Серозные пограничные опухоли яичников: современные возможности ультразвуковой диагностики в мониторинге течения болезни после органосохраняющих операций
- Авторы: Давыдова И.Ю.1, Чекалова М.А.2, Карселадзе А.И.1, Кузнецов В.В.1, Мещерякова Л.А.1, Деды Т.В.2, Черкасов Е.Ю.3, Жарова А.С.1
-
Учреждения:
- ФГБУ «Национальный медицинский исследовательский центр онкологии им. Н.Н. Блохина» Минздрава России
- ФГБУ «Федеральный научно-клинический центр специализированных видов медицинской помощи и медицинских технологий» ФМБА России
- Поликлиника №2 ФКУЗ «Медико-санитарная часть Министерства внутренних дел РФ по г. Москве»
- Выпуск: Том 23, № 1 (2021)
- Страницы: 106-111
- Раздел: КЛИНИЧЕСКАЯ ОНКОЛОГИЯ
- Статья получена: 05.11.2020
- Статья опубликована: 19.05.2021
- URL: https://modernonco.orscience.ru/1815-1434/article/view/48963
- DOI: https://doi.org/10.26442/18151434.2021.1.200578
- ID: 48963
Цитировать
Полный текст
Аннотация
Актуальность. Пограничные опухоли яичников (ПОЯ) встречаются преимущественно у женщин репродуктивного возраста и составляют 20% всех новообразований женских половых органов. В настоящее время наблюдается рост заболеваемости ПОЯ. Одна из причин роста заболеваемости – усовершенствование знаний и опыта в отношении морфологической диагностики опухолей низкого потенциала злокачественности. Тем не менее, результаты предварительной инструментальной оценки характера заболевания и окончательного диагноза, формируемого гистологическим исследованием, не всегда бывают удовлетворительными, поскольку пограничные опухоли – это тонкий пласт, занимающий промежуточное положение между доброкачественными и злокачественными опухолями. И несмотря на то, что ПОЯ являются самостоятельной нозологической формой в гистологической классификации, им присущи признаки как доброкачественных, так и злокачественных новообразований. В связи с этим становится понятной сложность как инструментальной, так и морфологической диагностики ПОЯ, а следовательно, возникают трудности в определении тактики лечения, выбора оптимальной операции, необходимости лекарственной терапии. Все эти вопросы напрямую связаны с качеством жизни больной, а главное – с выживаемостью, поскольку неправильно установленный диагноз влечет за собой неправильное лечение и неудовлетворительные результаты. Таким образом, изучение особенностей диагностики ПОЯ является чрезвычайно актуальным. Метод ультразвуковой компьютерной томографии прост, относительно дешев и доступен. Учитывая то, что практически все больные с новообразованиями яичников проходят данный вид обследования, чрезвычайно важна и интересна оценка роли ультразвукового метода в диагностике ПОЯ. Более того, в настоящее время все больше онкогинекологов прибегают к органосохраняющим объемам хирургического вмешательства при ПОЯ. Поэтому особенно актуальны изучение возможности ультразвуковой диагностики в мониторинге течения болезни после органосохраняющих операций, выявление рецидивов заболевания в яичнике, дифференцирование рецидива и кистозных образований яичников.
Цель. Определить эффективность компьютерной ультразвуковой диагностики в мониторинге течения ПОЯ после органосохраняющих операций.
Материалы и методы. В Национальном медицинском исследовательском центре онкологии им. Н.Н. Блохина проведен ретроспективный и проспективный анализ 405 больных с серозными ПОЯ (СПОЯ) за период 1970–2013 гг. Возраст пациенток варьировал в широком диапазоне, минимальный составлял 15, максимальный – 78 лет, медиана соответствовала 38 годам. Пациенткам до начала лечения проведено ультразвуковое исследование органов брюшной полости, органов малого таза и забрюшинного пространства. Исследования проводились на экспертных ультразвуковых системах Siemens ACUSON S2000, Hitachi ARIETTA V70 и Philips EPIQ 5.
Результаты. Изучены возможности ультразвукового метода при диагностике СПОЯ на основании анализа морфо-ультразвуковых сопоставлений у пациенток после консервативных и ультраконсервативных операций.
Заключение. Ультразвуковая диагностика имеет решающее значение как при первичной диагностике, так и при динамическом наблюдении больных с консервативными и ультраконсервативными операциями по поводу СПОЯ. Эхография позволяет в 83,3% наблюдений диагностировать опухоль в яичнике и в 86,7% наблюдений отвергнуть диагноз.
