Recurrent desmoid-type retroperitoneal fibromatosis: clinical observation
- Authors: Budurova M.D.1, Fainshtein I.A.1, Turupaev K.A.2, Kalinin A.E.1, Kozlov N.A.1
-
Affiliations:
- Blokhin National Medical Research Center of Oncology
- Yevdokimov Moscow State University of Medicine and Dentistry
- Issue: Vol 22, No 4 (2020)
- Pages: 125-129
- Section: CLINICAL ONCOLOGY
- Submitted: 17.02.2021
- Accepted: 17.02.2021
- Published: 17.02.2021
- URL: https://modernonco.orscience.ru/1815-1434/article/view/61191
- DOI: https://doi.org/10.26442/18151434.2020.4.200424
- ID: 61191
Cite item
Full Text
Abstract
This article deals with the rare clinical observation of the patient with recurrent desmoid-type fibromatosis, who have achieved long-term stability after surgical treatment. A 24-year-old patient was diagnosed with retroperitoneal tumor which size was 8.8×5.6×13 cm in 2013, infiltrating the left psoas muscle, left kidney, left common and left external iliac arteries, descending colon and sigmoid colon. The patient underwent surgery in the volume of the tumor removal, resection of the left common iliac artery and prosthetics using GORE-TEX prosthesis, left hemicolectomy, left nephrectomy at Blokhin National Medical Research Center of Oncology. The first recurrence of the tumor was detected nine months after the surgery. Due to the subsequent growth of tumor mass, located along the left external iliac artery and in the inguinal canal, the repeated surgery was performed. Then the patient had a second relapse, and underwent surgery again. The third recurrence was detected seven months after the last surgery. During the multidisciplinary discussion, according to the absence of complaints and the small size of the recurrent tumor, as well as the absence of the risk of life-threatening complications, it was decided to stop on the observation. The patient was examined once every six months – there were no data concerning recurrent tumor growth. Today, the patient is alive, does not have any complaints and is able-bodied. Our clinical observation demonstrates that active surgical tactics in case of the retroperitoneal fibromatosis recurrence not always can lead to long-term progression-free survival time and several patients can stay under the observation, using Look and Stay tactic.
Full Text
Согласно классификации Всемирной организации здравоохранения десмоидный фиброматоз (десмоид, агрессивный фиброматоз) относится к категории пограничных мезенхимальных опухолей с неопределенным или низким потенциалом злокачественности [1–8]. Низкая частота встречаемости (менее 3% среди опухолей мягких тканей) этой патологии объясняет редкость имеющихся публикаций по лечению этой патологии [1–3, 6, 9].
Десмоиды принято разделять по локализации на интра- и экстраабдоминальные [9]. Брыжеечный фиброматоз как один из вариантов внутрибрюшного десмоида – наиболее агрессивное пролиферативное поражение брыжейки и чаще всего связан с наличием врожденной генетической патологии – синдрома Гарднера и семейного аденоматозного полипоза [4, 10, 11].
Опухоль характеризуется агрессивным местнодеструирующим ростом и частым рецидивированием [5, 12–14]. Клиническое течение десмоидных опухолей непредсказуемо и может варьировать от вялотекущего и бессимптомного до агрессивного процесса с выраженными клиническими проявлениями. В то же время некоторые авторы отмечают возможность спонтанной остановки роста и регрессии опухоли [7, 15]. В связи с этим одной из самых сложных проблем лечения десмоидного фиброматоза является определение прогноза и, соответственно, тактики лечения [16–18]. На сегодняшний день не существует гистопатологических или молекулярных критериев для определения течения этих опухолей как более «доброкачественная» или более «злокачественная». В итальянском проспективном исследовании для выявления геномных различий у пациентов с десмоидным фиброматозом (10 CTNNB1-мутировавших и 2 WT) только у 17% пациентов наблюдалось прогрессирование заболевания. Как в этом исследовании, так и в других не удалось обнаружить достоверного наличия специфической мутации, характерной для развития рецидива заболевания [19].
Совсем недавно выжидательная тактика без лечения Look and stay поддержана некоторыми онкологами из-за имеющихся данных о сопоставимой выживаемости при различных методах лечения десмоидных опухолей [20–25]. По данным M. Fiore и соавт. (2009 г.), 5-летняя выживаемость без прогрессирования составила 49,9% для группы Look and stay и 58,6% для пациентов, получавших медикаментозное лечение (p=0,3196), при этом в случае первичного и рецидивирующего десмоидного фиброматоза получены аналогичные результаты. Проведенный авторами многофакторный анализ не выявил неблагоприятных предикторов выживаемости без прогрессирования [26]. Опираясь на данные в том числе других исследований, авторы предлагают тактику Look and stay с применением так называемого терапевтического окна в случае отсутствия клинических симптомов и локализации опухоли вдали от жизненно важных структур [20]. В случае прогрессирования они рекомендуют удалять опухоль [27–29].
