Relationship of the integrin profile of the primary tumor to metastasis to regional lymph nodes in breast cancer
- Authors: Zavyalova M.V.1,2, Kuznecov G.A.2, Grigoryeva E.S.1, Tashireva L.A.1, Pismenny D.S.1,2, Perelmuter V.M.1
 - 
							Affiliations: 
							
- Tomsk National Research Medical Center
 - Siberian State Medical University
 
 - Issue: Vol 25, No 3 (2023)
 - Pages: 330-335
 - Section: CLINICAL ONCOLOGY
 - Submitted: 22.05.2023
 - Accepted: 28.09.2023
 - Published: 10.10.2023
 - URL: https://modernonco.orscience.ru/1815-1434/article/view/430313
 - DOI: https://doi.org/10.26442/18151434.2023.3.202411
 - ID: 430313
 
Cite item
Full Text
Abstract
Background. Breast cancer ranks first in the structure of cancer morbidity and mortality. Involvement of a large number of regional lymph nodes is considered a poor prognostic outcome. The mechanisms of development of lymphogenous metastasis in general and common in particular are not fully understood. Integrins are involved in the metastatic process by mediating tumor cell invasion and adhesion to vascular endothelium.
Aim. To study the role of integrins in lymphogenous metastasis.
Materials and methods. The study included 72 patients diagnosed with invasive breast carcinoma of no special type who underwent surgical treatment on the basis of the cancer research institute national research medical center. The average age reached 51.2 years. In accordance with the indications and morphological data, the patients underwent antitumor treatment. The tissue of the primary tumor obtained by trepanbiopsy. Histological and immunohistochemical examination was carried out according to the standard method. In primary tumor cells, the presence or absence of cytoplasmic or membrane/cytoplasmic colocalization of CD61 (Integrin beta 3), CD104 (Integrin beta 4), CD51 (Integrin alpha-V) expression was assessed. When statistically processing the results, Fisher's test and one-way regression analysis were used.
Results. In the N3 group, the frequency of cytoplasmic expression of CD 61 was higher at the trend level (40.9 and 18%; p=0.074). In the group of patients with N3, positive cytoplasmic expression of CD104 (37.5 and 15.0%; p=0.029) and membrane and cytoplasmic colocalization (52.6 and 15.1%; p=0.004) were more often detected. In the group with N1 and N2, membrane and cytoplasmic colocalization of CD104 expression was less common (15.8 and 54.7%; p=0.006). When studying the expression frequency of CD51 integrin, no significant differences were found depending on the severity of lymphogenous metastasis.
Conclusion. Expression of CD104 in primary tumor cells is strongly associated with widespread lymphogenous metastasis. Studies of the role of integrins in the development of lymphogenous metastasis are promising for predicting the prevalence of this process in the preoperative period and for searching for methods of influencing the tumor.
Keywords
Full Text
Введение
В структуре онкологической заболеваемости на протяжении многих лет первое место занимает рак молочной железы (РМЖ), который, несмотря на успехи современной онкологии, является одной из ведущих причин смерти от злокачественных новообразований у женщин [1]. Прогностически неблагоприятным считают поражение лимфатических узлов, соответствующее критерию N3. Механизмы, которые опосредуют распространенное лимфогенное метастазирование, до конца не изучены. Одним из факторов, способствующих распространенному поражению лимфатических узлов, считают поражение сторожевого лимфатического узла. Затруднение лимфотока, как полагают, приводит к перенаправлению тока лимфы от опухоли по вновь развитым коллатеральным лимфатическим сосудам. Обход метастатических лимфоузлов с повышенным внутриузловым давлением приводит к вовлечению регионарных лимфоузлов следующего эшелона. Такие изменения наблюдаются при РМЖ [2, 3].
В реализации метастатического потенциала имеют значение различные тканевые и молекулярные факторы, характеризующие состояние первичной опухоли. Интегрины обес- печивают взаимодействие клеток между собой, с базальной мембраной и внеклеточным матриксом. При злокачественных процессах интегрины являются важным звеном в механизмах миграции, инвазии и метастазировании. Интегрины разнообразны и включают 24 разных варианта в зависимости от разной комбинации α- и β-субъединиц.
