Virus-associated pharynx tumors in a 16-year-old boy: the description of the clinical case
- Authors: Gorbunova T.V.1, Radtsig E.I.2, Merkulov O.A.1, Bogomil’skii M.R.2, Poliakov V.G.1
-
Affiliations:
- Blokhin National Medical Research Center of Oncology
- Pirogov Russian National Research Medical University
- Issue: Vol 22, No 2 (2020)
- Pages: 137-141
- Section: Clinical Case
- Submitted: 15.07.2020
- Accepted: 15.07.2020
- Published: 15.07.2020
- URL: https://modernonco.orscience.ru/1815-1434/article/view/35197
- DOI: https://doi.org/10.26442/18151434.2020.2.200119
- ID: 35197
Cite item
Full Text
Abstract
Objectives. The relationship between the development of the number of malignant tumors in children and viruses is well known. The etiological role of the Epstein–Barr virus in the development of undifferentiated nasopharyngeal cancer (NPC) has been well studied. The effect of human papillomavirus (HPV) on the occurrence and development of NPC in children is not sufficiently understood.
Aim. The description of the clinical case of the Epstein Barr virus and HPV infection in 16-year-old patient with the consistent development of NPC and oropharyngeal papillomatosis.
Description of the clinical case. The clinical observation of the boy who was diagnosed with NPC. The full clinical effect in the form of reduction of the primary tumor and metastases in the lymph nodes of the neck was noted after chemo- and radiotherapy. 18 months after the cure according to the positron emission tomography, combined with computed tomography, with 18F-deoxyglucose we marked the accumulation of radiopharmaceuticals in the area of the left palatine and lingual tonsils. The examination revealed clinical signs of the soft palate papillomatosis. The resection of the soft palate was carried out. The morphological study confirmed squamous cell papilloma. HPV type 16 DNA was found in the papilloma.
Conclusion. The accumulation of the information concerning childhood pharynx lesions caused by HPV would help to expand understanding of the most common types of the virus in the paediatric population. It would be possible to identify the groups of risk for the development of malignant tumors on the grounds of the detection HPV types of highly carcinogenic risk.
Full Text
Вирусная природа онкологических заболеваний занимает одно из центральных мест в современных исследованиях причин возникновения злокачественных опухолей. Вирус папилломы человека (ВПЧ) – широко распространенный возбудитель инфекций у взрослых и детей. По мнению S. Syrjänen (2010 г.), имеется бимодальный пик заболеваемости папилломами у детей раннего возраста и пожилых людей [1]. Основными путями инфицирования у детей является вертикальная передача от матери плоду и новорожденному, при тесном контакте, как правило, при поцелуях и сексуальных контактах [2].
В большинстве случаев присутствие вируса носит транзиторный характер. Однако при нарушениях иммунных механизмов проявления ВПЧ могут персистировать. Заболевания полости рта и ротоглотки у детей, вызываемые ВПЧ, часто протекают бессимптомно и обнаруживаются только при осмотре. Напротив, папилломатоз гортани проявляется нарушениями голосовой и дыхательной функций и служит причиной раннего обращения родителей ребенка к оториноларингологу.
Потенциально онкогенные ВПЧ разделяются на типы с высоким и низким риском канцерогенности. К высококанцерогенным типам относятся 16, 18, 31, 33, 35, 52, 56, 58, 59, 68, 73 и 82-й. Такие типы ВПЧ, как 6, 11, 40, 42, 43, 44, 54, 61, 70, 72 и 81-й, имеют низкий канцерогенный потенциал [3].
Клинические проявления ВПЧ-инфекции очень разнообразны и зависят от локализации и распространенности заболевания. Классические поражения, связанные с ВПЧ, представлены плоскоклеточной папилломой, остроконечной кондиломой (ВПЧ-2 и ВПЧ-57), вульгарными бородавками и фокальной эпителиальной гиперплазией (ВПЧ-13 и ВПЧ-32). Поражения полости рта включают эритроплакию (ВПЧ-16), пролиферативную веррукозную лейкоплакию (ВПЧ-16), плоскоклеточный рак полости рта (ВПЧ-16 и ВПЧ-19) и красный плоский лишай (ВПЧ-6). Основными возбудителями папиллом полости рта и гортани чаще являются ВПЧ 6 и 11-го типа. В небных миндалинах обнаруживаются ВПЧ 16 и 18-го типа [4].