Основным методом лечения резектабельных форм интраабдоминального десмоида является удаление опухоли в пределах здоровых тканей (R0). Влияние положительных краев резекции на локальный контроль и риск рецидива остается дискутабельным [30]. В ряде исследований показано, что статус краев резекции – независимый прогностический фактор рецидива [3, 31–34]. В других исследованиях не удалось показать достоверной связи между краями резекции и частотой рецидива [35]. Недавние исследования показали отсутствие различий в выживаемости после R0- и R1-удаления опухоли. Таким образом, удаление опухоли с R1-краями резекции является допустимым, если выполнение R0-резекции будет сопровождаться значительным повышением частоты послеоперационных осложнений [25, 36, 37].
Улучшение локального контроля после удаления опухоли с положительными краями резекции возможно с помощью послеоперационной дистанционной лучевой терапии [34, 38–44].
В случае нерезектабельных опухолей или удаления опухоли с R2-краями резекции могут быть использованы следующие методы лечения: терапия нестероидными противовоспалительными препаратами (сулиндак, целекоксиб), гормонотерапия (тамоксифен или аналоги), химиопрепараты (доксорубицин, метотрексат + винбластин), таргетые препараты (иматиниб, сорафениб) [45]. Так, в проспективном исследовании тамоксифен в комбинации с препаратом сулиндак приводил к стабилизации у больных с прогрессированием опухоли или рецидивом после операции [46]. Доксорубицин, как и метотрексат + винбластин, также показал свою эффективность в лечении нерезектабельных форм десмоидных опухолей [47–53]. Лечение нерезектабельных десмоидных опухолей включает большой спектр лекарственных препаратов, однако ожидаемый эффект терапии, как правило, – стабилизация.
Клиническое наблюдение
Больной С., 24 года, в июне 2013 г. самостоятельно обнаружил у себя опухолевидное образование. За медицинской помощью обратился в больницу по месту жительства в январе 2014 г., где выявлена забрюшинная опухоль и выполнены эксплоративная лапаротомия, биопсия опухоли. Специфическое лечение не назначено. Через 8 мес у больного появились боли в левой поясничной области: при обследовании выявлен гидронефроз слева в связи со сдавлением опухолью мочеточника. Больной направлен в ФГБУ «НМИЦ онкологии им. Н.Н. Блохина», где обследован.
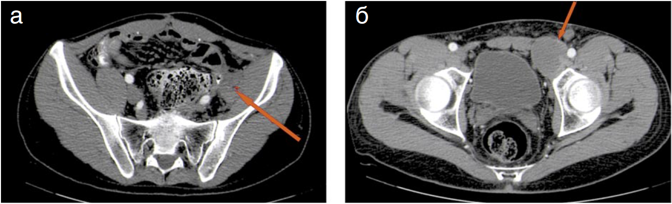
При КТ-ангиографии выявлено объемное образование в забрюшинном пространстве с четкими контурами размером 8,8×5,6×13 см, практически не накапливающее контрастный препарат (рис. 1). Опухоль оттесняет левую почку. По наружному контуру опухоли проходит левый мочеточник. По верхнему контуру образования проходят почечные сосуды. По задней поверхности опухоль инфильтрирует поясничную мышцу, тесно прилежит к брюшной аорте, левой общей подвздошной артерии, инфильтрирует наружную подвздошную артерию. Нисходящая ободочная кишка и сигмовидная кишка распластаны на опухоли. На уровне крыла левой подвздошной кости определяется аналогичное образование размером 4,3×3,9 см, протяженностью 7 см, которое пролабирует из брюшной полости в левую паховую область через левый паховый канал. По наружному контуру опухоли определяется стентированный левый мочеточник.
Рис. 1. Пациент C., 24 года. КТ. Аксиальные срезы. Артериальная фаза. Забрюшинно слева определяется практически аваскулярная опухоль с неровными, частично четкими контурами, инфильтрирующая левую поясничную мышцу (а), окружающая левую подвздошную артерию (б) – указано стрелками.
Fig. 1. Patient S., 24 years old. CT. Arterial phase axial. The almost avascular tumor with rough, partially sharp edges, infiltrating the left psoas muscle (a), surrounding the left iliac artery is observed in the retroperitoneal spatium to the left, (b) – as indicated by the arrows.
Примечание. КТ – компьютерная томография.
