A clinical case of treatment of recurrent inoperable locally advanced breast cancer using conformal radiotherapy. Case report
- Authors: Medvedev S.V.1, Vlasova M.Y.1, Bolotina L.V.2, Kaprin A.D.2,3, Khmelevskiy E.V.2, Zikiryakhodzhaev A.D.2, Khakimova S.G.3,4, Khakimova G.G.4, Bychkova N.M.2, Zaitseva N.A.5, Abushova E.R.2, Guseva S.D.2, Maslov E.D.2
 - 
							Affiliations: 
							
- National Medical Research Radiological
 - National Medical Research Radiological Centre
 - Patrice Lumumba People’s Friendship University of Russia
 - Tashkent Pediatric Medical Institute
 - Hertsen Moscow Scientific Researh Institute of Oncology
 
 - Issue: Vol 26, No 4 (2024)
 - Pages: 420-425
 - Section: Articles
 - Submitted: 06.02.2025
 - Accepted: 06.02.2025
 - Published: 18.02.2025
 - URL: https://modernonco.orscience.ru/1815-1434/article/view/653986
 - DOI: https://doi.org/10.26442/18151434.2024.4.202874
 - ID: 653986
 
Cite item
Full Text
Abstract
Despite advances in the early diagnosis of breast cancer (BC), the identification of locally advanced forms continues to be relevant. This is a complex category of patients whose treatment includes the complex use of various methods with significant medical and economic costs, long-term treatment and rehabilitation. A particular difficulty is the treatment in cases of progression of locally advanced forms. Patients with locally advanced BC require a multidisciplinary approach. In the absence of an effect after neoadjuvant drug treatment and the impossibility of performing surgical intervention, patients are treated with induction radiation therapy. The article describes the features of induction radiation therapy in the treatment of progression of primary inoperable BC in a specific clinical example. In case of recurrence of triple negative type of BC, the patient underwent various drug treatment regimens with the inclusion of immunotherapy. Due to the lack of effect from 3 lines of systemic drug treatment, it was decided to conduct radiation therapy. In connection with the identified carrier of a mutation in the BRCA1 gene, targeted therapy with PARP inhibitors was prescribed. Two months after radiation therapy and 1 month after the start of targeted therapy, the patient showed complete resorption of the tumor conglomerate on the anterior chest wall. The use of conformal radiation therapy in case of recurrence of the disease and the absence of the effect of systemic treatment made it possible to completely resorb an exophytic tumor with ulceration and achieve remission within the next 6 months.
Full Text
Введение
Рак молочной железы (РМЖ) продолжает занимать лидирующие позиции в структуре заболеваемости и смертности женского населения от злокачественных новообразований как в России, так и в мире. В 2020 г. в Российской Федерации выявлен 64 951 случай РМЖ, а уже в 2022 г. – 75 789 случаев, причем среди них местно-распространенные формы наблюдались у 19% [1, 2].
Согласно зарубежной статистике местно-распространенные формы встречаются в 5–15% всех случаев первично выявленного РМЖ [3, 4]. По данным G. Franceschini и соавт., местно-распространенный РМЖ охватывает обширную гетерогенную группу новообразований молочной железы. В последнем пересмотре системы стадирования AJCC все опухоли III стадии (T3N1M0, T0-3N2-3M0 и T4N0-3M0) считаются местно-распространенными [4, 5]. В эту группу включаются крупные опухоли молочной железы (>5 см в диаметре), отечно-инфильтративные формы РМЖ, опухоли с распространением на кожу или скелетные мышцы. Поражение аксиллярных и надключичных лимфатических узлов (N1–N3) наблюдается у 55–85% больных [6].
Прогноз зависит от размера опухолевого очага, степени поражения лимфатического коллектора и наличия либо отсутствия воспалительного компонента. Лечение местно-распространенного РМЖ является довольно непростой задачей и требует скоординированного междисциплинарного подхода, который должен учитывать характеристики опухоли и ответ на проводимую терапию. В зависимости от биологического типа опухоли лечение может включать в себя комбинацию химио-, иммуно-, таргетной, эндокринной терапии, лучевой терапии (ЛТ) и при достижении операбельного статуса – радикальной операции [4, 5].
