Novel therapies for the metastatic HER2-positive breast cancer with metastases in the central nervous system: a clinical case
- Authors: Radyukova I.M.1, Rats N.M.1
-
Affiliations:
- Clinical Oncologic Dispensary
- Issue: Vol 27, No 2 (2025)
- Pages: 118-121
- Section: Articles
- Submitted: 04.01.2025
- Accepted: 28.05.2025
- Published: 17.07.2025
- URL: https://modernonco.orscience.ru/1815-1434/article/view/643607
- DOI: https://doi.org/10.26442/18151434.2025.2.203315
- ID: 643607
Cite item
Full Text
Abstract
The molecular subtype of breast cancer (BC) associated with overexpression of HER2/neu is characterized by more frequent and early metastasis to the central nervous system, predetermining poor prognosis for patients in this category. Patients with secondary brain lesions due to tumors of any localization and histological structure are the most complex group of patients, with an extremely low level of quality of life and requiring special close monitoring and the development of a personal management algorithm. The introduction of a new drug, trastuzumab deruxtecan (T-DXd) [conjugate of a humanized immunoglobulin G1 antibody to the HER2 receptor and a topoisomerase I inhibitor, an exatecan derivative], as a new therapeutic option is a hope for patients with metastatic BC, including those with central nervous system involvement. The article presents the results of randomized clinical trials that supported these indications and the DESTINY-Breast12 phase IIIb/IV study, demonstrating the high intracranial activity of the drug. A case is presented to illustrate the efficacy of trastuzumab deruxtecan in a patient with HER2-positive (HER2+) metastatic BC with brain metastases.
Full Text
Введение
Рак молочной железы (РМЖ) является существенной проблемой среди онкологических заболеваний в связи с высокими уровнями заболеваемости и смертности. РМЖ – наиболее частое злокачественное заболевание среди женщин во всем мире [1].
HER2-положительный статус выявляется примерно в 20% случаев РМЖ [2–4]. Для данного подтипа РМЖ характерны неблагоприятные течение и прогноз заболевания, склонность к метастазированию в головной мозг (ГМ) [4, 5].
Несмотря на агрессивный характер HER2-положительных опухолей (HER2+), внедрение и более широкое применение методов таргетной анти-HER2-терапии (анти-HER2-ТТ), наряду с другими достижениями в лечении, привели к существенному увеличению выживаемости больных HER2+ РМЖ. Однако HER2+ метастатический РМЖ (мРМЖ) остается неизлечимым заболеванием, а основными целями лечения являются продление жизни и сохранение ее качества [5].
Алгоритм лекарственной терапии HER2+ мРМЖ и место препарата трастузумаб дерукстекан
Революция в лечении HER2+ подтипа произошла около 25 лет назад, когда первый таргетный препарат трастузумаб вошел в клиническую практику. После двух линий эффективной ТТ по поводу HER2+ мРМЖ выбор стандартных опций лечения крайне ограничен, а показатели эффективности остаются крайне низкими (частота ответа на терапию составляет 9–31%, а выживаемость без прогрессирования [ВБП] не превышает 3–6 мес). Выбор третьей и последующих линий терапии является сложной задачей для врача. Соответственно, существует огромная неудовлетворенная потребность во внедрении в рутинную практику новых высокоэффективных таргетных анти-HER2-препаратов для лечения предлеченных пациентов [6].
Трастузумаб дерукстекан – препарат нового поколения, представляющий собой конъюгат антитела с лекарственным средством. Антитело является гуманизированным иммуноглобулином G1 к рецептору HER2, который с помощью расщепляемого линкера на основе тетрапептида связан с дерукстеканом – ингибитором топоизомеразы I. В плазме крови конъюгат остается стабильным. После связывания с рецепторами HER2 на опухолевых клетках трастузумаб дерукстекан подвергается интернализации (проникновению внутрь клетки) и внутриклеточному расщеплению линкера лизосомальными ферментами, которые активируются в опухолевых клетках. После высвобождения проникающий через мембрану ингибитор топоизомеразы I вызывает повреждение ДНК и апоптоз клеток опухоли [1, 7–9].
