Diagnosis of renal cell carcinoma in patients with prostate cancer: capabilities of PET/CT with 18F-PSMA-1007
- Authors: Ognerubov N.A.1, Mirsalimova O.O.2, Antipova T.S.2
- 
							Affiliations: 
							- Russian Medical Academy of Continuous Professional Education
- PET-Technology
 
- Issue: Vol 27, No 2 (2025)
- Pages: 130-135
- Section: Articles
- Submitted: 17.07.2025
- Accepted: 17.07.2025
- Published: 17.07.2025
- URL: https://modernonco.orscience.ru/1815-1434/article/view/687739
- DOI: https://doi.org/10.26442/18151434.2025.2.203318
- ID: 687739
Cite item
Full Text
Abstract
Background. Prostate cancer (PCa) ranks 4th and 8th in the structure of morbidity and mortality worldwide. Combined positron emission and X-ray computed tomography (PET/CT) with a ligand of a prostate-specific membrane antigen is very encouraging in prostate cancer, renal cell carcinoma (RCC), lung cancer, and breast cancer in the staging work-up of the primary tumor, evaluation of the therapy effectiveness, and observation.
Aim. To evaluate the capabilities of PET/CT with 18F-PSMA-1007 for the diagnosis of primary renal tumors in patients with PCa.
Materials and methods. The study included 492 patients with histologically confirmed stage I–IV PCa. All patients were examined with PET/CT with 18F-PSMA-1007 during staging work-up, therapy, follow-up, and restaging in case of progression. The imaging was performed on a GE Discovery PET/CT 710 scanner.
Results. Twenty-four (4.9%) patients had multiple primary malignancies of various localizations. In 8 (1.6%) of them, clear-cell RCC was diagnosed. The median age was 73.3 years. In most cases, the tumor was synchronous (6 [75%] patients) and metachronous (2 [25%] patients). The tumor was localized in the left kidney in 6 (62.5%) patients and the right kidney in 3 (37.5%) patients. The tumor was diagnosed in the upper segment in 5 cases, in the anterior segment, in 2 patients, and 1 patient had the tumor in the lower segment. The size of the primary tumor averaged 33.8 mm, corresponding to the T1a category. The median SUVmax in the tumor was 17.92. Histological examination of tumor biopsy specimens showed clear-cell RCC. In the first stage, surgical treatment was performed on 7 patients: 2 had laparoscopic nephrectomy, and 5 had organ-sparing interventions with an endoscopic approach. Systemic therapy was administered to 1 patient.
Conclusion. PET/CT with 18F-PSMA-1007 is an alternative method for assessing the extension of the tumor process in patients with PCa during therapy and diagnosis. It detected primary multiple renal tumors in 1.6% of patients. The tumor size averaged 33.8 mm, corresponding to the T1a stage. In such cases, treatment should begin with surgery, allowing for the tailoring of treatment options.
Full Text
Введение
Рак предстательной железы (РПЖ) в структуре заболеваемости и смертности в мире, по данным Globocan, в 2022 г. занимал 4 и 8-е место, составляя 1 467 854 новых случая и 397 430 смертей соответственно. В России аналогичные показатели имели 7 и 9-е место, а в абсолютных показателях – 29 109 и 9 148 случаев соответственно [1].
Среди различных гистологических вариантов почечно-клеточного рака (ПКР) на долю светлоклеточного приходится 90% [2].
На сегодняшний день для диагностики рака почки традиционно применяют ультразвуковое исследование, рентгеновскую компьютерную томографию (РКТ) и магнитно-резонансную томографию (МРТ), основным недостатком которых является отсутствие надежных критериев при проведении дифференциальной диагностики доброкачественных новообразований от злокачественных. Поэтому большинство опухолей выявляются случайно, как находка [3]. Кроме того, в 20–30% случаев уже на догоспитальном этапе диагностируют метастатический опухолевый процесс, а при радикальном лечении в процессе диспансерного наблюдения у 40% больных происходит прогрессирование [2, 4, 5].
ПКР является наиболее летальным раком среди опухолей мочеполовой системы, поскольку его выявление на ранних стадиях затруднительно из-за отсутствия специфических симптомов [2].
В связи с этим ранняя диагностика опухолевого процесса в почке является залогом успешного лечения и увеличения продолжительности жизни больных. При локализованном раке почки хирургическое лечение на I этапе является методом выбора, включая малоинвазивные технологии.
На сегодняшний день позитронно-эмиссионная томография, совмещенная с РКТ (ПЭТ/КТ), с лигандом простата-специфического мембранного антигена (ПСМА) становится все более важной диагностической опцией среди всех методов медицинской визуализации не только при РПЖ, но и при некоторых других локализациях злокачественных опухолей [6, 7].
ПСМА – это трансмембранный гликопротеин, который с большой частотой экспрессируется на клетках опухоли и эндотелии вновь образованных в ней сосудов при заболеваниях предстательной железы, ПКР, раке легких и молочной железы (МЖ) [8].
