The identification of tumor-infiltrating lymphocytes in patients with stomach cancer
- Authors: Khakimova G.G.1, Bozhchenko Y.A.2, Zabotina T.N.2, Tryakin A.A.2
-
Affiliations:
- Tashkent Pediatric Medical Institute
- Blokhin National Medical Research Center of Oncology
- Issue: Vol 23, No 2 (2021)
- Pages: 307-312
- Section: CLINICAL ONCOLOGY
- Submitted: 12.08.2021
- Accepted: 12.08.2021
- Published: 16.08.2021
- URL: https://modernonco.orscience.ru/1815-1434/article/view/77933
- DOI: https://doi.org/10.26442/18151434.2021.2.200328
- ID: 77933
Cite item
Full Text
Abstract
Background. Stomach cancer (SC) is the 6th most common neoplasm among cancers (1 033 701 cases; 5.7%) and the 3rd most deadly cancer worldwide for men and women (782 685 deaths, 8.2%). SC therapy is a complex treatment associated with surgery, adjuvant chemotherapy, targeted therapy and immunotherapy with checkpoint inhibitors, nowadays. Despite the fact that the SC understanding has significantly increased within recent years, the prognosis still remains poor. In addition, very often the patients with the same stage of SC according to the international TNM classification of malignant tumors have different overall survival. Therefore, in order to improve survival rates, is necessary to understand the mechanisms of disease progression and to find new effective predictive factors. Besides many SC predictive factors, such as clinical and morphological characteristics (Lauren histologic type of tumor, degree of differentiation), biomarkers, deficient mismatch repair (dMMR), we have also revealed the positive correlation between the degree of tumor infiltration of tumor-infiltrating lymphocytes (TILs), especially with the spatial location of cell types (intratumoral or stromal cells), and the survival indicators of the patients with malignant neoplasms, recently. Moreover, TILs are the most significant predictive factors in patient survival rates than the TNM classification. At the same time, TILs predictive role in SC is still not clearly defined. Thus, the understanding of the degree of tumor infiltration of TILs depending on the spatial location would allow to determine the predictive significance, as well as to determine the direction of the immune reactions generating in patients with SC at the tissue level, depending on the risk and probability of progression.
Aim. To study the predictive significance of intratumoral and stromal CD4+TILs, CD8+TILs and CD4+/CD8+TILs in patients with gastric adenocarcinoma.
Materials and methods. From 2017 to 2018, 45 previously untreated patients with gastric adenocarcinoma (25 patients with stages I–III, 20 patients with stage IV) received surgical/combined treatment or independent chemotherapy, respectively, at the Blokhin National Medical Research Center of Oncology. The histological material was carried out before the treatment. Intratumoral (iTILs) and stromal (sTILs) values of CD4+TILs, CD8+TILs, CD4/CD8+TILs and the predictive significance in respect of overall survival and progression-free survival (PFS) were studied.
Results. During the observation period (16.4±6.2 months) CD4+/CD8+iTILs were factors of poor prognosis concerning PFS in patients of the first group (p=0.035; odds ratio – OR 3.264, 95% confidence interval – CI). We also identified the statistically significant decrease in CD4+iTILs, CD8+iTILs, CD4+/CD8+iTILs and the absence of CD4+sTILs, CD8+sTILs, CD4+/CD8+sTILs in patients with metastatic SC (р=0.0003; р=0.000004; р=0.00001).
Conclusion. The results show the positive predictive significance of CD4+sTILs, CD8+sTILs, CD4+/CD8+sTILs. At the same time, the increase of CD4+/CD8+iTILs reduces the PFS in patients with early and locally advanced SC.
Full Text
Введение
В структуре онкологических заболеваний Российской Федерации рак желудка (РЖ) устойчиво занимает лидирующие позиции. Несмотря на снижение заболеваемости РЖ за последние 10 лет, около 17 тыс. россиян ежегодно умирают от этой патологии. За год в РФ диагностируется около 22 тыс. новых случаев РЖ, что составляет 4,6% всех злокачественных опухолей [1]. По данным O. Yazici и соавт., 5-летняя общая выживаемость (ОВ) РЖ в мире в 2016 г. по-прежнему составляет не более 20–30% [2]. В то же время примерно в 50% случаев после адъювантного лечения при местно-распространенных опухолях наблюдается местный/системный рецидив, где 5-летняя ОВ достигается только в 10–15% случаев [3]. При метастатическом процессе с применением паллиативной химиотерапии медиана ОВ составляет 8–10 мес [4]. И хотя «золотым стандартом» лечения РЖ являются радикальные операции, дополненные адъювантной и неоадъювантной, регионарной и внутриполостной химиотерапией, направленной на возможные имплантационные или гематогенные метастазы, результаты все еще довольно скромны. В связи с этим понятно стремление ученых найти ключ к пониманию возможностей регуляции процессов роста и дифференцировки злокачественных клеток [5].
