Rare inflammatory myofibroblastic lung tumor with multi-organ metastasis: A case report
- Authors: Budurova M.D.1,2, Trifanov V.S.1,3, Bagrov V.A.1, Lozhkin M.V.4, Chernichenko M.A.1, Surkova V.S.1, Poluektov S.I.1, Lyubchenko L.N.1
-
Affiliations:
- Hertsen Moscow Oncology Research Institute – branche of the National Medical Research Radiological Centre
- Russian University of Medicine
- People’s Friendship University of Russia (RUDN University)
- Moscow State Budgetary Healthcare Institution “Moscow City Oncological Hospital No. 1” of the Moscow Department of Healthcare
- Issue: Vol 25, No 4 (2023)
- Pages: 540-546
- Section: CLINICAL ONCOLOGY
- Submitted: 26.05.2023
- Published: 20.12.2023
- URL: https://modernonco.orscience.ru/1815-1434/article/view/457152
- DOI: https://doi.org/10.26442/18151434.2023.4.202438
- ID: 457152
Cite item
Full Text
Abstract
Inflammatory myofibroblastic tumors (IMTs) are extremely rare neoplasms, accounting for 0.04–0.7% of all tumors. Data on their clinical presentation, pathogenesis, and biological behavior are scarce. They can occur at any age, involving equally males and females. IMTs have been described as benign neoplasms with intermediate malignant potential, as local recurrence and distant metastasis may occur. IMTs are characterized by a solid growth type, and a multifocal type is uncommon. Definitive surgery is the treatment of choice. We describe a clinical case of a malignant IMT with multi-organ metastasis 6 years after definitive surgery on the primary tumor. There is no standard of care in such a clinical situation, especially given the absence of mutations in the primary and metastatic tumors.
Full Text
Введение
Воспалительная миофибробластическая опухоль (ВМФО) – это мезенхимальное новообразование, которое относят к подгруппе «воспалительных псевдоопухолей» с характерными патоморфологическими особенностями в виде миофибробластической пролиферации с миксоидной или коллагеновой стромой на фоне воспалительного инфильтрата плазматических клеток, лимфоцитов и эозинофилов, иногда определяемой как саркоматозное образование [1–3]. ВМФО легкого – чрезвычайно редкое новообразование, 0,04–1% всех новообразований легких [1, 2]. До сих пор мало сведений об их клинической картине, патогенезе и биологическом поведении. Ранее описанная как «воспалительная псевдоопухоль», «гранулема плазматических клеток» или «воспалительная фибросаркома», ВМФО преимущественно встречается в молодом возрасте, у подростков и детей [2, 3]. ВМФО чаще всего развивается в легких, но встречается практически во всех органах [1, 2, 4, 5]. Обычно имеет солидное строение, но при этом инвазивна, а мультифокальная форма заболевания встречается редко. Традиционно ВМФО рассматривается как доброкачественная опухоль, но иногда ведет себя как злокачественная с локальными рецидивами и/или отдаленными метастазами в 5–10% случаев [1, 2, 4, 6–8].
Клиническое наблюдение
Пациентка Б., 30 лет, в ноябре 2021 г. обратилась к абдоминальному хирургу МНИОИ им. П. А. Герцена с жалобами на боли в правом подреберье. Анамнез заболевания отражен в клиническом диагнозе:
- С64. Нефробластома слева, состояние после комплексного лечения в 1994 г. (нефрэктомия слева + паллиативная химиотерапия + лучевая терапия), стабилизация;
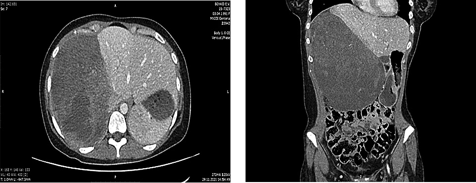
- D14.3. ВМФО нижней доли левого легкого, состояние после R0-анатомической резекции базальных сегментов нижней доли левого легкого, медиастальной лимфодиссекции в 2015 г. Прогрессирование в ноябре 2021 г., забрюшинный солитарный метастаз с врастанием в SI, SVI, SVII сегменты печени, метастаз в SIVb печени (рис. 1).
Рис. 1. КТ грудной клетки, брюшной полости и забрюшинного пространства, таза с внутривенным контрастированием. Ноябрь 2021 г.
Заключение: печень увеличена до 238×142×227 мм, практически всю правую долю занимает неоднородное опухолевое образование. Протоки не расширены. В селезенке опухолевидное образование 46×53 мм. В легких очаговых и инфильтративных изменений не определяется.
Fig. 1. CT scan of the chest, abdomen, retroperitoneum, and pelvis with intravenous contrast enhancement. November 2021.
В ноябре 2021 г. сделана иммуногистохимия (ИГХ) трепан-биоптата опухоли печени. Заключение: иммунофенотип опухоли соответствует ВМФО.
13.12.2021. Больная оперирована в отделении абдоминальной онкологии МНИОИ им. П. А. Герцена (рис. 2). Ревизия брюшной полости: всю правую половину живота занимает массивное опухолевое образование размерами около 25×20×15 см, которое распластано по задней поверхности правой доли печени и нижней полой вене, врастает в паренхиму SI, SVI, SVII сегментов печени; в SIVb подкапсульное образование до 7 мм в диаметре, в SIVа интрапаренхиматозное образование до 10 мм в диаметре. Принимая во внимание расположение опухолевого узла и краевое врастание в паренхиму печени, решено сохранить правую долю печени и выполнить атипичную резекцию заинтересованных сегментов печени. Выполнено удаление новообразования забрюшинного пространства с резекцией SI, SVI, SVII сегментов печени, атипичная резекция SIVb печени (отступ 10 мм от края опухоли), холецистэктомия. При интраоперационном ультразвуковом исследовании (УЗИ) селезенки визуализировано образование до 6 см – гемангиома. Под УЗИ-навигацией проведена радиочастотная термоаблация в опухолевом узле SIVа (время экспозиции 12 мин).
