Heterogeneous diffuse large B-cell lymphoma: accurate diagnosis as a key to successful therapy. A review
- Authors: Babicheva L.G.1, Poddubnaya I.V.1
-
Affiliations:
- Russian Medical Academy of Continuous Professional Education
- Issue: Vol 25, No 2 (2023)
- Pages: 168-177
- Section: CLINICAL ONCOLOGY
- Submitted: 07.08.2023
- Accepted: 07.08.2023
- Published: 10.08.2023
- URL: https://modernonco.orscience.ru/1815-1434/article/view/568114
- DOI: https://doi.org/10.26442/18151434.2023.2.202237
- ID: 568114
Cite item
Full Text
Abstract
Diffuse large B-cell lymphoma (DLBCL) is the most common variant of non-Hodgkin's lymphoma and accounts for about 1/3 of all non-Hodgkin's lymphomas in Western countries and about 40% of B-cell tumors worldwide. Correct diagnosis of clinically distinct subgroups of aggressive mature B-cell lymphomas is crucial for the choice of adequate treatment. Currently, the identification of DLBCL subtype depends on a combination of morphologic, immunophenotypic, and cytogenetic/molecular features. The classification covers the most common unspecified variant of DLBCL, also referred to as "not otherwise specified" (NOS), and a number of other rare forms. Over the past two decades, DLBCL NOS which accounts for more than 80% of all cases, has been the subject of a growing number of molecular studies that have identified prognostic factors that are being actively introduced into real-world clinical practice. Only the integration of morphological, immunohistochemical and molecular features of DLBCL will lead to the achievement of the long-term goal of curing the majority of patients with minimal or no toxic manifestations with the aid of personalized healthcare.
Full Text
Введение
Диффузная В-клеточная крупноклеточная лимфома (ДВККЛ) неспецифицированная (NOS) представляет собой гетерогенный спектр подвариантов с различными клиническими проявлениями, прогнозом и исходами. Определение клинически значимых молекулярных признаков, таких как клеточное происхождение опухоли (COO) и перестройки, или реаранжировки, генов MYC, BCL2 и BCL6, включено в качестве обязательного требования в классификацию опухолей кроветворных и лимфоидных тканей Всемирной организации здравоохранения (ВОЗ).
Профилирование экспрессии генов (GEP) или суррогатные иммуногистохимические (ИГХ) алгоритмы позволяют подразделять ДВККЛ NOS по COO, главным образом на опухоли из клеток герминального (зародышевого) центра (GCB) и из активированных В-клеток (ABC) или как non-GCB подтип по результатам ИГХ панелей, а также выделить лимфому с двойной экспрессией (DEL). Флуоресцентная гибридизация in situ (FISH) требуется для выделения В-клеточных крупноклеточных лимфом высокой степени злокачественности (HGBL) с двойной (DH) или тройной (TH) перестройкой генов MYC, BCL2 и/или BCL6, а также для выделения HGBL NOS.
HGBL DH/TH – это агрессивные зрелоклеточные В-клеточные лимфомы с различной морфологией, варьирующей от плеоморфных крупных клеток до клеток среднего размера, с промежуточными признаками между ДВККЛ и лимфомой Беркитта до бластоидных клеток, где анализ FISH позволяет выявить перестройку гена MYC в ассоциации с перестройками генов BCL2 и/или BCL6. Примечательно, что на долю HGBL DH/TH приходится не более 10% всех случаев лимфом с морфологией ДВККЛ. Такая дифференциальная диагностика абсолютно необходима в связи с низкой частотой полных ответов при использовании режима R-CHOP у этой категории пациентов, что говорит о необходимости более интенсивных режимов химио- терапии.
HGBL NOS включает случаи с неопластическими В-клетками, имеющими либо бластоидную морфологию, либо гистопатологические промежуточные признаки между ДВККЛ и лимфомой Беркитта, которые не связаны с DH/TH соответствующих генов. Важно отметить, что обозначенные подтипы В-клеточных крупноклеточных лимфом (HGBL DH/TH и HGBL NOS) представляют собой самостоятельные варианты заболевания и в соответствии с международными классификациями требуют выделения в отдельный класс, что также находит отражение в выборе алгоритма терапии для данной группы пациентов.
Медиана возраста при постановке диагноза ДВККЛ составляет 66 лет, однако ДВККЛ может развиться в любом возрасте. Несколько более высокая заболеваемость наблюдается среди мужчин: 6,7 случая на 100 тыс. населения против 4,6 случая среди женщин. Вероятность развития ДВККЛ увеличивается с возрастом: с 0,13 и 0,09% до 39 лет, до 1,77 и 1,4% после 70 лет у мужчин и женщин соответственно [1]. Пятилетняя общая выживаемость (ОВ) снижается с возрастом с 78% для лиц моложе 55 лет до 54% для лиц старше 65 лет [2].
Клиническая картина ДВККЛ разнообразна и зависит в первую очередь от локализации поражения. Экстранодальные зоны в дебюте заболевания присутствуют примерно у 1/3 пациентов [3]. Наиболее частое проявление – вовлечение органов желудочно-кишечного тракта, за которым следуют кости, яички, слюнные железы, щитовидная железа, печень, почки и надпочечники. ДВККЛ характеризуется агрессивным течением, с быстрым темпом роста и частым сопровождением В-симптомами, которые включают лихорадку, ночную потливость и потерю веса.
В большинстве случаев при ДВККЛ в 1-й линии терапии применяют стандартную химиоиммунотерапию по схеме R-CHOP (ритуксимаб, циклофосфамид, доксорубицин, винкристин и преднизолон). Однако с учетом гетерогенности заболевания адекватный ответ на стандартную терапию составляет примерно 60–70% и зависит в значительной степени от возраста, прогноза согласно Международному прогностическому индексу (IPI), молекулярному подтипу в зависимости от COO и наличия/отсутствия специфических хромосомных перестроек или экспрессии антигенов.
Поэтому в соответствии с новыми рекомендациями ВОЗ определение генетических реаранжировок (молекулярных подтипов) ДВККЛ в настоящее время является стандартом диагностики и подчеркивает возросшее понимание влияния геномных изменений на биологию опухоли и прогноз заболевания. Пациенты, у которых обнаружена перестройка гена MYC наряду с BCL2 и/или BCL6, теперь классифицируются как HGBL DH или TH. Кроме того, совместная экспрессия белков MYC и BCL2 без лежащих в их основе перестроек считается неблагоприятным прогностическим подвариантом, получившим название DEL, который не выделяется в отдельный подтип и относится к ДВККЛ NOS, но отличается неудовлетворительным ответом на терапию R-CHOP и плохим прогнозом [4].
Классификация
Концепция классификации ДВККЛ со временем подверглась серьезному пересмотру [5–8]. После публикации в 1994 г. в журнале Blood Европейско-Американского консенсуса и до третьего издания классификации опухолей кроветворной и лимфоидной тканей ВОЗ-2017 прогресс в понимании иммунобиологии злокачественных лимфоидных опухолей привел к значительному увеличению количества клинико-биологических вариантов ДВККЛ. Если в публикации Европейско-Американского консенсуса обозначены только два варианта, один из которых – условный, то в классификации ВОЗ-2017 количество вариантов этой лимфоидной опухоли увеличилось до 14, а список всех разновидностей В-клеточных крупноклеточных лимфом (large B-cell lymphomas) составил около 20 [9]. Тем не менее приблизительно в 80% всех случаев ДВККЛ не имеет признаков, позволяющих включить ее ни в одну из диагностических категорий, поэтому ее принято обозначать как ДВККЛ NOS [5].
В соответствии с используемой в настоящее время классификацией ВОЗ-2017 ДВККЛ имеет 14 клинико-биологических форм [10].
