Опыт применения препарата трастузумаба дерукстекана у пациентов с метастатическим HER2-позитивным раком молочной железы и HER2-позитивным раком желудка в реальной клинической практике
- Авторы: Евдокимов В.И.1, Блощиненко А.А.1, Аболмасов А.Е.1, Виленский А.А.2, Ласков М.С.1
-
Учреждения:
- ООО «Университетская клиника головной боли» (Клиника доктора Ласкова)
- ФГБОУ ВО «Московский государственный университет имени М.В. Ломоносова»
- Выпуск: Том 25, № 3 (2023)
- Страницы: 336-341
- Раздел: КЛИНИЧЕСКАЯ ОНКОЛОГИЯ
- Статья получена: 17.10.2023
- Статья одобрена: 21.11.2023
- Статья опубликована: 10.10.2023
- URL: https://modernonco.orscience.ru/1815-1434/article/view/610989
- DOI: https://doi.org/10.26442/18151434.2023.3.202457
- ID: 610989
Цитировать
Полный текст
Аннотация
Цель. Оценить эффективность препарата трастузумаба дерукстекана в реальной клинической практике в Российской Федерации.
Материалы и методы. Проведен ретроспективный анализ серии клинических случаев применения трастузумаба дерукстекана (N=15) в условиях одного клинического центра – ООО «Университетская клиника головной боли» (Клиника доктора Ласкова) в рамках программы ввоза незарегистрированного препарата по жизненным показаниям. Проводилась оценка общей выживаемости, выживаемости без прогрессирования и частоты объективных ответов, продемонстрированы отдельно взятые примеры эффективности препарата в реальной клинической практике.
Результаты. Частота объективного ответа сопоставима с результатами крупных рандомизированных исследований. Медиана наблюдения за пациентами составила 67 дней, 6-месячная общая выживаемость была 70,1% (95% доверительный интервал 49,4–99,6%), 6-месячная выживаемость без прогрессирования – 52,1% (95% доверительный интервал 29,9–90,6%). Значимых осложнений, связанных с терапией, в частности интерстициальной болезни легких, не зарегистрировано.
Обсуждение. Эффективность трастузумаба дерукстекана оказалась сопоставимой с таковой в рандомизированных клинических исследованиях. Однако на уровне отдельно взятых клинических случаев отмечена несколько худшая эффективность терапии у исходно ослабленных пациентов (оценка по ECOG 3). Отдельно следует отметить, что в исследование включены пациенты, имевшие возможность приобрести дорогостоящий препарат, а следовательно, имеющие социальный статус, отличный от общей популяции, что могло сказаться на результатах в данной работе.
Заключение. Применение препарата трастузумаба дерукстекана в условиях реальной клинической практики продемонстрировало высокую эффективность его действия и удовлетворительный профиль безопасности.
Полный текст
Введение
Гиперэкспрессия и амплификация HER2 является прогностическим биомаркером, ассоциированным с плохим прогнозом в отсутствие анти-HER2-терапии [1] и встречается в 15–20% [2] случаях рака молочной железы (РМЖ) и 6–30% случаях рака желудка (РЖ) и гастроэзофагеального перехода [3].
Агрессивность HER2-ассоциированных карцином и высокая частота их встречаемости сделали данный рецептор эффективной мишенью для таргетной терапии различных типов рака [4]. В настоящее время зарегистрировано несколько таргетных препаратов для лечения ранних и поздних стадий РМЖ. Среди них моноклональные антитела – трастузумаб, пертузумаб и маргетуксимаб, низкомолекулярные ингибиторы тирозинкиназы – лапатиниб, тукатиниб и нератиниб, а также конъюгаты моноклонального антитела с химиопрепаратом – трастузумаб эмтанзин и трастузумаб дерукстекан.