Рис. 2. Интраоперационный вид опухоли после этапа мобилизации. 13.12.2021
Fig. 2. Intraoperative tumor view after mobilization stage. 13.12.2021
Морфологическое исследование операционного материала. Опухоль представлена пучками фибробластоподобных умереннополиморфных клеток в миксоидном матриксе, разделенных широкими прослойками фиброзной ткани на дольки. Митозы немногочисленные, некрозы занимают менее 50%. Опухолевая ткань очагово инфильтрирована лимфоцитами и плазматическими клетками. В периферических отделах опухоли неизмененные гепатоциты. Отмечается периваскулярное распространение опухоли с прорастанием лимфатических сосудов. Края резекции интактны. Заключение: ВМФО, которая имеет аналогичное строение с опухолью легкого (гистологическое исследование №АА8051-69 от 2015 г.).
ИГХ-исследование. В клетках ВМФО отсутствует экспрессия активин-рецептор-подобной киназы-1 (ALK1). Пролиферативная активность (Ki-67) – до 10%. Заключение: ИГХ-картина характерна для ВМФО.
Больная перенесла хирургическое вмешательство без осложнений, выписана в удовлетворительном состоянии.
В ходе планового обследования, через 2 мес после операции, отмечен продолженный рост опухоли в печени от февраля 2022 г. в виде опухолевидного образования размерами 33×42 мм, субкапсулярные опухолевые изменения в SIV печени размерами 7×17 мм. Susp. образования селезенки, левого надпочечника, очага в правой почке – без динамики.
В марте 2022 г. проведена компьютерная томография (КТ) грудной клетки, брюшной полости, забрюшинного пространства, таза (рис. 3), сделана пункционная биопсия опухоли печени под контролем УЗИ: имеется фокус опухоли, отдаленно напоминающей ВМФО (при сравнении с первичным материалом).
Рис. 3. КТ грудной клетки, брюшной полости, забрюшинного пространства, таза. 18.03.2022.
Fig. 3. CT scan of the chest, abdomen, retroperitoneum, and pelvis. 18.03.2022.
Проведено ИГХ-исследование на материале опухоли печени. Определяется экспрессия MLH1, MSH2, MSH6, PMS2 (интенсивное и умеренной интенсивности окрашивание более 80% ядер). Определен статус микросателлитной нестабильности. Фенотип опухоли со стабильной системой репарации ДНК – MSS-статус. HER2 – 0. Экспрессия PD-L1 отсутствует, реакция с антителами к CD30 отсутствует, экспрессия рецепторов эстрогенов (0) и прогестерона (0), ALK (транслокация) – отрицательный, ТР53 – отрицательный результат, SMA – очагово положительная экспрессия в клетках опухоли, стенках сосудов и бронхов.
Выполнили молекулярно-генетическое исследование с целью определения герминальных и соматических мутаций в генах BRCA1, BRCA2, CHEK-2, BRAF, EGFR, RET, PIK3CA, NTRK, ROS1, C-KIT. Клинически значимых патогенных мутаций не выявили.
Междисциплинарный консилиум в МНИОИ им. П. А. Герцена, телемедицинская консультация с ФГБУ «Национальный медицинский исследовательский центр трансплантологии и искусственных органов им. акад. В. И. Шумакова» 25.03.2022. Принимая во внимание данные о метастазе в печени редкой доброкачественной опухоли легкого, хирургическое лечение крайне рискованное по развитию фатальных осложнений. Трансплантация печени не показана в связи с наличием синхронных суспициозных очагов в единственной правой почке и селезенке, а также агрессивным течением заболевания. Имеющиеся единичные литературные данные о попытках трансплантации печени пациентам с данным видом опухоли не несут в себе системного понимания лечения методом трансплантации воспалительной миофибробластической опухоли.
Комбинированная позитронно-эмиссионная и рентгеновская КТ всего тела 14.04.2022. Заключение: метаболически активное опухолевое образование правой доли печени (SUVmax 6,0) с вероятной инвазией правого надпочечника, опухолевый тромб в воротной вене и ее долевых ветвях (SUVmax 6,2), опухолевый процесс по капсуле SIV печени, опухолевые узлы в селезенке без гиперметаболизма и в единственной правой почке, susp. очаг в теле LII позвонка с повышенным метаболизмом.
Междисциплинарный консилиум в апреле 2022 г. в МНИОИ им. П. А. Герцена. Учитывая продолженный рост метастаза воспалительной миофибробластической опухоли легкого в печени, подозрение на метастазы в правой почке, селезенке, левом надпочечнике, теле LII позвонка, ALK-негативный статус опухоли, отсутствие мутаций, пациентке рекомендована терапия целекоксибом 200 мг (нестероидное противовоспалительное средство – НПВС) 2 раза в сутки ежедневно.
В сентябре 2022 г. проведена КТ грудной клетки, брюшной полости, таза. Отмечены постоперационные изменения левого легкого, увеличение размеров опухоли правой доли печени и протяженности опухолевого тромба в воротной вене и ее долевых ветвях. Опухолевые узлы в проекции левого надпочечника и правой почки, очаг в теле LII позвонка – без динамики. Опухолевый узел в селезенке – некоторое увеличение размеров. Множественные расширенные коллатерали воротной вены (рис. 4).
Рис. 4. КТ грудной клетки, брюшной полости, таза. Сентябрь 2022 г.
Fig. 4. CT scan of the chest, abdomen, and pelvis. September 2022.
17.10.2022. Исследование PD-L1 и PIK3CA в пункционном материале опухоли левой доли печени. TPS – 1% PD-L1 (SP263) – слабо положительная экспрессия. PD-L1 – отрицательная экспрессия.
