Cancer of an ectopic parathyroid gland: from diagnosis to treatment (clinical case)
- Authors: Allakhverdiev A.K.1,2, Malkina N.A.1, Noskova K.K.1, Grinevich V.N.1, Feidorov I.Y.1, Ketsba A.F.1, Bystrovskay E.V.1, Embutniex Y.V.1, Putova M.V.1, Synkova D.A.1
-
Affiliations:
- Moscow Clinical Scientific and Practical Center
- Russian Medical Academy of Continuous Professional Education
- Issue: Vol 22, No 4 (2020)
- Pages: 115-119
- Section: CLINICAL ONCOLOGY
- Submitted: 17.02.2021
- Accepted: 17.02.2021
- Published: 17.02.2021
- URL: https://modernonco.orscience.ru/1815-1434/article/view/61189
- DOI: https://doi.org/10.26442/18151434.2020.4.200293
- ID: 61189
Cite item
Full Text
Abstract
The article presents a clinical case of a prolonged course of gastrointestinal ulcer disease, followed by dysphagia. During the examination, severe hyperparathyroidism was revealed, which subsequently prompted a diagnostic search for a parathyroid adenoma, which is the cause of hyperathyroidism in 80–85% of cases. With instrumental methods of research, the cause of the main complaint is dysphagia, a formation in the posterior upper mediastinum up to 5 cm, compressing the esophagus. With transoesophageal aspiration biopsy (EUS-TYPE). The cytological picture is similar to the thyroid epithelium with part of the oncocytic differentiation. In an immunological study, lavage for parathyroid hormone showed high expression. Scintigraphy with Tc-99m pertechnetate revealed the exact topic of the formation of the parathyroid gland in the posterior mediastinum – an atypical location. Surgical treatment was performed in the amount of thoracoscopic removal of the mediastinal tumor. The radical nature of the surgical intervention was confirmed by laboratory. Serum PTH levels decreased significantly. Upon receipt of the morphological conclusion, reliable data on malignant damage to the parathyroid gland were obtained. Subsequent treatment of the patient consisted in the correction of severe hypercalcemia in the postoperative period by prescribing denosumab, which led to the stabilization of the patient’s condition.
Full Text
Карцинома околощитовидной железы представляет собой очень редкую и опасную опухоль – причину первичного гиперпаратиреоза (ПГПТ), влекущую за собой массу нежелательных проявлений, таких как: остеопороз, гиперпаратиреоидная остеодистрофия, деформация костей, переломы, нарушение походки, нефролитиаз, нефрокальциноз, снижение фильтрационной и концентрационной функции почек, рецидивирующие дефекты слизистой двенадцатиперстной кишки (ДПК) и желудка, панкреатиты, кальцинаты поджелудочной железы, панкреокалькулез, нарушение ритма и проводимости, нарушения фосфорно-кальциевого обмена и многие другие тяжелые заболевания, ведущие к инвалидности [1–3]. В отличие от аденом околощитовидной железы, которые представляют собой распространенную эндокринную патологию и составляют 85–90% случаев [4], карциномы паращитовидной железы занимают менее 1%, согласно Национальной базе данных по раку (NCDB) [5]. Диагностика паратиреоидного рака является сложной задачей. Как правило, уровень паратиреоидного гормона (ПТГ) и кальция в сыворотке крови значительно выше, чем при обычном ПГПТ [6]. Гистологическое исследование операционного материала является единственным способом подтверждения карциномы паращитовидной железы, однако из-за редкости данной опухоли никаких критериев стадирования не существует.
