Surgical treatment for pelvic bone metastases
- Authors: Buharov A.V.1, Derzhavin V.A.1, Erin D.A.1, Yadrina A.V.1, Aliev M.D.2
-
Affiliations:
- Herzen Moscow Oncology Research Institute – Branch of the National Medical Research Radiological Centre
- National Medical Research Radiological Centre
- Issue: Vol 22, No 4 (2020)
- Pages: 72-76
- Section: CLINICAL ONCOLOGY
- Submitted: 16.02.2021
- Accepted: 16.02.2021
- Published: 17.02.2021
- URL: https://modernonco.orscience.ru/1815-1434/article/view/61157
- DOI: https://doi.org/10.26442/18151434.2020.4.200256
- ID: 61157
Cite item
Full Text
Abstract
Bone metastases are one of the important problems of modern orthopedic oncology. Because of the improvement of the methods of systemic drug treatment of malignant tumors, the overall duration of life expectancy of patients with generalized cancer, including bone metastases, can be up to 12–18 months and more. Metastases, including pelvic bone metastases, reduce the quality of life of patients, not only causing pain syndrome (PS), but also significantly placing restrictions on patients’ movement, often leading to disability. The possibilities of surgical correction of modern oncoortopedia can prevent pathological fractures, reduce PS and, as a result, stabilize or improve the functional status of patients.
The aim is to evaluate the results of treatment of patients with metastases of various solid tumors in pelvic bone.
Materials and methods. The analysis of the treatment of 67 patients who underwent various types of surgery for pelvic ring metastases. The average age of patients was 55.5 years (from 23 to 75 years). 51 (76.12%) patients with multiple metastases underwent minimally invasive palliative surgery. Radical surgery was performed in16 (23.88%) patients with solitary mass.
Results. The average blood loss during radical surgery was 1969 ml (from 150 to 4000 ml). The edges of resection during all surgeries are negative (R0). Six patients showed progression after the treatment of the disease. It was noted that 46 (90%) patients had a significant reduction in PS, up to complete disappearance, that allowed 42 (82%) patients to reduce the intake of analgesic drugs or completely abandon them, after minimally invasive palliative surgery.
Conclusion. In case of solitary pelvic bone metastases is necessary to perform radical surgery to achieve maximum oncological and functional results. In patients with multiple metastases in order to reduce PS and improve the quality of life rationally should be performed minimally invasive surgery, this will allow to start systemic drug treatment as soon as possible.
Full Text
Скелет является третьей по частоте метастатического поражения (МП) локализацией после легких и печени при различных типах злокачественных опухолей, поэтому метастазы в кости встречаются в 2–4 раза чаще, чем первичные опухоли костной ткани. По данным различных авторов, метастазы в кости встречаются у 45–70% больных раком молочной и предстательной желез и у 30–45% больных раком почки и раком щитовидной железы [1]. При этом наиболее часто метастазы поражают позвоночный столб и кости таза [2, 3].
Основными осложнениями МП скелета являются: выраженный болевой синдром (БС), патологический перелом кости или угроза его возникновения, которые значимо снижают качество жизни больного, а в определенных случаях могут приводить к инвалидизации [4, 5].
Благодаря усовершенствованию методик системного лекарственного лечения злокачественных опухолей общая продолжительность жизни пациентов с генерализованным онкологическим заболеванием, в том числе МП костей, может составлять до 12–18 мес и более [6]. В связи с этим одной из основных задач современной онкоортопедии в контексте МП костей являются лечебные хирургические вмешательства при солитарных метастазах, а также паллиативное пособие больным с множественным поражением костей с целью обеспечения удовлетворительного качества жизни [7, 8].
Следует учитывать, что кости таза представляют собой важную статико-динамическую структуру скелета, выполняющую защитную, опорную, а также кроветворную функции. В зоне наибольшей нагрузки кости таза, срастаясь между собой, формируют вертлужную впадину, которая совместно с головкой бедренной кости формирует тазобедренный сустав [9].
МП костей таза значительно снижает качество жизни, не только вызывая БС, но и существенно ограничивая пациентов в передвижении, зачастую приводя к инвалидизации. Существующие в настоящее время хирургические методики позволяют предотвратить патологические переломы, уменьшить БС, улучшить качество жизни. Также альтернативным способом лечения данной группы пациентов может быть лучевая терапия, обеспечивающая значительное уменьшение БС [10, 11].
