Radiation therapy in treatment of Rosai–Dorfman disease: literature review and report of a patient with cutaneous form
- Authors: Potapenko V.G.1,2, Belousova I.E.3, Vinogradova J.N.4, Kelehsaeva K.A.4, Ulitin A.M.4, Smirnova I.O.5,6, Petunova Y.G.5,6, Ilyin N.V.4
-
Affiliations:
- Municipal Clinical Hospital №31
- Pavlov First Saint Petersburg State Medical University
- Kirov Military Medical Academy
- Granov Russian Research Center for Radiology and Surgical Technologies
- Municipal Hospital of Venerological and Skin Diseases
- Saint Petersburg State University
- Issue: Vol 22, No 4 (2020)
- Pages: 120-124
- Section: CLINICAL ONCOLOGY
- Submitted: 17.02.2021
- Accepted: 17.02.2021
- Published: 17.02.2021
- URL: https://modernonco.orscience.ru/1815-1434/article/view/61190
- DOI: https://doi.org/10.26442/18151434.2020.4.200480
- ID: 61190
Cite item
Full Text
Abstract
Rosai–Dorfman disease (RDD) is a rare variant of the nonlangergans histiocytosis. Various presentation, systemic and localised forms and limited publications make diagnostics and prompt management difficult.
Aim. Literature review and presentation of the patient with cutaneous form of RDD.
Results. The patient is a 56 y.o male. In October 2019 he noticed a tumour in the left temporal area. After 3 weeks the tumor was removed. During the next two weeks the tumour recurred within the post-operative scar. After the review of the specimen and staging the skin form Rosai–Dorfman disease was diagnosed. Irradiation (total dose 36 Gr) was conducted. The tumor lessened. Through the next 4 months response is stable.
Сonclusion. Radiation therapy as a second line of treatment of the skin RDD led to a stable response.
Keywords
Full Text
Болезнь Розаи–Дорфмана–Дестомбса (БРД) – это редкий вариант нелангергансоклеточного гистиоцитоза, который впервые описан в 1960-х годах патологами Пьером Дестомбсом, Хуаном Розаи и Рональдом Дорфманом. В их работах представлены больные со значительным увеличением шейных лимфоузлов. При гистологическом анализе узла был выявлен выраженный гистиоцитоз синусов. Авторы назвали заболевание «синусовый гистиоцитоз с массивной лимфаденопатией» [1].
В соответствии с актуальной классификацией Международного гистиоцитарного общества БРД отнесена сразу к 2 группам: системные формы к R-группе, а вариант с изолированным кожным поражением – к С-группе (табл. 1) [2].
Таблица 1. Классификация гистицоитозов и новообразований макрофагально-дендритической линейности Table 1. Classification of histiocytoses and neoplasms of the macrophage-dendritic cell lineages |
L-группа: • гистиоцитоз из клеток Лангерганса (ГКЛ) • недетерминированный гистиоцитоз • болезнь Эрдхейма–Честера (БЭЧ) • смешанный ГКЛ/БЭЧ С-группа: • кожный нелангергансоклеточный гистиоцитоз: – ксантогранулема (КГ): ювенильная КГ, КГ взрослых, солитарная ретикулогистиоцитома, доброкачественный цефалический гистиоцитоз, генерализованный эруптивный гистиоцитоз, прогрессирующий нодулярый гистиоцитоз – нексантогранулемные: кожная форма БРД, некробиотическая КГ, другие кожные нелангергансоклеточные гистиоцитозы неуточненные • кожный нелангергансоклеточный гистиоцитоз со значительным системным компонентом R-группа: • семейная БРД • спорадическая БРД: классическая, экстранодальная, БРД с новообразованием или иммунным заболеванием, неклассифицируемая М-группа: • первичный злокачественный гистиоцитоз • вторичный злокачественный гистиоцитоз (следующий за или ассоциированный с другим гемобластозом). Подтипы: гистиоцитарый, интердигитирующий, лангергансоклеточный, недетерминированный H-группа: • первичный гемофагоцитарный синдром: моногенно наследуемые состояния, ведущие к гемофагоцитарному лимфогистиоцитозу • вторичный гемофагоцитарный лимфогистиоцитоз (наследуемый не по закону Менделя) • гемофагоцитарный лимфогистиоцитоз неуточненного/неизвестного генеза |
БРД встречается как самостоятельное заболевание, так и в ассоциации с аутоиммунными, наследственными и опухолевыми процессами [3, 4].