Пациенты с IIIB, IIIC стадиями заболевания в зависимости от биологического типа опухоли, в том числе с изолированным ипсилатеральным поражением внутренних грудных и надключичных лимфатических узлов, неоперабельны, и их лечение необходимо начинать с неоадъювантной лекарственной терапии [5]. Ввиду неоперабельности опухоли стартовым этапом лечения является проведение индукционной лекарственной терапии. В дальнейшем пациенткам проводится локорегионарное воздействие (операция и/или ЛТ) и при наличии показаний – адъювантная лекарственная терапия [7–12].
Из более ранних отечественных работ можно выделить исследование одного из авторов, проанализировавшего результаты лечения 525 больных РМЖ. У 438 отмечен местно-распространенный рак, а в 87 случаях наблюдался локальный и/или регионарный рецидив заболевания. У 330 пациенток проводилась пред- и послеоперационная ЛТ с операцией и неоадъювантным/адъювантным введением цитостатиков. В 80 случаях проведена радикальная (сочеталась с последующей реализацией хирургического этапа лечения), а в 28 – паллиативная химиолучевая терапия. Отмечено, что оптимальным способом лечения больных с T1-2N1M0 и T3N1-2M0 является сочетание неоадъювантной полихимиотерапии (ПХТ), радикальной мастэктомии и послеоперационной ЛТ на область грудной стенки и регионарных зон с суммарной очаговой дозой (СОД) 50–54 и 44–50 Гр соответственно. Важно отметить, что одномоментное облучение пораженной железы и регионарных зон у больных с отдаленными метастазами с разовой очаговой дозой (РОД) 2–3 Гр СОД 60–66 Гр позволяет получить устойчивый паллиативный эффект в 80% случаев [13].
Особый интерес представляет предоперационная химиолучевая терапия, создающая максимальные условия для возможности выполнения в последующем хирургического этапа. Целесообразность проведения ЛТ определяется недостаточным эффектом от системного лекарственного лечения и невозможностью выполнения хирургического вмешательства [5]. ЛТ воздействует на малодифференцированные и анаплазированные клетки, в том числе резистентные к лекарственному воздействию и являющиеся источником местного рецидива и дальнейшего прогрессирования заболевания [5, 14].
Опыт проведения предоперационной ЛТ при местно-распространенном РМЖ накоплен еще в период слабого развития системного противоопухолевого лечения, а ее сочетание с современными препаратами и их комбинациями изучено недостаточно. Согласно исследованию J. Mladenovic и соавт. от 2017 г. при назначении неоадъювантной ЛТ (45 Гр за 25 фракций с последующей локальной эскалацией дозы до 59 Гр) в комбинации с паклитакселом (30 мг/м2 3 раза в неделю) полная резорбция опухолевого очага наблюдалась в 23% случаев с улучшением общей и безрецидивной выживаемости среди пациентов независимо от ответа на проведенное лечение. Биологический тип РМЖ не учитывался в данной работе [15]. Химиотерапия (ХТ) является важнейшим компонентом в лечении местно-распространенного РМЖ. В публикации S. Aebi и соавт. отмечается, что при включении в схемы терапии таксанов наблюдаются наилучший ответ на лечение и более высокая выживаемость пациентов, чем при назначении антрациклинов [16]. У пациенток с тройным негативным РМЖ оправдано добавление к таксанам карбоплатина (исследования CALGB40603, GeparSexto). При HER2-позитивных опухолях наилучшие результаты отмечены при включении в неоадъювантные режимы двойной анти-HER2 (трастузумаб + пертузумаб) блокады. При тройном негативном типе РМЖ проведение неоадъювантной ПХТ с иммунотерапией моноклональными антителами (анти-PD-1, анти-PD-L1) значимо улучшает результативность лечения, в том числе и при местно-распространенном РМЖ. Как пембролизумаб (KEYNOTE-522), так и атезолизумаб (IMpassion030) увеличивали частоту полной или частичной резорбции опухоли в комбинации с неоадъювантной ХТ, содержащей антрациклины и таксаны. При этом пембролизумаб увеличил частоту полного ответа на 13,5%, а атезолизумаб привел к увеличению этого показателя на 17% [16, 17].
В сербском исследовании, включающем 134 пациентки с IIIA, IIIB стадиями РМЖ, сообщается о положительном эффекте предоперационной ЛТ (СОД 45 Гр за 15 фракций) в 78% случаев (без проведения неоадъювантного лекарственного лечения). После выполнения мастэктомии в 15% случаев отмечен полный патоморфоз со стороны первичного опухолевого очага [15].
