EDP chemotherapy combined with somatostatin analogues and mitotane in the treatment of disseminated adrenocortical carcinoma: a clinical case
- Authors: Magamedova O.R.1, Oganesyan L.V.1,2, Feoktistova P.S.1, Feidorov I.Y.1
-
Affiliations:
- Loginov Moscow Clinical Scientific Center
- Russian Medical Academy of Continuous Professional Education
- Issue: Vol 26, No 1 (2024)
- Pages: 118-121
- Section: Articles
- Submitted: 30.08.2023
- Accepted: 05.03.2024
- Published: 05.03.2024
- URL: https://modernonco.orscience.ru/1815-1434/article/view/568917
- DOI: https://doi.org/10.26442/18151434.2024.1.202643
- ID: 568917
Cite item
Full Text
Abstract
Adrenocortical carcinoma is an orphan disease with an annual incidence of 1–2 cases per 1 million adults. The median overall survival (OS) is only 17 months. Definitive surgery increases the median OS to 28 months. The article presents a clinical case of a patient with hormonally active adrenocortical carcinoma of the right adrenal gland, accompanied by tumor thrombosis of the inferior vena cava extending to the right atrium. Surgery was performed for the thrombus removal. A wrong initial diagnosis led to a delay in adjuvant mitotane therapy. The recurrence of the disease was treated with mitotane and somatostatin analogues, considering the high expression of somatostatin receptors in the tumor. At the second progression, the patient was switched to chemotherapy in the EDP regimen combined with continued therapy with mitotane and octreotide, resulting in long-term control of the disease. The time without progression and OS were 18 and 42 months, respectively.
Keywords
Full Text
Введение
Адренокортикальный рак (АКР) является орфанным заболеванием с ежегодной заболеваемостью, составляющей 1–2 случая на 1 млн человек среди взрослого населения [1, 2]. Достоверных данных по заболеваемости АКР в России нет в связи с отсутствием национального регистра заболевания [3].
АКР представляет собой гетерогенную группу злокачественных новообразований, различающихся по клиническим проявлениям, течению заболевания и прогнозу. Заболевание может как характеризоваться относительно медленным ростом опухоли, бессимптомностью и поздним выявлением, так и быть агрессивно растущей опухолью, с ранним отдаленным метастазированием и яркой клинической картиной, обусловленной гиперсекрецией гормонов коры надпочечника (кортизола, андрогенов, реже – эстрогенов и минералокортикоидов) и/или масс-эффектом опухоли [4].
Медиана общей выживаемости составляет всего 17 мес [1]. Радикальное хирургическое лечение увеличивает этот показатель до 28 мес [1]. Показатели 5-летней выживаемости варьируют в зависимости от стадии заболевания. Так, по данным программы Национального института рака по надзору, эпидемиологии и результатам лечения, для пациентов I и II стадии она достигает 65%, 44% – при III стадии и 7% – при IV [2].
Для локализованного и местно-распространенного рака коры надпочечника (I–III стадии) «золотым стандартом» является хирургическое лечение в объеме удаления опухоли без нарушения целостности капсулы [4]. Нарушение капсулы опухоли практически в 100% наблюдений приводит к местным рецидивам АКР, но даже после радикального хирургического лечения риск рецидива существует более чем у ½ больных [5, 6].
Необходимость назначения адъювантной терапии митотаном до сих пор остается дискутабельной из-за противоречивых результатов немногочисленных ретроспективных исследований. Результаты единственного проспективного рандомизированного исследования ADIUVО, оценивающего эффективность применения митотана у прооперированных пациентов с низким риском рецидива (I–III стадии заболевания, Ki-67 ниже 10%), демонстрируют отсутствие увеличения показателей безрецидивной и общей выживаемости у данной категории больных.
Таким образом, согласно международным рекомендациям адъювантное применение митотана обязательно только при наличии высокого риска рецидива (III стадия, Ki-67 – 20%) [4, 7–10].
