Endoscopic criteria for early differential diagnosis of gastritis-like form of primary non-Hodgkin's lymphomas and gastric cancer: A prospective study
- Authors: Lozovaia V.V.1, Malikhova O.A.1,2, Tumanyan A.O.1, Gusarova O.A.1
-
Affiliations:
- Blokhin National Medical Research Center of Oncology
- Russian Medical Academy of Continuous Professional Education
- Issue: Vol 25, No 3 (2023)
- Pages: 357-364
- Section: CLINICAL ONCOLOGY
- Submitted: 16.04.2023
- Accepted: 08.11.2023
- Published: 10.10.2023
- URL: https://modernonco.orscience.ru/1815-1434/article/view/336546
- DOI: https://doi.org/10.26442/18151434.2023.3.202363
- ID: 336546
Cite item
Full Text
Abstract
Aim. To reveal and study basic endoscopic differential-significant criteria characterizing gastric-like form of primary non-Hodgkin's lymphoma (NHL) from adenocarcinoma and signet-ring cell carcinoma (SRCC) of the stomach.
Materials and methods. In the prospective study, based of Blokhin National Medical Research Center of Oncology in the period from 2019 to June 2023, 106 patients with gastritic-like forms of primary NHL, adenocarcinoma and SRCC of the stomach were analyzed. Complex endoscopic study included examination in the modes of white light, magnification, narrow-band imaging (NBI, BLI, LCI) was done.
Results. All patients were divided into three groups: MALT gastric lymphoma (38 patients, 35.8%), gastric adenocarcinoma (33 patients, 31.1%), and SRCC (35 patients, 33.1%). At MALT-lymphoma the tumor was localized in the antrum of the stomach (52.6%),adenocarcinoma and SRCC – in the body (45.5 and 60%). In the tumor structure in MALT-lymphoma of the stomach in 100% of cases multiple point areas of microdepressions and multicenter character of the lesion were determined. At adenocarcinoma – depressed area in the central part of tumor (45.5%), at SRCC – extended areas of microdepressions (51.4%) and multicentric character of lesions. At MALT-lymphoma the pit pattern in 63.2% is of "balloon" type, vascular – of tree-like type (84.2%). In adenocarcinoma the vascular pattern was of the loop-type (42.4%), in SRCC – of the corkscrew-type (74.3%). Demarcation line was observed only in adenocarcinoma (100%). At endosonographic study at MALT-lymphoma the tumor was coming from deep layers of mucous coat (100%), changes of regional lymph nodes (LN) were absent, at adenocarcinoma – from mucous membrane (100%), LN were not changed, at SRCC – submucous spread of tumor (100%), changes in LN (40%).
Conclusion. Complex endoscopic examination is necessary to improve the quality of endoscopic examination of malignant gastric-like tumors, to determine the depth of invasion and spread of the tumor process, to assess the regional lymph drainage.
Full Text
Введение
Первичные неходжкинские лимфомы (НХЛ) желудка – самые часто встречающиеся варианты экстранодального поражения при злокачественных лимфомах желудочно-кишечного тракта, составляющие 60–75% от общего числа всех случаев лимфом желудочно-кишечного тракта [1, 2]. Первичные НХЛ в общей структуре заболеваемости злокачественными новообразованиями желудка составляют от 1 до 5% [3].
Примерно 40% первичных лимфом желудка представлены В-клеточной лимфомой маргинальной зоны – MALT-лимфомой, являющейся неоплазией низкой степени злокачественности, 50% приходится на диффузную В-крупноклеточную лимфому (ДБКЛ), обладающую высокой степенью злокачественности, и остальные 10% – на Т-клеточную лимфому и лимфому Ходжкина [4, 5].
Этиология развития MALT-лимфом желудка тесно связана с длительно текущим воспалительным процессом в слизистой оболочке (СО) стенки желудка (СЖ), обусловленной инфекцией Helicobacter pylori, в связи с чем антихеликобактерная терапия является одним из основных методов лечения у данной группы пациентов [6, 7]. В единичных исследованиях у пациентов с диагнозом ДБКЛ желудка эрадикационная антихеликобактерная терапия привела к полной ремиссии заболевания, что не позволяет исключить инициирующую роль инфекции H. pylori в патогенезе развития также и ДБКЛ желудка [8].
Клинические проявления первичных НХЛ желудка на ранних стадиях болезни неспецифичны: пациенты могут предъявлять жалобы на боли в эпигастрии, похудание, тошноту и рвоту. На более поздних стадиях болезни в связи с увеличением размеров опухоли в редких случаях могут отмечаться такие осложнения, как перфорация СЖ, кровотечение из опухоли, постгеморрагическая анемия [2].
Ранее для стадирования первичных лимфом желудка в клинической практике использовалась система Lugano, являющаяся модифицированной версией системы стадирования Ann Arbor [9]. Однако в настоящее время наиболее предпочтительна в характеризации опухолевого поражения желудка при лимфоме Парижская система, позволяющая описать глубину инвазии опухоли и тем самым в будущем оценить эффект от проводимой лекарственной терапии [10].
Для описания эндоскопической картины опухолевого поражения при первичных НХЛ желудка в России используется классификация, разработанная в отделении эндоскопии ФГБУ «НМИЦ онкологии им. Н.Н. Блохина» Б.К. Поддубным и А.А. Машаловым в 1981 г. и усовершенствованная в 2010 г. О.А. Малиховой и И.В. Поддубной, согласно которой выделяют 6 макроскопических форм первичных НХЛ желудка:
1) гастритоподобный вариант;
2) язвенно-инфильтративная;
3) инфильтративная;
4) экзофитная;
5) язвенная;
6) смешанная [11].