В 2014 г. E. Demirci и соавт. впервые описали случай диагностики метастатического светлоклеточного ПКР при одновременном применении ПЭТ/КТ с трейсерами 18F-фтордезоксиглюкозы (18F-ФДГ) и 68Ga-ПСМА. При этом лиганд ПСМА позволил выявить значительно больше метастатических проявлений [9].
Согласно имеющимся данным применение ПСМА с целью визуализации при ПКР имеет определенные перспективы в будущем. Так, его использование позволяет выявить раннюю стадию рТ, а также неблагоприятные патоморфологические изменения при локализованном светлоклеточном ПКР [10].
Ряд исследований указывает, что различные гистологические варианты и степень распространенности опухолевого процесса имеют неодинаковое сродство, включая низкое поглощение опухолью лиганда ПСМА [11, 12]. В связи с этим данная особенность обусловливает низкое соотношение SUV опухоль/фон, что затрудняет локальное стадирование. В настоящее время применяют новые трейсеры ПСМА, которые лишены или имеют меньшую почечную экскрецию, одним из представителей которых является PSMA-1007. Они обеспечивают лучшее соотношение опухоль/фон и больше подходят для визуализации первичных опухолей [13].
Среди различных гистологических вариантов рака почки светлоклеточный относительно других имеет самый высокий уровень экспрессии ПСМА [14].
Применение ПЭТ/КТ с лигандом ПСМА обеспечивает раннюю оценку эффективности проводимой терапии, что позволяет воздержаться от ненужного и дорогостоящего лечения [15].
Цель исследования – оценить возможности ПЭТ/КТ с 18F-PSMA-1007 для диагностики первичных опухолей почек у больных РПЖ.
Материалы и методы
Под наблюдением находились 492 пациента с гистологически подтвержденным РПЖ I–IV стадий в возрастном диапазоне от 68 до 83 лет, медиана – 73,3 года. Всем больным на различных этапах лечебно-диагностического процесса, включая первичное стадирование, оценку эффекта проводимой терапии и последующее рестадирование при прогрессировании и динамическое наблюдение, выполнена ПЭТ/КТ с 18F-PSMA-1007. Этому предшествовали стандартные методы медицинской визуализации, включая ультразвуковое исследование, РКТ и МРТ органов малого таза с контрастированием. Гистологическая верификация диагноза РПЖ проводилась по результатам морфологического исследования материала, полученного при трансректальной биопсии, а опухоли почек – при биопсии под ультразвуковой навигацией. Следует отметить, что в подавляющем большинстве случаев (91%) диагностирована ацинарная аденокарцинома, градация которой проводилась по шкале Глисона. Во всех случаях ПКР представлен светлоклеточным вариантом. Оценка ПЭТ/КТ изображений проводилась качественным и полуколичественным методом с определением стандартизированного коэффициента максимального накопления опухолью радиофармпрепарата (РФП) SUVmax.
Результаты
При ретроспективном анализе у 24 (4,9%) пациентов выявлены первичные злокачественные опухоли различных локализаций – почек, желудка, легких, прямой кишки, поджелудочной железы. Среди них первичный ПКР диагностирован у 8 (1,6%) пациентов, занимая 1-е место.
Во всех случаях при гистологическом исследовании биоптатов из опухолей почек выявлен светлоклеточный ПКР. В подавляющем большинстве наблюдений – 6 (75%) – они расценены как синхронные, поскольку диагностированы одновременно с первичным РПЖ или на протяжении 6 мес после постановки диагноза. Только у 2 пациентов опухоли почки расценены как метахронные. У одного из них она выявлена через 8 мес после начала применения андрогендепривационной терапии в комбинации с ингибиторами андрогеновых рецепторов. У второго 83-летнего пациента первичная опухоль почки диагностирована через 26 мес после радикальной простатэктомии с тазовой лимфаденэктомией в процессе динамического наблюдения. Латентный период составил 8 и 26 мес соответственно.
Опухоли локализовались, как правило, в левой почке – 5 (62,5%) и в правой – у 3 больных. В верхнем сегменте почки опухоли диагностированы в 5 случаях, реже в среднем – 2 наблюдения, а в нижнем сегменте – только у 1 пациента. Величина опухоли находилась в диапазоне от 19 до 70 мм при медиане 33,8 мм. Только у 1 больного ее размер составил 70 мм. По классификации TNM это соответствует локализованной опухоли Т1а, а клиническая стадия – cT1aN0M0 (табл. 1).