Полный текст
Пограничные опухоли яичников (ПОЯ) впервые были описаны Говардом Тейлором в 1929 г. и обозначались как «условно злокачественные опухоли». Тейлором было отмечено, что, в отличие от злокачественных новообразований, «условно злокачественные опухоли» отличались относительно благоприятным течением и хорошим прогнозом даже при распространенных стадиях заболевания [1].
И хотя термин «пограничные опухоли яичников» был признан Международной федерацией акушеров и гинекологов в 1961 г., только в 1973 г. Всемирная организация здравоохранения внесла в классификацию и выделила в отдельную нозологическую группу эпителиальных новообразований яичников пограничные опухоли или опухоли пограничной злокачественности (карциномы low grade) [2, 3].
Основными морфологическими критериями пограничных опухолей являются: ядерная атипия, митотическая активность, ветвящиеся железистые комплексы, папиллярные разрастания и отсутствие стромальной инвазии (при этом возможна микроинвазия) [4–7].
ПОЯ составляют 15–20% всех эпителиальных новообразований яичников [8]. Более 1/2 (53–65%) составляют серозные пограничные опухоли, несколько меньше (32–43%) – муцинозные и только у 3–4% встречаются другие гистотипы пограничных опухолей – эндометриоидные, светлоклеточные и пограничные опухоли Бреннера [9].
Серозные ПОЯ (СПОЯ) характеризуются тем, что у 30–40% пациенток являются двусторонними, кроме того, у 30% больных сопровождаются перитонеальными имплантами, 30% из которых являются инвазивными [10]. Известно, что инвазивные импланты снижают 10-летнюю выживаемость с 90% (наблюдения без имплантов) до 60% [11].
СПОЯ подразделяют на 2 типа:
- 1-й – серозная атипически пролиферирующая опухоль, серозная пограничная опухоль обычного типа (поверхностная или кистозная);
- 2-й – серозная пограничная опухоль микропапиллярного типа (неинвазивная микропапиллярная low grade серозная карцинома); Всемирная организация здравоохранения, 2014 г. [2].
ПОЯ не имеют специфической клинической картины. Обычно больные предъявляют жалобы на увеличение живота в объеме, боли разной интенсивности, ациклические кровянистые выделения. Довольно часто заболевание протекает бессимптомно, обнаруживается на профосмотре или обследовании по поводу интеркуррентных заболеваний. Опухолевое образование может пальпироваться через переднюю брюшную стенку и самостоятельно выявляться пациенткой [12–14].
ПОЯ развиваются преимущественно у женщин репродуктивного возраста, наиболее часто в возрастном интервале от 30 до 40 лет. И хотя средний возраст заболевших составляет 40 лет, 30% больных с ПОЯ составляют больные моложе 30 лет [15, 16].
В отличие от рака яичников у большинства (80%) больных с ПОЯ заболевание диагностируют в начальных (IA, IB) стадиях [17, 18].
Прогноз при ПОЯ благоприятный. Общая 10-летняя выживаемость при I стадии ПОЯ составляет 90%, а при III стадии – 60–70% [17–20].
На сегодняшний день в России подходы к лечению больных c ПОЯ в большинстве случаев остаются агрессивными по сравнению с общемировыми стандартами. Большинство пациенток попадают в гинекологические стационары с диагнозом кистомы яичников, где выполняются операции в объеме аднексэктомии лапароскопическим или открытым доступом. При получении гистологического заключения больным с СПОЯ независимо от возраста и данных клинического обследования врачи рекомендуют повторную операцию в объеме резекции противоположного яичника или экстирпации матки с придатками, удаления большого сальника и дальнейшую химиотерапию. Подобный подход не оправдан и часто неприемлем, особенно когда речь идет о молодых нерожавших пациентках. Неэффективная химиотерапия усугубляет степень ошибок и неоправданных осложнений в лечении больных с ПОЯ.
Другим важным вопросом является высокая частота морфологических ошибок в сторону гипердиагностики, что также ведет к ошибочной тактике лечения больных с ПОЯ.
Существующие до сих пор в клинической онкологии противоречия в вопросах диагностики и тактики лечения СПОЯ требуют глубокого анализа накопленных наблюдений.
Мировой опыт и более чем 30-летний опыт лечения подобных больных в Российском онкологическом научном центре им. Н.Н. Блохина (с 1970 по 2013 г.) позволил пересмотреть основные принципы диагностики и разработать современную тактику лечения как первичных больных с СПОЯ, так и пациенток с рецидивами. Морфологические ошибки и неправильная стратегия приводят к неадекватному хирургическому вмешательству, а ошибочная тактика лечения – к инвалидизации и лишению молодых пациенток репродуктивной функции, развитию посткастрационного синдрома, снижению продолжительности жизни, тяжелым социальным последствиям.