Клинический случай
Пациент И., 72 г. Из анамнеза известно, что с 1999 г. выявлена язвенная болезнь ДПК. Проводилась консервативная терапия с положительной динамикой без последующего наблюдения. Клинические симптомы обострения отмечал давно. В 2014 г. появились жалобы на периодическую изжогу. Самостоятельно принимал антисекреторные препараты с клинически положительным эффектом, с последующей самостоятельной отменой. С марта 2017 г. жалобы на изжогу приобрели постоянный характер, в связи с чем проведена эзофагогастродуоденофиброскопия (ЭФГДС). Выявлена язва пищевода, рубцовая деформация луковицы ДПК. С марта по декабрь 2017 г. проведена терапия ингибиторами протонной помпы, антацидами без выраженного положительного эффекта, после чего пациент вновь пропал из поля зрения специалистов. В январе 2018 г. появились периодические жалобы на затруднение при глотании твердой пищи, чувство кома в горле. При повторной ЭФГДС выявлены хронические язвы нижней трети пищевода до 4 см, эрозивный дуоденит, рубцовая деформация луковицы ДПК. По данным биопсии – картина полной тонкокишечной метаплазии. Helicobacter pylori (-). Далее пациенту выполнена рентгенография желудочно-кишечного тракта с барием. Выявлено образование до 5 см в средостении, сдавливающее пищевод. Рубцовая деформация пищевода, подозрение на язву пищевода. Скользящая кардиофундальная грыжа пищеводного отверстия диафрагмы. Гастроптоз. Рубцовая деформация луковицы ДПК. Гипертонус ДПК (рис. 1). От предложенного выполнения мультиспиральной компьютерной томографии (КТ) на тот момент отказался.
Рис. 1. Результат рентгеноскопии желудочно-кишечного тракта с бариевой взвесью.
Fig. 1. The result of gastrointestinal x-rays using barium suspension.
В феврале 2019 г. отмечается ухудшение в виде появления болей в эпигастрии, не связанных с приемом пищи, постоянной отрыжки воздухом и затруднения прохождения пищи при глотании, поперхивание. Обратился в МКНЦ им. А.С. Логинова, где проведено комплексное обследование. По данным ЭФГДС, на 20 см от резцов на 3 часах визуализируется полусферической формы подслизистое новообразование размером около 4 см, при инструментальной пальпации плотное, малоподвижное, слизистая над ним не изменена (рис. 2).
Рис. 2. Результат эндоскопического исследования.
Fig. 2. The results of endoscopy procedure.
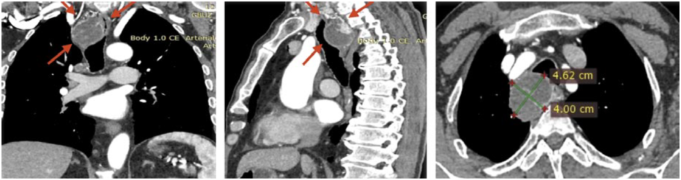
При мультиспиральной КТ с болюсным усилением по нижнему краю правой доли щитовидной железы в заднем верхнем средостении визуализируется кистозно-солидное объемное образование с четкими ровными контурами размером 46×38×48 мм, прилежит и деформирует заднюю стенку трахеи и правую боковую стенку пищевода. Солидный компонент накапливает контрастное вещество аналогично ткани щитовидной железы, определяются тонкие перегородки, накапливающие контрастное вещество. Окружающая клетчатка уплотнена (рис. 3).
Рис. 3. Результат КТ с болюсным контрастированием.
Fig. 3. The result of contrast-enhancement CT.
С целью верификации образования выполнена транспищеводная аспирационная биопсия. На уровне верхней трети пищевода лоцируется кистозное новообразование с наличием солидной части и перегородок. Новообразование прилежит к стенке пищевода, незначительно деформируя его просвет, и грудному отделу аорты (рис. 4).
Рис. 4. Эндосонографическая картина кистозно-солидного новообразования верхнего средостения.
Fig. 4. Endosonographic picture of the complex cystic-solid mass of the upper mediastinum.
