Современный взгляд на вопросы диагностики и верификации поражения аксиллярных лимфатических узлов при раннем раке молочной железы
- Авторы: Колядина И.В.1,2, Данзанова Т.Ю.3, Хохлова С.В.2, Трофимова О.П.1,3, Ковалева Е.В.3, Родионов В.В.2, Поддубная И.В.1
-
Учреждения:
- ФГБОУ ДПО «Российская медицинская академия непрерывного профессионального образования» Минздрава России
- ФГБУ «Национальный медицинский исследовательский центр акушерства, гинекологии и перинатологии им. академика В.И. Кулакова» Минздрава России
- ФГБУ «Национальный медицинский исследовательский центр онкологии им. Н.Н. Блохина» Минздрава России
- Выпуск: Том 22, № 1 (2020)
- Страницы: 46-52
- Раздел: КЛИНИЧЕСКАЯ ОНКОЛОГИЯ
- Статья получена: 25.05.2020
- Статья одобрена: 25.05.2020
- Статья опубликована: 28.05.2020
- URL: https://modernonco.orscience.ru/1815-1434/article/view/34171
- DOI: https://doi.org/10.26442/18151434.2020.1.200018
- ID: 34171
Цитировать
Полный текст
Аннотация
Поражение аксиллярных лимфатических узлов является одним из важнейших прогностических факторов, существенно влияющих на стратегию лечения при раннем раке молочной железы (РМЖ). Риск аксиллярного метастазирования напрямую зависит от ряда факторов (возраста пациенток, размера опухоли, наличия лимфоваскулярной инвазии и биологических характеристик карциномы). Оценка статуса регионарных лимфоузлов у больных ранним РМЖ включает клинический осмотр регионарных зон и ультразвуковое исследование (УЗИ), при котором возможно оценить форму, контуры и структуру лимфатических узлов. Чувствительность УЗИ в оценке статуса регионарных лимфатических узлов напрямую зависит от биологического подтипа опухоли; минимальный уровень чувствительности УЗИ в оценке статуса лимфатических узлов отмечен для люминального HER2-негативного рака (менее 40%), и максимальная чувствительность показана для тройного негативного и HER2+ подтипов заболевания (68–71%). Клинический осмотр и современное УЗИ являются наиболее доступными методами оценки статуса регионарных лимфатических узлов, однако вероятность недооценки их метастатического поражения имеют около 1/4 больных. Верификация диагноза на предоперационном этапе (тонкоигольная биопсия/core-биопсия под ультразвуковой навигацией) позволяет минимизировать число ошибок регионарного стадирования. Биопсия «сторожевого» («сигнального») лимфатического узла (БСЛУ) является в настоящее время «золотым стандартом» регионарного лечения у больных с ранними стадиями РМЖ. В серии рандомизированных исследований (NSABP B-32, ACOSOG Z0011) показана безопасность отказа от регионарной лимфодиссекции в пользу БСЛУ не только при клинически негативных лимфатических узлах, но и у пациенток с метастазами в ≤2 сигнальных лимфатических узлах, при условии выполнения органосохраняющего лечения и последующей лучевой терапии. Качественное регионарное стадирование, выбор лечебного алгоритма в соответствии с биологическими характеристиками карциномы, проведение максимально эффективных современных лекарственных режимов, проведение оптимальной лучевой терапии позволяют не только минимизировать объем хирургического лечения, но и достичь высоких отдаленных результатов выживаемости, обеспечить отличные функциональные результаты и высокое качество жизни у пациенток с пораженными аксиллярными лимфатическими узлами.
Полный текст
Поражение аксиллярных лимфатических узлов является одним из важнейших прогностических факторов, существенно влияющих на стратегию лечения при раннем раке молочной железы (РМЖ) [1, 2]. До открытия молекулярно-генетической классификации и деления РМЖ на биологические подтипы именно размер первичной опухоли и статус регионарных лимфатических узлов считались самыми важными факторами, на основании которых планировался лечебный алгоритм и оценивался риск развития рецидива заболевания. Пациенткам с N+ статусом вне зависимости от других биологических характеристик традиционно назначались более агрессивные режимы лечения как локорегионарного, так и системного [3–5]. Однако накопление наших знаний о роли биологии опухоли в прогнозе заболевания и появление новых эффективных режимов лекарственной терапии позволили пересмотреть наши взгляды на клиническое и прогностическое значение поражения аксиллярных лимфатических узлов при раннем РМЖ [6, 7].
Риск аксиллярного метастазирования при раннем РМЖ напрямую зависит от ряда факторов (размера опухоли, наличия лимфоваскулярной инвазии и биологических характеристик карциномы). Причем поражение аксиллярных лимфатических узлов описано даже у больных с неинвазивным раком; при протоковой карциноме in situ (DCIS) без признаков инвазивного роста в 0,8% случаев при выполнении аксиллярной лимфодиссекции выявляются метастазы в лимфатических узлах, а при DCIS с микроинвазией поражение аксиллярных лимфатических узлов имеют уже 9,7% пациенток [8, 9]. Частота выявления аксиллярных метастазов при размерах опухоли T1-2 составляет 28–36% [8, 10]. При крупных размерах опухоли (более 5,0 см) вероятность поражения аксиллярных лимфатических узлов кратно возрастает. По данным M. Chung и соавт., у больных с клинической стадией T3N0M0 на этапе хирургического лечения аксиллярные метастазы в сторожевых лимфатических узлах выявляются уже в 73% случаев, что требует выполнения регионарной лимфодиссекции практически всем больным с карциномами более 5 см [11].
