Diagnostic potential of endosonography in primary and secondary esophageal tumors: retrospective study
- Authors: Khalaev Z.V.1, Suleymanov E.A.2, Malikhova O.A.3,4, Tumanyan A.O.3, Krylovetskaia M.A.3, Kontsevaya A.Y.3, Salimova A.A.3, Makarova M.V.3
-
Affiliations:
- Medical Company, AiMed Family Clinic
- National Medical Radiology Research Center
- Blokhin National Medical Research Center of Oncology
- Russian Medical Academy of Continuous Professional Education
- Issue: Vol 24, No 3 (2022)
- Pages: 384-388
- Section: CLINICAL ONCOLOGY
- Submitted: 24.08.2022
- Published: 25.11.2022
- URL: https://modernonco.orscience.ru/1815-1434/article/view/109975
- DOI: https://doi.org/10.26442/18151434.2022.3.201884
- ID: 109975
Cite item
Full Text
Abstract
Aim. To determine the diagnostic value of endosonography in primary and secondary esophageal tumors.
Materials and methods. Between 2018 and 2022, 118 patients with primary and secondary esophageal changes were managed at the Blokhin National Medical Research Center for Oncology. Primary changes imply invasion of the esophagus directly by a tumor, secondary changes mean invasion of the esophageal wall by a tumor from outside, and the transition of a tumor from the stomach to the esophagus.
Results. All patients had esophagogastroduodenoscopy combined with endoscopic ultrasound performed. Besides estimating the tumor invasion depth in the esophageal wall and the possible involvement of other structures at a distance up to 5 cm from the esophagus, the proximal margin of the tumor was examined. According to esophagogastroduodenoscopy and endoscopic ultrasound examination, the difference in the proximal margin was not more than 1.0 cm. The difference in results may be due to the submucosal nature of tumor growth.
Conclusion. Endoscopic ultrasound examination is the most important diagnostic method to determine the proximal margin of the primary and secondary esophageal tumors and evaluate the degree of invasion into the esophageal wall, which is an essential factor for the treatment choice.
Full Text
Введение
Рак пищевода – злокачественная опухоль, исходящая из слизистой оболочки пищевода [1] Основной морфологической формой рака пищевода является плоскоклеточный рак (ороговевающий или неороговевающий) – в 95% случаев, в 5% случаев морфологически определяется аденокарцинома [2]. Рак пищевода характеризуется ранним метастазированием, преимущественно лимфогенным путем. Также метастазирование осуществляется гематогенным и имплантационным путем, что встречается реже. Его распространенность, по данным А.Д. Каприна и соавт., за 2021 г. составила 9,5 больного на 100 тыс. населения. Заболеваемость раком пищевода варьируется в зависимости от региона и популяции. Общая 5-летняя выживаемость колеблется от 15 до 25% во всем мире, и это шестая ведущая причина смерти мужчин от рака. Летальность больных в течение 1 года с момента установления диагноза составила 51,9% [3].
Ведущая роль в диагностике патологических изменений в пищеводе принадлежит эндоскопическому методу, который включает эзофагогастродуоденоскопию (ЭГДС) в сочетании с эндоскопической ультрасонографией (ЭндоУЗИ), который позволяет произвести визуальную оценку опухолевого поражения, получить материал для морфологического и иммуногистохимического исследований, а также оценить глубину опухолевой инвазии и состояние лимфатического коллектора.
Решающее значение в стадировании рака пищевода имеет сочетание компьютерной томографии (КТ), позитронно- эмиссионной томографии (ПЭТ) и ЭндоУЗИ. После исключения отдаленных метастазов с помощью лучевых методов диагностики следующим важным шагом в стадировании является использование ЭндоУЗИ для оценки глубины инвазии опухоли в стенку пищевода и возможного вовлечения других структур на расстоянии до 5 см от пищевода [4].
