Pain relief clinical efficacy using pulsed radiofrequency ablation of nerve roots in patients with spine metastatic lesions. A prospective study
- Authors: Kuznetsov S.F.1, Babkin N.S.1, Valiev A.K.1, Kabardaev R.M.1, Borzov K.A.1
-
Affiliations:
- Blokhin National Medical Research Center of Oncology
- Issue: Vol 26, No 4 (2024)
- Pages: 495-503
- Section: Articles
- Submitted: 14.02.2025
- Accepted: 14.02.2025
- Published: 18.02.2025
- URL: https://modernonco.orscience.ru/1815-1434/article/view/655961
- DOI: https://doi.org/10.26442/18151434.2024.4.203008
- ID: 655961
Cite item
Full Text
Abstract
Aim. The objective of the study is to evaluate the clinical efficacy and safety of PRFA (pulsed radiofrequency ablation) of nerve roots in improving general somatic and functional status (Karnofsky score), decreasing pain (NRS) and reducing analgesics consumption (Watkins score) in patients with spine metastatic lesions.
Materials and methods. This study involved the analysis of 230 patients with pain syndrome related to metastatic lesions in the spine. Those patients were divided into two groups. The first group included 156 patients who underwent Pulsed RFA of nerve roots in order to relieve pain. There were 69 men and 87 women. The second group, which received only drug treatment with non-opioid and opioid analgesics, consisted of 74 patients, including 30 men and 44 women. The performance status was evaluated with the Karnofsky score (%), pain degree was assessed with the Numerical Rating Scale from 0 to 10 (NRS), and analgesics consumption reduction was assessed by the Watkins scale. Overall treatment satisfaction in patients and physicians was evaluated with the Likert scale.
Results. In the pulsed RFA group, 124 (79.5%) patients out of 156 had effective therapy in the form of NRS decrease of at least 50% and at least 1 point decrease by the Watkins scale. The performance status improved by at least 10% according to the Karnofsky index in 121 (77.6%) patients. As for the control group, the effectiveness of pharmacotherapy based on NRS was achieved in 65 (87.8%) out of 74 patients, and the general somatic status was improved in 60 (81.1%) patients. The maximum analgesic effect of the nerve root RFA is achieved on the 10th day after the procedure, maintaining for up to 90 days without dynamics. The level of statistical significance was p<0.001. In the RFA group, 153 (98.01%) patients experienced no complications, and in the control group, complications were seen in 64 (86.5%) cases, manifested themselves in the form of adverse events from analgesics used for pain control. Originally, prior to the study, all 100% of patients in both groups expressed pain therapy dissatisfaction before consulting a vertebrologist. The unsatisfactory score proportion on the Likert scale during the treatment in the RFA group decreased to 20.5% (32), and in the pharmacotherapy group – to 28.4% (21), respectively.
Conclusion. Pulsed radiofrequency ablation of nerve roots is highly effective and safe, minimally invasive neuromodulatory method for pain treatment in cancer patients with nerve roots compression caused by the spine metastases. This method allows within a short period to reduce or decrease the severity of pain syndrome in 79.5% of patients, contributing to their physical activity increase and improving the quality of life in 77.6% of patients. Pulsed RFA of nerve roots has advantages over conservative treatment in various aspects: decrease in pain syndrome intensity, enhanced patients satisfaction with treatment results, significant pharmacological stress and its associated complications reduction, improved patients physi-cal activity and quality of life.
Full Text
Введение
Одной из наиболее частых локализаций метастазов злокачественных опухолей является костная система. При этом 70% всех костных метастазов приходится на позвоночник [1–3].
В структуре опухолевой патологии позвоночника преобладает метастатическое поражение, составляющее 96% (на долю первичных опухолей приходится 4%). Из них 95% случаев характеризуются наличием экстрадурально расположенных метастазов, в 4–5% случаев – интрадуральных опухолей, а в менее чем 1% случаев – интрамедуллярных поражений [4, 5].
Частота встречаемости метастатического поражения позвоночника при диссеминированных злокачественных новообразованиях выглядит следующим образом: рак молочной железы (68–74%), легкого (40–50%), предстательной железы (60–68%), почки (35%), мочевого пузыря (16%), пищевода и желудка (13%), печени (3%) и поджелудочной железы (6–12%), толстого кишечника (9%), щитовидной железы (36–42%), шейки и тела матки (9%), лейомиосаркомы тела матки (7%), рак органов головы и шеи (12–22%), злокачественная меланома (36–55%). При лимфопролиферативных новообразованиях (лимфомах) и саркомах также отмечается поражение позвоночника (до 3–4%) [6].
Болевой синдром, патологические переломы, неврологические расстройства, а также гиперкальциемия способствуют ухудшению качества жизни пациентов, особенно при увеличении продолжительности их жизни, что связано в первую очередь со значительными успехами лекарственной терапии диссеминированных процессов [7–9].
Высокая частота встречаемости болевого синдрома приводит к значительным финансовым, социальным и морально-этическим потерям, что представляет собой важную и актуальную проблему как с медицинской, так и с социально-экономической точки зрения [10, 11].
Ключом к эффективной противоболевой терапии является глубокое понимание патогенеза болевого синдрома. Опухоль-ассоциированный болевой синдром представлен смешанным патофизиологическим механизмом, характеризующимся чертами ноцицептивной, нейропатической и психогенной боли [12–15].
Первой линией лечения болевого синдрома является консервативная терапия (фармакотерапия). План лечения может включать применение неопиоидных анальгетиков, короткодействующих и долгодействующих опиоидов, а также дополнительные препараты (например, антидепрессанты, антиконвульсанты и др.). Всемирная организация здравоохранения рекомендует использование трехступенчатой «лестницы анальгезии», которая является признанным стандартом и основой лечения болевого синдрома у пациентов с онкологическими заболеваниями [11, 12, 16].
Паллиативная дистанционная лучевая терапия (ЛТ) в сочетании с различными методами лекарственного и хирургического лечения позволяет эффективно уменьшать болевой синдром и другие клинические проявления, связанные с осложнениями костных метастазов, такими как компрессия спинного мозга и периферических нервов, патологические переломы. Кроме того, она способствует обеспечению локального контроля над метастатическими очагами. Однако при выборе объема облучения при лечении костных метастазов необходимо учитывать ряд факторов: радиочувствительность опухоли, риск возникновения побочных эффектов, включая возможные осложнения при сочетании ЛТ с системным лекарственным лечением, а также характер и местоположение поражения, ожидаемую продолжительность жизни пациента [17–20].
В лечении костных метастазов помимо обычной ЛТ успешно используется радионуклидная терапия, способная снижать болевой синдром, оказывать противоопухолевое воздействие на метастатические очаги в костях и уменьшать вероятность возникновения костных осложнений, а также замедлять прогрессирование заболевания, улучшать качество жизни и увеличивать продолжительность жизни пациентов. Тем не менее радионуклидная терапия имеет определенные показания к применению и может вызывать осложнения [19, 21, 22].
Эффективность ЛТ в отношении болевого синдрома достаточно высока. Частота общего обезболивающего эффекта составляет 60–85% [19, 23, 24].
Простота и быстрота использования ЛТ с целью обезболивания не решит проблему боли, связанной с компрессией нервных структур костными отломками и выраженным сагиттальным дисбалансом позвоночника. В подобных ситуациях требуется хирургическое лечение [25, 26].
