Rare histological subtypes of bladder cancer in clinical practice: a case series
- Authors: Paychadze A.A.1, Golubeva S.A.1, Kamalova M.A.1
-
Affiliations:
- Hertsen Moscow Oncology Research Institute – branch of the National Medical Research Radiological Centre
- Issue: Vol 25, No 2 (2023)
- Pages: 229-235
- Section: CLINICAL ONCOLOGY
- Submitted: 19.02.2023
- Published: 10.08.2023
- URL: https://modernonco.orscience.ru/1815-1434/article/view/246457
- DOI: https://doi.org/10.26442/18151434.2023.2.202185
- ID: 246457
Cite item
Full Text
Abstract
Non-urothelial tumors account for less than 5% of all bladder malignant neoplasms. The most common non-urothelial tumor is squamous cell carcinoma, often found in the Middle East (about 30% of all cases of bladder cancer – BC) due to the spread of schistosomiasis. The glandular type is the second most common non-urothelial morphological variant; it includes 5 tumor subtypes (intestinal, mucinous, signet ring cell, mixed, and adenocarcinoma not otherwise specified). The neuroendocrine variant is divided into 4 subgroups (small cell, large cell, highly differentiated, and paragangliomas), of which small cell is the most common, though still rare, and accounts for only about 1% of all BCs. The article presents the clinical cases of three rare BC subtypes: squamous cell, glandular, and neuroendocrine. In the first clinical case, a radical cure of a patient with signet ring cell BC was described: at the first stage, the bladder, prostate, and vesicles were removed with a cystoplasty using a small intestine segment according to the Bricker technique with an extended pelvic lymph node dissection; the second stage included 8 courses of adjuvant drug treatment according to the XELOX regimen. In the second clinical case, the treatment of the metastatic neuroendocrine BC was described using the following regimens: EP (etoposide + cisplatin), carboplatin + irinotecan, GemOx (gemcitabine + oxaliplatin). The third clinical case described a patient with bladder squamous cell carcinoma. The stage I treatment was based on the GC regimen; at stage II, the bladder, prostate, and vesicles were removed with intestinal orthotopic cystoplasty and extended lymph node dissection; due to progression revealed during the follow-up examination, the patient received another GC course. Although non-urothelial BCs are very rare, studies are currently being conducted on the effectiveness of immunotherapy and targeted therapy in treating this cohort of patients.
Full Text
В структуре онкологических заболеваний рак мочевого пузыря (РМП) занимает 11-е место в мире [1]. Во всем мире стандартизованный по возрасту коэффициент смертности (на 100 тыс. населения) составляет 3,2 для мужчин и 0,9 – для женщин [2]. В структуре онкологической заболеваемости населения России РМП занимает 9-е место среди мужчин и 16-е – среди женщин. Показатель заболеваемости на 100 тыс. населения составил 13,2 для мужчин и 2,3 – для женщин. Сохраняется тенденция к постоянному увеличению числа заболевших. В России с 2011 по 2021 г. распространенность пациентов с диагнозом РМП выросла с 58,4 до 80,0 на 100 тыс. населения [3].
В классификации гистологических типов существует категория «инвазивный уротелиальный рак с дивергентной дифференцировкой», которая рассматривается как рак уротелия с наличием других морфологических типов дифференцировки. Данная классификация в зависимости от патоморфологической оценки подразделяется на уротелиальный и неуротелиальный варианты.
Неуротелиальные опухоли составляют менее 5% всех злокачественных новообразований мочевого пузыря [4]. К неуротелиальным типам относится прежде всего плоскоклеточный рак, который часто встречается в странах Ближнего Востока (около 30% всех случаев РМП), обусловленный распространением шистосоматоза [5]. Микроскопически характеризуется наличием кератиновых жемчужин, межклеточных мостиков и кератогиалиновых гранул [6]. Макроскопически это обычно монофокальные опухоли большого размера, сходные с лейкоплакией и преимущественно расположенные в треугольнике мочевого пузыря [7].
Железистый тип является 2-м наиболее распространенным неуротелиальным морфологическим вариантом [8] и включает 5 подтипов опухоли (кишечный, муцинозный, перстневидно-клеточный, смешанный и аденокарциному, без других указаний) [9]. Нейроэндокринный вариант подразделяется на 4 подгруппы (мелкоклеточные, крупноклеточные, высокодифференцированные и параганглиомы), из них мелкоклеточный является наиболее частым, но встречается редко и составляет только около 1% всех случаев РМП [10].
Во многих странах стандартом лечения мышечного-инвазивного РМП при Т2-4аN0N0 является радикальная цистэктомия с тазовой лимфодиссекцией в сочетании или без неоадъювантной химиотерапии [11]. Несмотря на радикальность лечения, риск развития рецидивов остается очень высоким, особенно для мышечно-неинвазивного РМП – 50–60%, тогда как для мышечно-инвазивной формы составляет 30% случаев. На момент установки диагноза 10–15% пациентов уже имеют отдаленные метастазы [12].
Стандартов противоопухолевого лекарственного лечения больных с редкими гистологическими подтипами РМП в реальной клинической практике нет.
Первичная перстневидноклеточная карцинома (PSRCC) мочевого пузыря является относительно редким подтипом аденокарциномы и составляет всего 0,24–2% всех первичных эпителиальных опухолей мочевого пузыря. Гистопатогенез первичных муцин-продуцирующих аденокарцином, включая перстневидноклеточный рак, остается неясным, поскольку в мочевом пузыре отсутствует как столбчатый, так железистый эпителий. Многие исследователи предположили, что метапластический потенциал уротелия имеет два различных паттерна. Прогрессирующая инвагинация гиперпластических эпителиальных почек в собственную пластинку (гнездо фон Брунна) приводит к образованию кистозного цистита. Последующая метаплазия уротелиальной оболочки внутри этих кист до столбчатых клеток, продуцирующих муцин, приводит к образованию железистого цистита, который является предраковым поражением.