В последнее время возникли попытки исследования биологических свойств опухоли и создания многофакторных систем прогноза РЖ, так как «классические» морфологические критерии прогноза не могут полностью объяснить все разнообразие биологических свойств опухоли и не всегда достаточно правильно предсказывают ее течение [6]. Особый интерес представляет оценка роли иммунной системы в контроле опухолевого роста и, соответственно, в прогнозе заболевания. Для этого необходимо изучение субпопуляций опухоль-инфильтрирующих лимфоцитов (TILs), которые могут являться потенциальными биомаркерами прогноза течения онкологического заболевания и эффективности консервативного лечения.
В 1922 г. W. McCarty [7] предложил рассматривать TILs как проявление противоопухолевой активности иммунной системы. В конце 1990-х гг. в серии работ показано, что инфильтрация опухолей иммунными клетками соответствует прогрессированию опухоли. Позже ряд наблюдений выявил двойственную роль TILs в микроокружении опухоли. Так, TILs могут не только подавлять рост опухоли, ингибируя ее рост, но и способствовать ее росту путем селекции иммунорезистентных клонов или посредством создания в микроокружении благоприятных условий [8]. На морфологическом уровне TILs обнаруживаются в паренхиме опухоли. Оценка их субпопуляционного состава может быть проведена иммунологическим и иммуногистохимическим (ИГХ) методами. Наиболее важное значение придается исследованию субпопуляций зрелых Т-клеток (CD3+), Т-киллеров (CD8+) и Т-хелперов (CD4+).
Корреляцию между TILs и клиническим исходом исследовали при различных злокачественных новообразованиях [9], таких как рак толстой кишки [10], молочной железы [11], меланома [12], рак яичников [13], поджелудочной железы [14] и т.д. Однако прогностическое значение TILs при ряде типов опухоли остается спорным. Известно, что высокая плотность CD8+ T-клеток в строме опухоли ассоциируется с более длительной ОВ, тогда как O. Kawai и соавт. показали, что только увеличение инфильтрации опухолевой ткани стромальными CD8+ T-клетками коррелирует с увеличением выживаемости больных [15]. J. Goc и соавт. сообщили, что уровень CD8+ Т-клеток (интра- и перитуморальных) имеет прогностическую ценность для пациентов с раком легкого [16]. Эти работы свидетельствуют о том, что в настоящее время стандартные клинические и морфологические факторы прогноза могут быть дополнены оценкой инфильтрации опухоли зрелыми Т-клетками. Следовательно, данное направление исследований представляется весьма актуальным, так как в перспективе может привести к установлению дополнительных факторов прогноза.
Цель исследования – изучить прогностическую значимость Т-хелперов (CD4+TILs), цитотоксических Т-клеток (CD8+TILs) и их соотношения (CD4+/CD8+TILs) ИГХ-методом у больных РЖ. Кроме того, провести анализ TILs в зависимости от расположения иммунных клеток в опухолевой ткани – интратуморальных (iTILs) и стромальных (sTILs).
Материалы и методы
Нами выполнено проспективное исследование с включением больных аденокарциномой желудка, проходивших лечение в ФГБУ «НМИЦ онкологии им. Н.Н. Блохина» в период с 2017 по 2018 г.
Критериями включения пациентов явились:
1) возраст больных старше 18 лет;
2) морфологическая верификация опухоли – аденокарцинома желудка.
Критерии исключения:
1) воспалительные заболевания в анамнезе за последние 3 мес;
2) поддерживающая антибактериальная и иммуномодулирующая терапия на момент включения в исследование.
Пациентам проводилось лечение согласно существующим стандартам (I–III стадия – хирургическое лечение; IV стадия – лекарственная терапия 1-й линии). На этапе исходной оценки всем больным проведены следующие обследования: физикальный осмотр, клинический и биохимический анализ крови (анализатор Abbott Diagnostic, США: Cell-Dyn 3700 SL и Architect c8800), компьютерная томография. Статус пациентов удовлетворительный, по шкале ECOG – 0–1 балл. Анализ опухоль-инфильтрирующих лимфоцитов у пациентов с РЖ осуществлялся с помощью ИГХ-анализа с целью определения показателей CD4+TILs, CD8+TILs, CD4+/CD8+TILs.
