Multimodal prehabilitation in patients with gastrointenstinal cancer and cachexia: results of pilot study
- Authors: Lyadov V.K.1,2,3, Boldyreva T.S.3, Gorshkov A.Y.4, Zyatenkova E.V.4,5, Chashchin M.G.4
-
Affiliations:
- Russian Medical Academy of Continuous Professional Education
- Novokuznetsk State Institute for Further Training of Physicians – Branch Campus of the Russian Medical Academy of Continuous Professional Education
- Moscow State Budgetary Healthcare Institution «Moscow City Hospital named after S.S. Yudin, Moscow Healthcare Department»
- National Research Center for Therapy and Preventive Medicine
- Russian University of Medicine
- Issue: Vol 27, No 2 (2025)
- Pages: 80-85
- Section: Articles
- Submitted: 16.07.2025
- Accepted: 16.07.2025
- Published: 17.07.2025
- URL: https://modernonco.orscience.ru/1815-1434/article/view/687672
- DOI: https://doi.org/10.26442/18151434.2025.2.203176
- ID: 687672
Cite item
Full Text
Abstract
Background. Patients undergoing surgical treatment for gastrointestinal tumors often suffer from symptoms of cachexia and sarcopenia. Preoperative preparation, or “prehabilitation”, is a potentially effective new approach to managing these patients.
Aim. To evaluate whether multimodal prehabilitation decreases postoperative complications and improves functional recovery in cachexic patients undergoing gastrointestinal cancer surgery, in comparison to usual clinical care.
Materials and methods. This prospective cohort study included data on 36 patients who underwent surgical treatment for gastrointestinal cancer from 2022 to 2023 at our cancer hospital. Sarcopenia and cachexia were assessed preoperatively using modern international consensus criteria. Patients participated in remote comprehensive prehabilitation program which encompassed nutritional and psychological support and supervised exercise. After prehabilitation functional results were assessed. Also, the 30-day postoperative complication rate measured according to the Clavien–Dindo criteria as well as 30-day and 90-day mortality.
Results. After prehabilitation, 24 (66.6%) patients showed a statistically significant decrease in 400 m walking time (p = 0.028); 25 (69.4%) patients gained weight from 0.5 to 6 kg (p < 0.001).
Conclusion. Multimodal remote prehabilitation can improve functional status in patients with gastrointestinal cancer and cachexia.
Keywords
Full Text
Введение
Злокачественные опухоли органов желудочно-кишечного тракта (ЖКТ) представляют собой важную медико-социальную проблему. В России в 2023 г. эти опухоли занимают 2–4-е место в структуре смертности от онкологических заболеваний [1]. При локализованных и местно-распространенных формах хирургия остается ключевым методом лечения опухолей ЖКТ, однако оперативное лечение сопровождается высоким риском послеоперационных осложнений и летальности [2, 3].
Одним из мощных факторов, оказывающих неблагоприятное влияние как на ближайшие, так и отдаленные результаты лечения онкологических пациентов, является синдром раковой кахексии [4]. Диагностические критерии раковой кахексии опубликованы в 2011 г. Европейским сообществом по исследованию паллиативной помощи (European Palliative Care Research Collaborative – EPCRC) [5].
В соответствии с ними для диагностики кахексии достаточно наличия у пациента снижения массы тела на 5% и более за 6 мес либо меньшей потери массы тела при наличии саркопении или низкого индекса массы тела (ИМТ). При этом саркопения (истощение скелетной мускулатуры) является важнейшим компонентом синдрома [6, 7]. Согласно метаанализу, опубликованному в 2024 г. и включавшему более 137 тыс. пациентов (21,7% – с опухолями ЖКТ) [8], кахексия оказала негативное влияние на показатели общей выживаемости у онкологических больных как в общей выборке пациентов (отношение шансов 1,93, 95% доверительный интервал – ДИ 1,67–2,22), так и в подгрупповом анализе для указанных консенсусных критериев (отношение шансов 1,58, 95% ДИ 1,45–1,73).
Мультимодальная преабилитация является одним из возможных вариантов улучшения результатов лечения больных с опухолями ЖКТ благодаря коррекции ряда факторов неблагоприятного прогноза [9–12]. Так, в 2022 г. опубликован метаанализ, оценивающий результаты преабилитации перед плановыми онкологическими вмешательствами у пациентов cо старческой астенией [13]. Авторами продемонстрировано снижение общего числа послеоперационных осложнений в группе преабилитации (относительный риск 0,83, 95% ДИ 0,73–0,94; p = 0,004), тяжелых послеоперационных осложнений (относительный риск 0,62, 95% ДИ 0,43–0,90; р = 0,01), а также снижение средней продолжительности койко-дня (средняя разница -1,36, 95% ДИ -2,38–0,35; р = 0,008), однако не выявлено различий показателей 30- и 90-дневной летальности и числа повторных госпитализаций.
