Clinical significance of PET/CT in the diagnosis of primary adrenal malignancies
- Authors: Ognerubov N.A.1, Antipova T.S.2, Mirsalimova O.O.2, Poddubnaya I.V.1
-
Affiliations:
- Russian Medical Academy of Continuous Professional Education
- K+31 JSC
- Issue: Vol 26, No 3 (2024)
- Pages: 374-379
- Section: Articles
- Submitted: 10.11.2024
- Accepted: 10.11.2024
- Published: 11.11.2024
- URL: https://modernonco.orscience.ru/1815-1434/article/view/641765
- DOI: https://doi.org/10.26442/18151434.2024.3.202923
- ID: 641765
Cite item
Full Text
Abstract
Background. According to the literature, the role of combined positron-emission and X-ray computed tomography (PET/CT) in diagnosing primary adrenal tumors (AT) remains limited due to both the frequency of these neoplasms and the availability of the method. Various research is required to assess the diagnostic resources of PET/CT with 18-fluorodeoxyglucose (18F-FDG).
Aim. To evaluate the clinical role of PET/CT with 18F-FDG in the diagnosis of primary adrenal malignancies (PAM).
Materials and methods. The study included 9 patients, 5 males and 4 females aged 44–76, with a median age of 59.3 years, with a morphologically confirmed diagnosis of the PAM. All patients underwent PET/CT with 18F-FDG. Visual and quantitative analysis of the obtained images was performed, including determination of the standardized maximum accumulation coefficient (SUVmax) in the tumor, liver, and spleen, the ratio of SUVmax of the primary tumor to SUVmax in the liver and spleen. Tumors were more often localized on the right (5/55.6%), and one case was bilateral. The maximum size of the adrenal mass averaged 6.8 cm (3.2–11.2) and the minimum size was 6.0 cm (2.3–9.0). The median SUVmax in AT was 10.0 (3.54–22.29), while in liver and spleen, it was 3.16 and 2.34, respectively, and the ratio of tumor SUVmax to liver and spleen SUVmax was 3.33 and 4.48, respectively.
Conclusion. Hybrid PET/CT with 18F-FDG is a medical imaging method with a high diagnostic accuracy of PAM. PET/CT showed significant 18F-FDG tumor uptake, with a median SUVmax of 10.0 and a ratio of tumor SUVmax to liver and spleen SUVmax of 3.33 and 4.48, respectively. PET/CT with 18F-FDG may be a method of choice for diagnosing primary ATs.
Full Text
Введение
Опухоли надпочечников (ОН) довольно часто выявляются случайно как образования размером 1 см и более, встречающиеся примерно у 4–6% населения, среди которых можно выделить адренокортикальный рак (АКР) надпочечников, представляющий собой редкое эндокринное злокачественное новообразование (ЗНО) с частотой встречаемости 0,5–2 случая в год на 1 млн населения [1–3]. Надпочечники являются частым органом для метастазирования у пациентов с ЗНО различных локализаций, при этом частота их поражения составляет 25–75% в зависимости от локализации первичной опухоли и ее размеров, гистологического строения, возраста [4].
Для визуализации рассматриваемых образований применяют различные методы, а именно ультразвуковое исследование, компьютерную томографию (КТ), позитронно-эмиссионную томографию, совмещенную с рентгеновской КТ (ПЭТ/КТ), магнитно-резонансную томографию, что, безусловно, способствует большей выявляемости новообразований различного генеза [5]. Соответственно, дифференциальная диагностика доброкачественных и злокачественных ОН (ЗОН) имеет решающее значение для выбора адекватной тактики лечения и прогноза [6–9].
Согласно литературе, первичное или вторичное поражение надпочечников является показанием для оперативного лечения как единственного метода с хорошим исходом [10–13].
В последние годы для диагностики опухолевых поражений надпочечников стали применять ПЭТ/КТ с 18-фтордезоксиглюкозой (18F-ФДГ), которая отражает потребление глюкозы у пациентов как с неясным поражением надпочечников, так и с подтвержденным АКР, включая количественную оценку накопления радиофармпрепарата (РФП) в специфических очагах [1, 14, 15]. ПЭТ/КТ позволяет уточнить анатомическую локализацию области повышенной метаболической активности с определением ее размеров [7], что способствует определению прогностической ценности ПЭТ/КТ с 18F-ФДГ для диагностики первичных ОН (ПОН) [16, 17]. С этой целью в настоящее время по данным ПЭТ/КТ в опухоли определяют ряд количественных параметров, таких как стандартизированный коэффициент максимального (SUVmax), среднего и минимального накопления [16, 18].
