Efficacy and safety of alpelisib in patients with HR+HER2-negative metastatic breast cancer in real clinical practice: Results of a single-center observational retrospective study
- Authors: Sultanbaev A.V.1,2, Kolyadina I.V.3,4, Menshikov K.V.1,2, Musin S.I.1, Nasretdinov A.F.1, Sultanbaeva N.I.1, Rakhimov R.R.1, Lipatov D.O.2, Menshikova I.A.2, Izmailov A.A.1, Lipatova E.E.2
-
Affiliations:
- Republican Clinical Oncology Dispensary
- Bashkir State Medical University
- Russian Medical Academy of Continuous Professional Education
- Kulakov National Medical Research Center for Obstetrics, Gynecology and Perinatology
- Issue: Vol 26, No 1 (2024)
- Pages: 65-72
- Section: Articles
- Submitted: 18.04.2024
- Accepted: 18.04.2024
- Published: 05.03.2024
- URL: https://modernonco.orscience.ru/1815-1434/article/view/630446
- DOI: https://doi.org/10.26442/18151434.2024.1.202612
- ID: 630446
Cite item
Full Text
Abstract
Background. The combination of alpelisib with fulvestrant is the optimal targeted endocrine therapy for patients with hormone-positive (HR+) HER2-negative (HER2-) metastatic breast cancer (mBC) with mutations in the PIK3CA gene. This regimen has been shown to be highly effective in large phase II and III studies. However, randomized clinical trials cannot fully cover all possible clinical populations of pre-treated patients. Therefore, the real-world study of the efficacy and safety of the alpelisib + fulvestrant is warranted.
Aim. A retrospective analysis of the real-world efficacy and safety of alpelisib in patients with pre-treated luminal HER2- mBC.
Materials and methods. The study included 33 patients diagnosed with HR+ HER- mBC who received alpelisib in combination with fulvestrant in routine practice from 2020 to 2023. Twelve (36.4%) patients had a mutation in exon 9 of the PIK3CA gene, and 21 (63.6%) patients had a mutation in exon 20. Alpelisib was administered to pre-treated patients in different therapy lines: the median number of mBC treatment lines before alpelisib was 5 (1–8), 1 patient received alpelisib in line 1, 4 in line 2, 6 in line 3, 5 in line 4, 8 in line 5, 1 in line 6, 7 in line 7, and 1 in line 8. Patients with luminal B-type BC accounted for 72.7% (n=24). The ECOG status of 0, 1, and 2 points had 9.1%, 75.7%, and 15.2% of patients, respectively.
Results. The median overall survival was 14.0±2.5 months (95% confidence interval 9–18.9), and the median progression-free survival was 6.0±2.7 months (95% confidence interval 0.7–11.3). The prognostic factor was an interruption of drug therapy for any reason, which increased the risk of mortality. The adverse event profile was consistent with data from previous randomized trials.
Conclusion. The outcomes of therapy with alpelisib and fulvestrant show the effectiveness of this regimen in real-world settings in patients with HR+ HER2- advanced BC with a somatic mutation in the PIK3CA gene.
Full Text
Введение
С появлением ингибиторов CDK4/6 изменилось представление о возможностях и эффективности гормонотерапии больных раком молочной железы – РМЖ [1–3]. Комбинированная эндокринотерапия (ЭТ) с ингибиторами CDK4/6 (палбоциклибом, рибоциклибом или абемациклибом) и ингибиторами ароматазы или фулвестрантом позволила значимо пролонгировать выживаемость без прогрессирования (ВБП) до 25–33 мес при использовании этих режимов в качестве дебюта лечебной стратегии метастатического РМЖ – мРМЖ [1–5]. Однако гормонорезистентность, развившаяся после такой высокоэффективной терапии, требует обдуманного подхода к назначению последующей линии лечения.
Поиск новых терапевтических агентов для ЭТ привел исследователей к изучению механизма развития резистентности в пути PI3K/AKT/mTOR [6]. Выявили важную зависимость между наличием соматической мутации гена PIK3CA у больных HR+ HER2- РМЖ и аберрантной активацией сигнального пути фосфатидил-инозитол-3-киназы (PI3K) [7]. Встречаемость данной мутации, по разным источникам, составляет 30–45% у больных люминальным HER2-негативным мРМЖ. При этом авторы отмечают важную роль наличия таких генетических изменений в развитии резистентности к комбинированной терапии ингибиторами CDK4/6 [8–12].
Сигнальный путь PI3K/AKT/mTOR – крайне важная сигнальная система, которая контролирует клеточную выживаемость, рост, метаболизм и реорганизацию цитоскелета, поэтому нарушение в этом сигнальном пути может стать ключевым фактором в процессе канцерогенеза за счет увеличения онкогенных активирующих мутаций и инактивации опухоль-супрессирующих сигнальных путей [13]. Генетические аномалии в гене PIK3CA (амплификация или мутация) приводят к гиперактивации PI3K-опосредованного сигнального каскада [14]. Мутации в гене PIK3CA ассоциируются с неблагоприятным прогнозом и химиорезистентностью опухоли [7, 15]. Самыми частыми вариантами мутаций PIK3CA оказались три «горячие точки», они составляли 87% всех генетических аберраций: экзон 9-й – мутации E542 и E545 и экзон 20-й – мутация H1047 [6]. Ингибиторы PI3K позволяют таргетно воздействовать при данных генетических изменениях опухоли. В лечении люминального РМЖ таким таргетным препаратом стал алпелисиб.
Алпелисиб – селективный ингибитор α-изоформы каталитической субъединицы p110, которая составляет комплекс молекулы PI3K [16]. Алпелисиб продемонстрировал противоопухолевую активность в нескольких линиях раковых клеток и моделях ксенотрансплантатов, особенно в тех, которые содержали мутацию или амплификации PIK3CA [17].