C. Matuschek и соавт. поделились результатами долгосрочного наблюдения за 315 пациентками с различными формами местно-распространенного РМЖ (биологические типы РМЖ не уточняются). Наилучшие результаты отмечены при сочетанном проведении химиолучевой терапии (n=159). Общая частота полного патоморфоза после сочетанного химиолучевого лечения составила 29,2%, при этом в 50,8% стало возможным выполнение органосохраняющих операций. При наличии регионарного метастатического поражения (cN+) полный лечебный патоморфоз (pN0) отмечен у 56% больных (n=89). После проведенной неоадъювантной химиолучевой терапии в 116 из 315 (36,8%) случаев наблюдался полный патоморфологический регресс опухоли – 67% (2/3) с градацией категории опухоли Т1, 42,27% (41/97) – Т2, 37,96% (52/137) – Т3 и 26,92% (21/78) – Т4. Частота полного патоморфологического ответа в подмышечных лимфатических узлах увеличилась с 49,5% (156/315) cN0 до 68,9% (217/315) pN0 [18].
В свою очередь, в рандомизированном клиническом исследовании из Китая выявлены преимущества индукционной ЛТ в виде уменьшения выраженности побочных эффектов и более высокой выживаемости больных, чем при проведении радиотерапии после операции. Всем пациенткам (n=733) реализована комбинация дистанционной ЛТ, ХТ и органосохраняющей операции в различной последовательности. У больных с ХТ и ЛТ в неоадъювантном режиме наблюдались значительно менее выраженный болевой синдром, меньшая выраженность фиброза и более высокая удовлетворенность результатом лечения и выживаемость пациентов [19].
Однако ЛТ в неоадъювантном режиме и при лечении рецидивирующих местно-распространенных форм РМЖ недостаточно изучена в рандомизированных исследованиях. Представляется, что оптимальное использование радиотерапии заслуживает дальнейшего изучения, в частности у пациентов с опухолями, рефрактерными к системной терапии.
Мы представляем клинический случай проведения дистанционной ЛТ при лечении рецидивирующего местно-распространенного РМЖ, устойчивого к проведению различных вариантов системного лечения.
Описание клинического случая
Пациентке А. 65 лет в 2016 г. провели комбинированное лечение по поводу рака левой молочной железы IIA стадии cT2N0M0 G3, тройной негативный тип. На I этапе выполнена радикальная мастэктомия слева по Маддену. По данным планового морфологического исследования – картина инфильтративного неспецифического РМЖ низкой степени дифференцировки, без метастатического поражения регионарных лимфатических узлов. Молекулярно-биологический тип опухоли – тройной негативный (рецепторы эстрогена – 0 баллов, рецепторы прогестерона – 0 баллов, HER2/neu – 0, Ki-67 – 40%).
Вторым этапом пациентке проведена адъювантная ПХТ по схеме: паклитаксел 80 мг/м2 внутривенно еженедельно 12 введений + карбоплатин AUC6 внутривенно 1 раз в 3 нед. Лечение завершено в декабре 2016 г.
В 2018 г. при контрольном обследовании выявлен рецидив заболевания в виде образования мягких тканей в области рукоятки грудины. От лечения пациентка воздержалась.
При компьютерной томографии (КТ) органов грудной клетки от апреля 2021 г. в области рукоятки грудины выявлен дополнительный мягкотканый конгломерат до 54,0×63,4×55,2 мм с деструкцией кости.
По данным морфологического исследования биопсийного материала определяется рост низкодифференцированной карциномы с высокой митотической активностью. Иммуногистохимически опухоль представлена тройным негативным типом РМЖ (рецепторы эстрогена – 0 баллов, рецепторы прогестерона – 0 баллов, HER2/neu – 0, Ki-67 – 80%; PD-L1-экспрессия в 5% клеток опухоли; IC>1%; PD-L1-статус позитивный). Молекулярно-генетическое исследование на наличие мутаций в генах BRCA1, BRCA2 на тот момент не проводилось.
В качестве 1-й линии терапии по месту жительства пациентке назначена иммунотерапия в комбинации с монохимиотерапией в неоптимальном режиме (атезолизумаб 840 мг 1 раз в 14 дней + паклитаксел 200 мг/м2 1 раз в 21 день). При контрольном обследовании через 3 мес на комбинированной позитронно-эмиссионной и рентгеновской КТ (ПЭТ-КТ) определяется отрицательная динамика в виде увеличения вторичного образования передней грудной стенки, появления внутригрудной, надключичной и подключичной лимфаденопатии.
