Роль КТ-саркометрии в прогнозировании послеоперационных осложнений у больных раком желудка
- Авторы: Агабабян Т.А.1, Кукарская В.А.1, Силантьева Н.К.1, Потапов А.Л.1, Скоропад В.Ю.1, Шеберова Е.В.1, Дорожкин А.Д.1, Иванов С.А.1,2, Каприн А.Д.2,3
-
Учреждения:
- Медицинский радиологический научный центр им. А.Ф. Цыба – филиал ФГБУ «Национальный медицинский исследовательский центр радиологии» Минздрава России
- ФГАОУ ВО «Российский университет дружбы народов»
- ФГБУ «Национальный медицинский исследовательский центр радиологии» Минздрава России
- Выпуск: Том 25, № 3 (2023)
- Страницы: 284-288
- Раздел: НУТРИТИВНАЯ ПОДДЕРЖКА В КЛИНИЧЕСКОЙ ОНКОЛОГИИ
- Статья получена: 11.05.2023
- Статья одобрена: 08.11.2023
- Статья опубликована: 10.10.2023
- URL: https://modernonco.orscience.ru/1815-1434/article/view/401015
- DOI: https://doi.org/10.26442/18151434.2023.3.202260
- ID: 401015
Цитировать
Полный текст
Аннотация
Цель. Компьютерно-томографическая оценка саркопении у больных раком желудка на предоперационном этапе комбинированного лечения и изучение взаимосвязи между саркопенией и послеоперационными осложнениями.
Материалы и методы. Ретроспективно проанализированы данные 65 больных с морфологически верифицированным диагнозом рака желудка IIА–IIIC стадии. Все больные на I этапе комбинированного лечения получили неоадъювантную химиотерапию (НХТ) по схеме FLOT, а далее выполнялась гастрэктомия с лимфодиссекцией D2. Компьютерную томографию (КТ) выполняли до начала НХТ и через 3,5–5 нед после ее завершения с целью дооперационного стадирования и оценки ответа опухоли на проводимое лечение. По полученным КТ-данным проводили КТ-саркометрию путем расчета площади поперечного сечения скелетных мышц на уровне LIII позвонка и вычисления «скелетно- мышечного индекса». Степень послеоперационных осложнений оценивали согласно классификации Clavien–Dindo. Для оценки достоверности различий между группами и подгруппами использовали непараметрические методы сравнения (Т-критерий Вилкоксона, критерий χ2 Пирсона). Различия считали статистически достоверными при p<0,05.
Результаты. Мы проанализировали частоту встречаемости саркопении у обследованных больных до проведения НХТ и непосредственно перед операцией. Саркопения отмечена у 41 (63,1%) из 65 больных до НХТ и у 50 (76,9%) больных после НХТ, что свидетельствует о достаточной распространенности этого состояния среди пациентов с раком желудка и о негативном влиянии НХТ на мышечный статус больных (76,9% против 63,1%). Послеоперационные осложнения диагностированы у 12 (18,5%) из 65 больных. Частоты возникновения послеоперационных осложнений в группе больных с саркопенией и без нее статистически значимо не отличались (p=0,392), однако осложнения ≥IIIb степени по классификации Clavien–Dindo встречались только в группе больных с саркопенией (p<0,001).
Заключение. По нашим данным, НХТ при раке желудка усугубляет нутритивные нарушения на предоперационном этапе. КТ как стандартный метод стадирования и оценки ответа опухоли на НХТ рака желудка позволяет оценить состояние мышечной массы у больных до и после проведенной НХТ. Выявленная на КТ предоперационная саркопения является фактором риска развития тяжелых послеоперационных осложнений у больных раком желудка, перенесших гастрэктомию.
