Renal cell carcinoma associated with von Hippel–Lindau syndrome: an ambispective study
- Authors: Volkova M.I.1,2, Turupaev K.A.3, Filippova M.G.3, Ladyko D.D.3, Sinitsyna O.R.1, Gridneva Y.V.1,4, Matveev V.B.3
 - 
							Affiliations: 
							
- Moscow State Budgetary Healthcare Institution "Oncological Center No. 1 of Moscow City Hospital named after S.S. Yudin, Moscow Healthcare Department"
 - Russian Medical Academy of Continuous Professional Education
 - Blokhin National Medical Research Center of Oncology
 - Sechenov First Moscow State Medical University (Sechenov University)
 
 - Issue: Vol 27, No 2 (2025)
 - Pages: 122-128
 - Section: Articles
 - Submitted: 09.01.2025
 - Accepted: 07.07.2025
 - Published: 17.07.2025
 - URL: https://modernonco.orscience.ru/1815-1434/article/view/645340
 - DOI: https://doi.org/10.26442/18151434.2025.2.203226
 - ID: 645340
 
Cite item
Full Text
Abstract
Background. Renal cell carcinoma (RCC) associated with von Hippel-Lindau syndrome (VHL) is characterized by multifocal bilateral involvement of the renal parenchyma and is the leading cause of death in this category of patients due to disease progression or the development of end-stage chronic kidney disease.
Aim. To analyze the treatment outcomes of patients with RCC associated with VHL syndrome.
Materials and methods. The ambispective study included data of 30 patients treated with VHL-associated RCC from 2016 to 2024. In 23 (76.7%) cases, VHL syndrome was classified as type 1, and in 7 (23.3%) as type 2B. Non-metastatic RCC at the initial diagnosis was detected in 28 (93.3%) patients and metastatic RCC in 2 (6.7%). Extrarenal manifestations of VHL syndrome occurred in all patients. Watchful waiting was used in 6 (20.0%) patients, surgical treatment of renal parenchyma tumors in 21 (70.0%), metastasectomy – in 2 (6.7%), and systemic antitumor therapy in 3 (10.0%). Treatment of extrarenal manifestations of VHL syndrome included surgical interventions in 20 (66.7%) patients, radiation therapy in 8 (26.7%), and laser therapy in 9 (30.0%). The median follow-up for all patients from the RCC detection was 46.6 [1-249.5] months.
Results. The four-year overall (OS) and disease-specific (DSS) survival rates for all 30 patients were 93.3% and 93.3%, respectively. In 28 patients with primary non-metastatic RCC, the 4-year metastasis-free survival (MFS) was 74.2%. In 21 patients after radical surgery for the primary non-metastatic renal cell carcinoma, the 4-year OS was 88.9%, DSS was 88.9%, relapse-free survival (RFS) was 62.9%, local recurrence-free survival was 53.9%, and MFS was 63.6%. In patients with distant metastases, the 4-year OS was 66.7%. Two (6.7%) patients developed terminal chronic kidney disease requiring permanent hemodialysis.
Conclusion. VHL-associated RCC is a chronic disease with a torpid course, allowing to recommend organ-sparing treatment of primary tumors and metastasis-directed therapy of oligometastases. Antiangiogenic therapy is effective in metastatic RCC.
Full Text
Введение
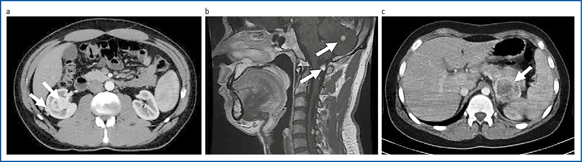
Болезнь фон Гиппеля–Линдау (VHL) является наследственным аутосомно-доминантным заболеванием с частотой выявления 1 случай на 36 тыс. человек. Синдром обусловлен инактивирующей мутацией в гене опухолевой супрессии VHL хромосомы 3 и ассоциирован с предрасположенностью к развитию множественных кистозных и опухолевых новообразований в ряде органов, включая гемангиобластомы (ГАБ) центральной нервной системы (ЦНС), ретинальные ГАБ, кисты и светлоклеточные карциномы почки, феохромоцитомы (ФХЦ) надпочечников, кисты, цистаденомы и нейроэндокринные опухоли поджелудочной железы (ПЖ), опухоли эндолимфатического мешка, цистаденомы придатка яичка (у мужчин) и широкой связки (у женщин); рис. 1 [1–4]. Выделяют VHL-синдром 1-го типа (без ФХЦ) и 2-го типа (с ФХЦ); 2-й тип синдрома подразделяют на следующие подтипы: 2А (ФХЦ без рака почки – РП), 2В (ФХЦ с РП) и 2С (ФХЦ без РП и ГАБ) [5, 6].
Рис. 1. Компьютерно-томографическая картина VHL-ассоциированных опухолей пациента Г. 28 лет: a – мультифокальные светлоклеточные почечно-клеточные карциномы правой почки (компьютерная томография, артериальная фаза); b – ГАБ мозжечка и продолговатого мозга (компьютерная томография); c – ФХЦ левого надпочечника (компьютерная томография, венозная фаза).
Fig. 1. Computed tomographic images of VHL-associated tumors of patient G., 28 years: a – multifocal clear cell renal cell carcinomas of the right kidney (computed tomography, arterial phase); b – cerebellar haemangioblastoma of the cerebellum and medulla oblongata (computed tomography); c – pheochromocytoma of the left adrenal gland (computed tomography, venous phase).
РП развивается у 25–60% больных синдромом VHL в среднем в возрасте 37 (16–67) лет. VHL-ассоциированный РП имеет строение светлоклеточной карциномы, характеризуется склонностью к формированию билатеральных мультифокальных первичных очагов, реализующихся в течение жизни на фоне множественных почечных кист. В целом РП у пациентов с VHL-синдромом характеризуется торпидным течением и низким риском метастазирования. Тем не менее именно почечно-клеточный рак (ПКР) является основной причиной смерти, которая регистрируется в среднем в возрасте 50 лет [1–4]. Данная публикация представляет собой анализ результатов лечения 30 больных VHL-ассоциированным РП.