Таблица 1. Соответствие вариантов В-клеточных крупноклеточных лимфом в ВОЗ-HAEM4, 5 и Международной консенсусной классификации (ICC 2022); адаптировано [11] Table 1. Consistency of WHO-HAEM4, 5 and International Consensus Classification (ICC 2022) large B-cell lymphoma (DLBCL) variants; adapted from [11] | ||
ВОЗ-HAEM4 | ВОЗ-HAEM5 | ICC 2022 |
ДВККЛ NOS
| ДВККЛ NOS
| ДВККЛ NOS
|
Лимфома, подобная лимфоме Беркитта, с аберрацией 11q | В-клеточная лимфома высокой степени злокачественности с аберрацией 11q | В-клеточная крупноклеточная лимфома с аберрацией 11q (предварительная категория) |
В-клеточная крупноклеточная лимфома с перестройкой IRF4 | В-клеточная крупноклеточная лимфома с перестройкой IRF4 | В-клеточная крупноклеточная лимфома с перестройкой IRF4 |
Нодальная лимфома Ходжкина с преобладанием лимфоцитов (не включена в эту категорию; см. лимфома Ходжкина) | Нодальная лимфома Ходжкина с преобладанием лимфоцитов (не включена в эту категорию; см. лимфома Ходжкина) | Нодальная В-клеточная лимфома с преобладанием лимфоцитов |
В-клеточная крупноклеточная лимфома, богатая Т-клетками/гистиоцитами
| В-клеточная крупноклеточная лимфома, богатая Т-клетками/гистиоцитами
| В-клеточная крупноклеточная лимфома, богатая Т-клетками/гистиоцитами
|
Внутрисосудистая В-клеточная крупноклеточная лимфома | Внутрисосудистая В-клеточная крупноклеточная лимфома | Внутрисосудистая В-клеточная крупноклеточная лимфома |
Не рассматривался как отдельный вариант | Крупноклеточная лимфома, связанная с перегрузкой жидкостью | HHV8 и EBV-негативная первичная выпотная лимфома |
Мукокутанная язва, ассоциированная с вирусом Эпштейна–Барр | Мукокутанная язва, ассоциированная с вирусом Эпштейна–Барр (не включена в эту категорию; см. лимфоидные опухоли, связанные с иммунодефицитом и нарушением регуляции) | Мукокутанная язва, ассоциированная с вирусом Эпштейна–Барр |
EBV-позитивная диффузная крупноклеточная лимфома, NOS | EBV-позитивная диффузная крупноклеточная лимфома | EBV-позитивная диффузная крупноклеточная лимфома, NOS |
ДВККЛ, связанная с хроническим воспалением | ДВККЛ, связанная с хроническим воспалением | ДВККЛ, связанная с хроническим воспалением |
Подтип ДВККЛ, связанной с хроническим воспалением | Фибрин-ассоциированная крупноклеточная В-клеточная лимфома | Фибрин-ассоциированная В-клеточная крупноклеточная лимфома (подтип ДВККЛ, связанный с хроническим воспалением) |
Лимфоматоидный гранулематоз | Лимфоматоидный гранулематоз | Лимфоматоидный гранулематоз |
Не рассматривалась как отдельный вариант | Не рассматривалась как отдельный вариант | EBV+ полиморфное В-клеточное лимфопролиферативное заболевание, NOS (предварительная категория) |
ALK+ крупноклеточная В-клеточная лимфома | ALK+ крупноклеточная В-клеточная лимфома | ALK+ крупноклеточная В-клеточная лимфома |
Плазмобластная лимфома | Плазмобластная лимфома | Плазмобластная лимфома |
HGBL с реаранжировками MYC и BCL2 и/или BCL6 | ДВККЛ/HGBL с реаранжировками MYC и BCL2 | HGBL с реаранжировками MYC и BCL2 |
Не рассматривалась как отдельный вариант | Не рассматривалась как отдельный вариант | HGBL с реаранжировками MYC и BCL6 (предварительная категория) |
HGBL, NOS | HGBL, NOS | HGBL, NOS |
ПМВКЛ | ПМВКЛ | ПМВКЛ |
В-клеточная лимфома неклассифицируемая с характеристиками, промежуточными между ДВККЛ и классической лимфомой Ходжкина | Медиастинальная лимфома серой зоны | Медиастинальная лимфома серой зоны |
Пятый пересмотр-проект классификации ВОЗ, который состоялся в 2022 г. (ВОЗ-HAEM5), включил уже 18 вариантов В-клеточных крупноклеточных лимфом помимо ДВККЛ NOS (табл. 1). Для большинства из них биологи- ческие концепции и диагностические стратегии остались в основном неизменными по сравнению с ВОЗ-HAEM4. Однако названия некоторых категорий изменены: «диффузная В-клеточная крупноклеточная лимфома» указана как «крупноклеточная В-клеточная лимфома» – таким образом, признан тот факт, что диффузный характер роста либо не очевиден/присутствует, либо не может быть оценен при некоторых нозологиях (например, фибрин-ассоциированная В-клеточная крупноклеточная лимфома или В-клеточная крупноклеточная лимфома, связанная с перегрузкой жидкостью) [12]. Категория HGBL с перестройкой генов MYC и BCL2 и/или BCL6 концептуально переработана в 5 пересмотре (подробно описано в соответствующем разделе).
Таким образом, терминологически ДВККЛ NOS – наиболее частый вариант ДВККЛ и включает в себя:
- подтип GCB;
- подтип non-GCB (ABC и неклассифицируемый – U);
- DEL.
Алгоритм диагностики
Диагноз ДВККЛ в соответствии с современными представлениями ставят на основании эксцизионной биопсии аномально увеличенного лимфатического узла, выявленного при клиническом обследовании и при помощи визуальных методов диагностики. Это позволяет патологоанатомам исследовать наибольшее количество ткани и минимизировать риск ошибок при отборе образцов, которые могут возникнуть при тонкоигольной аспирации или cor-биопсии в условиях высокой гетерогенности ткани лимфатического узла (рис. 1).
Рис. 1. Сравнение эксцизионной биопсии (a) и cor-биопсии (b). Фото предоставлено Я.К. Мангасаровой, канд. мед. наук, ФГБУ «НМИЦ гематологии» Минздрава России.
Fig. 1. Comparison of excisional biopsy (a) and core biopsy (b). Photo courtesy of Ya.K. Mangasarova, Cand. Sci. (Med.), National Medical Research Center for Hematology.
При ДВККЛ довольно часто вовлекаются экстранодальные зоны, включая почки, надпочечники, головной мозг, кости и другие ткани. К каждому пациенту необходим индивидуальный подход для выбора объекта морфологического исследования; биопсия должна быть наименее инвазивной и в то же время обеспечивать достаточное количество опухолевого материала для полноценного исследования. Позитронно-эмиссионная томография, совмещенная с компьютерной томографией (ПЭТ-КТ), может быть использована для определения очагов с наивысшим стандартизированным значением поглощения радиофармпрепарата (SUV) и, возможно, выбора предпочтительного участка для биопсии [13].
Морфология
Появление новых технологий и углубление наших знаний в области молекулярной биологии представляются важной надстройкой к тому основному базовому фундаменту, коими являются морфологические особенности опухолевой ткани. Очерченные к настоящему времени три основных морфологических варианта ДВККЛ не претерпели изменений со времен Кильской классификации. Как и прежде, различают: центробластный (клетки среднего и крупного размера с узким ободком цитоплазмы, большим округло-овальным ядром и небольшими 2–4 ядрышками вблизи ядерной мембраны), иммунобластный (пласты крупных клеток с умеренной или широкой цитоплазмой, мономорфным ядром с одиночным крупным ядрышком) и анапластический (крупные опухолевые клетки с причудливыми многодольчатыми ядрами) варианты [9, 10, 14].
Название ДВККЛ говорит само за себя. Клетки расположены диффузно, что полностью или частично стирает нормальную архитектонику лимфатического узла или экстранодального органа/ткани. Группы клеток лимфомы могут быть разделены нежным фиброзом или склерозом. Возможно присутствие участков географического некроза. Апоптоз отдельных клеток может быть заметным, а скорость митоза высокой. Около 10% случаев ДВККЛ представлены рисунком звездного неба, что практически всегда связано с высокой скоростью прогрессирования. Разное количество фоново реактивных малых Т-лимфоцитов и гистиоцитов присутствует во всех случаях ДВККЛ.