Цель исследования – изучить безопасность и эффективность дистанционной преабилитации у пациентов с опухолями ЖКТ, страдающих кахексией.
Материалы и методы
Характеристика пациентов
В проспективное исследование включены 36 пациентов, проходивших оперативное лечение по поводу опухолей ЖКТ в 2022–2023 гг. на базе онкологического отделения №4 Онкологического центра №1 ГБУЗ «ГКБ им. С.С. Юдина ДЗМ» (ранее – ГБУЗ «ГКОБ №1»), которые после дообследования проходили комплексную предоперационную преабилитацию в рамках подготовки к оперативному вмешательству. В исследование включены пациенты старше 18 лет, подписавшие согласие на участие в исследовании, с гистологически подтвержденным раком желудка, статусом ECOG (0–2 балла), отсутствием отдаленных метастазов и наличием признаков кахексии по критериям EPCRC [5].
Основные демографические и клинические данные пациентов представлены в табл. 1.
Таблица 1. Клиническая характеристика пациентов
Table 1. Clinical characteristics of patients
Характеристики | Результат (n = 36) |
Мужчины, абс. (%) | 14 (38,8) |
Возраст, лет (среднее ± стандартное отклонение) | 68,4 ± 13,2 |
Статус ECOG, балл, абс. (%) | |
0-1 | 25 (69,4) |
2 | 11 (30,5) |
Коморбидность, абс. (%) | 32 (88,8) |
Индекс Чарлсон, балл (медиана; ИКР) | 5 (2-8) |
ИМТ, кг/м2 (среднее ± стандартное отклонение) | 23,9 ± 4,69 |
Потеря массы тела за последние 6 мес, кг (медиана; ИКР) | 10 (2–24) |
Потеря массы тела > 5% за последние 6 мес, абс. (%) | 33 (91,6) |
Шкала NRS-2002, балл, абс. (%) | |
< 3 | 10 (27,7) |
≥ 3 | 26 (72,2) |
Альбумин < 35 г/л, абс. (%) | 11 (30,5) |
НЛИ, абс. (%) | |
< 3 | 30 (83,3) |
≥ 3 | 6 (16,6) |
Распределение по стадиям, абс. (%) | |
I-II | 19 (52,7) |
III | 17 (47,2) |
Гистологический тип, абс. (%) | |
Аденокарцинома G1-G2 | 19 (52,7) |
Аденокарцинома G3 | 13 (36,1) |
Перстневидноклеточный рак | 2 (5,5) |
Нейроэндокринные опухоли | 1 (2,7) |
Протоковая аденокарцинома | 1 (2,7) |
Локализация опухоли, абс. (%) | |
Желудок | 25 (69,4) |
Толстая кишка | 8 (22,2) |
Поджелудочная железа | 2 (5,5) |
Забрюшинное пространство | 1 (2,7) |
Доступ, абс. (%); n = 34 | |
Лапароскопия | 15 (44,1) |
Лапаротомия | 21 (61,8) |
Проведение НАПХТ, абс. (%); n = 34 | 19 (55,8) |
Проведение АПХТ, абс. (%); n = 34 | 20 (58,8) |
Примечание. НЛИ – нейтрофильно-лимфоцитарный индекс, НАПХТ – неоадъювантная полихимиотерапия, АПХТ – адъювантная полихимиотерапия, здесь и далее в табл. 2: ИКР – интерквартильный размах.
Предоперационное обследование
Пациентам после установления диагноза проводилось стандартное предоперационное обследование согласно актуальным российским клиническим рекомендациям [14]. Для оценки значимости сопутствующей патологии использовался индекс коморбидности Чарлсон, который рассчитывался как сумма баллов, соответствующих тем или иным сопутствующим заболеваниям [15]. Оценка кахексии проводилась до операции с использованием критериев EPCRC (К. Fearon и соавт., 2011) [5], в то время как саркопению диагностировали с помощью современных международных консенсусных критериев [6]. Так, снижение мышечной силы по данным динамометрии ниже пороговых значений (27 кг для мужчин и 16 кг для женщин [16]) свидетельствует о «вероятном» наличии саркопении, дополнительное снижение массы скелетных мышц по данным компьютерной томографии (КТ) подтверждает ее наличие, а низкая переносимость физической нагрузки по результатам теста ходьбы на 400 м [17] является необходимым критерием для диагностики тяжелой саркопении.