Трастузумаб дерукстекан представляет собой инновационный анти-HER2-конъюгат гуманизированного анти-HER2-моноклонального антитела (IgG1) с аминокислотной последовательностью трастузумаба, ингибитора топоизомеразы и расщепляемого линкера на основе тетрапептида, ковалентно связывающего трастузумаб и ингибитор топоизомеразы I [5, 6]. На данный момент препарат зарегистрирован в Российской Федерации для применения в виде монотерапии у пациентов с неоперабельным или метастатическим HER2-положительным РМЖ, получивших ранее режим лекарственной терапии, содержащий анти-HER2-таргетные препараты, а также для лечения пациентов с неоперабельным или метастатическим HER2-слабоположительным РМЖ (по результату иммуногистохимического анализа – ИГХ 1+ или ИГХ 2+/ISH-), ранее получивших системную терапию по поводу метастатического заболевания или у которых возник рецидив во время или в течение 6 мес после завершения адъювантной химиотерапии. Пациенты с гормон-рецептор-положительным РМЖ должны ранее получить гормональную терапию или иметь к ней противопоказания*.
В исследовании DESTINY-Breast01 продемонстрирована эффективность и безопасность монотерапии препаратом трастузумабом дерукстеканом (T–DXd) у пациентов с HER2-положительным неоперабельным или метастатическим РМЖ, ранее получавших трастузумаб эмтанзин. При медиане наблюдения 25,6 мес (от 0,7 до 39,1) медиана продолжительности ответа составила 18,2 мес (95% доверительный интервал – ДИ 13,8–16,9), а медиана выживаемости без прогрессирования (ВБП) – 19,4 мес (95% ДИ 14,1–25,0 мес). Частота объективного ответа (ЧОО), подтвержденная независимой централизованной экспертной оценкой, составила 62,0% [95% ДИ 54,5–69,0% (полный ответ 7,1%, частичный – 54,9%)]. Наиболее частыми нежелательными явлениями (НЯ) 3-й степени или выше были нейтропения (у 20,7% пациентов), анемия (у 8,7%) и тошнота (у 7,6%). Развитие интерстициальной болезни легких (ИБЛ), связанной с применением T–DXd, подтверждено у 15,8% пациенток (n=29). Эти явления были преимущественно 1 или 2-й степени тяжести (3,8 и 8,7% соответственно). Зарегистрирован 1 случай ИБЛ 3-й степени (0,5%) и не фиксировано ни одного случая ИБЛ 4-й степени. По результатам независимой экспертной оценки с ИБЛ связано 5 (2,7%) летальных исходов [7].
В исследовании DESTINY-Gastric01 продемонстрирована эффективность и безопасность применения T–DXd у пациентов с HER2-позитивным местно-распространенным или метастатическим РЖ/гастроэзофагеального перехода при прогрессировании заболевания на фоне ≥2 предшествующих линий терапии, включавших препарат фторпиримидинового ряда и препарат платины. Это исследование проводилось в научных центрах Японии и Южной Кореи.
Медиана общей выживаемости (ОВ) в группе трастузумаба дерукстекана достигла 12,5 мес против 8,9 мес в группе терапии по выбору исследователя (отношение рисков – ОР 0,60, 95% ДИ 0,42–0,86), медиана ВБП также статистически значимо была выше в группе трастузумаба дерукстекана и составила 5,6 мес против 3,5 мес соответственно (ОР 0,47, 95% ДИ 0,31–0,71).
НЯ 3-й степени и выше зарегистрированы у 85,6% пациентов в группе трастузумаба дерукстекана и у 56,5% – в группе химиотерапии, преимущественно они были представлены нейтропенией (51,2 и 24,2%), анемией (38,4 и 22,6%), лейкопенией (20,8 и 11,3%).
Пульмонит отмечен у 16 (12,8%) пациентов в группе трастузумаба дерукстекана, 1–2-й степени – у 13 больных, 3-й степени – у 2, и в 1 случае зафиксировано осложнение 4-й степени [8].
В несравнительном исследовании DESTINY-Gastric02 оценка эффективности и безопасности T–DXd проводилась у пациентов с неоперабельным или метастатическим РЖ/гастроэзофагеального перехода, ранее получавших терапию, содержащую трастузумаб. Медиана количества ранее полученных режимов терапии по поводу местно-распространенного или метастатического заболевания составила 1. Подтвержденная ЧОО – 41,8% (95% ДИ 30,8–53,4%), медиана ВБП – 5,6 мес (95% ДИ 4,2–8,3), медиана ОВ – 12,1 (95% ДИ 9,4–15,4) [9].
