Ectopic adrenocortical adenoma in the renal sinus: A clinical case
- Authors: Trushkin R.N.1,2, Ognerubov N.A.3, Sokolov S.A.2, Dolgov S.A.2, Shcheglov N.E.2, Sokolov A.A.4, Urusova L.S.5, Pachuashvili N.V.5
-
Affiliations:
- Peoples' Friendship University of Russia named after Patrice Lumumba
- City Clinical Hospital №52
- Russian Medical Academy of Continuous Professional Education
- Central Clinical Hospital with Polyclinic
- Endocrinology Research Centre
- Issue: Vol 27, No 1 (2025)
- Pages: 42-45
- Section: Articles
- Submitted: 04.05.2025
- Accepted: 04.05.2025
- Published: 04.05.2025
- URL: https://modernonco.orscience.ru/1815-1434/article/view/679132
- DOI: https://doi.org/10.26442/18151434.2025.1.203201
- ID: 679132
Cite item
Full Text
Abstract
Background. Adrenal ectopy is a congenital anomaly of the endocrine system. It occurs in less than 1% of the adult population. Ectopy lesions consist mainly of cortex and a minimal amount of medulla. Ectopic adenomas of the adrenal cortex are small, non-functional, asymptomatic, and usually found incidentally. They are found in the kidney only in 0.1–0.6% of observations.
Aim. To present a rare case of non-functioning ectopic adrenocortical adenoma in the renal sinus.
Results. A 56-year-old man underwent a routine medical examination, and an ultrasound showed a tumor in the renal sinus. According to X-ray computerized and contrast-enhanced magnetic resonance imaging (MRI), a soft tissue vascularized mass in the renal sinus on the right was found, 29×15×20 mm in size. The density on the Hounsfield scale was +15HU with heterogeneous contrast uptake (up to +75HU), and the mass was closely adjacent to the renal artery and vein. No abnormalities were detected in the adrenal glands. According to MRI, the tumor had a heterogeneous structure with a signal reduction in T2 mode with diffusion restriction. Morphological verification was impossible due to anatomical features. A nephrectomy was performed for suspected renal cell carcinoma of the renal hilum. In pathohistological examination, the tumor was represented by light and eosinophilic cells; immunohistochemistry revealed a pronounced expression of SF1, Melan A, and CYP11B2 biomarkers. Ectopic cortical adrenal adenoma in the renal sinus was diagnosed. The patient was examined in 3 months, and no recurrence or functional activity was detected.
Conclusion. Ectopic adrenocortical adenoma in the renal sinus is extremely rare and usually non-functional. X-ray computed tomography and MRI are sensitive methods for localizing ectopic adrenal tumors. The density value of the mass in the native mode of 10–20 HU indicates a high intracellular lipid content. A surgical method is recommended for the treatment of functional and non-functional adenomas. The final diagnosis is established by histological and immunohistochemical examinations.
Full Text
Введение
В процессе эмбриогенеза окончательное формирование коры надпочечников завершается уже на 6-й неделе, а на 8-й неделе внутриутробного развития происходит отделение мезотелия и миграция в окружающую соединительную ткань на протяжении от гонад к надпочечнику [1]. В связи с этим у 50% новорожденных и в 1% случаев у взрослых появляется эктопическая ткань надпочечников [2]. В младенческом возрасте большая часть эктопированной ткани надпочечников, как правило, атрофируется, а в случае сохранения она является нефункционирующей и не проявляется какими-либо симптомами. Только лишь небольшая часть ее может пролиферировать, что сопровождается увеличением секреции кортизола [1, 3].
Первое описание атипичной ткани надпочечника в виде желтоватого участка, расположенного в семенном канатике ребенка, сделано G. Morgagni в 1740 г. [4].