Чувствительность и специфичность ЭндоУЗИ при определении глубины опухоли составляет от 80 до 90% и более 90% соответственно, с повышенной точностью для местно- распространенного процесса. А вот чувствительность ЭндоУЗИ для определения поражения регионарных лимфатических узлов составляет 84,7%, специфичность – 84,6%, при использовании тонкоигольной аспирации подозрительных узлов показатели увеличиваются до 96,7 и 95,5% соответственно [5].
Однако определение глубины поражения опухолью стенки пищевода с помощью ЭндоУЗИ на ранних стадиях заболевания отличается меньшей точностью и составляет около 60% [6]. Особенно сложно дифференцировать опухоли, которые прорастают в собственную мышечную оболочку (Т2), и опухоли, прорастающие в адвентициальную оболочку (Т3). Различие является критически важным, так как оно определяет, каким пациентам будет проведено хирургическое вмешательство, а кому – выполнены малоинвазивные эндоскопические операции.
В настоящее время не существует инструментального метода исследования, позволяющего с абсолютной достоверностью оценить как степень инвазии опухоли в стенку пищевода, так и количество пораженных регионарных лимфатических узлов. Данные, получаемые в ходе комплексного обследования, взаимодополняемы и лишь в совокупности позволяют определить стадию, максимально приближенную к послеоперационному морфологическому исследованию удаленного препарата.
Материалы и методы
В период с 2018 по 2022 г. в НМИЦ онкологии им. Н.Н. Блохина наблюдались и получали лечение 118 пациентов с первичным и вторичным опухолевым поражением пищевода (инвазия в стенку пищевода опухоли извне, а также переход опухоли желудка на пищевод). Был осуществлен анализ клинического материала пациентов с первичным и вторичным поражением пищевода, получивших лечение согласно клиническим рекомендациям Минздрава России и наблюдавшихся в НМИЦ онкологии им. Н.Н. Блохина. При формировании групп исследования проведен анализ документации пациентов: историй болезни, амбулаторных карт, протоколов операций, протоколов эндоскопических исследований, протоколов гистологических и цитологических исследований, выписных эпикризов 118 пациентов. Все пациенты были разделены на две группы. В 1-ю группу вошли 66 пациентов с морфологически подтвержденным диагнозом рака пищевода, во 2-ю – 52 больных со вторичным поражением пищевода (инвазия в стенку пищевода извне, переход опухоли желудка на пищевод). Всем пациентам проведено комплексное обследование, в ходе которого выполнены ЭГДС, а также ЭндоУЗИ.
Результаты
В 1-й группе были 66 пациентов, из них 22 (33,3%) – женщины и 44 (66,7%) – мужчины. Средний возраст составил 55,5 года. Изучение проксимального края опухоли позволило констатировать, что по данным ЭГДС у 16 (24,3%) был рак среднегрудного отдела пищевода, у 50 (75,8%) – нижнегрудного, а по данным ЭндоУЗИ у 5 (7,6%) был рак верхнегрудного отдела пищевода, у 16 (24,3%) – среднегрудного, у 45 (68,2%) – нижнегрудного (табл. 1).
Таблица 1. Проксимальный край опухоли по результатам ЭГДС и ЭндоУЗИ / Table 1. Proximal tumor margin by esophagogastroduodenoscopy and endoscopic ultrasound | ||
Отдел пищевода | Число пациентов (n=66) | |
проксимальная граница по данным ЭГДС, абс. (%) | проксимальная граница по данным ЭндоУЗИ, абс. (%) | |
Верхнегрудной | – | 5 (7,6) |
Среднегрудной | 16 (24,3) | 16 (24,3) |
Нижнегрудной | 50 (75,8) | 45 (68,2) |
При сопоставлении результатов ЭГДС и ЭндоУЗИ у 56 (84,8%) человек проксимальная граница опухоли совпадала, а у 10 (15,2%) отличалась. Различие между результатами ЭГДС и ЭндоУЗИ может быть обусловлено подслизистым характером роста опухоли. Разница в проксимальной границе составила не более 1,0 см.