Цель исследования – проанализировать результаты лечения больных РП, ассоциированным с синдромом VHL.
Материалы и методы
Критериями включения в амбиспективное исследование являлся диагноз РП и подтвержденный VHL-синдром у пациентов с доступной медицинской информацией о тактике лечения и его результатах. Таким критериям соответствовали данные 30 больных: мужчин – 15 (50,0%), женщин – 15 (50,0%). Медиана возраста на момент манифестации синдрома – 28 [14–54] лет, медиана возраста на момент выявления РП – 32 [14–54] года. Две пациентки являются сибсами, 3 пациентки – кровными родственницами (бабушка, мать и дочь). У всех больных диагностирован синдром VHL. Диагноз установлен на основании клинических критериев 11 (36,7%) больным [7], на основании результатов генетического тестирования – 19 (63,3%) пациентам. Доступные анализу полные результаты генетического тестирования 15 больных приведены в табл. 1. В 23 (76,7%) случаях VHL-синдром отнесен к 1-му типу, в 7 (23,3%) – к 2В-типу.
Таблица 1. Результаты молекулярно-генетического обследования (методом секвенирования по Сэнгеру и секвенирования нового поколения) у пациентов с VHL-ассоциированным РП (n = 15)
Table 1. Results of molecular genetic examination (by Sanger sequencing and next-generation sequencing) in patients with VHL-associated RCC (n = 15)
№  | Локализация  | Кодирующая последовательность  | Аминокислотная последовательность  | Референсный сиквенс  | Класс патогенности по ACMG  | 
1  | Экзон 3  | c.642A > G  | p.X214Trp  | rs1559430011  | 4  | 
2  | Экзон 2  | c.407T > C  | p.Phe136Ser  | rs5030833  | 5  | 
3  | Интрон 1  | c.340+1G > C  | –  | rs730882032  | 5  | 
4  | Экзон 1  | c.217C > Т  | p.Gln73Ter  | rs869025619  | 5  | 
5  | Экзон 3  | c.608_609del  | p.Gln203Argfs*52  | –  | 4  | 
6  | Экзон 3  | c.499C > T  | p.Arg167Trp  | rs5030820  | 4-5  | 
7  | Экзон 2  | c.392A > G  | p.Asn131Ser  | rs1553619963  | 4-5  | 
8  | Экзон 1  | c.262T > A  | p.Trp88Arg  | rs1553619431  | 5  | 
9  | Экзон 2  | c.353T > C  | p.Leu118Pro  | rs5030830  | 5  | 
10  | Интрон 1  | с.340+2T > G  | –  | –  | 5  | 
11  | Экзон 1  | c.227_229delTCT  | p.Phe76del  | rs5030648  | 5  | 
12#  | Экзон 2  | c.353T > C  | p.Leu118Pro  | rs5030830  | 5  | 
13#  | Экзон 2  | c.353T > C  | p.Leu118Pro  | rs5030830  | 5  | 
14#  | Экзон 2  | c.353T > C  | p.Leu118Pro  | rs5030830  | 5  | 
15  | –  | wt  | –  | –  | –  | 
#Кровные родственники.
Примечание. ACMG (American College of Medical Genetics) – Американская коллегия медицинской генетики и геномики.
У всех 30 (100,0%) пациентов зарегистрирован ПКР, у 28 (93,3%) – кисты почек, у 7 (23,3%) – ФХЦ надпочечников, у 14 (46,7%) – ГАБ сетчатки, у 22 (73,3%) – ГАБ головного и/или спинного мозга, у 23 (76,7%) – кисты ПЖ и у 7 (23,3%) – аденомы ПЖ (табл. 2). У 16 (53,3%) пациентов РП был диагностирован синхронно с другими признаками VHL-синдрома, в 14 (46,7%) случаях первыми манифестировали проявления ГАБ сетчатки или ЦНС – в 13 (43,3%) случаях, а также ФХЦ надпочечников (1, или 3,3%), после чего в процессе наблюдения выявлен ПКР (медиана времени от диагноза VHL-синдрома до появления РП – 5 [1–20] лет).
Таблица 2. Характеристика пациентов с VHL-ассоциированным РП (n = 30)
Table 2. Characteristics of patients with VHL-associated RCC (n = 30)
Характеристика  | Число пациентов*  | |
абс.  | %  | |
Пол мужской  | 15  | 50,0  | 
Возраст на момент выявления синдрома VHL, медиана [min–max], лет  | 28 [14–54]  | |
Возраст на момент выявления РП, медиана [min–max], лет  | 32 [14–54]  | |
РП  | 30  | 100  | 
двусторонний  | 18  | 60,0  | 
диссеминированный  | 2  | 6,7  | 
Кисты почек  | 28  | 93,3  | 
ФХЦ  | 7  | 23,3  | 
двусторонняя  | 5  | 16,7  | 
ГАБ сетчатки  | 14  | 46,7  | 
двусторонняя  | 7  | 23,3  | 
ГАБ ЦНС  | 22  | 73,3  | 
Кисты ПЖ  | 23  | 76,7  | 
Аденомы ПЖ  | 7  | 23,3  | 
Тип синдрома  | ||
VHL 1  | 23  | 76,7  | 
VHL 2B  | 7  | 23,3  | 
*Кроме строк 2 и 3.
Неметастатический РП на этапе первичного диагноза выявлен в 28 (93,3%), диссеминированный – в 2 (6,7%) случаях. Опухоли почечной паренхимы были двусторонними в 18 (60,0%) наблюдениях, при этом у 10 (33,3%) больных опухоли обеих почек реализовались синхронно, у 8 (26,7%) пациентов – метахронно, с интервалом от 11 до 60 мес (медиана – 36 мес). Солитарные опухоли почечной паренхимы имелись у 2 (6,7%) больных, в остальных случаях выявлено 2 очага поражения и более. У обоих пациентов с первичным диссеминированным РП диагностированы метастазы в легких и внутригрудных лимфатических узлах.
