resistance to estrogen deprivation in human breast cancer. Cancer Discov. 2011;1:338-51. doi: 10.1158/2159-8290.CD-11-0101
- Slamon DJ, Neven P, Chia S, et al. Overall Survival with Ribociclib plus Fulvestrant in Advanced Breast Cancer. New Engl J Med. 2020;382:514-24. doi: 10.1056/nejmoa1911149
- Im S-A, Lu Y-S, Bardia A, et al. Overall Survival with Ribociclib plus Endocrine Therapy in Breast Cancer. New Engl J Med. 2019;381:307-16. doi: 10.1056/NEJMOA1903765
- Hortobagyi GN, Stemmer SM, Burris HA. LBA17 Overall survival (OS) results from the phase III MONALEESA-2 (ML-2) trial of postmenopausal patients (pts) with hormone receptor positive/human epidermal. Ann Oncol. 2021;32:S1283-346.
- Tripathy D, Bardia A, Sellers WR. Ribociclib (LEE011): mechanism of action and clinical impact of this selective cyclin-dependent kinase 4/6 inhibitor in various solid tumors. Clin Cancer Res. 2017;23:3251. doi: 10.1158/1078-0432.CCR-16-3157
- ClinicalTrials.gov n.d. Available at: https://clinicaltrials.gov/ Accessed: 29.03.2022.
- Hortobagyi GN, Stemmer SM, Burris HA, et al. Updated results from MONALEESA-2, a phase III trial of first-line ribociclib plus letrozole versus placebo plus letrozole in hormone receptor-positive, HER2-negative advanced breast cancer. Ann Oncol. 2018;29:1541-7. doi: 10.1093/ANNONC/MDY155
- Hortobagyi GN. Ribociclib for the first-line treatment of advanced hormone receptor-positive breast cancer: a review of subgroup analyses from the MONALEESA-2 trial. Breast Cancer Res. 2018;20(1):123. doi: 10.1186/S13058-018-1050-7
- Hortobagyi GN, Stemmer SM, Burris HA, et al. Ribociclib as First-Line Therapy for HR-Positive, Advanced Breast Cancer. New Engl J Med. 2016;375:1738-48. doi: 10.1056/nejmoa1609709
- Burris HA, Chan A, Bardia A, et al. Safety and impact of dose reductions on efficacy in the randomised MONALEESA-2, -3 and -7 trials in hormone receptor-positive, HER2-negative advanced breast cancer. Br J Cancer. 2021;125:679-86. doi: 10.1038/s41416-021-01415-9
- Aapro MS, Köhne C-H, Cohen HJ, Extermann M. Never too old? Age should not be a barrier to enrollment in cancer clinical trials. Oncologist. 2005;10:198-204. doi: 10.1634/THEONCOLOGIST.10-3-198
- Lin NU, Amiri-Kordestani L, Palmieri D, et al. CNS metastases in breast cancer: Old challenge, new frontiers. Clin Cancer Res. 2013;19:6404-18. doi: 10.1158/1078-0432.CCR-13-0790
- de Laurentiis M, Borstnar S, Campone M, et al. Full population results from the core phase of CompLEEment-1, a phase 3b study of ribociclib plus letrozole as first-line therapy for advanced breast cancer in an expanded population. Breast Cancer Res Treat. 2021;189:689-99. doi: 10.1007/s10549-021-06334-0
- Harbeck N, Franke F, Villanueva-Vazquez R, et al. Health-related quality of life in premenopausal women with hormone-receptor-positive, HER2-negative advanced breast cancer treated with ribociclib plus endocrine therapy: results from a phase III randomized clinical trial (MONALEESA-7). Ther Adv Med Oncol. 2020;12:1758835920943065. doi: 10.1177/1758835920943065
- Im S-A, Lu Y-S, Bardia A, et al. Overall Survival with Ribociclib plus Endocrine Therapy in Breast Cancer. New Engl J Med. 2019;381:307-16. doi: 10.1056/NEJMOA1903765