Таким образом, лекарственный препарат трастузумаб дерукстекан занял особое место в лечении HER2-позитивного РМЖ и РЖ. В сентябре 2022 г. препарат зарегистрирован в РФ. Однако до регистрации препарата на территории РФ было возможно проведение лекарственной терапии препаратом трастузумабом дерукстеканом при соблюдении ряда законодательных условий, а именно – по жизненным показаниям.
Материалы и методы
Данная работа является демонстрацией серии клинических случаев применения лекарственного препарата трастузумаба дерукстекана в условиях реальной клинической практики. Лечение проводилось в условиях одного клинического центра ООО «Университетская клиника головной боли» (Клиника доктора Ласкова) в частной клинической практике вне рамок программы обязательного медицинского страхования.
В исследование включены пациентки с HER2-положительным метастатическим РМЖ и пациенты с HER2-положительным РЖ, получавшие терапию данным препаратом в период с 01.12.2021 по 01.04.2023. За указанный период терапию получили 13 пациенток с HER2-положительным метастатическим РМЖ и 2 пациента с HER2-положительным метастатическим РЖ.
Ввоз лекарственного препарата для осуществления терапии по жизненным показаниям в период до регистрации препарата на территории Российской Федерации в период с 01.12.2021 по 01.09.2022 осуществлялся на основании Постановления Правительства РФ от 29.09.2010 №771 «О порядке ввоза лекарственных средств для медицинского применения на территорию РФ (вместе с "Правилами ввоза лекарственных средств для медицинского применения на территорию Российской Федерации")» [10] и с 01.09.2022 – Постановления Правительства РФ от 01.06.2021 №853 (в ред. от 10.08.2023) «Об утверждении Правил ввоза лекарственных средств для медицинского применения в Российскую Федерацию» [11].
Статистический анализ и визуализация полученных данных проводились с использованием среды для статистических вычислений R Foundation for Statistical Computing. Описательные статистики для количественных переменных представлены в виде среднего (стандартное отклонение), для качественных переменных – в виде наблюдаемого числа наблюдений (относительная частота). Анализ выживаемости проводился с использованием метода Каплана–Мейера.
Принимая во внимание небольшой период наблюдения, малую выборку и гетерогенность популяции пациентов, осуществлена оценка следующих конечных точек: 6-месячной ВБП, 6-месячной ОВ и ЧОО.
Результаты
Средний возраст пациентов составил 46,2 года, медиана возраста – 45 лет. Среди пациентов 14 человек – женского пола, 1 – мужского (ID 11). Из включенных пациентов у 13 регистрирован HER2-положительный РМЖ, у 2 – HER2-положительный РЖ; 5 (33,3%) из 15 больных имели метастазы в центральной нервной системе (ЦНС) на момент начала терапии. Только 8 (53,3%) пациентов исходно имели удовлетворительный статус ECOG 0–1, остальные включенные в исследование больные – ECOG 2–3. Среднее количество линий предшествующей терапии составило 5,8, медиана – 5 линий.
На момент среза данных среднее количество курсов терапии препаратом трастузумабом дерукстеканом составило 6,6 курса, медиана – 3 курса (табл. 1).