Описание клинического случая
Пациентка, 40 лет, считает себя больной с декабря 2021 г., когда заметила образование в левой МЖ (ЛМЖ).
20 декабря 2021 г. выполнено ультразвуковое исследование МЖ, по результатам которого обнаружено очаговое образование ЛМЖ.
В августе 2022 г. пациентка обратилась повторно с жалобами на увеличение образования ЛМЖ. Направлена в ГБУЗ «Областной онкологический диспансер» г. Омска.
26 сентября 2022 г. выполнена трепан-биопсия опухоли ЛМЖ. По данным гистологического исследования – морфологическая картина инфильтрирующей карциномы. Результаты иммуногистохимического исследования от 6 октября 2022 г.: HER2/neu – полное мембранное окрашивание - (3+); ER – 3–5% опухолевых клеток (+) – 3 балла; PR – 55–65% опухолевых клеток (++) – 6 баллов; Ki-67 – 65–75%. Проведена пункционная биопсия подмышечного лимфоузла слева – цитограмма метастаза РМЖ.
3 октября 2022 г. проведена компьютерная томография. Обнаружены метастазы в печени.
С октября 2022 г. начата 1-я линия системной противоопухолевой терапии. Проведено 8 курсов паллиативной химио-ТТ по схеме трастузумаб + доцетаксел. С учетом частичного клинического ответа по основным и метастатическим очагам рекомендовано продолжить паллиативную ТТ трастузумабом в сочетании с гормонотерапией тамоксифеном 20 мг/сут и гозерелином 3,6 мг 1 раз в 28 дней до прогрессирования или непереносимой токсичности.
В июне 2023 г. проведена паллиативная дистанционная лучевая терапия (ЛТ) на ЛМЖ.
В июле 2023 г. по данным контрольного обследования выявлено прогрессирование опухолевого процесса – метастазы в ГМ (МГМ). Тогда же выполнена стереотаксическая ЛТ на ГМ, суммарная очаговая доза 44 Гр. Рекомендовано продолжить паллиативную ТТ по схеме трастузумаб + тамоксифен в связи со стабилизацией процесса.
7 сентября 2023 г. выполнена лапароскопическая экстирпация матки с придатками. Введение гозерелина отменено.
26 сентября 2023 г. выявлено прогрессирование заболевания: появление новых очагов в ГМ по данным контрольной магнитно-резонансной томографии (МРТ) ГМ.
27 сентября 2023 г. обнаружены новые очаги в ЛМЖ по данным маммографии.
5 октября 2023 г. выполнена стереотаксическая радиохирургия на ГМ.