Гастритоподобный вариант первичных НХЛ желудка является наиболее сложным как для клинической, так и эндоскопической диагностики в связи с отсутствием специ- фических клинический проявлений заболевания и ярко выраженных изменений СО желудка в зоне опухоли при осмотре в режиме белого света, что делает необходимым проведение комплексного эндоскопического исследования с применением всех уточняющих методов эндоскопической диагностики вне зависимости от направительного диагноза пациента [12–15].
По эндоскопической картине изменения СО в зоне опухоли, характерные для гастритоподобной формы первичных НХЛ желудка, мимикрируют под неспецифические воспалительные изменения СО, а также под различные макроскопические варианты рака желудка, в частности инфильтративную форму перстневидно-клеточного рака (ПКР) [12].
Первичные НХЛ желудка в сравнении с другими злокачественными поражениями желудка являются редко встречающимися опухолями, в связи с чем вызывают большие сложности в интерпретации эндоскопической картины и установке истинного диагноза, что приводит к неправильной тактике лечения данной категории пациентов [16].
Благодаря техническому усовершенствованию эндоскопического оборудования, появлению новых методов уточняющей эндоскопической диагностики стало возможным на этапе проведения эзофагогастродуоденоскопии выявлять минимальные изменения СО, предопухолевую патологию и ранние формы злокачественных опухолей желудка [11, 17, 18]. Однако, несмотря на достигнутые результаты в диагностике и лечении онкологических заболеваний, ежегодно во всем мире отмечается неуклонная тенденция к росту числа новых выявленных случаев рака желудка и первичных НХЛ желудка на поздних стадиях болезни, что отражается в высоких показателях смертности от злокачественных новообразований желудка [19].
Вопрос дифференциальной эндоскопической диагностики первичных НХЛ желудка и рака желудка мало изучен. В зарубежной и отечественной литературе встречаются единичные клинические наблюдения пациентов с диагнозом первичной НХЛ желудка, а также случаи одновременного поражения желудка первичной НХЛ и раком желудка, что делает необходимым проведение исследования, посвященного изучению критериев эндоскопической дифференциальной диагностики первичных НХЛ желудка (в частности, гастритоподобного варианта) и рака желудка на ранних стадиях болезни [20–23].
Цель исследования – выявить и изучить основные эндоскопические дифференциально значимые критерии, характерные и отличающие гастритоподобный вариант первичных НХЛ желудка от аденокарциномы (АК) и ПКР желудка.
Материалы и методы
В проспективном исследовании проанализированы данные комплексной эндоскопической диагностики 106 пациентов с диагнозами: первичная НХЛ, АК и ПКР желудка. Всем пациентам выполнено комплексное эндоскопическое исследование, включающее осмотр в режимах белого света, увеличения, узкоспектральной визуализации (NBI, BLI, LCI), сочетанного осмотра в режимах узкоспектральной визуализации и увеличения. Каждое исследование сопровождалось обязательным взятием биопсийного материала методами щипцовой и глубокой ступенчатой биопсии для проведения морфологического исследования. Всем пациентам также было выполнено ультразвуковое эндоскопическое исследование (ЭУС, или эндосонография) с помощью видеоэхогастроскопов с радиальным типом сканирования с целью оценки глубины инвазии опухоли и вовлечения регионарных лимфатических узлов (ЛУ) в опухолевый процесс.
Оценка эндоскопической картины выявленных изменений определялась по следующим критериям – локализация, размеры, макроскопический тип опухоли, характер поверхности опухоли, особенности архитектоники микрососудистого и ямочного рисунков (МСР и ЯР соответственно), эластичность и подвижность тканей, наличие или отсутствие демаркационной линии, состояние окружающей СО, эндосонографические особенности.
Результаты
По результатам морфологического исследования все пациенты (106 пациентов, 100%) разделены на 3 группы: MALT-лимфома желудка (38 пациентов, 35,8%), АК желудка (33 пациента, 31,1%) и ПКР желудка (35 пациентов, 33,1%). В исследование включены 59 (55,7%) женщин и 47 (44,3%) мужчин, возраст которых варьировал от 22 до 82 лет.
Локализация опухолей. По локализации опухоли MALT-лимфома желудка в 52,6% наблюдений (20 пациентов) определялась в антральном отделе, в 15,8% (6 пациентов) – в нижней трети тела и антральном отделе желудка, в 26,3% (10 пациентов) – в теле желудка и в 5,3% – в проксимальном отделе желудка; при АК опухоль определялась преимущественно в теле желудка – в 45,5% наблюдений (15 пациентов), в 36,4% наблюдений (12 пациентов) – в антральном отделе желудка, в 6,1% (2 пациента) – в пилорическом отделе и в 12,0% (4 пациента) – в проксимальном отделе желудка; при ПКР опухоль локализовалась преимущественно в теле желудка – в 60,0% наблюдений (21 пациент), в 20,0% (7 пациентов) опухоль занимала все отделы желудка, в 11,4% (4 пациента) – в теле и проксимальном отделе желудка и в 8,6% наблюдений (3 пациента) – в антральном отделе желудка.
Размеры и протяженность опухолевой инфильтрации. Указанные параметры варьировались – от 1 до 4 см при первичных НХЛ и АК желудка, наиболее крупные варианты опухоли встречались у пациентов с ПКР желудка.