23.12.2014 состоялся мультидисциплинарный консилиум. Пациент оперирован. При ревизии дополнительно выявлено, что опухоль врастает в лоханку и нижний полюс левой почки, в левую общую и левую наружную подвздошные артерии. Опухоль мобилизована от нижней полой вены и брюшной аорты, правой общей подвздошной артерии, на отдельных участках с адвентицией магистральных сосудов. Выполнены удаление опухоли, резекция левой общей подвздошной артерии с протезированием протезом GORЕ-TEX, левосторонняя гемиколэктомия, левосторонняя нефрэктомия.
Гистологическое и иммуногистохимическое исследование опухоли брыжейки ободочной кишки с антителами к S-100, collagen IV, Ki-67, SMA, MSA, b-catenin. В клетках опухоли выявлена диффузная экспрессия SMA, MSA, b-catenin (ядерная). Индекс Ki-67 – 3%. Экспрессия остальных маркеров в клетках опухоли не обнаружена. Таким образом, иммунофенотипические и клинико-морфологические характеристики опухоли соответствуют брыжеечному фиброматозу. Края резекции – R1.
Послеоперационный период без осложнений. Больной выписан из стационара на 22-е сутки после операции. Рекомендовано динамическое наблюдение.
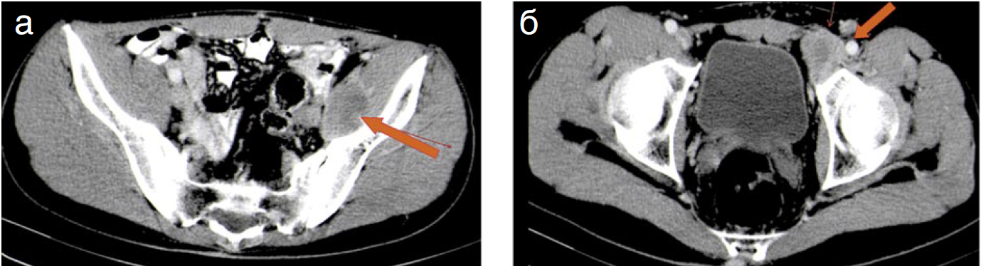
Через 9 мес после операции выявлен рецидив опухоли. Учитывая отсутствие жалоб и сдавления жизненно важных структур, рекомендовано наблюдение (рис. 2).
Рис. 2. Тот же пациент С. спустя 9 мес. КТ. Аксиальные срезы. Артериальная фаза. По ходу левой наружной подвздошной артерии (а) и в паховом канале (б) определяются рецидивные гиповаскулярные опухолевые узлы округлой формы с частично четкими контурами.
Fig. 2. Same patient S. after 9 months. CT. Arterial phase axial. Recurrent hypovascular tumor nodes round-shaped with partially sharp edges are observed along the left external iliac artery (a) and in the inguinal canal (b).
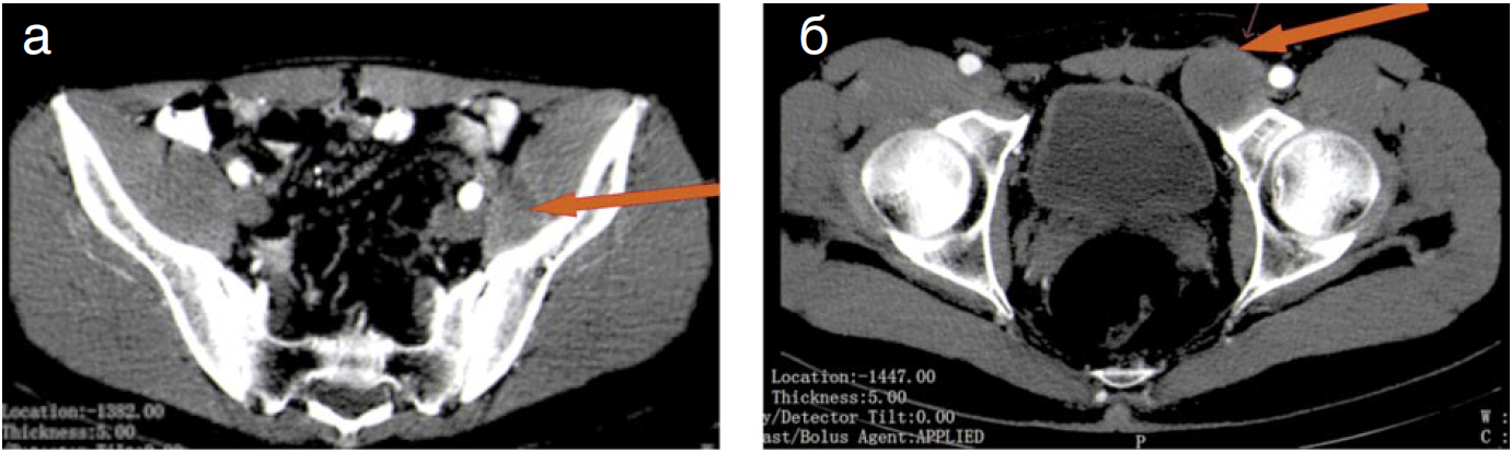
Через 9 мес после выявления рецидива отмечен рост опухоли, локализующийся в области левых подвздошных сосудов (рис. 3). По данным обследований размеры ранее выявленных рецидивных узлов (в паховом канале, толще брюшной стенки) увеличились с 2,5 до 3,5 см.