В литературе сообщается о нескольких эффективных методах лечения, включая внутриартериальную химиотерапию цисплатином и метотрексатом и лучевую терапию или только лучевую терапию после цистэктомии. Пациенты с муцинозной аденокарциномой плохо отвечают на лечение препаратами платины, но получают значительную клиническую пользу от схем лечения, применяемых при раке толстой кишки [13].
Мелкоклеточная нейроэндокринная карцинома (SCNEC) мочевого пузыря – высокозлокачественная низкодифференцированная NEC эпителиального происхождения, гистологически и иммуногистохимически соответствующая аналогам, и в 50% случаев сочетается с уротелиальным, плоскоклеточным или железистым раком [14].
Радикальная цистэктомия в комбинации с химиотерапией (адъювантной или неоадъювантной), включающей препараты платины, может использоваться в целях улучшения показателей общей выживаемости при SCNEC мочевого пузыря [15]. При ретроспективном анализе историй болезни 25 пациентов с данным видом опухоли M. Quek и соавт. выявили значительное улучшение показателей безрецидивной и общей выживаемости у больных, получивших комбинированное лечение, по сравнению с только хирургическим [2].
C. Lohrisch и соавт. ретроспективно проанализировали 14 случаев SCNEC мочевого пузыря I–III стадии у больных, получавших комбинированную химиолучевую терапию. Препараты платины явились основой химиотерапевти- ческих режимов. Общая 2- и 5-летняя выживаемость составили 70 и 44% соответственно [16].
При метастатических формах лечение основано на проведении паллиативной химиотерапии. Схемы лечения на основе препаратов платины и этопозида составляют основу противоопухолевой терапии. Также возможны комбинация и чередование цисплатина с этопозидом, ифосфамида – с доксорубицином или доксорубицина, циклофосфамида и винкристина [17].
Существует ограниченное количество данных по лечению плоскоклеточного немышечно-инвазивного РМП, учитывая его склонность проявляться как мышечно-инвазивный РМП. Существует ретроспективный анализ 22 пациентов с обнаруженным плоскоклеточным немышечно-инвазивным вариантом РМП, которые получали лечение внутрипузырной БЦЖ; у 7 из этих пациентов отмечена плоскоклеточная дифференцировка [18]. По сравнению с когортой из 144 пациентов с уротелиальным РМП высокой степени у пациентов с вариабельной гистологией среднее время до прогрессирования до мышечно-инвазивного типа составило 19,8 мес по сравнению с 56 мес (p=0,0001). Частота заболевания T1 или ниже является еще более редким событием для плоскоклеточного подтипа. Анализ SEER, проведенный с участием 12 311 пациентов, которым в период с 1988 по 2006 г. выполнена радикальная цистэктомия, показал, что в 614 (5%) случаях наблюдался небиларзиальный подтип, и из них только 22 (3,6%) случая оказались T1 [19]. Ретроспективный анализ 188 случаев плоскоклеточного подтипа рака мочевого пузыря высокой степени дифференцировки T1 описал 20% пациентов, которым проведена немедленная радикальная цистэктомия, и 80%, которые получили начальное лечение с помощью трансуретральной резекции (ТУР) и внутрипузырной БЦЖ в попытке сохранения мочевого пузыря [20]. Трехлетняя безрецидивная выживаемость составила 52%, а наличие чистого SCC или лимфоваскулярной инвазии стало независимым предиктором худшей 3-летней безрецидивной выживаемости (44% против 60%; p=0,04) и выживаемости без прогрессирования (68% против 80%; p=0,004) по сравнению с пациентами без какого-либо фактора риска. По этим причинам рассмотрение вопроса о цистэктомии должно проводиться раньше в течение заболевания при чистом плоскоклеточном подтипе по сравнению с уротелиальным РМП даже до того, как заболевание станет мышечно-инвазивным.
Клиническое наблюдение 1
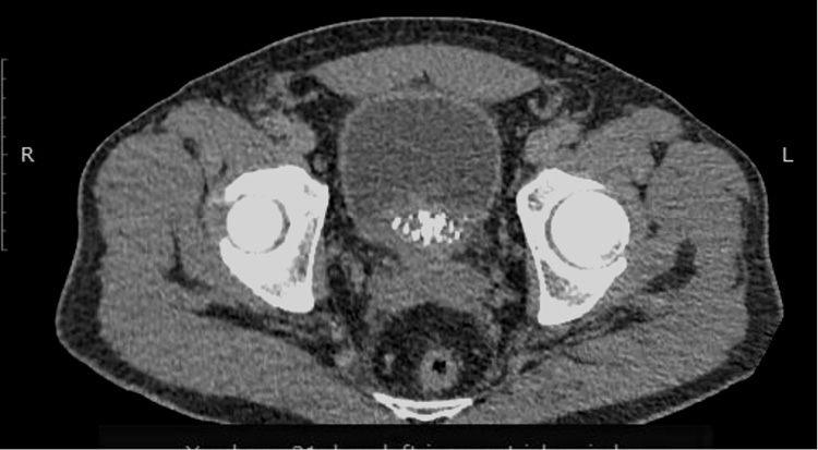
Пациент Х., 58 лет, считает себя больным с июня 2021 г., когда отметил появление затруднения при мочеиспускании. По поводу ухудшения качества мочеиспускания и появления примеси крови в моче планировал обратиться к урологу по месту жительства, однако заболел новой коронавирусной инфекцией. В августе этого же года повторно отметил примесь крови, затрудненное мочеиспускание, по поводу чего обратился в негосударственное медицинское учреждение, где по данным ультразвукового исследования (УЗИ) малого таза от 08.09.2021 в шейке мочевого обнаружена экзофитная опухоль размером 4×2 см. Для дообследования и выработки тактики лечения пациент обратился в МНИОИ имени П.А. Герцена – филиал ФГБУ «НМИЦ радиологии». При комплексном обследовании в условиях стационара урологического отделения данных за регионарное и отдаленное метастазирование не получено. По данным компьютерной томографии (КТ) органов малого таза (ОМТ) от 10.09.22 обнаружено солидное образование с выраженным ограничением диффузии, интенсивно накапливающее контрастный препарат, аксиальными размерами 31×21 мм (рис. 1).
