Isolated metastasis to the scalp in occult breast cancer: a clinical case
- Authors: Ognerubov N.A.1, Sergeev R.S.2, Hizhnyak A.O.3, Ognerubova M.A.3, Dzhabrailov M.A.4,3
 - 
							Affiliations: 
							
- Penza Institute for Advanced Training of Physicians – branch of the Russian Medical Academy of Continuous Professional Education
 - Regional Oncological Clinical Dispensary
 - Tambov Regional Oncological Clinical Dispensary
 - Derzhavin Tambov State University
 
 - Issue: Vol 26, No 1 (2024)
 - Pages: 112-117
 - Section: Articles
 - Submitted: 18.04.2024
 - Accepted: 18.04.2024
 - Published: 05.03.2024
 - URL: https://modernonco.orscience.ru/1815-1434/article/view/630467
 - DOI: https://doi.org/10.26442/10.26442/18151434.2024.1.202655
 - ID: 630467
 
Cite item
Full Text
Abstract
Malignancies remain a serious socio-economic health problem worldwide. Among them, breast cancer (BC) in women ranks 1st in the structure and 4th in mortality. Occult breast cancer accounts for 0.1 to 1% of all BC. In this type, metastases to the scalp are extremely rare. This article presents a case of metastatic lesion of the scalp in occult breast cancer. Patient S., 82 years old, presented with a skin tumor in the parietal region, which she noticed about 2 years ago. It has grown recently, with local alopecia and hyperemia around the lesion. A comprehensive examination was performed. Cytology of the punctate showed malignant cells. Mammography and ultrasound showed no specific changes in the breast and lymph nodes. Spiral computed tomography of the chest and abdomen showed no signs of tumor. The lesion was surgically removed. Histological examination revealed adenocarcinoma metastasis. Immunohistochemical examination revealed tumor cells with diffuse and strong expression of estrogen receptors, diffuse and weak expression of progesterone receptors, strong and focal-diffuse expression of cancer embryonic antigen (CEA), and epithelial membrane antigen (EMA). The proliferative activity index of Ki-67 was less than 20%, Her2-neu 0. Considering the morphology and immunohistochemical data, the lesion was a metastasis of breast cancer with a luminal type A molecular biological variant. Skeletal bone scintigraphy revealed no metastatic lesions. The patient was diagnosed with an occult type of breast cancer, stage IV cTxN0M1, with metastasis to the scalp. Hormone therapy with aromatase inhibitors was administered. There were no signs of recurrence during the follow-up for 6 months. Isolated scalp metastasis in occult breast cancer is extremely rare. Practitioners should consider this type of distant metastasis of malignancies in differential diagnosis.
Full Text
Введение
Метастатическое течение болезни является 2-й по значимости причиной смерти от рака среди женщин во всем мире.
Более 50 лет назад в литературе появились сообщения о метастатическом поражении кожи при ряде солидных новообразованиях, свидетельствующие о поздней стадии опухолевого процесса [1].
Наиболее частыми отдаленными метастазами рака молочной железы (РМЖ) являются кожа, легкие, печень, лимфатические узлы и головной мозг. Chou C.S. и соавт. (2007 г.) выявили внутрикожные метастатические опухоли с поражением волосистой части головы в 12,8% наблюдений. Причем в структуре первичных опухолей рак легкого оказался наиболее распространенным, затем рак толстой кишки – 11,6%, новообразования печени и молочной железы – по 7,8%. В то же время вторичные опухоли без выявленного первичного очага составили 29,4% [2].
Среди вариантов рака молочной железы выделяют оккультный. Клинически он характеризуется различными метастатическими проявлениями при отсутствии первичного очага, который не диагностируется объективно, включая ряд методов медицинской визуализации. Чаще всего поражаются подмышечные и надключичные лимфатические узлы. На его долю приходится от 0,1 до 1% всех случаев РМЖ [3–5]. Медиана возраста пациентов составляет 55 лет [3, 6, 7].
Природа его возникновения неизвестна. Некоторые авторы предполагают, что источником развития оккультной формы РМЖ является эктопированная ткань молочной железы в подмышечных лимфатических узлах. Поэтому чаще всего она проявляется их метастатическим поражением при отсутствии первичного очага [8].
РМЖ является одним из наиболее частых первичных опухолей, которые метастазируют в кожу. Клиническая картина метастатических опухолей кожи разнообразная, что вызывает определенные трудности при проведении дифференциальной диагностики, поскольку она весьма схожа с другими злокачественными, а порой доброкачественными новообразованиями.