Согласно результатам крупного исследования простой анализ результатов ПЭТ/КТ с 18F-ФДГ пораженных органов может быть доступным для идентификации пациентов с высоким риском короткой выживаемости, что делает метаболическую визуализацию ценным инструментом для выявления больных, которым необходимо проведение более агрессивного лечения [18].
Известно, что как ПОН, так и метастатические ОН обладают значительным поглощением 18F-ФДГ, при этом величина SUVmax в 2 раза превышает физиологический уровень в печени. В связи с этим они могут быть визуализированы с помощью ПЭТ/КТ с 18F-ФДГ [19]. В среднем SUVmax в опухоли составляет 9,98, а размеры поражения надпочечников – 23,9–36,6 мм [10].
S. Kim и соавт. (2018 г.) опубликовали результаты систематического обзора и метаанализ по диагностической точности ПЭТ и ПЭТ/КТ с 18F-ФДГ для характеристики образований надпочечников по данным 29 исследований, включающих 2421 пациента. В качестве основного количественного показателя результатов ПЭТ/КТ с 18F-ФДГ оценивали SUVmax 18F-ФДГ в опухоли, а также соотношение его с аналогичным показателем печени в 12 исследованиях, а к селезенке – в одном. Представленные методы показали хорошую чувствительность и специфичность, которые в целом составили 0,91 [14].
Соответственно, дифференциальная диагностика доброкачественных и злокачественных поражений надпочечников первичного и вторичного генеза имеет важное значение для оптимального выбора метода терапии и прогноза [6–8].
По данным многоцентрового ретроспективного исследования A. Arikan и соавт. (2022 г.), ПЭТ/КТ с 18F-ФДГ позволяет различать первичные доброкачественные опухоли (ДО) и вторичные метастатические поражения надпочечников при пороговом значении SUVmax, составляющем 5,5 [20].
Цель исследования – оценить клиническую роль ПЭТ/КТ с 18F-ФДГ в диагностике первичных ЗОН (ПЗОН).
Материалы и методы
Под наблюдением находились 9 пациентов с ПЗОН. Диагноз во всех случаях подтверждали гистологически при исследовании биопсийного и операционного материала. У 7 больных выявлен АКР, у 2 – злокачественная феохромоцитома (ЗФ). Возрастной диапазон составлял 44–76 лет, в среднем – 59,3 года.
С целью уточнения диагноза и степени распространенности опухолевого процесса всем пациентам проведено ПЭТ/КТ-исследование с 18F-ФДГ. Сканирование выполняли на томографе Optima PET/CT 560 (GE).
Для характеристики поражений надпочечников, выявленных при ПЭТ/КТ с 18F-ФДГ, проводили визуальный и количественный анализ. При визуальном анализе определяли анатомическую локализацию опухоли, размеры образования и ее структуру, а также взаимоотношения с окружающими органами и тканями.
Результаты
Среди обследованных пациентов на долю мужчин приходилось 5 (55,6%) больных, женщин – 4 (44,4%), т.е. гендерных различий не выявлено (табл. 1). Медиана возраста в группе мужчин составила 63,3 года, у лиц женского пола – 54 года (р>0,05).
Таблица 1. Клиническая характеристика больных с ПЗОН, n=9
Table 1. Clinical characteristics of patients with primary adrenal malignancies (PAM), n=9
Показатели | Мужчины | Женщины | ||
абс. | % | абс. | % | |
5 | 55,6 | 4 | 44,4 | |
Возраст, лет | ||||
Диапазон | 44–75 | 40–76 | ||
Медиана | 63,6 | 54 | ||
Локализация опухоли, абс. (%) | ||||
Справа | 5/55,6 | |||
Слева | 3/33,3 | |||
Двухсторонняя | 1/11,1 | |||
Размеры опухоли, см | ||||
Максимальный диапазон средний | 3,2-11,2 6,8 | |||
Минимальный диапазон средний | 2,3-9,0 6,0 | |||
Стадия опухолевого процесса, TNM | ||||
T1-4N1M0 | 7/77,8 | |||
T3N1M1 | 2/22,2 | |||
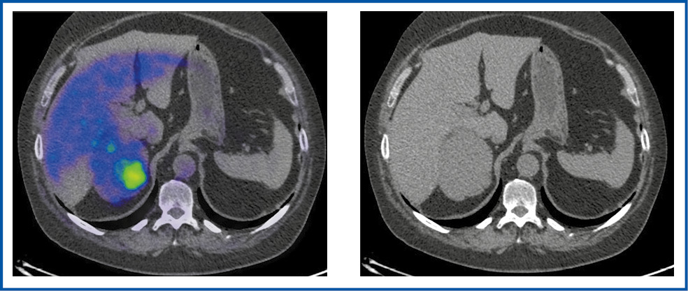
У 6 из 9 пациентов по данным ПЭТ/КТ в соответствии с классификацией стадий злокачественных новообразований ТNM (Tumor, Nodus, Metastasis) 8-го пересмотра установлена III стадия опухолевого процесса T1-4N1M0, у 3 – IV стадия T3N1M1. Результаты ПЭТ/КТ с 18F-ФДГ выявили наличие других метастатических поражений, не обнаруженных при КТ с контрастированием, в частности в печени – у 1 пациента, в лимфоузлах средостения – у 1, в синхронных метастазах в лимфоузлах средостения и легких – у 1.