Рис. 1. КТ ОМТ от 10.09.2022: солидное образование с выраженным ограничением диффузии, интенсивно накапливающее контрастный препарат, аксиальными размерами 31×21 мм.
Fig. 1. Pelvic computed tomography (CT) dated 10.09.2022: a contrast-enhancing mass with a pronounced diffusion restriction and axial dimensions of 31×21 mm.
В условиях онкоурологического отделения МНИОИ имени П.А. Герцена – филиала ФГБУ «НМИЦ радиологии» 14.09.2021 выполнена ТУР мочевого пузыря. При морфологическом и иммуногистохимическом исследовании: морфологическая и иммуногистохимическая картина соответствует аденокарциноме кишечного типа, частично – муцинозной. Тактика лечения обсуждена на межотделенческом консилиуме. Учитывая морфологическую структуру, характер и распространенность опухолевого процесса, отсутствие данных за регионарное и отдаленное метастазирование, состояние по шкале ECOG, пациенту рекомендовано хирургическое лечение.
Так, 14.10.2021 выполнены цистпростатвезикулэктомия с пластикой мочевого резервуара сегментом тонкой кишки по Брикеру, расширенная тазовая лимфаденэктомия (ЛАЭ). При плановом морфологическом исследовании: муцинозная аденокарцинома мочевого пузыря с наличием перстневидных клеток pT4N1M0 L1V0 Pn1 R0. В 1 из 5 исследованных лимфатических узлов (№5) определяется метастаз аденокарциномы кишечного типа, без инвазии в капсулу лимфатического узла. В остальных (№5–11, 13) исследованных лимфоузлах (21 узел) метастазов нет, отмечаются гистиоцитоз синусов, фиброз и отложения микрокальцинатов, очаговое жировое замещение.
Тактика лечения обсуждена на онкологическом консилиуме. С учетом морфологической структуры опухоли и распространенности опухолевого процесса рекомендовано проведение адъювантной полихимиотерапии (АПХТ) по схеме mFOLFOX6 (оксалиплатин 85 мг/м2 в виде 3-часовой инфузии в 1-й день, кальция фолинат 400 мг/м2 внутривенно в течение 2 ч с последующим болюсным введением фторурацила 400 мг/м2 внутривенно струйно и 46-часовой инфузией фторурацила 2400 мг/м2 по 1200 мг/м2 в сутки) каждые 2 нед или XELOX (оксалиплатин 130 мг/м2 в 1-й день, капецитабин 2000 мг/м2 в сутки в 1–14-й дни каждые 3 нед).
С 11.2021 по 01.2022 проведено 3 курса АПХТ по схеме XELOX без нежелательных явлений. По результатам контрольного обследования 01.2022, 03.2022 – без признаков рецидива и прогрессирования.
Пациенту Х. с 01.2022 по 05.2022 проведено 8 курсов АПХТ по схеме XELOX. По результатам контрольного обследования (магнитно-резонансная томография – МРТ ОМТ от 12.09.2022): без признаков рецидива.
Клиническое наблюдение 2
Пациент Н., 56 лет, считает себя больным с мая 2021 г. При амбулаторном обследовании по поводу макрогематурии диагностирована опухоль мочевого пузыря. В условиях ГБУЗ «ГКБ имени Д.Д. Плетнева» г. Москвы проведена ТУР мочевого пузыря (20.08.2022). В удаленном препарате – карцинома смешанного строения: инвазивная уротелиальная карцинома High-grade и мелкоклеточная нейроэндокринная карцинома pT2a.
Для дообследования и определения дальнейшей тактики лечения пациент обратился в МНИОИ имени П.А. Герцена – филиал ФГБУ «НМИЦ радиологии».
Больному выполнено дообследование: КТ органов грудной клетки и брюшной полости (29.09.2021): очаг разрежения в IX ребре, без признаков деструкции, доброкачественного характера. Аномалия развития в виде наличия шейных ребер (СVII с обеих сторон).
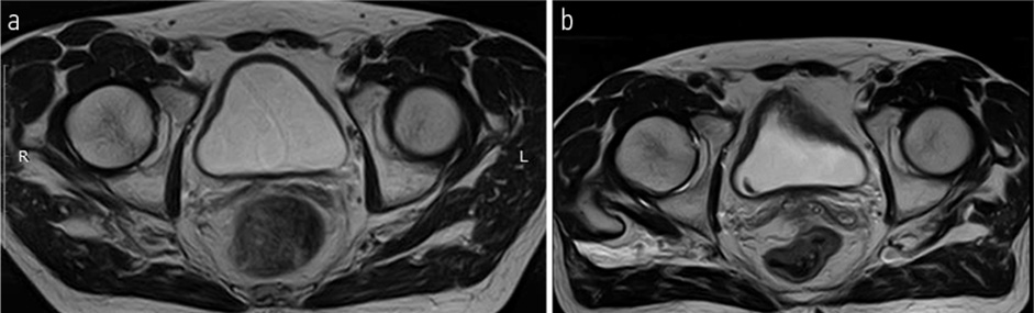
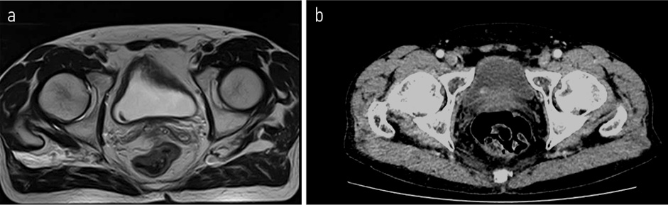
МРТ органов большого таза – ОБП (14.10.2021): По заднеправой стенке мочевого пузыря, в том числе на уровне устья правого мочеточника, визуализируется опухолевое образование неправильной формы с нечеткими неровными контурами со смешанным характером роста. Размер эндофитного компонента 40×21 мм, размер экзофитного компонента – 8×6 мм. Образование вовлекает всю толщу стенки с распространением процесса в паравезикальную клетчатку. Получена МР-картина Cr. мочевого пузыря с выходом процесса за пределы стенки. Удвоение правого мочеточника, уретероэктазия справа. Гиперплазия предстательной железы с наличием участка измененного МР-сигнала в транзиторной зоне левой доли (PI-RADS-4). Метастазы в кости таза. В сравнении с данными исследованиями от 27.08.2021 отмечается отрицательная динамика (рис. 2).