Наиболее распространенным внешним проявлением внутрикожных метастазов являются плотные узелки различных размеров, бляшек, папул с ограниченной подвижностью, экзофитного характера [9, 10]. Более редко они могут иметь вид язвы. Чаще всего данные новообразования располагаются в коже грудной и передней брюшной стенки, а также конечностях [4]. Реже – на спине, ягодичной и перианальной области и веках [9].
Причем изолированные отдаленные метастазы в кожу волосистой части головы являются редким проявлением оккультного варианта опухоли с диапазоном колебаний от 0,7 до 2%, составляя в среднем 0,9% [1, 11].
Внутрикожные метастазы РМЖ имеют более благоприятный прогноз, чем аналогичные при других солидных опухолях.
Большинство публикаций, посвященных оккультной форме РМЖ с внутрикожными метастазами волосистой части головы, при отсутствии первичного очага касаются описания отдельных случаев [3, 11–13].
Мы наблюдали больную с метастатическим поражением кожи волосистой части головы как первое проявление оккультного варианта РМЖ.
Клинический случай
Пациентка С., 82 года, обратилась за медицинской помощью с жалобами на наличие опухоли кожи головы в теменной области справа. Впервые она обнаружила ее случайно, около 2 лет назад. В последнее время стала отмечать увеличение размеров и периодическое появление жжения вокруг опухоли. При объективном исследовании в теменной области справа в толще кожи имеется узел размером 2,5×2 см, слегка возвышающийся над ее поверхностью с венчиком гиперемии вокруг. Подвижность ограничена, при пальпации безболезненный. Затылочные, шейные и околоушные лимфоузлы не пальпируются. Подмышечные лимфатические узлы с обеих сторон 0,8×0,5 см, эластической консистенции, подвижные.
При ультразвуковом исследовании молочных желез и лимфатических узлов очаговой патологии и изменений в лимфоузлах не выявлено.
Произведена тонкоигольная биопсия образования. При цитологическом исследовании обнаружены клетки злокачественной опухоли. Клинически у больной метастазы в кожу без выявленного первичного очага. С целью поиска первичной опухоли проведено комплексное обследование. При пальпации молочных желез очаговой патологии не обнаружено.
Выполнена маммография. Плотность молочной железы – тип А по Ас R. На фоне фиброзно-жировой инволюции узловые образования и скопления микрокальцинатов не дифференцируются. Аксиллярная область с обеих сторон без патологии. BI-RADS 1 (рис. 1).
Рис. 1. Больная С., 82 года, маммография: а – краниокаудальная проекция; b – медиолатеральная проекция. Кожа молочных желез не утолщена, сосок не втянут. Плотность молочной железы тип А по АСR. На фоне фиброзно-жировой инволюции узловые образования не дифференцируются. BI-RADS 1.
Fig. 1. Patient S., 82 y.o., mammography: a – craniocaudal view; b – mediolateral view. The skin of the mammary glands is not thickened, and the nipple is not retracted. Type A breast density according to ACR. Fibrous-fatty involution with no nodular masses was observed. BI-RADS 1.
По данным спиральной компьютерной томографии органов грудной клетки очаговой патологии не выявлено. Выполнена магнитно-резонансная томография органов брюшной полости и малого таза с контрастным усилением. Данных за специфический процесс не обнаружено. Установлен диагноз – солитарный метастаз в кожу головы без выявленного первичного очага.
Произведено хирургическое лечение в объеме иссечения. При гистологическом исследовании: фрагмент кожи с опухолевым узлом в дерме с четкими границами, не связанный с эпидермисом. Опухоль удалена в пределах здоровых тканей. Она имеет преимущественно железистое строение с участками альвеолярного (рис. 2).
Рис. 2. Гистологическое исследование операционного материала. Рост злокачественной опухоли преимущественно железистого строения с участками альвеолярного. Окраска гематоксилином и эозином, ×10.
Fig. 2. Histological examination of the surgical specimen. A malignant tumor with predominantly glandular structure and areas of alveolar structure. Hematoxylin and eosin staining, ×10.
Рис. 3. Иммуногистохимическое исследование операционного материала. Диффузная сильная ядерная экспрессия ER в клетках опухоли, ×10.