Хирургическое лечение опухолей почечной паренхимы проводилось 21 (70,0%) больному с неметастатическим ПКР, 6 (20,0%) пациентов без отдаленных метастазов находятся под динамическим наблюдением. Трем (10,0%) больным (1 пациенту с неметастатическим и 2 – с первичным диссеминированным РП) проводили системную противоопухолевую терапию.
В 20 (66,7%) случаях потребовалось хирургическое лечение экстраренальных проявлений синдрома VHL: 7 (23,3%) пациентов подвергнуты оперативному лечению ФХЦ надпочечника, 14 (46,7%) больным удалены ГАБ ЦНС, 9 (30,0%) пациентам проводили лазерную фотокоагуляцию ГАБ сетчатки, в том числе в сочетании с энуклеацией глаза с контралатеральной стороны в 2 (6,7%) случаях. В 8 (26,7%) наблюдениях использовалась стереотаксическая лучевая терапия ГАБ головного и спинного мозга: последовательная терапия нескольких очагов – в 3 (10,0%) случаях (табл. 3).
Таблица 3. Лечение пациентов с VHL-ассоциированным РП (n = 30)
Table 3. Treatment of patients with VHL-associated RCC (n = 30)
Лечение  | Пациенты  | |
абс.  | %  | |
Лечение опухолей почечной паренхимы  | ||
I этап  | 27  | 100,0  | 
Хирургическое лечение  | 21  | 70,0  | 
радикальная нефрэктомия  | 4  | 13,3  | 
резекция почки  | 11  | 36,7  | 
резекция почки, радикальная нефрэктомия с контралатеральной стороны последовательно  | 4  | 13,3  | 
резекция обеих почек последовательно  | 2  | 6,7  | 
Динамическое наблюдение  | 6  | 20,0  | 
II этап  | 6  | 20,0  | 
Резекция единственной почки  | 2  | 6,7  | 
Ререзекция единственной почки  | 3  | 10,0  | 
Радикальная нефрэктомия со стороны ранее выполненной резекции  | 1  | 3,3  | 
III этап  | 3  | 10,0  | 
Ререзекция почки, радиочастотная аблация опухолевых очагов  | 1  | 3,3  | 
Ререзекция единственной почки  | 2  | 6,7  | 
Лечение метастазов РП  | 4  | 13,3  | 
Локальное лечение метастазов РП  | 2  | 6,7  | 
дистальная резекция ПЖ  | 1  | 3,3  | 
атипичная резекция легкого  | 1*  | 3,3  | 
удаление метастаза из головного мозга  | 1*  | 3,3  | 
стереотаксическая лучевая терапия метастазов в головном мозге  | 1*  | 3,3  | 
Системная противоопухолевая терапия  | 6  | 20,0  | 
1 линия  | 6  | 20,0  | 
2 линии  | 3  | 10,0  | 
5 линий  | 1  | 3,3  | 
Лечение внепочечных проявлений синдрома VHL  | 20  | 66,7  | 
Адреналэктомия односторонняя  | 4  | 13,3  | 
Адреналэктомия и резекция контралатерального надпочечника последовательно  | 1  | 3,3  | 
Адреналэктомия и резекция контралатерального надпочечника симультанная  | 2  | 6,7  | 
Удаление ГАБ ЦНС  | 14  | 46,7  | 
Стереотаксическая дистанционная лучевая терапия ГАБ ЦНС  | 8  | 26,7  | 
Лазерная фотокоагуляция ГАБ сетчатки  | 9  | 30,0  | 
Энуклеация глаза, лазерная фотокоагуляция ГАБ сетчатки с контралатеральной стороны  | 2  | 6,7  | 
*Данные виды лечения проводили 1 пациенту.
Медиана наблюдения за всеми пациентами от даты установки диагноза VHL-синдрома составила 88,3 [1–261, 9] мес, VHL-ассоциированного РП – 46,6 [1–249, 5] мес.
Все данные о пациентах консолидированы в электронных таблицах Excel с помощью специально созданного кодификатора. Анализ полученных результатов проводили с помощью известных статистических методов при использовании блока программ SPSS 13.0 for Windows. Время жизни рассчитывали от даты выявления РП до даты регистрации неблагоприятного события или последнего наблюдения.
Результаты
Неметастатический РП расценивался в качестве показания к органосохраняющему хирургическому и аблативному лечению. У больных с известным диагнозом VHL-ассоциированного ПКР операцию выполняли при диаметре очагов не менее 3 см; меньшие размеры наибольшего опухолевого узла при отсутствии признаков распространения опухоли за пределы собственной капсулы почки расценивали как показание к динамическому наблюдению с последующим локальным лечением при достижении опухолью размеров ≥ 3 см. В 4 (13,3%) случаях при неизвестном диагнозе VHL-синдрома и манифестации заболевания с ПКР на I этапе лечения выполнена радикальная нефрэктомия.
Медиана наблюдения за 6 пациентами с неметастатическим РП и размерами опухолей < 3 см составила 12 [4–27] мес. Медиана темпа увеличения опухолевых узлов – 1 [0–2] мм в год. За больными продолжается динамическое наблюдение.
Из 21 (70,0%) оперированного пациента 1 вмешательство на почках выполнено 12 (40,0%) пациентам, 2 – 6 (20,0%) исследуемым лицам, 3 – 3 (10,0%) больным. На момент выявления РП радикальная нефрэктомия произведена 4 (13,3%) пациентам, резекция почки – 11 (36,7%), последовательная резекция почки и радикальная нефрэктомия с контралатеральной стороны – 4 (13,3%) больным, последовательные резекции обеих почек – 2 (6,7%). Медиана времени между последовательными операциями при синхронных двусторонних опухолях почек составила 3,2 [2–4] мес.
При реализации мультифокального роста РП следующее хирургическое вмешательство выполнено 6 (20,0%) пациентам в среднем через 27,2 [4–72] мес после первичного оперативного лечения. Резекция ранее интактной почки произведена 2 (6,7%) больным, ререзекция ранее оперированной почки – 3 (10,0%); в 1 (3,3%) наблюдении органосохраняющее лечение оказалось технически невыполнимо, пациент подвергнут радикальной нефрэктомии со стороны ранее выполненной резекции.