Рис. 3. Пациент C. через 9 мес после выявления 1-го рецидива (18 мес после операции). КТ. Аксиальные срезы. Артериальная фаза. По ходу левой наружной подвздошной артерии (а) и в паховом канале (б) определяются рецидивные гиповаскулярные опухолевые узлы округлой формы с частично четкими контурами, увеличенные в размерах по сравнению с предыдущим исследованием.
Fig. 3. Patient S. 9 months after the first relapse (18 months after the surgery). CT. Arterial phase axial. Recurrent hypovascular tumor nodes, round-shaped with partially sharp edges, enlarged in size compared to the previous study are observed along the left external iliac artery (a) and in the inguinal canal (b).
06.04.2017, через 21 мес после выявления 1-го рецидива, больной оперирован в нашем центре в связи с ростом рецидивной опухоли. При ревизии – в левом латеральном канале опухолевый конгломерат, врастающий в тела V поясничного и I–II крестцовых позвонков, который окутывает левые подвздошные сосуды, врастает в брыжейку и стенку сигмовидной кишки в зоне ранее сформированного трансверзо-сигмоанастомоза. Выполнена резекция толстой кишки, левой общей и наружной подвздошной артерии с протезированием, левой общей и наружной подвздошной вены от зоны конфлюенса до бедренного канала. Острым путем опухоль мобилизована от тел поясничных позвонков. Опухоль удалена. Послеоперационный период протекал без особенностей. При морфологическом исследовании – рецидив десмоидной опухоли с R1-краями резекции.
Через 4 мес после операции выялен 2-й рецидив заболевания: по данным КТ-ангиографии опухолевый узел тесно прилежит к наружным подвздошным сосудам слева, при этом нет четкой границы с наружной подвздошной веной на протяжении около 2 см, инфильтрирует косую мышцу живота, тесно прилежит к левой лонной кости, без признаков деструкции коркового слоя. Слева от узла отмечается инфильтрация клетчатки размером до 2×1,5 см, которая муфтообразно охватывает 1/2 окружности бедренной вены и артерии. Пресакрально слева, на уровне S1-позвонка (в зоне операции), сохраняется уплотнение клетчатки до 2,3×1,5 см – без динамики – послеоперационные изменения? (рис. 4).
Рис. 4. Пациент С. Через 4 мес после 2-й операции. КТ. Аксиальные срезы. Артериальная фаза. По ходу левых наружных подвздошных сосудов (а) и в проекции пахового канала (б) определяются рецидивные гиповаскулярные опухолевые узлы округлой формы с частично четкими контурами.
Fig. 4. Patient S. 4 months after the second surgery. CT. Arterial phase axial. Recurrent hypovascular tumor nodes round-shaped with partially sharp edges are observed along the left external iliac vessels (a) and in the projection of the inguinal canal (b).
15.11.2017 больной оперирован по поводу 2-го рецидива опухоли. Опухоль мобилизована от левой наружной подвздошной артерии и протеза левой общей бедренной артерии, левой бедренной вены, выполнена резекция наружной и внутренней косых мышц живота, надкостницы лонной кости. Послеоперационный период – без осложнений. При морфологическом исследовании – рецидив десмоидной опухоли с R1-краями резекции.
Через 7 мес выявлен 3-й рецидив опухоли. На мультидисциплинарном обсуждении, учитывая отсутствие жалоб и небольшие размеры рецидивной опухоли, а также отсутствие риска развития угрожающих жизни осложнений решено ограничиться наблюдением.
Больному проводится ежегодное обследование с частотой один раз в полгода – данных по поводу роста рецидивной опухоли не отмечено. На сегодняшний день больной жив, жалоб не предъявляет, трудоспособен, постоянно контактирует с группой врачей ФГБУ «НМИЦ онкологии им. Н.Н. Блохина».
