Endobronchial metastasis of melanoma: a clinical case
- Authors: Ognerubov N.A.1, Palkina E.E.2, Sayapin O.E.2, Ognerubova M.A.2
-
Affiliations:
- Derzhavin Tambov State University
- Tambov Regional Oncological Clinical Dispensary
- Issue: Vol 25, No 3 (2023)
- Pages: 397-400
- Section: CLINICAL ONCOLOGY
- Submitted: 15.09.2023
- Published: 10.10.2023
- URL: https://modernonco.orscience.ru/1815-1434/article/view/569981
- DOI: https://doi.org/10.26442/18151434.2023.3.202458
- ID: 569981
Cite item
Full Text
Abstract
Background. Despite high metastatic potential, melanoma rarely metastasizes to the tracheobronchial tree, accounting for 4.5-5.3% of cases. Therefore, epidemiological, clinical, and pathological features, as well as treatment, are based on individual reports in the literature.
Aim. To present a clinical case of isolated endobronchial metastasis of melanoma.
Materials and methods. A 67-year-old patient underwent surgical treatment for stage IIb pT2N0M0 melanoma of the IV toe of the left foot in August 2014. Histological study showed the ulcerated epithelioid cell pigment melanoma of level III invasion according to Clark classification, and the Breslow thickness was 2 mm. No adjuvant treatment was administered.
Results. During the follow-up, no signs of disease progression were found. In December 2022, the patient survived a new coronavirus infection. In February 2023, the patient reported dyspnea on exertion, dry cough, and hemoptysis. Fibrobronchoscopy in the upper lobe of the left lung in one of the subsegmental branches revealed pigmentation of the bronchial mucosa of gray and black in some spots. Based on the results of cytological examination, metastasis of pigment epithelioid cell melanoma was diagnosed. According to imaging studies, no other manifestations of melanoma progression were identified. The patient received immunotherapy with pembrolizumab for 6 months with no signs of metastasis progression.
Conclusion. Isolated endobronchial metastasis of melanoma is uncommon. The latency period in the presented case was 103 months. The clinical presentation included dyspnea during physical exertion, dry cough, and episodes of hemoptysis. The main diagnostic method is fibrobronchoscopy with biopsy for morphological examination. Imaging methods are necessary to establish the spread of the tumor.
Keywords
Full Text
Введение
Меланома кожи (МК) признана одной из самых агрессивных опухолей человека в связи с наличием у нее высокого метастатического потенциала. МК составляет только 1% всех случаев рака кожи. Тем не менее МК остается основной причиной большинства смертей при этой локализации [1]. По данным Globocan cancer observatory (2020 г.), в мире зарегистрировано 324 635 случаев меланомы, которая занимает 17-е место в структуре заболеваемости и 22-е место по числу смертей – 57 043. За аналогичный период в России выявлен 12 231 случай меланомы, что соответствует 16-му месту по заболеваемости и 19-му месту по числу смертей – 4 070 [2].
Меланома обладает агрессивным метастатическим потенциалом как лимфогенным, так и гематогенным путем [3]. Причем после лимфатических узлов наиболее частой локализацией отдаленных метастазов становятся легкие и плевра – до 80% [4].
Эндобронхиальные метастазы (ЭБМ) при солидных злокачественных новообразованиях – редкое явление. Согласно литературным данным, наиболее распространенными ЭБМ являются различные солидные опухоли внелегочной локализации. Среди них наиболее распространенные – рак молочной железы – 30%, колоректальный рак – 24%, злокачественные опухоли почек – 14%, желудка – 6%, предстательной железы – 4,5% и меланома – 4,5% [5].
Первое описание поражения трахеобронхиального дерева при меланоме сделал L. Clerf в 1934 г. [6]. Метастазы меланомы составляют 4,5–5,3% среди всех эндобронхиальных поражений [5, 7, 8].
По данным литературы, риск возврата меланомы наиболее велик в первые 2–4 года после постановки первичного диагноза [9]. Однако она может метастазировать и рецидивировать через много лет после первичной диагностики [10, 11].