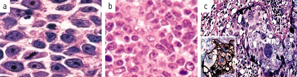
Самым частым морфологическим вариантом ДВККЛ, составляющим примерно 80% всех случаев, является центробластный, субстрат которого представлен крупными клетками с умеренной цитоплазмой, круглыми или овальными везикулярными ядрами, везикулярным хроматином и 2–3 маленькими ядрышками, часто расположенными по периферии рядом с ядерной мембраной. Этот вариант также может демонстрировать спектр от мономорфных опухолей преимущественно из центробластов (больше 90%) до полиморфных опухолей из смеси центробластов (меньше 90%), центроцитов и иммунобластов. Анапластический вариант встречается гораздо реже и составляет около 3% всех случаев ДВККЛ. Он характеризуется инфильтрацией крупными или очень крупными клетками лимфомы с плеоморфными или причудливыми ядрами. Клетки опухоли могут имитировать клетки Ходжкина и Рид–Штернберга или клетки анапластической крупноклеточной лимфомы (рис. 2).
Рис. 2 Морфологические варианты ДВККЛ: a – центробластный; b – иммунобластный; c – анапластический.
Fig. 2. Morphological variants of DLBCL: a – centroblastic; b – immunoblastic; c – anaplastic.
Существует и ряд других редких морфологических вариантов ДВККЛ. Клетки могут иметь многодольчатые ядра или ядра в форме листьев клевера. Эти случаи обычно представляют первичные экстранодальные лимфомы. Иногда клетки меньше, чем типичные крупные лимфоидные клетки (так называемые малые центробластные). В редких случаях (менее 1%) они имитируют рак желудка или саркому, могут иметь цитоплазматические гранулы и микроворсинчатые выступы [14].
Центробластный вариант чаще наблюдается при подтипе GCB и может указывать на возможность трансформации опухоли из фолликулярной лимфомы. Иммунобластный вариант скорее ассоциируется с постфолликулярным этапом дифференцировки и подтипом АВС. Согласно данным Н. Horn и соавт. [15] в 33% случаев при иммунобластной ДВККЛ определяются транслокации с участием гена MYC. Авторы считают, что его перестройка является важным патогенетическим признаком иммунобластного варианта опухоли и может объяснять более агрессивное течение заболевания. Показано, что иммунобластная морфология служит важным фактором риска неблагоприятного прогноза у пациентов с ДВККЛ, получавших лечение по схеме R-CHOP. Этот вариант, хорошо идентифицируемый гематопатологами, косвенно отражает некоторые неблагоприятные молекулярные события, которые трудно обнаружить с помощью других диагностических методов, и может быть полезен в рутинной клинической практике [16].
Таким образом, описание морфологических вариантов ДВККЛ может нести в себе полезную информацию для клиницистов.
Иммунофенотип
Иммунофенотип опухоли характеризуется экспрессией пан-В-клеточных антигенов CD20, CD19, CD79a, PAX-5 (мономорфная интенсивная ядерная экспрессия), CD45 и отсутствием экспрессии CD3. CD30 (мембранная +/- реакция dot-like) может быть экспрессирован частью опухолевых клеток. CD5+ ДВККЛ встречается примерно в 10% наблюдений. В этих случаях необходимо ИГХ-исследование с антителами к циклину D1 для исключения полиморфноклеточного/бластоидного варианта лимфомы из клеток мантии. Вместе с тем до 20% ДВККЛ могут экспрессировать циклин D1 (часть опухолевых клеток, слабая по интенсивности ядерная реакция).
ДВККЛ, как правило, характеризуется высокой митотической и пролиферативной активностью. Индекс пролиферации Ki-67 колеблется в широком диапазоне от 40 до 90%, в отдельных наблюдениях превышает 90% [10].
Изучение профиля экспрессии генов позволяет идентифицировать молекулярные подтипы ДВККЛ, что может иметь прогностическое значение: в классическом понимании более благоприятным признается подтип GCB (из клеток герминального центра), более неблагоприятным – подтип АВС (из активированных В-клеток). Однако современные исследования демонстрируют выраженную гетерогенность внутри каждого из этих подтипов, что не позволяет однозначно трактовать GCB/ABC с позиции долгосрочного прогноза. С помощью ИГХ-алгоритма и суррогатных маркеров CD10, ВCL6, MUM1 (алгоритм C. Hans и соавт., 2004 [17, 18]; рис. 3) или CD10, BCL6, FOXP1 (алгоритм C. Visco и соавт., 2012 [19]; рис. 4) могут быть выделены ИГХ-подгруппы ДВККЛ: GCB и non-GCB, коррелирующие с профилем экспрессии генов [10].
Рис. 3. ИГХ алгоритм C. Hans и соавт., 2004 г. [17], адаптировано [19].
Fig. 3. Immunohistochemical algorithm by C. Hans, et al., 2004 [17, 19].
Рис. 4. Диагностический алгоритм C. Visco и соавт. 2012 г. [19].
Fig. 4. Diagnostic algorithm by C. Visco, et al. 2012 [19].
В настоящее время определение COO с помощью ИГХ-алгоритмов является обязательным для выполнения в рутинной практике. Если ткань опухоли, имеющая структуру ДВККЛ, содержит очаги некроза, участки ангиоцентрического роста, крупные одно-, двуядерные клетки с крупными ядрышками, напоминающие клетки Ходжкина и Рид–Штернберга, признаки плазмоцитоидной дифференцировки, то необходимо включить EBV+ ДВККЛ в спектр дифференциальной диагностики. Рекомендуется использовать панель маркеров CD20, CD30, EBV-LMP, однако диагностика этой лимфомы часто невозможна без выявления РНК вируса Эпштейна–Барр – EBER (методом гибридизации in situ). При EBV+ ДВККЛ практически все крупные опухолевые клетки (больше 90%) мономорфно экспрессируют EBER [10].
Лимфома с коэкспрессией MYC/BCL2 (DEL)
Для выявления случаев ДВККЛ с неблагоприятным прогнозом, требующих интенсификации терапии, классификация ВОЗ рекомендует исследовать наличие/отсутствие коэкспрессии MYC (учитывается при окрашивании более 40% клеток) и BCL2 (более 50% клеток).
Единовременная гиперэкспрессия MYC и BCL2, наблюдающаяся приблизительно в 30% случаев ДВККЛ, называется DEL. Данный вариант ассоциирован с более неблагоприятным прогнозом, чем гиперэкспрессия любого из этих маркеров в отдельности. Лимфома с коэкспрессией MYC и BCL2 не является уникальной биологической сущностью, встречается при подтипах GCB и ABC, но все-таки чаще при ABC, что может частично определять прогностические последствия (рис. 5) [20]. Предпочтительная терапевтическая стратегия при DEL не определена.
Молекулярные подтипы: клеточное происхождение
В начале столетия, используя GEP, A. Alizadeh и соавт. [21] впервые сообщили, что ДВККЛ можно разделить на два основных подтипа в зависимости от COO: GCB и ABC.
Диагностика молекулярных подтипов, невозможная по морфологическим признакам, продемонстрировала важное прогностическое значение: фактически подтип GCB имел значительно большую частоту ответа на химиотерапию по схеме CHOP, чем ABC. Это соответствовало значимой разнице в показателях ОВ и выживаемости без прогрессирования (ВБП), что позднее подтверждено в когортах сотен случаев и сохранило свою ценность в эпоху химиоиммунотерапии [22–24]. В связи с тем, что GEP стали более широко применять, появилась третья группа между GCB и ABC, которая обозначена как U, что соответствует примерно 15% случаев ДВККЛ. Помимо прогностической ценности различие между подтипами GCB и ABC имеет биологическое значение, поскольку соответствует генетическим аберрациям, а также нарушениям в проводящих путях внутри опухолевой клетки, о чем подробно описано в соответствующем разделе.
Основным ограничением традиционного GEP была необходимость использовать для исследования свежие или замороженные образцы опухолевой ткани, которые доступны у небольшого числа пациентов. Поэтому предпринималось множество попыток найти возможность диагностики подтипов ДВККЛ по COO посредством ИГХ-маркеров. Среди нескольких предложенных алгоритмов самое широкое применение нашел алгоритм C. Hans и соавт. [17] и W. Choi и соавт. 2009 г. [25].