Таблица 1. Характеристика пациентов Table 1. Patient characteristics | ||||||||
ID | Возраст | Люминальный подтип | Исходный ECOG-статус | Метастазы в ЦНС | Соответствие критериям исследований DESTINY-Breast01, DESTINY-Gastric01 | Количество курсов терапии | Количество линий предшествующей терапии | Наилучший ответ по критериям RECIST 1.1 |
12 | 39 | Да | 1 | Нет | Нет | 11 | 6 | PR |
4 | 38 | Да | 2 | Да | Нет | 18 | 5 | PR |
5 | 43 | Да | 1 | Нет | Нет | 14 | 5 | PR |
10 | 57 | Да | 1 | Нет | Да | 16 | 3 | SD |
3 | 53 | Нет | 0 | Нет | Да | 15 | 3 | SD |
8 | 38 | Да | 2 | Нет | Да | 9 | 10 | PR |
2 | 29 | Да | 2 | Да | Нет | 3 | 9 | SD |
6 | 47 | Да | 3 | Да | Нет | 2 | 6 | SD |
7 | 51 | Да | 1 | Нет | Да | 6 | 4 | SD |
9 | 48 | Нет | 1 | Нет | Да | 3 | 5 | SD |
11 | 67 | N/A (РЖ) | 1 | Да | Нет | 3 | 2 | PR |
13 | 26 | N/A (РЖ) | 3 | Нет | Нет | 2 | 12 | PD |
14 | 43 | Да | 2 | Да | Нет | 1 | 4 | N/A |
15 | 45 | Да | 3 | Нет | Нет | 1 | 6 | N/A |
1 | 70 | Да | 1 | Нет | Нет | 1 | 4 | N/A |
Примечание. ID – идентификационный номер, ECOG – Eastern Cooperative Oncology Group, РКИ DB и DG – рандомизированные клинические исследования группы DESTINY-Breast01 и DESTINY-Gastric01, PR – partial response (частичный ответ), SD – stable disease (стабилизация заболевания), PD – progression disease (прогрессирование заболевания), N/A – неприменимо (оценка по RECIST 1.1 не проводилась). | ||||||||
Эффективность проводимой терапии по ЧОО удалось объективно оценить у 12 из 15 включенных пациентов. Наилучшим ответом на лечение у 5 (41,7%) пациентов был частичный ответ, у 6 (50%) – стабилизация, у 1 (8,3%) пациентки зарегистрировано прогрессирование заболевания по критериям RECIST 1.1 (рис. 1).
Рис. 1. Индивидуальные данные по каждому пациенту (ВБП, ЧОО).
Fig. 1. Individual data for each patient (progression-free survival, objective response rate).
Медиана наблюдения за пациентами составила 67 дней. При анализе выживаемости по методу Каплана–Мейера 6-месячная ОВ была 70,1% (95% ДИ 49,4–99,6%); рис. 2, 6-месячная ВБП – 52,1% (95% ДИ 29,9–90,6%); рис. 3.
Рис. 2. ОВ.
Fig. 2. Overall survival.
Рис. 3. ВБП.
Fig. 3. Progression-free survival.
Данные по НЯ были схожи с таковыми, полученными в других исследованиях по оценке применения препарата трастузумаба дерукстекана у пациентов с метастатическим РМЖ и представленными в литературе ранее (табл. 2). Основное гематологическое НЯ, зафиксированное у 7 (46,6%) пациентов, – анемия. Основным проявлением гастроинтестинальной токсичности была тошнота у 7 (46,6%) больных. Наиболее частыми побочными эффектами являлись слабость и снижение аппетита, наблюдались у 9 (60%) пациентов.
Таблица 2. НЯ, абс. (%) Table 2. Adverse events, abs. (%) | ||
Событие (НЯ) | Любая степень | Серьезное НЯ (степень >3) |
Гематологические | ||
Нейтропения | 5 (33,3) | 1 (6,6) |
Анемия | 7 (46,6) | 1 (6,6) |
Тромбоцитопения | 2 (13,3) | 0 (0) |
Гастроинтестинальные | ||
Тошнота | 7 (46,6) | 0 (0) |
Рвота | 3 (20) | 0 (0) |
Диарея | 2 (13,3) | 0 (0) |
Констипация | 1 (6,6) | 0 (0) |
Общие | ||
Слабость | 9 (60) | 0 (0) |
Снижение аппетита | 9 (60) | 0 (0) |
Алопеция | 3 (20) | 0 (0) |
Примечательно, что серьезные НЯ, связанные с терапией лекарственным препаратом трастузумабом дерукстеканом, развились только у 2 пациентов – анемия 3-й степени тяжести и нейтропения 3-й степени тяжести по общим терминологическим критериям НЯ (Common Terminology Criteria for Adverse Events – CTCAE version 5.0). Не зарегистрированы НЯ, представляющие особый интерес, такие как ИБЛ/лекарственный пульмонит или снижение фракции выброса левого желудочка.
