Метастатический рак шейки матки: клинический опыт применения пембролизумаба
- Авторы: Протасова А.Э.1,2,3,4, Страх Л.В.1,4, Ландо Е.И.5, Сидоркина Е.В.4
-
Учреждения:
- ФГБОУ ВО «Санкт-Петербургский государственный университет»
- ФГБОУ ВО «Северо-Западный государственный медицинский университет им. И.И. Мечникова» Минздрава России
- ФГБУ «Национальный медицинский исследовательский центр им. В.А. Алмазова» Минздрава России
- ООО «АВА-ПЕТЕР»
- ФГБОУ ВО «Первый Санкт-Петербургский государственный медицинский университет им. акад. И.П. Павлова» Минздрава России
- Выпуск: Том 23, № 2 (2021)
- Страницы: 340-344
- Раздел: КЛИНИЧЕСКАЯ ОНКОЛОГИЯ
- Статья получена: 13.08.2021
- Статья одобрена: 13.08.2021
- Статья опубликована: 16.08.2021
- URL: https://modernonco.orscience.ru/1815-1434/article/view/77941
- DOI: https://doi.org/10.26442/18151434.2021.2.201009
- ID: 77941
Цитировать
Полный текст
Аннотация
Рак шейки матки (РШМ) занимает четвертое место в структуре онкологической заболеваемости женщин, уступая злокачественным опухолям молочной железы, колоректальному раку и раку легкого. В России наблюдается неуклонный рост показателей заболеваемости инвазивными формами РШМ. За последнюю четверть века смертность больных РШМ репродуктивного возраста выросла в 2 раза. Стандартом лечения прогрессирования опухолевого процесса РШМ признан режим паклитаксел с цисплатином (карбоплатином). Добавление антиангиогенной терапии (бевацизумаб) к стандартному режиму химиотерапии увеличивает общую выживаемость всего на 4%. После проведения терапии комбинацией паклитаксел + карбоплатин + бевацизумаб ответ на другие линии химиотерапии не превышает 10%. Результаты исследования KEYNOTE-158 продемонстрировали объективные ответы у 91% больных РШМ длительностью более 6 мес при использовании пембролизумаба 200 мг каждые 3 нед в случаях экспрессии PD-L1 (CPS≥1) при приемлемой токсичности. Представляемый клинический случай успешного лечения пембролизумабом пациентки с PD-L1-экспрессирующим метастатическим РШМ способствует дальнейшему накоплению опыта и может помочь в выборе правильной тактики лечения с целью повышения эффективности терапии и увеличения показателей выживаемости данной категории пациентов.
Ключевые слова
Полный текст
По данным мировой статистки, рак шейки матки (РШМ) является четвертым наиболее часто диагностируемым типом рака у женщин после злокачественных опухолей молочной железы, колоректального рака и рака легкого. Это также четвертая по частоте причина смерти у женщин от всех злокачественных опухолей. Согласно данным Международного агентства по изучению рака (IARC), в 2020 г. в мире РШМ диагностирован более чем у 600 тыс. женщин и около 340 тыс. умерли от этого заболевания [1]. На долю Южной и Центральной Америки, Африки, Южной и Центральной Азии приходится 85% случаев и 87% смертей от РШМ.
В России наблюдается неуклонный рост показателей заболеваемости инвазивными формами РШМ с ежегодным приростом 2,2% и общим приростом с 2005 г. почти 25% (24,28%). За последнюю четверть века смертность больных РШМ репродуктивного возраста выросла в 2 раза.
Более 90% случаев РШМ ассоциированы с инфицированием вирусом папилломы человека (ВПЧ) высокого онкогенного риска. ВПЧ 16 и 18-го типов ответственны за 71% случаев заболевания РШМ. Известна естественная история течения ВПЧ, при которой вирус элиминируется и не вызывает никаких симптомов. Персистенция ВПЧ, развивающаяся в 5% случаев, повышает риск развития цервикальной интраэпителиальной неоплазии и инвазивного РШМ [2].
Количество впервые выявленных случаев РШМ в России в 2019 г. составило 17 221, из них I–II стадия заболевания установлена в 66,6% случаев, III – в 22,9%, IV – в 9,2%. У каждой третьей пациентки с первично диагностированным РШМ выявляется местно-распространенная или метастатическая форма болезни, при этом стадия является основным прогностическим фактором. Среди пациенток с показателями выживаемости более 5 лет больные I стадией составляют 85%, II – 60%, III – 30%, IV – 10% [3].
Всемирная организация здравоохранения выделяет 3 категории эпителиальных опухолей шейки матки: плоскоклеточные, железистые (аденокарцинома) и другие эпителиальные опухоли, включая аденосквамозную карциному, нейроэндокринные опухоли и недифференцированную карциному. Плоскоклеточные карциномы составляют около 70–80% случаев РШМ, на долю аденокарциномы приходится 20–25% [2].