Как известно, в настоящее время заболеваемость ПОЯ возросла. Учитывая молодой возраст пациенток, проблемы репродукции и гормональной функции выходят на первый план. Появление высокотехнологических возможностей диагностики (ультразвуковой компьютерной, компьютерной, магнитно-резонансной томографии, электронной микроскопии) позволяет с высокой точностью распознать пограничную опухоль и дифференцировать ее со злокачественными новообразованиями. Тщательный анализ большого проспективного и ретроспективного клинического материала позволил разработать правильную тактику ведения больных в зависимости от различных прогностических факторов (стадии заболевания, морфологического варианта опухоли), выявить показания к органосохраняющим операциям и детально изучить роль химиотерапии у больных с СПОЯ. Для разработки путей сохранения репродуктивной функции нами был изучен опыт выполнения неоднократных органосохраняющих хирургических вмешательств (повторные резекции яичников) и даны рекомендации. Анализ большого клинического материала по лечению рецидивов и диссеминированных форм СПОЯ, рака low grade яичников на фоне СПОЯ позволил сформулировать оптимальные принципы их лечения.
На основании изложенного можно заключить, что изучение вопросов, касающихся возможности органосохраняющего лечения больных с СПОЯ, является крайне актуальным, и в первую очередь оценка диагностических возможностей относительно ПОЯ станет важным шагом в реализации поставленных целей.
Материалы и методы
В Национальном медицинском исследовательском центре онкологии им. Н.Н. Блохина проведен ретроспективный и проспективный анализ 405 больных с СПОЯ за период 1970–2013 гг. Возраст пациенток варьировал в широком диапазоне, минимальный составлял 15, максимальный – 78 лет, медиана соответствовала 38 годам.
Более 1/3 (37,2%) больных жалоб не предъявляли. Перечень основных жалоб включал: боли внизу живота (32,2%), увеличение живота в объеме (15,1%), острые боли в животе (7,9%) и др.
Причинами, по которым больные попадали в гинекологический стационар, были жалобы (42,7%), профосмотр или обследование в связи с интеркуррентными заболеваниями (40,3%), симптомы острого живота (6,8%), бесплодие (6,4%) и др. При детальном изучении анамнеза оказалось, что 15% больных страдали бесплодием.
Уровень маркера СА-125 на дооперационном этапе у 80,4% пациенток не превышал 148 Е/мл, а медиана СА-125 составляла 98,5 Е/мл. Нами была отмечена корреляция уровня СА-125 со стадией заболевания – распространенный процесс сопровождался более высокими показателями СА-125. Так, при IIIC стадии наблюдались очень высокие показатели СА-125 (от 1500 до 6554 Е/мл). Диапазон уровня СА-125 при IIВ–IIIС стадиях СПОЯ был в пределах от 700 до 6500 Е/мл. Эти данные характерны для большинства больных с СПОЯ. Однако у 13,3% больных с высоким СА-125 (от 2266 до 6554 Е/мл) определялась клинически и морфологически доказанная I стадия заболевания.
В нашем исследовании I стадия СПОЯ была у 60% больных, при этом одновременное поражение двух яичников отмечено в 36,5% случаев. В дальнейшем у 19% пациентов, перенесших одностороннюю аднексэктомию по поводу СПОЯ, во втором яичнике СПОЯ de novo возникала в сроке от 6 мес до 20 лет. Следовательно, в целом с течением времени число больных с поражением двух яичников возрастало с 38,7 до 43,2%. Опухоль по наружной капсуле или клетки в смывах, т.е. IС стадия, была отмечена у 50% больных. При статистическом анализе было установлено, что выживаемость без прогрессирования при III стадии СПОЯ была статистически значимо меньше, чем при I или II стадии заболевания (см. таблицу).
Выживаемость без прогрессирования в зависимости от стадии заболевания Progression-free survival depending on the stage of the disease | |||
Стадия | 5-летняя выживаемость, % | 10-летняя выживаемость, % | Значение р |
I (n=241) | 93,8 | 86,8 | 0,001 |
II (n=62) | 96,3 | 86,7 | |
III (n=102) | 82,7 | 63,7 | |
Из 191 (47,1%) пациентки с СПОЯ, оперированной в других лечебных учреждениях и включенных в нашу работу, только у 92 (48%) больных был установлен правильный морфологический диагноз. Более чем в 1/2 случаев наблюдались ошибки морфологической диагностики, чаще в сторону гипердиагностики. Так, у 2/3 больных с СПОЯ ошибочно трактовалась как рак яичников, а у 1/3 – как доброкачественная опухоль. Мы также наблюдали случаи, когда фокусы рака на фоне серозной пограничной опухоли были пропущены. В некоторых наблюдениях выполнено исследование дополнительных срезов блочного материала, в которых были обнаружены фокусы рака на фоне пограничной опухоли как находка. Подобные наблюдения говорят о необходимости выполнения гистологического исследования с большим количеством срезов у больных с СПОЯ, так как ошибка морфолога может стоить жизни больной [21].
