Combination of microspheres and gadoteridol for the determination of non-target ovarian embolization during uterine artery embolization. A case series
- Authors: Sharafutdinov B.M.1,2, Ryzhkin S.A.1,3,4,5, Galim'yanov D.A.1, Gaziev E.A.1
-
Affiliations:
- Kazan Federal University
- Kazan State Medical Academy – branch of the Russian Medical Academy of Continuous Professional Education
- Russian Medical Academy of Continuous Professional Education
- Kazan State Medical University
- Federal Center for Toxicological, Radiation and Biological Safety
- Issue: Vol 24, No 4 (2022)
- Pages: 458-463
- Section: CLINICAL ONCOLOGY
- Submitted: 11.09.2022
- Published: 15.12.2022
- URL: https://modernonco.orscience.ru/1815-1434/article/view/110880
- DOI: https://doi.org/10.26442/18151434.2022.4.201896
- ID: 110880
Cite item
Full Text
Abstract
Background. Uterine myoma is the most common benign tumor of the pelvic organs in women. One of the effective therapies for myomas is uterine artery embolization (UAE), which can be associated with unintended ovarian embolization. However, there is no certainty about the effect of unintended ovarian embolization on fertility and ovarian function since no precise evidence-based ways of identifying unintended embolization have been described.
Aim. To develop a highly accurate method for identifying unintended ovarian embolization during UAE.
Materials and methods. A series of clinical cases of the utilization of combined embolization material based on the paramagnetic contrast agent gadoteridol and saturable HepaSphere microspheres are presented.
Results. On admission, patients underwent magnetic resonance imaging (MRI) of the pelvic organs with contrast enhancement. After UAE with this combined embolization material, another pelvic MRI without contrast enhancement was performed on the in-hospital day 2. In the first clinical case, no hyperintensive zones were detected in the ovarian stroma. However, in the second case, a previously undetected hyperintensive signal up to 6 mm in diameter was seen in the stroma of the left ovary by repeat MRI.
Conclusion. Using this combined material during UAE significantly increases the accuracy of possible unintended ovarian embolization detection as soon as in the early postoperative period.
Full Text
Введение
Миома матки является наиболее частым доброкачественным заболеванием, возникающим у женщин. По различным данным, миома матки встречается примерно у 70% женщин всех возрастов. Миомы, которые связаны с меноррагией и анемией у женщин репродуктивного возраста, составляют до 50% всех миом [1]. Лечение симптоматических миом включает в себя консервативную тактику, хирургическое вмешательство (гистерэктомия, гистерорезектоскопия, миомэктомия), а также эмболизацию маточных артерий (ЭМА).
ЭМА является эффективным способом лечения не только миомы матки. Начиная с 1995 г. ЭМА применяется также при послеродовых кровотечениях, аденомиозе, сосудистой мальформации матки, а также в случаях высокого риска массивного кровотечения при хирургических вмешательствах. Однако, как и все методы лечения, ЭМА связана с рядом осложнений. Чрезмерная эмболизация может вызвать обширное повреждение миометрия и эндометрия, яичников или маточных труб, что в редких случаях может приводить к некрозу матки, инфекциям, а также нарушению функции яичников.
Нецелевая эмболизация яичников при проведении ЭМА может возникать из-за особенностей кровоснабжения данных органов. Анастомозы между маточными и ячниковыми артериями выявляются примерно в 10–30% случаев [2]. M. Razavi и соавт. [3] описана классификация 3 типов маточно-яичниковых анастомозов: I тип – кровоток направлен в сторону матки (Ia – кровоток направлен из яичниковой артерии в матку; Ib – яичниковые артерии временно контрастируются во время инъекции контрастным веществом и/или эмболизационным материалом в маточную артерию за счет более высокого давления), II тип – прямой связи между яичником и маткой нет, III тип – кровоток в анастомозе направлен в сторону яичника. Анастомозы Ib и III типов могут увеличивать риск недостаточной эмболизации целевых миоматозных узлов и нарушение функции яичников за счет возможного нецелевого попадания эмболизационного материала в капиллярное русло яичников при проведении ЭМА [4].