CD61 (интегрин β3) представляет собой трансмембранный белок, экспрессируемый на поверхности тромбоцитов, который участвует в образовании тромбов [4]. Благодаря связыванию интегрина β3 с лигандом тенасцином С, который продуцируется клетками РМЖ, происходит самообновление стволовых клеток и усиление метастазирования [5].
CD104 (интегрин β4) в составе гетеродимера α6β4 распознает ламинины – белки базальной мембраны [6]. Показано, что ITGB4+ клетки трижды негативного рака обогащены стволовыми клетками и находятся в гибридном эпителиально-мезенхимальном фенотипическом состоянии [7].
CD51 (интегрин αV) включены в пять гетеродимерных интегринов [8]. Интегрин αV в составе гетеродимера αvβ3 при карциномах молочной железы, легких и поджелудочной железы перепрограммирует опухолевые клетки в фенотип стволовости с соответствующими свойствами, включая инициацию опухоли и самообновление [9].
Описанные свойства трех интегринов позволяют предполагать их причастность к лимфогенному метастазированию.
Материалы и методы
Изучался биопсийный материал от 72 больных с неспеци- фицированной инвазивной протоковой карциномой молочной железы T1-4N0-3M0-1, проходивших лечение в клиниках ФГБНУ «Томский НИМЦ» в период с 2015 по 2021 г. Средний возраст составил 51±12 лет.
Неоадъювантную терапию получали 10 (13,9%) больных в режиме АС (доксорубицин 60 мг/м внутривенно в 1-й день + циклофосфамид 600 мг/м внутривенно в 1-й день 1 раз в 2 нед, 4 цикла). Оперативное лечение выполняли в объеме радикальной мастэктомии с резекцией молочной железы в срок до 7 нед после окончания неоадъювантной химиотерапии (НАХТ). Для определения показаний к лимфодиссекции во время операции исследовали состояние сторожевых лимфоузлов.
По клиническим показаниям 7 (9,7%) пациенток получали интраоперационную лучевую терапию в суммарной очаговой дозе 10 Гр. После операции 25 (35%) больным выполнена дистанционная лучевая терапия на послеоперационный рубец и зоны регионального лимфооттока в суммарной очаговой дозе 60 Гр. По клиническим показаниям 49 (12,5%) больных получали адьювантную химиотерапию, 35 (49%) больных – гормонотерапию и 21 (29%) пациентка – таргетную терапию.
Исследовалась ткань первичной опухоли, полученная методом трепанобиопсии под навигационным ультразвуковым контролем, до начала лечения пациенток. Заключительный патоморфологический диагноз устанавливался согласно классификации Всемирной организации здравоохранения 2019 г. [10] и TNM-8 классификации Союза по международному противораковому контролю [11].
Гистологическое и иммуногистохимическое исследования проводились по стандартной методике. Оценивалась степень дифференцировки опухоли по Ноттингемской модификации системы Скарфа–Блума–Ричардсона [12]. Для иммуногистохимического исследования использовались антитела Estrogen receptor (клон 1D5, Dako), Progesteron receptor (клон PgR636, Dako), c-erB-2 (Her2/neu) (Polyclonal Rabbit, Dako), Ki 67 (клон SP6, Cell Marque), CD61 (Integrin beta 3, клон JE22-64, Invitrogen, разведение 1:100), CD104 (Integrin beta 4, клон JM11-06, Invitrogen, разведение 1:200), CD51 (Integrin alpha-V, поликлональные, Invitrogen, разведение 1:600).
На основании изучения экспрессии рецепторов к эстрогену, прогестерону, HER2, Ki67 устанавливали люминальный А, люминальный В HER2-отрицательный, люминальный В HER2-положительный, HER2-положительный (не люминальный) и базальноподобный (тройной негативный) молекулярно-биологические подтипы РМЖ. У всех обследованных лиц получено добровольное информированное согласие в соответствии с требованиями локального этического комитета ФГБОУ ВО СибГМУ (протокол №8952 от 24 января 2022 г.).
В исследование вошли 50 больных с наличием метастатического поражения регионарных лимфоузлов. Группу сравнения составили 22 пациентки без метастазов в регионарных лимфоузлах (N0). Факт наличия или отсутствия метастазов в регионарных лимфоузлах устанавливался при исследовании операционного материала. Ткань опухоли, анализируемая морфологически, не подвергалась воздействию терапии. Гематогенные метастазы присутствовали до начала лечения. Характеристика исследуемых групп приведена в табл. 1.