Такой характер метастазирования, особенно у больных после 10 лет излечения, обусловлен биологическими особенностями опухоли. В ряде случаев развивается поздний рецидив за счет активности спящих опухолевых клеток. Факторами возникновения его являются I–II стадии, возраст менее 40 лет, толщина опухоли по Бреслоу более 2 мм или IV–V уровень инвазии по Кларку. Причем регионарные лимфоузлы, мозг и легкие были первыми органами рецидива, т.е. они являются местами покоя опухолевых клеток согласно соответствующей теории покоя [10, 11]. Частота поздних рецидивов составляет 0,41–11% [12, 13].
Медиана общей выживаемости (ОВ) при ЭБМ составляет 6 мес, а диапазон варьирует от 1 до 46 мес [14].
Мы сообщаем о случае меланомы с изолированным ЭБМ, диагностированным с помощью фибробронхоскопии и цитологического исследования.
Описание собственного случая
Больному Р. 67 лет в августе 2014 г. в онкологическом диспансере по поводу опухоли кожи выполнена экзартикуляция IV пальца левой стопы. При гистологическом исследовании выявлена изъязвленная эпителиоидноклеточная пигментная меланома, III уровень инвазии по Кларку, толщина по Бреслоу – 2 мм. Установлен диагноз МК IV пальца левой стопы стадии IIb рT2N0M0. При обследовании признаков прогрессирования заболевания не выявлено. C учетом распространенности опухолевого процесса рекомендовано динамическое наблюдение.
За время диспансерного наблюдения признаков возврата заболевания не отмечалось. Явился на прием в феврале 2023 г. с жалобами на одышку при физической нагрузке, слабость, сухой кашель и эпизодически кровохарканье. Указанные симптомы, со слов больного, появились приблизительно 2 нед назад. Известно, что в декабре 2022 г. он перенес новую коронавирусную инфекцию (COVID-19) с развитием двусторонней полисегментарной вирусной пневмонии (со степенью поражения легких КТ-1).
При объективном исследовании признаков местного возврата заболевания нет. Паховые лимфатические узлы с обеих сторон размером до 0,6×1 см эластической консистенции, подвижные. При аускультации в легких выслушиваются двусторонние сухие хрипы, больше слева. Для исключения метастатического поражения легких выполнена спиральная компьютерная томография грудной клетки с контрастированием. При этом слева в S2 выявлена зона рубцовой эмфиземы размером 0,8×1,2 см. Внутригрудные лимфоузлы не увеличены.
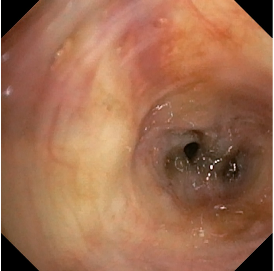
Выполнена фибробронхоскопия. Просвет трахеи широкий, свободный, хрящевые кольца хорошо контурируются, слизистая розовая, блестящая, карина острая, подвижная. Правое легкое: осмотру доступны бронхи до субсегментарных – устья их свободные, шпоры острые, подвижные. Слизистая несколько гиперемирована. Левое легкое: бронхиальное дерево проходимо до сегментарных бронхов. Устья всех доступных бронхов свободные, шпоры острые, подвижные. Слизистая гиперемирована, местами прожилки крови. В одном из субсегментарных ветвей В1/2 слизистая рыхлая, серого, а местами черного цвета, диффузного характера, в просвете виден сгусток черного цвета. Эндоскопическая картина крайне подозрительная на метастаз меланомы. Произведена браш-биопсия и смывы (рис. 1).
Рис. 1. Пациент Р. 67 лет. Фибробронхоскопия. ЭБМ меланомы верхней доли левого легкого
Fig. 1. Patient R., 67 years old. Fibrobronchoscopy. Endobronchial metastases of melanoma in the upper lobe of the left lung.
При цитологическом исследовании мазков из верхнедолевого бронха слева определяются гигантские многоядерные клетки меланомы с выраженным полиморфизмом и анаплазией. Цитоплазма содержит гранулы бурого и черного цветов, которые располагаются также внеклеточно и в альвеолярных макрофагах. Цитологическая картина соответствует метастазу пигментной эпителиоидноклеточной меланомы (рис. 2).
Рис. 2. Пациент Р. 67 лет. Браш-биопсия бронха. Метастаз пигментной эпителиоидноклеточной меланомы. Скопления полиморфных клеток опухоли, в цитоплазме которых видны гранулы бурого и черного пигмента. Определяются единичные клетки бронхиального реснитчатого эпителия. Окраска по Романовскому–Гимзе. ×1000.