С учетом прогрессирования после комбинированной терапии моноклональными антителами и ХТ начата 2-я линия терапии препаратом эрибулин 1,4 мг/м2 внутривенно в 1 и 8-й день каждые 3 нед.
По данным контрольной КТ органов грудной клетки от декабря 2021 г. у пациентки вновь наблюдалась отрицательная динамика в виде увеличения образования передней грудной стенки, прогрессирования внутригрудной, над- и подключичной лимфаденопатии. В верхнем отделе передней грудной стенки сохраняется многоузловое мягкотканое образование с признаками неравномерного накопления контрастного препарата размерами 121×99×102 мм (ранее – 102×97×85 мм), прорастающее в большую и малую грудные мышцы, клетчатку верхнего и среднего отделов переднего средостения.
Учитывая отрицательную динамику, выполнена коррекция схемы лекарственного лечения с назначением капецитабина 2000 мг/м2 в 1–14-й день, цикл 1 раз в 21 день (3-я линия).
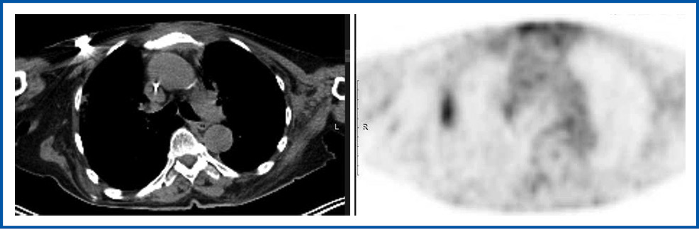
После четырех курсов монохимиотерапии капецитабином при ПЭТ-КТ от мая 2022 г. диагностирована отрицательная динамика в виде роста опухолевых очагов: распадающийся конгломерат на передней грудной стенке до 130×90×120 мм, 18F-фтордезоксиглюкоза (18F-ФДГ) SUVmax 55,07. Отмечено распространение опухоли на рукоятку и тело грудины, с деструкцией костной структуры, инвазией в клетчатку переднего средостения до уровня яремной вырезки. Определяется опухолевое поражение паратрахеального лимфатического узла справа 19×19 мм с накоплением 18F-ФДГ SUVmax 41,68; визуализируется конгломерат парааортальных лимфатических узлов на уровне дуги аорты до 31×33 мм, с накоплением 18F-ФДГ SUVmax 43,44; лимфатические узлы на уровне плечеголовных сосудов до 8 мм с накоплением 18F-ФДГ SUVmax 20,11; единичный парастернальный левый нижний лимфатический узел до 4 мм с накоплением 18F-ФДГ SUVmax 6,97; подключичные, надключичные лимфатические узлы до 12–24 мм с накоплением 18F-ФДГ SUVmax 46,36; нижние яремные лимфатические узлы слева до 13 мм с накоплением 18F-ФДГ SUVmax 47,13 (рис. 1).
Рис. 1. ПЭТ-КТ горизонтальная проекция от мая 2022 г. до начала лечения. Вид грудной стенки на уровне ThIV позвонка.
Fig. 1. PET-CT, horizontal view dated May 2022 before the beginning of treatment. View of the chest wall at the level of the ThIV vertebra.
По месту жительства пациентке планировалось введение паклитаксела в комбинации с бевацизумабом, однако ХТ не проведена из-за угрозы распада и кровотечения из опухоли.
В связи с отсутствием эффекта после трех линий системного лекарственного лечения принято решение о проведении ЛТ.
При осмотре опухоль определялась как объемный экзо-эндофитный конгломерат с изъязвленной поверхностью, признаками распада и кровотечения (рис. 2). В связи с анемией 4-й степени неоднократно проводилась гемотрансфузия.
Рис. 2. Вид опухолевого образования перед началом проведения ЛТ.
Fig. 2. Type of tumor lesion before the start of radiation therapy (RT).
В отдел лучевой терапии МНИОИ им. П.А. Герцена – филиала ФГБУ «НМИЦ радиологии» с 14 по 20 июня 2022 г. по витальным показаниям проведен курс конформной дистанционной ЛТ на ускорителе электронов Elektra Infinity. В область gross tumor volume (GTV) вошли все определяемые опухолевые очаги по данным ПЭТ-КТ: узел передней грудной стенки в области грудины с мягкотканым компонентом, рукоятка и тело грудины, клетчатка переднего средостения, паратрахеальный лимфатический узел справа; конгломерат парааортальных лимфатических узлов на уровне дуги аорты, лимфатические узлы шеи, надподключичной области с обеих сторон, clinical tumor volume (СTV): GTV + 10 мм. Planned tumor volume (PTV) сформирована с отступом краниокаудально 12 мм, 10 мм в остальных направлениях от CTV. РОД – 6 Гр 5 раз в неделю, СОД – 30 Гр. Биологическая эквивалентная доза (EDQ2), рассчитываемая на основе LQ-модели, в данном случае составила 54 иГр при α/β=3.
На рис. 3 отражено дозное распределение в облучаемом объеме.
Рис. 3. Дозное распределение в объеме облучения (в процентах указана 95 и 80% изодозная кривая).
Fig. 3. Dose distribution in the irradiation volume (95% and 80% of the isodose curve are indicated in percentage).
Получено хорошее дозное покрытие:
- GTV – 100% доза покрывает 100% объема;
 - CTV – 95% доза покрывает 95% объема;
 - PTV – 95% доза покрывает 95% объема.
 