Рис. 2. МРТ ОМТ от 14.10.2021: опухолевое образование неправильной формы с нечеткими неровными контурами со смешанным характером роста. Размер эндофитного компонента – 40×21 мм, размер экзофитного компонента – 8×6 мм.
Fig. 2. Pelvic magnetic resonance imaging (MRI) dated 14.10.2021: tumor mass of irregular shape with ill-defined uneven contours with a mixed growth pattern. The size of the endophytic component is 40×21 mm, and the size of the exophytic component is 8×6 mm.
Сцинтиграфия скелета (20.10.2021): отмечены аномалии распределения радиофармпрепарата (РФП) в костях: участок повышенного накопления РФП в проекции задне-бокового отрезка VII ребра слева, участок повышенного накопления РФП в проекции заднего отрезка IX ребра слева, диффузно неравномерное распределение РФП без четких очаговых зон в костях таза и в крестце.
С целью уточнения природы выявленных аномалий и оценки распространенности поражения скелета пациенту рекомендовано выполнить совмещенную однофотонную эмиссионную томографию-КТ скелета (рис. 3).
Рис. 3. Сцинтиграфия скелета от 20.10.2021: мультифокальное метастатическое поражение костей скелета.
Fig. 3. Bone scintigraphy dated 20.10.2021: multifocal metastatic bone lesions.
Однофотонная эмиссионная томография-КТ (20.10.2021): выявленные изменения в костях таза и крестце соответствуют мультифокальному метастатическому поражению. Изменения в IX ребре слева доброкачественного генеза.
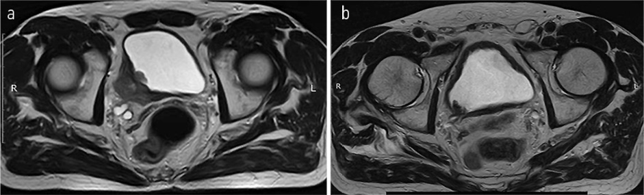
Рис. 4. МРТ ОМТ от 14.10.2021 в сравнении с МРТ от 27.12.2021. Состояние после 3-го курса лекарственного лечения по схеме EP: опухолевое образование неправильной формы с нечеткими неровными контурами со смешанным характером роста размерами до 14×11 мм с внутрипросветным компонентом.
Fig. 4. Pelvic MRI dated 14.10.2021 in comparison with MRI dated 27.12.2021. State after the 3rd course of drug treatment according to the EP regimen: tumor mass of irregular shape with ill-defined uneven contours with a mixed growth pattern up to 14×11 mm with an intraluminal component.
В условиях МНИОИ имени П.А. Герцена – филиала ФГБУ «НМИЦ радиологии» в результате пересмотра препаратов операционного материала установлено, что морфологическая картина соответствует мелкоклеточному варианту нейроэндокринного рака. Взяты специфичные для нейроэндокринного рака опухолевые маркеры (31.10.2021): винилминдалевая кислота – 2,0; гомованилиновая кислота – 1,4; 5-оксииндолуксусная кислота – 1,6, хромогранин А – 1,8; нейронспецифическая енолаза – 27,21; серотонин – 24,5.
Принимая во внимание анамнез заболевания, результаты инструментальных методов диагностики и морфологическую структуру опухоли, выставлен диагноз – «нейроэндокринная опухоль мочевого пузыря pT2aN0M0. Индекс Ki 67 – 80%. Cостояние после ТУР мочевого пузыря 20.08.2021. Прогрессирование от 10.2021 mts oss». Тактика лечения обсуждена на межотделенческом консилиуме. Учитывая морфологическую структуру опухоли и распространенность опухолевого процесса, рекомендовано проведение АПХТ по схеме ЕР (этопозид 100 мг/м2 внутривенно в 1–3-й дни, цисплатин 75 мг/м2 внутривенно в 1-й день 21-дневного цикла) с последующим контрольным обследованием и определением дальнейшего лечения.
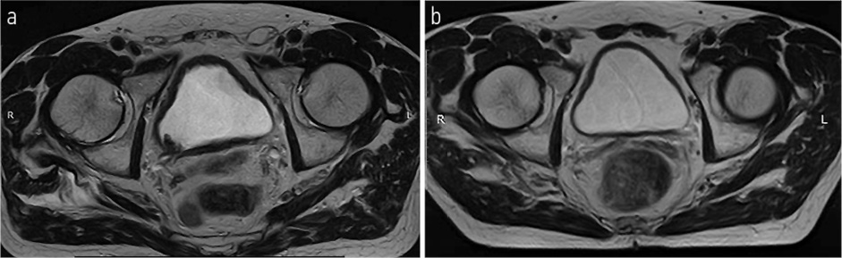
Рис. 5. МРТ ОМТ от 27.12.2021 в сравнении с МРТ от 24.03.2022. Состояние после 6-го курса лекарственного лечения по схеме EP: отсутствие опухолевого роста.
Fig. 5. Pelvic MRI dated 27.12.2021 in comparison with MRI dated 24.03.2022. State after the 6th course of drug treatment according to the EP regimen: no tumor growth.