Fig. 3. Immunohistochemical examination of the surgical specimen. Diffuse strong nuclear ER expression in tumor cells, ×10.
Рис. 4. Иммуногистохимическое исследование операционного материала. Диффузная слабая ядерная экспрессия рецепторов прогестерона в клетках опухоли, ×10.
Fig. 4. Immunohistochemical examination of the surgical specimen. Diffuse weak nuclear expression of progesterone receptors in tumor cells, ×10.
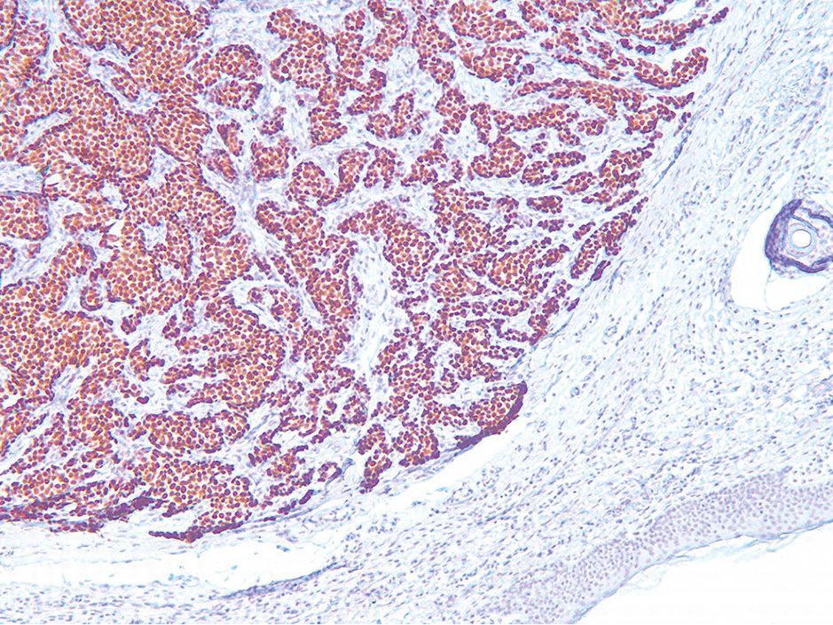
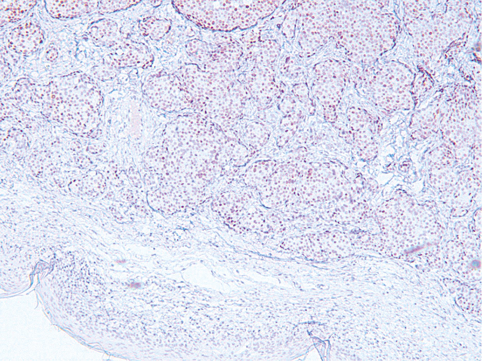
При иммуногистохимическом исследовании клетки опухоли сильно и диффузно экспрессируют рецепторы эстрогенов – ER (рис. 3), слабо и диффузно рецепторы прогестерона (рис. 4), а также сильно и очагово-диффузно раково-эмбриональный антиген – СЕА (рис. 5) и антиген эпителиальных мембран (ЕМА). Индекс пролиферативной активности Ki67 менее 20% (рис. 6), а рецептор эпидермального фактора роста человека 2-го типа Her2 – отрицательный. Опухоль не экспрессирует цитокератины СК 5/6, Р63 и маммаглобин.
Рис. 5. Иммуногистохимическое исследование операционного материала. Диффузно-очаговая сильная ядерная и цитоплазматическая экспрессия CEA, ×10.
Fig. 5. Immunohistochemical examination of the surgical specimen. Diffuse-focal strong nuclear and cytoplasmic expression of CEA, ×10.
Рис. 6. Иммуногистохимическое исследование операционного материала. Индекс пролиферативной активности Ki-67 менее 20%, ×10.
Fig. 6. Immunohistochemical examination of the surgical specimen. The proliferative activity index Ki-67 was less than 20%, ×10.
Молекулярно-биологический вариант опухоли – люминальный тип А. выполнена сцинтиграфия костей скелета. Признаков специфического поражения нет. Установлен окончательный диагноз: РМЖ стадия IV cTxN0M1, изолированный метастаз в кожу волосистой части головы, оккультный вариант. Учитывая распространенность опухолевого процесса, возраст, молекулярно-биологический вариант опухоли, больной назначены ингибиторы ароматазы. Осмотрена через 6 мес, признаков возврата заболевания нет.