Мы представляем наш опыт хирургического лечения метастазов в кости таза.
Цель исследования – оценить онкологические результаты у пациентов с солитарным поражением костей таза, а также оценить качество жизни пациентов, которым проведены паллиативные хирургические вмешательства.
Материалы и методы
Мы провели комплексный ретроспективный анализ клинических данных 67 пациентов с метастатическим поражением костей таза, которым с 2006 по 2019 г. проводилось лечение в отделении онкологической ортопедии МНИОИ им. П.А. Герцена – филиале «НМИЦ радиологии». Пациентам выполнялись различные виды хирургических вмешательств. Из них мужчин – 28 (41,79%), женщин – 39 (58,21%). Средний возраст больных составил 55,5 года (от 23 до 75 лет).
Всем пациентам для выбора адекватного метода лечения проводилось полное комплексное обследование, включающее в себя компьютерную томографию (КТ) органов грудной клетки, остеосцинтиграфию, ультразвуковое исследование области поражения, региональных лимфатических узлов и органов брюшной полости, КТ и/или магнитно-резонансную томографию костей таза.
У 51 пациента с множественными метастазами выполнены малоинвазивные хирургические вмешательства с паллиативной целью (радиочастотная термоаблация – РЧТА и/или остеопластика). У 30 (58,8%) пациентов, которым проводилось хирургическое вмешательство с паллиативной целью, выявлены метастазы висцеральной локализации (легкие, печень, внерегиональные лимфатические узлы). Всем пациентам этой группы также проводилось системное лечение, направленное на основное заболевание.
Радикальные хирургические вмешательства, направленные на удаление метастатической опухоли, выполнены 16 больным, у которых выявлены солитарные метастазы (табл. 1). Данной группе пациентов проводилась полихимиотерапия.
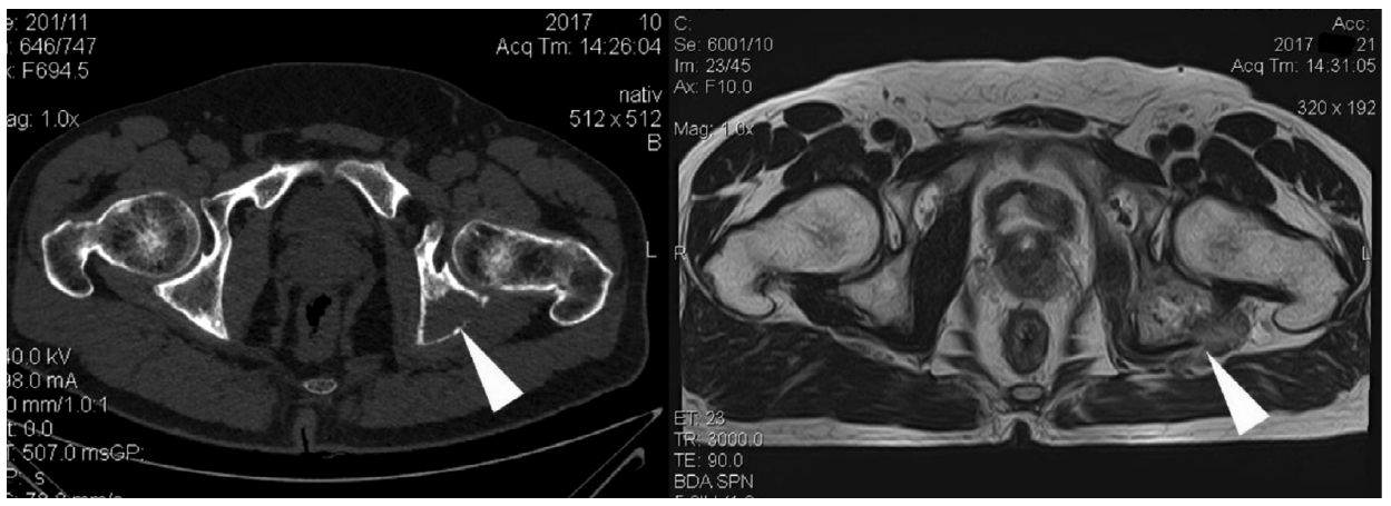
Из 16 пациентов, которым выполнены радикальные резекции, у 11 использован реконструктивно-пластический компонент операции. В качестве пластического компонента выполнялось перемещение мышечного лоскута на сосудистой ножке для замещения дефекта тканей у 4 больных, композитные сетки использовались у 2 пациентов. Во время реализации реконструктивного этапа также применялись различные варианты металлоостеосинтеза. Одному пациенту, которому выполнялась параацетабулярная резекция с целью восстановления целостности тазового кольца и достижения хороших функциональных результатов, проведено эндопротезирование модульным эндопротезом на основе конической ножки (рис. 1, 2).