Толерантные дозы на критические органы не превышают допустимых по QUANTEC.
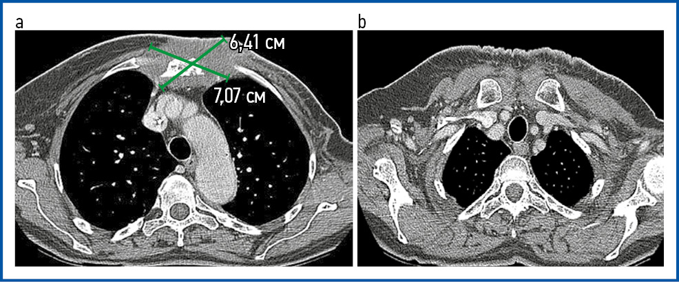
Положительный эффект зафиксирован к моменту окончания ЛТ в виде частичной регрессии первичной опухоли более 50% и отсутствия эпизодов кровотечения (рис. 4, 5, a).
Рис. 4. Картина КТ грудной клетки после ЛТ. Размеры опухолевых узлов обозначены зелеными линиями: a – вид грудной стенки на уровне ThV позвонка; b – вид грудной стенки на уровне ThIII позвонка.
Fig. 4. CT scan of the chest after RT. The dimensions of the tumor nodes are indicated by green lines: a – view of the chest wall at the level of the ThV vertebra; b – view of the chest wall at the level of the ThIII vertebra.
В связи с выявленной мутацией в гене BRCA1 через 1 мес после проведения радиотерапии пациентке рекомендована таргетная терапия PARP-ингибиторами (олапариб).
Через 2 мес после ЛТ и 1 мес после начала таргетной терапии отмечена полная резорбция опухолевого конгломерата на передней грудной стенке (рис. 5, b).
Рис. 5. Вид пациентки: a – после завершения курса ЛТ; b – через 2 мес после ЛТ и 1 мес после начала таргетной терапии.
Fig. 5. View of the patient: a – after completion of the RT course; b – 2 months after RT and 1 month after the start of targeted therapy.
Однако с ноября 2022 г. – через 4 мес после начала таргетной терапии олапарибом – вновь отмечена отрицательная динамика в виде появления новых очагов: 7 очагов от 3 до 8 мм в мягких тканях передней грудной стенки в зоне прямой мышцы живота слева, подмышечной области справа до 20 мм, SUVmax 31 (рис. 6).
Рис. 6. Метастатический лимфатический узел в правой аксиллярной области по данным ПЭТ-КТ от ноября 2022 г.
Fig. 6. Metastatic lymph node in the right axillary region according to PET-CT dated November 2022.
В связи с отсутствием других проявлений заболевания принято решение продолжить прием олапариба и выполнить трепан-биопсию лимфатического узла правой аксиллярной области с гистологическим и иммуногистохимическим исследованием. По результатам морфологического исследования: инвазивный неспецифицированный РМЖ 3-й степени злокачественности, тройной негативный тип, Ki-67 – 80%.
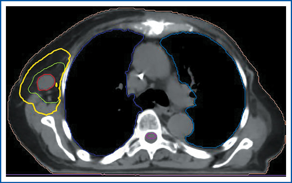
Учитывая выраженный положительный эффект от ранее проведенной ЛТ, появление ограниченного числа новых очагов, с 29.11.2022 по 05.12.2022 проведен паллиативный курс конформной дистанционной ЛТ на ускорителе электронов Elekta Infinity. В область облучения вошел опухолевый конгломерат правой аксиллярной области, РОД – 6 Гр ежедневно 5 раз в неделю, СОД – 30 Гр (EDQ2 – 54 иГр, при α/β=3). Дозное распределение в зоне мишени отражено на рис. 7.
Рис. 7. Дозное распределение в области облучения. Красной линией указана мишень GTV – лимфатический узел в правой аксиллярной области; зеленая линия – СTV – с отступом от GTV на 10 мм; желтая линия – PTV – с отступом краниокаудально 12 мм, 10 мм во всех остальных направлениях от CTV с учетом границ критических структур.
Fig. 7. Dose distribution in the irradiation area. The red line indicates the GTV target – the lymph node in the right axillary region; the green line indicates CTV at a distance of 10 mm from GTV; and the yellow line indicates PTV with a craniocaudal distance of 12 mm and 10 mm in all other directions from CTV, taking into account the boundaries of critical structures.
Через 3 мес после завершения ЛТ зафиксирована выраженная положительная динамика в виде уменьшения размера метастатически измененного аксиллярного лимфатического узла справа до 6 мм (ранее 20 мм), с накоплением 18F-ФДГ SUVmax 1,86 (ранее 31,29).
Учитывая биологический тип опухоли, варианты ранее проведенного лечения, рекомендована лекарственная терапия с использованием таксанов и бевацизумаба (паклитаксел 90 мг/м2 внутривенно в 1, 8, 15-й день + бевацизумаб 10 мг/кг внутривенно в 1 и 15-й день каждые 28 дней или 15 мг/кг каждый 21-й день до прогрессирования или неприемлемой токсичности).
Через 2 мес после проведенного лечения у пациентки определялось прогрессирование заболевания: появление новых очагов и увеличение ранее определявшихся очагов в мягких тканях передней грудной стенки ниже границы проведенной ранее ЛТ максимальным размером до 20 мм (ранее 3–8 мм) с накоплением 18F-ФДГ SUVmax 27,01 (ранее 12,22), увеличение прекардиальных лимфоузлов до 11 мм (ранее 7 мм) с накоплением 18F-ФДГ SUVmax 27,80 (ранее 23,42), увеличение образования в области прямой мышцы живота слева до 17×15 мм (ранее 4 мм), с накоплением 18F-ФДГ SUVmax 16,63 (ранее 4,17); рис. 8.
Рис. 8. ПЭТ-КТ от 07.03.2023, через 3 мес после завершения ЛТ, полная регрессия метастатического лимфатического узла в правой аксиллярной области.
Fig. 8. PET-CT dated 07.03.2023, 3 months after completion of RT; complete regression of the metastatic lymph node in the right axillary region.
В связи с характером прогрессирования заболевания проведение дополнительной ЛТ признано нецелесообразным. В то же время состояние пациентки оценивается как удовлетворительное, ECOG 1, индекс Карновского 80. Несмотря на наличие ряда неблагоприятных факторов, у нее отсутствует поражение висцеральных органов и сохраняются резервы для проведения лекарственной терапии, в частности, принимая во внимание общее состояние, позволяющее перенести комбинированный режим лечения, а также наличие мутации BRCA1, рекомендовано применение антрациклинсодержащей или возврат к платиносодержащей схеме ХТ.
Заключение
При отсутствии эффекта от лекарственной терапии у больных местно-распространенным первично-неоперабельным РМЖ, в том числе при наличии рецидива заболевания с поражением мягких тканей передней грудной стенки, оправдано назначение дистанционной ЛТ, в том числе в сочетании с системным лечением. Подведение дозы 54 иГр позволяет рассчитывать на достижение длительной ремиссии даже в случае массивных поражений, сопровождающихся распадом и кровотечениями.
Раскрытие интересов. Авторы декларируют отсутствие явных и потенциальных конфликтов интересов, связанных с публикацией настоящей статьи.
Disclosure of interest. The authors declare that they have no competing interests.
Вклад авторов. Авторы декларируют соответствие своего авторства международным критериям ICMJE. Все авторы в равной степени участвовали в подготовке публикации: разработка концепции статьи, получение и анализ фактических данных, написание и редактирование текста статьи, проверка и утверждение текста статьи.
Authors’ contribution. The authors declare the compliance of their authorship according to the international ICMJE criteria. All authors made a substantial contribution to the conception of the work, acquisition, analysis, interpretation of data for the work, drafting and revising the work, final approval of the version to be published and agree to be accountable for all aspects of the work.
Источник финансирования. Авторы декларируют отсутствие внешнего финансирования для проведения исследования и публикации статьи.
Funding source. The authors declare that there is no external funding for the exploration and analysis work.
Информированное согласие на публикацию. Пациентка подписала форму добровольного информированного согласия на публикацию медицинской информации.
Consent for publication. Written consent was obtained from the patient for publication of relevant medical information and all of accompanying images within the manuscript.
About the authors
Sergey V. Medvedev
National Medical Research Radiological
														Email: vlasova_maria2092@mail.ru
				                	ORCID iD: 0000-0002-6057-1230
				                																			                								