По мнению ряда авторов, риск аксиллярного метастазирования у пациенток с ранними стадиями РМЖ напрямую зависит не только от размера опухоли, но и от возраста пациентки и наличия лимфоваскулярной инвазии. Так, J. McGee и соавт. показали, что регионарная лимфодиссекция у 6308 больных с микрокарциномами менее 5 мм (T1a) с клинически негативными лимфатическими узлами позволила выявить аксиллярные метастазы в 12% случаев [12]. У больных с размером опухоли T1b (6–10 мм) отмечено увеличение риска регионарного метастазирования на 5–10% [10]. По мнению D. Rivadeneira и соавт., частота поражения аксиллярных лимфатических узлов при размерах опухоли до 1,0 см составляет 18% (16% – при размерах T1a и 18,5% – при размерах карциномы T1b); авторы отмечают, что степень анаплазии G3 увеличивает риск регионарного поражения в 2,6 раза, а наличие лимфоваскулярной инвазии – в 5,5 раза; p<0,01 [13].
Исследования последних лет показали значимую корреляцию биологических характеристик опухоли с вероятностью аксиллярного метастазирования при раннем РМЖ. По данным Т. Liu и соавт., при выполнении аксиллярной лимфодиссекции у 528 пациенток с ранним РМЖ поражение лимфатических узлов отмечено в 58,3% случаев; доля пациенток с N0-статусом была максимальной при люминальном А и тройном негативном РМЖ (73,3 и 77,4% соответственно) и минимальной при люминальном B и HER2+ подтипах (45,3 и 40% соответственно); p<0,001 [14]. Аналогичные результаты отмечены в бразильском исследовании, в котором авторы показали, что риск аксиллярного метастазирования при HER2+ РМЖ выше в 2,6 раза по сравнению с другими биологическими подтипами [15].
Однако еще более неожиданные результаты оценки статуса регионарных лимфатических узлов представлены в исследовании N. Verheuvel и соавт. [16]. Казалось бы, поражение аксиллярных лимфатических узлов должно иметь неблагоприятное прогностическое значение вне зависимости от метода его детекции (выявлено при ультразвуковом исследовании – УЗИ как подозрительный лимфатический узел или только на этапе операции при исследовании морфологического материала). Тем не менее оказалось, что пациентки с аксиллярными лимфатическими узлами, выявленными на предоперационном этапе при клиническом осмотре или при выполнении УЗИ, имеют более агрессивные характеристики заболевания (крупные опухоли, высокую степень злокачественности, лимфоваскулярную инвазию, гормононегативный и/или HER2+ статус) по сравнению с женщинами, у которых регионарный статус лимфатических узлов трактовался как отрицательный на дооперационном этапе, а метастазы в аксиллярных лимфатических узлах выявлены только при морфологическом исследовании удаленного материала. Как итог, пациентки с предоперационным N+ статусом имели худшие показатели безрецидивной выживаемости – БРВ (HR 2,71) и общей выживаемости – ОВ (HR 2,67) по сравнению с женщинами, чей N+ статус установлен только на этапе хирургического лечения [16].
Клиническая, рентгенологическая и морфологическая оценка статуса регионарных лимфатических узлов на дооперационном этапе
В соответствии с рекомендациями ведущих онкологических сообществ (NCCN, ASCO, ESMO, AGO, RUSSCO) оценка статуса регионарных лимфатических узлов при раннем РМЖ должна быть выполнена на дооперационном этапе при клиническом мануальном осмотре, рентгенологическом исследовании (при УЗИ), а также при биопсии подозрительных или измененных лимфатических узлов [17–21]. Клиническое обследование любой пациентки с подозрением на РМЖ включает не только мануальный осмотр ткани молочных желез, но и осмотр и пальпацию регионарных зон, при этом оценивается наличие увеличенных узлов и их характеристики (плотность, подвижность, спаянность с окружающими тканями и т.д.) [17–21].
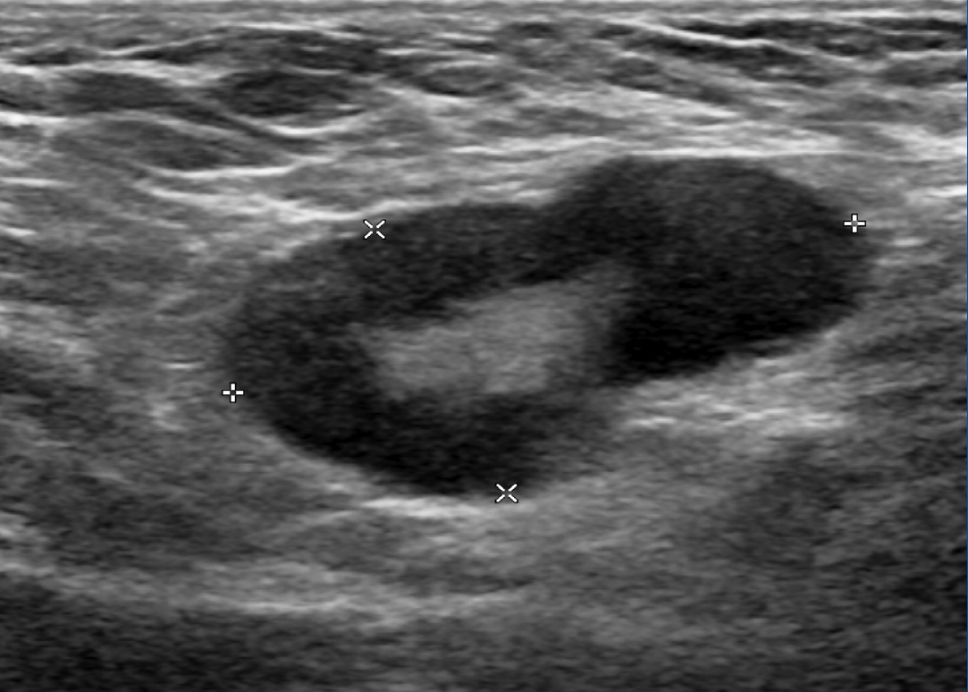
Наиболее удобным, доступным и хорошо изученным методом оценки статуса регионарных лимфатических узлов является УЗИ, при котором возможно оценить форму, контуры и структуру измененных лимфатических узлов. Для метастатических изменений характерна округлая и неправильная форма лимфатического узла (встречаются в 79% наблюдений); рис. 1. Также могут выявляться метастазы в лимфатических узлах с измененным корковым слоем, который проявляется его неравномерным утолщением или выбуханием контура на отдельном участке (рис. 2). Структура метастатически измененных лимфатических узлов многообразна и может быть гипоэхогенной, анэхогенной, гиперэхогенной, гетерогенной, с кальцинатами и даже с включениями жидкостного характера (рис. 3).