Таблица 1. Характеристика больных первичным ПКР при РПЖ (n = 8)
Table 1. Characteristics of patients with primary renal cell carcinoma (RCC) in prostate cancer (PCa) (n = 8)
| РПЖ | ПКР | ||||||||
| возраст, лет | стадия | шкала Глисона, баллы | стадия | синхронный | метахронный | сторона | локализация, сегмент | размер, мм | SUVmax | 
| 70 | T3aN1M1b | 4 + 5 = 9 | T1aN0M0 | - | + | Слева | Передний | 48 | 18,24 | 
| 68 | T2cN0M1b | 3 + 4 = 7 | T1aN0M0 | + | - | Слева | Верхний | 24 | 13,51 | 
| 74 | T2cN0M0 | 3 + 3 = 6 | T1aN0M0 | + | - | Слева | Верхний | 26 | 12,8 | 
| 70 | T2аN0M0 | 4 + 3 = 7 | T1aN0M0 | + | - | Слева | Передний | 29 | 18,93 | 
| 72 | T3bN0M0 | 3+4 = 7 | T1aN0M0 | - | + | Слева | Верхний | 22 | 7,78 | 
| 71 | T2cN1M1c | 3 + 4 = 7 | T1aN0M0 | + | - | Справа | Нижний | 70 | 26,66 | 
| 78 | T1cN0M0 | 3 + 4 = 7 | T1aN0M0 | + | - | Справа | Верхний | 32 | 27,03 | 
| 83 | T3bN0M1b | 4 + 4 = 8 | T1aN0M0 | + | - | Справа | Верхний | 19 | 18,43 | 
При качественном анализе изображений ПЭТ/КТ опухоли почки имели кистозно-солидный характер в 5 случаях и только у 3 больных носили солидный характер. Полуколичественный анализ оценивался по величине стандартизированного коэффициента максимального накопления опухолью РФП SUVmax, величина которого колебалась в диапазоне от 7,78 до 26,66, а медиана составила 17,92. На рис. 1–6 представлены возможности ПЭТ/КТ с 18F-PSMA-1007 для диагностики первичного синхронного и метахронного ПКР у больных РПЖ.
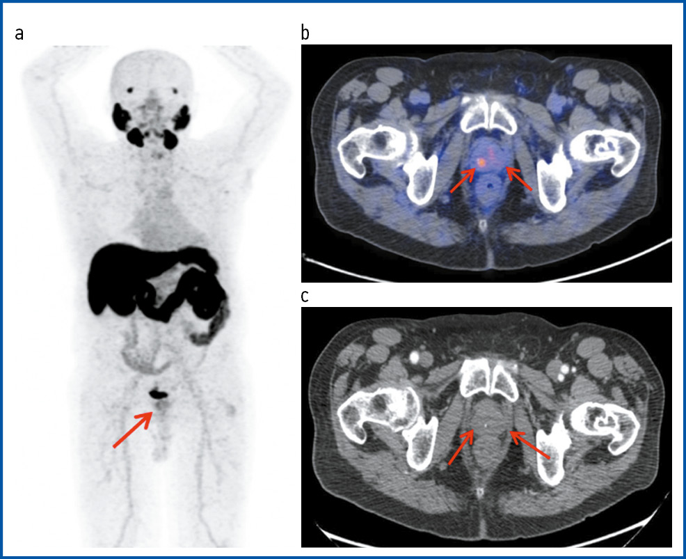
Рис. 1. Пациент С., 74 года. ПЭТ/КТ с 18F-PSMA. РПЖ, стадия сT2сN0M0. 3 + 3 = 6 по Глисону. Первичный синхронный светлоклеточный ПКР. На MIP (a) и аксиальной проекции ПЭТ/КТ (b) и КТ-исследовании (c) предстательная железа размерами 37 × 26 мм, умеренно-неоднородной структуры за счет периуретральных кальцинатов, с диффузно-повышенной фиксацией РФП, SUVmax 5,55, без четкого субстрата на КТ.
Fig. 1. Patient S., 74 years old. PET/CT with 18F-PSMA PCa, cT2cN0M0 stage. Gleason score 3 + 3 = 6. Primary synchronous clear cell RCC. On MIP and axial view of PET/CT and CT images, the prostate gland was 37 × 26 mm, with a moderately heterogeneous structure due to periurethral calcifications, with diffusely increased uptake of the radiopharmaceutical agent (RPA), SUVmax 5.55, with no distinct substrate on CT images.
Рис. 2. Пациент С., 74 года. ПЭТ/КТ с 18F-PSMA. В аксиальной проекции КТ (a) и ПЭТ/КТ-исследовании (b) левая почка уменьшена в размерах. В ее верхнем сегменте визуализируется кистозно-солидное образование с гиперфиксацией РФП, SUVmax 12,8, размерами 26 × 23 мм. Чашечно-лоханочные системы и мочеточники не расширены. Конкрементов не выявлено.
Fig. 2. Patient S., 74 years old. PET/CT with 18F-PSMA. In the axial view of CT and PET/CT imaging, the left kidney was reduced in size. In its upper segment, a cystic-solid mass was visualized with RPA hyper uptake, SUVmax 12.8, 26 × 23 mm. The renal collecting systems and ureters were not dilated. No concretions were detected.
Рис. 3. Пациент С., 74 года. ПЭТ/КТ с 18F-PSMA. В коронарной проекции КТ (a) и ПЭТ/КТ-исследовании (b) левая почка уменьшена в размерах, с наличием в верхнем сегменте кистозно-солидного образования с гиперфиксацией РФП, SUVmax 12,8, размерами 26 × 23 мм.