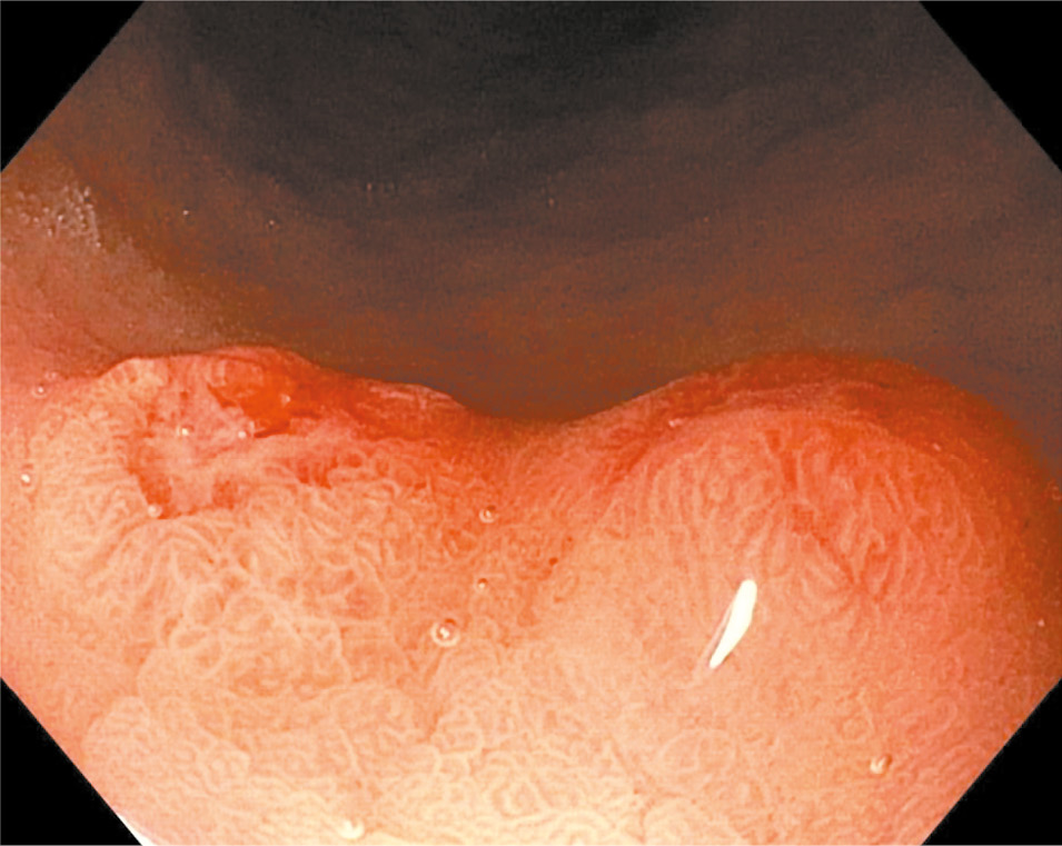
Макроскопический тип опухоли. При осмотре в режиме белого света гастритоподобная форма MALT-лимфомы желудка в 89,5% наблюдений (34 пациента) определялась в виде множественных плоско-возвышающихся участков опухолевой инфильтрации с гиперемированной поверхностью, чередующихся с участками визуально неизмененной СО бледно-розового цвета. В 10,5% наблюдений (4 пациента) опухоль представлена плоскими не возвышающимися над поверхностью СО участками белесоватого цвета. В 47,4% наблюдений (18 пациентов) в структуре опухоли определялись белесоватого цвета рубцовые изменения. В 71,1% наблюдений (27 пациентов) в структуре опухоли определялись линейные и точечные эрозированные участки. В 13,2% наблюдений (5 пациентов) поверхность опухоли была покрыта густым налетом слизи. В 100% наблюдений (38 пациентов) отмечался мультицентричный характер поражения желудка в виде чередования измененных и визуально свободных от опухолевого поражения участков СО (рис. 1).
Рис. 1. Гастритоподобный вариант (форма) первичных НХЛ желудка по типу эрозивного гастрита при осмотре в режиме белого света: определяется плоско-возвышающаяся опухолевая инфильтрация с гиперемированной разрыхленной поверхностью, со множественными эрозированными участками неправильной формы, покрытые налетом фибрина (обозначены синими стрелками). В структуре опухоли определяются извитые микрососуды древовидного типа (обозначены белой стрелкой).
Fig. 1. Gastritis-like form of primary non-Hodgkin's lymphomas (NHL) of the stomach by the type of erosive gastritis which viewed in white light mode: A flat-towering tumor infiltration is determined, with a hyperemic loosened surface, with multiple eroded areas, irregular in shape, covered with a coating of fibrin (indicated by blue arrows). In the structure of the tumor, convoluted microvessels of a tree type are determined (indicated by a white arrow).
При АК желудка при осмотре в режиме белого света опухоль в 100% наблюдений (33 пациента) определялась в виде единичных плоско-возвышающихся эпителиальных образований, размерами до 2,0 см в диаметре, с гиперемированной разрыхленной поверхностью (рис. 2).
Рис. 2. АК антрального отдела желудка при осмотре в режиме белого света: определяются два рядом расположенных плоско-возвышающихся эпителиальных образования, овальной формы, с нерегулярным ЯР на верхушке образований, усиленным МСР.
Fig. 2. Adenocarcinoma of the antrum of the stomach which viewed in white light mode: Two adjacent flat-towering epithelial formations are determined, oval in shape, with an irregular pit pattern at the top of the formations, with an enhanced microvascular pattern.
При ПКР желудка в 100% наблюдений (35 пациентов) отмечался мультицентричный характер поражения в виде чередования участков подслизистой опухолевой инфильтрации, измененной СО в зоне опухоли и свободной от опухолевого поражения слизистой. В 85,7% наблюдений (30 пациентов) опухоль определялась в виде плоско-возвышающихся участков с разрыхленной поверхностью, с гиперемированным (65,7%, 23 пациента) или белесоватым оттенками (20%, 7 пациентов); в 14,3% наблюдений (5 пациентов) – в виде плоских участков, бледно-розового цвета, не отличающихся от свободной от опухолевого поражения СО. В 100% наблюдений (35 пациентов) в структуре опухоли определялись рубцовые изменения белесоватого цвета. В 37,1% наблюдений (13 пациентов) в структуре опухоли выявлены эрозированные участки (рис. 3).