Имеющиеся исследования, связывающие ЭМА и снижение функциональной активности яичников, достаточно противоречивы [5]. В частности, в исследовании EMMY высокий уровень фолликулостимулирующего гормона, наблюдаемый у пациенток со сниженным овариальным резервом, также увеличен после ЭМА [6]. В другом исследовании, проведенном K. Karlsen и соавт., частота беременности в группе ЭМА ниже, а частота выкидышей выше по сравнению с группой миомэктомии [7]. В то же время авторы исследования подчеркивают, что необходимы дальнейшие исследования влияния ЭМА на овариальный резерв. H. Kim и соавт. изменили размер используемого эмболизационного материала на более крупный, с 500–710 мкм на 710–1000 мкм, однако в некоторых случаях рефлюкс к маточно-яичниковым анастомозам, доходящий до паренхимы яичников, неизбежен [8]. С другой стороны, считается что непреднамеренная эмболизация маточно-яичниковых анастомозов не вызывает значительного влияния на кровоснабжение и функциональность яичников. Исследование FEMME не обнаружило устойчивых различий в показателях фертильности между группами ЭМА и миомэктомии. Важным аспектом данного исследования является утверждение об отсутствии воздействия на овариальную функцию в группе ЭМА. Однако, учитывая средний возраст участников исследования около 40 лет, а также отсутствие данных в долгосрочной перспективе, вопрос влияния нецелевой эмболизации остается открытым [9].
В настоящее время существует несколько методов оценки функциональной активности яичников: определение концентраций фолликулостимулирующего гормона и/или лютеинизирующего гормона, антимюллерова гормона и инигибина В в крови, оценка количества и диаметра антральных фолликулов и объема яичников при проведении ультразвукового исследования (УЗИ). Проведение магнитно-резонансной томографии (МРТ) органов малого таза является предпочтительным перипроцедуральным методом оценки анатомических особенностей кровоснабжения миоматозных узлов, а также наличия коллатерального кровообращения [10].
Недостатком описанных способов оценки овариального резерва является отсутствие выявления самого факта непосредственной нецелевой эмболизации применяемым в ходе ЭМА эмболизационным материалом. Предложенный авторами постпроцедуральный способ оценки эмболизации яичниковых артерий позволяет в ранние сроки обнаружить эмболизационный материал в нецелевом органе, его анатомическое распределение и объем.
Материалы и методы
В описанных далее клинических случаях использован комбинированный эмболизационный материал для проведения ЭМА, состоящий из микросфер HepaSphere и гадотеридола.
HepaSphere – эластичные микросферы сферической формы с гидрофильной поверхностью из суперабсорбирующего полимера, представлены в сухом виде, способны абсорбировать жидкость с 4-кратным увеличением диаметра относительно своего неизменного состояния в сухом виде. Увеличение размера частиц происходит при контакте с кровью, физраствором или контрастной средой. После увеличения частиц размер полученных микросфер благодаря их полимерным свойствам остается неизменным.
Гадотеридол является неионогенным парамагнитным контрастным веществом, используемым в исследованиях МРТ. В частности, гадотеридол зарекомендовал себя при визуализации очагов нарушенного кровоснабжения головного и спинного мозга, а также очагов с нарушением гематоэнцефалического барьера.
Комбинированный препарат готовится путем насыщения микросфер HepaSphere гадотеридолом. Стерильный шприц емкостью 10 мл наполняется гадотеридолом. Далее в виал с микросферами HepaSphere 150–200 мкм полностью вводится содержимое шприца с гадотеридолом. Для однородного распределения микросфер содержимое виала взбалтывается 5–10 раз, в течение 10 мин происходит насыщение микросфер гадотеридолом. Примерный размер восстановленных гадотеридолом микросфер составляет 600–800 мкм. Данный готовый комбинированный препарат используется в качестве эмболизационного материала при ЭМА с последующим МРТ-исследованием в раннем послеоперационном периоде (в течение суток после ЭМА) для точного определения нецелевой эмболизации яичниковых артерий.
