Solitary metastasis of colorectal cancer in the left adrenal gland 4 years after surgery on the primary tumor. Case report
- Authors: Budurova M.D.1,2, Trifanov V.S.1,3, Kopylov V.V.1, Kuznetsova O.S.1, Chernichenko M.A.1, Poluektov S.I.1
 - 
							Affiliations: 
							
- Hertsen Moscow Oncology Research Institute – branch of the National Medical Research Radiological Centre
 - Yevdokimov Moscow State University of Medicine and Dentistry
 - Peoples' Friendship University of Russia (RUDN University)
 
 - Issue: Vol 25, No 3 (2023)
 - Pages: 401-405
 - Section: CLINICAL ONCOLOGY
 - Submitted: 26.04.2023
 - Accepted: 08.11.2023
 - Published: 10.10.2023
 - URL: https://modernonco.orscience.ru/1815-1434/article/view/352516
 - DOI: https://doi.org/10.26442/18151434.2023.3.202355
 - ID: 352516
 
Cite item
Full Text
Abstract
Colorectal cancer (CRC) is one of the most common oncological diseases. On average, in 20–25% of cases after radical surgical treatment of CRC, the progression of the disease in the form of metachronous metastases in the liver and lungs, as the most common localization of CRC metastases, is noted in patients. With the advent of new drug treatment strategies for CRC, there is an increase in overall survival, as a result of which CRC metastases in the adrenal glands have become more common than previously thought, and the number of published reports of cases of CRC metastasis in the adrenal glands has increased. In this article, we report a rare clinical observation of metachronous solitary metastasis of CRC to the left adrenal gland 4 years after radical surgical treatment of the primary tumor: the patient underwent radical left-sided adrenalectomy. The period of observation of the patient without signs of progression and relapse of the disease is 6 months (at the time of publication).
Full Text
Введение
Колоректальный рак (КРР) является 3-м в мире по распространенности злокачественным новообразованием (ЗНО) и 4-й по значимости причиной смерти от ЗНО [1]. Хотя ранняя стадия заболевания у некоторых пациентов потенциально излечима, часто наблюдается прогрессирование заболевания [2]. Несмотря на то, что относительно недавние достижения в лекарственном лечении метастатического КРР (МКРР) привели к увеличению общей выживаемости (ОВ), в целом у этой группы пациентов прогноз плохой: в среднем 5-летняя ОВ составляет 24,9–45,9% независимо от локализации метастазов [1, 3].
Частота метастазирования КРР в надпочечники колеблется от 3,1 до 17% [3, 4]. Чаще всего метастатическое поражение надпочечников при КРР выявляется при наличии других синхронных метастазов, тогда как солитарные метастазы КРР в надпочечниках встречаются редко [3]. Метастазы КРР в надпочечниках занимают 3–4-е место среди всех случаев метастатического поражения надпочечников, и чаще встречается поражение одного из надпочечников [4].
Солитарные метастазы КРР в надпочечниках крайне необычны, и однозначных тактических решений этой проблемы нет; 5-летняя ОВ у пациентов с МКРР после радикальной резекции (R0) и нерадикальной (R1/ R2) метастазэктомии и у пациентов, кто не подвергался метастазэктомии, составила 45,9; 12,5 и 6,7% соответственно [1, 2]. Радикально выполненная метастазэктомия в целом способствует длительной выживаемости пациентов с КРР [4, 5].
Есть литературные данные о том, что у оперированных пациентов с метастазами КРР в надпочечниках прогноз заболевания был относительно лучше, чем при других ЗНО с метастатическим поражением надпочечников [6–13]. В литературе приводят примеры успешной адреналэктомии при солитарном МКРР [3–6, 12]. У некоторых больных может быть достигнута длительная выживаемость, но преимущества метастазэктомии в объеме адреналэктомии остаются без четкой аргументации и клинических рекомендаций [3].