Важно отметить, что хирургические вмешательства, направленные на восстановление биомеханики позвоночника и декомпрессию спинного мозга, характеризуются высоким риском осложнений и требуют длительного периода реабилитации пациентов, что влечет за собой значительные экономические издержки. Поэтому стратегия лечения все больше ориентируется на применение минимально инвазивных методов, включая такие методики, как чрескожная транспедикулярная фиксация (ЧТПФ) и вертебропластика – ВП (кифопластика) [27–29]. Перечисленные процедуры способствуют быстрому восстановлению структуры и функции позвоночника с последующим регрессом болевого синдрома у пациентов с опухолевым поражением позвоночника. Восстановление стабильности позвоночника и ранняя мобилизация онкологических пациентов позволяют эффективнее проводить дальнейшее противоопухолевое лечение [29, 30].
В случае неэффективности консервативной терапии боли следующим этапом рекомендуется применение инвазивных методик, которые делятся на минимально инвазивные методы, такие как нейромодуляция и нейростимуляция, а также деструктивные операции, включающие процедуры денервации, в числе которых выделяются симпатэктомия, деструкция входной зоны задних корешков (DREZ), хордотомия [31–35].
Литературные данные свидетельствуют, что применение нейродеструктивных вмешательств в качестве альтернативных вариантов аналгезии для онкологических больных с рефрактерным болевым синдромом ограничены по показаниям и сопровождаются высокими рисками осложнений, вплоть до летальных исходов [36]. Поэтому хирурги рассматривают применение малоинвазивных нейромодулирующих вмешательств для лечения боли, в частности импульсную радиочастную аблацию (ИРЧА) нервных структур [16, 37, 38].
ИРЧА нервных структур широко применяется в мире уже более 20 лет как метод лечения боли, в основе которого лежит ультраструктурное воздействие тока высокой частоты на безмиелиновые нервные волокна с моделированием прохождения болевого импульса. Ее эффективность и безопасность (по сравнению с другими методами хирургического лечения) описана во многих исследованиях [33, 39–42].
Несмотря на это, многие врачи ввиду простоты и удобства предпочитают длительное консервативное лечение болевого синдрома, не обеспечивающее достаточного облегчения, и не используют методы нейромодуляции. Важно отметить, что за последние десятилетия появление новых противоопухолевых и иммунотерапевтических препаратов, усовершенствование хирургических и радиотерапевтических технологий, а также диагностических методов привели к увеличению продолжительности жизни пациентов с метастатическим заболеванием, что вызвало рост числа онкологических пациентов, страдающих от болевого синдрома. Эти пациенты требуют комбинированного подхода для обеспечения адекватного облегчения боли и улучшения качества жизни. В связи с этим возрастает актуальность поиска и применения новых эффективных методов лечения для облегчения боли и повышения качества жизни у данной группы больных в клинической практике.
Цель исследования – оценить анальгетическую эффективность и безопасность метода ИРЧА нервных корешков спинного мозга, ее влияние на общесоматический и функциональный статус пациента и количество используемых анальгетиков у больных с метастатическим поражением позвоночника.
Материалы и методы
В клинической проспективной работе проводился анализ данных 230 пациентов с болевым синдромом, связанным с метастатическим поражением позвоночника. Все они получали лечение в ФГБУ «НМИЦ онкологии им. Н.Н. Блохина» в 2020–2023 гг. на базе отделения опухолей костей и мягких тканей №1 (вертебральной онкологии). Участников распределили на 2 группы в зависимости от вида противоболевой терапии (рис. 1).
Рис. 1. Структура исследуемой когорты пациентов.
Fig. 1. Structure of the studied patient cohort.
В основную группу включены 156 пациентов, которым проведена радиочастотная термоаблация нервных корешков в целях облегчения боли. Среди них – 69 мужчин и 87 женщин. Контрольная группа, которая получала только консервативную терапию, включала 74 пациента – 30 мужчин и 44 женщины. Средний возраст пациентов на момент обращения к вертебрологу составил 57 лет (от 24 до 85 лет).
В табл. 1 представлено распределение пациентов по изучаемым характеристикам до проведения манипуляции, причем значимых различий между группами не обнаружено. Большинство пациентов имели метастатическое поражение позвоночника (81,8%) при: раке молочной железы (25,7%), желудочно-кишечного тракта – ЖКТ (13,0%), легких (11,3%), почек (8,3%) и заболеваниях онкогематологического профиля (14,8%). Высокочувствительные к противоопухолевой терапии формы рака преобладали как в основной (73,5%), так и в контрольной (86,5%) группах.
Из 230 пациентов 157 (68,3%) оказались неспособны поддерживать нормальную ежедневную активность или выполнять активную работу, что составило 70% по шкале Карновского.
Выраженный болевой синдром (NRS 7–10) составляет 70,4% в основной группе, а в контрольной – 51,0%.
Средние значения длительности болевого синдрома составляют 4,94±1,04 нед в основной группе, а в контрольной – 6,96±3,87 нед.
При анализе предшествующего локального лечения позвоночника выявлено, что у 74,3% больных контрольной группы отсутствовали какие-либо варианты локального лечения позвоночника, а у больных основной группы встречались в 53,2%.
Все больные прошли клиническое и лабораторно-рентгенологическое обследования, подтверждающие стабильное состояние пациента.
В ходе исследования пациенты принимали анальгетики, перечень которых ограничен следующими препаратами: кетопрофен в дозе до 300 мг/сут; диклофенак в дозе до 150 мг/сут; нимесулид в дозе до 200 мг/сут; трамадол в дозе до 400 мг/сут; сильные опиоиды в дозе, эквивалентной не более 120 мг морфина перорально, а также прегабалин в дозе до 300 мг/сут при наличии у пациентов нейропатического компонента боли.
Критерии включения:
- мужчины и женщины в возрасте от 18 до 85 лет с болевым синдромом на фоне метастатического поражения позвоночника;
- общее состояние онкологического больного по шкале Карновского ≥50 и ECOG≤2;
- наличие метастатического поражения позвоночника любой локализации с деструкцией позвонка или мягкотканой компрессией нервных корешков / спинного мозга (позвонков от СI до CoII), фиксированный по данным компьютерной томографии (КТ) и магнитно-резонансной томографии (МРТ) позвоночника;
- подтвержденный онкологический диагноз по данным патоморфологического исследования;
- пациенты с болевым синдромом, которым невозможно проведение декомпрессивной ламинэктомии, ЧТПФ, ВП и ЛТ;
- пациенты с болевым синдромом после проведенного вмешательства по восстановлению опороспособности позвоночника или постлучевым болевым синдромом;
- пациенты, ответившие на блокаду нервного корешка смесью (1:1) 2 мг/мл ропивакаина + 4 мг/мл дексаметазона 50% снижением интенсивности боли.