В исследовании III фазы SOLAR-1 продемонстрировано преимущество добавления алпелисиба к фулвестранту у пациентов с мутацией PIK3CA при терапии люминальных форм мРМЖ [18]. В этом исследовании ВБП в экспериментальной группе составила 11 мес против 5,7 мес в контрольной (относительный риск 0,65, 95% доверительный интервал – ДИ 0,50–0,85; p=0,00065). Частота объективного ответа (ЧОО) в группе алпелисиба достигала 26,6% (95% ДИ 20,1–34,0) против 12,8% (95% ДИ 8,2–18,7) в группе фулвестранта с плацебо [10]. Одним из самых частых осложнений терапии алпелисибом стала гипергликемия, которая привела к полной отмене приема препарата у 6,1% пациентов [19]. Механизм данного осложнения связан с нарушением работы PI3K на фоне терапии алпелисибом, что приводит к инсулинорезистентности за счет нарушения сигнального пути от рецепторов инсулина [20]. Однако разработанный алгоритм оценки риска развития гипергликемии, ее профилактики, оптимальный мониторинг показателей глюкозы в крови максимально нивелируют частоту развития осложнений терапии [21, 22]. Другими значимыми нежелательными явлениями (НЯ) при терапии алпелисибом в рандомизированном клиническом исследовании (РКИ) стали сыпь (3-й степени у 9,9%) и диарея (3-й степени у 6,7% пациентов) [19].
Следует отметить, что алпелисиб также показал эффективность в лечении пациентов с мутацией PIK3CA с прогрессированием на ингибиторах CDK4/6, что нашло широкое отражение в клинических рекомендациях по лечению распространенного HR+ HER2- мРМЖ и в нашей стране [23, 24].
Цель исследования – ретроспективный анализ эффективности применения алпелисиба в реальной клинической практике (РКП) у пациенток с люминальным HER2- мРМЖ.
Материалы и методы
В исследование для анализа включены 33 пациентки с распространенным люминальным HER2- РМЖ с выявленной мутацией в гене PIK3CA, получавшие комбинированную терапию алпелисиб + фулвестрант в ГАУЗ «Республиканский клинический онкологический диспансер» Уфы с 2020 по 2023 г. Медиана возраста составила 57+13 лет (95% ДИ 52–62).
При анализе опухолей обращает на себя внимание высокая частота люминального B HER2- РМЖ (72,7%). В большинстве (87,9%) случаев пациентки имели висцеральные метастазы (поражение печени и легких – 69,7 и 60,6% соответственно). Клинически значимые метастазы в головной мозг определились в 3 (9,1%) случаях. Статус ECOG (Eastern Cooperative Oncology Group) соответствовал 0, 1 и 2 баллам у 9,1, 75,7 и 15,2% женщин соответственно.
Следует отметить, что у 12 (36,4%) пациенток выявлена мутация в гене PIK3CA в 9-м экзоне, у 21 (63,6%) – в 20-м экзоне.
Алпелисиб назначали предлеченным пациенткам в разных линиях: медиана количества линий терапии мРМЖ перед назначением алпелисиба составила 5 (1–8), в 1-й линии лечения мРМЖ – 1 пациентке, во 2-й линии – 3, в 3-й – 6; в 4-й – 5, в 5-й – 8, в 6-й – 2, в 7-й – 7 и в качестве 8-й линии – в 1 случае. По результатам анализа анамнеза заболевания следует отметить, что большинство (n=32, 97%) женщин до начала терапии алпелисибом получали режимы комбинированной ЭТ с ингибиторами CDK4/6: у 14 (42,4%) пациенток была терапия палбоциклибом в комбинации с фулвестрантом, у 4 (12,1%) – палбоциклибом с ингибиторами ароматазы, у 13 (39,5%) – рибоциклибом в комбинации с фулвестрантом, у 1 (3,0%) – рибоциклибом с ингибиторами ароматазы. Кроме того, 10 пациенток на 1–5-й линиях проходили последовательное лечение ингибиторами ароматазы и фулвестрантом, 11 пациенток на 1–3-й линиях получали только ингибиторы ароматазы и 4 пациентки на 4–6-й линиях находились на терапии фулвестрантом. Таким образом, среди пациентов, получающих терапию алпелисибом, основную долю составили предлеченные пациенты (препарат назначен в качестве 3–8-й линии в 87,9% случаев) с висцеральными метастазами с сохранным статусом (ECOG 0–1). Характеристика пациенток представлена в табл. 1.
Таблица 1. Характеристика пациенток со злокачественными новообразованиями молочной железы, получавших терапию алпелисибом с фулвестрантом Table 1. Characteristics of patients with breast cancer treated with alpelisib with fulvestrant | ||
Показатель | Абс. | % |
Возраст, лет, Ме (IQR) | 57 (52–62) | – |
Тип РМЖ | ||
люминальный А | 9 | 27,3 |
люминальный В | 24 | 72,7 |
Локализация мутации | ||
9-й экзон | 12 | 36,4 |
20-й экзон | 21 | 63,6 |
Характер метастазов | ||
висцеральные | 29 | 87,9 |
невисцеральные | 22 | 66,7 |
висцеральные + невисцеральные | 22 | 66,7 |
Локализация метастазов | ||
печень | 23 | 69,7 |
легкие | 20 | 60,6 |
головной мозг | 3 | 9,1 |
кости | 25 | 75,7 |
Статус ECOG | ||
0 | 3 | 9,1 |
1 | 25 | 75,7 |
2 | 5 | 15,2 |
Линия терапия | ||
1-я | 1 | 3,0 |
2-я | 3 | 9,1 |
3-я | 6 | 18,2 |
4-я | 5 | 15,2 |
5-я | 8 | 24,2 |
6-я | 2 | 6,1 |
7-я | 7 | 21,2 |
8-я | 1 | 3,0 |
Примечание. Me – медиана, IQR – межквартильный размах. | ||
Лечение проводили до прогрессирования или развития непереносимой токсичности. Эффективность лечения оценивали по критериям оценки ответа солидных опухолей RECIST 1.1 (Response Evaluation Criteria in Solid Tumors 1.1) на основании лучевых методов диагностики (компьютерной томографии – КТ, позитронно-эмиссионной КТ – ПЭТ/КТ) после каждых 3–6 курсов лекарственной терапии. Статистический анализ проводили с использованием программы StatTech v. 3.1.10 (разработчик ООО «Статтех», Россия).
