Treatment of metastatic hepatocellular carcinoma with lenvatinib. Case report and literature review
- Authors: Menshikov K.V.1,2, Sultanbaev A.V.2, Akhmetgareeva K.T.1, Lipatov D.O.1
-
Affiliations:
- Bashkir State Medical University
- Republican Clinical Oncological Dispensary
- Issue: Vol 23, No 1 (2021)
- Pages: 156-161
- Section: CLINICAL ONCOLOGY
- Submitted: 11.05.2021
- Accepted: 11.05.2021
- Published: 19.05.2021
- URL: https://modernonco.orscience.ru/1815-1434/article/view/70477
- DOI: https://doi.org/10.26442/18151434.2021.1.200785
- ID: 70477
Cite item
Full Text
Abstract
Hepatocellular carcinoma (HCC) or liver cancer is the most common primary malignant tumor of the liver, which is characterized on the first place by a poor prognosis. HCC was diagnosed in 92 patients (62.6%) in 2019 and the period from January to April 2020 in the Republic of Bashkortostan, and among them, 68.47% had stage IV cancer. International professional guidelines suggest screening for early HCC detection. Systemic drug therapy is the treatment of choice for inoperable HCC according to professional guidelines. Inhibition of the VEGF pathway is one of the current methods of therapy for advanced HCC. Lenvatinib is a tyrosine kinase inhibitor for the treatment of advanced HCC that is not subject to local interventions. This article provides a description of a clinical case of successful treatment of a 67-year-old patient with advanced hepatocellular carcinoma. He was appointed for targeted therapy with lenvatinib for HCC that was not subject to local interventions, which led to long-term stabilization. There was a positive trend in the patient’s condition from the first weeks of therapy. The working capacity was restored. The therapy showed a satisfactory tolerability profile.
Keywords
Full Text
Введение
Гепатоцеллюлярный рак (ГЦР), или печеночно-клеточный рак, – самая частая первичная злокачественная опухоль печени, по данным разных авторов, от 70 до 90% опухолевой патологии приходится на ГЦР. ГЦР имеет крайне агрессивное течение, характеризуется прежде всего неблагоприятным прогнозом. Пятилетняя выживаемость больных ГЦР по данным годового национального отчета США имеет тенденцию к улучшению, но не превышает 18% [1, 2].
Согласно мировой статистике смертность от рака печени составила 782 тыс. случаев в 2018 г. [3]. Соотношение смертности к заболеваемости достигает 0,93, что демонстрирует неблагоприятный прогноз при данной локализации. В Российской Федерации в 2019 г. выявлено 5989 пациентов с ГЦР, из них активно на профилактических осмотрах – всего 7,2%. Летальность на 1-м году с момента установления диагноза составила 66,5%, выше только при злокачественных новообразованиях поджелудочной железы – 67,3%. Индекс накопления контингента больных со злокачественными опухолями печени – 1,4, что является наряду с опухолями поджелудочной железы самым низким среди всех локализаций. Даже при раке легкого данный показатель в 2 раза выше [4, 5]. В Республике Башкортостан за 2019 г. и период январь–апрель 2020 г. выявлены 147 пациентов с первичными злокачественными опухолями печени. Диагноз ГЦР был установлен у 92 (62,6%) пациентов, среди них 68,47% – IV стадия опухолевого процесса, умерли 57 (61,95%) человек [6].
ГЦР развивается, как правило, в печени, инфицированной вирусами гепатита [вирусами гепатита В (HBV) или гепатита С (HCV)]. В последнее время в мире все большее внимание уделяется фоновым метаболическим нарушениям, таким как алкогольная болезнь печени и неалкогольная жировая болезнь печени, приводящим к развитию ГЦР. Несмотря на применение эффективных противовирусных препаратов для лечения вирусных гепатитов В и С, риск развития ГЦР остается значимым, особенно при выраженном фиброзе печени [7]. И на сегодняшний день не существует лекарственной терапии, блокирующей развитие ГЦР у пациентов с алкогольной болезнью печени и неалкогольной жировой болезнью печени [8].