Fig. 3. Patient S., 74 years old. PET/CT with 18F-PSMA. In the coronary view of CT and PET/CT imaging, the left kidney was reduced in size, with the presence of a cystic-solid mass in the upper segment with RPA hyper fixation, SUVmax 12.8, 26 × 23 mm.
Рис. 4. Пациент А., 72 года. ПЭТ/КТ с 18F-PSMA. РПЖ, стадия pT3bN1M0G2. 3 + 4 = 7 по Глисону. Состояние после радикальной простатэктомии с тазовой лимфаденэктомией. Первично-множественный метахронный светлоклеточный ПКР. Латентный период – 26 мес. На MIP (a), аксиальной проекции КТ (b) и ПЭТ/КТ-исследовании (c) – состояние после радикальной простатэктомии. В области цистуретрального анастомоза справа визуализируется узловое образование с гиперфиксацией РФП, SUVmax 12,36 – рецидив.
Fig. 4. Patient A., 72 years old. PET/CT with 18F-PSMA PCa, pT3bN1M0G2 stage. Gleason score 3 + 4 = 7. State after radical prostatectomy with pelvic lymphadenectomy. Primary multiple metachronous clear cell RCC. The latency period was 26 months. On MIP, the axial view of CT, and pet/CT imaging, the state after radical prostatectomy was visualized. In the area of bladder-urethral anastomosis, a nodule with RPA hyper uptake was visualized on the right, SUVmax 12.36. Findings consistent with relapse.
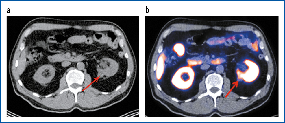
Рис. 5. Пациент А., 72 года. ПЭТ/КТ с 18F-PSMA. В аксиальной проекции КТ (a) и ПЭТ/КТ-исследовании (b) в верхнем сегменте левой почки определяется опухолевое образование с гиперфиксацией РФП, SUVmax 7,78, размерами 25 × 17 мм.
Fig. 5. Patient A., 72 years old. PET/CT with 18F-PSMA. In the axial view of CT and PET/CT images, a tumor mass was detected in the upper segment of the left kidney with RPA hyper uptake, SUVmax 7.78, 25 × 17 mm.
Рис. 6. Пациент А., 72 года. ПЭТ/КТ с 18F-PSMA. В сагиттальной проекции ПЭТ/КТ (а) и КТ-исследовании (b) в верхнем сегменте левой почки имеется опухолевое образование с гиперфиксацией РФП, SUVmax 7,78, размерами 25 × 17 мм.
Fig. 6. Patient A., 72 years old. PET/CT with 18F-PSMA. In the sagittal view of PET/CT imaging and CT, a tumor mass was detected in the upper segment of the left kidney with RPA hyper uptake, SUVmax 7.78, 25 × 17 mm.
Клинические проявления, характерные для первичного ПКР, отсутствовали. Только 1 пациент предъявлял жалобы на периодические тянущие боли в поясничной области справа, где локализовалась опухоль, а размер ее составил 70 мм. Все больные с первичными опухолями почек обращались за медицинской помощью с жалобами на нарушение мочеиспускания, характерными для инфравезикальной обструкции при РПЖ. После установления диагноза первичной опухоли почки 7 пациентам на I этапе выполнено хирургическое лечение в различном объеме. Практически всегда (6 больных) применяли эндоскопический доступ. Нефрэктомия произведена 2 пациентам, а в остальных случаях – органосохраняющие вмешательства. Консервативное системное лечение назначено 1 больному при метастатическом опухолевом процессе по поводу первичного РПЖ.
В нескольких исследованиях показано, что РПЖ чаще развивается у больных ПКР [16, 17]. Так, D. Barocas и соавт. (2006 г.) выявили, что данная закономерность значительно выше только при раке почки. Авторы предположили, что эти 2 заболевания могут иметь общие этиологические факторы [16].
Полученные нами результаты показали, что применение ПЭТ/КТ с 18F-PSMA-1007 позволяет выявить другие первично-множественные злокачественные опухоли, особенно ПКР, за пределами предстательной железы.
Обсуждение
ПСМА – это гликопротеин II типа, впервые выявлен при злокачественных и доброкачественных новообразованиях предстательной железы с высоким уровнем экспрессии [18, 19]. Однако вопреки названию ПСMA экспрессируют и некоторые другие образования, такие как злокачественные опухоли слюнных желез, ПКР, опухоли желудочно-кишечного тракта, саркома мягких тканей, поджелудочной железы, МЖ и рак легких, хотя, как правило, в более низких уровнях [20].
Показано, что ПСMA способствует ангиогенезу в опухоли опосредованно через ламинин за счет активации эндотелиальных клеток [21].
ПКР является гиперваскулярной опухолью с большим количеством сосудов. Он продуцирует в избыточном количестве некоторые онкогенные факторы роста, такие как эпителиальный и тромбоцитарный, что сопровождается неоангиогенезом и гиперваскуляризацией опухоли [22]. В связи с этим в его ткани наблюдается высокая экспрессия ПСМА, частота которого зависит от варианта гистологического строения. Так, уровень экспрессии ПСМА при светлоклеточном ПКР наблюдается с большей частотой, составляя 76–88%, в то время как при хромофобном подтипе он встречается в 31–61% случаев, а при папиллярном варианте – только в 14% [14, 23, 24].