Z. Wang и соавт. (2024 г.) представили обзор литературы, в котором авторы сообщают о 31 случае эктопических аденом кортикального слоя надпочечников. Согласно полученным данным в 1/3 наблюдений (10/32,3%) они располагались в почечном синусе, причем с преобладанием в воротах левой почки в 8 (25,8%) случаях. И только лишь у 2 больных они находились в правой почке. Кроме того, в правой доле печени эктопированная адренокортикальная аденома также диагностирована в 10 (32,3%) эпизодах. Вдоль позвоночного столба с уровня ThXII до LV аденомы коры надпочечников идентифицированы у 7 (22,6%) пациентов [5].
Описаны единичные наблюдения в антральном отделе желудка, яичниках, спинномозговой области, легких [5–7]. Возрастной диапазон колебался от 5 мес до 75 лет при максимальном размере образований от 8,5 до 8,8 см. В основном эктопированные аденомы являются нефункциональными, без клинических проявлений [5]. Гормонально активные варианты встречаются редко [8, 9]. Их дооперационная диагностика возможна благодаря специфическим клиническим симптомам, обусловленным синтезируемыми гормонами, и исследованию эндокринной функции [10].
Основными методами визуализации эктопированных аденом являются рентгеновская компьютерная (РКТ) и магнитно-резонансная томография (МРТ) с контрастированием, которые наиболее информативны при локализации новообразования в почечном синусе [11, 12].
При расположении опухоли в синусе почки дооперационная морфологическая верификация диагноза практически невозможна из-за анатомических особенностей, обусловленных синтопией с сосудистыми образованиями.
Практически всем больным с нефункционирующими и функционирующими эктопированными аденомами проводится хирургическое лечение по поводу предполагаемого почечно-клеточного рака. В большинстве случаев истина представлена патоморфологическим диагнозом после операции [5, 11, 13]. При морфологическом исследовании послеоперационного материала ввиду выраженных цитологических изменений при слиянии тканей и наличии светлых клеток необходимо проведение дифференциальной диагностики со светлоклеточным почечно-клеточным раком, включая иммуногистохимическое (ИГХ-) исследование. Среди биомаркеров чаще всего встречаются SF1 – 100%, Melan A – 79%, Syn – 68% [5, 14].
Мы наблюдали мужчину 56 лет с эктопической адренокортикальной аденомой в почечном синусе справа.
Клинический случай
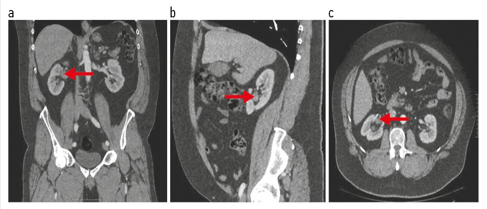
У пациента 56 лет при диспансерном обследовании с помощью ультразвукового исследования (УЗИ) почек выявлено образование в области почечного синуса справа размерами 29×15×20 мм с признаками васкуляризации. Какие-либо клинические проявления у больного отсутствовали. По данным мультиспиральной КТ брюшной полости и забрюшинного пространства с внутривенным контрастированием надпочечники с обеих сторон – без признаков узелков и гиперплазии. В воротах правой почки определяется мягкотканное образование, неоднородное по структуре, размером 29×15×20 мм. Плотность опухоли по шкале Хаунсфилда со средними значениями в нативе составляет +15 HU. Контрастный препарат накапливает неоднородно до +75 HU. Опухоль интимно прилежит к ветвям почечной артерии и вены (рис. 1).
Рис. 1. Пациент Г., 56 лет. Мультиспиральная КТ органов брюшной полости и забрюшинного пространства с контрастированием. На корональной (a), сагиттальной (b) и аксиальной (c) постконтрастных томограммах в синусе правой почки определяется овоидное образование неоднородной плотности, неоднородно накапливающее контраст.