Полный текст
Введение
Согласно определению Европейского консенсуса саркопения – это уменьшение мышечной массы тела и снижение мышечных функций, обусловленные возрастными, нейрогуморальными изменениями, нарушениями питания или мышечным катаболизмом [1]. С 2010 г., когда Европейская рабочая группа по саркопении у пожилых людей впервые предложила диагностические критерии саркопении, основанные на оценке мышечной массы, мышечной силы и физической работоспособности, это состояние признано важным фактором риска не только у пожилых людей, но и у онкологических больных [2, 3].
Одним из наиболее простых и распространенных методов диагностики саркопении является определение скелетного мышечного индекса (СМИ) при компьютерной томографии (КТ) – вычисление площади поперечного сечения поясничной мышцы с поправкой на квадрат роста на уровне LIII позвонка [4]. КТ-саркометрия играет ведущую роль при оценке мышечной массы тела человека, особенно у онкологических больных. Большое значение имеет то, что на сегодняшний день КТ – не только точный и удобный с практической точки зрения метод оценки структуры тела, но и обязательная составная часть плановых исследований для диагностики, стадирования, наблюдения и оценки ответа на терапию у больных с опухолями. Данные КТ можно использовать для оценки структуры тела, не проводя при этом дополнительных исследований и не увеличивая лучевую нагрузку [5].
Несмотря на тенденцию в последние десятилетия к снижению заболеваемости, рак желудка (РЖ) остается одним из самых распространенных в структуре онкологических заболеваний [6]. Нарушение питания при РЖ связано как с развитием раковой кахексии, так и с затруднением прохождения пищи [7]. Саркопения в настоящее время все больше привлекает внимание как неблагоприятный прогностический фактор при раке, однако у больных РЖ с наиболее высоким риском развития нутритивной недостаточности она имеет особое значение [8].
Данные литературы свидетельствуют, что саркопения связана с повышенным риском как нежелательных хирургических исходов, так и неблагоприятного прогноза опухолевого процесса различной локализации [9–11].
Цель исследования – КТ-оценка саркопении у больных РЖ на предоперационном этапе комбинированного лечения и изучение взаимосвязи между саркопенией и после- операционными осложнениями.
Материалы и методы
Проанализированы данные 65 больных (женщины – 25, мужчины – 40) с морфологически верифицированным диагнозом РЖ IIА–IIIC стадии (UICC 8-е издание, 2017) в возрасте от 33 до 80 лет (средний возраст 62 года), которые получили комбинированное лечение в МРНЦ им. А.Ф. Цыба – филиале ФГБУ «НМИЦ радиологии» в период с марта 2019 по январь 2023 г. и у которых оказались доступны адекватные изображения КТ, полученные до операции. Опухоли локализовались в верхней трети желудка у 12, в средней трети – у 46, в нижней трети – у 3 из 65 больных; субтотальное и тотальное поражение выявлено в 4 случаях.
Все больные на I этапе комбинированного лечения получили неоадъювантную химиотерапию (НХТ) по схеме FLOT, а далее выполнялась гастрэктомия с лимфодиссекцией D2. КТ выполняли до начала НХТ и через 3,5–5 нед после ее завершения с целью дооперационного стадирования и оценки ответа опухоли на проводимое лечение, а в послеоперационном периоде – при наличии клинических показаний для диагностики ранних послеоперационных осложнений.
Согласно пересмотренному консенсусу (EWGSOP2) Европейской рабочей группы по саркопении у пожилых людей 2 параметрами для постановки диагноза саркопении служат мышечная сила, количество или качество мышц и физическая работоспособность [1]. Поскольку наше исследование являлось ретроспективным, информация о мышечной функции (мышечной силе или физической работоспособности) оказалась недоступной. Поэтому для выявления пациентов с саркопенией мы оценивали количество мышц методом КТ.
Методика КТ-обследования больных и выявления у них саркопении включала следующие этапы:
- КТ-исследование брюшной полости выполняли на мультиспиральных компьютерных томографах с целью стадирования и оценки эффектов опухолевого процесса. Подготовка больного включала в себя прием перед исследованием обычной теплой воды (t°~31–33°С) в объеме 800–1000 мл. КТ-сканирование выполняли в положении больного лежа на спине с вытянутыми над головой руками. КТ-изображения анализировали по аксиальным срезам и реконструированным мультипланарным и трехмерным изображениям.