Заболевание считается незлокачественным, так как к настоящему времени клональности гистиоцитов при БРД не обнаружено [5, 6]. Прогноз БРД, как правило, благоприятный, особенно при локализованных формах [3]. Отмечены и спонтанные ремиссии с вероятностью до 50% у больных без выраженных симптомов [7–9].
Медиана возраста начала заболевания 56 (20–81) лет [10]. Обычно у больных БРД есть двустороннее массивное безболезненное увеличение шейных лимфоузлов. У 92% пациентов встречается экстранодальное поражение, в том числе поражение глаз, центральной нервной системы, органов грудной, брюшной полости, костей [3], иногда присутствуют также В-симптомы [11]. У 52% больных при системном процессе встречается поражение кожи [3, 12, 13].
Изолированное поражение кожи встречается редко и представляет собой отдельный вариант БРД, который принято называть кожной формой БРД [14]. Поражение кожи характеризуется как одиночными (40%), так и множественными (60%) высыпаниями и может быть представлено папулами, узлами, бляшками, редко – пигментированными пятнами. Заболевание обычно протекает бессимптомно, в редких случаях сопровождается зудом или изъязвлением высыпаний. Наиболее часто поражается кожа туловища и конечностей, реже – кожа лица, шеи, волосистой части головы и половых органов [15].
Гистологическая картина кожной формы БРД характеризуется дермальным инфильтратом из крупных гистиоцитов с обильной бледной цитоплазмой, крупными ядрами и типичным иммунофенотипом S100+CD68+CD1a-. Гистиоциты также могут экспрессировать другие макрофагальные маркеры – CD163 и CD14 [16]. Феномен эмпериополеза хоть и типичен для БРД, но встречается и при других гистиоцитозах [17]. Клиническая картина и патоморфологические проявления БРД варьируют от пациента к пациенту, поэтому при верификации диагноза необходимо учитывать весь спектр клинических и патоморфологических данных. Выраженный синусовый гистиоцитоз, в том числе с иммуногистохимическими (ИГХ) признаками БРД, может быть и реактивным процессом при злокачественных новообразованиях, после протезирования и по другим причинам [18–23].
Изменения крови, как правило, неспецифичны. Могут быть лейкоцитоз, поликлональная гипергаммаглобулинемия, повышение скорости оседания эритроцитов, а также гипо- или нормохромная анемия [24].
Терапия БРД в настоящее время не разработана. При запросе в поисковой системе Pubmed по ключевым словам Rosai–Dorfman disease индексируется 1927 статей, большинство из которых является описанием маленьких групп или отдельных пациентов. При локализованных формах оправдано хирургическое удаление или облучение. Описан положительный эффект при применении метотрексата, ритуксимаба, иматиниба, кладрибина, глюкокортикостероидов, леналидомида у больных с прогрессированием после местной терапии, а также при системных формах [8, 25, 26].
Лучевая терапия (ЛТ) используется обычно в качестве адъювантного лечения после оперативных вмешательств или для лечения местных рецидивов. При этом в согласительных рекомендациях Международного гистиоцитарного общества отмечается, что ЛТ имеет умеренную эффективность [8]. В табл. 2 обобщены случаи использования ЛТ в лечении БРД.