Таблица 1. Характеристика исследуемых групп больных Table 1. Characteristics of the groups of patients  | |||
Параметр  | Метастазы в регионарные лимфоузлы  | р  | |
нет (n=22)  | есть (n=50)  | ||
Возраст, Me [Q1; Q3]  | 0,570  | ||
Характеристика первичного опухолевого узла, абс. (%)  | |||
Т1  | 6/22 (27)  | 8/50 (16)  | 0,280  | 
Т2  | 14/22 (64)  | 24/50 (48)  | 0,214  | 
Т3  | 1/22 (4,5)  | 4/50 (8)  | 0,592  | 
Т4  | 1/22 (4,5)  | 14/50 (28)  | 0,023  | 
Степень злокачественности, абс. (%)  | |||
G1  | 0/22 (0)  | 4/50 (8)  | 0,177  | 
G2  | 20/22 (91)  | 45/50 (90)  | 0,895  | 
G3  | 2/22 (9)  | 1/50 (2)  | 0,174  | 
Молекулярно-генетический тип, абс. (%)  | |||
Люминальный А  | 4/22 (18)  | 9/50 (18)  | 1,000  | 
Люминальный В HER2-отрицательный  | 12/22 (54)  | 23/50 (46)  | 0,534  | 
Люминальный В HER2-положительный  | 3/22 (14)  | 8/50 (16)  | 0,829  | 
HER2-положительный (не люминальный)  | 3/22 (14)  | 4/50 (8)  | 0,434  | 
Базальноподобный (тройной негативный)  | 0/22 (0)  | 6/50 (12)  | 0,094  | 
НАХТ  | 4/10 (40)  | 6/10 (60)  | 0,371  | 
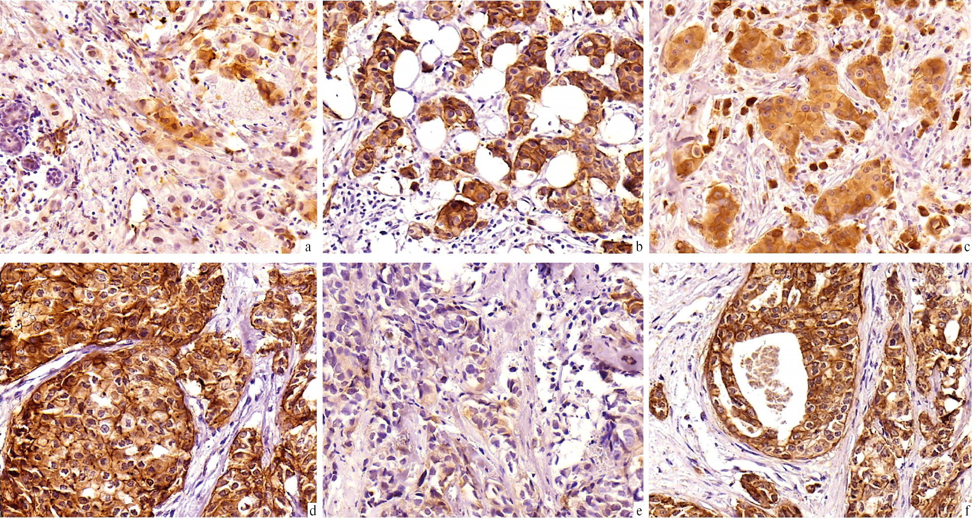
Группы больных с наличием метастазов в лимфоузлах и без метастазов являлись сопоставимыми по основным клинико-морфологическим характеристикам. В клетках первичной опухоли оценивалось наличие или отсутствие цитоплазматической экспрессии или мембранной/цитоплазматической колокализации экспрессии CD61, CD104, CD51 (рис. 1).
Рис. 1. Экспрессия интегринов в первичной опухоли: a – цитоплазматическая экспрессия CD61; b – цитоплазматическая/мембранная колокализация экспрессии CD61; c – цитоплазматическая экспрессия CD104; d – цитоплазматическая/мембранная колокализация экспрессии CD104; e – цитоплазматическая экспрессия CD51; f – цитоплазматическая/мембранная колокализация экспрессии CD51. ×400.