- Постпроцессорная обработка КТ-данных на рабочей станции Advantage Workstation 4.6 (GE Medical Systems, США), которая включала в себя:
- выбор среза. Из 4–5 КТ-срезов, полученных на уровне LIII позвонка, выбирали наиболее подходящий, ориентируясь на более четкие границы периметра мышц живота и тела позвонка;
- выделение мышечной ткани параспинальных, поясничных мышц, а также прямых, косых и поперечных мышц живота на выбранном срезе КТ на уровне III поясничного позвонка (LIII) проводится вручную на рабочей станции;
- расчет площади поперечного сечения выделенных скелетных мышц мышечной массы проводится автоматически на рабочей станции.
Измерения площади должны быть нормализованы к квадрату роста, чтобы быть репрезентативными для оценки мышечной массы человека в целом. Поэтому следующим шагом при КТ-саркометрии является:
- Вычисление СМИ, равного отношению полученного показателя площади скелетной мускулатуры на уровне тела LIII позвонка к квадрату показателя роста пациента.
Вычисление СМИ проводили по формуле:
SMI = s/h2,
где SMI – СМИ на уровне LIII позвонка (см2/м2); S – площадь всех групп мышц, попавших в срез (см2); h – рост человека (м) [4].
За пороговое значение СМИ, ниже которого состояние мышечной ткани расценивали как саркопения, принимали 55 см2/м2 для мужчин и 39 см2/м2 – для женщин [12].
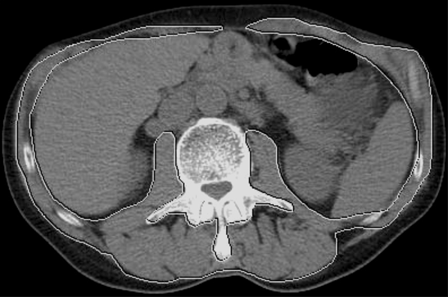
Степень послеоперационных осложнений оценивали согласно классификации Clavien–Dindo [13] (рис. 1).
Рис. 1. Пациент Л. Случай единственного летального исхода. КТ-саркометрия на уровне LIII позвонка до операции. Площадь выделенной зоны – 129,77 см2, СМИ – 31,5 см2/м2. Саркопения.
Fig. 1. Patient L. The only fatal case. Computed tomography sarcometry at the LIII level of the vertebra before surgery. The area of the marked zone is 129.77 cm2, and the skeletal-muscular index is 31.5 cm2/m2. Sarcopenia.
Статистическая обработка данных производилась с помощью программы SPSS.v.20. Для установления достоверности различий между группами и подгруппами использовали непараметрические (Т-критерий Вилкоксона, критерий χ2 Пирсона) методы сравнения. Различия считали статистически достоверными при p<0,05.
Результаты
На I этапе исследования мы проанализировали частоту встречаемости саркопении у обследованных больных до начала лечения (табл. 1).
Таблица 1. Частота встречаемости саркопении у больных до начала лечения Table 1. Pre-treatment rate of sarcopenia | |||
Саркопения | Число пациентов, абс. (%) | Всего пациентов, абс. (%) | |
мужчин | женщин | ||
Есть | 27 (67,5) | 14 (56,0) | 41 (63,1) |
Нет | 13 (32,5) | 11 (44,0) | 24 (36,9) |
Всего | 40 (100,0) | 25 (100,0) | 65 (100,0) |
Как видно из табл. 1, у 41 (63,1%) из 65 больных отмечена саркопения, что говорит о достаточно высокой распространенности саркопении у больных РЖ, поступивших в клинику.