Результаты
Клинический пример 1
Пациентка И. 1975 года рождения поступила в отделение гинекологии 08.02.2021 с жалобами на обильные месячные в течение 7 дней, со снижением гемоглобина до 87 г/л. Состоит на диспансерном учете по поводу миомы тела матки в течение 6 лет. Выставлен диагноз – «интерстициально-субмукозная миома тела матки с прогрессирующим ростом, геморрагическим синдромом».
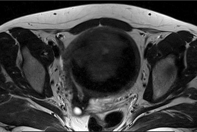
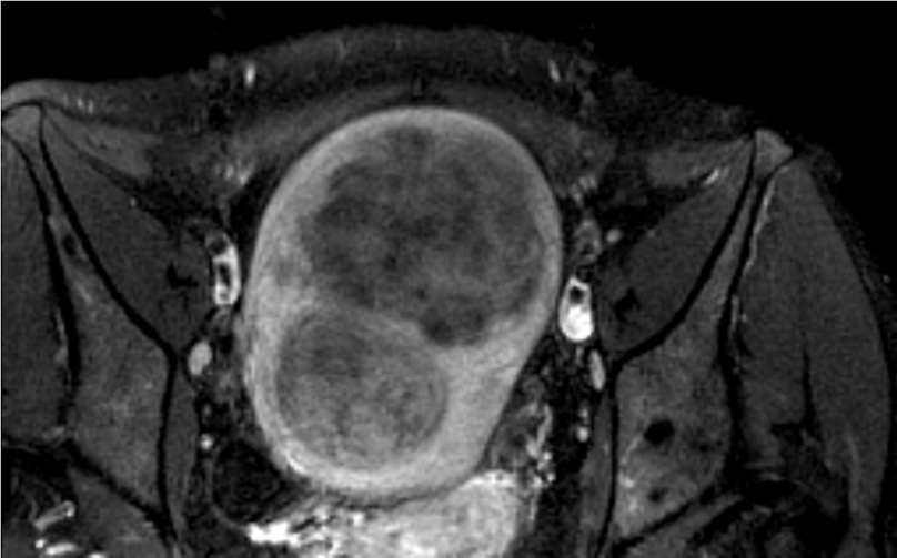
При поступлении пациентке проведено МРТ органов малого таза с контрастированием (рис. 1). По данным МРТ: по передней стенке матки интерстициально расположены 2 узла: 73×72×72 мм вентральный и 58×44×50 мм дорзальный, оба обладают значительным масс-эффектом с деформацией полости органа; по задней стенке, ближе к дну органа, аналогичного характера миоматозные узлы до 16×15×10 мм преимущественно субмукозной локализации.
Рис. 1. Клинический пример №1. МРТ с контрастированием до проведения ЭМА. / Fig. 1. Clinical case 1. Contrast-enhanced MRI before UAE.
Яичники расположены типично: правый – 34×17×17 мм с фолликулами до 14 мм, левый – 42×21×18 мм с фолликулами до 16 мм. При оценке DWI/ADC – без особенностей. При оценке постконтрастных серий отмечается негомогенное накопление контрастного вещества в структуре миоматозных узлов тела матки.
В первые сутки госпитализации пациентка направлена в отделение рентгенохирургических методов диагностики и лечения (РХМДиЛ) для проведения ЭМА.