Динамика ИГХ-показателей на материале ВМФО нижней доли левого легкого, метастаза в правой доле печени, трепан-биоптата метастаза в левой доле печени приведена в табл. 1.
Таблица 1. Динамика ИГХ-показателей на материале ВМФО нижней доли левого легкого, метастаза в правой доле печени, трепан-биоптата метастаза в левой доле печени. Отмечено нарастание злокачественности метастазирующей ВМФО.
Table 1. Change over time of immunohistochemistry indicators in the tissue of inflammatory myofibroblastic tumor of the lower lobe of the left lung, metastasis in the right lobe of the liver, core biopsy specimen of metastasis in the left lobe of the liver
Год | Локализация опухоли | Количество митозов | Ki-67, % |
2015 | Нижняя доля левого легкого | – | 7 |
2021 | Правая доля печени | Незначительное | 10 |
2022 (октябрь) | Левая доля печени | 7 в 10 полях зрения | 60 |
По рекомендациям междисциплинарного консилиума МНИОИ им. П. А. Герцена 17.10.2022 начали терапию ингибитором тирозинкиназы Вотриентом 800 мг/сут.
Выполнен лапароцентез 18.01.2023: эвакуировано 16 л серозной жидкости.
20.01.2023. КТ грудной клетки, брюшной полости, таза:
- субтотальное замещение опухолью левой доли печени размерами 210×141×265 мм (ранее 74×103×844 мм), с вовлечением левой ветви портальной вены;
- увеличение размеров опухоли в SVII печени с инвазией правого надпочечника до 60×51 мм;
- появление в печени депозита размером 34×22×30 мм;
- опухоль в проекции левого надпочечника размером 13×23 мм (без динамики);
- опухолевый узел селезенки до 72×88 мм (без динамики);
- гиповаскулярный очаг правой почки размером 10×8 мм (без динамики);
- суспициозный очаг в теле LII позвонка до 12×9 мм (без динамики);
- множественные коллатерали воротной вены;
- асцит.
Заключение консилиума в МНИОИ им. П. А. Герцена 22.01.2023: учитывая отрицательную динамику на фоне терапии ингибитором тирозинкиназы, принято решение отменить прием препарата и продолжить лечение доксорубицином.
В МНИОИ им. П. А. Герцена 24.01.2023 провели 1-й курс химиотерапии (ХТ) доксорубицином (83,5 мг). Пациентка перенесла лечение относительно удовлетворительно.
От проведения 2-го курса ХТ решено воздержаться. Учитывая развитие в межкурсовом периоде осложнений в стадии декомпенсации и общий тяжелый соматический статус пациентки (ECOG 4), рекомендована симптоматическая терапия.
На момент публикации статьи пациентка находится в тяжелом состоянии, проводится симптоматическая терапия.
Обсуждение
ВМФО – редкое доброкачественное новообразование, характеризующееся пролиферацией веретенообразных клеток в воспалительном инфильтрате. ВМФО определяется как редко метастазирующее мезенхимальное новообразование промежуточной злокачественности в соответствии с классификацией Всемирной организации здравоохранения 2013 г. [8]. ВМФО преимущественно развивается в молодом возрасте, у подростков и детей [2, 4]. Большинство этих опухолей имеют местно-распространенный характер, но в 5–10% случаев отмечено отдаленное метастазирование [1, 7]. Для ВМФО легких отмечено локальное рецидивирование в 13–25% случаев [7, 9]. Среди внелегочных ВМФО сообщалось о частоте рецидивов от 25 до 37% [10].
ВМФО демонстрируют чувствительность при комбинированной позитронно-эмиссионной и рентгеновской КТ с 18F-ФДГ. Однако она коррелирует с индексом пролиферации и степенью воспаления в опухоли [11]. Поэтому морфологические исследования с ИГХ являются основой диагностики ВМФО. Опухолевидные образования, рентгенологически и морфологически имитирующие ВМФО: мультифокальный миофиброматоз, узловой фасциит, фиброзная гамартома, миоэпителиома, кальцифицирующая фиброзная псевдоопухоль [7].
При ИГХ ВМФО чаще всего экспрессируют SMA и виментин с переменным окрашиванием для актина, в гистиоцитарных клетках наблюдается реактивность CD68 [2, 10]. ВМФО с экспрессией SMA выявляются в 56% случаев, что позволяет выделить два подтипа ВМФО: SMA-позитивные и SMA-отрицательные. SMA-позитивный подтип – более агрессивный вариант, характеризующийся склонностью к инвазивному росту [2]. Экспрессия/перестройка белка ALK (ген киназы анапластической лимфомы) приводит к активации тирозинкиназы и может быть обнаружена при ИГХ [2, 7]. Перестройка гена ALK или экспрессия ALK присутствуют в 50–60% случаев ВМФО [1, 3]. Исходя из этих данных, ВМФО с гиперэкспрессией SMA, ALK выделены в категорию воспалительных псевдоопухолей как отдельные образования со злокачественным потенциалом [2].
Описаны слияния киназ (ALK) с участием ROS1, PDGFRβ, RET и NTRK, которые играют решающую роль в биологии многих ВМФО и встречаются в 85% ВМФО легких [4, 12–18]. Напротив, у 25% внелегочных ВМФО не было обнаруживаемого слияния генов [17]. Понимание молекулярного ландшафта ВМФО имеет важное значение, поскольку сегодня он является основой выбора схемы лечения с включением ингибиторов тирозинкиназы и новых целевых терапевтических средств, включив таргетную терапию также для нерезектабельной, рецидивирующей и метастатической ВМФО [4].
Имея промежуточное биологическое течение с риском местного рецидива и низким потенциалом метастазирования, R0-хирургическое лечение ВМФО остается «золотым стандартом» [1, 2, 19]. После R0-резекции адъювантная терапия не показана [3, 4, 9].