Иммуногистохимический анализ. Срезы с парафиновых блоков наносились на поли-L-лизиновые стекла с последующей инкубацией их при температуре 35–37ºС в условиях термостата для их плотного прикрепления. После выполнялись депарафинизация материала в ксилоле, отмывание в 96 и 70% этиловых спиртах и дистиллированной воде. Далее осуществлялась демаскировка антигенов при температуре 96ºС в буфере Antigen Retrieval Solution (DAKO), pH 9,0. Ингибирование эндогенной пероксидазы 3% перекисью водорода и инкубация первых антител (CD8 – DAKO, клон C8/144B, 1:100; CD4 – DAKO, клон C4/144B, 1:100); выявление процесса связывания антиген–антитело осуществлялось с помощью системы визуализации Dako EnVision и диаминобензидина в качестве хромогена. Окрашивание ядер осуществлялось при помощи гематоксилина Майера. Оценка результатов исследования осуществлялась с помощью светового микроскопа Оlympus CX41, камера DP72. Количество CD8- Т-лимфоцитов на препаратах подсчитывалось на 1 мм2 (5 полей зрения при ×400, окуляре WHB10X/20) двумя способами: только в опухолевой ткани и в опухолевой ткани и прилежащей строме, однако опухоль должна была занимать не менее 50% поля зрения.
Статистическая обработка результатов. Статистическая обработка материала и расчеты показателей выполнены с использованием статистического пакета Statistica for Windows v.10 (однофакторный анализ, корреляционный анализ по Спирмену, описательная статистика сравнения количественных показателей по Манну–Уитни, анализ Каплана–Мейера). Категориальные переменные выражали в процентах и абсолютных значениях.
Статистическая значимость различий между количественными показателями вычислялась по непараметрическим критериям Манна–Уитни и Вилкоксона. Для сравнения качественных параметров применяли точный критерий Фишера и c2. Различия считали значимыми при p<0,05 (допустимый уровень a-ошибки 5%). Степень взаимосвязи параметров оценивалась с помощью корреляционного анализа по Спирмену.
Критерии оценки
В данном исследовании оцениваемыми параметрами были ОВ и выживаемость без прогрессирования (ВБП). ОВ рассчитывалась как время от момента постановки диагноза до момента смерти пациента от любой причины либо до даты последнего контакта с больным. ВБП рассчитывалась как время от начала лечения заболевания до времени регистрации роста имеющихся проявлений болезни либо появления новых метастатических очагов. Показатели выживаемости рассчитывались из реальных данных о длительности жизни каждого больного на момент завершения исследования с использованием методики Каплана–Мейера. Сравнение кривых выживаемости выполнялось с использованием log-rank-теста.
Характеристика пациентов. Под нашим наблюдением находились 45 ранее не леченных пациентов с РЖ – 19 (42,2%) мужчин и 26 (57,8%) женщин. Возраст пациентов варьировал от 37 до 80 лет (средний возраст 60,9±10,9 года, медиана 62 года). Из них 25 (55,6%) пациентов с РЖ, получивших хирургическое лечение (1-я группа) и 20 (44,4%) пациентов, получивших химиотерапевтическое лечение (2-я группа) в ФГБУ «НМИЦ онкологии им. Н.Н. Блохина» в 2017–2018 гг. Медиана наблюдения за больными составила 18,5 мес [15, 2; 20, 4]. В 1-й группе – 18,3 мес [15, 2; 19, 2], во 2-й – 19,5 мес [8, 7; 22, 7]. При морфологическом обследовании у всех больных верифицирована аденокарцинома: у 5 (11,1%) пациентов опухоль имела низкую степень дифференцировки, у 14 (31,1%) – умеренную и у 26 (57,8%) пациентов – высокую.
При ИГХ-исследовании криостатных срезов опухоли (n=45) подсчет числа интратуморальных иммунокомпетентных клеток проводили на площади 0,34 мм2 раздельно в строме и паренхиме опухоли. При этом исследовались эпителиальные и стромальные поля с наиболее выраженной инфильтрацией. Подсчет осуществлялся двумя исследователями независимо друг от друга. В результате фиксировались средние арифметические по данным двух исследователей. Реакцию расценивали как слабую или отрицательную (<5 клеток в поле зрения микроскопа), умеренную (6–19 клеток) или выраженную (>20 клеток) [3]. При исследовании показателей CD4+TILs и CD8+TILs учитывалось iTILs и sTILs расположение лимфоцитов.