При первичных опухолях головного мозга, раке легких, МЖ, опухолях желудочно-кишечного тракта и ПКР доля неоваскулярного эндотелия в опухоли с экспрессией ПСMA превышает долю самих опухолевых клеток [25]. Однако при раке поджелудочной железы и опухолях слюнных желез, наоборот, доля экспрессии ПСМА в опухоли превалирует, составляя 67 и 90% соответственно [25, 26].
Повышенная экспрессия ПСMA является маркером худшей общей выживаемости пациентов [10, 27].
Из-за отсутствия специфических проявлений диагноз рака почки на ранних стадиях затруднителен. Практически у 1/3 пациентов на момент постановки диагноза выявляются отдаленные метастазы, а в 25% случаев после хирургического лечения развиваются признаки возврата заболевания [28].
Точное определение стадии, включая локализацию метастазов и рецидива, имеет важное значение для выработки рациональной тактики лечения.
На сегодняшний день КТ и МРТ с контрастированием, а в последние годы – и ПЭТ/КТ с 18F-ФДГ являются основными методами стадирования, оценки эффекта проводимой терапии и прогрессирования в процессе динамического наблюдения [29]. Однако эти методы недостаточно чувствительны, особенно при ранних метастатических поражениях, размерах опухоли < 1 см и низкой степени злокачественности [30].
Экспрессия простатического специфического мембранного антигена является биологическим маркером РПЖ, но он также может быть полезным онкогенным маркером визуализации и для некоторых гипервасуляризированных солидных опухолей, таких как ПКР [31].
В последнее время в литературе появились исследования по применению более эффективного трейсера при ПЭТ/КТ – простатического специфического мембранного антигена как на ранних стадиях, так и при распространенном опухолевом процессе [32].
Проведенный метаанализ данных литературы показал, что ПСМА, меченный 68Ga и 18F-ФДГ, обладает высоким уровнем его идентификации для оценки как первичной опухоли, так и метастатического процесса [2, 33].
Кроме того, анализ эффективности экономических затрат показал преимущества ПЭТ/КТ с лигандом ПСМА на этапе первичной диагностики РПЖ, поскольку затраты на точную диагностику с использованием ПЭТ/КТ с этим трейсером кажутся достаточно низкими по сравнению с потенциально косвенными затратами на неточную диагностику [34].
В связи с этим в настоящее время проводятся исследования по определению роли ПЭТ/КТ с лигандами ПСМА, меченными РФП, в диагностике как на ранних стадиях, так и повторном стадировании при прогрессировании [35].
Так, M. Sadaghiani и соавт. (2024 г.) опубликовали результаты систематического и метаанализа о возможности применения ПЭТ/КТ с ПСМА для первичного стадирования и рестадирования при прогрессировании ПКР. Поиск проводился в базе данных PubMed, Embasе и научных статьях по август 2023 г. В метаанализ авторы включили 9 исследований, объединяющих 152 пациента, из них 133 – со светлоклеточным вариантом и 19 больных – с другими типами гистологического строения. Общая частота выявления экспрессии ПСМА с помощью ПЭТ/КТ при первичном стадировании и рестадировании оценена как 0,83. В то же время при анализе по подгруппам частота выявления ПСМА при оценке первичной опухоли при ПКР составила 0,74, а при повторном стадировании рецидивирующего или метастатического ПКР – 0,87. В зависимости от РФП частота экспрессии ПСМА, выявленная с помощью 68Ga-PSMA-11, равнялась 0,85 и для ПЭТ/КТ с 18F-DCFPyL – 0,92. Авторы приходят к выводу, что ПЭТ/КТ с лигандом ПСМА может стать перспективным альтернативным методом медицинской визуализации для ПКР, особенно при наличии признаков местного или общего возврата болезни [2].
P. Aggarwal и соавт. (2024 г.) опубликовали результаты проспективного исследования о роли ПЭТ/КТ с 68Gа-PSMA-11 для первичного и повторного стадирования у больных с гистологически подтвержденным диагнозом рака почки. С целью проведения сравнительного анализа двух трейсеров в эту группу включены пациенты, которым выполнена ПЭТ/КТ с 18F-ФДГ. В исследование вошли 37 больных. Светлоклеточный рак диагностирован в 27 случаях, а папиллярный вариант – в 6. При этом ПЭТ/КТ с 68Gа-PSMA-11 показала лучшие результаты при обнаружении поражения костного мозга, сомнительные – при костном поражении и худшие – при метастазах в печень. Метод с радиоактивным маркером 68Gа позволил выявить больше метастатических поражений с более высоким уровнем SUVmax, чем ПЭТ/КТ с 18F-ФДГ. По мнению авторов, диагностическая ценность при ПКР ПЭТ/КТ с 68Ga-PSMA более эффективна по сравнению с ПЭТ/КТ с 18F-ФДГ [31].