Таблица 1. Варианты хирургических вмешательств Table 1. The variants of surgery | ||||
Варианты хирургических вмешательств | n | % | ||
Радикальные органосохраняющие | Удаление опухоли с замещением дефекта | С пластическим компонентом | 6 | 9 |
С использованием металлоконструкций | 4 | 6 | ||
Модульное эндопротезирование | 1 | 1,5 | ||
Удаление опухоли без замещения дефекта | 5 | 7,5 | ||
Паллиативные | РЧТА | 13 | 19,4 | |
Остеопластика | 38 | 56,6 | ||
Рис. 1. КТ костей таза и магнитно-резонансная томография костей таза пациента с метастатическим поражением параацетабулярной области до проведения хирургического лечения.
Fig. 1. CT of pelvic bones and a pelvis magnetic resonance imaging scan of the patient with para-acetabular part metastases before the surgical treatment.
Рис. 2. Рентгенография костей таза в прямой проекции после выполнения параацетабулярной резекции с эндопротезированием модульным эндопротезом на основе конической ножки.
Fig. 2. X-ray of pelvic bones in direct projection after para-acetabular resection with endoprosthesis replacement using modular endoprosthesis based on conical leg.
Резекция крестцово-подвздошного сочленения по поводу МП костей таза выполнена 4 (6%) больным. При этом с целью фиксации тазового кольца производился винтовой металлоостеосинтез (крестец и тело подвздошной кости; см. рис. 2).
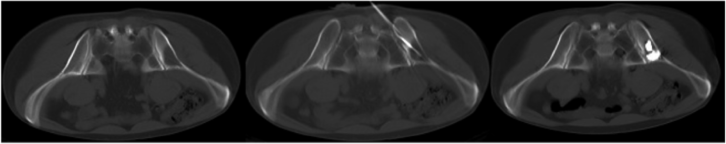
Остеопластика выполнена 38 пациентам и заключалась во введении полиметилметакрилата (костного цемента) в очаг деструкции костной ткани под контролем КТ с целью снижения БС и/или профилактики патологического перелома. Средний объем введенного костного цемента составил 6 мл (от 4 до 10 мл); рис. 3.
Рис. 3. КТ костей таза до проведенного лечения, во время РЧТА и после выполненной остеопластики. Литический компонент метастатической опухоли практически полностью заполнен костным цементом.
Fig. 3. CT of pelvic bones before the treatment, during RFA and after the osteoplasty. The litic component of the metastatic tumor is almost completely filled with bone cement.
РЧТА выполнена 13 больным при наличии экстраоссального мягкотканого компонента в пораженном костном сегменте с деструкцией кортикального слоя, который не позволял добиться обезболивающего эффекта только введением костного цемента в очаг поражения. Операция выполнялась под контролем КТ, при этом в центр опухолевого очага вводили радиочастотный электрод с проведением локальной гипертермии данного очага свыше 70°С в течение 8–12 мин. Далее, если литическая деструкция располагалась в крыше вертлужной впадины, дополнительно вводился костный цемент.
В зависимости от морфологической принадлежности источника МП у 28 пациентов диагностирован рак молочной железы, у 13 пациентов – рак почки, у 7 – рак предстательной железы, у 6 – рак мочевого пузыря, у 5 – рак легкого; рак пищевода выявлен у 2 пациентов, и по 1 пациенту – с плоскоклеточным раком, остеосаркомой, фибросаркомой и ангиолейомиосаркомой.