Принимая во внимание значительные риски развития ГЦК и то, что наиболее полный набор вариантов лечения доступен лишь на ранних стадиях, международные профессиональные рекомендации предлагают проведение скрининга с применением ультразвукового исследования (УЗИ) и определением a-фетопротеина в сыворотке крови у всех пациентов с циррозом печени любой этиологии [9].
В отсутствие скрининга хирургическое лечение, в том числе трансплантация печени, возможно лишь у небольшого числа пациентов с ГЦР. Подавляющее же большинство пациентов с ГЦР имеют распространенную стадию заболевания и относятся к стадиям В, С и D по Барселонской классификации ГЦР, одобренной Американской и Европейской ассоциациями по изучению болезней печени.
Согласно мировым и российским рекомендациям (NCCN, EASL-EORTC, AASLD, RUSSCO и др.), пациентам с ГЦР, не подлежащим локальным методам лечения, назначается системная лекарственная терапия [10]. Одним из актуальных методов лечения распространенного ГЦР является ингибирование пути VEGF, что, в свою очередь, приводит к быстрым и устойчивым клиническим ответам [11]. Первым препаратом из группы ингибиторов тирозинкиназ, продемонстрировавшим эффективность и зарегистрированным для терапии ГЦР, стал сорафениб. Сорафениб – мультикиназный ингибитор, оказывающий антипролиферативный эффект посредством блокады рецепторов фактора роста эндотелия сосудов 1, 2 и 3-го типов (VEGFR-1, VEGFR-2, VEGFR-3), тромбоцитарного фактора роста (PDGFR) α и β, KIT, Flt-3, RET и внутриклеточного сигнального пути JAK/STAT [12]. В регистрационном исследовании III фазы SHARP (Sorafenib HCC Assessment Randomized Protocol) впервые было показано увеличение выживаемости больных распространенным ГЦР, не подлежащих локальным видам лечения [13].
Второй препарат из группы ингибиторов тирозинкиназ для лечения распространенного, не подлежащего локальному лечению ГЦР – ленватиниб. Ленватиниб – пероральный мультикиназный ингибитор, мишенью которого являются рецепторы VEGF-1, 2 и 3, рецепторы FGF-1, 2, 3 и 4, PDGFRα, RET и с-KIT. 22 сентября 2017 г. препарат зарегистрирован Управлением по контролю пищевых продуктов и лекарств в США в качестве 1-й линии лечения распространенного ГЦР по результатам опубликованных исследований III фазы. REFLECT – это открытое исследование III фазы по оценке не меньшей эффективности и безопасности ленватиниба (n=478) по сравнению с сорафенибом (n=476) при применении в качестве системной терапии 1-й линии у пациентов с ГЦР [14]. Дизайн клинического исследования представлен на рис. 1.
Fig. 1. The design of the REFLECT study.
В исследовании REFLECT ленватиниб сравнивался со стандартной терапией неоперабельного ГЦР (нГРЦ) – сорафенибом. Медиана общей выживаемости (ОВ) в группе ленватиниба, составляла 13,6 мес (95% доверительный интервал ДИ 12,1–14,9 мес) в сравнении с 12,3 мес (95% ДИ 10,4–13,9 мес) в группе сорафениба (отношение рисков – ОР 0,92; 95% ДИ 0,79–1,06) [14]. На рис. 2 представлена первичная конечная точка: оценка ОВ методом Каплана–Мейера. Медиана выживаемости без прогрессирования (ВБП) составила 7,4 мес (95% ДИ 6,9–8,8 мес), а медиана времени до прогрессирования (ВДП) – 8,9 мес (95% ДИ 7,4–9,2 мес) при лечении ленватинибом, в сравнении с медианой ВБП 3,7 мес [95% ДИ 3,6–4,6 мес] (ОР 0,66; 95% ДИ 0,57–0,77; p<0,00001) и медианой ВДП, составляющей 3,7 мес, при терапии сорафенибом [95% ДИ 3,6–5,4 мес] (ОР 0,63; 95% ДИ 0,53–0,73; p<0,00001) [14]. Кроме того, при терапии ленватинибом наблюдался значительно более высокий показатель частоты объективных ответов (ЧОО) – 24% по сравнению с терапией сорафенибом – 9% (коэффициент неравенства: 3,13; 95% ДИ 2,15–4,56; p<0,00001) [14]. ЧОО рассчитывалась в соответствии с критериями mRECIST [14].