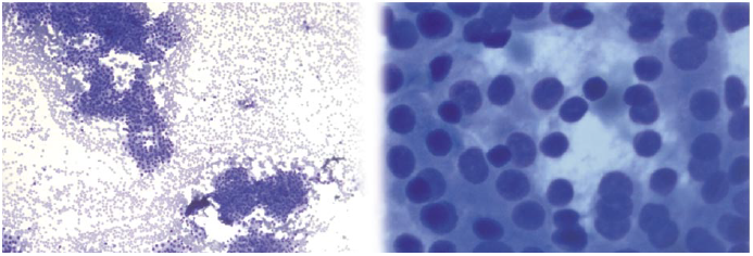
Субстрат новообразования представлен клетками, морфологически сходными с тиреоидным эпителием, часть с онкоцитарной дифференцировкой. Уверенно судить о характере процесса не позволяли отсутствие на клеточном уровне признаков злокачественности, а также абсолютное морфологическое сходство клеток щитовидной и паращитовидной желез (рис. 5).
Рис. 5. Цитологическая картина при пункционной биопсии.
Fig. 5. Cytological picture of the needle biopsy.
При ранее выявленном ПГПТ дополнительно выполнено аспирационное промывание иглы на ПТГ. Величина его значения составила 2500 пг/мл, что значительно выше сыворотки крови. Проведенный тест считается положительным.
Учитывая полученные данные, пациенту проведена лабораторная диагностика. Выявлены признаки выраженного гиперпаратиреоза [ПТГ – 1255,0 пг/мл (8,0–74,0)], гиперкальциемия [Са2+ – 1,71 ммоль/л (1,15–1,29), Са общий – 65,3 мкмоль/л (2,15–2,55)], гипофасфатемия – 0,63 ммоль/л (0,74–1,42). С целью топической диагностики причины гиперпаратиреоза дополнительно выполнено ультразвуковое исследование щитовидной железы. По полученным данным отмечено незначительное увеличение общего объема (26 см3), контуры ровные, четкие, структура диффузно неоднородна, средней эхогенности, сетчатой структуры, сосудистый рисунок незначительно усилен. В левой доле по задней поверхности лоцируется образование с нечеткими ровными контурами 7×8 мм, неваскуляризированное. Перешеек увеличен, 9 мм, однороден. Лимфатические узлы без особенностей. Эхографические признаки диффузных изменений по типу тиреоидита, узлового зоба (TI-RADS 2). Пункционная биопсия не проводилась. Других образований не выявлено.
Основываясь на данных лабораторной диагностики, для исключения аденомы околощитовидных желез мы выбрали как наиболее информативный метод топической диагностики cцинтиграфию с 99mTc-пертехнетатом [7, 8]. Полученные результаты явились наиболее характерными для аденомы околощитовидной железы, эктопированной в заднее средостение (рис. 6).
Рис. 6. Результат сцинтиграфии с 99mTc-пертехнетатом.
Fig. 6. The result of scintigraphy with 99mTc-pertechnetate.
Дополнительно при проведении данного исследования выявлены очаги, характерные для вторичного (метастатического) поражения костей скелета (очаги гиперфиксации радиофармпрепарата в правой плечевой кости, в свободном крае XI ребра). Предположительно, такого рода изменения в костной структуре при выраженном гиперпаратиреозе могут являться зонами остеосклероза, что подтверждено исследованием метаболического изменения костной ткани: остекальцин – 178 (14–46 нг/мл), Beta-Cross Laps – 0,845 (<0,854 нг/мл).
На основании клинических проявлений болезни, результатов комплексного обследования и невозможности дифференцировки морфологического характера изменений в образовании принято решение о проведении хирургического лечения.
В апреле 2019 г. выполнено хирургическое лечение в объеме торакоскопического удаления опухоли средостения, резекции мышечного слоя верхне-грудного отдела пищевода с медиастинальной лимфодиссекцией из правостороннего доступа. Хирургический доступ выбран с учетом локализации опухоли.