Заключение
В заключение следует отметить, что на сегоднящний день нет объективных признаков прогнозирования агрессивного течения заболевания или длительной стабилизации на фоне лекарственного лечения или даже без лечения. Имеющиеся в литературе данные о возможных самопроизвольных регрессах опухолей не должны быть оправданием выжидательной тактики врача [20, 54]. Несмотря на то, что хирургический метод является основным в лечении десмоидного фиброматоза, удаление рецидивной опухоли становится проблемой выбора между положительным хирургическим краем резекции (R1, R2) и травматичностью операции с последующей инвалидизацией больного. Тем не менее хирургическое вмешательство с отрицательными или R1-краями резекции, по-видимому, оптимальный выбор в лечении этой категории пациентов [55]. Но, как мы продемонстрировали, активная хирургическая тактика при рецидиве забрюшинного фиброматоза не всегда приводит к достижению длительного времени без прогрессирования. Контроль болевого синдрома, стабилизация роста опухоли становятся главными задачами в лечении десмоидов забрюшинной локализации [56].
Финансирование. Исследование выполнено без финансовой поддержки.
Financing. The study was performed without financial support.
Соблюдение прав пациентов. Пациент подписал информированное согласие на участие в исследовании.
Author contributions. Compliance with patient rights. Patient gave written informed consent to participate in the study.
Вклад авторов
М.Д. Будурова – разработка дизайна исследования, анализ результатов, написание текста рукописи.
И.А. Файнштейн – научное редактирование текста рукописи. Хирургическое лечение пациента.
К.А. Турупаев – сбор и анализ клинических данных, научной литературы. Написание текста рукописи.
А.Е. Калинин – научное редактирование текста рукописи, утверждение окончательной версии для публикации.
Н.А. Козлов – сбор клинических данных.
Конфликт интересов. Авторы заявляют об отсутствии конфликта интересов.
Conflict of interests. The authors declare no conflict of interest.
About the authors
Marina D. Budurova
Blokhin National Medical Research Center of Oncology
Author for correspondence.
Email: m.budurova@rambler.ru
ORCID iD: 0000-0003-1391-0516
SPIN-code: 1412-8811
D. Sci. (Med.)
Russian Federation, MoscowIgor A. Fainshtein
Blokhin National Medical Research Center of Oncology
Email: m.budurova@rambler.ru
ORCID iD: 0000-0002-1647-9234
D. Sci. (Med.)
Russian Federation, MoscowKirill A. Turupaev
Yevdokimov Moscow State University of Medicine and Dentistry
Email: m.budurova@rambler.ru
ORCID iD: 0000-0001-8887-5108
Clinical Resident
Russian Federation, MoscowAleksei E. Kalinin
Blokhin National Medical Research Center of Oncology
Email: m.budurova@rambler.ru
ORCID iD: 0000-0001-7457-3889
Cand. Sci. (Med.)
Russian Federation, MoscowNikolai A. Kozlov
Blokhin National Medical Research Center of Oncology
Email: m.budurova@rambler.ru
ORCID iD: 0000-0003-3852-3969
Cand. Sci. (Med.)
Russian Federation, MoscowReferences
- Новикова О.В. Половые гомоны в этиологии, патогенезе и лечении десмоидных фибром». Дис. … д-ра мед. наук. М., 2008; с. 197–9. [Novikova O.V. Polovye gomony v etiologii, patogeneze i lechenii desmoidnykh fibrom’. Dis. … d-ra med. nauk. Moscow, 2008; p. 197–9 (in Russian).]
- Хомяков В.М., Черемисов В.В., Чайка А.В. и др. Опыт хирургического лечения десмоидных фибром абдоминальной и интраабдоминальной локализации. Хирургия. Журн. им. Н.И. Пирогова. 2014; 11: 17–25. [Khomiakov V.M., Cheremisov V.V., Chaika A.V. et al. Opyt khirurgicheskogo lecheniia desmoidnykh fibrom abdominal’noi i intraabdominal’noi lokalizatsii. Khirurgiia. Zhurn. im. N.I. Pirogova. 2014; 11: 17–25 (in Russian).]
- Huang K, Fu H, Shi YQ et al. Prognostic factors for extra-abdominal and abdominal wall desmoids: a 20-year experience at a single institution. J Surg Oncol 2009; 100: 563–9. http://www.ncbi.nlm.nih.gov/pubmed/19722232
- Каприн А.Д., Рябов А.Б., Черемисов В.В. и др. Десмоидная фиброма забрюшинного пространства с вовлечением нижней полой вены и мочеточника. Онкология. Журн. им. П.А. Герцена. 2016; 3: 65–70. [Kaprin A.D., Riabov A.B., Cheremisov V.V. et al. Desmoidnaia fibroma zabriushinnogo prostranstva s vovlecheniem nizhnei poloi veny i mochetochnika. Onkologiia. Zhurn. im. P.A. Gertsena. 2016; 3: 65–70 (in Russian).]