Риск рецидива после R1/R2-операции достигает 60%, но спонтанное разрешение также описано после R1/R2-резекции [3, 9, 19]. Рецидивы после хирургического лечения в среднем встречаются в 25% случаев, при этом повторная радикальная операция, дополненная в некоторых случах лекарственным лечением и лучевой терапией, может быть эффективной [9, 19].
ВМФО метастазирует в 5–10% случаев [1]. Метастазирует ВМФО в легкие, головной мозг, реже в печень, кости, костный мозг и лимфатические узлы [1]. На сегодняшний день не существует стандарта медицинской помощи при прогрессирующей ВМФО [4, 20].
Наличие воспалительного компонента в ВМФО объясняет применение противовоспалительных средств (стероиды/антибиотики/НПВС), которые первыми использовали для лечения ВМФО [4, 21]. Экспрессия фактора роста эндотелия сосудов (VEGF) и циклооксигеназы-2 (COX-2) при ВМФО подтверждали целесообразность и эффективность применения НПВС [22]. Напротив, в других сообщениях не отмечено никакого ответа на НПВС и глюкокортикоиды [23]. Однако есть сообщения об ухудшении и рецидивах ВМФО на фоне терапии стероидами [24, 25].
ХТ в основном используется в неоадъювантных режимах для уменьшения размеров опухоли, что способствует выполнию R0-резекции. Описано множество схем ХТ, включая ифосфамид-винкристин-дактиномицин (IVA), винкристин-дактиномицин-циклофосфамид (VAC), винкристин-дактиномицин-ифосфамид-доксорубицин (VAIA), монотерапию циклофосфамидом, метотрексат-винбластин (MTX/VBL) / винорелбин (MTX/VNB). В ретроспективном обзоре детей и взрослых с ВМФО, получавших терапию в 9 европейских центрах лечения сарком, использование ХТ саркомы мягких тканей MTX/VBL или MTX/VNB привело к общей частоте ответов (ORR) в 48 и 54% соответственно [26].
По данным исследования EpSSG NRSTS (2005 г.) ORR при проведении паллиативной химиотерапии у пациентов с неоперабельным ВМФО составила 64%. Но отмечено, что в 8 из 10 случаев пациенты ответили на MTX/VBL (этот режим также используется при десмоидном фиброматозе) [7]. Авторы сделали вывод, что в случае нерезектабельной ВМФО схема MTX/VBL достаточно эффективна и хорошо переносится.
За последнее десятилетие разработано множество терапевтических средств, направленных на ALK, ROS1, PDGFRβ, RET, NTRK и другие молекулярные изменения, обнаруженные при ВМФО. На основе этого таргетная терапия назначается при нерезектабельной, рецидивирующей и метастатической ВМФО. В настоящее время нет единого мнения об оптимальном лечении, особенно при ALK-негативных ВМФО [20].
Положительность ALK при ИГХ представляет собой слияние генов на основе ALK и чаще встречается у детей с ВМФО, чем у взрослых [1]. Экспрессия и перестройка гена ALK описаны как хорошие прогностические маркеры для ВМФО, тогда как ALK-отрицательный ВМФО более агрессивен и чаще встречается при метастазирующих ВМФО [1, 18, 27–35].
В 50% случаев ВМФО обнаруживаются перестройки ALK, при этом кризотиниб доказал свою эффективность [20, 27]. Кризотиниб является пероральным ингибитором ALK, MET и ROS1. В многоцентровом исследовании II фазы для пациентов старше 15 лет с неоперабельной ВМФО отмечено, что у 50% пациентов с ALK-положительными опухолями и у 14% пациентов с ALK-отрицательными опухолями ответ на кризотиниб был объективным [28]. В опубликованном исследовании 30% ALK-положительных ВМФО у детей и взрослых, получавших кризотиниб, имели полную или частичную ремиссию [36]. Cредняя продолжительность лечения составила 1 год, 5 пациентов смогли прекратить прием кризотиниба без рецидива.
Применение кризотиниба привело к изменению парадигмы в лечении также прогрессирующих и рецидивирующих ALK-положительных ВМФО с хорошими и длительными клиническими ответами в большинстве случаев [18, 30]. Однако по-прежнему варианты лечения ограничены для пациентов с ALK-негативными ВМФО [37].
ALK-отрицательные ВМФО связаны с более высоким риском развития отдаленных метастазов [1]. Поскольку мало информации об онкогенных причинах ALK-отрицательных ВМФО, до сих пор не существует специфичных и доступных таргетных препаратов. В 2014 г. опубликовано исследование, в котором впервые показано, что ALK-отрицательная ВМФО может содержать другие слияния киназ, такие как ROS1, NTRK, RET или PDGFRβ [20].
О перестройках ROS1 сообщалось примерно в 9–13% случаев ВМФО, и все случаи были ALK-отрицательными [38]. Важно отметить, что во всех ALK-отрицательных случаях обнаружены слияния либо ROS1 (67%), либо NTRK3 (33%). В литературе описаны клинические случаи у детей и подростков с ВМФО легких, у которых выявлена перестройка TGF-ROS1: у всех отмечено значительное уменьшение размера опухоли на фоне лечения кризотинибом (250 мг) [12, 20].
В целом эти данные подчеркивают важность молекулярно-генетической диагностики ВМФО, особенно в ALK-отрицательных случаях. Технологии секвенирования могут иметь преимущество, поскольку могут идентифицировать не только слияние генов, но и новые мутации генов [17].
Эпителиоидная воспалительная миофибробластическая саркома (EIMS) – редкий агрессивный подтип ВМФО с характерным ядерным мембранным или околоядерным окрашиванием ALK. Экспрессия CD30 также описана в EIMS [6, 29, 39]. EIMS имеет худший прогноз по сравнению с ВМФО: почти 50% пациентов умерли на момент публикации первых данных [36].