Каждый 3-й пациент вынужденно приостанавливал терапию по немедицинским причинам, что могло повлиять на эффективность лечения.
Обсуждение
Данная работа демонстрирует опыт применения лекарственного препарата трастузумаба дерукстекана в условиях реальной клинической практики. Имеется ряд ограничений, на которые стóит обратить внимание при интерпретации полученных данных.
Малая выборка (15 пациентов) и короткий период наблюдения, вероятно, повлияли на ОВ и ВБП, которые оказались несколько ниже, чем в группах клинических исследований DESTINY-Breast01 и DESTINY-Gastric01. Кроме того, на показатели ОВ и ВБП влияет значимая предлеченность пациентов, в среднем ~6 линий терапии до применения трастузумаба дерукстекана. Почти 1/2 пациентов, включенных в данную работу, имели исходно низкий функциональный статус (ECOG 2–3), что негативно влияло на прогноз и потенциальную эффективность лечения.
Подавляющее большинство пациентов – 10 (66,6%) – не соответствовали критериям включения/исключения группы исследований DESTINY-Breast01 и DESTINY-Gastric01. Таким образом, в данной работе представлен реальный портрет пациента, которому потенциально может быть назначен препарат трастузумаб дерукстекан.
Следует отметить небольшой период наблюдения у части пациентов и в связи с этим – низкую медиану наблюдения в целом. В оценку в период с января по апрель 2023 г. включены 5 пациентов. Будет продолжен сбор ретроспективных данных с целью мониторинга оценки ВБП и ОВ в реальной клинической практике.
От причин, не связанных с лечением, умерли 3 пациента: 1 смерть наступила в результате развившегося желудочно-кишечного кровотечения (на фоне приема стероидных гормонов), летальный исход наступил, несмотря на частичный ответ после 3 курсов проведенной терапии (ID 11); 1 пациентка умерла от отека головного мозга на фоне лептоменингеального канцероматоза, объективно оценить динамику не удалось (ID 14); 1 смерть наступила в результате тромбоэмболии легочной артерии после 1-го курса терапии (ID 15). В результате прогрессирования злокачественного новообразования у пациентов произошло только 2 летальных исхода (ID 12 и 13).
Следует отдельно отметить, что 1/3 больных прерывали лечение вследствие немедицинских причин, в частности из-за трудностей с логистикой доставки препарата или по финансовым причинам. Прерывание терапии не повлекло за собой потерю контроля заболевания.
Важным фактором, влияющим на прогноз, является социальный статус пациентов, включенных в данную работу. По данным литературы [12], уровень дохода пациента может влиять на показатели выживаемости. Таким образом, в условиях реальной клинической практики и обеспечения пациентов препаратом в рамках программы обязательного медицинского страхования результаты могут отличаться от тех, что представлены в данной работе.
Демонстрация применения препарата трастузумаба дерукстекана на конкретных клинических примерах
С целью демонстрации эффективности лекарственного препарата трастузумаба дерукстекана более детально будут рассмотрены 2 клинических случая.
Пациентка №5 43 лет. Рак правой молочной железы, люминальный B, HER2-положительный (ИГХ 3+), исходно метастатический с января 2019 г. (кости, печень, легкие). Значимой сопутствующей патологии нет. Пациентка получила 5 линий лекарственной терапии с января 2019 по март 2022 г., включая все зарегистрированные на территории РФ анти-HER2-препараты – трастузумаб, пертузумаб, трастузумаб эмтанзин, лапатиниб. После 3 проведенных курсов терапии препаратом трастузумабом дерукстеканом зарегистрирован частичный ответ (90%) по критериям RECIST 1.1 (рис. 4, 5). Терапия продолжается по настоящее время, сохраняется частичный ответ. Отдельно следует отметить, что у данной пациентки по логистическим причинам терапия дважды прерывалась более чем на 1,5 мес, что в конкретном случае не повлекло за собой прогрессирования заболевания.