Fig. 2. Patient R., 67 years old. Brush biopsy of the bronchus. Metastasis of pigment epithelioid cell melanoma. Clusters of polymorphic tumor cells with granules of brown and black pigment in cytoplasm. Single cells of the bronchial ciliated epithelium were observed. Romanovsky-Giemsa stain. ×1000.
Важным критерием цитологического диагноза является обнаружение в клетках злокачественной опухоли гранул пигментной меланомы.
Для исключения метастатического поражения других органов выполнены магнитно-резонансные томографии как органов брюшной полости, так и головного мозга с контрастированием; признаков специфического поражения не выявлено. BRAF-мутации в опухолевой ткани не обнаружены.
С учетом результатов примененных методов медицинской визуализации у пациента диагностировано прогрессирование меланомы – изолированный ЭБМ меланомы. Учитывая характер метастазирования, назначена иммунотерапия ингибитором контрольных точек PD-1 пембролизумабом, которая проводится на протяжении 6 мес. Признаков прогрессирования по результатам обследования не выявлено.
Представленный случай интересен изолированным ЭБМ меланомы, при котором продолжительность латентного периода составила 103 мес.
Обсуждение
За последние десятилетия уровень заболеваемости меланомой среди белого населения растет, и, по прогнозам статистиков, к 2030 г. ожидается удвоение числа заболевших [15].
ЭБМ меланомы является весьма редким событием возврата заболевания. По данным различных авторов, на его долю приходится примерно 4,5% метастазирования [5, 7, 14]. ЭБМ могут развиваться как в бронхиальной стенке за счет гематогенного распространения, так и посредством перехода в бронх из соседних тканей [16].
Согласно исследованиям одних авторов, метастазы меланомы в бронхи возникали в среднем через 48 мес с момента постановки диагноза первичной опухоли, а диапазон колебаний составил от 0 до 120 мес. Из них 73,7% пациентов имели метастатическое поражение других органов. Следует отметить, что изолированное поражение трахеобронхиального дерева имели только 4 пациента (21,1%) [14]. По исследованиям других авторов, продолжительность латентного периода до постановки эндобронхиального поражения колеблется от 20 [17] до 102 мес [18]. Однако в литературе также описан ЭБМ меланомы через 40 лет после хирургического лечения первичного очага у 83-летней пациентки [8].
В показанном нами клиническом случае этот период составил 103 мес, причем прогрессирование опухолевого процесса представлено только изолированным эндобронхиальным поражением.
Симптомы поражения трахеобронхиального дерева неспецифичны. По данным A. Chaussende и соавт. (2017 г.), одышка являлась самым частым симптомом, она наблюдалась у 52,6% пациентов, 2-м по частоте встречаемости был кашель – у 42,2%, а кровохарканье регистрировано у 36,8% больных [14]. Другие исследователи приводят более низкую частоту проявлений указанных симптомов. При этом бессимптомный вариант течения отмечен у 26% пациентов [5].
У нашего пациента 1-м симптомом также была одышка с последующим сухим кашлем и эпизодами кровохарканья.
Диагностика эндобронхиального поражения при меланоме осуществляется с помощью эндоскопического исследования. В то же время характерных признаков для этого варианта нет. Описаны такие признаки, как тромбоподобный рисунок слизистой бронхов, склонность к контактной кровоточивости, обструкции соседних бронхиальных отверстий [18].
Подобная эндоскопическая картина поражений бронхов наблюдается также и при других солидных опухолях [14, 19].
В ряде случаев авторы указывают на наличие черной пигментации слизистой трахеобронхиального дерева [14, 20, 21].
В представленном нами наблюдении у больного при бронхоскопии выявлена диффузная инфильтрация слизистой черного цвета субсегментарных ветвей бронхиального дерева слева B1/2. Выполнена браш-биопсия. При цитологическом исследовании материала пациента установлена эпителиоидноклеточная пигментная меланома. В связи с этим мы считаем, что наличие черной пигментации слизистой бронхов локального или диффузного характера свидетельствует о специфическом эндобронхиальном поражении меланомы.