Далее мы проанализировали частоту распространенности саркопении у этой же группы больных после 4 циклов химиотерапии по схеме FLOT в сравнении с исходными данными (табл. 2).
Таблица 2. Частота встречаемости саркопении у обследованных больных после НХТ Table 2. The rate of sarcopenia in the examined patients after NCT | |||
Саркопения | До НХТ, абс. (%) | После НХТ, абс. (%) | p |
Есть | 41 (63,1) | 50 (76,9) | 0,085 |
Нет | 24 (36,9) | 15 (23,1) | |
Всего | 65 (100,0) | 65 (100,0) | |
Как видно из табл. 2, после НХТ саркопения отмечена у 50 (76,9%) больных, что может свидетельствовать о негативном влиянии проведенного лечения на мышечный статус больных (76,9% против 63,1%).
Анализ СМИ у 41 больного с саркопенией до начала НХТ показал, что в 31 (75,6%) случае СМИ уменьшился; у 10 (24,4%) – увеличился, но при этом оставался ниже нормы (рис. 2).
Рис. 2. Значения СМИ до и после НХТ у 41 пациента с саркопенией (p≤0,01).
Fig. 2. Skeletal-muscular index before and after neoadjuvant chemotherapy (NCT) in 41 patients with sarcopenia (p≤0.01).
В то же время у 9 (37,5%) из 24 больных с отсутствием саркопении до лечения после НХТ отмечалось ее появление.
Таким образом, по нашим данным, проводимая НХТ усугубляет состояние саркопении у больных РЖ.
Послеоперационные осложнения диагностированы у 29 (44,6%) из 65 больных. Степень этих осложнений по классификации Clavien–Dindo представлена в табл. 3.
Таблица 3. Частота встречаемости послеоперационных осложнений у исследованных больных по классификации Clavien–Dindo Table 3. The rate of postoperative complications in the studied patients according to the Clavien–Dindo classification | |
Степень осложнения по классификации Clavien–Dindo | Частота встречаемости, абс. (%) |
I | 13 (45) |
II | 5 (17) |
IIIa | 2 (7) |
IIIb | 6 (21) |
IV | 2 (7) |
V | 1 (3) |
Всего больных с осложнениями | 29 (100) |
Мы проанализировали частоту развития послеоперационных осложнений в зависимости от наличия или отсутствия у больного саркопении (табл. 4).
Таблица 4. Частота развития послеоперационных осложнений у исследованных больных в зависимости от наличия или отсутствия саркопении Table 4. The rate of postoperative complications in the studied patients, depending on the presence or absence of sarcopenia | ||||
Осложнения | Саркопения | Всего пациентов, % | p | |
есть | нет | |||
Есть | 23 | 6 | 29 | 0,392 |
Нет | 27 | 9 | 36 | |
Всего | 50 | 15 | 65 | – |
Отдельно проанализировали частоту развития тяжелых послеоперационных осложнений ≥IIIb по классификации Clavien–Dindo, таких как несостоятельность швов анастомоза, панкреонекрозы в этих же группах (табл. 5).
Таблица 5. Частота развития тяжелых послеоперационных осложнений у исследованных больных в зависимости от наличия или отсутствия саркопении Table 5. The rate of severe postoperative complications in the studied patients, depending on the presence or absence of sarcopenia | ||||
Осложнения | Саркопения | Всего пациентов, % | p | |
есть | нет | |||
Несостоятельность швов анастомоза | 6 | 0 | 6 | <0,001 |
Панкреатит | 2 | 0 | 2 | |
Смерть | 1 | 0 | 1 | |
Всего | 9 | 0 | 9 | – |
Как видно из табл. 5, тяжелые осложнения встречались только в группе больных с саркопенией у 9 (31%) из 29 пациентов.
Таким образом, частоты возникновения послеоперационных осложнений в группе больных с саркопенией и без нее статистически значимо не отличались, однако тяжелые осложнения встречались только в группе больных с саркопенией.