Клиническое наблюдение
Пациент Р., 59 лет, обратился к абдоминальному хирургу в МНИОИ им. П.А. Герцена – филиал ФГБУ «НМИЦ радиологии» с жалобами на наличие опухолевидного образования в левом надпочечнике. Анамнез заболевания: оперирован в 2019 г. по поводу рака сигмовидной кишки, pT4N0M0 (стадия II), в объеме резекции сигмовидной кишки. В 2022 г. выявлен солитарный метастаз КРР в левом надпочечнике; синхронные метастазы другой локализации и рецидив заболевания исключены. Диагноз: C18.7 Рак сигмовидной кишки, состояние после хирургического лечения в 2019 г. Прогрессирование в 2022 г., солитарный метастаз в левом надпочечнике, pT4N0M0 (стадия II).
При колоноскопии 18.07.2022 данных за рецидив заболевания не выявлено. При эзофагогастродуоденоскопии данных за опухолевый процесс не выявлено. 15.07.2022: раково-эмбриональный антиген (РЭА) – 4,5 нг/мл; углеводный антиген (CA) 19-9 – 79,44 Ед/мл; CA 72-4 – 0,79 Ед/мл. Исследование гормонов надпочечников: кортизол – 6,2–19,4 мкг/дл; адреналин – 50 пг/мл; норадреналин – 140 пг/мл; метанефрин свободный – 27 мкг/сут; норметанефрин свободный – 31 мкг/сут.
Компьютерная томография (КТ) грудной клетки, брюшной полости, забрюшинного пространства и таза 15.07.2022 (рис. 1): в левом надпочечнике опухолевидное образование неоднородной структуры размерами 71×73×72 мм, которое прилежит к хвосту поджелудочной железы на протяжении не менее 57 мм. Другой опухолевой патологии не выявлено. Заключение: КТ-картина опухолевого образования левого надпочечника.
Рис. 1. КТ грудной клетки, брюшной полости и забрюшинного пространства, таза с внутривенным контрастированием 15.07.2022.
Fig. 1. CT scan of the chest, abdomen and retroperitoneum, pelvis with intravenous contrast enhancement on July 15, 2022.
При позитронно-эмиссионной томографии – КТ (ПЭТ/КТ) всего тела определяется патологическое накопление радиофармпрепарата SUVmax=8,7 г/мл в объемном образовании левого надпочечника размерами 69×75×78 мм. Лимфоузлы не увеличены. Заключение: ПЭТ/КТ-признаки метаболически активной опухолевой ткани в левом надпочечнике (mts).
Морфологическое и иммуногистохимическое исследования пунктата опухоли левого надпочечника (6697/57954-55/22): метастаз умеренно дифференцированной аденокарциномы кишечного типа. Иммуногистохимия: экспрессия в клетках опухоли CK19, CDX2; экспрессия CK20 и Villin; CK7 – отрицательная реакция.
05.2022. Молекулярно-биологическое исследование: NRAS, KRAS, BRAF – соматических мутаций не выявлено; MSS-статус.
Сопутствующая патология: ишемическая болезнь сердца, стенокардия напряжения II функционального класса, постинфарктный кардиосклероз (острый инфаркт миокарда в 2013 г.), состояние после маммарно-коронарного шунтирования передней межжелудочковой артерии и аутовенозного аортокоронарного шунтирования заднебоковой ветви огибающей артерии от 27.01.2017. Протезирование аортального клапана от 27.01.2017. Хроническая сердечная недостаточность с умеренно сниженной фракцией выброса левого желудочка, 2а-степени, II функционального класса. Гипертоническая болезнь III стадии, нормотензия, риск 4. Дилатация восходящего отдела аорты. Нарушение проводимости сердца: полная блокада левой ножки пучка Гиса. Атеросклероз брахиоцефальных артерий (максимальные стенозы до 50–55%). Гиперлипидемия.
В МНИОИ им. П.А. Герцена – филиале ФГБУ «НМИЦ радиологии» проведен консилиум с участием абдоминального хирурга, химиотерапевта, радиолога, кардиолога, эндокринолога, анестезиолога, реаниматолога: учитывая солитарный характер прогрессирования КРР, отсутствие альтернативных эффективных методов лечения, выраженную сопутствующую патологию, очень высокий риск интра- и послеоперационных осложнений, решено провести хирургическое вмешательство в объеме левосторонней адреналэктомии.