Приведенный случай свидетельствует о возможном метастазировании оккультного РМЖ в кожу волосистой части головы. При постановке диагноза, включая проведение дифференциального, необходимо мультидисциплинарное обследование, среди которых морфологическое и иммуногистохимическое являются основными.
Обсуждение
РМЖ в структуре онкологической заболеваемости у женщин в мире занимает 1-е место. По данным Globocan, в 2022 г. выявлено 2 296 840 новых случаев [14].
Метастатическое поражение кожи является довольно частым симптомом при ряде солидных злокачественных новообразований, в том числе и РМЖ. Среди различных опухолей как причина вторичного внутрикожного поражения РМЖ занимает 1-е место, составляя 25–50% [15, 16].
Внутрикожные метастазы могут являться проявлениями первичного диссеминированного опухолевого процесса на этапе диагностики, и крайне редко это единственный признак злокачественной опухоли [17].
В то же время при наличии в анамнезе РМЖ метастазы в кожу свидетельствуют о прогрессировании опухолевого процесса, который ранее подвергался специальному лечению. Такой вариант РМЖ в клинической практике встречается от 0,3 до 1% среди всех случаев [4].
Однако иногда метастазы в кожу служат первоначальным проявлением скрытой, оккультной формы РМЖ при отсутствии первичного очага, который не определяется методами медицинской визуализации [3, 18, 19].
Среди них метастазы в кожу головы как первичное проявление оккультного РМЖ встречаются крайне редко [11].
По данным K. Huang и соавт. (2020 г.) среди больных оккультным РМЖ наблюдается высокая доля пожилых людей, большая частота поражений лимфатических узлов, расцениваемая как N2–3, отрицательный рецепторный статус опухоли и положительный рецептор эпидермального фактора роста человека 2-го типа. Многофакторный анализ выявил лучшую выживаемость у данной когорты больных [20].
Возраст описанной нами пациентки составил 82 года, который в соответствии с периодизацией Всемирной организации здравоохранения расценивается как старческий.
Клинически метастазы в кожу могут быть представлены в виде узелков различных размеров, бляшек или папул [9, 10]. Они могут располагаться рядом или находиться на расстоянии от первичного очага, чаще всего это грудная стенка, живот, голова и шея. Реже – на спине, ягодичной и перианальной областях, нижних конечностях и веках [9].
Метастаз в кожу затылочной области с алопецией над ним при двустороннем РМЖ описали T. Kuwayama и соавт. в 2011 г. При гистологическом и иммуногистохимическом исследовании выявлена аденокарцинома, положительная по ER. Назначение летрозола сопровождалось выраженным эффектом [18].
G. Paolino и соавт (2019 г.) опубликовали результаты систематического анализа по неопластической алопеции как редкой формы внутрикожных метастазов при висцеральных опухолях. Они установили, что из 123 больных с неопластической алопецией женщины составляли большинство – 53,7%. Чаще всего первичные опухоли локализовались в желудочно-кишечном тракте – 24,4%, затем в молочной железе – 17,9%, почках – 8,1%, легких – 7,3% и щитовидной железе – 7,3%. При этом большая часть опухолей (66,1%) носила одиночный характер [21].
В рассматриваемом случае опухоль представлена плотным безболезненным узлом с ограниченной подвижностью и гнездной алопецией над ней.
Отдаленные внутрикожные метастазы при наличии первичного очага или РМЖ в анамнезе чаще склонны к локализации в области передней поверхности контралатеральной грудной стенки, после чего наблюдается поражение кожи в области головы и шеи, а затем спины и живота [4].
В настоящее время методы медицинской визуализации, традиционно применяемые для диагностики РМЖ при ее оккультном варианте, нечувствительны [22].
В представленном наблюдении опухоль в коже волосистой части головы являлась первым и единственным клиническим проявлением РМЖ без выявленного первичного очага, попытка поиска которого с помощью дополнительных методов исследования не увенчалась успехом.
Симптоматика может быть обусловлена отделяемым из раны, если опухоль сопровождается изъязвлением или распадом [23]. В литературе имеются сообщения, что характер кожных проявлений связан с биологическим вариантом РМЖ. Так, для опухолей, положительных по рецепторам гормонов, как правило, характерно изъязвление кожи, а для трижды негативных и Her2-положительных – инфильтрация тканей, а при отсутствии первичного очага развивается эритематозная инфильтрация [24].