Среди пациентов, получавших ленватиниб, наиболее частыми связанными с лечением нежелательными явлениями (НЯ) любой степени выраженности были: артериальная гипертензия (42,2%), диарея (38,7%), снижение аппетита (34,0%) и снижение массы тела (30,9%) [14]. В группе, получавшей сорафениб, наиболее частыми НЯ были ладонно-подошвенная эритродизестезия [ладонно-подошвенный синдром] (52,4%), диарея (46,3%), гипертензия (30,3%) и снижение аппетита (26,3%) [14]. Во время исследования НЯ возникли у 98,7% пациентов в группе, получавшей ленватиниб, и у 99,4% пациентов в группе, получавшей сорафениб [14].
Рис. 2. Первичная конечная точка: оценка ОВ по методу Каплана–Мейера (адаптировано из M. Kudo и соавт., 2018 [14]).
Fig. 2. The primary endpoint: The Kaplan-Meier-method for the analyzation of overall survival (adapted from M. Kudo et al., 2018 [14]).
Достаточно интересные данные получены при изучении такого важного фактора, как качество жизни. Данное исследование проводилось при помощи стандартного опросника по качеству жизни, связанному со здоровьем, EORTC QLQ-C30, и ГЦР-специфического опросника, связанного со здоровьем, EORTC QLQ-HCC18. Опросники заполнялись на исходном уровне, в последующем в 1-й день каждого цикла терапии и на этапе заключительного визита. Больше 98% пациентов заполнили опросники в каждой временной точке. Для большинства доменов влияние на HRQoL было в целом аналогичным между ленватинибом и сорафенибом. Согласно опроснику EORTC-QLQ-C30 пациенты, получавшие ленватиниб, отмечали клинически значимую задержку в ухудшении ежедневной активности, боли и диареи по сравнению с пациентами, получавшими сорафениб. Согласно опроснику EORTC-QLQ-HCC18 пациенты, получавшие ленватиниб, отмечали клинически значимую задержку в ухудшении питания и самочувствия по сравнению с пациентами, получавшими сорафениб [15].
Таким образом, ленватиниб продемонстрировал не меньшую эффективность в сравнении с сорафенибом с точки зрения ОВ у пациентов с неоперабельным ГЦР (13,6 мес для ленватиниба и 12,3 мес для сорафениба) и позволил достичь статистически достоверного и клинически значимого улучшения ВБП, ВДП, ЧОО и сохранения качества жизни в сравнении с сорафенибом в этой популяции.
Клинический случай
Пациент Д., 67 лет, мужчина, масса тела 71,3 кг, болен с декабря 2015 г. Жалобы на слабость, боли в правом подреберье, снижение массы тела до 10% от исходной. В феврале 2016 г. обратился в поликлинику по месту жительства, где по данным проведенного УЗИ выявлено наличие опухоли печени. Пациент направлен в Республиканский клинический онкологический диспансер г. Уфы.
В условиях онкологического диспансера пациент дообследован. Выявлено повышение онкомаркера a-фетопротеина, уровень которого составил 127 нг / мл на момент обращения. Под контролем УЗИ произведена биопсия опухоли печени, диагноз верифицирован морфологически: балочный рисунок печени сохранен, зернистая дистрофия гепатоцитов с воспалительной инфильтрацией перидуктальных трактов и фрагментом опухоли с выраженным фиброзом стромы. Полиморфные клетки образуют трабекулы и железисто-подобные структуры. Заключение – ГЦР.