25.07.2022 в отделении абдоминальной онкологии МНИОИ им. П.А. Герцена – филиале ФГБУ «НМИЦ радиологии» больной оперирован в плановом порядке в объеме верхнесрединной лапаротомии, адреналэктомии слева. При ревизии метастазов в печени, канцероматоза, регионарной и отдаленной лимфаденопатии не выявлено. После мобилизации визуализирован левый надпочечник размерами 10×10 см, который опухолевидно изменен. Выполнена левосторонняя адреналэктомия с лигированием и пересечением надпочечниковой артерии и вены.
Послеоперационный период протекал без осложнений. Больной выписан на 7-е сутки после операции в удовлетворительном состоянии.
Морфологическое исследование операционного материала. 1. Фрагмент жировой клетчатки размерами 12×7×4 см, в толще которого определяется надпочечник размерами 11×6×3 см. В центре надпочечника определяется разрастание белесовато-серой ткани, субтотально замещающая ткань надпочечника, без инфильтрации капсулы.
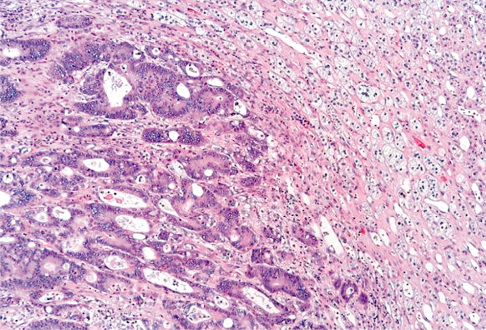
Микроскопическое описание опухоли. В надпочечнике метастаз аденогенного рака криброзно-железистого строения, с обширными очагами некроза, без экстракапсулярного распространения (рис. 2). Хирургический край резекции без опухолевого роста. Заключение: морфологическая картина соответствует вторичному поражению надпочечника – метастазу умеренно дифференцированной аденокарциномы толстой кишки.
Рис. 2. Метастаз умеренно дифференцированной аденокарциномы кишечного типа в надпочечник. ×10, окраска гематоксилином–эозином.
Fig. 2. Metastasis of moderately differentiated intestinal adenocarcinoma to the adrenal gland. ×10, hematoxylin-eosin staining.
Междисциплинарный консилиум 05.08.2022 в МНИОИ им. П.А. Герцена – филиале ФГБУ «НМИЦ радиологии». Учитывая радикальный объем операции, отсутствие рецидива заболевания и синхронных метастазов, выраженную сердечно-сосудистую патологию, противоопухолевое лекарственное лечение не показано. Рекомендовано контрольное обследование через 3 мес после операции.
11.2022 проведено контрольное обследование в полном объеме, по результатам которого признаков прогрессирования и рецидива заболевания не выявлено.
Обсуждение
При динамическом наблюдении пациентов после операции по поводу КРР следует учитывать возможность метастазирования в надпочечники [5, 14]. Выявление бессимптомных метастазов в надпочечниках улучшилось благодаря широкому использованию КТ, магнитно-резонансной томографии и ПЭТ/КТ, ставших рутинным методами визуализации, и метастазы КРР в надпочечниках сейчас выявляются чаще [5, 9].
A. Katayama и соавт. (2000 г.) отмечают, что при метастатическом поражении надпочечников КРР уровень РЭА был повышен в 91% случаев; в 90% случаев уровень РЭА значительно снизился после адреналэктомии. Следовательно, РЭА является достоверным признаком прогрессирования КРР [15, 16].
Солитарное поражение надпочечников (AMs) встречается нечасто и преимущественно протекает в метахронном режиме [3, 16]. Медиана безрецидивного интервала от момента радикального лечения первичной опухоли КРР до адреналэктомии составляет в среднем 3,75 года (диапазон от 10 мес до 9 лет) [17]. A. Katayama и соавт. описан гематогенный путь метастазирования из первичного очага КРР: сначала опухоль метастазирует в легкое, затем – в надпочечник. Эти данные повышают вероятность того, что латентное метастазирование в легких уже произошло на момент обнаружения метастазов КРР в надпочечниках [15]. Именно поэтому наличие метастазов КРР в легких связывают с более высокой частотой метастазирования в надпочечники [18].