По частоте поражений опухоли чаще всего локализовались в правом надпочечнике – у 5 больных, в левом – у 3, оба надпочечника были поражены у 1 пациента (см. табл. 1). Максимальный размер опухоли составлял 3,2–11,2 см, медиана – 6,8 см, что косвенно свидетельствует о злокачественном характере опухолевого процесса. В то же время минимальный размер находился в диапазоне 2,3–9,0 см, в среднем – 6,0 см (см. табл. 1). Следовательно, средний размер поражения надпочечников составил 6,0×6,8 см.
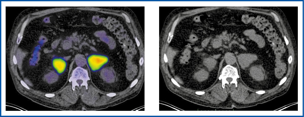
Неоднородную структуру опухоли наблюдали у 5 пациентов, кистозно-солидную – у 3, солидный характер образования – у 1 (рис. 1–4).
Рис. 1. Больная П., 40 лет. В аксиальной проекции ПЭТ/КТ- и КТ-исследовании в левом надпочечнике имеется объемное образование неоднородной кистозно-солидной структуры размером 87×75 мм, с гиперфиксацией РФП, SUVmax – 9,49.
Fig. 1. Patient P., 40 years old. Axial view of PET/CT and CT imaging: in the left adrenal gland, there is a mass lesion with a heterogeneous cystic and solid structure, 87×75 mm, with radiopharmaceutical hyper uptake; SUVmax is 9.49.
Рис. 2. Больной В., 63 года. В аксиальной проекции ПЭТ/КТ- и КТ-исследовании. В правом надпочечнике визуализируется многоузловое образование неоднородной структуры размером 88×70×72 мм с повышенной фиксацией РФП, SUVmax – 10,0.
Fig. 2. Patient V., 63 years old. Axial view of PET/CT and CT imaging: in the right adrenal gland, there is a multinodular mass with a heterogeneous structure, 88×70×72 mm with increased RPA uptake; SUVmax is 10.0.
Количественный анализ результатов ПЭТ/КТ с 18F-ФДГ предусматривал определение ряда критериев, среди которых SUVmax 18F-ФДГ в области интереса: в ПОН, печени и селезенке, а также соотношение SUVmax в первичной опухоли к SUVmax в печени и селезенке. Приведенные показатели оценки поражения составляют основу диагностики и проведения дифференциальной диагностики ДО, а также первичных и вторичных ЗНО надпочечников.
Рис. 3. Больная К., 48 лет. В аксиальной проекции ПЭТ/КТ- и КТ-исследовании в правом надпочечнике определяется неоднородное солидное образование размером 98×64×95 мм с гиперфиксацией 18F-ФДГ, SUVmax – 14,67.
Fig. 3. Patient K., 48 years old. Axial view of PET/CT and CT imaging: in the right adrenal gland, there is a heterogeneous solid mass with a size of 98×64×95 mm and 18F-FDG hyper uptake; SUVmax is 14.67.
Согласно полученным данным диапазон колебаний его уровня составил 3,54–22,29, медиана – 10,0. Значение SUVmax≥10 наблюдали у 5 (55,6%) пациентов, а медиана в данной группе составляла 13,9. Максимальная величина SUVmax отмечена при двухсторонней локализации образований, достигая 22,29 (рис. 4), а минимальный его показатель – 3,54.
Рис. 4. Больной А., 65 лет. В аксиальной проекции ПЭТ/КТ- и КТ-исследовании определяются объемные образования в надпочечниках с обеих сторон размерами слева до 41×51 мм, справа – до 38×28 мм, с гиперфиксацией 18F-ФДГ, SUVmax – 22,29.
Fig. 4. Patient A., 65 years old. Axial view of PET/CT and CT imaging: there are mass lesions in the adrenal glands on both sides, up to 41×51 mm on the left and up to 38×28 mm on the right, with 18F-FDG hyper uptake; SUVmax is 22.29.