После окончания лечения пациентам проводилось комплексное обследование каждые 3 мес в течение последующих 3 лет после окончания лечения, далее через каждые 6 мес сроком до 5 лет, после 5 лет – ежегодно. Функциональный результат оценивали по шкале Международного общества по лечению опухолей опорно-двигательного аппарата MSTS [12]. Анализ общей 5-летней выживаемости осуществляли по методу Каплана–Мейера [13].
Результаты
Пациенты, которым проводилось радикальное хирургическое вмешательство, в соответствии с источником МП распределились следующим образом: 8 пациентов имели рак почки, 2 пациента – рак предстательной железы, по 1 пациенту имели фибросаркому мягких тканей, остеосаркому, рак околоушной слюнной железы, рак молочной железы.
При хирургических вмешательствах, направленных на удаление опухоли, кровопотеря составила от 150 до 4000 мл (средняя – 1969 мл), продолжительность операции – от 120 до 440 мин (в среднем – 232 мин). Размеры опухоли составляли от 10 до 603 см3 (в среднем 158 см3). Распространение метастатического очага в соответствии с классификацией по W. Enneking и соавт. Приведена в табл. 2 [12].
Таблица 2. Распространение метастатического очага в соответствии с классификацией по W. Enneking и соавт. Table 2. The spread of the metastatic mass according to the classification of W. Enneking and co-authors | ||||
I | II | IV | I, IV | II–III |
4 | 2 | 1 | 5 | 4 |
Края резекции при всех хирургических вмешательствах данной группы – без опухолевого роста. Функциональный результат через 6 мес после операции отличный у 9 (56,25%) пациентов, хороший – у 6 (37,5%). Удовлетворительный функциональный результат у 1 (6,25%) пациента. Осложнения отмечены у 2 (12,5%) пациентов. У 1 пациента наблюдалась раневая инфекция, которая потребовала хирургической коррекции. У другого пациента отмечен воспалительный процесс, который потребовал удаления металлоконструкции.
Из 16 пациентов, которым выполнены радикальные резекции, у 6 после операции выявлено прогрессирование заболевания: у 2 диагностирован рецидив опухоли в зоне операции, у 5 пациентов выявлены отдаленные метастазы: у 4 (80%) – в легких, у 1 (20%) – в костях. Заболевание прогрессировало в периоде от 10 до 30 мес после операции (в среднем 15,3 мес). Период наблюдения пациентов составляет от 16 до 80 мес (в среднем 26,5 мес). У 10 больных отсутствуют признаки прогрессирования заболевания.
Для стандартизации клинической картины у разных групп больных мы применяли шкалы, позволявшие достаточно полно и точно характеризовать динамику общего состояния пациента и уровень БС.
Оценку функционального состояния больных, которым выполнялись операции с паллиативной целью, мы проводили по шкале ECOG, а также оценивали БС по визуальной аналоговой шкале (ВАШ) и по шкале Watkins. Распределение пациентов в соответствии с ECOG-статусом, которым выполнялась остеопластика и РЧТА, до и после операции представлено в табл. 3.
Таблица 3. Динамика качества жизни по шкале ECOG после малоинвазивных вмешательств Table 3. The dynamics of quality of life according to ECOG scale after minimally invasive surgery | ||
Статус больного по шкале ECOG | Число больных | |
до операции | после операции | |
0 | 7 | 27 |
1 | 21 | 19 |
2 | 20 | 4 |
3 | 3 | 1 |
Всего | 51 | 51 |
При оценке функционального состояния в соответствии со статусом ECOG до операции отмечается, что 7 пациентов имели удовлетворительное состояние и практически не имели жалоб. Выполнение операции направлено на профилактику патологического перелома. Также 21 пациент имел минимальные функциональные нарушения, 20 пациентам не требовалась посторонняя помощь для ухода за собой, трое постоянно нуждались в уходе. После операции выявлено улучшение качества жизни у 38 человек, у 13 пациентов статус ECOG остался прежним (у 7 исходно нарушения функционального состояния не выявлены).
Оценка БС проводилась до операции, на 1, 7, 14, 30 и 60-е сутки после операции. За итоговый результат взята оценка БС на 14-е сутки после выполненного хирургического вмешательства.