25 октября 2023 г. проведена конформная дистанционная ЛТ на ГМ тотально, суммарная очаговая доза 30 Гр.
С ноября 2023 г. начата 2-я линия системной противоопухолевой терапии. Проведено 3 курса паллиативной ТТ препаратом трастузумаб эмтанзин.
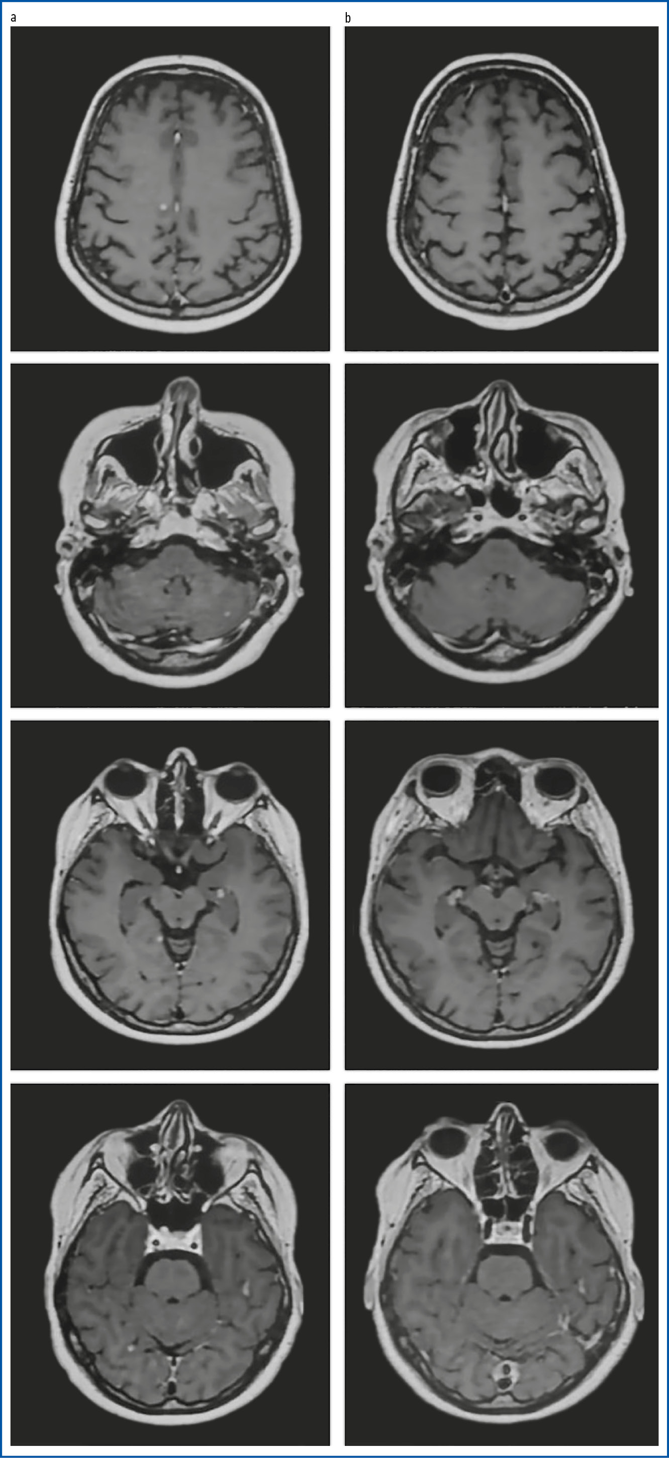
По данным контрольной МРТ ГМ от 23 января 2024 г. выявлены новые МГМ (рис. 1, a).
Рис. 1. МРТ ГМ в динамике: a − данные от 23.01.2024; b − данные от 19.02.2025.
Fig. 1. Serial brain MRI: a − dated 23.01.2024; b − dated 19.02.2025.
Согласно решению консилиума с учетом разнонаправленной динамики (полного метаболического и частичного морфологического регресса узловых образований ЛМЖ, полного метаболического и частичного морфологического регресса солидных образований паренхимы печени вторичного генеза, уменьшения размеров ранее выявляемых объемных образований ГМ, появления новых метастатических очагов ГМ) показана смена линии лекарственной терапии. Рекомендовано проведение паллиативной ТТ по схеме трастузумаб дерукстекан 5,4 мг/кг 1 раз в 21 день до прогрессирования или непереносимой токсичности.
11 марта 2024 г. пациентке выполнен контроль МРТ ГМ после 3 курсов препаратом трастузумаб дерукстекан. Выявлены признаки регресса очагов метастатического характера в гемисферах ГМ и мозжечке. По сравнению с исследованием от 24 января 2024 г. динамика положительная.
С 30 января 2024 г. по настоящее время пациентке проводят паллиативную ТТ препаратом трастузумаб дерукстекан. Всего выполнено 20 курсов. Эффект терапии: полный ответ после 6 курсов лечения. Данные МРТ в динамике приведены на рис. 1.
В настоящее время период наблюдения за больной на фоне терапии 3-й линии по поводу HER2+ мРМЖ с поражением центральной нервной системы (ЦНС) составил 15 мес.
Нежелательные явления на фоне лечения: повышение уровней аланинаминотрансферазы, аспартатаминотрансферазы 2-й степени тяжести, гипопротеинемия 1-й степени. Качество жизни удовлетворительное.
Сопутствующие заболевания: артериальная гипертензия 2-й степени контролируемая, риск 2; ишемическая болезнь сердца; синусовая тахикардия; хроническая сердечная недостаточность 0; аутоиммунный тиреоидит; манифестный гипотиреоз; левосторонний верхнечелюстной синусит; поверхностный гастрит; дуоденит.