Диссеминированный АКР характеризуется неблагоприятным прогнозом и ограниченными терапевтическими опциями, поскольку орфанность заболевания обусловливает сложности в проведении клинических исследований и поиске новых вариантов лечения.
Клинический случай
Пациентка К., 58 лет, в июле 2020 г. обратилась в лечебное учреждение по месту жительства с жалобами на слабость, быструю утомляемость, повышение артериального давления до 160 мм рт. ст., отеки нижних конечностей, повторяющиеся эпизоды маточных кровотечений.
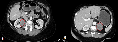
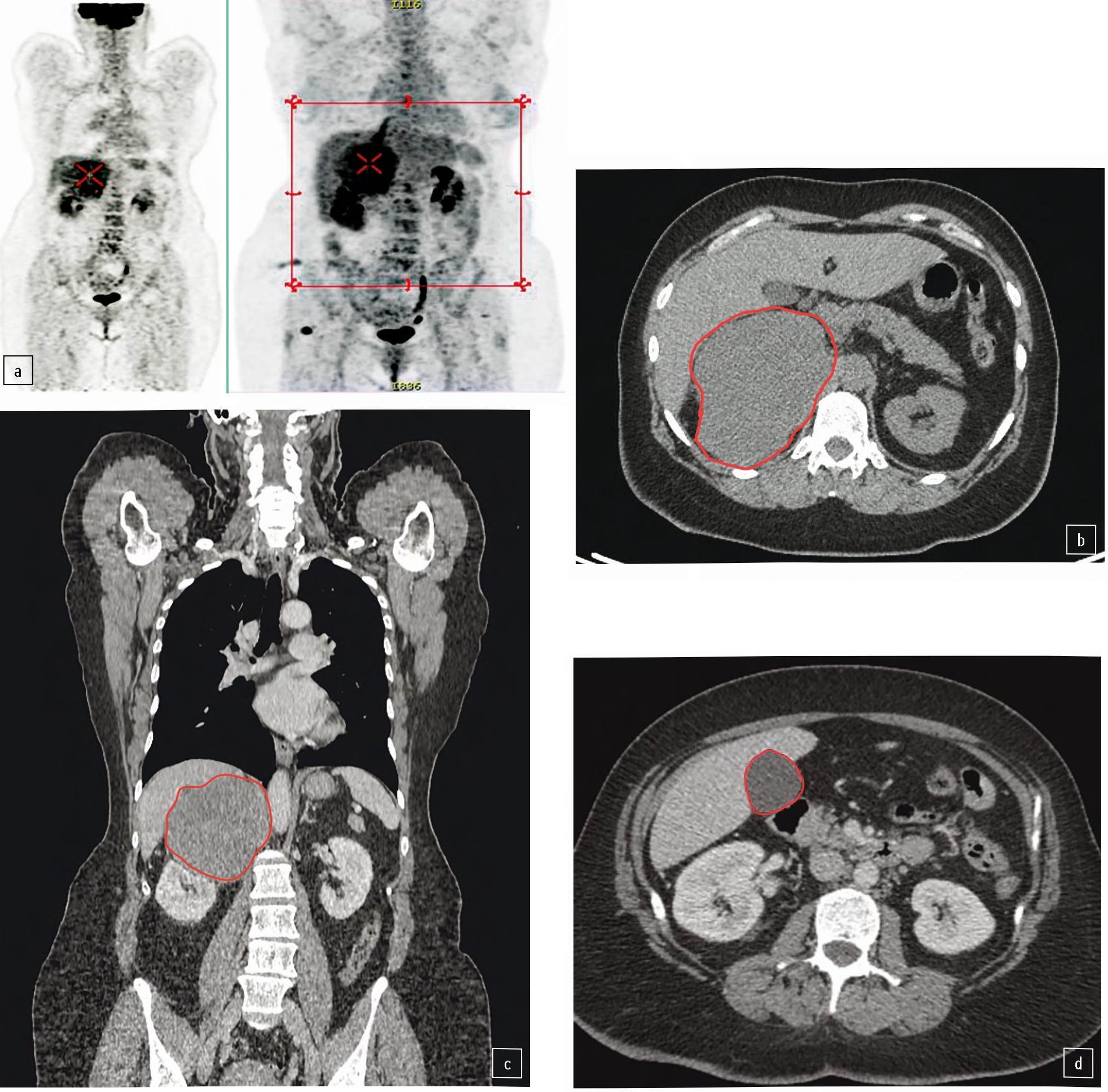
Пациентка обследована, и при выполнении комбинированной позитронно-эмиссионной и рентгеновской компьютерной томографии (ПЭТ-КТ) с 18-фтордезоксиглюкозой выявлены массивное образование правого надпочечника 112×88 мм, сдавливающее окружающие органы, а также наличие опухолевого тромба, обтурирующего просвет нижней полой вены и распространяющегося вплоть до правого предсердия (рис. 1).