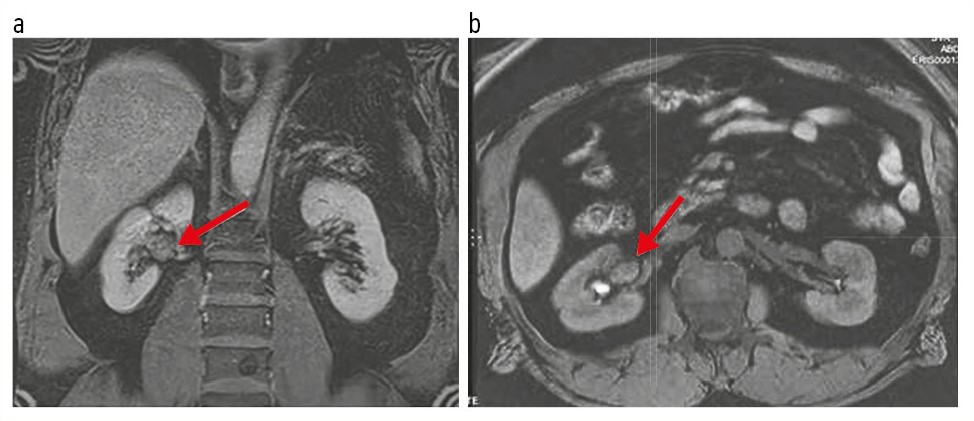
С целью дифференциальной диагностики выявленного образования в почечном синусе и более точной оценки распространенности выполнена МРТ почек и надпочечников с внутривенным контрастированием. В синусе правой почки определяется овоидное образование неоднородной структуры преимущественно пониженного сигнала в режимах Т2 и Т1, неоднородно накапливающее контрастный препарат, с рестрикцией диффузии, размерами 30×17×22 мм, тесно прилежащее к ветвям почечной артерии и вены. Периренальная клетчатка – без особенностей (рис. 2).
Рис. 2. Пациент Г., 56 лет. МРТ органов брюшной полости и забрюшинного пространства с контрастированием. На корональной (a) и аксиальной (b) постконтрастных магнитно-резонансных томограммах в синусе правой почки определяется овоидное образование неоднородной структуры пониженного сигнала в режимах Т2 и Т1.
Согласно полученным данным наличие объемного образования в почечном синусе справа не дает возможность исключить злокачественную природу этой опухоли. Особенность взаимоотношения опухоли и сосудов в воротах почки не позволяет выполнить биопсию с целью морфологической оценки.
Показано хирургическое вмешательство. Предпринята попытка лапароскопической резекции правой почки. Однако при интраоперационной визуализации отмечено интимное прилегание новообразования к почечным сосудам, что обусловливает высокий риск неконтролируемого кровотечения. Кроме того, ввиду подозрения на злокачественный процесс и сомнительный характер радикальности решено выполнить нефрэктомию справа.
Макроскопически в клетчатке ворот почки определяется опухоль желтого цвета размерами 2,7×2,0×1,7 см. При гистологическом исследовании диагностирована неинкапсулированная четко очерченная ткань надпочечника, представленная в основном светлыми липидсодержащими и компактными эозинофильными клетками, в которых местами отмечается отложение золотистого пигмента липофусцина. Обнаружена очаговая инфильтрация лимфоцитами. В жировой ткани за пределами образования идентифицированы дополнительные эктопированные очаги ткани надпочечника (рис. 3, a).
Рис. 3. Пациент Г., 56 лет. Гистологическое (a) и ИГХ- (b–d) исследование удаленной опухоли почечного синуса: a – опухоль представлена диффузными скоплениями светлых клеток, богатых липидами (стрелки), и, в меньшей степени, эозинофильными клетками. ×60. Окраска гематоксилином и эозином; b – выраженная ядерная экспрессия SF1 в опухолевых клетках. ×100. ИГХ-реакция с антителом SF1; c – выраженная цитоплазматическая экспрессия Melan А в большинстве опухолевых клеток. ×100. ИГХ-реакция с антителом Melan А; d – выраженная очаговая цитоплазматическая экспрессия CYP11B2 (альдостеронсинтаза). ×120. ИГХ-реакция с антителом CYP11B2.
При ИГХ-исследовании в опухолевых клетках выявлены: выраженная ядерная экспрессия биомаркера SF1 (рис. 3, b), выраженная цитоплазматическая экспрессия Melan А (рис. 3, c) и выраженная очаговая цитоплазматическая экспрессия CYP11B2 (альдостеронсинтаза); рис. 3, d.