Cand. Sci. (Med.), Hertsen Moscow Scientific Researh Institute of Oncology
Russian Federation, MoscowMaria Yu. Vlasova
National Medical Research Radiological
							Author for correspondence.
							Email: vlasova_maria2092@mail.ru
				                	ORCID iD: 0000-0001-7502-2288
				                																			                								
Cand. Sci. (Med.), Hertsen Moscow Scientific Researh Institute of Oncology
Russian Federation, MoscowLarisa V. Bolotina
National Medical Research Radiological Centre
														Email: vlasova_maria2092@mail.ru
				                	ORCID iD: 0000-0003-4879-2687
				                																			                								
D. Sci. (Med.), Hertsen
Russian Federation, MoscowAndrey D. Kaprin
National Medical Research Radiological Centre; Patrice Lumumba People’s Friendship University of Russia; National Medical Research Radiological Centre
														Email: vlasova_maria2092@mail.ru
				                	ORCID iD: 0000-0001-8784-8415
				                																			                								
D. Sci. (Med.), Prof., Acad. RAS, Hertsen Moscow Scientific Researh Institute of Oncology
Russian Federation, Moscow; Moscow; MoscowEvgeny V. Khmelevskiy
National Medical Research Radiological Centre
														Email: vlasova_maria2092@mail.ru
				                	ORCID iD: 0000-0002-4880-0213
				                																			                								