Тем не менее по данным иммуногистохимии опухоль кожи у описанной пациентки являлась положительной по рецепторам гормонов и отрицательной по рецептору эпидермального фактора роста человека 2-го типа HER2, однако клинически она имела форму узла.
При гистологическом исследовании метастатическая опухоль имеет строение инфильтративной протоковой карциномы с уменьшением исходной дифференцировки при наличии первичной опухоли [4].
На этапе постановки диагноза, включая проведение дифференциального, решающее значение имеет биопсия опухоли с гистологическим и иммуногистохимическим исследованием, поскольку они составляют основу персонализированной терапии.
Положительные реакции на EMA, CEA и ER являются ключевыми в определении первичного происхождения РМЖ [1]. Экспрессия Р63 служит критерием дифференциальной диагностики метастатических и первичных эпителиальных опухолей придатков кожи [25].
Согласно полученным данным, клетки опухоли диффузно-очагово и сильно экспрессируют EMA и CEA и не содержат антиген Р63, что свидетельствует о первичной опухоли молочной железы.
R. da Costa и соавт. (2021 г.) сообщают о 3 случаях метастатического поражения кожи при оккультном РМЖ, которые они выявили при поиске в международной базе данных PubMed [3].
Стандартных рекомендаций по терапии метастатического поражения кожи волосистой части головы при РМЖ из-за редкости заболевания не существует. Опыт лечения основан лишь на кратких сообщениях литературы [3, 4, 11].
Исходя из степени и характера распространенности опухолевого процесса, они включают все существующие специальные лечебные опции, начиная от локальных методов до комбинации их с таргетной и иммунотерапией с учетом молекулярно-биологических вариантов опухоли и наличия мутаций.
В настоящее время остается спорной роль оперативного вмешательства при метастазах опухолей в кожу [16, 26]. Одни авторы избегают хирургического вмешательства, поскольку свидетельствуют о распространенном опухолевом процессе [27]. Другие, наоборот, являются активными сторонниками, так как оно сопровождается благоприятными результатами [28]. В последнее время показано, что сочетание хирургического и системного компонентов ведет к увеличению продолжительности и улучшению качества жизни [29]. Тем не менее хирургическое вмешательство, особенно при оккультной форме, и отсутствие других проявлений заболевания является основной опцией.
В 2022 г. S. Huang и соавт. опубликовали результаты системного анализа литературы по международной базе данных SCOPUS и MEDLINE за период с 1980 по январь 2022 г., посвященной применению различных методов лечения метастазов РМЖ в кожу. Максимальное количество публикаций – 51, отражали вопросы химиотерапии и применения ингибиторов ароматазы 13 статей. Различные аспекты хирургического лечения освещены в 12 публикациях с участием 50 пациентов [16].
Согласно мнению авторов, хирургический метод лечения как способ локального контроля болезни обоснован только при условии достижения отрицательных краев в препарате. Это возможно в тех случаях, когда метастазы занимают ограниченную площадь, а раневой дефект может быть закрыт с помощью пластических приемов местными тканями. После хирургического вмешательства следует применять адъювантные мероприятия, такие как химиотерапия, гормонотерапия, таргетное и лучевое лечение. Что касается других методов лечения, то их выбор обусловлен распространенностью опухолевого процесса [16].
S. Hu и соавт. (2008 г.) показали, что при внутрикожных метастазах РМЖ без висцеральных поражений 3, 5 и 10-летняя общая выживаемость составила 51, 37 и 11% соответственно. В связи с этим хирургическое вмешательство может быть возможным как вариант лечения с метастазами в пределах кожи [30].
Нами, учитывая наличие изолированного внутрикожного метастаза, пациентке выполнена операция в объеме иссечения опухоли с последующей гормонотерапией ингибиторами ароматазы.
Системная химиотерапия, гормоно- и таргетная терапия являются 1-й линией лечения больных РМЖ с метастазами в кожу при прогрессировании первичного очага и наличии висцеральных метастазов [31].
Выбор метода химиотерапии, таргетной и гормонотерапии зависит от молекулярно-биологического варианта опухоли. Так, при положительных по рецепторам гормонов и отрицательных по рецепторам эпидермального фактора роста человека 2-го типа Her2 опухолях целесообразно применять ингибиторы CDK 4/6 [32].