Рис. 3. ПКР желудка при осмотре в режиме белого света: в теле желудка отмечается утолщение задней стенки и большой кривизны за счет подслизистой опухолевой инфильтрации. Поверхность опухоли гиперемированная, в структуре опухоли определяются извитые микрососуды и точечные эрозии (обозначены белыми стрелками).
Fig. 3. Signet ring cell carcinoma of the stomach which viewed in white light mode: In the body of the stomach, there is a thickening of the posterior wall and a large curvature due to submucosal tumor infiltration. The surface of the tumor is hyperemic, convoluted microvessels and point erosions are determined in the structure of the tumor (indicated by white arrows).
Характер поверхности опухоли. При осмотре в режиме увеличения и сочетанного осмотра в режимах увеличения и узкоспектральной визуализации в структуре опухоли при гастритоподобном варианте MALT-лимфомы желудка в 100% наблюдений (38 пациентов) отмечались множественные отдельные точечные углубления (участки микродепрессии), расположенные в непосредственной близости друг от друга, но не сливающиеся. При АК желудка в 45,5% наблюдений (15 пациентов) в центральной части плоско-возвышающегося образования определялся участок депрессии. Поверхность опухоли при ПКР желудка характеризовалась неровным характером рельефа в 85,7% наблюдений (30 пациентов) и множественными протяженными участками депрессии в структуре опухоли в 51,4% наблюдений (18 пациентов).
Особенности архитектоники ЯР и МР. При осмотре в режимах близкого фокуса, увеличения, узкоспектральной визуализации (NBI, BLI, LCI), сочетанного осмотра в режимах узкоспектральной визуализации и увеличения в структуре опухоли при гастритоподобном варианте MALT-лимфомы желудка отмечалось 3 варианта изменений ЯР:
1) изменения ЯР, напоминающие «воздушный шар», в виде расширения, удлинения ЯР, с сохранением структуры и контуров ямок, крипты эпителия которых больше неизмененной СО (63,2% наблюдений, 24 пациента);
2) деструкция желудочных ямок – полное/частичное исчезновение эпителия крипт желудка, неравномерность распределения ямок, характеризующихся различной формой и размерами (36,8% наблюдений, 14 пациентов);
3) атрофические изменения белесоватого цвета (47,4% наблюдений, 18 пациентов).
Атрофические изменения ЯР определялись только в сочетании с 1-м (34,2% наблюдений, 13 пациентов) или 2-м (65,8% наблюдений, 25 пациента) типами изменений ЯР. В 52,6% наблюдений (20 пациентов) отмечалась тенденция к увеличению размеров паттернов и их слиянию по направлению от периферии (область опухолевой инфильтрации глубоких слоев слизистого слоя) к центральной части опухоли (эпителий СО).
Для МР при гастритоподобном варианте MALT-лимфомы желудка также выделены 3 возможных варианта изменений:
1) древовидный тип, встречающийся в 84,2% наблюдений (32 пациента), напоминающий ствол дерева с отходящими от него ветками, характеризующийся множественными извитыми ангулированными микрососудами разного диаметра;
2) линейный тип – единичный сосуд, характеризующийся более крупными размерами (по сравнению с сосудами древовидного типа), с четкими ровными контурами, единым диаметром на всем протяжении микрососуда, встречающийся в 15,8% наблюдений (6 пациентов);
3) недифференцируемый вариант, определялся в 71,1% наблюдений (27 пациентов), формируется в результате слияния нескольких микрососудов в единую недифференцируемую площадку (наблюдается в эрозированных участках опухоли) и только в сочетании с 1-м (65,8% наблюдений, 25 пациентов) или 2-м (5,3% наблюдений, 2 пациента) типами изменений сосудистого рисунка (СР); рис. 4.
Рис. 4. Гастритоподобный вариант (форма) первичных НХЛ желудка по типу эрозивного гастрита при осмотре в узкоспектральном режиме (NBI): в структуре опухоли определяются атрофические изменения (обозначены синей стрелкой); нарушение ЯР в виде расширения, удлинения и деформации ямок по типу «воздушного шара» (обозначены белыми стрелками) и недифференцируемые изменения в участках, покрытых налетом фибрина, что соответствует области эрозированных участков (обозначены красной стрелкой); древовидного типа изменения СР (обозначены желтой стрелкой).
Fig. 4. Gastritis-like form of primary NHL of the stomach by the type of erosive gastritis which viewed in a narrow-spectrum mode (NBI): In the structure of the tumor, atrophic changes are determined (indicated by a blue arrow); a violation of the pitting pattern in the form of expansion, elongation and deformation of the fossae in the form of a “balloon” (indicated by white
arrows) and non-differentiated changes in areas covered with fibrin plaque, which corresponds to the area of erosed areas (indicated with a red arrow); tree-like changes in the vascular pattern are determined (indicated by a yellow arrow).
При АК желудка в 100% наблюдений (33 пациента) в структуре опухоли ЯР был представлен нерегулярными, деформированными, изогнутыми паттернами, с расширенной промежуточной частью крипт на периферии образования и недифференцируемым аморфным ЯР в центральной части опухоли. МР характеризовался множественными извитыми, неравномерно расширенными микрососудами, различной формы и размеров:
1) сетчатый тип – в виде множественных извитых микрососудов, напоминающих тонкую сеть (27,3% наблюдений, 9 пациентов);
2) петлевой тип (42,4% наблюдений, 14 пациентов);
3) прерывистый тип (30,3% наблюдений, 10 пациентов); рис. 5.