Показатели содержания CD8+TILs в лимфоидном инфильтрате рака желудка
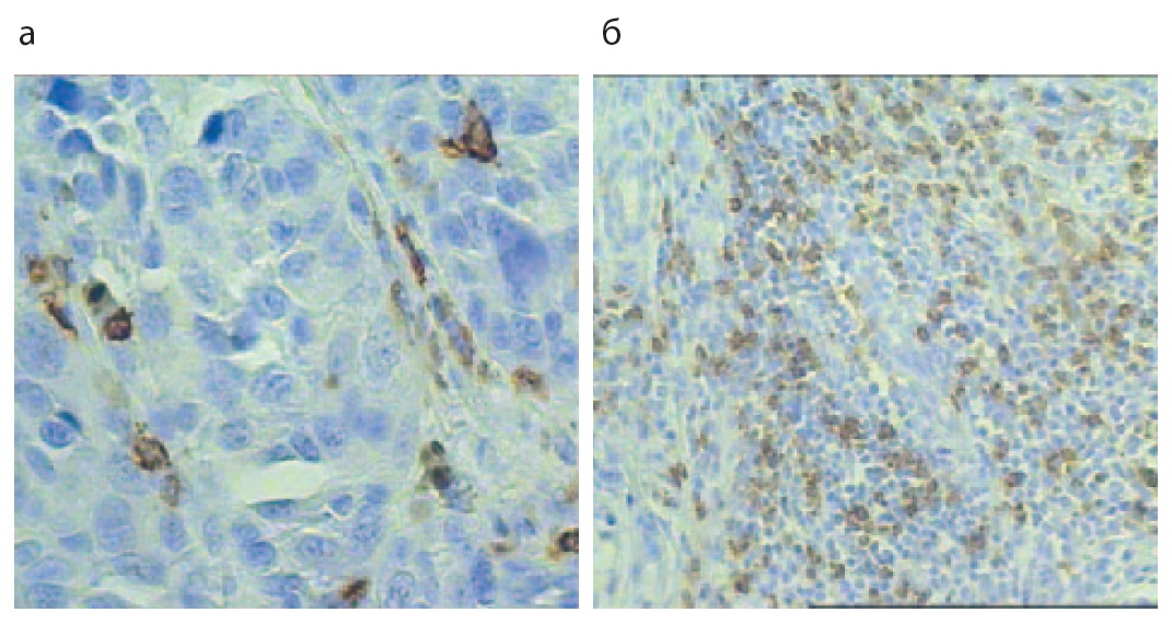
В нашем исследовании инфильтрация опухолевой ткани стромальными и интратуморальными лимфоцитами с фенотипом CD8+TILs отмечалась в 23 (51,1%) исследуемых образцах гистологического материала. В 9 (20%) образцах не обнаружено CD8+ Т-лимфоцитов ни в стромальном, ни в интратуморальном пространстве, интратуморально не обнаружено в 11 (24,4%), стромально – в 22 (48,8%) случаях (рис. 1).
Рис. 1. ИГХ-анализ степени инфильтрации CD8+ Т-лимфоцитами в лимфоидном инфильтрате РЖ: а – интратуморальная инфильтрация опухоли (×40); б – перитуморальная инфильтрациия опухоли (×20). / Fig. 1. Immunohistochemical (IHC) study of the degree of tumor infiltration of CD8+ T-lymphocytes into stomach cancer (SC) lymphoid infiltration: a – intratumoral tumor lymphocyte infiltration (×40); b – peritumoral tumor lymphocyte infiltration (×20).
Интратуморальная инфильтрация опухоли CD8+TILs во всех случаях преобладала над стромальной инфильтрацией. В 27 (79,4%) случаях отмечалась диффузная интратуморальная лимфоидная инфильтрация CD8+TILs, в 7 (20,5%) случаях отмечены отдельные очаговые скопления лимфоидных клеток. Стромальная инфильтрация опухоли представлена преимущественно незначительными скоплениями CD8+TILs (2–3 клетки), расположенными в соединительнотканных прослойках между железистыми клетками желудка, внутри клеток опухоли отмечались редкие единичные CD8+TILs.
Из рис. 1 следует, что более высокие показатели CD8+TILs коррелировали с выраженной общей лимфоцитарной инфильтрацией опухоли.
Показатели содержания CD4+TILs в лимфоидном инфильтрате рака желудка
В нашем исследовании инфильтрация опухолевой ткани стромальными и интратуморальными лимфоцитами с фенотипом CD4+TILs отмечалась в 25 (55,5%) исследуемых образцах гистологического материала. В 22 (48,8%) образцах не обнаружено CD4+TILs ни в стромальном, ни в интратуморальном пространстве, интратуморально не обнаружено в 14 (31,1%), стромально – в 20 (44,4%) случаях (рис. 2).
Рис. 2. ИГХ-анализ степени инфильтрации CD4+ Т-лимфоцитами в лимфоидном инфильтрате РЖ: а – интратуморальная инфильтрация опухоли (×20); б – интратуморальная инфильтрация опухоли (×10). / Fig. 2. IHC-analysis of the degree of tumor infiltration of CD4+ T-lymphocytes into SC lymphoid infiltration: a – intratumoral tumor lymphocyte infiltration (×20); b – intratumoral tumor lymphocyte infiltration (×10).
Интратуморальная инфильтрация опухоли CD4+TILs имела диффузно-очаговый характер и во всех случаях преобладала над стромальной инфильтрацией. Интратуморальная инфильтрация опухоли представлена преимущественно незначительными скоплениями CD4+TILs (2–3 клетки), расположенными в соединительнотканных прослойках между железистыми клетками желудка, внутри клеток опухоли отмечались редкие единичные CD4+TILs.