Диагностические возможности эхографии изучены на основании сопоставления данных предоперационного ультразвукового и послеоперационного гистологического исследований в 74 (48,4%) наблюдениях, касающихся группы консервативных и ультраконсервативных операций.
Пациенткам до начала лечения проведено ультразвуковое исследование (УЗИ) органов брюшной полости, органов малого таза и забрюшинного пространства. Исследования проводились на экспертных ультразвуковых системах Siemens ACUSON S2000, Hitachi ARIETTA V70 и Philips EPIQ 5.
Результаты
Изучены возможности ультразвукового метода при диагностике СПОЯ на основании анализа морфо-ультразвуковых сопоставлений у пациенток после консервативных и ультраконсервативных операций. Полученные данные мы разделили на 3 группы в зависимости от особенностей ультразвуковой картины выявленных образований яичников. К 1-й группе отнесли пациенток с ультразвуковой картиной солидно-кистозного образования оставшегося яичника, ко 2-й – с неизмененной ультразвуковой структурой оставшегося яичника, к 3-й – пациенток с кистозным образованием в структуре единственного яичника.
Первую группу, в которой по данным УЗИ определялось солидно-кистозное образование в области оставшихся придатков матки, составили 42 (27,5%) больных. После операции у большинства из них – 35 (83,3%) – при гистологическом исследовании обнаружена СПОЯ, у 4 (9,5%) больных диагностирован рак яичника и у 1 (2,4%) – киста желтого тела.
Во 2-й группе – 15 (9,8% наблюдений) – по данным УЗИ объемных образований в яичнике обнаружено не было, тем не менее больные были повторно оперированы. В одном наблюдении при неизмененной структуре неувеличенного яичника по его контуру визуализировались плотные структуры, идентичные псаммомным тельцам, что послужило основанием заподозрить опухоль (рис. 1).
Рис. 1. Ультразвуковая томограмма яичника. На изображении по контуру неувеличенного яичника определяются точечные гиперэхогенные структуры, соответствующие псаммомным тельцам.
Fig. 1. Ultrasound image of the ovary. The ultrasound image showing the hyperechoic structures corresponding to the psammoma bodies along the outline of the normal sized ovary.
При гистологическом исследовании у 13 (86,7%) больных патологии в удаленном или резецированном яичнике обнаружено не было. Серозная пограничная цистаденома диагностирована у 1 (6,7%) пациентки и у 1 (6,7%) – серозная цистаденома.
В 3-й группе у 17 (11,1%) больных при УЗИ в структуре яичника визуализировали тонкостенное кистозное образование. По данным гистологического исследования у большинства из них – 11 (64,7%) – обнаружена киста желтого тела, 3 (17,6%) – зачатки серозной опухоли, 1 (5,9%) – псаммомные тельца, 1 (5,9%) – серозная цистаденома.
Следует отметить, что после органосохраняющих операций размеры выявленных при УЗИ как кистозных, так и солидно-кистозных образований яичников варьировали от 1,5 до 12,0 см. При этом такие размеры кист с одинаковой частотой отмечены в 1 и 3-й группах.
Новообразования, отнесенные к 1-й группе, характеризовались типичными ультразвуковыми признаками многокамерного кистозного образования с тонкими перегородками и пристеночными разрастаниями в виде сосочковых структур разного диаметра. При использовании цветового допплеровского картирования и энергетического допплера более чем у 1/2 из них в солидном компоненте картировались единичные сосудистые локусы (рис. 2).
Рис. 2. Трансвагинальное УЗИ. При цветовом допплеровском картировании определяются сосудистые локусы в сосочковых разрастаниях.
Fig. 2. Transvaginal ultrasound. The color doppler imaging demonstrates the vascular pattern in the papillary growth pattern.
Установление инвазивного компонента в опухоли оказалось сложной задачей для УЗИ, так как даже при морфологическом исследовании мы наблюдали ошибки в сторону как гипо-, так и гипердиагностики.
Приведем клинический пример.
У пациентки С. 36 лет при УЗИ по месту жительства в левом яичнике обнаружено кистозное образование с папиллярными структурами.