Анализ распределения пациентов по степени распространенности первичной опухоли (индекс Т классификации TNM) по данным ЭндоУЗИ демонстрирует преобладание стадии Т3 (45 пациентов) – рак с инвазией субсерозной соединительной ткани, без распространения на висцеральную брюшину (серозу), и Т2 (11 пациентов) – рак с инвазией мышечного слоя. Реже встречалась стадия Т1а (6 пациентов) – рак с инвазией слизистой оболочки, включая ее собственную или мышечную пластинку. Редко (в одинаковой степени) отмечались стадия Т1b3 (2 пациента) – рак с инвазией всей толщи подслизистого слоя (1500 мкм и более) и стадия Т4a (2 пациента) – рак с инвазией висцеральной брюшины (серозы); табл. 2.
Таблица 2. Распределение пациентов по данным ЭндоУЗИ в зависимости от глубины инвазии первичной опухоли (индекс Т классификации TNM) / Table 2. Distribution of patients by the depth of primary tumor invasion according to endoscopic ultrasound pattern (T index of TNM classification) | |||||
Стадия Т по данным ЭндоУЗИ | Т1а | Т1b3 | Т2 | Т3 | Т4a |
Число пациентов, абс. (%) | 6 (9,1) | 2 (3,0) | 11 (16,7) | 38 (57,6) | 9 (13,6) |
Для иллюстрации последнего приводим рис. 1, 2, где представлена эндоскопическая и эндосонографическая картина стадии Т4а.
Рис. 1. Эндоскопическая картина аденокарциномы нижнегрудного отдела пищевода, развившейся на фоне пищевода Барретта. / Fig. 1. Endoscopic image of the lower thoracic esophagus adenocarcinoma occurred in a patient with Barrett's esophagus.
Рис. 2. Эндосонографическая картина опухоли нижнегрудного отдела пищевода. На фото: сканирование из просвета пищевода. Инвазия опухоли на все слои стенки пищевода. / Fig. 2. Endosonographic image of a lower thoracic esophageal tumor. Pictured: a scan from the esophageal lumen. Tumor invasion into all layers of the esophageal wall.
В 9 (13,6%) случаях пациентам в связи с выставленной стадией 4 было отказано в проведении оперативного вмешательства. В схемах химиотерапии назначенной данной группе пациентов были использованы следующие препараты: цисплатин, фторурацил и таксаны.
В 57 (86,4%) случаях было назначено оперативное лечение в различном объеме. Хирургическое лечение в объеме субтотальной резекции пищевода с одномоментной пластикой желудочным стеблем было выполнено 50 (87,7%) пациентам. Проведена предоперационная химиолучевая терапия (ХЛТ) перед хирургическим лечением 47 (82,5%) пациентам. У данной группы пациентов использованы следующие схемы: DCF и mDCF (доцетаксел, цисплатин, фторурацил), FOLFOX (оксалиплатин, кальция фолинат, фторурацил) или ТС (паклитаксел, карбоплатин) курсом 6–8 нед. А также проведена лучевая терапия 18 МЭВ с разовой очаговой дозой 1,8–2 Гр и суммарной очаговой дозой до 41,4–50 Гр. В 4,5% случаев (3 пациента) проведена периоперационная ХЛТ с применением такой схемы, как FLOT (доцетаксел, кальция фолинат, оксалиплатин, фторурацил), при которой 2–3 курса химиотерапии назначались до операции, а 3–4 курса – после нее.
У 20 (40%) пациентов после проведенной ХЛТ отмечается положительная динамика в виде уменьшения размеров опухоли. У 23 (46%) пациентов – стабилизация процесса, проявляющаяся в сохранении границ опухоли на прежнем уровне, а также отсутствие появления новых, ранее не выявленных метастазов. У 7 (14%) пациентов, несмотря на проведенное лечение, отмечается отрицательная динамика, у 5 (10%) – проявившаяся в виде увеличения границ опухоли, а у 2 (4%) – в виде появления новых регионарных метастазов.