Результаты
На момент среза данных (декабрь 2023 г.) лечение алпелисибом продолжают 25,0% пациенток, прогрессирование заболевания зарегистрировано у 66,7%, живы 42,4% женщин. Длительность применения алпелисиба варьировала от 1 до 33 мес. Медиана применения препарата составила 6 мес (межквартильный размах 4–6). НЯ зарегистрированы у всех пациенток, что явилось основной причиной временной остановки или отмены терапии. В 24,2% случаев на 1-м курсе терапии алпелисибом прием препарата после ступенчатого снижения дозы отменен у 1 (3%) пациентки из-за гепатотоксичности 4-й степени, у 2 (6,1%) пациенток – из-за неконтролируемой гипергликемии 3-й степени, у 5 (15,1%) пациенток отмечали сыпь и кожный зуд 3 и 4-й степени. Одной из серьезных и труднопреодолимых проблем при назначении алпелисиба со стороны пациентов явилось нежелание и невозможность следовать лечебным назначениям. Некомплаентность пациентов характеризовалась отклонением больных от врачебных предписаний по коррекции и профилактике сыпи и гипергликемии. В связи с развитием НЯ приостановка терапии потребовалась для 42,4% (n=14) пациенток, у одной пациентки нарушение тайминга обусловлено НЯ и перенесенной инфекцией COVID-19. РКИ дают убедительные доказательства эффективности лекарственных препаратов, однако их результаты сложно воспроизвести в условиях РКП из-за более гетерогенной популяции пациентов. В РКП в основном встречаются предлеченные пациенты с наличием различных сопутствующих заболеваний, которые не соответствуют критериям включения и исключения РКИ. В рамках нашего исследования особенности менеджмента НЯ определяли тайминг приема алпелисиба и эффективность терапии (табл. 2).
Таблица 2. Эффективность терапии алпелисибом и тайминг приема препарата Table 2. Efficacy of alpelisib therapy and timing of drug administration | ||
Показатель | Абс. | % |
Объективный ответ | ||
полный | 1 | 3,0 |
частичный | 9 | 27,3 |
стабилизация | 8 | 24,2 |
прогрессия | 15 | 45,5 |
Прерывание приема препарата | ||
нет | 19 | 57,6 |
да | 14 | 42,4 |
Редукция дозы | ||
нет | 25 | 75,8 |
да | 8 | 24,2 |
НЯ | все степени, абс. (%) | 3–4-й степени, абс. (%) |
лейкопения | 9 (28,1) | 0 |
повышение активности аланинаминотрансферазы | 21 (63,6) | 1 (3,0) |
гипергликемия | 21 (63,6) | 10 (30,3) |
повышение концентрации креатинина | 10 (30,3) | 1 (3,0) |
тошнота | 3 (9,1) | 0 |
повышенная утомляемость, астения | 17 (51,5) | 0 |
сыпь, кожный зуд | 14 (42,4) | 5 (15,2) |
В течение 1-го месяца после редукции дозы и прерывания приема препарата из 14 (42,4%) пациенток окончательная отмена терапии из-за НЯ была у 8 (24,2%) пациенток. Низкий комплаенс пациентов, а также отсутствие на начальных этапах терапии в 2020 г. разработанных программ сопровождения пациентов, принимающих алпелисиб, привели к развитию неуправляемой токсичности и отмене препарата. У 6 из 14 пациенток после коррекции НЯ прием препарата возобновлен в начальной дозе. Наиболее частыми НЯ, требовавшими редукции дозы, являлись гипергликемия и повышение уровня креатинина.
Оценка эффективности
Из результатов применения алпелисиба следует отметить, что ЧОО составила 30,3%, длительная стабилизация болезни зафиксирована в 24,2% наблюдений. Медиана ВБП в общей популяции пациенток на фоне терапии алпелисибом составила 6,0±2,7 мес (95% ДИ 0,7–11,3); рис. 1.
Рис. 1. ВБП на фоне приема алпелисиба в комбинации с фулвестрантом.
Fig. 1. Progression-free survival with alpelisib plus fulvestrant.
Меньший по сравнению с результатами исследования SOLAR-1 [18] показатель медианы ВБП в нашем анализе можно объяснить тем, что большинство пациентов получали алпелисиб в 3-й и последующих линиях, более 97% больных имели прогрессирование на предшествующей комбинированной ЭТ с ингибитором CDK4/6. Кроме того, следует отметить, что 63,6% пациентов имели предшествующее прогрессирование на фоне монотерапии фулвестрантом и 72,7% – на фоне терапии ингибиторами ароматазы.
Медиана общей выживаемости (ОВ) в общей группе пациенток на фоне терапии алпелисибом составила 14,0±2,5 мес (95% ДИ 9–18,9); рис. 2.
Рис. 2. ОВ на фоне терапии алпелисибом в общей группе.
Fig. 2. OS during alpelisib therapy in overall patients.
При оценке результатов лечения в подгруппах больных отмечено, что характер метастазирования и наличие висцеральных метастазов не оказывали значимого влияния на показатели выживаемости при терапии алпелисибом (p>0,05).
Анализ влияния биологического подтипа на выживаемость больных показал численное, но не достоверное увеличение продолжительности жизни пациенток с люминальным А подтипом РМЖ (медиана ОВ 23 мес от начала терапии алпелисибом, 95% ДИ 10–∞) по сравнению с группой люминального B подтипа РМЖ (медиана ОВ 14 мес от начала терапии, 95% ДИ 6–21); p=0,277 (рис. 3).
Рис. 3. Показатели ОВ в зависимости от подтипа РМЖ.
Fig. 3. OS rates depending on the subtype of breast cancer.
Следует отметить, что вид мутации PIK3CA не оказывал значимого влияния на показатели ОВ. Медиана продолжительности жизни у пациенток на терапии алпелисибом в группе с мутацией в 20-м экзоне достигла 22 мес (95% ДИ 10–∞), а при наличии мутации в 9-м экзоне медиана ОВ составила 14 мес от начала терапии (95% ДИ 5–∞); p=0,087 (рис. 4).