В исследованиях выявлена связь между ДНК вируса и клетками врожденного и приобретенного иммунитета [5]. Онкогенные протеины вируса Е6 и Е7 участвуют в клеточной трансформации и малигнизации. Эти белки способны инактивировать важнейшие супрессоры – р53 и рRb (белок гена ретинобластомы), что приводит к нарушению апоптоза и неконтролируемому увеличению количества эпителиальных клеток [6, 7].
Впервые H. zur Hausen и соавт. обнаружили ДНК ВПЧ при кондиломах и раке шейки матки в 1974 г. S. Syrjänen в 1983 г. первым предположил участие ВПЧ в канцерогенезе рака гортани, полости рта и глотки [3]. Позже это предположение подтвердили исследования H. zur Hausen (2002 г.), J. Erdman (2003 г.), S. Nair и M. Pillai (2005 г.) [8–10]. По данным современных исследований факторы риска развития плоскоклеточного рака полости рта и ротоглотки схожи с факторами риска рака шейки матки и включают число половых партнеров, молодой возраст первого полового контакта, практику орального секса и анамнез генитальных бородавок [4, 7, 10–12].
Взаимосвязь развития ряда злокачественных опухолей у детей с вирусами хорошо известна. К группе опухолей, локализованных в области рото- и носоглотки, ассоциированных с вирусами, относятся недифференцированный рак носоглотки (РН) и экстранодальная NK/T-клеточная лимфома [13]. РН – одна из самых частых эпителиальных злокачественных опухолей у детей. В эндемичных районах Китая, Юго-Восточной Азии, странах Средиземноморья и Северной Африки РН встречается в детском возрасте в 2 случаях на 1 млн детского населения [14]. В неэндемичных районах заболеваемость детей значительно ниже – 0,25–0,8 на 1 млн детского населения [11, 15]. Хорошо изучена этиологическая роль вируса Эпштейна–Барр (ВЭБ) в развитии недифференцированного варианта РН. Описаны случаи РН, ассоциированного с ВПЧ [16]. При этом данные о числе детей, инфицированных ВПЧ и заболевших РН, в медицинской литературе практически не встречаются.
Цель – описание клинического случая инфицирования ВЭБ и ВПЧ у пациента с последовательным развитием РН и папилломатоза ротоглотки.
Описание клинического случая
В нашей клинике находился под наблюдением мальчик 16 лет, у которого родители заметили плотное образование на шее справа. Впервые обратились к врачу через 4 мес после появления первых симптомов.
Результаты компьютерной томографии (КТ) с контрастным усилением, выполненной до начала лечения, показали, что в области свода носоглотки и по задней стенке определяются патологические ткани, перекрывающие ее просвет, переходящие на небные миндалины, неоднородно и активно накапливающие контрастный препарат размером 37×42×78 мм. Размер шейно-подчелюстных лимфатических узлов – 36×40×54 мм. Признаков деструкции костей, вошедших в исследование, не выявлено. Результаты КТ представлены на рис. 1.
Рис. 1: а – стрелкой показаны патологические ткани в носоглотке, перекрывающие ее просвет, переходящие на небные миндалины, неоднородно накапливающие контрастный препарат; б – стрелкой показано практически полное сужение просвета носоглотки.
Fig. 1: a – the arrow shows pathological tissues in the nasopharynx, blocking the lumen, involving the palatine tonsils, heterogeneous accumulating contrast drug; b – the arrow shows almost complete narrowing of the nasopharynx lumen.
На основании данных ультразвукового исследования лимфатических узлов шеи справа определялось образование неоднородной пониженной эхогенности, с гиперэхогенными прослойками, четкими контурами и высокой васкуляризацией, размером 57×27×34 мм (измененный лимфатический узел?). Общая сонная артерия и внутренняя яремная вена проходят по задней поверхности образования. Надключичные лимфатические узлы не визуализируются.
Радиоизотопное исследование мягких тканей с 99mТс-технетрилом выявило, что имелось накопление радиофармпрепарата в области носоглотки и шеи справа – 123%.