Рис. 4. Пациентка №5, позитронно-эмиссионная томография с компьютерной томографией с 18F-фтордезоксиглюкозой (ПЭТ КТ с 18-ФДГ) – апрель 2022 г., до начала терапии.
Fig. 4. Patient No.5, positron emission tomography with computed tomography with 18F-fluorodeoxyglucose; April 2022, before the therapy.
Рис. 5. Пациентка №5, ПЭТ КТ с 18-ФДГ, август 2022 г., после окончания терапии.
Fig. 5. Patient No.5, positron emission tomography with computed tomography with 18F-fluorodeoxyglucose; August 2022, after the therapy.
Пациент №11 67 лет. Рак кардиоэзофагеального отдела желудка, исходно метастатическое поражение легких, костей, HER2 3+. Значимая сопутствующая патология: постинфарктный кардиосклероз (2020 г.), массивная тромбоэмболия легочной артерии (2020 г.).
Химиотерапия – 9 курсов 1-й линии химиотерапии по схеме FLOT+трастузумаб с 23.12.2020 по 24.05.2021, поддерживающая терапия по схеме капецитабин+трастузумаб проведена с 24.05.2021 по 03.12.2021. Полный ответ на лечение зарегистрирован летом 2021 г. Прогрессирование – множественное метастатическое поражение головного мозга в декабре 2021 г., без прогрессирования – вне ЦНС.
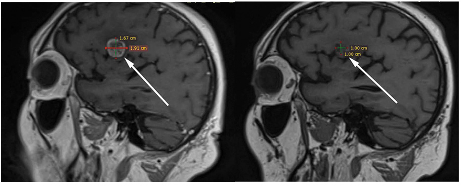
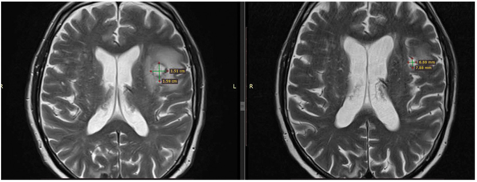
В декабре 2021 г. – лучевая терапия на весь объем головного мозга, суммарная очаговая доза 30 Гр, при контрольной магнитно-резонансной томографии (МРТ) головного мозга с внутривенным контрастом – появление новых очагов в головном мозге (суммарно до 11). С февраля по апрель 2022 г. проведено 3 курса терапии препаратом трастузумабом дерукстеканом, в динамике – частичный интракраниальный ответ (рис. 6, 7).
Рис. 6. Пациент №11, аксиальная проекция, сравнение МРТ головного мозга с контрастным усилением (КУ) от февраля 2022 г. (слева) и от апреля 2022 г. (справа), уменьшение целевого очага в левой теменной доле.
Fig. 6. Patient No.11, axial plane, comparison of contrast-enhanced brain MRI dated February 2022 (left) and April 2022 (right), reduction of the target lesion in the left parietal lobe.
Рис. 7. Пациент №11, сагиттальная проекция, сравнение МРТ головного мозга с КУ от февраля 2022 г. (слева) и от апреля 2022 г. (справа), уменьшение целевого очага в левой теменной доле.
Fig. 7. Patient No.11, sagittal plane, comparison of contrast-enhanced brain MRI dated February 2022 (left) and April 2022 (right), reduction of the target lesion in the left parietal lobe.
Заключение
Применение лекарственного препарата трастузумаба дерукстекана в условиях реальной клинической практики продемонстрировало результаты, сопоставимые с данными, полученными в группе РКИ DESTINY-Breast01 и DESTINY-Gastric01. Препарат показал в целом управляемый профиль безопасности в условиях реальной клинической практики на отобранной реальной популяции пациентов, в частности тех, кого было бы невозможно включить в РКИ. В отдельных клинических случаях демонстрируется высокая эффективность препарата в отношении распространенного HER2-позитивного РМЖ или РЖ, в том числе с метастазами в ЦНС.