Вместе с тем, несмотря на широту и доступность ИГХ-диагностики COO, необходимо принимать во внимание неполную конкордантность получаемых данных по нескольким причинам: риск несоответствия данных, полученных с помощью ИГХ-исследования и GEP; вариабельность преаналитических и ИГХ-методов (включая поиск антител и антигенов, системы детекции и автоматические платформы); субъективность в интерпретации результатов [26, 27].
Рис. 5. Кривые ОВ Каплана–Мейера пациентов с DEL (MYC/BCL2) по сравнению c не-DEL ДВККЛ [20].
Fig. 5. Overall survival Kaplan–Meier curves of patients with double-expressor lymphoma – DEL (MYC and BCL2) versus non-DEL DLBCL [20].
В 2014 г. предложен новый подход GEP на основе определения COO в фиксированной формалином парафиновой ткани (FFPET, FFPE, анализ Lymph2Cx) [28]. В частности, разработана панель из 20 генов. Полноценность результатов, которые получены с помощью платформы NanoString, впоследствии подтверждена независимыми исследованиями, основанными на нескольких сотнях случаев [29–32]. Преимуществами этого подхода по сравнению с ИГХ-алгоритмами являются воспроизводимость в разных лабораториях, оценка абсолютного значения мРНК в сравнении с вариабельностью ИГХ-методов и субъективной интерпретацией результатов. Более того, такой метод подразделяет ДВККЛ NOS на 3 подтипа: GCB, ABC и U – в отличие от ИГХ-алгоритмов, которые дифференцируют ДВККЛ NOS на GCB и non-GCB (рис. 6). Интересно, что идентичные результаты получены путем профилирования на разных платформах и с разными панелями генов [29–32]. Основными ограничениями целевого GEP, применяемого при обычной биопсии, являются необходимость платформ, которые доступны не во всех лабораториях в отличие от ИГХ-метода, а также стоимость тестирования и необходимость обладания базовыми навыками биоинформатики.
Рис. 6. Молекулярные подтипы ДВККЛ.
Fig. 6. Molecular subtypes of DLBCL.
Ключевые гены: В-клеточная крупноклеточная лимфома высокой степени злокачественности (HGBL)
В дополнение к молекулярной гетерогенности ДВККЛ, описанной выше, крайне важной проблемой клинической практики является своевременная диагностика HGBL при помощи FISH-исследования.
FISH-анализ продемонстрировал, что В-клеточные лимфомы, рассматриваемые как ДВККЛ NOS на основе морфологии и иммунофенотипа, могут содержать DH или TH MYC, BCL2 и/или BCL6. В этих случаях прогноз значительно хуже, ответ на стандартную терапию по программе R-CHOP неудовлетворителен, что требует интенсификации терапии.
Основываясь на этом наблюдении, FISH в идеале следует применять во всех случаях ДВККЛ NOS. Однако, учитывая стоимость метода, предприняты попытки найти суррогатные ИГХ-алгоритмы, описанные выше. Это привело к идентификации ДВККЛ NOS с двойной экспрессией MYC/BCL2, или DEL [33, 34].
Клиницисту необходимо знать, что FISH-анализ обязателен в следующих случаях:
- В-клеточная лимфома с бластоидной морфологией (за исключением случаев лимфобластной лимфомы или циклин D1+ плеоморфной/бластоидной мантийноклеточной лимфомы). Анализ FISH на гены MYC, BCL2 и BCL6 позволяет классифицировать новообразование как HGBL DH/TH или как HGBL NOS.
- В-клеточная лимфома с морфологическими промежуточными признаками между ДВККЛ и лимфомой Беркитта. В этих случаях, независимо от иммунофенотипа опухолевых клеток, нужно исследовать перестройки MYC, BCL2 и BCL6 для дифференциального диагноза между HGBL DH/TH, HGBL NOS и лимфомой Беркитта. В случаях без транслокации MYC для выявления беркиттоподобных лимфом с аберрациями 11q требуется FISH-анализ хромосомы 11q.
Перестройка MYC наблюдается в 12% случаев, тогда как перестройка MYC одновременно с реаранжировкой BCL2, BCL6 или обоих встречается редко – в 4–8% случаев [35]. Согласно классификации ВОЗ-2017 эти случаи классифицируются как HGBL с перестройкой MYC и BCL2 и/или BCL6 (лимфомы DH и TH) и ассоциируются с плохим исходом после терапии по программе R-CHOP. Данные свидетельствуют о том, что неблагоприятный исход, связанный с HGBL, в первую очередь проявляется при транслокации MYC с геном иммуноглобулина. Ретроспективные исследования свидетельствуют, что R-CHOP является недостаточно адекватной терапевтической опцией, что побудило к применению более интенсивной терапии, такой как режим R-DA-EPOCH с поправкой на дозу (этопозид, преднизолон, винкристин, циклофосфамид и доксорубицин с ритуксимабом) [36].
В отличие от относительной редкости лимфом DH и TH, выявляемых при помощи FISH, гиперэкспрессия белка MYC, определяемая ИГХ-методом, встречается примерно в 45% случаев, а гиперэкспрессия белка BCL2 – примерно в 65% случаев (при отсутствии DH MYC и BCL2) [37].
Структура HGBL в версии ВОЗ-HAEM5 2022 г. [38] в свете перестройки MYC, BCL2 и/или BCL6 и сложных моделей аберрации 11q была концептуально переработана. Признавая различную морфологию, но единое биологическое происхождение ДВККЛ с перестройками генов MYC и BCL2, ВОЗ-HAEM5 переименовывает эту группу в HGBL (DLBCL/HGBL-MYC, BCL2), чтобы охватить опухоли, которые могут состоять из крупных, промежуточных или бластоидных клеток. Напротив, лимфоидные новообразования с DH MYC и BCL6 представляют более разнообразный спектр, с изменяющимися профилями экспрессии генов и мутационными особенностями, заметно отличающимися от DLBCL/HGBL-MYC/BCL2. Следовательно, эти случаи исключены из категории DLBCL/HGBL-MYC, BCL2 и теперь классифицируются либо как подтип ДВККЛ NOS, либо как HGBL NOS в соответствии с их цитоморфологическими особенностями [12].
Молекулярная субклассификация – вопрос будущего
В двух исследованиях, опубликованных в 2018 г., предложена молекулярная субклассификация ДВККЛ, основанная на комплексном генетическом анализе, которая имела потенциальные прогностические и терапевтические последствия [39, 40]. B. Chapuy и соавт. [39] описали 5 кластеров ДВККЛ, характеризующихся генетическими повреждениями, которые способны идентифицировать подгруппы внутри категорий по COO, демонстрирующих различное клиническое течение. Иными словами, внутри одного и того же молекулярного подтипа (GCB или АВС) присутствуют кластеры, радикально отличающиеся по клиническим проявлениям, течению и прогнозу.
Большинство случаев, включенных в кластеры (Cs) 1 и 5, классифицированы как подтип ABC. Однако они продемонстрировали важные различия на молекулярном и прогнос- тическом уровнях. Так, авторы идентифицировали случаи кластера 1 (C1) как происходящие из В-клеток маргинальной зоны, поскольку они демонстрировали стабильный мутационный паттерн, структурные варианты BCL6 и мутации генов, вовлеченных в пути NOTCH2 и NF-κB (NOTCH2, SPEN, BCL10, TNFAIP3 и FAS). Помимо множественных повреждений генов, участвующих в иммунном уклонении (BM2, CD70, FAS, PD-L1, PD-L2), в этих случаях C1 обнаружены мутации MYD8, без L265P в отличие от случаев, отнесенных к кластеру 5 (C5).
Примечательно, что пациенты, опухоль которых отнесена к C1, имели довольно благоприятное течение заболевания, для этого кластера выявлены потенциальные терапевти- ческие мишени, связанные с механизмами передачи сигналов NOTCH2 и BCL6 и иммунного уклонения. Опухоли C5 вели себя более агрессивно в сравнении с C1, содержали мутации MYD88L265P, CD79B, PIM1, TBL1XR1, GRHPR и BTG1, SV 18q и активацию пути NF-κB. Потенциальные терапевтические мишени для C5 соответствовали передаче сигналов BCR/TLR и BCL2.