Для оценки опухоли носоглотки проведена фиброскопия верхних дыхательных путей. Эндоскоп проведен через левый нижний носовой ход, который у своего дистального края несколько сужен. Всю полость свода носоглотки занимает опухоль, исходящая из глоточной миндалины. Слизистая оболочка на поверхности опухоли имеет неоднородную окраску с участками гиперемии. Выполнена биопсия опухоли. Провести эндоскоп дистальнее и осмотреть область ротоглотки не представляется возможным. Результат представлен на рис. 2.
Рис. 2. Стрелкой указана опухоль, которая занимает носоглотку и пролабирует в хоану.
Fig. 2. The arrow indicates the tumor that occupies the nasopharynx and prolapses into the choana.
КТ органов грудной клетки и ультразвуковое исследование органов брюшной полости не выявили признаков отдаленного метастазирования. Радиоизотопное исследование скелета подтвердило отсутствие признаков опухолевого поражения.
Для уточнения роли ВЭБ проведена серологическая диагностика, которая установила, что спектр и титры антител к основным белкам ВЭБ характерны для недифференцированного РН. Результаты представлены в таблице.
Результаты серологического исследования к белкам ВЭБ Results of the serological tests for Epstein Barr virus proteins | |||
Антитела | Название | Результат, Ед/мл | Нормы, принятые в лаборатории |
IgG к капсидному белку ВЭБ | EBV VCAIgG | 144,0 | <20 – не обнаружено ≥20 – обнаружено |
IgМ к капсидному белку ВЭБ | EBV VCAIgM | 6 | <20 – не обнаружено 20–40 – пограничный результат >40 – обнаружено |
IgG к ядерному антигену ВЭБ | EBV NAIgG | 347,0 | <5 – не обнаружено 5–20 – пограничный результат >20 – обнаружено |
Антитела к ранним белкам ВЭБ | IgG, EBV | 9,0 | <10 – не обнаружено 10–40 – пограничный результат >40 – обнаружено |
Примечание. Ig – иммуноглобулин. | |||
Выполнено морфологическое исследование материала из носоглотки. В готовом препарате частицы слизистой оболочки с покровом из респираторного эпителия и слизистыми железами. В фиброзной строме – очаговое разрастание злокачественной опухоли. Отмечена положительная экспрессия в клетках опухоли AE1/3, EMA, BerEP4. Отрицательная экспрессия синаптофизина. Патологоанатомическое заключение: недифференцированный РН.
На основании полученных результатов обследования установлен диагноз: РН, недифференцированный вариант (3-й тип по классификации WHO), метастазы в лимфатических узлах шеи слева, T2N1M0, стадия IIb.
Пациенту проводилась химиотерапия препаратами винбластин, доксорубицин, циклофосфамид, блеомицин, актиномицин D. Одновременно вводилась иммунотерапия оксодигидроакридинилацетатом натрия. Для консолидации лечения выполнялась лучевая терапия. На область носоглотки подведено 55,2 Гр, лимфатические узлы шеи слева согласно онкологическим канонам облучались с двух сторон – 45,6 Гр.
По данным обследования после завершения программной химиолучевой терапии достигнут положительный эффект в виде полного сокращения опухоли в носоглотке и метастатических узлов на шее. Для поддержания ремиссии в течение 6 мес проводилась иммунотерапия. Ребенок регулярно наблюдался у онколога.