Оптимальная продолжительность таргетной терапии остается неизвестной [31]. В небольшом ретроспективном когортном исследовании ВМФО/EIMS высказано предположение, что прием ингибиторов ALK может быть прекращен у пациентов, которым выполнено хирургическое вмешательство [30, 35]. При нерезектабельных опухолях и при метастазирующей ВМФО лечение сложное: ингибиторы ALK I поколения (кризотиниб) могут играть важную роль, однако данные об ингибиторах ALK II поколения ограничены.
Церитиниб, ингибитор ALK II поколения, также показал свою эффективность при ВМФО. В многоцентровом исследовании I фазы (NCT01742286) у детей с ALK-положительным ВМФО показано, что ORR церитиниба составляет 70% [40]. При этом медиана продолжительного ответа не достигнута для пациентов с ВМФО [40].
Е. Brivio и соавт. (2019 г.) сообщили о двух показательных случаях ВМФО у детей, получавших церитиниб в клиническом испытании (NCT01742286) [41]. Опыт лечения потенциально можно перенести в ингибирование ALK при ВМФО, которое в основном обусловлено слиянием ALK [41]. Одним из основных ограничений ингибиторов ALK является приобретенная резистентность, развившаяся во время лечения.
Другие аналогичные целевые препараты ALK – алектиниб, бригатиниб, лорлатиниб, энсартиниб – проходят клинические исследования. Необходима более масштабная работа, чтобы определить роль этих ингибиторов ALK в качестве варианта 1-й линии терапии.
Селективный ингибитор тропомиозин-рецепторной киназы (TRK) ларотректиниб также эффективен при TRK-позитивных опухолях с выраженной и длительной противоопухолевой активностью [42]. При медиане наблюдения 9,4 мес 86% пациентов с ответом продолжали лечение или перенесли радикальную операцию.
Энтректиниб, ингибитор pan-TRK, ROS1 и ALK, безопасен и эффективен при запущенных солидных опухолях со слияниями NTRK, ROS1 или ALK [43].
CD30 является интересной потенциальной терапевтической мишенью при ЕIMS, наиболее агрессивном варианте ВМФО. Брентуксимаб ведотин представляет собой моноклональное антитело к CD30. Для лечения EIMS следует рассматривать возможность комбинирования таргетной терапии CD30 и ALK, на фоне которой продемонстрирована длительная выживаемость при EIMS [39].
В одном из исследований в 69% случаев ВМФО выявлен положительный PD-L1 [36]. Экспрессия PD-L1 отмечена в 70–88% ALK-негативных ВМФО, в 80% рецидивирующих или метастатических опухолей, в 70–88% рецидивирующей и метастатической ALK-негативной ВМФО, что указывает на возможную роль иммунных ингибиторов у пациентов с ALK-негативной ВМФО [36, 44, 45]. Высокие показатели положительности PD-L1 при ALK-отрицательной ВМФО подчеркивают, что этот контрольный путь является важным для клинических исследований при рецидивирующем/рефрактерном заболевании [36, 44, 45]. Эти данные подтверждают потенциальное применение ингибиторов PD-1/PD-L1 (пембролизумаб, ниволумаб и др.).
В целом прогноз ВМФО хороший: 5-летняя выживаемость без рецидива в 83% и 5-летняя общая выживаемость в 74–91% случаев [2, 19]. При этом European pediatric Soft Tissue Sarcoma Study Group (EpSSG) предполагает, что выживаемость одинакова для ALK-положительных и ALK-отрицательных случаев ВМФО [7].
Радикальное хирургическое вмешательство является методом выбора при локализованных ВМФО легких: 10-летняя выживаемость составила 89% без адъювантной терапии [21, 46]. Частота местных рецидивов при легочных ВМФО составляет 13–25%, при внелегочных ВМФО рецидивы встречаются чаще – 25–37% [1, 7]. Различий выживаемости в зависимости от размера и локализации опухоли, возраста пациента нет [1, 7]. По мнению О. В. Пикина и соавт. (2017 г.), основной причиной летальности от прогрессирования ВМФО является нерадикальное хирургическое вмешательство [2].
Многие вопросы в диагностике и лечении ВМФО еще предстоит решить. Существует необходимость в стандартизации молекулярно-генетической диагностики для выявления альтернативных слияний в ALK-отрицательных ВМФО. Молекулярное секвенирование ВМФО следует выполнять в том числе и для выявления агрессивного подтипа EIMS. Также необходимо определить роль противоопухолевого лечения ВМФО, сравнить результаты ХТ с таргетной терапией при нерезектабельных, мультифокальных и метастатических ВМФО [7, 26, 28, 33]. Тем не менее существует стандарт диагностики и лекарственного лечения, рекомендуемый Американской национальной сетью по борьбе с раком NCCN при ВМФО с транслокацией ALK (NCCN Version 2.2022, 08.06.2022) [46].
Таргетная терапия ингибиторами ALK все еще находится в стадии клинической разработки и оценки результатов лечения [7, 34, 47]. Кроме того, оптимальная продолжительность таргетной терапии остается неизвестной [31].
Заключение
Клиническое наблюдение демонстрирует, что при ВМФО легкого может развиться мультиорганное метахронное метастазирование, несмотря на морфологические характеристики доброкачественной опухоли. Лечение ВМФО эволюционировало, включив в терапию ингибиторы тирозинкиназы и новые целевые терапевтические средства. Но не существует стандарта оказания медицинской помощи при нерезектабельной и метастазирующей ВМФО, как в приведенном нами клиническом наблюдении пациентки с ALK-отрицательной опухолью легкого, у которой отсутствовали и другие мутации. Отсутствие мутаций в первичной и метастатической опухоли у пациентки не позволило нам аргументированно провести лечение ингибиторами тирозинкиназы – лечение назначено как «терапия отчаяния» с пониманием высокой вероятности отсутствия положительного ответа на лечение. Клиническое наблюдение злокачественного течения ВМФО легкого ставит под сомнение его доброкачественный характер, несмотря на отсутствие морфологических данных о наличии злокачественной опухоли. Аналогичные случаи всегда следует обсуждать мультидисциплинарно с участием специалистов по лечению сарком.