Трем (10,0%) пациентам с повторным рецидивом ПКР в ранее резецированной почке потребовалась 2-я ререзекция почечной паренхимы, 1 (3,3%) больному – дополненная радиочастотной аблацией мультифокальных очагов. Временной интервал от предыдущего вмешательства у данных пациентов составил 49, 59 и 61 мес соответственно.
Осложнения первичного хирургического лечения опухолей почечной паренхимы, достигшие 3–4-й степени тяжести по классификации Clavien–Dindo, зарегистрированы у 3 (14,2%) из 21 оперированного пациента, включая 2 (9,5%) больных, подвергнутых экстракорпоральной резекции почки (рис. 2), и 1 (4,7%) пациента, которому выполнено симультанное вмешательство в объеме резекции почки, адреналэктомии с одной стороны и резекции надпочечника – с контралатеральной стороны. Осложнения во всех случаях включали тяжелое острое почечное повреждение, в том числе в составе полиорганной недостаточности у пациента, перенесшего симультанную операцию на почке и надпочечниках. Оба пациента, подвергнутые экстракорпоральной резекции почки, после проведения интенсивной терапии выписаны из стационара. Больной с полиорганной недостаточностью умер от осложнений хирургического лечения на 11-е сутки после операции. Тяжелых осложнений у пациентов, подвергнутых 2 и 3-му хирургическим вмешательствам, не зарегистрировано.
Рис. 2. Хирургическое лечение мультифокального двустороннего VHL-ассоциированного светлоклеточного ПКР у пациента И. 32 лет: а – мультифокальные двусторонние светлоклеточные почечно-клеточные карциномы (компьютерная томография, венозная фаза); b – вид правой почки после завершения резекционного этапа экстракорпоральной резекции правой почки; c – макропрепараты удаленных опухолей правой почки; d – макропрепарат удаленной левой почки, субтотально замещенной опухолью.
Fig. 2. Surgical treatment of multifocal bilateral VHL-associated clear cell RCC in patient I., 32 years: a – multifocal bilateral clear cell renal cell carcinomas (computed tomography, venous phase); b – view of the right kidney after the stage of extracorporeal resection of the right kidney; c – gross specimens of removed right kidney tumors; d – gross specimen of the removed left kidney, subtotally replaced by a tumor.
Во всех наблюдениях в операционном материале гистологически верифицирован светлоклеточный вариант ПКР. Категория Т оценена как pT1-2 у 18 (85,7%), рТ3a – у 3 (14,3%) из 21 исследуемых лиц; регионарных метастазов не выявлено ни в одном случае. Во всех препаратах отсутствовали клетки опухоли по краю хирургического разреза.
Рецидивы РП зарегистрированы у 6 (28,6%) из 21 оперированного пациента. Во всех случаях наблюдался метахронный рост опухолей почечной паренхимы. Диссеминация опухолевого процесса в сочетании с метахронными мультифокальными опухолями почек развилась у 5 (16,7%) больных в среднем через 24,4 (2–48) мес после операции.
Из 7 пациентов с метастазами РП (2 – с синхронными, 5 – с метахронными) 2 больным проводили локальное лечение по поводу солитарных или симптомных очагов: одному больному последовательно, по мере появления метастазов, произвели резекцию легкого, а также на фоне противоопухолевой терапии при диссеминации ПКР – удаление метастаза из головного мозга и стереотаксическое облучение метастазов в головном мозге, второму пациенту выполнили дистальную резекцию ПЖ. Время без лечения после удаления солитарных метастазов составило 24 и 12 мес соответственно.
Шесть пациентов, включая 1 больного с мультифокальным двусторонним неметастатическим РП и 5 пациентов с диссеминацией опухолевого процесса, получали противоопухолевую терапию. Применяли от 1 до 5 линий лечения. В 1-й линии терапии использовали интерферон-α в монорежиме (у 1 пациента) или в комбинации с бевацизумабом (у 1 больного), сунитиниб (у 3 пациентов) и ниволумаб с ипилимумабом (у 1 пациента). Максимальный ответ на лечение расценен как стабилизация у 5 из 6 исследуемых лиц; у пациента, получавшего комбинированную иммунотерапию, зарегистрировано прогрессирование заболевания. Тяжелые нежелательные явления, потребовавшие отмены лечения, наблюдались в 2 случаях: на фоне комбинированной иммунотерапии и терапии сунитинибом соответственно. Медиана времени до прогрессирования на 1-й линии противоопухолевой терапии у 6 пациентов составила 18,0 (95% доверительный интервал 0,1–39,6) мес.
Вторую линию терапии получали 3 пациента (акситиниб – 1 больной, кабозантиниб – 1, эверолимус – 1 пациент). У 2 больных, получающих тирозинкиназные ингибиторы, сохраняется стабилизация опухолевого процесса в течение 18 и 22 мес соответственно. У пациента, получавшего эверолимус, максимальным ответом на лечение являлось прогрессирование через 3 мес, после чего проводили последовательную терапию сунитинибом (12 мес), пазопанибом (11 мес) и акситинибом (2 мес). Показанием к смене терапии являлось прогрессирование ПКР. Больной умер от ПКР через 11 лет после установки диагноза VHL-ассоциированного РП, не получая лечения в связи с отсутствием препаратов.
Одному пациенту с метастазами в легких, надпочечниках и головном мозге, выявленными через 24 мес после радикальной нефрэктомии, противоопухолевую терапию не проводили, назначено симптоматическое лечение.
Медиана времени жизни 7 пациентов с метастазами от даты диссеминации РП составила 91,0 [11, 6–121, 7] мес.
Тяжелых и фатальных осложнений хирургического лечения других проявлений синдрома VHL не отмечено. Лекарственное лечение ГАБ ЦНС ни одному пациенту не проводили. Метастазирования ФХЦ за время наблюдения не зарегистрировано ни в одном случае. Два пациента получают постоянную гормонозаместительную терапию.