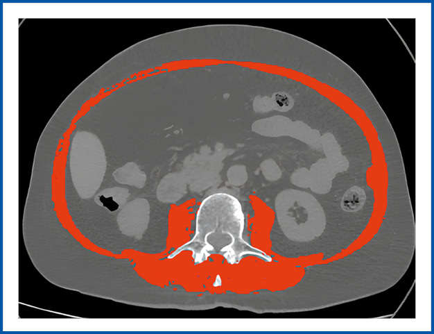
Оценка массы скелетной мускулатуры выполнялась с помощью КТ: аксиальный срез, уровень III поясничного позвонка (LIII), программа SliceOmatic, ver. 6 (TomoVision, Канада); рис. 1.
Рис. 1. Измерение площади скелетной мускулатуры с помощью КТ.
Fig. 1. Measurement of skeletal muscle area by CT scan.
При этом рассчитывался скелетно-мышечный индекс (СМИ) как отношение показателя площади скелетной мускулатуры на уровне LIII позвонка к квадрату роста пациента (м2) (см2/м2). Использовались пороговые значения, предложенные С. Prado и соавт. для когорты онкологических пациентов с ожирением (52,4 см2/м2 для мужчин и 38,5 см2/м2 женщин) [18], а также не зависящие от массы тела пациента критерии L. Martin и соавт. [19].
«Вероятная» саркопения (только на основании результатов динамометрии при отсутствии подтверждающих критериев) выявлена лишь у 3 пациентов, еще у 4 пациентов отмечена саркопения, «подтвержденная» сочетанием низких показателей мышечной силы и массы по критериям Martin, а у 2 больных отмечено наличие тяжелой саркопении. В то же время применение строго рентгенологических критериев (как Prado, так и Martin) позволило установить наличие саркопении у 14 (38,8%) пациентов.
В группе преабилитации до начала предоперационной подготовки проводилось измерение толерантности к физической нагрузке с помощью нагрузочного кардиопульмонального тестирования с использованием велоэргометра (рис. 2).
Рис. 2. Нагрузочное кардиопульмональное тестирование с использованием велоэргометра.
Fig. 2. Cardiopulmonary stress testing using a bicycle ergometer.
Мультимодальная подготовка
Во время первого визита пациента определялись кратность, продолжительность занятий лечебной физкультурой (ЛФК) в зависимости от начального уровня подготовки. Далее пациенты самостоятельно в домашних условиях реализовывали рекомендованную им схему подготовки.
Схема программы ЛФК:
- Подготовительная часть (5–10 мин): комплекс упражнений для разминки стоя.
- Аэробная нагрузка (20–35 мин): скандинавская ходьба.
- Заминка с растяжкой (5–10 мин).
Интенсивность аэробных упражнений измерялась с использованием двух основных показателей: целевой частоты сердечных сокращений (ЧСС) и воспринимаемой скорости нагрузки (шкала Борга) [20]. Программа направлена на достижение умеренной или высокой интенсивности тренировок, соответствующей баллу по шкале Борга от 13 до 16, и на поддержание целевой ЧСС, рассчитанной по формуле: (220 - возраст - ЧСС в состоянии покоя) × 70% + ЧСС в состоянии покоя (формула Карвонена) [21]. Пациенты тренировались самостоятельно (применение фитнес-трекера, передававшего врачу информацию о ЧСС пациентов во время тренировки, оказалось неудобным для изученной нами пожилой группы пациентов), однако находились на постоянной телефонной связи с лечащим врачом-онкологом.
Пациенты группы преабилитации ежедневно вели дневники питания и принимали дополнительное сипинговое питание согласно потребностям из расчета общей калорийности (30 ккал на 1 кг массы тела в сутки) и суточной потребности в белке (1,5 г на кг).
Также до начала подготовки больные получали консультацию клинического психолога с оценкой исходного состояния по шкале Спилберга–Ханина и по Госпитальной шкале депрессии и тревоги. Далее они повторно консультированы психологом во время преабилитации и перед оперативным лечением с целью коррекции психологического состояния.
По окончании преабилитации проводилась повторная оценка функционального состояния пациента, и далее пациент направлялся на оперативное лечение.
Хирургическое лечение
Пациентам выполнялось радикальное оперативное вмешательство в зависимости от локализации опухоли согласно актуальным клиническим рекомендациям [14]. В случае вовлечения в опухолевый процесс соседних органов проводилось комбинированное вмешательство.