- Кострыгин А.К., Рябов А.Б., Хомяков В.М. и др. Результаты хирургического лечения пациентов с десмоидными фибромами абдоминальной локализации. Онкология. Журн. им. П.А. Герцена. 2018; 7 (2): 4–15. [Kostrygin A.K., Riabov A.B., Khomiakov V.M. et al. Rezul’taty khirurgicheskogo lecheniia patsientov s desmoidnymi fibromami abdominal’noi lokalizatsii. Onkologiia. Zhurn. im. P.A. Gertsena. 2018; 7 (2): 4–15 (in Russian).]
- Escobar C, Munker R, Thomas JO et al. Update on desmoid tumors. Ann Oncol 2012; 23 (3): 562–9. doi: 10.1093/annonc/mdr386
- Gronchi A, Jones RL. Treatment of Desmoid Tumors in 2019. JAMA Oncol 2019; 5 (4): 567–8. doi: 10.1001/jamaoncol.2018.6449
- Reitamo JJ, Scheinin TM, Häyry P. The desmoid syndrome. New aspects in the cause, pathogenesis and treatment of the desmoid tumor. Am J Surg 1986; 151 (2): 230–7.
- Couto Netto SD, Teixeira F Jr, Menegozzo CAM et al. Abdominal wall reconstruction after desmoid type fibromatosis radical resection: Case series from a single institution and review of the literature. Int J Surg Case Rep 2017; 33: 167–72. doi: 10.1016/j.ijscr.2017.02.050
- Bright-Thomas RM, Agrawal A, Hargest R. Preclinical studies of gene transfer for the treatment of desmoid disease in familial adenomatous polyposis. Br J Surg 2002; 89: 1563–9.
- Abate M, Pigazzi A. Mesenteric fibromatosis in a patient with a history of neuroblastoma: a case report. J Surg Case Rep 2018; 2018 (9): rjy209. doi: 10.1093/jscr/rjy209
- Fritz A, Percy C, Jack A et al. International classification of diseases for oncology (ICD-O), 3rd ed. WHO, Geneva. 2000.
- Болотина Л.В., Новикова О.В., Прокофьева Е.А. Роль химиотерапии в лечении агрессивного фиброматоза. Онкология. Журн. им. П.А. Герцена. 2012; 3: 72–6. [Bolotina L.V., Novikova O.V., Prokof’eva E.A. Rol’ khimioterapii v lechenii agressivnogo fibromatoza. Onkologiia. Zhurn. im. P.A. Gertsena. 2012; 3: 72–6 (in Russian).]
- Karakousis CP, Mayordomo J, Zografos GC. Desmoid tu-mors of the trunk and extremity.Cancer 1993; 72: 1637–41.
- Nath MC, Torbenson MS, Erickson LA. Desmoid Tumor. Mayo Clin Proc 2018; 93 (4): 549–50. doi: 10.1016/j.mayocp.2018.02.009
- Caglar K, Ozyönüm H, Akalin M, Balci S. Effective treatment of multifocal aggressive fibromatosis with low-dose chemotherapy. Turk J Pediatr 2006; 48 (4): 365–8.
- Libertini M, Mitra I, van der Graaf WTA et al. Aggressive fibromatosis response to tamoxifen: lack of correlation between MRI and symptomatic response. Clin Sarcoma Res 2018; 8: 13. doi: 10.1186/s13569-018-0100-3
- Mukherjee A, Malcolm A, de la Hunt M, Neal DE. Pelvic fibromatosis (desmoid)--treatment with steroids and tamoxifen. Br J Urol 1995; 75 (4): 559–60. doi: 10.1111/j.1464-410x.1995.tb07289.x
- Colombo C, Urbini M, Astolfi A et al. Novel intra-genic large deletions of CTNNB1 gene identified in WT desmoid-type fibromatosis. Genes Chromosomes Cancer 2018; 57 (10): 495–503. doi: 10.1002/gcc.22644
- Seinen JM, Niebling MG, Bastiaannet E et al. Four different treatment strategies in aggressive fibromatosis: a systematic review. Clin Transl Radiat Oncol 2018; 12: 1–7.