***
Раскрытие интересов. Авторы декларируют отсутствие явных и потенциальных конфликтов интересов, связанных с публикацией настоящей статьи.
Disclosure of interest. The authors declare that they have no competing interests.
Вклад авторов. Авторы декларируют соответствие своего авторства международным критериям ICMJE. Все авторы в равной степени участвовали в подготовке публикации: разработка концепции статьи, получение и анализ фактических данных, написание и редактирование текста статьи, проверка и утверждение текста статьи.
Authors’ contribution. The authors declare the compliance of their authorship according to the international ICMJE criteria. All authors made a substantial contribution to the conception of the work, acquisition, analysis, interpretation of data for the work, drafting and revising the work, final approval of the version to be published and agree to be accountable for all aspects of the work.
Источник финансирования. Авторы декларируют отсутствие внешнего финансирования для проведения исследования и публикации статьи.
Funding source. The authors declare that there is no external funding for the exploration and analysis work.
Информированное согласие на публикацию. Пациент подписал форму добровольного информированного согласия на публикацию медицинской информации.
Consent for publication. Written consent was obtained from the patient for publication of relevant medical information and all of accompanying images within the manuscript.
About the authors
Marina D. Budurova
Hertsen Moscow Oncology Research Institute – branche of the National Medical Research Radiological Centre; Russian University of Medicine
Author for correspondence.
Email: m.budurova@rambler.ru
ORCID iD: 0000-0003-1391-0516
D. Sci. (Med.)
Russian Federation, Moscow; MoscowVladimir S. Trifanov
Hertsen Moscow Oncology Research Institute – branche of the National Medical Research Radiological Centre; People’s Friendship University of Russia (RUDN University)
Email: trifan1975@yandex.ru
ORCID iD: 0000-0003-1879-6978
Department Head
Russian Federation, Moscow; MoscowVladimir A. Bagrov
Hertsen Moscow Oncology Research Institute – branche of the National Medical Research Radiological Centre
Email: m.budurova@rambler.ru
ORCID iD: 0000-0002-0461-1146
Cand. Sci. (Med.)
Russian Federation, MoscowMikhail V. Lozhkin
Moscow State Budgetary Healthcare Institution “Moscow City Oncological Hospital No. 1” of the Moscow Department of Healthcare
Email: m.budurova@rambler.ru
ORCID iD: 0000-0003-1125-1131
surgeon
Russian Federation, MoscowMaria A. Chernichenko
Hertsen Moscow Oncology Research Institute – branche of the National Medical Research Radiological Centre
Email: mashustic04@mail.ru
ORCID iD: 0000-0002-2427-9232
Cand. Sci. (Med.)
Russian Federation, MoscowVictoria S. Surkova
Hertsen Moscow Oncology Research Institute – branche of the National Medical Research Radiological Centre
Email: m.budurova@rambler.ru
ORCID iD: 0000-0002-2674-0416
pathologist
Russian Federation, MoscowSergey I. Poluektov
Hertsen Moscow Oncology Research Institute – branche of the National Medical Research Radiological Centre
Email: Poluektovsi@yandex.ru
ORCID iD: 0000-0001-7603-4221
Cand. Sci. (Med.)
Russian Federation, MoscowLiudmila N. Lyubchenko
Hertsen Moscow Oncology Research Institute – branche of the National Medical Research Radiological Centre
Email: m.budurova@rambler.ru
ORCID iD: 0000-0002-9157-3589
D. Sci. (Med.)
Russian Federation, MoscowReferences
- Coffin CM, Hornick JL, Fletcher CDM. Inflammatory myofibroblastic tumor: comparison of clinicopathologic, histologic, and immunohistochemical features including ALK expression in atypical and aggressive cases. Am J Surg Pathol. 2007;31(4):509-20. doi: 10.1097/01.pas.0000213393.57322.c7
- Пикин О.В., Рябов А. Б., Волченко Н. Н., и др. Миофибробластические опухоли легких. Онкология. Журнал им. П. А. Герцена. 2017;6(1):57-61 [Pikin OV, Ryabov AB, Volchenko NN, et al. Myofibroblastic tumors of the lung. P. A. Herzen Journal of Oncology. 2017;6(1):57-61 (in Russian)]. doi: 10.17116/onkolog20176157-61
- Filips A, Maurer MH, Montani M, et al. Inflammatory myofibroblastic tumor of the liver: A case report and review of literature. World J Hepatol. 2020;12(4):170-83. doi: 10.4254/wjh.v12.i4.170
- Mahajan P, Casanova M, Ferrari A, et al. Inflammatory myofibroblastic tumor: molecular landscape, targeted therapeutics, and remaining challenges. Curr Probl Cancer. 2021;45(4):100768. doi: 10.1016/j.currproblcancer.2021.100768
- Огнерубов Н.А., Улитина Е. Д. Миофибробластома молочной железы: клинический случай. Вестник Тамбовского университета. 2013;18(6-2):3303-5 [Ognerubov NA, Ulitina ED. Miofibroblastom of breast: clinical case. Tambov University Review. 2013;18(6-2):3303-5 (in Russian)].