Раскрытие интересов. Авторы декларируют отсутствие явных и потенциальных конфликтов интересов, связанных с публикацией настоящей статьи.
Disclosure of interest. The authors declare that they have no competing interests.
Вклад авторов. Авторы декларируют соответствие своего авторства международным критериям ICMJE. Все авторы в равной степени участвовали в подготовке публикации: разработка концепции статьи, получение и анализ фактических данных, написание и редактирование текста статьи, проверка и утверждение текста статьи.
Authors’ contribution. The authors declare the compliance of their authorship according to the international ICMJE criteria. All authors made a substantial contribution to the conception of the work, acquisition, analysis, interpretation of data for the work, drafting and revising the work, final approval of the version to be published and agree to be accountable for all aspects of the work.
Источник финансирования. Авторы декларируют отсутствие внешнего финансирования для проведения исследования и публикации статьи.
Funding source. The authors declare that there is no external funding for the exploration and analysis work.
Информированное согласие на публикацию. Пациенты подписали форму добровольного информированного согласия на публикацию медицинской информации.
Consent for publication. Written consent was obtained from the patients for publication of relevant medical information.
*Общая характеристика лекарственного препарата Энхерту (лиофилизата для приготовления концентрата для приготовления раствора для инфузий, 100 мг), с учетом изменения №1 от 03.05.2023. Регистрационное удостоверение: ЛП-№(001242)-(РГ-RU) от 21.09.2022. Общая характеристика лекарственного препарата Энхерту доступна на информационном портале Евразийского экономического союза: http://eec.eaeunion.org.
Об авторах
Владимир Игоревич Евдокимов
ООО «Университетская клиника головной боли» (Клиника доктора Ласкова)
Автор, ответственный за переписку.
Email: Evdokimov.onco@gmail.com
ORCID iD: 0000-0002-0591-7921
врач-онколог
Россия, МоскваАнатолий Алексеевич Блощиненко
ООО «Университетская клиника головной боли» (Клиника доктора Ласкова)
Email: editor@omnidoctor.ru
ORCID iD: 0009-0004-5590-8603
врач-онколог
Россия, МоскваАлександр Евгеньевич Аболмасов
ООО «Университетская клиника головной боли» (Клиника доктора Ласкова)
Email: editor@omnidoctor.ru
ORCID iD: 0000-0002-3374-6736
врач-онколог, медицинский директор
Россия, МоскваАлексей Александрович Виленский
ФГБОУ ВО «Московский государственный университет имени М.В. Ломоносова»
Email: editor@omnidoctor.ru
ORCID iD: 0009-0006-0453-3316
врач-онколог, химиотерапевт, зав. отд-нием противоопухолевой лекарственной терапии
Россия, МоскваМихаил Савельевич Ласков
ООО «Университетская клиника головной боли» (Клиника доктора Ласкова)
Email: editor@omnidoctor.ru
ORCID iD: 0009-0001-2450-2246
канд. мед. наук, врач-онколог, врач-гематолог
Россия, МоскваСписок литературы
- Ross JS, Fletcher JA, Linette GP, et al. The Her-2/neu gene and protein in breast cancer 2003: Biomarker and target of therapy. Oncologist. 2003;8(4):307-25. doi: 10.1634/theoncologist.8-4-307
- American Cancer Society. Breast Cancer Facts & Figures 2019–2020. Available at: https://www.cancer.org/content/dam/cancer-org/research/cancer-facts-and-statistics/breast-cancer-facts-and-figures/breast-cancer-facts-and-figures-2019-2020.pdf. Accessed: 05.08.2023.