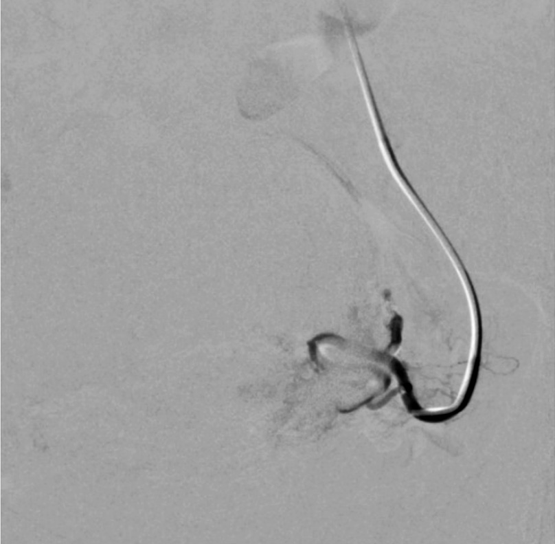
Выполнены пункция и катетеризация правой лучевой артерии в ретроградном направлении. Далее катетером выполнена селективная катетеризация правой и левой маточных артерий. Выявлена миома матки больших размеров с выраженным перифиброидным сплетением. При проведении ангиографии брюшной аорты и таза дополнительных источников кровоснабжения не выявлено. Катетер по проводнику проведен последовательно в горизонтальные сегменты левой и правой маточных артерий, питающих узлы (рис. 2, 3). Проведена эмболизация насыщенными гадотеридолом микросферами до стаза контраста в дистальных сегментах маточных артерий. Рентгеновский контроль эффективности эмболизации – на рис. 4, 5. Катетер и интродьюсер удалены. Наложена давящая асептическая повязка.
Рис. 2. Клинический пример №1. Ангиограмма правой маточной артерии до ЭМА. / Fig. 2. Clinical case 1. Angiogram of the right uterine artery before UAE.
Рис. 3. Клинический пример №1. Ангиограмма левой маточной артерии до ЭМА. / Fig. 3. Clinical case 1. Angiogram of the left uterine artery before UAE.
Рис. 4. Клинический пример №1. Ангиограмма правой маточной артерии после ЭМА. / Fig. 4. Clinical case 1. Angiogram of the right uterine artery after UAE.
Рис. 5. Клинический пример №1. Ангиограмма левой маточной артерии после ЭМА. / Fig. 5. Clinical case 1. Angiogram of the left uterine artery after UAE.
На 2-е сутки госпитализации, по прошествии 18 ч после ЭМА, пациентке выполнено повторное МРТ органов малого таза без введения контрастного вещества для выявления эффективности эмболизации, а также выявления нецелевой эмболизации яичников (рис. 6). При сравнении с МР-картиной от 08.02.2021 – отчетливо визуализированы описываемые ранее миоматозные узлы, отмечается небольшое увеличение их размеров: до 84×73×76 мм вентрального по передней стенке, до 65×46×60 мм дорзально расположенного узла по передней стенке и до 19×16×14 мм узла по задней стенке. По данным импульсной последовательности Т1-взвешенного изображения с жироподавлением в структуре всех узлов визуализируются гиперинтенсивные участки сливного характера, в строме яичников гиперинтенсивных зон не выявлено.
Рис. 6. Клинический пример №1. МРТ без контрастирования после ЭМА. / Fig. 6. Clinical case 1. Non-contrast-enhanced MRI after UAE.
Осложнений в послеоперационном периоде не наблюдалось, 11.02.2021 проведено трансвагинальное УЗИ матки и придатков – кровоток в миоматозном узле не визуализируется, яичники – без особенностей. Пациентка выписана на 4-е сутки в удовлетворительном состоянии.
Клинический пример 2
Пациентка А. 1977 года рождения поступила в отделение гинекологии 11.02.2021 с жалобами на обильные менструации до 10 дней, со сгустками в течение последнего года. Миома матки впервые обнаружена в 2017 г. Выставлен диагноз – «интрамуральная лейомиома матки».