Таблица 1. Характеристика исследуемых групп пациентов Table 1. Characteristics of the study groups of patients | |||||
Параметры | Общая (n=230) | 1-я группа (n=156) | 2-я группа (n=74) | p-value | |
Возраст, лет | 0,221 | ||||
Пол, абс. (%) | Мужчины | 99 (43,0) | 69 (44,2) | 30 (40,5) | 0,700 |
Женщины | 131 (57,0) | 87 (55,8) | 44 (59,5) | ||
Диагноз, абс. (%) | Первичный | 41 (17,8) | 15 (9,62) | 26 (35,1) | <0,001 |
Метастатический | 189 (81,8) | 141 (90,4) | 48 (64,9) | ||
Морфология, абс. (%) | Мтс рака молочной железы | 59 (25,7) | 37 (23,7) | 22 (29,7) | 0,002 |
Мтс рака почки | 19 (8,26) | 11 (7,05) | 8 (10,8) | ||
Мтс рака легких | 26 (11,3) | 20 (12,8) | 6 (8,11) | ||
Онкогематологическое заболевание | 34 (14,8) | 16 (10,3) | 18 (24,3) | ||
Мтс рака ЖКТ | 30 (13,0) | 23 (14,7) | 7 (9,46) | ||
Мтс опухолей репродуктивной системы у женщин | 5 (2,17) | 3 (1,92) | 2 (2,70) | ||
Мтс опухолей репродуктивной системы у мужчин | 10 (4,35) | 7 (4,49) | 3 (4,05) | ||
Мтс опухолей костей и мягких тканей | 23 (10,0) | 17 (10,9) | 6 (8,11) | ||
Другие опухоли | 28 (12,2) | 26 (16,7) | 2 (2,70) | ||
Чувствительность к лекарственной терапии, абс. (%) | Высокая | 179 (77,8) | 115 (73,7) | 64 (86,5) | 0,084 |
Умеренная | 19 (8,26) | 16 (10,3) | 3 (4,05) | ||
Слабая/Нечувствительные | 32 (13,9) | 25 (16,0) | 7 (9,46) | ||
Индекс Карновского, абс. (%) | 80% | 52 (22,6) | 46 (29,5) | 6 (8,11) | <0,001 |
70% | 157 (68,3) | 101 (64,7) | 56 (75,7) | ||
60% | 21 (9,13) | 9 (5,77) | 12 (16,2) | ||
NRS | 0,028 | ||||
Интенсивность боли, абс. (%) | Сильная (NRS – 7–10 баллов) | 102 (64,2) | 76 (70,4) | 26 (51,0) | 0,028 |
Умеренная (NRS – 4–6 баллов) | 57 (35,8) | 32 (29,6) | 25 (49,0) | ||
Длительность болевого синдрома, нед | 5,59±2,53 | 4,94±1,04 | 6,96±3,87 | <0,001 | |
Шкала Watkins, абс. (%) | 1 балл | 3 (1,30) | 0 (0,00) | 3 (4,05) | 0,002 |
2 балла | 67 (29,1) | 37 (23,7) | 30 (40,5) | ||
3 балла | 108 (47,0) | 79 (50,6) | 29 (39,2) | ||
4 балла | 52 (22,6) | 40 (25,6) | 12 (16,2) | ||
Неврологический статус по шкале Frankel, абс. (%) | E | 179 (77,8) | 121 (77,6) | 58 (78,4) | 0,002 |
D | 51 (22,2) | 35 (22,4) | 16 (21,6) | ||
Предшествующее локальное лечение на позвоночнике, абс. (%) | Отсутствует | 138 (60,0) | 83 (53,2) | 55 (74,3) | 0,002 |
ВП | 24 (10,4) | 13 (8,33) | 11 (14,9) | ||
ЛТ | 39 (17,0) | 35 (22,4) | 4 (5,41) | ||
ЧТПФ / Декомпрессивная ламинэктомия | 2 (0,87) | 2 (1,28) | 0 (0,00) | ||
РЧА | 16 (6,96) | 16 (10,3) | 0 (0,00) | ||
ВП+ЛТ | 9 (3,91) | 5 (3,21) | 4 (5,41) | ||
ЛТ+ ЧТПФ / Декомпрессивная ламинэктомия | 2 (0,87) | 2 (1,28) | 0 (0,00) | ||
Примечание. Мтс – метастазы. | |||||
Критерии исключения:
- общее состояние онкологического больного по шкале Карновского ≤40 и ECOG≥3;
- грубый неврологический дефицит (пара- или тетраплегия);
- ожидаемая продолжительность жизни меньше 3 мес;
- пациенты с болевым синдромом, связанным с механической нестабильностью или компрессией спинного мозга, и имеющие показания к ЛТ не включены в исследование;
- бурное прогрессирование онкологического заболевания на фоне противоопухолевой терапии.
Исследование включало следующие периоды.
- Первый (скрининговый) период – 7 сут до начала терапии/вмешательства.
- Второй период – 1-е сутки после начала терапии/вмешательства.
- Третий период – 10-е сутки после начала терапии/вмешательства.
- Четвертый период – 30-е сутки после начала терапии/вмешательства.
- Пятый период – 90-е сутки после начала терапии/вмешательства.
Общая продолжительность исследования для пациента составила 90 дней.
Первичная конечная точка эффективности: снижение интенсивности болевого синдрома по 10-балльной цифровой рейтинговой шкале (NRS) и шкале объективной оценки болевого синдрома по количеству принимаемых анальгезирующих препаратов (Watkins scale) и улучшение общесоматического и функционального статуса по индексу Карновского. Положительным результатом исследования считается снижение по NRS на 50%, и/или снижение по шкале Watkins минимум на 1 балл, и/или повышение индекса Карновского на 1 балл от исходных значений в течение наблюдаемого периода.
Значимым условием (тестом) для включения пациента в группу ИРЧА являлось получение анальгетического ответа на блокаду нервного корешка смесью лидокаина и дексаметазона. Если боль после блокады уменьшалась на 50% в течение первых 24 ч, то реакция на тест считалась положительной, после чего пациента допускали к основному этапу лечения – ИРЧА нервного корешка.
Шкала Watkins представляет собой опросник для определения экономического и функционального статуса, а также объективной оценки болевого синдрома по количеству принимаемых анальгезирующих препаратов [43–45].
Оценка основных исходов проводилась на всех периодах наблюдения при телефонном опросе, по электронной почте или при амбулаторном визите после выполнения процедуры или начала терапии.
Дополнительные конечные точки. Проводился анализ динамики исследуемых исходов, а также осложнений ИРЧА / фармакотерапии боли на всех периодах наблюдения. Учитывались и анализировались следующие показатели: возраст, пол, первичный и патоморфологический диагноз, наличие предшествующего лечения по поводу метастатического поражения позвоночника, неврологического дефицита и длительность болевого синдрома перед вмешательством для определения факторов, влияющих на положительный результат ИРЧА. Определялся показатель удовлетворенности обезболивающей терапией по шкале Лайкерта по результатам ответов «да» или «нет» на вопрос, удовлетворен ли пациент лечением.
Описание вмешательства. Все манипуляции проводились одним исследователем в стерильных условиях под контролем КТ, в положении больного лежа на животе под местной анестезией. Для радиочастотной обработки использовались генератор G4 компании Boston Scientific (CША), который имеет большой цифровой дисплей для контроля напряжения, импеданса, силы тока и температуры в зоне деструкции, а также наличие режима стимуляции позволяет убедиться в правильности положения электродов; электроды 120 мм и канюли с рабочей частью 5 мм.
Во всех отделах позвоночника применялся трансфораминальный доступ к спинальному ганглию с предварительной разметкой. После проведения местной анестезии 1% раствором лидокаина канюля 20G продвигается в безопасную зону межпозвонкового отверстия. Проводилась аспирационная проба на кровь и цереброспинальную жидкость. Для исключения повреждения дурального мешка и внутрисосудистого расположения рабочей части канюли вводилось 0,5–1,0 мл раствора йогексола (350 мг/мл) с контрольным КТ-исследованием. Для предотвращения двигательного дефицита проводили тестирование в сенсорном (частота – 50 Гц, импульс – 1 мс, напряжение – 0,4–0,6 V) и моторном (частота – 2 Гц, импульс – 1 мс, напряжение – 0,8–1,2 V) режимах. Во время тестирования пациент отмечал парестезии в соответствующем дерматоме, двигательная активность отсутствовала. Это служило показателем корректного расположения электрода. Затем проводили лечебное радиочастотное воздействие в пульсовом режиме. Выполняли две серии продолжительностью 240 с каждая, во время которых температура кончика электрода не должна превышать 42°С. Импульсы частотой 500 кГц, длительность каждого – 2 мс.