- Petrelli F, Ghidini A, Pedersini R, et al. Comparative efficacy of palbociclib, ribociclib and abemaciclib for ER+ metastatic breast cancer: an adjusted indirect analysis of randomized controlled trials. Breast Cancer Res Treat. 2019;174:597-604. doi: 10.1007/S10549-019-05133-Y/FIGURES/5
- Extramiana F, Maison-Blanche P, Badilini F, et al. Circadian modulation of QT rate dependence in healthy volunteers: Gender and age differences. J Electrocardiol. 1999;32:33-43. doi: 10.1016/S0022-0736(99)90019-5
- Yap YG, Camm AJ. Drug induced QT prolongation and torsades de pointes. Heart. 2003;89:1363-72. doi: 10.1136/heart.89.11.1363
- Sonke GS, Hart LL, Campone M, et al. Ribociclib with letrozole vs letrozole alone in elderly patients with hormone receptor-positive, HER2-negative breast cancer in the randomized MONALEESA-2 trial. Breast Cancer Res Treat. 2018;167:659-69. doi: 10.1007/s10549-017-4523-y
- Yardley DA. MONALEESA clinical program: A review of ribociclib use in different clinical settings. Future Oncol. 2019;15:2673-86. doi: 10.2217/fon-2019-0130
- Miles D, Minckwitz G, Seidman AD. Combination Versus Sequential Single-Agent Therapy in Metastatic Breast Cancer. Oncologist. 2002;7:13-9. doi: 10.1634/theoncologist.2002-0013
- Montazeri A. Health-related quality of life in breast cancer patients: A bibliographic review of the literature from 1974 to 2007. J Exp Clin Cancer Res. 2008;27(1):32. doi: 10.1186/1756-9966-27-32
- Kovic B, Guyatt G, Brundage M, et al. Association between progression-free survival and health-related quality of life in oncology: a systematic review protocol. BMJ Open. 2016;6:e012909. doi: 10.1136/bmjopen-2016-012909
- Fasching PA, Harbeck N, Jerusalem G, et al. 233P Association of quality of life (QOL) with overall survival (OS) in patients (pts) with HR+/HER2- advanced breast cancer (ABC) treated with ribociclib (RIB) + endocrine therapy (ET) in the MONALEESA-3 (ML-3) and ML-7 trials. Ann Oncol. 2021;32:S460. doi: 10.1016/j.annonc.2021.08.516
- Villacampa G, Paré L, Hernando C, et al. Abstract P4-10-04: Health-related quality of life (HRQoL) in hormone receptor-positive, HER2-negative, luminal B breast cancer patients treated with ribociclib plus letrozole or chemotherapy. Cancer Res. 2022;82:P4-10-04-P4-10–04. doi: 10.1158/1538-7445.sabcs21-p4-10-04
- Aaronson NK, Ahmedzai S, Bergman B, et al. The European organization for research and treatment of cancer QLQ-C30: A quality-of-life instrument for use in international clinical trials in oncology. J Natl Cancer Inst. 1993;85:365-76. doi: 10.1093/jnci/85.5.365
- Sprangers MA, Groenvold M, Arraras JI, et al. The European Organization for Research and Treatment of Cancer breast cancer-specific quality-of-life questionnaire module: First results from a three-country field study. J Clin Oncol. 1996;14:2756-68. doi: 10.1200/JCO.1996.14.10.2756
- Verma S, O’Shaughnessy J, Burris HA, et al. Health-related quality of life of postmenopausal women with hormone receptor–positive, HER2- advanced breast cancer treated with ribociclib + letrozole: Results from MONALEESA-2. J Clin Oncol. 2017;35:133. doi: 10.1200/JCO.2017.35.31_SUPPL.133