Рис. 5. АК антрального отдела желудка при осмотре в узкоспектральном режиме (NBI): отмечается четкая граница в виде демаркационной линии между опухолевой тканью и неизмененной СО желудка (обозначена белой стрелкой). ЯР в центральной части опухоли не дифференцируется (обозначен синей стрелкой), на периферии образования – нерегулярные, паттерны изогнутые, деформированные (обозначены красной стрелкой).
Fig. 5. Adenocarcinoma of the antrum of the stomach which viewed in a narrowspectrum mode (NBI): There is a clear border in the form of a demarcation line between the tumor tissue and the unchanged gastric mucosa (indicated by a white arrow). The pit pattern in the central part of the tumor is not differentiated (indicated by a blue arrow), on the periphery of the formation it is irregular, the patterns of which are curved, deformed (indicated by a red arrow).
Для ПКР желудка в 100% наблюдений (35 пациентов) отмечалось чередование участков визуально неизмененной СО с регулярным неизмененным ЯР при локализации опухолевой инфильтрации в глубоких слоях подслизистого слоя и участков измененного ЯР при распространении опухоли на глубокие слои слизистого слоя и эпителий СО:
1) в виде расширения желудочных полей, удлинения паттернов и приобретения ими вытянутой формы;
2) аморфного ЯР.
МСР в структуре опухоли представлен аномальными извитыми микрососудами, с участками диффузного кровенаполнения штопорообразного (74,3% наблюдений, 26 пациентов) и сетчатого типов – в виде множественных извитых микрососудов, напоминающих тонкую сеть (25,7% наблюдений, 9 пациентов); рис. 6.
Рис. 6. ПКР тела желудка при осмотре в узкоспектральном режиме (NBI): в структуре опухоли отмечается чередование участков визуально неизмененной СО с участками изменений по типу расширения желудочных полей, удлинения паттернов (обозначено красной стрелкой) и аморфных недифференцируемых участков (обозначено синей стрелкой).
Fig. 6. Signet ring cell carcinoma of the body of the stomach when examined in a narrow-spectrum mode (NBI): In the structure of the tumor, there is an alternation of areas of visually unchanged mucous membrane with areas of changes in the type of expansion of gastric fields, elongation of patterns (indicated by a red arrow) and amorphous non-differentiated areas (indicated by a blue arrow).
Эластичность и подвижность тканей. Для гастритоподобной формы MALT-лимфомы желудка в 100% наблюдений (38 пациентов) характерно сохранение подвижности, мягкости и эластичности тканей желудка в зоне опухоли, а также повышенная контактная кровоточивость при инструментальной пальпации. При АК желудка в случаях локализации опухоли в пределах слизистого и подслизистого слоев подвижность тканей была сохранена (93,9% наблюдений, 31 пациент), при инвазии опухоли в мышечный слой – снижена (6,1% наблюдений, 2 пациента). При ПКР желудка в 100% наблюдений (35 пациентов) отмечается выраженная ригидность СЖ в зоне опухоли.
Демаркационная линия является условной визуальной границей между опухолевой тканью и неизмененной прилежащей СО. При гастритоподобной варианте MALT-лимфомы и ПКР желудка демаркационная линия не выражена в 100% наблюдений (у 38 и 35 пациентов соответственно). При АК желудка в 100% наблюдений (33 пациента) визуализировалась четкая демаркационная линия белесоватого цвета (см. рис. 5).
Окружающая фоновая СО. Для детальной оценки ЯР и МСР окружающей СО исследование проводилось в режимах увеличения и сочетанного осмотра в режимах увеличения и узкоспектральной визуализации. При гастритоподобном варианте MALT-лимфомы желудка в 100% наблюдений (38 пациентов) отмечалось нарушение ЯР в виде расширения ямок, появление плотных борозд белесоватого цвета, отсутствие регулярного четкого МСР и собирательных венул, что патоморфологически соответствовало воспалительным изменениям и разрушением поверхностного эпителия. В 73,7% наблюдений (28 пациентов) наблюдались выраженные нарушения ЯР, что соответствовало атрофическим изменениям СО. При АК в 54,5% наблюдений (18 пациентов) и ПКР желудка в 82,9% наблюдений (29 пациентов) окружающаяся СО характеризовалась регулярным ЯР и МСР и атрофическими изменениями в 45,5 и 17,1% наблюдений (15 и 6 пациентов) соответственно.