На ранних стадиях РШМ возможно радикальное хирургическое лечение с или без придатков матки и адъювантное лечение. При желании пациентки сохранить фертильность возможно проведение радикальной трахелэктомии с лимфодиссекцией при IB1 стадии опухолевого процесса и размера опухоли ≤2 см. Местно-распространенные формы РШМ (IB2–IVA) могут быть излечены только химиолучевой терапией в сочетании с брахитерапией [4].
У ряда пациенток наблюдается прогрессирование опухолевого процесса. Именно для таких больных единственной опцией в лечении заболевания является лекарственная терапия, как и для местно-распространенных форм РШМ. Стандартом лечения по результатам исследования GOG-204 признана схема паклитаксел с цисплатином (карбоплатином). Однако ответы опухоли на стандартную химиотерапию (ХТ), как правило, непродолжительные, а общее состояние пациентки в ходе данной терапии ухудшается. В ряде случаев возникают платинорезистентные рецидивы. Добавление антиангиогенной терапии (бевацизумаб) к стандартному режиму ХТ больных с метастатическим РШМ или рецидивом заболевания приводит к увеличению общей выживаемости на 4%, согласно результатам исследования III фазы GOG-240. После проведения ХТ в комбинированном режиме паклитаксел + карбоплатин + бевацизумаб ответ на другие лекарственные комбинации при прогрессировании опухолевого процесса не превышает 10% [5].
Стандарта лечения 2–3-й линий цитостатической терапии нет, что определяет необходимость индивидуализации лечения.
В исследование KEYNOTE-158 были включены 98 пациенток с рецидивирующим или метастатическим РШМ со статусом ECOG 0–1, которые получили пембролизумаб 200 мг внутривенно каждые 3 нед до признаков дальнейшего прогрессирования заболевания или непереносимой токсичности. Экспрессия PD-L1 (CPS≥1) отмечалась у 83% пациенток с диагнозом РШМ, что означает возможность терапии пембролизумабом, согласно показанию к применению данного препарата. Токсичность лечения была приемлемой, нежелательные явления 3–4-й степени регистрировались у 11% пациенток. Частота объективного ответа у пациенток с диагнозом РШМ с экспрессией PD-L1 CPS≥1 составила 14,7%, полный ответ отмечен у 3,7%, частичный – у 11%. Объективные ответы у 91% больных длились более 6 мес. Важно, что эффективность терапии пембролизумабом наблюдалась только у пациенток с позитивным PD-L1-статусом. При отсутствии экспрессии PD-L1 не было выявлено ни одного объективного ответа на терапию. При анализе общей выживаемости в популяции, без учета экспрессии PD-L1, медиана общей выживаемости достигла 9,4 мес [6].
На основании результатов исследования KEYNOTE-158 и KEYNOTE-028, в котором оценивали эффективность пембролизумаба у пациенток с прогрессирующими солидными опухолями и PD-L1-позитивным статусом (включая больных РШМ), в июне 2018 г. Управление по контролю пищевых продуктов и лекарств в США (а с марта 2019 г. и Росздравнадзор) одобрило к использованию пембролизумаб при РШМ с экспрессией PD-L1 [7].
Представляем наш клинический случай лечения пембролизумабом пациентки с PD-L1-экспрессирующим метастатическим РШМ.
Пациентка 42 лет. Считает себя больной с 2007 г., когда впервые появились контактные кровянистые выделения из половых путей, что послужило основанием для обращения к акушеру-гинекологу по месту жительства. По данным осмотра и обследования, биопсии шейки матки и магнитно-резонансной томографии (МРТ) органов малого таза установлен диагноз: РШМ T2bN0M0, IIB стадия. Гистологическое исследование – плоскоклеточный ороговевающий рак. В сентябре 2007 г. проведено комбинированное лечение в объеме неоадъювантной химиолучевой терапии (до суммарной очаговой дозы 20 Гр; РОД=1,8 Гр; в сочетании с капецитабином). Операция Вертгейма лапаротомным доступом (10.09.2007); лучевая терапия в послеоперационном периоде до суммарной очаговой дозы 16 Гр + 22 Гр; РОД=1,8 Гр. Далее пациентка ежегодно наблюдалась по месту жительства, признаков прогрессирования заболевания выявлено не было.
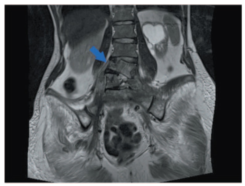
В 2017 г. появились боли в левой нижней конечности, по результатам МРТ выявлены перелом поясничного позвонка, множественные метастазы в парааортальных лимфатических узлах, метастатический инфильтрат с вовлечением левого мочеточника, большой поясничной мышцы, широчайшей мышцы спины слева, позвонки L5, S1 (рис. 1). Проведено 6 циклов ХТ по стандартной схеме: паклитаксел + карбоплатин с добавлением золедроновой кислоты с эффектом стабилизации опухолевого процесса в течение 6 мес.