Рис. 1. Метастатические изменения регионарных лимфатических узлов в В-режиме: а – измененный надключичный лимфатический узел неправильной формы; б – измененный округлый подмышечный лимфатический узел.
Fig. 1. B-mode ultrasound images of regional lymph node metastases: a – abnormal supraclavicular lymph node with an irregular shape; b – abnormal round axillary lymph node.
Рис. 2. Метастатические изменения подмышечного лимфатического узла в В-режиме: отмечается неравномерное утолщение коркового слоя с выбуханием контура на отдельном участке.
Fig. 2. B-mode ultrasound image of metastatic axillary lymph node: diffuse thickening of the cortex and cortical bulging of a separate part.
Рис. 3. В-режим: метастатические изменения подмышечного лимфатического узла с кальцинатами в структуре.
Fig. 3. B-mode: metastatic axillary lymph node calcification.
При цветовом и энергетическом допплеровском картировании кровоток в метастатически измененных лимфатических узлах визуализируется в 93% наблюдений. При этом выявляются извитые, разнокалиберные, ветвистые, хаотично расположенные сосуды (рис. 4).
Рис. 4. Энергетическое допплеровское картирование подмышечного лимфатического узла с метастатическими изменениями.
Fig. 4. Color Doppler Energy Mapping of metastatic axillary lymph node.
Интересно, что чувствительность УЗИ в оценке статуса регионарных лимфатических узлов напрямую зависит от биологического подтипа опухоли. Так, по данным R. Helfgott и соавт., чувствительность и специфичность УЗИ в оценке статуса аксиллярных лимфатических узлов составили 39 и 96% соответственно (анализ результатов аксиллярной лимфодиссекции у 583 больных, получивших лечение в 1999–2014 гг.). Минимальный уровень чувствительности УЗИ в оценке статуса лимфатических узлов отмечен для люминального HER2-негативного рака (менее 40%) и максимальная чувствительность показана для тройного негативного и HER2+ подтипов заболевания (68,8 и 71,4% соответственно); p=0,003 [22].
В последние годы широкое распространение получил метод ультразвуковой эластографии и эластометрии. Данная методика представляет собой способ дифференциации тканей по их жесткости путем механического воздействия на них и анализа деформаций, получаемых с помощью ультразвуковых диагностических сканеров [23]. Для оценки жесткости лимфатических узлов используется система качественной оценки результатов компрессионной эластографии лимфатических узлов, разработанная и M. Furukawa и соавт. в 2007 г. [24], согласно которой выделяют 4 степени жесткости узлов: 1-й тип (мягкие), 2-й (умеренно мягкие), 3-й (умеренно жесткие) и 4-й (жесткие). Для метастатических лимфатических узлов характерна жесткая и жестко-неоднородная структура, что соответствует 3 и 4-му типам эластографической картины по M. Furukawa, а для гиперплазированных лимфатических узлов – 1 и 2-й тип эластографической картины (рис. 5).
Рис. 5. Компрессионная эластография лимфатических узлов: а – лимфатический узел с метастатическими изменениями; отмечается неоднородная жесткая структура (3-й тип эластографической картины); б – гиперплазированный лимфатический узел (1-й тип эластографической картины).
Fig. 5. Strain elastography of lymph nodes: a – metastatic lymph node with heterogeneous hardness (elastographic pattern 3); b – hyperplastic lymph node (elastographic pattern 1).
Новым перспективным методом оценки статуса регионарных лимфатических узлов является УЗИ с контрастным усилением – КУУЗИ (contrast-enhanced ultrasound – CEUS). При КУУЗИ опухолево измененных лимфатических узлов выявляется неоднородное центростремительное накопление контрастного агента с возможными дефектами перфузии за счет возможных жидкостных и кальцинированных включений. Неоднородный характер накопления контраста в метастатических лимфатических узлах объясняется разнокалиберностью неопластических сосудов и артериовенозных шунтов [25–27] (рис. 6).
Рис. 6. КУУЗИ лимфатического узла с метастазами РМЖ: негомогенное контрастирование за счет дефектов перфузии.
Fig. 6. Contrast-enhanced ultrasound of lymph node metastasis in BC: inhomogeneous enhancement due to perfusion defects.