Рис. 4. Показатели ОВ в зависимости от локализации мутации.
Fig. 4. OS rates depending on the mutation site.
В наше исследование были включены всего 3 пациентки с наличием метастазов в головной мозг, при этом необходимо отметить возможность длительного контроля метастатических очагов. У 2 пациенток по поводу интракраниальных метастазов проведена лучевая терапия (ЛТ), и в последующем на фоне терапии алпелисибом контроль над заболеванием продолжается у 1-й пациентки более 33 мес, у 2-й – более 22 мес. У 3-й пациентки ЛТ в анамнезе не было, на 4-м месяце лечения констатирована прогрессия заболевания.
Как отмечалось выше, регистрационные клинические исследования демонстрируют эффективность лекарственных препаратов у избранных пациентов, однако в условиях РКП из-за более гетерогенной популяции больных показатели ВБП и ОВ могут существенно отличаться. В РКП часто встречаются пациенты, которые не соответствуют критериям включения и исключения в РКИ, а также больные с нарушением тайминга терапии, что представляет особый клинический интерес для онкологов.
С учетом возможного влияния нарушения тайминга на показатели выживаемости проведен дополнительный анализ. Отмечено, что медиана ОВ в группе беспрерывного приема препарата алпелисиб составила 21 мес от начала наблюдения (95% ДИ 9–∞), медиана ОВ в группе пациенток при нарушении тайминга составила 12 мес от начала терапии (95% ДИ 6–∞), данные различия высоко значимы. При нарушении тайминга приема алпелисиба у пациенток наблюдалось достоверно значимое увеличение риска смерти в 8,116 раза (95% ДИ 1,288–51,128; p=0,026); рис. 5.
Рис. 5. Показатели ОВ в зависимости от нарушения тайминга приема алпелисиба.
Fig. 5. OS rates depending on the timing of alpelisib interruption.
В исследовании выполнили анализ безопасности лечения препаратом алпелисиб. Наиболее частым НЯ, наблюдаемым у наших пациенток, была гипергликемия (в 63,6% случаев). С учетом риска ее развития до начала применения алпелисиба в соответствии с рекомендациями по менеджменту НЯ у пациенток определяли значения глюкозы в крови и уровень гликированного гемоглобина HbAlc. Перед началом терапии алпелисибом назначали метформин с индивидуальной дозировкой в зависимости от риска развития гипергликемии. После начала применения алпелисиба уровень глюкозы контролировали 1–2 раза в неделю на протяжении первых 2 недель, а затем не реже 1 раза в 4 недели и по клиническим показаниям. Уровень HbAlc контролировали каждые 3 мес и по клиническим показаниям. При развитии гипергликемии пациентки консультировались с эндокринологом, для них корректировали диету с назначением индивидуально подобранных доз метформина или эмпаглифлозина.
Для предотвращения кожной токсичности одновременно с алпелисибом всем пациентам рекомендовано применение неседативных блокаторов Н1-гистаминовых рецепторов (цетиризин в дозе 10 мг 1 раз в сутки). Прием препарата отменяли через 4–8 нед при отсутствии признаков сыпи. К сожалению, профилактика гипергликемии и сыпи не проводилась у пациенток, получавших алпелисиб в 2020 г., что обусловлено несоблюдением рекомендаций пациентками.
Клиническое наблюдение
Пациентка Н., 1955 г. р. В 1996 г. (в возрасте 41 года) по поводу рака эндометрия pT1аN0M0 выполнена экстирпация матки с придатками (гистологическое заключение – высокодифференцированная аденокарцинома). В июне 2011 г. по поводу рака левой молочной железы pT2N0M0 выполнена радикальная мастэктомия по Маддену слева (гистологическое заключение – инвазивная протоковая карцинома G2, РЭ +++, РП +++, НER2-отрицательный статус, Ki67–15%). В адъювантном режиме назначена гормонотерапия тамоксифеном. Через 31 мес от старта терапии тамоксифеном при КТ в декабре 2013 г. выявлены метастазы в легкие и кости, по поводу чего с декабря 2013 по апрель 2015 г. (16 мес) проводили гормонотерапию анастрозолом. В апреле 2015 г. по данным КТ отмечается отрицательная динамика. С апреля по июль 2015 г. провели химиотерапию (ХТ) в режиме АC (доксорубицин + циклофосфамид) с частичным ответом (ЧО), далее пациентка получала эксеместан в течение 7 мес. В январе 2016 г. на КТ зарегистрировано увеличение размеров метастатических очагов в легких и отмечено появление новых костных очагов. Проведена ЛТ на зоны костного поражения на фоне введения бисфосфонатов. В связи с отрицательной динамикой в легких на фоне лечения с марта по июль 2016 г. проведена ХТ доцетакселом с ЧО, далее – ЭТ фулвестрантом в течение 17 мес. В январе 2018 г. при ПЭТ/КТ отмечалась отрицательная динамика по метастатическим очагам в легких, в связи с чем к фулвестранту добавлен палбоциклиб. В ноябре 2019 г. на ПЭТ/КТ констатирована отрицательная динамика в виде появления новых метастатических очагов в легких и в левой плечевой кости. С декабря 2019 по январь 2020 г. проводили дистанционную ЛТ на метастатический очаг в левой плечевой кости. С января по март 2020 г. проводили ХТ паклитакселом. В марте 2020 г. из-за гематологической токсичности лечение паклитакселом отменено. C апреля 2020 по апрель 2021 г. проводили терапию рибоциклибом в комбинации с ингибиторами ароматазы. В январе 2021 г. при стабилизации по контрольным очагам выявлено прогрессирование в головной мозг. Пациентке провели дистанционную ЛТ на весь объем головного мозга. На данном этапе лечения пациентке сделали молекулярно-генетическое исследование метастатического очага и выявили мутацию гена PIK3CA (E542K в 9-м экзоне).