Пациенту Н. с 11.2021 по 03.2021 проведено 6 курсов АПХТ по схемe EP. По результатам контрольного обследования отмечена выраженная положительная динамика в виде отсутствия опухолевого роста перивезикально и в полости мочевого пузыря (МРТ ОМТ от 24.03.2022); рис. 4, 5. Очаговые изменения костей скелета без динамики (сцинтиграфия скелета от 25.03.2022). Онкомаркеры (27.12.2021): винилминдалевая кислота – 5,3; гомованилиновая кислота – 5,8; 5-оксииндолуксусная кислота – 4,5, хромогранин А – 0,96; нейронспецифическая енолаза – 13,48; серотонин – 29,7. Учитывая выраженный положительный эффект на фоне ранее проводимого лечения, морфологическую структуру опухоли, рекомендована монохимиотерапия (МХТ) препаратом этопозид (100 мг 1–10-й дни, курс 21 день) до прогрессирования или неприемлемой токсичности с контрольным обследованием через 3 курса.
В июне 2022 г. выполнено контрольное обследование, МРТ ОМТ: на полученных МРТ в сравнении с обследованием от 24.03.2022 без существенной динамики. Пациент оставлен на МХТ препаратом этопозид (рис. 6).
Рис. 6. МРТ ОМТ от 07.06.2022. Состояние после 6-го курса лекарственного лечения по схеме EP. Cостояние в процессе МХТ препаратом этопозид.
Fig. 6. Pelvic MRI dated 07.06.2022. State after the 6th course of drug treatment according to the EP regimen. Monochemotherapy with etoposide is ongoing.
По результатам контрольного обследования от августа 2022 г. (МРТ ОМТ от 18.08.2022): в сравнении с данными от 07.06.2022 отмечается картина отрицательной динамики в отношении появления по задне-правой стенке мочевого пузыря на расстоянии до 11 мм от уретры узлового образования округлой формы с бугристыми контурами, с истинным ограничением диффузии и интенсивным контрастированием, размерами до 6×6 мм; характер роста образования смешанный; наружный контур стенки четкий ровный (рис. 7).
Рис. 7. МРТ ОМТ от 07.06.2022 в сравнении с МРТ ОМТ от 18.08.2022. Состояние после 6-го курса лекарственного лечения по схеме EP. Cостояние в процессе МХТ препаратом этопозид: появление узлового образования округлой формы с бугристыми контурами.
Fig. 7. Pelvic MRI dated 07.06.2022 in comparison with pelvic MRI dated 18.08.2022. State after the 6th course of drug treatment according to the EP regimen. MCT with etoposide is ongoing. A rounded nodule with bulging contour appeared.
Клиническая ситуация обсуждена на онкологическом консилиуме, рекомендована смена режима лекарственного лечения на схему карбоплатин AUC 5 + иринотекан 65 мг/м2 внутривенно в 1 и 8-й дни.
С 08.2022 начал получать полихимиотерапию (ПХТ) по схеме: карбоплатин + иринотекан. По данным контрольного обследования 18.08.2022 отрицательная динамика в виде увеличения размеров метастатических очагов в костях таза, наибольшими размерами в левой подвздошной кости на уровне тазобедренного сустава до 25×23 мм (ранее до 17×15 мм), в крыле правой подвздошной кости до 36×18 мм (ранее до 15×7 мм), в боковой массе крестца слева до 24×26 мм (ранее до 18×14 мм); рис. 8. Обсужден на консилиуме №91016 от 09.11.2022, рекомендовано: проведение паллиативной лучевой терапии последовательно на область правой и левой половины таза в разовой очаговой дозе (РОД) 6,5 Гр до суммарной очаговой дозы (СОД) 26 Гр.
Рис. 8. МРТ ОМТ от 18.08.2022 в сравнении КТ ОМТ от 02.11.2022. Состояние после 3 курсов лекарственного лечения по схеме карбоплатин + иринотекан.
Fig. 8. Pelvic MRI dated 18.08.2022 in comparison with pelvic CT dated 02.11.2022. State after 3 courses of drug treatment with carboplatin + irinotecan.
С 25.11.2022 по 30.11.2022 проведена паллиативная дистанционная лучевая терапия на область левой половины таза в РОД 6,5 Гр 1 раз в сутки ежедневно до СОД 26 Гр.
С 14.12.2022 по 19.12.2022 проведена паллиативная дистанционная лучевая терапия на область правой половины таза в РОД 6,5 Гр 1 раз в сутки ежедневно до СОД 26 Гр.
С 08.2022 по 22.12.2022 проведено 6 курсов лекарственного лечения по схеме карбоплатин + иринотекан. По результатам контрольного обследования от 01.2023: отрицательная динамика в виде увеличения размера очагов в костях скелета: в левой подвздошной кости до 29×25 мм (ранее до 25×23 мм) и 38×26 мм (ранее до 33×25 мм), в крыле подвздошной кости до 56×19 мм (ранее 27×22 мм), в боковой массе крестца слева до 28×23 мм (ранее 27×22 мм) и появления новых мелких очагов в бедренных костях до 5 мм и в телах LII–IV позвонков диаметром до 3 мм; билобарного очагового поражения печени: в S2 – до 20×23 см, на границе S2|3 – до 13×15 см, в S6 – 8×11 мм (рис. 9, 10).
Рис. 9. КТ органов брюшной полости от 02.11.2022 в сравнении с КТ от 11.01.22. КТ-картина билобарного очагового поражения печени: в S2 – до 20×23 см, на границе S2|3 – до 13×15 см, в S6 – 8×11 мм.
Fig. 9. Abdominal CT scan dated 02.11.2022 in comparison with CT scan dated 11.01.22. Bilobar focal lesions of the liver: in S2 – up to 20×23 cm, at the border of S2|3 – up to 13×15 cm, in S6 – 8×11 mm.