Однако даже при тщательном мануальном осмотре и качественно выполненном УЗИ недооценка N+ статуса (ложноотрицательный результат) отмечена у 1/3 больных с ранним РМЖ; именно с такой частотой при выполнении биопсии сторожевого лимфатического узла (БСЛУ) выявляются аксиллярные метастазы при клиническом N0-статусе [28]. Именно поэтому идет активный поиск других неинвазивных методов оценки статуса регионарных лимфатических узлов, среди которых активно изучаются магнитно-резонансная томография (МРТ) молочных желез и позитронно-эмиссионная компьютерная томография (ПЭТ-КТ). В 2017 г. представлен большой метаанализ с включением 21 крупного исследования по оценке роли МРТ молочных желез и ПЭТ-КТ в оценке статуса регионарных лимфатических узлов при раннем РМЖ [29]. Авторы показали преимущество метода МРТ молочных желез перед ПЭТ-КТ в оценке регионарного поражения: при равной чувствительности обоих методов (0,93) различия в специфичности существенны: 0,82 – для МРТ и всего 0,64 для ПЭТ-КТ [29].
Весьма перспективной представляется идея о предоперационной неинвазивной диагностике регионарного метастазирования с помощью моноклональной флюоресцентной визуализации. Конъюгат MamAb-680 представляет собой моноклональное антитело, специфичное к маммаглобину А, конъюгированное с флуоресцентным красителем. Маммоглобин А обнаруживается при РМЖ в опухолевых клетках, но не экспрессируется в неизмененных лимфатических узлах, благодаря чему использование MamAb-680 позволяет дифференцировать метастатически измененные регионарные лимфатические узлы. В результате исследований на лабораторных животных показано, что перитуморальное введение MamAb-680 позволяет визуализировать аксиллярные метастазы in vivo путем флуоресцентной визуализации, причем метод показал высокую чувствительность и специфичность при аксиллярном поражении, на основании чего авторы делают вывод о перспективности дальнейшего изучения данной методики при раннем РМЖ [30].
Окончательным шагом оценки статуса регионарных лимфатических узлов на предоперационном этапе является морфологическая верификация опухолевого поражения путем цитологического/гистологического исследования ткани лимфатического узла, полученного при биопсии [17–21]. Наиболее простым методом верификации регионарного поражения остается тонкоигольная пункционная биопсия под ультразвуковой навигацией; метод стал рутинно использоваться в клинической онкологии несколько десятилетий назад, и уже проанализирована его предсказательная ценность. Так, чувствительность тонкоигольной пункционной биопсии составляет около 71–75%, однако специфичность данного метода достигает 100% [31].
Большой интерес представляют результаты оценки статуса аксиллярных лимфатических узлов на основании данных предоперационной core-биопсии; в анализ H. Abe и соавт. включены 144 больных РМЖ; у 100 женщин с подозрительными лимфатическими узлами выполнена core-биопсия данных лимфатических узлов под ультразвуковым контролем, в результате чего метастазы в лимфатических узлах выявлены в 64% случаев. Оставшимся 36 пациенткам с отсутствием опухолевых изменений в биоптате лимфатических узлов выполнено оперативное лечение с БСЛУ, в результате чего метастазы в аксиллярных лимфатических узлах диагностированы еще у 11% женщин. Остальные 44 пациентки с неизмененными по данным УЗИ лимфатическими узлами на предоперационном этапе не подвергались core-биопсии, а были сразу оперированы; при оценке статуса сторожевых лимфатических узлов у данных больных метастазы выявлены в 27% случаев. Таким образом, по данным авторов, клиническая и ультразвуковая оценка статуса регионарных лимфатических узлов не позволяет выявить до 27% аксиллярных метастазов; core-биопсия подозрительных лимфатических узлов позволяет существенно повысить уровень дифференциальной диагностики и сократить число пациенток с недооцененным N+ статусом до 11% [32].
Хирургическое стадирование и эволюция регионарного лечения при раннем РМЖ
Биопсия сторожевого («сигнального») лимфатического узла является в настоящее время «золотым стандартом» регионарного лечения у больных с ранними стадиями РМЖ [18–21]. Однако еще 30 лет назад было трудно представить отказ от регионарной лимфодиссекции при РМЖ, а выбор такой лечебной тактики при метастазах в аксиллярных лимфатических узлах представлялся и вовсе невозможным; однако серия крупных рандомизированных исследований убедительно доказала онкологическую безопасность подобного подхода [33].
В исследовании NSABP B-32 (NCT00003830) доказана безопасность отказа от регионарной лимфодиссекции при клинически негативных лимфатических узлах, отсутствие метастатического поражения которых подтверждено на операционном этапе при выполнении БСЛУ [34]. В исследование включены в США и Канаде 5611 больных РМЖ I–II стадии без клинико-рентгенологических признаков поражения регионарных лимфатических узлов. Пациенткам 1-й группы (n=2807) выполнялась БСЛУ с аксиллярной лимфодиссекцией вне зависимости от статуса сигнального лимфатического узла, 2-й группы (n=2804) – БСЛУ, и только в случае обнаружения метастаза в сигнальном лимфатическом узле выполнялась аксиллярная лимфодиссекция. Стоит отметить, что частота совпадений дооперационной клинико-рентгенологической диагностики и патоморфологической оценки N-статуса составляла 71,5% случаев в 1-й группе и 71,7% случаев – во 2-й; у данных пациенток отсутствие поражения аксиллярных лимфатических узлов подтверждено плановым морфологическим исследованием. Интересно отметить, что в обеих группах около 28% пациенток с N0-статусом на дооперационном этапе имели метастазы в аксиллярных лимфатических узлах по результатам БСЛУ и последующей регионарной лимфодиссекции. Таким образом, по данным исследования NSABP B-32 ошибка оценки статуса регионарных лимфатических узлов на основании клинико-рентгенологических данных составила около 28%. В дальнейший анализ показателей выживаемости включены пациентки с морфологически доказанным N0-статусом (n=3989); при медиане наблюдения 95,6 мес показатели выживаемости были идентичными у пациенток, перенесших регионарную лимфодиссекцию и только БСЛУ. Так, ОВ 91,8% vs 90,3%; р=0,54; БРВ – 82,4% vs 81,5%; р=0,22. Число регионарных рецидивов было крайне низким (всего 8 случаев в группе лимфодиссекции и 14 случаев – в группе БСЛУ). Полученные результаты исследования доказали безопасность выполнения БСЛУ у больных с клинически негативным статусом лимфатических узлов и легли в основу международных рекомендаций по регионарному лечению раннего РМЖ [34].