С учетом данных методов медицинской визуализации, интраоперационной картины, результатов патогистологического и ИГХ-исследования установлен окончательный диагноз: эктопированная адренокортикальная аденома почечного синуса.
Пациент осмотрен через 3 мес после оперативного вмешательства, признаков возврата заболевания по данным УЗИ и гормональной активности с учетом результатов ИГХ-исследования не выявлено.
Обсуждение
Нахождение эктопической ткани надпочечников в различных анатомических местах обусловлено аномалиями эмбриологического развития. Обычно они встречаются вдоль путей спуска гонад [15]. Эктопия надпочечника в синус почки встречается редко, но имеет широкий спектр морфологических особенностей, включая плотные скопления преимущественно светлых клеток, имитирующих светлоклеточную почечно-клеточную карциному низкой степени злокачественности [5, 8, 16].
В настоящее время наиболее часто используемые методы диагностики природы образований надпочечников – это КТ и МРТ [8, 17]. Их применение позволяет установить локализацию, размер, контур, структуру и нативную плотность, но тем не менее они не всегда могут уточнить характер опухоли [17].
РКТ является чувствительным методом диагностики локализаций эктопических опухолей надпочечников. Более 70% адренокортикальных аденом содержит большое количество внутриклеточных липидов. Для характеристики этого показателя применяют оценку плотности по Хаунсфилду в нативе. Принято считать, что по данным КТ величина ее в пределах 10–20 HU свидетельствует о высоком уровне липидов в опухоли [17, 18]. Применение МРТ с химическим сдвигом также позволяет в 62% наблюдений определить уровень липидов в опухоли [19].
Гибридная технология комбинированной позитронно-эмиссионной и РКТ 68Ga-DOTA TATE является предпочтительным методом визуализации для первоначальной диагностики и локализации неизвестных первичных опухолей [20].
В большинстве случаев правильный диагноз можно поставить только на основании морфологических особенностей с дополнительным использованием ИГХ-исследований в сложных случаях [11]. Эктопическую аденому коры надпочечников можно подтвердить с помощью ИГХ-исследования с применением некоторых биомаркеров. Среди них SF1 является наиболее важным и специфическим, указывающим на надпочечниковое происхождение, а другой из них, с высокой чувствительностью и специфичностью, – Melan A [21].
В представленном клиническом случае рассмотрена редкая форма эктопической адренокортикальной аденомы, локализованной в почечном синусе. При такой локализации морфологическое подтверждение на догоспитальном этапе практически невозможно ввиду сложных анатомических взаимоотношений в воротах почки. Эта особенность способствовала увеличению объема хирургического вмешательства до нефрэктомии. В описанном наблюдении морфологическая картина и иммунофенотип опухоли соответствовали эктопической аденоме коры надпочечников. При этом в опухоли наблюдалась выраженная цитоплазматическая экспрессия альдостеронсинтазы CYP11B2, что может свидетельствовать о гормональной активности опухоли. Это указывает на необходимость мониторинга гормонального статуса пациента в связи с потенциальной гиперпродукцией минералокортикоидов.
Заключение
Опухоли синуса почки представляют собой значительные трудности в клинической практике с точки зрения диагностики и лечения. Среди них эктопические адренокортикальные аденомы являются крайне редким заболеванием. При проведении дифференциальной диагностики опухолей ворот почки необходимо включать эктопическую аденому коры надпочечников. Основные методы медицинской визуализации для диагностики характера образований надпочечников – РКТ и МРТ с контрастированием. Хирургический метод лечения является основным для нефункционирующих и функционирующих эктопических аденом надпочечников. Окончательный диагноз устанавливается по результатам патогистологического и ИГХ-исследования.
Раскрытие интересов. Авторы декларируют отсутствие явных и потенциальных конфликтов интересов, связанных с публикацией настоящей статьи.
Disclosure of interest. The authors declare that they have no competing interests.
Вклад авторов. Авторы декларируют соответствие своего авторства международным критериям ICMJE. Все авторы в равной степени участвовали в подготовке публикации: разработка концепции статьи, получение и анализ фактических данных, написание и редактирование текста статьи, проверка и утверждение текста статьи.