С апреля 2021 г. назначена терапия алпелисибом в комбинации с фулвестрантом (в качестве 7-й линии ЭТ). По результатам ПЭТ/ КТ от августа 2021 г. на фоне терапии алпелисибом отмечена положительная динамика – ЧО. С октября по декабрь 2021 г. пациентка прервала терапию алпелисибом в связи с коронавирусной инфекцией. По данным ПЭТ/КТ от декабря 2021 г. в сравнении с ПЭТ/КТ от августа 2021 г. отмечена отрицательная динамика опухолевого процесса. Учитывая ограниченность возможных лекарственных опций, принято решение о возобновлении терапии алпелисибом в комбинации с фулвестрантом в прежнем режиме. На фоне терапии отмечено клиническое улучшение общего состояния пациентки. По данным ПЭТ/КТ от июня 2022 г. продолжалась стабилизация заболевания: в динамике сохранялись множественные очаги в легких с умеренным снижением активности фтордезоксиглюкозы, в сегменте SIV левого легкого очаг размерами 13×10 мм, SUVmax 3,74 (ранее 16×10 мм, SUVmax 4,74), в сегменте SIX правого легкого до 17×14 мм, SUVmax 5,01 (ранее SUVmax 5,11), в динамике очаг в левой плечевой кости стабилен SUVmax 2,21 (ранее 2,35), очаг в левой бедренной кости SUVmax 4,83 (ранее 3,91), очаг в правой подвздошной кости SUVmax 2,6 (ранее 4,73). Терапию продолжили, при контрольных исследованиях от 15 декабря 2022 г. и 17 июня 2023 г. получены ЧО, 20 ноября 2023 г. ЧО сохранялся. Суммарная продолжительность лечения алпелисиб + фулвестрант составила 33 мес (рис. 6, 7).
Рис. 6. ЧО на терапию алпелисиб + фулвестрант по данным ПЭТ/КТ: определяются метастатические очаги в легких, в левой плечевой кости, в левой бедренной кости и в поясничном позвонке.
Fig. 6. PR for alpelisib + fulvestrant therapy according to PET/CT: metastatic lesions in the lungs, in the left humerus, in the left femur and in the lumbar vertebra are determined.
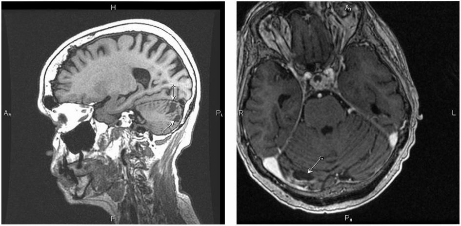
Рис. 7. ЧО на терапию алпелисиб + фулвестрант в головном мозге: в веществе правого полушария мозжечка сохраняются два очага кистозной структуры, количеством 5, неправильной формы, с наличием солидного компонента по периферии, глыбчато накапливающего контрастное вещество, в виде неравномерно утолщенного до 10 мм ободка, без наличия перифокального отека, с уменьшением размеров 35×36→24×14 мм и 16×25→11×20 мм.
Fig. 7. PR for alpelisib + fulvestrant therapy in the brain: in the right cerebellar hemisphere, there are two cystic lesions of irregular shape, with a solid peripheral component and lumpy uptake of the contrast agent, observed as an unevenly thickened rim up to 10 mm, without perifocal edema; their size decreased from 35×36 mm to 24×14 mm and from 16×25 to 11×20 mm.
Обсуждение
По результатам исследования показатели ОВ и ВБП в общей группе пациенток (33 случая) оказались несколько меньше, чем в РКИ SOLAR-1 – ВБП 11 мес, ОВ 39,3 мес [18], что может быть обусловлено назначением алпелисиба в более поздних линиях лечения по сравнению с критериями терапии в РКИ, с наличием у 97% больных в анамнезе терапии ингибиторами CDK4/6, а также более гетерогенной группой пациентов в РКП [18, 25]. При этом ЧОО на терапию алпелисибом по нашим данным достигла 30,3%, что было сопоставимо с результатами РКИ SOLAR-1, в котором ЧОО составила 35,7%.
Результаты нашего анализа перекликаются с данными исследования II фазы BYLieve, в котором продемонстрирована эффективность применения алпелисиба с фулвестрантом у пациентов, получавших на предшествующих линиях лечение ингибиторами CDK4/6 в комбинации с гормонотерапией [23]. В исследование включены 336 пациенток, которых распределили в 3 рукава в зависимости от режима терапии предшествующей линии. В когорту А включили пациенток, получавших в предшествующих линиях ингибитор CDK4/6 в комбинации с ингибитором ароматазы (n=112). В когорту В включили пациенток, получавших в предшествующих линиях ингибитор CDK4/6 в комбинации с фулвестрантом (n=112). В когорту С вошли пациентки с прогрессированием на ЭТ или ХТ (n=112). Наилучшие результаты лечения отмечены в когорте А, что, вероятно, связано с применением алпелисиба на ранних линиях терапии. Так, медиана ВБП в когорте А составила 8,0 мес, в когорте В – 5,7 мес, в когорте С – 5,6 мес [23]. Несмотря на существенную предлеченность наших пациентов (у 97% в анамнезе указаны ингибиторы CDK4/6, в 63,6% – терапия фулвестрантом) и поздние линии назначения алпелисиба (в качестве 3-й и далее линии лечения – 87,9% больных), таргетная терапия ингибитором PI3K позволила достичь медиану ВБП в 6 мес, а медиану ОВ – в 14 мес, что является несомненным успехом терапии в такой сложной клинической ситуации.
Фатальной локализацией метастазирования при РМЖ является головной мозг [26, 27]. По данным нашего исследования, при добавлении к таргетной терапии алпелисибом локальной терапии на зоны интракраниального поражения контроль над метастазами улучшается. Существенно значимым оказался показатель прерывания препарата – несоблюдение тайминга приема алпелисиба по любым причинам неблагоприятным образом отразилось на продолжительности жизни больных и значимо увеличило риск смерти. В нашем анализе не выявлено статистически значимых различий в показателях ОВ и ВБП в группах люминального А и В подтипов, локализации мутации PIK3CA, а также наличии или отсутствии висцеральных метастазов. При этом нужно отметить, что основной причиной прекращения или нарушения тайминга приема препарата являлась неуправляемая токсичность. У всех пациенток зарегистрированы НЯ разной степени. При этом у 21 (63,6%) пациентки отмечена гипергликемия (3 и 4-й степени – 30,3%) и у 14 (42,4%) пациенток – кожная токсичность (3–4 степени – 15,2%). В исследовании SOLAR-1 частота гипергликемии была сопоставима (64,8%), сыпь отмечена у 1/3 всех пациентов, что сопоставимо с нашими данными.