Следующим шагом в эволюции регионарного лечения стала оценка возможности отказа от стандартной аксиллярной лимфодиссекции у пациенток с наличием метастазов в 2 сигнальных лимфатических узлах и менее. В рандомизированное исследование III фазы American College of Surgeons Oncology Group Z0011 (ACOSOG Z0011) были включены 856 больных РМЖ с размерами опухоли T1-2, перенесших органосохраняющие операции с БСЛУ, при которых выявлены метастазы в 2 сигнальных лимфатических узлах и менее. Пациентки были рандомизированы на группу только БСЛУ (объем регионарного лечения не менялся после обнаружения метастазов в сигнальных лимфатических узлах, n=446) и группу БСЛУ с последующей регионарной лимфодиссекцией (n=445). Следует отметить, что после выполнения лимфодиссекции выявлены макрометастазы (более 2 мм) в несигнальных лимфатических узлах еще у 27,3% больных 2-й группы, что подтверждает данные предшествующих исследований по несовершенству дооперационной оценки регионарного статуса лимфатических узлов при раннем РМЖ. После операции пациентки получали лечение в соответствии с биологическими характеристиками опухоли (адъювантная системная терапия проведена у 97% пациенток, адъювантная лучевая терапия – у 89%). При медиане наблюдения 9,3 года показатели 10-летней выживаемости были весьма схожими у пациенток из группы только БСЛУ и пациенток, перенесших БСЛУ и лимфодиссекцию (ОВ – 86,3% vs 83,6%; р=0,72; БРВ – 80,2% vs 78,2%; р=0,51). Результаты длительного наблюдения за больными показали крайне низкий уровень регионарных рецидивов (0,5% – в группе аксиллярной лимфодиссекции и 1,5% в группе БСЛУ; р=0,28), 10-летняя частота локорегионарного рецидивирования была также низка и сопоставима: 6,2% vs 5,3%; p=0,36 [35, 36]. Результаты исследования ACOSOG Z0011 послужили основанием для изменения рекомендаций европейских и американских онкологических сообществ, которые включили возможность отказа от лимфодиссекции у пациенток с T1-2-размерами опухоли, при обнаружении метастазов в 2 сигнальных лимфатических узлах и менее, при условии выполнения органосохраняющего лечения и последующей лучевой терапии [18–21].
Успехи в лекарственной терапии раннего РМЖ и совершенствование методик лучевой терапии привели к идее отказа от аксиллярной лимфодиссекции в пользу лучевой терапии на зоны лимфооттока у больных с любым числом пораженных сигнальных лимфатических узлов. В 2001–2010 гг. проведено многоцентровое рандомизированное исследование EORTC 10981-22023 AMAROS с включением 4823 больных РМЖ из 34 стран Европы [37]. Все пациентки имели T1-2 размер опухоли, клинически негативный статус лимфатических узлов на дооперационном этапе, однако при выполнении БСЛУ 1425 больных имели макро- или микрометастазы в сигнальных лимфатических узлах. В соответствии с дизайном исследования пациентки с пораженными аксиллярными лимфатическими узлами рандомизированы в соотношении 1:1 в группу аксиллярной лимфодиссекции или группу аксиллярной лучевой терапии. В соответствии с объемом хирургического лечения пациенткам в обеих группах выполнялась лучевая терапия на оставшуюся часть молочной железы ± парастернальную зону. Следует отметить, что в группе лимфодиссекции у 33% больных выявлены метастазы в дополнительно удаленных несигнальных лимфатических узлах (в 25% случаев – до 3 дополнительных пораженных лимфатических узлов, в 8% случаев – в 4 лимфатических узлах и более). При медиане наблюдения 6,1 года доля регионарных рецидивов была крайне низка в обеих группах (0,43% – в группе аксиллярной лимфодиссекции и 1,19% – в группе лучевой терапии на аксиллярную зону), а показатели 5-летней выживаемости высоки и идентичны: 5-летняя БРВ – 86,9% vs 82,7%; р=0,18; 5-летняя ОВ – 93,3% vs 92,5%; р=0,34). На основании результатов исследования EORTC 10981-22023 AMAROS авторы делают вывод, что оба метода регионарного лечения при поражении аксиллярных лимфатических узлов правомочны – аксиллярная лимфодиссекция или лучевая терапия на зону аксиллярных лимфатических узлов. Однако отказ от лимфодиссекции в пользу лучевой терапии на аксиллярную зону лимфооттока имеет преимущества в отношении функциональных результатов и качества жизни пациенток с ранним РМЖ [37].