Рис. 1. ПЭТ-КТ от 07.2020: a–c – образование правого надпочечника 112×88 мм, сдавливающее окружающие органы; d – опухолевый тромб, заполняющий просвет нижней полой вены.
Fig. 1. PET-CT dated July 2020: a–c – right adrenal gland mass of 112×88 mm, compressing the surrounding organs; d – tumor thrombus filling the lumen of the inferior vena cava.
Исследование гормонального профиля продемонстрировало наличие независимого от адренокортикотропного гормона гиперкортицизма (отсутствие подавление секреции кортизола при проведении малой дексаметазоновой пробы, повышенный уровень экскреции кортизола в суточной моче). При этом метанефрин и норметанефрин, являющиеся продуктами катаболизма катехоламинов, оставались в пределах нормы.
Наличие гормонально активного новообразования надпочечника без признаков отдаленного метастазирования послужило показанием для проведения хирургического лечения, которое и выполнено в августе 2020 г. в объеме правосторонней адреналэктомии, тромбэктомии из нижней полой вены и правого предсердия с использованием аппарата искусственного кровообращения. По данным первичного морфологического исследования послеоперационный материал представлял собой злокачественную параганглиому надпочечника.
В последующем пациентка находилась под динамическим наблюдением.
В апреле 2021 г. в связи с несоответствием клинико-лабораторной картины и полученными данными морфологии врачом-онкологом в ГБУЗ «МКНЦ им. А.С. Логинова» рекомендовано повторное патоморфологическое консультирование гистологического материала. Оно выполнено в двух крупных научно-исследовательских центрах, и в обоих случаях специалисты сошлись во мнении, что данная опухоль является низкодифференцированной адренокортикальной карциномой, 6 баллов по шкале Вайсса, с индексом Ki-67–20%, SF (+), Melan A (+), Ingibin alpha (+), синаптофизин (+), хромогранин А (-). Также стоит отметить выявленную экспрессию опухолью рецепторов к соматостатину 2 и 5-го типа.
На основании полученных данных пациентке выставлен диагноз – «АКР pT3N0M0 St III по ENSAT» и назначена адъювантная терапия митотаном 4–8 мг/сут внутрь до 24 мес на фоне поддерживающей терапии надпочечниковой недостаточности под контролем эндокринолога.
Назначенную терапию пациентка получала в Центре амбулаторной онкологической помощи ГБУЗ «МКНЦ им. А.С. Логинова» на протяжении 6 мес при постоянном контроле терапевтического уровня концентрации митотана в крови (14–20 мкг/мл). На фоне приема препарата развились вторичная надпочечниковая недостаточность и вторичный гипотиреоз, потребовавшие назначения гидрокортизона в дозе 50 мг и левотироксина натрия 150 мкг.
При контрольном обследовании в октябре 2021 г. выявлены образования в правой почке и левом надпочечнике (рис. 2).
Рис. 2. КТ органов брюшной полости от 10.2021: а – образование средней трети почки 30×28,5 мм; b – образование левого надпочечника 28×25 мм.