Случаи, отнесенные к кластерам 3 (C3) и 4 (C4), имели одно COO и чаще всего соответствовали подтипу GCB, но также характеризовались разными генетическими повреждениями и ответами на химиоиммунотерапию. Большинство ДВККЛ C3 содержали мутации BCL2 с конкордантными структурными вариантами. Они также демонстрировали частые мутации в модификаторах хроматина, KMT2D, CREBBP и EZH2. Эти опухоли имели изменения в В-клеточных транскрипционных факторах MEF2B и IRF8, а также в непрямых модификаторах передачи сигналов BCR и PI3K [TNFSF14(HVEM), HCNV1 и GNA13].
Кроме того, опухоли C3 имели 2 альтернативных механизма инактивации PTEN, которые играют роль в процессе лимфомагенеза. C4 характеризовался мутациями в 4 линкерных и 4 основных генах гистонов, множественными молекулами уклонения от иммунитета (CD83, CD58 и CD70), промежуточными звеньями передачи сигналов BCR/PI3K (RHOA, GNA13 и SGK1), модификаторами NF-κB (CARD11, NFKBIE и NFKBIA) и RAS/JAK/STAT (BRAF и STAT3). Сравнение генетических особенностей C3 и C4 показало разные механизмы лимфомагенеза, что позволило авторам предложить специфическую таргетную терапию, включающую ингибирование BCL2, PI3K и эпигенетических модификаторов EZH2 и CREBBP при опухолях C3 и блокаду JAK/STAT и BRAF/MEK1 при опухолях C4 подтипа GCB ДВККЛ. И последнее, но не менее важное: у пациентов с опухолями, отнесенными к С3, прогноз был намного хуже. Авторы дополнительно оценили изменения генов BCL2 и MYC, которые чаще обнаруживались в случаях C3 ДВККЛ [39]. Что касается оставшегося кластера 2 (C2), то здесь опухоли характеризовались частой биаллельной инактивацией TP53 в результате мутаций и потери копии 17p. Кроме того, они часто демонстрировали потерю копии 9p21.13/CDKN2A и 13q14.2/RB1, нарушая хромосомную стабильность и клеточный цикл. Опухоли C2 также имели значительно больше изменений количества соматических копий драйвера (SCNA) и более высокую долю событий удвоения генома. Этот кластер включал подтипы GCB и ABC ДВККЛ и характеризовался довольно неблагоприятным прогнозом.
Был также обнаружен еще один кластер – С0, при котором не выявлялись значимые генетические изменения, он состоял почти исключительно из ДВККЛ, богатых Т-клетками/гистиоцитами.
С помощью комплексного подхода R. Schmitz и соавт. [40] идентифицировали 4 основных генетических подтипа среди 574 случаев ДВККЛ, которые они назвали MCD (на основе совместного возникновения мутаций MYD88L265P и CD79B, BN2 (на основе слияний BCL6 и мутаций NOTCH2), N1 (на основе мутаций NOTCH1) и EZB (на основе мутации EZH2 и транслокации BCL2), а также ДВККЛ U, случаи которой несут мутации, влияющие на слияния SPEN и NOTH2, а также BCL6. Идентифицированные, генетически «чистые» подварианты ДВККЛ охватили около 45% всех исследованных образцов.
Подварианты, отнесенные к подтипу ABC ДВККЛ, характеризовались мутациями MYD88L265P и CD79B или NOTCH1, причем эти два состояния были взаимоисключающими. Опухоли, отнесенные к подтипу GCB, демонстрируют совместное возникновение мутаций EZH2 и транслокаций BCL2. В случаях диагностики подвариантов MCD и N1 преобладал подтип ABC, в то время как EZB включал в основном опухоли подтипа GCB ДВККЛ, а BN2 был представлен любыми подтипами ДВККЛ.
Предложенные R. Schmitz и соавт. [40] 4 подварианта ДВККЛ значительно различались по ВБП и ОВ, причем BN2 и EZB имели гораздо более благоприятные исходы в сравнении с MCD и N1. Прогнозируемые 5-летние показатели ОВ для подвариантов MCD, N1, BN2 и EZB составили 26, 36, 65 и 68% соответственно. Мишени, задействованные в передаче сигналов через В-клеточный рецептор, были наиболее перспективными при подварианте MCD и наименее перспективными при EZB. BN2 характеризовался аберрациями BCR – NF-κB и регулятора IKK (табл. 2) [41].
Таблица 2. Молекулярные подтипы ДВККЛ по данным B. Chapuy и соавт. [39] и R. Schmitz и соавт. [40]; адаптировано [41] Table 2. Molecular subtypes of DLBCL by B. Chapuy, et al. [39] and R. Schmitz, et al. [40]; adapted from [41] | |||||
B. Chapuy и соавт. | R. Schmitz и соавт. | Ключевые гены | Примечания | ||
C5 | ●●●●●● | MCD | ●●●●●● | MYD88 | Ассоциирована с подтипом ABC. Содержит первичную лимфому ЦНС и лимфому яичек. Плохой прогноз |
CD79B | |||||
PIM1 | |||||
ETV6 | |||||
CDKN2A | |||||
TBL1XR1 | |||||
C3 | ●●●●●●● | EZB | ●●●●●●● | EZH2 | Ассоциирована с подтипом GCB. Содержит большинство трансформированных фолликулярных лимфом. В целом имеет благоприятный прогноз, за исключением случаев DHL и молекулярных вариантов высокого риска |
BCL2 | |||||
Транслокация BCL2 | |||||
KMT2D | |||||
TNFRSF14 | |||||
CREBBP | |||||
CREBBP2 | |||||
C4 | ●●●●●●●● | ●●●●●●●● | CD83 | Преимущественно подтип GCB. Общие генетические особенности и экспрессия генов ПМВКЛ. Связана с наиболее благоприятным прогнозом | |
HIST1H1E | |||||
SGK1 | |||||
NFKBIA | |||||
NFKBIE | |||||
SOCS1 | |||||
BRAF | |||||
●●●●● | ●●●●● | TET2 | Менее четко идентифицируемый подтип. Имеет очень сильное сходство с SOCS1/SGK1, но отличается наличием TET2 и BRAF и отсутствием SOCS1 и CD83. Благоприятный прогноз | ||
BRAF | |||||
SGK1 | |||||
KLHL6 | |||||
ID3 | |||||
C1 | ●●●●●●●● | BN2 | ●●●●●●●● | BCL10 | Не связана ни с одним подтипом по COO. Имеет мутационное сходство с лимфомой маргинальной зоны |
TNFAIP3 | |||||
NOTCH2 | |||||
Транслокация BCL6 | |||||
CCND3 | |||||
SPEN | |||||
UBE2A | |||||
CD70 | |||||
●●● | Другое | ●●● | NOTCH 1 | Категория по умолчанию, включающая случаи, которые не могли быть классифицированы в другом подварианте. Вероятно, также включает случаи, относящиеся как к подгруппам NOTCH1, так и TP53/CNA | |
Амплификация REL | |||||
TP53 | |||||
C2 | ●● | ●● | TP53 | Характеризуется мутацией TP53 и широко распространенными изменениями числа копий | |
Частые делеции | |||||
C0 | ● | Аномалий не обнаружено | Случаи без обнаруживаемой мутации | ||
● | N1 | ● | NOTCH1 | Характеризующийся мутацией NOTCH1, чаще присутствует некроз в опухолевой ткани. Связан с плохим прогнозом | |
Таким образом, научные представления о молекулярной неоднородности ДВККЛ расширяются и пополняются новыми открытиями благодаря совершенствованию экспериментальных подходов. По мере появления более тонких диагностических алгоритмов в реальной клинической практике кластеризация ДВККЛ будет иметь все большее клиническое значение, поскольку сможет оказывать влияние на тактические терапевтические решения. В настоящий момент в арсенале клиницистов есть возможности для определения морфологических вариантов ДВККЛ, COO, экспрессии отдельных антигенов и генетических реаранжировок. Именно результаты этих исследований являются важным фундаментом для построения лечебного алгоритма.