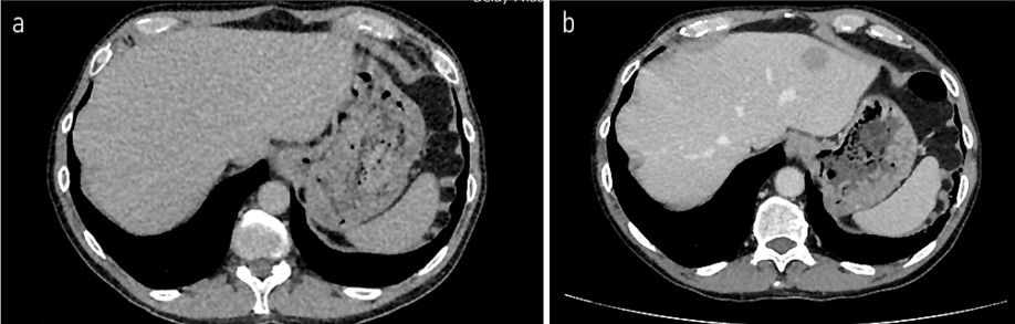
Рис. 10. КТ органов брюшной полости от 02.11.2022 в сравнении с КТ от 11.01.2022. КТ-картина билобарного очагового поражения печени: в S2 – до 20×23 см, на границе S2|3 – до 13×15 см, в S6 – 8×11 мм.
Fig. 10. Abdominal CT scan dated 02.11.2022 in comparison with CT scan dated 11.01.2022. Bilobar focal lesions of the liver: in S2 – up to 20×23 cm, at the border of S2|3 – up to 13×15 cm, in S6 – 8×11 mm.
В связи с прогрессированием на фоне данной схемы лекарственного лечения рекомендовано проведение 3-й линии паллиативного лекарственного лечения по схеме на гемцитабин 1000 мг/м2 в 1, 15-й дни + оксалиплатин 85 мг/м2 в 1, 15-й дни, цикл 28 дней.
Рис. 11. МРТ брюшной полости во фронтальной плоскости (Т2-взвешенное изображение). Конгломерат увеличенных (> 5 см) лимфатических узлов в парааортальной области справа (стрелка).
Fig. 11. Abdominal MRI of the abdomen, frontal view (T2-weighted image). A conglomerate of enlarged (>5 cm) lymph nodes in the para-aortic region on the right (arrow).
Наблюдение продолжается.
Клиническое наблюдение 3
Пациент А., 51 год, болен с июля 2021 г. При профилактическом осмотре при выполнении УЗИ ОМТ выявлено образование в мочевом пузыре. По данным МРТ ОБП (07.2021): образование в околопузырной клетчатке с прорастанием до слизистого слоя – 25 мм (рис. 11). Заболевание мочевого пузыря – сТ4N1M1. Выполнена трансректальная пункция образования. При гистологическом исследовании образование трактовалось как низкодифференцированный неороговевающий плоскоклеточный рак.
Клиническая ситуация обсуждена на межотделенческом консилиуме, принято решение о проведении ПХТ по схеме CG (цисплатин 70 мг/м2 внутривенно в 1-й день + гемцитабин 1000 мг/м2 внутривенно в 1, 8, 15-й дни каждые 4 нед). С октября 2021 по февраль 2022 г. проведено 4 курса ПХТ по упомянутой схеме. По результатам контрольного обследования (комбинированная позитронно-эмиссионная и рентгеновская КТ): отрицательная динамика в виде увеличения метаболической активности в парааортальных, подвздошных, околопузырных лимфатических узлах – метаболическое прогрессирование. Данная ситуация повторно обсуждена на онкологическом консилиуме, рекомендовано: цистпростатвезикулэктомии с ЛАЭ.
Выполнено хирургическое вмешательство 25.03.2022 в объеме цистпростатвезикулэктомии с расширенной ЛАЭ с кишечной ортотопической пластикой. Пациент оставлен под динамическое наблюдение.
В августе 2022 г. при контрольном обследовании выявлено прогрессирование заболевания в виде появления метабилически активного очага в IX ребре слева, гиперметаболи- ческих очагов в лимфатических узлах параректальной и паракавальной группы брюшной полости.
Пациент повторно обратился в МНИОИ имени П.А. Герцена – филиал ФГБУ «НМИЦ радиологии» в сентябре 2022 г. Принимая во внимание распространенность заболевания, морфологическое строение опухоли, объем и сроки после ранее проведенного лечения, данные комплексного обследования, принято решение о проведении ПХТ по схеме паклитаксел 175 мг/м2 + карбоплатин AUC 5–7 с последующим контрольным обследованием. После 3 курсов ПХТ по названной схеме проведено контрольное обследование, при котором отмечена отрицательная динамика в виде увеличения размера и метаболической активности паракавального лимфатического узла, появление нового очага в Th2. Принято решение о смене лекарственного лечения на ПХТ по схеме CG (цисплатин 25 мг/м2 внутривенно в 1-й день + гемцитабин 1000 мг/м2 внутривенно в 1, 8-й дни каждые 3 нед с контролем эффективности через 3 курса).
Наблюдение продолжается.
Обсуждение
Несмотря на то, что неуротелиальные подтипы РМП встречаются очень редко в клинической практике, в настоящее время проводится работа, направленная на улучшение долгосрочных результатов. В табл. 1 перечислены активные исследования, в которых участвуют пациенты с редкими подтипами рака мочеполовой системы, включая три упомянутые выше гистологические варианты. В онкологическом институте D. Farber проводится исследование II фазы ипилимумаба и ниволумаба при редких видах РМП (NCT03333616), и наиболее многообещающий ответ получен в случаях неуротелиального РМП. Из 19 пациентов, включенных в промежуточный анализ, частота объективного ответа составила 37%; частичный ответ отмечен у 1 пациента с аденокарциномой, у 1 – с карциномой мочевого пузыря, у 2 – с мелкоклеточным раком и у 2 – с плоскоклеточным раком. Окончательный анализ после завершения регистрации будет важен для определения того, какие когорты получили наибольшую пользу от подхода, основанного на иммунотерапии, и, вероятно, послужит основой для будущего расширения и работы с биомаркерами при этих заболеваниях. Также продолжается исследование, в котором изучается эта же комбинация в дополнение к мультитирозинкиназному ингибитору кабозантинибу (NCT03866382). Установлено, что кабозантиниб в качестве монотерапии обладает иммуномодулирующими свойствами при редких видах РМП [21]. Это подтверждает целесообразность сочетания его с ипилимумабом и ниволумабом, и мы с нетерпением ожидаем этих результатов во всех группах пациентов с раком мочевого пузыря, как с неуротелиальным, так и с уротелиальным подтипами. Более пристальное внимание совместной группы к этим редким видам рака будет иметь важное значение для изучения новых терапевтических стратегий и комбинаций в будущем. До тех пор включение междисциплинарного обсуждения и ведения в специализированных центрах большого объема поможет стандартизировать лечение и улучшить результаты.
