Modern possibilities of immunotherapy in the treatment of extensive-stage small cell lung cancer: experience of durvalumab application. Case report
- Authors: Zhabina A.S.1, Moiseenko F.V.1,2,3, Volkov N.M.1, Abduloeva N.K.1, Moiseenko V.M.1
-
Affiliations:
- Saint Petersburg Clinical Scientific and Practical Center for Specialized Types of Medical Aid (oncological)
- Petrov National Medical Research Center of Oncology
- Mechnikov North-Western State Medical University
- Issue: Vol 23, No 2 (2021)
- Pages: 287-291
- Section: CLINICAL ONCOLOGY
- Submitted: 25.05.2021
- Published: 16.08.2021
- URL: https://modernonco.orscience.ru/1815-1434/article/view/70980
- DOI: https://doi.org/10.26442/18151434.2021.2.200901
- ID: 70980
Cite item
Full Text
Abstract
Extensive-stage small cell lung cancer (ES-SCLC) is characterized by an aggressive course, a high recurrence rate and fast progression. For a long time, the survival prognosis for the most patients suffering from this disease remained unfavorable. The situation changed with the appearance of chemoimmunotherapy in clinical practice. Chemotherapy based on durvalumab in comparison with the standard chemotherapy demonstrated the statistically and clinically significant increase in median overall survival in patients with previously untreated ES-SCLC in the CASPIAN international trial. This article deals with the case of the application of standard chemotherapy in combination with durvalumab as a first-line ES-SCLC therapy. The patient started receiving durvalumab therapy in June 2017 as a part of the CASPIAN international trial. In March 2021 the duration of therapy was 45 months, the patient had a complete regression of the disease.
Full Text
Введение
Мелкоклеточный рак представляет собой особую агрессивную форму рака легкого, характеризующуюся быстрым ростом первичной опухоли, ранним метастазированием, а также высокой чувствительностью к лучевой и химиотерапии (ХТ) [1, 2]. Мелкоклеточный рак легкого (МРЛ) относят к нейроэндокринным опухолям, заболевание может сопровождаться паранеопластическими синдромами (неадекватной секреции антидиуретического гормона, Кушинга, Ламберта–Итона и др.) [3, 4].
Приблизительно 70% пациентов с впервые выявленным МРЛ имеют распространенную стадию заболевания [5]. Стандартный подход к лечению распространенного МРЛ (рМРЛ), включающий комбинированные схемы ХТ на основе препаратов платины с этопозидом, не менялся в течение длительного периода времени [2, 5].
Несмотря на исходно высокую частоту ответа, практически у всех больных рМРЛ развивается рецидив/прогрессия заболевания на фоне стандартной ХТ 1-й линии [6]. В результате прогноз в отношении отдаленных результатов лечения пациентов с рМРЛ был весьма неблагоприятен: медиана общей выживаемости (мОВ) не превышала 12 мес, а показатели 2- и 5-летней выживаемости составляли менее 5% и 1–2% соответственно [2, 5]. Применение химиоиммунотерапии (ХТ+ИТ) при рМРЛ привело к значимому улучшению показателей выживаемости впервые за несколько десятилетий [6].