- Verma S, O’Shaughnessy J, Burris HA, et al. Health-related quality of life (HRQoL) of postmenopausal women with hormone receptor-positive (HR+), human epidermal growth factor receptor 2-negative (HER2-) advanced breast cancer (ABC) treated with ribociclib + letrozole: Results from MONALEESA-2. J Clin Oncol. 2017;35:1020. doi: 10.1200/jco.2017.35.15_suppl.1020
- Verma S, O’Shaughnessy J, Burris HA, et al. Health-related quality of life of postmenopausal women with hormone receptor-positive, human epidermal growth factor receptor 2-negative advanced breast cancer treated with ribociclib + letrozole: results from MONALEESA-2. Breast Cancer Res Treat. 2018;170:535-45. doi: 10.1007/s10549-018-4769-z
- Hollen PJ, Msaouel P, Gralla RJ. Determining issues of importance for the evaluation of quality of life and patient-reported outcomes in breast cancer: results of a survey of 1072 patients. Breast Cancer Res Treat. 2015;151:679-86. doi: 10.1007/s10549-015-3420-5
- Janni W, Alba E, Bachelot T, et al. First-line ribociclib plus letrozole in postmenopausal women with HR+ , HER2− advanced breast cancer: Tumor response and pain reduction in the phase 3 MONALEESA-2 trial. Breast Cancer Res Treat. 2018;169:469-79. doi: 10.1007/s10549-017-4658-x
- Yardley DA, Hart L, Favret A, et al. Efficacy and Safety of Ribociclib With Letrozole in US Patients Enrolled in the MONALEESA-2 Study. Clin Breast Cancer. 2019;19:268-77.e1. doi: 10.1016/j.clbc.2019.02.007
- Fasching PA, Beck JT, Chan A, et al. Ribociclib plus fulvestrant for advanced breast cancer: Health-related quality-of-life analyses from the MONALEESA-3 study. Breast. 2020;54:148-54. doi: 10.1016/j.breast.2020.09.008
- Pernas S, Villagrasa P, Vivancos A, et al. Patient-reported outcomes (PROs) in advanced breast cancer (ABC) treated with ribociclib + fulvestrant: Results from MONALEESA-3. Ann Oncol. 2018;29:viii90. doi: 10.1093/ANNONC/MDY272.282
- Lu Y-S, Bardia A, Vázquez RV, et al. Updated overall survival (OS) and quality of life (QoL) in premenopausal patients (pts) with advanced breast cancer (ABC) who received ribociclib (RIB) or placebo (PBO) plus goserelin and a nonsteroidal aromatase inhibitor (NSAI) in the MONALEESA-7 (ML-7). Ann Oncol. 2019;30:v106. doi: 10.1093/annonc/mdz242.003
- scorecard 9 1 | ESMO n.d. Available at: https://www.esmo.org/guidelines/esmo-mcbs/esmo-mcbs-scorecards/scorecard-9-1. Accessed: 01.04.2022.
- scorecard 161 1 | ESMO n.d. Available at: https://www.esmo.org/guidelines/esmo-mcbs/esmo-mcbs-scorecards/scorecard-161-1. Accessed: 01.04.2022.
- scorecard 160 1 | ESMO n.d. Available at: https://www.esmo.org/guidelines/esmo-mcbs/esmo-mcbs-scorecards/scorecard-160-1. Accessed: 01.04.2022.
- scorecard 159 1 | ESMO n.d. Available at: https://www.esmo.org/guidelines/esmo-mcbs/esmo-mcbs-scorecards/scorecard-159-1. Accessed: 01.04.2022.
- scorecard 6 1 | ESMO n.d. Available at: https://www.esmo.org/guidelines/esmo-mcbs/esmo-mcbs-scorecards/scorecard-6-1. Accessed: 01.04.2022.
- scorecard 7 1 | ESMO n.d. Available at: https://www.esmo.org/guidelines/esmo-mcbs/esmo-mcbs-scorecards/scorecard-7-1. Accessed: 01.04.2022.
补充文件