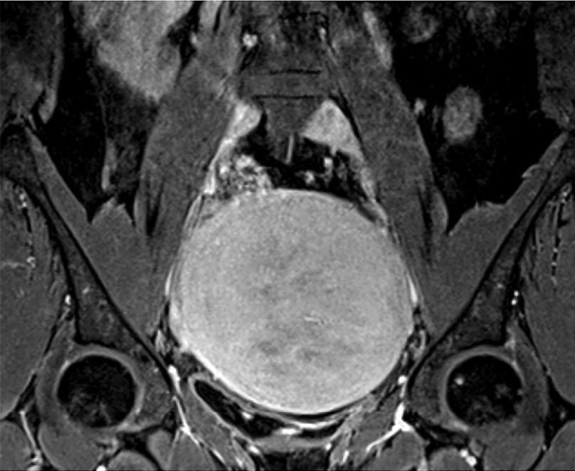
При поступлении пациентке проведено МРТ органов малого таза с контрастированием (рис. 7): матка увеличена до 122×98×107 мм за счет массивного шаровидного миоматозного узла по передней стенке до 89 мм в диаметре. Правый яичник расположен над маткой, общим размером 24×14×30 мм, его структура гомогенная, фолликулярный аппарат выражен слабо, с наличием немногочисленных мелкокистозных включений до 5 мм в диаметре. Левый яичник расположен в задних отделах таза над маткой, общим размером 23×19×28 мм, фолликулярный аппарат выражен слабо, с наличием немногочисленных мелкокистозных включений до 5 мм в диаметре. При оценке DWI/ADC – без особенностей.
Рис. 7. Клинический пример №2. МРТ с контрастированием до проведения ЭМА. / Fig. 7. Clinical case 2. Contrast-enhanced MRI before UAE.
В 1-е сутки госпитализации пациентка направлена в отделение РХМДиЛ для проведения ЭМА.
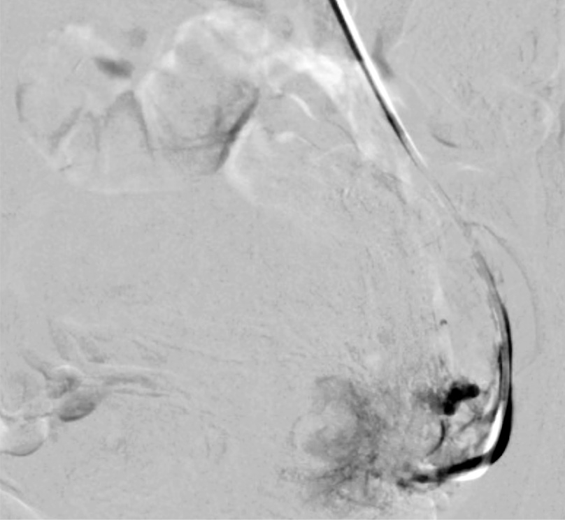
Выполнены пункция и катетеризация правой лучевой артерии в ретроградном направлении. Далее катетером выполнена селективная катетеризация правой и левой маточных артерий. Выявлена миома матки больших размеров с выраженным перифиброидным сплетением. При проведении ангиографии брюшной аорты и таза дополнительных источников кровоснабжения не выявлено. Катетер по проводнику проведен последовательно в горизонтальные сегменты левой и правой маточных артерий, питающих узлы (рис. 8, 9). Проведена эмболизация насыщенными гадотеридолом микросферами до стаза контраста в дистальных сегментах маточных артерий. Рентгеновский контроль эффективности эмболизации – рис. 10, 11. Катетер и интродьюсер удалены. Наложена давящая асептическая повязка.
Рис. 8. Клинический пример №2. Ангиограмма правой маточной артерии до ЭМА. / Fig. 8. Clinical case 2. Angiogram of the right uterine artery before UAE.
Рис. 9. Клинический пример №2. Ангиограмма левой маточной артерии до ЭМА. / Fig. 9. Clinical case 2. Angiogram of the left uterine artery before UAE.
Рис. 10. Клинический пример №2. Ангиограмма правой маточной артерии после ЭМА. / Fig. 10. Clinical case 2. Angiogram of the right uterine artery after UAE.
Рис. 11. Клинический пример №2. Ангиограмма левой маточной артерии после ЭМА. / Fig. 11. Clinical case 2. Angiogram of the left uterine artery after UAE.