Таблица 2. Результаты ЛТ пациентов с локализованной формой БРД Table 2. Results of the radiotherapy in patients with localized form of Rosai–Dorfman disease | |||||||
Источник, год | Возраст, пол | Локализация поражения | Предшествующее лечение | COД/РОД, Гр | Ответ на лечение | Исход | Выживаемость без прогрессирования, мес |
М. Paulli и соавт., 1992 | 12, М | Шейные лимфоузлы | Нет | НД | ЧО | Прогрессирование | 1 |
H. Childs и соавт., 1999 | 28, М | Орбиты | ПРН, ХТ | 20/НД | ПО | Рецидив | 72 |
D. Toguri и соавт., 2011 | 92, Ж | Гортань | ПРН | 25/2,5* | ПО | Ремиссия | 24 |
S. Saboo и соавт., 2011 | 40, М | Кожа левой ягодицы | ПРН | 40/2 | ЧО | Прогрессирование | 4 |
G. Bunick и соавт., 2012 | 37, М | Кожа правого уха | ПРН | 30/2 | ПО | Ремиссия | 10 |
А. Maklad и соавт., 2013 | 26, М | Кожа правой щеки | ПРН | 30/2 | ПО | Рецидив | 3 |
Кожа левого века | ХТ | 30/2 | ПО | Рецидив | 12 | ||
J. Sandovalsus и соавт., 2014 | 32, Ж | Скат черепа | Резекция** | 45/1,8 | ЧО | Прогрессирование | 36 |
51, М | Левый кавернозный синус | Резекция** | 30/2 | ПО | Ремиссия | 7 | |
53, М | Левый кавернозный синус | Резекция** | 20/2 | Без эффекта | НД | НД | |
18, М | Понтомедуллярный переход | Резекция** | 45/2 | ПО | Ремиссия | 24 | |
N. Paryani и соавт., 2014 | 49, Ж | Правая бедренная кость | Резекция | 30/2 | ЧО | Ремиссия | 15 |
K. Aradhana и соавт., 2018 | 35, М | Твердая мозговая оболочка | Резекция | 39,6/1,8 | ПО | Ремиссия | 3 |
57, М | Менингиома | Резекция** | 20/2 | ПО | Рецидив | 12 | |
Резекция | 40/2 | ПО | Ремиссия | 17 | |||
V. Sathyanarayanan и соавт., 2019 | 45, Ж | Подкожная клетчатка левой ягодицы | Резекция | НД | ПО | Ремиссия | 30 |
Примечание. СОД – суммарная очаговая доза, РОД – разовая очаговая доза, НД – нет данных, ХТ – химиотерапия, ПРН – преднизолон, ЧО – частичный ответ, ПО – полный ответ. Средняя доза у больных интракраниальной БРД составила 45 Гр, а при других локализациях 30 Гр. *Дополнительно дважды проведен буст по 2,5 Гр на область максимального объема опухоли; **ЛТ использована в качестве адъювантной. Note. The average patient’s dose with intracranial Rozai-Dorfman disease was 45 Gr, other localizations was 30 Gr. *Additionally, a boost of 2.5 Gr was performed twice on the area of the maximum tumor volume; **radiation therapy used as an adjuvant. | |||||||
Клиническое наблюдение
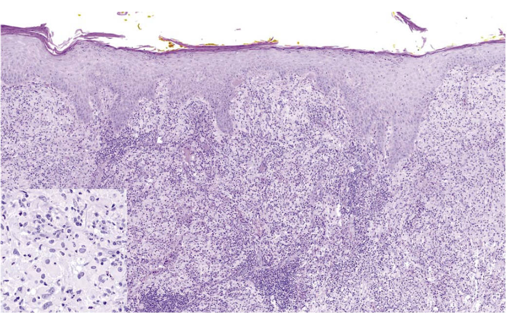
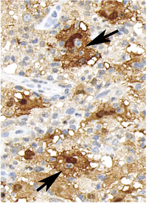
В октябре 2019 г. у мужчины 56 лет появилось опухолевидное образование на коже левой височной области. Через 3 нед опухоль радикально удалена. При гистологическом исследовании удаленного образования выявлена фиброзно-жировая ткань с хроническим гранулирующим воспалением. В течение 2 нед в зоне послеоперационной раны возобновился рост опухоли с появлением сливающихся папулезных высыпаний, которые распространились на кожу левой половины лица и волосистую часть головы. При повторном гистологическом исследовании в дерме обнаружился диффузный инфильтрат, состоящий преимущественно из гистиоцитов крупных размеров, гигантских клеток, небольшого количества плазматических клеток, скоплений лимфоцитов (рис. 1). При ИГХ-исследовании клетки гистиоцитарного ряда экспрессировали S100 (рис. 2), CD68, СD163 (рис. 3) и были негативны к фактору XIIIa, CD1a, CD123. При реакции с S100 визуализировались явления эмпериополеза (рис. 4). Таким образом, гистологические изменения и иммунофенотип клеток гистиоцитарного ряда соответствовали кожной форме БРД.
Рис. 1. Диффузный инфильтрат, состоящий преимущественно из гистиоцитов крупных размеров (вставка), гигантских клеток, небольшого количества плазматических клеток, скоплений лимфоцитов.
Fig. 1. Diffuse dermal infiltration mostly with large histiocytes (insertion), giant cells, few plasma cells, clusters of lymphocytes.
Рис. 2. Экспрессия клетками гистиоцитарного ряда S100.