Солитарные метастазы КРР в надпочечниках обычно являются частью системного метастазирования или метастатической болезни, но встречаются они очень редко [3, 7, 15]. Метастазы КРР в надпочечниках развиваются на фоне синхронных метастазов другой локализации в 1,8–26,9% случаев, в среднем – в 17% [1, 3–5, 7, 15, 18–22]. Сообщения о низкой частоте метастазирования в надпочечники могут быть объяснены тем, что их ошибочно принимают за метастазы в парааортальных лимфатических узлах, рецидивы заболевания в ложе удаленной опухоли толстой кишки [5, 21].
При проведении обзора литературы выявлено, что метастазы КРР в надпочечниках являются преимущественно ипсилатеральными и метахронными [20]. Зарегистрировано также не менее 7 случаев синхронных и контралатеральных метастазов КРР в надпочечниках [21, 23, 24]. По данным R. de Haas и соавт. (2009 г.), у больных после гепатэктомии по поводу метастазов КРР в 1,8% случаев развился AMs (метастаз в надпочечнике), при этом левый надпочечник был поражен у 29% пациентов, правый надпочечник – у 64% больных, и у 7% пациентов были метастазы в обоих надпочечниках [18]. При этом симптомов надпочечниковой недостаточности не отмечено [18, 21, 24, 25]. По данным N. Mourra и соавт. (2008 г.), правосторонние и левосторонние метастазы в надпочечниках встречались в одинаковом проценте случаев – 50% [17].
По мнению R. de Haas и соавт., прогностическое значение метастазов КРР в надпочечниках (AMs) у пациентов с метастазами КРР в печени (CLMs) остается неизвестным и аргументированно не определено, но в целом характеризуется плохим прогнозом [18].
Метастазы КРР в надпочечниках свидетельствуют о прогрессировании заболевания, и раньше они не имели показаний к паллиативному хирургическому вмешательству [3]. До настоящего момента солитарные метастазы в надпочечниках представляют собой стратегическую дилемму [15, 18]. Раннее выявление метастазов КРР в надпочечниках и последующее хирургическое лечение могут обеспечить хороший прогноз заболевания [9, 14, 19]. По мнению Y. Liu и соавт. (2016 г.), лекарственное лечение метахронных метастазов КРР в надпочечниках может не достичь желаемых результатов: в данных случаях требуется комбинация с хирургическим лечением в объеме радикальной метастазэктомии [21]. Различные стратегии лечения диссеминированного КРР определяются статусом резектабельности метастаза [1, 4].
МКРР охватывает гетерогенную группу пациентов, в которой могут использоваться как паллиативные, так и радикальные стратегии лечения [1, 2, 4]. Достижения в области конверсионной лекарственной терапии МКРР продемонстрировали хорошие результаты лечения как при исходно неоперабельных метастазах, так и при резектабельных метастазах, позволяя достичь операбельного статуса [1, 2, 26]. Адреналэктомия как компонент комбинированного лечения МКРР хорошо описана: применение единственно химиотерапии в данной ситуации сомнительно [18, 26].
Хирургическое лечение метастазов в надпочечниках не получило широкого распространения из-за опасений по поводу возможного синхронного метастатического заболевания. Однако в случаях отсутствия объективных доказательств синхронных метастазов некоторые онкологи выступают за R0-адреналэктомию у отдельных пациентов: все резектабельные метастазы КРР должны быть удалены при условии выполнения безопасного вмешательства опытным хирургом [18, 27–29]. Резектабельные син- и метахронные метастазы в надпочечниках не считаются некоторыми авторами противопоказанием к адреналэктомии, даже если они двусторонние [1, 4, 5, 24, 25].
В отличие от метастазов КРР в легких или в печени применение агрессивной хирургической резекции при солитарных метастазах в надпочечниках описано пока только в единичных публикациях [18, 19, 20, 23]. Есть данные, что пациенты с МКРР при наличии AMs имели значительно меньшую 5-летнюю выживаемость (50 мес), чем пациенты без AMs (68 мес) [8, 25].