В открытом рандомизированном многоцентровом международном исследовании III фазы CASPIAN изучены эффективность и безопасность ХТ+ИТ на основе дурвалумаба или комбинации дурвалумаба с тремелимумабом по сравнению со стандартной ХТ [7, 8]. В исследование включали пациентов с ранее не леченным рМРЛ с соматическим статусом 0–1 по шкале ECOG, имеющих измеримые опухолевые очаги в соответствии с критериями RECIST 1.1. Допускалось включение пациентов с пролеченными или бессимптомными метастазами в головной мозг. Пациенты в равных пропорциях были рандомизированы в одну из групп терапии: в группах ХТ+ИТ (дурвалумаб + этопозид + платиносодержащий препарат – EP и дурвалумаб + тремелимумаб + ЕР) пациенты получали до 4 циклов этопозида 80–100 мг/м2 и препарата платины (карбоплатин AUC 5–6 мг/мл/мин или цисплатин 75–80 мг/м2, по выбору исследователя) в сочетании с дурвалумабом в дозе 1500 мг ± тремелимумаб в дозе 75 мг 1 раз в 3 нед и последующую поддерживающую терапию дурвалумабом в дозе 1500 мг 1 раз в 4 нед до прогрессии заболевания; в группе EP пациенты получали до 6 циклов этопозида 80–100 мг/м2 и препарата платины (карбоплатин AUC 5–6 мг/мл/мин или цисплатин 75–80 мг/м2, по выбору исследователя), также по решению исследователя пациенты группы ЕР могли получить профилактическое облучение головного мозга. Первичной конечной точкой была мОВ, вторичными конечными точками – выживаемость без прогрессирования (ВБП), частота объективного ответа, безопасность и переносимость, связанное со здоровьем качество жизни, фармакокинетика и иммуногенность [7]. Первичная конечная точка в группе дурвалумаб + тремелимумаб + EP не была достигнута, в настоящей статье представлены результаты сравнения двух групп: дурвалумаб + EP и EP.
Были рандомизированы 268 пациентов в группу дурвалумаб + EP и 269 – в группу EP. Медиана периода наблюдения составила 25,1 мес. В группе EP 57% пациентов получили 6 циклов ХТ. Продемонстрировано статистически достоверное увеличение мОВ в группе дурвалумаб + EP по сравнению с EP: 12,9 мес (95% доверительный интервал – ДИ 11,3–14,7) и 10,5 мес (95% ДИ 9,3–11,2), соответственно, риск смерти снизился на 25% (показатель отношения рисков – ОР составил 0,75; 95% ДИ 0,62–0,91; номинальное значение p=0,0032). Следует отметить, что преимущество ХТ+ИТ на основе дурвалумаба перед стандартной терапией в отношении общей выживаемости (ОВ) наблюдали во всех заранее определенных подгруппах пациентов. В частности, преимущество в отношении ОВ не зависело от применяемого препарата платины: цисплатин (ОР 0,67; 95% ДИ 0,46–0,97)/карбоплатин (ОР 0,79; 95% ДИ 0,63–0,98), а также от наличия (ОР 0,79; 95% ДИ 0,44–1,41)/отсутствия (ОР 0,76; 95% ДИ 0,62–0,92) метастазов в центральную нервную систему на момент включения в исследование. Показатели 12- и 24-месячной ОВ составили 52,8 и 39,3, 22,2 и 14,4% в группах дурвалумаб + EP и EP соответственно [8].
Достоверных различий между группами по медианам ВБП достигнуто не было, однако показатели 12- и 24-месячной ВБП были выше в группе дурвалумаб + EP (17,9 и 11,0%) по сравнению с группой EP (5,3 и 2,9%) [8].
Доля пациентов с подтвержденным ответом (по оценке исследователя в соответствии с критериями RECIST версии 1.1) была выше в группе дурвалумаб + EP (67,9%) по сравнению с EP (58,0%). Кроме того, доля пациентов с продолжающимся ответом на терапию через 12 и 24 мес была выше в группе дурвалумаб + EP (23,2 и 13,5%) по сравнению с группой EP (7,3 и 3,9%) [8].
Время до ухудшения качества жизни по всем функциональным шкалам опросника QLQ-С30 было более продолжительным в группе дурвалумаб + EP по сравнению с EP. В том числе в группе дурвалумаб + EP в течение более продолжительного периода времени, по сравнению с группой EP, не ухудшались параметры физического и когнитивного функционирования, показатели ОР составили 0,75 (95% ДИ 0,581–0,970; p=0,0276) и 0,61 (95% ДИ 0,472–0,776; p<0,0001) соответственно. Кроме того, в группе дурвалумаб + EP отмечено преимущество в отношении времени до усугубления степени тяжести симптомов МРЛ (QLQ-С30 и QLQ-LC13) [9].