- Plukker JT, van Oort I, Vermey A. Aggressive fibromatosis (non-familial desmoid tumour): therapeutic problems and the role of adjuvant radiotherapy. Br J Surg 1995; 82: 510–4.
- Dalén BPM, Geijer M, Kvist H et al. Gunterberg, Clinical and imaging observations of desmoid tumors left without treatment, Acta Orthop 2006; 77: 932–7. doi: 10.1080/17453670610013259
- Barbier O, Anract P, Pluot E et al. Tomeno – Primary or recurring extra-abdominal desmoid fibromatosis: assessment of treatment by observation only. Orthop Traumatol Surg Res 2010; 96: 884–9. doi: 10.1016/j.otsr.2010.07.007
- Colombo C, Miceli R, Le Péchoux C et al. Bonvalot, Sporadic extra abdominal wall desmoid-type fibromatosis: surgical resection can be safely limited to a minority of patients. Eur J Cancer Oxf Engl 2015 186–92, doi: 10.1016/j.ejca.2014.11.019
- Salas S, Dufresne A, Bui B et al. Prognostic factors influencing progression-free survival determined from a series of sporadic desmoid tumors: a wait-and-see policy according to tumor presentation. J Clin Oncol 2011; 29: 3553–8. http://www.ncbi.nlm.nih.gov/pubmed/21844500
- Fiore M, Rimareix F, Mariani L et al. Desmoid-type fibromatosis: a front-line conservative approach to select patients for surgical treatment. Ann Surg Oncol 2009; 16: 2587–93. http://www.ncbi.nlm.nih.gov/pubmed/19568815
- Rodriguez‐Bigas MA, Mahoney MC, Karakousis CP, Petrelli NJ. Desmoid tumors in patients with familial adenomatous polyposis. Cancer 1994; 74: 1270–4.
- Pikaar A, Nortier JW, Griffioen G, Vasen HF. Desmoid tumors in patients with familial adenomatous polyposis. Ned Tijdschr Geneeskd 2002; 20 (146): 1355–9.
- Torres JC, Xin C. An unusual finding in a desmoid-type fibromatosis of the pancreas: a case report and review of the literature. J Med Case Rep 2018; 12 (1): 123. doi: 10.1186/s13256-018-1635-x
- Melis M, Zager JS, Sondak VK. Multimodality management of desmoid tumors: how important is a negative surgical margin? J Surg Oncol 2008; 98: 594–602. http://www.ncbi.nlm.nih.gov/pubmed/19072851
- Peng PD, Hyder O, Mavros MN et al. Management and recurrence patterns of desmoids tumors: a multi-institutional analysis of 211 patients. Ann Surg Oncol 2012; 19: 4036–42. http://www.ncbi.nlm.nih.gov/pubmed/22972507
- Stoeckle E, Coindre JM, Longy M et al. A critical analysis of treatment strategies in desmoid tumours: a review of a series of 106 cases. Eur J Surg Oncol 2009; 35: 129–34. http://www.ncbi.nlm.nih.gov/pubmed/18760561
- Mullen JT, Delaney TF, Kobayashi WK et al. Desmoid tumor: analysis of prognostic factors and outcomes in a surgical series. Ann Surg Oncol 2012; 19: 4028–35. http://www.ncbi.nlm.nih.gov/pubmed/22965569
- Janssen ML, van Broekhoven DL, Cates JM et al. Meta-analysis of the influence of surgical margin and adjuvant radiotherapy on local recurrence after resection of sporadic desmoid-type fibromatosis. Br J Surg 2017; 104: 347–57. https://www.ncbi.nlm.nih.gov/pubmed/28199014
- Neuman HB, Brogi E, Ebrahim A et al. Desmoid tumors (fibromatoses) of the breast: a 25-year experience. Ann Surg Oncol 2008; 15: 274–80. http://www.ncbi.nlm.nih.gov/pubmed/17896146
- Crago AM, Denton B, Salas S et al. A prognostic nomogram for prediction of recurrence in desmoid fibromatosis. Ann Surg 2013; 258: 347–53. http://www.ncbi.nlm.nih.gov/pubmed/23532110
- Cates JM, Stricker TP. Surgical resection margins in desmoid-type fibromatosis: a critical reassessment. Am J Surg Pathol 2014; 38: 1707–14. http://www.ncbi.nlm.nih.gov/pubmed/25392923
- Gluck I, Griffith KA, Biermann JS et al. Role of radiotherapy in the management of desmoid tumors. Int J Radiat Oncol Biol Phys 2011; 80: 787–92. http://www.ncbi.nlm.nih.gov/pubmed/20615622