- Mariño-Enríquez A, Wang WL, Roy A, et al. Epithelioid inflammatory myofibroblastic sarcoma: An aggressive intra-abdominal variant of inflammatory myofibroblastic tumor with nuclear membrane or perinuclear ALK. Am J Surg Pathol. 2011;35(1):135-44. doi: 10.1097/PAS.0b013e318200cfd5
- Casanova M, Brennan B, Alaggio R, et al. Inflammatory myofibroblastic tumor: The experience of the European pediatric Soft Tissue Sarcoma Study Group (EpSSG). Eur J Cancer. 2020;127:123-9. doi: 10.1016/j.ejca.2019.12.021
- WHO Classification of Tumours of Soft Tissue and Bone. Edited by Fletcher CDM, Bridge JA, Hogendoorn P, Mertens F. IARC WHO Classification of Tumours. 4th edition. V. 5. 2013. Available at: https://publications.iarc.fr/Book-And-Report-Series/Who-Classification-Of-Tumours/WHO-Classification-Of-Tumours-Of-Soft-Tissue-And-Bone-2013. Accessed: 26.05.2023.
- Alaggio R, Cecchetto G, Bisogno G, et al. Inflammatory myofibroblastic tumors in childhood: a report from the Italian Cooperative Group studies. Cancer. 2010;116(1):216-26. doi: 10.1002/cncr.24684
- Coffin CM, Watterson J, Priest JR, Dehner LP. Extrapulmonary inflammatory myofibroblastic tumor (inflammatory pseudotumor). A clinicopathologic and immunohistochemical study of 84 cases. Am J Surg Pathol. 1995;19(8):859-72. doi: 10.1097/00000478-199508000-00001
- Dong A, Wang Y, Dong H, et al. Inflammatory myofibroblastic tumor: FDG PET/CT findings with pathologic correlation. Clin Nucl Med. 2014;39(2):113-21. doi: 10.1097/RLU.0b013e3182952caa
- Lovly CM, Gupta A, Lipson D, et al. Inflammatory myofibroblastic tumors harbor multiple potentially actionable kinase fusions. Cancer Discov. 2014;4(8):889-95. doi: 10.1158/2159-8290.CD-14-0377
- Antonescu CR, Suurmeijer AJH, Zhang L, et al. Molecular characterization of inflammatory myofibroblastic tumors with frequent ALK and ROS1 gene fusions and rare novel RET rearrangement. Am J Surg Pathol. 2015;39(7):957-67. doi: 10.1097/PAS.0000000000000404
- Alassiri AH, Ali RH, Shen Y, et al. ETV6-NTRK3 Is Expressed in a Subset of ALK-Negative Inflammatory Myofibroblastic Tumors. Am J Surg Pathol. 2016;40(8): 1051-61. doi: 10.1097/PAS.0000000000000677
- Pavlick D, Schrock AB, Malicki D, et al. Identification of NTRK fusions in pediatric mesenchymal tumors. Pediatr Blood Cancer. 2017;64(8):e26433. doi: 10.1002/pbc.26433
- Preobrazhenskaya EV, Iyevleva AG, Suleymanova AM, et al. Gene rearrangements in consecutive series of pediatric inflammatory myofibroblastic tumors. Pediatr Blood Cancer. 2020;67(5):e28220. doi: 10.1002/pbc.28220
- Chang JC, Zhang L, Drilon AE, et al. Expanding the Molecular Characterization of Thoracic Inflammatory Myofibroblastic Tumors beyond ALK Gene Rearrangements. J Thorac Oncol. 2019;14(5):825-34. doi: 10.1016/j.jtho.2018.12.003
- Mittal A, Gupta A, Dhamija E, et al. Sustained complete response on crizotinib in primary lung inflammatory myofibroblastic tumor – Case report and literature review. Monaldi Arch Chest Dis. 2021;91(3). doi: 10.4081/monaldi.2021.1586
- Cerfolio RJ, Allen MS, Nascimento AG, et al. Inflammatory pseudotumors of the lung. Ann Thorac Surg. 1999;67(4):933-6. doi: 10.1016/s0003-4975(99)00155-1
- Debonis SA, Bongiovanni A, Pieri F, et al. ALK-negative lung inflammatory myofibroblastic tumor in a young adult: A case report and literature review of molecular alterations. Medicine (Baltimore). 2021;100(20): e25972. doi: 10.1097/MD.0000000000025972
- Jiang JY, Comsa M, Wong VCK, Mansberg R. Steroid responsive inflammatory myofibroblastic tumor of the lung evaluated by FDG PET/CT imaging. Radiol Case Rep. 2022;17(3):907-10. doi: 10.1016/j.radcr.2021.11.049
- Applebaum H, Kieran MW, Cripe TP, et al. The rationale for nonsteroidal anti-inflammatory drug therapy for inflammatory myofibroblastic tumors: a Children’s Oncology Group study. J Pediatr Surg. 2005;40(6):999-1003. doi: 10.1016/j.jpedsurg.2005.03.016
- Grünholz D, Appiani F, Abarca C, et al. Peritoneal myofibroblastic tumor successfully treated with infliximab: Report of one case. Rev Med Chil. 2015;143(7):943-7 (in Spanish). doi: 10.4067/S0034-98872015000700017
- Schaeffer CJ, Minai OA, Sharma N, et al. Inflammatory myofibroblastic tumor of the lung: recurrence after steroid treatment. J Thorac Imaging. 2008;23(3):191-3. doi: 10.1097/RTI.0b013e31816591a4
- Panigada S, Sacco O, Girosi D, et al. Corticosteroids may favor proliferation of thoracic inflammatory myofibroblastic tumors. Pediatr Pulmonol. 2014;49(3):E109-11. doi: 10.1002/ppul.22977
- Baldi GG, Brahmi M, Lo Vullo S, et al. The Activity of Chemotherapy in Inflammatory Myofibroblastic Tumors: A Multicenter, European Retrospective Case Series Analysis. Oncologist. 2020;25(11):e1777-84. doi: 10.1634/theoncologist.2020-0352