На 2-е сутки госпитализации, по прошествии 18 ч, пациентке выполнено повторное МРТ органов малого таза без контрастирования для выявления эффективности эмболизации, а также выявления нецелевой эмболизации яичников (рис. 12). При сравнении с предоперационной МР-картиной – отчетливо визуализирован описываемый ранее миоматозный узел по передней стенке, повысилась его контурация без признаков значительного изменения размеров; отмечается субтотальное повышение интенсивности сигнала по Т2 от структуры узла. При оценке серий Т1 с подавлением сигнала от жировой ткани структура миоматозного узла представлена диффузным повышением интенсивности сигнала. Строма правого яичника – без изменений. В структуре левого яичника выявляется ранее отсутствующий гиперинтенсивный сигнал в Т1 с подавлением сигнала от жировой ткани диаметром до 6 мм.
Рис. 12. Клинический пример №2. МРТ без контрастирования после проведения ЭМА. / Fig. 12. Clinical case 2. Non-contrast-enhanced MRI after UAE.
Так, 13.03.2021 проведено трансвагинальное УЗИ матки и придатков – кровоток в миоматозном узле не визуализируется, правый яичник – без особенностей, левый – не визуализируется. Пациентка выписана на 6-е сутки в удовлетворительном состоянии.
Заключение
В этом исследовании мы показываем клиническую значимость применения комбинированного эмболизационного материала, состоящего из гадотеридола и микросфер HepaSphere для определения нецелевой эмболизации сосудистого русла органов малого таза. Насколько нам известно, это исследование является первым применением этой техники к данному клиническому показанию, и наши результаты иллюстрируют ее более широкий потенциал для визуализации и определения нецелевой эмболизации органов малого таза. Кроме того, трудно предсказать возможное коллатеральное кровоснабжение органов малого таза в особенностях миомы матки и яичников только по анатомическим изображениям.
Данная методика определения нецелевой эмболизации может повысить эффективность и безопасность эмболизации гиперваскулярных новообразований малого таза.
Что касается ЭМА, то существует некоторая естественная субъективность рентгенэндоваскулярных хирургов в отношении размера и количества эмболизирующих веществ, используемого для достижения стаза контраста и определения конечной точки эмболизации сосудистого русла.
Способ определения нецелевой эмболизации органов малого таза не только может обеспечить ценность для постпроцедурного анализа возможных ишемических осложнений, но также показывает его потенциал в качестве клинического инструмента для изучения иногда сложного коллатерального сосудистого русла органов малого таза, и в частности миомы матки и яичников, что особенно важно для пациенток фертильного возраста с нереализованной репродуктивной функцией.
В будущем ожидаются дальнейшие исследования и работа по оптимизации точности и прецизионности целевой эмболизации гиперваскулярных новообразований, особенно в мелких артериях, таких как маточные и яичниковые артерии. Поскольку методы определения целевой эмболизации сосудистых новообразований продолжают развиваться, клинические результаты эффективности и безопасности инновационных методик до и после ЭМА дают дополнительную информацию о целевом кровотоке как о биомаркере и прогнозе ответа на рентгенэндоваскулярное лечение, что позволит приумножить и сохранить репродуктивный потенциал, особенно у пациенток фертильного возраста.
Раскрытие интересов. Авторы декларируют отсутствие явных и потенциальных конфликтов интересов, связанных с публикацией настоящей статьи.
Disclosure of interest. The authors declare that they have no competing interests.
Вклад авторов. Авторы декларируют соответствие своего авторства международным критериям ICMJE. Все авторы в равной степени участвовали в подготовке публикации: разработка концепции статьи, получение и анализ фактических данных, написание и редактирование текста статьи, проверка и утверждение текста статьи.
Authors’ contribution. The authors declare the compliance of their authorship according to the international ICMJE criteria. All authors made a substantial contribution to the conception of the work, acquisition, analysis, interpretation of data for the work, drafting and revising the work, final approval of the version to be published and agree to be accountable for all aspects of the work.
Источник финансирования. Авторы декларируют отсутствие внешнего финансирования для проведения исследования и публикации статьи.
Funding source. The authors declare that there is no external funding for the exploration and analysis work.
Информированное согласие на публикацию. Пациенты подписали форму добровольного информированного согласия на публикацию медицинской информации.