Fig. 1. Expression of integrins in the primary tumor: a – cytoplasmic expression of CD61; b – cytoplasmic/membrane colocalization of CD61 expression; c – cytoplasmic expression of CD104; d – cytoplasmic/membrane colocalization of CD104 expression; e – cytoplasmic expression of CD51; f – cytoplasmic/membrane colocalization of expression CD51. ×400.
Статистическая обработка результатов проводилась с применением пакета программ Statisticа 10.0. Сравнение частоты выявления признаков выполнялось с использованием двустороннего критерия Фишера. Для проверки значимости рассматриваемых факторов в развитии лимфогенного метастазирования применяли однофакторный и многофакторный регрессионный анализ. Различия считали статистически значимыми при p<0,05.
Результаты
Частота обнаружения гематогенных метастазов зависела от выраженности лимфогенного метастазирования. Гематогенные метастазы редко возникали при N0 и чаще обнаруживались при N3.
При наличии метастазов в регионарных лимфоузлах с выраженностью N1 или N2 гематогенные метастазы выявлялись с равной частотой при наличии и отсутствии поражения лимфатических узлов (табл. 2).
Таблица 2. Связь выраженности лимфогенного метастазирования с развитием гематогенных метастазов Table 2. The relationship between lymphogenous metastasis and the development of hematogenous metastases  | |||
Выраженность лимфогенного метастазирования  | Нет гематогенных метастазов (n=49), абс. (%)  | Есть гематогенные метастазы (n=23), абс. (%)  | p  | 
N0  | 21 (43)  | 1 (4)  | 0,0008  | 
N1, N2  | 20 (40,8)  | 12 (52)  | 0,448  | 
N3  | 8 (16)  | 10 (44)  | 0,0197  | 
Частота обнаружения метастазов в регионарные лимфоузлы не зависела от возраста, степени злокачественности опухоли, молекулярного типа опухоли. Наличие и отсутствие метастазов в регионарных лимфоузлах наблюдалось с одинаковой частотой в группе с проведенной НАХТ. Вместе с тем при Т4 метастазы в регионарные лимфоузлы встречались чаще.
Изучались особенности экспрессии CD61, CD104 и CD51 в группах с наличием и отсутствием метастазов в регионарных лимфоузлах, а также с разной выраженностью лимфогенного метастазирования, оцениваемой по критерию N. Мембранная/цитоплазматическая колокализация экспрессии CD61 не связана ни с наличием, ни с выраженностью лимфогенного метастазирования. Позитивная цитоплазматическая экспрессия оказалась выше в группе с выраженным лимфогенным метастазированием (N3) на уровне тенденции (40,9 и 18%; p=0,074); рис. 2.
Рис. 2. Особенности экспрессии CD61, CD104 и CD51 в группах с наличием и отсутствием метастазов в регионарных лимфоузлах, а также с разной выраженностью лимфогенного метастазирования: a – частота встречаемости метастазов в регионарных лимфоузлах в зависимости от экспрессии CD61; b – частота с N0, N1,2, N3 в зависимости от цитоплазматической экспрессии CD61; c – частота с N0, N1,2, N3 в зависимости от цитоплазматической и мембранной коэкспрессиии CD61.
Fig. 2. Features of CD61, CD104, and CD51 expression in groups with and without metastases in regional lymph nodes, as well as with different severity of lymphogenic metastasis: a – the frequency of lymphogenous metastasis depending on the expression of CD61; b – frequency with N0, N1,2, N3 depending on the cytoplasmic expression of CD61; c – frequency with N0, N1,2, N3 depending on cytoplasmic and membrane co-expression of CD61.