Ход операции
В положении пациента на левом боку с приподнятым валиком, после предварительной обработки (спиртовым раствором) и изоляции операционного поля, установлены торакопорты: в VIII межреберье по задней подмышечной, VII межреберье по передней подмышечной, III межреберье по задней подмышечной и среднеключичной линиям. При ревизии: в паратрахеальной зоне визуализируется образование округлой формы, плотно связанное с мембранозной стенкой трахеи, оттесняющее пищевод кзади. С помощью аппаратов Harmonic и LigaSure рассечена медиастинальная плевра по ходу верхней полой вены и дуги непарной вены. Выделен и взят на резиновую держалку правый блуждающий нерв (рис. 7). При дальнейшей мобилизации и ревизии выявлено врастание опухоли на протяжении в мышечный слой передней стенки пищевода. Острым путем выполнена мобилизация опухоли от трахеи. Ввиду истинного врастания опухоли в мышечный слой пищевода выполнена резекция последнего на протяжении 7 см с сохранением целостности слизистой оболочки. Моноблочно с мобилизацией опухоли выполнена медиастинальная лимфодиссекция с визуализацией задней стенки верхней полой вены и плечеголовных вен, восходящего отдела и дуги аорты, плечеголовного артериального ствола. Правый блуждающий нерв выделен на протяжении и сохранен. В операционную приглашен эндоскопист. При эзофагоскопии слизистая оболочка без повреждений. Выполнено ушивание дефекта мышечного слоя верхнегрудного отдела пищевода посредством узловых швов. Опухоль помещена в контейнер и извлечена из плевральной полости через миниторакотомный разрез (4 см). Гемостаз. Аэростаз. Установлены дренажи в купол правой плевральной полости и задний реберно-диафрагмальный синус (через апертуру ранее установленных торакопортов). Правое легкое расправлено. Асептическая повязка. Пациент экстубирован в операционной, будучи в сознании, на самостоятельном дыхании. В стабильном состоянии переведен в отделение реанимации для дальнейшего лечения.
Рис. 7. Интраоперационная картина: а – блуждающий нерв, б – дефект мышечного слоя пищевода, в – ушивание мышечного слоя пищевода.
Fig. 7. Intraoperative picture: a – the vagus nerve, b – the defect of the muscular layer of the esophagus, c – the suturing of the muscular layer of the esophagus.
В момент удаления опухоли проведен контроль уровня ПТГ сыворотки крови – 507,0 пг/мл, через 3 дня после хирургического лечения он составил 37,8 пг/мл, что свидетельствует о радикальности проведенного лечения [9].
На 7-е сутки после проведенного лечения пациент выписан из стационара в удовлетворительном состоянии с рекомендациями о проведении терапии деносумабом (120 мг 1 инъекция подкожно 1 раз в 4 нед в течение 6 мес).
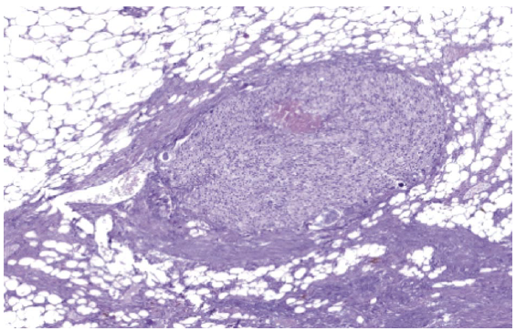
При макроскопическом исследовании опухоль представлена серым эластичным узлом размером 5,0×5,0×4,0 см. На разрезе опухоль кистозного вида с гладкой внутренней поверхностью и наличием тонкостенных перегородок. В просвете кистозных полостей содержится кровянистая жидкость. Толщина стенок кистозной опухоли на большем протяжении составляет 0,3–0,5 см с наличием участка утолщения до 1,0 см (рис. 8). К наружной поверхности опухолевого узла с одной из сторон плотно прилежит резецированный фрагмент мышечного слоя стенки пищевода размером 4,0×4,0 см.