По данным литературы, пороговое значение SUVmax, свидетельствующее о злокачественной природе ОН, составляет в среднем 2,5–3,1 [21–23]. Аналогичный показатель в селезенке в среднем составил 2,34 при диапазоне колебаний 1,73–3,09.
Уровень SUVmax 18F-ФДГ при поражении надпочечников, согласно нашим данным, в 3 и 4,3 раза превышает физиологические уровни в печени и селезенке, что свидетельствует о высоком уровне поглощения 18F-ФДГ при ПОН.
При количественном анализе мы также определяли соотношение величины SUVmax в первичной опухоли к SUVmax в печени и SUVmax в селезенке. Диапазон величины соотношения к печени составил 0,9–6,22, медиана – 3,33. Подобные результаты получены и при оценке отношения SUVmax в селезенке, при этом медиана составляла 4,48 при диапазоне 1,15–8,4 (табл. 2).
Таблица 2. SUVmax 18F-ФДГ у больных с ПЗОН по данным ПЭТ/КТ
Table 2. 18F-FDG SUVmax in patients with PAM according to PET/CT
SUVmax | ОН | Печень | Селезенка | SUVmax в опухоли/печени | SUVmax в опухоли/селезенке |
Диапазон колебаний | 3,54–22,29 | 2,16–3,9 | 1,73–3,09 | 0,9–6,22 | 1,15–8,9 |
Среднее значение | 10,0 | 3,16 | 2,34 | 3,33 | 4,48 |
Полученные нами данные свидетельствуют о высокой эффективности ПЭТ/КТ с 18F-ФДГ для диагностики ПЗОН, при этом они показали значительную активность в поглощении 18F-ФДГ, превышающую ее в печени и селезенке. Визуальный и количественный анализ изображений ПЭТ/КТ с 18F-ФДГ составляет основу для диагностики ПЗОН.
При этом медиана SUVmax в первичной опухоли, по нашим данным, равнялась 10,0. Определенный вклад в диагностический процесс вносит соотношение SUVmax в опухоли к SUVmax в печени и SUVmax в опухоли к SUVmax в селезенке. Согласно полученным данным медиана указанных показателей составила 3,33 и 4,48 соответственно.
Вероятно, ПЭТ/КТ с 18F-ФДГ может быть методом выбора диагностики ПЗОН.
Обсуждение
В литературе имеются указания на то, что ПЭТ/КТ с 18F-ФДГ обеспечивает более высокую диагностическую точность относительно рентгеновской КТ с контрастированием из-за низкой чувствительности [16].
Так, в ряде исследований показана возможность дифференциальной диагностики ДО, вторичных ЗОН и ПЗОН с применением ПЭТ/КТ с 18F-ФДГ [10, 18, 20, 21]. При этом авторы применяют различные методы анализа полученных результатов. Так, Z. Koç и соавт. (2022 г.) оценивали роль ПЭТ/КТ в диагностике ПОН и вторичных ОН (ВОН) у 15 пациентов с медианой возраста 55,4 года. Размер опухолей в среднем составил 23,9×36,6 мм, а средний уровень SUV – 9,98. Авторы считают, что ПЭТ/КТ является эффективным методом диагностики ЗОН, поскольку они обладают высокой способностью поглощать 18F-ФДГ [10].
Поражения надпочечников, выявленные при ПЭТ/КТ с 18F-ФДГ, оценивают визуально и количественно. Последнее предусматривает определение ряда критериев: SUVmax 18F-ФДГ, а также среднего и низкого его уровней, соотношение SUVmax в ОН к SUV в печени, селезенке и аорте.
Некоторые исследователи утверждают, что критерии визуальной оценки ПЭТ/КТ с 18F-ФДГ позволяют диагностировать ВОН с чувствительностью 100% и специфичностью 93,8% [24]. Аналогичной точки зрения придерживаются G. Boland и соавт. (2009 г.), которые считают ПЭТ/КТ высокоточным методом дифференциальной диагностики между ЗНО и доброкачественными новообразованиями (ДНО) надпочечников, особенно при использовании качественных, а не количественных параметров [25]. Другие авторы, наоборот, сообщают о высокой диагностической точности поражения надпочечников с использованием количественных критериев ПЭТ/КТ с 18F-ФДГ, в частности SUVmax 18F-ФДГ, пороговое значение которого составляет 3,1 [22].
В ряде работ при проведении дифференциальной диагностики доброкачественного и злокачественного опухолевого процесса в надпочечниках исследователи предлагают точку отсечки по значению уровня SUVmax в опухоли в виде порогового значения [26].