Частота встречаемости цитоплазматической экспрессии и мембранной/цитоплазматической колокализации экспрессии CD104 не различалась в группах больных с наличием или отсутствием метастазов в регионарных лимфоузлах. В то же время обнаружены особенности экспрессии указанного параметра, являющегося рецептором ламинина, в зависимости от выраженности лимфогенного метастазирования. Так, в группе больных с более выраженным вариантом регионального метастазирования (N3) чаще обнаруживались случаи с позитивной цитоплазматической экспрессией CD104 в сравнении со случаями, когда подобного рода экспрессия отсутствовала (37,5 и 15,0%; p=0,029). Подобного рода закономерность определялась также в отношении мембранной и цитоплазматической колокализации экспрессии CD104 (52,6 и 15,1%; p=0,004). Более частая экспрессия CD104 в случаях с N3 контрастировала с обратной ассоциацией: при N1,2 случаи с экспрессией CD104 встречались реже (15,8 и 54,7%; p=0,006); рис. 3.
Рис. 3. Частота встречаемости цитоплазматической экспрессии и мембранной/цитоплазматической колокализации экспрессии CD104 в группах больных с наличием или отсутствием метастазов в регионарных лимфоузлах: a – частота встречаемости метастазов в регионарных лимфоузлах в зависимости от экспрессии CD104; b – частота с N0, N1,2, N3 в зависимости от цитоплазматической экспрессии CD104; c – частота с N0, N1,2, N3 в зависимости от цитоплазматической и мембранной коэкспрессиии CD104.
Fig. 3. The frequency of cytoplasmic expression and membrane/cytoplasmic colocalization of CD104 expression in patients with or without metastases in regional lymph nodes: a – the frequency of lymphogenous metastasis depending on the expression of CD104; b – frequency with N0, N1,2, N3 depending on the cytoplasmic expression of CD104; c – frequency with N0, N1,2, N3 depending on cytoplasmic and membrane co-expression of CD104.
Связь колокализации интегрина CD104 с большей частотой лимфогенного метастазирования подтверждается результатом однофакторного регрессионного анализа. При таком варианте экспрессии CD104 риск метастазирования увеличивался в 6 раз [отношение шансов 6,25 (1,93–20,2); p=0,0022].
Частота обнаружения негативной или позитивной цитоплазматической экспрессии или мембранной/цитоплазматической колокализации CD51 не различалась в группах больных в зависимости от наличия или выраженности лимфогенного метастазирования (рис. 4).
Рис. 4. Частота обнаружения негативной или позитивной цитоплазматической экспрессии или мембранной/цитоплазматической колокализации CD51 в группах больных в зависимости от наличия или выраженности лимфогенного метастазирования: a – частота встречаемости метастазов в регионарных лимфоузлах в зависимости от экспрессии CD51; b – частота с N0, N1,2, N3 в зависимости от цитоплазматической экспрессии CD51; c – частота с N0, N1,2, N3 в зависимости от цитоплазматической и мембранной коэкспрессии CD51.
Fig. 4. The frequency of negative or positive cytoplasmic expression or membrane/cytoplasmic colocalization of CD51 in patient groups, depending on the presence
or severity of lymphogenic metastasis: a – the frequency of lymphogenous metastasis depending on the expression of CD51; b – frequency with N0, N1,2, N3 depending
on the cytoplasmic expression of CD51; c – frequency with N0, N1,2, N3 depending on cytoplasmic and membrane co-expression and CD51.
Обсуждение
Результаты исследования позволяют, на наш взгляд, предполагать, что для отсутствия гематогенных метастазов большее значение имеет отрицательный статус лимфатических узлов, чем факт наличия метастазов в лимфатических узлах, так как при N1 и N2 частота гематогенного метастазирования является одинаковой.
Подтвердился известный феномен большей частоты возникновения гематогенных метастазов при N3. В связи с этим важна оценка значения в этих процессах экспрессии в клетках карциномы молочной железы исследуемых интегринов. Как выяснилось, экспрессия интегринов CD61, CD104 и CD51 с любым вариантом локализации в опухолевой клетке не связана с риском лимфогенного метастазирования. Это можно интерпретировать как свидетельство отсутствия значимой роли этих интегринов в интравазации опухолевых клеток в лимфатические сосуды и колонизации ими лимфатических узлов. С другой стороны, результаты свидетельствуют о существенных различиях в механизмах инициации метастазов в регионарных лимфоузлах и распространенности поражения лимфатических узлов. Экспрессия интегрина CD104 оказалась связанной с наибольшей выраженностью лимфогенного метастазирования. Относительный риск такого варианта метастазирования при колокализации CD104 в цитоплазме и мембране в 6 раз выше. В отличие от этого при N1, N2 случаи с экспрессией CD104 встречались реже. Результат может свидетельствовать о том, что низкая доля случаев с коэкспрессией CD104 ассоциирована с меньшей в 3,5 раза частотой лимфогенного метастазирования с выраженностью N1,2.