Клинический пример демонстрирует высокую эффективность терапии алпелисибом у пациентки с предлеченным HR+ HER2- мРМЖ. Следует отметить, что в данной ситуации, несмотря на позднюю линию назначения алпелисиба, наличие в анамнезе ингибиторов CDK4/6 и монотерапии фулвестрантом, наличие интракраниальных метастазов, длительность ответа на таргетную терапию ингибитором PI3K составила более 33 мес, что существенно превосходит результаты крупных РКИ.
Вывод
Первые результаты использования алпелисиба с фулвестрантом подтверждают его эффективность в РКП у больных с предлеченным HR+ HER2- мРМЖ с наличием соматической мутации в гене PIK3CA. Тестирование опухоли на выявление такой таргетной мишени позволяет назначать пациентам данную терапию на ранних линиях лечения мРМЖ. Назначение комбинации алпелисиб + фулвестрант в более поздних линиях в рутинной практике чревато потерей результативности лечения, что может привести к более низким (по сравнению с данными РКИ) показателям выживаемости. Поражение головного мозга является неблагоприятным прогностическим фактором у больных с мутацией PIK3CA, что требует оптимизации лечебного алгоритма, в том числе и за счет лучевых методов. Нежелательным является прерывание приема препарата, которое увеличивает риск смерти в 8 раз, что подтверждает необходимость применения оптимального менеджмента профилактики и мониторинга токсичности.
Раскрытие интересов. Авторы декларируют отсутствие явных и потенциальных конфликтов интересов, связанных с публикацией настоящей статьи.
Disclosure of interest. The authors declare that they have no competing interests.
Вклад авторов. Авторы декларируют соответствие своего авторства международным критериям ICMJE. А.В. Султанбаев, И.В. Колядина – концепция статьи; А.В. Султанбаев, И.В. Колядина, Ш.И. Мусин – концепция и дизайн исследования; А.В. Султанбаев, А.Ф. Насретдинов, Ш.И. Мусин, Н.И. Султанбаева, К.В. Меньшиков, И.В. Колядина – написание текста; А.В. Султанбаев, Ш.И. Мусин, Н.И. Султанбаева, А.Ф. Насретдинов, К.В. Меньшиков – сбор и обработка материала; А.В. Султанбаев, Ш.И. Мусин, Н.И. Султанбаева, А.Ф. Насретдинов, К.В. Меньшиков – обзор литературы; Д.О. Липатов, А.Ф. Насретдинов – перевод на английский язык; А.В. Султанбаев, Ш.И. Мусин, И.В. Колядина – анализ материала; Ш.И. Мусин – статистическая обработка; А.В. Султанбаев, И.В. Колядина, Ш.И. Мусин, А.Ф. Насретдинов, Н.И. Султанбаева, К.В. Меньшиков, И.А. Меньшикова, Р.Р. Рахимов, Д.О. Липатов, Е.Е. Липатова, А.А. Измайлов – редактирование; А.В. Султанбаев, И.В. Колядина – утверждение окончательного варианта статьи.
Authors’ contribution. The authors declare the compliance of their authorship according to the international ICMJE criteria. A.V. Sultanbaev, I.V. Kolyadina – article concept; A.V. Sultanbaev, I.V. Kolyadina, Sh.I. Musin – study concept and design; A.V. Sultanbaev, A.F. Nasretdinov, Sh.I. Musin, N.I. Sultanbaeva, K.V. Menshikov, I.V. Kolyadina – text writing; A.V. Sultanbaev, Sh.I. Musin, N.I. Sultanbaeva, A.F. Nasretdinov, K.V. Menshikov – data collection and processing; A.V. Sultanbaev, Sh.I. Musin, N.I. Sultanbaeva, A.F. Nasretdinov, K.V. Menshikov – literature review; D.O. Lipatov, A.F. Nasretdinov – translation into English; A.V. Sultanbaev, Sh.I. Musin, I.V. Kolyadina – data analysis; Sh.I. Musin – statistical processing; A.V. Sultanbaev, I.V. Kolyadina, Sh.I. Musin, A.F. Nasretdinov, N.I. Sultanbaevaeva, K.V. Menshikov, I.A. Menshikova, R.R. Rakhimov, D.O. Lipatov, E.E. Lipatova, A.A. Izmailov – editing; A.V. Sultanbaev, I.V. Kolyadina – final article approval.
Источник финансирования. Авторы декларируют отсутствие внешнего финансирования для проведения исследования и публикации статьи.
Funding source. The authors declare that there is no external funding for the exploration and analysis work.
Информированное согласие на публикацию. Пациенты подписали форму добровольного информированного согласия на публикацию медицинской информации.
Consent for publication. Written consent was obtained from the patients for publication of relevant medical information and all of accompanying images within the manuscript.
About the authors
Alexander V. Sultanbaev
Republican Clinical Oncology Dispensary; Bashkir State Medical University
Author for correspondence.
Email: rkodrb@yandex.ru
ORCID iD: 0000-0003-0996-5995
Cand. Sci. (Med.)
Russian Federation, Ufa; UfaIrina V. Kolyadina
Russian Medical Academy of Continuous Professional Education; Kulakov National Medical Research Center for Obstetrics, Gynecology and Perinatology
Email: irinakolyadina@yandex.ru
ORCID iD: 0000-0002-1124-6802
- D. Sci. (Med.)