У 7 (12,3%) пациентов была выполнена резекция слизистой оболочки с диссекцией в подслизистом слое. У всех пациентов после проведения операции полученный материал был направлен на гистологическое исследование. В 100% случаев край резекции пищевода – R0. Нами осуществлено сравнение стадирования по данным гистологического послеоперационного исследования и ЭндоУЗИ (табл. 3).
Таблица 3. Результаты оценки степени распространенности первичной опухоли (индекс Т классификации TNM) по данным гистологического послеоперационного исследования и ЭндоУЗИ пациентов, которым на I этапе было выполнено хирургическое лечение (n=57) / Table 3. The results of primary tumor extent assessment (T index of TNM classification) according to postoperative histological examination and endoscopic ultrasound in patients who received surgical treatment at the I stage (n=57) | |||||
Стадия Число пациентов | Т1 | Т1а | Т1b3 | Т2 | Т3 |
По данным ЭндоУЗИ | 6 | 2 | 11 | 38 | |
По данным гистологического послеоперационного исследования | 1 | 0 | 0 | 12 | 44 |
При сравнении результатов гистологического исследования и заключения ЭндоУЗИ процент совпадения составил 80,9%, таким образом, правильное стадирование по результатам ЭндоУЗИ выполнено у 46 пациентов.
По данным морфологического заключения в 95,5% (63 пациента) случаев диагноз соответствовал плоскоклеточному раку пищевода, в 4,5% (3 пациента) – аденокарциноме.
Во 2-ю группу включены 52 пациента с вторичным поражением пищевода, включающим инвазию в стенку пищевода опухоли извне, а также переход опухоли желудка на пищевод: 10 (25,7%) женщин и 42 (74,3%) мужчины. Средний возраст составил 58,2 года.
Основной жалобой, предъявляемой пациентами данной группы, являлась дисфагия, выявленная у 43 (85,7%) человек, а также желудочно-кишечное кровотечение – в 9 (6,5%) случаях.
Первая подгруппа включала 22 пациента с инвазией опухоли в стенку пищевода извне с разной степенью глубины поражения: от адвентиции и до слизистой оболочки, прорастая всю глубину слизистой оболочки пищевода.
Пациентам данной подгруппы в ходе обследования выполнено ЭГДС в сочетании с ЭндоУЗИ. По результатам проведенного ЭГДС и ЭндоУЗИ картина инвазии серозной оболочки наблюдалась у 5 (22%) пациентов, серозной и мышечной оболочки – у 13 (59%), всех слоев стенки пищевода – у 4 (18%); табл. 4. Таким образом, на основании изложенных данных показано, что у 81% пациентов были выявлены по результатам ЭндоУЗИ изменения в стенке пищевода при интактной слизистой оболочке по результатам гастроскопии, что в очередной раз подчеркивает важность проведения ультрасонографии.
Таблица 4. Степень инвазии стенки пищевода опухолью извне / Table 4. Invasion of the esophageal wall by an external tumor | |
Степень инвазии опухоли стенки пищевода опухолью извне | Число пациентов (n=22), абс. (%) |
Инвазия серозной оболочки | 5 (22) |
Инвазия серозной и мышечной оболочки | 13 (59) |
Инвазия всех слоев стенки пищевода | 4 (18) |
Всем больным данной группы проведено лечение в различном объеме, которое планировалось в зависимости от степени поражения, обнаруженном при комплексном обследовании. При поражении стенок пищевода T1-T4, без пораженных лимфатических узлов (N0) или с пораженными лимфатическими узлами (N1-3), применялось химиолучевое лечение либо неоадъювантная ХЛТ в сочетании с дальнейшим хирургическим лечением [7].