Нами выявлен первичный светлоклеточный ПКР у 8 (1,6%) пациентов из 492 больных РПЖ на этапе стадирования опухолевого процесса и оценки эффективности проводимой терапии по результатам ПЭТ/КТ с 18F-PSMA-1007.
Недавние исследования по оценке эффективности ПЭТ/КТ с лигандом ПСМА при раке почки показали обнадеживающие возможности этого метода для диагностики доклинических метастатических очагов при рестадировании по сравнению с традиционными методами медицинской визуализации, тем самым повышая стадию опухолевого процесса, с последующим изменением лечебной тактики более чем у 20% больных [36].
Известно, что коэффициент стандартизированного максимального накопления РФП при непростатических злокачественных опухолях заметно ниже по сравнению с РПЖ [37, 38]. Для метастатических поражений светлоклеточного ПКР величина SUVmax находится в диапазоне от 1,2 до 48 [17].
В то же время, по данным A. Rizzo и соавт. (2023 г.), диапазон средних значений SUVmax для первичных поражений почек варьировал от 6,9 до 25,9, а для метастазов – от 2,7 до 19,5 [39].
Согласно нашим результатам величина SUVmax при первичном светлоклеточном ПКР колебалась от 7,78 до 26,66, составляя в среднем 17,92.
Заключение
Применение ПЭТ/КТ с лигандом 18F-PSMA-1007 при РПЖ позволяет выявить другие первичные злокачественные новообразования за ее пределами, в частности ПКР, и, как правило, на ранней стадии T1a. Такая диагностическая возможность реализуется как на этапе оценки распространенности опухолевого процесса, так и во время лечения и динамического наблюдения.
Точное определение стадии опухолевого процесса у больных РПЖ, особенно при наличии первичной множественности, имеет решающее значение для выбора рациональной лечебной стратегии. В структуре первично-множественных опухолей при РПЖ ПКР занимает 1-е место, составляя 1,6%. При выявлении первичного ПКР у больных РПЖ лечение необходимо начинать с хирургического этапа, используя современные технологии – эндоскопический доступ и органосохраняющие вмешательства. Это обусловлено агрессивным течением рака почки.
Раскрытие интересов. Авторы декларируют отсутствие явных и потенциальных конфликтов интересов, связанных с публикацией настоящей статьи.
Disclosure of interest. The authors declare that they have no competing interests.
Вклад авторов. Авторы декларируют соответствие своего авторства международным критериям ICMJE. Все авторы в равной степени участвовали в подготовке публикации: разработка концепции статьи, получение и анализ фактических данных, написание и редактирование текста статьи, проверка и утверждение текста статьи.
Authors’ contribution. The authors declare the compliance of their authorship according to the international ICMJE criteria. All authors made a substantial contribution to the conception of the work, acquisition, analysis, interpretation of data for the work, drafting and revising the work, final approval of the version to be published and agree to be accountable for all aspects of the work.
Источник финансирования. Авторы декларируют отсутствие внешнего финансирования для проведения исследования и публикации статьи.
Funding source. The authors declare that there is no external funding for the exploration and analysis work.
Информированное согласие на публикацию. Пациенты подписали форму добровольного информированного согласия на публикацию медицинской информации.
Consent for publication. Written consent was obtained from the patients for publication of relevant medical information and all of accompanying images within the manuscript.
About the authors
Nikolay A. Ognerubov
Russian Medical Academy of Continuous Professional Education
							Author for correspondence.
							Email: ognerubov_n.a@mail.ru
				                	ORCID iD: 0000-0003-4045-1247
				                																			                								
D. Sci. (Med.), D. Sci. (Law), Prof.
Russian Federation, MoscowOlga O. Mirsalimova
PET-Technology
														Email: ognerubov_n.a@mail.ru
				                	ORCID iD: 0009-0007-8600-7586
				                																			                								
Radiologist
Russian Federation, MoscowTatiana S. Antipova
PET-Technology
														Email: ognerubov_n.a@mail.ru
				                	ORCID iD: 0000-0003-4165-8397
				                																			                								
Radiologist
Russian Federation, MoscowReferences
- Global Cancer Observatory (GCO). 2022. Available at: https://gco.iarc.fr/en. Accessed: 12.11.2024.