Эндосонографическая картина. При гастритоподобном варианте MALT-лимфомы желудка в 100% наблюдений (38 пациентов) опухоль исходила из глубоких слоев слизистого слоя, локально распространялась на эпителий СО. В связи с мультицентричным характером поражения при ЭУС-исследовании отмечалось неравномерное вовлечение участков слизистого и подслизистого слоев СЖ в опухолевый процесс. В зоне опухоли отмечалось утолщение СЖ от 4 до 12 мм за счет гипоэхогенного образования, исходящего из глубоких слоев слизистого слоя с локализацией в пределах СО в 11,3% наблюдений (12 пациентов), с распространением на подслизистый слой СЖ – в 16,1% наблюдений (16 пациентов), и в 8,5% наблюдений (9 пациентов) – на мышечный слой СЖ. Дифференцировка остальных слоев СЖ в зоне опухоли была сохранена. При гастритоподобном варианте MALT-лимфомы желудка специфические изменения регионарных ЛУ отсутствовали. При АК отмечалось утолщение СЖ за счет гипоэхогенного образования, исходящего и локализованного в пределах СО в 22,6% наблюдений (24 пациента), распространяющегося на подслизистый слой – в 6,6% наблюдений (7 пациентов) и на мышечный слой – в 1,9% наблюдений (2 пациента). Дифференцировка слоев в зоне опухоли отсутствовала, регионарные ЛУ в 100% наблюдений (33 пациента) не изменены. Максимальная толщина СЖ в зоне опухоли составляла 9 мм. Для ПКР желудка характерен мультицентричный, преимущественно подслизистый характер распространения опухоли, что при ЭУС-исследовании определялось в виде утолщения под- слизистого и локально слизистого слоев СЖ. В 100% наблюдений (35 пациентов) отмечалось утолщение подслизистого слоя на всем протяжении опухолевой инфильтрации. В 3,8% наблюдений (4 пациента) отмечалось распространение опухоли на СО, в 0,9% (1 пациент) опухоль локализовалась в пределах подслизистого слоя, в 15,1% (16 пациентов) распространялась на мышечный слой и в 13,2% (14 пациентов) – на субсерозный слой СЖ. Толщина стенок в области опухоли составляла от 7 до 20 мм. При ПКР в 40% наблюдений (14 пациентов) отмечалось поражение регионарных ЛУ, характеризующихся гипоэхогенной структурой, овальной формой, размерами от 5 до 10 мм в диаметре. Результаты ЭУС-исследования представлены в табл. 1.
Таблица 1. Распределение пациентов в зависимости от глубины инвазии опухоли и морфологического типа опухоли Table 1. Distribution of patients by the depth of tumor invasion and the morphological type of the tumor | ||||||
Морфологический тип опухоли | Глубина инвазии опухоли | Общее число пациентов | ||||
Tis | T1a | T1b | T2 | T3 | ||
MALT-лимфома | 0 (0%) | 12 (11,3%) | 17 (16,1%) | 9 (8,5%) | 0 (0%) | 38 (35,9%) |
АК | 2 (1,9%) | 22 (20,7%) | 7 (6,6%) | 2 (1,9%) | 0 (0%) | 33 (31,1%) |
ПКР | 0 (0%) | 4 (3,8%) | 1 (0,9%) | 16 (15,1%) | 14 (13,2%) | 35 (33,0%) |
Всего | 2 (1,9%) | 38 (35,8%) | 25 (23,6%) | 27 (25,5%) | 14 (13,2%) | 106 (100%) |
На основании комплексного эндоскопического исследования 106 пациентов с гастритоподобными вариантами злокачественного поражения желудка – первичной НХЛ, АК и ПКР желудка – выделены основные дифференциально значимые особенности эндоскопической картины, характерные для каждого отдельного вида неоплазий (табл. 2).
Таблица 2. Особенности макроскопической картины гастритоподобного варианта первичных НХЛ, АК и ПКР желудка Table 2. Gross patterns of the gastritis-like variant of primary NHL, adenocarcinoma, and signet ring cell carcinoma of the stomach | |||
Эндоскопические дифференциально-значимые признаки | Морфологический тип опухоли | ||
MALT-лимфома (гастритоподобный вариант/форма первичных НХЛ желудка) | АК | ПКР | |
Локализация | Антральный отдел желудка (52,6%) | Тело желудка (45,5%); антральный отдел (36,4%) | Тело желудка (60,0%); все отделы желудка (20,0%) |
Размеры | 1–4 см | 1–4 см | >1–4 см |
Макроскопический тип опухоли | Множественные плоско-возвышающиеся участки опухолевой инфильтрации, с гиперемированной разрыхленной поверхностью, чередующиеся с участками визуально неизмененной СО бледно-розового цвета (89,5%); мультицентричный характер поражения (100%); рубцовые изменения в структуре опухоли (47,4%); эрозии в структуре опухоли (71,1%) | Единичные плоско-возвышающиеся эпителиальные образования с гиперемированной разрыхленной поверхностью | Мультицентричный характер поражения в виде плоско-возвышающихся участков с разрыхленной поверхностью (85,7%); гиперемированной поверхности опухоли (65,7%); рубцовых изменений в структуре опухоли (100%); эрозии в структуре опухоли (37,1%) |
Характер поверхности опухоли | Множественные точечные микродепрессии в структуре опухоли (100%) | Участок депрессии в центральной части опухоли (45,5%) | Неровный тип поверхности (85,7%) – множественные протяженные участки депрессии в структуре опухоли (51,4%) |
Особенности архитектоники ЯР | По типу «воздушного шара» (63,2%); деструкция желудочных ямок – полное/частичное исчезновение эпителия крипт желудка, неравномерность распределения ямок, характеризующихся различной формой и размерами (36,8%); атрофические изменения (47,4%) | Нерегулярный, деформированные, изогнутые паттерны, с расширенной промежуточной частью крипт на периферии образования и недифференцируемым аморфным ЯР в центральной части опухоли (100%) | Расширения желудочных полей, удлинения паттернов и приобретение ими вытянутой формы (100%); аморфный ЯР (100%) |
Особенности архитектоники МР | Древовидный тип (84,2%); линейный тип (15,8%); недифференцируемый вариант (71,1%) | Сетчатый тип (27,3%); петлевой тип (42,4%); прерывистый тип (30,3%) | Штопорообразный тип (74,3%); сетчатый тип (25,7%) |
Эластичность и подвижность тканей | Сохранена (100%) | Сохранена (93,9%) | Выраженная ригидность (100%); ограничение подвижности (100%) |
Демаркационная линия | Не выражена | Четкая | Не выражена |
Состояние окружающей СО | Воспалительные изменения (100%); атрофические изменения (73,7%) | Воспалительные изменения (54,5%); атрофические изменения (45,5%) | Воспалительные изменения (82,9%); атрофические изменения (17,1%) |