При поражении стенок пищевода T1-T4, с выявленными отдаленными метастазами (М1), проводились химиолучевое лечение, лучевая терапия, полихимиотерапия, брахитерапия с целью купирования дисфагии, наложение гастростомы или еюностомы, стентирование пищевода [8].
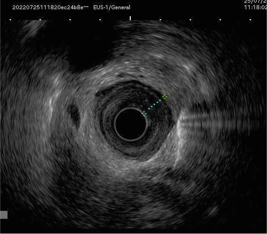
Вторая подгруппа включала 30 больных с распространением рака тела и проксимального отдела желудка на абдоминальный сегмент пищевода. Всем им также были проведены ЭГДС и ЭндоУЗИ. При сопоставлении результатов ЭГДС и ЭндоУЗИ у 25 (76,7%) человек проксимальная граница опухоли совпадала, а у 7 (23,3%) отличалась. Различие данных относительно проксимальной границы опухоли подтверждает большую площадь распространения опухолевого процесса по результатам ЭндоУЗИ и составляет до 1 см. Различие между результатами ЭГДС и ЭндоУЗИ может быть обусловлено подслизистым характером роста опухоли (рис. 3, 4).
Рис. 3. Эндоскопическая картина инфильтративно-язвенной формы рака проксимального отдела желудка с распространением на абдоминальный сегмент пищевода. На фото: проксимальная граница опухоли при осмотре из просвета пищевода. Осмотр в узкоспектральном режиме. / Fig. 3. Endoscopic image of the infiltrative ulcerative form of proximal gastric cancer with involvement of the abdominal segment of the esophagus. Pictured: proximal tumor margin, view from the esophageal lumen. Narrow-spectrum mode examination
Рис. 4. Эндосонографическая картина опухоли проксимального отдела желудка с распространением на абдоминальный сегмент пищевода. На фото: сканирование из просвета пищевода. Инвазия опухоли на все слои стенки пищевода. / Fig. 4. Endosonographic image of a proximal gastric tumor with involvement of the abdominal segment of the esophagus. Pictured: a scan from the esophageal lumen. Tumor invasion into all layers of the esophageal wall.
Всем пациентам проведено хирургическое лечение. В 100% случаев край резекции пищевода – R0. По данным морфологического заключения во всех случаях диагноз соответствовал аденокарциноме.
Как следует из представленных данных, ЭндоУЗИ является важнейшей методикой в определении проксимальной границы первичного и вторичного опухолевого поражения пищевода, определении степени инвазии опухоли для выработки дальнейшей тактики лечения.
Заключение
Своевременная диагностика новообразований пищевода остается одним из самых уязвимых разделов в онкологии. Сочетание эндоскопических и рентгенологических методик в подавляющем большинстве случаев позволяет определить сам факт наличия опухолевого поражения пищевода, а также оценить его протяженность и глубину инвазии. Одним из наиболее ценных методов в диагностике новообразований пищевода является ЭГДС, имеющая сравнительно широкий спектр возможностей, включающий визуальную оценку состояния слизистой оболочки пищевода, получение биопсийного материала для цитологической и гистологической оценки поражения, а также определение протяженности опухоли пищевода. Как правило, данное исследование сочетают с проведением ЭндоУЗИ. Это позволяет расширить возможности диагностики за счет определения глубины опухолевой инвазии, что особенно важно для обоснования осуществления эндоскопической резекции при раннем раке пищевода – эффективного и малотравматичного метода лечения. Также этот сочетанный метод эндоскопического обследования позволяет установить вовлечение соседних структур в опухолевый процесс, что необходимо для разработки адекватной лечебной тактики. В настоящее время в диагностике опухолевого поражения пищевода используется несколько лучевых методов. К рентгенологическим методикам относят КТ, в частности ПЭТ/КТ, а также магнитно-резонансную томографию. КТ за счет своей разрешающей способности позволяет достаточно достоверно судить о локализации, протяженности, размерах опухоли, а также вовлечении в опухолевый процесс соседних структур средостения и регионарном лимфогенном метастазировании. Однако оптимальной стратегией визуализации/стадирования является комплексный подход: сочетание