Заключение
Анализ мировой литературы показал, что риск поражения аксиллярных лимфатических узлов при раннем РМЖ напрямую зависит от размера первичной карциномы и ее биологических характеристик [38, 39]. Клинический осмотр и современное УЗИ являются наиболее доступными методами оценки статуса регионарных лимфатических узлов, но вероятность недооценки их метастатического поражения имеют около 1/4 больных. Верификация диагноза на предоперационном этапе (core-биопсия лимфатических узлов под ультразвуковой навигацией) позволяет минимизировать число ошибок регионарного стадирования до 11%. Современное лекарственное лечение, основанное на биологических характеристиках опухоли, изменило прогноз заболевания при раннем РМЖ, что позволяет пересмотреть наши взгляды на объем регионарного лечения не только у больных с негативными аксиллярными лимфатическими узлами, но и у пациенток с наличием метастатического поражения [40]. Качественное регионарное стадирование, выбор лечебного алгоритма в соответствии с биологическими характеристиками карциномы, проведение максимально эффективных современных лекарственных режимов, оптимальной лучевой терапии позволяют не только минимизировать объем хирургического лечения, но и достичь высоких отдаленных результатов выживаемости, обеспечить отличные функциональные результаты и высокое качество жизни у пациенток с пораженными аксиллярными лимфатическими узлами.
Конфликт интересов. Авторы заявляют об отсутствии конфликта интересов.
Conflict of interests. The authors declare that there is not conflict of interests.
Об авторах
Ирина Владимировна Колядина
ФГБОУ ДПО «Российская медицинская академия непрерывного профессионального образования» Минздрава России; ФГБУ «Национальный медицинский исследовательский центр акушерства, гинекологии и перинатологии им. академика В.И. Кулакова» Минздрава России
Автор, ответственный за переписку.
Email: irinakolyadina@yandex.ru
ORCID iD: 0000-0002-1124-6802
д-р мед. наук, проф. каф. онкологии и паллиативной медицины; вед. науч. сотр.
Россия, МоскваТатьяна Юрьевна Данзанова
ФГБУ «Национальный медицинский исследовательский центр онкологии им. Н.Н. Блохина» Минздрава России
Email: danzanova@yandex.ru
ORCID iD: 0000-0002-6171-6796
д-р мед. наук, ст. науч. сотр. отд-ния ультразвуковой диагностики НИИ клинической и экспериментальной радиологии
Россия, МоскваСветлана Викторовна Хохлова
ФГБУ «Национальный медицинский исследовательский центр акушерства, гинекологии и перинатологии им. академика В.И. Кулакова» Минздрава России
Email: svkhokhlova@mail.ru
д-р мед. наук, зав. онкологическим отд-нием противоопухолевой лекарственной терапии
Россия, МоскваОксана Петровна Трофимова
ФГБОУ ДПО «Российская медицинская академия непрерывного профессионального образования» Минздрава России; ФГБУ «Национальный медицинский исследовательский центр онкологии им. Н.Н. Блохина» Минздрава России
Email: dr.trofimova@mail.ru
д-р мед. наук, вед. науч. сотр. отд-ния радиотерапии; проф. каф. онкологии и паллиативной медицины
Россия, МоскваЕкатерина Вячеславовна Ковалева
ФГБУ «Национальный медицинский исследовательский центр онкологии им. Н.Н. Блохина» Минздрава России
Email: dr.trofimova@mail.ru
аспирант отд-ния ультразвуковой диагностики НИИ клинической и экспериментальной радиологии
Россия, МоскваВалерий Витальевич Родионов
ФГБУ «Национальный медицинский исследовательский центр акушерства, гинекологии и перинатологии им. академика В.И. Кулакова» Минздрава России
Email: dr.valery.rodionov@gmail.com
д-р мед. наук, зав. отд-нием патологии молочных желез
Россия, МоскваИрина Владимировна Поддубная
ФГБОУ ДПО «Российская медицинская академия непрерывного профессионального образования» Минздрава России
Email: poddubnaya_irina@inbox.ru
ORCID iD: 0000-0002-0995-1801
акад. РАН, д-р мед. наук, проф., зав. каф. онкологии и паллиативной медицины ФГБОУ ДПО РМАНПО на базе
Россия, МоскваСписок литературы
- Бондаренко И.Н., Эльхажж М.Х., Прохач А.В. и др. Рак молочной железы. От молекулярной биологии к персонифицированной терапии. Морфология. 2016; 10 (1): 18–25. [Bondarenko I.N., El’khazhzh M.Kh., Prokhach A.V. et al. Rak molochnoi zhelezy. Ot molekuliarnoi biologii k personifitsirovannoi terapii. Morfologiia. 2016; 10 (1): 18–25 (in Russian).]
- Поддубная И.В., Колядина И.В. Неоадъювантная химиотерапия HER2-положительного рака молочной железы. Практическое руководство. М.: МедиаМедика, 2016. [Poddubnaya I.V., Kolyadina I.V. Neoadjuvant chemotherapy for HER2-positive breast cancer. A practical guide. Moscow: MediaMedica, 2016 (in Russian).]
- Семиглазов В.Ф., Семиглазов В.В., Клетсель А.Е. Неоадъювантное и адъювантное лечение рака молочной железы. М.: МИА, 2008. [Semiglazov V.F., Semiglazov V.V., Kletsel A.E. Neoadjuvant and adjuvant treatment for breast cancer. Moscow: MIA, 2008 (in Russian).]
- Семиглазов В.Ф. Хирургическое лечение рака молочной железы (история и современность). Практическая онкология. 2002; 3 (1): 21–8. [Semiglazov V.F. Khirurgicheskoe lechenie raka molochnoi zhelezy (istoriia i sovremennost’). Prakticheskaia onkologiia. 2002; 3 (1): 21–8 (in Russian).]