Показатели содержания CD4+/CD8+TILs в лимфоидном инфильтрате рака желудка
В данном исследовании инфильтрация опухолевой ткани стромальными и интратуморальными лимфоцитами с фенотипом CD4+/CD8+TILs отмечалась в 31 (68,8%) исследуемых образцах гистологического материала. В 14 (31,1%) образцах не обнаружено CD4+/CD8+TILs ни в стромальном, ни в интратуморальном пространстве, интратуморально не обнаружено в 9 (20%), стромально – в 14 (31,1%) случаях.
Далее при проведении анализа CD4+TILs, CD8+TILs и их соотношения CD4+/CD8+TILs, в частности их интратуморальных и стромальных значений у больных 1 и 2-й групп, выявлено, что медиана CD4+sTILs, CD8+sTILs, CD4+/ CD8+sTILs достоверно выше в 1-й группе по сравнению со 2-й (р=0,0003; р=0,000004; р=0,00001 соответственно). При этом наличие содержания CD4+sTILs, CD8+sTILs и CD4+/CD8+sTILs у пациентов 2-й группы не найдено. В то же время медиана CD4+iTILs и CD8+iTILs также достоверно ниже у пациентов с метастатическим РЖ (р=0,02, r=0,70; р=0,0027, r=0,65); табл. 1.
Таблица 1. Показатели опухоль-инфильтрирующих лимфоцитов (TILs) у больных РЖ 1 и 2-й групп до начала лечения (n=45) Table 1. The level of tumor-infiltrating lymphocytes (TILs) in patients with SC of the first and second groups before the treatment (n=45) | ||||||||
Показатели клеточного иммунитета в ткани, кл./п.зр. | Хирургическая группа (1-я); n=25 | Химиотерапевтическая группа (2-я); n=20 | p | Всего | ||||
медиана | квартили | медиана | квартили | медиана | квартили | |||
CD4+TILs | CD4+TILs | 22,2 | 10,5–38,5 | 0,4 | 0–1,1 | 0,0000001 | 6,0 | 0,4–22,5 |
CD4+iTILs | 1,1 | 0,4–7,4 | 0,2 | 0–1,1 | 0,021 | 0,5 | 0–2,1 | |
CD4+sTILs | 21,9 | 7,7–26,5 | 0 | 0–0 | 0,000003 | 0,2 | 0–21,9 | |
CD8+TILs | CD8+TILs | 53,5 | 39,1–106,9 | 3,0 | 0–9,0 | 0,000002 | 16,6 | 1,7–64,8 |
CD8+iTILs | 24,1 | 4,9–37,3 | 3,0 | 0–9,0 | 0,0027 | 9,0 | 1,1–28,3 | |
CD8+sTILs | 38,0 | 11,7–54,9 | 0 | 0–0 | 0,000004 | 1,3 | 0–38,0 | |
CD4+/CD8+TILs | CD4+/CD8+TILs | 0,35 | 0,19–0,54 | 0,04 | 0–0,32 | 0,00001 | 0,23 | 0–0,47 |
CD4+/CD8+iTILs | 0,06 | 0,007–0,59 | 0,04 | 0–0,27 | 0,157 | 0,04 | 0–0,38 | |
CD4+/CD8+sTILs | 0,48 | 0,20–0,61 | 0 | 0–0 | 0,002 | 0 | 0–0,50 | |
Примечание. Кл./п.зр. – клетки в поле зрения. | ||||||||
При проведении анализа соотношения интратуморального и стромального расположения иммунных клеток в опухолевой ткани отмечено, что для больных 1-й группы характерно преобладание содержания CD4+sTILs, CD8+sTILs – 80% против 5,0% и 52% против 0% соответственно. В то же время равнозначное число (±10%) интратуморальных и стромальных иммунных клеток для CD4+TILs, CD8+TILs преимущественно встречалось у пациентов 2-й группы: 55 и 35% соответственно (табл. 2; рис. 3).
Таблица 2. Соотношение компонентов TILs (iTILs, sTILs) у больных РЖ 1 и 2-й групп до начала лечения (n=45) Table 2. The correlation between iTILs and sTILs in patients with SC of the first and second groups before the treatment (n=45) | |||||||
Показатели клеточного иммунитета в ткани | Хирургическая группа (1-я), n=25 | Химиотерапевтическая группа (2-я), n=20 | Всего | ||||
абс. | % | абс. | % | абс. | % | ||
CD4+TILs | >iTILs | 3 | 12,0 | 8 | 40,0 | 11 | 24,4 |
>sTILs | 20 | 80,0 | 1 | 5,0 | 21 | 46,7 | |
iTILs=sTILs | 2 | 8,0 | 11 | 55,0 | 13 | 28,9 | |
CD8+TILs | >iTILs | 10 | 40,0 | 13 | 65,0 | 23 | 51,1 |
>sTILs | 13 | 52,0 | 0 | 0,0 | 13 | 28,9 | |
iTILs=sTILs | 2 | 8,0 | 7 | 35,0 | 9 | 20,0 | |
CD4+/CD8+TILs | >iTILs | 7 | 28,0 | 8 | 40,0 | 15 | 33,3 |
>sTILs | 15 | 60,0 | 3 | 15,0 | 18 | 40,0 | |
iTILs=sTILs | 3 | 12,0 | 9 | 45,0 | 12 | 26,7 | |
Рис. 3. Соотношение CD4+TILs, CD8+TILs и CD4+/CD8+TILs в зависимости от распределения иммунных клеток. / Fig. 3. The correlation between CD4+TILs, CD8+TILs and CD4+/CD8+TILs depending on the distribution of immune cells.