Эндосонографическая картина | Гипоэхогенная структура (100%); исходит из глубоких слоев слизистого слоя (100%); мультицентричность поражения (100%); толщина стенок 4–12 мм; локализация в пределах СО (11,3%); распространение на подслизистый слой (16,1%); распространение на мышечный слой (8,5%); отсутствие изменений ЛУ | Гипоэхогенная структура (100%); исходит из СО; толщина стенок 1–9 мм; локализация в пределах СО (22,6%); распространение на подслизистый слой (6,6%); распространение на мышечный слой (1,9%); отсутствие изменений ЛУ | Гипоэхогенная структура (100%); распространяется по подслизистому слою (100%); толщина стенок до 20 мм; мультицентричность поражения (100%); распространение на СО (3,8%); в пределах подслизистого слоя (0,9%); распространение на мышечный слой (15,1%); распространение на субсерозный слой (13,2%); поражение регионарных ЛУ (40%) |
Заключение
Ежегодно во всем мире отмечается неуклонная тенденция к росту числа новых выявленных случаев рака желудка и первичных НХЛ желудка, что, вероятнее всего, обусловлено появлением скрининговых программ, нацеленных на выявление предопухолевой и ранней опухолевой патологии, усовершенствованием методов дифференциальной эндоскопической диагностики и повышенной онкологической настороженностью врачей-клиницистов. Однако, несмотря на достигнутые результаты в диагностике предопухолевой патологии и ранних форм злокачественных опухолей желудка, сохраняются сложности в интерпретации эндоскопической картины гастритоподобных вариантов поражения желудка, в частности гастритоподобного варианта первичных НХЛ, АК и ПКР желудка. Наибольшую сложность в эндоскопической диагностике представляют гастритоподобные злокачественные поражения желудка в связи с отсутствием специфических изменений архитектоники ЯР и СР в структуре опухоли при осмотре в режиме белого света, что приводит к неправильной интерпретации полученных результатов. Проведение комплексного эндоскопического исследования с применением всех уточняющих методов эндоскопической диагностики – узкоспектральная визуализация (NBI, BLI, LCI), сочетанный осмотр в режимах узкоспектральной визуализации и увеличения, ЭУС-исследование – позволяет выявлять минимальные изменения ЯР и СР в зоне опухоли, характерные для каждого отдельного вида неоплазий, что способствует своевременной установке онкологического диагноза.
Раскрытие интересов. Авторы декларируют отсутствие явных и потенциальных конфликтов интересов, связанных с публикацией настоящей статьи.
Disclosure of interest. The authors declare that they have no competing interests.
Вклад авторов. Авторы декларируют соответствие своего авторства международным критериям ICMJE. Все авторы в равной степени участвовали в подготовке публикации: разработка концепции статьи, получение и анализ фактических данных, написание и редактирование текста статьи, проверка и утверждение текста статьи.
Authors’ contribution. The authors declare the compliance of their authorship according to the international ICMJE criteria. All authors made a substantial contribution to the conception of the work, acquisition, analysis, interpretation of data for the work, drafting and revising the work, final approval of the version to be published and agree to be accountable for all aspects of the work.
Источник финансирования. Авторы декларируют отсутствие внешнего финансирования для проведения исследования и публикации статьи.
Funding source. The author declares that there is no external funding for the exploration and analysis work.
Информированное согласие на публикацию. Все пациенты подписали форму добровольного информированного согласия на публикацию медицинской информации.
Consent for publication. Written consent was obtained from the all patients for publication of relevant medical information and all of accompanying images within the manuscript.
Соответствие принципам этики. Протокол исследования был одобрен локальным этическим комитетом ФГБУ «НМИЦ онкологии им. Н.Н. Блохина» (протокол №3262 от 13.04.2023). Одобрение и процедуру проведения протокола получали по принципам Хельсинкской конвенции.
Ethics approval. The study was approved by the local ethics committee of Blokhin National Medical Research Center of Oncology (protocol №3262 of 13.04.2023). The approval and procedure for the protocol were obtained in accordance with the principles of the Helsinki Convention.
About the authors
Valeria V. Lozovaia
Blokhin National Medical Research Center of Oncology
Author for correspondence.
Email: lera.lozovaya@bk.ru
ORCID iD: 0000-0001-6262-7763
endoscopist
Russian Federation, MoscowOlga A. Malikhova
Blokhin National Medical Research Center of Oncology; Russian Medical Academy of Continuous Professional Education
Email: malikhova@inbox.ru
ORCID iD: 0000-0003-0829-7809
d. sci. (med.)
Russian Federation, MoscowArmen O. Tumanyan
Blokhin National Medical Research Center of Oncology
Email: tumanyan.armen.o@yandex.ru
ORCID iD: 0000-0001-5863-5197
d. sci. (med.)
Russian Federation, MoscowOlga A. Gusarova
Blokhin National Medical Research Center of Oncology
Email: o.a.gusarova@mail.ru
ORCID iD: 0000-0001-6179-1115
medical resident
Russian Federation, MoscowReferences
- Papaxoinis G, Papageorgiou S, Rontogianni D, et al. Primary gastrointestinal non-Hodgkin's lymphoma: A clinicopathologic study of 128 cases in Greece. A Hellenic Cooperative Oncology Group study (HeCOG). Leuk Lymphoma. 2006;47:2140-6. doi: 10.1080/10428190600709226
- Ghimire P, Wu GY, Zhu L. Primary gastrointestinal lymphoma. World J Gastroenterol. 2011;17(6):697-707. doi: 10.3748/wjg.v17.i6.697
- Vlăduţ C, Ciocîrlan M, Costache, et al. Is mucosa-associated lymphoid tissue lymphoma an infectious disease? Role of Helicobacter pylori and eradication antibiotic therapy (Review). Exp Ther Med. 2020;20(4):3546-53. doi: 10.3892/etm.2020.9031
- Feldman M, Lawrence JB. Sleisenger and Fordtran's gastrointestinal and liver disease. 10th edition. Philadelphia: Elsevier Saunders, 2015; 473-7.