С целью уточнения распространенности опухолевого процесса применяются различные методы медицинской визуализации: спиральная компьютерная томография, магнитно-резонансная томография, позитронно-эмиссионная томография, совмещенная с компьютерной томографией. При этом диагностическая значимость последней, безусловно, превосходит остальные методы [22].
Лечение внутрипросветных метастазов меланомы, как правило, осуществляется в соответствии с морфологическими особенностями первичной опухоли и общим состоянием пациента [23]. С этой целью применяют различные методы начиная от эндобронхиального воздействия с последующей лучевой и химиотерапией до хирургического вмешательства. Среди эндобронхиальных методов лечения делают выбор в пользу применения резекции бронхов, диатермокоагуляции, лазера, стентирования [14].
Некоторые авторы придерживаются мнения о том, что эндобронхиальная меланома оказывает положительное влияние на продолжительность жизни этой популяции больных и улучшает качество их жизни [24, 25]. Вместе с тем метастатическое поражение легких принято считать неблагоприятным признаком [23].
Медиана ОВ в исследованной популяции составила 6 мес, а диапазон колебаний – от 1 до 46 мес [14]. В некоторых других исследованиях с меньшим количеством больных эти показатели также составили менее 12 мес [26].
- Chaussende и соавт. оценили ОВ 19 пациентов с ЭБМ меланомы, получавших лечение в 9 больницах Франции, Канады и Греции, по результатам бронхоскопии за период с 1990 по 2014 г. [14]. Авторы показали, что методы лечения не оказывают влияние на прогноз. Худшие результаты отмечались при поражении плевры и мягких тканей [14]. Аналогичного мнения придерживаются и другие исследователи [27, 28]. В то же время некоторые из них полагают, что наличие метастатического поражения мягких тканей является хорошим прогностическим признаком [29].
Большинство ученых считают, что при метастатической меланоме хирургическое лечение, когда это возможно, безусловно, улучшает ОВ пациентов [30]. ОВ больных с ЭБМ меланомы варьирует от 8 до 16 мес, медиана 12 мес [18, 31, 32].
Среди новых методов лечения эндобронхиального поражения меланомой следует назвать иммунотерапию, в качестве которой используют ингибиторы 1 и 2-х контрольных точек [22]. В описанном нами случае пациенту назначена иммунотерапия пембролизумабом.
Заключение
Меланому нельзя считать излеченной даже после длительного периода ремиссии. Это связано с ее высоким метастатическим потенциалом. Поражение трахеобронхиального дерева меланомой – редкая локализация, на долю которой приходится приблизительно 4,5% среди всех солидных опухолей.
Латентный период до момента прогрессирования процесса в представленном случае составил 103 мес. Клиническими проявлениями при эндобронхиальном метастатическом поражении меланомой являются одышка, сухой кашель и эпизоды кровохарканья.
При подозрении на ЭБМ бронхоскопия – оптимальный метод визуализации, позволяющий оценить распространенность опухолевого процесса, а также получить морфологическое подтверждение диагноза. Каких-либо специфических эндоскопических признаков поражения бронхов при меланоме нет. Однако черная пигментация слизистой бронхов очагового или диффузного характера свидетельствует о поражении меланомой.
Иммунотерапию при лечении такой популяции больных считаем прогрессивным и обнадеживающим методом.
Раскрытие интересов. Авторы декларируют отсутствие явных и потенциальных конфликтов интересов, связанных с публикацией настоящей статьи.
Disclosure of interest. The authors declare that they have no competing interests.
Вклад авторов. Авторы декларируют соответствие своего авторства международным критериям ICMJE. Все авторы в равной степени участвовали в подготовке публикации: разработка концепции статьи, получение и анализ фактических данных, написание и редактирование текста статьи, проверка и утверждение текста статьи.
Authors’ contribution. The authors declare the compliance of their authorship according to the international ICMJE criteria. All authors made a substantial contribution to the conception of the work, acquisition, analysis, interpretation of data for the work, drafting and revising the work, final approval of the version to be published and agree to be accountable for all aspects of the work.
Источник финансирования. Авторы декларируют отсутствие внешнего финансирования для проведения исследования и публикации статьи.
Funding source. The authors declare that there is no external funding for the exploration and analysis work.