- Gravalos C, Jimeno A. HER2 in gastric cancer: A new prognostic factor and a novel therapeutic target. Ann Oncol. 2008;19(9):1523-9. doi: 10.1093/annonc/mdn169
- Iqbal N, Iqbal N. Human epidermal growth factor receptor 2 (HER2) in cancers: Overexpression and therapeutic implications. Mol Biol Int. 2014;2014:852748. doi: 10.1155/2014/852748
- Ogitani Y, Aida T, Hagihara K, et al. DS-8201a, a novel HER2-targeting ADC with a novel DNA topoisomerase I inhibitor, demonstrates a promising antitumor efficacy with differentiation from T-DM1. Clin Cancer Res. 2016;22(20):5097-108. doi: 10.1158/1078-0432
- Nakada T, Sugihara K, Jikoh T, et al. The latest research and development into the antibody-drug conjugate, trastuzumab deruxtecan (DS-8201a), for HER2 cancer therapy. Chem Pharm Bull (Tokyo). 2019;67(3):173-85. doi: 10.1248/cpb.c18-00744
- Saura C, Modi S, Krop I, et al. Trastuzumab deruxtecan (T–DXd) in patients with HER2-positive metastatic breast cancer: Updated survival results from a phase 2 trial (DESTINY-Breast01) [poster]. Presented at: European Society for Medical Oncology (ESMO) 2021 Annual Meeting; September 16–21, 2021. Poster 279P.
- Shitara K, Bang YJ, Iwasa S, et al. Trastuzumab deruxtecan in previously treated HER2-positive gastric cancer. N Engl J Med. 2020;382(25):2419-30. doi: 10.1056/NEJMoa2004413
- Van Cutsem E, Di Bartolomeo M, Smyth E, et al. Primary analysis of a phase 2, open-label, single arm trial of trastuzumab deruxtecan in western patients with HER2-positive unresectable or metastatic gastric or gastroesophageal junction cancer on or after a trastuzumab-containing regimen. Presented at: European Society for Medical Oncology (ESMO) 2021 Annual Meeting; September 16–21, 2021.
- О порядке ввоза лекарственных средств для медицинского применения на территорию Российской Федерации (вместе с «Правилами ввоза лекарственных средств для медицинского применения на территорию Российской Федерации»): Постановление Правительства РФ от 29.09.2010 №771 (в ред. от 28.12.2016): [утратило силу]. Режим доступа: https://www.consultant.ru/document/cons_doc_LAW_105543/ Ссылка активна на 20.08.2023 [O poriadke vvoza lekarstvennykh sredstv dlia meditsinskogo primeneniia na territoriiu Rossiiskoi Federatsii (vmeste s «Pravilami vvoza lekarstvennykh sredstv dlia meditsinskogo primeneniia na territoriiu Rossiiskoi Federatsii»): Postanovlenie Pravitel'stva RF ot 29.09.2010 №771 (v red. ot 28.12.2016): [utratilo silu]. Available at: https://www.consultant.ru/document/cons_doc_LAW_105543/ Accessed: 20.08.2023 (in Russian)].
- Об утверждении Правил ввоза лекарственных средств для медицинского применения в Российскую Федерацию и признании утратившими силу некоторых актов и отдельных положений некоторых актов Правительства Российской Федерации: Постановление Правительства РФ от 01.06.2021 №853 (в ред. от 10.08.2023). Режим доступа: https://www.consultant.ru/document/cons_doc_LAW_385632/?ysclid=lo5sjknlic453377889. Ссылка активна на 20.08.2023 [Ob utverzhdenii Pravil vvoza lekarstvennykh sredstv dlia meditsinskogo primeneniia v Rossiiskuiu Federatsiiu i priznanii utrativshimi silu nekotorykh aktov i otdel'nykh polozhenii nekotorykh aktov Pravitel'stva Rossiiskoi Federatsii: Postanovlenie Pravitel'stva RF ot 01.06.2021 №853 (v red. ot 10.08.2023). Available at: https://www.consultant.ru/document/cons_doc_LAW_385632/?ysclid=lo5sjknlic453377889. Accessed: 20.08.2023 (in Russian)].
- Leone J, Leone J, Vallejo C, et al. Factors associated with short- and long-term survival in metastatic HER2+ breast cancer. J Clin Oncol. 2022;40(16 Suppl.):1047. doi: 10.1200/JCO.2022.40.16_suppl.1047
Дополнительные файлы