Для соотношения CD4+/CD8+TILs отмечена аналогичная закономерность. Для больных 1-й группы характерно преобладание CD4+/CD8+sTILs иммунных клеток – 60,0% против 15,0%, равнозначное число (±10%) iTILs и sTILs отмечено у больных 2-й группы – 45,0% против 12,0%.
Далее при подгрупповом анализе пациентов c РЖ в соответствии со стадией заболевания выявлено, что содержание CD4+TILs, CD4+sTILs, CD8+iTILs, CD8+sTILs, CD8+TILs, CD4+/CD8+sTILs и CD4+/CD8+TILs достоверно снижается по мере увеличения стадии заболевания с I–II по IV (табл. 3).
Таблица 3. Показатели CD8+TILs, CD4+TILs, CD4+/CD8+TILs в зависимости от стадии заболевания у больных РЖ до начала лечения (n=45) Table 3. The levels of CD8+TILs, CD4+TILs, CD4+/CD8+TILs depending on the stage of the disease in patients with SC before treatment (n=45) | ||||||||||
Показатели клеточного иммунитета в ткани, кл./п.зр. | I–II (n=11) | III (n=14) | IV (n=20) | p | ||||||
медиана | квартили | медиана | квартили | медиана | квартили | I–II/III | I–II/IV | III–IV | ||
CD4+TILs | CD4+iTILs | 1,10 | 0,20–15,70 | 0,90 | 0,40–2,1 | 0,20 | 0–1,05 | 0,563 | 0,0371 | 0,079 |
CD4+sTILs | 21,90 | 13,10–27,80 | 10,10 | 6,00–26,5 | 0,00 | 0–0,00 | 0,335 | 0,0004 | 0,00001 | |
CD4+TILs | 22,50 | 20,50–44,60 | 13,15 | 8,90–38,5 | 0,40 | 0–1,05 | 0,146 | 0,00001 | 0,0002 | |
CD8+TILs | CD8+iTILs | 28,30 | 24,10–49,80 | 9,90 | 1,10–37,3 | 2,95 | 0–9,00 | 0,146 | 0,0032 | 0,0387 |
CD8+sTILs | 26,80 | 7,60–44,00 | 40,90 | 11,70–58,5 | 0,00 | 0–0,00 | 0,721 | 0,0004 | 0,0001 | |
CD8+TILs | 64,80 | 49,80–117,40 | 46,30 | 16,60–106,9 | 2,95 | 0,00 | 0,285 | 0,00004 | 0,0005 | |
CD4+/CD8+TILs | CD4+/CD8+iTILs | 0,02 | 0,01–0,32 | 0,07 | 0,01–0,7 | 0,04 | 0–0,27 | 0,425 | 0,549 | 0,0924 |
CD4+/CD8+sTILs | 0,50 | 0,38–1,22 | 0,45 | 0,00–0,5 | 0,00 | 0–0,00 | 0,116 | 0,0004 | 0,0002 | |
CD4+/CD8+TILs | 0,35 | 0,32–0,61 | 0,29 | 0,19–0,5 | 0,04 | 0–0,32 | 0,528 | 0,0024 | 0,0346 | |
При оценке TILs относительно таких клинических факторов, как стадия заболевания, степень дифференцировки (G), тип Lauren (кишечный или диффузный), возраст и пол 45 пациентов с РЖ, сила корреляции отмечена только для CD8+TILs. При этом сильная корреляция наблюдается, когда при увеличении стадии заболевания снижается инфильтрация CD8+sTILs (r=-0,65).
Таким образом, снижение инфильтрации опухолевой ткани интратуморальными и отсутствие cтромальных CD4+TILs, CD8+TILs, CD4+/CD8+TILs характерно для пациентов с метастатическим РЖ. Кроме этого, для больных 2-й группы характерны равнозначные значения iTILs и sTILs.
Оценка выживаемости
За время наблюдения 18,5 мес [15, 2; 20, 4] летальность составила 28,9% (13/45): 12% (3/25) – в 1-й группе и 50% (10/20) – во 2-й (р=0,007). Прогрессирование заболевания зарегистрировано у 29 (62,2%) пациентов с РЖ: у 20 (100%) пациентов 2-й группы против 9 (36%) – 1-й группы. Годичная ОВ пациентов 1-й группы составила 92,0±5,4%; 2-й группы – 70,0±10,2%. Годичная ВБП для 1 и 2-й групп составила 64,0±9,6% и 10,0±6,7% соответственно (рис. 4).