- Sadaghiani MS, Baskaran S, Gorin MA, et al. Utility of PSMA PET/CT in staging and restaging of renal cell carcinoma: a systematic review and metaanalysis. J Nucl Med. 2024;jnumed.124.267417. doi: 10.2967/jnumed.124.267417
- Muselaers S, Erdem S, Bertolo R, et al. On Behalf Of The European Association Of Urology Eau Young Academic Urologists Yau Renal Cancer Working Group. PSMA PET/CT in Renal Cell Carcinoma: An Overview of Current Literature. J Clin Med. 2022;11(7):1829. doi: 10.3390/jcm11071829
- Janzen NK, Kim HL, Figlin RA, Belldegrun AS. Surveillance after radical or partial nephrectomy for localized renal cell carcinoma and management of recurrent disease. Urol Clin North Am. 2003;30(4):843-52. doi: 10.1016/s0094-0143(03)00056-9
- Marchioni M, Sountoulides P, Furlan M, et al. Management of local recurrence after radical nephrectomy: Surgical removal with or without systemic treatment is still the gold standard. Results from a multicenter international cohort. Int Urol Nephrol. 2021;53:2273-80. doi: 10.1007/s11255-021-02966-9
- Crocerossa F, Marchioni M, Novara G, et al. Detection Rate of Prostate Specific Membrane Antigen Tracers for Positron Emission Tomography/Computerized Tomography in Prostate Cancer Biochemical Recurrence: A Systematic Review and Network Meta-Analysis. J Urol. 2021;205:356-69. doi: 10.1097/JU.0000000000001369
- Spatz S, Tolkach Y, Jung K, et al. Comprehensive Evaluation of Prostate Specific Membrane Antigen Expression in the Vasculature of Renal Tumors: Implications for Imaging Studies and Prognostic Role. J Urol. 2018;199:370-7. doi: 10.1016/j.juro.2017.08.079
- Van de Wiele C, Sathekge M, de Spiegeleer B, et al. PSMA expression on neovasculature of solid tumors. Histol Histopathol. 2020;35:919-27.
- Demirci E, Ocak M, Kabasakal L, et al. (68)Ga-PSMA PET/CT imaging of metastatic clear cell renal cell carcinoma. Eur J Nucl Med Mol Imaging. 2014;41:1461-2. doi: 10.1007/s00259-014-2766-y
- Gao J, Xu Q, Fu Y, et al. Comprehensive evaluation of (68)Ga-PSMA-11 PET/CT parameters for discriminating pathological characteristics in primary clear-cell renal cell carcinoma. Eur J Nucl Med Mol Imaging. 2021;48:561-9. doi: 10.1007/s00259-020-04916-6
- Rhee H, Blazak J, Tham CM, et al. Pilot study: Use of gallium-68 PSMA PET for detection of metastatic lesions in patients with renal tumour. EJNMMI Res. 2016;6:76. doi: 10.1186/s13550-016-0231-6
- Sawicki LM, Buchbender C, Boos J, et al. Diagnostic potential of PET/CT using a (68)Ga-labelled prostate-specific membrane antigen ligand in whole-body staging of renal cell carcinoma: Initial experience. Eur J Nucl Med Mol Imaging. 2017;44:102-7. doi: 10.1007/s00259-016-3360-2
- Yin Y, Campbell SP, Markowski MC, et al. Inconsistent Detection of Sites of Metastatic Non-Clear Cell Renal Cell Carcinoma with PSMA-Targeted [(18)F]DCFPyL PET/CT. Mol Imaging Biol. 2019;21:567-73. doi: 10.1007/s11307-018-1271-2
- Spatz S, Tolkach Y, Jung K, et al. Comprehensive Evaluation of Prostate Specific Membrane Antigen Expression in the Vasculature of Renal Tumors: Implications for Imaging Studies and Prognostic Role. J Urol. 2018;199:370-7. doi: 10.1016/j.juro.2017.08.079
- Tariq A, Kwok M, Pearce A, et al. The role of dual tracer PSMA and FDG PET/CT in renal cell carcinoma (RCC) compared to conventional imaging: A multi-institutional case series with intra-individual comparison. Urol Oncol. 2022;40. doi: 10.1016/j.urolonc.2021.11.006
- Barocas DA, Rabbani F, Scherr DS, Vaughan ED. A population-based study of renal cell carcinoma and prostate cancer in the same patients. BJU Int. 2006;97(1):33-6. doi: 10.1111/j.1464-410X.2005.05880.x
- Gühne F, Seifert P, Theis B, et al. PSMA-PET/CT in patients with recurrent clear cell renal cell carcinoma: Histopathological correlations of imaging findings. Diagnostics. 2021;11(7):1142. doi: 10.3390/diagnostics11071142
- Horoszewicz JS, Kawinski E, Murphy GP. Monoclonal antibodies to a new antigenic marker in epithelial prostatic cells and serum of prostatic cancer patients. Anticancer Res. 1987;7(5B):927-35.
- Pinto JT, Suffoletto BP, Berzin TM, et al. Prostate-specific membrane antigen: a novel folate hydrolase in human prostatic carcinoma cells. Clin Cancer Res. 1996;2(9):1445-51.