- Sugita S, Iijima T, Furuya S, et al. Gastric T-cell lymphoma with cytotoxic phenotype. Pathol Int. 2007;57(2):108-14. doi: 10.1111/j.1440-1827.2006.02065.x
- Bhandari A, Crowe SE. Helicobacter pylori in Gastric Malignancies. Curr Gastroenterol Rep. 2012;14(6):489-96. doi: 10.1007/s11894-012-0296-y
- Gisbert JP, Calvet X. Review article: common misconceptions in the management of Helicobacter pylori-associated gastric MALT-lymphoma. Aliment Pharmacol Ther. 2011;34(9):1047-62. doi: 10.1111/j.1365-2036.2011.04839.x
- Hussell T, Isaacson PG, Crabtree JE, Spencer J. Helicobacter pylori-specific tumour-infiltrating T cells provide contact dependent help for the growth of malignant B cells in low-grade gastric lymphoma of mucosa-associated lymphoid tissue. J Pathol. 1996;178(2):122-7. doi: 10.1002/(SICI)1096-9896(199602)178:2<122::AID-PATH486>3.0.CO;2-D
- Ruskoné-Fourmestraux A, Fischbach W, Aleman BM, et al. EGILS consensus report. Gastric extranodal marginal zone B-cell lymphoma of MALT. Gut. 2010;60(6):747-58. doi: 10.1136/gut.2010.224949
- Ruskoné-Fourmestraux A, Dragosics B, Morgner A, et al. Paris staging system for primary gastrointestinal lymphomas. Gut. 2003;52(6):912-3. doi: 10.1136/gut.52.6.912
- Малихова О.А. Современная стратегия комплексной эндоскопической диагностики и мониторинг неходжкинских лимфом желудка. Дис. … д-ра мед. наук. М., 2010 [Malikhova OA. Sovremennaia strategiia kompleksnoi endoskopicheskoi diagnostiki i monitoring nekhodzhkinskikh limfom zheludka. Dis. … d-ra med. nauk. Moscow, 2010 (in Russian)].
- Kelessis NG, Vassilopoulos PP, Tsamakidis KG, et al. Is gastroscopy still a valid diagnostic tool in detecting gastric MALT lymphomas? A dilemma beyond the eye. Mucosa-associated lymphoid tissue. Surg Endosc. 2003;17(3):469-74. doi: 10.1007/s00464-002-8544-0
- Nonaka K, Ishikawa K, Arai S, et al. A case of gastric mucosa-associated lymphoid tissue lymphoma in which magnified endoscopy with narrow band imaging was useful in the diagnosis. World J Gastrointest Endosc. 2012;4(4):151-6. doi: 10.4253/wjge.v4.i4.151
- Deng P, Min M, Ma CY, Liu Y. Linked color imaging technology for diagnosis of gastric mucosa-associated lymphoid tissue lymphoma. Chin Med J (Engl). 2017;130(22):2759-60. doi: 10.4103/0366-6999.214137
- Mehra M, Agarwal B. Endoscopic diagnosis and staging of mucosa-associated lymphoid tissue lymphoma. Curr Opin Gastroenterol. 2008;24(5):623-6. doi: 10.1097/MOG.0b013e32830bf80f
- Iftikhar J, Siddique MZ, Saqib M, et al. Gastric lymphoma: severe gastric outlet obstruction warranting stent placement. J Coll Physicians Surg Pak. 2022;32(8):S150-2. doi: 10.29271/jcpsp.2022.Supp2.S150
- Graham DY, Schwartz JT, Cain GD, Gyorkey F. Prospective evaluation of biopsy number in the diagnosis of esophageal and gastric carcinoma. Gastroenterology. 1982;82(2):228-31. PMID: 7054024
- Chiarello MM, Fico V, Pepe G, et al. Early gastric cancer: A challenge in Western countries. World J Gastroenterol. 2022;28(7):693-703. doi: 10.3748/wjg.v28.i7.693
- Sung H, Ferlay J, Siegel RL, et al. Global Cancer Statistics 2020: GLOBOCAN estimates of incidence and mortality worldwide for 36 cancers in 185 countries. CA Cancer J Clin. 2021;71(3):209-49. doi: 10.3322/caac.21660
- Murakami T, Shoji T, Suzuki K, et al. Simultaneous occurrence of early gastric carcinoma and mucosa-associated lymphoid tissue lymphoma of the omentum. Case Rep Gastroenterol. 2014;8(1):101-6. doi: 10.1159/000362158
- Suwa T, Uotani T, Inui W, et al. A case of signet ring cell carcinoma and mucosa-associated lymphoid tissue lymphoma of the stomach diagnosed simultaneously via magnifying endoscopy with narrow-band imaging. Clin J Gastroenterol. 2021;14(2):453-9. doi: 10.1007/s12328-020-01325-y
- Peng T, Deng L, Wang Y, et al. Establishing an endoscopic diagnostic process system (M-system) for gastric MALT lymphoma of superficial-spreading type. Jpn J Clin Oncol. 2021;51(4):560-8. doi: 10.1093/jjco/hyaa242
- Kawamura M, Abe S, Oikawa K, et al. Topographic differences in gastric micromucosal patterns observed by magnifying endoscopy with narrow band imaging. J Gastroenterol Hepatol. 2011;26(3):477-83. doi: 10.1111/j.1440-1746.2010.06527.x
Supplementary files