Fig. 2. Expression of S100 by the histiocytic cells.
Рис. 3. Экспрессия клетками гистиоцитарного ряда CD163.
Fig. 3. Expression of CD163 by the histiocytic cells.
Рис. 4. Лимфоциты и нейтрофильные лейкоциты (указаны стрелками) внутри клеток цитоплазмы гистиоцитарного (S100+) ряда (эмпериополез).
Fig. 4. Lymphocytes and neutrophils (pointed by arrows) in the cytoplasm of histiocytes (S100+) cells (emperiopolesis).
В марте 2020 г. на коже левой височной области имелись плотная крупнобугристая опухоль 4×4 см, а также сливающиеся узелковые высыпания с поражением лобной, щечной, нижнечелюстной, затылочной областей. Кроме того, появились нарушение бокового зрения из-за роста опухоли и умеренные тянущие боли в области образования, не требующие обезболивания.
Чтобы оценить распространенность, исключить злокачественный процесс, выполнена компьютерная томография (КТ) шеи, грудной клетки, брюшной полости, малого таза. Подтверждены новообразование и отек подкожно-жировой клетчатки левой височной области. Других очагов не выявлено. Клинический и биохимический анализ крови (концентрация мочевины, креатинина, билирубина, глюкозы; активности аланин- и аспартатаминотрансферазы, лактатдегидрогеназы, g-глутамилтранспептидазы) – в пределах нормы.
Сопутствующие заболевания включали гипертоническую болезнь III стадии и атеросклеротический кардиосклероз, осложненные острым нарушением мозгового кровообращения в 2017 г. и пароксизмальной формой фибрилляции предсердий. Ранее также диагностированы сахарный диабет 2-го типа с диабетической дистальной сенсорной полинейропатией, легкое течение подагры и ожирение 1-й степени. Постоянной лекарственной терапии пациент не получал.
В апреле 2020 г. на область шеи, левой височной, лобной, щечной, нижнечелюстной, затылочной областей проведен курс ЛТ быстрыми электронами на ускорителе ELekta Infinity c энергией излучения 4 МэВ в статическом режиме, укладка на спине с использованием подголовника и подколенника. При облучении использовался болюс толщиной 5 мм. Разовая доза – 2 Гр, суммарная доза – 36 Гр. Облучение прошло без осложнений. Объем образования перед началом ЛТ приведен на рис. 5.
Рис. 5. Пациент с БРД с поражением кожи височной, лобной, щечной, нижнечелюстной, затылочной областей.
Fig. 5. Patient with Rosai–Dorfman disease with involvement of skin in temporal, buccal, forehead, mandibular and scalp areas.
Уже через месяц отмечена положительная динамика в виде исчезновения боли, восстановления зрения, регресса большей части высыпных элементов, уменьшения опухоли с пигментацией кожи височной области. Область поражения через 3 мес после облучения представлена на рис. 6.
Рис. 6. Пациент с БРД с поражением кожи височной, лобной, щечной, нижнечелюстной, затылочной областей через 3 мес после завершения ЛТ.
Fig 6. Patient with Rosai–Dorfman disease with involvement of skin in temporal, buccal, forehead, mandibular and scalp areas following 3 months after the radiotherapy course.
Обсуждение
БРД является редким заболеванием с индолентным течением. У большинства пациентов процесс системный, а изолированное кожное поражение встречается чрезвычайно редко: не более 3% [14]. В согласительных рекомендациях Международного гистиоцитарного общества рекомендована позитронно-эмиссионная КТ или магнитно-резонансная томография всего тела, а также тщательный сбор анамнеза и осмотр, чтобы выявить поражение органов-мишеней, сопутствующий опухолевый или аутоиммунный процесс [8]. У описанного пациента не было клинических признаков органных поражений, а выполнение КТ четырех зон позволило исключить системность поражения и диагностировать кожную форму БРД.
БРД имеет морфологические особенности, затруднившие первичную диагностику. При гистологическом анализе лимфогистиоцитарная инфильтрация ошибочно трактована как воспалительная, что описано и в других наблюдениях [27, 28]. У некоторых больных выраженный фиброз может маскировать гистиоцитарную инфильтрацию [29, 30]. Избыток гистиоцитов у описанного пациента позволил заподозрить БРД, а ИГХ-исследование – поставить правильный диагноз.