ЭндоУЗИ, КТ грудной клетки и брюшной полости с контрастным усилением и интегрированной ПЭТ/КТ. ЭндоУЗИ является предпочтительным методом оценки первичной опухоли пищевода – Т-компонента. ПЭТ/КТ играет ограниченную роль в оценке критерия T из-за невозможности дифференцировать параметры T1, T2 и T3 и в идентификации неоперабельной инвазии в соседние структуры. Обычное ЭндоУЗИ (7,5 МГц) может дифференцировать распространенные карциномы T3/T4 и T1/T2 более чем в 80% случаев; однако точная дифференциация между инвазией слизистой и подслизистой (SM) затруднена. Помимо размера лимфатических узлов разрешающая способность ЭндоУЗИ позволяет оценить такие характеристики, как форма, структура, четкость контуров, эхогенная плотность, и более четко разграничить корковый и мозговой слой лимфатического узла. Таким образом, повышается информативность исследования по сравнению с другими известными способами определения критерия N. В то же время выявление микрометастазов в лимфатических узлах возможно только при гистологическом исследовании. Важен тот факт, что при выполнении процедуры ЭндоУЗИ пищевода возможно оценить и топировать как лимфатические узлы средостения (нижние, средние, верхние параэзофагеальные, парааортальные, бифуркационные, паратрахеальные), так и лимфоузлы брюшной полости (паракардиальные, зоны чревного ствола, по ходу печеночной, селезеночной, левой желудочной артерий, зоны большой кривизны желудка).
В представленном исследовании на значительном клиническом материале показана высокая эффективность ЭндоУЗИ пищевода и определены ее возможности в уточняющей диагностике первичных и вторичных поражений пищевода.
Раскрытие интересов. Авторы декларируют отсутствие явных и потенциальных конфликтов интересов, связанных с публикацией настоящей статьи.
Disclosure of interest. The authors declare that they have no competing interests.
Вклад авторов. Авторы декларируют соответствие своего авторства международным критериям ICMJE. Все авторы в равной степени участвовали в подготовке публикации: разработка концепции статьи, получение и анализ фактических данных, написание и редактирование текста статьи, проверка и утверждение текста статьи.
Authors’ contribution. The authors declare the compliance of their authorship according to the international ICMJE criteria. All authors made a substantial contribution to the conception of the work, acquisition, analysis, interpretation of data for the work, drafting and revising the work, final approval of the version to be published and agree to be accountable for all aspects of the work.
Источник финансирования. Авторы декларируют отсутствие внешнего финансирования для проведения исследования и публикации статьи.
Funding source. The author declares that there is no external funding for the exploration and analysis work.
Информированное согласие на публикацию. Все пациенты подписали форму добровольного информированного согласия на публикацию медицинской информации.
Consent for publication. Written consent was obtained from the all patients for publication of relevant medical information and all of accompanying images within the manuscript.
About the authors
Zalimkhan V. Khalaev
Medical Company, AiMed Family Clinic
Email: mariyakrilo@gmail.com
ORCID iD: 0000-0003-0688-2879
Department Head
Russian Federation, GroznyElkhan A. Suleymanov
National Medical Radiology Research Center
Email: mariyakrilo@gmail.com
ORCID iD: 0000-0002-5140-0245
D. Sci. (Med.), Prof. RAS
Russian Federation, MoscowOlga A. Malikhova
Blokhin National Medical Research Center of Oncology; Russian Medical Academy of Continuous Professional Education
Email: mariyakrilo@gmail.com
ORCID iD: 0000-0003-0829-7809
D. Sci. (Med.), Prof.
Russian Federation, Moscow; MoscowArmen O. Tumanyan
Blokhin National Medical Research Center of Oncology
Email: mariyakrilo@gmail.com
ORCID iD: 0000-0001-5863-5197
D. Sci. (Med.)
Russian Federation, MoscowMariia A. Krylovetskaia
Blokhin National Medical Research Center of Oncology
Author for correspondence.