Оценка функциональных и послеоперационных результатов
По окончании преабилитации проводилась оценка функциональных результатов и показателей нутритивного статуса: скорость ходьбы на 400 м, динамика силы захвата руки, массы тела, ИМТ, уровня альбумина, лимфоцитов крови. Дополнительно оценивали число ранних (в течение 30 дней после выполнения оперативного вмешательства) послеоперационных осложнений по критериям Клавьен–Диндо, а также 30- и 90-дневную летальность. К послеоперационным осложнениям легкой степени относились осложнения I/II степени по Клавьен–Диндо, не требовавшие инвазивных подходов к лечению, к тяжелым – все осложнения, требовавшие инвазивных манипуляций для лечения. Дополнительно оценивали частоту инфекций области хирургического вмешательства (ИОХВ), частоту несостоятельности анастомоза.
Статистический анализ
Непрерывные переменные при нормальном распределении представлены как среднее значение ± стандартное отклонение, непараметрические переменные – как медиана [межквартильный размах]. Качественные переменные выражались в числах и процентах (n, %). T-критерий Стьюдента применялся для сравнения параметрических данных. Для анализа непараметрических данных использовался U-критерий Манна–Уитни (для независимых выборок) или тест Вилкоксона (для зависимых выборок). Категориальные переменные сравнивались при помощи точного теста Фишера или хи-квадрата. Тест Макнемара использовался для парных номинальных данных. Значение p < 0,05 считалось статистически значимым. Статистический анализ проводился с использованием SPSS версии 23.0 (BM, Нью-Йорк, США).
Результаты
Изначально критериям включения соответствовали 42 пациента. У 2 пациентов к исключению из исследования привело наличие ишемических изменений на электрокардиограмме при кардиопульмональном тестировании, 2 пациента отказались от участия в программе преабилитации после скринингового визита. Еще 2 пациента не смогли завершить программу преабилитации в связи с декомпенсацией опухолевого стеноза выходного отдела желудка и развитием кишечной непроходимости соответственно.
Таким образом, результаты программы изучены у 36 пациентов – 95% от общего числа начавших преабилитацию участников исследования. Длительность преабилитации составила от 9 дней до 21 дня (медиана – 14 дней), 1 пациент прошел подготовку в условиях стационара в связи с осложненным течением основной опухоли (тотальный рак желудка с инвазией печени и формированием абсцесса) и помимо стандартной подготовки получал дополнительно парентеральное питание и антибактериальную терапию.
У 1 пациента во время преабилитации возник эпизод кровотечения из опухоли желудка, потребовавший госпитализации в стационар и купированный консервативно. Также у 1 пациента по завершении программы преабилитации диагностирован острый тромбоз глубоких вен нижних конечностей, что потребовало отложить оперативное лечение до появления признаков реканализации вен на фоне антикоагулянтной терапии.
Динамика функциональных результатов и показателей нутритивного статуса группы преабилитации представлена в табл. 2. После преабилитации у 20 (55,5%) пациентов наблюдалось увеличение силы захвата руки по данным кистевой динамометрии (p = 0,375), у 24 (66,6%) пациентов – улучшение времени ходьбы на 400 м (p = 0,028), у 10 (27,7%) пациентов увеличилась толерантность к физической нагрузке в метаболических единицах (p = 0,084). Двадцать пять (69,4%) пациентов набрали от 0,5 до 6 кг (p < 0,001), у 1 пациента масса тела снизилась на 1 кг.
Таблица 2. Динамика функциональных показателей и нутритивного статуса пациентов
Table 2. Dynamics of functional indices and nutritive status of patients
Показатель | До преабилитации | После преабилитации | p* |
ИМТ, кг/м2 (среднее ± стандартное отклонение) | 23,9 ± 4,69 | 24,4 ± 4,81 | < 0,001 |
Масса тела, кг (медиана; ИКР) | 69 (38–99) | 70 (40–99) | < 0,001 |
Сила захвата руки, кг (среднее ± стандартное отклонение) | 28,2 ± 8,18 | 28,6 ± 8,23 | 0,375 |
Время ходьбы 400 м, мин (медиана; ИКР) | 5,50 (3,05–8,17) | 5,35 (3,51–7,53) | 0,028 |
Толерантность к физической нагрузке, МЕТ (среднее ± стандартное отклонение) | 3,42 ± 1,39 | 3,86 ± 1,22 | 0,084 |
Альбумин, г/л (среднее ± стандартное отклонение) | 37,9 ± 6,01 | 38,4 ± 5,55 | 0,190 |
Лимфоциты/мкл (медиана; ИКР) | 1880 (400–4760) | 1710 (490–3530) | 0,084 |
Тридцать четыре из 36 больных оперированы в плановом порядке после предоперационной подготовки (1 пациент оперирован позднее после консервативного лечения острого тромбоза вен нижних конечностей, у 1 пациента с опухолью поджелудочной железы по данным КТ перед операцией выявлено прогрессирование заболевания). Послеоперационные осложнения представлены в табл. 3.