Лечение БРД не стандартизовано. Обзорные публикации показывают, что основными методами лечения локализованных форм являются хирургическое удаление и облучение [8, 26].
Проведение хирургического лечения у больных с локализованными формами БРД в настоящее считается наиболее эффективным. В обзоре H. Сhen и соавт. суммированы данные 29 пациентов с разными локализациями БРД, которым в качестве терапии 1-й линии опухоль хирургически удалена. Стойкий эффект составил 51%, медиана длительности ответа – 15 (3–132) мес при медиане наблюдения 35 мес [26]. Действенность хирургического лечения изолированного поражения кожи при БРД может достигать 80% [11], однако у описанного пациента возник рецидив. Возможно, учитывая появление множественных высыпаний вокруг первичного очага, это связано с недостаточным удалением опухоли.
ЛТ в большинстве наблюдений применялась при неэффективности хирургического, гормонального или цитостатического лечения у больных с локализованными формами БРД [8]. Результаты ЛТ варьируют (см. табл. 2), и оптимальная доза не определена. В целом облучение аналогично терапии лимфопролиферативных заболеваний, что и привело к стабильному противоопухолевому эффекту у описанного пациента.
Заключение
ЛТ в качестве 2-й линии лечения локализованной формы БРД позволила достичь стабильного результата, хотя судить о стойкости ответа можно лишь по прошествии времени.
Конфликт интересов. Авторы заявляют об отсутствии конфликта интересов.
Conflict of interests. The authors declare no conflict of interests.
About the authors
Vsevolod G. Potapenko
Municipal Clinical Hospital №31; Pavlov First Saint Petersburg State Medical University
Author for correspondence.
Email: potapenko.vsevolod@mail.ru
ORCID iD: 0000-0003-2985-0503
Cand. Sci. (Med.)
Russian Federation, Saint PetersburgIrena E. Belousova
Kirov Military Medical Academy
Email: irena.belousova@mail.ru
ORCID iD: 0000-0002-4374-4435
D. Sci. (Med.), Prof.
Russian Federation, Saint PetersburgJulia N. Vinogradova
Granov Russian Research Center for Radiology and Surgical Technologies
Email: winogradova68@mail.ru
ORCID iD: 0000-0002-0938-5213
D. Sci. (Med.)
Russian Federation, Saint PetersburgKarina A. Kelehsaeva
Granov Russian Research Center for Radiology and Surgical Technologies
Email: kaloeva1972@yandex.ru
ORCID iD: 0000-0001-9001-266X
radiation therapist
Russian Federation, Saint PetersburgAndrey M. Ulitin
Granov Russian Research Center for Radiology and Surgical Technologies
Email: andreiulitin000@gmail.com
ORCID iD: 0000-0003-2416-1258
Resident
Russian Federation, Saint PetersburgIrina O. Smirnova
Municipal Hospital of Venerological and Skin Diseases; Saint Petersburg State University
Email: driosmirnova@yandex.ru
D. Sci. (Med.), Prof.
Russian Federation, Saint PetersburgYanina G. Petunova
Municipal Hospital of Venerological and Skin Diseases; Saint Petersburg State University
Email: yaninapetunova@yandex.ru
ORCID iD: 0000-0002-6489-4555
Cand. Sci. (Med.)
Russian Federation, Saint PetersburgNikolay V. Ilyin
Granov Russian Research Center for Radiology and Surgical Technologies
Email: ilyin_prof@mail.ru
ORCID iD: 0000-0002-8422-0689
D. Sci. (Med.), Prof.
Russian Federation, Saint PetersburgReferences
- Rosai J, Dorfman RF. Sinus histiocytosis with massive lymphadenopathy. A newly recognized benign clinicopathological entity. Arch Pathol 1969; 87 (1): 63–70.
- Emile JF, Abla O, Fraitag S et al. Revised classification of histiocytoses and neoplasms of the macrophage-dendritic cell lineages. Blood 2016; 127 (22): 2672–81. doi: 10.1182/blood-2016-01-690636
- Foucar E, Rosai J, Dorfman R. Sinus histiocytosis with massive lymphadenopathy (Rosai-Dorfman disease): review of the entity. Semin Diagn Pathol 1990; 7 (1): 19–73.