Каков же возможный механизм, лежащий в основе ассоциации экспрессии CD104 с вовлечением в метастатический процесс максимального количества лимфатических узлов? Интегрин с наличием субъединицы CD104 (α6β4) распознает внеклеточный лиганд ламинин, который окружает клетки, отделяя их от других клеток, и является компонентом базальной мембраны [6].
Потеря эпителиальной клеткой контакта с базальной мембраной, обязательная при метастазировании, препятствует пролиферации и стимулирует апоптоз (аноикис) [13]. Однако клетки опухоли могут избегать гибели благодаря синтезу белков базальной мембраны. Исследования N. Zahir и соавт. (2003 г.) показали, что α6β4 может опосредовать независимое от прикрепления выживание злокачественных эпителиальных клеток молочной железы благодаря стимуляции секреции ламинина-5 [14]. Такой процесс замещает потерю связи с базальной мембраной, восстанавливает способность к пролиферации и позволяет избежать аноикиса [15]. В результате подобные опухолевые клетки приобретают способность расти независимо от прикрепления к строме. Важным для обсуждения полученных результатов является то обстоятельство, что опосредует якорь-независимый рост (anchorage-independent growth) опухоли именно интегрин β4, активируя Shp2-Src-сигнальный путь. Причем, как полагают, приобретение способности к якорь-независимому росту содействует метастатическому распространению [15]. В трехмерных структурах, сформированных незлокачественными эпителиальными клетками молочной железы, α6β4 обеспечивает выживание, независимое от прикрепления эпителиальных клеток. Именно связывание интегрина α6β4 с ламинином стимулирует Rac и способствует устойчивости клеток к апоптозу в 3D ацинусах молочных желез посредством Pak-зависимой активации NF-κB [16]. Эти результаты поддерживают представления о значении β4 в якорь-независимом выживании как отдельных клеток, так и клеточных комплексов в 3D культурах. Важно учитывать данные о том, что именно коллективная инвазия ассоциирована с лимфогенным метастазированием [17].
Якорь-независимый рост является отличительной чертой стволовых клеток и прогрессии. Установлено, что и другие исследуемые в данной работе интегрины связаны и со стволовостью, и с якорь-независимым ростом. В карциномах молочной железы, легких и поджелудочной железы интегрин αvβ3 (CD51/СD61) перепрограммирует опухолевые клетки в фенотип стволовости с соответствующими свойствами, включая инициацию опухоли и самообновление [9]. Связь экспрессии αv-интегрина с фенотипом стволовости отмечена и в исследовании J. Cooper и соавт. (2019 г.). Авторы считают, что скопление интегринов на поверхности неадгезивных опухолевых клеток способствует якорь-независимому росту [18].
Можно предположить, что механизм, обусловливающий связь экспрессии CD104 c выраженной распространенностью метастазов в регионарных лимфоузлах (N3), включает следующие звенья (шаги): экспрессия клетками опухоли CD104 (β4), индукция экспрессии ламинина, якорь-независимость, позволяющая клеткам не фиксироваться в сторожевом лимфатическом узле, попадание в отдаленные лимфатические узлы, вероятность взаимодействия CD61(β4) одних клеток опухоли с ламинином на клеточной поверхности других, формирование многоклеточных кластеров, способных к якорь-независимому существованию, адгезия за пределами сторожевых лимфатических узлов и формирование метастазов на уровне N3. Это способствует развитию метастазов и ассоциированности экспрессии интегринов со стволовостью опухолевых клеток.
Заключение
В группе с наиболее продвинутым вариантом лимфогенного метастазирования (N3) чаще обнаруживались случаи с позитивной экспрессией CD104. Причем данная закономерность прослеживалась и в отношении цитоплазматической экспрессии, и мембранной/цитоплазматической колокализации экспрессии CD104. Изучение роли связанной с интегринами якорь-независимости опухолевых клеток в лимфогенном метастазировании перспективно как для прогноза распространенного лимфогенного метастазирования в предоперационном периоде, так и для поиска методов эффективного воздействия на опухоли, обладающие способностью к якорь-независимому функционированию.