Таблица 3. Послеоперационные осложнения
Table 3. Postoperative complications
Показатели | Результат (n = 34) |
Все осложнения, абс. (%) | 12 (35,3) |
Легкие осложнения, абс. (%); Клавьен–Диндо I-II | 6 (17,6) |
Тяжелые осложнения, абс. (%); Клавьен–Диндо III-IV | 6 (17,6) |
ИОХВ, абс. (%) | 3 (8,8) |
Несостоятельность анастомоза, абс. (%) | 1 (2,9) |
Внутрибрюшное кровотечение, абс. (%) | 1 (2,9) |
30-дневная летальность, абс. (%) | 1 (2,9) |
90-дневная летальность, абс. (%) | 1 (2,9) |
Обсуждение
В течение последнего десятилетия активно изучается влияние структурированной предоперационной подготовки (мультимодальной преабилитации) на результаты хирургического лечения.
Так, в 2023 г. J. Mareschal и соавт. [22] опубликовали систематический обзор литературы, посвященный преабилитации у пациентов с опухолями ЖКТ, готовящимся к плановым оперативным вмешательствам. В исследование включено 15 работ, при этом наблюдалась неоднородность исследований в отношении структуры преабилитации. Только в 3 работах проводился анализ влияния мультимодальных программ, при использовании которых отмечено улучшение толерантности к физической нагрузке, мышечной силы и качества жизни у пациентов со злокачественными опухолями пищевода и прямой кишки в группе преабилитации. Однако в исследованиях не отмечено влияния на частоту послеоперационных осложнений, длительность пребывания в стационаре, частоту повторных госпитализаций и летальности.
Пожилой и старческий возраст пациентов, коморбидность, нутритивная недостаточность, необходимость комбинированного лечения, ухудшающего функциональный статус пациентов, являются неотъемлемыми факторами, сопровождающими лечение пациентов с опухолями ЖКТ и приводящими к ухудшению результатов лечения [2, 23]. Поэтому важно исследовать эффективность преабилитации у пациентов с кахексией, саркопенией или старческой астенией, которые наиболее подвержены риску послеоперационных осложнений.
В связи с этим актуальным представляется изучение эффективности преабилитации в наиболее уязвимых группах пациентов, страдающих кахексией, саркопенией или старческой астенией.
Кахексия представляет собой сложный многофакторный синдром, в основе патогенеза которого лежат анорексия (потеря аппетита), гиперкатаболизм и системное воспаление. Ряд преклинических исследований показал положительное влияние физических упражнений на силу и массу мышечной ткани при наличии злокачественной опухоли и кахексии прежде всего за счет активации таких сигнальных белков, как фосфорилированная киназа Akt, мишень рапамицина у млекопитающих (mTOR), рибосомальная протеинкиназа S6 β1, участвующих в анаболических сигнальных путях, стимулирующих синтез белка в мышечной ткани [24, 25]. Кроме того, обсуждается положительное влияние физических нагрузок в отношении снижения уровня провоспалительных цитокинов (в частности, таких как интерлейкин-6, интерлейкин-1β и фактор некроза опухоли α) и уменьшения митохондриальной дисфункции в мышечной ткани [26, 27]. Однако в настоящее время имеется дефицит клинических исследований, посвященных влиянию ЛФК и мультимодальной преабилитации на результаты лечения пациентов со злокачественными опухолями ЖКТ при наличии кахексии.
Важным шагом с точки зрения эволюции представления о кахексии стало появление международного консенсуса К. Fearon и соавт. [5], в соответствии с которым выделяется 3 стадии развития данного феномена: прекахексия, кахексия и рефрактерная кахексия. Рефрактерная кахексия является проявлением запущенного онкологического заболевания с ожидаемой продолжительностью жизни пациента < 3 мес, а потому фактически не поддается коррекции.