При медиане наблюдения от момента выявления РП 46,6 мес 27 (90,0%) из 30 пациентов живы: 17 (56,7%) – без признаков ПКР, 10 (33,3%) – с проявлениями болезни [6 (20,0%) – с малыми опухолями почек, 4 (13,3%) – с метастазами]. Три (10,0%) пациента умерли: 2 (6,7%) – от прогрессирования РП, 1 (3,3%) – от осложнений хирургического лечения. Двое (6,7%) наблюдаемых находятся на постоянном гемодиализе: пациент с почечной дисфункцией, обусловленной замещением почечной ткани опухолью, и больной, подвергнутый 3 последовательным вмешательствам на обеих почках. В остальных случаях почечная функция сохранена.
Четырехлетняя общая (ОВ) и специфическая (СВ) выживаемость всех 30 больных составила 93,3 и 93,3% соответственно. У 28 пациентов с первичным неметастатическим РП 4-летняя безметастатическая выживаемость (БМВ) равнялась 74,2%. У 21 радикально оперированного пациента с первичным неметастатическим ПКР 4-летняя ОВ составила 88,9%, СВ – 88,9%, безрецидивная (БРВ) – 62,9%, выживаемость без местного рецидива – 53,9%, БМВ – 63,6% (табл. 4). Анализ факторов риска выживаемости не проводился в связи с малой выборкой.
Таблица 4. Результаты противоопухолевого лечения РП
Table 4. RCC antitumor treatment outcomes
Результат  | 4 года, %  | Медиана, мес  | 95% доверительный интервал (нижняя граница – верхняя граница)  | 
Выживаемость всех пациентов (n = 30)  | |||
ОВ  | 93,3  | 138,1  | 14,1–262,2  | 
СВ  | 93,3  | 138,1  | 12,1–108,6  | 
Выживаемость пациентов с первичным неметастатическим РП (n = 28)  | |||
без отдаленных метастазов  | 74,2  | Нет данных  | –  | 
Выживаемость оперированных пациентов с первичным неметастатическим РП (n = 21)  | |||
ОВ  | 88,9  | 138,1  | 14,7–261,6  | 
СВ  | 88,9  | 138,1  | 14,7–261,6  | 
без местного рецидива  | 53,9  | 72,0  | 43,9–100,1  | 
без отдаленных метастазов  | 63,6  | Нет данных  | –  | 
БРВ  | 62,9  | 60,0  | 25,7–94,3  | 
Выживаемость пациентов с отдаленными метастазами (n = 7)  | |||
без прогрессирования на фоне 1-й линии терапии  | 50,0  | 18,0  | 0,1–39,6  | 
ОВ*  | 66,7  | 91,0  | 11,6–121,7  | 
*От даты выявления метастазов.
Обсуждение
Мы провели анализ данных 30 пациентов с VHL-ассоциированным РП. Подтвержденный семейный анамнез синдрома VHL имелся только у 16,7% наших больных, что намного ниже, чем 77% пациентов, упоминаемых другими авторами [8]. Мы связываем этот факт с низкой настороженностью онкологов в отношении наследственных форм ПКР. Диагноз установлен на основании генетического тестирования у 63,3% пациентов, при этом выявлены ранее описанные миссенс- и нонсенс-мутации, сдвиги рамки считывания, вставки, делеции и варианты сплайсинга, приводящие к инактивации гена VHL [9]. В 1 случае не выявлено патогенных мутаций в гене VHL методом секвенирования по Сэнгеру, что не противоречит клиническому диагнозу у пациента без семейного анамнеза заболевания и позволяет предположить возникновение de novo инактивирующей мутации в постзиготическую стадию развития и мозаицизм соматических клеточных линий или наличие редких протяженных дефектов (делеций и транслокаций), выявление которых требует использования метода мультиплексной амплификации лигированных зондов [10]. В 36,7% случаев VHL-синдром диагностирован в соответствии с клиническими критериями (более 1 опухоли в ЦНС или в глазу или 1 опухоль и более в ЦНС или глазу и 1 опухоль и более – в других частях тела) [3].
Из всех описанных проявлений синдрома VHL у наших больных выявлены ГАБ ЦНС и сетчатки, светлоклеточный ПКР, ФХЦ, кисты почек и ПЖ; в нашей серии наблюдений отсутствовали пациенты с более редкими VHL-ассоциированными опухолями (нейроэндокринные опухоли ПЖ, цистаденомы придатков яичка/круглой связки матки и опухоли эндолимфатического мешка). По определению светлоклеточный ПКР является проявлением VHL-синдрома 1 и 2В-типов [5, 6]. В нашей серии доминировали пациенты с 1-м типом синдрома, подразумевающего отсутствие ФХЦ (76,7%); 2B-тип синдрома (ФХЦ и ГАБ в сочетании с РП) имелся в 23,3% наблюдений. Следует отметить, что в 43,3% случаев РП манифестировал в среднем через 5 лет после возникновения других проявлений заболевания. Это соответствует данным литературы: медиана возраста появления ГАБ сетчатки при синдроме VHL составляет 25 лет, ФХЦ – 30 лет, ГАБ ЦНС – 33 года, ПКР – 39 лет [1–6]. Данный факт свидетельствует о необходимости скрининга РП и генетического консультирования пациентов с ГАБ и ФХЦ, выявленными в молодом возрасте.