Email: mariyakrilo@gmail.com
ORCID iD: 0000-0002-0868-3948
Endoscopist
Russian Federation, MoscowAnna Yu. Kontsevaya
Blokhin National Medical Research Center of Oncology
Email: mariyakrilo@gmail.com
ORCID iD: 0000-0001-5816-9106
Cand. Sci. (Med.)
Russian Federation, MoscowAlina A. Salimova
Blokhin National Medical Research Center of Oncology
Email: mariyakrilo@gmail.com
ORCID iD: 0000-0002-5614-8405
Endoscopist
Russian Federation, MoscowMariia V. Makarova
Blokhin National Medical Research Center of Oncology
Email: mariyakrilo@gmail.com
ORCID iD: 0000-0002-5277-7757
Resident
Russian Federation, MoscowReferences
- Давыдов М.И., Стилиди И.С. Рак пищевода. М.: Издательская группа РОНЦ. Практическая медицина, 2007 [Davydov MI, Stilidi IS. Rak pishchevoda. Moscow: Izdatel'skaia gruppa RONTs. Prakticheskaia meditsina, 2007 (in Russian)].
- Руководство по химиотерапии опухолевых заболеваний. Под ред. Н.И. Переводчиковой, В.А. Горбуновой. М., 2015 [Rukovodstvo po khimioterapii opukholevykh zabolevanii. Pod red. NI Perevodchikovoi, VA Gorbunovoi. Moscow, 2015 (in Russian)].
- Злокачественные новообразования в России в 2021 году (заболеваемость и смертность). Под ред. О.В. Каприна, В.В. Старинского, Г.В. Петровой. М.: МНИОИ им. П.А. Герцена – филиал ФГБУ «НМИРЦ» Минздрава России, 2022 [Zlokachestvennye novoobrazovaniia v Rossii v 2021 godu (zabolevaemost' i smertnost'). Pod red. OV Kaprina, VV Starinskogo, GV Petrovoi. Moscow: MNIOI im. P.A. Gertsena – filial FGBU “NMIRTs” Minzdrava Rossii, 2022 (in Russian)].
- Choi J, Kim SG, Kim JS, et al. Comparison of endoscopic ultrasonography (EUS), positron emission tomography (PET) and computed tomography (CT) in the preoperative locoregional staging of resectable esophageal cancer. Surg Endosc. 2010;24:1380-6. doi: 10.1007/s00464-009-0783-x
- Ishihara R, Goda K, Oyama T. Endoscopic diagnosis and treatment of esophageal adenocarcinoma: introduction of Japan Esophageal Society classification of Barrett's esophagus. J Gastroenterol. 2019;54(1):1-9. doi: 10.1007/s00535-018-1491-x
- May A, Günter E, Roth F, et al. Accuracy of staging in early oesophageal cancer using high resolution endoscopy and high resolution endosonography: a comparative, prospective, and blinded trial. Gut. 2004;53(5):634-40. doi: 10.1136/gut.2003.029421
- Иванов С.М. Химиолучевая терапия рака пищевода. Практическая онкология. 2008;9(1):21-6 [Ivanov SM. Khimioluchevaia terapiia raka pishchevoda. Prakticheskaia onkologiia. 2008;9(1):21-6 (in Russian)].
- Канаев С.В., Щербаков А.М., Тюряева Е.И. Консервативное лечение местнораспространенного и неоперабельного рака пищевода: возможности и перспективы. Вопросы онкологии. 2012;58(2):199-202 [Kanaev SV, Shcherbakov AM, Tiuriaeva EI. Konservativnoe lechenie mestnorasprostranennogo i neoperabel'nogo raka pishchevoda: vozmozhnosti i perspektivy. Voprosy onkologii. 2012;58(2):199-202 (in Russian)].
Supplementary files