Рис. 8. Рак паращитовидной железы. Общий вид кистозной опухоли с участком утолщения стенки кисты. Окраска гематоксилин-эозином, ×25.
Fig. 8. Parathyroid cancer. A general view of a cystic tumor with a section of thickened wall of the cyst. Hematoxyline-eosine staining, ×25.
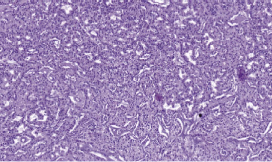
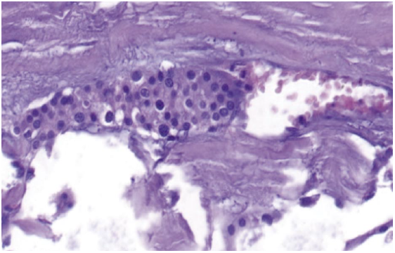
При микроскопическом исследовании опухоль с крупными кистозными полостями. Стенки кист представлены опухолевой тканью, формирующей солидные, ацинарные и трабекулярные структуры из главных клеток (рис. 9). Опухолевые клетки мелкого и среднего размера с округлыми и овальными ядрами, светлой и слабоэозинофильной цитоплазмой. Ядерный полиморфизм выражен слабо с наличием мелких очагов опухолевых клеток с умеренно полиморфными ядрами. Фигуры митозов и очаги некрозов не визуализируются. Опухоль окружена фиброзной капсулой с наличием в области утолщения множественных участков грибовидной капсулярной инвазии и очагов инвазивного роста в прилежащую жировую клетчатку (рис. 10). Также обнаружены признаки сосудистой инвазии (рис. 11).
Рис. 9. Рак паращитовидной железы. Опухоль состоит из главных клеток, формирующих солидные, ацинарные и трабекулярные структуры. Окраска гематоксилин-эозином, ×100.
Fig. 9. Parathyroid cancer. The tumor consists of the main cells that forming solid, acinar and trabecular structures. Hematoxyline-eosine staining, ×100.
Рис. 10. Рак паращитовидной железы. Экстракапсулярная инвазия опухоли в прилежащую клетчатку. Окраска гематоксилин-эозином, ×50.
Fig. 10. Parathyroid cancer. Extracapsular tumor invasion into the adjacent fibers. Hematoxyline-eosine staining, ×50.
Рис. 11. Рак паращитовидной железы. Опухолевые комплексы в просвете мелкого венозного сосуда. Окраска гематоксилин-эозином, ×200.
Fig. 11. Parathyroid cancer. Tumor complexes in the lumen of a small venous vessel. Hematoxyline-eosine staining, ×200.
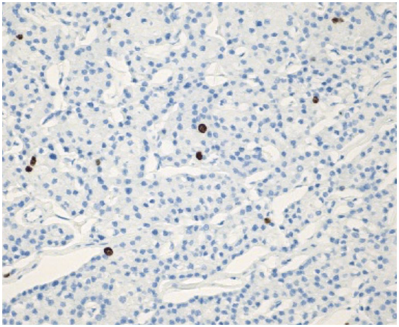
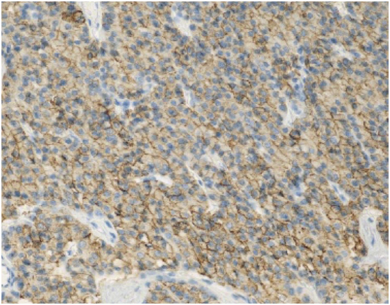
При иммуногистохимическом исследовании опухоли отмечается позитивная реакция с антителами к ПТГ (рис. 12). Реакция с эндокринными маркерами (синаптофизин, хромогранин А) в опухоли негативная. Пролиферативная активность опухолевых клеток низкая, индекс мечения Ki-67 составляет 2–4% (рис. 13).
Рис. 12. Рак паращитовидной железы. Диффузно-позитивная мембранно-цитоплазматическая экспрессия ПТГ в опухолевых клетках. Иммуногистохимическое исследование с антителами к ПТГ, ×200.