Операцию заканчивали удалением электродов с канюлями с предварительным введением лекарственной смеси, в состав которой входит 4 мг дексаметазона и 2,0 мл 0,25% раствора лидокаина. По завершении манипуляции на 4–6 ч накладывалась асептическая повязка.
Период послеоперационного наблюдения с применением строгого постельного режима продолжался до 1 ч и включал в себя оценку состояния сознания, мониторинг витальных функций, а также наблюдение за динамикой неврологического статуса.
Статистическая обработка. Для статистической обработки данных разработан кодификатор, позволяющий структурировать информацию, которая внесена в базу данных на основе программы Microsoft Excel 2010 (Microsoft Corporation, 2010).
При анализе результатов исследований мы применили как параметрические, так и непараметрические методы статистики, а также стандартные встроенные функции для проведения статистической обработки. Для описания распределения изучаемых показателей использовались метрики, включая среднее значение, стандартное отклонение, медиану, а также минимальное и максимальное значения.
Количественные данные, не подчиняющиеся нормальному закону распределения, описывали с помощью медианы и оценивали по критерию Шапиро–Уилка. Сравнение независимых показателей проводили по критерию Манна–Уитни. Достоверность различий качественных показателей между группами определяли с помощью критерия χ2 Пирсона. Полученные данные обработаны следующие пакетами программного обеспечения:
- Statistica ver. 12 (Stat Soft. Inc., Tulsa OK, USA);
- IBM SPSS Statistics for Windows, версия 20.0 (IBM Corp. Released 2011);
- RStudio, версия 4.3.3 (The R Foundation for statistical computing platform, 2024).
Результаты
Оценка эффективности терапии в основной и контрольной группах определялась на основании оценки боли (NRS и Watkins scale) и общесоматического статуса (индекс Карновского) в динамике.
В группе ИРЧА у 124 (79,5%) больных из 156 терапия оказалась эффективной в виде снижения NRS как минимум на 50% и снижения как минимум на 1 балл по Watkins scale. Функциональный статус улучшился как минимум на 10% по индексу Карновского у 121 (77,6%) больного.
В контрольной группе эффективность фармакотерапии на основании NRS достигнута у 65 (87,8%) пациентов из 74, а общий соматический статус – у 60 (81,1%) пациентов.
На рис. 2, 3 представлена динамика болевого синдрома в основной и контрольной группах до процедуры / начала терапии (I период), на 1 (II период), 10 (III период), 30 (IV период) и 90-е (V период) сутки после процедуры / начала терапии.
Рис. 2. NRS в основной и контрольной группах на I, II, III, IV и V период наблюдения.
Fig. 2. NRS in the main and control groups at the I, II, III, IV, and V observation periods.
Рис. 3. Динамика потребления анальгетика в основной и контрольной группах на I, II, III, IV и V период наблюдения.
Fig. 3. Trends of analgesic consumption in the main and control groups at the I, II, III, IV, and V observation periods.
Как видно на рис. 2, 3, максимальный обезболивающий эффект применения ИРЧА нервного корешка по сравнению с фармакотерапией боли достигается на 10-е сутки после процедуры с последующим незначительным усилением обезболивания на 30-е сутки наблюдения. Данный эффект сохраняется с 30 до 90 сут без динамики. Уровень статистической значимости составил p<0,001.
Достижением нашего лечения явилось отсутствие осложнений у 153 (98,01%) больных, в то время как в контрольной группе осложнения отмечены в 64 (86,5%) случаях, что вызвано головокружениями от приема опиоидов у 23 (31,1%) пациентов и нарушениями, связанными с ЖКТ (боли в животе – 32, 43,2%; запоры – 9, 12,2%), а также постоянным нарастанием применяемых доз анальгетиков для снятия болевого синдрома.
Общая удовлетворенность лечением оценивалась по результатам ответов «да» или «нет» на вопрос, удовлетворен ли пациент лечением, который задавали до начала терапии/вмешательства (I период) и на 90-е сутки после начала терапии/вмешательства (V период). В основной группе 32 (20,5%) пациента отмечали неудовлетворенность от проведенного лечения на 90-е сутки ввиду отсутствия обезболивающего эффекта, а в контрольной группе – 21 (28,4%) пациент по причине отсутствия обезболивающего эффекта и наличия осложнений. При этом в обеих группах все пациенты отмечали неудовлетворенность обезболиванием до обращения к вертебрологу.
Клинический пример 1
Пациент М., 65 лет. Диагноз «рак правой почки, метастазы в легких, костях; pT2N2M1. Состояние в процессе иммунотерапии и терапии остеомодулирующими препаратами c 2023 г. Патологический перелом LIV-позвонка c компрессией нервного корешка слева. Болевой синдром».
Из анамнеза известно, что в течение 6 мес беспокоила боль в поясничном отделе позвоночника в покое, усилившаяся в последние 2 мес. По месту жительства диагностирована литическая деструкция заднего комплекса LIV-позвонка слева с компрессией нервного корешка. При дальнейшем обследовании выявлены рак правой почки, метастазы в легкие, кости скелета. По месту жительства проведен онкологический консилиум, где назначены иммунотерапия + бисфосфонаты. Пациент направлен в ФГБУ «НМИЦ онкологии им. Н.Н. Блохина» для решения вопроса адекватного контроля боли в позвоночнике.
Общее состояние пациента по шкале Карновского – 70%, интенсивность боли по шкале NRS – 7 баллов, по шкале Watkins – 3 балла (несистематический прием сильнодействующих анальгетиков). Отсутствие неврологического дефицита (оценка по шкале Frankel – E) и механической нестабильности позвоночно-двигательного сегмента (оценка по шкале SINS – 7 баллов). Принимал трамадол 400 мг/сут в сочетании с высокими дозами нестероидных противовоспалительных препаратов. Отмечал заторможенность и опиоид-индуцированные запоры при приеме трамадола. Прием кеторолака прекратил из-за гастродуоденита.
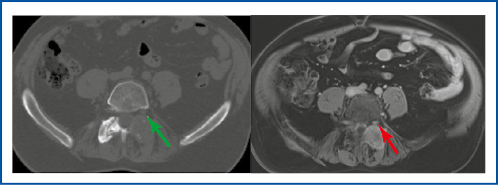
На рис. 4 представлены обследования КТ и МРТ поясничного отдела позвоночника до начала лечения.
Рис. 4. КТ и МРТ поясничного отдела позвоночника больного М. в аксиальном срезе до лечения (стрелками указана компрессия нервного корешка).
Fig. 4. Axial view of CT and MRI of the lumbar spine of the patient M. before treatment (arrows indicate compression of the nerve root).
На многопрофильном консилиуме с участием вертебролога, лучевого терапевта, невролога и химиотерапевта в связи с морфологической формой первичной опухоли (светлоклеточный рак почки), распространенностью опухолевого поражения, метастатическим поражением позвонка с мягкотканой компрессией нервного корешка, а также положительной диагностической блокадой в виде снижения NRS на 50% и сокращением потребления анальгетика на 1 балл по шкале Watkins принято решение о выполнении ИРЧА нервного корешка.
Под контролем КТ выполнена ИРЧА нервного корешка слева на уровне LIV-позвонка. Положение кончика электрода подтверждено КТ-визуализацией, сопротивлением ткани (R=400 Ом) и тестом сенсорной (0,8 V) и моторной (1,4 V) стимуляции. Длительность пульсового режима составил 240 с при температуре 42°С. Процедуру завершали введением лекарственной смеси, в состав которой входит 4 мг дексаметазона и 2,0 мл 0,25% раствора лидокаина. Осложнений не выявлено.