Обсуждение
Результаты применения препарата трастузумаб дерукстекан у пациентов с HER2+ мРМЖ, прогрессирующим на фоне стандартных линий лечения, изучали в различных исследованиях.
В исследовании III фазы DESTINY-Breast03, где оценивали эффективность и безопасность применения трастузумаба дерукстекана по сравнению с трастузумабом эмтанзином, показано, что терапия трастузумабом дерукстеканом у больных HER2+ нерезектабельным или мРМЖ и прогрессированием заболевания во время или после лечения трастузумабом и таксаном позволяет достичь объективного ответа у 78,5% пациентов по сравнению с 35,0% в группе терапии трастузумабом эмтанзином, при этом у каждого пятого (21,1%) пациента, получавшего трастузумаб дерукстекан, зарегистрирован полный ответ на терапию. Медиана ВБП была в 4 раза выше у пациентов, получавших трастузумаб дерукстекан, по сравнению с пациентами, получавшими трастузумаб эмтанзин (28,8 и 6,8 мес соответственно). Терапия трастузумабом дерукстеканом позволяет снизить риск смерти на 27% по сравнению с трастузумабом эмтанзином. Медиана общей выживаемости составила 52,6 мес в группе трастузумаба дерукстекана и 42,7 мес в группе трастузумаба эмтанзина [6].
Частота встречаемости МГМ у больных HER2+ мРМЖ увеличивается с каждой последующей линией терапии. К началу 2-й линии терапии МГМ диагностируют у каждого пятого пациента, а к началу 3-й – у каждого третьего, что является фактором крайне неблагоприятного прогноза в отношении выживаемости [10]. У пациентов с МГМ применяют локальные и системные методы лечения: хирургическое удаление и дистанционную ЛТ. Варианты комбинации локальных методов лечения определяются числом и объемом метастатического поражения ГМ [10].
В данной неблагоприятной подгруппе пациентов продемонстрировано значимое преимущество монотерапии препаратом трастузумаб дерукстекан. По результатам исследования DESTINY-Breast03 у пациентов с HER2+ РМЖ и МГМ, получивших лечение трастузумабом и таксанами, терапия трастузумабом дерукстеканом позволяет в 5 раз увеличить медиану ВБП (15,0 мес в группе трастузумаба дерукстекана в сравнении с 3,0 мес в группе трастузумаба эмтанзина) [11].
Частота объективного ответа (ЧОО) была в 3 раза выше и составила 67,4% в группе трастузумаба дерукстекана и 20,5% в группе трастузумаба эмтанзина [11]. У 58,3% пациентов с МГМ, получивших ранее не менее 2 режимов лекарственной терапии, содержащих анти-HER2-таргетные препараты, удалось достичь объективного ответа, а ВБП составила 18,1 мес, что сопоставимо с выживаемостью в общей подгруппе пациентов [11].
В рамках программы клинических исследований трастузумаба дерукстекана есть данные, показывающие интракраниальную эффективность препарата. Так, предварительные доказательства интракраниальной эффективности трастузумаба дерукстекана представлены в ретроспективном, диагностическом объединенном анализе исследования DESTINY-Breast01, -02 и -03 [12]. Пациенты с HER2+ мРМЖ и стабильными (n = 104) или активными (n = 44) МГМ получали терапию трастузумабом дерукстеканом 5,4 мг/кг 1 раз в 3 нед. Интракраниальная ЧОО составила у пациентов со стабильными МГМ и активными МГМ 45,2 и 45,5% соответственно. Медиана ВБП-ЦНС составила 12,3 мес (95% доверительный интервал 11,1–13,8) у пациентов со стабильными МГМ и 18,5 мес (95% доверительный интервал 13,6–23,3) у пациентов с активными МГМ [12].