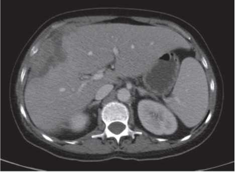
Рис. 3. КТ ОБП, начало контрастирования.
Fig. 3. Computed tomography (CT) scan of the abdomen, the beginning of contrast-injection.
Проведена компьютерная томография (КТ) органов грудной клетки, органов брюшной полости (ОБП), органов малого таза. По результатам обследования выявлено распространенное заболевание – многоузловая опухоль печени с множественными метастазами в легкие.
При первоначальной оценке функции печени пациент не имел признаков энцефалопатии, по данным КТ асцит незначительный, альбумин 32 г/л, международное нормализованное отношение 1,4, уровень общего билирубина 37,6 мкмоль / л.
Дигноз: ГЦР IV стадии T3BN0M1 гр. IV. Метастазы в легкие. BCLC С. Класс цирроза В по Чайлду–Пью.
Сопутствующие заболевания: гипертоническая болезнь II стадии, 1-й степени, риск сердечно-сосудистых осложнений 3; хронический панкреатит, ремиссия; хронический гастрит, ремиссия; мочекаменная болезнь; хронический пиелонефрит, стадия ремиссии.
На начало терапии статус по ECOG – 1 балл, общее состояние удовлетворительное. Основные жалобы на слабость 1–2-й степени, боли в правом подреберье 1-й степени, купирующиеся нерегулярным приемом нестероидных противовоспалительных препаратов, снижение массы тела до 10% от исходной. Пациент отмечал снижение трудоспособности.
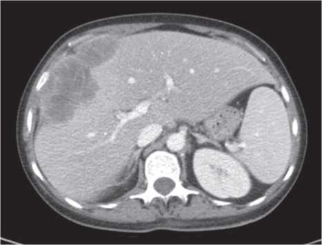
На начало терапии имелся сливной таргетный очаг в печени с преимущественным поражением правой доли – 203 мм, нетаргетные очаги – метастазы в легкие до 5 мм, свободная жидкость в брюшной полости в незначительном количестве (рис. 3, 4).
Рис. 4. КТ ОБП, венозная фаза. Сумма наибольших диаметров таргетных очагов 203 мм.
Fig. 4. Venous phase abdominal CT. The sum of the longest diameter of the target lesions is 203 mm.
В феврале 2016 г. больной начал терапию ленватинибом в дозе 12 мг / сут внутрь однократно.
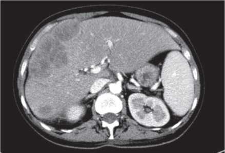
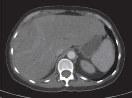
Через 6 мес от начала терапии при контрольном обследовании на КТ с контрастированием было зарегистрировано уменьшение суммы таргетных очагов до 184 мм (-9% от исходной), что соответствует стабилизации по критериям mRECIST (рис. 5, 6).
Рис. 6. КТ ОБП через 6 мес от начала терапии ленватинибом, венозная фаза. Сумма наибольших диаметров таргетных очагов 184 мм.
Fig. 6. Venous phase abdominal CT scans 6 months after starting lenvatinib therapy. The sum of the longest diameter of the target lesions is 184 mm.
При последующем исследовании в феврале 2017 г. выявлено уменьшение суммы диаметров до 157 мм (-23% от исходной), а в августе 2017 г. зафиксирован небольшой рост таргетных очагов на 3%, что расценено как стабилизация заболевания (табл. 1).
Таблица 1. Динамика изменения размера таргетного очага по данным КТ Table 1. The dynamics of the size of the target lesions according to CT data | |||||
Локализация/дата | 17.02.2016 | 04.08.2016 | 18.02.2017 | 14.08.2017 | Декабрь 2017 |
Печень (сумма таргетных очагов /процент изменения) | 203 мм | 184 мм (-9%) | 157 мм (-23%) | 162 мм (+3%) | Увеличение более чем на 20% |
Состояние пациента на протяжении всего периода терапии ленватинибом оставалось удовлетворительным, статус по ECOG – 1 балл. Жалобы на слабость 1-й степени сохранялись, масса тела оставалась стабильной, в пределах 10% от исходной. Трудоспособность сохранялась, пациент выполнял все необходимые работы по дому самостоятельно.