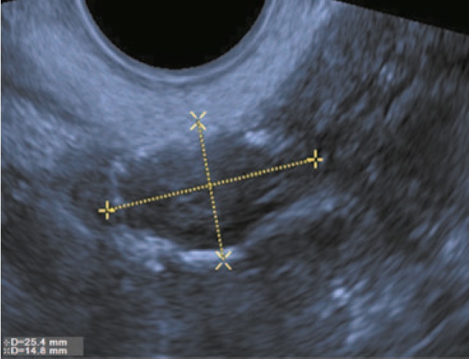
Лапароскопическим доступом больной выполнена биопсия левого яичника. При гистологическом исследовании обнаружена серозная пограничная опухоль. На следующем этапе лечения больной выполнена операция в объеме удаления левых придатков матки, резекции большого сальника. Пациентка находилась под наблюдением. Через 5 лет при УЗИ выявлена опухоль правого яичника. В ходе исследования обнаружено: правый яичник размерами 6,3×4,2 см, в его структуре определяется многокамерное жидкостное образование размерами 4,3×3,3 см, в одной из камер определяются пристеночные солидные папиллярные разрастания толщиной 0,4 см (рис. 3).
Рис. 3. Трансвагинальное УЗИ с использованием эластографии. На изображении неувеличенный яичник. В его структуре определяется тонкостенное кистозное образование с прозрачным анэхогенным содержимым. Пристеночно визуализируются сосочковые структуры толщиной 0,4 см.
Fig. 3. The application of transvaginal sonographic elastography. The ultrasound image showing the normal sized ovary. The structure of the ovary contains thin-walled cystic lesion with clear anechoic contents. A 0.4 cm thick papillary structures lesion along the cyst wall is visualized.
Больной выполнена операция в объеме лапаротомии, экстирпации матки с правыми придатками. Удаление большого сальника. Правый яичник был представлен двухкамерным образованием размерами 3–4 см, на внутренней поверхности меньшей камеры определялись наложения в виде сгустков крови, поверхность кисты была гладкая, розовая, на внутренней поверхности большей камеры – плоского вида сосочковые разрастания желтоватого цвета толщиной до 3 мм плотноватой консистенции. При гистологическом исследовании удаленных правых придатков матки обнаружена высокодифференцированная серозная папиллярная аденокарцинома. Препараты 1 и 2-й операций были повторно пересмотрены. Оказалось, что и в левом яичнике, удаленном ранее при первой операции, определялся рак low grade. Первоначально он не был распознан (рис. 4).
Рис. 4. Структуры рака низкой степени злокачественности на фоне СПОЯ, ×100.
Fig. 4. The formation of low-grade cancer against the background of serous borderline ovarian tumors, ×100.
Тем не менее, несмотря на ошибку в диагнозе, злокачественная опухоль не распространилась за пределы яичников, что обеспечило благоприятный прогноз.
Диагноз был изменен с серозной пограничной опухоли на рак low grade яичников, пациентка живет без прогрессирования заболевания более 5 лет.
Следующее наблюдение также демонстрирует непростую задачу для морфологов и тем более специалистов УЗИ в оценке степени злокачественности опухоли яичников.
Пациентке Ф. 34 лет по данным УЗИ был установлен диагноз опухоли правого яичника. При этом обнаружено: правый яичник размером 4,2×2,2 см, в структуре определяется многокамерное тонкостенное жидкостное образование размером 2,9×2,0 см, в одной из камер определяются пристеночные солидные компоненты до 0,8 см. Левый яичник размером 2,4×1,7 см, структура неоднородная, с солидным компонентом 1,3×1,4 см. Свободной жидкости и дополнительных объемных образований в малом тазу не выявлено. Пациентке по месту жительства выполнена операция в объеме резекции яичников. При гистологическом исследовании обнаружена серозная папиллярная цистаденома пограничного типа. Больная находилась под наблюдением. При очередном УЗИ через 9 мес после первой операции в яичниках выявлены солидно-кистозные образования с пристеночной шероховатостью (рис. 5).
Рис. 5. Ультразвуковая томограмма яичника. На изображении неувеличенный яичник. В его структуре тонкостенное кистозное образование с прозрачным анэхогенным содержимым и пристеночными солидными папиллярными разрастаниями.
Fig. 5. Ultrasound ovarian tomography. The ultrasound image showing the normal sized ovary. The structure of the ovary contains thin-walled cystic lesion with clear anechoic contents and wall solid papillary growth pattern.
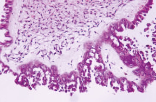
Пациентке выполнена операция в объеме аднексэктомии слева, резекции правого яичника, правосторонней тубэктомии, резекции большого сальника. Макроскопически в левом яичнике определялась киста, на разрезе серовато-красного цвета размерами 2×2,5×0,8 см. Большой сальник 25×15×8 см с очаговым уплотнением диаметром 2 см. При морфологическом исследовании левого яичника обнаружено: на фоне серозной папиллярной цистаденомы пограничного типа выявляются небольшие участки криброзных эпителиальных структур с признаками клеточного и ядерного полиморфизма. Указанные участки следует расценивать как начальные проявления серозного рака (рис. 6).