Наше пилотное исследование демонстрирует выполнимость комплексной мультимодальной предоперационной подготовки у пациентов с резектабельными опухолями ЖКТ. Длительность периода преабилитации в исследовании составила 9–21 дней. Такая вариабельность определялась динамикой состояния пациентов и необходимостью проведения повторного кардиопульмонального тестирования по окончании преабилитации в стороннем учреждении. Следует заметить, что существуют опасения в отношении риска развития осложнений опухолевого процесса в процессе мультимодальной преабилитации. В нашем исследовании 2 пациента не смогли завершить преабилитацию, их прооперировали в связи с нарастанием явлений стеноза выходного отдела желудка и кишечной непроходимости соответственно. Вероятно, тяжесть состояния данных пациентов исходно оценивалась недостаточно корректно, хотя в обоих случаях успешно выполнены радикальные вмешательства. Кроме того, отмечены эпизод кровотечения из опухоли желудка, купированный консервативно, и острый тромбоз глубоких вен нижних конечностей, развившийся вопреки данным многочисленных исследований о снижении риска развития венозных тромбозов на фоне регулярных физических нагрузок [28].
Очевидным ограничением нашего исследования является его пилотный характер: небольшое число участников и отсутствие контрольной группы не позволили изучить влияние преабилитации на такие значимые показатели, как число осложнений и летальных исходов. Тем не менее полученные в данной отягощенной когорте пациентов результаты (90-дневная летальность 2,9%; общее число осложнений 35,3%; частота ИОХВ 8,8%) кажутся нам оптимистичными и позволяют планировать дальнейшие многоцентровые исследования. Небольшой размер выборки и короткий период наблюдения (в среднем 25,5 мес) не позволили оценить отдаленные результаты.
Заключение
Представленное нами исследование демонстрирует осуществимость сочетанной дистанционной преабилитации у пациентов, страдающих кахексией/саркопенией и резектабельными опухолями ЖКТ. Дистанционный характер тренировок, применение обучающих видео, дневников питания и упражнений, регулярные телефонные звонки от лечащего врача позволяют увеличить приверженность пациентов подобным программам, однако содержание и продолжительность программ, а также наличие противопоказаний к преабилитации требуют дальнейшего изучения.
Раскрытие интересов. Авторы декларируют отсутствие явных и потенциальных конфликтов интересов, связанных с публикацией настоящей статьи.
Disclosure of interest. The authors declare that they have no competing interests.
Вклад авторов. Авторы декларируют соответствие своего авторства международным критериям ICMJE. Все авторы в равной степени участвовали в подготовке публикации: разработка концепции статьи, получение и анализ фактических данных, написание и редактирование текста статьи, проверка и утверждение текста статьи.
Authors’ contribution. The authors declare the compliance of their authorship according to the international ICMJE criteria. All authors made a substantial contribution to the conception of the work, acquisition, analysis, interpretation of data for the work, drafting and revising the work, final approval of the version to be published and agree to be accountable for all aspects of the work.
Информированное согласие на публикацию. Пациенты подписали форму добровольного информированного согласия на публикацию медицинской информации.
Consent for publication. Written consent was obtained from the patients for publication of relevant medical information and all of accompanying images within the manuscript.
Соответствие принципам этики. Протокол исследования одобрен локальным этическим комитетом ФГБОУ ДПО РМАНПО (протокол №6 от 30 мая 2022 г.). Одобрение и процедуру проведения протокола получали по принципам Хельсинкской конвенции.
Ethics approval. The study was approved by the local ethics committee of Russian Medical Academy of Continuous Professional Education (protocol №6 dated 30.05.2022). The approval and procedure for the protocol were obtained in accordance with the principles of the Helsinki Convention.
Источник финансирования. Работа выполнена в рамках Гранта №2021-01 Фонда поддержки научных исследований в онкологии «Преабилитация пациентов с резектабельными опухолями органов пищеварения при наличии саркопении».
Funding source. The study was carried out within the framework of Grant No. 2021-01 of the Foundation for Support of Scientific Research in Oncology, “Prehabilitation of patients with resectable tumors of the digestive tract and sarcopenia”.
About the authors
Vladimir K. Lyadov
Russian Medical Academy of Continuous Professional Education; Novokuznetsk State Institute for Further Training of Physicians – Branch Campus of the Russian Medical Academy of Continuous Professional Education; Moscow State Budgetary Healthcare Institution «Moscow City Hospital named after S.S. Yudin, Moscow Healthcare Department»
Author for correspondence.