Информированное согласие на публикацию. Пациент подписал форму добровольного информированного согласия на публикацию медицинской информации.
Consent for publication. Written consent was obtained from the patient for publication of relevant medical information and all of accompanying images within the manuscript.
About the authors
Nikolai A. Ognerubov
Derzhavin Tambov State University
Email: ognerubov_n.a@mail.ru
ORCID iD: 0000-0003-4045-1247
d. sci. (med.), cand. sci. (law), prof.
Russian Federation, TambovElena E. Palkina
Tambov Regional Oncological Clinical Dispensary
Email: palkina68@mail.ru
cytologist
Russian Federation, TambovOleg E. Sayapin
Tambov Regional Oncological Clinical Dispensary
Email: editor@omnidoctor.ru
endoscopist
Russian Federation, TambovMarina A. Ognerubova
Tambov Regional Oncological Clinical Dispensary
Author for correspondence.
Email: gostyaeva.m.a@mail.ru
ORCID iD: 0000-0003-0576-5451
oncologist
Russian Federation, TambovReferences
- Guruvaiah Sridhara N, Guruvaiah Sridhara N, Li W, Ponnatapura J. A rare radiological presentation of pulmonary metastases from malignant melanoma. Radiol Case Rep. 2023;18(8):2653-8. doi: 10.1016/j.radcr.2023.04.060
- Globocan cancer observatory, 2020. Available at: https://gco.iarc.fr/ Accessed: 25.07.2023.
- Gershenwald JE, Scolyer RA, Hess KR, et al. Melanoma staging: Evidence-based changes in the American Joint Committee on Cancer eighth edition cancer staging manual. CA Cancer J Clin. 2017;67(6):472-92. doi: 10.3322/caac.21409
- Younes R, Abrao FC, Gross J. Pulmonary metastasectomy for malignant melanoma: prognostic factors for long-term survival. Melanoma Res. 2013;23(4):307-11. doi: 10.1097/CMR.0b013e3283632cbe
- Marchioni A, Lasagni A, Busca A, et al. Endobronchial metastasis: An epidemiologic and clinicopathologic study of 174 consecutive cases. Lung Cancer. 2014;84(3):222-8. doi: 10.1016/j.lungcan.2014.03.005
- Clerf LH. Melanoma of bronchus: Metastasis simulating bronchogenic neoplasm. Ann Otol Rhinol Laryngol. 1934;43:887-91.
- Organista D, Abreu T, Antunes M. Melanoma: A rare cause of black bronchoscopy. Arch Bronconeumol. 2021;57(7):497. doi: 10.1016/j.arbr.2020.12.008
- Karpathiou G, Froudarakis M, Da Cruz V, et al. Endobronchial melanoma metastasis 40 years after the excision of the primary cutaneous tumor: A case report. Medicine (Baltimore). 2017;96(34):e7931. doi: 10.1097/MD.0000000000007931
- Balch CM, Gershenwald JE, Soong SJ, et al. Final version of 2009 AJCC melanoma staging and classification. J Clin Oncol. 2009;27(36):6199-206. doi: 10.1200/JCO.2009.23.4799
- Sarac E, Wilhelmi J, Thomas I, et al. Late recurrence of melanoma after 10 years – Is the courseof the disease different from early recurrences? J Eur Acad Dermatol Venereol. 2020;34(5):977-83. doi: 10.1111/jdv.16106
- Osella-Abate S, Ribero S, Sanlorenzo M, et al. Risk factors related to late metastases in 1,372 melanoma patients disease free more than 10 years. Int J Cancer. 2015;136(10):2453-7. doi: 10.1002/ijc.29281
- Faries MB, Steen S, Ye X, et al. Late recurrence in melanoma: Clinical implications of lost dormancy. J Am Coll Surg. 2013;217(1):27-34; discussion 34-6. doi: 10.1016/j.jamcollsurg.2013.03.007
- Hansel G, Schönlebe J, Haroske G, Wollina U. Late recurrence (10 years or more) of malignant melanoma in south-east Germany (Saxony). A sin-gle-centre analysis of 1881 patients with a follow-up of 10 years or more. J Eur Acad Dermatol Venereol. 2010;24(7):833-6. doi: 10.1111/j.1468-3083.2009.03536.x