По мнению А.В. Вишневского и соавт. (2015 г.), при резектабельном метастазе КРР в надпочечнике и даже небольшой протяженности опухолевого тромба в нижней полой вене также оправдана хирургическая тактика, однако целесообразность проведения неоадъювантной химиотерапии дискутабельна [4]. Напротив, R. de Haas и соавт. опубликовали информацию о том, что у всех пациентов адреналэктомия сочеталась с системной химиотерапией [18]. Кроме того, адреналэктомия после предоперационной химиотерапии и стабилизации заболевания является эффективной стратегией для пациентов с солитарными метастазами в надпочечниках, улучшая прогноз их жизни [7, 22, 26, 30, 31].
Как считают A. Crisci и соавт. (2001 г.) [31] и A. Muth и соавт. (2010 г.) [7], успех адреналэктомии по поводу метастатического поражения зависит:
1) от отсутствия синхронных метастазов;
2) раннего выявления метастатического поражения надпочечников;
3) статуса R0-операции;
4) безрецидивного периода 12–16 мес от момента операции на первичной опухоли [1, 2, 8, 32].
T. Kanjo и соавт. (2006 г.) [19] отметили неблагоприятные прогностические признаки при МКРР с солитарным поражением надпочечников: R1/R2-край резекции, короткий (<6 мес) безрецидивный интервал, хирургическое лечение метахронных метастазов иной локализации [14, 19].
Медиана ОВ от момента диагностирования AMs составляет в среднем 23–29 мес, независимо от проведенного лечения (комбинированного или только полихимиотерапия) [1, 4, 7, 18, 25]. Системный обзор литературных данных показал, что средняя 2-летняя ОВ после адреналэктомии при солитарном метастатическом поражении КРР надпочечников составляет 46%, 5-летняя ОВ – 20–45% [4, 20]. H. Hayashi и соавт. (2020 г.) в 21% случаев отмечено развитие рецидивов заболевания в течение 1-го года после адреналэктомии [32].
A. Katayama и соавт. сообщили о случае солитарного метастаза КРР в левом надпочечнике, который был удален через 9 лет после операции на первичной опухоли, с продолжительностью жизни на момент публикации 3 г. 5 мес после левосторонней адреналэктомии [15].
Учитывая опубликованные редкие данные о 7–9-летней ОВ у некоторых больных после адреналэктомии по поводу солитарных метастазов КРР в надпочечниках, сегодня эти сообщения могут быть основанием для рассмотрения комбинированного варианта лечения с выполнением R0-метастазэктомии [1, 3–5, 7, 19, 24, 25, 32], поэтому важно учитывать возможность метастазирования КРР в надпочечники и планировать выполнение метастазэктомии в объеме адреналэктомии в рамках современных подходов к лечению солитарных метастазов КРР на фоне стабилизации заболевания [5, 15, 28]. Ранняя диагностика и адреналэктомия могут в некоторой степени улучшить ОВ при МКРР, несмотря на системный характер заболевания [1, 4–6, 11, 14, 15, 21].
Заключение
Значительное увеличение ОВ при КРР в последние годы на фоне проведения современных режимов полихимиотерапии в комбинации с таргетными препаратами обеспечили относительно бóльшую продолжительность жизни с развитием позднего метастазирования, в данном случае – в надпочечники. Мы должны обеспечить пациентам с КРР регулярное и долгосрочное наблюдение, и программу наблюдения нужно строить также с учетом метастазирования в надпочечники: определением РЭА и СА 19-9, выполнением КТ 4 зон (грудной клетки, надключичных зон, брюшной полости, таза, забрюшинного пространства), ПЭТ/КТ всего тела [7].
Растущий объем данных о метастазэктомиях при солитарных метастазах КРР свидетельствует о том, что есть преимущества в ОВ независимо от локализации метастаза [1]. R0-операции по поводу солитарных метастазов КРР в надпочечниках являются единственной обнадеживающей стратегией в рамках комбинированного лечения МКРР [1, 4]. Для подтверждения результативности этих операций потребуется дальнейшее накопление материла с четкой дифференциацией – метастазы син- или метахронные по отношению к первичной опухоли КРР [3]. Редкость изолированного метастазирования КРР в надпочечники делает рандомизированное проспективное исследование маловероятным. Отдельные позитивные результаты метастазэктомии при AMs уже становятся аргументом в пользу хирургической тактики при ожидании увеличения ОВ [18]. На основе данных литературы адреналэктомию можно представлять как современный подход при солитарном метастатическом поражении КРР надпочечников [4, 6, 16, 18, 19, 31, 32]. Наше клиническое наблюдение также демонстрирует то, что солитарные метастазы КРР в надпочечниках подлежат хирургическому лечению в объеме R0-адреналэктомии с ожиданием долгосрочной перспективы выживаемости.