W. Schlötelburg и соавт. (2024 г.) провели ретроспективный анализ 67 пациентов с АКР надпочечников, которым выполнена ПЭТ/КТ с 18F-ФДГ с определением количественных показателей – SUVmax, среднего и пикового накопления. Авторы отмечали преобладание лиц женского пола – 60%. У всех больных с АКР наблюдалось высокое значение SUV – 6,0 и более. Минимальная величина SUV составила 4,2 при случайно обнаруженной опухоли диаметром 44 мм. При наличии отдаленных метастазов выявлены максимальные величины SUV, а различия являлись статистически достоверными. Однако ни один из количественных параметров не влиял на продолжительность жизни больных. Наблюдалась лишь тенденция к улучшению выживаемости без прогрессирования для максимальных показателей SUV<17,1. Тем не менее этот метод анализа метаболизма в опухоли позволил выявить у 12% больных дополнительные метастазы, которые не обнаружили при КТ. Авторы пришли к выводу о том, что простая визуализация при оценке ПЭТ/КТ так же эффективна, как и более трудоемкий количественный анализ [18].
Ценность ПЭТ/КТ заключается еще и в том, что она позволяет идентифицировать локализацию первичной опухоли при вторичном поражении надпочечников, уточняя стадию опухолевого процесса, что обеспечивает возможность выбора рациональной тактики лечения, прежде всего хирургического этапа, как при первичных, так и при вторичных опухолях солитарного характера [10–13].
В проведенном исследовании не отмечено гендерных различий, поскольку среди пациентов было 5 мужчин и 4 женщины. Аналогичного мнения придерживаются и другие авторы [21]. Однако в литературе имеются противоположные мнения о преобладании лиц мужского пола [27].
В нашем исследовании SUVmax в опухоли в среднем составил 10,0, а минимальный показатель – 3,54. Максимальную его величину – 22,29 – наблюдали при двухстороннем поражении надпочечников. У 2 пациентов с метастазами в печень данный показатель составлял 9,49 и 10,0. Представленные результаты совпадают с данными других авторов [16, 17, 19].
По данным ПЭТ/КТ в 2 случаях, наряду с ПОН, нами выявлены метастазы в печень, которые ранее не определены, что позволило уточнить стадию и выработать рациональную тактику лечения.
Определенное диагностическое значение относительно злокачественного процесса при ОН имеет соотношение SUVmax к SUVmax в печени. Так, N. Launay и соавт. (2015 г.) с учетом данного коэффициента из 67 пациентов с ОН в 32 случаях подтвердили первичный злокачественный характер, у 19 – вторичный, а аденому надпочечников диагностировали у 16 больных [28].
M. Okada и соавт. (2009 г.) считают, что SUVmax ≥2,5 является признаком злокачественного поражения надпочечников. Пороговое значение отношения SUVmax опухоли к печени, равное 1,8, также свидетельствует о злокачественном характере ОН, что соответствует чувствительности 85%, специфичности 100% и точности 91%. Авторы считают, что анализ ПЭТ/КТ с использованием SUVmax 18F-ФДГ повышает точность диагностики новообразований надпочечников [23].
H. Watanabe и соавт. (2013 г.) опубликовали результаты дифференциальной диагностики метастатического поражения и аденом надпочечников с применением ПЭТ/КТ с 18F-ФДГ у 41 пациента, при этом они определяли SUVmax в ОН и средний уровень SUV в печени и селезенке, а также отношение SUVmax надпочечников к среднему значению SUV печени и селезенки. Оказалось, что среднее значение SUVmax при метастатическом поражении надпочечников, как и соотношение SUVmax надпочечников к печени и селезенке, достоверно выше аналогичных показателей при аденомах, составляя 8,4, 3,0 и 4,0 соответственно. Площадь под кривой для соотношения SUVmax надпочечников к печени превышала таковую по отношению к селезенке. Пороговое значение соотношения к печени, равное 1,37, обеспечивает чувствительность 96% и специфичность 100%. Авторы приходят к выводу о том, что данное отношение обеспечивает большую клиническую пользу по сравнению с селезенкой [29].
A. Cistaro и соавт. (2015 г.) опубликовали результаты многоцентрового ретроспективного исследования по диагностической и прогностической значимости ПЭТ/КТ с 18F-ФДГ при ПЗОН у 68 больных в зависимости от вариантов гистологического строения опухоли. Согласно их данным применение данного метода обеспечивает высокую чувствительность, специфичность и точность при ПОН, особенно при АКР и ЗФ, составляя 75, 100 и 82% соответственно [16].