Стадирование и прогностические индексы ДВККЛ
Стадирование и оценка ответа на лечение должны проводиться в соответствии с критериями Лугано 2016 г. [42]. В последние годы все большее значение в диагностике, мониторинге и оценке ответа на лечение при ДВККЛ уделяется ПЭТ-КТ с 18F-фтордезоксиглюкозой. Общий метаболический объем опухоли при постановке диагноза также может иметь прогностическое значение. Трепанобиопсия подвздошной кости с морфологическим исследованием костного мозга остается обязательной процедурой, независимо от результатов ПЭТ-КТ. Поражение костного мозга выявляется в 15–20% случаев ДВККЛ, что связано с плохим прогнозом.
Оценку ответа по окончании лечения предпочтительно проводить посредством ПЭТ-КТ, с интерпретацией результатов по 5-балльной шкале Довиля, при этом результат в 1–3 балла считается показателем полного метаболического ответа [43].
Исследования, анализировавшие эффективность промежуточной ПЭТ-КТ, дали противоречивые результаты, тем не менее ПЭТ-КТ после 2–4 циклов лечения, по-видимому, имеет прогностическое значение [44]. Модификация лечения, основанная исключительно на результатах промежуточной ПЭТ-КТ, в настоящее время не продемонстрировала влияния на исходы, и, следовательно, она не рекомендуется за пределами клинических испытаний. В недавних исследованиях определение циркулирующей опухолевой ДНК расценено как многообещающий метод для промежуточной оценки ответа [45]. После завершения программы инициальной терапии пациенты должны проходить клиническое обследование каждые 3 мес в течение 2 лет, затем каждые 6–12 мес.
Выживаемость без событий в течение 2 лет с момента постановки диагноза почти аналогична выживаемости в общей популяции, соответствующей возрасту. Однако клиницистам следует контролировать пациентов на предмет долгосрочных рисков, включая поздние инфекционные осложнения, аутоиммунные нарушения, вторичные опухоли и сердечно-сосудистые осложнения.
Шкала IPI остается основным клиническим инструментом для прогнозирования исходов и стратификации пациентов в клинических исследованиях [46]. В эру современной терапии данный индекс был усовершенствован Национальной всеобщей онкологической сетью (NCCN-IPI); рис. 7 [47].
Рис. 7. Прогностические индексы при ДВККЛ. Fig. 7. Predictive indices at DLBCL. | |||
IPI | Сумма баллов | ||
Возраст больше 60 лет | Риск раннего прогрессирования ДВККЛ | ||
Уровень ЛДГ выше референсных значений | Низкий | 0-1 | |
Шкала ECOG - 2-4 | Низкий промежуточный | 2 | |
Стадия III-IV | Высокий промежуточный | 3 | |
Экстранодальное вовлечение - больше 1 | Высокий | 4-5 | |
NCCN-IPI | Сумма баллов | ||
Возраст |
| Риск раннего прогрессирования ДВККЛ | |
40-60 | 1 | Низкий | 0-1 |
60-75 | 2 | Низкий промежуточный | 2-3 |
75 и выше | 3 | Высокий промежуточный | 4-5 |
Активность ЛДГ (по высшей границе нормы) 1-3 | 1 | Высокий | >6 |
Выше 3 | 2 |
| |
Стадия Ann Arbor III-IV | 1 | ||
Экстранодальное вовлечение (костный мозг, ЦНС, печень, желудочно-кишечный тракт, легкие) | 1 | ||
Шкала ECOGs2 | 1 | ||
Прогностическая модель оценки вовлечения ЦНС | Сумма баллов | ||
Возраст больше 60 лет | Риск вовлечения ЦНС | ||
Уровень ЛДГ выше референсных значений | Низкий | 0-1 | |
Шкала ECOG>1 | Промежуточный | 2-3 | |
Стадия III-IV | Высокий | 4-6* | |
Экстранодальное вовлечение - больше 1 Вовлечение почек или надпочечников | *Или вовлечение почек или надпочечников | ||
Дополнительные независимые факторы риска Лимфома яичка HGBLMYC/BCL2, HGBLNOS Первичная кожная ДВККЛ, leg type ДВККЛ с вовлечением молочной железы Вовлечение почек или надпочечников
Примечание. ЛДГ - лактатдегидрогеназа. | |||
Многочисленные биологические факторы изучаются в отношении влияния на эффективность лечения и прогноз заболевания, однако их еще предстоит интегрировать в утвержденные прогностические индексы.
Рецидив ДВККЛ с поражением ЦНС, встречающийся у 3–5% пациентов, является крайне неблагоприятным событием, медиана ОВ при таком сценарии составляет менее 6 мес. У большинства пациентов (около 60%) рецидив заболевания с поражением ЦНС выявляется в ранние сроки после завершения терапии, что свидетельствует о вероятном скрытом поражении ЦНС уже при постановке диагноза. Модель риска в отношении поражения ЦНС (CNS-IPI), которая включает 5 факторов IPI и наличие поражения почек или надпочечников, позволяет стратифицировать пациентов по прогностическим категориям, при этом 10–12% пациентов имеют высокий риск рецидива в ЦНС [48]. Другие биологические факторы могут увеличивать этот риск, например подтип ABC ДВККЛ, коэкспрессия MYC/BCL2 и первичное вовлечение яичек [49].
Роль профилактики ЦНС, включающей системные химио-препараты, проникающие через гематоэнцефалический барьер, остается противоречивой [50]. Тем не менее высокодозный метотрексат в качестве профилактики поражения ЦНС активно применяют во многих специализированных учреждениях во всем мире.
Точный диагноз клинически гетерогенной ДВККЛ имеет решающее значение для выбора адекватного лечения. В настоящее время стратификация вариантов ДВККЛ зависит от сочетания морфологических, иммунофенотипических и цитогенетических/молекулярных особенностей.
Полноценная диагностика подразумевает применение дорогостоящих высокоточных методов, и ее выполнение ограничено для всей большой популяции пациентов с ДВККЛ. Поэтому крайне важно следовать поэтапному диагностическому подходу, направленному на отбор случаев, требующих выполнения молекулярного анализа, с целью оптимизации времени и ресурсов, обеспечивая при этом оптимальное ведение любого пациента с ДВККЛ.
Первоначальный диагноз агрессивной В-клеточной крупноклеточной лимфомы должен включать оценку цитологических и ИГХ-характеристик, в частности COO и процентного содержания клеток, экспрессирующих MYC/BCL.
Прежде чем приступить к FISH-анализу согласно практическому диагностическому алгоритму, предложенному A. Di Napoli и соавт. [51], в случаях ДВККЛ рекомендуется обсудить с направляющим клиницистом-гематологом результаты ИГХ-скрининга, чтобы подтвердить потенциальную возможность использования в данном случае высокоинтенсивных подходов индукционной химиоиммунотерапии по поводу HGBL DH/TH [51]. Анализ FISH следует выполнять в любом случае при лимфомах с бластоидной морфологией или с морфологическими промежуточными признаками между ДВККЛ и лимфомой Беркитта.
Итальянская группа гематопатологов предложила практический алгоритм диагностики агрессивных В-клеточных крупноклеточных лимфом, основанный на поэтапном подходе и направленный на стратификацию пациентов, которым требуются дополнительные молекулярные методы исследования, с целью обеспечения оптимального ведения пациентов с ДВККЛ (рис. 8) [51].
Рис. 8. Диагностический алгоритм агрессивных B-клеточных крупноклеточных лимфом [51].
Fig. 8. Diagnostic algorithm of aggressive large B-cell lymphomas [51].
Заключение
В настоящее время стало ясно, что новообразование, которое мы называем ДВККЛ, состоит из множества различных по течению подтипов, которые не должны подвергаться стандартизованному для общей популяции лечению. По мере понимания биологических основ этих различий появляется перспектива разработки персонализированных и эффективных методов лечения. Попытки оптимизировать использование доступных инструментов стратификации и прогноза посредством клинических исследований повысят наши возможности оказания помощи пациентам с ДВККЛ. Эта работа еще не завершена, но совершенно неоспорим тот факт, что ДВККЛ остается заболеванием «одного выстрела», которое требует достижения максимального ответа, а именно стойкой полной ремиссии в результате проведения 1-й линии терапии, что не может быть выполнено без соблюдения условия полноценной адекватной диагностики в каждом конкретном клиническом случае.