D. Sci. (Med.), Prof., Hertsen Moscow Scientific Researh Institute of Oncology
Russian Federation, MoscowAziz D. Zikiryakhodzhaev
National Medical Research Radiological Centre
														Email: vlasova_maria2092@mail.ru
				                	ORCID iD: 0000-0001-7141-2502
				                																			                								
D. Sci. (Med.), Prof., Hertsen Moscow Scientific Researh Institute of Oncology
Russian Federation, MoscowShakhnoz G. Khakimova
Patrice Lumumba People’s Friendship University of Russia; Tashkent Pediatric Medical Institute
														Email: vlasova_maria2092@mail.ru
				                	ORCID iD: 0000-0002-9491-0413
				                																			                								
Cand. Sci. (Med.)
Uzbekistan, Moscow; TashkentGulnoz G. Khakimova
Tashkent Pediatric Medical Institute
														Email: vlasova_maria2092@mail.ru
				                	ORCID iD: 0000-0002-4970-5429
				                																			                								
Cand. Sci. (Med.)
Uzbekistan, TashkentNatalya M. Bychkova
National Medical Research Radiological Centre
														Email: vlasova_maria2092@mail.ru
				                	ORCID iD: 0000-0002-5177-2612
				                																			                								
Cand. Sci. (Med.), Hertsen Moscow Scientific Researh Institute of Oncology
Russian Federation, MoscowNatalia A. Zaitseva
Hertsen Moscow Scientific Researh Institute of Oncology
														Email: vlasova_maria2092@mail.ru
				                	ORCID iD: 0000-0002-2764-5189
				                																			                								
Department Head, National Medical Research Radiological
Russian Federation, MoscowElnara R. Abushova
National Medical Research Radiological Centre
														Email: vlasova_maria2092@mail.ru
				                	ORCID iD: 0009-0009-9836-1261
				                																			                								
radiotherapist, Hertsen Moscow Scientific Researh Institute of Oncology
Russian Federation, MoscowSvetlana D. Guseva
National Medical Research Radiological Centre
														Email: vlasova_maria2092@mail.ru
				                	ORCID iD: 0009-0006-2117-9865
				                																			                								
Graduate Student, Hertsen Moscow Scientific Researh Institute of Oncology
Russian Federation, MoscowEgor D. Maslov
National Medical Research Radiological Centre
														Email: vlasova_maria2092@mail.ru
				                	ORCID iD: 0009-0001-0084-6124
				                																			                								