G. Ma и соавт. (2021 г.) представили результаты ретроспективного исследования 64 пациентов для оценки роли ПЭТ/КТ с 18F-ФДГ при проведении дифференциальной диагностики ДО надпочечников и ЗОН. Так, ДО выявлены у 48 пациентов, а ЗО – у 16. Авторы показали, что SUVmax при ЗО составляет 10,0 (3,1–23,9), а при ДНО – 5,4, т.е. различия являются статистически достоверными. Коэффициент соотношения SUVmax опухоли к печени составил 3,39 и 1,99 для злокачественных и доброкачественных поражений соответственно (р<0,05). Чувствительность, специфичность и точность метода SUVmax, по данным ROC-анализа, составили 81,3, 72,9 и 75,0%, а для соотношения SUVmax опухоль/печень – 93,7, 62,5 и 70,3% соответственно [21].
Приведенный метод количественной оценки с определением уровня SUVmax с целью дифференциальной диагностики характера опухолевого процесса в надпочечниках в литературе освящен недостаточно. Согласно полученным результатам в представленном исследовании соотношение SUVmax в ОН к SUVmax печени находилось в диапазоне 0,9–6,22, составляя в среднем 3,33, а отношение SUVmax в опухоли к максимальному уровню SUV в селезенке равнялось 4,48, находясь в диапазоне 1,15–8,9.
M. Perri и соавт. (2011 г.) при проведении дифференциальной диагностики между ЗО и ДО надпочечников применяли комбинированный метод, включающий определение SUVmax и анализа КТ. Авторы сравнивали поглощение 18F-ФДГ ОН аортой, печенью и селезенкой с помощью соотношения SUVmax опухоли к аналогичному показателю указанных органов. Все ЗНО надпочечников показали активность 18F-ФДГ выше, чем в аорте, печени и селезенке. Авторы считают, что такая комбинация методов интерпретации результатов ПЭТ/КТ с 18F-ФДГ позволяет получить 100% чувствительность и 97% специфичность. Согласно их данным размеры поражений надпочечников по результатам ПЭТ/КТ составляли 0,7–9,8 см, причем их величина была достоверно больше при ЗО по сравнению с ДО. Медиана SUVmax для ЗНО составила 8,6 при диапазоне 2,9–22,0, а при ДО – 2,1. При пороговом значении ≤2,8 все опухоли носили доброкачественный характер. Среднее соотношение SUVmax ОН к печени равнялось 3,8, а диапазон колебаний – 1,5–9,6. Аналогичный показатель для ДНО составлял 1,1, а диапазон – 0,4–2,5 [27].
Приведенный обзор данных литературы показал, что ПЭТ/КТ с 18F-ФДГ обладает высокой диагностической точностью при ЗОН, включая ПЗОН.
Заключение
Гибридная технология ПЭТ/КТ с 18F-ФДГ может быть методом выбора для диагностики и дифференциальной диагностики доброкачественных и злокачественных ПОН и ВОН. В связи с этим при обнаружении объемных образований надпочечников диагностический алгоритм должен включать ПЭТ/КТ с 18F-ФДГ.
Для анализа результатов исследования применяют визуальные (качественные) и количественные параметры. При ЗОН активность поглощения 18F-ФДГ по данным ПЭТ/КТ превышает таковую в печени и селезенке в 3 и 4,3 раза.
SUVmax 18F-ФДГ, соотношение SUVmax ОН к SUVmax печени и SUVmax селезенки являются количественными критериями диагностики ПЗОН. Согласно полученным данным медиана уровня SUVmax составила 10,0, а отношение SUVmax опухоли к печени и селезенке – 3,33 и 4,48 соответственно.
Метаболическая визуализация является важной оценкой для персонализированного выбора лечебной стратегии больных с ЗОН.
Раскрытие интересов. Авторы декларируют отсутствие явных и потенциальных конфликтов интересов, связанных с публикацией настоящей статьи.
Disclosure of interest. The authors declare that they have no competing interests.
Вклад авторов. Авторы декларируют соответствие своего авторства международным критериям ICMJE. Все авторы в равной степени участвовали в подготовке публикации: разработка концепции статьи, получение и анализ фактических данных, написание и редактирование текста статьи, проверка и утверждение текста статьи.
Authors’ contribution. The authors declare the compliance of their authorship according to the international ICMJE criteria. All authors made a substantial contribution to the conception of the work, acquisition, analysis, interpretation of data for the work, drafting and revising the work, final approval of the version to be published and agree to be accountable for all aspects of the work.
Источник финансирования. Авторы декларируют отсутствие внешнего финансирования для проведения исследования и публикации статьи.
Funding source. The authors declare that there is no external funding for the exploration and analysis work.
Информированное согласие на публикацию. Пациенты подписали форму добровольного информированного согласия на публикацию медицинской информации.