- Chaussende A, Hermant C, Tazi-Mezalek R, et al. Endobronchial metastases from melanoma: A survival analysis. Clin Respir J. 2017;11(6):1006-11. doi: 10.1111/crj.12456
- Little EG, Eide MJ. Update on the current state of melanoma incidence. Dermatol Clin. 2012;30(3):355-61. doi: 10.1016/j.det.2012.04.001
- Fournel C, Bertoletti L, Nguyen B, Vergnon JM. Endobronchial metastases from colorectal cancers: natural history and role of interventional bronchoscopy. Respiration. 2009;77(1):63-9. doi: 10.1159/000158487
- Kim HT, Kim YW, Kim SY, et al. Endobronchial metastasis of malignant melanoma, diagnosed by bronchoscopy – report of a case. Korean J Intern Med. 1988;3(1):77-80. doi: 10.3904/kjim.1988.3.1.77
- Braman SS, Whitcomb ME. Endobronchial metastasis. Arch Intern Med. 1975;135(4):543-7. PMID: 1138668
- Dobbertin I, Dierkesmann R, Kwiatkowski J, Reichardt W. Bronchoscopic aspects of renal cell carcinoma (RCC). Anticancer Res. 1999;19(2C):1567-72. PMID: 10365147
- Kiryu T, Hoshi H, Matsui E, et al. Endotracheal/endobronchial metastases: Clinicopathologic study with special reference to developmental modes. Chest. 2001;119(3):768-75. doi: 10.1378/chest.119.3.768
- Teo YK, Kor AC. “Black bronchoscopy” – a case of endobronchial metastases from melanoma. J Bronchology Interv Pulmonol. 2010;17(2):146-8. doi: 10.1097/LBR.0b013e3181da2de4
- Dummer R, Hauschild A, Lindenblatt N, et al. Cutaneous melanoma: ESMO Clinical Practice Guidelines for diagnosis, treatment and follow-up. Ann Oncol. 2015;26 Suppl. 5:v126-32. doi: 10.1093/annonc/mdv297
- Froudarakis ME, Bouros D, Siafakas NM. Endoluminal metastases of the tracheobronchial tree: Is there any way out? Chest. 2001;119(3):679-81. doi: 10.1378/chest.119.3.679
- Cavaliere S, Venuta F, Foccoli P, et al. Endoscopic treatment of malignant airway obstructions in 2,008 patients. Chest. 1996;110(6):1536-42. doi: 10.1378/chest.110.6.1536
- Wahidi MM, Herth FJ, Ernst A. State of the art: Interventional pulmonology. Chest. 2007;131(1):261-74. doi: 10.1378/chest.06-0975
- Sørensen JB. Endobronchial metastases from extrapulmonary solid tumors. Acta Oncol. 2004;43(1):73-9. doi: 10.1080/02841860310018053
- Manola J, Atkins M, Ibrahim J, Kirkwood J. Prognostic factors in metastatic melanoma: a pooled analysis of eastern cooperative oncology group trials. J Clin Oncol. 2000;18(22):3782-93. doi: 10.1200/JCO.2000.18.22.3782
- Brand CU, Ellwanger U, StroebelW, et al. Prolonged survival of 2 years or longer for patients with disseminated melanoma. An analysis of related prognostic factors. Cancer. 1997;79(12):2345-53. PMID: 9191522
- Balch CM, Soong SJ, Murad TM, et al. A multifactorial analysis of melanoma. IV. Prognostic factors in 200 melanoma patients with distant metastases (stage III). J Clin Oncol. 1983;1(2):126-34. doi: 10.1200/JCO.1983.1.2.126
- Rastrelli M, Tropea S, Pigozzo J, et al. Melanoma m1: diagnosis and therapy. In Vivo. 2014;28(3):273-85. PMID: 24815827
- Katsimbri PP, Bamias AT, Froudarakis ME, et al. Endobronchial metastases secondary to solid tumors: Report of eight cases and review of the literature. Lung Cancer. 2000;28(2):163-70. doi: 10.1016/s0169-5002(99)00134-8
- Lee SH, Jung JY, Kim DH, et al. Endobronchial metastases from extrathoracic malignancy. Yonsei Med J. 2013;54(2):403-9. doi: 10.3349/ymj.2013.54.2.403
Supplementary files