Раскрытие интересов. Авторы декларируют отсутствие явных и потенциальных конфликтов интересов, связанных с публикацией настоящей статьи.
Disclosure of interest. The authors declare that they have no competing interests.
Вклад авторов. Авторы декларируют соответствие своего авторства международным критериям ICMJE. Все авторы в равной степени участвовали в подготовке публикации: разработка концепции статьи, получение и анализ фактических данных, написание и редактирование текста статьи, проверка и утверждение текста статьи.
Authors’ contribution. The authors declare the compliance of their authorship according to the international ICMJE criteria. All authors made a substantial contribution to the conception of the work, acquisition, analysis, interpretation of data for the work, drafting and revising the work, final approval of the version to be published and agree to be accountable for all aspects of the work.
Источник финансирования. Авторы декларируют отсутствие внешнего финансирования для проведения исследования и публикации статьи.
Funding source. The authors declare that there is no external funding for the exploration and analysis work.
Информированное согласие на публикацию. Пациент подписал форму добровольного информированного согласия на публикацию медицинской информации.
Consent for publication. Written consent was obtained from the patient for publication of relevant medical information and all of accompanying images within the manuscript.
About the authors
Marina D. Budurova
Hertsen Moscow Oncology Research Institute – branch of the National Medical Research Radiological Centre; Yevdokimov Moscow State University of Medicine and Dentistry
							Author for correspondence.
							Email: m.budurova@rambler.ru
				                	ORCID iD: 0000-0003-1391-0516
				                																			                								
d. sci. (med.)
Russian Federation, MoscowVladimir S. Trifanov
Hertsen Moscow Oncology Research Institute – branch of the National Medical Research Radiological Centre; Peoples' Friendship University of Russia (RUDN University)
														Email: trifan1975@yandex.ru
				                	ORCID iD: 0000-0003-1879-6978
				                																			                								
head of the surgical department
Russian Federation, MoscowVladimir V. Kopylov
Hertsen Moscow Oncology Research Institute – branch of the National Medical Research Radiological Centre
														Email: copylow.vladimir@yandex.ru
				                	ORCID iD: 0000-0001-7608-128X
				                																			                								
cand. sci. (med.)
Russian Federation, MoscowOlga S. Kuznetsova
Hertsen Moscow Oncology Research Institute – branch of the National Medical Research Radiological Centre
														Email: olga-sudalenko@yandex.ru
				                	ORCID iD: 0000-0003-1789-4007
				                																			                								
pathologist
Russian Federation, MoscowMaria A. Chernichenko
Hertsen Moscow Oncology Research Institute – branch of the National Medical Research Radiological Centre
														Email: mashustic04@mail.ru
				                	ORCID iD: 0000-0002-2427-9232
				                																			                								
cand. sci. (med.)
Russian Federation, MoscowSergey I. Poluektov
Hertsen Moscow Oncology Research Institute – branch of the National Medical Research Radiological Centre
														Email: Poluektovsi@yandex.ru
				                	ORCID iD: 0000-0001-7603-4221
				                																			                								
cand. sci. (med.)