Рис. 6. Начало формирования криброзных структур на сосочках, ×200.
Fig. 6. The beginning of the formation of cribriform structures on the papillae, ×200.
В резецированном правом яичнике – картина серозной папиллярной цистаденомы пограничного типа с наличием имплантов в стенке маточной трубы. В большом сальнике отмечаются множественные импланты в просвете сосудов и скопления псаммомных телец. После операции химиотерапия не проводилась.
Больная наблюдается в течение 5 лет без признаков прогрессирования заболевания.
Как нами было отмечено, присутствие криброзных структур является наблагоприятным морфологическим признаком, который можно трактовать как начальное проявление рака. Выполненный нами сравнительный ретроспективный анализ первичных операций и операций в связи с рецидивом СПОЯ показал, что формирование криброзных структур у больных с СПОЯ однозначно являлось предиктором развития рака и зачастую прогрессирования. Это еще раз подтверждает постулат о необходимости экспертного уровня морфологии, что определяет тактику лечения и судьбу больной.
В данном наблюдении удалось избежать прогрессирования заболевания, поскольку пациентка обратилась вовремя и опухоль была удалена полностью, несмотря на органосохраняющий объем операции.
Ультразвуковая диагностика продемонстрировала высокую чувствительность при СПОЯ. Следует подчеркнуть, что подобные заключения возможны лишь на экспертном уровне специалиста ультразвуковой диагностики, обладающего большим опытом визуализации данной патологии.
По нашим данным, обнаружение солидно-кистозного образования в оставшемся яичнике посредством ультразвукового метода в 83,3% наблюдений свидетельствовало об опухоли яичника.
Отсутствие ультразвуковых признаков кистозного образования в 86,7% наблюдений соответствовало неизмененной гистологической структуре оставшегося яичника.
Обнаружение при УЗИ тонкостенного кистозного образования в 64,7% наблюдений было обусловлено неопухолевыми изменениями. Удаление неизмененного яичника или яичника с гладкой тонкостенной кистой приводило к тому, что каждой 4-й больной (24,5%) придатки удаляли без достаточных оснований.
Обсуждение
В диагностике ПОЯ основным и информативным методом считается УЗИ малого таза. Кистозно-измененные яичники с папиллярными структурами по наружной и/или внутренней капсуле являются характерными признаками ПОЯ. Магнитно-резонансная томография может дополнять ультразвуковой метод и, возможно, уточнять инвазивный характер опухоли [22, 23].
Несмотря на то, что дифференциальный диагноз между цистаденомами, цистаденофибромами и инвазивными злокачественными опухолями только с помощью ультразвукового метода непрост и частота ошибок значительна, тем не менее ультразвуковая диагностика является важным и информативным методом исследования ПОЯ [22]. Основным признаком, по которому может устанавливаться диагноз СПОЯ, является факт наличия папиллярных образований в стенке кисты. Было отмечено, что определенные характеристики папиллярных разрастаний, а именно их размеры, поверхность сосочков, угол их отхождения (тупой или острый), существенно позволяют различать тип кистозного новообразования в отношении дифференциального диагноза. При этом допплеровское исследование не показало своей эффективности в оценке сосудистых особенностей опухоли [22, 24, 25]. Интересные данные получили A. Sayasneh и соавт. и М. Pascual и соавт. о том, что средний размер сосочков отличается в доброкачественных, пограничных и злокачественных опухолях – 9,6, 15,7 и 35,3 мм соответственно. Наиболее информативным ультразвуковым признаком оказался угол между стенкой кисты и проекцией сосочков. Установлено, что острым этот угол был в 68% доброкачественных опухолей, тупым – в 40% пограничных и 89% злокачественных опухолей, в которых наблюдается инвазивный компонент [25, 26].
Как уже отмечено, серозные пограничные опухоли яичников встречаются в основном у женщин репродуктивного возраста [3, 21]. В связи с этим фактом возникает очень актуальный в наше время вопрос. Возможно ли планировать органосохраняющее лечение при наличии опухоли яичника у молодой женщины, желающей сохранить репродуктивную функцию?