Подходы при VHL-ассоциированном ПКР несколько отличаются от стандартов лечения спорадического РП. Основной принцип ведéния больных с неметастатическими опухолями почечной паренхимы при синдроме VHL заключается в соблюдении баланса между рисками метастазирования и утраты почечной функции. Основываясь на данных двух ретроспективных исследований, свидетельствующих о нулевой частоте диссеминации опухолевого процесса при первичных опухолях < 3–4 см [11, 12], мы предпочитаем тактику динамического наблюдения за опухолями почечной паренхимы < 3 см, откладывая локальное лечение до момента пограничного увеличения новообразований и продлевая время жизни с максимально сохраненной функционирующей почечной паренхимой. В нашей серии у 6 неоперированных пациентов в течение 4–27 мес отмечен рост опухолевых очагов со скоростью 1 мм в год; при медиане наблюдения 12 мес появления метастазов не отмечено ни в одном случае. В серии из 181 наблюдения B. Duffey и соавт. (2004 г.) ни у одного из 108 пациентов с VHL-ассоциированным ПКР < 3 см диссеминации не выявлено, в то время как у 20,4% из 73 больных с новообразованиями большего диаметра развились метастазы [11]. В меньшей популяции из 54 больных синдромом VHL C. Jilg и соавт. (2012 г.) не зарегистрировали появления метастазов ни у одного пациента с опухолями почки < 4 см. При этом авторы отметили, что при смещении пограничного размера новообразования в качестве показания к операции до 4 см сроки хирургического лечения откладываются на 27,8 мес [12].
Целью локального лечения неметастатического РП ≥ 3–4 см при болезни VHL является предотвращение диссеминации ПКР при сохранении почечной функции. В связи с этим при наличии технической возможности предпочтение должно отдаваться органосохраняющим методикам – резекции почки и различным вариантам аблации. Учитывая метахронную реализацию множества медленно растущих почечно-клеточных карцином в почечной паренхиме в течение жизни, целесообразно удаление очагов ≥ 3–4 см и легко доступных мелких отсевов без эрадикации глубоко расположенных очагов малого диаметра, требующих дополнительных нефротомических разрезов. В нашей серии наблюдений 21 (70%) больному на этапе первичного диагноза выполнено 27 операций, при этом 48,1% (19/27) вмешательств было органосохраняющим, а 19% пациентов подвергнуты нефрэктомии до выявления синдрома VHL. Повторные операции при реализации мультифокального роста ПКР потребовались 20% больных в среднем через 27,2 (4–72) мес после 1-й операции; резекция почки выполнена в 83,3% (5 из 6) случаев. Через 49–61 мес 10% пациентов подвергнуты 3-й операции; всем больным выполнены органосохраняющие вмешательства. В исследовании C. Jilg и соавт., использовавших протокол динамического наблюдения за пациентами с опухолями ≤ 4 см, 54 больных синдромом VHL с ПКР > 4 см подвергнуты 97 органосохраняющим вмешательствам (96% – 1 хирургической операции, 67% – 2), при этом медиана интервала между операциями достигла 149,6 мес при медиане наблюдения 67 мес [12]. Необходимо отметить, что размеры выборок и характеристики опухолевого процесса в нашей серии и исследовании C. Jilg и соавт. [12] существенно различались, что не позволяет сравнивать их результаты.
Частота тяжелых осложнений 1-го хирургического вмешательства у наших пациентов составила 14,2%, 2 и 3-х операций – 0%. Все тяжелые осложнения обусловлены функционально тяжелопереносимым объемом операции (экстракорпоральная резекция почки, резекция почки с одномоментным удалением двусторонних ФХЦ). В серии исследований C. Jilg и соавт. частота тяжелых осложнений 1, 2 и 3-й резекции почки составила 11, 10 и 34% соответственно [12].
По данным разных авторов, онкологические результаты хирургического лечения РП у больных синдромом VHL удовлетворительные: 5-летняя ОВ и СВ достигают 96,5 и 100%, 10-летняя – 82,5 и 90,5%, 15-летняя – 88,0 и 97,0% соответственно [12–14]; 15-летняя выживаемость без метастазов составляет 88% [15]. В нашей серии наблюдений за радикально оперированными больными показатели выживаемости оказались ниже: 4-летняя ОВ, СВ и БМВ составила 88,9, 88,9 и 63,6% соответственно, что согласуется с данными регистра VHL Дании, созданного в 1960–70-х годах [16]. Можно предположить, что низкие показатели выживаемости наших больных связаны с поздним выявлением VHL-синдрома и ассоциированного с ним ПКР.
В нашей серии наблюдений программный гемодиализ получает 1 (4,8%) из 21 оперированного пациента. В других хирургических исследованиях показатели сходные: частота потребности в поддерживающем или перманентном диализе составляет 3,0–7,4% [12, 14, 15].
Несмотря на торпидное течение светлоклеточного ПКР у пациентов с синдромом VHL, особенно при опухолях > 3–4 см, развиваются метастазы. В нашем исследовании частота диссеминации составила 23,4% (синхронной – 6,7%, метахронной – 16,7%). С учетом торпидного течения VHL-ассоциированного ПКР, на наш взгляд, пациенты с потенциально удалимыми/подходящими для аблативных методов воздействия солитарными и единичными метастазами являются идеальными кандидатами для локального лечения метастатического РП. Так, двое наших больных, подвергнутых удалению метахронных солитарных метастазов, жили без лечения в течение 12 и 24 мес соответственно.
Тем не менее диссеминация светлоклеточного ПКР в большинстве случаев является показанием к применению противоопухолевой терапии. Абсолютное большинство препаратов с доказанной эффективностью при метастатическом РП разработано и изучено при спорадической светлоклеточной почечно-клеточной карциноме, характеризующейся высокой частотой инактивации гена VHL, накоплением гипоксия-индуцированной субстанции-2α (HIF-2α) и высокой экспрессией HIF-зависимых ростовых факторов. Это позволяет рассчитывать на эффективность стандартной терапии при VHL-ассоциированном ПКР, а также с учетом патогенеза – и со стороны других VHL-ассоциированных опухолей. В нашей серии наблюдений от 1 до 5 линий противоопухолевой терапии получили 6 пациентов, при этом в 2 случаях в 1-й линии лечения использовали иммунотерапию, не позволившую добиться контроля над опухолью у 1 больного и в 4 случаях – антиангиогенные препараты. Несмотря на использование исторических режимов, уступающих современным стандартам по эффективности, медиана времени до прогрессирования при 1-й линии терапии оказалась высокой (18 мес). В последующих линиях лечения, применявшихся у 3 больных, единственным препаратом, оказавшимся неэффективным, являлся ингибитор mTOR (mammalian target of rapamycin) эверолимус. Длительность контроля над прогрессирующим ПКР при использовании тирозинкиназных ингибиторов оказалась высокой (11–22 мес). Четырехлетняя ОВ больных VHL с диссеминированным ПКР составила 66,7%. Эти результаты подтверждают гипотезу о патогенетической направленности антиангиогенного лечения при VHL-ассоциированном РП.