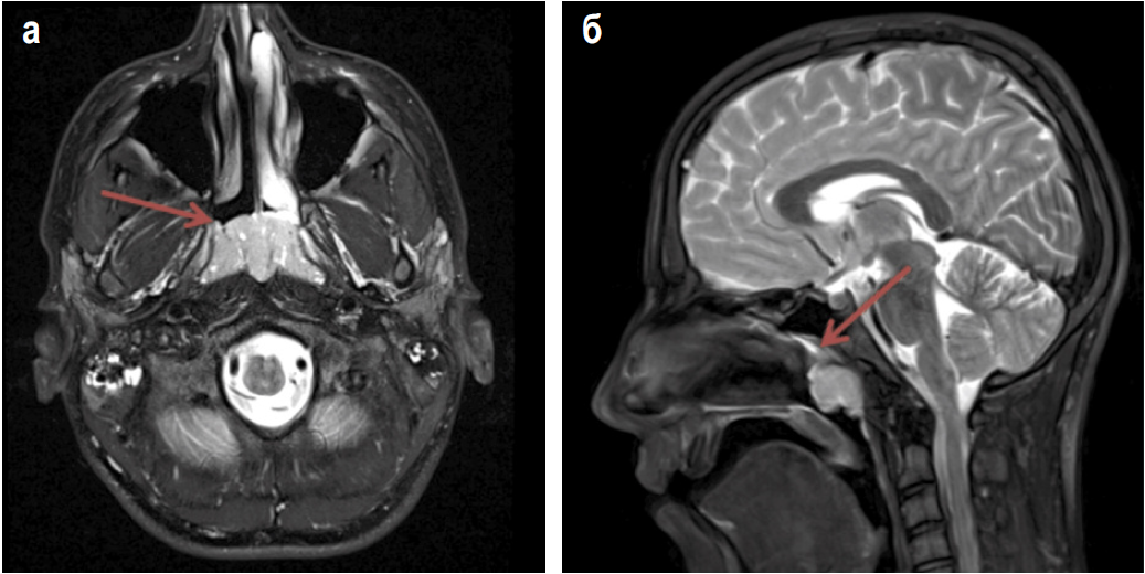
При очередном обследовании через 18 мес после завершения специального лечения по данным позитронной эмиссионной томографии, совмещенной с КТ, с 18F-дезоксиглюкозой возникли подозрения на рецидив РН. Основанием для этого был рост уровня накопления радиофармпрепарата в области небных и язычной миндалинах слева максимально до SUV 8,91 (ранее 5,11). Однако результаты магнитно-резонансной томографии носоглотки не показали признаков рецидива: в области свода носоглотки справа крайне неотчетливо сохранялись дополнительные ткани 1,0×0,9×0,5 см, не накапливающие контрастный препарат. Результаты представлены на рис. 3.
Рис. 3: а – стрелкой показан свод носоглотки с наличием нечетких дополнительных тканей; б – стрелкой показан свободный просвет носоглотки.
Fig. 3: a – the arrow shows the nasopharyngeal vault with the presence of indecipherable additional tissues; b – the arrow shows the clear lumen of the nasopharynx.
При осмотре оториноларингологом выявлены клинические признаки хронического риносинусита и папилломатоз мягкого неба.
В связи с подозрением на рецидив РН и папилломатозом мягкого неба решено провести биопсию тканей носоглотки и небных миндалин, а также выполнить удаление папиллом ротоглотки. Проведено эндоскопическое эндоназальное хирургическое вмешательство. Под контролем жесткого эндоскопа Хопкинса 0°, 4 мм визуализирована рубцовая ткань в своде носоглотки. Удалены выбухающие ткани на участке 1,5 см, взята биопсия небных миндалин. Гемостаз. В области мягкого неба визуализированы сосочковые разрастания розового цвета, которые не кровоточат (рис. 4). Произведены плоскостная резекция мягкого неба слева на участке 1,5×2 см, удаление папиллом. Гемостаз. Материал направлен на гистологическое исследование.
Рис. 4. Множественные папилломы мягкого неба.
Fig. 4. Multiple papillomas of the soft palate.
Морфологическое исследование удаленного материала показало, что гистологический материал из носоглотки и небных миндалин представлен фрагментами лимфоидной ткани, в которой сформированы реактивные фолликулы со светлыми центрами размножения. Опухоль не обнаружена. Морфологическое исследование тканей мягкого неба определило признаки плоскоклеточной папилломы. Определение типа ВПЧ выполнялось методом секвенирования по Сенгверу, метод детекции CPI-CPIIG. В материале папилломы обнаружена ДНК ВПЧ 16-го типа.
Пациенту рекомендованы вакцинация против ВПЧ и продолжение наблюдения у онколога. На 01.02.2020 он находится в ремиссии по основному заболеванию в течение 8 мес, признаков ВПЧ-ассоциированных заболеваний не выявлено.