Consent for publication. Written consents were obtained from the patients for publication of relevant medical information and all of accompanying images within the manuscript.
About the authors
Bulat M. Sharafutdinov
Kazan Federal University; Kazan State Medical Academy – branch of the Russian Medical Academy of Continuous Professional Education
Author for correspondence.
Email: bulaty555@mail.ru
ORCID iD: 0000-0002-4149-118X
SPIN-code: 6282-4554
Cand. Sci. (Med.)
Russian Federation, Kazan; KazanSergey A. Ryzhkin
Kazan Federal University; Russian Medical Academy of Continuous Professional Education; Kazan State Medical University; Federal Center for Toxicological, Radiation and Biological Safety
Email: rsa777@inbox.ru
ORCID iD: 0000-0003-2595-353X
SPIN-code: 5955-5712
D. Sci. (Med.), Assoc. Prof.
Russian Federation, Kazan; Moscow; Kazan; KazanDiaz A. Galim'yanov
Kazan Federal University
Email: Da.Galimyanov@mail.ru
ORCID iD: 0000-0001-7725-7697
SPIN-code: 7021-5543
Department Head
Russian Federation, KazanEdgar A. Gaziev
Kazan Federal University
Email: gazievedgar@gmail.com
ORCID iD: 0000-0001-8692-1967
SPIN-code: 7135-6593
Doctor
Russian Federation, KazanReferences
- Stewart EA. Clinical practice. Uterine fibroids. N Engl J Med. 2015;372(17):1646-55. doi: 10.1056/NEJMcp1411029
- Pelage JP, Cazejust J, Pluot E, et al. Uterine fibroid vascularization and clinical relevance to uterine fibroid embolization. Radiographics. 2005;25 (Suppl. 1):S99-117. doi: 10.1148/rg.25si055510
- Razavi MK, Wolanske KA, Hwang GL, et al. Angiographic classification of ovarian artery-to-uterine artery anastomoses: initial observations in uterine fibroid embolization. Radiology. 2002;224(3):707-12. doi: 10.1148/radiol.2243011513
- Lanciego C, Diaz-Plaza I, Ciampi JJ, et al. Utero-ovarian anastomoses and their influence on uterine fibroid embolization. J Vasc Interv Radiol. 2012;23(5):595-601. doi: 10.1016/j.jvir.2012.01.077
- Kaump GR, Spies JB. The impact of uterine artery embolization on ovarian function. J Vasc Interv Radiol. 2013;24(4):459-67. doi: 10.1016/j.jvir.2012.12.002
- de Bruijn AM, Ankum WM, Reekers JA, et al. Uterine artery embolization vs hysterectomy in the treatment of symptomatic uterine fibroids: 10-year outcomes from the randomized EMMY trial. Am J Obstet Gynecol. 2016;215(6):745.e1-12. doi: 10.1016/j.ajog.2016.06.051
- Karlsen K, Hrobjartsson A, Korsholm M, et al. Fertility after uterine artery embolization of fibroids: a systematic review. Arch Gynecol Obstet. 2018;297(1):13-25. doi: 10.1007/s00404-017-4566-7
- Kim HS, Tsai J, Lee JM, et al. Effects of utero-ovarian anastomoses on basal follicle-stimulating hormone level change after uterine artery embolization with tris-acryl gelatin microspheres. J Vasc Interv Radiol. 2006;17(6):965-71. doi: 10.1097/01.RVI.0000220425.23309.15
- Manyonda I, Belli AM, Lumsden MA, et al. Uterine-Artery Embolization or Myomectomy for Uterine Fibroids. N Engl J Med. 2020;383(5):440-51. doi: 10.1056/NEJMoa1914735
- Ishisaki JY, Kato H, Zhang X, et al. Comparison of 1.5 T and 3 T non-contrast-enhanced MR angiography for visualization of uterine and ovarian arteries before uterine artery embolization. Eur Radiol. 2022;32(1):470-76. doi: 10.1007/s00330-021-08141-z
Supplementary files