- Mhawech-Fauceglia P, Zhang S, Terracciano L, et al. Prostate-specific membrane antigen (PSMA) protein expression in normal and neoplastic tissues and its sensitivity and specificity in prostate adenocarcinoma: an immunohistochemical study using mutiple tumour tissue microarray technique. Histopathology. 2007;50(4):472-83. doi: 10.1111/j.1365-2559.2007.02635.x
- Conway RE, Petrovic N, Li Z, et al. Prostate-specific membrane antigen regulates angiogenesis by modulating integrin signal transduction. Mol Cell Biol. 2006;26(14):5310-24. doi: 10.1128/MCB.00084-06
- Cohen В, Zhou M. Molecular Genetics of Familial Renal Cell Carcinoma Syndromes Clin. Lab Med. 2025;25:259-77. doi: 10.1016/J.CLL.2005.01.003
- Ahn T, Roberts MJ, Abduljabar A, et al. A review of prostate-specific membrane antigen (PSMA) positron emission tomography (PET) in renal cell carcinoma (RCC). Mol Imaging Biol. 2019;21(5):799-807. doi: 10.1007/s11307-018-01307-0
- Baraban EG, Ged Y, Singla N, et al. Vascular expression of prostate-specific membrane antigen (PSMA) in MiTF family translocation renal cell carcinoma and related neoplasms. Appl Immunohistochem Mol Morphol. 2023;31:544-9.
- Salas Fragomeni RA, Amir T, Sheikhbahaei S, et al. Imaging of nonprostate cancers using PSMA-targeted radiotracers: Rationale, current state of the field, and a call to arms. J Nucl Med. 2018;59(6):871-7. doi: 10.2967/jnumed.117.203570
- Wang G, Zhou M, Zang J, et al. A pilot study of 68 ga-PSMA-617 PET/CT imaging and 177Lu-EB-PSMA-617 radioligand therapy in patients with adenoid cystic carcinoma. EJNMMI Res. 2022;12(1):52. doi: 10.1186/s13550-022-00922-x
- Jiao D, Li Y, Yang F, et al. Expression of Prostate-Specific Membrane Antigen in Tumor-Associated Vasculature Predicts Poor Prognosis in Hepatocellular Carcinoma. Clin Transl Gastroenterol. 2019;10:e00041-7. doi: 10.14309/ctg.0000000000000041
- Psutka SP, Master VA. Role of metastasis-directed treatment in kidney cancer. Cancer. 2018;124:3641-55.
- Motzer RJ, Jonasch E, Agarwal N, et al. Kidney Cancer, Version 3.2022, NCCN Clinical Practice Guidelines in Oncology JNCCN. J Natl Compr Cancer Netw. 2022;20(1):71-90.
- Brufau BP, Cerqueda CS, Villalba LB, et al. Metastatic renal cell carcinoma: radiologic findings and assessment of response to targeted antiangiogenic therapy by using multidetector CT. Radiographics. 2013;33:1691-716.
- Aggarwal P, Singh H, Das CK, et al. Potential role of 68Ga-PSMA PET/CT in metastatic renal cell cancer: A prospective study. Eur J Radiol. 2024;170:111218. doi: 10.1016/j.ejrad.2023.111218
- Morris MJ, Rowe SP, Gorin MA, et al. Diagnostic performance of 18F-DCFPyL-PET/CT in men with biochemically recurrent prostate cancer: results from the CONDOR phase III, multicenter study. Clin Cancer Res. 2021;27:3674-82.
- Wang G, Li L, Wang J, et al. Head-to-head comparison of [68Ga]Ga-P16-093 and 2-[18F]FDG PET/CT in patients with clear cell renal cell carcinoma: a pilot study. Eur J Nucl Med Mol Imaging. 2023;50:1499-509.
- Holzgreve A, Unterrainer M, Calais J, et al. Is PSMA PET/CT cost-effective for the primary staging in prostate cancer? First results for European countries and the USA based on the proPSMA trial. Eur J Nucl Med Mol Imaging. 2023;50:3750-4. doi: 10.1007/s00259-023-06332-y
- Urso L, Castello A, Rocca GC, et al. Role of PSMA-ligands imaging in renal cell carcinoma management: current status and future perspectives. J Cancer Res Clin Oncol. 2022;148(6):1299-311. doi: 10.1007/s00432-022-03958-7
- Li Y, Zheng R, Zhang Y, et al. Special issue “The advance of solid tumor research in China”: 68Ga-PSMA-11 PET/CT for evaluating primary and metastatic lesions in different histological subtypes of renal cell carcinoma. Int J Cancer. 2023;152(1):42-50.
- Klein Nulent TJW, van Es RJJ, Willems SM, et al. First experiences with 177Lu-PSMA-617 therapy for recurrent or metastatic salivary gland cancer. EJNMMI Res. 2021;11(1):126. doi: 10.1186/s13550-021-00866-8
- Siva S, Callahan J, Pryor D, et al. Utility of (68) Ga prostate specific membrane antigen – positron emission tomography in diagnosis and response assessment of recurrent renal cell carcinoma. J Med Imaging Radiat. Oncol. 2017;61:372-8. doi: 10.1111/1754-9485.12590
- Rizzo A, Racca M, Dall’Armellina S, et al. The Emerging Role of PET/CT with PSMA-Targeting Radiopharmaceuticals in Clear Cell Renal Cancer: An Updated Systematic Review. Cancers. 2023;15:355. doi: 10.3390/cancers15020355
Supplementary files
 
				
			 
					 
						 
						 
				
 
  
  
  Email this article
			Email this article 