Authors’ contribution. The authors declare the compliance of their authorship according to the international ICMJE criteria. All authors made a substantial contribution to the conception of the work, acquisition, analysis, interpretation of data for the work, drafting and revising the work, final approval of the version to be published and agree to be accountable for all aspects of the work.
Источник финансирования. Авторы декларируют отсутствие внешнего финансирования для проведения исследования и публикации статьи.
Funding source. The authors declare that there is no external funding for the exploration and analysis work.
Информированное согласие на публикацию. Пациент подписал форму добровольного информированного согласия на публикацию медицинской информации.
Consent for publication. Written consent was obtained from the patient for publication of relevant medical information and all of accompanying images within the manuscript.
About the authors
Ruslan N. Trushkin
Peoples' Friendship University of Russia named after Patrice Lumumba; City Clinical Hospital №52
Email: ognerubov_n.a@mail.ru
ORCID iD: 0000-0002-3108-0539
D. Sci. (Med.)
Russian Federation, Moscow; MoscowNikolai A. Ognerubov
Russian Medical Academy of Continuous Professional Education
Author for correspondence.
Email: ognerubov_n.a@mail.ru
ORCID iD: 0000-0003-4045-1247
D. Sci. (Med.), D. Sci. (Law), Prof.
Russian Federation, MoscowSergey A. Sokolov
City Clinical Hospital №52
Email: ognerubov_n.a@mail.ru
ORCID iD: 0009-0004-7016-2360
SPIN-code: 5232-7116
Urologist
Russian Federation, MoscowSergey A. Dolgov
City Clinical Hospital №52
Email: ognerubov_n.a@mail.ru
ORCID iD: 0009-0008-6537-1327
Clinical Resident
Russian Federation, MoscowNikolai E. Shcheglov
City Clinical Hospital №52
Email: ognerubov_n.a@mail.ru
ORCID iD: 0000-0002-1018-8460
Cand. Sci. (Med.)
Russian Federation, MoscowAleksandr A. Sokolov
Central Clinical Hospital with Polyclinic
Email: ognerubov_n.a@mail.ru
ORCID iD: 0009-0007-0302-0428
SPIN-code: 5887-1880
Cand. Sci. (Med.)
Russian Federation, MoscowLiliya S. Urusova
Endocrinology Research Centre
Email: ognerubov_n.a@mail.ru
ORCID iD: 0000-0001-6891-0009
D. Sci. (Med.)
Russian Federation, MoscowNano V. Pachuashvili
Endocrinology Research Centre
Email: ognerubov_n.a@mail.ru
ORCID iD: 0000-0002-8136-0117
Cand. Sci. (Med.)
Russian Federation, MoscowReferences
- Barwick TD, Malhotra A, Webb JA, et al. Embryology of the adrenal glands and its relevance to diagnostic imaging. Clin Radiol. 2005;60(9):953-9. doi: 10.1016/j.crad.2005.04.006
- Souverijns G, Peene P, Keuleers H, Vanbockrijck M. Ectopic localisation of adrenal cortex. Eur Radiol. 2000;10:1165-8. doi: 10.1007/s003309900263
- Liu Y, Jiang YF, Wang YL, et al. Ectopic adrenocortical adenoma in the renal hilum: a case report and literature review. Diagn Pathol. 2016;11:40. doi: 10.1186/s13000-016-0490-6
- Aberrant adrenal tissue. Schechter DC. Ann Surg. 1968;167:421-6. doi: 10.1097/00000658-196803000-00017
- Wang Z, Zhong X, Yu J, et al. Ectopic adrenocortical adenoma characterized by hypogonadism: a case report and review of the literature. J Med Case Rep. 2024 ;18(1):276. doi: 10.1186/s13256-024-04595-z
- Rodriguez FJ, Scheithauer BW, Erickson LA, et al. Ectopic low-grade adrenocortical carcinoma in the spinal region: immunohistochemical and molecular cytogenetic study of a pediatric case. Am J Surg Pathol. 2009;33(1):142-8. doi: 10.1097/PAS.0b013e318180deda
- Medeiros LJ, Anasti J, Gardner KL, et al. Virilizing adrenal-cortical neoplasm arising ectopically in the thorax. J Clin Endocrinol Metab. 1992;75(6):1522-5. doi: 10.1210/jcem.75.6.1464658
- Baek J, Kim SH, Cho SH, et al. Ectopic Adrenal Adenoma in Renal Sinus: A Case Report. J Korean Soc Radiol. 2022;83(5):1116-20. doi: 10.3348/jksr.2021.0187
- Tong A, Jia A, Yan S, et al. Ectopic cortisol-producing adrenocortical adenoma in the renal hilum: histopathological features and steroidogenic enzyme profile. Int J Clin Exp Pathol. 2014;7(7):4415-21.