Проведение активного ультразвукового мониторинга состояния яичников у оперированных женщин позволяет своевременно выявить новую опухоль и определить тактику лечения [3]. Нами установлено, что в макроскопически неизмененном яичнике скрытые очаги болезни обнаруживаются крайне редко и, наоборот, когда опухоль действительно имеет место, в большинстве случаев при эхографии визуализируются кистозные образования с характерными пристеночными структурами. Таким образом, ультразвуковой метод занимает важное место как в ранней диагностике СПОЯ, так и в оценке распространенного процесса, эффективности лечения и раннем выявлении рецидива заболевания. С помощью УЗИ с высокой долей вероятности можно выявить характерные особенности опухоли на основе сопоставления морфологических данных с данными УЗИ, что определяет тактику ведения таких больных. Как показало наше исследование, ультразвуковой метод обладает высокой чувствительностью относительно пограничных опухолей в руках опытных специалистов, экспертов в области новообразований яичников, обладающих большим клиническим опытом [27].
Заключение
Ультразвуковая диагностика имеет решающее значение как при первичной диагностике, так и при динамическом наблюдении больных с консервативными и ультраконсервативными операциями по поводу СПОЯ. Эхография позволяет в 83,3% наблюдений диагностировать опухоль в яичнике и в 86,7% наблюдений отвергнуть диагноз.
Лишь в сочетании «три кита» в клинической онкологии: экспертный специалист ультразвуковой диагностики, морфолог экспертного уровня и клиницист, обладающие большим опытом диагностики и лечения СПОЯ, – могут наиболее точно оценивать клиническую ситуацию, прогнозировать течение болезни, а также определять стратегию лечения в каждом конкретном наблюдении.
Для лучшего прогноза заболевания каждой пациентке оптимально было бы заручиться решением консилиума таких специалистов, особенно если речь идет о желании женщины сохранить свою репродуктивную функцию.
Конфликт интересов. Авторы заявляют об отсутствии конфликта интересов.
Conflict of interests. The authors declare no conflict of interests.
Об авторах
Ирина Юрьевна Давыдова
ФГБУ «Национальный медицинский исследовательский центр онкологии им. Н.Н. Блохина» Минздрава России
Автор, ответственный за переписку.
Email: davydova06@mail.ru
д-р мед. наук
Россия, МоскваМарина Альбертовна Чекалова
ФГБУ «Федеральный научно-клинический центр специализированных видов медицинской помощи и медицинских технологий» ФМБА России
Email: chekalova@mail.ru
д-р мед. наук, проф.
Россия, МоскваАполлон Иродионович Карселадзе
ФГБУ «Национальный медицинский исследовательский центр онкологии им. Н.Н. Блохина» Минздрава России
Email: karseladze54@bk.ru
д-р мед. наук, проф.
Россия, МоскваВиктор Васильевич Кузнецов
ФГБУ «Национальный медицинский исследовательский центр онкологии им. Н.Н. Блохина» Минздрава России
Email: davydova06@mail.ru
д-р мед. наук, проф.
Россия, МоскваЛюдмила Александровна Мещерякова
ФГБУ «Национальный медицинский исследовательский центр онкологии им. Н.Н. Блохина» Минздрава России
Email: davydova06@mail.ru
д-р мед. наук
Россия, МоскваТатьяна Владимировна Деды
ФГБУ «Федеральный научно-клинический центр специализированных видов медицинской помощи и медицинских технологий» ФМБА России
Email: davydova06@mail.ru
канд. мед. наук
МоскваЕвгений Юрьевич Черкасов
Поликлиника №2 ФКУЗ «Медико-санитарная часть Министерства внутренних дел РФ по г. Москве»
Email: davydova06@mail.ru
канд. мед. наук
Россия, МоскваАлена Сергеевна Жарова
ФГБУ «Национальный медицинский исследовательский центр онкологии им. Н.Н. Блохина» Минздрава России
Email: davydova06@mail.ru
аспирант
Россия, МоскваСписок литературы
- Taylor HC. Malignant and semimalignant tumors of the ovary. Surg Gynecol Obstet 1929; 48: 204–30.
- Kurman RJ, Сarcanqiu ML, Herrington CS, Young RH. WHO Classification of Tumours of Female Reproductive Organs. Fourth Edition. Lyon: IARS, 2014; p. 307.
- Du Bois A, Trillsch F, Mahner S, et al. Management of borderline ovarian tumors. Ann Oncol 2016; 27 (Suppl. 1): i20–2. doi: 10.1093/annonc/mdw090
- Lodhi S, Najam S, Pervez S. DNA ploidy analysis of borderline epithelial ovarian tumours. J Pak Med Assoc 2000; 50 (10): 349–51.
- Scully RE, Young RH, Clement PB. Tumor like lesions. Tumors of the overy and maldeveloped gonads, fallopian tube and broad ligament. Washington: Armed Forces Institute of Pathology, 1998; p. 443–4.
- Shih IM, Kurman RJ. Molecular pathogenesis of ovarian borderline tumors: new insights and old challenges. Clin Cancer Res 2005; 11 (20): 7273–9.