НЯ представлены в табл. 2. Выраженность НЯ не превышала 2-й степени.
Таблица 2. НЯ на фоне терапии ленватинибом Table 2. Adverse effects against the background of lenvatinib therapy | |
НЯ | Степень по CTCAE 5.0 |
Кожная токсичность | 2 |
Артериальная гипертензия | 2 |
Головная боль | 1 |
Диарея | 1 |
НЯ носили контролируемый характер, редукции дозы ленватиниба, как и отмены, не потребовали. Артериальная гипертензия купировалась приемом антигипертензивных препаратов по рекомендации кардиолога.
Лабораторные показатели на протяжении лечения оставались стабильными и не потребовали коррекции.
Прогрессирование заболевания зарегистрировано на 22-м месяце терапии, в декабре 2017 г. по данным КТ согласно критериям mRECIST. Ленватиниб был отменен. Попытка терапии 2-й линии не предпринималась, так как клинически отмечалось стремительное ухудшение состояния. Пациент умер на фоне прогрессии ГЦР через 23 мес от начала лечения ленватинибом.
Заключение
Назначение таргетной терапии ленватинибом пациенту с ГЦР, не подлежащим локальным методам лечения, привело к стабилизации, сохранявшейся на протяжении более 22 мес. С первых недель терапии наблюдалась положительная динамика в состоянии пациента. Была восстановлена трудоспособность, сохранялась возможность активно заниматься повседневной деятельностью. Терапия показала удовлетворительный профиль переносимости у пациента с коморбидной патологией. НЯ, связанные с терапией, были краткосрочными и не влияли на качество жизни пациента.
Конфликт интересов. Авторы заявляют об отсутствии конфликта интересов.
Conflict of interests. The authors declare no conflict of interest.
Данная публикация подготовлена при финансовой поддержке компании «Эйсай». Авторы несут полную ответственность за содержание публикации и редакционные решения.
This work was supported by Eisai Co., Ltd. The authors are fully responsible for the content of the manuscript and editorial decisions.
About the authors
Konstantin V. Menshikov
Bashkir State Medical University; Republican Clinical Oncological Dispensary
Author for correspondence.
Email: kmenshikov80@bk.ru
ORCID iD: 0000-0003-3734-2779
Cand. Sci. (Med.)
Russian Federation, Ufa; UfaAleksandr V. Sultanbaev
Republican Clinical Oncological Dispensary
Email: rkodrb@yandex.ru
ORCID iD: 0000-0003-0996-5995
Cand. Sci. (Med.)
Russian Federation, UfaKamila T. Akhmetgareeva
Bashkir State Medical University
Email: dr.camilaakhmetgareeva@gmail.com
ORCID iD: 0000-0003-0773-1239
Graduate Student
Russian Federation, UfaDanila O. Lipatov
Bashkir State Medical University
Email: lipatov911@gmail.com
ORCID iD: 0000-0002-3193-9008
Student
Russian Federation, UfaReferences
- Torre LA, Siegel RL, Elizabeth M. Ward and Ahmedin Jemal. Global Cancer Incidence and Mortality Rates and Trends – An Update. Cancer Epidemiol Biomarkers Prev 2016; 25: 16–27.
- Jemal A, Ward EM, Johnson CJ, et al. Annual Report to the Nation on the Status of Cancer, 1975–2014, Featuring Survival. J Natl Cancer Inst 2017; 109 (9).
- Bray F, Ferlay J, Soerjomataram I, et al. Global cancer statistics 2018: GLOBOCAN estimates of incidence and mortality worldwide for 36 cancers in 185 countries. CA Cancer J Clin 2018; 68: 394–424.