Рис. 1. Деструкция тел позвонков L4, L5, S1. / Fig. 1. Destruction of the L4, L5, S1 vertebral bodies.
В марте 2018 г. отмечено дальнейшее прогрессирование: увеличение размеров всех ранее выявленных метастатически пораженных лимфатических узлов, появление метастазов в паравертебральных тканях. С марта по август 2018 г. в качестве 2-й линии проводилась монохимиотерапия капецитабином – 6 циклов с эффектом стабилизации опухолевого процесса. У пациентки нарастал гидронефроз слева, в связи с чем была установлена нефростома в мае 2018 г.
Через 2 мес после завершения лечения (в октябре 2018 г.) вновь выявлено прогрессирование заболевания с ростом очагов в лимфатических узлах и мягких тканях. С октября 2018 по февраль 2019 г. проводилась терапия 3-й линии – полихимиотерапия по схеме паклитаксел + карбоплатин + бевацизумаб с добавлением золедроновой кислоты. Проведено 6 циклов, достигнут эффект стабилизации. Длительность эффекта составила 5 мес.
Выраженный лимфостаз нижних конечностей, болевой синдром в поясничной области, продолженный рост очагов, инвазия левого мочеточника, прорастание мышц с формированием инфильтрата вокруг подвздошных сосудов отмечались с июля 2019 г. В период с сентября по ноябрь 2019 г. назначена терапия 4-й линии – монохимиотерапия иринотеканом с добавлением золедроновой кислоты, без эффекта. Прогрессирование заболевания и нарастание симптоматики отмечено уже после 2 циклов ХТ. На фоне лечения иринотеканом у пациентки отмечались выраженная гематологическая токсичность, появление пролежня в нижнемедиальном квадрате правой ягодичной области с гнойным отделяемым, нарастал лимфостаз левой нижней конечности.
В декабре 2019 г. выполнено иммуногистохимическое исследование опухолевой ткани и выявлена экспрессия PD-L1, равная 30%. С января 2020 г. и по настоящее время (апрель 2021 г.) пациентке проводится терапия PD-1-ингибитором пембролизумабом в режиме 200 мг каждые 3 нед. Выполнено 20 введений.
По данным компьютерной томографии (КТ) органов брюшной полости в феврале 2020 г. (после 2 введений пембролизумаба): конгломерат подвздошных лимфоузлов слева с инфильтрацией большой поясничной мышцы, подвздошных сосудов, левого мочеточника, петель тонкого кишечника, с контактной деструкцией тел позвонков L4, 5, S1. Инфильтрация распространяется на мягкие ткани поясничной, крестцовой области, прорастает в позвоночный канал. Подвздошные лимфатические узлы справа размерами до 19×13 мм, слева – до 17×14 мм. Паховые лимфоузлы слева 30×25 мм. Инфильтрат мягких тканей правой седалищной области.
На фоне 2 введений пембролизумаба отмечались значимое улучшение параметров качества жизни пациентки, снижение интенсивности болевого синдрома.
Терапия пембролизумабом была продолжена с регулярным мониторированием общего состояния пациентки, динамики метастатических очагов методом КТ и МРТ, а также процесса заживления пролежня.
После 18 введений пембролизумаба по данным КТ органов брюшной полости отмечаются уменьшение размеров подвздошных лимфатических узлов справа до 11×15 мм (ранее 19×13 мм), слева до 8 мм (ранее – 17×14 мм), уменьшение размеров инфильтрата правой седалищной области до 39×57 мм (ранее 50×61 мм); рис. 2. Таким образом, у пациентки достигнут частичный регресс. При физикальном осмотре пролежень активно эпителизируется со значимым уменьшением в объеме и глубине с минимальным серозным отделяемым (рис. 3).
Рис. 2. МРТ органов малого таза: а – до начала иммунотерапии; б – на фоне 18 введений. / Fig. 2. Magnetic resonance imagining of the pelvis: a – before the beginning of immunotherapy; b – after 18 infusions.
Рис. 3. Динамика течения пролежня: а – февраль 2020 г.; б – июнь 2020 г.; в – сентябрь 2020 г.; г – январь 2021 г. / Fig. 3. The dynamics of the development and course of pressure injuries: a – February 2020; b – June 2020; c – September 2020; d – January 2021.
В настоящее время (апрель 2021 г.) продолжается улучшение общего состояния, пациентка работает, ECOG-0, болевой синдром полностью купирован. В течение всего периода лечения иммуноопосредованных нежелательных явлений не отмечено, иммунотерапия пембролизумабом продолжается.