Пациент активизирован через 60 мин после ИРЧА. На 1-е сутки после процедуры отмечен регресс болевого синдрома по шкале NRS с 7 до 3 баллов, по шкале Watkins – с 3 до 1 балла. Эффект обезболивания сохранялся в течение 3 мес наблюдения, с 1-х суток прекратил полностью прием нестероидных противовоспалительных препаратов, дозу трамадола постепенно уменьшал до полной отмены в течение 12 дней.
Клинический пример 2
Пациентка Н., 54 года. Диагноз «рак правой молочной железы pT2N0M0 II. Состояние после комбинированного лечения в 2018 г. Прогрессирование в 2023 г.: метастазы в кости. Состояние в процессе лекарственной терапии. Патологический перелом LI-позвонка с компрессией нервного корешка справа. Болевой синдром».
Со слов больной, около 5 мес отмечает постоянные боли в пояснице, купируемые нерегулярным приемом трамадола 100 мг/сут. По месту жительства провели обследование и выявили метастатическое поражение костей скелета. Онкологический консилиум назначил ингибиторы ароматазы + ингибиторы CDK4/6 + бисфосфонаты. В связи с болевым синдром в позвоночнике направлена на консультацию к вертебрологу в ФГБУ «НМИЦ онкологии им. Н.Н. Блохина».
Общее состояние пациентки по шкале Карновского – 80%, интенсивность боли по шкале NRS – 6 баллов, по шкале Watkins – 3 балла (несистематический прием сильнодействующих анальгетиков). Отсутствие неврологического дефицита (оценка по шкале Frankel – E) и механической нестабильности позвоночно-двигательного сегмента (оценка по шкале SINS – 7 баллов).
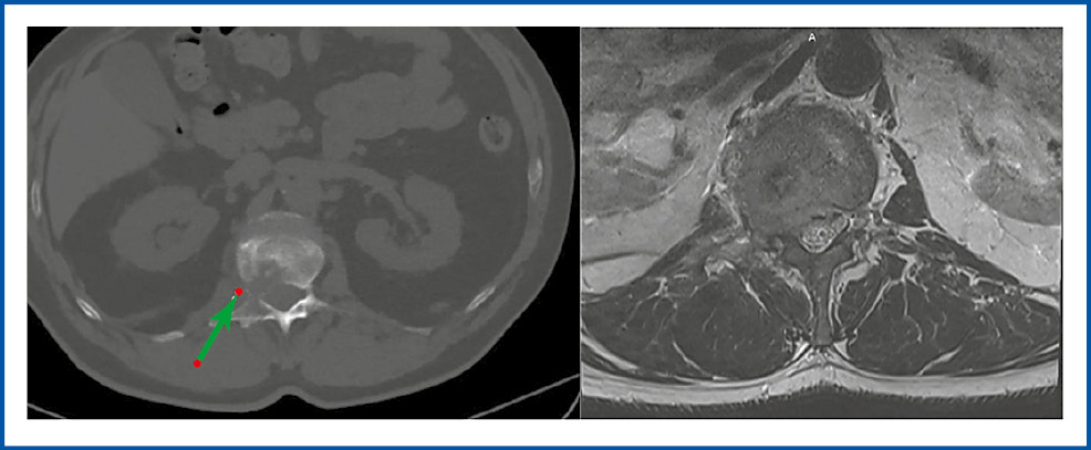
По данным КТ и МРТ поясничного отдела позвоночника определяется очаг литической деструкции в теле правой половины позвонка LI, заполняющий правую половину тела с переходом на правую боковую дужку, с компрессией корешка LI справа (рис. 5).
Рис. 5. КТ и МРТ поясничного отдела позвоночника больной Н. в аксиальном срезе до лечения (стрелкой указана компрессия нервного корешка).
Fig. 5. Axial view of CT and MRI of the lumbar spine of the patient N. before treatment (arrow indicates compression of the nerve root).
С использованием КТ-навигации проведена РЧА нервного корешка справа на уровне LI-позвонка в импульсном режиме, длительность 240 с при температуре 42°С. Тест сенсорной и моторной стимуляции составил 0,6 и 1,2 V. После удаления электрода введена лекарственная смесь (4 мг дексаметазона и 2,0 мл 0,25% раствора лидокаина) в зону нервного корешка.
На 1-е сутки после процедуры пациентка отметила снижение болевого синдрома по шкале NRS с 6 до 2 баллов, по шкале Watkins – с 3 до 1 балла. Эффект обезболивания сохранялся в течение 3 мес наблюдения. Осложнений не наблюдалось.
Обсуждение
Болевые синдромы, связанные с метастатическим поражением костной системы, являются тяжелыми и рефрактерными даже к использованию высоких доз опиоидных анальгетиков [43]. Согласно данным Всемирной организации здравоохранения около 20% пациентов имеют фармакорезистентный болевой синдром при адекватно проводимой консервативной терапии [44].
Метастазы в костях, особенно в позвоночнике, сопровождаются интенсивной болью, что может привести к снижению качества жизни [46–50].
Импульсное радиочастотное воздействие – это нейромодуляция, которая воздействует на нервную ткань мишени электромагнитными полями, генерируемыми аппаратом РЧА, и посылает короткие импульсы тока высокой частоты для облегчения боли. Метод ИРЧА является прерывистым с частотой импульсов 2 Гц и током 300–500 кГц. Его подают с коротким интервалом в 20 мс, а затем с перерывами в течение 480 мс, чтобы выделяемое тепло рассеивалось, а получаемая температура не превышала 42°C. Следовательно, ИРЧА вызывает только стойкую нейромодуляцию и не оказывает разрушительного эффекта, как при постоянной радиочастотной термоаблации [51–54].
По данным различных авторов, точкой приложения для ИРЧА служит не только спинномозговой ганглий, но и периферический нерв, что обеспечивает значительное облегчение боли на срок от 2 до 6 мес [55–57]. Исследования на животных подтверждают антиноцицептивные эффекты ИРЧА спинномозгового ганглия [14, 58, 59].
Импульсы тока, воздействующие на спинальный ганглий, вызывают ингибирование волн возбуждения C-волокон и усиление норадренергических и серотонинергических нисходящих путей подавления боли [13, 60].
Многие рандомизированные экспериментальные исследования показали, что импульсное радиочастотное воздействие может ингибировать ноцицептивно-индуцированное высвобождение возбуждающих нейротрансмиттеров [61], снизить экспрессию пептида, связанного с геном кальцитонина (CGRP) в спинномозговом ганглии [61], ингибировать экспрессию рецептора ионного канала 3, управляемого лигандом P2X в спинномозговом ганглии и задних рогах спинного мозга [62] и уменьшать экспрессию периферических провоспалительных цитокинов (фактор некроза опухоли α и интерлейкин-6) и β-катенина в спинном мозге [63, 64]. В то же время импульсный ток может усиливать регуляцию транскрипции и трансляции GDNF [65, 66], повышать регуляцию GABAB-R1, Na/K-АТФазы и экспрессии гена 5-HT3r [65], увеличивать ацетилирование гистонов и экспрессию гена котранспортера хлорида калия 2 (KCC2) и частично восстанавливают GABA синаптическую функцию [67].
Данное исследование и ряд других, посвященных ИРЧА нервного корешка с целью обезболивания, показывают низкий уровень осложнений, который составляет до 3% [68–70].