Раскрытие интересов. Авторы декларируют отсутствие явных и потенциальных конфликтов интересов, связанных с публикацией настоящей статьи.
Disclosure of interest. The authors declare that they have no competing interests.
Вклад авторов. Авторы декларируют соответствие своего авторства международным критериям ICMJE. Все авторы в равной степени участвовали в подготовке публикации: разработка концепции статьи, получение и анализ фактических данных, написание и редактирование текста статьи, проверка и утверждение текста статьи.
Authors’ contribution. The authors declare the compliance of their authorship according to the international ICMJE criteria. All authors made a substantial contribution to the conception of the work, acquisition, analysis, interpretation of data for the work, drafting and revising the work, final approval of the version to be published and agree to be accountable for all aspects of the work.
Источник финансирования. Авторы декларируют отсутствие внешнего финансирования для проведения исследования и публикации статьи.
Funding source. The authors declare that there is no external funding for the exploration and analysis work.
About the authors
Lali G. Babicheva
Russian Medical Academy of Continuous Professional Education
Author for correspondence.
Email: lalibabicheva@mail.ru
ORCID iD: 0000-0001-8290-5564
Cand. Sci. (Med.)n Medical Academy
Russian Federation, MoscowIrina V. Poddubnaya
Russian Medical Academy of Continuous Professional Education
Email: ivprectorat@inbox.ru
ORCID iD: 0000-0002-0995-1801
D. Sci. (Med.), Prof., Acad. RASn
Russian Federation, MoscowReferences
- Sarkozy C, Coiffier B. Diffuse large B-cell lymphoma in the elderly: a review of potential difficulties. Clin Cancer Res. 2013;19(7):1660-9. DOI:1158/1078-0432.CCR-12-2837
- National Cancer Institute. Surveillance, Epidemiology, and End Results (SEER) Program. Available at: https://seer.cancer.gov/ Accessed: 18.01.2021.
- López-Guillermo A, Colomo L, Jiménez M, et al. Diffuse large B-cell lymphoma: clinical and biological characterization and outcome according to the nodal or extranodal primary origin. J Clin Oncol. 2005;23(12):2797-804. doi: 10.1200/JCO.2005.07.155
- Riedell PA, Smith SM. Double hit and double expressors in lymphoma: Definition and treatment. Cancer. 2018;124(24):4622-32. doi: 10.1002/cncr.31646
- Swerdlow SH, Campo E, Harris NL, et al. WHO Classification of Tumours of Haematopoietic and Lymphoid Tissues. Revised 4th ed. International Agency for Research on Cancer. Lyon, France, 2017; p. 2.
- Swerdlow SH, Campo E, Harris NL, et al. WHO Classification of Tumours of Haematopoietic and Lymphoid Tissues. 4th ed. International Agency for Research on Cancer. Lyon, France, 2008.
- Harris NL, Jaffe ES, Stein H, et al. A revised European-American classification of lymphoid neoplasms: a proposal from the International Lymphoma Study Group. Blood. 1994;84(5):1361-92. doi: 10.1182/blood.V84.5.1361.1361
- Jaffe ES, Harris NL, Stein H, Vardiman JW. Pathology and Genetics of Tumours of Haematopoietic and Lymphoid Tissues. IARC Press. Lyon, France, 2001.
- Тумян Г.С. Новые возможности лечения диффузной В-крупноклеточной лимфомы. Клиническая онкогематология. 2022;15(3):213-31 [Tumyan GS. New Prospects for Treatment of Diffuse Large B-Cell Lymphoma. Clinical Oncohematology. 2022;15(3):213-31 (in Russian)].
- Поддубная И.В., Паровичникова Е.Н., Каприн А.Д., Ковригина А.М. Российские клинические рекомендации «Агрессивные нефолликулярные лимфомы – диффузная крупноклеточная В-клеточная лимфома, первичная медиастинальная В-клеточная лимфома, лимфома Беркитта» 2022 [Poddubnaya IV, Parovichnikova EN, Kaprin AD, Kovrigina AM. Rossiiskie klinicheskie rekomendatsii "Agressivnye nefollikuliarnye limfomy – diffuznaia krupnokletochnaia V-kletochnaia limfoma, pervichnaia mediastinal'naia V-kletochnaia limfoma, limfoma Berkitta" 2022 (in Russian)].
- Falini B, Martino G, Lazzi S. A comparison of the International Consensus and 5th World Health Organization classifications of mature B-cell lymphomas. Leukemia. 2023;37:18-34. doi: 10.1038/s41375-022-01764-1
- Alaggio R, Amador C, Anagnostopoulos I, et al. The 5th edition of the World Health Organization Classification of Haematolymphoid Tumours: Lymphoid Neoplasms. Leukemia. 2022;36(7):1720-48. doi: 10.1038/s41375-022-01620-2
- Liu Y, Barta SK. Diffuse large B-cell lymphoma: 2019 update on diagnosis, risk stratification, and treatment. Am J Hematol. 2019;94(5):604-16. doi: 10.1002/ajh.25460
- Li S, Young KH, Medeiros LJ. Diffuse large B-cell lymphoma. Pathology. 2018;50(1):74-87. doi: 10.1016/j.pathol.2017.09.006
- Horn H, Staiger AM, Vöhringer M, et al. Diffuse large B-cell lymphomas of immunoblastic type are a major reservoir for MYC-IGH translocations. Am J Surg Pathol. 2015;39(1):61-6. doi: 10.1097/PAS.0000000000000319
- Ott G, Ziepert M, Klapper W, et al. Immunoblastic morphology but not the immunohistochemical GCB/nonGCB classifier predicts outcome in diffuse large B-cell lymphoma in the RICOVER-60 trial of the DSHNHL. Blood. 2010;116(23):4916-25. doi: 10.1182/blood-2010-03-276766
- Hans CP, Weisenburger DD, Greiner TC, et al. Confirmation of the molecular classification of diffuse large B-cell lymphoma by immunohistochemistry using a tissue microarray. Blood. 2004;103(1):275-82. doi: 10.1182/blood-2003-05-1545
- Kaler AK, Shaila, Ashwini R, et al. Molecular profiling of large B-Cell lymphomas: A retrospective observational pilot study. J Precis Oncol. 2022;2(2):125-32. doi: 10.4103/jpo.jpo_19_22
- Visco C, Li Y, Xu-Monette ZY, et al. Comprehensive gene expression profiling and immunohistochemical studies support application of immunophenotypic algorithm for molecular subtype classification in diffuse large B-cell lymphoma: a report from the International DLBCL Rituximab-CHOP Consortium Program Study. Leukemia. 2012;26(9):2103-13. doi: 10.1038/leu.2012.83
- Johnson NA, Slack GW, Savage KJ, et al. Concurrent expression of MYC and BCL2 in diffuse large B-cell lymphoma treated with rituximab plus cyclophosphamide, doxorubicin, vincristine, and prednisone. J Clin Oncol. 2012;30(28):3452-9. doi: 10.1200/JCO.2011.41.0985
- Alizadeh AA, Eisen MB, Davis RE, et al. Distinct types of diffuse large B-cell lymphoma identified by gene expression profiling. Nature. 2000;403(6769):503-11. doi: 10.1038/35000501
- Rosenwald A, Wright G, Chan WC, et al. The use of molecular profiling to predict survival after chemotherapy for diffuse large-B-cell lymphoma. N Engl J Med. 2002;346(25):1937-47. doi: 10.1056/NEJMoa012914
- Nyman H, Jerkeman M, Karjalainen-Lindsberg ML, et al. Prognostic impact of activated B-cell focused classification in diffuse large B-cell lymphoma patients treated with R-CHOP. Mod Pathol. 2009;22(8):1094-101. doi: 10.1038/modpathol.2009.73