Некоторые больные РМЖ с изолированными метастазами в кожу и при отсутствии их во внутренние органы могут иметь благоприятный прогноз и длительную продолжительность жизни. В ряде случаев возможно полное излечение с помощью только таргетной терапии [24].
Оккультный рак также имеет лучший прогноз, включая возможность спонтанной регрессии опухоли и ответ на менее агрессивные лечебные опции [20, 33].
Заключение
Метастазы в кожу волосистой части головы как первоначальное проявление оккультной формы РМЖ относятся к крайне редким случаям. Практическим врачам необходимо знать о таком варианте метастазирования РМЖ. Локальную алопецию следует расценивать как специфический симптом внутрикожного метастазирования при РМЖ. Важное значение для выбора персонализированного лечения имеет диагностический этап с применением всех известных и доступных методов медицинской визуализации. Такой подход обеспечивает мультидисциплинарная команда. Для лечения применяют весь арсенал специальных опций с учетом молекулярно-биологического варианта опухоли.
Мы наблюдали пациентку 82 лет с оккультной формой РМЖ, у которой клинический дебют состоялся в виде изолированного внутрикожного метастаза в теменной области. При комплексном обследовании других проявлений метастатической болезни не выявлено. Выполнено хирургическое лечение. При гистологическом и иммуногистохимическом исследовании опухоли установлен диагноз: метастаз аденокарциномы молочной железы; биологический вариант – люминальный тип А. Назначена длительная гормонотерапия ингибиторами ароматазы. Осмотрена через 6 мес, без признаков прогрессирования.
Раскрытие интересов. Авторы декларируют отсутствие явных и потенциальных конфликтов интересов, связанных с публикацией настоящей статьи.
Disclosure of interest. The authors declare that they have no competing interests.
Вклад авторов. Авторы декларируют соответствие своего авторства международным критериям ICMJE. Н.А. Огнерубов – разработка дизайна исследования, анализ полученных данных, окончательное написание рукописи; Р.С. Сергеев – анализ полученных данных, подбор иллюстративного материала; А.О. Хижняк – получение данных для анализа, обзор публикаций по теме статьи, подготовка рукописи; М.А. Огнерубова – анализ полученных данных; М.А. Джабраилов – анализ полученных данных, подбор иллюстративного материала.
Authors’ contribution. The authors declare the compliance of their authorship according to the international ICMJE criteria. N.A. Ognerubov – development of the study design, analysis of the data obtained, final writing of the manuscript; R.S. Sergeev – analysis of the data obtained, selection of illustrative material; A.O. Hizhnyak – collection of data for analysis, literature review on the topic of the article, preparation of the manuscript; M.A. Ognerubova – analysis of the data obtained; M.A. Dzhabrailov – analysis of the data obtained, selection of illustrative material.
Источник финансирования. Авторы декларируют отсутствие внешнего финансирования для проведения исследования и публикации статьи.
Funding source. The authors declare that there is no external funding for the exploration and analysis work.
Информированное согласие на публикацию. Пациентка подписала форму добровольного информированного согласия на публикацию медицинской информации.
Consent for publication. Written consent was obtained from the patient for publication of relevant medical information and all of accompanying images within the manuscript.
About the authors
Nikolai A. Ognerubov
Penza Institute for Advanced Training of Physicians – branch of the Russian Medical Academy of Continuous Professional Education
							Author for correspondence.
							Email: ognerubov_n.a@mail.ru
				                	ORCID iD: 0000-0003-4045-1247
				                	SPIN-code: 3576-3592
																		                								
D. Sci. (Med.), Cand. Sci. (Law)
Russian Federation, PenzaRuslan S. Sergeev
Regional Oncological Clinical Dispensary
														Email: russlannn777@mail.ru
				                	ORCID iD: 0009-0000-2832-0557
				                																			                								
oncologist
Russian Federation, PenzaAleksej O. Hizhnyak
Tambov Regional Oncological Clinical Dispensary
														Email: dr.hizhnyak@yandex.ru
				                	ORCID iD: 0009-0001-8229-2179
				                																			                								
oncologist
Russian Federation, TambovMarina A. Ognerubova
Tambov Regional Oncological Clinical Dispensary
														Email: gostyaeva.m.a@mail.ru
				                	ORCID iD: 0000-0003-0576-5451
				                																			                								
oncologist
Russian Federation, TambovMagomed A. Dzhabrailov
Derzhavin Tambov State University; Tambov Regional Oncological Clinical Dispensary
														Email: magomedrambler@mail.ru
				                	ORCID iD: 0000-0002-4360-8329
				                																			                								
Cand. Sci. (Econom.)