Fig. 2. Abdominal CT scan dated October 2021: a – a mass in the middle third of the kidney of 30×28.5 mm; b – left adrenal gland mass of 28×25 mm.
С учетом прогрессирования заболевания и наличия экспрессии опухолью рецепторов к соматостатину принято решение добавить к уже проводимой терапии митотаном пролонгированную форму аналога соматостатина – октреотид Депо/лонг в дозе 40 мг внутримышечно 1 раз в 28 дней.
В августе 2022 г. зафиксировано второе прогрессирование – помимо увеличения уже имеющихся очагов появились новые в обоих легких и левой доле печени.
В сентябре 2022 г. пациентка направлена в отделение химиотерапии (ХТ) ГБУЗ «МКНЦ им. А.С. Логинова», где проведено 6 курсов противоопухолевого лечения в режиме EDP (доксорубицин 40 мг/м2 внутривенно в 1-й день, этопозид 100 мг/м2 внутривенно во 2–4-й дни, цисплатин 40 мг/м2 внутривенно в 3 и 4-й дни, цикл каждые 28 дней) на фоне продолжающейся терапии митотаном и октреотидом.
Из нежелательных побочных явлений отмечались тошнота и рвота после 1-го курса, эпизоды гипотонии, осложняющиеся синкопальными состояниями – после 2-го курса, гематологическая токсичность (тромбоцитопения 3-й степени) после каждого курса с восстановлением до нормальных показателей к началу очередного курса ХТ.
После проведенного лечения по клинико-лабораторным данным и результатам ПЭТ-КТ с 18-фтордезоксиглюкозой отмечается стабилизация заболевания, которая сохраняется уже на протяжении 16 мес (по состоянию на март 2024 г.).
В настоящее время пациентка продолжает лечение митотаном и октреотидом в Центре амбулаторной онкологической помощи ГБУЗ «МКНЦ им. А.С. Логинова».
Обсуждение
Стандартом 1-й линии лечения диссеминированного АКР является ХТ по схеме EDP-М (доксорубицин, цисплатин, этопозид) + митотан. В единственном проспективном рандомизированном исследовании FIRM-ACT III фазы, оценивающем эффективность системной терапии при распространенном АКР, выживаемость без прогрессирования оказалась выше у пациентов, получавших EDP-M, по сравнению с пациентами, получавшими стрептозоцин плюс митотан (5,0 мес против 2,1 мес). Разница в общей выживаемости являлась незначительной (14,8 мес против 12,0 мес), предположительно из-за перекреста и присутствия митотана в обеих группах [11].
Однако у пациентов с медленным течением и небольшой распространенностью заболевания в качестве 1-й линии терапии может быть назначен митотан в монорежиме, что продемонстрировано в ретроспективном когортном исследовании, изучавшем эффективность монотерапии митотаном в лечении распространенного АКР.
Периоды времени без прогрессирования и общей выживаемости составили 18 и 42 мес соответственно. Длительный контроль над заболеванием (стабилизация более 6 мес) ассоциирован с наличием двух прогностических факторов – низкой опухолевой нагрузкой (менее 10 опухолевых очагов) и поздним прогрессированием после первичного лечения (более 12 мес). Достижение терапевтической концентрации митотана (14–20 мкг/мл) связано с достоверным улучшением частоты объективного ответа и общей выживаемости.
На вопрос о сроках прекращения приема митотана до сих нет однозначного ответа. Терапию митотаном можно продолжить в сочетании с терапией 2-й линии вплоть до следующего прогрессирования. Однако это требует индивидуального обсуждения с пациентом в зависимости от переносимости препарата и его влияния на гормональную секрецию [1, 10].
Применение аналогов соматостатина является стандартным вариантом лечения для высокодифференцированных нейроэндокринных опухолей. Рецепторы к соматостатину 2 и 5-го типов (SSTR2 и SSTR5) служат терапевтической мишенью для пролонгированных аналогов соматостатина или при применении пептидной рецепторной радионуклидной терапии.