Fig. 12. Parathyroid cancer. Diffuse parathyroid hormone (PTH) positive membrane-cytoplasmic expression in tumor cells. Immunohistochemical study with PTH antibodies, ×200.
Рис. 13. Рак паращитовидной железы. Низкая пролиферативная активность опухоли. Иммуногистохимическое исследование с антителами к Ki-67, ×200.
Fig. 13. Parathyroid cancer. Low proliferate activity of the tumor. Immunohistochemical study with Ki-67 antibodies, ×200.
Обсуждение
Описанный клинический случай представляет интерес ввиду особенностей клинического течения, топического расположения и полученного морфологического заключения после проведенного хирургического лечения.
Ключевым в определении этиологии выявленного образования у пациента стало исследование ПТГ в смыве с иглы при тонкоигольной аспирационной биопсии. Этот способ не являлся рутинным в проводимой диагностике, но выявленный клинический диагноз ПГПТ натолкнул на ее проведение при эндоскопическом ультразвуковом исследовании с целью дифференциальной диагностики с иными образованиями. Цитологическая картина при этом не дала четких указаний на клеточный генез. Таким образом, вследствие агрессивного течения гиперпаратиреоза и полученной интраоперационной картины (интимное прилежание к трахее и врастание в верхнегрудной отдел пищевода) предположена злокачественная природа образования. Морфологическое подтверждение не оставило сомнений в злокачественном поражении эктопированной околощитовидной железы.
В итоге весь комплекс проведенных исследований, опираясь на 8-е издание Международной классификации стадий злокачественных новообразований TNM (2017 г.), характеризует образование как злокачественное.
При динамическом наблюдении представленного пациента отмечаются стабилизация состояния и нормализация лабораторных показателей, свидетельствующие об отсутствии прогрессирования и рецидива заболевания.
Заключение
Рак околощитовидной железы – редко встречаемое заболевание. Диагностический поиск представляет наибольшую сложность при ее атипичном расположении. Несмотря на это, мультидисциплинарный подход к диагностике позволяет провести радикальное лечение. Учитывая неклассические признаки злокачественности, прогностические данные остаются неизвестными. Решением этой задачи остаются долгосрочное наблюдение и комплаентность пациента на всех этапах диагностики и лечения.
Конфликт интересов. Авторы заявляют об отсутствии конфликта интересов.
Conflict of interests. The authors declare no conflict of interests.
About the authors
Arif K. Allakhverdiev
Moscow Clinical Scientific and Practical Center; Russian Medical Academy of Continuous Professional Education
Author for correspondence.
Email: a.allakhverdiev@mknc.ru
ORCID iD: 0000-0001-8378-2738
D. Sci. (Med.), Prof.
Russian Federation, MoscowNataliya A. Malkina
Moscow Clinical Scientific and Practical Center
Email: a.allakhverdiev@mknc.ru
ORCID iD: 0000-0001-6090-7809
Cand. Sci. (Med.)
Russian Federation, MoscowKarina K. Noskova
Moscow Clinical Scientific and Practical Center
Email: a.allakhverdiev@mknc.ru
ORCID iD: 0000-0001-5734-0995
Cand. Sci. (Med.)