Группы дурвалумаб + EP и EP были сопоставимы по частоте нежелательных явлений (НЯ) любой степени тяжести (98,1 и 97,0% соответственно), НЯ 3 и 4-й степени тяжести (62,3 и 62,8% соответственно), серьезных НЯ (32,1 и 36,5% соответственно) и НЯ, которые привели к прекращению терапии (10,2 и 9,4%). Частота иммуноопосредованных НЯ была выше в группе дурвалумаб + EP по сравнению с EP: 20,0 и 2,6% соответственно, однако большинство из них были 1–2-й степени тяжести [8].
Одним из исследовательских центров, принимавших участие в открытом рандомизированном многоцентровом международном исследовании III фазы CASPIAN, был ГБУЗ «Санкт-Петербургский клинический научно-практический центр специализированных видов медицинской помощи (онкологический)». Настоящий клинический случай описывает наш опыт применения ХТ+ИТ на основе дурвалумаба у пациента с рМРЛ в рамках исследования CASPIAN.
Анамнез и результаты обследования
Пациент А., 57 лет. Из анамнеза известно, что в мае 2017 г. был госпитализирован в одну из городских клиник Санкт-Петербурга с жалобами на сухой кашель и одышку. При обследовании по данным мультиспиральной компьютерной томографии (МСКТ) выявлено крупное патологическое образование средостения с распространением на корень правого легкого размерами 120×98×70 мм. Образование вызывает субокклюзию среднего бронха, стенозирование нижнего зонального и главного бронха. Предположительно представлено мелкоклеточной опухолью либо, что менее вероятно, лимфопролиферативным заболеванием. По данным ультразвукового исследования органов брюшной полости патологии выявлено не было. При фибробронхоскопии в области медиальной стенки правого главного бронха выявлен участок перибронхиальной компрессии, выполнена биопсия.
По результатам патоморфологического исследования пациенту установлен диагноз: крупноклеточный рак легкого. С диагнозом «центральный крупноклеточный рак правого легкого T3bN3M0» пациент направлен к онкологу для решения вопроса о тактике лечения.
Известно, что профессиональная деятельность пациента не связана с факторами риска возникновения онкологических заболеваний, он работает продавцом в мебельном магазине. Больной является заядлым курильщиком, стаж курения 38 лет, индекс пачка/лет составил 38. Также известно, что в декабре 2016 г. пациент проходил флюорографическое обследование по месту жительства, патологии обнаружено не было.
В июне 2017 г. пациент обратился в ГБУЗ СПб КНПцСВМП(о) для уточнения распространенности процесса и решения вопроса о дальнейшей тактике лечения.
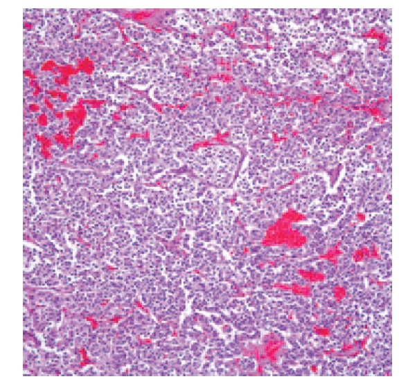
На базе ГБУЗ СПб КНПцСВМП(о) выполнен пересмотр гистологического материала, полученного при фибробронхоскопии в мае 2017 г., с иммуногистохимическим исследованием. Выявлена экспрессия АЕ/3 и синаптофизина, индекс пролиферативной активности Ki67 составил 90%. Установлено, что в образцах материала определяются фрагменты МРЛ (рис. 1). PD-L1-статус не исследовали.
Рис. 1. Гистологическая картина в образце материала, полученного от пациента А. / Fig. 1. Histological image of the specimen of the material received from Patient A.