Обсуждение
В Северной Америке и Европе отмечен рост заболеваемости плоскоклеточным ороговевающим раком полости рта, ассоциированным с ВПЧ. Данные многоцентрового исследования, сообщенные V. Bouvard и соавт. (2009 г.), показали, что распространенность ВПЧ среди больных раком миндалин составила 57% [17]. J. St Guily и соавт. (2011 г.), обобщили результаты 60 исследований из 26 стран, включающие 5046 случаев плоскоклеточного рака головы и шеи. Признаки ВПЧ выявлены в 35,6% случаев у больных раком ротоглотки, 23,5 и 24% – у больных раком полости рта и гортани [18]. При этом обнаружение высококанцерогенных типов ВПЧ различается в зависимости от локализации рака. Например, инфицирование ВПЧ 16-го типа установлено у 50% пациентов, страдающих плоскоклеточным раком головы и шеи, но только у 20% обнаружен этот тип вируса при поражении полости рта [19, 20].
S. Syrjänen и соавт. (2000 г.) изучили различные пути передачи ВПЧ. По мнению авторов, ДНК ВПЧ 16-го типа обнаружена в клетках эпителия полости рта у 47% здоровых детей от 3 до 7 лет. Учитывая высокую распространенность онкогенных 16 и 18-го типов ВПЧ в популяции, нельзя исключить его кофакторное влияние на риск развития РН [21]. Данные Н.В. Бойко и соавт. (2017 г.) отчасти подтверждают это наблюдение. Исследование образцов носоглоточного эпителия пациентов с папилломатозом выявило высококанцерогенный ВПЧ 33-го типа в ассоциации с ЭБВ [22].
В описанном случае пациента М. мы наблюдали инфицирование двумя канцерогенными вирусами. Реализация злокачественной трансформации, обусловленной ЭБВ, привела к развитию недифференцированного РН в детском возрасте, а инфицирование ВПЧ – к возникновению папилломатоза ротоглотки. С одной стороны, приведенные факты в полной мере отражают снижение Т-клеточного звена иммунитета у больных злокачественными опухолями носоглотки [23]. С другой стороны, в исследованиях E. Lo и соавт. (2010 г.), J. Maxwell (2010 г.), Z. Lin (2013 г.) обсуждается вопрос о роли ВПЧ в этиологии РН. Одни авторы считают, что коинфекция участвует в развитии РН в эндемичных районах [24–26]. H. Matthew и соавт. (2014 г.) исследовали образцы ткани больных РН и установили, что 30% из них были ВПЧ-позитивными. При этом не зарегистрировано случаев одновременного инфицирования ЭБВ и ВПЧ [16]. В исследовании M. Ruuskanen и соавт. (2019 г.) из Финляндии сообщается об обнаружении ВПЧ в опухолевой ткани у 6% пациентов с недифференцированным РН [27]. По данным M. Švajdler и соавт. (2016 г.), ВПЧ-позитивные случаи коррелировали со 2-м типом по классификации WHO (плоскоклеточным неороговевающим) РН, который крайне редко встречается в детском возрасте [28].
Не менее интересна связь ВПЧ с плоскоклеточными раками, которые развиваются как вторая опухоль после излеченного РН. Риск развития вторых опухолей повышен у пациентов, перенесших РН до 12 лет, по сравнению со старшим возрастом: 68% vs 54% [28]. В исследованиях Бостонского университета (США) за 43-летний период отмечено 5 случаев выявления вторых опухолей. Среди этих случаев базальноклеточный рак кожи, мукоэпидермоидный рак слюнных желез, плоскоклеточный рак верхнечелюстной пазухи, колоректальный рак [29]. Представленный нами клинический случай также интересен с точки зрения возникновения второй эпителиальной опухоли у пациента, в детстве перенесшего РН. Сложно высказать мнение о достоверности малигнизации в будущем папиллом глотки, но, учитывая высокую канцерогенность ВПЧ 16-го типа, такие дети подлежат тщательному наблюдению онколога. Профилактической мерой повторного инфицирования, в том числе и другими типами ВПЧ, может быть вакцинация [30, 31].
Заключение
Обобщая представленные данные, следует сказать, что влияние ВПЧ-инфекции на развитие и течение опухолевой патологии у детей остается неизученным. Накопление информации о поражениях, обусловленных ВПЧ в детском возрасте, позволит расширить представления о наиболее распространенных типах этого вируса в детской популяции. На основании обнаружения высококанцерогенных типов ВПЧ возможно выделение группы риска по развитию злокачественных опухолей. Для профилактики ВПЧ-ассоциированных злокачественных опухолей эту группу пациентов необходимо вакцинировать по современным программам, независимо от пола ребенка.