Обсуждение
Термин «саркопения» впервые предложил Ирвин Розенберг в 1989 г. Саркопения – это возрастное прогрессирующее и генерализованное заболевание скелетных мышц, которое включает ускоренную потерю мышечной массы и функции и связано с неблагоприятными последствиями для здоровья, такими как падения, снижение функциональных возможностей, слабость и смерть [1]. Саркопения представляет собой сложный синдром, связанный со старением, хотя рак также является одной из ее причин.
В своем исследовании K. Fearon и соавт. [10] обнаружили, что уменьшение скелетных мышц и/или потеря жира являются основными проявлениями связанного с опухолью недоедания, которое ассоциируется с послеоперационными осложнениями и смертностью. В частности, высокий уровень распада и метаболизма скелетной мускулатуры может свидетельствовать об усиленном катаболизме, связанном с опухолью, и снижении функции органов, что серьезно влияет на качество жизни пациента, физиологию организма и толерантность к лечению [10].
Частота встречаемости саркопении у онкологических пациентов зависит от локализации и распространенности опухолевого процесса. Нарушения питания наблюдаются у 1/2 онкологических пациентов, чаще всего при опухолях органов пищеварения (60–85%), дыхания (45–60%), реже – при раке молочной железы, матки и яичников (30–40%) [14]. По результатам нашего исследования, частота саркопении среди пациентов с РЖ составила 63,1%, что соответствует данным литературы. Полученные нами данные об увеличении частоты саркопении после НХТ до 76,9% свидетельствуют о том, что проведение неоадъювантного лекарственного лечения негативно влияет на состояние мышечной массы. Полученные результаты в целом соответствуют литературным данным [15, 16].
Учитывая роль саркопении как одного из факторов риска неблагоприятного прогноза, необходим поиск точных методов ее диагностики. Одним из наиболее распространенных методов является определение площади поперечного сечения скелетных мышц при КТ брюшной полости на уровне LIII позвонка. Измеренная при КТ площадь мышечной и жировой ткани на уровне поясничных позвонков надежно коррелирует с объемом скелетной мускулатуры и жировой клетчатки всего тела у здоровых людей [4]. Международный консенсус экспертов по раковой кахексии в качестве пороговых значений саркопении определил СМИ 39 см2/м2 для женщин и 55 см2/м2 для мужчин, что и использовано в нашем исследовании [12].
Имеющиеся в мировой литературе данные позволяют предположить, что предоперационная саркопения может быть предиктором неблагоприятного послеоперационного исхода у онкологических больных [7–9]. Однако существуют противоречивые выводы относительно влияния предоперационной саркопении на послеоперационные исходы у больных РЖ. Некоторые исследователи отмечают, что предоперационная саркопения является предиктором общих послеоперационных осложнений, легочных осложнений и общей выживаемости у пациентов с РЖ, другие исследования показали отсутствие связи между предоперационной саркопенией и тяжелыми осложнениями у пациентов с РЖ [7, 17, 18].
Так, D. Huang и соавт. [17] и C. Zhou и соавт. [19] не обнаружили существенной разницы при рассмотрении послеоперационных осложнений III степени и выше по Clavien–Dindo. Однако наши данные соответствуют данным H. Otsuji и соавт. [20] и Y. Fukuda и соавт. [18], которые при анализе частоты развития осложнений обнаружили достоверные различия только в случаях осложнений III степени и выше по классификации Clavien–Dindo.
Заключение
РЖ часто сопровождается развитием кахексии и саркопении. По нашим данным, НХТ при РЖ усугубляет нутритивные нарушения. КТ как стандартный метод стадирования и оценки ответа опухоли позволяет оценить состояние мышечной массы до и после проведенной НХТ. Выявленная при КТ предоперационная саркопения является фактором риска развития тяжелых послеоперационных осложнений у больных РЖ, перенесших гастрэктомию. Полученные нами данные о негативном влиянии НХТ на состояние мышечной массы пациента и взаимосвязи саркопении и развития послеоперационных осложнений свидетельствуют о необходимости проведения сопроводительной терапии, направленной на коррекцию нутритивного статуса с учетом индивидуальных особенностей онкологического больного.