В настоящее время при синдроме VHL в клинических исследованиях (КИ) изучены тирозинкиназный ингибитор пазопаниб [17] и блокатор HIF-2α белзутифан [18, 19]. У 31 пациента, получавшего пазопаниб в КИ II фазы, частота объективного ответа (ЧОО) со стороны очагов ПКР составила 49% при частоте полных ответов 3%; ЧОО со стороны ГАБ оказалась низкой (4%) в отличие от ЧОО при опухолях ПЖ (53%) [17]. Белзутифан в КИ II фазы (n = 61, медиана наблюдения – 29 мес): ЧОО со стороны ПКР равнялась 59%, со стороны очагов поражения ПЖ – 77%; частота улучшения у пациентов с ГАБ сетчатки достигла 100% [18]; при медиане наблюдения 38 мес ЧОО со стороны ГАБ ЦНС равнялась 44% при частоте контроля над опухолью 100% [19].
Помимо ПКР у больных VHL в течение жизни реализуются другие проявления синдрома, требующие локального, системного и симптоматического лечения. Так, среди наших 30 пациентов хирургическое лечение экстраренальных опухолей потребовалось в 66,7% случаев, стереотаксическая лучевая терапия ГАБ – в 26,7% наблюдений, что соответствует данным научной литературы [19, 20]. В связи с отсутствием регистрации в Российской Федерации препаратов с доказанной эффективностью при синдроме VHL лекарственная терапия других опухолей нашим пациентам не проводилась.
Во всем мире отмечается тенденция к увеличению ОВ пациентов с VHL-синдромом, что обусловлено активным выявлением семей – носителей мутации, своевременной диагностикой клинических проявлений синдрома и ранним лечением таких больных [16]. Выживаемость пациентов из нашей серии наблюдений существенно уступает мировым данным, что подчеркивает важность проблемы повышения доступности генетического консультирования, организации мультидисциплинарного диспансерного наблюдения, маршрутизации больных для лечения мультиорганных VHL-ассоциированных поражений в специализированные центры, а также обеспечения доступа к лекарственной терапии с доказанной эффективностью на территории России.
Заключение
РП, ассоциированный с VHL-синдромом, – хроническое заболевание с торпидным течением, что позволяет рекомендовать использование органосохраняющего лечения первичных опухолей и метастазнаправленную терапию олигометастазов. Эффективность анти-VEGF-терапии (т.е. направленной на блокирование сосудистого фактора роста эндотелия) при диссеминации опухолевого процесса удовлетворительная.
Раскрытие интересов. Авторы декларируют отсутствие явных и потенциальных конфликтов интересов, связанных с публикацией настоящей статьи.
Disclosure of interest. The authors declare that they have no competing interests.
Вклад авторов. Авторы декларируют соответствие своего авторства международным критериям ICMJE. Все авторы в равной степени участвовали в подготовке публикации: разработка концепции статьи, получение и анализ фактических данных, написание и редактирование текста статьи, проверка и утверждение текста статьи.
Authors’ contribution. The authors declare the compliance of their authorship according to the international ICMJE criteria. All authors made a substantial contribution to the conception of the work, acquisition, analysis, interpretation of data for the work, drafting and revising the work, final approval of the version to be published and agree to be accountable for all aspects of the work.
Источник финансирования. Авторы декларируют отсутствие внешнего финансирования для проведения исследования и публикации статьи.
Funding source. The authors declare that there is no external funding for the exploration and analysis work.
Соответствие принципам этики. Протокол исследования одобрен локальным этическим комитетом ФГБУ «НМИЦ онкологии им. Н.Н. Блохина» (протокол №1 от 30.01.2025). Одобрение и процедуру проведения протокола получали по принципам Хельсинкской декларации.
Compliance with the principles of ethics. The study protocol was approved by the local ethics committee Blokhin National Medical Research Center of Oncology (Minutes No. 1 of 30.01.2025). Approval and protocol procedure were obtained according to the principles of the Declaration of Helsinki.
About the authors
Maria I. Volkova
Moscow State Budgetary Healthcare Institution "Oncological Center No. 1 of Moscow City Hospital named after S.S. Yudin, Moscow Healthcare Department"; Russian Medical Academy of Continuous Professional Education
							Author for correspondence.
							Email: mivolkova@rambler.ru
				                	ORCID iD: 0000-0001-7754-6624
				                	SPIN-code: 8942-0678
																		                								
D. Sci. (Med.), Oncologist; Prof.
Russian Federation, Moscow; MoscowKirill A. Turupaev
Blokhin National Medical Research Center of Oncology
														Email: mivolkova@rambler.ru
				                	ORCID iD: 0000-0001-8887-5108
				                	SPIN-code: 1409-3102
																		                								
Oncologist
Russian Federation, MoscowMargarita G. Filippova
Blokhin National Medical Research Center of Oncology
														Email: mivolkova@rambler.ru
				                	ORCID iD: 0000-0002-1883-2214
				                	SPIN-code: 1927-6110
																		                								
Cand. Sci. (Med.), Sen. Res.