- Butrynski JE, D’Adamo DR, Hornick JL, et al. Crizotinib in ALK-rearranged inflammatory myofibroblastic tumor. N Engl J Med. 2010;363(18):1727-33. doi: 10.1056/NEJMoa1007056
- Schöffski P, Sufliarsky J, Gelderblom H, et al. Crizotinib in patients with advanced, inoperable inflammatory myofibroblastic tumours with and without anaplastic lymphoma kinase gene alterations (European Organisation for Research and Treatment of Cancer 90101 CREATE): a multicentre, single-drug, prospective, non-randomised phase 2 trial. Lancet Respir Med. 2018;6(6):431-41. doi: 10.1016/S2213-2600(18)30116-4
- Trahair T, Gifford AJ, Fordham A, et al. Crizotinib and Surgery for Long-Term Disease Control in Children and Adolescents With ALK-Positive Inflammatory Myofibroblastic Tumors. JCO Precis Oncol. 2019;3:PO.18.00297. doi: 10.1200/PO.18.00297
- Theilen TM, Soerensen J, Bochennek K, et al. Crizotinib in ALK+ inflammatory myofibroblastic tumors – Current experience and future perspectives. Pediatr Blood Cancer. 2018;65(4):e26920. doi: 10.1002/pbc.26920
- Alan O, Kuzhan O, Koca S, et al. How long should we continue crizotinib in ALK translocation-positive inflammatory myofibroblastic tumors? Long-term complete response with crizotinib and review of the literature. J Oncol Pharm Pract. 2020;26(4):1011-8. doi: 10.1177/1078155219879757
- Mai S, Xiong G, Diao D, et al. Case report: Crizotinib is effective in a patient with ROS1-rearranged pulmonary inflammatory myofibroblastic tumor. Lung Cancer. 2019;128:101-4. doi: 10.1016/j.lungcan.2018.12.016
- Mossé YP, Voss SD, Lim MS, et al. Targeting ALK With Crizotinib in Pediatric Anaplastic Large Cell Lymphoma and Inflammatory Myofibroblastic Tumor: A Children’s Oncology Group Study. J Clin Oncol. 2017;35(28):3215-21. doi: 10.1200/JCO.2017.73.4830
- Peters S, Camidge DR, Shaw AT, et al; ALEX Trial Investigators. Alectinib versus Crizotinib in Untreated ALK-Positive Non-Small-Cell Lung Cancer. N Engl J Med. 2017;377(9):829-38. doi: 10.1056/NEJMoa1704795
- Gambacorti-Passerini C, Mussolin L, Brugieres L. Abrupt relapse of ALK-positive lymphoma after discontinuation of crizotinib. N Engl J Med. 2016;374(1):95-6. doi: 10.1056/NEJMc1511045
- Du X, Gao Y, Zhao H, et al. Clinicopathological analysis of epithelioid inflammatory myofibroblastic sarcoma. Oncol Lett. 2018;15(6):9317-26. doi: 10.3892/ol.2018.8530
- Panagiotopoulos N, Patrini D, Gvinianidze L, et al. Inflammatory myofibroblastic tumour of the lung: a reactive lesion or a true neoplasm? J Thorac Dis. 2015;7(5):908-11. doi: 10.3978/j.issn.2072-1439.2015.04.60
- Fabre D, Fadel E, Singhal S, et al. Complete resection of pulmonary inflammatory pseudotumors has excellent long-term prognosis. J Thorac Cardiovasc Surg. 2009;137(2):435-40. doi: 10.1016/j.jtcvs.2008.07.009
- Fordham AM, Xie J, Gifford AJ, et al. CD30 and ALK combination therapy has high therapeutic potency in RANBP2-ALK-rearranged epithelioid inflammatory myofibroblastic sarcoma. Br J Cancer. 2020;123(7):1101-13. doi: 10.1038/s41416-020-0996-2
- Schulte JH, Moreno L, Ziegler DS, et al. Final analysis of phase I study of ceritinib in pediatric patients with malignancies harboring activated anaplastic lymphoma kinase (ALK). JCO. 2020;38(15_suppl.):10505. doi: 10.1200/JCO.2020.38.15_suppl.10505
- Brivio E, Zwaan CM. ALK inhibition in two emblematic cases of pediatric inflammatory myofibroblastic tumor: Efficacy and side effects. Pediatr Blood Cancer. 2019;66(5):e27645. doi: 10.1002/pbc.27645
- Drilon A, Laetsch TW, Kummar S, et al. Efficacy of Larotrectinib in TRK Fusion-Positive Cancers in Adults and Children. N Engl J Med. 2018;378(8):731-9. doi: 10.1056/NEJMoa1714448
- Liu D, Offin M, Harnicar S, et al. Entrectinib: an orally available, selective tyrosine kinase inhibitor for the treatment of NTRK, ROS1, and ALK fusion-positive solid tumors. Ther Clin Risk Manag. 2018;14:1247-52. doi: 10.2147/TCRM.S147381
- Cottrell TR, Duong AT, Gocke CD, et al. PD-L1 expression in inflammatory myofibroblastic tumors. Mod Pathol. 2018;31(7):1155-63. doi: 10.1038/s41379-018-0034-6
- Cha YJ, Shim HS. PD-L1 expression and CD8+ tumor-infiltrating lymphocytes are associated with ALK rearrangement and clinicopathological features in inflammatory myofibroblastic tumors. Oncotarget. 2017;8(52):89465-74. doi: 10.18632/oncotarget.20948
- Horbinski C, Nabors LB, Portnow J, et al. NCCN Guidelines® Insights: Central Nervous System Cancers, Version 2.2022. J Natl Compr Canc Netw. 2023;21(1):12-20. doi: 10.6004/jnccn.2023.0002
- Pérol M, Pavlakis N, Levchenko E, et al. Patient-reported outcomes from the randomized phase III ALEX study of alectinib versus crizotinib in patients with ALK-positive non-small-cell lung cancer. Lung Cancer. 2019;138:79-87. doi: 10.1016/j.lungcan.2019.10.002
Supplementary files