Представленный клинический случай демонстрирует высокую эффективность пембролизумаба при метастатическом РШМ с экспрессией PD-L1 у пациентки с длительным анамнезом заболевания и недостаточной эффективностью 4 линий ХТ и химиотаргетной терапии. Определение статуса PD-L1 может помочь в выборе лечения, его индивидуализации при прогрессировании РШМ после использования стандартных методов лечения.
Конфликт интересов. Авторы заявляют об отсутствии конфликта интересов.
Conflict of interests. The authors declare no conflict of interest.
Об авторах
Анна Эдуардовна Протасова
ФГБОУ ВО «Санкт-Петербургский государственный университет»; ФГБОУ ВО «Северо-Западный государственный медицинский университет им. И.И. Мечникова» Минздрава России; ФГБУ «Национальный медицинский исследовательский центр им. В.А. Алмазова» Минздрава России; ООО «АВА-ПЕТЕР»
Автор, ответственный за переписку.
Email: protasova1966@yandex.ru
ORCID iD: 0000-0001-7930-8048
д-р мед. наук, проф. каф. онкологии, зав. учебной частью каф. онкологии ФГБОУ ВО СПбГУ, проф. каф. онкологии ФГБОУ ВО «СЗГМУ им. И.И. Мечникова», проф. каф. акушерства и гинекологии ФГБУ «НМИЦ им. В.А. Алмазова», рук. центра онкологии ООО «АВА-ПЕТЕР»
Россия, Санкт-Петербург; Санкт-Петербург; Санкт-Петербург; Санкт-ПетербургЛюбовь Владимировна Страх
ФГБОУ ВО «Санкт-Петербургский государственный университет»; ООО «АВА-ПЕТЕР»
Email: protasova1966@yandex.ru
ORCID iD: 0000-0001-5943-1081
аспирант каф. онкологии ФГБОУ ВО СПбГУ, врач-онколог ООО «АВА-ПЕТЕР»
Россия, Санкт-Петербург; Санкт-ПетербургЕлена Игоревна Ландо
ФГБОУ ВО «Первый Санкт-Петербургский государственный медицинский университет им. акад. И.П. Павлова» Минздрава России
Email: protasova1966@yandex.ru
клин. ординатор каф. онкологии
Россия, Санкт-ПетербургЕлена Викторовна Сидоркина
ООО «АВА-ПЕТЕР»
Email: protasova1966@yandex.ru
врач-терапевт
Россия, Санкт-ПетербургСписок литературы
- International Agency for Research on Cancer (IARC). Available at: https://www.iarc.who.int/. Accessed: 19.01.2021.
- World Health Organization (WHO). Available at: https://www.who.int/. Accessed: 19.01.2021.
- Каприн А.Д., Старинский В.В., Шахзадова А.О. Состояние онкологической помощи населению России в 2019 г. М.: МНИОИ им. П.А. Герцена – филиал ФГБУ «НМИЦ радиологии» Минздрава России, 2020 [Kaprin AD, Starinskii VV, Shakhzadova AO. The state of cancer care for the population of Russia in 2019. Moscow: MNIOI im. PA Gertsena – filial FGBU “NMITs radiologii” Minzdrava Rossii, 2020 (in Russian)].
- Орлова Р.В., Тюкавина Н.В., Глузман М.И., и др. Случай использования ингибитора контрольных точек у больной раком шейки матки в реальной клинической практике. Злокачественные опухоли. 2019;9(2):74-80 [Orlova RV, Tyukavina NV, Gluzman МI, et al. A case report of cervical cancer treated with a checkpoint inhibitor in a real-world clinical setting. Malignant Tumours. 2019;9(2):74-80 (in Russian)]. doi: 10.18027/2224-5057-2019-9-2-74-80
- Tewari KS, Sill MW, Penson RT, et al. Bevacizumab for advanced cervical cancer: final overall survival and adverse event analysis of a randomised, controlled, open-label, phase 3 trial (Gynecologic Oncology Group 240). Lancet. 2017;390(10103):1654-63. doi: 10.1016/S0140-6736(17)31607-0
- Хохлова С.В. Иммунотерапия больных раком шейки матки. Эффективная фармакотерапия. 2019;15(24):20-6 [Khokhlova SV. Immunoterapiia bol’nykh rakom sheiki matki. Effektivnaia farmakoterapiia. 2019;15(24):20-6 (in Russian)]. doi: 10.33978/2307-3586-2019-15-24-20-26
- U.S. Food and Drug Administration: FDA approves pembrolizumab for advanced cervical cancer with disease progression during or after chemotherapy. Available at: www.fda.gov / Drugs / InformationOnDrugs / ApprovedDrugs / ucm610572.htm. Accessed: 14.02.2021.
Дополнительные файлы