Для изучения эффективности и безопасности трастузумаба дерукстекана у пациентов с HER2+ мРМЖ, имеющих МГМ, и у пациентов без МГМ на исходном уровне инициировано исследование DESTINY-Breast12 [13]. Результаты исследования IIIb/IV фазы DESTINY-Breast12 показали, что трастузумаб дерукстекан проявляет клиническую интракраниальную эффективность в большой когорте пациентов с HER2+ мРМЖ при наличии МГМ после не более двух линий терапии по поводу метастатического заболевания. У пациентов с МГМ (на момент включения в исследование) ВБП через 12 мес достигла 61,6% по независимой центральной оценке. Кроме того, у 58,9% этих пациентов через 12 мес не зафиксировано прогрессирование со стороны ЦНС. Результаты были сопоставимы в группе пациентов со стабильными и активными МГМ. У пациентов со стабильными МГМ 12-месячная ВБП составила 62,9%, 12-месячная ВБП со стороны ЦНС – 57,8%, а в группе пациентов с активными МГМ – 59,6 и 60,1% соответственно. У пациентов без МГМ (на момент включения в исследование) ЧОО составила 62,7%, наблюдали 9,5% полных ответов (n = 23 из 241) и 53,1% частичных (n = 128 из 241) [13]. Ретроспективный анализ ЧОО у пациентов с активными МГМ показал, что этот показатель со стороны ЦНС у пациентов, не получавших ранее локальной терапии на область ЦНС, составил 82,6% (n = 19 из 23), а у пациентов с прогрессированием после локальной терапии на область ЦНС – 50,0% (n = 19 из 38) [13].
Профиль безопасности трастузумаба дерукстекана в исследовании DESTINY-Breast12 соответствовал профилю безопасности препарата в предыдущих клинических исследованиях РМЖ. Новых сигналов безопасности не выявлено. Профиль безопасности трастузумаба дерукстекана в целом был сопоставим у пациентов с наличием и отсутствием МГМ [13].
Высокая эффективность трастузумаба дерукстекана в сочетании с управляемым профилем токсичности позволяет значительно улучшить результаты лечения у предлеченных пациентов с HER2+ мРМЖ даже при наличии метастатических очагов в ГМ [6, 11–15].
Заключение
В приведенном клиническом случае продемонстрирована высокая экстра- и интракраниальная эффективность нового препарата трастузумаб дерукстекан. Данная высокоэффективная лекарственная опция для сложнейшей группы больных с поражением ЦНС может стать новой надеждой для пациентов. Особое значение рассматриваемый клинический случай приобретает в контексте осознания того, что современная практическая онкология идет в ногу с результатами клинических исследований.
Раскрытие интересов. Авторы декларируют отсутствие явных и потенциальных конфликтов интересов, связанных с публикацией настоящей статьи.
Disclosure of interest. The authors declare that they have no competing interests.
Вклад авторов. Авторы декларируют соответствие своего авторства международным критериям ICMJE. Все авторы в равной степени участвовали в подготовке публикации: разработка концепции статьи, получение и анализ фактических данных, написание и редактирование текста статьи, проверка и утверждение текста статьи.
Authors’ contribution. The authors declare the compliance of their authorship according to the international ICMJE criteria. All authors made a substantial contribution to the conception of the work, acquisition, analysis, interpretation of data for the work, drafting and revising the work, final approval of the version to be published and agree to be accountable for all aspects of the work.
Источник финансирования. Авторы декларируют отсутствие внешнего финансирования для проведения исследования и публикации статьи.
Funding source. The authors declare that there is no external funding for the exploration and analysis work.
Информированное согласие на публикацию. Пациентка подписала форму добровольного информированного согласия на публикацию медицинской информации.
Consent for publication. Written consent was obtained from the patient for publication of relevant medical information and all of accompanying images within the manuscript.
About the authors
Irina M. Radyukova
Clinical Oncologic Dispensary
Email: rac81@mail.ru
ORCID iD: 0009-0003-9015-255X
Cand. Sci. (Med.), Head of Department, Oncologist
Russian Federation, OmskNatalia M. Rats
Clinical Oncologic Dispensary
Author for correspondence.
Email: rac81@mail.ru
Oncologist
Russian Federation, OmskReferences
- International Agency for Research on Cancer. Cancer Today. Available at: https://gco.iarc.fr/ today/home. Accessed: 22.10.2024.
- National Cancer Institute: Surveillance, Epidemiology, and End Results Program. Cancer stat facts: female breastcancer. 2021. Available at: https://seer.cancer.gov/statfacts/html/breast.html. Accessed: 22.10.2024.