- Портной С.М., Лактионов К.П., Кушлинский Н.Е. Лечение первично-операбельного рака молочной железы. М.: Издательство РАМН, 2005. [Tailor S.M., Laktionov K.P., Kushlinsky N.E. Treatment of primary operable breast cancer. Moscow: Izdatel’stvo RAMN, 2005 (in Russian).]
- Стенина М.Б., Фролова М.А., Купчан Д.З. и др. Изменения в нео- и адъювантном лечении рака молочной железы за последние 5 лет. Практическая онкология. 2017; 18 (3): 256–64. [Stenina M.B., Frolova M.A., Kupchan D.Z. et al. Izmeneniia v neo- i ad»iuvantnom lechenii raka molochnoi zhelezy za poslednie 5 let. Prakticheskaia onkologiia. 2017; 18 (3): 256–64 (in Russian).]
- Тюляндин С.А. Системная терапия операбельного рака молочной железы. Практическая онкология. 2002; 3 (1): 29–37. [Tiuliandin S.A. Sistemnaia terapiia operabel’nogo raka molochnoi zhelezy. Prakticheskaia onkologiia. 2002; 3 (1): 29–37 (in Russian).]
- Silverstein MJ, Skinner KA, Lomis TJ. Predicting axillary nodal positivity in 2282 patients with breast carcinoma. World J Surg 2001; 6 (25): 767–72.
- Intra M, Zurrida S, Maffini F et al. Sentinel Lymph Node Metastasis in Microinvasive Breast Cancer. Ann Surg Oncol 2004; 10 (10): 1160–5. doi: 10.1245/ASO.2003.04.009
- Fein DA, Fowble BL, Hanlon AL et al. Identification of women with T1-T2 breast cancer at low risk of positive axillary nodes. J Surg Oncol 1997; 1 (65): 34–9.
- Chung MH, Ye W, Giuliano AE. Role for sentinel lymph node dissection in the management of large (>or = 5 cm) invasive breast cancer. Ann Surg Oncol 2001; 9 (8): 688–92.
- McGee JM, Youmans R, Clingan F et al. The value of axillary dissection in T1a breast cancer. Am J Surg 1996; 5 (172): 501–4.
- Rivadeneira DE, Simmons RM, Christos PJ et al. Predictive factors associated with axillary lymph node metastases in T1a and T1b breast carcinomas: analysis in more than 900 patients. J Am Coll Surg 2000; 1 (191): 1–6.
- Liu Т, Yang Z, Liu X et al. Lymph node status in different molecular subtype of breast cancer: triple negative tumours are more likely lymph node negative. Oncotarget 2017; 33 (8): 55534–43. doi: 10.18632/oncotarget.15022
- Oliveira Filho HR, Dória MT et al. Criteria for prediction of metastatic axillary lymph nodes in early-stage breast cancer. Rev Bras Ginecol Obstet 2015; 37 (7): 308–13. http://dx.doi.org/10.1590/S0100-720320150005343
- Verheuvel NC, van den Hoven I, Ooms HW et al. The role of ultrasound-guided lymph node biopsy in axillary staging of invasive breast cancer in the post-ACOSOG Z0011 trial era. Ann Surg Oncol 2015; 2 (22): 409–15.
- Стенина М.Б., Жукова Л.Г., Королева И.А. и др. Практические рекомендации по лекарственному лечению инвазивного рака молочной железы. Злокачественные опухоли. Практические рекомендации RUSSCO #3s2. 2017; 7: 105–34. [Stenina M.B., Zhukova L.G., Koroleva I.A. et al. Prakticheskie rekomendatsii po lekarstvennomu lecheniiu invazivnogo raka molochnoi zhelezy. Zlokachestvennye opukholi. Prakticheskie rekomendatsii RUSSCO #3s2. 2017; 7: 105–34 (in Russian).]
- Bevers TB, Helvie M, Bonaccio E et al. Breast Cancer Screening and Diagnosis, Version 3.2018. JNCCN – J National Comprehensive Cancer Network 2018; 16 (11): 1362–89.
- Senkus E, Kyriakides S, Ohno S et al. Primary Breast Cancer: ESMO Clinical Practice Guidelines. Ann Oncol 2015 (Suppl.) 5; 26: 8–30.
- Diagnosis and Treatment of Patients with Primary and Metastatic Breast Cancer. AGO breast cancer guidelines. www.ago-online.de
- Lyman G, Somerfield M, Bosserman L et al. Sentinel Lymph Node Biopsy for Patients With Early-Stage Breast Cancer: American Society of Clinical Oncology Clinical Practice Guideline Update. J Clin Oncol 2017; 35 (5): 561–4.
- Helfgott R, Mittlböck М, Miesbauer М et al. The influence of breast cancer subtypes on axillary ultrasound accuracy: A retrospective single center analysis of 583 women. Eur J Surg Oncol 2018. DOI: https://doi.org/10.1016/j.ejso.2018.10.001
- Алымов Ю.В., Шолохов В.Н., Подвязников С.О. и др. Новые возможности ультразвуковой оценки состояния лимфатических узлов шеи при раке слизистой оболочки полости рта. Опухоли головы и шеи. 2016; 6 (1): 33–8. [Alymov Iu.V., Sholokhov V.N., Podviaznikov S.O. et al. Novye vozmozhnosti ul’trazvukovoi otsenki sostoianiia limfaticheskikh uzlov shei pri rake slizistoi obolochki polosti rta. Opukholi golovy i shei. 2016; 6 (1): 33–8 (in Russian).]