Рис. 4. ОВ и ВБП у больных 1 и 2-й групп. / Fig. 4. Overall survival and progression-free survival in patients of the first and second groups.
Для определения независимых прогностических признаков, влияющих на ВБП и ОВ, нами выполнен последовательный регрессионный анализ по Коксу. В анализ включены все переменные из однофакторного анализа с уровнем р<0,05. Результаты анализа выявили, что CD4+/CD8+iTILs являются фактором неблагоприятного исхода для ВБП у больных ранним и местно-распространенным РЖ (р=0,035; ОР 3,264, ДИ 95%).
Результаты и обсуждение
Ключевая роль в формировании противоопухолевого иммунитета отводится иммунной системе и опухоль-инфильтрирующим лимфоцитам, являющимся объектом активного изучения [17–19]. По данным недавнего метаанализа, включавшего 22 исследования и более 2900 образцов РЖ, выявлено позитивное влияние CD4+TILs и CD8+TILs на ОВ (CD4+ ОР 0,70, 95% ДИ 0,55–0,90; CD8+ ОР 0,63, 95% ДИ 0,48–0,83) [20]. Кроме того, в данном метаанализе высокая инфильтрация опухолевой ткани CD8+ Т-лимфоцитами являлась самым сильным предиктивным фактором увеличения показателей выживаемости. Однако в исследовании Z. Shen и соавт. при анализе 133 образцов ткани больных РЖ корреляция CD4+TILs и CD8+TILs с ОВ не найдена [21]. В рамках нашего исследования соотношение CD4+/ CD8+iTILs снижает ВБП у больных ранними и местно-распространенными формами РЖ. Соответственно, определение пространственного расположения иммунных клеток в опухолевой ткани является крайне актуальным. Определение типов, плотности и расположения иммунных клеток также имеет большее прогностическое значение. B. Kang и соавт. определили, что sTILs могут использоваться в качестве позитивного прогностического фактора для ВБП [22]. Напротив, другое исследование показало, что увеличение iTILs ассоциировано с улучшением показателей выживаемости [23]. По факту sTILs хорошо известны как благоприятный параметр при раке молочной железы [24]. Это согласуется с результатами нашего исследования, где наличие CD4+sTILs, CD8+sTILs является фактором благоприятного прогноза и встречается у больных с локальными и местно-распространенными формами РЖ (р=0,000003; р=0,000004). Однако в научных кругах, исследующих РЖ, нет единого мнения о корреляции показателей выживаемости с распределением TILs.
Заключение
Таким образом, несмотря на то, что TILs могут быть легко обнаружены путем анализа слайдов срезов опухоли, окрашенных ИГХ-методом, необходимо точное определение степени инфильтрации и пространственного распределения лимфоцитов в опухолевой ткани РЖ. Очевидно, что различные типы инфильтрирующих клеток имеют различную предиктивную и прогностическую значимость.
Конфликт интересов. Авторы заявляют об отсутствии конфликта интересов.
Conflict of interests. The authors declare no conflict of interests.
About the authors
Gulnoz G. Khakimova
Tashkent Pediatric Medical Institute
Author for correspondence.
Email: hgg_doc@mail.ru
ORCID iD: 0000-0002-4970-5429
Cand. Sci. (Med.)
Uzbekistan, TashkentYana A. Bozhchenko
Blokhin National Medical Research Center of Oncology
Email: hgg_doc@mail.ru
Cand. Sci. (Med.)
Russian Federation, MoscowTatyana N. Zabotina
Blokhin National Medical Research Center of Oncology
Email: tatzabotina@yandex.ru
ORCID iD: 0000-0001-7631-5699
D. Sci. (Biol.)
Russian Federation, MoscowAlexey A. Tryakin
Blokhin National Medical Research Center of Oncology
Email: hgg_doc@mail.ru
D. Sci. (Med.)
Russian Federation, MoscowReferences
- Каприн А.Д., Старинский В.В., Петрова Г.В. Злокачественные новообразования в России в 2018 г. М., 2019 [Kaprin AD, Starinskii VV, Petrova GV. Zlokachestvennye novoobrazovaniia v Rossii v 2018 g. Moscow, 2019 (in Russian)].
- Yazici O, Sendur MA, Ozdemir N, Aksoy S. Targeted therapies in gastric cancer and future perspectives. W J Gastroenterol. 2016;22(2):41-89.
- Waddell T, Verheij M, Allum W, et al. Gastric cancer: ESMO-ESSO-ESTRO Clinical Practice Guidelines for diagnosis, treatment and follow-up. Ann Oncol. 2013:24(Suppl. 6):57-63.