Конфликт интересов. Авторы заявляют об отсутствии конфликта интересов.
Conflict of interests. The authors declare that there is not conflict of interests.
About the authors
Tatiana V. Gorbunova
Blokhin National Medical Research Center of Oncology
Author for correspondence.
Email: wasicsol@mail.ru
ORCID iD: 0000-0001-5805-726X
Cand. Sci. (Med.)
Russian Federation, MoscowElena Iu. Radtsig
Pirogov Russian National Research Medical University
Email: radtsig_e@rsmu.ru
ORCID iD: 0000-0003-4613-922X
D. Sci. (Med.), Prof.
Russian Federation, MoscowOleg A. Merkulov
Blokhin National Medical Research Center of Oncology
Email: 9166718244@mail.ru
ORCID iD: 0000-0002-8533-0724
Cand. Sci. (Med.)
Russian Federation, MoscowMikhail R. Bogomil’skii
Pirogov Russian National Research Medical University
Email: 9166718244@mail.ru
D. Sci. (Med.), Prof., Acad. RAS
Russian Federation, MoscowVladimir G. Poliakov
Blokhin National Medical Research Center of Oncology
Email: vgp-04@mail.ru
ORCID iD: 0000-0002-8096-0874
D. Sci. (Med.), Prof., Acad. RAS
Russian Federation, MoscowReferences
- Syrjänen S. Current concepts on human papillomavirus infections in children APMIS 2010; 118 (6–7): 494–509. doi: 10.1111/j.1600-0463.2010.02620.x
- Wojtera M, Paradis J, Husein M et al. The prevalence of human papillomavirus in pediatric tonsils: a systematic review of the literature. J Otolaryngol Head Neck Surg 2018 30; 47 (1): 8. doi: 10.1186/s40463-018-0255-1
- Syrjänen K, Syrjänen S, Lamberg M et al. Morphological and immunohistochemical evidence suggesting human papillomavirus (HPV) involvement in oral squamous cell carcinogenesis. Int J Oral Surg 1983; 12 (6): 188–96.
- Testi D, Nardone M, Melone P et al. HPV and oral lesions: preventive possibilities, vaccines and early diagnosis of malignant lesions Oral Implantol (Rome) 2015; 8 (2–3): 45–51. doi: 10.11138/orl/2015.8.2.045
- Moore P, Chang Y. Why do viruses cause cancer? Higlights of the first century of human tumor virology. Nat Rev Cancer. 2010; 10: 878–89.
- Scheffner M, Werness B, Huibregtse J et al. The E6 oncoprotein encoded by human papillomavirus 16 and 18 promotes the degradation of p53. Cell 1990; 21: 1129–36.
- Klaes R, Woerner S, Ridder R, Wentzense N et al. Detection of high-risk cervical interaepithelial neoplasia and cervical cancer by amplification of transcripts derived from integrated papillomavirus oncogenes. Cancer Res 1990; 59: 6132–6.
- Zur Hausen H. Papillomavirus and cancer: from basicstudies to clinical application. Nat Rev Cancer 2002; 2: 342–50.
- Erdman J. Recent studies/attempt to clarify relationship between oral cancer and human papillomavirus. J Nat Cancer Inst 2003; 95: 638–9.
- Nair S, Pillai M. Human papillomavirus and disease mechanisms: relevance to oral and cervical cancer. Oral Dis 2005; 11: 350–9.
- Brennan B. Nasopharyngeal carcinoma. Orphanet J Rare Dis 2006; 1: 23.
- Lu S, Chang H, Sun X et al. Long-Term Outcomes of Nasopharyngeal Carcinoma in 148 Children and Adolescents. Medicine (Baltimore) 2016; 95 (17): e3445.
- Chan J. Virus-associated neoplasms of the nasopharynx and sinonasal trac: diagnostic problems. Modern Pathology 2017; 30: 568–83.
- Vaughan TL, Shapiro JA, Burt RD et al. Nasopharyngeal cancer in a low-risk population: defining risk factors by histological type. Cancer Epidemiol Biomarkers Prev 1996; 5 (8): 587–93.