- Sorin M Dudea et al. Differentiating benign from malignant superficial lymph nodes with Sonoelastography. Med Ultrason 2013; 15 (2): 132–9.
- Yu M, Liu Q, Song HP et al. Clinical application of contrast-enhanced ultrasonography in diagnosis of superficial lymphadenopathy. J Ultrasound Med 2010; 29: 735–40.
- Piscaglia F, Nolsøe C, Dietrich CF et al. The EFSUMB Guidelines and Recommendations on the Clinical Practice of Contrast Enhanced Ultrasound (CEUS): update 2011 on non-hepatic applications. Ultraschall Med 2012; 33: 33–59.
- Choi YJ, Lee JH, Baek JH. Ultrasound elastography for evaluation of cervical lymph nodes. Ultrasonography 2015; 34: 157–64.
- Ban EJ, Lee JS, Koo JS et al. How many sentinel lymph nodes are enough for accurate axillary staging in t1-2 breast cancer? J Breast Cancer 2011; 4 (14): 296–300.
- Liang X, Yu J, Wen B et al. MRI and FDG-PET/CT based assessment of axillary lymph node metastasis in early breast cancer: a meta-analysis. Clin Radiol 2017; 4 (72): 295–301. doi: 10.1016/j.crad.2016.12.001
- Tafreshi NK, Enkemann SA, Bui MM et al. A mammaglobin-A targeting agent for noninvasive detection of breast cancer metastasis in lymph nodes. Cancer Res 2011; 3 (71): 1050–9. doi: 10.1158/0008-5472.CAN-10-3091
- Koelliker SL, Chung MA, Mainiero MB et al. Axillary lymph nodes: US-guided fine-needle aspiration for initial staging of breast cancer-correlation with primary tumor size. Radiology 2008; 1 (246): 81–9.
- Abe H, Schmidt RA, Kulkarni K et al. Axillary lymph nodes suspicious for breast cancer metastasis: sampling with US-guided 14-gauge core-needle biopsy – clinical experience in 100 patients. Radiology 2009; 1 (250): 41–9.
- Işık A, Grassi A, Soran A. Positive Axilla in Breast Cancer; Clinical Practice in 2018. Eur J Breast Health 2018; 3 (14): 134–5. doi: 10.5152/ejbh.2018.4132
- Krag DN, Anderson SJ, Julian TB et al. Sentinel-lymph-node resection compared with conventional axillary-lymph-node dissection in clinically node-negative patients with breast cancer: overall survival findings from the NSABP B-32 randomised phase 3 trial. Lancet Oncol 2010; 11: 927–33. doi: 10.1016/S1470-2045(10)70207-2
- Giuliano AE, Ballman KV, McCall L et al. Effect of Axillary Dissection vs No Axillary Dissection on 10-Year Overall Survival Among Women With Invasive Breast Cancer and Sentinel Node Metastasis: The ACOSOG Z0011 (Alliance) Randomized Clinical Trial. JAMA 2017; 318: 918–26. doi: 10.1001/jama.2017.11470
- Giuliano AE, Ballman K, McCall L et al. Locoregional Recurrence After Sentinel Lymph Node Dissection With or Without AxillaryDissection in Patients With Sentinel Lymph Node Metastases: Long-term Follow-up From the American College of Surgeons Oncology Group (Alliance) ACOSOG Z0011 Randomized Trial. Ann Surg 2016 (264): 413–20. doi: 10.1097/SLA.0000000000001863
- Donker M, van Tienhoven G, Straver ME et al. Radiotherapy or surgery of the axilla after a positive sentinel node in breast cancer (EORTC 10981-22023 AMAROS): a randomised, multicentre, open-label, phase 3 non-inferiority trial. Lancet Oncol 2014; 15: 1303–10. doi: 10.1016/S1470-2045(14)70460-7
- Филоненко Д.А., Ганьшина И.П., Кондратьева О.Е. и др. Особенности метастазирования долькового рака молочной железы. Акушерство и гинекология. 2019; 10: 180–7. [Filonenko D.A., Gan’shina I.P., Kondrat’eva O.E. et al. Osobennosti metastazirovaniia dol’kovogo raka molochnoi zhelezy. Akusherstvo i ginekologiia. 2019; 10: 180–7 (in Russian).]
- Алиева Г.С., Корженкова Г.П., Колядина И.В. Комплексная лучевая диагностика раннего рака молочной железы (обзор литературы). Совр. онкология. 2019; 21 (3): 26–32. [Alieva G.S., Korzhenkova G.P., Kolyadina I.V. Kompleksnaia luchevaia diagnostika rannego raka molochnoi zhelezy (obzor literatury). Sovr. onkologiia. 2019; 21 (3): 26–32 (in Russian).]
- Гордеева О.О., Жукова Л.Г., Колядина И.В., Ганьшина И.П. Оценка рецепторного статуса первичной опухоли молочной железы и синхронных регионарных метастазов: их клиническая и прогностическая роль? Сибирский онкологический журн. 2019; 18 (2): 78–82. [Gordeeva O.O., Zhukova L.G., Koliadina I.V., Gan’shina I.P. Otsenka retseptornogo statusa pervichnoi opukholi molochnoi zhelezy i sinkhronnykh regionarnykh metastazov: ikh klinicheskaia i prognosticheskaia rol’? Sibirskii onkologicheskii zhurn. 2019; 18 (2): 78–82 (in Russian).]
Дополнительные файлы