- Состояние онкологической помощи населению России в 2019 году. Под ред. А.Д. Каприна, В.В. Старинского, А.О. Шахазадовой. М.: МНИОИ им. П.А. Герцена – филиал ФГБУ «НМИЦ радиологии» Минздрава России, 2020 [The state of cancer care for the population of Russia in 2019. Ed. AD Kaprina, VV Starinsky, AO Shahazadova. MNIOI them. PA Herzen is a branch of the Federal State Budgetary Institution «National Medical Research Center of Radiology» of the Ministry of Health of Russia. Moscow, 2020 (in Russian)].
- Ахметгареева К.Т., Липатов О.Н., Меньшиков К.В., Султанбаев А.В. Заболеваемость первичным раком печени в Республике Башкортостан. В кн.: Белые ночи 2020. Тезисы VI Петербургского международного онкологического форума. СПб., 2020; с. 22 [Akhmetgareeva KT, Lipatov ON, Menshikov KV, Sultanbaev AV. The incidence of primary liver cancer in the Republic of Bashkortostan. In the book: White Nights 2020. Abstracts of the VI St. Petersburg International Oncological Forum. Saint Petersburg, 2020; p. 22 (in Russian)].
- Tseng C-H, Hsu Y-C, Chen T-H, et al. Hepatocellular carcinoma incidence with tenofovir versus entecavir in chronic hepatitis B: A systematic review and meta-analysis. Lancet Gastroenterol Hepatol 2020; 5: 1039–52.
- Carrat F, Fontaine H, Dorival C, et al. Clinical outcomes in patients with chronic hepatitis C after direct-acting antiviral treatment: A prospective cohort study. Lancet 2019; 393: 1453–64.
- Kubota N, Fujiwara N, Hoshida Y. Clinical and Molecular Prediction of Hepatocellular Carcinoma Risk. J Clin Med 2020; 9: 3843.
- Pazgan-Simon M, Simon KA, Jarowicz E, et al. Hepatitis B virus treatment in hepatocellular carcinoma patients prolongs survival and reduces the risk of cancer recurrence. Clin Exp Hepatol 2018; 4 (3): 210–6. doi: 10.5114/ceh.2018.78127
- Бредер В.В., Лактионов К.К., Давыдов М.М. Лекарственное лечение гепатоцеллюлярного рака: практические вопросы и решения. Медицинский совет. 2017; 14: 11–23 [Breder VV, Laktionov KK, Davydov MM. Lekarstvennoe lechenie gepatotselliuliarnogo raka: prakticheskie voprosy i resheniia. Meditsinskii sovet. 2017; 14: 11–23 (in Russian)]. doi: 10.21518/2079-701X-2017-14-11-23
- Kieran MW, Kalluri R, Cho YJ. The VEGF pathway in cancer and disease: responses, resistance, and the path forward. Cold Spring Harb Perspect Med. 2012; 2.
- Carlomagno F, Anaganti S, Guida T, et al. BAY 43-9006 inhibition of oncogenic RET mutants. J Natl Cancer Inst 2006; 98 (5): 326–34.
- Llovet JJM, Ricci S, Mazzaferro V, et al. Sorafenib in advanced hepatocellular carcinoma. N Engl J Med 2008; 359 (4): 378–390.
- Kudo M, Finn RS, Qin S, et al. Lenvatinib versus sorafenib in first-line treatment of patients with unresectable hepatocellular carcinoma: a randomised phase 3 non-inferiority trial. Lancet 2018; 391: 1163–73.
- Vogel A, Qin S, Kudo M, et al. Health-Related Quality of Life (HRQOL) and Disease Symptoms in Patients with Unresectable Hepatocellular Carcinoma (HCC) Treated with Lenvatinib (LEN) or Sorafenib (SOR). Ann Oncol 2017; 28 (Suppl. 5): v209–v268. doi: 10.1093/annonc/mdx369.002.
Supplementary files