- Shim SH, Kim SN, Jung PS, et al. Impact of surgical staging on prognosis in patients with borderline ovarian tumours: a meta-analysis. 2016; 54: 84–95.
- Acs G. Serous and mucinous borderline (low malignant potential) tumors of the ovary. Am J Clin Pathol 2005; 123 (Suppl.): 13–57.
- Lenhard MS, Mitterer S, Kümper C. Long-term follow-up after ovarian borderline tumor: relapse and survival in a large patient cohort. Eur J Obstet Gynecol Reprod Biol 2009; 145: 189–94. doi: 10.1016/j.ejogrb.2009.04.031
- Seidman JD, Horkayne-Szakaly I, Haiba M. The histologic type and stage distribution of ovarian carcinomas of surface epithelial origin. Int J Gynecol Pathol 2004; 23: 41–4. doi: 10.1097/01.pgp.0000101080.35393.16
- Sherman ME, Mink PJ, Curtis R. Survival among women with borderline ovarian tumors and ovarian carcinoma: a population-based analysis. Cancer 2004; 100: 1045–52. doi: 10.1002/cncr.20080
- Ayhan A, Akarin R, Develioglu O, et al. Borderline epithelial ovarian tumors. Aust N Z J Obstet Gynecol 1991; 31 (2): 174–6.
- Goldman TL, Chalas E, Chumas J, et al. Management of borderline tumors of the ovary. South Med J 1993; 86 (4): 423–5.
- Jimenez AM, Miralles Pi RM, Sanchez AE, et al. Ovarian tumors of low malignant potential (borderline). A retrospective study of 31 cases. Eur J Gynaec Oncol 1994; 15 (4): 300–4.
- Jones MB. Borderline ovarian tumors: current concepts for prognostic factors and clinical management. Clin Obstet Gynecol 2006; 49 (3): 517–25. doi: 10.1097/00003081-200609000-00011
- Lalwani N, Shanbhogue AK, Vikram R. Current update on borderline ovarian neoplasms. Am J Roentgenol 2010; 194 (2): 330–6. doi: 10.2214/AJR.09.3936
- Bostwick DG, Tazelaar HD, Ballon SC. Ovarian epithelial tumors of borderline malignancy: a clinical and pathologic study of 109 cases. Cancer 1983; 58: 2052–64. PMID: 3756820
- Leake JF, Currie JL, Rosenshein NB. Long-term follow-up of serous ovarian tumors of low malignant potential. Gynecol Oncol 1992; 47: 150–8. doi: 10.1016/0090-8258(92)90099-5
- Riman T, Dickman PW, Nilsson S. Risk factors for epithelial borderline ovarian tumors: results of a Swedish case – control study. Gynecol Oncol 2001; 83: 575–85. doi: 10.1006/gyno.2001.6451
- Nikrui N. Survey of clinical behavior of patients with borderline tumors of the ovary. Gynecol Oncol 1981; 12: 107–19. doi: 10.1016/0090-8258(81)90102-5
- Green AE. Borderline ovarian cancer borderline tumor overview. Obstet Gynecol 2019.
- Exacoustos C, Romanini ME, Rinaldo D, et al. Preoperative sonographic features of borderline ovarian tumors. Ultrasound Obstet Gynecol 2005; 25: 50–9.
- Takemori M, Nishimura R, Hasegawa K. Clinical evaluation of MRI in the diagnosis of borderline ovarian tumors. Acta Obstet Gynecol Scand 2002; 81 (2): 157–61. doi: 10.1034/j.1600-0412.2002.810212.x
- Hassen K, Ghossain MA, Rousset P, et al. Characterization of papillary projections in benign versus borderline and malignant ovarian masses on conventional and color Doppler ultrasound. Am J Roentgenol 2011; 196: 1444–9.
- Pascual MA, Tresserra F, Grases PJ, et al. Borderline cystic tumors of the ovary: gray-scale and color Doppler sonographic findings. J Clin Ultrasound 2002; 30: 76–82.
- Sayasneh A, Ekechi C, Christine L, et al. The characteristic ultrasound features of specific types of ovarian pathology (Review). Int J Oncol 2015; 46 (2): 445–58.
- Давыдова И.Ю. Серозные пограничные опухоли яичников (клинико-морфологические особенности, лечение, прогноз). Дис. … д-ра мед. наук. М., 2018 [Davydova IIu. Seroznye pogranichnye opukholi iaichnikov (kliniko-morfologicheskie osobennosti, lechenie, prognoz). Dis. … d-ra med. nauk. Moscow, 2018 (in Russian)].
Дополнительные файлы