Раскрытие интересов. Авторы декларируют отсутствие явных и потенциальных конфликтов интересов, связанных с публикацией настоящей статьи.
Disclosure of interest. The authors declare that they have no competing interests.
Вклад авторов. Авторы декларируют соответствие своего авторства международным критериям ICMJE. Все авторы в равной степени участвовали в подготовке публикации: разработка концепции статьи, получение и анализ фактических данных, написание и редактирование текста статьи, проверка и утверждение текста статьи.
Authors’ contribution. The authors declare the compliance of their authorship according to the international ICMJE criteria. All authors made a substantial contribution to the conception of the work, acquisition, analysis, interpretation of data for the work, drafting and revising the work, final approval of the version to be published and agree to be accountable for all aspects of the work.
Источник финансирования. Исследование было поддержано Российским научным фондом (грант №21-15-00140).
Funding source. The study was supported by the Russian Science Foundation (grant №21-15-00140).
Информированное согласие на публикацию. Пациенты подписали форму добровольного информированного согласия на публикацию медицинской информации.
Consent for publication. Written consent was obtained from the patients for publication of relevant medical information and all of accompanying images within the manuscript.
Соответствие принципам этики. Протокол исследования был одобрен локальным этическим комитетом ФГБОУ ВО СибГМУ (протокол №8952 от 24 января 2022 г.). Одобрение и процедуру проведения протокола получали по принципам Хельсинкской конвенции.
Ethics approval. The study was approved by the local ethics committee of Siberian State Medical University (protocol №8952 dated 24.01.2022). The approval and procedure for the protocol were obtained in accordance with the principles of the Helsinki Convention.
About the authors
Marina V. Zavyalova
Tomsk National Research Medical Center; Siberian State Medical University
														Email: zavyalovamv@mail.ru
				                	ORCID iD: 0000-0001-9429-9813
				                																			                								
d. sci. (med.), prof.
Russian Federation, TomskGleb A. Kuznecov
Siberian State Medical University
														Email: kuznetsov.gleb199710@gmail.com
				                					                																			                								
graduate student
Russian Federation, TomskEvgeniya S. Grigoryeva
Tomsk National Research Medical Center
														Email: grigoryeva.es@gmail.com
				                	ORCID iD: 0000-0003-4737-8951
				                																			                								
cand. sci. (med.)
Russian Federation, TomskLiubov A. Tashireva
Tomsk National Research Medical Center
														Email: lkleptsova@mail.ru
				                	ORCID iD: 0000-0003-2061-8417
				                																			                								
d. sci. (med.)
Russian Federation, TomskDmitry S. Pismenny
Tomsk National Research Medical Center; Siberian State Medical University
														Email: pismenniy.dmitry@yandex.ru
				                	ORCID iD: 0000-0001-8973-8439
				                																			                								
cand. sci. (med.)
Russian Federation, TomskVladimir M. Perelmuter
Tomsk National Research Medical Center
							Author for correspondence.
							Email: pvm@ngs.ru
				                	ORCID iD: 0000-0002-7633-9620
				                																			                								
d. sci. (med.), prof.
Russian Federation, TomskReferences
- Злокачественные новообразования в России в 2020 году (заболеваемость и смертность). Под ред. А.Д. Каприна, В.В. Старинского, А.О. Шахзадовой. М.: МНИОИ им. П.А. Герцена − филиал ФГБУ «НМИЦ радиологии» Минздрава России, 2021 [Zlokachestvennie novoobrazovaniia v Rossii v 2020 godu (zabolevaemost' i smertnost'). Pod red. AD Kaprina, VV Starinskogo, AO Shahzadovoi. Moscow: MNIOI im. P.A. Gercena − filial FGBU «NMIC radiologii» Minzdrava Rossii, 2021 (in Russian)].