Важно отметить, что ИРЧА направлена на облегчение боли, вызванной компрессией нервных корешков спинного мозга, однако при механической нестабильности сегмента позвоночно-двигательного аппарата, особенно при литических поражениях, сохраняется риск дальнейших переломов и спинномозгового сдавления, требующих ортопедического вмешательства.
Систематический обзор и метаанализ комбинированного мультимодального лечения пациентов с метастатическим поражением позвоночника при сочетании методов, таких как РЧА опухолевой ткани, чрескожная аугментация позвоночника и дистанционная ЛТ, показывают значительный клинический эффект, проявленный в снижении болевого синдрома и улучшении качества жизни, особенно в краткосрочной перспективе [70].
Несмотря на это, комбинация ЛТ, чрескожной аугментации и ИРЧА нервных корешков для лечения болевого синдрома, обусловленного метастатическим поражением позвоночника, не представлена в литературе, что является «объектом» для будущих исследований.
Заключение
В течение последних десятилетий появление новых иммуноонкологических препаратов, усовершенствование технологий хирургического лечения и радиотерапии, а также диагностики привели к увеличению продолжительности жизни у пациентов с диссеминированным формами онкологического заболевания. Это привело к увеличению числа онкологических больных, страдающих от боли, вызванной метастатическим поражением позвоночника, и в результате – к необходимости разработки комбинированного подхода к эффективному обезболиванию и улучшению качества их жизни.
Вместе с увеличением числа таких пациентов возрастает потребность в поиске и использовании новых эффективных методов лечения для облегчения болевого синдрома и повышения качества их жизни. ИРЧА нервных корешков представляет собой безопасный малоинвазивный нейромодулирующий метод лечения боли у онкологических пациентов с компрессией нервных корешков, вызванной метастазами в позвоночнике. Этот метод позволяет в короткие сроки снизить или уменьшить выраженность болевого синдрома у 79,5% больных, что способствует повышению их физической активности и улучшает качество жизни у 77,6% пациентов. Проведенный сравнительный анализ результатов показал, что ИРЧА нервных корешков имеет преимущества по сравнению с консервативным лечением в различных аспектах: снижение интенсивности болевого синдрома, повышение удовлетворенности пациентов результатами лечения, существенное уменьшение фармакологической нагрузки и связанных с ней осложнений, улучшение физической активности и качества жизни пациентов.
Раскрытие интересов. Авторы декларируют отсутствие явных и потенциальных конфликтов интересов, связанных с публикацией настоящей статьи.
Disclosure of interest. The authors declare that they have no competing interests.
Вклад авторов. Авторы декларируют соответствие своего авторства международным критериям ICMJE. Все авторы в равной степени участвовали в подготовке публикации: разработка концепции статьи, получение и анализ фактических данных, написание и редактирование текста статьи, проверка и утверждение текста статьи.
Authors’ contribution. The authors declare the compliance of their authorship according to the international ICMJE criteria. All authors made a substantial contribution to the conception of the work, acquisition, analysis, interpretation of data for the work, drafting and revising the work, final approval of the version to be published and agree to be accountable for all aspects of the work.
Источник финансирования. Авторы декларируют отсутствие внешнего финансирования для проведения исследования и публикации статьи.
Funding source. The authors declare that there is no external funding for the exploration and analysis work.
Информированное согласие на публикацию. Пациенты подписали форму добровольного информированного согласия на публикацию медицинской информации.
Consent for publication. Written consent was obtained from the patients for publication of relevant medical information and all of accompanying images within the manuscript.
Соответствие принципам этики. Все пациенты участвовали в исследовании после подписания информированного согласия, одобрения этического комитета и утверждения диссертационной работы на заседании ученого совета в ФГБУ «НМИЦ онкологии им. Н.Н. Блохина» (выписка из протокола №5 заседания ученого совета в ФГБУ «НМИЦ онкологии им. Н.Н. Блохина» от 05.06.2021). Одобрение и процедуру проведения протокола получали по принципам Хельсинкской декларации.
Compliance with the principles of ethics. All patients participated in the study after signing informed consent, approval of the ethics committee and approval of the PhD study at the meeting of the Scientific Council at the Blokhin National Medical Research Center of Oncology (extract from the minutes No. 5 of the meeting of the Scientific Council at the Blokhin National Medical Research Center of Oncology dated 05.06.2021). Approval and protocol procedure was obtained according to the principles of the Declaration of Helsinki.
About the authors
Stanislav F. Kuznetsov
Blokhin National Medical Research Center of Oncology
Author for correspondence.
Email: kuzstas@gmail.com
ORCID iD: 0000-0003-2877-5759
oncologist
Russian Federation, MoscowNikita S. Babkin
Blokhin National Medical Research Center of Oncology
Email: kuzstas@gmail.com
ORCID iD: 0000-0003-1395-5132
oncologist
Russian Federation, MoscowAslan K. Valiev
Blokhin National Medical Research Center of Oncology
Email: kuzstas@gmail.com
ORCID iD: 0000-0002-2038-3729
D. Sci. (Med.)
Russian Federation, MoscowRuslan M. Kabardaev
Blokhin National Medical Research Center of Oncology
Email: kuzstas@gmail.com
ORCID iD: 0000-0001-9482-2504
Cand. Sci. (Med.)
Russian Federation, MoscowKirill A. Borzov
Blokhin National Medical Research Center of Oncology
Email: kuzstas@gmail.com
ORCID iD: 0000-0002-3512-0390
Cand. Sci. (Med.)
Russian Federation, MoscowReferences
- Валиев А.К. Метастатические опухоли позвоночника. Современные возможности диагностики, индивидуальное прогнозирование, персонализация лечения: дис. … д-ра мед. наук. М. 2022 [Valiev AK. Metastaticheskiye opukholi pozvonochnika. Sovremennyie vozmozhnosti diagnostiki, individualnoie prognozirovaniie, personalizatsiia lecheniia: dis. … d-ra med. nauk. Moscow. 2022 (in Russian)].
- Du ZY, Jie Z, Xiao-Dong T. Experts’ agreement on therapy for bone metastases. Orthop Surg. 2010;4(2):241-53.
- Liu YH, Hu YCh, Yang XG, et al. Prognostic Factors of Ambulatory Status for Patients with Metastatic Spinal Cord Compression: A Systematic Review and Meta-Analysis. World Neurosurg. 2018;116:e278-90.
- Patel P, Mehendiratta D, Bhambhu V, Dalvie S. Clinical outcome of intradural extramedullary spinal cord tumors: A single-center retrospective analytical study. Surg Neurol Int. 2021;12.
- Yáñez ML, Miller JJ, Batchelor TT. Diagnosis and treatment of epidural metastases. Cancer. 2017;123(7):1106-14.
- Лечение метастатического поражения позвоночника. Клинические рекомендации. M. 2018 [Lecheniie metastaticheskogo porazheniia pozvonochnika. Klinicheskiie rekomendatsii. Moscow. 2018 (in Russian)].
- Coleman RE. Clinical features of metastatic bone disease and risk of skeletal morbidity. Clin Cancer Res. 2006;12:20 PART 2.
- Coleman RE, Croucher PI, Padhani AR, et al. Bone metastases. Nat Rev Dis Prim. 2020;6:1.
- Di Martino A, Caldaria A, De Vivo V, Denaro V. Metastatic epidural spinal cord compression. Exp Rev Anticancer Ther. 2016;16(11):1189-98.
- Bona LG, Geleta D, Dulla D, et al. Economic Burden of Cancer on Cancer Patients Treated at Hawassa University Comprehensive Specialized Hospital. Cancer Control. 2021;28.