- Wright G, Tan B, Rosenwald A, et al. A gene expression-based method to diagnose clinically distinct subgroups of diffuse large B cell lymphoma. Proc Natl Acad Sci USA. 2003;100(17):9991-6. doi: 10.1073/pnas.1732008100
- Choi WWL, Weisenburger DD, Greiner TC, et al. A new immunostain algorithm classifies diffuse large B-cell lymphoma into molecular subtypes with high accuracy. Clin Cancer Res. 2009;15(17):5494-502. doi: 10.1158/1078-0432.CCR-09-0113
- de Jong D, Rosenwald A, Chhanabhai M, et al. Immunohistochemical prognostic markers in diffuse large B-cell lymphoma: Validation of tissue microarray as a prerequisite for broad clinical applications – a study from the Lunenburg Lymphoma Biomarker Consortium. J Clin Oncol. 2007;25(7):805-12. doi: 10.1200/JCO.2006.09.4490
- Gutiérrez-García G, Cardesa-Salzmann T, Climent F, et al. Gene-expression profiling and not immunophenotypic algorithms predicts prognosis in patients with diffuse large B-cell lymphoma treated with immunochemotherapy. Blood. 2011;117(18):4836-43. doi: 10.1182/blood-2010-12-322362
- Scott DW, Wright GW, Williams PM, et al. Determining cell-of-origin subtypes of diffuse large B-cell lymphoma using gene expression in formalin-fixed paraffin-embedded tissue. Blood. 2014;123(8):1214-7. doi: 10.1182/blood-2013-11-536433
- Scott DW, Mottok A, Ennishi D, et al. Prognostic significance of diffuse large B-cell lymphoma cell of origin determined by digital gene expression in formalin-fixed paraffin-embedded tissue biopsies. J Clin Oncol. 2015;33(26):2848-56. doi: 10.1200/JCO.2014.60.2383
- Jais JP, Molina TJ, Ruminy P, et al. Reliable subtype classification of diffuse large B-cell lymphoma samples from GELA LNH2003 trials using the Lymph2Cx gene expression assay. Haematologica. 2017;102(10):e404-6. doi: 10.3324/haematol.2017.166827
- Gifford G, Gabrielli S, Gill A, et al. Lymphoma cell-of-origin assignment by gene expression profiling is clinically meaningful across broad laboratory contexts. Br J Haematol. 2018;181(2):272-5. doi: 10.1111/bjh.14556
- Derenzini E, Mazzara S, Melle F, et al. A three-gene signature based on MYC, BCL-2 and NFKBIA improves risk stratification in diffuse large B-cell lymphoma. Haematologica. 2021;106(9):2405-16. doi: 10.3324/haematol.2019.236455
- Green TM, Young KH, Visco C, et al. Immunohistochemical double-hit score is a strong predictor of outcome in patients with diffuse large B-cell lymphoma treated with rituximab plus cyclophosphamide, doxorubicin, vincristine, and prednisone. J Clin Oncol. 2012;30(28):3460-7. doi: 10.1200/JCO.2011.41.4342
- Hu S, Xu-Monette ZY, Tzankov A, et al. MYC/BCL2 protein coexpression contributes to the inferior survival of activated B-cell subtype of diffuse large B-cell lymphoma and demonstrates high-risk gene expression signatures: a report from The International DLBCL Rituximab-CHOP Consortium Program. Blood. 2013;121(20):4021-31. doi: 10.1182/blood-2012-10-460063
- Rosenwald A, Bens S, Advani R, et al. Prognostic significance of MYC rearrangement and translocation partner in diffuse large B-cell lymphoma: a study by the Lunenburg Lymphoma Biomarker Consortium. J Clin Oncol. 2019;37(35):3359-68. doi: 10.1200/JCO.19.00743
- Petrich AM, Gandhi M, Jovanovic B, et al. Impact of induction regimen and stem cell transplantation on outcomes in double-hit lymphoma: a multicenter retrospective analysis. Blood. 2014;124(15):2354-61. doi: 10.1182/blood-2014-05-578963
- Scott DW, King RL, Staiger AM, et al. High-grade B-cell lymphoma with MYC and BCL2 and/or BCL6 rearrangements with diffuse large B-cell lymphoma morphology. Blood. 2018;131(18):2060-4. doi: 10.1182/blood-2017-12-820605
- Kurz KS, Ott M, Kalmbach S, et al. Large B-Cell Lymphomas in the 5th Edition of the WHO-Classification of Haematolymphoid Neoplasms – Updated Classification and New Concepts. Cancers (Basel). 2023;15(8):2285. doi: 10.3390/cancers15082285
- Chapuy B, Stewart C, Dunford AJ, et al. Molecular subtypes of diffuse large B cell lymphoma are associated with distinct pathogenic mechanisms and outcomes. Nat Med. 2018;24(5):679-90. doi: 10.1038/s41591-018-0016-8
- Schmitz R, Wright GW, Huang DW, et al. Genetics and pathogenesis of diffuse large B-cell lymphoma. N Engl J Med. 2018;378(15):1396-407. doi: 10.1056/NEJMoa1801445
- Pileri SA, Tripodo C, Melle F, et al. Predictive and Prognostic Molecular Factors in Diffuse Large B-Cell Lymphomas. Cells. 2021;10(3):675. doi: 10.3390/cells10030675
- Cheson BD, Ansell S, Schwartz L, et al. Refinement of the Lugano Classification lymphoma response criteria in the era of immunomodulatory therapy. Blood. 2016;128(21):2489-96. doi: 10.1182/blood-2016-05-718528
- Fuchs M, Goergen H, Kobe C, et al. Positron Emission Tomography-Guided Treatment in Early-Stage Favorable Hodgkin Lymphoma: Final Results of the International, Randomized Phase III HD16 Trial by the German Hodgkin Study Group. J Clin Oncol. 2019;37(31):2835-45. doi: 10.1200/JCO.19.00964
- Casasnovas RO, Meignan M, Berriolo-Riedinger A, et al. SUVmax reduction improves early prognosis value of interim positron emission tomography scans in diffuse large B-cell lymphoma. Blood. 2011;118(1):37-43. doi: 10.1182/blood-2010-12-327767
- Kurtz DM, Scherer F, Jin MC, et al. Circulating tumor DNA measurements as early outcome predictors in diffuse large B-cell lymphoma. J Clin Oncol. 2018;36(28):2845-53. doi: 10.1200/JCO.2018.78.5246
- The International Non-Hodgkin’s Lymphoma Prognostic Factors Project. A predictive model for aggressive non-Hodgkin’s lymphoma. N Engl J Med. 1993;329(14):987-94. doi: 10.1056/NEJM199309303291402
- Ruppert AS, Dixon JG, Salles G, et al. International prognostic indices in diffuse large B-cell lymphoma: a comparison of IPI, R-IPI, and NCCN-IPI. Blood. 2020;135(23):2041-8. doi: 10.1182/blood.2019002729
- Schmitz N, Zeynalova S, Nickelsen M, et al. CNS International Prognostic Index: a risk model for CNS relapse in patients with diffuse large B-cell lymphoma treated with R-CHOP. J Clin Oncol. 2016;34(26):3150-6. doi: 10.1200/JCO.2015.65.6520
- Savage KJ, Slack GW, Mottok A, et al. Impact of dual expression of MYC and BCL2 by immunohistochemistry on the risk of CNS relapse in DLBCL. Blood. 2016;127(18):2182-8. doi: 10.1182/blood-2015-10-676700
- Orellana-Noia VM, Reed DR, Sen JM, et al. CNS prophylaxis during front-line therapy in aggressive non-Hodgkin lymphomas: real-world outcomes and practice patterns from 19 US academic institutions. Blood. 2020;136(Suppl. 1):27-8. doi: 10.1182/blood-2020-134798
- Di Napoli A, Remotti D, Agostinelli C, et al. A practical algorithmic approach to mature aggressive B cell lymphoma diagnosis in the double/triple hit era: selecting cases, matching clinical benefit: A position paper from the Italian Group of Haematopathology (G.I.E.). Virchows Arch. 2019;475(4):513-8. doi: 10.1007/s00428-019-02637-2.
Supplementary files