Russian Federation, Tambov;TambovReferences
- Prabhu S, Pai SB, Handattu S, et al. Cutaneous metastases from carcinoma breast: the common and the rare. Indian J Dermatol Venereol Leprol. 2009;75:499-502.
 - Chiu CS, Lin CY, Kuo TT, et al. Malignant cutaneous tumors of the scalp: a study of demographic characteristics and histologic distributions of 398 Taiwanese patients. J Am Acad Dermatol. 2007;56(3):448-52. doi: 10.1016/j.jaad.2006.08.060
 - da Costa REAR, Dos Reis CA, Moura RD, et al. Cutaneous metastasis of occult breast cancer: a case report. Pan Afr Med J. 2021;40:23. doi: 10.11604/pamj.2021.40.23.31009
 - Giovanna FM, Plutino FM, Turano L, et al. Isolated cutaneous metastasis of scalp in breast cancer: A case-report. Oncol Radiother. 2023;17(1):13-7.
 - Fayanju OM, Jeffe DB, Margenthaler JA. Occult primary breast cancer at a comprehensive cancer center. J Surg Res. 2013;185(2):684-9. doi: 10.1016/j.jss.2013.06.020
 - Di Chio F, Santangelo G, Fiorentino F, et al. Occult breast cancer in a female with benign lesions. J Cancer Res Ther. 2019;15(5):1170-2.
 - Kaklamani Kaklamani VV, Gradishar WW. Waltham; 2022. UpToDate. Axillary node metastases with occult primary breast cancer.
 - Terada M, Adachi Y, Sawaki M, et al. Occult breast cancer may originate from ectopic breast tissue present in axillary lymph nodes. Breast Cancer Res Treat. 2018;172(1):1-7. doi: 10.1007/s10549-018-4898-4
 - Moore S. Cutaneous metastatic breast cancer. Clin J Oncol Nurs. 2002;6(5):255-60. doi: 10.1188/02.CJON.255-260
 - Chisti MA, Alfadley AA, Banka N, Ezzat A. Cutaneous metastasis from breast carcinoma: a brief report of a rare variant and proposed morphological classification. Gulf J Oncol. 2013;1(14):90-4. Available at: https://www.scopus.com/inward/record.uri?eid=2-s2.0-84910067414%26partnerID=40%26md5=e5a9e8bcbddbf610bf9e54505eb65fd9. Accessed: 05.09.2023
 - Alizadeh N, Mirpour H, Azimi SZ. Scalp metastasis from occult primary breast carcinoma: a case report and review of the literature. Int J Womens Dermatol. 2018;4(4):230-5.
 - Ходорович О.С., Солодкий В.А., Калинина-Масри А.А., и др. Оккультный рак молочной железы. Обзор литературы и клинические примеры. Опухоли женской репродуктивной системы. 2020;16(4):46-53 [Khodorovich ОS, Solodkiy VA, Kalinina-Masri AA, et al. Occult breast cancer. Literature review and case series. Tumors of female reproductive system. 2020;16(4):46-53 (in Russian)]. doi: 10.17650/1994-4098-2020-16-4–46-53
 - Aleman Espino A, Bernal IC, Guarecuco JE, et al. Adenocarcinoma of the Breast Presenting as Occult Breast Cancer With Axillary and Supraclavicular Lymph Node Metastasis: A Case Report. Cureus. 2023;15(5): e39583. doi: 10.7759/cureus.39583
 - Globocan cancer observatory, 2022. Available at: https://gco.iarc.fr/Accessed: 10.09.2023.
 - Bittencourt MJS, Carvalho AH, Nascimento BA, et al. Cutaneous metastasis of a breast cancer diagnosed 13 years before. An Bras Dermatol. 2015;90:134-7.
 - Huang S, Parekh V, Waisman J et al. Cutaneous metastasectomy: Is there a role in breast cancer? A systematic review and overview of current treatment modalities. J Surg Oncol. 2022;126(2):217-38. doi: 10.1002/jso.26870
 - Ferreira VA, Spelta K, Martins Diniz L, Lucas EA. Exuberant case of cutaneous metastasis of breast cancer. An Bras Dermatol. 2018;93:429-31.