- Должанский О.В., Пальцева Е.М., Морозова М.М. и др. Солитарная эпителиоидная гемангиоэндотелиома в сочетании с нодулярным паренхиматозным амилоидозом легкого и болезнью Розаи–Дорфмана. Архив патологии. 2018; 80 (2): 52–9. [Dolzhanskiy O.V., Pal’tseva Ye.M., Morozova M.M. et al. Solitary epithelioid hemangioendothelioma in combination with nodular parenchymal amyloidosis of the lung and Rosai–Dorfman’s disease. Archiv of Patology. 2018; 80 (2): 52–9 (In Russ).]
- Haroche J, Charlotte F, Arnaud L et al. High prevalence of BRAF V600E mutations in Erdheim-Chester disease but not in other non-Langerhans cell histiocytoses. Blood 2012; 120 (13): 2700–3.
- Chakraborty R, Hampton OA, Shen X et al. Mutually exclusive recurrent somatic mutations in MAP2K1 and BRAF support a central role for ERK activation in LCH pathogenesis. Blood 2014; 124 (19): 3007–15.
- Pulsoni A, Anghel G, Falcucci P et al. Treatment of sinus histiocytosis with massive lymphadenopathy (Rosai–Dorfman disease): report of a case and literature review. Am J Hematol 2002; 69 (1): 67–71.
- Abla O, Jacobsen E, Picarsic J et al. Consensus recommendations for the diagnosis and clinical management of Rosai–Dorfman–Destombes disease. Blood 2018; 131 (26): 2877–90.
- Меликян А.Л. Синусный гистиоцитоз с массивной лимфаденопатией (болезнь Розаи–Дорфмана). Обзор литературы и случай из практики. Клин. онкогематология. 2008; 1 (3): 252–8. [Melikyan A.L. Sinus histiocytosis with massive lymphadenopathy (Rosai–Dorfman disease). Literature review and case from practice. Clin Oncohematol. 2008; 1 (3): 252–8 (In Russian).]
- Sathyanarayanan V, Issa A, Pinto R et al. Rosai–Dorfman disease: the MD Anderson cancer center experience. Clin Lymphoma Myeloma Leuk 2019; 19 (11): 709–14.
- Al-Khateeb TH. Cutaneous Rosai–Dorfman disease of the face: a comprehensive literature review and case report. J Oral Maxillofac Surg. 2016; 74 (3): 528–40.
- Ян C., Гветадзе Ш.Р., Илькаев К.Д. и др. Экстранодальная интраоссальная болезнь Розаи–Дорфмана в области нижней челюсти: описание клинического случая и обзор литературы. Опухоли головы и шеи. 2018; 8 (2): 34–8. doi: 10.17650/2222-1468-2018-8-2-34-38 [Yan C., Gvetadze S.R., Il’kayev K.D. et al. Extranodal intraosseous Rozai–Dorfman disease in the mandible: a description of a clinical case and a review of the literature. Head and Nick Tumors. 2018; 8 (2): 34–8. doi: 10.17650/2222-1468-2018-8-2-34-38 (in Russian).]
- Goyal G, Ravindran A, Young JR et al. Clinicopathological features, treatment approaches, and outcomes in Rosai–Dorfman disease. Haematologica 2020; 105 (2): 348–57. doi: 10.3324/haematol.2019.219626
- Kutlubay Z, Bairamov O, Sevim A et al. Rosai–Dorfman disease: a case report with nodal and cutaneous involvement and review of the literature. Am J Dermatopathol 2014; 36 (4): 353–7. doi: 10.1097/DAD.0b013e31829e5564
- James WD, Berger T, Elston D. Cutaneous lymphoid hyperplasia, cutaneous T-cell lymphoma, other malignant lymphomas, and allied diseases. Andrews’ Diseases of the Skin, Clinical Dermatology. 9th ed. Philadelphia: WB Saunders Company, 2019; p. 918–42.
- Picarsic J, Jaffe R. Pathology of histiocytic neoplasms and related disorders. In: Abla O, Janka G. Histiocytic Disorders. Zurich, Switzerland: Springer International Publishing, 2018; p. 3–50.
- Diamond EL, Dagna L, Hyman DM et al. Consensus guidelines for the diagnosis and clinical management of Erdheim–Chester disease. Blood 2014; 124 (4): 483–92.
- Ковригина А.М. Морфологическая характеристика реактивных изменений лимфоузлов. Клин. онкогематология. 2009; 2 (4): 297–305. [Kovrigina A.M. Morphological characteristics of lymph node reactive changes. Clin Oncohematol. 2009; 2 (4): 297–305 (in Russian).]