С целью стадирования заболевания в июне 2017 г. выполнена МСКТ головного мозга, органов грудной клетки, брюшной полости и малого таза (рис. 2). В области корня правого легкого с переходом на заднее средостение выявлен опухолевый конгломерат, состоящий из опухолевого узла без четких контуров и увеличенных сливающихся бронхолегочных, бифуркационных, параэзофагеальных лимфоузлов. Общие размеры конгломерата лимфоузлов составили 88×57 мм. Промежуточный, нижнезональный, среднедолевой бронх прослеживались фрагментарно. Также выявлен ателектаз нижней и средней долей правого легкого. Отмечено распространение процесса на правый главный и верхнедолевой бронх, область бифуркации трахеи. Конгломерат вызывал компрессию левого главного бронха и левого предсердия. Выявлены компрессия и признаки опухолевой инвазии правой легочной артерии (оттеснение и сужение на протяжении 24 мм). Также визуализированы отдельно расположенные неувеличенные внутригрудные лимфоузлы левой бронхолегочной и паратрахеальной группы и параэзофагеальный лимфоузел справа размером 20×18 мм. В области брюшины определялись неорганные узловые образования, накапливающие контрастный препарат, размерами до 8 мм. При МСКТ головного мозга выявлена венозная ангиома в левой лобной области.
Рис. 2. МСКТ до начала терапии (июнь 2017 г.). Центральный рак правого легкого с поражением правого нижнезонального бронха с переходом на среднедолевой, главный бронхи. Метастазы во внутригрудных лимфоузлах, нельзя исключить переход процесса на область бифуркации трахеи, правую легочную артерию. Неорганные узловые образования в брюшной полости – канцероматоз брюшины. / Fig. 2. Multispiral computed tomography (MCT) before the therapy (June 2017). Centrally located right lung cancer with the lesion on the right lower lobe bronchus with the damage of the middle lobe bronchus and the primary bronchi. Intrathoracic lymph nodes metastases, it is not inconceivable that the damage took the area of bifurcation of the trachea, the right pulmonary artery. Inorganic abdominal mass – peritoneal carcinomatosis.
На основании результатов обследования пациенту был поставлен диагноз: центральный мелкоклеточный рак правого легкого, метастазы в лимфатических узлах средостения. Канцероматоз. сT2bN2M1 – IV стадия.
Из сопутствующих заболеваний у пациента имелись: ишемическая болезнь сердца; атеросклероз аорты; гипертоническая болезнь II стадии, 2-й степени, риск 3; хронический бронхит.
На момент обращения в ГБУЗ СПб КНПцСВМП(о) у пациента сохранялись жалобы на малопродуктивный кашель, одышку при минимальной физической нагрузке. Соматический статус соответствовал 1 баллу по шкале ECOG.
Лечение
Тактика лечения пациента была обсуждена на мультидисциплинарном консилиуме. С учетом результатов обследования, общего соматического состояния пациенту было предложено участие в протоколе клинического исследования CASPIAN для проведения первой линии системной терапии. После получения согласия пациент был рандомизирован в группу ХТ+ИТ (дурвалумаб + EP).
С июля по август 2017 г. проведено 2 цикла стандартной ХТ в режиме ЕР (цисплатин 75 мг/м2 в день 1 и этопозид 1 мг/м2 в дни 1–3) с добавлением иммунотерапевтического препарата дурвалумаб (1500 мг в день 1) каждый 21 день.