Russian Federation, Moscow; Moscow
Konstantin V. Menshikov
Republican Clinical Oncology Dispensary; Bashkir State Medical University
Email: kmenshikov80@bk.ru
ORCID iD: 0000-0003-3734-2779
Cand. Sci. (Med.), oncologist
Russian Federation, Ufa; UfaShamil I. Musin
Republican Clinical Oncology Dispensary
Email: musin_shamil@mail.ru
ORCID iD: 0000-0003-1185-977X
Cand. Sci. (Med.), Department Head
Russian Federation, UfaAinur F. Nasretdinov
Republican Clinical Oncology Dispensary
Email: rkodrb@yandex.ru
ORCID iD: 0000-0001-8340-7962
oncologist, Department Head
Russian Federation, UfaNadezda I. Sultanbaeva
Republican Clinical Oncology Dispensary
Email: nd.sultan@rambler.ru
ORCID iD: 0000-0001-5926-0446
oncologist, Republican Clinical Oncology Dispensary
Russian Federation, UfaRadmir R. Rakhimov
Republican Clinical Oncology Dispensary
Email: radmir-rr@mail.ru
ORCID iD: 0000-0002-2488-597X
Cand. Sci. (Med.), oncologist
Russian Federation, UfaDanila O. Lipatov
Bashkir State Medical University
Email: lipatov911@gmail.com
ORCID iD: 0000-0002-3193-9008
Student
Russian Federation, UfaIrina A. Menshikova
Bashkir State Medical University
Email: i-menshikova@bk.ru
ORCID iD: 0000-0002-8665-8895
Cand. Sci. (Med.), Assoc. Prof.
Russian Federation, UfaAdel A. Izmailov
Republican Clinical Oncology Dispensary
Email: izmailov75@mail.ru
ORCID iD: 0000-0002-8461-9243
D. Sci. (Med.)
Russian Federation, UfaElena E. Lipatova
Bashkir State Medical University
Email: lipatovoleg@bk.ru
ORCID iD: 0000-0003-2588-3033
Cand. Sci. (Med.), Bashkir State Medical University
Russian Federation, UfaReferences
- Spring LM, Wander SA, Zangardi M, Bardia A. CDK 4/6 Inhibitors in Breast Cancer: Current Controversies and Future Directions. Curr Oncol Rep. 2019;21(3):25. doi: 10.1007/s11912-019-0769-3
- Cristofanilli M, Turner NC, Bondarenko I, et al. Fulvestrant plus palbociclib versus fulvestrant plus placebo for treatment of hormone-receptor-positive, HER2-negative metastatic breast cancer that progressed on previous endocrine therapy (PALOMA-3): final analysis of the multicentre, double-blind, phase 3 randomised controlled trial. Lancet Oncol. 2016;17(4):425-39. doi: 10.1016/S1470-2045(15)00613-0
- Колядина И.В. По следам SABCS 2022: TOP-12 исследований по распространенному раку молочной железы, которые могут изменить нашу клиническую практику. Современная онкология. 2023;25(1):46-54 [Kolyadina IV. Following in the footsteps of SABCS 2022: top 12 advanced breast cancer studies that could change our clinical practice: A review. Journal of Modern Oncology. 2023;25(1):46-54 (in Russian)]. doi: 10.26442/18151434.2023.1.202102
- Колядина И.В. Рибоциклиб в лечении больных HR+ HER2-отрицательным распространенным раком молочной железы: обновленные результаты рандомизированных клинических исследований и их роль для клинической практики. Опухоли женской репродуктивной системы. 2021;17(2):58-67 [Kolyadina IV. Ribociclib in the treatment of HR+ HER2-negative metastatic breast cancer: updated results from the randomized clinical trials and their role in the clinical practice. Tumors of Female Reproductive System. 2021;17(2):58-67 (in Russian)]. doi: 10.17650/1994-40 98-2021-17-2-58-67
- Гречухина К.С., Воронцова К.А., Куко Т.М., и др. Абемациклиб – уникальный представитель класса ингибиторов CDK4/6 в лечении HR+ HER2- метастатического рака молочной железы. Фарматека. 2021;28(7):15-27 [Grechukhina KS, Vorontsova KA, Kuko TM, et al. Abematsiklib – unikal’nyi predstavitel’ klassa ingibitorov CDK4/6 v lechenii HR+ HER2- metastaticheskogo raka molochnoi zhelezy. Farmateka. 2021;28(7):15-27 (in Russian)].
- Martínez-Sáez O, Chic N, Pascual T, et al. Frequency and spectrum of PIK3CA somatic mutations in breast cancer. Breast Cancer Res. 2020;22(1):45. doi: 10.1186/s13058-020-01284-9
- Mosele F, Stefanovska B, Lusque A, et al. Outcome and molecular landscape of patients with PIK3CA-mutated metastatic breast cancer. Ann Oncol. 2020;31(3):377-86. doi: 10.1016/j.annonc.2019.11.006
- Sultanbaev A, Nasretdinov A, Menshikov K, et al. Abstract P1-07-09: Results of treatment with inhibitors of cycline-dependent kinase CDK4/6 in patients with breast cancer in the presence of different types mutation in the PIK3CA gene. In: Proceedings of the 2021 San Antonio Breast Cancer Symposium; 2021 Dec 7-10. Cancer Res. 2022;82(Suppl. 4): abstract P1-07-09. doi: 10.1158/1538-7445.SABCS21-P1-07-09
- Mangone FR, Bobrovnitchaia IG, Salaorni S, et al. PIK3CA exon 20 mutations are associated with poor prognosis in breast cancer patients. Clinics (Sao Paulo). 2012;67(11):1285-90. doi: 10.6061/clinics/2012(11)11
- André F, Ciruelos E, Rubovszky G, et al; SOLAR-1 Study Group. Alpelisib for PIK3CA-Mutated, Hormone Receptor-Positive Advanced Breast Cancer. N Engl J Med. 2019;380(20):1929-40. doi: 10.1056/NEJMoa1813904
- Липатов О.Н., Султанбаева Н.И., Меньшиков К.В., Султанбаев А.В. Опыт определения мутаций в гене PIK3CA у больных раком молочной железы в Республике Башкортостан. Злокачественные опухоли. 2020;10(3S1):108-9 [Lipatov ON, Sultanbaeva NI, Men’shikov KV, Sultanbaev AV. Opyt opredeleniia mutatsii v gene PIK3CA u bol’nykh rakom molochnoi zhelezy v Respublike Bashkortostan. Malignant Tumours. 2020;10(3S1):108-9 (in Russian)].