При оценке изменения БС у пациентов после малоинвазивного хирургического вмешательства отмечено, что у 46 (90%) больных имеется значительное уменьшение БС, вплоть до полного исчезновения, что позволило 42 (82%) пациентам снизить прием анальгетических препаратов или полностью от них отказаться (табл. 4, 5).
Таблица 4. Динамика БС после малоинвазивных вмешательств (по Watkins) Table 4. The dynamics of pain syndrome after minimally invasive surgery (according to Watkins) | ||
Баллы | Число больных | |
до операции | после операции | |
0 | 6 | 28 |
1 | 18 | 15 |
2 | 20 | 7 |
3 | 3 | 0 |
4 | 4 | 1 |
Всего | 51 | 51 |
Таблица 5. Динамика изменения БС после малоинвазивных вмешательств по ВАШ Table 5. The dynamics of pain syndrome changing after minimally invasive surgery according to VAS | ||
Баллы | Число больных | |
до операции | после операции | |
0–2 | 8 | 28 |
3–4 | 3 | 12 |
5–6 | 18 | 10 |
7–8 | 19 | 0 |
9–10 | 3 | 1 |
Всего | 51 | 51 |
У 2 пациентов отмечены осложнения: у 1 – ожог мягких тканей при выполнении РЧТА, у 1 – попадание костного цемента в полость тазобедренного сустава, которое не привело к усилению БС. В процессе наблюдения (от 10 до 58 мес) патологических переломов в зоне проведенных малоинвазивных операции не отмечено. Продолженный рост опухоли отмечен у 29%, что у 20% привело к рецидиву БС в сроки от 8 до 20 мес.
Обсуждение
В последнее время благодаря комплексному подходу в лечении пациентов с МП костей таза удалось достигнуть значительных позитивных результатов. В специализированной литературе имеется незначительное количество статей, посвященных хирургическим методам лечения данной категории пациентов.
В доступной отечественной и зарубежной литературе нами не найдено проспективных исследований с большим числом пациентов, которым выполняли радикальные хирургические вмешательства по поводу МП таза. Вероятно, это связано с ограниченными показаниями, при которых возможно выполнение расширенных вариантов хирургического лечения.
В своем исследовании R. Grimer и соавт. В 2013 г. приводят данные о выполнении 8 пациентам межподвздошно-брюшного вычленения по поводу МП костей таза, при этом общее количество осложнений составило 47%, из них: воспалительные и инфекционные – 45%, 2% – мочевые свищи после интраоперационной травмы мочеточника или стенки мочевого пузыря [14]. Рецидивы отмечены у 15% пациентов в среднем через 2,3 года, 5-летняя выживаемость составила 45%. В отличие от нашего исследования, авторы рассматривают только варианты калечащих операций при достаточно высоком количестве осложнений, что, возможно, связано с большей местной распространенностью опухоли. Также A. Senchenkov и соавт. В 2008 г. приводят данные о выполненных у 22 пациентов межподвздошно-брюшных ампутаций по поводу МП костей таза [15]. Нами выполнялись операции при солитарном поражении костей таза только в органосохраняющем объеме с реконструктивно-пластическим компонентом. Количество осложнений в нашем исследовании меньше (12,5%) в совокупности с хорошим функциональным результатом.
R. Tillman и соавт. В 2019 г. опубликовали исследование, в котором выполнили 50 пациентам органосохраняющее хирургическое лечение в объеме модифицированной операции Харрингтона (резекции костей таза с металлоостеосинтезом и различными видами ауто- или аллопластики) [16]. При этом у всех пациентов отмечено повышение качества жизни после операции. Осложнения встречались у 22% больных, из них у 10% отмечена асептическая нестабильность импланта, что потребовало повторного хирургического вмешательства для коррекции этих осложнений. Общая 5-летняя выживаемость составила 33%. В исследовании также 2 пациентам потребовались повторные хирургические вмешательства в связи с инфекционными осложнениями в объеме ревизии послеоперационной раны, удаления металлоконструкции.