Раскрытие интересов. Авторы декларируют отсутствие явных и потенциальных конфликтов интересов, связанных с публикацией настоящей статьи.
Disclosure of interest. The authors declare that they have no competing interests.
Вклад авторов. Авторы декларируют соответствие своего авторства международным критериям ICMJE. Все авторы в равной степени участвовали в подготовке публикации: разработка концепции статьи, получение и анализ фактических данных, написание и редактирование текста статьи, проверка и утверждение текста статьи.
Authors’ contribution. The authors declare the compliance of their authorship according to the international ICMJE criteria. All authors made a substantial contribution to the conception of the work, acquisition, analysis, interpretation of data for the work, drafting and revising the work, final approval of the version to be published and agree to be accountable for all aspects of the work.
Источник финансирования. Авторы декларируют отсутствие внешнего финансирования для проведения исследования и публикации статьи.
Funding source. The authors declare that there is no external funding for the exploration and analysis work.
Информированное согласие на публикацию. Все пациенты подписали форму добровольного информированного согласия на публикацию медицинской информации.
Consent for publication. Written consent was obtained from the all patients for publication of relevant medical information and all of accompanying images within the manuscript.
Об авторах
Татев Артаковна Агабабян
Медицинский радиологический научный центр им. А.Ф. Цыба – филиал ФГБУ «Национальный медицинский исследовательский центр радиологии» Минздрава России
Автор, ответственный за переписку.
Email: tatevik.05@mail.ru
ORCID iD: 0000-0002-9971-3451
канд. мед. наук, зав. отд-нием лучевой диагностики
Россия, ОбнинскВалерия Андреевна Кукарская
Медицинский радиологический научный центр им. А.Ф. Цыба – филиал ФГБУ «Национальный медицинский исследовательский центр радиологии» Минздрава России
Email: kukalery@mail.ru
клин. ординатор отд-ния лучевой диагностики
Россия, ОбнинскНаталья Константиновна Силантьева
Медицинский радиологический научный центр им. А.Ф. Цыба – филиал ФГБУ «Национальный медицинский исследовательский центр радиологии» Минздрава России
Email: nks07@mail.ru
д-р мед. наук, вед. науч. сотр. отд-ния лучевой диагностики
Россия, ОбнинскАлександр Леонидович Потапов
Медицинский радиологический научный центр им. А.Ф. Цыба – филиал ФГБУ «Национальный медицинский исследовательский центр радиологии» Минздрава России
Email: alp8@yandex.ru
ORCID iD: 0000-0003-3752-3107
д-р мед. наук, проф., зав. отд. анестезиологии и реанимации
Россия, ОбнинскВиталий Юрьевич Скоропад
Медицинский радиологический научный центр им. А.Ф. Цыба – филиал ФГБУ «Национальный медицинский исследовательский центр радиологии» Минздрава России
Email: skoropad@mrrc.obninsk.ru
д-р мед. наук, проф., зав. отд. анестезиологии и реанимации
Россия, ОбнинскЕлизавета Викторовна Шеберова
Медицинский радиологический научный центр им. А.Ф. Цыба – филиал ФГБУ «Национальный медицинский исследовательский центр радиологии» Минздрава России
Email: lisa_iroshnikova@mail.ru
врач-рентгенолог отд-ния лучевой диагностики
Россия, ОбнинскАртем Дмитриевич Дорожкин
Медицинский радиологический научный центр им. А.Ф. Цыба – филиал ФГБУ «Национальный медицинский исследовательский центр радиологии» Минздрава России
Email: tropinckinus@gmail.com
ORCID iD: 0000-0001-9565-301X
врач анестезиолог-реаниматолог отд-ния анестезиологии и реанимации
Россия, ОбнинскСергей Анатольевич Иванов
Медицинский радиологический научный центр им. А.Ф. Цыба – филиал ФГБУ «Национальный медицинский исследовательский центр радиологии» Минздрава России; ФГАОУ ВО «Российский университет дружбы народов»
Email: oncourolog@gmail.com
ORCID iD: 0000-0001-7689-6032
чл.-кор. РАН, проф. РАН, д-р мед. наук, дир., проф. каф. онкологии и рентгенорадиологии
Россия, Обнинск; МоскваАндрей Дмитриевич Каприн
ФГАОУ ВО «Российский университет дружбы народов»; ФГБУ «Национальный медицинский исследовательский центр радиологии» Минздрава России
Email: kaprin@mail.ru
ORCID iD: 0000-0001-8784-8415
акад. РАН, д-р мед. наук, проф., зав. каф. онкологии и рентгенорадиологии, ген. дир.