- Goy BW, Lee SP, Eilber F et al. The role of adjuvant radiotherapy in the treatment of resectable desmoid tumors. Int J Radiat Oncol Biol Phys 1997; 39: 659–65. http://www.ncbi.nlm.nih.gov/pubmed/9336146
- Jelinek JA, Stelzer KJ, Conrad E et al. The efficacy of radiotherapy as postoperative treatment for desmoid tumors. Int J Radiat Oncol Biol Phys 2001; 50: 121–5. http://www.ncbi.nlm.nih.gov/pubmed/11316554
- Fontanesi J, Mott MP, Kraut MJ et al. The role of postoperative irradiation in the treatment of locally recurrent incompletely resected extra- abdominal desmoid tumors. Sarcoma 2004; 8: 83–6. http://www.ncbi.nlm.nih.gov/pubmed/18521399
- Baumert BG, Spahr MO, Von Hochstetter A et al. The impact of radiotherapy in the treatment of desmoid tumours. An international survey of 110 patients. A study of the Rare Cancer Network. Radiat Oncol 2007; 2: 12. http://www.ncbi.nlm.nih.gov/pubmed/17343751
- Guadagnolo BA, Zagars GK, Ballo MT. Long-term outcomes for desmoid tumors treated with radiation therapy. Int J Radiat Oncol Biol Phys 2008; 71: 441–7. http://www.ncbi.nlm.nih.gov/pubmed/18068311
- Santti K, Beule A, Tuomikoski L et al. Radiotherapy in desmoid tumors : Treatment response, local control, and analysis of local failures. Strahlenther Onkol 2017. https://www.ncbi.nlm.nih.gov/pubmed/28044201
- National Comprehensive Cancer Network. NCCN clinical practice guidelines in oncology: sarcoma (version 1.2019). https://www.nccn.org/professionals/physician_gls/pdf/sarcoma.pdf
- Hansmann A, Adolph C, Vogel T et al. High-dose tamoxifen and sulindac as first-line treatment for desmoid tumors. Cancer 2004; 100: 612–20. http://www.ncbi.nlm.nih.gov/pubmed/14745880
- Patel SR, Evans HL, Benjamin RS. Combination chemotherapy in adult desmoid tumors. Cancer 1993; 72: 3244–7. http://www.ncbi.nlm.nih.gov/pubmed/8242548
- Poritz LS, Blackstein M, Berk T et al. Extended follow-up of patients treated with cytotoxic chemotherapy for intra-abdominal desmoid tumors. Dis Colon Rectum 2001; 44: 1268–73. http://www.ncbi.nlm.nih.gov/pubmed/11584198
- Garbay D, Le Cesne A, Penel N et al. Chemotherapy in patients with desmoid tumors: a study from the French Sarcoma Group (FSG). Ann Oncol 2012; 23: 182–6. http://www.ncbi.nlm.nih.gov/pubmed/21444357
- Constantinidou A, Jones RL, Scurr M et al. Pegylated liposomal doxorubicin, an effective, well-tolerated treatment for refractory aggressive fibromatosis. Eur J Cancer 2009; 45: 2930–4. http://www.ncbi.nlm.nih.gov/pubmed/19767198
- Weiss AJ, Horowitz S, Lackman RD. Therapy of desmoid tumors and fibromatosis using vinorelbine. Am J Clin Oncol 1999; 22: 193–5. http://www.ncbi.nlm.nih.gov/pubmed/10199460
- Azzarelli A, Gronchi A, Bertulli R et al. Low-dose chemotherapy with methotrexate and vinblastine for patients with advanced aggressive fibromatosis. Cancer 2001; 92: 1259–64. http://www.ncbi.nlm.nih.gov/pubmed/11571741
- Park KH, Choi YJ, Kim KW et al. Combination chemotherapy with methotrexate and vinblastine for surgically unresectable, aggressive fibromatosis. Jpn J Clin Oncol 2016; 46: 845–9. https://www.ncbi.nlm.nih.gov/pubmed/27365524
- D’Elia G, Caliendo G, Casamassimi A et al. APC and MUTYH Analysis in FAP Patients: A Novel Mutation in APC Gene and Genotype-Phenotype Correlation. Genes 2018; 9 (7): 322.
- Muthu Saravanan A, Gurubharath I. Histopathological and radiological findings of desmoid tumor of abdominal cavity. IAIM 2018; 5 (10): 147–52.
- Pruksakorn D, Lorsomradee S, Phanphaisarn A et al. Safety and efficacy of intralesional steroid injection for aggressive fibromatosis. World J Surg Oncol 2017; 15 (1): 195. doi: 10.1186/s12957-017-1262-9
Supplementary files