Russian Federation, MoscowReferences
- Shimomura M, Okajima M, Hinoi T, et al. Identification of patients likely to benefit from metastasectomy in stage IV colorectal cancer. Int J Colorectal Dis. 2012;27(10):1339-46. doi: 10.1007/s00384-012-1454-2
 - Mahmoud N, Bullard Dunn K. Metastasectomy for stage IV colorectal cancer. Dis Colon Rectum. 2010;53(7):1080-92. doi: 10.1007/DCR.0b013e3181dcadbc
 - Tsujimoto A, Ueda T, Kuge H, et al. Long-term survival after adrenal metastasectomy from colorectal cancer: a report of two cases. Surg Case Rep. 2019;5(1):61. doi: 10.1186/s40792-019-0611-z
 - Вишневский А.В., Андрейцева О.И., Харазов А.Ф., и др. Метастаз колоректального рака в надпочечник, осложненный опухолевым тромбозом нижней полой вены (клиническое наблюдение и обзор литературы). Хирургия. Журнал им. Н.И. Пирогова. 2015;(1):68-72 [Vishnevskii AV, Andreytseva OI, Kharazov AF, et al. Epinephros metastasis of colorectal cancer complicated by tumor thrombosis of inferior vena cava. Pirogov Russian Journal of Surgery = Khirurgiya. Zurnal im. N.I. Pirogova. 2015;(1):68-72 (in Russian)]. doi: 10.17116/hirurgia2015168-72
 - Moreno P, de la Quintana Basarrate A, Musholt TJ, et al. Adrenalectomy for solid tumor metastases: Results of a multicenter European study. Surgery. 2013;154(6):1215-22; discussion 1222-3. doi: 10.1016/j.surg.2013.06.021
 - Shoji Y, Dohke M, Masuda T, et al. Solitary adrenal metastasis in a patient with sigmoid colon cancer; report of a case. Int J Gastrointest Cancer. 2006;37(4):120-3. doi: 10.1007/s12029-007-9001-z
 - Muth A, Persson F, Jansson S, et al. Prognostic factors for survival after surgery for adrenal metastasis. Eur J Surg Oncol. 2010;36(7):699-704. doi: 10.1016/j.ejso.2010.04.002
 - Thrumurthy SG, Jadav AM, Pitt M, et al. Metachronous bilateral adrenal metastases following curative treatment for colorectal carcinoma. Ann R Coll Surg Engl. 2011;93(6):e96-8. doi: 10.1308/147870811X591134
 - Uemura M, Kim HM, Ikeda M, et al. Long-term outcome of adrenalectomy for metastasis resulting from colorectal cancer with other metastatic sites: A report of 3 cases. Oncol Lett. 2016;12(3):1649-54. doi: 10.3892/ol.2016.4897
 - Jabir H, Tawfiq N, Moukhlissi M, et al. Metachronous bilateral isolated adrenal metastasis from rectal adenocarcinoma: A case report. Case Rep Gastrointest Med. 2014;2014:516403. doi: 10.1155/2014/516403
 - Muñoz-Atienza V, Manzanares-Campillo MC, Sánchez-García S, et al. Bilateral laparoscopic adrenalectomy for synchronous metastasis of colonic cancer. Int J Colorectal Dis. 2012;27(10):1389-90. doi: 10.1007/s00384-012-1429-3
 - Kosmidis C, Efthimiadis C, Anthimidis G, et al. Adrenalectomy for solitary adrenal metastasis from colorectal cancer: a case report. Cases J. 2008;1(1):49. doi: 10.1186/1757-1626-1-49
 - Murakami S, Terakado M, Hashimoto T, et al. Adrenal metastasis from rectal cancer: Report of a case. Surg Today. 2003;33(2):126-30. doi: 10.1007/s005950300028
 - Мошуров И.П., Сидоров Д.В., Головков Д.А., и др. Клинический случай массивного изолированного метастатического поражения надпочечника при колоректальном раке. Исследования и практика в медицине. 2015;2(3):89-92 [Moshurov IP, Sidorov DV, Golovkov DA, et al. Clinical case of a massive isolated metastatic adrenal lesion in colorectal cancer. Issled. Prakt. Med. 2015; 2(3):89-92 (in Russian)]. doi: 10.17709/2409-2231-2015-2-3-89-92
 - Katayama A, Mafune K, Makuuchi M. Adrenalectomy for solitary adrenal metastasis from colorectal carcinoma. Jpn J Clin Oncol. 2000;30(9):414-6. doi: 10.1093/jjco/hyd104