В исследовании группы авторов во главе с T. Charles проводился анализ лечения 35 пациентов, которым выполнялись кюретаж и цементная реконструкция полиметилметакрилатом. При этом отмечается уменьшение БС у всех пациентов, однако осложнения отмечены у 52% пациентов, при этом в 23% случаев потребовалось повторное хирургическое лечение [17]. Нами не выполнялся подобный объем хирургического вмешательства в связи с отсутствием радикализма при высоких рисках осложнений, а также возможностью в подобных случаях ограничиться малоинвазивными методами (остеопластика и РЧТА).
В настоящее время в онкоортопедии остро встает вопрос о необходимости выполнения различных видов хирургических вмешательств при МП костей таза не только в связи с необходимостью локального контроля при солитарном поражении, но и с целью улучшения/сохранения качества жизни пациентам с множественным МП. Количество выполняемых хирургических вмешательств в мире в настоящее время резко увеличилось.
Так, по данным T. Yan и соавт., выполнявших остеопластику и РЧТА метастазов параацетабулярной области, у 26 из 32 пациентов достигнуто полное исчезновение БС, а у 6 пациентов – его снижение [18]. Авторы отмечают, что у 5 пациентов отмечалось кратковременное усиление БС (до 48 ч) после операции, успешно купированное обезболивающими препаратами. Патологических переломов в процессе наблюдения не отмечено.
Большинство авторов после применения малоинвазивных методов лечения (остеопластика и РЧТА) не оценивают количество рецидивов опухоли в зоне проведенной ранее операции. Это связано с тем, что подобный объем хирургического вмешательства направлен исключительно на уменьшение БС и снижение угрозы патологического перелома, а не на ликвидацию опухолевого очага.
Проводя анализ наших результатов и данных, представленных в мировой литературе, можно сделать вывод о схожих результатах, полученных при лечении данной сложной группы пациентов.
Заключение
Основным хирургическим методом лечения пациентов с солитарным МП костей таза является резекция костей с реконструктивно-пластическим компонентом, позволяющая достичь хороших онкологических и функциональных результатов. При множественном вторичном поражении выбор метода хирургического лечения склоняется в пользу малоинвазивных методик (остеопластика и РЧТА), позволяющих улучшить качество жизни пациентов и в кратчайшие сроки начать лекарственное противоопухолевое лечение, о чем свидетельствует проведенное исследование.
Конфликт интересов. Авторы заявляют об отсутствии конфликта интересов.
Conflict of interests. The authors declare no conflict of interests.
About the authors
Artem V. Buharov
Herzen Moscow Oncology Research Institute – Branch of the National Medical Research Radiological Centre
Author for correspondence.
Email: ErinDmAl@yandex.ru
ORCID iD: 0000-0002-2976-8895
Cand. Sci. (Med.)
Russian Federation, MoscowVitali A. Derzhavin
Herzen Moscow Oncology Research Institute – Branch of the National Medical Research Radiological Centre
Email: ErinDmAl@yandex.ru
ORCID iD: 0000-0002-4385-9048
Cand. Sci. (Med.)
Russian Federation, MoscowDmitrii A. Erin
Herzen Moscow Oncology Research Institute – Branch of the National Medical Research Radiological Centre
Email: ErinDmAl@yandex.ru
ORCID iD: 0000-0002-3501-036X
Clinical Resident
Russian Federation, MoscowAnna V. Yadrina
Herzen Moscow Oncology Research Institute – Branch of the National Medical Research Radiological Centre
Email: ErinDmAl@yandex.ru
ORCID iD: 0000-0002-7944-3108
oncologist
Russian Federation, MoscowMamed D. Aliev
National Medical Research Radiological Centre
Email: ErinDmAl@yandex.ru
ORCID iD: 0000-0003-2706-4138
D. Sci. (Med.), Prof., Acad. RAS
Russian Federation, MoscowReferences
- Моисеенко В.М. Паллиативное лечение больных солидными опухолями с метастатическим поражением костей. Практ. онкол. 2001; 1: 33–8. [Moiseenko V.M. Palliativnoe lechenie bol’nykh solidnymi opukholiami s metastaticheskim porazheniem kostei. Prakticheskaia onkologiia. 2001; 1: 33–8 (in Russian).]
- Coleman RE, Paterson AH, Conte PF et al. Advances in the management of metastatic bone disease. Breast 1994; 3: 181–5.