Email: vlyadov@gmail.com
ORCID iD: 0000-0002-7281-3591
SPIN-code: 5385-7889
D. Sci. (Med.); Head of Department; Head of Department
Russian Federation, Moscow; Novokuznetsk; MoscowTatyana S. Boldyreva
Moscow State Budgetary Healthcare Institution «Moscow City Hospital named after S.S. Yudin, Moscow Healthcare Department»
Email: vlyadov@gmail.com
ORCID iD: 0000-0003-4174-6637
SPIN-code: 7597-3600
Oncologist
Russian Federation, MoscowAlexander Yu. Gorshkov
National Research Center for Therapy and Preventive Medicine
Email: vlyadov@gmail.com
ORCID iD: 0000-0002-1423-214X
Cand. Sci. (Med.)
Russian Federation, MoscowElena V. Zyatenkova
National Research Center for Therapy and Preventive Medicine; Russian University of Medicine
Email: vlyadov@gmail.com
ORCID iD: 0000-0002-7775-1393
SPIN-code: 4837-3152
Cand. Sci. (Med.), Head of Department
Russian Federation, Moscow; MoscowMikhail G. Chashchin
National Research Center for Therapy and Preventive Medicine
Email: vlyadov@gmail.com
ORCID iD: 0000-0001-6292-3837
SPIN-code: 4511-5960
Res. Officer
Russian Federation, MoscowReferences
- Состояние онкологической помощи населению России в 2023 году. Под ред. А.Д. Каприна, В.В. Старинского, А.О. Шахзадовой. М.: МНИОИ им. П.А. Герцена − филиал ФГБУ «НМИЦ радиологии» Минздрава России, 2024 [Sostoianie onkologicheskoi pomoshchi naseleniiu Rossii v 2023 godu. Pod red. AD Kaprina, VV Starinskogo, AO Shakhzadovoi. Moscow: MNIOI im. P.A. Gertsena − filial FGBU «NMITS radiologii» Minzdrava Rossii, 2024 (in Russian)].
- Jínek T, Adamčík L, Vrba R, et al. Risk factors and post-operative complications after gastrectomy for cancer. Rozhl Chir. 2018;97(8):384-93.
- Warps AK, Tollenaar RAEM, Tanis PJ, et al. Postoperative complications after colorectal cancer surgery and the association with long-term survival. Eur J Surg Oncol. 2022;48(4):873-82. doi: 10.1016/j.ejso.2021.10.035
- Vagnildhaug OM, Balstad TR, Almberg SS, et al. A cross-sectional study examining the prevalence of cachexia and areas of unmet need in patients with cancer. Support Care Cancer. 2018;26:1871-80. doi: 10.1007/s00520-017-4022-z
- Fearon K, Strasser F, Anker SD, et al. Definition and classification of cancer cachexia: an international consensus. Lancet Oncol. 2011;12(5):489-95. doi: 10.1016/S1470-2045(10)70218-7
- Cruz-Jentoft AJ, Bahat G, Bauer J, et al. Writing Group for the European Working Group on Sarcopenia in Older People 2 (EWGSOP2), and the Extended Group for EWGSOP2. Sarcopenia: revised European consensus on definition and diagnosis. Age Ageing. 2019;48(1):16-31. doi: 10.1093/ageing/afy169
- Bowen TS, Schuler G, Adams V. Skeletal muscle wasting in cachexia and sarcopenia: molecular pathophysiology and impact of exercise training. J Cachexia Sarcopenia Muscle. 2015;6:197-207. doi: 10.1002/jcsm.12043
- Takaoka T, Yaegashi A, Watanabe D. Prevalence of and Survival with Cachexia among Patients with Cancer: A Systematic Review and Meta-Analysis. Adv Nutr. 2024;15(9):100282. doi: 10.1016/j.advnut.2024.100282
- Minnella EM, Carli F. Prehabilitation and functional recovery for colorectal cancer patients. Eur J Surg Oncol. 2018;44(7):919-26.
- Chmelo J, Phillips AW, Greystoke A, et al. A feasibility trial of prehabilitation before oesophagogastric cancer surgery using a multi-component home-based exercise programme: the ChemoFit study. Pilot Feasibility Stud. 2022;8(1):173. doi: 10.1186/s40814-022-01137-6
- Chia CL, Mantoo SK, Tan KY. Start to finish trans-institutional transdisciplinary care: a novel approach improves colorectal surgical results in frail elderly patients. Colorectal Dis. 2016;18:43-50.