Данные о роли экспрессии рецепторов к соматостатину 2 и 5-го типов в терапии распространенного АКР ограничены единичными исследованиями и требуют дальнейшего изучения как перспективная модель лечения [12–14].
В случае нашей пациентки, учитывая длительный безрецидивный период (больше 12 мес), небольшую распространенность заболевания (2 опухолевых очага) и экспрессию опухолью SSTR2 и SSTR5, принято решение назначить митотан и пролонгированную форму октреотида в 1-ю линию терапии, что обеспечило контроль над заболеванием на срок более 6 мес.
При следующем прогрессировании мы использовали ХТ EDP на фоне продолжающейся терапии митотаном и октреотидом в качестве 2-й линии противоопухолевого лечения.
Данный режим продемонстрировал клинически значимую и длительную противоопухолевую активность с управляемым профилем безопасности. После проведенной терапии на протяжении 6 мес сохраняется стабилизация заболевания.
Исследования, оценивающие эффективность ХТ 2-й линии, ограничены и описывают неутешительные результаты. Вторичной конечной точкой исследования FIRM-ACT стала оценка эффективности обеих схем лечения во 2-й линии. У 84 пациентов, получавших стрептозоцин + митотан во 2-й линии, длительность лечения составила 2,2 мес. Среди 101 пациента, получавших EDP-M в этих условиях, безрецидивная выживаемость составила 5,6 мес.
Эти результаты подтверждают более высокую противоопухолевую эффективность EDP-M в качестве терапии как 1-й, так и 2-й линии [11].
Заключение
Представленный клинический случай демонстрирует многообразие клинических проявлений АКР, возникающие сложности в патоморфологической дифференциальной диагностике между различными опухолями надпочечников, а также нестандартный подход к лечению диссеминированного заболевания.
Редкость АКР обусловливает трудности в диагностике и лечении данного заболевания, а также отсутствие достаточного опыта ведения пациентов, больных АКР, вне специализированных учреждений. Исследования в области химио-, био-, иммуно-, таргетной терапии и тераностики могут привести к появлению новых терапевтических опций для пациентов с этим заболеванием.
Раскрытие интересов. Авторы декларируют отсутствие явных и потенциальных конфликтов интересов, связанных с публикацией настоящей статьи.
Disclosure of interest. The authors declare that they have no competing interests.
Вклад авторов. Авторы декларируют соответствие своего авторства международным критериям ICMJE. Все авторы в равной степени участвовали в подготовке публикации: разработка концепции статьи, получение и анализ фактических данных, написание и редактирование текста статьи, проверка и утверждение текста статьи.
Authors’ contribution. The authors declare the compliance of their authorship according to the international ICMJE criteria. All authors made a substantial contribution to the conception of the work, acquisition, analysis, interpretation of data for the work, drafting and revising the work, final approval of the version to be published and agree to be accountable for all aspects of the work.
Источник финансирования. Авторы декларируют отсутствие внешнего финансирования для проведения исследования и публикации статьи.
Funding source. The authors declare that there is no external funding for the exploration and analysis work.
Информированное согласие на публикацию. Пациентка подписала форму добровольного информированного согласия на публикацию медицинской информации.
Consent for publication. Written consent was obtained from the patients for publication of relevant medical information and all of accompanying images within the manuscript.
About the authors
Olga R. Magamedova
Loginov Moscow Clinical Scientific Center
Author for correspondence.
Email: magamedowa.onco@yandex.ru
ORCID iD: 0009-0003-9875-2525
Medical Resident
Russian Federation, MoscowLiana V. Oganesyan
Loginov Moscow Clinical Scientific Center; Russian Medical Academy of Continuous Professional Education
Email: liana15.94@mail.ru
ORCID iD: 0000-0001-7564-7472
Junior researcher, Graduate Student of the department
Russian Federation, Moscow; MoscowPolina S. Feoktistova
Loginov Moscow Clinical Scientific Center
Email: krisman03@gmail.com
ORCID iD: 0000-0002-0340-7119
Cand. Sci. (Med.)