- Onitilo AA, Engel JM, Greenlee RT, Mukesh BN. Breast cancer subtypes based on ER/PR and Her2 expression: comparison of clinicopathologic features and survival. Clin Med Res. 2009;7(1-2):4-13. doi: 10.3121/cmr.2009.825
- Iqbal N, Iqbal N. Human Epidermal Growth Factor Receptor 2 (HER2) in Cancers: Overexpression and Therapeutic Implications. Mol Biol Int. 2014;2014:852748. doi: 10.1155/2014/852748
- Harbeck N, Penault-Llorca F, Cortes J, et al. Breast cancer. Nat Rev Dis Primers. 2019;5(1):66. doi: 10.1038/s41572-019-0111-2
- Modi S, Saura C, Yamashita T, et al. Trastuzumab Deruxtecan in Previously Treated HER2-Positive Breast Cancer. N Engl J Med. 2020;382(7):610-21. doi: 10.1056/NEJMoa1914510
- Nakada T, Sugihara K, Jikoh T, et al. The Latest Research and Development into the Antibody-Drug Conjugate, [fam-] Trastuzumab Deruxtecan (DS-8201a), for HER2 Cancer Therapy. Chem Pharm Bull. 2019;67(3):173-85. doi: 10.1248/cpb.c18-00744
- Ogitani Y, Aida T, Hagihara K, et al. DS-8201a, A Novel HER2-Targeting ADC with a Novel DNA Topoisomerase I Inhibitor, Demonstrates a Promising Antitumor Efficacy with Differentiation from T-DM1. Clin Cancer Res. 2016;22(20):5097-108. doi: 10.1158/1078-0432.CCR-15-2822
- Ogitani Y, Hagihara K, Oitate M, et al. Bystander killing effect of DS-8201a, a novel anti-human epidermal growth factor receptor 2 antibody-drug conjugate, in tumors with human epidermal growth factor receptor 2 heterogeneity. Cancer Sci. 2016;107(7):1039-46. doi: 10.1111/cas.12966
- Вторичное злокачественное новообразование головного мозга и мозговых оболочек. Клинические рекомендации Минздрава РФ. 2020. Режим доступа: https://cr.minzdrav.gov.ru/recomend/534. Ссылка активна на 22.10.2024 [Vtorichnoe zlokachestvennoe novoobrazovanie golovnogo mozga i mozgovykh obolochek. Klinicheskie rekomendatsii Minzdrava RF. 2020. Available at: https://cr.minzdrav.gov.ru/recomend/534. Accessed: 22.10.2024 (in Russian)].
- Hurvitz SA, Kim SB, Chung WP, et al. Trastuzumab deruxtecan versus trastuzumab emtansine in HER2-positive metastatic breast cancer patients with brain metastases from the randomized DESTINY-Breast03 trial. ESMO Open. 2024;9(5):102924. doi: 10.1016/j.esmoop.2024.102924
- Hurvitz S, Modi S, Li W, et al. 377O A pooled analysis of trastuzumab deruxtecan (T-DXd) in patients (pts) with HER2-positive (HER2+) metastatic breast cancer (mBC) with brain metastases (BMs) from DESTINY-Breast (DB) -01, -02, and -03. Annals of Oncology. 2023;34. doi: 10.1016/j.annonc.2023.09.554
- Harbeck N, Ciruelos E, Jerusalem G, et al. Trastuzumab deruxtecan in HER2-positive advanced breast cancer with or without brain metastases: a phase 3b/4 trial. Nat Med. 2024;30(12):3717-77. doi: 10.1038/s41591-024-03261-7
- Saura C, Modi S, Krop I, et al. Trastuzumab deruxtecan in previously treated patients with HER2-positive metastatic breast cancer: updated survival results from a phase II trial (DESTINY-Breast01). Ann Oncol. 2024;35(3):302-10. doi: 10.1016/j.annonc.2023.12.001
- Collins J, Varghese D, Miranda M, et al. 186P A real-world study on prevalence of and outcomes related to brain metastases among patients with HER2-positive metastatic breast cancer (mBC). Ann Oncol. 2022;33:S213. doi: 10.1016/j.annonc.2022.03.205
Supplementary files