 - Kuwayama T, Sato T, Nakagawa T, et al. A case of scalp metastases from breast cancer successfully treated with letrozole. Gan To Kagaku Ryoho. 2011;38(12):2183-5.
 - Cohen-Kurzrock RA, Riahi RR. Cutaneous Metastatic Breast Cancer Masked by Hidradenitis Suppurativa. Cureus. 2021;13(1):e12862. doi: 10.7759/cureus.12862
 - Huang KY, Zhang J, Fu WF, et al. Different Clinicopathological Characteristics and Prognostic Factors for Occult and Non-occult Breast Cancer: Analysis of the SEER Database. Front Oncol. 2020;10:1420. doi: 10.3389/fonc.2020.01420
 - Paolino G, Pampena R, Grassi S, et al. Alopecia neoplastica as a sign of visceral malignancies: a systematic review. J Eur Acad Dermatol Venereol. 2019;33(6):1020-8. doi: 10.1111/jdv.15498
 - Rocha M, Azevedo D, Teira A, Barbosa M. Not everything is as it seems: a rare form of metastatic breast cancer. Autops Case Rep. 2019;9(2):e2018085.doi: 10.4322/acr.2018.085
 - Henriques L, Palumbo M, Guay MP, et al. Imiquimod in the treatment of breast cancer skin metastasis. J Clin Oncol. 2014;32(8): e22-5. DOI:0.1200/JCO.2012.46.4883
 - Kong JH, Park YH, Kim JA, et al. Patterns of skin and soft tissue metastases from breast cancer according to subtypes: relationship between EGFR overexpression and skin manifestations. Oncology. 2011;81(1):55-62. doi: 10.1159/000331417
 - Rollins-Raval M, Chivukula M, Tseng GC, et al. An immunohistochemical panel to differentiate metastatic breast carcinoma to skin from primary sweat gland carcinomas with a review of the literature. Arch Pathol Lab Med. 2011;135(8):975-83. doi: 10.5858/2009-0445-OAR2
 - Liu YF, Liu LY, Xia SL, et al. An unusual case of Scalp Metastasis from Breast Cancer. World Neurosurg. 2020;137:261-5.
 - Allison R, Mang T, Hewson G, et al. Photodynamic therapy for chest wall progression from breast carcinoma is an underutilized treatment modality. Cancer. 2001;91(1):1-8. doi: 10.1002/1097-0142(20010101)91:1<1: AID-CNCR1>3.0.CO;2-P
 - Nelson DW, Fischer TD, Graff-Baker AN, et al. Impact of effective systemic therapy on metastasectomy in stage IV melanoma: a matched-pair analysis. Ann Surg Oncol. 2019;26(13):4610-8. doi: 10.1245/s10434-019-07487-5
 - Enomoto LM, Levine EA, Shen P, Votanopoulos KI. Role of surgery for metastatic melanoma. Surg Clin North Am. 2020;100(1):127-39. doi: 10.1016/j.suc.2019.09.011
 - Hu SCS, Chen GS, Lu YW, et al. Cutaneous metastases from different internal malignancies: a clinical and prognostic appraisal. J Eur Acad Dermatol Venereol. 2008;22(6):735-40. doi: 10.1111/j.1468-3083.2008.02590.x
 - Poovaneswaran S, Lee ZEJ, Lim WY, et al. Cutaneous lesions as a presenting sign of metastases in male breast cancer: a rare clinical entity. Med J Malaysia. 2013;68(2):168-70. Available at: https://www.scopus.com/inward/record.uri?eid=2-s2.0-84876905197%26partnerID=40%26md5=b4d2aacf84d1461f2bd15506edda33ce. Accessed: 05.09.2023
 - Pizzuti L, Sergi D, Barba M, Vici P. Unusual long-lasting cutaneous complete response to lapatinib and capecitabine in a heavily pretreated HER2-positive plurimetastatic breast cancer paient. Tumori. 2013;99(3): e127-30. Available at: https://www.scopus.com/inward/record.uri?eid=2-s2.0-84886056753%26partnerID=40%26md5=b04f94305a41606a044048dc5e8969e8. Accessed: 05.09.2023
 - Takayama S, Satomi K, Yoshida M, et al. Spontaneous regression of occult breast cancer with axillary lymph node metastasis: A case report. Int J Surg Case Rep. 2019;63:75-9. doi: 10.1016/j.ijscr.2019.09.017
 
Supplementary files
				
			
					
						
						
				