- Ye H, Yoon GS, Epstein JI. Intrarenal ectopic adrenal tissue and renal-adrenal fusion: a report of nine cases. Mod Pathol. 2009;22(2):175-81. doi: 10.1038/modpathol.2008.162
- Cheng B, Cai Q, Wu Y, et al. Primary renal sinus tumor: Three case reports with a review of the literature. Oncol Lett. 2015;9(2):829-32. doi: 10.3892/ol.2014.2729
- Bolocan VO, Diaconu GF, Secareanu M, et al. Renal Sinus Pathologies Depicted by CT Imaging: A Pictorial Review. Cureus. 2024;16(3):e57087. doi: 10.7759/cureus.57087
- Roussel E, Capitanio U, Kutikov A, et al. Novel Imaging Methods for Renal Mass Characterization: A Collaborative Review. Eur Urol. 2022;81(5):476-88. doi: 10.1016/j.eururo.2022.01.040
- Pan CC, Chen PC, Tsay SH, Ho DM. Differential immunoprofiles of hepatocellular carcinoma, renal cell carcinoma, and adrenocortical carcinoma: a systemic immunohistochemical survey using tissue array technique. Appl Immunohistochem Mol Morphol. 2005;13(4):347-52. doi: 10.1097/01.pai.0000146525.72531.19
- De Marchi D, Tafuri A, Mantica G, et al. Ectopic adrenal tissue in the kidney: A systematic review. Arch Ital Urol Androl. 2021;93(4):481-8. doi: 10.4081/aiua.2021.4.481
- Wahbi S, Cherkaoui SB, Aynaou H, et al. Pheochromocytoma in an Ectopic Adrenal Gland. Cureus. 2023;15(6):e40068. doi: 10.7759/cureus.40068
- Волкова Н.И., Поркшеян М.И. Визуализация надпочечников: о чем должен быть осведомлен клиницист? Эндокринная хирургия. 2016;10(2):18-28 [Volkova NI, Porksheyan MS. Adrenal imaging: what the clinician should be informed on? Endocrine Surgery. 2016;10(2):18-28 (in Russian)]. doi: 10.14341/serg2016218-28
- Ilias I, Sahdev A, Reznek RH, et al. The optimal imaging of adrenal tumors: a comparison of different methods. Endocr Relat Cancer. 2007;14(3):587-99. doi: 10.1677/ERC-07-0045
- Israel GM, Korobkin M, Wang C, et al. Comparison of unenhanced CT and chemical shift MRI in evaluating lipid-rich adrenal adenomas. AJR Am J Roentgenol. 2004;183(1):215-9. doi: 10.2214/ajr.183.1.1830215
- Sanli Y, Garg I, Kandathil A, et al. Neuroendocrine Tumor Diagnosis and Management: 68Ga-DOTATATE PET/CT. AJR Am J Roentgenol. 2018;211(2):267-77. doi: 10.2214/AJR.18.19881
- Mete O, Asa SL, Giordano TJ, et al. Immunohistochemical biomarkers of adrenal cortical neoplasms. Endocr Pathol. 2018;29(2):137-49. doi: 10.1007/s12022-018-9525-8
Supplementary files