Consent for publication. Written consent was obtained from the patients for publication of relevant medical information and all of accompanying images within the manuscript.
About the authors
Nikolai A. Ognerubov
Russian Medical Academy of Continuous Professional Education
Author for correspondence.
Email: ognerubov_n.a@mail.ru
ORCID iD: 0000-0003-4045-1247
D. Sci. (Med.), Cand. Sci. (Law), Prof.
Russian Federation, MoscowTatiana S. Antipova
K+31 JSC
Email: ognerubov_n.a@mail.ru
ORCID iD: 0000-0003-4165-8397
radiologist
Russian Federation, MoscowOlga O. Mirsalimova
K+31 JSC
Email: ognerubov_n.a@mail.ru
ORCID iD: 0009-0007-8600-7586
radiologist
Russian Federation, MoscowIrina V. Poddubnaya
Russian Medical Academy of Continuous Professional Education
Email: ognerubov_n.a@mail.ru
ORCID iD: 0000-0002-0995-1801
D. Sci. (Med.), Prof., Acad. RAS
Russian Federation, MoscowReferences
- Fassnacht M, Assie G, Baudin E, et al. Adrenocortical carcinomas and malignant phaeochromocytomas: ESMO-EURACAN Clinical Practice Guidelines for diagnosis, treatment and follow-up. Ann Oncol. 2020;31(11):1476-90. doi: 10.1016/j.annonc.2020.08.2099
- Kebebew E, Reiff E, Duh QY, et al. Extent of disease at presentation and outcome for adrenocortical carcinoma: have we made progress? World J Surg. 2006;30(5):872-8. doi: 10.1007/s00268-005-0329-x
- Kerkhofs TM, Verhoeven RH, Van der Zwan JM, et al. Adrenocortical carcinoma: a population-based study on incidence and survival in the Netherlands since 1993. Eur J Cancer. 2013;49(11):2579-86. doi: 10.1016/j.ejca.2013.02.034
- McLean K, Lilienfeld H, Caracciolo JT, et al. Management of isolated Adrenal Lesions in Cancer Patients. Cancer Control. 2011;18(2):113-26. doi: 10.1177/107327481101800206
- Song JH, Chaudhry FS, Mayo-Smith WW. The incidental adrenal mass on CT: prevalence of adrenal disease in 1,049 consecutive adrenal masses in patients with no known malignancy. AJR Am J Roentgenol. 2008;190(5):1163-8. doi: 10.2214/AJR.07.2799
- Dunnick NR, Korobkin M. Imaging of adrenal incidentalomas: current status. AJR Am J Roentgenol. 2002;179(3):559-68. doi: 10.2214/ajr.179.3.1790559
- Boland GW, Dwamena BA, Jagtiani Sangwaiya M, et al. Characterization of adrenal masses by using FDG PET: a systematic review and meta-analysis of diagnostic test performance. Radiology. 2011;259(1):117-26. doi: 10.1148/radiol.11100569
- Kandathil A, Wong KK, Wale DJ, et al. Metabolic and anatomic characteristics of benign and malignant adrenal masses on positron emission tomography/computed tomography: a review of literature. Endocrine. 2015;49(1):6-26. doi: 10.1007/s12020-014-0440-6
- Корб Т.А., Чернина В.Ю., Блохин И.А., и др. Визуализация надпочечников: в норме и при патологии (обзор литературы). Проблемы Эндокринологии. 2021;67(3):26-36 [Korb TA, Chernina VYu, Blokhin IA, et al. Adrenal imaging: anatomy and pathology (literature review). Problems of Endocrinology. 2021;67(3):26-36 (in Russian)]. doi: 10.14341/probl12752
- Koç ZP, Özcan PP, Sezer E, et al. The F-18 FDG PET/CT evaluation of the metastatic adrenal lesions of the non-lung cancer tumors compared with pathology results. Egypt J Radiol Nucl Med. 2022;53. doi: 10.1186/s43055-021-00663-2
- Saito H, Shuto K, Ota T, et al. A case of long-term survival after resection for postoperative solitary adrenal metastasis from esophageal adenocarcinoma. Gan To Kagaku Ryoho. 2010;37(12):2406-8 (in Japanese).
- Drouet C, Morel O, Boulahdour H. Bilateral Huge Incidentalomas of Isolated Adrenal Metastases From Unknown Primary Melanoma Revealed by 18F-FDG PET/CT. Clin Nucl Med. 2017;42(1):e51-3. doi: 10.1097/RLU.0000000000001417
- Furukawa K, Yoshitoshi K, Eguchi R. A long survival case of metastatic left adrenal gland tumor from undifferentiated carcinoma of thoracic esophagus. J Jpn Coll Surg. 2012;37:248-51.