Russian Federation, MoscowVyacheslav N. Grinevich
Moscow Clinical Scientific and Practical Center
Email: a.allakhverdiev@mknc.ru
ORCID iD: 0000-0003-1908-2256
D. Sci. (Med.)
Russian Federation, MoscowIlia Yu. Feidorov
Moscow Clinical Scientific and Practical Center
Email: a.allakhverdiev@mknc.ru
ORCID iD: 0000-0001-8369-5116
oncologist
Russian Federation, MoscowAstanda F. Ketsba
Moscow Clinical Scientific and Practical Center
Email: a.allakhverdiev@mknc.ru
doctor
Russian Federation, MoscowElena V. Bystrovskay
Moscow Clinical Scientific and Practical Center
Email: a.allakhverdiev@mknc.ru
D. Sci. (Med.)
Russian Federation, MoscowYuliya V. Embutniex
Moscow Clinical Scientific and Practical Center
Email: a.allakhverdiev@mknc.ru
D. Sci. (Med.)
Russian Federation, MoscowMariya V. Putova
Moscow Clinical Scientific and Practical Center
Email: a.allakhverdiev@mknc.ru
biologist
Russian Federation, MoscowDaria A. Synkova
Moscow Clinical Scientific and Practical Center
Email: a.allakhverdiev@mknc.ru
pathologist
Russian Federation, MoscowReferences
- Дедов И.И., Мельниченко Г.А., Мокрышева Н.Г. и др. Первичный гиперпаратиреоз: клиника, диагностика, дифференциальная диагностика, методы лечения. Проблемы эндокринологии. 2016; 62 (6): 40–77. [Dedov I.I., Melnichenko G.A., Mokrysheva N.G. et al. Primary hyperparathyroidism: the clinical picture, diagnostics, differential diagnostics, and methods of treatment. Problems of endocrinology. 2016; 62 (6): 40–77 (in Russian).]
- Бельцевич Д.Г., Воскобойников В.В., Клычева Г.М. и др. Роль прицельной тонкоигольной аспирационной биопсии со смывом на паратгормон в топической диагностике интратиреоидных парааденом при первичном гиперпаратиреозе. Остеопороз и остеопатии. 2017; 20 (3): 108–13. [Beltsevich D.G., Voskoboynikov V.V., Klycheva C.M. et al. Role of parathyroid hormone measurement in fine-needle aspiration biopsy washout in diagnosis and treatment of primary hyperparathyroidism. Osteoporosis and Bone Diseases. 2017; 20 (3): 108–13 (in Russian).]
- Михайличенко В.Ю., Каракурсаков Н.Э., Мирошник К.А. Остеобластокластома как клиническая маска первичного гиперпаратиреоза. Злокачественные опухоли. 2017; 7 (1): 26–29. doi: 10.18027/2224-5057-2017-1-26-29 [Mykhaylichenko V.Y., Karakursakov N.E., Miroshnik K.A. Osteoblastoclastoma – a clinical mask of primary hyperparathyroidism. Malignant tumours. 2017; 7 (1): 26–9 (In Russ.)]. doi: 10.18027/2224-5057-2017-1-26-29
- Usmani S, Oteifa M, Abu Huda F et al. Ectopic intrathymic parathyroid adenoma demonstrated on Tc-99m Sestamibi SPECT-CT. Gulf J Oncolog 2016; 1 (21): 61–3.
- Van Heerden JA, Weiland LH, ReMine WH et al. Cancer of the parathyroid glands. Arch Surg 1979; 114 (4): 475–80.
- Achour I, Charfi S, Chaabouni MA et al. Parathyromatosis: An uncommon cause of recurrent hyperparathyroidism. Rev Med Interne 2017; 38 (1): 61–4.
- Taillefer R, Boucher Y, Potvin C et al. Detection and localization of parathyroid adenomas in patients with hyperparathyroidism using a single radionuclide imaging procedure with technetium-99m-sestamibi (double-phase study). J Nucl Med 1992; 33 (10): 1801–7.
- Jacob S. Human Anatomy: A Clinically-Orientated Approach. Edinburgh: Elsevier, 2008; p. 181–227.
- Chen AJ, Wang TT, Bo SJ et al. Clinical value of intraoperative parathyroid hormone determination in secondary hyperparathyroidism operation. Lin Chung Er Bi Yan Hou Tou Jing Wai Ke Za Zhi 2019; 33 (12): 1168–72 (in Chinese). doi: 10.13201/j.issn.1001-1781.2019.12.013
Supplementary files
