 - Chen L, Wang D, Mao W, et al. A case of long-term survival after curative resection for synchronous solitary adrenal metastasis from rectal cancer. Pak J Med Sci. 2014;30(1):216-9. doi: 10.12669/pjms.301.4341
 - Mourra N, Hoeffel C, Duvillard P, et al. Adrenalectomy for clinically isolated metastasis from colorectal carcinoma: report of eight cases. Dis Colon Rectum. 2008;51(12):1846-9. doi: 10.1007/S10350-008-9235-2
 - de Haas RJ, Rahy Martin AC, Wicherts DA, et al. Long-term outcome in patients with adrenal metastases following resection of colorectal liver metastases. Br J Surg. 2009;96(8):935-40. doi: 10.1002/bjs.6646
 - Kanjo T, Albertini M, Weber S. Long-term disease-free survival after adrenalectomy for isolated colorectal metastases. Asian J Surg. 2006;29(4):291-3. doi: 10.1016/S1015-9584(09)60105-6
 - Raices M, Boccalatte L, Rossi G, Wright F. Synchronous contralateral adrenal metastasis of colorectal cancer: case report. J Surg Case Rep. 2017;2017(6):rjx098. doi: 10.1093/jscr/rjx098
 - Liu YY, Chen ZH, Zhai ET, et al. Case of metachronous bilateral isolated adrenal metastasis from colorectal adenocarcinoma and review of the literature. World J Gastroenterol. 2016;22(14):3879-84. doi: 10.3748/wjg.v22.i14.3879
 - Tsuchida K, Watanabe H, Kameda Y, et al. A case of solitary adrenal metastasis from rectal cancer treated by adrenalectomy after preoperative chemotherap. Gan To Kagaku Ryoho. 2016;43(12):1751-3. PMID: 28133120 Japanese
 - Chen L, Wang D, Mao W, et al. A case of longterm survival after curative resection for synchronous solitary adrenal metastasis from rectal cancer. Pak J Med Sci. 2014;30(1):216-9. doi: 10.12669/pjms.301.4341
 - Moreno-Elola A, Moreno-Gonzalez E, Alonso-Casado O, et al. Exceptional bilateral adrenalectomy after secondaries from colorectal cancer. Hepatogastroenterology. 2004;51(55):103-5. PMID: 15011840
 - Falcone A, Ricci S, Brunetti I, et al. Phase III trial of infusional fluorouracil, leucovorin, oxaliplatin, and irinotecan (FOLFOXIRI) compared with infusional fluorouracil, leucovorin, and irinotecan (FOLFIRI) as first-line treatment for metastatic colorectal cancer: The Gruppo Oncologico Nord Ovest. J Clin Oncol. 2007;25(13):1670-6. doi: 10.1200/JCO.2006.09.0928
 - Masuyama K, Shimada K, Uotani H, et al. A case of rectal cancer with metastasis to left adrenal cortical carcinoma (in Japanese with English abstract). Geka Gakkai Zasshi (J Jpn Surg Assoc). 2001;62:192-6.
 - Yamada T, et al. A resected case of adrenal metastasis from colon cancer (in Japanese). Shujutsu (Operation). 2001;55:1421-5.
 - Alvandipour M, Karami MY, Khalvati M, Khodabakhsh H. Incidentally solitary, synchronous, metastatic left adrenal mass from colon cancer. Ann Coloproctol. 2016;32(2):79-82. doi: 10.3393/ac.2016.32.2.79
 - Sancho JJ, Triponez F, Montet X, Sitges-Serra A. Surgical management of adrenal metastases. Langenbecks Arch Surg. 2012;397(2):179-94. doi: 10.1007/s00423-011-0889-1
 - Capaldi M, Ricci G, Bertolini R, et al. Colon cancer adrenal metastasis: Case report and review of the literature. G Chir. 2011;32(8-9):361-3. PMID: 22018256
 - Crisci A, Cartei G, De Antoni P, et al. Surgical management of isolated bilateral adrenal metastases from colon carcinoma causing adrenal insufficiency. Urol Int. 2001;67(1):113-6. doi: 10.1159/000050963
 - Hayashi H, Murase Y, Sano H, et al. Complete resection of rectal cancer with a synchronous solitary adrenal metastasis: A case report. Int J Surg Case Rep. 2020;75:242-5. doi: 10.1016/j.ijscr.2020.09.094
 
Supplementary files
				
			
					
						
						
				