Russian Federation, MoscowDaria D. Ladyko
Blokhin National Medical Research Center of Oncology
														Email: mivolkova@rambler.ru
				                	ORCID iD: 0009-0009-5878-6951
				                	SPIN-code: 9653-4860
																		                								
Oncologist
Russian Federation, MoscowOgulshat R. Sinitsyna
Moscow State Budgetary Healthcare Institution "Oncological Center No. 1 of Moscow City Hospital named after S.S. Yudin, Moscow Healthcare Department"
														Email: mivolkova@rambler.ru
				                	ORCID iD: 0009-0003-7184-0410
				                																			                								
Oncologist, Head of Department
Russian Federation, MoscowYana V. Gridneva
Moscow State Budgetary Healthcare Institution "Oncological Center No. 1 of Moscow City Hospital named after S.S. Yudin, Moscow Healthcare Department"; Sechenov First Moscow State Medical University (Sechenov University)
														Email: mivolkova@rambler.ru
				                	ORCID iD: 0000-0002-9015-2002
				                	SPIN-code: 4189-6387
																		                								
Cand. Sci. (Med.), Oncologist, Head of Department
Russian Federation, Moscow; MoscowVsevolod B. Matveev
Blokhin National Medical Research Center of Oncology
														Email: mivolkova@rambler.ru
				                	ORCID iD: 0000-0001-7748-9527
				                	SPIN-code: 1741-9963
																		                								
D. Sci. (Med.), Prof., Corr. Memb. of the RAS; Head of Department
Russian Federation, MoscowReferences
- Choyke PL, Glenn GM, Walther MM, et al. von Hippel–Lindau disease: Genetic, clinical, and imaging features. Radiology. 1995;194(3):629-42. PMID: 7862955. Correction appears in: Radiology. 1995;196(2):582.
 - Lonser RR, Glenn GM, Walther M, et al. von Hippel–Lindau disease. Lancet. 2003;361(9374):2059-67. doi: 10.1016/S0140-6736(03)13643-4
 - Pithukpakorn M, Glenn G. von Hippel–Lindau syndrome. Commun Oncol. 2004;1(4):232-43.
 - Glenn GM, Daniel LN, Choyke P, et al. Von Hippel–Lindau (VHL) disease: Distinct phenotypes suggest more than one mutant allele at the VHL locus. Hum Genet. 1991;87(2):207-10. PMID: 2066108
 - Neumann HP, Wiestler OD. Clustering of features of von Hippel–Lindau syndrome: Evidence for a complex genetic locus. Lancet. 1991;337(8749):1052-4. PMID: 1673491
 - Hoffman MA, Ohh M, Yang H, et al. von Hippel–Lindau protein mutants linked to type 2C VHL disease preserve the ability to downregulate HIF. Hum Mol Genet. 2001;10(10):1019-27. doi: 10.1093/hmg/10.10.1019
 - Carrion DM, Linares-Espinós E, Ríos González E, et al. Invasive management of renal cell carcinoma in von Hippel–Lindau disease. Cent European J Urol. 2020;73(2):167-72. doi: 10.5173/ceju.2020.0004
 - Sgambati MT, Stolle C, Choyke PL, et al. Mosaicism in von Hippel–Lindau disease: Lessons from kindreds with germline mutations identified in offspring with mosaic parents. Am J Hum Genet. 2000;66(1):84-91. doi: 10.1086/302726
 - Reich M, Jaegle S, Neumann-Haefelin E, et al. Genotype-phenotype correlation in von Hippel–Lindau disease. Acta Ophthalmol. 2021;99(8):e1492-500. doi: 10.1111/aos.14843
 - Austin KD, Hall JG. Nontraditional inheritance. Pediatr Clin North Am. 1992;39(2):335-48. PMID: 1553247
 - Duffey BG, Choyke PL, Glenn G, et al. The relationship between renal tumor size and metastases in patients with von Hippel–Lindau disease. J Urol. 2004;172(1):63-5. doi: 10.1097/01.ju.0000132127.79974.3f
 - Jilg CA, Neumann HP, Gläsker S, et al. Nephron sparing surgery in von Hippel–Lindau associated renal cell carcinoma; clinicopathological long-term follow-up. Fam Cancer. 2012;11(3):387-94. doi: 10.1007/s10689-012-9525-7
 - Singer EA, Vourganti S, Lin KY, et al. Outcomes of patients with surgically treated bilateral renal masses and a minimum of 10 years of followup. J Urol. 2012;188(6):2084-8. doi: 10.1016/j.juro.2012.08.038
 - Bratslavsky G, Liu JJ, Johnson AD, et al. Salvage partial nephrectomy for hereditary renal cancer: Feasibility and outcomes. J Urol. 2008;179(1):67-70. doi: 10.1016/j.juro.2007.08.150
 - Johnson A, Sudarshan S, Liu J, et al. Feasibility and outcomes of repeat partial nephrectomy. J Urol. 2008;180(1):89-93; discussion 93. doi: 10.1016/j.juro.2008.03.030
 - Binderup MLM. von Hippel–Lindau disease: Diagnosis and factors influencing disease outcome. Dan Med J. 2018;65(3):B5461. PMID: 29510814
 - Jonasch E, McCutcheon IE, Gombos DS, et al. Pazopanib in patients with von Hippel–Lindau disease: A single-arm, single-centre, phase 2 trial. Lancet Oncol. 2018;19(10):1351-9. doi: 10.1016/S1470-2045(18)30487-X
 - Jonasch E, Iliopoulos O, Rathmell WK, et al. LITESPARK-004 (MK-6482-004) phase 2 study of belzutifan, an oral hypoxia-inducible factor 2α inhibitor (HIF-2α), for von Hippel–Lindau (VHL) disease: Update with more than two years of follow-up data. J Clin Oncol. 2022;40:4546. doi: 10.1200/JCO.2022.40.16_suppl.4546
 - Iliopoulos O, Iversen A, Beckermann K, et al. Belzutifan treatment for von Hippel–Lindau (VHL) disease-associated central nervous system (CNS) hemangioblastomas (HBs) in the phase 2 LITESPARK-004 study. J Clin Oncol. 2023;41:2008. doi: 10.1200/JCO.2023.41.16_suppl.2008
 - Louise M, Binderup M, Smerdel M, et al. von Hippel–Lindau disease: Updated guideline for diagnosis and surveillance. Eur J Med Genet. 2022;65(8):104538. doi: 10.1016/j.ejmg.2022.104538
 
Supplementary files
				
			
					
						
						
				