Таблица 1. Текущие клинические испытания при редких злокачественных новообразованиях мочевого пузыря (по данным https://clinicaltrials.gov) Table 1. Ongoing clinical studies in rare malignant neoplasms of the bladder (according to https://clinicaltrials.gov) | |||||
Схема лекарственного лечения | Гистологические подтипы | Условия | Фаза | Первичная конечная точка | № исследования |
Атезолизумаб + этопозид и химиотерапия на основе платины | Мелкоклеточный (+/- уротелиальный компонент) | Неоадъювантное лечение мелкоклеточного РМП cT1-cT4, N0–1, M0 | II | Показатель ypCR | NCT05312671 |
Пембролизумаб + химиотерапия на основе платины | Мелкие клетки мочевыводящих путей или предстательной железы (допускается смешанная гистология) | Местно-распространенный или метастатический (допускается предварительная химиотерапия на основе платины >12 мес) | Ib | DRR ORR PFS OS Рентгенографический PFS | NCT03582475 |
Ниволумаб и ипилимумаб | Редкие виды РМП, включая неуротелиальный РМП/верхних отделов мочевыводящих путей | Метастатическое заболевание при любой линии терапии (без предварительного применения ингибиторов контрольных точек) | II | ОРР | NCT03333616 |
Ниволумаб, ипилимумаб и кабозантиниб | Аденокарцинома мочевого пузыря, мелкоклеточный рак, плоскоклеточный рак, карцинома мочевого пузыря и варианты, включая лимфоэпителиомоподобную карциному, саркоматоидный, плазмоцитоидный, гнездный, прозрачноклеточный, микропапиллярный, богатый липидами и с гигантскими клетками | Метастатическое заболевание 1 или 2-й линии | II | ОРР | NCT03866382 (ICONIC) |
Дурвалумаб + химиотерапия (гемцитабин с цисплатином или карбоплатином, ddMVAC) | Аденокарцинома мочевого пузыря, SCC, карциносаркома и подтипы рака мочевого пузыря, включая вложенные, плазмоцитоидные, микропапиллярные, богатые липидами, прозрачные клетки, недифференцированные, гигантоклеточные, трофобластические, саркоматоидные | Неоадъювантный | II | Безопасность (частота нежелательных явлений 3–5-й степени), частота патологического ответа (pT2N0M0 или выше) | NCT03912818 |
Заключение
Редко встречающиеся подтипы РМП относятся к заболеваниям с частыми локорегионарными и отдаленными рецидивами. Поэтому для определения тактики лечения РМП с редкими гистологическими типами необходимо проведение крупных и многоцентровых биологических исследований.
Раскрытие интересов. Авторы декларируют отсутствие явных и потенциальных конфликтов интересов, связанных с публикацией настоящей статьи.
Disclosure of interest. The authors declare that they have no competing interests.
Вклад авторов. Авторы декларируют соответствие своего авторства международным критериям ICMJE. Все авторы в равной степени участвовали в подготовке публикации: разработка концепции статьи, получение и анализ фактических данных, написание и редактирование текста статьи, проверка и утверждение текста статьи.
Authors’ contribution. The authors declare the compliance of their authorship according to the international ICMJE criteria. All authors made a substantial contribution to the conception of the work, acquisition, analysis, interpretation of data for the work, drafting and revising the work, final approval of the version to be published and agree to be accountable for all aspects of the work.
Источник финансирования. Авторы декларируют отсутствие внешнего финансирования для проведения исследования и публикации статьи.
Funding source. The authors declare that there is no external funding for the exploration and analysis work.
Информированное согласие на публикацию. Пациенты подписали форму добровольного информированного согласия на публикацию медицинской информации и фотографий.
Consent for publication. Written consent was obtained from the patients for publication of relevant medical information and all of accompanying images within the manuscript.
About the authors
Anna A. Paychadze
Hertsen Moscow Oncology Research Institute – branch of the National Medical Research Radiological Centre
Email: paiann@mail.ru
ORCID iD: 0000-0001-7912-8055
Cand. Sci. (Med.)
Russian Federation, MoscowSofia A. Golubeva
Hertsen Moscow Oncology Research Institute – branch of the National Medical Research Radiological Centre
Email: Golu-sofya@ya.ru
врач-онколог отделения комбинированных методов лечения №1
Russian Federation, MoscowMilyausha A. Kamalova
Hertsen Moscow Oncology Research Institute – branch of the National Medical Research Radiological Centre
Author for correspondence.