- Kim SJ, Lee SW, Pak K, et al. Diagnostic accuracy of (18)F-FDG PET or PET/CT for the characterization of adrenal masses: a systematic review and meta-analysis. Br J Radiol. 2018;91(1086):20170520. doi: 10.1259/bjr.20170520
- Fassnacht M, Tsagarakis S, Terzolo M, et al. European Society of Endocrinology clinical practice guidelines on the management of adrenal incidentalomas, in collaboration with the European Network for the Study of Adrenal Tumors. Eur J Endocrinol. 2023;189(1):G1-G42. doi: 10.1093/ejendo/lvad066
- Cistaro A, Niccoli Asabella A, Coppolino P, et al. Diagnostic and prognostic value of 18F-FDG PET/CT in comparison with morphological imaging in primary adrenal gland malignancies – a multicenter experience. Hell J Nucl Med. 2015;18(2):97-102. doi: 10.1967/s002449910202
- Wong KK, Miller BS, Viglianti BL, et al. Molecular Imaging in the Management of Adrenocortical Cancer: A Systematic Review. Clin Nucl Med. 2016;41(8):e368-82. doi: 10.1097/RLU.0000000000001112
- Schlötelburg W, Hartrampf PE, Kosmala A, et al. Prognostic role of quantitative [18F]FDG PET/CT parameters in adrenocortical carcinoma. Endocrine. 2024;84(3):1172-81. doi: 10.1007/s12020-024-03695-6
- Kim JY, Kim SH, Lee HJ, et al. Utilisation of combined 18F-FDG PET/CT scan for differential diagnosis between benign and malignant adrenal enlargement. Br J Radiol. 2013;86(1028):20130190. doi: 10.1259/bjr.20130190
- Arikan AE, Makay O, Teksoz S, et al. Efficacy of PET-CT in the prediction of metastatic adrenal masses that are detected on follow-up of the patients with prior nonadrenal malignancy: A nationwide multicenter case-control study. Medicine (Baltimore). 2022;101(34):e30214. DO:10.1097/MD.0000000000030214
- Ma G, Zhang X, Wang M, et al. Role of (18)F-FDG PET/CT in the differential diagnosis of primary benign and malignant unilateral adrenal tumors. Quant Imaging Med Surg. 2021;11(5):2013-8. doi: 10.21037/qims-20-875
- Metser U, Miller E, Lerman H, et al. 18F-FDG PET/CT in the evaluation of adrenal masses. J Nucl Med. 2006;47(1):32-7.
- Okada M, Shimono T, Komeya Y, et al. Adrenal masses: the value of additional fluorodeoxyglucose-positron emission tomography/computed tomography (FDG-PET/CT) in differentiating between benign and malignant lesions. Ann Nucl Med. 2009;23(4):349-54. doi: 10.1007/s12149-009-0246-4
- Blake MA, Slattery JM, Kalra MK, et al. Adrenal lesions: characterization with fused PET/CT image in patients with proved or suspected malignancy – initial experience. Radiology. 2006;238(3):970-7. doi: 10.1148/radiol.2383042164
- Boland GW, Blake MA, Holalkere NS, Hahn PF. PET/CT for the characterization of adrenal masses in patients with cancer: qualitative versus quantitative accuracy in 150 consecutive patients. AJR Am J Roentgenol. 2009;192(4):956-62. doi: 10.2214/AJR.08.1431
- Vos EL, Grewal RK, Russo AE, et al. Predicting malignancy in patients with adrenal tumors using (18) F-FDG-PET/CT SUVmax. J Surg Oncol. 2020;122(8):1821-6. doi: 10.1002/jso.26203
- Perri M, Erba P, Volterrani D, et al. Adrenal masses in patients with cancer: PET/CT characterization with combined CT histogram and standardized uptake value PET analysis. AJR Am J Roentgenol. 2011;197(1):209-16. doi: 10.2214/AJR.10.5342
- Launay N, Silvera S, Tenenbaum F, et al. Value of 18-F-FDG PET/CT and CT in the Diagnosis of Indeterminate Adrenal Masses. Int J Endocrinol. 2015;2015:213875. doi: 10.1155/2015/213875
- Watanabe H, Kanematsu M, Goshima S, et al. Adrenal-to-liver SUV ratio is the best parameter for differentiation of adrenal metastases from adenomas using 18F-FDG PET/CT. Ann Nucl Med. 2013;27(7):648-53. doi: 10.1007/s12149-013-0730-8
Supplementary files