Россия, Москва, ОбнинскСписок литературы
- Cruz-Jentoft AJ, Bahat G, Bauer J, et al. Sarcopenia: revised European consensus on definition and diagnosis. Age Ageing. 2019;48(1):16-31. doi: 10.1093/ageing/afy169
- Cruz-Jentoft AJ, Baeyens JP, Bauer JM, et al. Sarcopenia: European consensus on definition and diagnosis: Report of the European Working Group on Sarcopenia in Older People. Age Ageing. 2010;39(4):412-23. doi: 10.1093/ageing/afq034
- Дмитриев В.Н., Лядов В.К., Лядова М.А., Шаманов А.В. Конституциональные особенности онкологических пациентов как предиктор эффективности иммунотерапии. Онкология. Журнал им. П.А. Герцена. 2022;11(3):57-64 [Dmitriev VN, Lyadov VK, Lyadova MA, Shamanov AV. Cancer patients’ constitutional features as a predictor of the efficiency of immunotherapy. P.A. Herzen Journal of Oncology. 2022;11(3):57-64 (in Russian)]. doi: 10.17116/onkolog20221103157
- Tagliafico AS, Bignotti B, Torri L, et al. Sarcopenia: how to measure, when and why. Radiol Med. 2022;127:228-37. doi: 10.1007/s11547-022-01450-3
- Mourtzakis M, Prado CMM, Lieffers JR, et al. A practical and precise approach to quantification of body composition in cancer patients using computed tomography images acquired during routine care. Appl Physiol Nutr Metab. 2008;33(5):997-1006. doi: 10.1139/H08-075
- Злокачественные новообразования в России в 2021 году (заболеваемость и смертность). Под ред. А.Д. Каприна, В.В. Старинского, А.О. Шахзадовой. М.: МНИОИ им. П.А. Герцена − филиал ФГБУ «НМИЦ радиологии» Минздрава России, 2022 [Zlokachestvennyie novoobrazovaniia v Rossii v 2021 godu (zabolevaiemost' i smertnost'). Pod red. AD Kaprina, VV Starinskogo, AO Shakhzadovoi. Moscow: MNIOI im. PA Gertsena − filial FGBU “NMITS radiologii” Minzdrava Rossii, 2022 (in Russian)].