- Okines AF, Norman AR, McCloud P, et al. Meta-analysis of the REAL-2 and ML17032 trials: evaluating capecitabine-based combination chemotherapy and infused 5-fluorouracil-based combination chemotherapy for the treatment of advanced oesophago-gastric cancer. Ann Oncol. 2009;20:1529-34.
- Никулин М.П., Сельчук В.Ю. Рак желудка. Рус. мед. журн. 2003;26(11):1441-9 [Nikulin MP, Selchuk VIu. Gastric cancer. RMZh. 2003;26(11):1441-9 (in Russian)].
- Kim JS, Kim MA, Kim TM, et al. Biomarker analysis in stage III–IV (M0) gastric cancer patients who received curative surgery followed by adjuvant 5-fluorouracil and cisplatin chemotherapy: epidermal growth factor receptor (EGFR) associated with favourable survival. Br J Cancer. 2009;100:732-8.
- McCarty WC. Principles of prognosis in cancer. JAMA. 1931;96:30-3.
- Schreiber RD, Old LJ, Smyth MJ. Cancer immunoediting: integrating immunity’s roles in cancer suppression and promotion. Science. 2011;331:1565-70.
- Al-Shibli K, Al-Saad S, Donnem T, et al. The prognostic value of intraepithelial and stromal innate immune system cells in non-small cell lung carcinoma. Histopathology. 2009;55:301-12.
- Mlecnik B, Tosolini M, Kirilovsky A, et al. Histopathologic-based prognostic factors of colorectal cancers are associated with the state of the local immune reaction. J Clin Oncol. 2011;29:610-8.
- Mahmoud SM, Paish EC, Powe DG, et al. Tumor-infiltrating CD8+ lymphocytes predict clinical outcome in breast cancer. J Clin Oncol. 2011;29:1949-55.
- Mackensen A, Ferradini L, Carcelain G, et al. Evidence for in situ amplification of cytotoxic T-lymphocytes with antitumor activity in a human regressive melanoma. Cancer Res. 1993;53:3569-73.
- Zhang L, Conejo-Garcia JR, Katsaros D, et al. Intratumoral T cells, recurrence, and survival in epithelial ovarian cancer. N Engl J Med. 2003;348(3):203-13.
- Fukunaga A, Miyamoto M, Cho Y, et al. CD8+ tumor-infiltrating lymphocytes together with CD4+ tumor-infiltrating lymphocytes and dendritic cells improve the prognosis of patients with pancreatic adenocarcinoma. Pancreas. 2004;28:e26-31.
- Kawai O, Ishii G, Kubota K, et al. Predominant infiltration of macrophages and CD8(+) T Cells in cancer nests is a significant predictor of survival in stage IV nonsmall cell lung cancer. Cancer. 2008;113:1387-95.
- Goc J, Germain C, Vo-Bourgais TK, et al. Dendritic cells in tumor-associated tertiary lymphoid structures signal a Th1 cytotoxic immune contexture and license the positive prognostic value of infiltrating CD8+ T cells. Cancer Res. 2014;74:705-15.
- Бережная Н.М. Взаимодействие клеток системы иммунитета с другими компонентами микроокружения. Онкология. 2009;1(2):86-93 [Berezhnaya NM. Role of immune system cells in tumor microenvironment. II. Interaction of the immune system cells with other microenvironment components. Oncology. 2009;1(2):86-93 (in Russian)].
- Coussens LM, Werb Z. Inflammation and cancer. Nature. 2002;6917(420):860-7.
- Takenaka Y, Oya R, Kitamiura T, et al. Platelet count and platelet-lymphocyte ratio as prognostic markers for head and neck squamous cell carcinoma: Meta-analysis. Head Neck. 2018;40(12):2714-23.
- Lee JS, Won HS, Sun S, et al. Prognostic role of tumor-infiltrating lymphocytes in gastric cancer:A systematic review and meta-analysis. Medicine (Baltimore). 2018;97(32):е.11769.
- Shen Z, Zhou S, Wang Y, et al. Higher intratumoral infiltrated Foxp3+ Treg numbers and Foxp3+/C8+ ratio are associated with adverse prognosis in resectable gastric cancer. J Cancer Res Clin Oncol. 2010;136:1585-95.
- Kang BW, Seo AN, Yoon S, et al. Prognostic value of tumor-infiltrating lymphocytes in Epstein–Barr virus-associated gatric cancer. Ann Oncol. 2016;27:494-501.
- Grogg KL, Lohse CM, Pankratz VS, et al. Lymphocyte-rich gastric cancer:ssociations with Epstein–Barr virus, microsatellite instability, histology, and survival. Mod Pathol. 2003;16(7):641-51.
- Salgado R, Denkert C, Demaria S, et al. The evaluation of tumor-infiltrating lymphocytes (TILs) in breast cancer: recommendations by an International TILs Working Group 2014. Ann Oncol. 2015;26:259-71.
Supplementary files