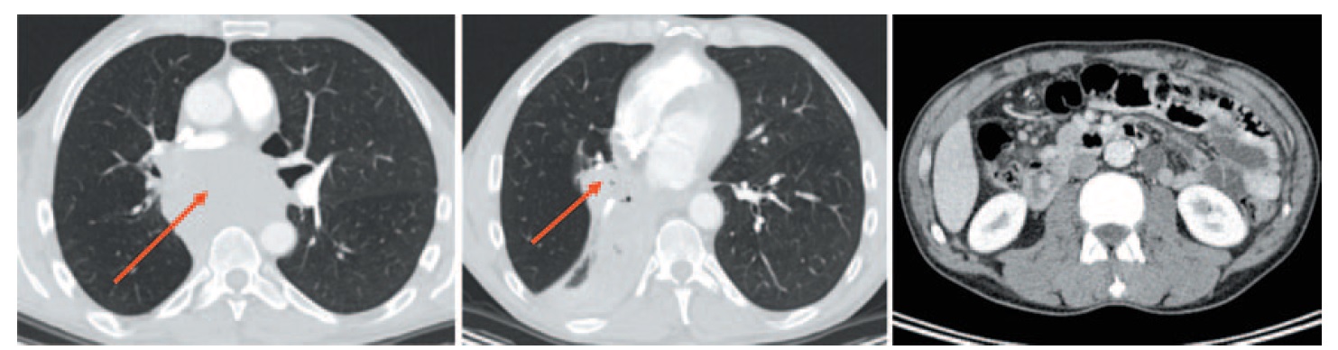
В августе 2017 г. выполнено первое контрольное обследование. По сравнению с МСКТ от июня 2017 г. при МСКТ от августа 2017 г. (рис. 3) отмечено уменьшение размеров опухолевого конгломерата в области корня правого легкого, переходящего на заднее средостение. Визуализировались отдельно расположенные фрагменты конгломерата – увеличенные бронхолегочные лимфоузлы размерами 24×20 и 20×12 мм, а также бифуркационные лимфоузлы размером 49×29 мм. Также отмечено восстановление просветов промежуточного, нижнезонального бронхов, В6. Правая легочная артерия прослеживалась отчетливо, признаки сужения отсутствовали, однако сохранялась небольшая компрессия нисходящей ветви правой легочной артерии. Также визуализировались отдельно расположенные внутригрудные лимфоузлы левой бронхолегочной и паратрахеальной групп без признаков увеличения. Отмечено уменьшение размеров параэзофагеального лимфоузла справа до 10×8 мм. В области брюшины сохранялись неорганные узловые образования, накапливающие контрастный препарат, размерами до 6 мм.
Рис. 3. МСКТ от августа 2017 г. Центральный рак правого легкого с метастазами во внутригрудных лимфоузлах. Отмечается частичный регресс заболевания по сравнению с МСКТ от июня 2017 г. / Fig. 3. MCT, August 2017. Centrally located right lung cancer with intrathoracic lymph nodes metastases. There is a partial regression of the disease by comparison with MCT of June 2017.
Таким образом, в соответствии с критериями RECIST 1.1, после 2 циклов ХТ+ИТ зафиксирован частичный регресс заболевания.
Лечение перенес удовлетворительно, НЯ не отмечено.
С августа 2017 по сентябрь 2017 г. проведено еще 2 цикла ХТ+ИТ в режиме ЕР + дурвалумаб.
При контрольном обследовании отмечено дальнейшее уменьшение опухолевого конгломерата и лимфоузлов средостения. По данным МСКТ от сентября 2017 г., сохранялись отдельно расположенные фрагменты опухолевого конгломерата: увеличенные бронхолегочные лимфоузлы размерами 21×18 мм и 20×11 мм, а также бифуркационные лимфоузлы размером 40×21,5 мм. Правая легочная артерия прослеживалась отчетливо, признаки сужения отсутствовали, сохранялась небольшая компрессия нисходящей ветви правой легочной артерии. Также визуализировались отдельно расположенные внутригрудные лимфоузлы левой бронхолегочной и паратрахеальной групп без признаков увеличения. Отмечено уменьшение размеров параэзофагеального лимфоузла справа до 5 мм. Неорганные узловые образования в области брюшины не определялись.
В соответствии с протоколом исследования CASPIAN после завершения 4 циклов ХТ+ИТ пациент продолжил получать терапию дурвалумабом в дозе 1500 мг 1 раз в 4 нед.
При контрольной МСКТ от ноября 2017 г. (рис. 4) сохранялись отдельно расположенные фрагменты опухолевого конгломерата, размеры их несколько уменьшились: бифуркационных лимфоузлов – до 38×17 мм, бронхолегочных лимфоузлов – до 18×11 мм и до 17×11 мм. Другие таргетные очаги, по сравнению с предшествующими исследованиями, не определялись.
Рис. 4. МСКТ от ноября 2017 г. в сравнении с МСКТ от июня 2017 г. / Fig. 4. MCT – November 2017 by comparison with MCT – June 2017.