Email: milyausha.kamalova.97@mail.ru
ORCID iD: 0000-0003-0495-8585
Resident Physician
Russian Federation, MoscowReferences
- Bray F, Ferlay J, Soerjomataram I, et al. Global cancer statics 2020: GLOBOCAN estimates of incidence and mortality worldwide for 36 cancers in 185 countries. CA: A Cancer J Clin. 2020;68(6):209-9. doi: 10.3322/caac.21660
- Quek ML, Nichols PW, Yamzon J, et al. Radical cystectomy for primary neuroendocrine tumors of the bladder: the University of Southern California experience. J Urol. 2005;174(1):93-6. doi: 10.1097/01.ju.0000162085.20043.1f
- Состояние онкологической помощи населению России в 2021 году. Под ред. А.Д. Каприна, В.В. Старинского, А.О. Шахзадовой. М.: МНИОИ имени П.А Герцена – филиал ФГБУ «НМИЦ радиологии» Минздрава России, 2022 [Sostoianiie onkologicheskoi pomoshchi naseleniiu Rossii v 2021 godu. Pod red. AD Kaprina, VV Starinskogo, AO Shakhzadovoi. Moscow: MNIOI im. P.A.Gertsena – filial FGBU “NMITS radiologii” Minzdrava Rossii, 2022 (in Russian)].
- Рева И.А., Нюшко К.М., Плеханова Е.Н., и др. Лейомиосаркома мочевого пузыря, исходящая из мышечных элементов слизистой оболочки мочевого пузыря (клинический случай). Онкоурология. 2022;18(1):106-11 [Reva IA, Nyushko KM, Plekhanova EN, et al. Bladder leiomyosarcoma originating from the muscular elements of the bladder mucosa (clinical case). Cancer Urology. 2022;18(1):106-11 (in Russian)]. doi: 10.17650/1726-9776-2022-18-1-106-111
- Manunta A, Vincendeau S, Kiriakou G, et al. Non-transitional cell bladder carcinomas. BJU Int. 2005;95(4):497-502. doi: 10.1111/j.1464-410X.2005. 05327.x
- Abol-Enein H, Kava BR, Carmack AJK. Nonurothelial cancer of the bladder. Urology. 2007;69(1):93-104. doi: 10.1016/j.urology.2006.08.1107
- Moschini M, D’Andrea D, Korn S, et al. Characteristics and clinical significance of histological variants of bladder cancer. Nat Rev Urol. 2017;14(11):651-68. doi: 10.1038/nrurol.2017.125
- Baumeister P, Zamboni S, Mattei A, et al. Histological variants in nonmuscle invasive bladder cancer. Transl Androl Urol. 2019;8(1):34-8. doi: 10.21037/tau.2019.01.09
- Grignon DJ, Ro JY, Ayala AG, et al. Primary adenocarcinoma of the urinary bladder. A clinicopathologic analysis of 72 cases. Cancer. 1991;67(8):2165-72. doi: 10.1002/1097-0142(19910415)67:82165::aid-cncr2820670827>3.0.co;2-m
- Sved P, Gomez P, Manoharan M, et al. Small cell carcinoma of the bladder. BJU Int. 2004;94(1):12-7. doi: 10.1111/j.1464-410X.2003.04893.x
- Гладков О.А., Зуков Р.А., Матвеев В.Б., и др. Практические рекомендации по лекарственному лечению рака мочевого пузыря. Злокачес- твенные опухоли: Практические рекомендации RUSSCO #3s2. 2021;11:32 [Gladkov OA, Zukov RA, Matveiev VB, et al. Prakticheskiie rekomendatsii po lekarstvennomu lecheniiu raka mochevogo puzyria. Zlokachestvennyie opukholi: Prakticheskiie rekomendatsii RUSSCO #3s2. 2021;11:32 (in Russian)]. doi: 10.18027/2224-5057-2021-11-3s2–32
- Rosenberg JE, Carroll PR, Small EJ. Update on chemotherapy foradvanced bladder cancer. J Urol. 2005;174(1):14-20. doi: 10.1097/01.ju.0000162039.38023.5f
- El Ammari JE, Ahsaini M, Riyach O, et al. Primary signet-ring cell carcinoma of the urinary bladder successfully managed with cisplatin and gemcitabine: A case report. J Med Case Rep. 2013;7:37.
- Аббасова Д.В., Поликарпова С.Б., Козлов Н.А., и др. Нейроэндокринные опухоли мочевыделительной системы: обзор литературы. Онкоурология. 2019;15(2):126-33 [Abbasova DV, Polikarpova SB, Kozlov NA, et al. Neuroendocrine tumors of the urinary system: literature review. Cancer Urology. 2019;15(2):126-33 (in Russian)]. doi: 10.17650/1726-9776-2019-15-2-126-133
- Cheng L, Pan CX, Yang XJ, et al. Small cell carcinoma of the urinary bladder: a clinicopathologic analysis of 64 patients. Cancer. 2004;101(5):957-62. doi: 10.1002/cncr.20456
- Lohrisch C, Murray N, Pickles T, Sullivan L. Small cell carcinoma of the bladder: long term outcome with integrated chemoradiation. Cancer. 1999;86(11):2346-52.
- Choong NW, Quevedo JF, Kaur JS. Small cell carcinoma of the urinary bladder. The Mayo Clinic experience. Cancer. 2005;103(6):1172-8. doi: 10.1002/cncr.20903
- Shapur NK, Katz R, Pode D, et al. Is radical cystectomy mandatory in every patient with variant histology of bladder cancer. Rare Tumors. 2011;3(2):e22. doi: 10.4081/rt.2011.e22
- Galsky MD, Iasonos A, Mironov S, et al. Prospective trial of ifosfamide, paclitaxel, and cisplatin in patients with advanced non-transitional cell carcinoma of the urothelial tract. Urology. 2007;69(2):255-9. doi: 10.1016/j.urology.2006.10.029
- Hussain M, Vaishampayan U, Du W, et al. Combination paclitaxel, carboplatin, and gemcitabine is an active treatment for advanced urothelial cancer. J Clin Oncol. 2001;19(9):2527-33. doi: 10.1200/jco.2001.19.9.2527
- Apolo AB, Nadal R, Tomita Y, et al. Cabozantinib in patients with platinumrefractory metastatic urothelial carcinoma: an open-label, single-centre, phase 2 trial. Lancet Oncol. 2020;21(8):1099-109. doi: 10.1016/s1470-2045(20)30202-3.
Supplementary files