- Chen K, Mou YP, Xu XW, et al. Short-term surgical and long-term survival outcomes after laparoscopic distal gastrectomy with D2 lymphadenectomy for gastric cancer. BMC Gastroenterol. 2014;14:41. doi: 10.1186/1471-230X-14-41
- Kuwada K, Kuroda S, Kikuchi S, et al. Clinical Impact of Sarcopenia on Gastric Cancer. Anticancer Res. 2019;39(5):2241-9. doi: 10.21873/anticanres.13340
- Дикова Т.С., Зацепина А.Ю., Федоринов Д.С., Лядов В.К. Саркопения, саркопеническое ожирение, миостеатоз как факторы неблагоприятного прогноза при опухолях желудочно-кишечного тракта: обзор литературы. Современная Онкология. 2021;2(1):141-7 [Dikova TS, Zatsepina AYu, Fedorinov DS, Lyadov VK. Sarcopenia, sarcopenic obesity, myosteatosis as factors of poor prognosis in gastrointestinal tract tumors: review. Journal of Modern Oncology. 2021;23(1):141-7 (in Russian)]. doi: 10.26442/18151434.2021.1.200715
- Fearon KC, Jenkins JT, Carli F, Lassen K. Patient optimization for gastrointestinal cancer surgery. Br J Surg. 2013;100(1):15-27. doi: 10.1002/bjs.8988
- Shi B, Liu S, Chen J, et al. Sarcopenia is Associated with Perioperative Outcomes in Gastric Cancer Patients Undergoing Gastrectomy. Ann Nutr Metab. 2019;75(4):213-22. doi: 10.1159/000504283
- Fearon K, Strasser F, Anker SD, et al. Definition and classification of cancer cachexia: an international consensus. Lancet Oncol. 2011;12(5):489-95. doi: 10.1016/S1470-2045(10)70218-7
- Dindo D, Demartines N, Clavien PA. Classification of surgical complications: a new proposal with evaluation in a cohort of 6336 patients and results of a survey. Ann Surg. 2004;240(2):205-13. doi: 10.1097/01.sla.0000133083.54934
- Хорошилов И.Е. Кахексия и саркопения у онкологических пациентов: диагностика и лечебная тактика. Клиническое питание и метаболизм. 2020;1(1):36-46 [Khoroshilov IE. Cachexia and Sarcopenia at Oncological Patients: Diagnostics and Treatment Tactics. Clinical Nutrition and Metabolism. 2020;1(1):36-46 (in Russian)]. doi: 10.36425/clinnutrit20650
- Бриш Н.А., Семиглазова Т.Ю., Карачун А.М., и др. Влияние коррекции нутритивной недостаточности на эффективность неоадъювантной химиотерапии у больных местно-распространенным раком желудка. Современная Онкология. 2021;23(3):519-24 [Brish NA, Semiglazova TYu, Karachun AM, et al. Influence of correction of nutritive deficiency on the effectiveness of neoadjuvant chemotherapy in patients with locally advanced gastric cancer. Journal of Modern Oncology. 2021;23(3):519-24 (in Russian)]. doi: 10.26442/18151434.2021.3.201075
- Mirkin KA, Luke FE, Gangi A, et al. Sarcopenia related to neoadjuvant chemotherapy and perioperative outcomes in resected gastric cancer: A multi-institutional analysis. J Gastrointest Oncol. 2017;8(3):589-95. doi: 10.21037/jgo.2017.03.02
- Huang DD, Zhou CJ, Wang SL, et al. Impact of different sarcopenia stages on the postoperative outcomes after radical gastrectomy for gastric cancer. Surgery. 2017;161(3):680-93. doi: 10.1016/j.surg.2016.08.030
- Fukuda Y, Yamamoto K, Hirao M, et al. Sarcopenia is associated with severe postoperative complications in elderly gastric cancer patients undergoing gastrectomy. Gastric Cancer. 2016;19(3):986-93. doi: 10.1007/s10120-015-0546-4
- Zhou CJ, Zhang FM, Zhang FY, et al. Sarcopenia: a new predictor of postoperative complications for elderly gastric cancer patients who underwent radical gastrectomy. J Surg Res. 2017;211:137-46. doi: 10.1016/j.jss.2016.12.014
- Otsuji H, Yokoyama Y, Ebata T, et al. Preoperative sarcopenia negatively impacts postoperative outcomes following major hepatectomy with extrahepatic bile duct resection. World J Surg. 2015;39(6):1494-500. doi: 10.1007/s00268-015-2988-6
Дополнительные файлы