- Rodriguez-Galindo C, Wofford M, Castleberry RP et al. Preradiation chemotherapy with methotrexate, cisplatin, 5-fluorouracil, and leucovorin for pediatric nasopharyngeal carcinoma. Cancer 2005; 103 (4): 850–7.
- Stenmarc M, McHugh JB, Schipper M et al. Nonendemic HPV-Positive Nasopharingeal Carcinoma: association with poor prognosis Int J Radiat Oncol Biol Phys 2014; 88 (3): 580–8.
- Bouvard V, Baan R, Straif K et al; A review of human carcinogens. Part B: biological agents. WHO International Agency for Research on Cancer Monograph Working Group. Lancet Oncol 2009; 10 (4): 321–2.
- St Guily JL, Jacquard AC, Prétet JL et al. Human papillomavirus genotype distribution in oropharynx and oral cavity cancer in France – The EDiTH VI study. J Clin Virol 2011; 51 (2): 100–4. doi: 10.1016/j.jcv.2011.03.003
- Siriwardena BS, Tilakaratne A, Amaratunga EA et al. Demographic, etiological and survival differences of oral squamous cell carcinoma in the young and the old ni Sri Lanka. Oral Oncol 2006; 42: 831–6.
- Udeabor S, Rana M, Wegener G et al. Squamous cell carcinoma of the oral cavity and the oropharynx in patients lee than 40 years of age: a 20-year analysis. Head and Neck Oncology 2012; 4: 28–34.
- Syrjänen S, Puranen M. Human papillomavirus infections in children: the potential role of maternal transmission. Crit Rev Oral Biol Med 2000; 11 (2): 259–74.
- Бойко Н.В., Панченко С.Н. Обнаружение вируса папилломы человека при гиперпластических процессах в ЛОР-органах. Вестн. оториноларингологии. 2017; 2: 51–4. [Boiko N.V., Panchenko S.N. Obnaruzhenie virusa papillomy cheloveka pri giperplasticheskikh protsessakh v LOR-organakh. Vestn. otorinolaringologii. 2017; 2: 51–4 (in Russian).]
- Tamura S, Yamazaki A, Kunimoto M et al. Impaired Long-Term T-cell Immuniti to Epstein-Barr Virus in Patients With Nasopharyngeal Carcinoma. Jpn J Cancer Res 1992; 83 (5): 445–9.
- Lo E, Bell D, Woo J et al. Human papillomavirius and who type I nasopharyngeal carcinoma. Laryngoscope 2010; 120: 1990–7.
- Maxwell J, Kumar B, Feng F et al. Hpv-positive/p16-positive/ebv-negative nasopharyngeal carcinoma in white north americans. Head Neck 2010; 32: 562–7. doi: 10.1002/hed.21216
- Lin Z, Khong B, Kwok S et al. Human papillomavirus16 detected in nasopharyngeal carcinomas in Caucasian americans but not in endemic southern Chinese patients. Head Neck 2013.
- Ruuskanen M, Irjala H, Minn H et al. Epstein-Barr virus and human papillomaviruses as favorable prognostic factors in nasopharyngeal carcinoma: a nationwide study in Finland. Head Neck 2019; 41: 349–57.
- Švajdler M Jr, Mezencev R, Kašpírková J et al. Human papillomavirus infection and p16 expression in the immunocompetent patients with extragenital/extraungual Bowen’s disease. Diagn Pathol 2016; 11 (1): 53.
- Cheuk DK, Billups CA, Martin MG et al. Prognostic factors and long-term outcomes of childhood nasopharyngeal carcinoma. Cancer 2011; 117 (1): 197–206. doi: 10.1002/cncr.25376
- Huh WK, Joura EA, Giuliano AR et al. Final efficacy, immunogenicity, and safety analyses of a nine-valent human papillomavirus vaccine in women aged 16-26 years: a randomised, double-blind trial. Lancet 2017; 390 (10108): 2143–59. doi: 10.1016/S0140-6736 (17)31821-4
- Bergman H, Buckley BS, Villanueva G et al. Comparison of different human papillomavirus (HPV) vaccine types and dose schedules for prevention of HPV-related disease in females and males. Cochrane Database Syst Rev 2019; 2019 (11).
Supplementary files