- Косоруков В.С., Абузарова Г.Р., Захарочкина Е.Р., и др. Тафалгин – отечественный инновационный тетрапептидный препарат для подкожного введения: обзор результатов клинических исследований I и II фаз. Опухоли головы и шеи. 2022;12(2):89-107 [Kosorukov VS, Abuzarova GR, Zakharochkina ER, et al. Tafalgin is a Russian innovative tetrapeptide pharmaceutical for subcutaneous injection: review of the results of phase I and II clinical trials. Head and Neck Tumors. 2022;12(2):89-107 (in Russian)].
- Исакова М.Е. Болевой синдром в онкологии. M. 2011 [Isakova ME. Bolevoi sindrom v onkologii. Moscow. 2011 (in Russian)].
- Ткачев С.Ю., Кит О.И., Максимов А.Ю., и др. Модели болевого синдрома в экспериментальной онкологии. Современные проблемы науки и образования. 2020;(1):94 [Tkachev SIu, Kit OI, Maksimov AIu, et al. Modeli bolevogo sindroma v eksperimentalnoi onkologii. Sovremennyie Problemy Nauki i Obrazovaniia. 2020;(1):94 (in Russian)].
- Burma NE, Leduc-Pessah H, Fan CY, Trang T. Animal models of chronic pain: Advances and challenges for clinical translation. J Neurosci Res. 2017;95(6):1242-56.
- Kuner R, Flor H. Structural plasticity and reorganisation in chronic pain. Nat Rev Neurosci. 2016;18(1):20-30.
- Swarm RA, Youngwerth JM, Agne JL, et al. NCCN Guidelines Version 1.2022 Adult Cancer Pain Continue NCCN Guidelines Panel Disclosures. 2022.
- Арсеньев А., Канаев С., Новиков С., и др. Стереотаксическая лучевая терапия в лечении первичных и метастатических опухолевых поражений позвоночника. Вопросы онкологии. 2022;4(68):413-26 [Arseniev A, Kanaev S, Novikov S, et al. Stereotaksicheskaia luchevaia terapiia v lechenii pervichnykh i metastaticheskikh opukholevykh porazhenii pozvonochnika. Voprosy Onkologii. 2022;4(68):413-26 (in Russian)].
- Chow R, Hoskin P, Chan S, et al. Efficacy of multiple fraction conventional radiation therapy for painful uncomplicated bone metastases: A systematic review. Radiother Oncol. 2017;122(3):323-31.
- Хмелевский Е.В., Бычкова Н.М. Эффективность лучевой терапии костных метастазов рака шейки и тела матки. Онкология. Журнал им. П.А. Герцена. 2020;9(3):5-9 [Khmelevsky EV, Bychkova NM. Effectiveness of radiation therapy for bone metastases of cervical and uterine cancer. P.A. Herzen Journal of Oncology. 2020;9(3):5-9 (in Russian)].
- Lutz S, Balboni T, Joshua Jones J, et al. Palliative radiation therapy for bone metastases: Update of an ASTRO Evidence-Based Guideline. Pract Radiat Oncol. 2017;1(7):4-12.
- Абузарова Г.Р. Лечение хронической боли у онкологических пациентов. В кн.: Национальное руководство по паллиативной медицинской помощи в онкологии. Под ред. проф. А.Д. Каприна. М. 2022 [Abuzarova GR. Lechenie khronicheskoш boli u onkologicheskikh patsientov. V kn.: Natsionalnoe rukovodstvo po palliativnoш meditsinskoш pomoshchi v onkologii. Pod red. prof. AD Kaprina. Moscow. 2022 (in Russian)].
- Зырянов С.К., Затолочина К.Э. Перспективы применения радионуклидных лекарственных препаратов при лечении злокачественных новообразований в РФ. Качественная клиническая практика. 2018;2:51-7 [Zyryanov SK, Zatolochina KE. Perspective for use of the radionuclide drugs in the treatment of malignant tumors in Russia. Good Clinical Practice. 2018;2:51-7 (in Russian)].
- Chow E, Zeng L, Salvo N, et al. Update on the Systematic Review of Palliative Radiotherapy Trials for Bone Metastases. Clin Oncol. 2012;2(24):112-24.
- Hoskin P, Rojas A, Fidarova E, et al. IAEA randomised trial of optimal single dose radiotherapy in the treatment of painful bone metastases. Radiother Oncol. 2015;1(116):10-4.
- Choi D, Crockard A, Bunger C, et al. Review of metastatic spine tumour classification and indications for surgery: The consensus statement of the Global Spine Tumour Study Group. Eur Spine J. 2010;19(2):215-22.
- Klimo P Jr, Thompson CJ, Kestle JR, Schmidt MH. A meta-analysis of surgery versus conventional radiotherapy for the treatment of metastatic spinal epidural disease. Neuro-Oncol. 2005;1(7):64-76.
- Galgano M, Fridley J, Oyelese A, et al. Surgical management of spinal metastases. Exp Rev Anticancer Ther. 2018;18(5):463-72.
- Gumusay O, Huppert LA, Behr SC, Rugo HS. The role of percutaneous vertebral augmentation in patients with metastatic breast cancer: Literature review including report of two cases. Breast. 2022;63:149-56.
- Stephenson MB, Glaenzer B, Malamis A. Percutaneous Minimally Invasive Techniques in the Treatment of Spinal Metastases. Curr Treat Option Oncol. 2016;17:11.
- Filippiadis DK, Cornelis FH, Kelekis A. Interventional oncologic procedures for pain palliation. Presse Med. 2019;48(7-8P2):e251-6.
- Allano G, George B, Minello C, et al. Strategies for interventional therapies in cancer-related pain – a crossroad in cancer pain management. Support Care Cancer. 2019;27;8:3133-45.
- Бондаренко С.Ю., Гуреев А.Д., Труханова И.Г. Клинический случай применения имплантируемой спинальной порт-системы. Казанский медицинский журнал. 2020;101(2):271-4 [Bondarenko SY, Gureev AD, Trukhanov IG. Clinical case of using of implantable spinal access port system. Kazan Medical Journal. 2020;101(2):271-4 (in Russian)].
- Filippiadis DK, Tselikas L, Tsitskari M, et al. Percutaneous Neurolysis for Pain Management in Oncological Patients. CardioVasc Intervent Radiol. 2019;42(6):791-9.
- Yarikov A, Kuznetsov S, Dubskikh A, et al. Modern approaches in the treatment of oncological pain: interventional treatment. Bone and Soft Tissue Sarcomas Tumors of the Skin. 2022;3(14):57-69.
- Yarikov A, Kuznetsov S, Dubskikh A, et al. Modern approaches in the treatment of oncological pain: surgical treatment. Bone and Soft Tissue Sarcomas Tumors of the Skin. 2023;1(15):17-27.
- Shepherd TM, Hoch MJ, Cohen BA, et al. Palliative CT-guided cordotomy for medically intractable pain in patients with cancer. Am J Neuroradiol. 2017;2(38):387-90.
- Arai YC, Nishihara M, Yamamoto Y, et al. Dorsal root ganglion pulsed radiofrequency for the management of intractable vertebral metastatic pain: a case series. Pain Med. 2015;7(16):1007-12.
- Fanous SN, Saleh EG, Abd Elghafar EM, Ghobrial HZ. Randomized controlled trials between dorsal root ganglion thermal radiofrequency and pulsed radiofrequency for the management of intractable metastatic back pain in thoracic vertebral body. Br J Pain. 2021;3(15):270-81.