Resident, Hertsen Moscow Scientific Researh Institute of Oncology
Russian Federation, MoscowReferences
- Злокачественные новообразования в России в 2020 году (заболеваемость и смертность). Под ред. А.Д. Каприна, В.В. Старинского, Г.В. Петровой. М.: МНИОИ им. П.А. Герцена – филиал ФГБУ «НМИЦ радиологии» Минздрава России, 2021 [Zlokachestvennyie novoobrazovaniia v Rossii v 2020 godu (zabolevaiemost' i smertnost'). Pod red. AD Kaprina, VV Starinskogo, GV Petrovoi. Moscow: MNIOI im. P.A. Gertsena – filial FGBU “NMITS radiologii” Minzdrava Rossii, 2021 (in Russian)].
 - Состояние онкологической помощи населению России в 2023 году. Под ред. А.Д. Каприна, В.В. Старинского, А.О. Шахзадовой. М.: МНИОИ им. П.А. Герцена − филиал ФГБУ «НМИЦ радиологии» Минздрава России, 2022 [Sostoianiie onkologicheskoi pomoshchi naseleniiu Rossii v 2023 godu. Pod red. AD Kaprina, VV Starinskogo, AO Shakhzadovoi. Moscow: MNIOI im. P.A. Gertsena − filial FGBU “NMITS radiologii“ Minzdrava Rossii, 2022 (in Russian)].
 - National Comprehensive Cancer Network. Breast cancer (version 3.2021). 2021. Available at: https://www.nccn.org/professionals/physician_gls/pdf/ Acccessed: 12.12.2023.
 - Franceschini G, Terribile D, Fabbri C, et al. Management of locally advanced breast cancer. Mini-review. Minerva Chirurgica. 2007;62(4):249-55.
 - Сарибекян Э.К., Медведев С.В., Власова М.Ю., и др. Клинический случай комплексного лечения первично-неоперабельного местно-распространенного рака молочной железы с применением конформной лучевой терапии. Радиация и риск. 2020;29(3):79-87 [Saribekyan EK, Medvedev SV, Vlasova MYU, et al. Klinicheskii sluchai kompleksnogo lecheniia pervichno-neoperabel'nogo mestno-rasprostranennogo raka molochnoi zhelezy s primeneniiem konformnoi luchevoi terapii. Radiatsiia i Risk. 2020;29(3):79-87 (in Russian)]. doi: 10.21870/0131-3878-2020-29-3-79-87
 - Curigliano G, Criscitiello C, Esposito A, et al. Best management of locally advanced inoperable breast cancer. Eur J Cancer. 2013;11(2):289-90. doi: 10.1016/j.ejcsup.2013.07.052
 - Kaidar-Person O, Kuten A, Belkacemi Y. Primary systemic therapy and whole breast irradiation for locally advanced breast cancer: a systematic review. Crit Rev Oncol/Hematol. 2014;92(2):143-52. doi: 10.1016/j.critrevonc.2014.04.005
 - Matuschek C, Nestle-Kraemling C, Haussmann J. Long-term cosmetic outcome after preoperative radio-/chemotherapy in locally advanced breast cancer patients. Strahlentherapie Und Onkologie. 2019;195(7):615-28. doi: 10.1007/s00066-019-01473-2
 - Roth SL, Audretsch W, Bojar H, et al. Retrospective study of neoadjuvant versus adjuvant radiochemotherapy in locally advanced noninflammatory breast cancer: survival advantage in cT2 category by neoadjuvant radiochemotherapy. Strahlentherapie Und Onkologie. 2010;186(6):299-306. doi: 10.1007/s00066-010-2143-0
 - Артамонова Е.В. Общие принципы лекарственного лечения первично-операбельного и местно-распространенного рака молочной железы. Опухоли женской репродуктивной системы. 2009;(3-4):29-33 [Artamonova EV. General principles of drug treatment for primary operable and locally advanced breast cancer. Tumors of Female Reproductive System. 2009;(3-4):29-33 (in Russian)].
 - Портной С.М. Роль хирургического метода в лечении местно-распространенного и диссеминированного рака молочной железы. Практическая онкология. 2000;1(2):57-60 [Portnoi SM. Rol' khirurgicheskogo metoda v lechenii mestnorasprostranennogo i disseminirovannogo raka molochnoi zhelezy. Prakticheskaia Onkologiia. 2000;1(2):57-60 (in Russian)].
 - Хакимов Г.А., Шаюсупов Н.Р., Мирюсупова Г.Ф. Опыт лечения больных местно-распространенным раком молочной железы. Опухоли женской репродуктивной системы. 2009;1(2):27-9 [Khakimov GA, Shayusupov NR, Miryusupova GF. Experience in treating patients with locally advanced breast cancer. Tumors of Female Reproductive System. 2009;1(2):27-9 (in Russian)].
 - Хмелевский Е.В. Современная лучевая терапия в лечении местно-распространенного и рецидивирующего рака молочной железы: автореф. дис. … д-ра мед. наук. М., 1997; с. 34 [Khmelevskii EV. Sovremennaia luchevaia terapiia v lechenii mestno-rasprostranennogo i retsidiviruiushchego raka molochnoi zhelezy: avtoref. dis. … d-ra med. nauk. Moscow, 1997; p. 34 (in Russian)].
 - Слонимская Е., Мусабаева Л., Жогина Ж. Комплексная терапия местно-распространенного рака молочной железы с применением нейтронно-фотонной терапии. Сибирский онкологический журнал. 2002;2:21-6 [Slonimskaia E, Musabaieva L, Zhogina ZH. Kompleksnaia terapiia mestno-rasprostranennogo raka molochnoi zhelezy s primeneniiem neytronno-fotonnoi terapii. Sibirskii Onkologicheskii Zhurnal. 2002;2:21-26 (in Russian)].
 - Mladenovic J, Susnjar S, Tanic M, et al. Tumor response and patient outcome after preoperative radiotherapy in locally advanced non-inflammatory breast cancer patients. J BUON. 2017;22(2):325-33.
 - Aebi S, Karlsson P, Wapnir IL. Locally advanced breast cancer. Breast. 2022;62 Suppl. 1(Suppl. 1):S58-62. doi: 10.1016/j.breast.2021.12.011
 - Mittendorf EA, Zhang H, Barrios CH, et al. Neoadjuvant atezolizumab in combination with sequential nab-paclitaxel and anthracycline-based chemotherapy versus placebo and chemotherapy in patients with early-stage triple-negative breast cancer (IMpassion031): a randomised, double-blind, phase 3 trial. Lancet. 2020;396(10257):1090-100.
 - Matuschek C, Bölke E, Roth S, et al. Long-term outcome after neoadjuvant radiochemotherapy in locally advanced noninflammatory breast cancer and predictive factors for a pathologic complete remission. Strahlenther Onkol. 2012;188:777-81.
 - Xu Yu, Hu X, Zhou L, at al. Effect of sequencing of preoperative systemic therapy on patients with locally advanced breast cancer. Breast J. 2020;26(10):1987-94. doi: 10.1111/tbj.14017
 
Supplementary files
				
			
					
						
						
				