- Швец О.А., Абрамов Д.С., Хорева А.Л. и др. Лимфаденопатия по типу болезни Розаи–Дорфмана у пациента с синдромом Вискотта–Олдрича: сложности диагностики. Вопр. гематологии/онкологии и иммунопатологии в педиатрии. 2020; 19 (1): 108–15. [Shvets O.A., Abramov D.S., Khoreva A.L. et al. Rosay–Dorfman – like lymphadenopathy in a patient with Wiskott–Aldrich syndrome: diagnostic difficulties. Pediatric Hematology/Oncology and Immunopathology. 2020; 19 (1): 108–15 (in Russian).]
- Потапенко В.Г., Леенман Е.Е., Потихонова Н.А. и др. Лихорадка, ассоциированная с металлоконструкцией. Клиническое наблюдение. Журн. инфектологии. 2019; 12 (3): 126–9. doi: 10.22625/2072-6732-2019-11-3-126-130 [Potapenko V.G., Leyenman Ye.Ye., Potikhonova N.A. et al. Fever associated with hardware. Clinical observation. J Infectol. 2019; 12 (3): 126–9. doi: 10.22625/2072-6732-2019-11-3-126-130 (in Russian).]
- Vaamonde R, Cabrera JM, Vaamonde-Martin RJ et al. Silicone granulomatous lymphadenopathy and siliconomas of the breast. Histol Histopathol 1997; 12: 1003–11.
- Knösel T, Meisel H, Borgmann A et al. Parvovirus B19 infection associated with unilateral cervical lymphadenopathy, apoptotic sinus histiocytosis, and prolonged fatigue. J Clin Pathol 2005; 58 (8): 872–5. doi: 10.1136/jcp.2004.022756
- Соколовский Е.В., Михеев Г.Н., Рыбакова М.Г. и др. Синусный гистиоцитоз кожи лица нелангергансового типа (кожная форма болезни Розаи–Дорфмана). Вестн. дерматологии и венерологии. 2018; 94 (5): 66–71. doi: 10.25208/0042-4609-2018-94-5-66-71 [Sokolovskiy Ye.V., Mikheyev G.N., Rybakova M.G. et al. Sinus histiocytosis of the skin of the face of the nonlangerganic type (cutaneous form of Rosai–Dorfman disease). Vestnik dermatologii i venerologii. 2018; 94 (5): 66–71. doi: 10.25208/0042-4609-2018-94-5-66-71 (In Russian).]
- Jordan MB, Hult A, Filipovich A. Histiocytic Disorders. In: Hematology: Basic Principles and Practice. Elsevier Inc., 2018.
- Потекаев Н.Н., Львов А.Н., Бобко С.И. и др. Кожная форма болезни Розаи–Дорфмана. Клин. дерматология и венерология. 2017; 16 (1): 30–9. doi: 10.17116/klinderma201716130-38 [Potekayev N.N., Lvov A.N., Bobko S.I. et al. Cutaneous form of Rosai–Dorfman disease. Rus J Clin Dermatol Venerol. 2017; 16 (1): 30–9. doi: 10.17116/klinderma201716130-38 (In Russian).]
- Chen HH, Zhou SH, Wang SQ et al. Factors associated with recurrence and therapeutic strategies for sinonasal Rosai–Dorfman disease. Head Neck 2011; 34 (10): 1504–13. doi: 10.1002/hed.21832
- Ferry JA, Klepeis V, Sohani AR et al. IgG4-related Orbital Disease and Its Mimics in a Western Population. Am J Surg Pathol 2015; 39 (12): 1688–700. doi: 10.1097/PAS.0000000000000497
- Tsang WY, Chan JK, Ho WK et al. Extranodal Rosai–Dorfman disease: an uncommon cause of persistent nodule in the ear. J Laryngol Otol 1992; 106 (3): 249–51. doi: 10.1017/s0022215100119188
- Andriko JA, Morrison A, Colegial CH et al. Rosai–Dorfman disease isolated to the central nervous system: a report of 11 cases. Mod Pathol 2001; 14 (3): 172–8. doi: 10.1038/modpathol.3880278
- Forest F, N’guyen AT, Fesselet J et al. Meningeal Rosai–Dorfman disease mimicking meningioma. Ann Hematol 2014; 93 (6): 937–40. doi: 10.1007/s00277-013-1994-8
Supplementary files