- Onken JS, Fekonja LS, Wehowsky R et al. Metastatic dissemination patterns of different primary tumors to the spine and other bones. Clin Exp Metastasis 2019; 36 (6): 493–8.
- Coleman R. Clinical features of metastatic bone disease and risk of skeletal morbidity. Clin Cancer Res 2006; 12 (20 Pt. 2): 6243s–9s. doi: 10.1158/1078-0432.CCR-06-0931
- Жабина А.С. Роль бисфосфонатов для профилактики и лечения метастазов в кости. Практ. онкол. 2011; 12 (3): 124–31. [Zhabina A.S. Rol’ bisfosfonatov dlia profilaktiki i lecheniia metastazov v kosti. Prakticheskaia onkologiia. 2011; 12 (3): 124–31 (in Russian).]
- Павленко Н.Н., Коршунов Г.В., Попова Т.Н. и др. Метастатическое поражение костной системы. Сиб. онкол. журн. 2011; 4: 47–9. [Pavlenko N.N., Korshunov G.V., Popova T.N. et al. Metastatic involvement of skeletal system. Siberian Journal of Oncology. 2011; 4: 47–9 (in Russian).]
- Ji T, Guo W, Yang RL et al. Clinical outcome and quality of life after surgery for peri-acetabular metastases. J Bone Joint Sur Br 2011; 93 (8): 1104–10.
- Державин В.А., Карпенко В.Ю., Бухаров А.В. Реконструкция тазового кольца у пациентов с опухолевым поражением крестцово-подвздошного сочленения. Сиб. онкол. журн. 2015; 1 (3): 38–44. [Derzhavin V.A., Karpenko V.Yu., Bukharov A.V. Reconstruction of the pelvic ring in patients with tumors of the sacroiliac joint. Siberian Journal of Oncology. 2015; 1 (3): 38–44 (in Russian).]
- Falkinstein Y, Ahlmann ER, Menendez LR. Reconstruction of type II pelvic resection with a new peri-acetabular reconstruction endoprosthesis. J Bone and Joint Sur Br 2008; 90 (3): 371–6.
- Benevenia J, Cyran FP, Biermann JS et al. Treatment of advanced metastatic lesions of the acetabulum using the saddle prosthesis. Clin Orthop Relat Res 2004; 426: 23–31.
- Бычкова Н.М., Хмелевский Е.В. Особенности метастатического поражения костей при различных первичных опухолях и их значение для дистанционной лучевой терапии. Онкология. Журн. им. П.А. Герцена. 2016; 6: 12–20. [Bychkova N.M., Khmelevsky E.V. Features of metastatic bone involvement in different primary tumors and their implications for external beam radiotherapy. P.A. Herzen Journal of Oncology 2016; 6: 12–20 (in Russian).]
- Enneking WF, Dunham W, Gebhardt MC et al. A system for the functional evaluation of reconstructive procedures a tier surgical treatment of tumors of the musculoskeletal system. Clin Orthop Relat Res. 1993; 286: 241–6.
- Kaplan EL, Meier P. Nonparametric Estimation from Incomplete Observations. J Am Statistic Ass. 1958; 53: 457–81.
- Grimer RJ, Chandrasekar CR, Carter SR et al. Hindquarter amputation: is it still needed and what are the outcomes? Bone Joint J 2013; 95-B (1): 127–31.
- Senchenkov A, Moran SL, Petty PM et al. Predictors of Complications and Outcomes of External Hemipelvectomy Wounds: Account of 160 Consecutive Cases. Ann Surg Oncol 2008; 15 (1): 355–63.
- Tillman R, Tsuda Y, Puthiya Veettil M et al. The long-term outcomes of modified Harrington procedure using antegrade pins for periacetabular metastasis and haematological diseases. Bone Joint J 2019; 101-B (12): 1557–62.
- Charles T, Ameye L, Gebhart M. Surgical treatment for periacetabular metastatic lesions. Eur J Surg Oncol 2017; 43 (9): 1727–32.
- Yan T, Zhao Z, Tang X et al. Improving functional outcome and quality of life for patients with metastatic lesion of acetabulum undergoing cement augmentation. Medicine (Baltimore) 2019; 98 (36): e17029.
Supplementary files