- Wang F, Zhou Q, Xiao L, et al. A Randomized Comparative Study of Pulsed Radiofrequency Treatment With or Without Selective Nerve Root Block for Chronic Cervical Radicular Pain. Pain Pract. 2017;17(5):589-95.
- Vanila M, Singh MD. The Pain Management Best Practices Inter-Agency Task Force (Task Force). 2019.
- Vuka I, Marciuš T, Došenović S, et al. Efficacy and safety of pulsed radiofrequency as a method of dorsal root ganglia stimulation in patients with neuropathic pain: A systematic review. Pain Med. 2020;21(12):3320-43.
- Nishihara M, Arai YC, Yamamoto Y, et al. Randomized Trial Combinations of Low-Dose Antidepressants and Low-Dose Pregabalin as Useful Adjuvants to Opioids for Intractable. Painful Bone Metast. 2013;16(5):E547-52.
- Watkins RG, O'Brien JP, Draugelis R, Jones D. Comparisons of preoperative and postoperative MMPI data in chronic back patients. Spine (Phila Pa 1976). 1986;11(4):385-90. doi: 10.1097/00007632-198605000-00018
- Бикмуллин В.Н., Клиценко О.А., Руденко В.В. Сравнительный анализ шкал оценки экономического и функционального статуса D. Prolo и R. Watkins. Российский нейрохирургический журнал имени профессора А.Л. Поленова. 2015;3(7):5-10 [Bikmullin VN, Klitsenko OA, Rudenko VV. Comparative analysis of Prolo and Watkins scales evaluating economic and functional status. Rossiiskii Neyrokhirurgicheskii Zhurnal imeni Professora AL Polenova. 2015;3(7):5-10 (in Russian)].
- Гуща А.О., Юсупова А.Р. Оценка исходов хирургического лечения дегенеративно-дистрофических заболеваний позвоночника. Хирургия позвоночника. 2017;14(4):85-94 [Gushcha AO, Yusupova AR. Evaluation of outcomes of surgical treatment for degenerative diseases of the spine. Russian Journal of Spine Surgery. 2017;14(4):85-94 (in Russian)].
- Carlson CL. Effectiveness of the World Health Organization cancer pain relief guidelines: An integrative review. J Pain Res. 2016;9:515-34.
- Chun EH, Kim YJ, Woo JH. Which is your choice for prolonging the analgesic duration of single-shot interscalene brachial blocks for arthroscopic shoulder surgery? intravenous dexamethasone 5mg vs. perineural dexamethasone 5mg randomized, controlled, clinical trial. Medicine. 2016;23(95).
- Ruppert LM, Reilly J. Metastatic spine oncology: Symptom-directed management. Neuro-Oncol Pract. 2020;7:I54-61.
- Schneider G, Voltz R, Gaertner J. Cancer pain management and bone metastases: An update for the clinician. Breast Care. 2012;7(2):113-20.
- Steven D. Waldman Atlas of Interventional Pain Management. 2021.
- Waldron NH, Jones CA, Gan TJ, et al. Impact of perioperative dexamethasone on postoperative analgesia and side-effects: Systematic review and meta-analysis. Br J Anaesthesia. 2013;110(2):191-200.
- Cosman ER Jr, Cosman ER Sr. Electric and Thermal Field Effects in Tissue Around Radiofrequency Electrodes. Pain Med. 2005;6(6):405-24.
- Deer TR, Azeem N. Essentials of Radiofrequency Ablation of the Spine and Joints. 2021.
- Podhajsky RJ, Sekiguchi Y, Kikuchi S, Myers RR. The Histologic Effects of Pulsed and Continuous Radiofrequency Lesions at 42°C to Rat Dorsal Root Ganglion and Sciatic Nerve. Spine. 2005;9(30):1008-13.
- Sluijter ME, Cosman E, Rittman I. The effects of pulsed radiofrequency fi eld applied to the dorsal root ganglion: a preliminary report. Pain Clin. 1998;11:109-17.
- Arai YC, Nishihara M, Aono S, et al. Pulsed radiofrequency treatment within brachial plexus for the management of intractable neoplastic plexopathic pain. J Anesthesia. 2013;2(27):298-301.
- Van Boxem K, van Eerd M, Brinkhuizen T, et al. Radiofrequency and pulsed radiofrequency treatment of chronic pain syndromes: The available evidence. Pain Pract. 2008;5(8):385-93.
- Munglani R. The longer term effect of pulsed radiofrequency for neuropathic pain. Pain. 1999;80(1-2):437-9. doi: 10.1016/s0304-3959(98)00183-3
- Dowdall T, Robinson I, Meert TF. Comparison of five different rat models of peripheral nerve injury. Pharmacol Biochem Behav. 2005;1(80):93-108.
- Sandkühler J, Chen JG, Cheng G, Randić M. Low-Frequency Stimulation of Afferent A-Fibers Induces Long-Term Depression at Primary Afferent Synapses with Substantia Gelatinosa. J Neurosci. 1997;17(16):6483-91.
- Hetta DF, Mohamed AA, Abdel Eman RM, et al. Pulsed Radiofrequency of the Sacral Roots Improves the Success Rate of Superior Hypogastric Plexus Neurolysis in Controlling Pelvic and Perineal Cancer Pain. Randomized Trial. Pain Physic. 2020;23:149-57.
- Ren H, Jin H, Jia Z, et al. Pulsed radiofrequency applied to the sciatic nerve improves neuropathic pain by down-regulating the expression of calcitonin gene-related peptide in the dorsal root ganglion. Int J Med Sci. 2018;2(15):153-60.
- Fu M, Meng L, Ren H, Luo F. Pulsed radiofrequency inhibits expression of P2X3receptors and alleviates neuropathic pain induced by chronic constriction injury in rats. Chin Med J. 2019;14(132):1706-12.
- Jiang R, Li P, Yao YX, et al. Pulsed radiofrequency to the dorsal root ganglion or the sciatic nerve reduces neuropathic pain behavior, decreases peripheral pro-inflammatory cytokines and spinal β-catenin in chronic constriction injury rats. Regional Anesthesia Pain Med. 2019;7(44):742-6.
- Vallejo R, Tilley DM, Williams J, et al. Randomized Controlled Trial Pulsed Radiofrequency Modulates Pain Regulatory Gene Expression Along the Nociceptive Pathway. Pain Physician. 2013;16:601-13.
- Hailong J, Hao R, Zipu J, et al. Pulsed radiofrequency improves neuropathic pain in chronic constriction injury rats through the upregulation of the transcription and translation levels of glial cell line-derived neurotrophic factor. Pain Physician. 2018;21:33-40.
- Jia Z, Ren H, Li Q, et al. Pulsed Radiofrequency Reduced Neuropathic Pain Behavior in Rats Associated with Upregulation of GDNF Expression. Pain Physician. 2016;19:49-58.
- Liu CK, Liao WT, Chu YC, et al. Pulsed Radiofrequency Attenuates Complete Freund’s Adjuvant-Induced Epigenetic Suppression of Potassium Chloride Cotransporter 2 Expression. Pain Med. 2017;4(18):807-13.
- Choi D, Crockard A, Bunger C, et al. Review of metastatic spine tumour classification and indications for surgery: The consensus statement of the Global Spine Tumour Study Group. Eur Spine J. 2010;19;2:215-22.
- Murali N, Turmezei T, Bhatti S, et al. What is the effectiveness of radiofrequency ablation in the management of patients with spinal metastases? A systematic review and meta-analysis. J Orthopaed Surg Res. 2021;16:1.
Supplementary files