Russian Federation, MoscowIlia Yu. Feidorov
Loginov Moscow Clinical Scientific Center
Email: i.feidorov@mknc.ru
ORCID iD: 0000-0001-8369-5116
Cand. Sci. (Med.)
Russian Federation, MoscowReferences
- Sharma E, Dahal S, Sharma P, et al. The Characteristics and Trends in Adrenocortical Carcinoma: A United States Population Based Study. J Clin Med Res. 2018;10(8):636-40.
- Kerkhofs TMA, Verhoeven RH, Van der Zwan JM, et al. Adrenocortical carcinoma: A population-based study on incidence and survival in the Netherlands since 1993. Eur J Cancer. 2013;49(11):2579-86.
- Клинические рекомендации – взрослые. AOP. Режим доступа: https://oncology-association.ru/clinical-guidelines. Ссылка активна на 18.06.2023 [Klinicheskiie rekomendatsii – vzroslyie. AOP. Available at: https://oncology-association.ru/clinical-guidelines. Accessed: 18.06.2023 (in Russian)].
- Fassnacht M, Assie G, Baudin E, et al. Adrenocortical carcinomas and malignant phaeochromocytomas: ESMO-EURACAN Clinical Practice Guidelines for diagnosis, treatment and follow-up. Ann Oncol. 2020;31(11):1476-90.
- Erdogan I, Deutschbein T, Jurowich C, et al. The Role of Surgery in the Management of Recurrent Adrenocortical Carcinoma. J Clin Endocrinol Metab. 2013;98(1):181-91.
- Glenn JA, Else T, Hughes DT, et al. Longitudinal patterns of recurrence in patients with adrenocortical carcinoma. Surgery. 2019;165(1):186-95.
- Terzolo M, Angeli A, Fassnacht M, et al. Adjuvant Mitotane Treatment for Adrenocortical Carcinoma. N Engl J Med. 2007;356(23):2372-80.
- Tang Y, Liu Z, Zou Z, et al. Benefits of Adjuvant Mitotane after Resection of Adrenocortical Carcinoma: A Systematic Review and Meta-Analysis. BioMed Res. 2018;2018:9362108.
- Postlewait LM, Ethun CG, Tran TB, et al. Outcomes of Adjuvant Mitotane after Resection of Adrenocortical Carcinoma: A 13-Institution Study by the US Adrenocortical Carcinoma Group. J Am Coll Surg. 2016;222(4):480.
- Berruti A, Fassnacht M, Libe R, et al. First randomized trial on adjuvant mitotane in adrenocortical carcinoma patients: The Adjuvo study. J Clin Oncol. 2022;40(6_suppl):1-1.
- Fassnacht M, Terzolo M, Allplio B, et al. Combination Chemotherapy in Advanced Adrenocortical Carcinoma. N Engl J Med. 2012;366(23):2189-97.
- Mariniello B, Finco I, Sartorato P, et al. Somatostatin receptor expression in adrenocortical tumors and effect of a new somatostatin analog SOM230 on hormone secretion in vitro and in ex vivo adrenal cells. J Endocrinol Invest. 2011;34(6):e131-e8.
- Grisanti S, Filice A, Basile V, et al. Treatment With 90Y/177Lu-DOTATOC in Patients With Metastatic Adrenocortical Carcinoma Expressing Somatostatin Receptors. J Clin Endocrinol Metab. 2020;105(3):dgz091.
- Коломейцева А.А, Делекторская В.В., Орел Н.Ф., и др. Рецепторы соматостатина как потенциальная терапевтическая мишень в лечении распространенного адренокортикального рака. Клинический случай. Сибирский онкологический журнал. 2018;17(2):111-7 [Kolomeytseva AA, Delektorskaya VV, Orel NF, et al. Somatostatin receptors as potentialtherapeutic targets in the treatment of advanced adrenocortical cancer. A case report. Siberian Journal of Oncology. 2018;17(2):111-7 (in Russian)].
Supplementary files