- Семиглазова Т.Ю., Сорокина И.В. Прогностическое и предиктивное значения мутации гена PIK3CA у больных раком молочной железы. Фарматека. 2019;26(7):10-20 [Semiglazova TIu, Sorokina IV. Prognostic and predictive values of the PIK3CA gene mutation in patients with breast cancer. Farmateka. 2019;26(7):10-20 (in Russian)]. doi: 10.18565/pharmateca.2019.7.10-20
- Noorolyai S, Shajari N, Baghbani E, et al. The relation between PI3K/AKT signalling pathway and cancer. Gene. 2019;698:120-8. doi: 10.1016/j.gene.2019.02.076
- Kaklamani VG, Richardson AL, Arteaga CL. Exploring Biomarkers of Phosphoinositide 3-Kinase Pathway Activation in the Treatment of Hormone Receptor Positive, Human Epidermal Growth Receptor 2 Negative Advanced Breast Cancer. Oncologist. 2019;24(3):305-12. doi: 10.1634/theoncologist.2018-0314
- Sobhani N, Roviello G, Corona SP, et al. The prognostic value of PI3K mutational status in breast cancer: A meta-analysis. J Cell Biochem. 2018;119(6):4287-92. doi: 10.1002/jcb.26687
- Juric D, Rodon J, Tabernero J, et al. Phosphatidylinositol 3-Kinase α-Selective Inhibition With Alpelisib (BYL719) in PIK3CA-Altered Solid Tumors: Results From the First-in-Human Study. J Clin Oncol. 2018;36(13):1291-9. doi: 10.1200/JCO.2017.72.7107
- Fritsch C, Huang A, Chatenay-Rivauday C, et al. Characterization of the Novel and Specific PI3Kα Inhibitor NVP-BYL719 and Development of the Patient Stratification Strategy for Clinical Trials. Mol Cancer Ther. 2014;13(5):1117-29. doi: 10.1158/1535-7163.MCT-13-0865
- André F, Ciruelos EM, Juric D, et al. Alpelisib plus fulvestrant for PIK3CA-mutated, hormone receptor-positive, human epidermal growth factor receptor-2-negative advanced breast cancer: final overall survival results from SOLAR-1. Ann Oncol. 2021;32(2):208-17. doi: 10.1016/j.annonc.2020.11.011
- Rugo HS, André F, Yamashita T, et al. Time course and management of key adverse events during the randomized phase III SOLAR-1 study of PI3K inhibitor alpelisib plus fulvestrant in patients with HR-positive advanced breast cancer. Ann Oncol. 2020;31(8):1001-10. doi: 10.1016/j.annonc.2020.05.001
- Kushi R, Hirota Y, Ogawa W. Insulin resistance and exaggerated insulin sensitivity triggered by single-gene mutations in the insulin signaling pathway. Diabetol Int. 2020;12(1):62-7. doi: 10.1007/s13340-020-00455-5
- Tankova T, Senkus E, Beloyartseva M, et al. Management Strategies for Hyperglycemia Associated with the α-Selective PI3K Inhibitor Alpelisib for the Treatment of Breast Cancer. Cancers (Basel). 2022;14(7):1598. doi: 10.3390/cancers14071598
- Шливко И.Л., Гаранина О.Е., Артамонова Е.В., и др. Консенсус по профилактике и коррекции сыпи у пациентов, получающих терапию препаратом алпелисиб. Современная Онкология. 2021;23(4):572-6 [Shlivko IL, Garanina OE, Artamonova EV, et al. The consensus on the prevention and correction of rash in patients with HR+ HER2- metastatic breast cancer treated with alpelisib. Journal of Modern Oncology. 2021;23(4):572-6 (in Russian)]. doi: 10.26442/18151434.2021.4.201275
- Chia S, Neven P, Ciruelos EM, et al. Alpelisib + endocrine therapy in patients with PIK3CA-mutated, hormone receptor-positive, human epidermal growth factor receptor 2-negative, advanced breast cancer: Analysis of all 3 cohorts of the BYLieve study. J Clin Oncol. 2023;41(Suppl. 16):1078. doi: 10.1200/JCO.2023.41.16_suppl.1078
- Тюляндин С.А., Артамонова Е.В., Жигулев А.Н., и др. Практические рекомендации по лекарственному лечению рака молочной железы. Практические рекомендации RUSSCO, часть 1. Злокачественные опухоли. 2023;13(3s2):157-200 [Tiuliandin SA, Artamonova EV, Zhigulev AN, et al. Prakticheskie rekomendatsii po lekarstvennomu lecheniiu raka molochnoi zhelezy. Prakticheskie rekomendatsii RUSSCO, chast’ 1. Malignant Tumours. 2023;13(3s2):157-200 (in Russian)].
- Turner S, Chia S, Kanakamedala H, et al. Effectiveness of Alpelisib + Fulvestrant Compared with Real-World Standard Treatment Among Patients with HR+, HER2-, PIK3CA-Mutated Breast Cancer. Oncologist. 2021;26(7):e1133-42. doi: 10.1002/onco.13804
- Банов С.М., Гуторов С.Л., Колядина И.В., и др. Рак молочной железы с метастазами в головной мозг: современные возможности лечения. Вопросы онкологии. 2021;67(5):614-23 [Banov SM, Gutorov SL, Kolyadina IV, et al. Breast cancer with brain metastases: current treatment options. Voprosy onkologii. 2021;67(5):614-23 (in Russian)].
- Филоненко Д.А., Белогурова А.В., Султанбаев А.В., и др. Эффективность алпелисиба при метастазах в головном мозге люминального HER2-негативного рака молочной железы: клинические наблюдения. Вопросы онкологии. 2023;69(1):135-42 [Filonenko DA, Belogurova AV, Sultanbaev AV, et al. Alpelisib efficacy in luminal HER2-negative breast cancer with brain metastases: clinical cases. Voprosy onkologii. 2023;69(1):135-42 (in Russian)]. doi: 10.37469/0507-3758-2023-69-1–135-142
Supplementary files