С учетом выраженной положительной динамики и хорошей переносимости поддерживающая терапия дурвалумабом в монорежиме в рамках клинического исследования CASPIAN была продолжена.
В июне 2020 г. при контрольной компьютерной томографии – КТ (рис. 5) у пациента выявлена правосторонняя нижнедолевая пневмония. Клинические проявления пневмонии отсутствовали, также не было выявлено отклонений лабораторных показателей. По результатам тестирования методом полимеразной цепной реакции РНК возбудителя COVID-19 не обнаружена. Также не выявлено антител классов IgM и IgG к возбудителю COVID-19. По согласованию с мультидисциплинарной комиссией решено продолжить иммунотерапию в прежнем режиме. По данным КТ грудной клетки от августа 2020 г. (см. рис. 5) отмечен регресс правосторонней нижнедолевой бронхопневмонии.
Рис. 5. КТ грудной клетки: регресс правосторонней нижнедолевой бронхопневмонии. / Fig. 5. Computed tomography of the chest: the regression of right-sided lower lobe bronchopneumonia.
В настоящий момент пациент продолжает поддерживающую терапию дурвалумабом, отмечается полный регресс заболевания. Ответ на терапию в динамике представлен на рис. 6. Всего с июня 2017 по март 2021 г. пациент получил 50 введений дурвалумаба. Таким образом, пациент получает терапию на протяжении 45 мес с сохранением полного регресса опухоли и без НЯ, связанных с лечением.
Рис. 6. Ответ на терапию в динамике. / Fig. 6. The response to therapy in follow-up control.
Обсуждение
В исследовании CASPIAN ХТ+ИТ на основе дурваумаба привела к статистически и клинически значимому увеличению ОВ пациентов с рМРЛ. Достоверного увеличения медианы ВБП не отмечено, однако доля пациентов без признаков прогрессии заболевания через 1 и 2 года наблюдения была выше в группе, получавшей ХТ+ИТ с дурвалумабом, по сравнению с группой, получавшей стандартную ХТ. В группе ХТ+ИТ показатели частоты объективного ответа были выше в сравнении с группой стандартной ХТ. Добавление дурвалумаба к стандартной ХТ не привело к увеличению токсичности. Кроме того, на фоне ХТ+ИТ качество жизни пациентов сохранялось в течение более длительного периода времени [8].
В исследовательском центре ГБУЗ СПб КНПцСВМП(о) в исследование CASPIAN были включены 11 пациентов, 7 из них были рандомизированы в группу EP. Интересно, что мОВ 7 пациентов, получавших стандартную ХТ, не превышала 5,6 мес, а максимальная выживаемость в этой группе пациентов составила 19,8 мес, в то же время выживаемость пациента в группе дурвалумаб + EP составила более 45 мес.
После прогрессии 2-ю линию терапии получили 3 пациента из группы стандартной ХТ, а 3-ю – только 1 (рис. 7). В то же время у пациента из группы ХТ+ИТ до настоящего момента не отмечено признаков прогрессии заболевания.
Рис. 7. Продолжительность ответа на терапию в исследовании CASPIAN. Опыт ГБУЗ СПб КНПцСВМП(о). / Fig. 7. The duration of the response to therapy in the CASPIAN trial. The experience of Saint Petersburg Clinical Scientific and Practical Center for Specialized Types of Medical Aid (oncological).
Настоящий клинический случай наглядно демонстрирует высокую эффективность и хорошую переносимость ХТ+ИТ на основе дурвалумаба при ранее не леченном рМРЛ.
Конфликт интересов. Авторы заявляют об отсутствии конфликта интересов.
Conflict of interests. The authors declare no conflict of interests.
About the authors
Albina S. Zhabina
Saint Petersburg Clinical Scientific and Practical Center for Specialized Types of Medical Aid (oncological)
Author for correspondence.
Email: albina_zhabina@inbox.ru
ORCID iD: 0000-0001-9749-8519
SPIN-code: 1724-7764
Cand. Sci. (Med.)