 - Nathanson SD, Mahan M. Sentinel lymph node pressure in breast cancer. Ann Surg Oncol. 2011;18(13):3791-6. doi: 10.1245/s10434-011-1796-y
 - Karaman S, Detmar M. Mechanisms of lymphatic metastasis. J Clin Investig. 2014;124(3):922-8. doi: 10.1172/JCI71606
 - Cracolici V, Parilla M, Henriksen KJ, Cipriani NA. An evaluation of CD61 immunohistochemistry in identifcation of vascular invasion in follicular thyroid neoplasms. Head Neck Pathol. 2020;14:399-405. doi: 10.1007/s12105-019-01048-8
 - Xiong J, Yan L, Zou C, et al. Integrins regulate stemness in solid tumor: an emerging therapeutic target. J Hematol Oncol. 2021;14(1):1-18. doi: 10.1186/s13045-021-01192-1
 - Zent R, Pozzi A. Cell-extracellular matrix interactions in cancer. New York, 2010; p. 19-41.
 - Bierie B, Pierce SE, Kroeger C, et al. Integrin-β4 identifies cancer stem cell-enriched populations of partially mesenchymal carcinoma cells. Proceed Nat Acad Sci. 2017;114(12):E2337-46. doi: 10.1073/pnas.1618298114
 - Kechagia JZ, Ivaska J, Roca-Cusachs P. Integrins as biomechanical sensors of the microenvironment. Nat Rev Mol Cell Biol. 2019;20(8):457-73. doi: 10.1038/s41580-019-0134-2
 - Seguin L, Kato S, Franovic A, et al. An integrin β3–KRAS–RalB complex drives tumour stemness and resistance to EGFR inhibition. Nat Cell Biol. 2014;16(5):457-68. doi: 10.1038/ncb2953
 - WHO Classification of Tumours Editorial Board. Breast tumours. Lyon (France): International Agency for Pesearch on Cancer; 2019. WHO classification of tumours series, 5th ed.; vol. 2. Available at: https://publications.iarc.fr/581. Accessed: 15.07.2022.
 - Bertero L, Massa F, Metovic J, et al. Eighth Edition of the UICC Classification of Malignant Tumours: an overview of the changes in the pathological TNM classification criteria – What has changed and why? Virchows Arch. 2018;472(4):519-31. doi: 10.1007/s00428-017-2276-y
 - Стенина М. Б., Жукова Л. Г., Королева И. А., и др. Практические рекомендации по лекарственному лечению рака молочной железы. Злокачественные опухоли: Практические рекомендации RUSSCO. 2020;10:3s2 [Stenina M B, Zhukova L G, Koroleva I A, et al. Prakticheskie rekomendacii po lekarstvennomu lecheniiu raka molochnoi zhelezy. Zlokachestvennie opuholi: Prakticheskie rekomendacii RUSSCO. 2020;10:3s2 (in Russian)]. DOI:10.18027 / 2224-5057-2020-10-3s2-09
 - Frisch SM, Screaton RA. Anoikis mechanisms. Curr Opin Cell Biol. 2001;13(5):555-62. doi: 10.1016/s0955-0674(00)00251-9.
 - Zahir N, Lakins JN, Russell A, et al. Autocrine laminin-5 ligates α6β4 integrin and activates RAC and NFκB to mediate anchorage-independent survival of mammary tumors. J Cell Biol. 2003;163(6):1397-407. doi: 10.1083/jcb.200302023
 - Bertotti A, Comoglio PM, Trusolino L. β4 integrin activates a Shp2-Src signaling pathway that sustains HGF-induced anchorage-independent growth. J Cell Biol. 2006;175(6):993-1003. doi: 10.1083/jcb.200605114
 - Friedland JC, Lakins JN, Kazanietz MG, et al. α6β4 integrin activates Rac-dependent p21-activated kinase 1 to drive NF-κB-dependent resistance to apoptosis in 3D mammary acini. J Cell Sci. 2007;120(20):3700-12. doi: 10.1242/jcs.03484
 - Giampieri S, Manning C, Hooper S, et al. Localized and reversible TGFβ signalling switches breast cancer cells from cohesive to single cell motility. Nat Cell Biol. 2009;11(11):1287-96. doi: 10.1038/ncb1973
 - Cooper J, Giancotti FG. Integrin signaling in cancer: mechanotransduction, stemness, epithelial plasticity, and therapeutic resistance. Cancer Cell. 2019;35(3):347-67. doi: 10.1016/j.ccell.2019.01.007
 
Supplementary files
				
			
					
						
						
				