- Болдырева Т.С., Лядов В.К., Деревяшкина Г.В., и др. Дистанционная преабилитация при наличии кахексии и резектабельного рака желудка: серия наблюдений. Современная Онкология. 2023;25(3):290-4 [Boldyreva TS, Lyado VK, Derevyashkina GV, et al. Remote pre-habilitation in patients with cachexia and resectable gastric cancer: a case series. Journal of Modern Oncology. 2023;25(3):290-4 (in Russian)]. doi: 10.26442/18151434.2023.3.202259
- Guo Y, Ding L, Miao X, et al. Effects of prehabilitation on postoperative outcomes in frail cancer patients undergoing elective surgery: a systematic review and metaanalysis. Support Care Cancer. 2022;31(1):57. doi: 10.1007/s00520-022-07541-1
- Клинические рекомендации МЗ РФ по лечению злокачественных новообразований. Режим доступа: https://www.rosoncoweb.ru/standarts/minzdrav/ Ссылка активна на 16.09.2024. [Clinical recommendations of the Ministry of Health of the Russian Federation for the treatment of malignant neoplasms. Available at: https://www.rosoncoweb.ru/standarts/minzdrav/ Accessed: 16.09.2024 (in Russian)].
- Charlson ME, Pompei P, Ales KL, et al. A new method of classifying prognostic comorbidity in longitudinal studies: development and validation. J Chronic Dis. 1987;40(5):373-83. doi: 10.1016/0021-9681(87)90171-8
- Dodds RM, Syddall HE, Cooper R, et al. Grip strength across the life course: normative data from twelve British studies. PLoS One. 2014;9(12):113-37. doi: 10.1371/journal.pone.0113637
- Newman AB, Simonsick EM, Naydeck BL, et al. Association of long-distance corridor walk performance with mortality, cardiovascular disease, mobility limitation, and disability. JAMA. 2006;295(17):2018-26. doi: 10.1001/jama.295.17.2018
- Mourtzakis M, Prado CM, Lieffers JR, et al. A practical and precise approach to quantification of body composition in cancer patients using computed tomography images acquired during routine care. Appl Physiol Nutr Metab. 2008;33(5): 997-1006. doi: 10.1139/H08-075
- Martin L, Birdsell L, Macdonald N, et al. Cancer cachexia in the age of obesity: skeletal muscle depletion is a powerful prognostic factor, independent of body mass index. J Clin Oncol. 2013;31(12):1539-47. doi: 10.1200/JCO.2012.45.2722
- Borg GA. Psychophysical bases of perceived exertion. Med Sci Sports Exerc. 1982;14(5):377-81.
- Camarda SR, Tebexreni AS, Páfaro CN, et al. Comparison of maximal heart rate using the prediction equations proposed by Karvonen and Tanaka. Arq Bras Cardiol. 2008;91(5):311-4. doi: 10.1590/s0066-782x2008001700005
- Mareschal J, Hemmer A, Douissard J, et al. Surgical Prehabilitation in Patients with Gastrointestinal Cancers: Impact of Unimodal and Multimodal Programs on Postoperative Outcomes and Prospects for New Therapeutic Strategies-A Systematic Review. Cancers (Basel). 2023;15(6):1881. doi: 10.3390/cancers15061881
- Седаков И.Е., Попович А.Ю., Заика А.Н. Непосредственные результаты гастрэктомий при раке желудка. Новообразование. 2019;11(2):72-5 [Sedalov IE, Popovich AIu, Zaika AN. Neposredstvennye rezultaty gastrektomii pri rake zheludka. Novoobrazovanie. 2019;11(2):72-5 (in Russian)].
- Morinaga M, Sako N, Isobe M, et al. Aerobic Exercise Ameliorates Cancer Cachexia-Induced Muscle Wasting through Adiponectin Signaling. Int J Mol Sci. 2021;22:3110. doi: 10.3390/ijms22063110
- Pereira MG, Voltarelli VA, Tobias GC, et al. Aerobic Exercise Training and In Vivo Akt Activation Counteract Cancer Cachexia by Inducing a Hypertrophic Profile through eIF-2α Modulation. Cancers (Basel). 2021;14(1):28. doi: 10.3390/cancers14010028
- Hardee JP, Counts BR, Carson JA. Understanding the role of exercise in cancer cachexia therapy. Am J Lifestyle Med. 2019;13(1):46-60.
- Tamayo-Torres E, Garrido A, de Cabo R, et al. Molecular mechanisms of cancer cachexia. Role of exercise training. Mol Aspects Med. 2024;99:101293. doi: 10.1016/j.mam.2024.101293
- van Stralen KJ, Le Cessie S, Rosendaal FR, Doggen CJ. Regular sports activities decrease the risk of venous thrombosis. J Thromb Haemost. 2007;5(11):2186-92. doi: 10.1111/j.1538-7836.2007.02732.x