Russian Federation, Saint PetersburgFedor V. Moiseenko
Saint Petersburg Clinical Scientific and Practical Center for Specialized Types of Medical Aid (oncological); Petrov National Medical Research Center of Oncology; Mechnikov North-Western State Medical University
Email: moiseenkofv@gmail.com
ORCID iD: 0000-0003-2544-9042
D. Sci. (Med.)
Russian Federation, Saint Petersburg; Saint Petersburg; Saint PetersburgNikita M. Volkov
Saint Petersburg Clinical Scientific and Practical Center for Specialized Types of Medical Aid (oncological)
Email: volkovnm@gmail.com
ORCID iD: 0000-0002-6232-257X
Cand. Sci. (Med.)
Russian Federation, Saint PetersburgNuriniso Kh. Abduloeva
Saint Petersburg Clinical Scientific and Practical Center for Specialized Types of Medical Aid (oncological)
Email: Abduloeva-n@mail.ru
ORCID iD: 0000-0001-5236-0241
Cand. Sci. (Med.)
Russian Federation, Saint PetersburgVladimir M. Moiseenko
Saint Petersburg Clinical Scientific and Practical Center for Specialized Types of Medical Aid (oncological)
Email: moiseyenkov@gmail.com
ORCID iD: 0000-0002-2246-0441
D. Sci. (Med.), Prof.
Russian Federation, Saint PetersburgReferences
- Bychkov MB. Small cell lung cancer: status of the problem in 2013 and changes in the last 40 years. Malignant tumours. 2013;1:28-34. doi: 10.18027/2224-5057-2013-1-28-34
- Zikos E, Ghislain I, Coens C, et al. Health-related quality of life in small-cell lung cancer: a systematic review on reporting of methods and clinical issues in randomised controlled trials. Lancet Oncol. 2014;15(2):e78-e89. doi: 10.1016/S1470-2045(13)70493-5
- Soomro Z, Youssef M, Yust-Katz S, et al. Paraneoplastic syndromes in small cell lung cancer. J Thorac Dis. 2020;12(10):6253-63. doi: 10.21037/jtd.2020.03.88
- Sabari JK, Lok BH, Laird JH, et al. Unravelling the biology of SCLC: implications for therapy. Nat Rev Clin Oncol. 2017;14(9):549-61. doi: 10.1038/nrclinonc.2017.71
- Farago AF, Keane FK. Current standards for clinical management of small cell lung cancer. Transl Lung Cancer Res. 2018;7(1):69-79. doi: 10.21037/tlcr.2018.01.16
- Zhou T, Zhang Z, Luo F, et al. Comparison of First-Line Treatments for Patients With Extensive-Stage Small Cell Lung Cancer: A Systematic Review and Network Meta-analysis. JAMA Netw Open. 2020;3(10):e2015748. doi: 10.1001/jamanetworkopen.2020.15748
- Paz-Ares L, Dvorkin M, Chen Y, et al; CASPIAN investigators. Durvalumab plus platinum-etoposide versus platinum-etoposide in first-line treatment of extensive-stage small-cell lung cancer (CASPIAN): a randomised, controlled, open-label, phase 3 trial. Lancet. 2019;394(10212):1929-39. doi: 10.1016/S0140-6736(19)32222-6
- Goldman JW, Dvorkin M, Chen Y, et al. CASPIAN investigators. Durvalumab, with or without tremelimumab, plus platinum-etoposide versus platinum-etoposide alone in first-line treatment of extensive-stage small-cell lung cancer (CASPIAN): updated results from a randomised, controlled, open-label, phase 3 trial. Lancet Oncol. 2021;22(1):51-65. doi: 10.1016/S1470-2045(20)30539-8
- Goldman JW, Garassino MC, Chen Y, et al. Patient-reported outcomes with first-line durvalumab plus platinum-etoposide versus platinum-etoposide in extensive-stage small-cell lung cancer (CASPIAN): a randomized, controlled, open-label, phase III study. Lung Cancer. 2020;149:46-52. doi: 10.1016/j.lungcan.2020.09.003
Supplementary files










